Симптомы кисты шеи (щитоязычного протока) и ее лечение
Добавил пользователь Евгений Кузнецов Обновлено: 28.11.2025
Киста щитоязычного протока - лучевая диагностика
а) Терминология:
• Киста (КЩЯП) остатка щитоязычного протока (ЩЯП):
о Между слепым отверстием в корне языка ложем щитовидной железы ниже уровня подъязычной кости
б) Визуализация:
• Лучший диагностический критерий: кистозное образование шеи по средней линии выше подъязычной кости или срединно/пара-медианно в подъязычных отделах
• В 20-25% случаев выше уровня подъязычной кости
• Примерно в 50% случаев на уровне подъязычной кости
• 25% случаев в подподъязычном отделе шеи:
о В подподъязычных мышцах = симптом «когтя»
• Может накапливать контраст при присоединении инфекции
(Слева) На рисунке показан ход щитоязычного протока, начинающегося на уровне слепою отверстия и распространяющегося до ложа щитовидной железы. Обратите внимание, что проток вплотную прилежит к средней части подъязычной кости. Кисты могут возникать в любом месте по ходу протока.
(Справа) При сагиттальной КТ с КУ в корне языка по средней линии визуализируется объемное образование с ровными краями, выглядящее кистозным. Образование было случайно выявлено на КТ, выполненном с целью оценки распространенности инфекции глубоких тканей шеи (изменения не продемонстрированы), и впоследствии было верифицировано как киста щитоязычною протока. (Слева) При сагиттальной КТ с КУ у ребенка с жалобами на боль в горле и затруднение глотания в подъязычном пространстве по средней линии визуализируется гиподенсное объемное образование с фестончатыми краями, распространяющееся в сторону корня языка и в область валлекул. При морфологическом исследовании подтвердилась киста щитоязычного протока с признаками воспаления.
(Справа) На Т1ВИ в сагиттальной проекции у ребенка с рецидивом кисты щитоязычного протока в корне языка по средней линии визуализируется кистозное образование. Отмечается деформация языка и верхней части объемного образования, обусловленная ларингеальной маской, используемой для анестезии.
в) Дифференциальная диагностика:
• Лимфатическая мальформация
• Дермоидная или эпидермоидная киста полости рта
• Язычная щитовидная железа
• Абсцесс поднижнечелюстного или подъязычного пространства
• Смешанное ларингоцеле
• Цепочка некротически измененных «дельфийских» лимфоузлов
г) Патология:
• Нарушение инволюции ЩЯП и персистирующая секреция эпителиальных клеток — киста щитоязычного протока
• Может располагаться в любом месте по ходу ЩЯП
д) Клинические особенности:
• Самая распространенная врожденная аномалия шеи
• Лечение: эксцизия кисты и средних отделов подъязычной кости
е) Диагностическая памятка:
• Важно отметить, как киста располагается по отношению к подъязычной кости: выше, ниже или на одном уровне
• Любые узлы или грубые обызвествления позволяют заподозрить сопутствующий рак щитовидной железы
• УЗИ ложа щитовидной железы позволяет подтвердить ее (железы) наличие
Киста шеи
Киста шеи – это полое патологическое образование, которое располагается в области шеи и содержит жидкость или кашицеобразную массу. Относится к числу врожденных патологий, может быть боковой или срединной. Боковые кисты выявляются сразу после рождения, срединные могут обнаруживаться по мере роста ребенка или становиться случайной находкой в ходе каких-либо медицинских исследований. Возможные осложнения – нагноение, образование свища и злокачественное перерождение. В большинстве случаев кисты шеи подлежат хирургическому удалению. Пункции кисты неэффективны, поскольку в последующем в ее полости снова скапливается содержимое. Консервативного лечения не существует.
МКБ-10


Общие сведения
Киста шеи – полое опухолевидное образование, располагающееся по передней или боковой поверхности шеи. Формируется при нарушениях на ранних стадиях эмбрионального развития. В некоторых случаях сочетается с врожденным свищом шеи. Иногда свищ образуется уже в детском или даже взрослом возрасте в результате нагноения кисты. Возможно перерождение кисты шеи в злокачественную опухоль. Лечение только хирургическое.
Боковые кисты шеи обычно выявляются при рождении ребенка, срединные обнаруживаются в возрасте 4-7 или 10-14 лет, иногда протекают бессимптомно. У одного из 9-10 больных боковая киста наблюдается в сочетании с врожденным свищом шеи. Примерно в 50% случаев кисты нагнаиваются, а свищ формируется в результате опорожнения гнойника через кожу.

Причины
Боковая киста шеи представляет собой полость между жаберными бороздами, которые в норме должны исчезать по мере развития плода. Она формируется при аномалии развития жаберных щелей на четвертой-шестой неделях беременности. Срединная киста образуется при перемещении зачатка щитовидной железы из места ее формирования на переднюю поверхность шеи по щитовидно-язычному протоку. Это происходит на шестой-седьмой неделях беременности.
Врожденный свищ не является самостоятельной патологией и всегда сочетается с боковой или срединной кистой шеи. Выделяют два вида свищей: полные (с двумя выходными отверстиями: на коже и слизистой полости рта) и неполные (с одним отверстием, которое может располагаться как на коже, так и на слизистой).
Виды кисты шеи
Боковые кисты шеи
Боковые кисты шеи встречаются чаще срединных (примерно в 60% случаев). Они располагаются на передне-боковой поверхности шеи, в ее верхней или средней трети, кпереди от кивательной мышцы и локализуются прямо на сосудисто-нервном пучке, рядом с внутренней яремной веной. Бывают как многокамерными, так и однокамерными. Боковые кисты шеи большого размера могут сдавливать сосуды, нервы и расположенные рядом органы.
Симптомы
При отсутствии нагноения или сдавления сосудисто-нервного пучка жалоб нет. В ходе осмотра выявляется округлое или овальное опухолевидное образование, особенно заметное при повороте головы пациента в противоположную сторону. Пальпация безболезненна. Киста имеет эластическую консистенцию, подвижна, не спаяна с кожей, кожные покровы над ней не изменены. Как правило, определяется флюктуация, свидетельствующая о наличии жидкости в полости кисты. При пункции в полости образования обнаруживается мутная жидкость грязновато-белого цвета.
Осложнения
При нагноении киста шеи увеличивается в размере, становится болезненной. Кожа над ней краснеет, выявляется локальный отек. В последующем формируется свищ. При вскрытии на кожу устье свища располагается в области переднего края кивательной мышцы. При вскрытии на слизистую полости рта устье находится в области верхнего полюса небной миндалины. Отверстие может быть как точечным, так и широким. Кожа вокруг устья нередко покрывается корками. Наблюдается мацерация кожных покровов и гиперпигментация.
Диагностика
Диагноз боковой кисты шеи выставляется на основании анамнеза и клинической картины заболевания. Для подтверждения диагноза выполняют пункцию с последующим цитологическим исследованием полученной жидкости. Могут использоваться такие дополнительные методы исследования, как УЗИ, зондирование и фистулография с рентгенконтрастным веществом.
При неинфицированной кисте шеи проводится дифференциальная диагностика с лимфогранулематозом и внеорганными опухолями шеи (липома, невринома и т. д.). Нагноившуюся кисту дифференцируют от аденофлегмоны и лимфаденита.
Срединные кисты шеи
Срединные кисты в травматологии составляют около 40% от всех кист шеи и располагаются на передней поверхности шеи, по средней линии. При осмотре выявляется плотное, безболезненное, четко отграниченное образование эластической консистенции диаметром до 2 см , не спаянное с кожей. Киста незначительно подвижна, спаяна с телом подъязычной кости, смещается при глотании. В ряде случаев опухолевидное образование располагается в корне языка. При этом язык приподнимается, возможны нарушения речи и глотания.
Срединные кисты нагнаиваются чаще боковых – примерно в 60% случаев. При инфицировании образование увеличивается в размере, становится болезненным. Окружающие ткани отекают, кожа краснеет. При вскрытии гнойника образуется свищ с устьем, расположенным на передней поверхности шеи, между щитовидным хрящом и подъязычной костью. Если свищ открывается в ротовую полость, его устье располагается на передней поверхности языка, на границе между его корнем и телом.
Диагноз срединной кисты выставляется на основании анамнеза и клинических данных. В качестве методов инструментальной диагностики используется УЗИ и пункция кисты с последующим цитологическим исследованием. При пункции получают тягучую мутную жидкость желтоватого цвета, содержащую лимфоидные элементы и клетки многослойного плоского эпителия. Для исследования свищевых ходов применяется фистулография и зондирование.
Срединную кисту шеи дифференцируют от струмы языка, дермоидной кисты, лимфаденита, специфических воспалительных процессов и аденомы аномально расположенной щитовидной железы.

КТ шеи. Слева от средней линии в сонном пространстве кистозное образование (кистозно измененный лимфоузел).
Лечение кисты шеи
Лечение кист шеи только оперативное. Объем операции определяется состоянием больного, наличием и видом осложнений. У пожилых больных с тяжелыми сопутствующими заболеваниями выполняется аспирация содержимого кисты с последующим промыванием ее полости антисептическими препаратами. В остальных случаях этот метод не используется из-за недостаточной эффективности и высокого риска развития рецидивов.
- Неосложненные кисты. Хирургическое удаление кисты шеи показано при всех боковых кистах, срединных кистах любого размера в детском возрасте и срединных кистах диаметром более 1 см у взрослых. Для предупреждения рецидивов кисту иссекают вместе с капсулой. При хирургических вмешательствах по поводу срединной кисты также удаляют часть подъязычной кости, через которую проходит тяж от опухолевидного образования. При операциях по поводу боковой кисты возможны затруднения из-за расположенных рядом сосудов и нервов. В зависимости от размеров кисту корня языка могут удалять как через разрез на коже, так и через рот.
- Нагноившиеся кисты. При нагноении кисты ее полное удаление не показано. Выполняется вскрытие и дренирование. Показанием к экстренной операции является наличие острого воспалительного процесса, особенно – при закрытии свища и формировании абсцесса. В последующем проводятся регулярные перевязки с промыванием полости кисты антисептическими препаратами, назначается противовоспалительная терапия. Иногда полость кисты рубцуется. Если этого не происходит, ее удаление производят не раньше, чем через 2-3 месяца после ликвидации воспаления.
