Ревматоидный артрит голеностопного сустава и стопы - лучевая диагностика
Добавил пользователь Евгений Кузнецов Обновлено: 11.12.2025
Ревматоидный артрит голеностопного сустава и стопы - лучевая диагностика
а) Визуализация:
• Рентгенография:
о Выпот, в первую очередь в большеберцово-таранном и плюснефаланговых суставах
о Бурсит предахиллесовой сумки
о Локализация самых ранних эрозий на стопе в плюснефаланговых суставах (прежде всего в 5-м)
о Эрозии заднего отдела пяточного бугра
о Остеопороз, увеличение риска патологических переломов (визуализируются в виде участков линейного скрлероза)
(Слева) Рентгенография в ПЗ проекции: визуализируется мягкотканное образование, разделяющее 1-й и 2-й плюснефаланговые суставы. У этой женщины 45 лет образование характеризовалось болевым синдромом. У основания проксимальной фаланги 1-го пальца визуализируется совсем маленькая краевая эрозия. Этот признак, наряду с возрастом и полом позволяет заподозрить РА, однако требуется дополнительная оценка.
(Справа) МРТ, сагиттальная проекция, режим Т1. опухолевидное образование у этой же пациентки, скорее не имеющее выраженных особенностей и характеризующееся среднеинтенсивным сигналом. Участок 1-й плюсневой кости, представленный на срезе характерных особенностей не имеет. (Слева) МРТ, короткоосевая аксиальная проекция, Т2 с подавлением сигнала от жира: отек костного мозга головки 1-й плюсневой кости (эта же пациентка). Суставной выпот в 1-м плюснефаланговом суставе смещает сухожилие разгибателя. Между 1-й и 2-й плюсневыми костями визуализируется опухолевидное образование В со смешанным сигналом.
(Справа) МРТ, короткоосевая аксиальная проекция, Т1 с контрастным усилением и подавлением сигнала от жира : визуализируется накапливающая контраст синовиальная оболочка, ограничивающая выпот в 1-м плюснефаланговом суставе В. Образование представляет собой жидкость с сигналом низкой интенсивности и толстым контрастируемым ободком. По совокупности факторов - это межплюсневый бурсит.
• МРТ, режим Т1:
о Отек костного мозга, эрозии и субхондральные кисты характеризуются сигналом низкой интенсивности
о Линейные зоны патологических переломов имеют сигнал низкой интенсивности
• МРТ, последовательности, чувствительные к жидкости:
о Утолщенная синовиальная оболочка, характеризующаяся сигналом низкой интенсивности, омывается синовиальной жидкостью, имеющий высокоинтенсивный сигнал
о Отек костного мозга и эрозии характеризуются сигналом высокой интенсивности
о Бурситы (в первую очередь предахиллесовый) характеризуются сигналом высокой интенсивности
о Теносиновиты, частичные разрывы измененных сухожилий -сигнал высокой интенсивности
• Интенсивное контрастирование синовиальной оболочки с сопряженной жидкостью,-сигнал низкой интенсивности
• УЗИ: подтверждает скопление жидкости и наличие выпота:
о Непосредственная визуализация разрывов сухожилий
б) Клинические особенности:
• У 75% пациентов с РА поражен большеберцово-таранный сустав
• У 60% пациентов с РА в процесс вовлекается средний отдел стопы
• У 75% пациентов поражаются плюснефаланговые суставы
• Деформация голеностопного сустава и пальцев; боль в заднем отделе пяточной области
в) Диагностическая памятка:
• При РА отмечаются эрозии заднего отдела пяточного бугра; хронический реактивный артрит не является единственным патологическим изменением
• При признаках локального отека мягких тканей на рентгенограммах следует скрупулезно оценить сопряженные сустав и кости
• Обращайте внимание на признаки патологических переломов
Устойчивый ревматоидный артрит - лучевая диагностика
а) Терминология:
• Устойчивый ревматоидный артрит: вариант РА, характеризующийся формированием значительно выраженных субхондральных кист и часто нормальной плотностью костной ткани
б) Визуализация:
• Признаки наиболее выражены в лучезапястном суставе и суставах кисти:
о Могут поражаться другие суставы, особенно суставы стопы
• Локализация поражений, как правило, типична для РА:
о В области запястья поражаются: дистальный луче-локтевой и лучезапястный суставы
о На кисти поражаются: пястно-фаланговые (ПФС) и межфаланговые (МФС) суставы
• Проявления, в целом, типичны для РА:
о Двухстороннее симметричное поражение
о Общее истончение хряща и сужение суставного пространства
о Эрозии, как краевые, так и субхондральные
о Деформации: локтевое смещение запястья, нестабильность запястья, ладонный подвывих и локтевая девиация пястно-фаланговых суставов
о Утолщение синовиальной оболочки, ревматоидные узелки
• Плотность костной ткани может быть различной:
о Если процесс не запущен, а кисти задействованы, то может сохраняться нормальная плотность костной ткани
о В запущенных случаях наблюдается диффузная остеопения
• Формирование крупных субхондральных кист:
о Наиболее значимый фактор, отличающий данную патологию от РА
о Формирование кист непропорционально эрозивному процессу
(Слева) Рентгенография в ЗП проекции: типичное для РА сужение хряща, преимущественно в ПФС га и небольшие краевые эрозии ПФС. Тем не менее, эти признаки не столь показательны, как крупные субхондральные кисты, которые визуализируются в нескольких местах. Обратите, также, внимание на нормальную плотность костной ткани. Этот мужчина 52 лет имеет стойкий РА.
