Симптомы мультимормной эритемы полости рта и ее лечение
Добавил пользователь Евгений Кузнецов Обновлено: 15.12.2025
Язвенно-некротический стоматит Венсана (stomatitis ulceronecroticans Vincenti) - воспаление слизистой оболочки рта, вызываемое веретенообразными палочками Bacillus fusiformis и Borellia vincentii.
Описан под различными названиями: язвенный гингивит, язвенный стоматит, язвенномембранозный стоматит, фузоспирохетозный стоматит, стоматит Плаута-Венсана, "окопный рот", язвеннопленчатый стоматит и др. По современной классификации заболевание называется "язвеннонекротический стоматит Венсана" или "стоматит Венсана". В случае поражения десен заболевание определяется как гингивит Венсана; при одновременном поражении десен и других участков слизистой оболочки рта - стоматит Венсана, а при локализации процесса в области небных миндалин - ангина Симановского- Плаута- Венсана.
Что провоцирует / Причины Язвенно-некротического стоматита Венсана:
Язвенно-некротический стоматит Венсана вызывается симбиозом веретенообразной палочки и спирохеты Венсана. В обычных условиях эти микроорганизмы являются представителями резидентной микрофлоры полости рта и выявляются в небольшом количестве у всех людей, имеющих зубы. Их обнаруживают преимущественно в десневом желобке, пародонтальных карманах, кариозных полостях, криптах небных миндалин. В несанированной полости рта, при плохом его гигиеническом состоянии, а также при пародонтите количество фузобактерий и спирохет резко увеличивается.
Развитие язвенно-некротического стоматита Венсана связано с резким снижением сопротивляемости организма к инфекции вследствие перенесенных вирусных заболеваний (острые респираторные инфекции, герпетический стоматит, пневмония и др.), авитаминозов, стрессов, переутомления, неполноценного питания. Язвеннонекротический гингивит часто осложняет течение тяжелых общих заболеваний (лейкоз, агранулоцитоз, пневмония, инфекционный мононуклеоз). Он может возникнуть как осложнение многоформной экссудативной эритемы, эрозивного аллергического стоматита. При нарушении в организме специфических и неспецифических механизмов защиты повышается вирулентность фузобактерий и спирохет. Их количество увеличивается до такой степени, что они становятся доминирующими по сравнению с другой микрофлорой. Снижение общей сопротивляемости организма негативным образом отражается на резистентности слизистой оболочки рта. Она не может выполнять роль надежного барьера на пути внедрения инфекции, а нарушение ее целостности в несанированной полости рта вследствие наличия местных травмирующих факторов (острые края зубов, протезов, отложения зубного камня и др.) создает условия для внедрения фузобактерий и спирохет. Поэтому Язвенно-некротический стоматит Венсана чаще развивается у людей с несанированной полостью рта.
Заболевание это считается неконтагиозным, хотя известны случаи групповой заболеваемости стоматитом Венсана (в воинских частях, училищах, детских садах). Подобные случаи объясняются сходными неблагоприятными условиями быта (неполноценное питание, недостаток витаминов, отсутствие гигиенических мероприятий по уходу за полостью рта и др.).
Симптомы Язвенно-некротического стоматита Венсана:
Болеют преимущественно лица молодого возраста (17-30 лет), в основном мужчины. Провоцирующим фактором развития язвенно-некротического стоматита
Венсана часто является переохлаждение, что объясняет наибольшую частоту его возникновения осенью и зимой. Максимум случаев заболеваемости приходится на период с октября по декабрь.
Клинически различают острое и хроническое течение, а по тяжести - легкую, среднюю и тяжелую формы язвенно-некротического стоматита Венсана.
Заболевание начинается остро с повышения температуры тела до 37,5-38 °С. Регионарные лимфатические узлы увеличиваются, уплотняются, становятся болезненными при пальпации, сохраняют подвижность. Больных беспокоит головная боль, появляются общая слабость, болезненность слизистой оболочки рта, усиливающаяся при приеме пищи, разговоре; кровоточивость десен, гиперсаливация, гнилостный запах изо рта. Отмечается бледность кожных покровов лица с сероватым оттенком вследствие сильной интоксикации организма.
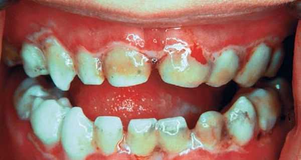
Катаральные явления на слизистой оболочке рта быстро переходят в язвенные. Процесс чаще всего начинается на деснах, а затем переходит на другие участки слизистой оболочки. Десны становятся отечными, гиперемированными, резко болезненными и кровоточат при дотрагивании. Эпителий края десны и межзубных сосочков мутнеет, а затем некротизируется. В результате десневой край выглядит как бы обрезанным, с неровными зазубринами; поверхность его покрыта легко снимающимся сероватожелтым налетом. Впоследствии пораженный край десны полностью не восстанавливается и остается деформированным.
