Шваннома яремного отверстия - лучевая диагностика
Добавил пользователь Владимир З. Обновлено: 23.11.2025
НИИ нейрохирургии им. акад. Н.Н. Бурденко РАМН, Москва
ФГАУ «Национальный медицинский исследовательский центр нейрохирургии им. акад. Н.Н. Бурденко» Минздрава России, Москва, Россия
ФГБУ "НИИ нейрохирургии им. акад. Н.Н. Бурденко" РАМН, Москва
ФГАУ «Национальный медицинский исследовательский центр нейрохирургии им. акад. Н.Н. Бурденко» Минздрава России, Москва, Россия
Невринома подъязычного нерва: случай из практики и обзор литературы
Журнал: Журнал «Вопросы нейрохирургии» имени Н.Н. Бурденко. 2019;83(5): 51‑57
НИИ нейрохирургии им. акад. Н.Н. Бурденко РАМН, Москва
Невринома (шваннома) подъязычного нерва — редкая опухоль, составляющая менее 5% всех невестибулярных неврином. Опухоль может иметь спорадический характер или быть проявлением нейрофиброматоза 2-го типа. Заболевание манифестирует, как правило, с девиации языка. По мере увеличения размеров опухоли у пациентов развиваются бульбарные нарушения и боли в шейно-затылочной области. Магнитно-резонансная томография (МРТ) является ведущим методом диагностики заболевания. Летальность при хирургическом лечении данных опухолей до 70-х годов XX века достигала 50%. Как и в настоящее время, она обусловлена усилением бульбарных симптомов и нарушением функции дыхания после удаления опухоли. С внедрением в клиническую практику стереотаксического лучевого лечения появилась тенденция перехода от радикального удаления опухоли к субтотальному, цель которого состоит в резекции парастволовой части опухоли и декомпрессии ствола мозга. На внутрикостный фрагмент опухоли проводится лучевое воздействие. В статье представлен случай успешного хирургического лечения пациента с невриномой подъязычного нерва. Опухоль удалена субтотально через срединный субокципитальный доступ. На оставшуюся часть опухоли, располагающуюся в канале подъязычного нерва, планируется проведение лучевой терапии.
НИИ нейрохирургии им. акад. Н.Н. Бурденко РАМН, Москва
ФГАУ «Национальный медицинский исследовательский центр нейрохирургии им. акад. Н.Н. Бурденко» Минздрава России, Москва, Россия
ФГБУ "НИИ нейрохирургии им. акад. Н.Н. Бурденко" РАМН, Москва
ФГАУ «Национальный медицинский исследовательский центр нейрохирургии им. акад. Н.Н. Бурденко» Минздрава России, Москва, Россия
МРТ — магнитно-резонансная томография
НПН — невринома подъязычного нерва
СКТ — спиральная компьютерная томография
Невринома — доброкачественная опухоль, происходящая из шванновской оболочки черепно-мозговых и периферических нервов. Невринома (шваннома) подъязычного нерва (НПН) — достаточно редкая патология, составляющая около 5% от всех невестибулярных внутричерепных неврином [1—5]. Впервые НПН описаны De Martel в 1933 г. (цит. по [6]). Тогда же выдвинута гипотеза, что местом исходного роста НПН является внутриканальная порция подъязычного нерва (по аналогии с вестибулярными невриномами, которые почти всегда исходят из области внутреннего слухового прохода). В опубликованном S. Weindling и соавт. [7] описании серии из 40 пациентов, у которых определялось поражение данной локализации, только 16 больных имели НПН, в 15 случаях выявлялись юкстаартикулярные кисты и в 9 — костные кисты области подъязычного канала. Опухоли могут иметь спорадический характер (чаще) или же быть проявлением нейрофиброматоза 2-го типа [5, 7]. Заболевание выявляется в возрасте от 11 лет до 78,5 года (в основном в 37—56 лет). Несколько чаще болезнь поражает женщин [6, 7].
Манифестация опухоли, как правило, начинается с девиации и гипотрофии языка. По мере распространения опухоли к стволу головного мозга и верхним шейным сегментам спинного мозга к симптомам добавляются боли в шейном отделе позвоночника. При разрушении стенок канала подъязычного нерва, деструкции костей, формирующих яремное отверстие, и воздействии опухоли на бульбарную группу нервов возникают нарушения глотания и фонации. При компрессии ствола мозга и мозжечка у пациентов могут обнаруживаться нарушения статики и походки, пирамидная недостаточность [1, 3, 5].
