Шваннома височной кости на томограмме
Добавил пользователь Валентин П. Обновлено: 22.11.2025
Полная диагностика включает в себя кроме основательного изучения истории болезни и обширного клинического обследования:
- ♦ oбследование у отоларинголога с аудиограммой, тест на слух, специальные электрофизиологические обследования
- ♦ МРТ (Магнитно-резонансная томография)
- ♦ высокоразрешенная КТ кости задней черепной ямки и височной кости
В случае возможного оперативного вмешательства также осуществляется дополнительная диагностика с использованием рентгенографии шейного отдела позвоночника и грудной клетки, эхокардиография сердца и анализы крови.
Варианты применяемой терапии
В зависимости от типа клинических жалоб, увеличения опухоли, возраста и предпочтений пациента, предлагаются три различных варианта лечения:
- ♦ Наблюдение с постоянным последующим контролем
- ♦ Стереотаксическое облучение
- ♦ Удаление хирургическим методом
Наблюдение
Этот метод часто применяется к пожилым пациентам без сильно выраженных жалоб, с маленькой опухолью (расширение опухоли ограничивается внешним слуховым каналом) и без опасности быстро растущей опухоли. Контрольные обследования в начале осуществляются каждые полгда (6 месяцев). Если по продолжению долгого времени наблюдений никаких клинических изменений, влияющих на общую картину развития болезни, не обнаружено, то интервалы проводимых контрольных проверок увеличиваются.
Стереотактическое облучение
Так как вестибулярные шванномы являются доброкачественными опухолевыми образованиями, "обычное" облучение опухоли в этом случае не дает нужного эффекта. Высокая доза облучения определенной точки может привести, вне зависимости от состояния роста опухоли, к разрушению тканей. Стереотактическое облучение вестибулярных шванном осуществляется на протяжении последних 10 лет при помощи гамма-ножа или линейного ускорителя . Целью этих видов терапии является обширное разрушение опухолевых тканей. Посредством тщательного планирования дозы облучения появляется возможность сохранить соседствующие с опухолью нервные соединения, однако, как следствие, происходит частичное разрушение опухоли. Эта методика часто применяется для опухолей с диаметром менее 2 см. Благодаря применению этой терапии достигается уменьшение в размерах или как минимум прекращается дальнейший рост опухоли. К сожалению до сих пор отсутствуют результаты исследований воздействия стереотектического облучения на нервы лица и остаточную функцию слухового аппарата, особенно по прошествии долгого времени. Головокружения и нарушения равновесия также не могут эффективно лечится при помощи этой терапии. Для пожилых пациентов с маленькими опухолями или пациентов с противопоказаниями для оперативного вмешательства этот метод являет собой хорошую альтернативу другим спосбам лечения.
Оперативное вмешательство
Операция может осуществлятся различными путями. В нейрохирургии Университетской клиники Тюбинген хирургическое вмешательство осуществляется в основном через затылочную часть (ретросигмоидальный или латеральный субокципитальный доступ). Для этого необходимо сбрить волосы на небольшом участке головы за ухом. После вскрытия задней крышки черепа открывается проход к опухоли, между височной костью и мозжечком, при этом ткани мозжечка только слегка меняют положение. Внутренний слуховой проход открывается и под микроскопом происходит удаление опухоли, которое полностью возможно на 99%. Операция осуществяется под постоянным наблюдением за функциями слуховых и лицевых нервов. У прооперированных таким способом пациентов в 95 % случаев сохраняются функции лицевого нерва, у около 50% пациентов сохраняется способность слышать. Операция осуществляется в положении (полу-)лежа, для того, чтобы получить наиболее максимальный доступ к чувствительным нервным соединениям. Пациентам, у которых после операции наблюдается непроходящий паралич лицевого нерва, предлагается реконструкция нерва и восстановление функции подвижности лица.