Чаще всего и в большей степени поражается область у нижних восьмых зубов. Некроз с альвеолярного отростка быстро распространяется на слизистую оболочку щеки и ретромолярную область, вызывая в ряде случаев тризм и боли при глотании. Язвы на слизистой оболочке щек могут достигать больших размеров (до 5-6 см в диаметре) и глубины. Края их неровные, мягкие. Дно покрыто толстым сероватозеленоватого цвета некротическим налетом, имеющим гнилостный зловонный запах. После удаления налета обнажается кровоточащее дно язвы. Уплотнения в области основания и краев язвы нет. Слизистая оболочка вокруг язвы отечна, гиперемирована. При наличии в полости рта местных травмирующих факторов (корни разрушенных зубов, острые края зубов или протезов) могут поражаться и другие участки слизистой оболочки (твердое и мягкое небо, дужки, миндалины, язык).
Язвы в полости рта могут быть одиночными и множественными. При локализации язвы на твердом небе довольно быстро развивается некроз всех слоев слизистой оболочки и обнажается кость. Изолированное поражение зева (ангина Симановского- Плаута-Венсана), как правило, бывает односторонним, в практике стоматолога встречается редко. Через 2- 3 нед после начала язвенно-некротического стоматита обычно наступает разрешение процесса с полной эпителизацией язвенных поверхностей.
В редких случаях, когда не проводится лечение или оно неэффективно, развивается хроническая форма язвенно-некротического стоматита Венсана, при которой общие симптомы отсутствуют. Больных беспокоят постоянная кровоточивость и болезненность десен, а также неприятный запах изо рта. Клиническая картина заболевания стертая. Десна застойногиперемированная, отечная, изъязвленный край ее нередко уплотнен, некротические участки располагаются в основном в межзубных промежутках и при беглом осмотре могут просматриваться. При тщательном осмотре и зондировании десневого края определяется обнаженная костная ткань. Пораженные участки имеются лишь у некоторых зубов. Лимфатические узлы (поднижнечелюстные, подподбородочные) уплотнены, слегка болезненны и при длительности заболевания 4-8 мес приобретают хрящеподобную консистенцию.
При патогистологическом исследовании участков изъязвленных краев десны выявляют две зоны: поверхностную - некротическую и глубокую - воспалительную.
В поверхностных слоях некротизированной ткани десны обнаруживается обильная разнообразная микрофлора (кокки, палочки, фузобактерии, спирохеты и др.). В более глубоких слоях резко преобладают фузобактерии и спирохеты). Глубжележащие слои соединительной ткани воспалены, отечны, сосуды расширены. В периваскулярном воспалительном инфильтрате обнаруживаются форменные элементы крови. Внутри неповрежденной ткани в этой же зоне воспаления выявляются только спирохеты, проникшие между клетками эпителия.
Цитологическая картина соскобов с язвенных поверхностей слизистой оболочки у больных язвеннонекротическим стоматитом Венсана соответствует таковой при неспецифическом воспалительном процессе. В начале заболевания определяются обилие бесструктурных масс, резкое преобладание нейтрофилов, в основном в состоянии распада, и эритроцитов (вследствие сильной кровоточивости). Во втором периоде заболевания, когда начинается заживление, наряду с распавшимися нейтрофилами появляются полноценные фагоцитирующие клетки, много макрофагов. В период начавшейся эпителизации обнаруживаются пласты молодых эпителиальных клеток, количество фузобактерии и спирохет уменьшается.
При хроническом течении язвенно-некротического стоматита Венсана относительное количество фузобактерии и спирохет уменьшается и возрастает количество кокков, однако фузоспирохеты все же преобладают.
Диагностика Язвенно-некротического стоматита Венсана:
Диагноз язвенно-некротического стоматита Венсана ставят на основании характерной клинической картины и обнаружения в соскобе с поверхности язв обилия веретенообразных фузобактерии и спирохет.
Лечение Язвенно-некротического стоматита Венсана:
Местное лечение заключается в удалении травмирующих факторов, некротизированных тканей, воздействии на микрофлору и стимуляции процессов регенерации слизистой оболочки рта.
Начинать обработку полости рта следует с аппликационного или инъекционного обезболивания. С этой целью применяют анестезин, пиромекаин, тримекаин, лидокаин. Затем устраняют все механические раздражители: сошлифовывают острые края зубов и протезов, удаляют зубной камень и налет. Кариозные полости обрабатывают растворами антисептиков. Удаление разрушенных зубов следует отложить до эпителизации язв, поскольку это вмешательство в инфицированной полости рта больного язвеннонекротическим стоматитом чревато серьезными осложнениями (альвеолит, периостит, абсцесс, флегмона). Язвенные поверхности от некротизированных тканей очищают с помощью протеолитических ферментов: трипсина, химотрипсина, лизоамидазы, дезоксирибонуклеазы.
Всю полость рта обрабатывают теплыми растворами антисептиков (0,5 % раствор пероксида водорода, 0,25 % раствор хлорамина, 0,5 % раствор этония), а также противомикробными препаратами: 0,02-0,06 % раствором хлоргексидина и его комбинированными формами (лизоплак, пародиум), 0,5 % раствором метронидазола (флагил, метро гил, клион), 1 % раствором сангвиритрина. На область пораженной слизистой оболочки рта в виде аппликаций применяют гельметрогил дента (комбинация метронидазола и хлоргексидина) 2 раза в день по 15 мин в течение 7-10 дней.
Десневые карманы, поверхность язвы, межзубные промежутки и подкапюшонные пространства лучше промывать струей под давлением. В первое посещение следует провести обработку всей полости рта. В дальнейшем проводится ежедневная обработка. На дом больному назначают ротовые ванночки с противомикробными препаратами и аппликации метро гилдента на пораженные участки слизистой оболочки.
При легком течении язвенно-некротического стоматита Венсана местного лечения достаточно. В более тяжелых случаях необходимо проведение общего лечения.
В качестве антибактериальной терапии внутрь назначают метронидазол (трихопол, флагил, клион) по 0,25 г 2 раза в день в течение 7-10 дней. Применяют также антибиотики широкого спектра действия: левомицетин по 0,5 г 3-4 раза в сутки, курс лечения 7-10 дней; сумамед по схеме в течение 5 дней; рулид по 150 мг 2 раза в сутки в течение 7-10 дней.
Назначают антигистаминные препараты (тавегил, супрастин, фенкарол, диазолин), а также поливитамины.
Рекомендуют обильное питье, высококалорийную нераздражающую пищу.
При правильном лечении улучшение состояния больных наступает через 24-48 ч: уменьшается или исчезает боль, больные могут принимать пищу, спать. Уменьшаются отек и гиперемия слизистой оболочки рта, начинается эпителизация язв, которая при легкой степени заболевания и удовлетворительном состоянии полости рта завершается к 3-6му дню. В несанированной полости рта эпителизация язвенных поверхностей протекает медленнее. После улучшения общего состояния больного и исчезновения острых воспалительных явлений необходимо провести тщательную санацию полости рта с удалением зубного камня, корней зубов, лечение кариозных зубов и заболеваний пародонта.
Рецидивы язвенно-некротического стоматита могут наступить, если в полости рта остаются очаги хронической инфекции (пародонтальные карманы, капюшоны над неполностью прорезавшимися третьими большими коренными зубами) или травмирующие факторы (нависающие пломбы, кариозные полости, корни разрушенных зубов, зубной камень, некачественные протезы и др.). Причиной рецидива может быть неудовлетворительное гигиеническое состояние полости рта.
Лечение симптоматических язвеннонекротических стоматитов при заболеваниях крови, аллергических состояниях, ртутной интоксикации заключается главным образом в проведении общего лечения основного заболевания, вызывающего эти изменения.
При своевременном и правильном лечении прогноз благоприятный. Эпителизация язвенных поверхностей при остром процессе наступает через 3-6 дней, при хроническом - несколько позже. В несанированной полости рта при наличии множества травмирующих факторов и несвоевременном или неправильном лечении могут произойти опущение (ретракция) или деформация десны, резорбция костной ткани альвеолярного отростка. Эти изменения способствуют дальнейшему прогрессированию пародонтита.
Больные, перенесшие стоматит Венсана, подлежат активному наблюдению в течение года. Первый осмотр проводят через 1-2 мес, последующие - через 6 мес.
Профилактика Язвенно-некротического стоматита Венсана:
Соблюдение гигиены полости рта, регулярная санация, полное и своевременное лечение инфекционных и других заболеваний, приводящих к снижению иммунитета, предохраняют от развития язвенно-некротического стоматита Венсана.
К каким докторам следует обращаться если у Вас Язвенно-некротический стоматит Венсана:
Вас что-то беспокоит? Вы хотите узнать более детальную информацию о Язвенно-некротического стоматита Венсана, ее причинах, симптомах, методах лечения и профилактики, ходе течения болезни и соблюдении диеты после нее? Или же Вам необходим осмотр? Вы можете записаться на прием к доктору .
Многоформная экссудативная эритема полости рта
Что такое Многоформная экссудативная эритема полости рта -
Многоформная экссудативная эритема (erythema exudativum multiforme) - воспалительное заболевание слизистых оболочек и кожи, характеризующееся полиморфизмом элементов поражения (пузыри, пятна, волдыри).
Слизистая оболочка рта или кожа могут поражаться изолированно, но часто встречается их сочетанное поражение. Многоформная экссудативная эритема характеризуется острым началом и длительным рецидивирующим течением. Обострения фиксируют преимущественно в осенневесенний период. Болеют в основном люди молодого возраста (20-40 лет), чаще мужчины.
Что провоцирует / Причины Многоформной экссудативной эритемы полости рта:
Этиология и патогенез полностью не выяснены. По этиологическому принципу выделяют 2 разновидности многоформной экссудативной эритемы. Истинную, или идиопатическую, форму, имеющую инфекдионноаллергическую природу, диагностируют у большинства больных (до 93 %). С помощью кожных тестов при этой форме заболевания выявляют сенсибилизацию к бактериальным аллергенам. Источником сенсибилизации являются очаги хронической инфекции. Снижение реактивности организма вследствие гиповитаминоза, переохлаждения, вирусных инфекций, стрессов провоцирует обострение многоформной экссудативной эритемы.
Токсикоаллергическая, или симптоматическая, форма многоформной экссудативной эритемы - синдром Стивенса-Джонсона, диагностируемая реже, имеет сходную клиническую картину с истинной инфекционноаллергической многоформной экссудативной эритемой, но по сути является гиперергической реакцией организма на лекарственные препараты (антибиотики, салицилаты, амидопирин и др.).