Магнитно-резонансная томография (МРТ) головного мозга является ведущим методом диагностики заболевания. Исследование определяет опухоль, по нейровизуализационным характеристикам соответствующую невриноме любой другой локализации. НПН на стадии клинических проявлений имеет несколько четко визуализируемых на МРТ частей. Интракраниальная часть опухоли располагается, как правило, на уровне краниовертебрального перехода и обусловливает компрессию продолговатого мозга. Внутрикостный фрагмент опухоли располагается в расширенном канале подъязычного нерва. Экстракраниальная часть выходит из расширенного канала подъязычного нерва, компримируя расположенные здесь внутреннюю сонную артерию и внутреннюю яремную вену, волокна первых спинномозговых нервов, а также корешков каудальной группы нервов. Спиральная компьютерная томография (СКТ) головного мозга позволяет оценить костную анатомию, а также степень деструкции канала подъязычного нерва, его взаимоотношение с областью яремного отверстия [7].
По классификации НПН, предложенной A. Kaye (1984), выделены следующие типы опухоли:
— тип A — интрадуральная опухоль;
— тип B — опухоль по типу «гантели» или «песочных часов»;
— тип С — экстракраниальная опухоль.
В последнее время дополнительно выделяют тип D — опухоль периферических отделов подъязычного нерва [2, 3, 5].
Варианты ведения пациентов, как и при невриномах других локализаций, включают выжидательную тактику, хирургическое лечение и лучевую терапию. Наблюдательная тактика принимается при отказе пациента от какого-либо метода лечения или при впервые выявленной опухоли небольшого размера [1, 3, 5].
При хирургическом лечении используют ретросигмовидный субокципитальный, срединный субокципитальный, транскондилярный и заднебоковой (far-lateral) доступы [4, 5]. До 70-х годов прошлого века послеоперационная летальность достигала 50% и была обусловлена, в большинстве случаев, дыхательной недостаточностью вследствие усугубления бульбарных симптомов. В тот период времени даже предложена рекомендация о наложении трахеостомы еще на дооперационном этапе [4, 5]. Проведение операции на современном этапе включает обязательный нейрофизиологический мониторинг каудальной группы нервов (IX—XII черепные нервы).
Тотальное удаление опухоли, даже в условиях нейрофизиологического мониторинга, сопряжено с высоким риском неблагоприятного исхода. Оно возможно только при использовании травматичного транскондилярного доступа, что также не является гарантией тотального удаления, а вероятность осложнений достаточно высока [3, 5, 6]. Бульбарные нарушения в послеоперационном периоде возникают в 100% случаев, а степень их выраженности определяет исход. Они могут быть как транзиторными, проявляясь дисфонией, так и постоянными, вплоть до отсутствия каких-либо глотательных и дыхательных движений, что требует зондового питания и искусственной вентиляции легких. Наиболее предпочтительны тактика субтотального удаления опухоли, достижение декомпрессии ствола мозга и черепных нервов с последующим стереотаксическим облучением остатков опухоли [3, 5].
Описание клинического случая
Пациентка В., 43 лет, поступила в клинику ФГАУ «Национальный медицинский исследовательский центр нейрохирургии им. акад. Н.Н. Бурденко» с жалобами на боли в шейно-затылочной области, преимущественно справа, которые беспокоят ее в течение последних 4 мес.
При обследовании в клинической картине выявлены: девиация языка вправо, легкая недостаточность функции бульбарной группы нервов без нарушения глотания, болевой синдром в шейно-затылочной области преимущественно справа, с иррадиацией в правое плечо.

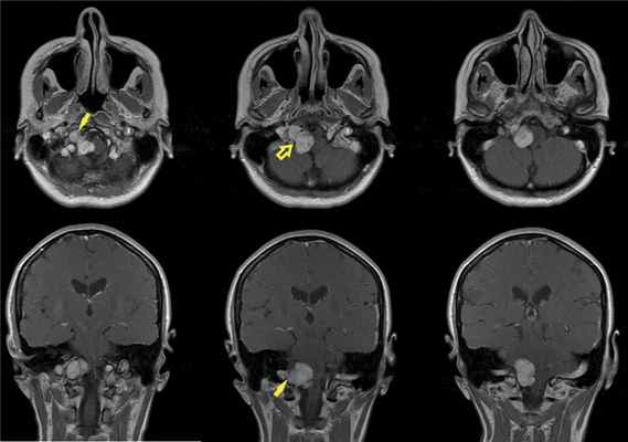
По данным МРТ головного мозга с усилением сигнала парамагнетиком выявлена опухоль парастволовой локализации справа, компримирующая продолговатый мозг и исходящая из расширенного канала подъязычного нерва. Меньший по размерам компонент опухоли располагался в полости канала и распространялся экстракраниально (рис. 1). Рис. 1. МРТ головного мозга пациентки В. до операции. При усилении сигнала выявляется опухоль справа, соответствующая невриноме, в форме «гантели», располагающаяся одной частью на уровне краниовертебрального перехода и вызывающая компрессию ствола мозга, а другой — частью в костных структурах.

