Симптомы гемангиомы шеи и ее лечение
Добавил пользователь Евгений Кузнецов Обновлено: 08.11.2025
а) Терминология:
1. Аббревиатура:
• Младенческая гемангиома (МГ)
2. Синонимы:
• Устаревшие, некорректные термины: гемангиома младенческого возраста, капиллярная гемангиома:
о В литературе широко используется некорректный термин «гемангиома»:
- Кавернозная гемангиома, гемангиома тела позвонка, синовиальная гемангиома = венозная мальформация
- Гемангиоэндотелиома = сосудистая опухоль высокой степени злокачественности
3. Определение:
• Доброкачественное сосудистое новообразование из пролиферативных эндотелиальных клеток, самая частая мягкотканная опухоль у младенцев
• Не является сосудистой мальформацией
• В классификации Международного Сообщества по Изучению Сосудистых Аномалий пересмотра 2014 года сохранены две основные категории:
о Сосудистые опухоли (истинные новообразования с клеточной пролиферацией, в большинстве своем растущие непропорционально с пациентом)
о Сосудистые мальформации (врожденные нарушения развития сосудов, обычно растущие соразмерно с пациентом)
б) Визуализация:

(Слева) При аксиальной МРТ Т1ВИ С+ FS у четырехмесячной девочки с синдромом PHACES в правом околоушном пространстве, задненижних отделах правой глазницы, правой щеке, носу, внутреннем слуховом канале и в области правого мостомозжечкового угла визуализируются множественные гемангиомы, накапливающие контраст. Обратите также внимание на гипоплазию правой гемисферы мозжечка.
(Справа) При аксиальной КТ с КУ у семимесячного ребенка с опухолью носа визуализируется объемное образование, интенсивно накапливающее контраст, и вызывающее окклюзию преддверия носа слева. Все характеристики и расположение этого образования типичны для МГ.
2. КТ с КУ при младенческой гемангиоме:
о Диффузное интенсивное контрастное усиление
о Выбухающие сосуды в объемном образовании/возле него в ПФ
о Жировая инфильтрация в ИФ
4. УЗИ при младенческой гемангиоме:
о Мягкотканное образование с вариабельной эхогенностью, малым количеством макроскопических сосудов
о Фаза пролиферации: большое количество сосудов на единицу площади (> 5 сосудов/см 2 ) при цветовой допплерографии, высокое систолическое допплеровское смещение (> 2 кГц), низкий индекс резистентности артерий в отсутствие артериализации вен (изменения, подозрительные на шунты)
о Средние значения пиковой скорости кровотока в венах не повышены, как в случае истинной артерио-венозной мальформации
о Инволютивная фаза: ↓ плотности сосудов, ↑ индекса резистентности
5. Рекомендации по визуализации:
• Лучший метод визуализации:
о Большинство пациентов не нуждаются в лучевых исследованиях
о Показания к лучевой диагностике:
- Атипичный вид опухоли, симптоматика; нехарактерный анамнез
- Подозрение на глубокое распространение (в глазницу или дыхательные пути)
- Если планируется медикаментозное или хирургическое/ лазерное лечение
- Оценка эффективности лечения
- Подозрение на связь с синдромом PHACES, например, наличие большой сегментарной МГ на лице
о MPT С+: диффузное накопление контраста
о Последовательности GRE для обнаружения сосудов с высоким кровотоком в объемном образовании/возле него
о МР-ангиография для выявления сопутствующих сосудистых аномалий
• Выбор протокола:
о УЗ-допплерография для документирования характерного кровотока
о МР- последовательности, используемые для визуализации движения крови, для визуализации жидкости, Т1 С+ FS:
- МР-ангиография для обнаружения аномалий сосудов: стеноз, окклюзия, болезнь моямоя, аневризмы
- Гемангиомы околоушной железы: расположение ЧН VII

(Слева) При корональной МРТ Т1ВИ С+ FS у двухмесячного ребенка визуализируется крупная МГ, интенсивно накапливающая контраст, находящаяся как внутри, так и снаружи мышечной воронки глазницы; видно также другое объемное образование в области неба справа.
(Справа) При корональной МРТТ1ВИ С+ FS у этого же пациента шесть месяцев спустя после лечения пропранололом с целью предотвращения осложнений со стороны глазницы определяется существенный регресс объемных образований в глазнице и небе.
в) Дифференциальная диагностика младенческой гемангиомы:
2. Венозная мальформация:
• Врожденная сосудистая мальформация, образованная крупными венозными «озерами»
• ↑ Т2,↓ Т1, диффузное контрастное усиление
• Флеболиты
3. Саркома мягких тканей:
• Рабдомиосаркома, внекостная саркома Юинга, недифференцированная саркома:
о Минимальное или умеренное контрастное усиление ± эрозии костей
4. Плексиформная нейрофиброма:
• Инфильтративное образование с нечеткими краями, часто распространяющееся на несколько анатомических зон
• Сочетается с другими признаками НФ 1
5. Артериовенозная мальформация:
• Врожденная сосудистая мальформация
• Питающие артерии с высоким кровотоком, артериовенозные шунты, крупные дренирующие вены
• ± другие мягкотканные компоненты

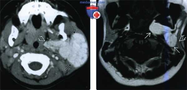
(Слева) При аксиальной КТ с КУ, выполненной девочке в возрасте одного года, определяется МГ очень большого размера, равномерно и интенсивно накапливающая контраст, практически полностью замещающая поверхностную и глубокую долю левой околоушной железы.
(Справа) При аксиальной МРТ Т1ВИ у этой же девочки восемь лет спустя определяется значительное уменьшение размеров гемангиомы и диффузное замещение ее жировой тканью. Обратите внимание на тонкую «полоску» ткани поверхностной доли околоушной железы.
г) Патология:
1. Общая характеристика:
• Этиология:
о Предпочтительная теория: клональная экспансия ангиобластов, выраженная экспрессия основных факторов роста фибробластов и других маркеров ангиогенеза
• Генетические нарушения:
о В большинстве случаев спорадические
2. Микроскопия:
• В ПФ хорошо заметны эндотелиальные клетки, формирующие мелкие сосудистые каналы; плоские эндотелиальные клетки + фиброзно-жировое замещение (ИФ)
3. Иммуногистохимические особенности:
• GLUT1 (+) во всех фазах (пролиферации и регрессии)
д) Клинические особенности:
1. Проявления:
• Типичные признаки/симптомы:
о В пролиферативной фазе: растущее мягкотканное образование у младенцев, кожа над которым теплая, имеет красноватый, «земляничный» цвет
о В единичных случаях при более глубоких опухолях, крупные вены, дренирующие ее, придают коже над гемангиомой синеватый цвет
• Другие признаки/симптомы:
о Изъязвление кожи над гемангиомой
о Обструкция дыхательных путей при их вовлечении
о Проптоз в случае гемангиомы глазницы
о Сопутствующие патологические изменения (синдром PHACES)
2. Демография:
• Возраст:
о В среднем проявляет себя в возрасте двух недель, в большинстве случаев к 1-3 месяцу:
- Обычно симптоматика отсутствует при рождении
- В трети случаев обнаруживается при рождении: бледное или красноватое пятно, телеангиэктазия, псевдоэкхимоз или красная точечная сыпь
• Пол:
о Ж>М(1,5-4:1)
• Эпидемиология:
о Самая частая опухоль головы и шеи у младенцев
о Заболеваемость: 1-2% у новорожденных, 12% к первому году жизни
о ↑ у недоношенных детей и новорожденных с дефицитом веса (у 30% новорожденных 1 кг)
• Этническая принадлежность:
о Чаще всего заболевают люди с белым цветом кожи
3. Течение и прогноз:
• Для большинства гемангиом типична фаза пролиферации, после которой к возрасту девяти лет спонтанно наступает регрессия
• Большие и сегментарные гемангиомы лица при отсутствии лечения чаще вызывают осложнения
4. Лечение:
• В большинстве случаев не требуется, используется выжидательная тактика
• Показания к лечению: воздействие на жизненно важные структуры, сдавливание зрительного нерва, обструкция дыхательных путей; выраженное изъязвление кожи
• Варианты лечения:
о Пропранолол (бета-блокатор) сейчас используется вместо пероральных стероидов в качестве основного препарата из-за меньшего количества побочных воздействий
о Введение стероидов в гемангиому, лечение лазером, реже хирургическая эксцизия или эмболизация
е) Диагностическая памятка. Следует учесть:
• Флеболиты позволяют предположить венозную мальформацию
• Дети старшего возраста, нетипичный вид, деструкции костей: необходимо предполагать саркому
• Распространенное объемное образование с изменением цвета кожи над ним («кофе с молоком»): плексиформная нейрофиброма
• Крупные кровеносные сосуды внутри паренхиматозного объемного образования с нечеткими краями: артерио-венозная мальформация
ж) Список использованной литературы:
1. Laken РА: Infantile hemangiomas: pathogenesis and review of propranolol use. Adv Neonatal Care. 16(2):135-42, 2016
2. Wassef M et al: Vascular anomalies classification: recommendations from the International Society for the Study of Vascular Anomalies. Pediatrics. 136(1):e203-14, 2015
3. Restrepo R et al: Hemangiomas revisited: the useful, the unusual and the new. Part 1: overview and clinical and imaging characteristics. Pediatr Radiol. 41 (7):895-904, 2011
4. Restrepo R et al: Hemangiomas revisited: the useful, the unusual and the new. Part 2: endangering hemangiomas and treatment. Pediatr Radiol. 41 (7):905-15,2011
5. Mulliken JB et al: Hemangiomas and vascular malformations in infants and children: a classification based on endothelial characteristics. Plast Reconstr Surg. 69(3):412-22, 1982
Гемангиома
Информацию из данного раздела нельзя использовать для самодиагностики и самолечения. В случае боли или иного обострения заболевания диагностические исследования должен назначать только лечащий врач. Для постановки диагноза и правильного назначения лечения следует обращаться к Вашему лечащему врачу.
Гемангиома: причины появления, симптомы, диагностика и способы лечения.
Определение
Гемангиомой называют гиперплазию сосудов (разрастание клеток сосудистой стенки) – заболевание, которое классифицируется как доброкачественная опухоль (доброкачественное новообразование) и может быть как врожденным, так и появиться в течение нескольких месяцев после рождения ребенка.
Гемангиома кожи у взрослых встречается, но не часто, так как большинство опухолей самостоятельно рассасываются еще в детском возрасте. Если похожее новообразование появилось на коже взрослого человека, где до этого не было никаких поверхностных дефектов, то такая опухоль требует тщательной диагностики.
Если в детстве гемангиома выражена слабо (в виде ссадины или небольшого пятнышка), то во взрослом возрасте под действие определенных факторов она может расти и увеличиваться.
Гемангиомы формируются, как правило, на коже головы, лица, шеи и реже – на туловище и конечностях. Излюбленными локациями на внутренних органах являются печень, кости, легкие.
Гемангиомы кожи чаще представляют собой одиночные новообразования, но бывают исключения. Замечено: если гемангиом на видимых участках тела больше пяти, высока вероятность того, что есть и гемангиома внутренних органов.
Причины появления гемангиом
Причины появления гемангиом до конца не изучены. Согласно одной из теорий, разросшиеся клетки эндотелия могут быть остаточными эмбриональными клетками. Другое предположение заключается в том, что гемангиома начинает расти внутриутробно в условиях хронического недостатка кислорода. Возможно, формирование опухоли могут провоцировать острые инфекции, в том числе респираторно-вирусные, если таковые были у матери в первом триместре беременности. Это лишь теория, потому как гемангиомы возникают и у детей, родившихся от матерей с нормально протекавшей беременностью.
Угрозы выкидыша, предлежание плаценты (очень низкое расположение плаценты в матке, затрудняющее естественные роды), отслойка и воспаление плаценты, обвитие пуповины, преэклампсия (комплекс симптомов, включающий отеки, повышение артериального давления и выявление белка в анализе мочи), возраст матери (старше 38 лет) также являются факторами риска.
Классификация заболевания
Гемангиомы детского возраста подразделяют на врожденные и инфантильные (младенческие).
Нередко крупные гемангиомы можно увидеть во время ультразвукового скрининга. Новорожденный появляется с гемангиомой, которая впоследствии может самостоятельно в течение полутора лет уменьшиться в размере и исчезнуть (быстро инволюционирующая), уменьшиться, но не полностью исчезнуть (частично инволюционирующая) или не измениться совсем (не инволюционирующая). Если врожденная гемангиома растет, то только пропорционально росту ребенка. С равной частотой она встречается как у мальчиков, так и у девочек.

Инфантильная гемангиома
Предшествует такой гемангиоме участок измененной кожи или красное пятно. Рост гемангиомы может продолжаться до шести месяцев жизни ребенка. Затем наступает период остановки роста, он длится в среднем два месяца, а потом происходит фаза медленного уменьшения новообразования, которая может продолжаться до десяти лет.
Младенческая гемангиома встречается у девочек в пять раз чаще, чем у мальчиков.
Инфантильные гемангиомы могут располагаться на коже (простые капиллярные гемангиомы), под кожей (венозные и кавернозные гемангиомы) и быть комбинированными.

В зависимости от гистологического строения и от калибра сосудов гемангиомы подразделяют:
- на капиллярные,
- венозные,
- кавернозные,
- комбинированные.
Располагается на поверхности кожи и представляет собой густую сеть тесно переплетенных капилляров, выстланных клетками эндотелия. Эта форма встречается в 90-96% случаев, характерна интенсивным разрастанием новых сосудов и считается начальной стадией развития образования.
Образования представлены венами мелкого и среднего калибра. Таким гемангиомам свойственно разрастание вглубь кожи и над ее поверхностью.
Кавернозные, или пещеристые гемангиомы.
Кавернозное образование считается следующим этапом развития венозной формы гемангиомы. Оно состоит из полостей, ограниченных эндотелиальным слоем сосудов и разделенных перегородками. Такая гемангиома формируется в результате переполнения кровью неполноценных капилляров и разрыва их стенок с образованием полостей (каверн) и кровоизлияний (гематом). Кровь, находящаяся в этих полостях, из-за повышения коагуляционных свойств образует мелкие сгустки.
К этому виду гемангиом относят образования, имеющие признаки нескольких форм различной степени выраженности.
- Капиллярная, или поверхностная гемангиома кожи (винное пятно) склонна к разрастанию в окружающие ткани и представляет собой объемное эластичное образование от бледно-розового до насыщенного красного или бордового цвета, с неровными очертаниями, несколько возвышающееся над поверхностью кожи. При надавливании гемангиома бледнеет, но потом быстро принимает исходный вид. При локализации на затылке имеет название «укус аиста», при локализации на лбу - «поцелуй ангела».
Края гемангиомы говорят о стадии ее развития: ровный очерченный край наблюдается в фазе остановки роста и фазе уменьшения опухоли. Во время активного роста края размыты.
Небольшие гемангиомы внутренних органов зачастую никак себя не проявляют и случайно выявляются при проведении исследований, связанных с другими заболеваниями.
Для того чтобы гемангиома печени давала болевые ощущения, она должна достигать внушительных размеров – 5–10 см. Гемангиома позвоночника не вызывает никаких симптомов, если она находится внутри позвонка. Как только она затрагивает надкостницу (оболочку, покрывающую кость) или связки, появляется постоянная боль. Опухоль, сдавливающая корешки спинномозговых нервов, может привести к различным нарушениям чувствительности в конечностях.
Некоторые гемангиомы сразу вызывают симптомы, это объясняется особенностью расположения. Разрастаясь, они быстро нарушают функцию органа. К таким относят гемангиомы гортани, трахеи, опухоли глаз.
Диагностика гемангиомы
Диагностика гемангиомы начинается с опроса пациента и/или его представителей о течении заболевания, первых проявлениях, динамике событий. Затем проводят детальный осмотр сосудистого образования. В зависимости от симптомов и расположения гемангиомы может потребоваться углубленный осмотр узким специалистом (офтальмологом, оториноларингологом и т.д.).
Для уточнения размеров, глубины залегания, строения новообразования показано ультразвуковое исследование с изучением кровотока. Однако при некоторых гемангиомах оно может быть неинформативным.
Исследование мягких тканей для выявления патологических изменений и диагностики новообразований.
Лечение гемангиомы шейного отдела позвоночника
Впервые в специализированной медицинской литературе гемангиома тела позвонка была описала в далеком 1867 году. С того времени прошло более 150 лет, но этот вопрос все еще продолжает тщательно изучаться и исследоваться. По статистике, при диагностировании опухолей спинного мозга и позвоночника гемангиома наблюдается приблизительно в 10% случаев. И чаще всего такой недуг выявляется у мужчин и женщин в возрасте 30-60 лет. Хотим обратить ваше внимание на то, что шея страдает настолько же часто, как и другие отделы позвоночника.
Что такое гемангиома шейного отдела позвоночника
Гемангиома шейного отдела позвоночника — это доброкачественное образование, возникающее на поверхности позвонка и состоящее из сосудистых пучков. Главная опасность этой патологии заключается в том, что опухоль может воздействовать на позвоночную артерию и затруднить попадание кислорода к тканям головного мозга.
В большинстве случаев размер новообразования не превышает 10 мм, но при отсутствии профессионального вмешательства оно может увеличиться в 2 раза, сдавливая нервные и костные ткани. Результат — ощутимые болезненные проявления и ухудшение здоровья. Рост опухоли влияет на структуру позвонка. Он сплющивается, отклоняется в ту или иную сторону, что может привести к изменению осанки и даже к параличу ног.
ВАЖНО! Увеличению гемангиомы способствует участие в патологическом процессе подкожной жировой клетчатки. Чем быстрее и активнее разрастаются сосудисто-жировые структуры, тем больше становится сама опухоль.
Почему появляется и какими симптомами сопровождается гемангиома в шее
Гемангиома шейного отдела позвоночника возникает из-за аномальной структуры стенок сосудов позвонка, интенсивных нагрузок на позвоночник, травм и механических повреждений. Развитию патологии способствует наследственная предрасположенность, вредные привычки, неблагоприятная экология, врожденные или приобретенные болезни костной ткани, нарушение метаболических процессов, развитие межпозвоночной грыжи. Опасные заболевания: сколиоз, артроз, артрит, остеохондроз.
Разновидностей гемангиомы достаточно много, но в области шеи чаще всего встречаются 4 типа доброкачественных новообразований:
- капиллярные (сплетение нескольких капилляров, не вызывающее никаких болевых ощущений);
- кавернозные (опухоль, наполненная кровяной жидкостью и сопровождающаяся воспалительными процессами);
- рацематозные (соединение между собой толстых сосудов, внешне похожее на клубок);
- комбинированные (объединение нескольких видов, которое характеризуется различным объемом воспаления).
Ярко выраженные симптомы наблюдаются только при существенном разрастании сосудистого клубка. Распространенные признаки: бессонница, нарушение слуха, головные боли, онемение ладоней, ухудшение зрения, эмоциональная нестабильность.

Основные услуги клиники доктора Завалишина:
Основные методы диагностики заболевания
Так как гемангиома шейного отдела позвоночника может длительное время не проявлять никаких признаков, ее часто определяют при диагностировании других заболеваний. Эффективные методики для выявления доброкачественного образования в шее — компьютерная томография (КТ) и магнитно-резонансная томография (МРТ).
Еще одна популярная технология диагностики — спондилограмма. Это рентгенография позвоночника, в результате которой специалист получает комплексные данные по общему состоянию позвонков, наличию на их поверхности каких-либо образований и отклонений. Также на этом этапе внимательно изучаются межпозвонковые диски и костные каналы.
Разумеется, нельзя обойтись без рассмотрения анамнеза больного и тщательной проработки его жалоб. При необходимости назначаются лабораторные анализы. Чем раньше диагностируется гемангиома, тем выше вероятность того, что для устранения проблемы не потребуется хирургическое вмешательство. Новообразования размером до 5 мм имеют свойство рассасываться самостоятельно.
Выбор оптимального способа лечения
При выборе технологии лечения гемангиомы в шее ни один врач отделения нейрохирургии ГКБ им. Ерамишанцева не будет гадать на кофейной гуще. Здесь важны данные диагностики и точная информация по локализации новообразования и его размерам, степени повреждения позвонков шейного отдела позвоночника, уровню распространения опухоли в окружающие ткани.
Современная медицина предлагает достаточно большое количество способов лечения гемангиомы. Независимо от выбранного варианта, часто назначается дополнительное мероприятие — медикаментозное лечение. Оно направлено на устранение отечности проблемной зоны и снятия болевых ощущений. Итак, как же избавиться от гемангиомы?

ЛУЧЕВАЯ ТЕРАПИЯ. Такой метод применяется крайне редко, так как имеет целый комплекс недостатков: облучение радиацией, локальные кожные реакции, компрессия нервных корешков, риск повреждения целостности тела позвонка, другие осложнения. Не рекомендуется детям, беременным и женщинам на стадии кормления грудью. Лучевая терапия давно отошла на второй план.
АЛКОГОЛИЗАЦИЯ. Это процедура по введению в сосуды новообразования спиртового раствора для их склерозирования. В результате уменьшаются размеры опухли, но положительный эффект сопровождается такими негативными явлениями, как истончение костной ткани, осложнения, направленные на позвоночный столб. Этот метод больше подходит при лечении гемангиомы с другой локализацией.
СОСУДИСТАЯ ЭМБОЛИЗАЦИЯ. Наполнение лечебным раствором или самого новообразования, или ближайших к нему сосудов. Процедура требует минимального хирургического вмешательства, но имеет некоторые подводные камни. Например, наблюдается высокий процент рецидивов, возможно нарушение кровообращения в структурах и тканях спинного мозга, расстройство чувствительности кожных покровов в проблемной зоне.
ПУНКЦИОННАЯ ВЕРТЕБРОПЛАСТИКА. Подразумевается введение в проблемный позвонок специальной цементирующей смеси с титаном и контрастным веществом. Чаще всего применяется при агрессивном развитии болезни. Главные преимущества этого метода: стабилизация тела позвонка и уменьшение опухоли. Пункционную вертебропластику можно сочетать с другими методами лечения.
ОТКРЫТАЯ ОПЕРАЦИЯ. Специалист через небольшой разрез добирается к шейному отделу позвоночника и хирургическим путем удаляет доброкачественную опухоль. Этот метод особенно актуален при диагностировании защемления нервных корешков. Минус операции заключается в длительном реабилитационном периоде (точный срок определяется индивидуально). На восстановительном этапе запрещены чрезмерные физические нагрузки, посещение сауны, прием иммуностимулирующих препаратов.
Важные требования по профилактике заболевания
Особое внимание на профилактические рекомендации нужно обратить тем людям, у которых есть генетическая предрасположенность к гемангиоме в шее. Важные правила:
- отказ от физических нагрузок и силовых видов спорта, которые могут стать причиной травмирования не только шейного отдела, но и всего позвоночника;
- соблюдение рациона питания, разработанного профессиональными диетологами (например, употребление повышенного количества белка);
- нежелательны любые термические и физиологические процедуры, ведь большинство из них приводят к ускорению роста опухоли;
- регулярное посещение врача и при необходимости прохождение специального диагностического обследования.
ВАЖНО! Проходить осмотры у врача рекомендуется минимум 1 раз в год. Оптимальный вариант — запись на консультацию каждые полгода. Такой подход позволит выявить патологические процессы еще на раннем этапе их развития.

Чем опасна гемангиома в шее
Главная опасность доброкачественной опухоли в шейном отделе позвоночника — сдавливание позвоночной артерии, отвечающей за снабжение кислородом головного мозга. Нарушение нормального кровообращение обязательно приведет к:
- головной боли;
- нарушению когнитивных способностей;
- сбою функционирования внутренних органов.
Из-за повышенной хрупкости костной ткани нередко происходит не только незначительное повреждение, но и даже перелом позвонков.
Помните, чем раньше вы обратитесь к специалисту, тем выше вероятность, что лечение пройдет максимально быстро и практически безболезненно. Вы прямо сейчас можете позвонить в отделение нейрохирургии ГКБ им. Ерамишанцева. Телефон для связи: 8 (499) 940-04-30. Здоровье — это не то, чем можно рисковать!
Читайте также:
- Медицинское освидетельствование жертвы изнасилования
- Дифференциация хронического аппендицита. Трудности диагностики хронического аппендицита
- МРТ при неудачной операции на позвоночнике
- Диазепам и бенактизин для лечения отравления нервно-паралитическими веществами
- Нервно-мышечное соединение. Двигательная концевая пластинка