- Кисты со свищами. Срединные и боковые свищи шеи необходимо иссекать и удалять. Эта задача может быть сопряжена с рядом трудностей из-за тонкой стенки и извилистых ходов свища. Поэтому перед операцией в свищевой ход вводят зонд или окрашивающий препарат (бриллиантовый зеленый, метиленовый синий). В ходе операции удаляют все свищевые ходы, в том числе – тонкие и малозаметные, иначе возможен рецидив. Особой сложностью отличается операция по иссечению бокового свища шеи, поскольку в этом случае свищевой ход проходит между внутренней и наружной сонными артериями.
2. Клинико-морфологическая характеристика срединных, боковых кист и свищей шеи: автореферат диссертации/ Иванова С.В. - 2005
3. Источники развития, клинико-морфологическая характеристика и принципы лечения срединных кист шеи/ Ткаченко П.И., Белоконь С.А., Старченко И.И., Гуржий Е.В.// Журнал Гродненского государственного медицинского университета - 2014 - №2
Симптомы кисты шеи (щитоязычного протока) и ее лечение
а) Терминология:
1. Аббревиатуры:
• Киста щитоязычного протока (КЩЯП)
• Остаток щитоязычного протока (ЩЯП)
2. Определение:
• Остаток ЩЯП, расположенный между слепым отверстием в корне языка и ложем щитовидной железы в подподъязычном отделе шеи
б) Визуализация:
1. Общая характеристика:
• Лучший диагностический критерий:
о Объемное образование шеи, расположенное срединно выше уровня подъязычной кости, или ниже — по средней линии/парамедианно
• Локализация:
о В 20-25% выше уровня подъязычной кости
о Практически в 50% случаев на уровне подъязычной кости
о в 25% ниже уровня подъязычной кости
о Супрагиоидный отдел: срединно; инфрагиоидный отдел шеи: срединно или парамедианно, в подподъязычных мышцах
• Размер:
о Варьирует; обычно 2-4 см
• Морфология:
о Киста округлой или вытянутой формы

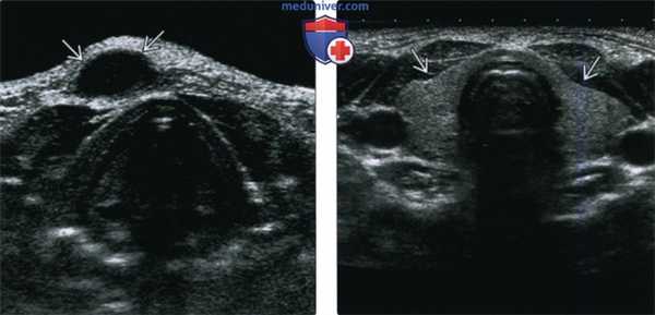
(Слева) На поперечной сонограмме в подкожных тканях визуализируется гипоэхогенное объемное образование с ровными краями, расположенное парамедианно справа, спереди от подподъязычных мышц. Образование было оперативно удалено, подтвердилась КЩЯП.
(Справа) На поперечной сонограмме у ребенка с подозрением на кисту щитоязычного протока в области предполагаемой локализации в нижних отделах шеи визуализируется щитовидная железа, имеющая нормальный вид (состоящая из двух долей). У всех пациентов, обследуемых на предмет КЩЯП, важно документально отразить наличие щитовидной железы в ожидаемом месте и отсутствие патологических изменений с ее стороны.
2. КТ при кисте щитоязычного протока:
• КТ с КУ:
о Гиподенсное кистозное образование шеи, расположенное срединно и накапливающее контраст в виде тонкого ободка:
- При инфицировании стенка кисты может накапливать контраст
- В редких случаях обнаруживаются перегородки
о Надподъязычная КЩЯП:
- Корень языка или задние отделы дна полости рта
о На уровне подъязычной кости:
- Срединно, обычно вплотную к подъязычной кости спереди
- Может выбухать в преднадгортанниковое пространство
о Подподъязычная КЩЯП:
- Погружена в подподъязычные мышцы=симптом «когтя»
- Более каудальные КЩЯП обычно располагаются парамедианно
о - Солидное эксцентрическое образование в кисте, часто с обызвествлениями
- Может иметь микроскопические размеры, вследствие чего не обнаруживается на томограммах
- Обычно у взрослых, но может наблюдаться и у подростков; самый юный пациент-десятилетний ребенок
3. МРТ при кисте щитоязычного протока:
• Т1ВИ:
о Обычно сигнал низкой интенсивности:
- Гиперинтенсивный сигнал: жидкость, содержащая белок
• Т2ВИ:
о Равномерно гиперинтенсивный сигнал
• Т1ВИ С+:
о Киста не накапливает контраст:
- При инфицировании контрастное усиление в виде «ободка»
4. УЗИ при кисте щитоязычного протока:
• Анэхогенное или гипоэхогенное срединное образование шеи:
о ± внутренние эхогенные включения (±кровоизлияния или инфекция):
о Наличие эхогенных включений внутри кисты не соотносится с гистологическими признаками кровоизлияния или инфекции
• При исследовании нижних отделов шеи необходимо убедиться в отсутствии патологических изменений щитовидной железы, наличии обеих долей
5. Рекомендации по визуализации:
• У детей КЩЯП проявляются «классически»:
о УЗИ используется только для визуализации щитовидной железы
о КТ или МРТ при инфицировании или неясном диагнозе
• У взрослых: КТ или МРТ при супрагиоидных и инфицированных кистах
• Сцинтиграфия при подозрении на эктопическую ткань щитовидной железы

(Слева) При сагиттальной КТ с КУ у ребенка с рецидивирующей кистой щитоязычного протока в надподъязычном отделе шеи по средней линии визуализируется объемное образование неоднородной структуры с бугристыми краями, наличие которого позволяет предположить воспаление остатка щитоязычного протока. Обратите внимание, что средняя часть подъязычной кости отсутствует, что связано с ранее выполненной операцией Систранка.
(Справа) При сагиттальной МРТ Т2ВИ у ребенка, которому данное исследование было выполнено из-за судорожных припадков в корне языка по средней линии визуализируется случайно выявленное объемное образование с гиперинтенсивным сигналом, которое впоследствии было верифицировано как КЩЯП.
в) Дифференциальная диагностика кисты щитоязычного протока:
1. Дермоид и эпидермоид полости рта:
• Дермоид: жир, жидкость или смешанный компонент
• Эпидермоид: жидкость
• Поднижнечелюстное пространство, подъязычное пространство, корень языка
• Никогда непосредственно не вовлекает подъязычную кость
2. Лимфатическая мальформация:
• Однокамерная или многокамерная
• Отграниченная или распространяющаяся на несколько анатомических зон
• Не накапливает контраст, если не присоединяется инфекция или, если не является комбинированной венозно-лимфатической мальформацией
• Уровни «жидкость-жидкость», обусловленные кровоизлиянием
3. Язычная щитовидная железа:
• Солидное образование, накапливающее контраст; гиперденсное на КТ без КУ
4. Абсцесс поднижнечелюстного или подъязычного пространства:
• Этиология: инфекции зубов или слюнных желез
• Не погружен в подподъязычные мышцы
• Скопление гноя, окруженное толстой стенкой, накапливающей контраст
5. Смешанное ларингоцеле:
• Обусловлено патологическим процессом в гортани
• Не погружено в подподъязычные мышцы
6. Цепочка некротически измененных «дельфийских» лимфоузлов:
• Сложно отличить от инфицированной КЩЯП:
о Редко встречается у детей

(Слева) УЗИ в поперечной плоскости у ребенка с вновь появившимся объемным образованием передних отделов шеи слева: визуализируется патологический гетерогенный очаг без признаков кровотока при цветовой допплерографии, но с выраженными эхогенными включениями, наличие которых позволяет заподозрить дермоид или рак в КЩЯП. При патоморфологическом исследовании подтвердилась киста, не осложненная кровоизлиянием, инфекцией, без признаков наличия злокачественной опухоли.
(Справа) УЗИ в поперечной плоскости у восьмилетнего ребенка: визуализируется типичная подподъязычная КЩЯП в виде анэхогенного объемного образования, расположенного парамедианно и обусловливающего легкое сдавливание левой доли щитовидной железы, в остальном выглядящей нормальной.
г) Патология:
1. Общая характеристика:
• Генетические нарушения:
о Редко встречаются семейные случаи:
- Обычно у женщин
- Аутосомно-доминантный тип наследования
о Аномалии развития щитовидной железы часто возникают в одной семье
• Этиология:
о Нарушение обратного развития ЩЯП и персистирующая секреция эпителиальными клеток, выстилающих проток → КЩЯП:
- КЩЯП или эктопическая ткань щитовидной железы может обнаруживаться в любом месте по ходу ЩЯП
• Сопутствующие патологические изменения:
о Агенезия щитовидной железы, эктопия, пирамидальная доля
о В исключительных случаях сочетается с раком щитовидной железы:
- Чаще всего папиллярный рак ЩЯП
• Эмбриогенез и анатомия:
о ЩЯП начинается возле слепого отверстия в задней трети языка о Зачаток щитовидной железы возникает в основании языка и спускается в область конечного расположения (ложе щитовидной железы) вдоль ЩЯП
о Проходит через корень языка в области дна полости рта → возле подъязычной кости или через нее → спереди от подподъязычных мышц → в ложе щитовидной железы спереди от щитовидного или перстневидного хряща
о ЩЯП обычно подвергается обратному развитию на 5-6 неделе внутриутробного развития, при этом слепое отверстие и пирамидальная доля щитовидной железы в норме остаются
о Нарушение инволюции протока и персистирующая секреция:
- КЩЯП
2. Макроскопические и хирургические особенности:
• Киста с ровными краями, выглядящая простой; наличие хода, направленного к подъязычной кости ± к слепому отверстию
3. Микроскопия:
• Киста, выстланная респираторным или плоским эпителием
• Небольшие включения ткани щитовидной железы и коллоида
• ± рак щитовидной железы, преимущественно папиллярный
д) Клинические особенности:
1. Проявления:
• Типичные признаки/симптомы:
о Безболезненное объемное образование шеи, поддающееся сдавлению, с рыхлой структурой, расположенное срединно или парамедианно
о Другие признаки/симптомы:
- Рецидивирующее образование шеи, расположенное срединно, связанное с инфекциями верхних дыхательных путей или травмой
- ± данные о оперативных вмешательствах, выполненных ранее, и попытках дренирования «абсцесса шеи»
- Редко КЩЯП, расположенная в языке → обструкция дыхательных путей у младенцев
- Небольшие кисты, преимущественно в корне языка, могут становиться случайной находкой при МРТ головного мозга
о Физикальное исследование:
- Если КЩЯП расположена рядом с подъязычной костью, она приподнимается при высовывании языка
2. Демография:
• Возраст:
о В 90% случаев • Пол:
о Врожденная киста: М• Эпидемиология:
о Самая распространенная врожденная патология шеи:
- 90% врожденных неодонтогенных кист
- Встречается в три раза чаще кист жаберных щелей
о При посмертном исследовании у >7% населения обнаруживаются остатки ЩЯП в том или ином его участке
3. Течение и прогноз:
• Рецидивирующее, перемежающееся «набухание» объемного образования, обычно после легких инфекций верхних дыхательных путей
• Быстрое увеличение образования позволяет предположить инфицирование или сопутствующий дифференцированный рак щитовидной железы:
о Рак связан с КЩЯП (<1%)
о Дифференцированный рак щитовидной железы (85%: папиллярный рак)
4. Лечение:
• Хирургическое (полная резекция) = операция Систранка:
о Иссечение протока, идущего к слепому отверстию
о Киста удаляется целиком вместе со средней частью подъязычной кости:
- Даже если при лучевых методах исследования не выявлено явной связи между кистой и подъязычной костью
- Исключение: КЩЯП инфрагиоидного отдела шеи
о Позволяет снизить уровень рецидивов от 50% до • Изолированная язычная КЩЯП может быть удалена при эндоскопии
• Прогноз при полной хирургической резекции крайне благоприятный
• Рецидивы при неполной резекции часто возникают снаружи и осложняются:
о Послеоперационные инфекции обусловливают повышение риска рецидива
е) Диагностическая памятка. Следует учесть:
• Отношение кисты к подъязычной кости: выше ее, на одном уровне или ниже
• Любые сопутствующие узлы или грубые обызвествления подозрительны на рак щитовидной железы
• УЗИ ложа щитовидной железы выполняется для того, чтобы убедиться в ее (железы) наличии
Узлы и кисты щитовидной железы
Узлы щитовидной железы - очаговые образования щитовидной железы любых размеров, имеющие капсулу, определяемые пальпаторно или с помощью визуализирующих исследований. Кисты щитовидной железы – узловые образования щитовидной железы с полостью, заполненной жидким содержимым. Узлы и кисты щитовидной железы длительно могут протекать без каких либо симптомов, затем возникают различные дискомфортные явления в горле и узел становиться заметным при взгляде на шею. Гормональноактивные узлы щитовидной железы влекут за собой развитие гипертиреоза. Диагностический алгоритм при подозрении на узел или кисту включает УЗИ щитовидной железы, пункционную биопсию образования и гормональные исследования.

10% населения в мире имеют различные очаговые образования щитовидной железы. В щитовидной железе могут развиваться различные по морфологическим формам узловые образования, при этом большая часть из них носит доброкачественный характер (узловой коллоидный зоб, аденома щитовидной железы, киста щитовидной железы). Узлы являются самой распространенной патологией щитовидной железы, в 4-8 раз чаще встречающейся у женщин. Кисты составляют от 3 до 5% всех образований щитовидной железы.
Узлы и кисты щитовидной железы долгое время могут носить бессимптомный характер, при увеличении в размерах вызывают «синдром сдавления» расположенных рядом структур шеи: нарушения в работе щитовидной железы, удушье, осиплость голоса, нарушение акта глотания, першение в горле, болезненные ощущения. Наиболее опасные осложнения кист – воспаление и нагноение, узлов – злокачественное перерождение.
Частота и количество образующихся в щитовидной железе узлов увеличивается с возрастом. Причинами образования узлов в щитовидной железе служат:
- наследственная предрасположенность к их развитию
- йодный дефицит в пище и воде
- токсическое воздействие на железу лаков и красок, растворителей, бензина, фенолов, свинца
- радиационное излучение и лучевая терапия.
Патанатомия
Макроскопически щитовидная железа состоит из псевдодолек, образованных фолликулами (везикулами, ацинусами) и окруженных капиллярной сетью. Внутри фолликулы выстланы тиреоидными клетками и заполнены белковым веществом – коллоидом, содержащим протогормоны щитовидной железы. Нарушение оттока содержимого фолликула ведет к накоплению излишней жидкости и увеличению его размеров, т. е. формированию кисты щитовидной железы.
Кисты щитовидной железы могут образовываться в результате микрокровоизлияний, дистрофии или гиперплазии фолликулов железы. Обычно кисты щитовидной железы не влияют на ее функцию; нарушение функции происходит при развитии кисты на фоне других заболеваний щитовидной железы. Течение кисты в основном доброкачественное, крайне редко встречается злокачественная киста щитовидной железы, обычно достигающая больших размеров. Клинически кисты щитовидной железы ведут себя различно: иногда наблюдаются годами без отрицательной динамики, иногда быстро увеличиваются в размерах или спонтанно исчезают.
Классификация
Узлы в щитовидной железе могут быть единичными (солитарными) и множественными; автономными токсическими (т. е избыточно продуцирующими гормоны) или спокойными, нетоксическими. Встречаются как доброкачественные, так и злокачественные узлы щитовидной железы. Процессы развития узлов щитовидной железы отличаются последовательной стадийностью, определяемой по степени их эхогенности при ультразвуковом исследовании:
- изоэхогенный однородный узел. Плотность внутреннего содержимого узла соответствует окружающим тканям щитовидной железы. На стадии инэхогенности отмечается усиление кровообращения и расширение сети сосудов, окружающих узел.
- изоэхогенный неоднородный узел:
- с незначительными изменениями ткани
- с выраженными изменениями ткани
- с гипоэхогенными включениями (участками кистозной дегенерации)
Изоэхогенные неоднородные узлы формируются по мере истощения и гибели тиреоидных клеток и фолликулов.
- гипо- или анэхогенный узел. Характеризуется полным разрушением ткани узла, заполнением полости жидкостью и разрушенными клетками, что приводит к формированию кисты щитовидной железы.
- стадия рассасывания содержимого кисты щитовидной железы;
- стадия рубцевания кисты щитовидной железы.
Процесс стадийного преобразования узлов щитовидной железы длителен; его скорость зависит от размеров узла, работы иммунной системы, состояния компенсаторных и приспособительных механизмов щитовидной и железы и организма в целом. Для ускорения процессов рубцевания кисты щитовидной железы иногда прибегают к ее склеротизации.
Симптомы узлов щитовидной железы
Узлы и кисты щитовидной железы долгое время развиваются бессимптомно, не вызывая никаких субъективных ощущений у пациентов. Они обычно безболезненны и невелики, не вызывают давления или дискомфорта в области шеи. Небольшие узлы и кисты щитовидной железы часто выявляются в ходе планового осмотра или обследования по поводу других заболеваний. Пальпаторно они определяются как гладкие, плотноэластические узловые образования, легко прощупывающиеся под кожей. По сравнению с узлами остальная ткань щитовидной железы имеет обычную консистенцию.
Поводом для самостоятельного обращения пациента к эндокринологу обычно служит момент, когда узел становится заметным на глаз и деформирует шею. К этому времени размеры узла или кисты щитовидной железы уже превышают 3 см в диаметре и не могут лечиться консервативно. По мере увеличения размеров узлового образования и сдавливания анатомически близких структур шеи появляются характерные жалобы: чувство «комка» и першение в горле, расстройство функций глотания и дыхания, осиплость или потеря голоса, боли в шее. Кисты щитовидной железы больших размеров могут сдавливать кровеносные сосуды. При злокачественных узловых образованиях увеличиваются шейные лимфатические узлы.
Автономные токсические узлы в результате своей гиперактивности приводят к развитию гипертиреоза и его симптомов: тахикардии, ощущений сердцебиения, приливов жара в теле, возбуждения, эмоциональной лабильности, экзофтальма. Одиночный (солитарный) узел, расположенный среди нормальной тиреоидной ткани, наиболее подозрителен в отношении злокачественной опухоли, чем один из множественных узлов, чаще служащих проявлением диффузного узлового зоба. Злокачественные узлы отличаются быстрым ростом, имеют твердую консистенцию, часто сопровождаются увеличением шейных лимфоузлов. Однако на ранних стадиях распознать доброкачественность узла по внешним признакам очень сложно.
Осложнения
Кисты щитовидной железы могут подвергаться воспалению и нагноению. При этом появляется резкая боль в области шеи, высокая температура, симптомы интоксикации, увеличение и воспаление регионарных лимфоузлов. Узлы и кисты щитовидной железы больших размеров могут оказывать давление на близлежащие органы и сосуды шеи. Узловые образования щитовидной железы могут перерождаться в злокачественные опухоли.
Диагностика
При пальпаторном определении узлового образования щитовидной железы в дальнейшем проводится его дифференциальная диагностика. План обследования включает:
- Сонографию. При проведении УЗИ щитовидной железы подтверждается наличие образования, определяются его размеры и структура (зоб, аденома, киста щитовидной железы и т. д.).
- Исследование тиреоидной панели. С целью оценки нарушения функций щитовидной железы проводят определение уровня тиреоидных гормонов (ТТГ, Т4, Т3).
- Лучевую диагностику. Из рентгенологических методик при узлах и кистах щитовидной железы применяются пневмография щитовидной железы (для уточнения прорастания окружающих тканей), ангиография (для выявления нарушений сосудистой сети), рентгеноскопия пищевода с барием и рентгенография трахеи (для определения прорастания или сдавления опухолью). При значительных размерах узлов и кист щитовидной железы или при их злокачественном характере проводится компьютерная томография.
- Пункционную биопсию. Для определения цитоморфологической структуры узла (доброкачественный или злокачественный) выполняется тонкоигольная пункционная биопсия. Во время исследования клеточный состав из узла забирают с помощью иглы и шприца и отправляют на цито-гистологическое исследование. С помощью пункционного метода можно также получить содержимое кисты щитовидной железы. Обычно содержимое кисты (при доброкачественном или злокачественном течении) геморрагическое, красновато-коричневого цвета и содержит старую кровь и разрушенные клеточные элементы щитовидной железы. Врожденные кисты щитовидной железы содержат прозрачную слегка желтоватую жидкость. При возникновении абсцесса щитовидной железы при пункции получают гной.
- Радионуклидную диагностику. При сцинтиграфии – сканировании щитовидной железы с помощью радиоактивных изотопов йода I-123, I-131 или технеция Тс-99 определяют характер узла, его гормональную активность, состояние окружающей тиреоидной ткани. По способности накопления радиоактивного йода образованием и окружающими тканями узлы делятся на:
- «теплые» - узлы, поглощающие такое же количество радиойода, как и внеузловая ткань железы (функционирующие узлы);
- «горячие» - узлы, накапливающие большее количество радиойода, чем неизмененная окружающая ткань щитовидной железы (автономно функционирующие узлы);
- «холодные» - узлы, не накапливающие радиоактивный йод; диагностическое вещество распределяется в неизмененной ткани щитовидной железы. К «холодным» узлам относятся рак щитовидной железы, однако, лишь 10% «холодных» узлов являются злокачественными.
При симптомах сдавления структур шеи проводят ларингоскопию (для осмотра голосовых связок и гортани) и бронхоскопию (для осмотр трахеи).
Лечение кист и узлов щитовидной железы
Консервативная терапия
Небольшие по размерам узлы и кисты щитовидной железы, не сопровождающиеся нарушением самочувствия пациента, лечатся консервативно, с использованием тех же фармсредств, что применяются для лечения диффузного нетоксического зоба: препаратов тиреоидных гормонов и йода. Процесс лечения препаратами тиреоидных гормонов контролируется исследованием уровня ТТГ (каждые 3-4 недели) и ультразвуковым исследованием щитовидной железы (1 раз в 3 месяца).
Лечение йодсодержащими препаратами осуществляют под контролем УЗИ и наличия в крови антител к ткани щитовидной железы (через 1 мес. после начала терапии). Исследование антител необходимо для исключения аутоиммунного тиреоидита, иногда развивающегося в виде узла и обостряющегося на фоне лечения препаратами йода. При определении в крови высокого титра антител препараты йода отменяют.
При наличии в кисте щитовидной железы признаков воспалительного процесса проводят определения возбудителя и его чувствительности к антибиотикам и подключают противовоспалительное лечение антибактериальными препаратами.
Малоинвазивные методы
Узлы и кисты щитовидной железы диаметром менее 1 см подлежат динамическому наблюдению и пунктируются в случае увеличения их размеров. Лечение кист щитовидной железы начинают с их пункционного опорожнения. Около половины кист щитовидной железы после опорожнения спадаются и перестают накапливать содержимое. Доброкачественные кисты щитовидной железы без признаков воспаления в случае рецидива можно пунктировать повторно. Иногда в полость кисты после ее опорожнения вводят склерозанты (в частности, этиловый спирт) для лучшего слипания стенок. Если киста щитовидной железы быстро накапливает содержимое, за неделю достигая исходных размеров, ее лучше удалить оперативно.
Хирургическое лечение
Показаниями к оперативному удалению доброкачественной кисты щитовидной железы служат ее большие размеры, сдавление органов шеи, быстрые рецидивы накопления жидкости после пункционного опорожнения. Чаще при наличии кисты щитовидной железы выполняется гемиструмэктомия (гемитиреоидэктомия) – удаление доли щитовидной железы. Функция щитовидной железы после такой операции обычно не нарушается. При наличии доброкачественных узлов в обеих долях щитовидной железы прибегают к двусторонней субтотальной струмэктомии - резекции большей части щитовидной железы.
Абсолютным показанием к оперативному удалению узлового образования служит его малигнизация. Во время операции проводится срочное патогистологическое определение злокачественности узла и его формы. При подтверждении наличия злокачественного образования в щитовидной железе иногда прибегают к ее полному удалению (тотальной струмэктомии) вместе с окружающей жировой тканью и лимфоузлами.
После тотальной струмэктомии развивается тяжелая гипофункция щитовидной железы, что диктует необходимость назначения пациенту в послеоперационном периоде приема тиреоидных гормонов. Поскольку удаление щитовидной железы проводится вместе с паращитовидными железами, то назначаются и препараты кальция. Частым осложнением после операций на щитовидной железе является нарушение функций голосовых связок.
Прогноз и профилактика
Прогноз при узловых образованиях щитовидной железы определяется их гистологической формой. При доброкачественной структуре узлов и кист щитовидной железы вероятно полное излечение. Кисты щитовидной железы могут рецидивировать снова. Опухоли щитовидной железы умеренной злокачественности при отсутствии метастатических отсевов излечиваются у 70-80% пациентов. Наихудший прогноз при злокачественных новообразованиях, прорастающих соседние органы и дающих отдаленные метастазы.
Предупреждение образования узлов и кист щитовидной железы подразумевает ежедневное потребление йода в границах возрастной физиологической нормы, достаточного количества витаминов, недопущение инсоляции, облучения, проведения физиопроцедур на область шеи. После излечения кисты щитовидной железы необходимо проведение контрольных УЗИ 1 раз в год. Пациенты с мелкими узлами и кистами щитовидной железы должны состоять на учете и динамическом наблюдении у эндокринолога.
Срединная киста шеи у взрослых

Полое новообразование, которое находится на шее, называется шейной кистой. В зависимости от расположения, носит название срединной или боковой. Образовывается еще во время внутриутробного развития человека. Заболевание считается редким, встречается всего в трех процентах от всего количества опухолей. Может стать заметным уже во младенчестве. В взрослой жизни требует особых подходов к терапии. Опухоль необходимо диагностировать как можно раньше, чтобы избежать осложнений, которые могут помешать полноценному лечению.
Информацию из данного раздела нельзя использовать для самодиагностики и самолечения. В случае боли или иного обострения заболевания диагностические исследования должен назначать только лечащий врач. Для постановки диагноза и правильного назначения лечения следует обратиться к профильному специалисту.

Боковая киста шеи
Признаки образования часто заметны сразу после рождения. Патология представляет собой карман между жаберными бороздами, которые должны зарастать на пятой неделе формирования плода. Иногда такие карманы сохраняются, образуя боковую кисту. Нарост располагается в области сонной артерии на нервном пучке сбоку шеи и имеет следующие признаки:
- увеличение шейных лимфоузлов;
- рост кисты во время инфекций;
- образование нарывов на этом месте.
Если опухоль сдавливает нервный пучок, это место становится болезненным. При ее росте и гнойном воспалении появляется тяжесть в пищеводе, проблемы с речью, свист при дыхании. Киста легко определяется визуально при повороте шеи.
Такой нарост не несет серьезной опасности. Но, развиваясь в скрытой форме, он может принять злокачественное течение. Поэтому важна ранняя диагностика. Обычно опухоль обнаруживают в раннем возрасте. Часто она проявляет себя при инфекционном заболевании либо после травмы. Нарост подлежит удалению хирургическим путем. Прогноз при этом очень благоприятный: патология исчезает без следа, не имеет рецидивов.
Симптомы кисты шеи
Ранние признаки серединной или боковой кисты шеи всегда скрыты и в течение длительного времени не проявляют себя. На близлежащие органы и системы она также не влияет. Однако, с ростом и развитием опухоли появляются следующие симптомы:
- круглое объемное образование на средней линии шеи;
- ее смещение во время глотательных движений;
- консистенция плотная и упругая, сращена с кожей.
При надавливании на шишку, боль отсутствует. Однако, если в кисту попадает инфекция, она значительно увеличивается в размерах, воспаляется, кожа на этом месте краснеет и отекает. При диагностике внутри кисты обнаруживается гнойное содержимое, при пальпации ощущается сильная боль. Добавляются дополнительные признаки:
- повышение температуры тела;
- озноб;
- увеличение шейных лимфоузлов.
Киста долгие годы растет очень медленно и обнаружить ее чаще всего удается, когда она воспаляется и мешает глотать, что происходит более, чем в половине случаев. Она может вскрыться наружу или в ротовую полость, выпуская гной. Боль и отек при этом уменьшаются, но самостоятельно опухоль никогда не зарастает и не рассасывается, свищевой ход при этом остается постоянно открытым.

Причины срединной кисты шеи
Поскольку заболевания встречается редко, то его этиология является предметом научных споров. Большинство медиков считают, что прямой причиной возникновения опухоли на средней линии шеи являются аномалии во внутриутробном периоде на первых неделях развития плода. Многие специалисты это связывают со смещением зачаточной щитовидки на среднюю часть шеи по язычно-щитовидному каналу. После рождения и в течении многих лет болезнь не проявляет себя, как и все доброкачественные образования в области шеи. Вызвать ее могут следующие провоцирующие факторы:
- интенсивный рост человека;
- подростковый период;
- беременность у женщин;
- климакс;
- острые инфекционные заболевания.
Некоторые медики считают, что во многом появление серединной кисты вызвано наследственными причинами, поэтому при ее обнаружении рекомендуется обследование ближайших родственников. Непосредственно нагноение и последующее воспаление образования очень часто вызывает бактерия — белый стафилококк.
К какому врачу обратиться?
Вовремя не выявленная серединная киста шеи может привести к осложнению: затрудненному глотанию, изменению дикции, сильной боли, интоксикации. Иногда процесс может закончиться онкологией. Хотя это считается редким случаем, рисковать не стоит. При ранних симптомах — ощущении дискомфорта при глотании, изменении тембра голоса —нужно пройти обследование. Специалистом, к которому нужно обратиться, является:
Читайте также:
- Лучевая диагностика оссификации желтой связки
- Месячный цикл яичников. Функции гонадотропных гормонов
- Реакция торможения гемагглютинации ( РТГА ). Реакции иммобилизации. Реакции иммунного лизиса. Методика реакции торможения гемагглютинации.
- Соматоформное расстройство - эпидемиология, причины, классификация
- КТ, МРТ при остеорадионекрозе височной кости