(Справа) Рентгенография в ЗП проекции: отек мягких тканей противоположной кисти (предположительно синовит) га и крупные, симметрично расположенные субхондральные кисты, подтверждающие диагноз. (Слева) Рентгенография в ПЗ проекции: сужение хряща в 1-м плюснефаланговом суставе и множественные, имеющие типичное для РА расположение, мелкие краевые эрозии. Тем не менее, на стопе определяется нормальная плотность костной ткани и чрезмерно крупная субхондральная киста, что искажает типичную картину обычного РА. Совокупность признаков у этого мужчины, не предъявляющего значительных жалоб на болевой синдром, соответствует устойчивому РА.
(Справа) На другой столе визуализируются эрозии и нормальная плотность костной ткани, однако меньше кист. Высокий уровень ревматоидного фактора подтверждает диагноз.
в) Клинические особенности:
• Обычно болеют мужчины
• Пациенты, как правило, активны и сохраняют трудоспособность
• Боль и скованность, в сравнении с обычным РА, выражены в меньшей степени
• Предполагается этиологическая связь с постоянной нагрузкой на руки, особенно с ручным трудом:
о Постоянная нагрузка способствует сохранению костной плотности
о Постоянная нагрузка способствует проникновению выпота и паннуса через хрящ и дефекты суставных поверхностей в субхондральные кисты, что увеличивает давление и приводит к их постепенному увеличению.
а) Терминология:
1. Аббревиатура:
• Ревматоидный артрит (РА)
2. Определение:
• Хроническое прогрессирующее системное воспалительное заболевание с преимущественным поражением суставов
б) Визуализация:
1. Общая характеристика:
• Лучший диагностический критерий:
о Диффузный остеопороз
о Двухстороннее симметричное сужение суставных пространств заднего и среднего отделов стопы
о Двухсторонние симметричные эрозии, в первую очередь в 5-х плюснефаланговых суставах
2. Рекомендации по визуализации:
• Лучший метод визуализации:
о Рентгенография, которая информативна при наличии эрозий и сужении суставного пространства
о МРТ позволяет визуализировать более ранние изменения

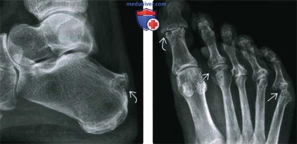
(Слева) Рентгенография в боковой проекции: эрозия заднего отдела пяточного бугра. Это не специфический признак воспалительной артропатии; РА может быть таким же вероятным диагнозом, как псориатический или хронический реактивный артрит.
(Справа) Рентгенография в ПЗ проекции: значительно выраженное эрозивное поражение 2-5 плюснефаланговых суставов, а также 1 -го межфалангового сустава у этого же пациента. Здесь отсутствуют признаки периостита, которые позволили бы предположить наличие псориатического или хронического реактивного артрита. Области поражения характерны для РА и подтверждают диагноз.
3. Рентгенография при ревматоидном артрите голеностопного сустава и стопы:
• Остеопения:
о Вначале: юкстаартикулярная
о Затем: диффузная
о Склерозированная линия патологического перелома, обусловленного остеопенией:
- Дистальные отделы малоберцовой и большеберцовой костей, задний отдел пяточной кости, шейки плюсневых костей
• Отек мягких тканей:
о Выпот, в первую очередь в большеберцово-таранном и плюснефаланговых суставах
о Воспаление предахилессовой сумки и бурситы
• Деструкция хряща:
о По всей площади; при рентгенографии визуализируется как сужение суставного пространства
• Эрозии:
о Размытость кортикального слоя и штрих-пунктирный характер поражения на ранней стадии
о Локализация самых ранних эрозий в плюснефаланговых суставах (в первую очередь в 5-м)
о Эрозии заднего отдела пяточного бугра
о На поздней стадии эрозии могут быть значительными, с субхондральной деструкцией:
- При РА может наблюдаться деформация в виде «карандаша в стакане» (не является специфичной для псориатического артрита)
• Деформация:
о Metatarsus primus varus, hallux valgus
о Молоткообразная деформация пальцев
о Вальтусная деформация заднего отдела стопы, коллапс среднего отдела стопы
4. КТ при ревматоидном артрите голеностопного сустава и стопы:
• Более четкая визуализация эрозий
• Контрастное усиление синовиальной оболочки
5. МРТ при ревматоидном артрите голеностопного сустава и стопы:
• Режим Т1:
о Синовиальная оболочка и выпот, отек, эрозии и субхондральные кисты, линии патологических переломов - сигнал низкой интенсивности
• Последовательности, чувствительные к жидкости:
о Утолщенная синовиальная оболочка, характеризующаяся сигналом низкой интенсивности, омывается синовиальной жидкостью (высокоинтенсивный сигнал)
о Бурситы (в первую очередь предахиллесовый), эрозии и субхондральные кисты, отек костного мозга-сигнал высокой интенсивности
о Отек, окружающий зону патологического перелома, характеризуется сигналом высокой интенсивности; может скрывать истинную линию перелома
о Повреждение сухожилий:
- Теносиновиты характеризуются сигналом высокой интенсивности
- Частичный разрыв морфологически измененного сухожилия-сигнал высокой интенсивности (в первую очередь сухожилие задней большеберцовой мышцы и ахиллово сухожилие)
• Режим Т1 с контрастным усилением, с подавлением сигнала от жира:
о Интенсивно контрастируемая синовиальная оболочка; сопредельная жидкость имеет сигнал низкой интенсивности
6. УЗИ при ревматоидном артрите голеностопного сустава и стопы:
• Подтверждает наличие скоплений жидкости и выпота
• Полуколичественная оценка суставного хряща
• Допплерографическая оценка синовита позволяет оценивать эффективность лечения
• Непосредственная визуализация разрывов сухожилий

(Слева) Рентгенография в ПЗ проекции: остеопения в зоне 4-го и 5-го плюснефаланговых суставов с размытостью кортикального слоя головки 4-й плюсневой кости. Истинные эрозии и субхондральные кисты визуализируются в области головки 5-й плюсневой кости, которая является зоной наиболее частого поражения на стопе при РА. МРТ позволяет более подробно визуализировать признаки патологических изменений.
(Справа) Несмотря на отсутствие эрозии в зоне 4-го плюснефалангового сустава, в области головки 4-й плюсневой кости визуализируются ранние признаки РА в виде отека и выпота.
в) Дифференциальная диагностика ревматоидного артрита голеностопного сустава и стопы:
1. Хронический реактивный артрит (ХРА):
• Патологические изменения стопы и пятки аналогичны таковым при РА:
о Задний отдел пяточного бугра: обычно при ХРА выявляются смешанные эрозивные и продуктивные изменения
о Выходящие на первый план активно воспаление, остеопороз и эрозивное поражение имитируют РА
• Ищите другие признаки ХРА:
о Спондилоартропатия; энтезит на МР-томограммах
2. Псориатический артрит (ПСА):
• Изменения наиболее выражены в кистях, однако часто в процесс вовлекаются стопы и в этом отношении ПСА походит на РА:
о Задний отдел пяточного бугра и плюснефаланговые суставы: смешанные эрозивно-продуктивные изменения при ПСА:
- Иногда при ПСА имеет место исключительно эрозивное, имитирующее РА поражение
• Ищите другие признаки ПСА:
о Спондилоартропатия
о Периостит
3. Септический артрит:
• Односуставное поражение; при РА почти всегда многосуставной характер патологии
• Признаки синовита, повреждения хряща и эрозий могут быть неотличимы от РА при визуализации
• При РА также имеется риск развития септического артрита; при подозрении необходимо выполнить пункцию сустава

(Слева) Рентгенография в боковой проекции: типичное для РА эрозивное поражение среднею отдела стопы. Также обратите внимание на склерозированный линейный выступ пяточной кости. Этот и другие патологические переломы у этого пациента легко не заметить.
(Справа) Рентгенография в ПЗ проекции: результат резекции головок 2-4 плюсневых костей-распространенного варианта лечения болезненных деформаций плюснефаланговых суставов у пациентов с РА. Пациенту была выполнена артропластика 1-го плюснефалангового сустава эндопротезом Swanson, которая закончилась несостоятельностью конструкции и массивным остеолизисом.
г) Патология:
1. Общая характеристика:
• Этиология:
о Этиология РА неизвестна
о Предполагается патофизиологическая связь со стойким иммунным ответом генетически восприимчивого хозяина к некоторому неизвестному антигену
• Генетика:
о Генетическая предрасположенность:
- Конкордантность в парах монозиготных близнецов (25%)
- Частота возникновения РА у родственников первой степени родства в четыре раза выше, чем общей популяции
о Маловероятно, у членов семьи пациента будут выявлены аналогичные патологические изменения
• Сопутствующие изменения:
о Подкожные ревматоидные узелки у 30%:
- Разгибательные поверхности (область локтевой кости, ахиллова сухожилия) и пальцы
о Отложения амилоида
о Плевральная полость: выпот, ревматоидные узелки, редко интерстициальный фиброз
о Васкулиты
о Синдром Фелти: РА + спленомегалия + лейкопения
о Синдром Шегрена: РА + кератоконьюнктивит + ксеростомия
о Высокий риск развития лимфомы
о Системное воспаление может являться причиной повышенного риска сердечно-сосудистых заболеваний, почечной недостаточности и инфекции
о Высокий уровень смертности, сокращение продолжительности жизни на 10-18 лет
2. Критерии, степени и классификация ревматоидного артрита голеностопного сустава и стопы:
• Клинические критерии РА (2010 Американский Ревматологический Колледж/Европейская антиревматическая лига)
о Алгоритм, основанный на расчете бальных показателей: сложите баллы категории А-D; при значении >6/10 пациента необходимо классифицировать, как страдающего РА:
- (А) Поражение суставов:
1 крупный сустав - 0 баллов
2-10 крупных суставов - 1 балл
1-3 малых сустава - 2 балла
4-10 малых сустава - 3 балла
>10 суставов (не менее одного малого сустава) - 5 баллов
- (В) Серология (для классификации требуется не менее одного положительного результата тестирования):
Отрицательный ревматоидный фактор (РФ) и отсутствие антител к циклическому цируллинированному пептиду (АЦЦП) - 0 баллов
Слабо положительный РФ и слабоположительный АЦЦП - 2 балла
Резкоположительный РФ и резко положительный АЦЦП - 3 балла
- (С) Белки острой фазы (для классификации требуется не менее одного положительного результата):
С-реактивный белок (СРВ) и СОЭ в норме - 0 баллов
Патологическое значение СРБ и СОЭ - 1 балл
- (D) Продолжительность симптомов:
>6 недель - 1 балл
д) Клинические особенности:
1. Клиническое проявление:
• Типичные признаки/симптомы:
о Симметричный полиартрит с преимущественным поражением мелких суставов
о Общие симптомы: утомляемость, субфибрилитет
о Обычно развиваются в течение недель или месяцев; иногда скоротечное течение болезни
• Другие признаки/симптомы:
о Деформация голеностопного сустава и пальцев; боль пяточной области
2. Демография:
• Возраст:
о Пик начала заболевания приходится на 4-5 десятилетия
• Пол:
о М:Ж=1:3
• Эпидемиология:
о РА: страдают 1% людей в мире:
- 5% в некоторых популяциях коренных американцев
о У 75% пациентов с РА поражается большеберцово-таранный сустав
о У 60% пациентов с РА в процесс вовлекается средний отдел стопы
о У 75% пациентов поражаются плюснефаланговые суставы
3. Течение и прогноз:
• Развитие процесса часто тормозится на фоне активной комбинированной лекарственной терапии
• При неэффективности медикаментозной терапии отмечается прогрессирующие болевой синдром и деформация стопы
4. Лечение:
• Как правило, комбинированное лечение, направленное на облегчение болевого синдрома, незамедлительная нарастающая терапия для подавления заболевания до разрушения суставов:
о Нестероидные противовоспалительные средства:
- Симптоматическое облегчение боли; не влияет на патологический процесс
о Глюкокортикоиды (перорально или интраартикулярно):
- Тормозят воспаление; возможно наращивание эффекта медленно действующим препаратам
о Базисные противоревматические препараты, модифицирующие течение болезни:
- Метотрексат, сульфасалозин, антималярийные препараты, препараты золота
- Препятствуют деструкции суставов
о Биологические препараты: ингибиторы фактора некроза опухоли альфа, антиинтерлейкин-1:
- Установлена роль цитокинов (особенно фактора некроза опухоли альфа и интерлейкина-1) в патофизиологии РА
• Хирургическое лечение:
о Резекция головок/оснований фаланг
о Синовэктомия
о Тенодез
о Артродез (сложно выполнить по причине остеопороза, но часто способствует функциональному улучшению)
о Эндопротезирование:
- Голеностопный сустав: может давать хороший результат; опасность нестабильности конструкции, инфицирования, перипротезных переломов
- Пальцы: силиконовые протезы могут оказаться несостоятельными:
Изменение связок приводит к нарушению соосности
Патологические движения на остеопорозной кости приводят к формированию костного дебриса и несостоятельности конструкции
Может привести к обширному остеолизису
е) Диагностическая памятка:
1. Следует учесть:
• Эрозии заднего отдела пяточного бугра имеют место при РА; ХРА и ПСА, которые не являются единственными состояниями, и которые следует принимать во внимание
2. Советы по интерпретации изображений:
• Обращайте внимание на зоны отека мягких тканей для выявления нечетких костных признаков на рентгенограмме
• Учитывайте вероятность патологических переломов
Артрит голеностопного сустава
Артрит голеностопного сустава - это острый или хронический воспалительный процесс, затрагивающий анатомические структуры, образующие сочленение костей голени со стопой. При артрите голеностопного сустава появляется боль, гиперемия, гипертермия и отек в области сустава, ограничение подвижности стопы. Диагноз артрита голеностопного сустава основан на данных клинической картины, рентгенографии, УЗИ, МРТ сустава, лабораторных исследований, диагностической пункции и артроскопии. При артрите голеностопного сустава показаны покой, противовоспалительные, болеутоляющие, антибактериальные препараты, физиолечение; по показаниям проводится артроскопическая синовэктомия, протезирование сустава.
МКБ-10



Общие сведения
Артрит голеностопного сустава – воспалительно-деструктивное поражение элементов голеностопного сустава различного генеза. Артрит голеностопного сустава может развиваться в любом возрасте; в большей степени заболеванию подвержены лица мужского пола. Данная суставная патология является широко распространенной во всем мире, во многом определяет качество жизни пациентов и вызывает серьезную озабоченность специалистов в области ревмоортопедии.

Причины
Артрит голеностопного сустава может возникать на фоне дегенеративно-дистрофических заболеваний суставов (остеоартроза), обменных нарушений, системной патологии (периферической формы болезни Бехтерева, системной красной волчанки), после перенесенной инфекции. Непосредственными этиофакторами служат:
- Системное воспаление. Нарушение иммунной реактивности при системных заболеваниях приводит к тому, что собственные суставные ткани воспринимаются иммунной системой как чужеродные и подвергаются агрессивному воздействию антител. При ревматоидном артрите в первую очередь развивается воспаление синовиальной оболочки голеностопного сустава, сопровождающееся ее разрастанием, поражением хряща и костной ткани, срастанием суставных поверхностей.
- Инфекционные антигены и аллергены. Реактивный артрит голеностопного сустава, возникающий после бактериальных и вирусных инфекций, связан с повышенной иммунной реакцией на антигены возбудителя. При их близости с тканевыми антигенами суставов развивается реактивное асептическое воспаление. У детей артрит голеностопного сустава часто провоцируют кишечные и респираторные инфекции (дизентерия, сальмонеллез, иерсиниоз, грипп, микоплазменная и хламидийная инфекции), а также аллергические реакции на определенные раздражители (пищевые продукты, пыльцу растений, шерсть животных).
- Псориаз. Псориатический артрит ассоциирован с поражением кожного покрова и развивается у лиц с наследственной предрасположенностью.
- Подагра. Стойкое нарушение общего обмена веществ при подагре приводит к переизбытку и отложению кристаллов мочевой кислоты в полости голеностопного сустава с развитием в нем ответной воспалительной реакции и подагрического артрита.
- Трамы. Посттравматический артрит бусловлен острой травмой суставных тканей (суставной капсулы, хрящей, связочного аппарата или мышц и сухожилий) вследствие ушибов, вывихов, переломов, растяжения и разрыва связок. Длительная физическая нагрузка на голеностопный сустав и плоскостопие вызывают хроническую микротравматизацию сустава и связочного аппарата стопы, также способствуя появлению артрита. Гнойный артрит встречается редко, при проникающем ранении голеностопного сустава с попаданием в его полость гноеродной инфекции или при ее распространении из воспалительного очага лимфогенным и гематогенным путем.
Предрасполагают к развитию артрита неправильное питание, вредные привычки, лишний вес, стрессовые ситуации, неблагоприятные условия среды (повышенная влажность, переохлаждение, антисанитария).
Анатомия
Голеностопный сустав сформирован большеберцовой, малоберцовой, пяточной и таранной костями; благодаря своей сложной структуре он обладает очень большой подвижностью. Блоковидный по форме, голеностопный сустав обеспечивает стопе функции вращения, сгибания (движение в сторону ее подошвенной поверхности), разгибания (движение в сторону ее тыльной поверхности) с величиной подвижности 90°. При сгибании стопы возможно ее некоторое приведение и отведение. Голеностопный сустав подвергается колоссальным нагрузкам, выдерживая вес собственного тела.
Классификация
Артрит голеностопного сустава может протекать в острой и хронической форме. В зависимости от причины, различают первичный (при непосредственном поражении сустава) и вторичный артрит (развившийся на фоне внесуставной патологии). По характеру воспалительного процесса артрит голеностопного сустава может быть:
- неспецифическим (гнойным);
- специфическим (туберкулезным, гонорейным и др.);
- асептическим (реактивным, ревматоидным и пр.).
Наиболее типичными формами поражения голеностопного сустава служат подагрический, реактивный, посттравматический, псориатический и ревматоидный артрит.
Артрит голеностопного сустава может развиваться изолированно (моноартрит), но чаще возникает одновременно с воспалением в других суставах (олигоартрит, полиартрит). Поражение голеностопного сустава при артрите может быть односторонним (травма, инфекция), двухсторонним (системная патология) и мигрирующим (подагра).

Симптомы
Острый артрит голеностопного сустава развивается внезапно, чаще в ночное время. Резко возникшая болезненность сопровождается быстрым появлением гиперемии и отечности, местным повышением температуры в области мягких тканей сустава, значительным ограничением подвижности стопы, трудностью передвижения. Для гнойного артрита голеностопного сустава характерна общая интоксикация; озноб, лихорадка, слабость, головная боль.
Хроническая форма заболевания развивается постепенно. Гиперемия и отечность голеностопного сустава выражены слабо; отмечаются утренняя скованность и болезненные ощущения при движении, максимальном сгибании и разгибании сустава, при одевании и снятии обуви.
Выделяют несколько стадий развития артрита.
- На I стадии боли в голеностопе появляются только при движении и прекращаются в покое; скованность и уменьшение подвижности стопы – незначительны.
- II стадия артрита голеностопного сустава проявляется постоянной выраженной болью, не проходящей в покое, усилением болевой реакции «на погоду», заметным снижением мобильности стопы.
- На III стадии артрита из-за резкой утраты подвижности голеностопного сустава больной может передвигаться только с помощью палки или костылей. Стопа сильно деформируется, принимает неестественное положение, развивается анкилоз, приводящий к инвалидизации больного.
Клиническая картина артрита голеностопного сустава может варьироваться в зависимости от причины воспаления. Ревматоидный артрит голеностопного сустава характеризуется симметричным поражением с постоянным болевым синдромом, а при вовлечении в воспалительный процесс связочного аппарата сопровождается нестабильностью голеностопа с частыми подвывихами и вывихами. Развитию реактивного артрита голеностопного сустава всегда предшествует перенесенная мочеполовая, кишечная или респираторно-вирусная инфекция. При синдроме Рейтера артрит голеностопного сустава сопровождается поражением глаз (конъюнктивитом), инфекцией мочевыводящих путей (уретритом, простатитом).
Диагностика
Диагноз артрита голеностопного сустава основан на данных опроса больного; клинической картине, результатах рентгенографии, УЗИ, КТ и МРТ голеностопных суставов, лабораторных исследований:
- Рентген.Рентгенография при артрите голеностопного сустава позволяет обнаружить признаки остеопороза, наличие жидкости или гноя в полости сустава; эрозии, кисты, деструктивные изменения костного вещества, уплощение суставных поверхностей, уменьшение суставной щели, анкилоз.
- МРТ.МРТ голеностопного сустава более информативна, т. к. выявляет даже незначительные отклонения от нормы не только костной ткани, но и суставного хряща, связок и мягких тканей.
- Анализы. Из лабораторных методов обследования выполняется общий и биохимический анализ крови и мочи, ИФА, РНГА, исследование ревматоидного фактора, посев крови на стерильность.
- Дополнительная диагностика. При необходимости проводится диагностическая пункция с исследованием синовиальной жидкости или артроскопия с биопсией тканей сустава.

Лечение артрита голеностопного сустава
Лечение артрита голеностопного сустава осуществляется ревматологом-артрологом или травматологом-ортопедом и включает комплексную медикаментозную и немедикаментозную терапию. При артрите голеностопного сустава показан режим с минимальной нагрузкой на стопу: полный покой или иммобилизация с помощью эластичной повязки, при ходьбе – пользование тростью; соблюдение диеты с исключением жирной, соленой, острой, копченой, консервированной пищи.
- Медикаментозная терапия. В рамках фармакотерапии применяются НПВС, анальгетики, глюкокортикостероиды (в виде внутрисуставных инъекций, периартикулярных блокад, системной терапии), антибактериальные препараты широкого спектра действия (при инфекционном генезе), витамины.
- Ортопедическая коррекция. Рекомендуется ношение ортопедических вставок в обувь («биопротезирование») или специально изготовленной обуви.
- Физиотерапия. При артрите голеностопного сустава вне обострения назначаются физиопроцедуры (УФО, лекарственный электрофорез, парафинолечение, грязелечение), массаж, лечебная гимнастика и санаторно-курортное лечение.
- Ортопедические операции. При гнойном артрите выполняется артроскопия с дренированием полости голеностопного сустава. При стойком рецидивирующем течении ревматоидного артрита показана артроскопическая синовэктомия. При тяжелых деформирующих формах заболевания требуется проведение артроскопического артродеза голеностопного сустава или эндопротезирования.
Прогноз и профилактика
Артрит голеностопного сустава склонен к длительному рецидивирующему течению. Прогноз определяется причиной развития артрита: при реактивной форме он более благоприятный; при ревматоидном и псориатическом поражении, приводящем к тяжелой деформации и потере двигательной активности голеностопного сустава, - более серьезный. Профилактика воспалительно-деструктивного поражения сустава включает коррекцию образа жизни, рациона питания, массы тела; отказ от вредных привычек, посильную двигательную активность, своевременное лечение инфекционных заболеваний и травм.
1. Технология лечения гнойных артритов голеностопного сустава/ Гражданов К.А., Барабаш А.П., Барабаш Ю.А., Кауц О.А., Зуев П.П.// Современные проблемы науки и образования. – 2018. – №3.
2. Артродез голеностопного сустава при ревматоидном артрите/ Федоров В.Г.// Научно-практическая ревматология. - 2011.
3. Микрофлора отделяемого ран при посттравматических гнойных артритах голеностопного сустава/ Рушай А.К., Щадько А.А., Шевченко В.Т., Бодаченко К.А. и др.// Травма. - 2012.
Ювенильный ревматоидный артрит ( Юношеский ревматоидный артрит )
Ювенильный ревматоидный артрит – это прогрессирующее деструктивно-воспалительное поражение суставов у детей, развившееся в возрасте до 16 лет и сочетающееся с внесуставной патологией. Суставная форма заболевания проявляется отеком, деформацией, контрактурой крупных и мелких суставов конечностей, шейного отдела позвоночника; системная форма сопровождается общими симптомами: высокой лихорадкой, полиморфной сыпью, генерализованной лимфаденопатией, гепатоспленомегалией, поражением сердца, легких, почек. Диагноз ювенильного ревматоидного артрита основан на данных клинической картины, лабораторного обследования, рентгенографии и пункции суставов. При ювенильном ревматоидном артрите назначаются НПВС, глюкокортикостероиды, иммунодепрессанты, ЛФК, массаж, физиопроцедуры.
Ювенильный (юношеский) ревматоидный артрит – диффузное заболевание соединительной ткани с преимущественным поражением суставов, развивающееся в детском и подростковом возрасте. Ювенильный ревматоидный артрит является самым распространенным заболеванием в детской ревматологии. Согласно статистике, он диагностируется у 0,05-0,6% юных пациентов во всем мире. Обычно патология проявляется не раньше двухлетнего возраста, при этом в 1,5-2 раза чаще встречается у девочек. Ювенильный ревматоидный артрит относится к инвалидизирующей ревматической патологии, часто приводит к потере трудоспособности уже в молодом возрасте.
Предположительно, к развитию ювенильного ревматоидного артрита приводит сочетание различных экзогенных и эндогенных повреждающих факторов и гиперчувствительность организма к их воздействию. Манифестации ювенильного ревматоидного артрита может способствовать:
- перенесенная острая инфекция, (чаще всего, вирусная, вызванная парвовирусом B19, вирусом Эпштейна-Барра, ретровирусами);
- травма суставов;
- инсоляция или переохлаждение;
- инъекции белковых препаратов.
Потенциально артритогенными стимулами могут выступать белки коллагена (типов II, IX, X, XI, олигомерный матриксный белок хряща, протеогликаны). Важную роль играет семейно-генетическая предрасположенность к развитию ревматической патологии (носительство определенных сублокусов HLA-антигенов).
Патогенез
Отмечается образование микроворсинок, лимфоидных инфильтратов, разрастаний грануляционной ткани (паннуса) и эрозий на поверхности суставного хряща, деструкция хряща и эпифизов костей, сужение суставной щели, атрофия мышечных волокон. Прогрессирующее фиброзно-склеротическое поражение суставов возникает у детей с серопозитивным и системным вариантом ювенильного ревматоидного артрита; приводит к необратимым изменениям в суставах, развитию подвывихов и вывихов, контрактур, фиброзного и костного анкилоза, ограничению функции суставов. Деструкция соединительной ткани и изменения в сосудах также проявляются в других органах и системах. Ювенильный ревматоидный артрит может протекать и при отсутствии ревматоидного фактора.
Ювенильный ревматоидный артрит - самостоятельная нозологическая единица, напоминающая ревматоидный артрит у взрослых, но отличающаяся от него по суставным и внесуставным проявлениям. Классификация американской коллегии ревматологов (AKP) выделяет 3 варианта ювенильного ревматоидного артрита:
- системный
- полиартикулярный
- олиго- (пауци-) артикулярный (типы I и II). На олигоартрит типа I приходится до 35-40% случаев заболевания, болеют в основном девочки, дебют - в возрасте до 4 лет. Олигоартрит типа II отмечается у 10-15% больных, в основном у мальчиков, начало – в возрасте старше 8 лет.
По иммунологическим характеристикам (наличию ревматоидного фактора) ювенильный ревматоидный артрит подразделяют на серопозитивный (РФ+) и серонегативный (РФ-). По клинико-анатомическим особенностям различают:
- суставную форму (с увеитом или без него) в виде полиартрита с поражением более 5 суставов или олигоартрита с поражением от 1 до 4-х суставов;
- суставно-висцеральную форму, включающую синдром Стилла, синдром Висслера-Фанкони (аллергосептический);
- форму с ограниченными висцеритами (поражением сердца, легких, васкулитом и полисерозитом).
Течение ювенильного ревматоидного артрита может быть медленно, умеренно или быстро прогрессирующим. Существует 4 степени активности ювенильного ревматоидного артрита (высокая - III, средняя - II, низкая – I, ремиссия – 0) и 4 класса заболевания (I–IV) в зависимости от степени нарушения функции суставов.
Симптомы ювенильного ревматоидного артрита
Суставная форма
В большинстве случаев ЮРА начинается остро или подостро. Острый дебют более характерен для генерализованной суставной и системной форм заболевания с рецидивирующим течением. При более распространенной суставной форме развивается моно-, олиго- или полиартрит, часто симметричного характера, с преимущественным вовлечением крупных суставов конечностей (коленных, лучезапястных, локтевых, голеностопных, тазобедренных), иногда и мелких суставов (2-го, 3-го пястно-фаланговых, проксимальных межфаланговых).
Возникают отечность, деформация и локальная гипертермия в области пораженных суставов, умеренная болезненность в покое и при движении, утренняя скованность (до 1 ч и более), ограничение подвижности, изменение походки. Маленькие дети становятся раздражительными, могут перестать ходить. Встречаются кистозные образования, грыжевые выпячивания в области пораженных суставов (например, киста подколенной ямки). Артрит мелких суставов рук приводит к веретенообразной деформации пальцев. При ювенильном ревматоидном артрите часто поражается шейный отдел позвоночника (боль и скованность в области шеи) и ВНЧС («птичья челюсть»). Поражение тазобедренных суставов развивается обычно на поздних стадиях заболевания.
Может отмечаться субфебрилитет, слабость, умеренная спленомегалия и лимфаденопатия, снижение массы тела, замедление роста, удлинение или укорочение конечностей. Суставная форма ювенильного ревматоидного артрита нередко сочетается с ревматоидным поражением глаз (увеитом, иридоциклитом), резким падением остроты зрения.
Ревматоидные узелки характерны для РФ-положительной полиартрической формы заболевания, возникающей у детей старшего возраста, имеющей более тяжелое течение, риск развития ревматоидного васкулита и синдрома Шегрена. РФ-отрицательный ювенильный ревматоидный артрит возникает в любом детском возрасте, имеет сравнительно легкое течение с редким образованием ревматоидных узелков.
Системная форма
Системная форма характеризуется выраженными внесуставными проявлениями: упорной фебрильной лихорадкой гектического характера, полиморфной сыпью на конечностях и туловище, генерализованной лимфаденопатией, гепатолиенальным синдромом, миокардитом, перикардитом, плевритом, гломерулонефритом.
Поражение суставов может проявиться в начальный период системного ювенильного ревматоидного артрита или спустя несколько месяцев, принимая при этом хроническое рецидивирующее течение. Синдром Стилла чаще наблюдается у детей дошкольного возраста, для него характерен полиартрит с поражением мелких суставов. Синдром Висслера-Фанкони обычно возникает в школьном возрасте и протекает с доминированием полиартрита крупных, в т. ч. тазобедренных суставов без выраженных деформаций.
Осложнения
Осложнениями ювенильного ревматоидного артрита являются вторичный амилоидоз почек, печени, миокарда, кишечника, синдром активации макрофагов с возможным летальным исходом, сердечно-легочная недостаточность, задержка роста. Олигоартрит типа I сопровождается хроническим иридоциклитом с риском потери зрения, олигоартрит типа II – спондилоартропатией. Прогрессирование ювенильного ревматоидного артрита приводит к стойкой деформации суставов с частичным или полным ограничением их подвижности и ранней инвалидизации.
Диагностика ювенильного ревматоидного артрита основана на данных анамнеза и осмотра ребенка детским ревматологом и детским офтальмологом, лабораторных исследований (Hb, СОЭ, наличие РФ, антинуклеарных антител), рентгенографии и МРТ суставов, пункции сустава (артроцентеза). Критериями ювенильного ревматоидного артрита являются:
- Дебют до 16 лет.
- Длительность заболевания свыше 6 недель.
- Наличие минимум 2-3-х признаков:
- симметричный полиартрит,
- деформации мелких суставов кистей,
- деструкция суставов,
- ревматоидные узелки,
- позитивность по РФ,
- положительные данные биопсии синовиальной оболочки,
- увеит.
Рентгенологическая стадия ювенильного ревматоидного артрита определяется по следующим признакам:
- I - эпифизарный остеопороз;
- II - эпифизарный остеопороз с сужением суставной щели, единичными краевыми дефектами (узурами);
- III - деструкция хряща и кости, многочисленные узуры, подвывихи суставов;
- IV - деструкция хряща и кости с фиброзным или костным анкилозом.
Дифференциальная диагностика проводится с ювенильным анкилозирующим спондилитом, ювенильным псориатическим артритом, реактивным и инфекционным артритом, болезнью Бехтерева, болезнью Рейтера, СКВ, воспалительными заболеваниями кишечника (болезнью Крона, болезнью Уиппла), опухолями костей, острым лейкозом.
Лечение ювенильного ревматоидного артрита
Лечение ЮРА длительное и комплексное, начинается сразу после установления диагноза. В период обострения ограничивается двигательная активность (исключаются бег, прыжки, активные игры), запрещается пребывание на солнце. В питании ограничения касаются соли, белков, углеводов и жиров животного происхождения, сладостей. Рекомендуется пища с высоким содержанием растительных жиров, кисломолочная продукция с низкой жирностью, фрукты, овощи, прием витаминов группы В, РР, С.
Медикаментозная терапия ювенильного ревматоидного артрита включает симптоматические (противовоспалительные) препараты быстрого действия и патогенетические (базисные) средства, физиотерапию:
- в острый период суставного синдрома назначаются НПВС (диклофенак, напроксен, нимесулид)
- при необходимости используют глюкокортикостероиды (преднизолон, бетаметазон) внутрь, местно и внутрисуставно или в виде пульс-терапии.
- назначают базисные препараты-иммунодепрессанты (метотрексат, сульфасалазин).
- важным компонентом терапии ювенильного ревматоидного артрита является ЛФК, массаж, физиопроцедуры (лекарственный фонофорез, грязевые, парафиновые, озокеритовые аппликации, УФО, лазеротерапия) и лечение природными факторами.
Комплексная терапия позволяет снизить потребность в симптоматических препаратах, предупредить прогрессирование, продлить ремиссию и улучшить прогноз ювенильного ревматоидного артрита. При выраженных деформациях суставов и развитии тяжелых анкилозов показано протезирование суставов.
Ювенильный ревматоидный артрит является пожизненным диагнозом. При адекватном лечении и регулярном наблюдении ревматолога возможна длительная ремиссия без выраженных деформаций и утраты функции суставов с удовлетворительным качеством жизни (учёба, работа по профессии). Риск обострения может сохраняться многие годы. Более неблагоприятный прогноз при раннем дебюте, непрерывно рецидивирующем течении, РФ+ полиартритной и системной формах ювенильного ревматоидного артрита, приводящих к развитию осложнений, выраженным ограничениям движений в суставах и инвалидизации.
Для профилактики обострений ювенильного ревматоидного артрита нужно избегать инсоляции, переохлаждения, смены климатического пояса, ограничить контакты с инфекционными больными, исключить профилактические прививки и прием иммуностимуляторов.
Читайте также:
- Психоневропатии при беременности. Влияние беременности на психику
- Позиционное клонирование многофакторного заболевания. Гены болезни Крона
- Сочетанные переломы лучевой и локтевой костей. Диагностика и лечение
- Регионарные морфологические дисплазии. Формы регионарных морфологических дисплазий
- Причины и классификация дуральных артериовенозных фистул (ДАВФ)