При СКТ головного мозга в костном режиме выявлен расширенный канал подъязычного нерва с деструкцией его стенок. Заднелатеральная стенка практически отсутствовала, вследствие чего полость канала сообщалась с просветом яремного отверстия (рис. 2). Рис. 2. СКТ головного мозга пациентки В. в костном режиме до операции. Определяется деструкция канала подъязычного нерва справа, канал отделен от полости яремного отверстия тонкой костной перегородкой (указано стрелкой).

При проведении диффузионно-тензорной трактографии реконструированы каудальная группа нервов и кортикоспинальный тракт. Последний компримирован опухолью и оттеснен влево. На нижнем полюсе располагались корешки верхних шейных сегментов спинного мозга и подъязычного нерва. Языкоглоточный и блуждающий нерв располагались на верхнем полюсе опухоли и были деформированы (рис. 3). Рис. 3. Диффузионно-тензорная трактография головного мозга пациентки В. до операции. Определен кортикоспинальный тракт в стволе головного мозга, на верхнем полюсе опухоли располагаются языкоглоточный и блуждающий нервы, по переднему полюсу проходят добавочный нерв и корешок СI. а — кортикоспинальный тракт, б — корешки IX, X, XI черепно-мозговых нервов, в — акустико-фациальная группа нервов, г — опухоль.
Пациентке выполнена операция по удалению опухоли. В положении «конкорд» (лежа на операционном столе лицом вниз) произведен срединный субокципитальный доступ с резекцией задней дужки позвонка СI и чешуи затылочной кости с латерализацией трепанационного окна вправо. Твердая мозговая оболочка рассечена дугообразно над правой гемисферой мозжечка и стволом мозга до позвонка СII и фиксирована на лигатурах. Вскрыта арахноидальная оболочка большой затылочной цистерны, полушарие мозжечка отведено при помощи шпателя, обнаружена опухоль светло-желтого цвета с капсулой и небольшим количеством сосудов на ее поверхности, исходящая из боковой части большого затылочного отверстия. При нейрофизиологическом мониторинге черепных нервов на нижней и передней поверхностях определено расположение корешков отводящего нерва и корешка СI.

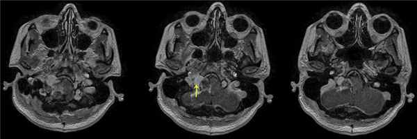
При проведении МРТ головного мозга пациентки В. на 3-и сутки после операции выявлена остаточная часть опухоли в канале подъязычного нерва (рис. 5). Рис. 5. МРТ головного мозга пациентки В. на 3-и сутки после операции. При усилении сигнала парамагнетиком определяется остаток опухоли в канале подъязычного нерва справа (указано стрелкой).
В неврологическом статусе у пациентки, помимо локального болевого синдрома, наблюдалось усиление бульбарных нарушений, не являвшихся показанием к установке назогастрального зонда или наложению трахеостомы, а также отмечены легкие нарушения статики и походки.
Гистологическое исследование биоптата — типичная невринома.
Далее планируется лучевая терапия на остаточную внутриканальную часть опухоли.
Заключение
Невринома подъязычного нерва является довольно редкой и малоизученной патологией, составляющей менее 5% случаев всех невестибулярных неврином. Заболевание, как правило, проявляет себя, когда опухоль достигает значительных размеров и вызывает компрессию ствола головного мозга и корешков каудальной группы нервов. В связи с этим удаление опухоли является основным методом лечения. Тотальное удаление опухоли затруднительно, возможно только при использовании травматичных транскондилярного или заднебокового (far-lateral) доступов и сопровождается возникновением тяжелых послеоперационных неврологических осложнений, преимущественно за счет поражения бульбарной группы нервов. Впоследствии многие пациенты погибают в результате нарушения кровообращения в стволе головного мозга или присоединения инфекционных осложнений.
С появлением метода стереотаксической лучевой терапии, который по своей эффективности немногим уступает хирургическому лечению в контроле роста опухоли, отпала необходимость в выполнении радикальной операции, если ее проведение связано с высоким риском развития осложнений и летального исхода. В нашем случае мы также руководствовались данным подходом к лечению пациента. Для удаления опухоли выбран малотравматичный срединный субокципитальный доступ с небольшой латерализацией в сторону патологического очага, выполнено субтотальное удаление опухоли, чем достигнута декомпрессия ствола мозга. В интракраниальном пространстве опухоль удалена полностью, а это стало возможным благодаря хорошо выраженной плоскости диссекции между поверхностью опухоли и мозговыми нейроваскулярными структурами. Внутрикостная остаточная часть опухоли будет подвергнута лучевой терапии. Такой подход позволяет сократить риск возникновения стойких бульбарных нарушений, уменьшить сроки социальной и трудовой реабилитации и сохранить качество жизни пациентов.