Оперативные вмешательства рекомендованы молодым пациентам и тем, у кого опухоль достигла больших размеров. Благодаря удалению опухоли наступает улучшение симптомов головокружения и проблем с вестибулярным аппаратом. Также такая операция представляется эффективным методом лечения пожилых пациентов с опухолями небольших размеров и тяжелыми приступами головокружения. Пациентам, страдающим нейрофиброматозом II типа, рекомендуется комбинированный подход лечения: выжидательная и оперативная терапия. Полное удаление опухоли у этих пациентов возможно в 80% случаев. Однако следует отметить, что у этих пациентов часто возможно повторное образование опухолей и рецидивы, которые влекут за собой повторные операции. Также рецидивы или новообразующиеся опухоли возможны после облучения - вероятность повторного облучения в этомслучае исключена. Негативно сказывающаяся на тканях стереотактическая терапия делает практически невозможным дальнейшие опертивные вмешательства. Поэтому мы не советуем пациентам, страдающим нейрофиброматозом, идти на облучение. Для больных нейрофиброматозом II типа типично развитие вестибулярной шванномы с обеих сторон. Несмотря на современные методы оперативного вмешательства, эти пациенты полностью теряют слух с течением времени. Благодаря слуховому имплантату в ствол головного мозга пациенты получают возможность слышать.
Шваннома височной кости на томограмме
Телефон регистратуры поликлиники:
Телефон регистратуры лучевой диагностики:
Гамма-нож
![]() |
Вестибулярная шваннома (невринома VIII нерва, акустическая невринома) представляет собой доброкачественное новообразование, возникающее из шванновских клеток вестибулярной порции VIII нерва.
Заболеваемость невриномами слухового нерва составляет примерно 1 случай на 100000 населения в год. Каждый год в Российской Федерации появляется 1500 новых случаев неврином слухового нерва. Среди первичных интракраниальных опухолей вестибулярные шванномы вестибулярные шванномы занимают 4-е место (после глиом, менингиом и аденом гипофиза), составляя до 6-10% всех верифицированных опухолей мозга и поражая преимущественно лиц работоспособного возраста (30-60 лет), на который приходится более 80% случаев. Вестибулярные шванномы составляют около 30% опухолей задней черепной ямки и до 90% новообразований мосто-мозжечкового угла. Несколько чаще встречаются у женщин, чем у мужчин, примерное соотношение 3:2.
Клиническая картина зависит от размеров опухоли. При небольших размерах симптоматики может не быть вовсе. По мере увеличения опухоли в размерах появляется симптоматика, зависящая от того, какие структуры сдавливает опухоль:
- Поражения нервов.
- Нарушение слуховой и вестибулярной функции.
- Расстройства функции вкуса на передней 2/3 языка и слюноотделения (XIII нерв).
- Расстройства функций каудальной группы нервов.
- Расстройства функции мимической мускулатуры.
- Глазодвигательные нарушения.
- Симптомы раздражении/компрессии ствола головного мозга.
- Различные виды нистагма.
- Пирамидная симптоматика.
- Мозжечковая симптоматика.
- Гипертензионно-дислокационный синдром.
Диагностика
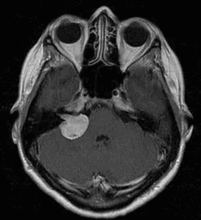
Наиболее информативным методом выявления вестибулярных шванном является МРТ головного мозга с контрастным усилением в режиме Т1 и Т2. Это исследование позволяет определить размеры опухоли, наличие перитуморозного отека, наличие признаков окклюзионной гидроцефалии, которая может быть следствием сдавления опухолью IV желудочка. Кроме этого МРТ позволяет провести дифференциальную диагностику с другими опухолями схожей локализации (чаще с менингиомой задней грани пирамиды височной кости). Еще одним стандартом диагностики является КТ в костном режиме. Независимо от снижения слуха стандартом является проведение аппаратной аудиографии.
Классификация KOOS
I стадия: опухоль находится в пределах внутреннего слухового прохода, диаметр экстраканальной части составляет 1-10 мм.
II стадия: опухоль вызывает расширение канала внутреннего слухового прохода, и выходит в мостомозжечковый угол, ее диаметр составляет, 11-20 мм.
III стадия: опухоль распространяется до ствола головного мозга без его компрессии, диаметр составляет 21 - 30 мм.
IV стадия: опухоль вызывает компрессию ствола головного мозга, ее диаметр более 30 мм.
Классификация M. Samii
Т1 – интрамеатальная опухоль.
Т2 – интра-экстрамеатальная опухоль.
Т3а – опухоль заполняет мостомозжечковую цистерну.
Т3b – опухоль распространяется до ствола головного мозга.
Т4а – опухоль вызывает компрессию ствола.
Т4b – опухоль грубо деформирует ствол мозга и IV желудочек.
Тактика лечения
В зависимости от размеров опухоли, клинической симптоматики, возраста больного, тяжести его состояния, наличия сопутствующей патологии возможны 3 варианта тактики лечения:
- динамическое наблюдение;
- хирургическое лечение;
- стереотаксическая радиохирургия.
Динамическое наблюдение
Учитывая, что вестибулярная шваннома является доброкачественной опухолью с невысокими темпами роста, при небольших ее размерах, отсутствии или минимальном неврологическом дефиците возможен выбор выжидательной тактики. Особенно такой подход оправдан у пожилых людей, или у пациентов с выраженной декомпенсированной соматической патологией. Однако, в большинстве случаев, учитывая риски, связанные с возможным ростом опухоли, более оправданным считается выбор активной тактики.
Хирургическое лечение
Наличие у пациента вестибулярной шванномы является показанием к хирургическому лечению. Большие и гигантские размеры опухоли (более 3,5 см.) являются абсолютным показанием к хирургическому лечению. При меньших размерах возможно проведение радиохирургического лечения.
Для удаления вестибулярных шванном в настоящее время используются три основных доступа: транслабиринтный, ретросигмовидный (наиболее часто используемый) и доступ через среднюю черепную ямку. Каждый из них обладает своими преимуществами и своими же недостатками. В последние годы в связи с развитием микрохирургической техники результаты хирургического лечения пациентов значительно улучшились. Летальность после удаления вестибулярных шванном колеблется в пределах (0-3%), рецидивы опухоли наблюдаются в 5-10%.
В настоящее время превалирующим фактором результативности хирургического лечения считается качество жизни пациента, поэтому интраоперационная тактика в большей степени должна быть нацелена на достижение именно этой цели. Такие послеоперационные осложнения как паралич лицевого нерва (до 25%), нарушения глотания, глазодвигательные нарушения, несут существенную угрозу инвалидизации, поэтому проведение таких операций диктуют высокие требования к профессиональной подготовке оперирующего нейрохирурга. Из послеоперационных осложнений также следует отметить ликворею у 2-20% пациентов, которая иногда может потребовать проведение повторной операции для закрытия ликворного свища; кровоизлияние в ложе операции (1-2%); отек мозжечка и ствола мозга; гемипарез; менингит (1,2%); раневую инфекцию (1,2%); парез VI черепного нерва (1-2%) и парезы других, ниже расположенных черепных нервов; подкожную гематому (3%).
Стереотаксическая радиохирургия
Целью радиохирургического метода является контроль роста опухоли. Стабилизация процесса и даже уменьшение размеров наблюдается в 85-94% случаев, что соответствует мировым данным. Другим критерием эффективности лучевой терапии является высокий (до 98%) показатель отсутствия операции после проведения облучения. Важным также является сохранение функции улиткового и других черепных нервов в случаях, когда это возможно, а также улучшение неврологического статуса пациента. Эффективность применения Гамма-ножа при лечении больных с вестибулярными шванномами создало реальную альтернативу хирургическому лечению при опухолях, размеры которых не превышают 3,5 см, при этом метод радиохирургии лишен недостатков хирургического метода лечения.
После облучения опухоли гамма-ножом возможно как уменьшение ее размеров, так и временное их увеличение. Третьим возможным вариантом развития событий может быть продолженный рост опухоли, однако, это происходит нечасто (от 0 до 7% в течение 10 лет).
