Резекция внепросветных дивертикулов двенадцатиперстной кишки. Техника резекции дивертикулов.
Добавил пользователь Евгений Кузнецов Обновлено: 08.11.2025
клиническая больница №83 ФМБА России
лаборатория минимально инвазивной хирургии НИМСИ МГМСУ
Лапароскопическая дивертикулэктомия при кровотечении из дивертикула двенадцатиперстной кишки
Журнал: Эндоскопическая хирургия. 2019;25(2): 47‑51
Представлено клиническое наблюдение редко встречающегося осложнения дивертикула двенадцатиперстной кишки — желудочно-кишечного кровотечения. Наличие хорошо оснащенной современным хирургическим оборудованием операционной и соответствующий профессиональный опыт хирургов позволили в экстренном порядке выполнить радикальную операцию минимально инвазивным способом — лапароскопическую дивертикулэктомию.
Дивертикул (от лат. divertere — повернуть в сторону, отделиться) двенадцатиперстной кишки (12ПК) — мешковидное выпячивание в стенке данного органа. Впервые термин «дивертикул» официально предложил Ruysch в 1698 г., обозначив им грыжеподобное образование в стенке подвздошной кишки, хотя известно, что Hildanus описал подобное образование еще на 100 лет раньше [1].
Частота дуоденальных дивертикулов, по данным литературы, варьирует от 0,016 до 22%. Дивертикулы 12ПК встречаются у лиц разного возраста, однако чаще всего у лиц старше 50 лет. Частота заболеваемости в среднем одинакова как у мужчин, так и женщин. Чаще дивертикулы 12ПК бывают одиночными, но встречаются и множественные. Частота их сочетания с дивертикулами тонкой кишки составляет 3%, толстой — 9,2%, а всего желудочно-кишечного тракта — 1,5% случаев [2, 3].
Для дивертикулов 12ПК характерно бессимптомное течение, а выявляют их, как правило, в виде случайных находок при эзофагогастродуоденоскопии (ЭГДС) или рентгенологическом исследовании желудка и 12ПК. Клиническая картина возникает при больших размерах дивертикула (более 2—3 см) или при его осложнении [1].
Клиническое наблюдение
В отделение хирургии ФГБУ ФНКЦ ФМБА России 27.11.17 в экстренном порядке госпитализирована пациентка Л., 57 лет, с направительным диагнозом: язвенная болезнь 12ПК в стадии обострения, состоявшееся желудочно-кишечное кровотечение, постгеморрагическая анемия. При поступлении жалобы на общую слабость, ноющие боли в эпигастрии после приема пищи, снижение аппетита, изжогу, стул черного цвета в течение последних двух дней перед госпитализацией. Считает себя больной с мая 2017 г., когда появились указанные жалобы. В анамнезе отмечена язвенная болезнь 12ПК, по поводу которой периодически получала медикаментозное лечение, с 2015 г. наблюдается стойкая ремиссия, ЭГДС с этого момента не выполнялась. Оперативные вмешательства на органах брюшной стенки отрицает.
При поступлении состояние больной относительно удовлетворительное. Индекс массы тела 23 кг/м 2 . Кожные покровы бледные, доступные для пальпации лимфатические узлы не увеличены. Температура тела 36,8 °С. Дыхание везикулярное, проводится во все отделы грудной клетки, хрипов нет. Частота дыхательных движений 19 в минуту. Тоны сердца ритмичные, приглушеннные. Артериальное давление 125/80 мм рт.ст., пульс 72 удара в минуту. Язык влажный. Живот не вздут, мягкий, участвует в акте дыхания. При пальпации болезненный в эпигастральной области, симптомов раздражения брюшины нет. Перистальтика кишечника активная, равномерная. Печень не увеличена, селезенка и желчный пузырь не пальпируются. Симптом Пастернацкого отрицателен с обеих сторон. Мочеиспускание свободное, безболезненное. Стул оформленный, в течение двух дней перед поступлением темного цвета. При ректальном исследовании патологических новообразований прямой кишки не выявлено, сфинктер тоничен, ампула прямой кишки пустая, со следами кала черного цвета. В общем анализе крови отмечено снижение уровня гемоглобина до 92 г/л и уровня эритроцитов до 3,8·10 12 /л. Другие показатели лабораторных анализов (общего анализа мочи, биохимического анализа крови, коагулограммы) в пределах нормы. Помимо лабораторных анализов, в экстренном порядке выполнены электрокардиограмма (ЭКГ), ЭГДС и ультразвуковое исследование органов брюшной полости и малого таза, пациентка осмотрена гинекологом, терапевтом. ЭКГ: синусовый ритм, горизонтальное положение электрической оси сердца, признаки нагрузки на правое предсердие, изменения миокарда левого желудочка. УЗИ органов брюшной полости и малого таза: объемное полостное образование в области 12ПК, размером 7×5 см, сообщающееся с просветом 12ПК. Заключение: дивертикул 12ПК? При ЭГДС картина хронического гастрита, дуодено-гастрального рефлюкса. В 12ПК на границе ее перехода верхнегоризонтальной части в вертикальную, по переднебоковой стенке выявлен большой дивертикул, размером 7×4,5 см с признаками состоявшегося из него кровотечения. Полость дивертикула отмыта от пищевых масс и сгустков крови, продолжающегося кровотечения нет, однако полностью осмотреть стенки дивертикула не представилось возможным из-за его деформации и риска перфорации. Заключение: крупный дивертикул 12ПК, осложненный состоявшимся кровотечением (рис. 1). Рис. 1. Эндофото при выполнении ЭГДС, просвет двенадцатиперстной кишки и устье дивертикула (справа) после отмывания. При осмотре гинекологом выявлена миома матки малых размеров. В связи с отсутствием продолжающегося желудочно-кишечного кровотечения и стабильным состоянием больная госпитализирована в отделение хирургии для дообследования и определения тактики лечения. На рентгенограмме органов грудной клетки (27.11.18) патологии не выявлено. Рентгеноскопия желудка и 12ПК с пассажем бария (28.11.18): на границе перехода верхнегоризонтальной части в вертикальную определяется крупный дивертикул размером 7×5 см, эвакуация контраста из желудка своевременная, проходимость по 12ПК не нарушена (рис. 2). Рис. 2. Отсроченная рентгенограмма желудка и двенадцатиперстной кишки после пассажа бария, контрастированный дивертикул двенадцатиперстной кишки.
На фоне консервативной терапии состояние больной оставалось удовлетворительным, проводилась подготовка к плановому оперативному лечению — дивертикулэктомии, назначенной на 30.11.18. Однако накануне операции, 29.11.18 в 18 ч, наступило ухудшение общего состояния, появились рвота цвета кофейной гущи, общая слабость, бледность кожных покровов. Состояние пациентки расценено как рецидив кровотечения из дивертикула 12ПК. При экстренной ЭГДС подтвержден факт кровотечения из полости дивертикула 12ПК, осуществить эндоскопический гемостаз не представилось возможным из-за отсутствия визуализации источника кровотечения и опасности перфорации стенки дивертикула при попытке гемостаза. В связи с рецидивом кровотечения было принято решение выполнить экстренное оперативное вмешательство: лапароскопическую резекцию кровоточащего дивертикула 12ПК. На начало операции уровень гемоглобина 83 г/л, уровень эритроцитов 3,5·10 12 /л.
Под эндотрахеальным наркозом выполнена лапароскопия. Точки введения троакаров на передней брюшной стенке были следующими: 10 мм троакар под оптику в параумбиликальной области, 10 мм троакар в левом подреберье по переднеподмышечной линии и два 5 мм троакара в правой и левой мезогастральных областях по среднеключичным линиям. При осмотре органов брюшной полости выявлен дивертикул 12ПК размером 7×5 см, распо-лагающийся по переднебоковой стенке в области перехода верхнегоризонтальной части в вертикальную, в начальных отделах тощей кишки признаки наличия крови. Дивертикул мобилизован, выделен из сращений с 12ПК и желчным пузырем острым путем и с помощью аппарата — ультразвукового скальпеля HARMONIC, без вскрытия его просвета (рис. 3). Рис. 3. Этап лапароскопической мобилизации дивертикула двенадцатиперстной кишки. Шейка дивертикула шириной 3 см прошита линейным эндоскопическим артикуляционным аппаратом ЕС60А ECHELON с помощью синей кассеты (рис. 4), Рис. 4. Этап пересечения шейки дивертикула двенадцатиперстной кишки сшивающим аппаратом. препарат извлечен из брюшной полости с помощью ранорасширителя через 10 мм троакарный канал. Операция закончена дренированием брюшной полости одним дренажом через 5 мм троакарный канал в правой мезогастральной области и заведением в полость желудка назогастрального зонда для декомпрессии. Длительность операции сос-тавила 45 мин. При осмотре макропрепарата выявлено изъязвление одной из стенок дивертикула, явившееся источником кровотечения.
Послеоперационный период протекал без осложнений. Назогастральный зонд удален в 1-е сутки после операции, дренаж из брюшной полости — на 2-е сутки. При контрольном рентгенологическом исследовании желудка и 12ПК на 4-е сутки после операции затеков контрастного вещества за пределы 12ПК ее деформации не выявлено, проходимость 12ПК не нарушена. Выписана из стационара на 6-е сутки в удовлетворительном состоянии под амбулаторное наблюдение хирурга.
Патологоанатомическое исследование от 06.12.18: ткань, представленная слизистой основой 12ПК, местами с подлежащей узкой полоской из бруннеровых желез под мышечной пластинкой и подлежащей полоской подслизистой основы. Заключение: стенка дивертикула 12ПК.
Вопрос об этиологии и патогенезе дивертикулов 12ПК до настоящего времени остается еще не решенным: отмечается, что для возникновения дивертикула необходимы ослабление дуоденальной стенки, увеличение давления внутри кишки, тракция извне. Большинство авторов считают, что в стенке 12ПК имеются участки с врожденным дефектом в циркулярном и продольном мышечных слоях и что в результате стенка в этом месте постепенно становится слабой и провисает. Однако ограничиться признанием только врожденного дефекта трудно, так как дивертикулы в молодом возрасте крайне редки. Очевидно, что в образовании дивертикулов 12ПК играют роль как врожденные, так и приобретенные факторы [3].
На наш взгляд, для практических целей дивертикулы 12ПК следует разделять на первичные и вторичные, понимая под первичными те дивертикулы, этио-логия которых неясна, а под вторичными — возникшие в результате каких-либо известных причин, например операции. Так же как и другие авторы, считаем целесообразным выделение дивертикулов осложненных и неосложненных, так как это помогает определить необходимый в каждом конкретном случае вид лечения [3].
В большинстве случаев в дне дивертикула практически отсутствует мышечный слой, за исключением очень тонких одного или двух волокон. Слизистая оболочка истончена, но в большинстве случаев такая же, как и в кишке; отсутствуют лишь бруннеровы железы. Данный факт может приводить к развитию одного из известных осложнений — перфорации стенки дивертикула при выполнении ЭГДС или при резком повышении давления в просвете 12ПК [2].
Чаще всего дивертикулы располагаются в нисходящей части 12ПК (62—83%), причем большинство их находится на вогнутой или внутренней брыжеечной стороне 12ПК, ближе кзади, в тесной связи с головкой поджелудочной железы и общим желчным протоком. Такое расположение дивертикулов в нисходящей части в соседстве с описанными структурами очень важно с точки зрения возможных осложнений и особенностей хирургической техники. Пре-имущественная локализация дивертикулов на внутренней стенке средней трети нисходящей части 12ПК объясняется слабостью кишечной стенки в этой области из-за вхождения сосудов [3].
В приведенных в литературе сведениях о дивертикулах 12ПК отмечено, что характерной специфической клинической картины заболевания не существует [1, 4]. По симптоматике клиника дивертикулов 12ПК часто напоминает такие заболевания, как язвенная болезнь, холецистит, панкреатит.
Осложнения дивертикулов 12ПК могут быть вызваны патологическими изменениями в пределах самого дивертикула или в результате давления его на окружающие структуры. Наиболее часто встречаются следующие осложнения: воспалительные процессы (дивертикулиты, дуодениты, перидуодениты); неосложненные и осложненные (кровотечением, перфорацией) язвы; послевоспалительные и послеязвенные процессы (деформация, стенозы желчного и панкреатического протоков); опухоли (дивертикул может быть местом неопластических изменений, в литературе описано 6 случаев: 2 саркомы и 4 карциномы) [5].
Четких показаний к хирургическому лечению дивертикулов 12ПК в настоящее время нет, но абсолютным показанием являются угрожающие жизни осложнения (кровотечение, перфорация и развитие в дивертикуле злокачественной опухоли). В нашем случае информации, полученной при обследовании пациентки, оказалось достаточно, чтобы своевременно выполнить радикальное хирургическое лечение при возникшем кровотечении из стенки дивертикула 12ПК. Современное развитие хирургических технологий и соответствующий профессиональный опыт операционной бригады позволяют выполнять такие операции с помощью минимально инвазивных, лапароскопических методов.
Наибольшую сложность, на наш взгляд, представляет адекватная мобилизация дивертикула до его шейки с обязательным наложением сшивающих скрепочных швов на неизмененные края стенок 12ПК. Это необходимо для предупреждения рецидива заболевания в случае оставления большой культи резецированного дивертикула и для исключения несостоятельности швов в случае прошивания лишь одной истонченной стенки дивертикула, без захвата стенок 12ПК. Если это сделать не удается по каким-либо причинам, то необходимо дополнительно погрузить скрепочные швы непрерывным или отдельными узловыми серозно-мышечными швами, накладываемыми в поперечном к оси кишки направлении. При выполнении дивертикулэктомии необходим постоянный контроль за проходимостью 12ПК в зоне прошивания сшивающим аппаратом или ручного наложения швов. Для этой цели рекомендуем предварительное введение толстого (1,5—2,0 см) желудочного зонда дистальнее предполагаемого места прошивания или наложения швов.
Считаем, что больные с дивертикулами 12ПК должны находиться на диспансерном учете с периодическим (не менее 1 раза в год) рентгенологическим исследованием желудка и 12ПК. Это позволит свое-временно выявлять присоединяющиеся осложнения, оценивать динамику увеличения дивертикула и при первых признаках дивертикулита назначать соответствующее лечение.
Резекция внепросветных дивертикулов двенадцатиперстной кишки. Техника резекции дивертикулов.
Лечение дуоденальных дивертикулов. Осложнения дуоденальных дивертикулов.
Количество осложнений и летальных исходов при хирургическом лечении внепросветных дивертикулов двенадцатиперстной кишки велико. Этому способствуют факторы, перечисленные ниже:
1. Локализация дивертикулов. 70% внепросветных дивертикулов двенадцатиперстной кишки расположены не далее 2 см от большого дуоденального сосочка (перипапиллярные дивертикулы), где очень трудно оперировать и велик риск развития осложнений, среди которых чаще всего встречаются боковой дуоденальный свищ или повреждение дуоденального сосочка.
2. Важным фактором, ухудшающим прогноз заболевания, является отсутствие диагноза до операции, а также неустановленная взаимосвязь малого дуоденального сосочка с общим желчным протоком. Общий желчный проток следует катетеризировать, а взаимоотношения между дивертикулом и сосочком устанавливать до начала рассечения дивертикула. Рассечение перипапиллярного дивертикула двенадцатиперстной кишки может привести к непоправимому повреждению без дальнейшей перспективы хирургической коррекции дефекта, так как структуры внепросветного дивертикула очень слабые.
3. Хирургические вмешательства по поводу внепросветных дуоденальных дивертикулов предпринимаются редко, поэтому хирурги не имеют достаточного опыта выполнения этих операций.

4. В хирургических атласах описано не так уж много деталей оперативной техники, используемых при лечении внепросветных дивертикулов. В свою очередь, выбор метода операции зависит от локализации, клинической картины заболевания (острый или хронический процесс), наличия ятрогенной перфорации дивертикула и др. Все это препятствует изучению начинающими хирургами существующих методов операций, которые могут оказаться необходимыми в экстренных случаях.
Выбор метода хирургической операции зависит от локализации дивертикула, его связи с сосочком, наличия острого или хронического процесса и т.д. Во избежание путаницы при изложении техники операций, используемых для лечения внепросветных дуоденальных дивертикулов, мы опишем их в следующем порядке:
a. Резекция внепросветных перипапиллярных дивертикулов нисходящей части двенадцатиперстной кишки, выполняемая снаружи просвета двенадцатиперстной кишки, при клинической картине хронического заболевания.
b. Резекция перипапиллярных дивертикулов нисходящей части двенадцатиперстной кишки, выполняемая изнутри просвета двенадцатиперстной кишки, при клинической картине хронического заболевания.
c. Хирургическое лечение внепросветных дивертикулов нисходящей части двенадцатиперстной кишки при клинической картине острой патологии (острый перфоративный дивертикулкт).
d. Техника операции при ятрогенной перфорации перипапиллярного дивертикула во время инструментального исследования общего желчного протока при желчнокаменной болезни.
e. Резекция внепросветных дивертикулов нижней горизонтальной части двенадцатиперстной кишки при клинической картине хронического заболевания.
f. Лечение внепросветных дивертикулов нижней горизонтальной части двенадцатиперстной кишки при клинической картине острого процесса (острый перфоративный дивертикулит).
Информация на сайте подлежит консультации лечащим врачом и не заменяет очной консультации с ним.
См. подробнее в пользовательском соглашении.
Дуоденальные дивертикулы совмещенные с протоками. Лечение дивертикулов с протоками.
Впадение общего желчного и панкреатического протоков в дивертикул двенадцатиперстной кишки, поданным многочисленных публикаций, появившихся в последние годы, встречается не так уж редко. Развитие рентгенологических методов исследования, а также более частое использование интраоперационной и послеоперационной холангиографии, так же как и чрескожной чреспеченочной холангиографии и ретроградной эндоскопической холангиографии позволило подтвердить сравнительно высокую распространенность этой патологии. Willox и Costopouls опубликовали 18 случаев за 8 лет, в 8 из которых пациентам ранее выполнялись операции на желчевыводягщих путях.
Наличие дивертикулов двенадцатиперстной кишки, в которые впадают общий желчный и панкреатический протоки, может приводить к застою и инфицированию желчи, что, в свою очередь, может явиться причиной патологии желчевыводящей системы и поджелудочной железы. Эти патологические изменения могут остаться незамеченными, до тех пор пока не разовьются осложнения со стороны желчевыводящих путей или поджелудочной железы, требующие выполнения холангиографии. Это исследование необходимо выполнять по определенной методике, особенно при наличии дуоденального дивертикула, в который открываются панкреатический или общий желчный протоки, или в случаях, когда изображение дистальной части общего желчного протока накладывается на изображение перипапиллярного дуоденального дивертикула.
Для четкой визуализации этих структур следует повернуть больного таким образом, чтобы эти изображения не накладывались друг на друга, и пх можно бьшо ясно различить. Обнаружив дуоденальный дивертикул, в который впадают общий желчный и панкреатический протоки, хирург должен иметь ввиду следующие возможные ситуации.

1. При интраоперационной холангиографии во время хирургического вмешательства по поводу желчнокаменной болезни выявлен дуоденальный дивертикул, в который впадают общий желчный и панкреатический протоки, не содержащие конкрементов, причем пассаж рентгенконтрастного вещества в даенадцатиперстную кишку не нарушен. В этом случае нет необходимости выполнять какую-либо хирургическую манипуляцию, а следует закончить операцию.
2. Если у пациента с желчнокаменной болезнью при интраоперационной холангиографии выявлены конкременты в общем желчном протоке, необходимо выполнить холедохотомию, удалить конкременты и закончить операцию контрольной холангиографией. Если холангпография подтверждает, что все камни удалены и, что рентгенконтрастное вещество свободно поступает в двенадцатиперстную кишку, операцию можно закончить, оставив в общем желчном протоке Т-образную трубку.
3. Пациент с желчнокаменной болезнью и камнями в общем желчном протоке может иметь также дивертикул двенадцатиперстной кишки с содержащимися в нем конкрементами. Если конкременты дивертикула можно удалить с помощью холедохотомии, то нет необходимости выполнять другое хирургическое вмешательство.
4. Пациент с желчнокаменной болезнью может иметь камни в дуоденальном дивертикуле, которые невозможно удалить путем холедохотомии. В данной ситуации необходимо выполнить дуоденотомию, рассечь дивертикул и удалить конкременты с подшиванием дивертикула к стенке двенадцатиперстной кишки. Операцию заканчивают, оставляя в общем желчном протоке Т-образную трубку.
Некоторые авторы рекомендуют выполнять резекцию дуоденального дивертикула с имплантацией фатерова сосочка в стенку двенадцатиперстной кишки. Автор уверен, что данная операция, не будучи необходимой, трудна в исполнении и имеет большой риск серьезных послеоперационных осложнений, которые ухудшают прогноз заболевания и повышают летальность.
Следует провести четкое различие между дивертикулами двенадцатиперстной кишки, в которые открываются общий желчный и панкреатический протоки и дивертикулоподобными расширениями дистальной части общего желчного протока. Дивертикул оподобные расширения дистального отдела общего желчного протока образуются при вклинении конкрементов в препапиллярном отделе общего желчного протока. Наличие вколоченных конкрементов дивертикулоподобного расширения общего желчного протока приводит к выпячиванию стенки двенадцатиперстной кишки в ее просвет. Эти камни очень трудно удалить путем сфинктеротомии сфинктера Oddi. Обычно разрез выполняют в месте выбухания стенки расширенного общего желчного протока, удаляют конкременты, а затем подшивают стенку расширенного общего желчного протока к внутренней стенке двенадцатиперстной кишки.
- Вернуться в оглавление раздела "Неотложная хирургия."
Внепросветные дивертикулы нисходящей части двенадцатиперстной кишки могут развиваться позади поджелудочной железы, как изображено на рисунке.
Реже внепросветные дивертикулы нисходящей части двенадцатиперстной кишки развиваются впереди поджелудочной железы, как показано на рисунке.
В некоторых случаях внепросветные дивертикулы могут развиваться внутри паренхимы поджелудочной железы, как изображено на рисунке. Независимо от того, в каком направлении развиваются дивертикулы, они могут вызвать сдавление общего желчного протока или протока поджелудочной железы, что приводит к таким осложнениям, как желтуха, панкреатит, инфекция и др.
Перед выделением дивертикула необходимо установить его точную локализацию и взаимоотношения сфатеровым сосочком. Это можно сделать до операции и уточнить во время нее. Весьма целесообразно использовать интраоперационную холецистохолангиографию путем пункции желчного пузыря. Затем выполняют мобилизацию двенадцатиперстной кишки и головки поджелудочной железы по Vautrin-Kocher. Мобилизация по Vautnn-Kocher должна быть широкой, с рассечением брюшины у наружного края двенадцатиперстной кишки, причем не только в нисходящей, но также и в верхней горизонтальной части, а также по наружному сегменту нижней горизонтальной части до линии верхней брыжеечной артерии, как показано на рисунке. Затем производят небольшой поперечный разрез на общем желчном протоке, через который вводят резиновый зонд с оливообразным концом

Начато выделение дивертикула. Второй ассистент отодвигает нисходящую часть двенадцатиперстной кишки влево обеими руками или с помощью двух зажимов Babcock. Выделение дивертикула начинают с внутренней поверхности двенадцатиперстной кишки на уровне фатерова сосочка. Некоторые дивертикулы могут быть втянутыми и покрытыми фиброзной тканью, что затрудняет их нахождение. Для облегчения поиска можно использовать прием Mahomer. Для выполнения этого приема в двенадцатиперстную кишку вводят назогастральныи зонд Levine, нижнюю горизонтальную часть двенадцатиперстной кишки пережимают атравматическим зажимом. Затем нагнетают воздух через назогастральныи зонд. Воздух наполняет дивертикул, облегчая его идентификацию.
Как только дивертикул найден, его захватывают зажимом Babcock и осторожно оттягивают, стараясь не повредить, поскольку стенки его очень слабые, лишенные мышечной оболочки.
Продолжают выделение дивертикула, показывая, что его размер значительно больше, чем казалось в начале препарирования.
Дивертикул освобожден до шейки, где две нитки проведены для растяжения его в противоположных направлениях и удержания слизистого слоя шейки дивертикула от попадания в просвет двенадцатиперстной кишки. Ножницами рассекают дно и тело дивертикула на две половины. Слизистую оболочку шейки дивертикула рассекают после обнаружения катетеризированного фатерова сосочка. Рассечение дивертикула на две половины выполняют для точного установления локализации сосочка и его взаимоотношений с дивертикулом.

После идентификации дуоденального сосочка шейку дивертикула пересекают ножницами. Продолжают удерживать слизистую шейки дивертикула от внедрения в просвет двенадцатиперстной кишки. В случае попадания слизистой шейки в просвет двенадцатиперстной кишки может развиться несостоятельность швов краев шейки дивертикула с последующим развитием послеоперационного бокового дуоденального свища.
Растягивание нитей, проведенных через слизистую шейки дивертикула, позволяет хорошо видеть катетеризированный сосочек.
Прежде чем начать ушивание слизистой двенадцатиперстной кишки, удаляют нижний и верхний швы-держалки. Оставляют только боковые нити, которые облегчают поперечное ушивание слизистой двенадцатиперстной кишки узловыми рассасывающимися швами.
Слизистую оболочку двенадцатиперстной кишки ушивают узловыми рассасывающимися швами, оставляя узлы внутри просвета кишки. Очень важно правильно ушить слизистую оболочку и подслизистую основу двенадцатиперстной кишки.

После ушивания слизистого слоя накладывают узловые нерассасывающиеся швы на серозно-мышечный слой. В общий желчный проток вводят тонкую Т-образную трубку для частичного отведения желчи наружу. Поперечная холедохотомия, при дренировании протока тонким Т-образным дренажом и нормальном диаметре желчных протоков, крайне редко осложняется развитием послеоперационной стриктуры. Если дуоденальный дивертикул располагается на значительном расстоянии от фатерова сосочка, резецировать его проще и безопаснее.
Открыта нисходящая часть двенадцатиперстной кишки. Края двенадцатиперстной кишки захвачены треугольными атравматическими зажимами Duval, которые одновременно используются для временной остановки кровотечения из стенки двенадцатиперстной кишки. Кроме того, с их помощью можно растянуть края разреза для лучшего осмотра просвета двенадцатиперстной кишки. Общий желчный проток катетеризирован. Устье дивертикула располагается немного выше фатерова сосочка, в непосредственной близости от него.
Зажим Allis или Babcock введен через вход в просвет дивертикула. Дно дивертикула, состоящее из слизистого и подслизистого слоев, захвачено зажимом. Подтягиванием за зажим дивертикул частично выведен наружу.

Дивертикул полностью выведен наружу. Можно видеть взаимоотношения между шейкой дивертикула и фатеровым сосочком. На слизистую оболочку шейки дивертикула наложены два шва-держалки. Выше этих швов дивертикул пересекают ножницами.
А. Дивертикул резецирован. Слизистая на уровне шейки дивертикула растянута двумя швами-держалками в противоположных направлениях. В. Показано проведение иглы для наложения первого серозно-мышечного нерассасывающегося шва. С. Серозно-мышечный слой полностью ушит. D. Завершив ушивание серозно-мышечного слоя, накладывают рассасывающиеся швы на слизистую оболочку. После закрытия входа в дивертикул дуоденотомическое отверстие ушивают узловыми швами в два слоя. Для слизистого и подслизистого слоя используют рассасывающийся шовный материал, для серозно-мышечного слоя — нерассасывающиися. Завершив ушивание двенадцатиперстной кишки, в общий желчный проток помещают тонкий Т-образный дренаж, фиксируя его двумя швами из хромированного кетгута 3-0.
Современные эндоскопические технологии восстановления адекватного пассажа желчи позволяют значительно улучшить результаты лечения больных осложненной желчнокаменной болезнью. Успех и безопасность эндоскопических чреспапиллярных вмешательств определяются сочетанием различных объективных и субъективных факторов, в том числе таких, как условия выполнения манипуляции, опыт специалиста, материально-техническая оснащенность. Анализ литературы позволил прийти к выводу, что одной из главных причин трудностей и неудач большинства чреспапиллярных вмешательств являются проблемы, связанные с невозможностью канюляции большого сосочка двенадцатиперстной кишки (БСДК) при анатомических изменениях стенки двенадцатиперстной кишки (ДПК) с формированием парапапиллярных дивертикулов [1, 7, 23].
В настоящее время большинство исследователей пришли к единому мнению относительно этиопатогенеза формирования парапапиллярных дивертикулов и связывают их образование с анатомической слабостью мышечной стенки ДПК. По их мнению, дивертикулы такой локализации являются ложными и образуются при разрыве мышечного слоя как результат действия внутрикишечного давления на фоне инволюции тканей и особенностей строения этой зоны [6, 14, 21]. Парапапиллярные дивертикулы выявляются в среднем в 7,1—25% наблюдений, при этом, по сведениям некоторых авторов, у пожилых людей этот показатель может достигать более 50% [10, 12, 15]. Доказано, что формирование дивертикулов опосредованно может быть одной из причин желчнокаменной болезни вследствие хронического дивертикулита и папиллита БСДК, дисфункции сфинктера Одди с нарушением оттока желчи и явлениями внутрипеченочного перихолангита. Эти данные подтверждаются общемировой статистикой, свидетельствующей о 5-кратном увеличении частоты первичного и рецидивного холедохолитиаза, в том числе после эндоскопического лечения, у больных с выявленными парапапиллярными дивертикулами [11, 22].
К сожалению, при анализе литературы нам значительно реже встречались данные об эффективности эндоскопических методов лечения холедохолитиаза у больных этой группы. Определенный разброс в результатах лечения, по нашему мнению, может быть связан с разной интерпретацией понятий успешности и эффективности разными авторами. Так, одни считают успехом катетеризацию, контрастирование и чреспапиллярное дренирующее вмешательство, другие — только полную эндоскопическую литоэкстракцию. Однако практически все исследователи при описании своих неудач и наблюдавшихся осложнений ссылаются на парапапиллярные дивертикулы как на одну из их причин [2, 8, 24].
Ряд авторов отмечают, что чреспапиллярная хирургия при наличии парапапиллярных дивертикулов может сопровождаться определенными техническими трудностями, повышать травматичность операций и количество осложнений, что до сих пор вынуждает некоторых коллег отказываться от применения эндоскопических вмешательств как первичного метода лечения холедохолитиаза [9, 13, 17]. Сложности могут быть связаны прежде всего с визуализацией устья БСДК и затруднениями при манипуляционном доступе к протоковым системам, а также с высоким риском перфорации задней стенки ДПК при выполнении папиллосфинктеротомии и тракции конкрементов из-за отсутствия мышечного слоя.
Кроме того, в последние годы с более широким внедрением в практику баллонной дилатации, колпачок-ассистированных манипуляций [20], методики «рандеву» с применением комбинации антеградных и ретроградных методов лечения, а также интервенционных вмешательств под контролем эндосонографии [4, 5, 16, 18—20] многие авторы не видят противопоказаний к выполнению вмешательства при любой локализации БСДК относительно дивертикула.
Различное отношение авторов к выполнению чреспапиллярных вмешательств, в том числе эндоскопической папиллосфинктеротомии и механической литоэкстракции, при формировании парапапиллярных дивертикулов подтверждает тот факт, что эта проблема до сих пор актуальна.
Цель исследования — оценить эффективность эндоскопических чреспапиллярных методов лечения больных холедохолитиазом при наличии парапапиллярных дивертикулов ДПК и оптимизировать алгоритм выбора методик лечения.
Материал и методы
Проанализирован опыт чреспапиллярных вмешательств у 2516 пациентов с подозрением на холедохолитиаз, находившихся на лечении в ККБ № 1 им. С.В. Очаповского с 2010 по 2015 г. У 423 (16,8%) больных, в том числе 121 (28,6%) мужчины и 302 (71,4%) женщин, при выполнении дуоденоскопии были выявлены дивертикулярные изменения медиальной стенки нисходящей части ДПК. Основными показаниями к проведению вмешательств были клинические и ультразвуковые признаки холедохолитиаза и других осложнений желчнокаменной болезни. Механическая желтуха была выявлена у 288 (68,1%) больных, причем только у 96 (22,7%) пациентов уровень билирубина превышал 100 мкмоль/л. Во время эндоскопического исследования особое внимание обращали на анатомические взаимоотношения БСДК, продольной складки ДПК и дивертикула, так как руководствовались классификацией, предложенной И.В. Громовой и соавт. [3], в основе которой лежит взаимозависимость их расположения (рис. 1).

Рис. 1. Типы парапапиллярных дивертикулов по классификации И.В. Громовой и соавт.
В 65 (15,4%) наблюдениях нами был выявлен I тип дивертикулов, при котором БСДК располагается в полости дивертикула, в 17 (4%) — II тип — БСДК располагается между двух дивертикулов, у 124 (29,3%) — III тип — БСДК располагается в области шейки дивертикула или за его пределами, при этом продольная складка ДПК переходит на стенку дивертикула, у 145 (34,3%) — IV тип — устье БСДК и продольная складка ДПК располагаются в области шейки дивертикула, у 72 (17%) — V тип — БСДК и продольная складка ДПК находятся за пределами дивертикула и его шейки.
Все вмешательства выполняли под медикаментозной седацией. В сложных ситуациях для поиска БСДК использовали такие приемы, как пальпация и перемещение инструментом слизистой устья дивертикула, частичное заведение эндоскопа в просвет дивертикула, при наличии наружного дренажа использовали метод искусственной билиарной гипертензии, пробу с введением окрашенного раствора или методику «рандеву» с захватом струны.
У всех больных с обнаруженными дивертикулами папиллярной зоны ДПК, используя катетеры различной формы и диаметра, предпринимали попытку канюляции общего желчного протока и выполняли холангиографию. При наличии парапапиллярного дивертикула считаем необходимым производить ретроградные вмешательства с применением гидрофильных струн, что значительно облегчает процесс заведения инструментария в протоки и выполнения различных вмешательств. Техника эндоскопической папиллосфинктеротомии при наличии парапапиллярного дивертикула существенно не отличается от общепринятой, и основным фактором, предрасполагающим к безопасной и адекватной папиллотомии, является четкая визуализация и направление разреза по середине продольной складки ДПК. Селективная канюляционная папиллосфинктеротомия выполнена в 199 наблюдениях.
По нашему мнению, продолжительность и количество попыток канюляции протоковых систем должны быть сугубо индивидуальными и зависеть от таких факторов, как размер и локализация ампулы БСДК, а также продольной складки, варианты угла канюляции БСДК, выраженность анатомических изменений и деформаций медиальной стенки нисходящей ветви ДПК, степени нарушений системы гемостаза и т. д. В некоторых ситуациях с целью доступа к желчевыводящим протокам мы отдаем предпочтение атипичной папиллосфинктеротомии методом послойного предрассечения как от устья, так и к устью во избежание развития отека в зоне БСДК и нарушения дифференцировки в тканях при длительных канюляциях. При безуспешных попытках канюляции желчных протоков у 158 больных мы применяли атипичную папиллосфинктеротомию, причем в 140 наблюдениях после получения доступа к билиарному тракту уже канюляционным способом выполняли дополнительное рассечение, достаточное для литоэкстракции. Следует отметить, что в некоторых наблюдениях, особенно у пациентов с парапапиллярными дивертикулами III типа, атипичная папиллосфинктеротомия может приводить к инвагинации устья БСДК в просвет дивертикула, что значительно затрудняет дальнейшие вмешательства.
В 32 наблюдениях папиллосфинктеротомия была произведена в анамнезе, что не потребовало дорассечения на большую длину. Мы обладаем также опытом выполнения баллонной дилатации БСДК — 18 наблюдений (рис. 2). Показания к баллонной дилатации ставили при невозможности адекватной папиллосфинктеротомии для выполнения литоэкстракции и при наличии высокого риска перфорации стенки ДПК.

Рис. 2. Основные этапы доступа к общему желчному протоку с выполнением канюляционной папиллосфинктеротомии и баллонной дилатации.
С целью профилактики развития острого панкреатита мы сводили к минимуму катетеризацию и контрастирование панкреатического протока, при папиллосфинктеротомии применяли только режим Cut, а также всем больным проводили медикаментозную терапию в пред- и послеоперационном периоде.
Результаты и обсуждение
Наладить транспапиллярное желчеотведение удалось у 407 (96,2%) из 423 больных. В большинстве наблюдений — в 395 (93,4%) — мы выполнили полную литоэкстракцию корзинками Дормиа, причем только в 21 был применен механический литотриптор. У 352 (83,2%) больных нам удалось достичь оптимальной длины разреза и выполнить полную литоэкстракцию в один этап, в остальных наблюдениях требовалось проведение нескольких этапов эндоскопического лечения. В 12 (2,9%) наблюдениях по различным причинам нам не удалось выполнить полную механическую литоэкстракцию, однако с целью декомпрессии желчевыводящих протоков в 3 наблюдениях мы произвели их стентирование, в 9 — назобилиарное дренирование.
Следует отметить частое возникновение некоторых сложностей в интерпретации холангиограмм при наличии парапапиллярного дивертикула, что связано в первую очередь с невозможностью детальной оценки терминального отдела общего желчного протока из-за депо-тени контрастного вещества в полости дивертикула. Для объективной оценки дистального отдела общего желчного протока мы применяем метод аспирации контрастного вещества и инсуффлированного газа из полости дивертикула или используем специальные, запатентованные нами оригинальные катетеры для эндоскопической катетеризации и контрастирования желчных протоков (патент № 2459641 от 27.08.12).
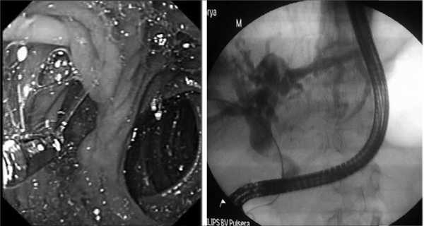
Применение методики «рандеву» (рис. 3) с низведением струны-направителя через наружную холангиостому в просвет ДПК и выполнением чреспапиллярного инструментального доступа к желчным протокам с помощью заведенной струны позволило провести окончательное малоинвазивное лечение 5 больных холедохолитиазом с наличием парапапиллярных дивертикулов I и IV типов.

Рис. 3. Доступ к желчевыводящим протокам с помощью методики «рандеву».
В 16 (3,8%) наблюдениях эндоскопические методы лечения холедохолитиаза оказались безрезультатными из-за невозможности визуализации БСДК или канюляции желчных протоков, а также выполнения чреспапиллярного дренирующего вмешательства при крупных фиксированных конкрементах общего желчного протока. В основном это были больные с одиночным крупным дивертикулом диаметром более 2 см и узким устьем. При наличии широкого устья в 3 наблюдениях попытки эндоскопического лечения с частичным заведением эндоскопа в просвет дивертикула оказались успешными (рис. 4).

Рис. 4. Доступ к желчевыводящим протокам с частичным заведением дуоденоскопа в просвет дивертикула.
В таблице можно проследить распределение причин неудач эндоскопического лечения в зависимости от типа выявленных дивертикулов.

Эффективность эндоскопического лечения больных холедохолитиазом с дивертикулярными изменениями парапапиллярной области
Из осложнений ретроградных вмешательств кровотечения в большинстве наблюдений не имели угрожающего характера, однако у 6 (1,5%) больных выполняли повторный эндоскопический гемостаз, который был безуспешен у 2 пациенток с активным кровотечением из ампулы БСДК с формированием парапапиллярного дивертикула I типа, что потребовало лапаротомии. Тяжелый острый панкреатит в послеоперационном периоде возник в 4 (1%) наблюдениях, в одном из которых закончился летальным исходом. Инфекционные осложнения в виде прогрессирования явлений холангита мы наблюдали у 8 (2%) больных, во всех наблюдениях их удавалось купировать путем ретроградного или антеградного дренирования желчевыводящих протоков. Перфораций стенки ДПК во время эндоскопических вмешательств в этой группе больных не отмечалось. Общая госпитальная летальность в анализируемой группе составила 0,7%.
Таким образом, по нашим данным, парапапиллярные дивертикулы двенадцатиперстной кишки были выявлены у 16,8% больных холедохолитиазом. По нашему мнению, лечебные эндоскопические вмешательства необходимо пытаться выполнять при любом расположении большого сосочка двенадцатиперстной кишки относительно дивертикула, так как частота осложнений эндоскопических манипуляций не превышает частоты осложнений в целом. Проблема заключается лишь в успешной визуализации большого сосочка двенадцатиперстной кишки, установлении анатомических взаимоотношений протоков со стенками дивертикула и кишки, а также соблюдении основных методических и технических правил выполнения вмешательств с широким применением струн-проводников, баллонных дилататоров и литоэкстракторов, механических литотриптеров и другого современного эндоскопического инструментария.
Не следует отрицать, что другим фактором, предрасполагающим к успеху лечения, является опыт специалиста, выполняющего вмешательство. Как следует из собственного опыта, механическая литоэкстракция даже крупных конкрементов у большинства пациентов с дивертикулами папиллярной зоны технически проще ввиду анатомических особенностей взаимоотношения дистального отдела желчного протока и стенки двенадцатиперстной кишки. Необходимо помнить, что эндоскопические чреспапиллярные вмешательства при формировании парапапиллярных дивертикулов могут быть опасны из-за возможных тяжелых осложнений с высокой частотой неблагоприятных исходов.
Читайте также:
- Деревянистый конъюнктивит (хронический псевдомембранозный конъюнктивит): признаки, гистология, лечение, прогноз
- Профилактика и лечение инфекционных осложнений острого лейкоза. Лечение инфекций при лейкозе
- Думающий и Доказывающий - о чем подумаешь, то и докажешь
- Кэпирующие белки в регуляции длины актиновых филаментов
- Иглорефлекотерапия в наркологии. Механизм действия акупунктуры при алкоголизме
