Шинирующий бюгельный протез. Фазы заселения пелликулы микроорганизмами
Добавил пользователь Евгений Кузнецов Обновлено: 29.01.2026
Очевидно, что любой протез должен быть не только эстетичным и удобным в ношении, но и функциональным. Бюгельная конструкция сочетает все три характеристики, и является эффективным средством для восстановления зубного ряда.
В статье мы поговорим об одной из разновидностей ортопедической системы – шинирующем бюгельном протезе. Это съемная конструкция, которая замещает отсутствующие зубные единицы. А также помогает сохранить имеющиеся зубы, если они находятся в расшатанном состоянии из-за патологий пародонта.
Нюансы системы
Основу протеза составляет все та же металлическая дуга, которая плотно прилегает к внутренней поверхности зубного ряда. Особенность шинирующей конструкции заключается в том, что на каждом зубе закреплен дополнительный фиксирующий элемент, расположенный на металлической дуге. Это многозвеньевые крючки (кламмеры), или когтеобразные крепления, которые обхватывают каждый зуб в ряду.
При установке протеза опорные зубы закрываются искусственными коронками, для защиты твердых тканей зуба от повреждений и преждевременного разрушения. Кроме того, коронки переносят часть жевательной нагрузки с подвижных зубов на здоровые.
Другими словами, шинирующий бюгельный протез является вполне самодостаточной конструкцией, которая помогает укрепить расшатанные зубы. Однако эффективность лечения зависит от стадии заболевания (пародонтоза или пародонтита). Чем раньше установить протез, тем быстрее и качественнее будет результат.
Отличие от классических съемных систем
По сравнению с обычным бюгельным протезом, шинирующая конструкция имеет более компактные размеры, из-за менее объемного основания (базиса). Малые размеры протеза также сокращают срок адаптации. Установка системы не требует длительного привыкания.
Другое отличие от съемных ортопедических изделий - протез не перекрывает нёба. В результате у пациента сохраняются все вкусовые ощущения, и не нарушается дикция.
Ношение бюгельного протеза исключает развитие дистрофических процессов в костной ткани. А также снижает деформацию десневого края. Это существенно продлевает срок службы изделия. И помогает сохранить зубной ряд в здоровом состоянии.
Использование металлического базиса при изготовлении протеза делает изделие прочным и надежным. Это сводит к минимуму вероятность его поломки.
Показания
Когда используют бюгельный протез в качестве шины? Вариантов может быть несколько:
- Концевой дефект, когда с одной стороны отсутствуют опорные зубы.
- Оголение шейки зубов, наличие пародонтальных карманов, воспалительные процессы в деснах.
- Аномалии прикуса, искривление зубов со смещением.
- Бруксизм.
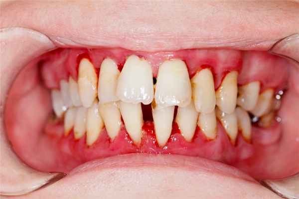
Важный момент: пародонтоз в большинстве случаев протекает бессимптомно. Видимые признаки заболевания проявляются уже в запущенной стадии, когда корни зубов обнажаются, а зубной ряд обретает сильную подвижность. Сохранить зубы в таком состоянии довольно сложно. Чтобы предотвратить развитие патологии, нужно посещать стоматолога как минимум два раза год. Профилактический осмотр поможет выявить заболевание на ранней стадии. Это уже залог успешного лечения.
Другой важный момент: для установки шинирующего бюгельного протеза обязательно должны присутствовать опорные единицы. Если зубов нет, применяются альтернативные способы протезирования.
Производство системы
Шинирующая конструкция считается технически сложным изделием. И требует тщательного проектирования и расчета составляющих элементов. Чтобы получить качественную и функциональную ортопедическую систему, необходимо посетить стоматолога несколько раз. В основные этапы производства протеза входят:
- Подготовительные процедуры: первичный осмотр, диагностика, санация полости рта. Затем следует подготовить опорные зубы к фиксации протеза. После обточки зубов врач снимает слепок с челюсти и отправляет в зуботехническую лабораторию.
- Перед созданием готового бюгельного протеза зуботехник изготавливает тестовую модель из воска и гипса. Моделирование проводится при помощи компьютерной программы. Затем отливается основание и металлический каркас для искусственных коронок.
- Готовое изделие отправляют на первичную примерку. Если есть корректировки, протез возвращают в лабораторию на доработку. На финальном этапе бюгельную конструкцию шлифуют и полируют.
Фиксация системы
Установка шинирующего бюгельного протеза также проводится в несколько этапов. Сначала врач проводит стоматологическое лечение для устранения патологий зубного ряда. Это может быть удаление кариозных полостей, устранение пульпита или лечение воспалений в слизистой рта. Санация ротовой полости необходима не только для надежного закрепления протеза, но для исключения развития осложнений в процессе ношения ортопедической системы.
Далее врач переходит к обточке опорных зубов. Зубная эмаль снимается в щадящем режиме, на толщину искусственных коронок. Но не более 2 мм с каждой стороны зуба.
В процессе производства шинирующей конструкции пациента несколько раз приглашают в клинику на примерку и корректировку изделия.
На финальном этапе протез фиксируют в полости рта выбранным способом.
Варианты крепления
Существует несколько методов закрепления бюгельного протеза на опорных зубах. Классический вариант – это кламмеры или крючки, которые плотно обхватывают зуб. Это цельнолитая конструкция: при изготовлении крепеж отливается вместе с металлической дугой.
Главное преимущество – перераспределение жевательной нагрузки с подвижных зубов на здоровые. Кроме того, кламмеры считаются наиболее бюджетным видом протезирования. Минус: металлические крючки могут быть видны во рту при разговоре.
Второй метод – лапки Гузиковой. Представляют собой открытые крючки, которые внешне напоминают когти. Размещается крепеж с внутренней (язычковой) стороны расшатанных зубов.
Третья разновидность замков в шанирующих бюгельных протезах – телескопические коронки. Это современная, и в то же время сложная методика. Требует высокой квалификации врача и зуботехника. Крепеж состоит из двух частей:
- Нижней, которая фиксируется на опорных единицах.
- Верхней – является частью каркаса.
При установке одна часть закрывает другую, обеспечивая надежную фиксацию. Технологичность методики заключается в том, что обточка зубов здесь минимальна.
Четвертый вариант – аттачменты. Микрозамки, которые делают шинирующую конструкцию практически незаметной во рту. Замки бывают ригельными, шарнирными, рельсовыми.
Пациенту не нужно беспокоиться, какую методику крепления выбрать. Вид протеза подбирает врач, в зависимости от конкретной клинической ситуации.
Нюансы протезирования обеих челюстей
Использование бюгельного протеза для верхней челюсти обусловлено лечением заболеваний пародонта, с целью укрепления подвижных зубов. Применяется при отсутствии нескольких зубных единиц в ряду. При полной адентии протезирование проводится с установкой на имплантах.
В качестве материала обычно используется медицинский сплав. Протез изготавливают методом ажурного литья. Для качественной установки изделия требуется высокая квалификация и личный опыт врача.
Фиксация шинирующего бюгельного протеза на нижнюю челюсть происходит быстрее и проще. Это связано с тем, что в изделии отсутствует нёбная часть. Конструкция крепится на опорных единицах, которые «забирают» часть нагрузки на себя. И одновременно удерживают металлический каркас.
Плюсы и минусы
Обобщим вышесказанное. Шинирующая конструкция имеет следующие преимущества:
- Высокий уровень эстетики и комфорт в ношении.
- Прочность и долговечность.
- Отсутствие атрофии костной ткани в период эксплуатации. Возможность сохранить здоровые зубы даже при пародонтите и пародонтозе.
- Быстрая установка, минимальный адаптационный период. Не меняет вкусовые ощущения, не искажает дикцию.
К недостаткам относится высокая стоимость протезирования, обязательное наличие опорных единиц. При неправильном использовании кламмеры могут сломаться. Это потребует ремонта или замены конструкции.
Противопоказания
Несмотря на свою функциональность, бюгельный протез имеет свои ограничения. Протезирование не проводится во время беременности, при наличии аллергии на металл. А также при наличии сердечно-сосудистых, инфекционных, онкологических заболеваний. Противопоказанием служит плохая гигиена полости рта, наличие воспалительных процессов в слизистой рта, глубокого прикуса или при небольшой высоте коронковой части зубов.
Рекомендации по уходу
Правила ухода за протезом такие же, как для других съемных конструкций:
- Регулярная чистка изделия зубной щеткой с мягкой щетиной и пастой без абразивных частиц.
- Промывать протез после каждого приема пищи. В том числе с использованием антисептических растворов.
- Корректировка рациона. После установки бюгельного протеза важно исключить чрезмерное потребление сахара, газированных напитков, жесткой и вязкой пищи.
В профилактических целях рекомендуется посещать стоматолога не реже, чем раз в полгода.
Цена вопроса
На стоимость шинирующего бюгельного протеза влияет количество восстанавливаемых зубных единиц, тип замков, сложностью конструкции. Например, ортопедическая система с 2-3 кламмерами обойдется в 50 тысяч рублей и выше. Замковый крепеж (аттачменты)значительно дороже – от 90 тысяч рублей. Самыми дорогими будут односторонние протезы – от 110 тысяч рублей. Финальную стоимость конструкции назовет врач после проведения диагностики и осмотра ротовой полости.
Статья была проверена: Ермаков Виктор Борисович
Если вам понравился этот пост — поделитесь им со своими друзьями и подписчиками.
Шинирующий бюгельный протез. Фазы заселения пелликулы микроорганизмами
Формирование зубных бляшек. Структура зубной бляшки
Зубная бляшка относится к неминерализованным зубным отложениям, визуально определяется через 1-2 дня после прекращения чистки зубов в виде белого, сероватого либо желтоватого налета на поверхности зубов. Рост бляшки сдерживается током слюны, движением губ, языка, пищевого комка, особенно на верхних третях коронки зубов, поэтому бляшка быстрее всего формируется в придесневых областях и в промежутках между скученными зубами, в межзубных промежутках и около придесневых дефектов (в частности, в пришеечных кариозных полостях, под нависающими краями пломб и т. д.).
Расположение и скорость формирования бляшки у разных лиц зависит от качества чистки зубов и от наличия и характера местных ретенционных факторов. Ее количество определяется равновесием между действием факторов, способствующих ее накоплению, и факторов, препятствующих этому.
Процесс формирования бляшки подразделяется на три фазы:
1) формирование вторичной кутикулы, или пелликулы, которая покрывает поверхность зуба;
2) первичное микробное обсеменение;
3) сохранение бляшки.

I фаза. Образование пелликулы, или вторичной кутикулы. Все поверхности полости рта, включая слизистую оболочку, съемные и несъемные протезы, пломбы, покрыты гликопротеидной пленкой. Эта пленка образуется как из компонентов слюны и десневой жидкости, так и бактерий и пищевых остатков. Состав пелликулы на разных поверхностях полости рта различается.
Пелликула — это защитный барьер, поскольку она покрывает, смачивает все поверхности и оберегает их от пересыхания. Она содержит субстраты, к которым прикрепляются бактерии из окружающей среды. На мягких тканях в связи с постоянным слущиванием эпителиальных клеток чрезмерного увеличения микробов не происходит. На твердых же, особенно шероховатых поверхностях, напротив, наблюдается прогрессирующее накопление микробов, образуются зубные бляшки.