Версия для слабовидящих Карта сайта
Шваннома височной кости на томограмме
Шваннома височной кости на томограмме
а) Вестибулярные шваномы (акустические невриномы) составляют около 10% среди причин односторонней сенсоневральной тугоухости и вестибулярной дисфункции неизвестной этиологии. Большинство опухолей возникает из вестибулярного нерва во внутреннем слуховом проходе. МРТ является методом выбора в оценке мостомозжечкового угла. Формат исследования зависит от клинической симптоматики.
Ограниченное исследование слухового прохода выполняется для обследования пациентов с односторонней потерей слуха, как внезапной, так и прогрессирующей. Исследование состоит из 2 мм смежных аксиального и коронарного Т1 и Т2 FSE изображений внутреннего слухового прохода, полученных до инфузии контраста. Если опухоль четко ограничена на FSE-изображениях как дефект наполнения внутри свечения цереброспинальной жидкости, исследование прекращается.
В противном случае, вводится контраст, и изображения в режиме Т1 оцениваются в аксиальной и коронарной проекциях, для выявления опухолей размером менее 2 мм. Вестибулярные шванномы необходимо дифференцировать с невриномами лицевого нерва, возникающими во внутреннем слуховом проходе, последние обычно распространяются в просвет фаллопиевого канала.
Полное обследование внутренних слуховых проходов и головного мозга проводится у пациентов с двухсторонним снижением слуха и вертиго для исключения нейрофибромы. Перед инфузией контраста исследование включает 2-мм FSE аксиальное изображение задней черепной ямки и внутренних слуховых проходов, 2-мм коронарные срезы в режиме Т1 внутренних слуховых проходов, и 5-мм аксиальные срезы головного мозга с жидкостным ослаблением, что важно для исключения демиелинизации.
После введения контраста в режиме Т1 выполняются 2-мм коронарные изображения внутренних слуховых проходов и 5-мм аксиальные срезы головного мозга.
Вестибулярная шваннома справа: компьютерная томографическая пневмоцистернограмма.
Воздух окаймляет выпуклость медиальной поверхности опухоли, вдающейся из внутреннего слухового прохода в прилегающую мостомозжечковую цистерну. Вестибулярная шваннома; МРТ: А. Быстрое спиновое эхо (FSE); Б. Т1 после контраста.
Опухоль хорошо видна в FSE изображении как заполняющая дефекты в яркой цереброспинальной жидкости (А).
Размер опухоли наиболее четко определяется при постконтрастном исследовании (Б). Шваннома лицевого нерва; МРТ.
А. Аксиальная, Б. Коронарная проекция в режиме Т1 после контрастирования.
Опухоль заполняет внутренний слуховой проход и распространяется в лицевой канал (стрелка).
Изображения с ослаблением жировой ткани должны проводиться после введения контраста у пациентов, перенесших в прошлом операции, поскольку операционные лоскуты, используемые для заполнения хирургических дефектов, содержат жир, который может маскировать усиление резидуальных или рецидивных опухолевых масс.
КТ проводится только при недоступности МРТ или когда МРТ противопоказана из-за медицинских имплантатов, таких как кардиостимулятор.
КТ позволяет правильно оценить внутренние слуховые проходы. Поскольку их размер варьирует от 2 до 12 мм, а каналы одного и того же обследуемого пациента практически идентичны, необходимо всегда проводить двустороннее исследование, для сравнения правого и левого канала. Расширение на 2 мм и более, а также укорочение задней стенки канала от 3 мм в сравнении с каналом нормально слышащей стороны, обычно показательно в отношении объемных образований.
Расширение на 1-2 мм и укорочение задней стенки на 2 мм являются поводом заподозрить новообразование. В этом случае выполняется введение контраста. Контрастирование позволяет выявить экстраканаликулярные опухоли размером более 5 мм. При отрицательном результате контрастирования выполняется люмбальная пункция с введением в субарахноидальное пространство 3 мл воздуха или газа (СО2 или О2). При правильном расположении во время исследования газ поступает в мостомозжечковую цистерну.
При наличии опухоли воздушный контур огибает медиальный край массива, что указывает на частичный или полный блок внутреннего слухового прохода. Благодаря этой методике четко идентифицируются интраканаликулярные опухоли размером 2-3 мм.
б) Лабиринтные шванномы. Впервые небольшие шванномы были обнаружены в преддверии улитки при посмертной диссекции височной кости. Эти образования обычно не выявляются при КТ, но хорошо видны как мелкие очаги усиления при МРТ с контрастированием.

Кохлеарная шваннома: МРТ в коронарной проекции при режиме Т1 до (сверху) и после (внизу) контраста.
2-х миллиметровый массив усиления виден внутри улитки (стрелка). Внутренний слуховой проход не изменен.
Редактор: Искандер Милевски. Дата обновления публикации: 18.3.2021
Невринома: виды, симптомы, диагностика
Виды неврином по локализации и соответствующие им симптомы
Рассмотрим основные виды патологии и то, какими признаками они сопровождаются.
Невринома позвоночника (шейная, грудного отдела)
Чаще всего поражает грудной и шейный отдел позвоночника. В соответствии с общепринятой классификацией относится к внемозговому типу. Развивается на спинномозговых корешках и сдавливает снаружи спинной мозг.
Возникающие при этом симптомы:
- Корешковый синдром. Характеризуется болью по ходу спинного мозга, может наблюдаться вялый паралич, нарушение чувствительности в пораженном участке.
- Вегетативные нарушения. Симптоматика зависит от того, какой нерв вегетативной системы был поражен опухолью. Могут нарушаться функции органов малого таза (задержка либо недержание мочи, стула), органов ЖКТ (боль в животе, трудности при глотании), сердца (изменение ритма, брадикардия, стенокардия).
- Синдром Броун Секара, когда сдавливается спинной мозг. Ниже уровня расположения опухоли возникает спастический парез, вялый паралич на уровне шванномы, выпадение чувствительности на стороне поражения, утрата ощущения температуры и боли с противоположной стороны.
- Дискомфорт между лопаток, боли, утрата чувствительности.
Признаки патологии могут то появляться, то проходить. По мере роста новообразования симптоматика становится сильной и постоянной. Боли обычно усиливаются в положении лежа.
Невринома головного мозга
Шваннома черепно-мозговых нервов – это опухоль, растущая в пределах черепа. Чаще всего развивается на тройничном и слуховом нервах. В 90% случаев – односторонняя. Симптомы обычно включают:
- внутричерепную гипертензию;
- проявления сдавления окружающего мозгового вещества;
- признаки поражения нервного волокна;
- психические расстройства;
- судороги;
- атаксию;
- нарушения интеллекта;
- гипотонию мышц ног и рук;
- нарушение функции сердца и дыхания;
- изменение зрительных полей.
Невринома тройничного нерва
Это около 35% от всех внутричерепных шванном, вторая по частоте диагностирования шваннома головного мозга. Симптомы зависят от размера новообразования:
- сначала нарушается чувствительность на той половине головы, где есть опухоль;
- позднее поражаются жевательные мышцы, наступает их слабость;
- при росте образования далее появляется тошнота, рвота, распирающая головная боль, сдавливается кора височной доли;
- на запущенных стадиях добавляются обонятельные и вкусовые галлюцинации.
Невринома слухового нерва (акустическая шваннома)
Из-за расположения в мозжечково-мостовом углу опухоль быстро сдавливает окружающие участки головного мозга и нервы. Симптомы делятся на три вида:
- поражение улиткового участка нерва – звон и шум в ухе на стороне поражения;
- ухудшение слуха – постепенно, с высоких тонов;
- при размере опухоли 2-3 см появляется похожая на зубную боль, атрофируются жевательные мышцы;
- когда опухоль достигает 4-5 см поражается отводящий и лицевой нерв, в связи с чем теряется вкус на языке, неправильно работают слюнные железы, нарушается чувствительность лица на стороне поражения, возникает косоглазие с двоением в глазах;
- вестибулярные нарушения (размер образования 5-6 см) – головокружения, обмороки.
Шваннома лицевого нерва
Последствия такой невриномы – нарушение вкуса на первой половине языка, онемение и асимметрия лица, гипотония мимических мышц, нарушение процесса слюноотделения. Возможно разрушение костных структур.
Невринома Мортона (стопы)
Представляет собой доброкачественное разрастание фиброзной ткани в зоне подошвенного нерва. В основном развивается между 3-м и 4-м пальцами. Симптомы – это боль в стопе, ощущение инородного тела, усиление дискомфорта при ношении узкой обуви и нагрузке.
Невринома конского хвоста
Локализуется в самом нижнем отделе позвоночного канала. Сначала проявляется односторонним корешковым синдромом, затем – двухсторонним. Возникает вялый парез ног, нарушения чувствительности мозаичного типа, затруднения при дефекации и мочеиспускании.
Методы диагностики невриномы
Перечень исследований подбирает нейрохирург или невролог. Диагностика начинается с исключения заболеваний с похожей симптоматикой, проводится физикальное обследование – осмотр, опрос пациента на предмет жалоб.
Далее могут назначаться следующие обследования:
- При внутричерепной шванноме – МРТ или КТ головного мозга. КТ менее информативна, потому что не «видит» новообразования менее 2 см. Если МРТ сделать нельзя, то делают КТ с контрастом.
- МРТ или КТ позвоночника. Позволяет обнаружить опухоли, сдавливающие спинной мозг и спинномозговые нервные корешки.
- Аудиометрия. Это часть комплексной диагностики шванномы слухового нерва. Она дает возможность узнать степень потери слуха, причину его снижения.
- УЗИ или МРТ при расположении новообразования на периферических нервах. Первое обнаруживает утолщение неврилеммы. МРТ определяет точную локализацию опухоли, ее структуру и степень поражения нервного волокна.
- Электронейромиография. Таким способом оценивают проходимость по нерву электрических импульсов. Применяется почти при любом виде патологии и оценивает степень нарушения структуры нерва.
- Биопсия. Это прижизненный забор биоматериала с последующим цитологическим анализом. Определяет, злокачественная опухоль или доброкачественная.
Лечение и удаление шванномы
Данную опухоль нельзя вылечить консервативно. Поэтому ее либо удаляют хирургически, либо облучают. Иногда избирается выжидательная тактика:
- при слабых и не прогрессирующих симптомах;
- при случайном обнаружении опухоли во время диагностики другой болезни с помощью КТ или МРТ.
Хирургическое удаление невриномы
Основные показания к операции – это:
- быстрое увеличение новообразования;
- продолжение роста опухоли после ее частичного удаления;
- рост опухоли после радиохирургического вмешательства;
- нарастание симптомов;
- появление новых симптомов у пациентов в возрасте до 45 лет.
При нейрохирургической операции опухоль удаляется полностью, если она не проросла в окружающие ткани. Риск рецидива сводится в такой ситуации к абсолютному минимуму. Однако операция противопоказана людям старше 65 лет, при общем плохом состоянии и при соматических болезнях в стадии декомпенсации.
Если опухоль срослась с нервами, то приходится удалять ее не полностью и далее применять методы радиохирургии (гамма- или кибер-нож).
Когда операцию нельзя провести технически, пациенту назначают лучевую терапию – направленное облучение образования потоком элементарных частиц. Для этого применяется установка линейный ускоритель.
Пластика нервов и сухожилий – самые сложные хирургические манипуляции. Хирург должен быть опытным, хорошо знакомым с .
Прием хирурга может понадобиться при плановой госпитализации, диспансеризации, для получения некоторых видов медицинских карт .
Преимуществ платной медицины очень много. Это удобно, приятно, комфортно. Однако многие выбирают государственные поликлиники .
Неврогенные опухоли среднего уха
Невринома (шваннома) – это доброкачественное новообразование, которое развивается из шванновских клеток, образующих оболочку нерва. В оториноларингологии наиболее чаще встречаются невриномы VIII и VII пары черепных нервов. Опухоль имеет продолженный рост, не только поражает нерв, но так же постепенно растет, разрушает внутренний слуховой проход, увеличивается в размерах, переходит на мозжечок и ствол мозга. Вестибулярная шваннома встречается чаще, чем невринома лицевого нерва. Опухоль может возникать в любом сегменте лицевого нерва, но наиболее чаще поражается его вертикальный сегмент. Диагностика непроста, так как наиболее чаще предполагают другую этиологию паралича лицевого нерва.
Симптомы болезни в начальном периоде роста опухоли могут отсутствовать, иногда пациент при выполнении самостоятельного туалета уха в наружном слуховом проходе обнаруживает «препятствие», далее появляется снижение слуха, чаще одностороннее, «звон» в ухе, снижается разборчивость речи во время телефонного разговора.
При значительном росте невриномы пациенты отмечают появление асимметрии лица – слабость мышц лица, сглаженность носогубной складки, неполное закрытие глаза пораженной стороны. При прогрессировании патологического процесса пациенты ощущают головные боли, нарушается равновесие и координация движений, иногда присоединяется спутанность сознания.
До сих пор причины развития невриномы слухового и лицевого нервов не изучены. Многие исследователи предполагают, что у пациентов с невриномой прослеживается генетическая предрасположенность. Существует особая группа пациентов с диагнозом « нейрофиброматоз», у которых невриномы проявляются на различных областях тела, в т.ч. и в области слухового нерва.
В ФГБУ НМИЦ оториноларингологии ФМБА России в научно-клиническом отделе заболеваний уха успешно проводится диагностика и лечение пациентов с невриномой слухового нерва. Специалисты отдела обладают большим опытом в лечении данного заболевания, хирургами отдела успешно проведены операции по удалению невриномы. Все сотрудники прошли стажировки в лучших клиниках России и Европы, активно применяют самые современные методы лечения этого непростого заболевания. В нашем Центре после тщательного изучения жалоб пациента, истории его болезни, в обязательном порядке назначают тщательное диагностическое обследование.
Для установления диагноза проводят КТ исследование височных костей, МРТ головного мозга с контрастированием, что позволяет определить не только размер опухоли, но и точную локализацию и границы распространения.
Пациенты должны знать, что проведение МРТ с контрастированием на ранней стадии развития болезни обеспечивает успех лечения невриномы и позволяет избежать сложных последствий для жизни человека.
В Центре для определения степени тугоухости и реакции мозгового ствола обязательно проводится слуховое тестирование. Реакция движения глаз, головокружение оценивается с помощью электронистагмографии. При подозрении на невриному диагноз в обязательном порядке верифицируется гистологическим исследованием – биопсия опухоли.
В НКО заболеваний уха лечение невриномы только хирургическое. Консервативное лечение неэффективное, чаще симптоматические, его применение оправдано только при наличии у пациента противопоказаний к хирургическому лечению (состояние здоровья, возраст, неоперабельный опухоль). Такое лечение включает назначение противовоспалительных препаратов, диуретики, обезболивающие.
Хирургическое вмешательство направлено на тотальное или субтотальное удаление невриномы. Чтобы сохранить целостность слухового нерва при оперативном вмешательстве требуется большой профессионализм хирурга. Наши специалисты при проведении таких операций успешно применяют современные «слухосохраняющие» методы. Следует заметить, что при удалении невриномы размером более 2 см, удается полностью сохранить слуховую функцию.
В Центре для лечения невриномы планируется проведение операции «без крови» с использованием «гамма-ножа». При этом достигаются сразу две цели - облучение опухоли после хирургического вмешательства и предотвращение ее дальнейшего роста. Процедура с использованием « гамма-ножа» проходит без разрезов, так как радиация абсолютно точно попадает в место локализации невриномы, сама процедура безболезненна.
Специалисты Центра считают, что при лечении невриномы прогноз благоприятный. Пациенты должны запомнить, что если болезнь находится в запущенном состоянии, то она может оказаться весьма опасной для жизни человека. Не стоит заниматься самолечением, помочь в борьбе с невриномой может только квалифицированный оториноларинголог-отохирург.
Клинический случай в НКО заболеваний уха
В ФГБУ НМИЦО РОССИИ поступила больная К., 32 года, с диагнозом: Невринома правого лицевого нерва. Периферическая невропатия правого лицевого нерва .При поступлении пациентка жаловалась на значительное снижение слуха на правое ухо, постоянное отделяемое из правого уха, асимметрию лица, слезотечение из правого глаза.
Анамнез: В 2009 году на восьмом месяце беременности ощутила резкое снижение слуха на правое ухо. ЛОР врачом амбулаторно диагностирован полип правого уха.Не лечилась. В декабре 2013г появилась асимметрия лица - опущение правого угла рта, сглаженность правой носогубной складки. После проведения КТ височных костей от 29.11.13г., пациентке рекомендовано хирургическое лечение. В ГБУЗ КБ №3 12.12.13г произведено удаление новообразования наружного слухового прохода - операция сопровождалась обильным кровотечением, гистологическое заключение – невринома. После хирургического лечения асимметрия лица прогрессировала, появилось периодическое отделяемое из правого уха, постоянный шум пульсирующего характера, приступообразные боли правой половины лица, сопровождающейся спастическим парезом мимической мускулатуры лица. Приступы повторялись с частотой раз в два месяца, купировались приемом НПВС. Больная 13.01.14г проконсультирована онкологом, 04.02.14г – радиологом: рекомендовано решить вопрос о хирургическом лечении. Поступила для планового хирургического лечения в ЛОР отделение (отдел заболеваний уха).
КТ височных костей от 29.11.13г: Признаки остеодеструкции сосцевидного отростка и пирамиды правой височной кости, с деструкцией стенок сигмовидного синуса, канала внутренней яремной вены и,возможно, с захватом канала лицевого нерва. Так же отмечается деструкция задней стенки суставной ямки правого ВНЧС. В проекции НСП с распространением в область деструкции визуализируется мягкотканный субстрат, повышающий плотность после введения контрастного вещества. Объемное образование головного мозга не обнаружено.
МРТ головного мозга с контрастным усилением от 21.01.2014г: МР признаки объемного образования в области правого НСП (невринома); МР признаки компрессии правого сигмовидного синуса, умеренной наружной гидроцефалии, арахноидальной (врожденной) кисты в области правого мостомозжечкового угла.
15.08.14г под ЭТН произведено удаление новообразования правого уха: 2/3 тимпанального отдела лицевого нерва был поражен патологическим процессом, который распространялся наоснование стремени, переходил в область улитки и деструктировал основной завиток на небольшом протяжений. Далее опухолевый процесс распространялся в область тимпанального устья слуховой трубы, разрушал костную стенку колено ВСА, интимно срастался с ней на значительном протяжении – под визуальным контролем микрораспатором отсепарована. Вертикальная порция лицевого нерва была представлена новообразованием до уровня foramen stylomastoideum. Так же опухолевый процесс распространялся в гипотимпанум, деструктировал костный канал bulbus venae jugularis superior и переходил на стенку вены - при отсепаровке кровотечение остановлено прижатием губки Суржицел. Наблюдалась деструкция передней стенки наружного слухового прохода в проекции суставной ямки ВНЧС. После удаления новообразования образовался значительный дефект лицевого нерва, который замещен аутовставкой n. Auricularis magnus (длина 3см). Тимпанальное устье слуховой трубы после отсепаровки слизистой оболочки облитерировано соединительной тканью, произведена полная облитерация трепанационной полости кусочками абдоминального аутожира с ушиванием наглухо наружного слухового прохода по методу Rambo. Послеоперационный период протекал удовлетворительно, рекомендован курс реабилитационной терапии для восстановления функции лицевого нерва (массаж лица, ЛФК, иглоукалывание).
Читайте также:

