Силикоз
Добавил пользователь Владимир З. Обновлено: 27.01.2026
С.А. БАБАНОВ, доцент кафедры профессиональных болезней и клинической фармакологии ГОУ ВПО «Самарский государственный медицинский университет», доктор медицинских наук; В.В. КОСАРЕВ, заведующий кафедрой профессиональных болезней и клинической фармакологии ГОУ ВПО «Самарский государственный медицинский университет», заслуженный деятель науки РФ, доктор медицинских наук, профессор
Заболевание начинается с кашля
В настоящее время в условиях поликлинической работы определенную трудность в плане дифференциальной диагностики для врача общей практики представляют больные с наличием хронического кашля.
Возможными причинами длительного кашля, связанными с заболеваниями органов дыхания, могут быть бронхиальная астма, ХОБЛ, туберкулез, синусит, синдром постназального затека, гастроэзофагеальный рефлюкс; саркоидоз, рак легкого, плеврит, пневмокониозы и, прежде всего, силикоз.
Силикоз следует заподозрить, прежде всего, у лиц, имеющих типичные легочные жалобы (кашель, одышка, боль в грудной клетке), явления диффузного пневмосклероза на рентгенограмме (интерстициального, узелкового и узлового характера), имеющих длительный производственный стаж в работе с фиброгенными промышленными аэрозолями, с содержанием свободного диоксида кремния более 10% с превышением ПДК (обычно более 15 лет). Также заподозрить силикоз может врач терапевт или пульмонолог, участвующий в проведении периодических медицинских осмотров на предприятиях, связанных с пылеобразованием и пылевыделением, цеховой врач.
Следует помнить, что наиболее часто силикозы развиваются у рабочих в следующих отраслях: горнорудная промышленность – среди горнорабочих различных рудников по добыче золота, олова, меди, свинца, ртути, вольфрама и других полезных ископаемых, залегающих в породе, содержащей кварц; машиностроительная промышленность – среди рабочих литейных цехов; производство огнеупорных и керамических материалов, а также при ремонте промышленных печей и других операциях в металлургической промышленности; проходка туннелей, обработка гранита.
Если врач предполагает, что у больного силикоз, то извещение об этом ЛПУ в трехдневный срок направляет в органы Роспотребнадзора. В ответ они в течение двух недель обязаны представить в ЛПУ санитарно-гигиеническую характеристику (СГХ) условий труда заболевшего.
Опрос большинства больных силикозом выявляет типичные для любого хронического легочного заболевания жалобы: одышку, кашель, боли в груди. Клинические проявления нарастают по мере развития фиброзного процесса, но параллелизма с рентгенологическими изменениями часто нет. Кашель и одышка обычно связаны не столько с тяжестью развивающегося фиброза, сколько с сопутствующим бронхитом. Боли в груди при силикозе, как правило, неинтенсивные. Общее состояние больных долго остается удовлетворительным.
При направлении в профпатологическое учреждение, помимо СГХ, больной должен иметь с собой: направление, копию трудовой книжки, выписку из амбулаторной карты с указанием заключительных диагнозов, а также из карты периодических медосмотров.
Крайне агрессивные частицы
Силикоз развивается от вдыхания пыли свободной двуокиси кремния, чаще всего в виде кварца. Заболеваемость находится в прямой зависимости от количества вдыхаемой пыли и содержания в ней свободной двуокиси кремния. Наибольшей агрессивностью обладают частицы размером от 0,5 до 5 мкм. Попадая в глубокие разветвления бронхиального дерева, они достигают легочной паренхимы и задерживаются в ней.
В настоящее время, согласно иммунологической теории, можно считать установленным, что силикоз невозможен без фагоцитоза кварцевых частиц макрофагами. Гибель макрофагов — первый и обязательный этап в образовании силикотического узелка. Необходимой предпосылкой для возникновения и формирования узелка является многократно повторяющееся фагоцитирование пыли, освобождающейся из гибнущих макрофагов. Накоплены убедительные клинические данные об активной иммунной перестройке организма на ранних этапах формирования силикотического процесса.
По мере прогрессирования пневмофиброза или при присоединении бронхитического синдрома у части больных появляется колбовидное утолщение ногтевых фалангов пальцев рук и ног в сочетании с изменением формы ногтей в виде часовых стекол. В начальных стадиях заболевания перкуторный звук над легкими имеет умеренно коробочный оттенок. При более выраженном фиброзе перкуторный звук может быть укорочен — особенно над лопатками и в межлопаточных областях. Примерно у 1/3—1/4 больных выслушиваются рассеянные сухие хрипы.
Опаснейшее осложнение — дыхательная недостаточность
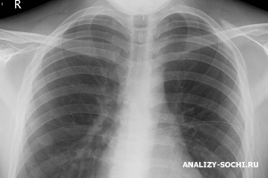
В диагностике силикоза ведущую роль играет рентгенологический метод исследования. В рентгенологической классификации выделяют малые и большие затемнения. Исходя из рентгенологической характеристики выделяют интерстициальную, узелковую и узловую форму силикоза.
При силикозе может использоваться также компьютерная томография легких с высоким разрешением, которая используется в тех случаях, когда изменения на рентгенограммах грудной клетки незначительны, а данные физикального исследования свидетельствуют о поражении легких.
По течению силикоза выделяют медленнопрогрессирующее, быстропрогрессирующее и регрессирующее, а также поздний силикоз, возникающий спустя значительное количество лет (10—20 и больше) после прекращения работы с пылью.
Силикоз приходится дифференцировать главным образом от диссеминированного туберкулеза
Как правило, силикоз сопровождается развитием дыхательной недостаточности, степень которой часто не коррелирует с выраженностью пневмофиброза. Среди осложнений силикоза возможны бронхит, бронхиолит, эмфизема легких, хроническое легочное сердце, туберкулез легких, спонтанный пневмоторакс.
Впервые в 1953 г. Каплан обратил внимание на сочетание силикоза с поражением суставов, когда среди 14 тысяч шахтеров угольных шахт Южного Уэльса было обнаружено сочетание силикоза с ревматоидным артритом у 51 больного. Силикоз при наличии ревматоидного артрита называют синдромом Калине—Каплана, так как еще до Каплана был описан случай силикоза при картине поражения суставов бельгийским врачом Colinet (1950). Для диагностики силикоартрита имеет значение нахождение в крови ревматоидного фактора. При сочетании силикоза со склеродермией заболевание называют синдромом Эразмуса.
Частицы кремния вызывают не только силикоз
В тех случаях, когда у лиц, длительно работающих в условиях воздействия кремниевой пыли, обнаруживается диссеминированный процесс в легких, необходимо иметь в виду возможность развития не только силикоза, но и некоторых других заболеваний: диссеминированного туберкулеза легких, саркоидоза, фиброзирующего альвеолита, карциноматоза легких.
Гистоморфологическая картина саркоидоза представлена неказеозными эпителиоидноклеточными грануломами, состоящими из эпителиоидных клеток с примесью макрофагов, лимфоцитов и гигантских клеток в большинстве случаев типа Лангханса, реже — типа инородных тел. В отдельных случаях для исключения саркоидоза необходима трансбронхиальная внутрилегочная биопсия, позволяющая получить для исследования фрагмент легочной ткани. Более информативны, но и более травматичны медиастиноскопия и медиастинотомия.
Дифференциальная диагностика силикоза и карциноматоза легких, возникшего вследствие метастазирования лимфогенным и гематогенным путями первичного ракового узла, наиболее затруднена при мелкоочаговой форме последнего. На рентгенограммах при карциноматозе легких выявляются полиморфные очаговые тени с нечеткими контурами, отмечается быстрое прогрессирование процесса в легких. Необходимо исследовать мокроту на наличие атипичных клеток, при увеличении периферических лимфатических узлов показана их биопсия.
Силикоз приходится дифференцировать главным образом от диссеминированного туберкулеза. При туберкулезе туберкулезные очажки на рентгенограммах характеризуются полиморфизмом, нечеткостью контуров, различной величиной и плотностью, а также преимущественной локализацией в верхних отделах легких.
В противоположность силикозу фиброзирующий альвеолит может иметь не только постепенное, но и острое начало. Ранним признаком его является быстро возникающая прогрессирующая одышка, в легких прослушиваются влажные хрипы, иногда отмечается кровохарканье.
Контакты с пылью немедленно прекратить
Для лечения силикоза используются лекарственные средства, улучшающие дренажную функцию бронхов; снижающие давление в малом круге кровообращения; улучшающие сердечную деятельность. При наличии приступов удушья назначают симпатомиметики, антихолинергические средства, метилксантины.
Установленный диагноз силикоза является абсолютным противопоказанием к продолжению работы в контакте с пылью
Профилактика силикоза основывается на совершенствовании технологических процессов (герметизация, механизация, увлажнение воздуха и др.); качественном проведении предварительных и периодических медицинских осмотров. Должны использоваться индивидуальные средства защиты: противопылевые респираторы, защитные очки; коллективные средства защиты: местная вытяжная вентиляция.
Установленный диагноз силикоза является абсолютным противопоказанием к продолжению работы в контакте с пылью. Больной направляется на бюро медико-социальной экспертизы для определения степени утраты общей и профессиональной трудоспособности и группы инвалидности по профессиональному заболеванию. Реабилитация больных силикозом включает: медицинскую (стационарное, амбулаторное, санаторно-курортное лечение и оздоровление в санаторных условиях, медикаментозное обеспечение по профессиональному заболеванию за счет средств Фонда социального страхования), социальную (компенсация ущерба здоровью по утрате трудоспособности, обеспечение льгот), а также трудовую, то есть рациональное трудоустройство либо переобучение новой профессии.
Силикоз: распространенное профессиональное заболевание органов дыхания
Силикоз входит в ряд профессиональных заболеваний органов дыхания. Это одна из разновидностей пневмокониозов, возникает от длительного вдыхания производственной пыли с содержанием высокой дозы свободной двуокиси кремния.
Виды и причины заболевания
Выявляется патологическое состояние преимущественно у работников горнодобывающие и металлообрабатывающие промышленности. Вредному воздействию фиброгенной кварцевой пыли подвергаются изготовители стекла, керамики, работники сталелитейной промышленности, пескоструйщики, резчики камня, стеклодувы, шахтеры, забойщики и проходчики.

Опасность представляют небольшие, до 3-5 нм микрочастицы кварца, кристобалита. Когда допустимая концентрация вредных веществ в воздухе превышена, происходит оседание мелкодисперсной пыли на бронхах и альвеолах легких. Если рабочие не используют индивидуальные средства защиты, вдыхают вредные вещества длительное время, то после 2-3 лет работы развивается силикоз легких.
По скорости развития разделяют несколько видов болезни:
- острая;
- хроническая;
- прогрессирующая;
- ускоренный вид.
Какую форму принимает патология, зависит от времени воздействия промышленной пыли, ее интенсивности, общего состояния организма и наличия сопутствующих заболеваний. Клинико-морфологические формы силикоза определяют как:
- узелковые;
- рассеянно-склеротические;
- комбинированные.
Острая форма фиброза прогрессирует даже после прекращения контакта с пылью. В целом лечение дает благоприятный прогноз.
Силикоз легких, симптомы
Длительное время болезнь никак не проявляет себя. Характерные признаки заболевания обнаруживаются значительно позже. К симптоматике фиброза легких относятся:
- диффузионная дыхательная недостаточность;
- сухой кашель постепенно переходит в мокрый с обилием мокротических выделений;
- колющая боль в загрудинной области;
- жесткое дыхание;
- сухие хрипы;
- ощущение нехватки воздуха;
- тахикардия;
- цианоз.
Поздние стадии осложняются бронхитом, астмой, пневмонией, туберкулезом, пневмотораксом, ревматоидным артритом, раком легких.
Лечение и профилактические меры
Для выявления патологических процессов на ранних стадиях проводятся профилактические медицинские осмотры на производстве. Выполняется рентгенодиагностика легких. Ряд исследовательских тестов на определение функции внешнего дыхания облегчают постановку диагноза. К ним относится спирометрия, пикфлоуметрия, пневмотахография, газоанализ внешнего дыхания. Много информации дают компьютерная томография и МРТ легких.
Если диагностируется силикоз, лечение назначает врач-пульмонолог или терапевт. Важно незамедлительно прекратить контакт с вредными веществами. Пациенту рекомендована белковая диета, прием витаминов и физиотерапия. Эффективны кислородные ингаляции и дыхательные упражнения. Проводится санация бронхиального дерева с применением антисептического раствора. Курение сильно усложняет терапевтические мероприятия и увеличивает риск осложнений. Необходимо отказаться от этой привычки. При тяжелых формах силикоза возможна трансплантация легких.

Мероприятия по лечению и профилактике проводятся в условиях стационара или в специальных профилакториях. Для предотвращения болезни рабочим на вредных производствах предоставлены индивидуальные и общие средства защиты. Регулярно проводятся профилактические медосмотры.
Силикоз
Силикоз представляет собой болезнь, которая развивается в результате длительного вдыхания человеком вредной пыли, содержащей в своем составе двуокись кремния. Для такого заболевания характерны следующие явления:
- разрастание в легких соединительной ткани;
- формирование узелков.
Причины
- постоянный контакт с пылью;
- сниженный иммунитет;
- нарушение газообмена в областях возникновения узелков (фиброза);
- потеря эластичности легких.
Симптомы силикоза
- при небольшой физической нагрузке;
- усиленный кашель;
- постоянные боли в груди; ; ;
- сухие хрипы.
- сильная одышка;
- мучительный кашель с выделением мокроты; ;
- множественные сухие хрипы;
- очаги влажных хрипов; (усиления частоты сердцебиения); ; и частые головные боли.
Если Вы обнаружили у себя схожие симптомы, незамедлительно обратитесь к врачу. Легче предупредить болезнь, чем бороться с последствиями.
Лучшие врачи по лечению силикоза
Диагностика
- посетить врачейпульмонолога, терапевта;
- выполнить рентген легких;
- выполнить компьютерную томографию (КТ) легких;
- специалисты могут назначить МРТ соответствующего отдела.
Лечение силикоза
- исключение контактов с кремниевой пылью;
- ингаляции кислорода;
- дыхательная гимнастика;
- бронхоальвеолярный лаваж (введение нейтрального раствора в бронхи и легкие);
- принятие бронхолитиков, отхаркивающих препаратов;
- принятие антибактериальных препаратов;
- иммуностимуляторов и адаптогенов;
- оперативное вмешательство.
Группа риска
- гончары;
- пескоструйщики;
- шахтеры;
- специалисты литейных цехов;
- обработчики гранитных плит;
- добывающие металл рабочие и т.д.
Опасность
Осложнения, которые могут возникнуть из-за отсутствия своевременного и комплексного лечения силикоза:
- ;
- спонтанный пневмоторакс (накопление воздуха в области плевры);
- бронхоэктаз (увеличение бронхов и изменение структуры их стенок).
Профилактика
- проведение противопылевых мероприятий;
- применение индивидуальных средств защиты от пыли;
- сокращенный рабочий день для людей, работающих в зоне риска;
- ранний выход на пенсию;
- употребление в пищу молочных продуктов, которые способствуют быстрому выводу из организма вредных веществ;
- регулярные профилактические осмотры у специалистов. Лица, которые работают с пылью, должны 2 раза в год посещать пульмонолога.
- лечение и оздоровление в санатории.
Данная статья размещена исключительно в познавательных целях и не является научным материалом или профессиональным медицинским советом.
Силикоз
Силикоз представляет собой наиболее распространенную и тяжело протекающую форму пневмокониоза – профессиональной патологии легких, которая обусловлена вдыханием кремниевой пыли. Распространение данного заболевания началось в начале прошлого столетия – в этот период бурно развивались машино- и станкостроение, горнорудная промышленность, где рабочие длительно вдыхали фиброгенную пыль, содержащую кремнезем. На современных предприятиях вредные условия труда уходят в прошлое, хотя риск заболеваемости силикозом сохраняется и в настоящее время.
Классификация

- узелковый, характеризующийся формированием в легочной ткани силикотических гранулем;
- диффузно-склеротический – развивается меж-альвеолярный, пери-васкулярный и перибронхиальный фиброз;
- смешанный – узелковые гранулемы появляются на фоне распространенного склероза.
- острый – развивается при воздействии свободного диоксида кремния не более 2-х лет и характеризуется быстрой потерей веса, снижением трудоспособности, сильной одышкой;
- хронический – патологический процесс проявляется спустя 15 лет после контакта с кремниевой пылью, характерная клиническая симптоматика силикоза отсутствует, наличие кашля и одышки принимают за естественное старение организма;
- прогрессирующий – протекает с выраженными нарушениями вентиляции легких;
- ускоренный – возникает спустя 5 лет от начала контакта с кремнеземом, во многих случаях наблюдается сочетание патологии со склеродермией и мико-бактериальной инфекцией.
Причины силикоза
Патологический процесс развивается постепенно – при попадании в нижний отдел дыхательных путей пыли с кремнеземом, их захватывают макрофаги. Для обезвреживания механических частичек компоненты иммунной системы производят биологически активные вещества – ферменты, которые повреждают паренхиму легких и провоцируют рост соединительной ткани, заменяющей альвеолярную.
Симптоматическая картина
- при физическом напряжении у больного появляется одышка, боль за грудиной, нарушение глубины вдоха и выдоха.
- одышка усиливается, появляется кашель, болезненные ощущения в грудной клетке постоянные, увеличиваются прикорневые лимфатические узлы легких, дыхание жесткое.
- кашель мучительный, выделяется мокрота с примесью крови, боль за грудиной постоянна, появляются приступы удушья, больной отмечает быструю утомляемость, головокружение, нервозность, рецидивирующие инфекционные заболевания.
Методы диагностики

Постановка грамотного диагноза основана на итоговых данных:
- рентгеноскопии легких;
- мультиспиральной компьютерной томографии;
- спирографии;
- бронхоскопии;
- позитронной эмиссионной томографии грудной клетки;
- пульсоксиметрии.
- ; , позволяющего определить уровень С-реактивного белка и ревматоидного фактора;
- анализа газов крови; – для выявления антиядерных антител;
- молекулярно-генетического анализа мокроты.
Лечение
- белковую диету;
- поливитамины;
- лечебную гимнастику;
- тотальный бронхоальвеолярный лаваж;
- кортикостероиды;
- ингаляции с протеолитическими ферментами и гиалуронидазой;
- прием бронхо-литиков, отхаркивающих и антигистаминных средств;
- оксигенотерапию;
- физиотерапевтические процедуры.
Россия, Краснодарский край,
г. Сочи, ул. Старонасыпная, 22.
Размещенная на сайте информация и прейскурант не являются публичной офертой.
Силикоз, симптомы и лечение силикоза
Силикоз - заболевание человека, вызываемое длительным вдыханием пыли, содержащей свободную двуокись кремния, относится к профессиональным болезням. Встречается у рабочих горнорудной, фарфорофаянсовой, металлургической, машиностроительной промышленности. Силикоз — наиболее неблагоприятно протекающее заболевание из группы пневмокониозов; чаще, чем при других заболеваниях, отмечаются присоединение туберкулёзного процесса (т. н. силикотуберкулёз) и другие осложнения. Лечение силикоза Тактика ведения:
- Исключение контакта с кремниевой пылью
- Ингаляции увлажнённого кислорода и дыхательная гимнастика
- Не рекомендован приём седативныхи антигипертензивных средств
- Бронхоальвеолярный лаваж при остром силикозе
- Бронхолитики при сопутствующем обструктивном синдроме
- Противотуберкулёзные препараты
- Изониазид 300 мг/сут в течение года при положительном результате кожных проб с туберкулином
- При силикотуберкулёзе используют не менее 3 противотуберкулёзных препаратов, включая рифампицин. Хирургическое лечение - трансплантация лёгких при развитии массивного фиброза. Осложнения:
- Прогрессирующий массивный фиброз
- Вторичные инфекции дыхательных путей
- Пневмоторакс
- Эмфизема
- Вторичная лёгочная гипертёнзия
- Туберкулёз
- Грибковая лёгочная инфекция. Течение и прогноз:
- Хронический простой силикоз - течение бессимптомное и доброкачественное (при прекращении контакта с оксидом кремния)
- Острый силикоз, хронический прогрессирующий силикоз - формирование фиброза лёгких с вторичной лёгочной гипертёнзией даже после прекращения контакта с окисью кремния.
Вопрос - ответ
Добрый вечер! Подскажите хотела сдать анализы на инфекции передающие половым путём, какая цена?
Сколько стоит УЗИ брюшной полости?
Задать вопрос
Программы центра
Лицензии центра
Терминал оплаты
В нашем медицинском центре Вы можете оплатить услуги с помощью пластиковой кредитной карты через терминал не используя наличность.
На заметку!
В медицинском центре «Семейный Доктор» ведет консультативные приемы новый специалист - Землянухин Святослав Павлович-сосудистый хирург, флеболог.
| УЗИ сердца с доплером |
УЗИ сердца при помощи доплера является одной из разновидностей ультразвукового исследования, в основе которого лежит э |
| [ Читать полностью >> ] |