Участие авторов:
Концепция и дизайн исследования — В.Ш., С.Т., В.П.
Сбор и обработка материала — К.Ш., В.П., Ф.А.
Статистический анализ данных — К.Ш., В.П.
Написание текста — К.Ш., В.П.
Редактирование — В.Ш., С.Т.
Авторы заявляют об отсутствии конфликта интересов.
The authors declare no conflict of interest.
Комментарий
В статье представлено клиническое наблюдение случая исходящей из подъязычного нерва шванномы с преимущественным интракраниальным распространением. Невриномы подъязычного нерва могут локализоваться как в парастволовой зоне, так и в верхнешейной области, хотя в некоторых наблюдениях приобретают форму «песочных часов». В настоящее время опубликовано менее 30 описаний отдельных клинических случаев неврином подъязычного нерва, что подчеркивает редкость этой патологии. Специфические неврологические проявления в виде медленно прогрессирующей гемиатрофии и девиации языка, сопровождающейся фасцикуляциями, дополняются по мере роста опухоли компрессией ствола головного мозга и поражением близлежащих краниальных нервов. В случаях расположения опухоли в экстракраниальном отделе подъязычного нерва присоединяются затруднения при глотании и локальное выбухание в верхнешейной области. Характерным диагностическим признаком неврином подъязычного нерва, исходящих из интраканального отрезка нерва, служит расширение соответствующего костного канала, продемонстрированное в статье. При невриномах подъязычного нерва, сопровождающихся сдавлением продолговатого мозга и бульбарным синдромом, основной целью хирургического вмешательства является декомпрессия ствола головного мозга, что успешно проведено авторами статьи. При интракраниальной локализации опухоли некоторые авторы используют крайне латеральный, транскондилярный доступ, облегчающий тотальное удаление опухоли. Выбор авторами статьи срединного доступа с латерализацией его в сторону опухоли представляется обоснованным, так как обеспечивает наименее травматичный подход вдоль выйной линии, а поэтапная интракапсулярная резекция невриномы позволяет своевременно обнаружить плоскость хирургической диссекции со стволом мозга, позвоночной артерией и ее ветвями и краниальными нервами. Интраканальную часть опухоли, удаление которой часто сопровождается венозным кровотечением из собственных сосудов опухоли, а иногда из луковицы яремной вены, в отсутствие костной стенки с резко расширенным каналом подъязычного нерва можно не резецировать, а при необходимости подвергнуть впоследствии радиохирургическому воздействию. Представленное наблюдение, дополненное кратким обзором литературы, показывает успешность выбранной тактики хирургического вмешательства, служит примером удачного решения сложной клинической задачи и подчеркивает профессионализм авторов.
Невринома
Невринома — доброкачественная опухоль, развивающаяся из вспомогательных (шванновских) клеток нервной ткани, которые формируют миелиновую оболочку нервов. Женщины страдают данным заболеванием чаще мужчин. Хирургическое лечение приводит к рецидивам в трети случаев. Прогноз благоприятный, однако зачастую страдает качество жизни пациентов.
Внешне невринома выглядит как узел плотной консистенции округлой или неправильной формы с бугристой поверхностью. Обычно она имеет капсулу из соединительной ткани, что значительно облегчает удаление.
Причины и факторы риска невриномы
До настоящего времени этиология невриномы остается неизвестной. Новообразование появляется вследствие разрастания шванновских клеток. Из-за этого она имеет второе название — шваннома. Согласно исследованиям, она развивается в результате мутации генов 22-ой хромосомы. Они кодируют синтез белка, подавляющего рост клеток миелиновой оболочки. Поэтому нарушение синтеза этого белка приводит к избыточному разрастанию шванновских клеток.
Одним из заболеваний ассоциированных с развитием неврином слуховых нервов служит нейрофиброматоз. При этой патологии наблюдается развитие доброкачественных опухолей в различных органах и тканях человеческого тела. Заболевание имеет аутосомно-доминантный тип наследования и передается от родителей к детям.
Симптомы невриномы
Симптомы соответствуют локализации. Если опухоль поражает лицевой нерв, то пациент может жаловаться на слезотечение или сухость глаз, парез век, головокружение. По мере её роста возникают признаки повышения внутричерепного давления: головная боль, тошнота и нарушения зрительного восприятия.
При шванноме слухового нерва 95% пациентов отмечают на снижение слуха, 70% — звон в ушах, 65% — нарушение координации движений.