II фаза. Первичное микробное обсеменение наблюдается на пелликуле уже в первые часы. Вначале это грамположительные микроорганизмы, факультативные микробы, такие как Act. viscosus и Sir. sanguis, которые приклеиваются к пелликуле за счет находящихся на поверхности микробных клеток специфических молекул (адгезинов), взаимодействующих со специальными образованиями (рецепторами) на пелликуле.
Затем налет созревает благодаря как росту уже имеющихся, так и дальнейшей колонизации прикрепленных микроорганизмов. Экологический состав микробного налета, который вначале представлен грамположительными факультативными аэробами, изменяется: в нем появляются бактерии, живущие в условиях отсутствия доступа кислорода, т. е. после формирования достаточно толстого слоя аэробов — грамотрицательных анаэробов.
III фаза. Вторичная колонизация и созревание бляшки характеризуются тем, что на этом этапе участвуют микроорганизмы, которых нет на этапе начального обсеменения зубных поверхностей: они имеют специальные рецепторы на одной поверхности, которыми прикрепляются к грамположительным организмам, и в то же время рецепторы, к которым в последующем прикрепляются и анаэробы. То есть они являются необходимым промежуточным слоем для того, чтобы в состав бляшек внедрились патогенные микробы: P. intermedia, P. loeshii, Capnocytophaga spp., Fusobact. nucleatum, P. gingivalis. Эти микроорганизмы прикрепляются к стенкам уже внедрившихся бактерий путем коагуляции.
- Вернуться в оглавление раздела "Стоматология."
Информация на сайте подлежит консультации лечащим врачом и не заменяет очной консультации с ним.
См. подробнее в пользовательском соглашении.
Бюгельный протез шинирующий
Выбор зубного протеза зависит от стоматологических задач, которые нужно решить с его помощью. В зависимости от способа фиксации различают:
- Съемные зубные протезы. К ним относятся пластиночные протезы из нейлона и акрилового пластика. Чаще всего их используют в случае полной потери зубов. Фиксация протеза достигается за счет его плотного прилегания к деснам и небу. Съемные протезы успешно устанавливаются на верхнюю челюсть.
- Частично съемные протезы. К данному виду относятся бюгельные или дуговые протезы с различными видами фиксации в виде крючков, замков или коронок. Их используют, когда имеется хотя бы один родной зуб. Бюгельные протезы хорошо справляются с несколькими задачами одновременно: восполнение потерянных зубов, устранение дефектов родных зубов, укрепление шатающегося ряда.
- Несъемные конструкции. Несъемные конструкции устанавливает специалист. Чаще всего их применяют в случае потери одного или нескольких зубов в ряду. Наиболее популярны среди них консольные или мостовидные протезы, одиночные коронки, виниры и люминиры.
Конструкция шинирующего бюгельного протеза

Бюгельный протез - это частично съемная конструкция. Ее каркас представляет собой металлическую дугу, покрытую акриловым слоем («бюгель» - в переводе дуга). Наличие такого каркаса выгодно отличает протез от цельнолитых конструкций, так как благодаря ему небная часть значительно облегчается. Состоит бюгельный шинирующий протез из трех частей:
- Металлического каркаса-дуги, выполненного из низкоаллергенного металла, устойчивого к слюне;
- Акрилового базиса, к которому будут прикреплены искусственные зубы;
- Фиксаторов в виде крючков, замочков-аттачментов или телескопических коронок.
Такое устройство протеза позволяет распределить нагрузку равномерно и не перегружать зубы, на которых конструкция будет крепиться. Небольшой вес и отсутствие небной пластины ускоряет привыкание к протезу.
Виды крепления бюгельных протезов
От того, какой вид крепления имеет конструкция, будет зависеть общая эстетика ротовой полости и цена протеза. В зависимости от типа фиксации бюгельные протезы бывают:
Кламмеры - специальные металлические крючки, при помощи которых протез будет крепиться на опорных зубах. Недостатком метода можно назвать только явную заметность фиксаторов при улыбке.
Аттачменты - крошечные замочки, которые устанавливаются на внутренней поверхности зубной коронки. Впоследствии, протез просто «пристегивается» к ним, что делает фиксацию протеза незаметной.
Самый надежный вид крепления и полностью скрывающий наличие протеза. Один из самых сложных видов крепления протеза, требующий высокой квалификации и стоматолога, и зубного техника.
Последний вид протеза позволяет решить сразу две задачи: восполнить отсутствие зубов и ограничить подвижность расшатанных зубных коронок. С внутренней стороны такой протез имеет дугу, повторяющую контур зубного ряда и фиксирующую их в одном положении.
Преимущества и недостатки бюгельного шинирующего протеза

Самым большим преимуществом бюгельного протеза является его способность равномерно распределять жевательную нагрузку между опорными зубами. Особенностью протеза шинирующего типа в том, что его конструкция будет подбираться с учетом состояния не только опорных зубов, но и всего пародонта в целом. Зафиксирован, может быть как ряд зубов, при помощи плотно прилегающей дуги, так и отдельные зубы, при помощи разнонаправленных когтевидных крючков. Эффективность укрепления расшатанного ряда будет зависеть от состояния слизистой оболочки рта и десен.
- небольшой размер протеза, что ускоряет привыкание;
- отсутствие пластиковой небной базы, что положительно влияет на дикцию;
- существенное замедление атрофии костной ткани;
- повышенная прочность и долговечность.
- невысокая эстетичность, так как металлические крючки видны на опорных зубах;
- снижение со временем шинирующего эффекта;
- опасность травмирования десен металлическими кламмерами во время надевания протеза.
Уход за шинирующим бюгельным протезом
Уход за бюгельным протезом мало отличается от обычных гигиенических процедур полости рта. Протез следует мыть дважды в день под проточной водой и полоскать в антибактериальном растворе. Не стоит также забывать очищать протез после каждого приема пищи. Пасту для чистки зубов нужно подобрать низкоабразивную, содержащую ингредиенты для укрепления десен.
Бюгельный протез шинирующий

Бюгельный шинирующий протез – условно-съемная конструкция для поддержания целостности дентальных рядов при обширной потере сразу нескольких зубов подряд. Он распределяет жевательную нагрузку, восстанавливает эстетику и надежно фиксирует расшатанные участки за счет прочных металлических кламмеров с охватом десны. По всем вопросам подбора и установки подобной конструкции вы можете обратиться в Стоматологию Бескудниково. Записаться можно по телефону клиники или через онлайн-форму связи прямо на сайте.
Выбрать услугу
Показания
Основное показание к установке бюгельного протеза с шинирующим эффектом – отсутствие нескольких зубов при наличии расшатанных или нестабильных участков в структуре челюсти. Причиной развития патологий может выступать как челюстно-лицевая травма, так и дегенеративно-воспалительные процессы в ротовой полости. Второй вариант встречается наиболее часто. Так, поражение пародонта с опущением десны и обнажением корней приводит к расшатыванию зубов, в то время как шинирующий протез надежно фиксирует коронки и при этом не оказывает давления на мягкие ткани, позволяя им восстановиться. Это повышает эффективность комплексного лечения пародонтозов и пародонтитов.

Таким образом, шинирующие бюгельные протезы одновременно решают несколько стоматологических задач:
стабилизируют подвижные зубы в правильном положении;
грамотно перераспределяют жевательную нагрузку на десну;
восстанавливают целостность ряда и эстетику линии улыбки.
На заметку! Пародонт – комплекс тканей, расположенных вокруг зуба. Он включает десны, стенки альвеолы, связочный аппарат, костные ткани. При разрушении этих структур зубной корень постепенно лишается поддержки и зуб начинает шататься.
Противопоказания к установке шинирующих бюгельных протезов:
Крайняя степень разрушения пародонта с высоким риском потери зубов. В этом случае сложно снять слепки, не спровоцировав выпадение.
Неспособность пациента поддерживать здоровую гигиену ротовой полости – при ношении протезов бактериальный налет особо активно скапливается вокруг коронок, провоцируя кариозный процесс.
Полное отсутствие зубов (полная адентия) – установка бюгельных конструкций требует присутствия хотя бы одного опорного зуба.
Аллергическая реакция на анестезию или материалы конструкции – металлические сплавы, пластик, акриловые составы могут вызывать раздражение или дискомфорт у отдельных пациентов.
Особенности
Немецкое слово «бюгель» переводится как «дуга», что отражает главную особенность конструкции: на изогнутую основу из медицинского сплава крепятся искусственные коронки. Протез при надевании плотно прилегает к десне за счет металлических креплений, которые обеспечивают надежную фиксацию без риска потерять вставную челюсть. Более того, чтобы протез снять самостоятельно, придется приложить немалые усилия.

В отличие от пластинчатых съемных «собратьев», протез получается более удобным: основа для нижней челюсти получается не такой массивной, а верхняя структура лишена неудобной цельной пластины, полностью перекрывающей небо – ее заменяет тонкая перемычка, которая не создает неудобств в процессе эксплуатации. Кроме того, кламмеры и сам базис не сдавливают зубы с боков, что позволяет без помех проводить комплексное лечение тканей пародонта.
Типы креплений шинирующих протезов:
многозвеньевые кламмеры (самый распространенный способ фиксации);
Все они надежно скрепляют зубы между собой, исключая их подвижность, и при этом способствуют лучшему перераспределению нагрузки по десневой дуге, не раздражают ткани и препятствуют атрофии десны.
Этапы протезирования
На этапе подготовки пациент проходит рентгенологическое обследование. Оценивают состояние твердых и мягких тканей, структуру прикуса, работу челюстных суставов, наличие воспалений, процент разрушения отдельных структур, проверяют общее состояние ротовой полости. Непосредственно перед началом ортопедического лечения устраняют очаги кариеса, проводят профессиональную чистку для удаления мягких и твердых отложений в области шейки и корня, при необходимости выполняют кюретаж.
Внимание! В случае высокой подвижности зубов пародонтальные карманы чистят уже после установки протезов – во избежание еще большего их расшатывания.
Изготовление и установка шинирующих бюгельных протезов проходит в 4 этапа:
Получение слепков – классическим способом с помощью пластичных материалов или с применением цифровых технологий 3D-сканирования ротовой полости. При высокой степени подвижности зубов предпочтительнее второй вариант – он исключает вероятность выпадения подвижного зуба.
Создание протеза – по слепкам в зуботехнической лаборатории изготавливают копию челюстного ряда пациента, на основе которой техник формирует базисную и коронковую часть рабочей конструкции.
Примерка и доработка – готовый протез примеряют и, при необходимости, корректируют, устраняя несоответствия.
Окончательная установка – выполняется стоматологом-ортопедом после устранения всех шероховатостей изделия.
В процессе эксплуатации пациент может самостоятельно снять и установить конструкцию. Однако без особой необходимости делать этого не стоит – частое давление на плотное крепление протеза может усугубить подвижность расшатанных коронок. Протез снимают 1 раз в 2–3 недели для профилактической чистки. В остальное время гигиенический уход за устройством проводится непосредственно в ротовой полости специальной щеткой и пастой.
На заметку! Помимо удобных съемных конструкций существуют лечебные несъемные устройства, которые можно установить и снять только в условиях стоматологического кабинета. Как правило, их используют для временного курсового лечения.
Преимущества

Положительные стороны бюгельных протезов:
прочная фиксация – среди съемных структур они отличаются наибольшей надежностью;
удобная конфигурация – обеспечивают более равномерное распределение нагрузки на мягкие ткани десны за счет наличия опорных зубов;
комфортное ношение – сравнительно небольшой базис не перекрывает область неба, не искажает вкус, не нарушает дикцию и не натирает мягкие ткани;
возможность установки без обтачивания здоровых зубов;
длительный срок службы – при правильном уходе может прослужить до 10 лет.
На заметку! Бюгельный протез, также как и его пластинчатый аналог, может приводить к постепенной атрофии костной ткани, однако за счет оптимального перераспределения нагрузки она развивается в 2–3 раза медленнее, чем у любых других видов съемных конструкций.
Где в Москве можно установить шинирующий бюгельный протез
Врачи Стоматологии Бескудниково оказывают различные виды стоматологических услуг, в том числе с шинированием зубов различной сложности. В распоряжении наших ортопедов и техников современное оборудование и качественные материалы, но самое главное – это опыт. Именно он позволяет с успехом решать ортопедические задачи по восстановлению функциональности зубного аппарата даже у самых «сложных» пациентов.
Бюгельные протезы
Бюгельные протезы используются при наличии отдельных или многочисленных дефектов челюсти, в любой ее части. Также данный вид протезирования практикуют при наличии пародонтоза, неправильном прикусе и других дефектах полости рта.
Протезы не требуют специфического ухода, их достаточно чистить обычной щеткой и пастой, ополаскивать простой водой.

| Консультация врача ортопеда | 300 руб. |
|---|---|
| Бюгельный протез на одну челюсть | 40 000 руб. |
| Бюгельный протез на аттачменах | 53 000 руб. |
| Бюгельный протез на замковом креплении МК-1 | 53 000 руб. |
| Протез мягкий бюгельный Квадротти | 45 000 руб. |
Существует три вида бюгельных протезов:
- Протез с клеммами. Конструкция крепится к соседним зубам с помощью особых крючков, именуемых кламмерами;
- Бюгельный протез на аттачменах, или мостовидный протез составляет с опорными зубами единое целое. Обладает самым надежным креплением.
- Крепление с помощью телескопических коронок. То есть на соседние опорные зубы монтируются специальные коронки, замок же расположен внутри самого протеза.
Основные плюсы применения бюгельных протезов
Метод бюгельного протезирования оказывается наиболее совершенным с технологической точки зрения. С его помощью удается восстановить частичную потерю зубов, или полный зубной ряд при его отсутствии. Кроме того, можно устранить пародонтоз на его начальной стадии или оказать необходимое профилактическое воздействие и остановить болезнь до начала печальных последствий.
Для установки бюгельных протезов не требуется обточка соседних зубов и нарушение целостности тканей полости рта. Конструкция легко вынимается и вставляется на место, что помогает осуществлять необходимый гигиенический уход.
Цена бюгельного протеза в стоматологической клинике «НАВА» в Москве относительно демократична в сравнении с базальной имплантацией.
Показания и противопоказания
Как уже было замечено, бюгельное протезирование может применяться практически при любой проблеме. Бюгельный протез на нижнюю челюсть может устанавливаться на место любого зуба, поскольку он имеет надежное крепление. Бюгельный протез на верхней челюсти решает большинство эстетических проблем. Показана установка конструкции людям, страдающим от проявлений пародонтоза.
Противопоказаниями к установке могут стать:
- воспалительные процессы в тканях опорного зуба;
- низко расположенные коронки;
- плохо выраженные экваторы зубов;
- отсутствие 6-8 зубов в ряду.
Сроки установки протезов
Процесс установки всегда сугубо индивидуален и сопряжен с многочисленными особенностями строения челюсти, наличия заболеваний и воспалений тканей полости рта. Также большую роль играет выбор типа протеза. При благоприятной ситуации бюгельный протез с крючками устанавливается в течение 10-12 дней. Процесс установки изделий с замками или коронками занимает более 20 дней. Стоимость бюгельных протезов в стоматологической клинике «НАВА» в Москве также зависит от сложности установки и их разновидности.
Читайте также:
