Лучевая диагностика оссификации желтой связки
Добавил пользователь Валентин П. Обновлено: 18.12.2025
Стеноз позвоночного канала является заболеванием, включает сочетание сужения позвоночного канала согласно либо компьютерной томографии(КТ), либо магнитно-резонансной томографии(МРТ) либо рентгенографии позвоночника (спондилографии) и характерных клинических симптомов. При проведении МРТ лицам старше 60 лет отмечено, что 21 % из них имел рентгенологические признаки сужения позвоночного канала на поясничном уровне. Лишь треть (33 %) предъявляли характерные для стеноза жалобы.
Внедрение в широкую клиническую практику КТ и МРТ привело к значительному увеличению диагностики данной патологии.
Классификация
- По анатомическим критериям различают
- центральный стеноз — уменьшение расстояния от задней поверхности тела позвонка до ближайшей противоположной точки на дужке у основания остистого отростка
- латеральные стенозы — сужение корешкового канала и межпозвонкового отверстия до 4 мм и менее
- врождённый или идиопатический стеноз; ахондроплазию
- приобретённый стеноз
- комбинированный стеноз — любое сочетание врождённого и приобретённого стеноза
Эпидемиология
Стеноз позвоночного канала на поясничном уровне является весьма распространённым заболеванием. Его частота резко возрастает у людей старше 50 лет и в данной возрастной группе составляет от 1.8 до 8 %. По данным датских авторов, стеноз поясничного отдела позвоночника встречается с частотой 272 случая на 1000000 населения в год. Ежегодно по поводу данной проблемы в скандинавских странах оперируется 9,7 на 100 000 населения.
Этиология
Врождённый стеноз обусловлен анатомическими особенностями строения позвоночника у человека и проявляется
- укорочением дуги позвонков
- ахондроплазией (увеличение толщины дуги позвонка, укорочение ножки и уменьшение высоты тела позвонка)
- хрящевой и фиброзной диастематомиелией
Причины возникновения приобретённого стеноза различны. Основными являются:
- деформирующий спондилоартроз с гипертрофией межпозвонковых суставов, образованием краевых остеофитов
- оссифицированные грыжи межпозвонковых дисков
- гипертрофия и оссификация жёлтой связки
- болезнь Форестье (диффузный идиопатический гиперостоз ревматоидной природы)
- болезнь Бехтерева
- спондилолистез дегенеративно-дистрофического генеза
- ятрогенный стеноз — образование субарахноидальных спаек и/или послеоперационных рубцов
- «стальной стеноз» — внедрение металлических конструкций в просвет позвоночного или радикулярного канала
Центральный стеноз возникает за счёт патологических процессов в анатомических структурах формирующих позвоночный канал (в частности межпозвонковых дисках, межпозвонковых суставах, жёлтой связке, задней продольной связке), в котором содержатся спинномозговой мешок с включенными в него нервными корешками.
Латеральный стеноз может возникать в одной или нескольких из трёх анатомических зон: зоне входа (латеральном рецессусе), средней зоне и зоне выхода (межпозвонковом отверстии).
Патогенез
Патофизиологические механизмы, вызывающие развитие характерных жалоб, обусловлены сочетанием трёх групп факторов — повышения эпидурального давления, асептического воспаления и ишемии. Возникновение каждого из них обусловлено хроническим сдавлением нервно-сосудистых структур позвоночного канала.
За счёт хронической компрессии возникает несоответствие кровотока к нервным структурам позвоночного канала. Уровень поступающей крови снижается и соответственно возникает ишемия нервного корешка (при латеральном стенозе) и конского хвоста (cauda equina) (при центральном). При комбинированном стенозе наблюдается сочетание ишемии как конского хвоста, так и нервного корешка. Отмечено, что явления ишемии вызывают процессы демиелинизации, образование спаек между мягкой и арахноидальной мозговыми оболочками, развитие интерстициального фиброза и рубцово-спаечного эпидурита.
Потребность в кислороде возрастает при усилении биохимических процессов. Этим объясняется тот факт, что жалобы на боли в спине и/или ногах, слабость при стенозе позвоночного канала возникают при ходьбе.
Несоответствие объёма нервно-сосудистых структур объёму позвоночного канала вызывает повышение эпидурального давления и как следствие вызывает возникновение воспалительного процесса. Эпидуральное давление повышается при ходьбе, что вызывает продукцию эктопических нервных импульсов и проявляется возникновением болевых ощущений
При сгибании высота межпозвонкового отверстия увеличивается на 12 %, при разгибании уменьшается на 15 %. Этим объясняется характерная жалоба, которая состоит в регрессе боли вплоть до полного исчезновения при присаживании, нагибании. Более того, на основании этого симптома проводят дифференциальную диагностику между нейрогенной (при стенозе позвоночного канала) и сосудистой перемежающейся хромотой. Так, при нейрогенной перемежающейся хромоте в отличие от сосудистой человек может достаточно долго работать на велотренажере, не испытывают жалоб при длительном вождении автомобиля.
Стеноз позвоночного канала как следствие остеохондроза
Наиболее часто приобретённый стеноз позвоночного канала является последней 4-й стадией остеохондроза позвоночника. Её возникновение характеризуется тем, что на фоне нестабильности позвоночно-двигательного сегмента (3-я стадия остеохондроза) развиваются компенсаторные процессы направленные на его стабилизацию. К ним относятся разрастание костной ткани в виде остеофитов, артроз межпозвонковых суставов. Межпозвонковые суставы ограничивают как позвоночный канал, так и зоны входа нервного корешка, промежуточную зону и межпозвонковое отверстие. Соответственно разрастание межпозвонковых суставов приводит к сужению вышеуказанных анатомических образований и соответственно к развитию стеноза.
Клиника
При исследовании группы больных со стенозом позвоночного канала на поясничном уровне отмечено, что ведущими жалобами являются:
- боль в спине (95 %)
- синдром нейрогенной перемежающейся хромоты (91 %)
- радикулярная боль в одной или двух ногах (71 %)
- слабость в одной или двух ногах (33 %)
У больных, которые отмечали сочетание боли в ноге и пояснице 70 % отмечали одинаковую интенсивность боли в ноге и пояснице, у 25 % преобладала боль в ногах. В 58 % случаев боль имелась в одной ноге и в 42 % она была двусторонней. У большинства больных отмечалась радикулопатия нескольких нервных корешков. В основном боль при стенозе позвоночного канала распространяется в дерматомах L5 (91 %) и SI (63 %), реже в дерматомах L1-L4 (28 %).
В монографии Зозули Ю. А. и соавторов приведена таблица частоты встречаемости различных жалоб у больных со стенозом позвоночного канала.
частота встречаемости %
Люмбалгия (боль в пояснице)
Нейрогенная перемежающаяся хромота
Симптомы натяжения (Лассега, Вассермана и др.)
Нарушение чувствительности в ногах
Ишиалгия (боль в ноге)
Гипотрофия мышц нижних конечностей
Нарушения чувствительности в аногенитальной зоне
Крампи икроножных мышц
Нарушение функции тазовых органов
Нейрогенная перемежающаяся хромота является патогномоничным симптомом, позволяющим ещё до проведения дополнительных методов обследования предположить наличие стеноза позвоночного канала. Для неё характерно появление боли при ходьбе, которая регрессирует при присаживании либо наклонении туловища вперёд. После этого человек снова может пройти определённую дистанцию до появления болезненных ощущений. В положении сидя больной может выполнять любую работу (велотренажёр, вождение автомобиля) без возникновения боли. Интенсивность нейрогенной перемежающейся хромоты оцениваается в расстоянии (метрах), которое может пройти человек до появления боли.
Диагностика
Диагноз стеноза позвоночного канала может быть установлен на основании сочетания клинических жалоб и сужения просвета позвоночного канала соответственно данным дополнительных методов исследования.
Сужение позвоночного канала (переднезадний размер менее 12 мм) может быть выявлено согласно магнитно-резонансной томографии, компьютерной томографии и рентгенографии (спондилографии) позвоночника.
Лечение
Лечение стеноза позвоночного канала может быть консервативным и оперативным.
Консервативное лечение
Консервативное лечение включает в себя назначение анталгических, сосудистых, противовоспалительных препаратов. Однако оно является недостаточно эффективным в лечении стеноза позвоночного канала, так как приводит к улучшению самочувствия у 32—45 % больных.
Хирургическое лечение
Хирургическое лечение стеноза позвоночного канала имеет ряд особенностей. Во-первых, имеется несколько типов операций применяемых при стенозе:
- декомпрессивная ламинэктомия
- установка стабилизирующих систем
- установка систем межостистой фиксации
Во-вторых стеноз, позвоночного канала часто сочетается с другими видами патологии позвоночника, такими как нестабильность и грыжи межпозвонковых дисков.
Декомпрессивная ламинэктомия
Декомпрессивная ламинэктомия включает в себя резекцию структур, которые приводят к сдавлению нервного корешка и/или конского хвоста (cauda equina) задним доступом, а именно остистого отростка. дуг позвонков, жёлтой связки, межпозвонковых суставов.
В историческом аспекте декомпрессивная ламинэктомия была первым типом операций, применяемых для лечения стеноза позвоночного канала.
В то же время проведение декомпрессивной ламинэктомии имеет целый ряд недостатков, которые приводят к её недостаточной эффективности. Так вследствие данной операции происходит удаление тех структур, которые формируют третью опорную колонну позвоночника по Денису или вторую опорную колонну позвночника по Holdsworth. Результатом в большом количестве случаев становится развитие нестабильности позвоночника, что приводит к неудовлетворительным результатам лечения, синдрому неудачно оперированного позвоночника. Различные источники указывают на 13—43 % риск развития нестабильности после проведения декомпрессивной ламинэктомии.
Недостаточная эффективность декомпрессивной ламинэктомии, вследствие развития нестабильности позвоночника, привела к её дополнению во многих случаях стабилизирующими операциями.
Стабилизирующие операции
Сторонники фиксации позвоночника после ламинэктомии ссылаются на биомеханические данные. Обнаружено, что ламинэктомия приводит к увеличению объёма движения при флексии на 16 % (Р < 0,05), экстензии на 14 % (Р < 0,04) аксиальной ротации на 23 % (Р < 0,03). При флексии натяжение фиброзного кольца диска после интерламинарной декомпрессии увеличивается на 20 %, а после ламинэктомии на 130 %.
Дополнение декомпрессивной ламинэктомии системами стабилизации (передними или задними) значительно улучшило результаты хирургического лечения стеноза позвоночного канала.
В то же время применение стабилизирующих систем не лишено недостатков. Кроме возможных осложнений, во время их установки, возникают нарушения биомеханики соседних со стабилизируемыми позвоночно-двигательных сегментов, которые проявляются их гипермобильностью. Это в свою очередь приводит к развитию, так называемой «болезни смежного уровня». Она включает в себя развитие спондилолистеза, стеноза позвоночного канала, переломов, сколиоза.
Недостаточная эффективность декомпрессивной ламинэктомии за счёт развития нестабильности позвоночника, развитие «болезни смежного уровня» при дополнении декомпрессии установкой стабилизирующих систем привело к поиску альтернативных методов хирургического лечения стеноза позвоночного канала.
Системы межостистой фиксации
Концепция динамической стабилизации основывается на том, что пусковым механизмом стеноза позвоночного канала является уменьшение высоты межпозвонкового диска вследствие дегенеративных изменений, что в свою очередь, обусловливает перераспределение осевой нагрузки с передних опорных столбов на задние (до 70 %). Использование динамической межостистой фиксации обеспечивает снижение нагрузки на задние опорные столбы и расширение площади позвоночного канала, что способствует уменьшению или исчезновению люмбалгического синдрома, обусловленного фасет-синдромом.
Техника установки систем межостистой динамической фиксации заключается в проведении задней декомпрессии (системы Cophlex, DIAM, WALLIS), с последующей установкой в межостистый промежуток имплантатов, которые с одной стороны восстанавливают заднюю опорную колонну (по Денису) позвоночника, а с другой сохраняют возможность сгибания и разгибания как в оперируемом так и в смежных позвоночно-двигательных сегментах.
Эффективность оперативных вмешательств по поводу стеноза позвоночного канала, в которых совмещены микрохирургическая декомпрессия и динамическая межостистая стабилизация, составляет 87 %, они позволяют значительно сократить сроки восстановления трудоспособности.
Особенностью систем межостистой динамической фиксации является возможность осуществление как сгибания, так и разгибания в позвоночно-двигательном сегменте, что предотвращает развитие у больных «болезни смежных уровней»
При установке имплантатов в межостистый промежуток также уменьшается нагрузка на межпозвонковые суставы, происходит аксиальная декомпрессия корешков вследствие увеличения высоты межпозвонковых отверстий. Уменьшение нагрузки на суставы способствует релаксации связочного аппарата
Противопоказанием к применению межостистой динамической стабилизации является нестабильность в позвоночно-двигательном сегменте. Поскольку они стабилизируют лишь задние опорные столбы (по Денису), то их лечебный эффект при данной патологии оказывается недостаточным.
На данный момент в медицине используются следующие системы межостистой динамической фиксации — Coflex (Co-promotes flexion) — синоним U-имплантат, DIAM (Device for Intervertebral Assisted Motion), Wallis (Wall Inter Spinously placed), X-Stop (eXtension Stop), In-Space и Aperius.
Особенности хирургического лечения стеноза сочетающегося с нестабильностью
При сочетании стеноза позвоночного канала с нестабильностью позвоночника применение лишь декомпрессии или систем межостистой динамической фиксации неприемлемо, так как вызовет нарастание нестабильности и ухудшение самочувствия больного.
При нестабильности в сочетании со стенозом позвоночного канала методом выбора является применение стабилизирующих систем (как передних, так и задних)
Особенности хирургического лечения стеноза позвоночного канала в сочетании с межпозвонковыми грыжами
Сужение позвоночного канала приводит к тому, что появление даже небольшой по размерам протрузии межпозвонкового диска переводя состояние субкомпенсации в декомпенсации. Резкое нарастание клинических проявлений, вызванных грыжей межпозвонковых дисков свидетельствует о сочетании её с сужением позвоночного канала.
Данное сочетание требует проведения микродискэктомии, особенностью которой является широкая резекция костных структур (межпозвонкового сустава, полудуги позвонка) вызывающих сужение позвоночного канала.
Лучевая диагностика оссификации желтой связки
Лучевая диагностика оссификации задней продольной связки (ОЗПС)
а) Терминология:
1. Сокращения:
• Оссификация задней продольной связки (ОЗПС)
2. Определения:
• Оссификация в толще задней продольной связки (ЗПС) позвоночникаб) Визуализация:
1. Общие характеристики:
• Наиболее значимый диагностический признак:
о Равномерный протяженный оссификат, расположенный вдоль задней поверхности тел позвонков, при относительно минимальных дегенеративных изменениях межпозвонковых дисков и отсутствии анкилоза дугоотростчатых суставов
• Локализация:
о Среднешейный уровень (С3-С5) > среднегрудной уровень (Т4-Т7)
• Размеры:
о Небольшое локальное утолщение → протяженная непрерывная оссификация (толщина связки составляет около 2-5 мм)
• Морфология:
о Оссификация ЗПС приводит к уменьшению передне-заднего диаметра спинномозгового канала → стеноз позвоночника, сдавление спинного мозга2. Рентгенологические данные оссификации задней продольной связки (ОЗПС):
• Рентгенография:
о Протяженная зона оссификации кзади от тел позвонков:
- В боковой проекции тень оссификата нередко наслаивается на тени дугоотростчатых суставов
- При интерпретации рентгенограмм изменения могут быть настолько минимальными, что легко могут быть просмотрены, в связи с чем необходимо всегда помнить об этой патологии3. Флюороскопия:
• Флюороскопия позвоночника в положении сгибания и разгибания позволяет оценить подвижность позвоночника4. КТ при оссификации задней продольной связки (ОЗПС):
• Бесконтрастная КТ:
о Характерный видЗПС в виде «перевернутой буквы Т» или «галстука-бабочки» на аксиальных изображениях
• Костная КТ:
о Картина оссификации ЗПС аналогичная таковой на бесконтрастных КТ-срезах:
- Кортикальная пластинка, ограничивающая центрально расположенное костномозговое пространство
- Может соединяться с подлежащей покровной пластинкой тела позвонка либо быть отграниченной от нее
- Костномозговые пространства оссифицированной ЗПС и тела позвонка не сообщаются6. Несосудистые рентгенологические исследования:
• Миелография:
о Протяженная равномерная оссификация ЗПС, сужающая вентральный отдел спинномозгового канала:
- Стеноз позвоночника → компрессия спинного мозга
- ± блокада ликворотока (в тяжелых случаях)7. Рекомендации по визуализации:
• Наиболее оптимальный метод диагностики:
о Многоплоскостная МРТ
• Протокол исследования:
о Сагиттальные Т1-ВИ, Т2-ВИ для оценки выраженности компрессии спинного мозга, протяженности оссификации
о Аксиальные Т2-ВИ для определения тяжести стеноза, подтверждения наличия изменений сигнала спинного мозга
о КТ с сагиттальной реконструкцией изображений для подтверждения МР-диагноза и оценки протяженности оссификации при предоперационном планировании![МРТ оссификации задней продольной связки (ОЗПС)]()
(Слева) КТ, сагиттальный срез: фокальный тип ОЗПС, ограниченной преимущественно уровнями межпозвонковых дисков, в сочетании с ДИСГ.
(Справа) КТ, аксиальный срез: участок массивной оссификации ЗПС, выступающей в просвет спинномозгового канала со значительным его стенозированием.в) Дифференциальная диагностика:
1. Спондилез:
• Изменения ограничены обычно уровнем межтелового пространства и редко захватывают четыре и более сегментов позвоночника
• Более выраженные, чем при ОЗПС, дегенеративные изменения дугоотростчатых суставов и межпозвонковых дисков
• Отсутствие характерной (в виде буквы Т) оссификации ЗПС2. Кальцифицированная грыжа диска:
• Фокальное кальцифицированное «образование», ограниченное уровнем одного межпозвонкового диска
• Отсутствие характерной (в виде буквы Т) оссификации ЗПС3. Менингиома:
• Активно накапливающее контраст объемное образование твердой мозговой оболочки + дуральный «хвост», ровные края
• Нередко на фоне кальцификации отмечается гипоинтенсивность Т2-сигнала
• Отсутствие характерной (в виде буквы Т) оссификации ЗПС4. Перидуральная кальцификация шейного отдела позвоночника у диализных пациентов:
• Неравномерная оссификация твердой мозговой оболочки, может быть циркулярной
• Пациент, получающий гемодиализ ±миелопатия, чувствительные нарушения
• В дополнение к ляминэктомии/ляминопластике показана резекция твердой мозговой оболочки![МРТ оссификации задней продольной связки (ОЗПС)]()
(Слева) КТ, сагиттальный срез: протяженная и равномерная оссификация ЗПС, вызывающая тяжелый стеноз спинномозгового канала. Видны также признаки оссификации и ППС на фоне тяжелого анкилозирующего спондилита.
(Справа) КТ, аксиальный срез: массивная в форме «перевернутой буквы Т» оссификация ЗПС, приводящая к тяжелому стенозу спинномозгового канала на уровне С2. Также видны признаки типичной для анкилозирующего спондилита оссификации ППС.г) Патология:
1. Общие характеристики оссификации задней продольной связки (ОЗПС):
• Этиология:
о Однозначного мнения на этот счет не существует
о Возможные причины включают инфекционные агенты, аутоиммунные заболевания или травмы
• Генетика:
о Полиморфизм гена, расположенного в 6 хромосоме (COL11А2) → изменения α-цепочки коллагена XI типа → предрасположенность к ОЗПС
о Полиморфизм гена, кодирующего структуру коллагена VI типа (COL6A1) → изменения α-цепочки коллагена VI типа → предрасположенность к ОЗПС
• Сочетанные изменения:
о Гипертрофия задней продольной связки рассматривается как предвестник ОЗПС
о У 25% пациентов с ОЗПС наблюдается диффузный идиопатический скелетный гиперостоз (ДИСГ)
о ОЗПС присутствует у 16% пациентов с анкилозирующим спондилитом в Мексике и 23% пациентов с этим заболеванием в Канаде
о ОЗПС сопровождает 16-20% случаев оссификации желтых связок (ОЖС)
• Идиопатическая оссификация ЗПС достаточно часто регистрируется в Японии > других азиатских странах, менее часто — у представителей белой расы
• Не так давно описана ранняя стадия «ОЗПС в развитии», наблюдаемая как в азиатских, так и белых популяциях:
о Гипертрофированная ЗПС с точечными включениями кальцинатов
о Сложно дифференцировать с более распространенным спондилезом на ранней стадии его развития
• Пациенты с ОЗПС имеют более высокую минеральную плотность костной ткани, чем соответствующие им по возрасту здоровые люди:
о Возможно это служит признаком предрасположенности к избыточному костеобразованию2. Стадирование, степени и классификация оссификации задней продольной связки (ОЗПС):
• Непрерывная форма → костная масса, расположенная вдоль нескольких позвоночных сегментов
• Сегментарная форма → ограниченные оссифицированные участки позади каждого из тел позвонков
• Смешанная форма → сочетание протяженных и сегментарных участков оссификации
• Другие формы → оссификация, ограниченная уровнем межпозвонкового диска3. Макроскопические и хирургические особенности:
• Массивная оссификация задней продольной связки, ограниченная нормальной кортикальной костью и содержащая нормальный костный мозг
• ОЗПС может перфорировать твердую мозговую оболочку4. Микроскопия:
• Гистологически нормальная костная ткань и нормальный костный мозг![МРТ оссификации задней продольной связки (ОЗПС)]()
(Слева) Т2-ВИ, сагиттальный срез: массивная оссификация ЗПС, вызывающая тяжелую компрессию грудного отдела спинного мозга. Обратите внимание на сочетанную оссификацию желтой связки.
(Справа) Т1-ВИ, сагиттальный срез, пациент с непрерывной формой ОЗПС грудного отдела позвоночника спереди от спинного мозга: низкоинтенсивное объемное образование, вызывающее тяжелую компрессию спинного мозга. У пациента отмечается клиника тяжелой миелопатии. Обратите внимание на признаки оссификации и желтой связки.д) Клинические особенности:
1. Клиническая картина:
• Наиболее распространенные симптомы/признаки:
о Случайная находка при бессимптомном течении
о Клиника миелопатии, зависящая от уровня стеноза:
- Клиника миелопатии развивается практически всегда при уменьшении диаметра спинномозгового канала < 6 мм и редко встречается при размере канала >14 мм
- При диаметре спинномозгового канала 6-14 мм клиника может варьировать; чем выше подвижность позвоночника, тем выше вероятность развития клиники миелопатии
• Внешний вид пациента:
о Классическая картина - представитель японской популяции с симптомами прогрессирующего тетра- или парапареза2. Демография:
• Возраст:
о Заболевание обычно развивается в возрасте старше 50 лет, в возрасте младше 30 лет оно встречается редко
• Пол:
о М:Ж = 2:1
• Этническая предрасположенность:
о Наиболее высокая частота заболевания отмечена в японской популяции
• Эпидемиология:
о Частота заболевания в Японии составляет 2-4%, в других популяциях эта цифра значительно ниже3. Течение заболевания и прогноз:
• Легкие случаи протекают бессимптомно → случайная находка
• Спастический парез → паралич (17-22%):
о У пациентов с легкой на момент диагностики формой ОЗПС в ходе последующего наблюдения редко развивается тяжелый стеноз спинномозгового канала
о У пациентов с симптомами миелопатии высока вероятность прогрессирования заболевания
о Клиника миелопатии может усугубляться даже при незначительной травме
о Прогрессирование более выражено у пациентов молодого возраста с непрерывной формой заболевания
• При стенозе спинномозгового канала >60% и сохранении подвижности позвоночника риск прогрессирования миелопатии выше:
о Уменьшение подвижности позвоночника защищает спинной мозг от повреждения4. Лечение оссификации задней продольной связки (ОЗПС):
• Бессимптомные пациенты: пристальное наблюдение, консервативное лечение
• Пациенты с выраженными симптомами или значительным стенозом спинномозгового канала: передняя (корпорэктомия) или задняя (ляминэктомия или ляминопластика) декомпрессияе) Диагностическая памятка:
1. Следует учесть:
• Признаки ОЗПС следует тщательно искать на рентгенограммах в боковой проекции, для подтверждения диагноза выполняется КТ или МРТ
2. Советы по интерпретации изображений:
• Обращайте внимание на протяженные многоуровневые оссификаты, расположенные позади тел позвонков
• «Толстая» гипоинтенсивная ЗПС на МР-изображениях скорее всего является признаком ОЗПС
• Зная об этом заболевании и при внимательном подходе диагноз можно заподозрить и при стандартной рентгенографииа) Терминология:
1. Синонимы:
• Оссификация желтой связки (ОЖС), оссификация связок дуги позвонка (ОСДП), «псевдоподагра» желтой связки
2. Определения:
• Кальцификация/оссификация желтой связки1. Общие характеристики оссификации желтой связки:
• Наиболее значимый диагностический признак:
о Линейное утолщение желтой связки с изменениями сигнала, характерными для оссификации костного мозга смежных участков позвонка
• Локализация:
о Желтая связка (вентромедиальная поверхность дугоотростчатых суставов и пластинок дуг, дорзальней дурального мешка)
о Нижнегрудной отдел позвоночника» шейный, верхнегрудной, поясничный отдел
• Размеры:
о Много- или одноуровневое поражение, незначительное или значительное утолщение связки
• Морфология:
о Линейная зона оссификации в толще желтой связки
о Симметричное поражение, двустороннее > одностороннее2. Рентгенологические данные:
• Рентгенография:
о Тонкая неравномерная оссификация тканей вдоль вентральной поверхности пластинки дуги позвонка, на рентгенограммах видна плохо3. КТ при оссификации желтой связки:
• Бесконтрастная КТ:
о Неравномерное гиперденсное утолщение желтой связки
о КТ хорошо визуализирует зоны оссификации, однако практически не позволяет оценить состояние спинного мозга
• Костная КТ:
о Гиперденсные узелки или линейные зоны оссификации в толще желтой связки
о V-образная форма на аксиальных изображениях5. Несосудистые рентгенологические исследования:
• Миелография:
о Тонкая неравномерная «кальцификация» вдоль вентральной поверхности пластинки дуги
о ± вдавление дорзального листка дурального мешка
- Обычно выражено минимально, выраженная компрессия наблюдается лишь в редких случаях → блокада ликворного пространства6. Рекомендации по визуализации:
• КТ - оптимальный метод первичной диагностики:
о Сагиттальные реконструкции позволяют оценить протяженность патологических изменений
• Многоплоскостная МРТ является наиболее информативным методом, позволяющим оценить взаимоотношения и влияние патологически измененных связок на соседние мягкотканные структуры:
о Сагиттальные Т1-ВИ и Т2-ВИ позволяют оценить протяженность патологических изменений, степень компрессии спинного мозга
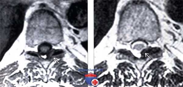
о Аксиальные Т1-ВИ и Т2-ВИ используют для оценки размеров спинномозгового канала![КТ, МРТ оссификации желтой связки]()
(Слева) КТ, сагиттальный срез: фокальная кальцификация желтых связок на двух уровнях среднегрудного отдела позвоночника. Значимого стеноза спинномозгового канала на фоне этих изменений не отмечается.
(Справа) КТ, аксиальный срез: фокальная срединная кальцификация желтой связки среднегрудного позвоночного сегмента. Эти изменения стали случайной находкой, поскольку клиники объемного воздействия на дуральный мешок или метаболических нарушений (например, пирофосфатной артропатии) у пациента не было.1. Дегенеративное поражение дугоотростчатых суставов:
• Встречается гораздо чаще ОЖС
• Характерные дегенеративные изменения суставных поверхностей:
о Ограничены в первую очередь суставными отростками, а не желтыми связками
• Нередко встречается в сочетании с ОЖС, однако с ней не связано2. Менингиома:
• Бляшковидная кальцифицированная менингиома небольших размеров может напоминать ОЖС:
о Исходит со стороны поверхности твердой мозговой оболочки и располагается в спинномозговом канале, а не на поверхности желтой связки
о Практически всегда характеризуется контрастным усилением сигнала, наличия дурального «хвоста»![КТ, МРТ оссификации желтой связки]()
(Слева) КТ, сагиттальный срез: признаки оссификации желтых связок с умеренным стенозированием спинномозгового канала. Оссификация желтых связок грудного отдела позвоночника - это наиболее распространенная форма заболевания.
(Справа) КТ, аксиальный срез, пациент, исследование которому выполнено по поводу травмы: фокальная узелковая оссификация желтой связки, ставшая в данной ситуации случайной находкой.1. Общие характеристики:
• Этиология:
о У большинства пациентов (идиопатические случаи) механизм развития патологических изменений неясен:
- В некоторых случаях имеется четкая связь с метаболическими или эндокринными заболеваниями
о Патогенез заболевания возможно связан с накоплением гидроксиапатитов или пирофосфата кальция в толще связки → кальцификация, оссификация + генетическая предрасположенность
• Генетика:
о Полиморфизм одного нуклеотида в структуре гена COL6A1 обнаружен у пациентов с ОЖС в популяции китайцев хань
• Сочетанные изменения:
о Различные типы сочетаний с ДИСГ ОЗПС О Изредка сочетается с синдромом Барттера, гипомагниемией
• Болезнь накопления кристаллов дигидрата пирофосфата кальция характеризуется отложением этих солей в самых различных структурах позвоночника, а не только в желтой связке:
о Межпозвонковые диски, передняя продольная связка (ППС), задняя продольная связка (ЗПС), межостистые/надостистая связка, апофизарные и крестцово-подвздошные суставы
• Предметом дебатов остается вопрос отом, являются ли оссификация желтой связки и ее «кальцификация» следствием отложения кристаллов разными состояниями2. Макроскопические и хирургические особенности:
• Эктопическое костеобразование в толще желтой связки
• Инфильтрация желтой связки фибробластическими мезенхимальными клетками
• Кальцификация может распространяться на соседнюю твердую мозговую оболочку3. Микроскопия:
• Гиперплазия тканей, составляющих связку, клеточная пролиферация → энхондральная оссификация желтой связки
• Микроскопия в поляризованном свете: характерные стержневидные двоякопреломляющие кристаллы![КТ, МРТ оссификации желтой связки]()
(Слева) Т1 -ВИ, аксиальный срез: признаки фокальной оссификации желтой связки, выглядящей как низкоинтенсивное образование, связанное с левым дугоотростчатым суставом.
(Справа) Т2-ВИ, аксиальный срез: односторонняя гипоинтенсивная оссификация левой желтой связки, вызывающая умеренное сужение латерального отдела спинномозгового канала и межпозвонкового отверстия.1. Клиническая картина оссификации желтой связки:
• Наиболее распространенные симптомы/признаки:
о Случайная находка в ходе обследования, назначаемого по каким-либо другим показаниям
о Хроническая миелопатия грудного отдела спинного мозга:
- Трудности передвижения, слабость мышц, боль в спине и парестезии в нижних конечностях
- Первой обычно развивается клиника поражения задних столбов спинного мозга, за которой следует прогрессирующий спастический парапарез
о Боль в спине + корешковая симптоматика
• Внешний вид пациента:
о Пациенты с клинически выраженной симптоматикой обычно выглядят также, как остальные пациенты с миелопатией любого другого происхождения2. Демография:
• Возраст:
о 4-6-е десятилетие жизни
• Пол:
о М>Ж
• Этническая предрасположенность:
о Клинически выраженная симптоматика чаще отмечается в японской, северо-африканских популяциях >> белая раса > афроамериканцы
• Эпидемиология:
о Заболевание возможно встречается чаще, чем считается на сегодняшний день:
- Большинство случаев становится случайной находкой, протекает бессимптомно и не выявляется при лучевом обследовании3. Течение заболевания и прогноз:
• У большинства пациентов заболевание так и не проявит себя на протяжении всей жизни
• У меньшего числа пациентов развивается прогрессирующая миелопатия:
о Клиника ее может регрессировать или стабилизироваться после операции
о Сохраняющаяся после операции клиника миелопатии свидетельствует о необратимых изменениях спинного мозга
• Продолжительность заболевания до операции является наиболее важным прогностическим фактором долговременного исхода заболевания в послеоперационном периоде4. Лечение:
• При бессимптомном и легком течении показано консервативное наблюдение за пациентом
• В клинически выраженных случаях показана задняя декомпрессия (ляминэктомия или ляминопластика) и резекция желтой связкие) Диагностическая памятка:
1. Следует учесть:
• У пациентов с симптомами прогрессирующей миелопатии, особенно представителей японской или северо-африканских популяций, в дифференциально-диагностический ряд заболевания всегда необходимо включать ОЖС
• Также у таких пациентов необходимо исключить ОЗПС, ДИСГ и другие состояния, которые могут приводить к развитию миелопатии
2. Советы по интерпретации изображений:
• Оссификацию желтой связки отличают от артропатии дугоотростчатых суставов по характерной локализации связки и оценке состояния дугоотростчатых суставов выше- и нижележащих сегментов позвоночникаОссификация задней продольной связки
![]()
Оссификация задней продольной связки (ОЗПС) - оссификация в толще продольной связки позвоночника.
Эпидемиология:
- Заболевание обычно развивается в возрасте старше 50 лет, младше 30 лет патология встречается редко. Мужской пол более привержен к данному заболеванию 2:1. Что касаемо этнической предрасположенности в Японии данное заболевание встречается чаще, чем в других странах в 2-4% случаях.
ОЗПС присутствует у 16% пациентов с анкилозируищим спондилитом в Мексике и 23% пациентов с этим заболеванием в Канаде.
Патология:
По поводу этиологии однозначного мнения не существует.
Возможные этиологические факторы: инфекционные агенты, аутоиммунные заболевания или травмыГенетическая предрасположенность:
- Полиморфизм гена, расположенного в 6 хромосоме (COL11А2) приводящей к изменению а-цепочки коллагена Xl типа, который ассоциируют с предраспопоженностью к ОЗПС
- Полиморфизм гена, кодирующего структуру коллагена VI типа (COL6AU -+ изменения а-цепочки коплагена VI типа, что ассоциируют с предраспопоженностью к ОЗПС.
Ассоциация:
- Гипертрофия задней продольной связки рассматривается как предвестник ОЗПС
- У 25% пациентов с ОЗПС наблюдается диффузный идиопатический скелетный гиперостоз (ДИСГ).
- ОЗПС сопровождает 16-20% случаев оссифииции желтых связок (ОЖС).
Анкилозирующий спондилит
В начальных или ранних стадиях данного заболевания определяется гипертрофированная ЗПС с единичными выключениями кальцинатов. При этом ранние изменения тяжело дифференцировать с распространенным спондилезом. У пациентов с ОЗПС отмечают большую минеральную плотность костной ткани, чем соответствующие им по возрасту здоровые люди, что возможно является предрасполагающим фактором к костеобразованию.
Макроскопические особенности:
- Массивная оссификация задней продольной связки, ограниченная нормальной кортикальной слоем кости и содержащий не изменённый костный мозг.
Формы:
- Тип 1 - Непрерывная форма - патология вдоль нескольких позвоночных сегментов.
- Тип 2 - Сегментарная форма - ограниченная оссифицированные участки позади каждого из тел позвонков.
- Тип 3 - Смешанная форма - участки оссификации, как протяжённое, так и сегментарные.
- Тип 4 - Локализованная форма - поражение не более 2 сегментов.
Клинические проявления:
Клиника миелопатии, зависящая от уровня стеноза. Клинические проявления, характерные для миелопатии, чаще развивается при диаметре спинномозгового канала менее 6 мм. При диаметре от 6 до 14 мм клинические проявления вариабельны. В более тяжёлых случаях проявления патологии обычного прогрессирующий тетра- и парапарез.
Радиологические находки:
Общие особенности:
Равномерный протяженный оссификат, расположенный вдоль задней поверхности тел позвонков, при относительно минимальных дегенеративных изменениях межпозвонковых дисков и отсутствии анкилоза дугоотростчатых суставов.
Локализация:
Чаще от среднешейного уровня (СЗ-С5) до среднегрудного уровня (Th4-Тh7)
Размеры:
От локального утолщения до протяженной непрерывной оссификации (толщина связки составляет около 2-5 мм).
Морфологические особенности:
Оссификация ЗПС приводит к уменьшению передне-заднего диаметра спинномозгового канала, что приводит к стенозу спиннопозвоночного канала, сдавление спинного мозга.
Рентгенография:
- Протяженная зона оссификации кзади от тел позвонков.
- В боковой проекции тень оссификата нередко наспаивается на тени дугоотростчатых суставов.
- При интерпретации рентгенограмм изменения могут быть настолько минимальными, что легко могут быть просмотрены, в связи с чем необходимо всегда помнить об этой патологии.
Компьютерная томография (КТ).
- Характерный вид ЗПС в виде «перевернутой буквы Т» или «галстука-бабочки» на аксиальных срезах.
- Картина оссификации ЗПС аналогичная таковой на бескострастных КТ срезах.
- Кортикальная пластинка, ограничивающая центрально расположенное костномозговое пространство, может соединиться с подлежащей покровной пластинкой.
- Тела позвонка либо быть отграниченной от нее.
- Костномозговые пространства оссифицированной ЗПС и тела позвонка не сообщаются.
Магнитно-взвешенное изображение (MPT).
T1-взвешенное изображение:
- Непрерывный оссификат расположенный кзади от тел позвонка, распространяющийся на сагиттальных изображениях на несколько уровней.
- Характерный вид ЗПС а виде «перевернутой буквы Т» или «галстука бабочки» на аксиальных изображениях.
- Сигнал обычно отличается низкой интенсивностью во всех режимах исследования
- При значительном объеме жирового компонента в костно-мозговом пространстве оссификата интенсивность сигнала может быть гиперинтесивной.
Т2-взвешенное изображение.
- Картина ОЗПС схожа с картиной на Т1.
- Визуализация спинного мозга с наличием гиперинтенсивного сигнала коррелируется с миеломаляцией и отеком.
T2-GRE
- Гипоинтенсивность сигнала оссифицированной ЗПС
- Степень стеноза нередко переоценивается из-за артефактов магнитной восприимчивости.
Дифференциальный диагноз:
Спондилез:
- Изменения ограничены обычно уровнем межтелового пространства и редко захватывают четыре и более сегментов позвоночника.
- Более выраженные, чем при ОЗПС дегенеративные изменения дугоотростчатых суставов и межгюзвонковык дисков
- Отсутствие характерной (в виде буквы Т) оссификации ЗПС
Кальцифицированная грыжа диска:
- Фокальное кальцифицированное «образование», ограниченное уровнем одного межпозвонкового диска
- Отсутствие характерной (в виде буквы Т) оссификации ЗПС
Менингиома:
- Активно накапливающее контрагг объемное образование твердой мозговой оболочки+дуральный «хвост», ровные края
- Нередко на фоне капьцификации отмечается гипоинтенсивность Т2-сигнала
- Отсутствие характерной (в виде буквы Т) оссификации ЗПС
Перидуральная кальцификация шейного отдела позвоночника у диализных пациентов:
- Неравномерная оссификация твердой мозговой оболочки, может быть циркулярной
- Пациент, получающий гемодиализ±миелопатия, чувствительные нарушения
- В дополнение к ляминэктомии/ляминопластике показана резекция твердой мозговой оболочки.
Течение и прогноз:
- Бессимптомные пациенты - наблюдение, консервативное лечение.
- Пациенты с выраженной клиникой являются претендентами корпорэктомию, ламинэктомия, ламинопластику.
Источники:
2. Li H et al: A systematic review of complications in cervical spine surgery for ossification of the posterior longitudinal ligament. Spine J. 11(11):1049-57, 2011
3. Saetia K et al: Ossification of the posterior longitudinal ligament: a review. Neurosurg Focus. 30(3):E1, 2011
4. Shin JH et al: Dorsal versus ventral surgery for cervical ossification of the posterior longitudinal ligament: considerations for approach selection and review of surgical outcomes. Neurosurg Focus. 30(3):E8, 2011
7. Matsunaga S et al: Clinical course of patients with ossification of the posterior longitudinal ligament: a minimum 10-year cohort study. J Neurosurg. 100(3 Suppl):245-8, 2004
8. Shiraishi T et al: Cervical peridural calcification in patients undergoing long- term hemodialysis. Report of two cases. 100(3 Suppl): 284-6, 2004
10. Epstein N: Diagnosis and surgical management of cervical ossification of the posterior longitudinal ligament. Spine J. 2(6):436-49, 2002
Стеноз позвоночного канала (спинальный стеноз) - симптомы и лечение
Что такое стеноз позвоночного канала (спинальный стеноз)? Причины возникновения, диагностику и методы лечения разберем в статье доктора Мажейко Людмилы Ивановны, невролога со стажем в 42 года.
Над статьей доктора Мажейко Людмилы Ивановны работали литературный редактор Елена Бережная , научный редактор Сергей Федосов
Определение болезни. Причины заболевания
Стеноз позвоночного канала — это состояние, когда размеры позвоночного канала на поперечном срезе уменьшаются, либо уменьшаются размеры межпозвонковых отверстий, в результате чего сдавливается содержимое канала (спинной мозг, корешки) . Как правило, стеноз позвоночного канала выявляется на уровне нижних поясничных позвонков, реже — в шейном и грудном отделах позвоночника.
![Уменьшение позвоночного канала и межпозвонковых отверстий]()
Позвоночный (спинномозговой) канал — это пространство внутри позвоночного столба, которое спереди образуют тела позвонков и межпозвонковые диски, с боков и сзади — дуги позвонков, соединенные желтой связкой. На поперечном срезе он треугольной или овальной формы. [1]
Позвоночный канал составляют: спинной мозг с корешками, окруженными оболочками мозга, а также жировая и рыхлая соединительная ткань с артериями, венами и нервами. От спинного мозга отходят парные нервные корешки, окруженные твердой мозговой оболочкой, каждый из которых выходит за пределы спинномозгового канала через свое отверстие. Спинной мозг продолжается от большого затылочного отверстия до второго поясничного позвонка. Ниже второго поясничного позвонка в позвоночном канале расположен "конский хвост" — пучок из корешков четырех нижних поясничных, пяти крестцовых и копчиковых корешков спинного мозга.
![Спинальный стеноз]()
Функции спинного мозга:
- проводниковая — проведение нервного импульса от центра к периферии и обратно;
- рефлекторная — формирование ответной реакции нервной системы на раздражение.
Стеноз бывает врожденным и приобретенным. Врожденный (первичный) формируется на 3-6 неделе внутриутробного развития зародыша человека. Причинами этого нарушения могут быть генетический фактор, а также инфекционные и токсические факторы, влияющие на формирование позвоночника.
Причины врожденного стеноза:
- Врожденная хондродистрофия (ахондроплазия) — внутриутробное нарушение роста костей, при котором позвоночный канал сужается из-за сращения позвонков, укорочения и утолщения дуг позвонков.
- Диастематомиелия — разделение позвоночного канала внутренней перегородкой, которая состоит из хрящевой или костной ткани, раздвоение спинного мозга.
Причины приобретенного (вторичного) стеноза:
- травматическое смещение позвонков и их отломков, внутриканальные гематомы;
- дегенеративно-дистрофические изменения межпозвонковых суставов в виде костных разрастаний, направленных внутрь позвоночного канала (фасеточная артропатия);
- выпадение межпозвонковой грыжи, ее окостенение или секвестрирование вследствие дископатии;
- переднее смещение позвонка (спондилолистез) вследствие анатомического дефекта дуги позвонка;
- утолщение и обызвествление желтых связок позвоночника вследствие их воспаления или дистрофии;
- утолщение капсулы межпозвонковых суставов вследствие их воспаления при болезни Бехтерева и других воспалительных процессах;
- огрубение передней продольной связки (болезнь Форестье);
- застойное полнокровие вен внутри позвоночного канала;
- рубцовые изменения и внедрение стальных конструкций внутри позвоночного канала вследствие операций на позвоночнике;
- опухоли и кисты внутри позвоночного канала и др.
Зачастую на формирование стеноза позвоночного канала оказывают влияние как врожденные, так и приобретенные факторы. Страдают стенозом преимущественно пожилые люди, так как у них имеют место возрастные дегенеративные заболевания позвоночника. Частота заболевания резко возрастает у людей старше 50 лет и в данной возрастной группе составляет от 1.8 до 8%. [2] Наиболее часто встречающийся приобретённый стеноз позвоночного канала — это последняя стадия остеохондроза позвоночника, когда разрастается костная ткань тел позвонков и остеофитов.
У многих людей без врожденных нарушений развития позвоночника встречается конституционально анатомически более узкий позвоночный канал, чем в среднем. Нормальная глубина позвоночного канала в поясничном отделе составляет 13-25 мм, в шейном — 15-20 мм.
В шейном отделе позвоночника данную особенность костной структуры канала можно обнаружить на боковых рентгенограммах путем расчета и оценки индекса М.Н.Чайковского. Индекс Чайковского — это отношение сагиттального размера позвоночного канала к сагиттальному размеру тела позвонка на уровне данного конкретного позвонка без учета краевых костных разрастаний. На рентгенограмме измеряется сагиттальный диаметр позвоночного канала (а) и сагиттальный размер тела позвонка (б), первое число делится на второе (а:б).
Измерение сагиттального размера позвоночного канала и тела позвонка
![Индекс Чайковского]()
- 0,9 до 1,1 — позвоночный канал обычной глубины;
- меньше 0,85 (согласно некоторым авторам — 0,75) — конституционально узкий позвоночный канал.
При обнаружении схожих симптомов проконсультируйтесь у врача. Не занимайтесь самолечением - это опасно для вашего здоровья!
Симптомы стеноза позвоночного канала
Развитие позвоночного стеноза происходит медленно и может занимать долгие годы. Симптомы стеноза позвоночного канала в поясничном и грудном отделах — постепенно нарастающая боль в спине, в ногах, возникающие поначалу иключительно при ходьбе. Болезненные ощущения без четкой локализации часто обозначаются больным человеком как неприятное ощущение. При ходьбе происходит нарастание слабости в ногах (нейрогенная перемежающая хромота), которая вынуждает человека остановиться, сесть или даже лечь. Облегчает ходьбу легкое сгибание в коленях и тазобедренных суставах, а также если одновременно наклонить корпус вперед. Этим можно объяснить и то обстоятельство, что человек с позвоночным стенозом не жалуется на недомогание, если длительно находится за рулем. [3]
Характерны чувствительные расстройства — онемение, ощущение мурашек и снижение чувствительности в нижних конечностях.
Симптомы проявляются с одной либо с двух сторон. Часто нарушается функция тазовых органов (задержка или внезапные позывы на мочеиспускание, дефекацию, снижение потенции). Если длительно сдавливаются нервные корешки на поясничном уровне, постепенно худеют нижние конечности.
![Спинальный стеноз поясничного отдела позвоночника]()
Если стеноз развился на грудном уровне, то в ногах нарастают спастические явления.
Стеноз позвоночного канала на шейном уровне протекает чаще всего незаметно, симптомы болезни появляются уже в запущенной стадии заболевания. Это сильные боли в шее, как односторонние, так и двусторонние, отдающие в лопатки, плечи, руки, затылок. Боли могут проявляться во всем теле в виде болезненных спазмов. Боли усиливаются при определенных движениях шеей, при этом появляется слабость и онемение в руках, ощущение мурашек. В ногах может возникать ощущение «ватности», человек часто спотыкается. Характерны запоры и задержки мочеиспускания. Прогрессирующее сдавление спинного мозга на нижне-шейном уровне приводит к развитию вялости в руках и спастического состояния мышц в ногах. Если сдавление на уровне 3-4 шейного позвонка, то может наблюдаться нарушение функции дыхания и спастические явления в руках и ногах. [4]
Патогенез стеноза позвоночного канала
Вокруг спинного мозга и корешков в норме должно оставаться свободное (резервное) пространство, в котором важен каждый миллиметр. В резервном пространстве располагаются сосуды. Если в позвоночный канал внедряются костные, хрящевые или мягкотканные структуры, резервное пространство уменьшается или исчезает. Если просвет позвоночного канала патологически сужается, происходит нарушение кровообращения спинного мозга и корешков, нарушается циркуляция спинномозговой жидкости. [5] Сдавлению подвергаются сосуды и нервные элементы — спинной мозг или корешки. Внутри позвоночного канала повышается давление, так как сосудистое русло испытывает хронический застой. Нервные элементы постоянно испытывают недостаток кровоснабжения и кислородный дефицит, в результате серьезно нарушается их функция. Длительное нарушения питания нервных элементов сопровождается разрастанием рубцовой ткани, образованием спаек (рубцово-спаечный эпидурит) , [6] что еще более сдавливает содержимое позвоночного канала.
Вследствие этого развиваются двигательные, чувствительные, вегетативные и трофические нарушения. Сдавление корешков зачастую становится причиной выраженного болевого синдрома.
Классификация и стадии развития стеноза позвоночного канала
В зависимости от локализации выделяют центральный и латеральный стеноз позвоночного канала.
Центральный стеноз — уменьшение переднезаднего размера позвоночного канала.
- относительный стеноз — переднезадний размер составляет менее 12 мм.
- абсолютный — менее 10 мм.
Латеральный стеноз — уменьшение размеров межпозвонкового отверстия до 4 мм и менее.
Если уменьшаются все размеры позвоночного канала, это комбинированный стеноз.
Осложнения стеноза позвоночного канала
Осложнения при стенозе позвоночного канала отмечаются в результате дополнительной травмы позвоночника — падение с высоты, автодорожная, спортивная травма и др. Происходит усиление сдавления спинного мозга гематомой, рубцами, смещенным позвонком или его отломком. Осложнения при неустановленном диагнозе «позвоночный стеноз» могут давать сеансы мануальной терапии, которые часто применяются при болях в позвоночнике.
Но гораздо чаще встречаются осложнения оперативного лечения стеноза. Наиболее тяжелыми из них являются следующие:
- медленно прогрессирующий спаечный процесс в позвоночном канале, дополнительно сдавливающий спинной мозг и корешки;
- парезы, параличи конечностей;
- тазовые расстройства вследствие повреждения корешков спинного мозга хирургическим инструментом.
Воспалительные процессы в позвонках, оболочках и спинном мозге встречаются редко, так как после операции широко применяются антибиотики. Часто осложнения операций дают более тяжелые последствия, чем само заболевание. [7]
Диагностика стеноза позвоночного канала
Если появляются характерные жалобы, необходимы дополнительные методы обследования, которые позволят не только измерить размеры позвоночного канала, но и выявить причины, вызывающие компрессию нервных элементов внутри позвоночного канала.
- рентгенография пояснично-крестцового отдела позвоночника;
- компьютерная томография (КТ);
- магнитно-резонансная томография (МРТ).
![МРТ-картина стеноза позвоночного канала]()
Для оценки состояния спинного мозга и нервной проводимости используются:
- электронейромиография;
- миелография;
- сцинтиграфия. [8][9]
![Сцинтиграфия]()
Позвоночный стеноз диагностируют по совокупности выявленных признаков сужения позвоночного канала при наличии характерных клинических данных.
Лечение стеноза позвоночного канала
Консервативное лечение применяют на ранней стадии заболевания (незначительный позвоночный стеноз), когда беспокоят только боли в пояснице и ногах, а выраженные неврологические нарушения отсутствуют.
Медикаментозная терапия:
- нестероидные противовоспалительные препараты (таблетки, капсулы, инъекции, гели, пластыри) помогают снять воспаление и купировать боль;
- миорелаксанты — препараты, снимающие мышечное напряжение;
- витамины группы В;
- сосудистые и мочегонные средства;
- для снятия болевого синдрома и отека эффективны медикаментозные блокады с местными анестетиками и гормонами.
![Медикаментозное лечение стеноза позвоночного канала]()
Физиотерапевтические процедуры:
- электрофорез;
- амплипульс;
- магнитотерапия;
- водо- и грязелечение.
Показана дозированная лечебная физкультура и легкий массаж.
При стенозе позвоночного канала в любой стадии противопоказана мануальная терапия!
Если консервативное лечение оказывается неэффективным, боли и парезы нарастают, нарушаются функции тазовых органов, это является показанием для оперативного лечения (открытые и эндоскопические операции), цель которого — снять компрессию спинного мозга и нервных корешков.
Оперативные методы:
- декомпрессионная ламинэктомия — удаление части дуги позвонка, остистого отростка, части желтой связки, межпозвонковых суставов, которое дополняется стабилизирующей операцией с использованием металлических пластин, укрепляющих позвоночный столб;
- микрохирургическая декомпрессия и установка систем межостистой динамической фиксации, позволяющей сохранить возможность сгибания и разгибания позвоночника;
- дискэктомия, эндоскопическая микродискэктомия, лазерная вапоризация пораженного диска и другие операции по удалению грыжи, иногда они дополняют ламинэктомию. [11]
![Дискэктомия]()
Как правило, оперативное лечение приводит к выздоровлению. После операции пациенты нуждаются в длительном восстановительном лечении в условиях реабилитационного отделения и санатория. Часть пациентов после операции имеют осложнения — усиление рубцовых изменений в позвоночном канале, приводящие к вторичному стенозу. Встречаются осложнения в виде воспаления, повреждения корешков и нервов с клиникой парезов рук и ног, нарушения функции тазовых органов. [12]
Прогноз. Профилактика
Прогноз течения данного заболевания зависит от причины, особенностей течения и давности заболевания. Прогноз благоприятный при своевременной диагностике заболевания, в зависимости от его причины, на ранних стадиях всегда можно подобрать пациенту адекватное консервативное или оперативное лечение. В этом заключается профилактика выраженных болей и тяжелых неврологических осложнений. Несвоевременная диагностика, грубые мануальные вмешательства, осложнения операций делают прогноз неблагоприятным, приводя больного к стойкой инвалидности.
Читайте также:
- Лучевая терапия опухоли. Значение лучевой терапии в дерматоонкологии.
- Гангренозный панариций и панариций врачей - диагностика, лечение
- Лимфома Беркитта глазницы: признаки, гистология, лечение, прогноз
- Лабораторная диагностика миелодиспластического синдрома - анализы
- Рейсснерова мембрана улитки. Спиральная связка и сосудистая полоска улитки