При невриноме спинного мозга у пациента выявляется нарушение функций в зоне иннервации поврежденного участка нервной ткани. Основные симптомы — это локальная боль, иррадиирующая боль с парезом или без, гипестезии (снижение чувствительности).
При невриноме кожи опухоль проступает в виде отчетливого болезненного бугорка.
Диагностика невриномы
Диагностика заболевания включает разнообразные клинические и параклинические обследования. Выбор того или иного обследования зависит от предполагаемой локализации.
- неврологическое обследование;
- аудиограмма;
- компьютерная томография (КТ);
- магнитно-резонансная томография (МРТ).
Симптомы поражения черепно-мозговых нервов, которые выявляются при неврологическом обследовании:
- нистагм;
- нарушение равновесия и походки;
- симптомы поражения слухового аппарата;
- нарушение чувствительности кожи лица;
- двоение в глазах;
- снижение либо отсутствие роговичного, глотательного рефлекса;
- симптомы пареза лицевого нерва.
Аудиограмма выявляет степень снижения слуха при поражении слухового нерва. Более чем в 90% случаев на аудиограмме выявляется односторонняя тугоухость. Этот метод заключается в проверке слуха звуками различной громкости (от 0 до 120 дБ) и различной частоты (Гц). Существует множество типов тугоухости, однако для невриномы характерна нейросенсорная тугоухость. С помощью аудиограммы также можно проследить динамику снижения слуха.
КТ обладает наименьшей информативностью, она позволяет выявить невриномы размером более 1 сантиметра. Косвенным признаком акустической невриномы является расширение внутреннего слухового прохода. МРТ является более информативным методом. Она выявляет даже самые мелкие размеры. При проведении МРТ с контрастом шваннома интенсивно накапливает контрастное вещество.
Виды невриномы
Невринома слухового нерва (второе название — вестибулярная шваннома) диагностируется у одного человека на 100 тысяч населения и составляет более чем 90% всех неврином черепных нервов. Опухоль растет медленно, со скоростью от 1 до 2 мм в год, но иногда скорость роста составляет до 30 мм/год, что приводит к сдавлению мозжечка, ствола мозга. Может быть односторонней (чаще проявляется в 40-50 лет) или двусторонней ассоциирована с нейрофиброматозом 2 типа (у молодых людей). Кроме вестибулярной выделяют также группу невестибулярных шванном, к которым относятся невриномы лицевого нерва, тройничного нерва и невринома яремного отверстия. Полное хирургическое удаление этой группы практически невозможно и, как правило, после операции можно ожидать рецидива опухоли.
Невринома спинного мозга формируется из шванновских клеток корешков спинных нервов. Данная патология составляет порядка 30% от всех первичных новообразований спинного мозга и периферических нервов. Болезнь более характерна для женщин среднего и старшего возраста.
Лечение невриномы
В зависимости от расположения, размера и типа невриномы, врач назначает оптимальный вид лечения. Наиболее часто пациента направляют на операцию. Однако, остановить рост опухоли неинвазивными методами, особенно при диагностике на ранних стадиях, стало возможным с развитием новых технологий лучевого лечения, таких как Кибер-Нож. При этом сохраняются функции рядом расположенных нервов, что крайне важно для сохранения качества жизни после лечения.
Лучевая терапия рекомендована, если операцию невозможно провести, или если пациент отказывается от неё. С внедрением в практику инновационной системы «КиберНож» появилась возможность неинвазивного, быстрого, сверхточного и комфортного лечения неврином любой локализации.
Наши консультанты ответят на все Ваши вопросы, а опытные онкологи определят
необходимость в лечении КиберНожом.
Шваннома яремного отверстия - лучевая диагностика
Телефон регистратуры поликлиники:
Телефон регистратуры лучевой диагностики:
Гамма-нож
![]() |
Вестибулярная шваннома (невринома VIII нерва, акустическая невринома) представляет собой доброкачественное новообразование, возникающее из шванновских клеток вестибулярной порции VIII нерва.
Заболеваемость невриномами слухового нерва составляет примерно 1 случай на 100000 населения в год. Каждый год в Российской Федерации появляется 1500 новых случаев неврином слухового нерва. Среди первичных интракраниальных опухолей вестибулярные шванномы вестибулярные шванномы занимают 4-е место (после глиом, менингиом и аденом гипофиза), составляя до 6-10% всех верифицированных опухолей мозга и поражая преимущественно лиц работоспособного возраста (30-60 лет), на который приходится более 80% случаев. Вестибулярные шванномы составляют около 30% опухолей задней черепной ямки и до 90% новообразований мосто-мозжечкового угла. Несколько чаще встречаются у женщин, чем у мужчин, примерное соотношение 3:2.
Клиническая картина зависит от размеров опухоли. При небольших размерах симптоматики может не быть вовсе. По мере увеличения опухоли в размерах появляется симптоматика, зависящая от того, какие структуры сдавливает опухоль:
- Поражения нервов.
- Нарушение слуховой и вестибулярной функции.
- Расстройства функции вкуса на передней 2/3 языка и слюноотделения (XIII нерв).
- Расстройства функций каудальной группы нервов.
- Расстройства функции мимической мускулатуры.
- Глазодвигательные нарушения.
- Симптомы раздражении/компрессии ствола головного мозга.
- Различные виды нистагма.
- Пирамидная симптоматика.
- Мозжечковая симптоматика.
- Гипертензионно-дислокационный синдром.
Диагностика
Наиболее информативным методом выявления вестибулярных шванном является МРТ головного мозга с контрастным усилением в режиме Т1 и Т2. Это исследование позволяет определить размеры опухоли, наличие перитуморозного отека, наличие признаков окклюзионной гидроцефалии, которая может быть следствием сдавления опухолью IV желудочка. Кроме этого МРТ позволяет провести дифференциальную диагностику с другими опухолями схожей локализации (чаще с менингиомой задней грани пирамиды височной кости). Еще одним стандартом диагностики является КТ в костном режиме. Независимо от снижения слуха стандартом является проведение аппаратной аудиографии.
Классификация KOOS
I стадия: опухоль находится в пределах внутреннего слухового прохода, диаметр экстраканальной части составляет 1-10 мм.
II стадия: опухоль вызывает расширение канала внутреннего слухового прохода, и выходит в мостомозжечковый угол, ее диаметр составляет, 11-20 мм.
III стадия: опухоль распространяется до ствола головного мозга без его компрессии, диаметр составляет 21 - 30 мм.
IV стадия: опухоль вызывает компрессию ствола головного мозга, ее диаметр более 30 мм.
Классификация M. Samii
Т1 – интрамеатальная опухоль.
Т2 – интра-экстрамеатальная опухоль.
Т3а – опухоль заполняет мостомозжечковую цистерну.
Т3b – опухоль распространяется до ствола головного мозга.
Т4а – опухоль вызывает компрессию ствола.
Т4b – опухоль грубо деформирует ствол мозга и IV желудочек.
Тактика лечения
В зависимости от размеров опухоли, клинической симптоматики, возраста больного, тяжести его состояния, наличия сопутствующей патологии возможны 3 варианта тактики лечения:
- динамическое наблюдение;
- хирургическое лечение;
- стереотаксическая радиохирургия.
Динамическое наблюдение
Учитывая, что вестибулярная шваннома является доброкачественной опухолью с невысокими темпами роста, при небольших ее размерах, отсутствии или минимальном неврологическом дефиците возможен выбор выжидательной тактики. Особенно такой подход оправдан у пожилых людей, или у пациентов с выраженной декомпенсированной соматической патологией. Однако, в большинстве случаев, учитывая риски, связанные с возможным ростом опухоли, более оправданным считается выбор активной тактики.
Хирургическое лечение
Наличие у пациента вестибулярной шванномы является показанием к хирургическому лечению. Большие и гигантские размеры опухоли (более 3,5 см.) являются абсолютным показанием к хирургическому лечению. При меньших размерах возможно проведение радиохирургического лечения.
Для удаления вестибулярных шванном в настоящее время используются три основных доступа: транслабиринтный, ретросигмовидный (наиболее часто используемый) и доступ через среднюю черепную ямку. Каждый из них обладает своими преимуществами и своими же недостатками. В последние годы в связи с развитием микрохирургической техники результаты хирургического лечения пациентов значительно улучшились. Летальность после удаления вестибулярных шванном колеблется в пределах (0-3%), рецидивы опухоли наблюдаются в 5-10%.
В настоящее время превалирующим фактором результативности хирургического лечения считается качество жизни пациента, поэтому интраоперационная тактика в большей степени должна быть нацелена на достижение именно этой цели. Такие послеоперационные осложнения как паралич лицевого нерва (до 25%), нарушения глотания, глазодвигательные нарушения, несут существенную угрозу инвалидизации, поэтому проведение таких операций диктуют высокие требования к профессиональной подготовке оперирующего нейрохирурга. Из послеоперационных осложнений также следует отметить ликворею у 2-20% пациентов, которая иногда может потребовать проведение повторной операции для закрытия ликворного свища; кровоизлияние в ложе операции (1-2%); отек мозжечка и ствола мозга; гемипарез; менингит (1,2%); раневую инфекцию (1,2%); парез VI черепного нерва (1-2%) и парезы других, ниже расположенных черепных нервов; подкожную гематому (3%).
Стереотаксическая радиохирургия
Целью радиохирургического метода является контроль роста опухоли. Стабилизация процесса и даже уменьшение размеров наблюдается в 85-94% случаев, что соответствует мировым данным. Другим критерием эффективности лучевой терапии является высокий (до 98%) показатель отсутствия операции после проведения облучения. Важным также является сохранение функции улиткового и других черепных нервов в случаях, когда это возможно, а также улучшение неврологического статуса пациента. Эффективность применения Гамма-ножа при лечении больных с вестибулярными шванномами создало реальную альтернативу хирургическому лечению при опухолях, размеры которых не превышают 3,5 см, при этом метод радиохирургии лишен недостатков хирургического метода лечения.
После облучения опухоли гамма-ножом возможно как уменьшение ее размеров, так и временное их увеличение. Третьим возможным вариантом развития событий может быть продолженный рост опухоли, однако, это происходит нечасто (от 0 до 7% в течение 10 лет).
Версия для слабовидящих Карта сайта
Гломусные опухоли шеи (параганглиома)

Гломусная опухоль, также известная под названием параганглиома, хемодектома — онкологические заболевания, связанные с нервными стволами и кровеносными сосудами головы и шеи. Характерной чертой параганглиомы является образование неестественных наростов на этих частях тела. Как правило, рост и увеличение опухолей в размерах происходит очень медленно.
Злокачественные опухоли требуют циркуляции большого количества крови, протекающей через них. Наиболее часто встречается опухоль, развивающаяся в области главной артерии шеи – сонной артерии. Гломусные опухоли могут также поражать сосуды и нервы, находящиеся в верхней части шеи, в области нижней поверхности черепа. Кроме того, встречаются локализации опухолей и в тканях черепа, прилегающих к мозгу.
Чаще гломусные опухоли образуются в области яремной луковицы (опухоль яремного гломуса) или около барабанного нерва вдоль мыса (опухоль барабанного гломуса). Изредка гломусные опухоли могут располагаться вдоль барабанных канальцев или части лицевого канала. Частота выявления этих поражений составляет от 2,8 до 10%, причем чаще всего наблюдаются семейные случаи (Ван-Баррз). Извещалось также о выявлении злокачественных опухолей. Смертность больных вследствие развития гломусных опухолей составляет 6%, причем больные погибают вследствие местного прогрессирования этой патологии. Кроме того, доказано, что у 8% пациентов с гломусных опухолей существуют сопутствующие злокачественные образования в других системах органов.
Лечение
Ввиду расположения вблизи критических структур, перед началом лечения необходимо точно оценить риски от хирургического вмешательства и определить возможность удаления в требуемом объеме. Многим пациентам не может быть показана хирургия гломусных опухолей ввиду тяжелого общего состояния организма, либо наличия прочих заболеваний, делающих проведение общей анестезии рискованным. Поэтому все чаще при гломусных опухолях назначается комбинированное лечения. В роли радикального метода выступает радиохирургия на КиберНоже, а дополнительно применяются химиотерапия и/или лучевая терапия.
Лечение на системе КиберНож

Традиционным методом лечения параганглиом является тотальное удаление в процессе нейрохирургической операции. Однако особенность строения данной опухоли, включающей в себя множество кровеносных сосудов, не позволяет хирургам показывать низкую частоту послеоперационных осложнений. Именно поэтому радиохирургическое лечение на КиберНоже показывает большую эффективность при меньшем количестве осложнений.
Неправильная форма опухоли, увеличивающая объем удаляемых здоровых тканей при операции, не является препятствием для КиберНожа: множественные пучки формируют зону высокой дозы излучения точно в очертаниях опухоли, не вызывая повреждения здоровых структур мозга.
Первым этапом после определения тактики лечения становится создание пространственной модели опухоли, в которой будет сосредоточена доза ионизирующего излучения, которая будет доставлена точно в опухоль. После составляется план лечения — проводится расчет количества тонких одиночных пусков излучения высокой мощности и множественных позиций, с которых они будут направлены в зону опухолевого поражения. Практическая доставка излучения в опухоль будет проведена из различных положений мобильного линейного ускорителя, размещенного на роботизированном манипуляторе.

Безоперационное лечение параганглиомы на КиберНоже — план лечения
Диагностика

Современный спиральный 32-срезовый компьютерный томограф Siemens SOMATOM go.Up
Диагностика начинается с тщательного изучения истории болезни и детального осмотра области поражения терапевтом. Это позволяет установить размер и местоположение опухоли и предусмотреть возможные аномалии каждого нерва, поражённого гломусной опухолью. Осмотр ушей также входит в число процедур диагностики, поскольку он может обнаружить опухоли за барабанной перепонкой.
Компьютерная томография (КТ) и магнитно-резонансная томография (МРТ) эффективны при постановке диагноза. Эти методы также помогают определить размер опухоли и идентифицировать любые другие опухоли в области шеи. Достаточно часто, знания из области ангиографии (наука, изучающая работу кровеносных сосудов шеи) применяются для выявления кровоснабжения опухоли, а также для определения способов его циркуляции в мозг. В большинстве случаев, биопсия опухоли не производится до начала лечения, так как она может вызвать обильное кровотечение.
Симптомы
Чаще всего больные обращаются за диагностикой с жалобами относительно появления медленно растущих, безболезненных, но пульсирующих на шее масс. Иногда встречается заметное ухудшение слуха одного уха, вызванное пульсирующим шумом (так называемый шум в ушах — tinnitus).
Также встречаются следующие симптомы:
- осиплость голоса,
- затруднение глотания,
- проблемы с движением языка.
Предрасположенность и особенности течения
Гломусные опухоли развиваются в период между второй и восьми декадами жизни, в среднем в возрасте 52 года. Но в медицинской литературе описан и редкий случай развития барабанного гломуса у ребенка в возрасте до 2 лет. Эти опухоли в 2-6 раз чаще возникают у женщин, чем у мужчин, причем они преимущественно образуются слева.
Вследствие сложного строения костей черепной основы гломусные опухоли растут по пути наименьшего сопротивления. Эти опухоли могут разрушать кость, что сопровождается появлением соответствующих признаков и симптомов. Гломусные опухоли развиваются медленно. Поражение ЦНС часто происходит позже и оказывается после развития признаков неврологических изменений.
Лечение невриномы слухового нерва в Германии

Акустическая невринома представляет собой доброкачественную опухоль, которая обычно формируется из шванновских клеток вестибулярного нерва и, в редких случаях, из шванновых клеток слухового, лицевого или тройничного нерва.
В зависимости от локализации опухоли название данного заболевания может носить разную терминологию: вестибулярная шваннома, акустическая невринома или акустическая шваннома, а также невринома лицевого или тройничного нерва или невринома яремного отверстия.
Особенности терапии
Лечение невриномы слухового нерва базируется в основном на трех методах тактики.
Операция по удалению невриномы слухового нерва
При невриномах слухового нерва более 3 см или нейрофиброматозе 2-го типа (двусторонняя невринома) лучевая терапия не рекомендуется, поскольку при больших опухолях (более 3 см) вероятность ее роста после облучения очень высока. Проведение операции после лучевой терапии становится более сложным, так как опухоль обрастает соединительной тканью, тем самым затрудняя доступ и выделение последней во время операции. В таких случаях рекомендуется микрохирургическая резекция акустической опухоли. Цель операции — радикальное удаление опухоли без повреждения окружающих структур. В зависимости от локализации, размера, стадии и формы новообразования возможно хирургическое удаление с использованием одного из следующих доступов:
- ретросигмовидный;
- транслабиринтный;
- через среднюю черепную ямку.
Для оптимального выделения невриномы и сохранения функции черепных нервов, микрохирургия зачастую сопровождается нейрофизиологическим мониторингом слухового и лицевого нервов. Это позволяет осуществить непрерывный контроль над нервными окончаниями, благодаря чему нерв, в большинстве случаев, остается неповрежденным даже при резекции больших образований.
Несмотря на это, каждый из вышеперечисленных доступов базируется на вскрытии черепной коробки (краниотомия) и кроет в себе относительно высокие постоперационные осложнения. Основные из них это:
- полная или частичная потеря слуха;
- паралич лица;
- образование ликворной фистулы.
Учитывая данный фактор, важно отметить, что при выборе клиники или доктора, решающую роль играет специализация и опыт последнего.
История о лечении невриномы слухового нерва
У Фатимы обнаружили опухоль в голове пару лет назад совершенно случайно – при прохождении обычной диагностики. В течение всего времени проводился регулярный контроль и до последнего .
Стоимость лечения невриномы в Германии
В клинике «Нордвест» проводится профессиональная терапия с применением высокотехнологичных методов обследования. Лечением и диагностикой невриномы слухового нерва занимаются опытные врачи с многолетним стажем работы и богатым багажом в области научных медицинских исследований. На первой же консультации вы получите актуальные клинические рекомендации на основе озвученных симптомов и сможете узнать об особенностях лечения невриномы слухового нерва в нашей больнице.
Специалисты

Эксперт международного уровня в сфере лучевой терапии, на протяжении десятилетий демонстрирует значительные успехи в области радиологического лечения онкологических и другого вида заболеваний.
Читайте также:

