Секреторные нейроны. Нейроглия. Функции и состав нейроглии.
Добавил пользователь Евгений Кузнецов Обновлено: 29.01.2026
Центральная нервная система (ЦНС) - это комплекс различных образований спинного и головного мозга, которые обеспечивают восприятие, переработку, хранение и воспроизведение информации, а также формирование адекватных реакций организма на изменения внешней и внутренней среды.
Структурным и функциональным элементом ЦНС являются нейроны. Это высокоспециализированные клетки организма, чрезвычайно различающиеся по своему строению и функциям. В ЦНС нет двух одинаковых нейронов. Мозг человека содержит 25 млрд. нейронов. В общем плане, все нейроны имеют тело - сому и отростки - дендриты и аксоны. Точной классификации нейронов нет. Но их условно разделяют по структуре и функциям на следующие группы:
1. По форме тела:
2. По количеству и характеру отростков:
а. Униполярные - имеющие один отросток
б. Псевдоуниполярные - от тела отходит один отросток, который затем делится на 2 ветви.
в. Биполярные - 2 отростка, один дендритоподобный, другой аксон.
г. Мультиполярные - имеют 1 аксон и много дендритов.
3. По медиатору, выделяемому нейроном в синапсе:
г. Пептидергические и т.д.
а. Афферентные или чувствительные. Служат для восприятия сигналов из внешней и внутренней среды и передачи их в ЦНС.
б. Вставочные или интернейроны, промежуточные. Обеспечивают переработку, хранение и передачу информации к эфферентным нейронам. Их в ЦНС большинство.
в. Эфферентные или двигательные. Формируют управляющие сигналы, и передают их к периферическим нейронам и исполнительным органам.
5. По физиологической роли:
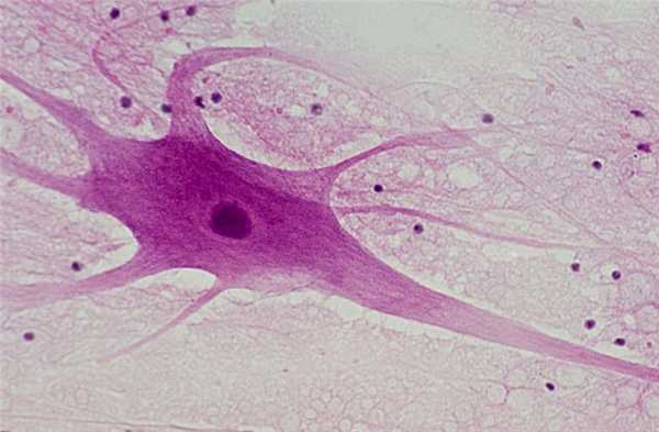
Сома нейронов покрыта многослойной мембраной, обеспечивающей проведение ПД к начальному сегменту аксона - аксонному холмику. В соме расположено ядро, аппарат Гольджи, митохондрии, рибосомы. В рибосомах синтезируют тигроид, содержащий РНК и необходимый для синтеза белков. Особую роль играют микротрубочки и тонкие нити - нейрофиламенты. Они имеются в соме и отростках. Обеспечивают транспорт веществ от сомы по отросткам и обратно. Кроме того, за счет нейрофиламентов происходит движение отростков. На дендритах имеются выступы для синапсов - шипики, через которые в нейрон поступает информация. По аксонам сигнал идет к другим нейронам или исполнительным органам.
Таким образом, общими функциями нейронов ЦНС являются прием, кодирование, хранение информации и выработка нейромедиатора. Нейроны, с помощью многочисленных синапсов, получают сигналы в виде постсинаптических потенциалов. Затем перерабатывают эту информацию и формируют определенную ответную реакцию. Следовательно они выполняют и интегративную т.е. объединительную функцию.
Кроме нейронов в ЦНС имеются клетки нейроглии. Размеры глиальных клеток меньше чем нейронов, но составляют 10% объема мозга. В зависимости от размеров и количества отростков выделяют астроциты, олигодендроциты, микроглиоциты. Нейроны и глиальные клетки разделены узкой (20 нМ) межклеточной щелью. Эти щели соединяются между собой и образуют внеклеточное пространство мозга, заполненное интерстициальной жидкостью. За счет этого пространства нейроны и глионы обеспечиваются кислородом, питательными веществами. Глиальные клетки ритмически увеличиваются и уменьшаются с частотой несколько колебаний в час. Это способствует току аксоплазмы по аксонам и продвижению межклеточной жидкости. Таким образом глионы служат опорным аппаратом ЦНС, обеспечивают обменные процессы в нейронах, поглощают избыток нейромедиаторов и продукты их распада. Предполагают, что глия участвует в формирование условных рефлексов и памяти.
Секреторные нейроны. Нейроглия. Функции и состав нейроглии.
Секреторные нейроны. В некоторых ядрах переднего гипоталамуса головного мозга (например, в супраоптических и паравентрикулярных) имеются клеточные системы, состоящие из специализированных нейронов — крупных секреторных нейронов.
Последним присущи типичные для нейронов органеллы. Они подвергаются воздействию других нейронов через синаптические контакты. Однако их ответы наряду с деполяризацией мембран и освобождением нейромедиатора включают также выделение в кровь или тканевые жидкости пептидных нейрогормонов. По внешнему виду эти клетки сходны с мультиполярными нейронами.
Они имеют несколько коротких дендритов и один аксон. На дендритах и теле секреторных нейронов выявляются многочисленные синапсы — места переключения импульсов от нейронов, расположенных в ядерных центрах головного мозга. В цитоплазме и по ходу аксона секреторных нейронов определяются гранулы нейросекрета (например, окситоцин и вазопрессин). Гранулы нейросекрета выводятся в кровь или жидкость желудочков мозга. Секреторные нейроны гипоталамуса участвуют во взаимодействиях нервной и гуморальной систем регуляции.

Нейроглия. В процессе развития тканей нервной системы из материала нервной трубки, а также нервного гребня происходит развитие глиобластов. Результатом глиобластической дифференцировки является образование нейроглиальных клеточных дифферонов. Они выполняют опорную, разграничительную, трофическую, секреторную, защитную и другие функции. Нейроглия создает постоянную, стабильную внутреннюю среду для нервной ткани, обеспечивая тканевый гомеостаз и нормальное функционирование нервных клеток. По строению и локализации клеток различают эпендимную глию, астроцитную глию и олигодендроглию. Нередко эти разновидности глии объединяют обобщенным понятием "макроглия".
Эпендимная глия имеет эпителиоидное строение. Она выстилает центральный канал спинного мозга и мозговые желудочки. В качестве эпендимного эпителия эта разновидность нейроглии относится к нейроглиальному типу эпителиальных тканей. Выпячивания мягкой оболочки мозга в просвет его желудочков покрыты эпендимоцитами кубической формы. Они принимают участие в образовании спинномозговой жидкости. В стенке Ш-го желудочка мозга находятся специализированные клетки — танициты, обеспечивающие связь между содержимым желудочка и кровью за счет ультрафильтрации элементов спинномозговой жидкости.
Астроцитная глия является опорной структурой (каркасом) спинного и головного мозга. В астроцитной глии различают два вида клеток: протоплазматические и волокнистые астроциты. Первые из них располагаются преимущественно в сером веществе мозга. Они имеют короткие и толстые, часто распластанные отростки. Вторые — находятся в белом веществе мозга. Волокнистые астроциты имеют многочисленные отростки, содержащие аргирофильные фибриллы. За счет этих фибрилл формируются глиальные остов и разграничительные мембраны в нервной системе, пограничные мембраны вокруг кровеносных сосудов и так называемые "ножки" астроцитных отростков на кровеносных сосудах.
Олигодендроглия состоит из различно дифференцированных клеток — олигодендроцитов. Они плотно окружают тела нейронов и их отростки на всем протяжении до концевых разветвлений. Есть несколько видов олигодендроцитов. В органах центральной нервной системы олигодендроглия представлена мелкими отростчатыми клетками, называемыми глиоцитами. Вокруг тел чувствительных нейронов спинномозговых ганглиев находятся глиоциты ганглия (мантийные глиоциты).
Отростки нервных клеток сопровождают нейролеммоциты, или шванновские клетки. Источник их развития в периферических нервах, по данным некоторых авторов, эктомезенхима нервного гребня.
Функции олигодендроглиоцитов многообразны и чрезвычайно важны для нормальной деятельности нервных клеток. Они обеспечивают трофику нейронов. В единой метаболической системе "нейрон-глия" происходит взаимообмен некоторыми ферментами, белками и РНК. Олигодендроциты играют существенную роль в процессах возбуждения и торможения нейронов и проведения по их отросткам нервных импульсов.
Так, нейролеммоциты совместно с отростками нейронов образуют миелиновые и безмиелиновые нервные волокона периферической нервной системы, выполняя при этом роль изоляторов, препятствующих рассеиванию импульсов. Олигодендроциты принимают участие в регуляции водно-солевого баланса в нервной системе. Они могут набухать, перераспределять ионы и т. д. Специализированные глиоциты нервных окончаний участвуют в процессах рецепции, а также в передаче нервного импульса на рабочие структуры.
Помимо макроглии в нервной системе есть еще микроглия. Источником ее развития является мезенхима, а клетки микроглии представляют собой глиальные макрофаги и относятся к нейроглии лишь на основании гистотопографии. Клетки микроглии могут размножаться, проявлять фагоцитарную активность, синтезировать не свойственные организму антигены, что наблюдается при некоторых заболеваниях.
Нервная ткань: нейроны и глиальные клетки (глия)
В курсе лекций «Анатомия ЦНС для психологов» я уже писала об анатомической терминологии и нервной системе. В этой статье я решила рассказать о нервной ткани, ее особенностях, видах нервной ткани, классификациях нейронов, нервных волокон, типах глиальных клеток и многом другом.
Хочу напомнить, что все статьи в разделе «Анатомия ЦНС», я пишу именно для психологов, учитывая их программу подготовки. Я по своему опыту помню, как сложно и непривычно было изучать подобные темы во время своей учебы. Поэтому я стараюсь изложить весь материал наиболее понятно.
Содержание
Для начала, я советую посмотреть небольшое видео, в котором рассказывается о различных тканях человека. Но нас будет интересовать именно нервная ткань. В более красочном и наглядном виде вам будет легче усвоить основы, а потом вы сможете расширить свои знания.
Основной тканью, из которой образована нервная система является нервная ткань, которая состоит из клеток и межклеточного вещества.
Ткань — это совокупность клеток и межклеточного вещества, сходных по строению и выполняемым функциям.

Нервная ткань имеет эктодермальное происхождение. Нервная ткань отличается от других видов ткани тем, что в ней отсутствует межклеточное вещество. Межклеточное вещество является производной глиальной клетки, состоит из волокон и аморфного вещества.
Функцией нервной ткани является обеспечение получения, переработки и хранения информации из внешней и внутренней среды, а также регуляция и координация деятельности всех частей организма.
Нервная ткань состоит из двух видов клеток: нейронов и глиальных клеток. Нейроны играют главную роль, обеспечивая все функции ЦНС. Глиальные клетки имеют вспомогательное значение, выполняя опорную, защитную, трофическую функции и др. В среднем количество глиальных клеток превышает количество нейронов в соотношении 10:1 соответственно.

Каждый нейрон имеет расширенную центральную часть: тело — сому и отростки — дендриты и аксоны. По дендритам импульсы поступают к телу нервной клетки, а по аксонам от тела нервной клетки к другим нейронам или органам.
Отростки могут быть длинными и короткими. Длинные отростки нейронов называются нервными волокнами. Большинство дендритов (дендрон — дерево) короткие, сильно ветвящиеся отростки. Аксон (аксис — отросток) чаще длинный, мало ветвящийся отросток.
Нейроны
Нейрон — это сложно устроенная высокоспециализированная клетка с отростками, способная генерировать, воспринимать, трансформировать и передавать электрические сигналы, а также способная образовывать функциональные контакты и обмениваться информацией с другими клетками.
Каждый нейрон имеет только 1 аксон, длина которого может достигать несколько десятков сантиметров. Иногда от аксона отходят боковые отростки — коллатерали. Окончания аксона, как правило, ветвятся, и их называют терминалями. Место, где от сомы клеток отходит аксон, называется аксональным (аксонным) холмиком.
По отношению к отросткам сома нейрона выполняет трофическую функцию, регулируя обмен веществ. Нейрон обладает признаками, общими для всех клеток: имеет оболочку, ядро и цитоплазму, в которой находятся органеллы (эндоплазматический ретикулум, аппарат Гольджи, митохондрии, лизосомы, рибосомы и т.д.).

Кроме того, в нейроплазме содержатся органеллы специального назначения: микротрубочки и микрофиламенты, которые различаются размером и строением. Микрофиламенты представляют внутренний скелет нейроплазмы и расположены в соме. Микротрубочки тянутся вдоль аксона по внутренним полостям от сомы до окончания аксона. По ним распространяются биологически активные вещества.
Кроме того, отличительной особенностью нейронов является наличие митохондрий в аксоне как добавочного источника энергии. Взрослые нейроны не способны к делению.
Виды нейронов
Существует несколько классификаций нейронов, основанных на разных признаках: по форме сомы, количеству отростков, функциям и эффектам, которые нейрон оказывает на другие клетки.
В зависимости от формы сомы различают:
1. Зернистые (ганглиозные) нейроны, у которых сома имеет округлую форму;
2. Пирамидные нейроны разных размеров — большие и малые пирамиды;
3. Звездчатые нейроны;
4. Веретенообразные нейроны.

По количеству отростков (по строению)выделяют:
1. Униполярные нейроны (одноотростчатые), имеющие один отросток, отходящий от сомы клеток, в нервной системе человека практически не встречаются;
2. Псевдоуниполярные нейроны (ложноодноотростчатые), такие нейроны имеют Т-образный ветвящийся отросток, это клетки общей чувствительности (боль, изменения температуры и прикосновение);
3. Биполярные нейроны (двухотростчатые), имеющие один дендрит и один аксон (т.е. 2 отростка), это клетки специальной чувствительности (зрение, обоняние, вкус, слух и вестибулярные раздражения);
4. Мультиполярные нейроны (многоотростчатые), которые имеют множество дендритов и один аксон (т.е. много отростков); мелкие мультиполярные нейроны являются ассоциативными; средние и крупные мультиполярные, пирамидные нейроны — двигательными, эффекторными.

Униполярные клетки (без дендритов) не характерны для взрослых людей и наблюдаются только в процессе эмбриогенеза. Вместо них в организме человека имеются псевдоуниполярные клетки, у которых единственный аксон разделяется на 2 ветви сразу же после выхода из тела клетки. Биполярные нейроны имеются в сетчатке глаза и передают возбуждение от фоторецепторов к ганглионарным клеткам, образующим зрительный нерв. Мультиполярные нейроны составляют большинство клеток нервной системы.

По выполняемым функциям нейроны бывают:
1. Афферентные (рецепторные, чувствительные) нейроны — сенсорные (псевдоуниполярные), их сомы расположены вне ЦНС в ганглиях (спинномозговых или черепно-мозговых). По чувствительным нейронам нервные импульсы движутся от периферии к центру.
Форма сомы — зернистая. Афферентные нейроны имеют один дендрит, который подходит к рецепторам (кожи, мышц, сухожилий и т.д.). По дендритам информация о свойствах раздражителей передается на сому нейрона и по аксону в ЦНС.
Пример чувствительных нейронов: нейрон, реагирующий на стимуляцию кожи.
2. Эфферентные (эффекторные, секреторные, двигательные) нейроны регулируют работу эффекторов (мышц, желез и т.д.). Т.е. они могут посылать приказы к мышцам и железам. Это мультиполярные нейроны, их сомы имеют звездчатую или пирамидную форму. Они лежат в спинном или головном мозге или в ганглиях автономной нервной системы.
Короткие, обильно ветвящиеся дендриты воспринимают импульсы от других нейронов, а длинные аксоны выходят за пределы ЦНС и в составе нерва идут к эффекторам (рабочим органам), например, к скелетной мышце.
Пример двигательных нейронов: мотонейрон спинного мозга.
Тела чувствительных нейронов лежат вне спинного мозга, а двигательные нейроны лежат в передних рогах спинного мозга.
3. Вставочные (контактные, интернейроны, ассоциативные, замыкающие) составляют основную массу мозга. Они осуществляют связь между афферентными и эфферентными нейронами, перерабатывают информацию, поступающую от рецепторов в центральную нервную систему.
В основном это мультиполярные нейроны звездчатой формы. Среди вставочных нейронов различают нейроны с длинными и короткими аксонами.
Пример вставочных нейронов: нейрон обонятельной луковицы, пирамидная клетка коры головного мозга.

Цепь нейронов из чувствительного, вставочного и эфферентного получила название рефлекторной дуги. Вся деятельность нервной системы, по определению И.М. Сеченова, носит рефлекторный характер («рефлекс» – обозначает отражение).
По эффекту, который нейроны оказывают на другие клетки:
1. Возбуждающие нейроны оказывают активизирующий эффект, повышая возбудимость клеток, с которыми они связаны.
2. Тормозные нейроны снижают возбудимость клеток, вызывая угнетающий эффект.
Нервные волокна и нервы
Нервные волокна — это покрытые глиальной оболочкой отростки нервных клеток, осуществляющие проведение нервных импульсов. По ним нервные импульсы могут передаваться на большие расстояния (до метра).
Классификация нервных волокон основана на морфологических и функциональных признаках.
По морфологическим признакам различают:
1. Миелинизированные (мякотные) нервные волокна — это нервные волокна, имеющие миелиновую оболочку;
2. Немиелинизированные (безмякотные) нервные волокна — это волокна, не имеющие миелиновой оболочки.

По функциональным признакам различают:
1. Афферентные (чувствительные) нервные волокна;
2. Эфферентные (двигательные) нервные волокна.
Нервные волокна, выходящие за пределы нервной системы, образуют нервы. Нерв — это совокупность нервных волокон. Каждый нерв имеет оболочку и кровоснабжение.
Различают спинномозговые нервы, связанные со спинным мозгом (31 пара), и черепно-мозговые нервы (12 пар), связанные с головным мозгом. В зависимости от количественного соотношения афферентных и эфферентных волокон в составе одного нерва различают чувствительные, двигательные и смешанные нервы (см. таблицу ниже).
В чувствительных нервах преобладают афферентные волокна, в двигательных — эфферентные, в смешанных — количественное соотношение афферентных и эфферентных волокон приблизительно равно. Все спинномозговые нервы являются смешанными нервами. Среди черепно-мозговых нервов выделяют три вышеперечисленных типа нервов.
Список черепно-мозговых нервов с обозначением доминирующих волокон
I пара — обонятельные нервы (чувствительные);
II пара — зрительные нервы (чувствительные);
III пара — глазодвигательные (двигательные);
IV пара — блоковые нервы (двигательные);
V пара — тройничные нервы (смешанные);
VI пара — отводящие нервы (двигательные);
VII пара — лицевые нервы (смешанные);
VIII пара — вестибуло-кохлеарные нервы (чувствительные);
IX пара — языкоглоточные нервы (смешанные);
X пара — блуждающие нервы (чувствительные);
XI пара — добавочные нервы (двигательные);
XII пара — подъязычные нервы (двигательные).

Глия
Пространство между нейронами заполнено клетками, которые называются нейроглией (глией). По подсчетам глиальных клеток примерно в 5-10 раз больше, чем нейронов. В отличие от нейронов клетки нейроглии делятся в течение всей жизни человека.
Клетки нейроглии выполняют многообразные функции: опорную, трофическую, защитную, изолирующую, секреторную, участвуют в хранении информации, то есть памяти.
Выделяют два типа глиальных клеток:
1. клетки макроглии или глиоциты (астроциты, олигодендроциты, эпендимоциты);
2. клетки микроглии.

Астроциты имеют звездчатую форму и много отростков, которые отходят от тела клетки в разных направлениях, некоторые из них оканчиваются на кровеносных сосудах. Астроциты служат опорой для нейронов, обеспечивая их репарацию (восстановление) после повреждения, и участвуют в их метаболических процессах (обмене веществ).
Считается, что астроциты очищают внеклеточные пространства от избытка медиаторов и ионов, способствуя устранению химических «помех» для взаимодействий, происходящих на поверхности нейронов. Астроциты играют важную роль в объединении элементов нервной системы.
Таким образом, можно выделить такие функции астроцитов:
1. восстановление нейронов, участие в регенерационных процессах ЦНС;
2. удаление избытка медиаторов и ионов;
3. участие в формировании и поддержании гематоэнцефалического барьера (ГЭБ), т.е. барьера между кровью и тканью мозга; обеспечивается поступление питательных веществ из крови к нейронам;
4. создание пространственной сети, опоры для нейронов («клеточный скелет»);
5. изоляция нервных волокон и окончаний друг от друга;
6. участие в метаболизме нервной ткани — поддержание активности нейронов и синапсов.
Олигодендроциты — это мелкие овальные клетки с тонкими короткими отростками. Находятся в сером и белом веществе вокруг нейронов, входят в состав оболочек и в состав нервных окончаний. Олигодендроциты образуют миелиновые оболочки вокруг длинных аксонов и длинных дендритов.
Функции олигодендроцитов:
1. трофическая (участие в обмене веществ нейронов с окружающей тканью);
2. изолирующая (образование миелиновой оболочки вокруг нервов, что необходимо для лучшего проведения сигналов).
Миелиновая оболочка выполняет роль изолятора и увеличивает скорость проведения нервных импульсов вдоль мембраны отростков, предотвращает распространение на соседние ткани идущих по волокну нервных импульсов. Она сегментарна, пространство между сегментами называется перехват Ранвье (в честь ученого, который их открыл). Из-за того, что электрические импульсы проходят по миелинизированному волокну скачкообразно от одного перехвата к другому, такие волокна имеют высокую скорость проведения нервных импульсов.

Каждый сегмент миелиновой оболочки, как правило, образован одним олигодендроцитом в центральной нервной системе (Шванновская клетка (или клетки Шванна) в периферической нервной системе), которые, истончаясь, закручиваются вокруг аксона.

Миелиновая оболочка имеет белый цвет (белое вещество), так как в состав мембран олигодендроцитов входит жироподобное вещество — миелин. Иногда одна глиальная клетка, образуя выросты, принимает участие в образовании сегментов нескольких отростков.
Сома нейрона и дендриты покрыты тонкими оболочками, которые не образуют миелин и составляют серое вещество.
Т.е. миелином покрыты аксоны, поэтому они имеют белый цвет, а сома (тело) нейрона и короткие дендриты не имеют миелиновой оболочки, и поэтому они серого цвета. Вот так скопление аксонов, покрытых миелином, образуют белое вещество мозга. А скопление тел нейрона и коротких дендритов — серое.
Эпендимоциты — это такие клетки, которые выстилают желудочки мозга и центральный канал спинного мозга, секретируя спинномозговую жидкость. Они участвуют в обмене ликвора и растворения в нем веществ. На поверхности клеток, обращенных в спинномозговой канал, имеются реснички, которые своим мерцанием способствуют движению цереброспинальной жидкости.
Таким образом, функцией эпендимоцитов является секреция ликвора.

Микроглия — это часть из вспомогательных клеток нервной ткани, которая не является ею, т.к. имеет мезодермальное происхождение. Представлена мелкими клетками, которые находятся в белом и сером веществе мозга. Микроглия способна к амебовидному передвижению и фагоцитозу.
Функция микроглии — это защита нейронов от воспалений и инфекций (по механизму фагоцитоза — захватывание и переваривание генетически чужеродных веществ). Т.е. микроглия является «санитарами» нервной ткани.
Клетки микроглии доставляют нейронам кислород и глюкозу. Кроме того, они входят в состав гематоэнцефалического барьера, который образован ими и эндотелиальными клетками, образующими стенки кровеносных капилляров. Гематоэнцефалический барьер задерживает макромолекулы, ограничивая их доступ к нейронам.
Нейроглиальные клетки ЦНС. Клетки нейроглии
В ЦНС присутствует четыре вида нейроглиальных клеток: астроциты, олигодендроциты, микроглиоциты и эпендимальные клетки.

Три типа клеток нейроглии.
а) Астроциты. Астроциты представляют собой многоотростчатые клетки, десятки тонких отростков которых расходятся радиально. В цитоплазме астроцитов содержатся промежуточные филаменты, придающие прочность клеткам и структуре головного мозга в целом. Кроме того, цитоплазма содержит большое количество гранул гликогена — быстрого источника глюкозы для нейронов.
Отростки некоторых астроцитов формируют пограничную глиальную мембрану на внутренней (желудочковой) или наружной (пиальной) поверхности мозга. Другие астроцитарные отростки принимают участие в образовании межнейрональных синапсов. Кроме того, сосудистые отростки астроцитов участвуют в формировании капилляров мозга.
В состав астроцитов входят специфические каналы, элиминирующие из межклеточного пространства избыток ионов К + в периоды усиленной нейрональной активности. Астроциты участвуют в повторном использовании некоторых медиаторов, особенно главного возбуждающего медиатора ЦНС — глутамата и главного тормозного медиатора ЦНС — гамма-аминомасляной кислоты (ГАМК). Помимо этого, астроциты принимают участие в формировании, функционировании и уничтожении синапсов мозга.
Астроциты способны к многократному делению. Пролиферация астроцитов и их отростков в рамках восстановительного процесса при травмах ЦНС приводит к глиозу—образованию плотной глиальной рубцовой ткани. Следует отметить, что спонтанная локальная пролиферация астроцитов может привести к образованию опухоли мозга.
б) Олигодендроциты. Олигодендроциты образуют миелиновые оболочки аксонов нейронов белого вещества, обеспечивающие функционирование аксона и стабильность его структуры. В сером веществе олигодендроциты образуют клетки-сателлиты, участвующие в процессах ионного обмена между нейронами.
в) Миелинизация. Процесс миелинизации начинается во II триместре беременности и продолжается до десятилетия жизни. Один олигодендроцит формирует миелиновую оболочку более 30 аксонов, спиралеобразно накручиваясь вокруг них таким образом, что внутренняя и внешняя поверхности клеточной стенки олигодендроцита образуют последовательно расположенные слои с большей и меньшей плотностью, различимые на поперечном срезе миелиновой оболочки. Некоторые части цитоплазмы олигодендроцита формируют в конце каждого миелинового сегмента паранодальные петли. Относительно уязвимые участки аксона, расположенные в промежутках глиальных муфт, образуют утолщения.
Миелиновая оболочка ускоряет скорость проведения нервного импульса за счет скачкообразной деполяризации. В процессе миелинизации происходит удаление ионных каналов К + из подлежащей аксолеммы. В связи с этим демиели-низирующие заболевания, такие как рассеянный склероз, сопровождаются прогрессирующим нарушением проведения нервных импульсов.
Немиелинизрованные аксоны серого вещества характеризуются меньшим диаметром (0,2 мкм и менее) и отсутствием индивидуальной оболочки.

Миелинизация в ЦНС.
Стрелками указано направление накручивания цитоплазмы олигодендроцита.
г) Микроглия. Микроглия имеет мезодермальное происхождение; ее клетки близки по строению клеткам эпендимы и способны к самообновлению. В состоянии покоя микроглиоциты представляют собой небольшие клетки (отсюда их название), но в случае воспалительного процесса или нарушения миелиновой оболочки они способны увеличиваться в размерах и становиться подвижными фагоцитами. Кроме того, микроглиоциты выполняют нейропротективные и восстановительные функции.
д) Эпендима. Клетки эпендимы выстилают систему желудочков мозга. Реснички, расположенные на их свободном конце, способствуют перемещению спинномозговой жидкости.
е) Глиомы. Опухоли головного мозга чаще всего развиваются из клеток нейроглии, особенно астроцитов.
Общемозговая симптоматика опухоли (головные боли, слабость, тошнота)— проявление повышения внутричерепного давления под действием новообразования, увеличивающегося в размерах. Возможно смещение срединных структур мозга на противоположную сторону, выявляемое при лучевом исследовании. Расположенные ниже намета мозжечка структуры могут сдавить отверстие IV желудочка, через которое опекает спинномозговая жидкость. В этом случае, помимо повышения внутричерепного давления, будет возникать расширение системы желудочков.
Проявления локальной симптоматики зависят от расположения опухоли. Так, неловкость движений верхних или нижних конечностей может быть обусловлена опухолевым процессом в мозжечке на стороне поражения, а слабость движения в верхних или нижних конечностях—локализацией опухоли в полушариях мозга на стороне, противоположной поражению.
Развитие опухоли может привести к вклинению—образованию одной или нескольких грыж мозга.
1. Смещение полушарий под серповидный отросток (дислокация в щель между серпом мозга и мозолистым телом) в большинстве случаев проявляется бессимптомно.
2. Уникальное вклинение головного мозга происходит в результате дислокации крючка височной доли в вырезку намета мозжечка. Сдавление крючком мозга ножки мозга с одной стороны клинические проявляется двигательной слабостью на противоположной поражению стороне. Дислокация или сдавление противоположной ножки острым краем намета мозжечка, напротив, приводит к двигательной слабости на стороне поражения.
3. Вклинение миндалины (конуса) мозжечка в большое затылочное отверстие приводит к сдавлению продолговатого мозга и смерти пациента от нарушения сердечно-сосудистой и дыхательной деятельности вследствие повреждения жизненно важных центров кровообращения и дыхания, расположенных в ретикулярной формации.
Вклинения мозга (мозговые грыжи). Показано близкое расположение крючка мозга и корково-спинномозгового проводящего пути (КСПП).
L — Левая сторона. R - Правая сторона. РТ — КСПП
ж) Рассеянный склероз — самое распространенное заболевание нервной системы у молодых людей, проживающих в умеренных широтах по обеим сторонам от экватора. Рассеянным склерозом чаще болеют женщины; соотношение заболеваемости женщин и мужчин составляет 3:2. Дебют заболевания чаще всего приходится на возраст 30 лет, однако высокую заболеваемость отмечают в возрасте от 15 до 45 лет.
Рассеянный склероз—первичное демиелинизирующее заболевание (первоначально возникают бляшки рассеянного склероза—очаги демиелинизации белого вещества), однако могут также происходить демиелинизация серого вещества и потеря аксонов. При этом заболевании происходит дегенерация лишенных миелиновой оболочки аксонов, которая, вероятно, может быть связана с разрушением ионных натриевых каналов. Кроме того, нарушается проведение импульса по расположенным рядом миелинизированным нервным волокнам за счет отека вследствие образования воспалительного экссудата. Со временем происходит замещение очагов демиелинизации глиальной рубцовой тканью. При патологоанатомическом исследовании срезов мозга старые очаги демиелинизации характеризуются повышенной плотностью—склерозом.
Чаще всего первые очаги демиелинизации появляются в шейных отделах спинного мозга, верхней части ствола мозга, зрительном нерве, а также белом веществе, окружающем желудочки, и мозжечковом белом веществе. Рассеянный склероз не является системным заболеванием и не поражает избирательно определенные анатомические структуры; демиелинизации могут подвергаться участки смежных двигательных и чувствительных нейронов.
Жалобы пациента могут указывать на локализацию очагов поражения.
- Слабость в движениях одной или обеих нижних конечностей указывает на поражение корково-спинномозгового проводящего пути.
- Неловкость при совершении прицельных и хватательных движений наблюдают при поражении белого вещества мозжечка.
- Онемение и покалывание, распространяющиеся от нижних конечностей к туловищу, указывают на локализацию поражения в задних канатиках белого вещества спинного мозга. Ощущение покалывания («иголочек») связано с самовозбуждением частично демиелинизированных чувствительных нервных волокон.
- При появлении диплопии (двоения в глазах) очаги демиелинизации, вероятнее всего, располагаются в области варолиева моста или среднего мозга и нарушают функцию одного из двигательных нервов глаза.
- Появление скотомы (слепого пятна) в одном поле зрения возникает при поражении зрительного нерва.

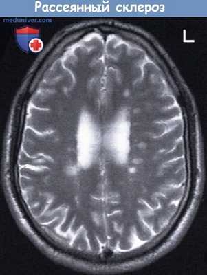
Т2-взвешенная МРТ мужчины 28 лет, аксиальная проекция.
Многоочаговая демиелинизация вследствие рассеянного склероза: очаги поражения белого вещества повышенной плотности.
В левой части мозга перивентрикулярно расположены, по крайней мере, пять очагов.
(Томограмма предоставлена Joe Walsh, врачом отделения радиологии университетской больницы, Голуэй, Ирландия.)
L—Левая сторона
Причиной задержки мочи (нарушения опорожнения мочевого пузыря) может стать повреждение центрального проводящего пути вегетативной нервной системы, проходящего от ствола мозга в нижние сегменты спинного мозга.
- Рассеянный склероз—медленно прогрессирующее заболевание, приводящее к инвалидизации, для которого характерны периоды ремиссии и обострения.
Обратите внимание: в ходе современных исследований, проведенных в различных научно-исследовательских учреждениях, появились новые доказательства локализации дегенеративных изменений в сером веществе, преимущественно в участках коры полушарий мозга, часто приводящих к развитию когнитивных нарушений. Объясняющие этот процесс гипотезы все еще изучают.
з) Резюме. Нейроглия выполняет поддерживающую, питательную и восстановительную функции. Нейроглия — самый частый источник опухолей мозга. Олигодендроциты формируют миелиновую оболочку аксонов нейронов ЦНС, поражение которой происходит при демиелинизирующих заболеваниях. Клетки микроглии потенциально способны к фагоцитарной активности.
Нейроны. Строение нейронов. Физиология нейронов.
Нервные клетки, нейроны, или нейроциты — ведущий клеточный дифферон нервной ткани. Клетки осуществляют рецепцию сигнала, передачу его другим нервным клеткам или клеткам-эффекторам с помощью нейромедиаторов. Нейроны отличаются большим разнообразием своих размеров, формы, строения, функции и реактивности. Они занимают определенное место в составе рефлекторных дуг, представляющих материальный субстрат рефлексов. В связи с этим по функциональным свойствам различают чувствительные (рецепторные), вставочные (ассоциативные) и двигательные (эффекторные) нейроны.
По гистологическим признакам нервные клетки подразделяются на звездчатые, пирамидные, веретеновидные, паукообразные и др. На форму клеток влияют число отростков и способы их отхождения от тела нейрона. Тело нервной клетки содержит нейроплазму и обычно одно ядро. Размер тела варьирует в широких пределах от 5 до 130 мкм. Отростки имеют длину от нескольких микрометров до 1-1,5 м.
По количеству отростков выделяют нейроны униполярные (с одним отростком), псевдоуниполярные, биполярные (с двумя отростками) и мультиполярные (с числом отростков более двух). Отростки нервных клеток специализированы на выполнение определенных функций и потому подразделяются на два вида. Одни из них называются дендритами (от dendron — дерево), поскольку они сильно ветвятся. Эти отростки воспринимают раздражение и проводят импульсы по направлению к телу нейрона. Отростки другого вида называются аксонами. Они выполняют функцию отведения нервных импульсов от тела нейрона. Нервные клетки имеют несколько дендритов, но один аксон.

Ядро нервной клетки крупное, круглое, содержит деконденсированный хроматин. В ядре определяется одно-два крупных ядрышка. Большинство ядер содержит диплоидный набор хромосом. В некоторых типах нейронов (грушевидные нейроны диплоидные ядра со степенью полиплоидии до 4-8 п. Ядро нейрона осуществляет регуляцию синтеза белков в клетке. Для нервных клеток характерен высокий уровень синтеза РНК и белков. В нейроплазме имеются хорошо развитые элементы внутренней метаболической среды (гранулярная эндоплазматическая сеть с большим количеством рибосом, митохондрии, коплекс Гольджи).
При световой микроскопии в нейроплазме выявляется хроматофильная субстанция, или субстанция Ниссля, что связано с наличием в нейроплазме РНК. Субстанция Ниссля является основным белоксинтезирующим компонентом нервной клетки. Она располагается чаще всего вокруг ядра, но встречается и на периферии тела нейрона, а также в дендритах. У места отхождения аксона (в аксонном холмике) и по ходу аксона субстанция Ниссля не определяется. В зависимости от функционального состояния нейрона величина и расположение глыбок субстанции Ниссля могут значительно меняться. Исчезновение субстанции называют хроматолизом.
В цитоплазме нервных клеток выявляются компоненты опорно-двигательной системы (микротрубочки, промежуточные филаменты — нейрофиламенты и микрофиламенты). Нейрофиламенты — это фибриллярные структуры диаметром 6-10 нм, состоящие из спиралевидно расположенных молекул кислых белков. Микротрубочки — цилиндрические структуры диаметром 24 нм. Под световым микроскопом эти структуры не видны. Однако при импрегнации препаратов нервной ткани солями серебра происходят агрегация нейрофиламентов, осаждение на них металлического серебра, и тогда нитчатые структуры становятся видимыми. Такие искусственно агрегированные образования описаны под названием нейрофибриллы.
Проходят они в теле нейрона в разных направлениях, а в отростках — параллельно продольной оси, обеспечивая ток аксоплазмы в двух направлениях. В нейроплазме выявляются центриоли. Основная часть белков нейроплазмы постоянно обновляется. Показано непрерывное смещение аксоgлазмы по направлению от тела клетки к терминальным разветвлениям аксона (антероградный транспорт). Ток аксоплазмы происходит со скоростью около 2-5 мм в сутки. Кроме медленного перемещения аксоплазмы, существует механизм быстрого перемещения белков по отросткам нервных клеток. Структурную основу быстрого (от 400 до 2000 мм в сутки) транспорта веществ от тела по отросткам составляют микрофиламенты и нейротрубочки.
В аксонах и дендритах нейронов наблюдается также ретроградный транспорт, когда макромолекулярный материал от периферических частей отростков доставляется в тело нейрона.
Непрерывное обновление белков в нервных клетках рассматривают как своеобразную модификацию физиологической регенерации (внутриклеточную) в стабильной клеточной популяции нейронов.
Читайте также:
- Признаки изолированной травмы таза
- Патогенез митральной недостаточности. Формирование недостаточности митрального клапана
- Дифференциальный диагноз дерматопатического лимфаденита. Потница и ее причины
- Причины болезни Ходжкина - этиология
- Восточный энцефаломиелит лошадей. Эпидемиология восточного энцефаломиелита