Патогенез (что происходит?) во время Многоформной экссудативной эритемы полости рта:
Заболевание начинается внезапно с недомогания, озноба, слабости, повышения температуры тела (в тяжелых случаях до 38 °С и выше). Больные жалуются на головную боль, ломящие боли во всем теле, боль в мышцах и суставах, в горле. Через 1-2 сут на кистях, предплечьях, голенях, иногда лице и шее возникают синюшнокрасные пятна, слегка возвышающиеся над окружающей кожей. Центральная часть их слегка западает и принимает синюшный оттенок, а периферическая сохраняет розоватокрасный цвет (кокарды). Впоследствии в центральной части может появиться субэпидермальный пузырь, наполненный серозным или геморрагическим содержимым. Высыпания кожных элементов иногда сопровождаются зудом и жжением или вообще проходят без болевых ощущений.
Наиболее часто поражается слизистая оболочка губ, щек, дна полости рта, языка, мягкого нёба. Первыми проявлениями многоформной экссудативной эритемы в полости рта служат разлитая или ограниченная эритема и отек слизистой оболочки, на фоне которых возникают субэпителиальные пузыри разного размера. Поражение слизистой оболочки рта сопровождается резкими болями даже в состоянии покоя. При движениях языка и губ боль резко усиливается, вследствие чего затрудняется прием пищи. Больные голодают, что еще больше ухудшает их состояние. Пузыри довольно быстро вскрываются, образовывая на слизистой оболочке рта болезненные эрозии, покрытые фибринозным налетом. На красной кайме губ эрозии покрываются кровянистыми корками, затрудняющими прием пищи и открывание рта. В первые дни после вскрытия пузырей по краю эрозий можно видеть сероватобелые остатки покрышки пузырей, при потягивании за которые расслоить эпителий не удается (отрицательный симптом Никольского). Неудовлетворительная гигиена полости рта, наличие кариозных зубов отягощают течение много-формной экссудативной эритемы. Происходит инфицирование микрофлорой полости рта эрозивных поверхностей. Иногда течение многоформной экссудативной эритемы осложняется присоединением фузоспирохетоза. Эрозии на слизистой оболочке рта покрываются толстым слоем желтоватосерого налета, появляется налет на зубах и языке, неприятный запах изо рта. Слюноотделение усиливается. Регионарные лимфатические узлы увеличены, болезненны. Период обострения 2-4 нед. Эрозии эпителизируются через 7-12 дней, после их заживления рубцов не остается.
Картина периферической крови в период обострения многоформной экссудативной эритемы соответствует острому воспалительному процессу.
Тяжесть течения многоформной экссудативной эритемы обусловлена главным образом характером поражения слизистой оболочки рта. Для тяжелой формы характерны выраженная гиперергическая реакция организма, а также генерализованное поражение слизистых оболочек рта, глаз, половых органов и кожи.
В случае легкого течения многоформной экссудативной эритемы общее состояние больных существенно не меняется, на слизистой оболочке рта выявляют единичные элементы поражения. Однако с увеличением давности заболевания степень его тяжести усугубляется. Для многоформной экссудативной эритемы инфекционноаллергической природы типично длительное рецидивирующее течение. Обострения заболевания наблюдают преимущественно в осенний и весенний периоды (1-2 раза в год), хотя известны случаи и более частых обострений заболевания. Иногда рецидивы могут быть спровоцированы переохлаждением, перенесенными инфекциями и прочими факторами, ослабляющими резистентность организма. Многоформная экссудативная эритема длится годами. В периоды между обострениями изменений на слизистой оболочке рта и коже нет.
Симптоматическая (токсикоаллергическая) многоформная экссудативная эритема рецидивирует лишь при контакте больного с этиологическим фактором (лекарственным препаратомаллергеном).
Цитологическое исследование соскоба из области эрозий выявляет картину острого неспецифического воспаления.
Гистологически определяется субэпителиальное расположение пузырей при многоформной экссудативной эритеме. Явлений акантолиза нет. Отторгнувшийся эпителий подвергается некрозу, в подлежащей соединительной ткани отек, воспалительная инфильтрация.
Диагностика Многоформной экссудативной эритемы полости рта:
Многоформную экссудативную эритему дифференцируют от:
В отличие от акантолитической пузырчатки многоформная экссудативная эритема характеризуется острым течением, полиморфизмом элементов поражения; выраженными воспалительными явлениями; отрицательным симптомом Никольского; отсутствием в мазкахотпечатках с поверхности эрозий и в экссудате пузырей акантолитических клеток.
От острого герпетического стоматита многоформную экссудативную эритему отличают более крупные эрозии, неимеющие полицикличности очертаний, отсутствие элементов поражения в типичных для герпетического стоматита участках слизистой оболочки рта и многоядерных клеток герпеса в соскобе с поверхности эрозий.
Острое течение, выраженность воспалительной реакции слизистой оболочки рта, сезонный рецидивирующий характер течения, в промежутках между которыми признаки заболевания отсутствуют, отличает многоформную экссудативную эритему от доброкачественной неакантолитической пузырчатки.
Легкое течение многоформной экссудативной эритемы может иметь сходство с эрозированными папулами при вторичном сифилисе, в основании которых всегда имеется инфильтрация. Гиперемия вокруг сифилитических папул, в том числе и эрозированных, в виде узкого ободка, резко отграниченного от здоровой слизистой оболочки. При многоформной экссудативной эритеме гиперемия обширная, разлитая. Болезненность сифилитических папул выражена незначительно, в соскобах с их поверхности обнаруживают бледные трепонемы; серологические реакции на сифилис положительны.
Токсикоаллергическую форму многоформной экссудативной эритемы диагностируют на основании данных анамнеза о приеме лекарственных препаратов, а также результатов иммунологических исследований in vitro (тест де грануляции базофилов Шелли, тест бласттрансформации лимфоцитов, цитопатологический тест) и прекращения обострения после отмены лекарственного препаратааллергена. При кожных высыпаниях постановка диагноза не представляет затруднений.
Лечение Многоформной экссудативной эритемы полости рта:
В острый период заболевания проводят симптоматическое лечение, направленное на снижение интоксикации организма, десенсибилизацию, снятие воспаления и ускорение эпителизации пораженной слизистой оболочки рта.
Обязательно назначают витамины группы В (В,, В2, В6), аскорутин.
Обострение многоформной экссудативной эритемы быстро купирует этакридина лактат (по 0,05 г 3 раза в день в течение 10-20 дней) в сочетании с левамизолом (по 150 мг в день, 2 дня подряд в неделю, с 5дневными перерывами в течение 2 мес).
Общее лечение больных с тяжелым течением многоформной экссудативной эритемы должно проводиться в условиях стационара, где им назначают комплексную терапию - детоксицирующую, десенсибилизирующую, противовоспалительную. В этом случае обычно применяют кортикостероидные препараты - преднизолон (по 30-60 мг в сутки в начальной дозе). Препарат в указанной дозе принимают в течение 5-7 дней, затем каждые 2-3 дня дозу снижают на 5 мг до полной отмены препарата. Начальная доза дексаметазона 3-5 мг. Проводят детоксицирующую и десенсибилизирующую терапию. Внутривенно вводят реополиглюкин, гемодез, тиосульфат натрия, гипосульфит натрия и др.
При токсикоаллергической форме многоформной экссудативной эритемы необходимо выявить причинный препараталлерген и прекратить его прием.
Местное лечение направлено на ликвидацию воспаления, отечности и ускорение эпителизации пораженной слизистой оболочки рта. Перед медикаментозной обработкой слизистой оболочки рта ее необходимо обезболить с помощью 1-2 % раствора т р и мекаина, 1-2 % раствора пиромекаина, 1-2 % раствора лидокаина. Для аппликационного обезболивания успешно используют анестетики в аэрозолях Xylostesin, Lidocainspray, Anaesthesiespray и др. С целью уменьшения болезненности перед приемом пищи назначают ротовые ванночки с 1-2 % раствором тримекаина. Антисептическую обработку слизистой оболочки рта осуществляют 0,25- 0,5 % раствором перекиси водорода, 0,25 % раствором хлорамина, 0,02 % раствором хлоргексидина, 0,5 % раствором этония и др.
При некротическом налете на поверхности эрозий эффективны аппликации протеолитических ферментов (трипсин, химотрипсин, лизоамидаза), после чего для ускорения эпителизации поврежденной слизистой оболочки применяют кератопластические средства (каротолин, масло шиповника и облепихи, масляный раствор витаминов А, Е, солкосерил, солкосерил дентальную адгезивную пасту, актовегин).
Обработку слизистой оболочки рта в период обострения необходимо проводить ежедневно, а в стационаре - 2-3 раза в день.
Поражения кожи, как правило, специального лечения не требуют. При зуде и жжении в области эритем на коже их рекомендуется смазывать жидкостью Кастеллани или 2 % салициловым спиртом.
При поражении глаз используют 0,5 % гидрокортизоновую глазную мазь, 0,1 % раствор дексаметазона.
При многоформной экссудативной эритеме прогноз для жизни благоприятный и весьма серьезный при синдроме Стивенса-Джонсона.
К каким докторам следует обращаться если у Вас Многоформная экссудативная эритема полости рта:
Вас что-то беспокоит? Вы хотите узнать более детальную информацию о Многоформной экссудативной эритемы полости рта, ее причинах, симптомах, методах лечения и профилактики, ходе течения болезни и соблюдении диеты после нее? Или же Вам необходим осмотр? Вы можете записаться на прием к доктору .
Многоформная экссудативная эритема (МЭЭ) - симптомы и лечение
Что такое многоформная экссудативная эритема (МЭЭ)? Причины возникновения, диагностику и методы лечения разберем в статье доктора Фоминых Софьи Юрьевны, дерматолога со стажем в 23 года.
Над статьей доктора Фоминых Софьи Юрьевны работали литературный редактор Маргарита Тихонова , научный редактор Сергей Федосов
Определение болезни. Причины заболевания
Многоформная экссудативная эритема (МЭЭ) — это острое аллергическое заболевание, при котором на коже и слизистых оболочках появляются различные по виду высыпания — пятнистые, папулёзные и пузырные.

МЭЭ обычно болеют люди молодого и среднего возраста. У пациентов мужского пола это заболевание встречается несколько чаще, чем у женщин.
Известны две основные разновидности МЭЭ:
- инфекционно-аллергическая (идиопатическая или истинная) — составляет около 80 % всех случаев МЭЭ и является следствием аллергической реакции на хронический очаг инфекции в организме;
- токсико-аллергическая — развивается, как правило, на фоне применения некоторых лекарственных средств, таких как амидопирин, барбитураты, сульфаниламиды и тетрациклины [7] .
Для инфекционно-аллергической МЭЭ характерна весенне-осенняя сезонность. Одного очага хронической инфекции недостаточно, чтобы данное заболевание развилось или обострилось. Для этого необходимо определённое сочетание триггерных, т. е. провоцирующих факторов, например:
- иммунодефицит (обратимый, преходящий, циклический);
- переохлаждение;
- ультрафиолетовое облучение;
- некоторые консерванты в составе пищевых продуктов (бензоаты, формальдегид и т. д.);
- психоэмоциональный стресс;
- патология пищеварительного тракта (хронический гастрит, дисбактериоз);
- аутоиммунные заболевания и онкопатология; , ангина и другие заболевания.
Не исключается и наличие наследственной предрасположенности к ММЭ.
Причиной инфекционно-аллергической МЭЭ, которая приводит к развитию болезни, чаще всего является герпесвирус человека, вирус Эпштейна — Барр, цитомегаловирус, а также возбудители вирусных гепатитов, микобактерии, микоплазменная, стрептококковая и грибковые инфекции, паразиты. Наиболее распространённый вид инфекционно-аллергической МЭЭ — герпес-ассоциированная МЭЭ [4] [12] [13] .

Считается, что герпесвирусная инфекция [1] [2] [5] становится причиной подавляющего большинства случаев МЭЭ. Чаще всего обнаруживается связь с вирусом простого герпеса первого типа [8] [10] [11] , реже — второго.
В пользу инфекционно-аллергической формы МЭЭ свидетельствует наличие продромального периода (предшествующего болезни), склонности к сезонности высыпаний и хроническое рецидивирующее течение.
Эксперты ВОЗ отмечают, что рост заболеваемости простым герпесом в настоящий момент заставляет рассматривать его в числе первоочередных проблем, наряду с ВИЧ-инфекцией и гриппом.
При обнаружении схожих симптомов проконсультируйтесь у врача. Не занимайтесь самолечением - это опасно для вашего здоровья!
Симптомы многоформной экссудативной эритемы
Для инфекционно-аллергической МЭЭ, включая герпес-ассоциированную [13] , характерно острое начало заболевания. Оно может проявляться повышением температуры, общей слабостью, ломотой в теле, головной болью, болезненными ощущениями в горле и другими симптомами.
Нередко за несколько дней до обострения МЭЭ у пациентов активируется герпетическая инфекция — проявляется герпес на губах или возникает рецидив генитального герпеса [8] .
Высыпания, характерные для МЭЭ, обычно начинают появляться через 1-2 дня после начала продромальных явлений. При этом общие симптомы обычно идут на спад.
Локализация сыпи весьма разнообразна. Она может появиться как на коже, так и на слизистых оболочках.
Кожные проявления
На коже обычно отмечаются чётко очерченные округлые красно-розовые пятна и плоские отёчные папулы, которые увеличиваются в размерах от 2-3 мм до 3 см в диаметре. При инфекционно-аллергической форме пятна обычно несколько мельче и не склонны к слиянию. Они могут доставлять зуд и жжение.
Преимущественная локализация высыпаний — на разгибательной стороне рук и ног, тыльной стороне стоп и кистей, на лице и в области гениталий. В основном они располагаются на теле симметрично, часто группами в виде дуг, гирлянд.

По мере роста папулы её центр начинает западать и менять окраску на более синюшную, по периферии остаётся красно-розовый ободок — таким образом элементы сыпи приобретают характерный вид "мишени" (иногда их сравнивают с "бычьим глазом" или "кокардой") [4] .
После в их центре образуются пузыри — везикулы и буллёзные элементы. Они содержат серозный или кровянистый экссудат. Лопаясь, пузыри формируют желтоватые или коричнево-бурые корочки, эрозированные поверхности.
В итоге на теле пациента одновременно присутствуют элементы разной степени развития — пятна, папулы и пузыри, переходящие в корочки и эрозии. Именно поэтому эритема именуется многоформной.
С интервалами в несколько дней могут образовываться новые группы высыпаний. Это может затянуть процесс. Но обычно окончательный регресс наступает приблизительно в течение двух недель.
Частота обострений может варьировать от 1-2 до 5-12 раз в год. В редких тяжёлых случаях одно обострение может переходить в другое, практически без светлого промежутка. За это время предыдущие высыпания полностью не разрешаются.
Высыпания на слизистых оболочках
Могут появляться единичные элементы на слизистой полости рта, который не причиняют особого беспокойства. В более тяжёлых случаях поражения бывают настолько обширными и болезненными. Они затрудняют речь и приём даже однородной и жидкой пищи [12] [13] .
Образующиеся пузыри лопаются довольно быстро, поэтому пациент не успевает их заметить — обычно обнаруживаются уже эрозии, на которых иногда можно увидеть плёнчатые фибринозные налёты светлого или бурого оттенка.

В области красной каймы губ могут возникнуть весьма болезненные, растрескивающиеся кровянистые корки, которые не позволяют больному полноценно открывать рот.
Реже высыпания обнаруживаются на слизистых глаз и половых органов. В осложнённых случаях возможно присоединение вторичной инфекции, образование рубцов и синехий (спаек).
Патогенез многоформной экссудативной эритемы
На современном этапе любая разновидность мультиформной экссудативной эритемы рассматривается как сдвиг адаптации защитных механизмов в сторону гиперчувствительности [4] .
МЭЭ — это смешанная аллергическая реакция, в которой просматриваются особенности, характерные для гиперчувствительности как немедленного, так и замедленного типа. Зачастую у пациента явно прослеживается так называемая общая атопическая предрасположенность — исходно у него могут отмечаться, к примеру, признаки пищевой аллергии, атопический ринит, бронхиальная астма и дерматит.
При герпес-ассоциированной МЭЭ у пациентов резко повышается уровень иммуноглобулинов класса Е (IgE) и снижается продукция иммуноглобулинов класса А (IgA), которые обеспечивают "первую линию" защиты кожи и слизистых оболочек. Также отмечается понижение выработки альфа- и гамма-интерферона и образование циркулирующих иммунных комплексов с вирусом простого герпеса.
Вирус повреждает генетический аппарат не только клеток эпидермиса, но и иммунокомпетентных клеток, изменяет состояние их рецепторов, выработку специфических ферментов и провоспалительных цитокинов. В то же время может наблюдаться Т-клеточный и нейтрофильный иммунодефицит, повышение количества В-лимфоцитов. Всё это нарушает связь между различными звеньями иммунитета, искажает нормальный иммунный ответ, заставляет организм проявлять агрессию к собственным тканям, в данном случае — к клеткам эпидермиса и эндотелия сосудов кожи.
Всё вышеперечисленное приводит к образованию лимфоцитарного инфильтрата вокруг кровеносных сосудов кожи, иногда с признаками геморрагии. В базальном слое эпидермиса развивается внутри- и внеклеточный отёк. Сам слой расслаивается, в нём возникают некротические изменения с образованием толстостенных булл.

Степень тяжести патологических проявлений при герпес-ассоциированной МЭЭ во многом зависит от выраженности имеющихся иммунных сдвигов, которые, в свою очередь, могут являться причиной наличия хронического инфекционного очага в организме.
Классификация и стадии развития многоформной экссудативной эритемы
В зависимости от степени выраженности симптомов [3] [12] выделяют две формы МЭЭ:
- малая — поражений слизистых нет или они очень слабо выражены, почти нет общих симптомов;
- большая — протекает с тяжёлым поражением слизистых оболочек, ярко выраженными общими симптомами.
По первичным элементам сыпи, преобладающим в клинической картине МЭЭ, различают пять форм заболевания:
- эритематозная — ограниченное покраснение кожи;
- папулёзная — появление красноватых плотных узелков;
- эритематозно-папулёзная — образование папул с ярко-красными краями и потемневшим центом;
- везикуло-буллёзная — формирование эритематозных бляшек с пузырьком в центре;
- буллёзная — превращение пузырьков в эрозии, которые покрываются корочками.
Воспалительный процесс в зависимости от гистопатологической картины поражения кожи разделяют на три типа [3] :
- эпидермальное воспаление — нарушается наружный слой кожи;
- дермальное воспаление — изменяется толстый слой кожи под эпидермисом;
- смешанное (эпидермо-дермальное) воспаление.
По степени тяжести МЭЭ может быть лёгкой, средней, среднетяжёлой и тяжёлой. В качестве критериев тяжести рассматривают количество и размер буллёзных элементов, наличие поражений слизистых оболочек полости рта и гениталий, температуру тела. Отдельно выделяют часто рецидивирующую форму.
Общепринятой классификации герпес-ассоциированной МЭЭ в настоящее время не существует. В её развитии, как и в развитии МЭЭ, различают два периода:
- продромальный — период активации вирусного процесса;
- буллёзный — период разгара заболевания.
Осложнения многоформной экссудативной эритемы
Осложнения чаще всего развиваются при тяжёлых формах заболевания, а также у людей, организм которых по различным причинам ослаблен [12] [13] .
При обширных поражениях слизистой полости рта резкая болезненность высыпаний затрудняет нормальный гигиенический уход. Когда во рту изначально присутствовали очаги инфекции, возможно развитие такого осложнения, как фузоспирохетоз. Это стоматологическое заболевание характеризуется образованием толстого желтоватого дурно пахнущего налёта на слизистой полости рта, языке и зубах.
Затруднённый приём пищи при генерализованном поражении слизистой полости рта может приводить к истощению пациента.
При локализации высыпаний на слизистой носа возможно развитие ринита с носовыми кровотечениями.
Эрозии на слизистой половых органов могут заживать с образованием синехий (спаек, сращений).
В 22% случаев через эрозивные дефекты покровов проникает вторичная бактериальная инфекция. Это чревато гнойно-септическими осложнениями, образованием более глубоких поражений, на месте которых в редких случаях могут образовываться рубцы.
Поражение слизистой оболочки глаз может осложняться конъюнктивитом и кератитом (кератоконъюнктивитом) [3] .
К числу редких и наиболее серьёзных осложнений можно также отнести постгерпетическую невралгию, пневмонию, почечную недостаточность.
Диагностика многоформной экссудативной эритемы
Для постановки диагноза "МЭЭ" в типичном случае врачу-дерматологу достаточно характерной клинической картины и данных опроса пациента. Имеют значение сведения о хронических очагах инфекции, недавних рецидивах герпетических высыпаний и провоцирующих факторах.
Лабораторные анализы (например, общий анализ крови) в нетяжёлых случаях могут не показать никаких отклонений. При тяжёлых формах отмечается повышение СОЭ и умеренный лейкоцитоз — небольшое повышение уровня лимфоцитов в крови.
Для уточнения диагноза нужно исключить другие, схожие по симптоматике заболевания — пузырчатку, узловатую эритему, системную красную волчанку, вторичный сифилис и другие. С этой целью выполняют цитологическое исследование мазков-отпечатков, взятых с поверхности высыпаний, а также изучение клеток поражённой ткани под микроскопом.
Наличие герпетической инфекции в организме при необходимости можно подтвердить несколькими способами:
- ПЦР-диагностика на инфекции, передающиеся половым путём;
- серологическое обследование на наличие антител к вирусу простого герпеса;
- оценка иммунного статуса.
Дифференциальную диагностику герпес-ассоциированной МЭЭ необходимо проводить с узловатой и кольцевидной эритемой Дарье, токсидермиями, вторичным сифилисом, системной красной волчанкой, герпетическим стоматитом, болезнью Кавасаки, уртикарным васкулитом, красным плоским лишаем (эрозивной формой).
Лечение многоформной экссудативной эритемы
Основные задачи лечения:
- уменьшить тяжесть общих проявлений и количество высыпаний во время обострений;
- сократить длительность рецидивов;
- предотвратить осложнения;
- в межрецидивный период повысить сопротивляемость организма, сократить частоту рецидивов.
При любой форме МЭЭ используют десенсибилизирующую терапию и антигистаминные (противоаллергические) препараты.
При поражении слизистых оболочек рта и половых органов назначаются орошения и полоскания составами, успокаивающими воспаление и подавляющими инфекцию — "Ротокан", настой ромашки и т. п.
Ускорить очищение эрозий от налётов и некротических тканей помогают местные ферментные препараты. Также применяются кератопластические средства и препараты, способствующие регенерации и ускорению эпителизации повреждений.
Показаниями для госпитализации может послужить тяжёлое течение заболевания, а также неэффективность амбулаторного лечения. В нетяжёлых случаях вполне допустимо лечение в домашних условиях, без особых ограничений.
Изоляции больного не требуется, так как он не представляет опасности для здоровья окружающих. Пациенту рекомендуется гипоаллергенная диета, химически и термически щадящая, гомогенная пища (особенно при высыпаниях на слизистой рта), пить достаточное количество воды.
Лечение герпес-ассоциированной МЭЭ
Тактика лечения при герпес-ассоциированной МЭЭ зависит от степени выраженности тех или иных симптомов, стадии развития процесса, частоты и тяжести обострений [3] [4] . Например, если рецидивы возникают часто, высыпания обильны и им характерны некротические изменения, то нередко применяются глюкокортикоиды [14] .
Когда в возникновении заболевания очевидна роль герпесвируса, показан приём синтетических ациклических нуклеозидов — ацикловир, валацикловир [14] , фамцикловир.
В случае торпидного (вялого) течения герпес-ассоциированной МЭЭ рекомендовано профилактическое, противорецидивное и превентивное (предупреждающее) лечение. Для этого длительными курсами применяют препараты, содержащие ацикловир.
Применение антибиотиков в лечении герпес-ассоциированной МЭЭ оправдано лишь при наличии признаков вторичной бактериальной инфекции — нарастание интоксикации и появление гнойного отделяемого.
Чтобы предупредить присоединение вторичной инфекции, эрозированные участки и пузыри обрабатывают растворами антисептиков, например, фукорцином, фурацилином или хлоргексидином.
Прогноз. Профилактика
В большинстве случаев МЭЭ прогноз для жизни и здоровья благоприятный, за исключением редких особо тяжёлых форм болезни у людей с пониженной резистентностью организма.
Рубцы при заживлении повреждений не образуются, за редким исключением. Иногда на месте бывших элементов сыпи изменяется окрас кожи.
Рецидивировать МЭЭ может приблизительно в 30 % случаев. Особое внимание следует уделять тяжёлым поражениям слизистой оболочки и бактериальной суперинфекции [15] .
В качестве первичной профилактики рекомендуется минимизировать риск заражения герпетической инфекцией:
- соблюдать нормы личной гигиены;
- избегать случайных половых связей;
- практиковать защищённый секс.
Чтобы сохранить сопротивляемость организма инфекциям в норме, нужно рационально питаться, соблюдать оптимальный режим труда и отдыха, полноценно спать, регулярно закаляться, отказаться от вредных пристрастий.
Меры неспецифической вторичной профилактики формируются с учётом возможных триггерных факторов. Целесообразно обратить внимание на следующие моменты:
- регулярное прохождение профилактических осмотров и своевременная санация (очищение) хронических очагов инфекции, при ассоциации с герпесвирусной инфекцией — противовирусная терапия;
- защита от избыточного облучения солнечным светом и ультрафиолетового облучения;
- уменьшение вероятности переохлаждения;
- исключение стрессовых воздействий и т. п.
Для предупреждения рецидивов герпес-ассоциированной МЭЭ применяется герпетическая поливакцина, которая вводится по особой схеме. Её эффективность достигает более 70 %: она в 2-4 раза уменьшает частоту рецидивов.
Сокращению числа рецидивов также способствует длительный превентивный приём синтетических ациклических нуклеозидов, препаратов интерферона [6] , его индукторов и целого ряда неспецифических иммуномодуляторов [9] .
Язвенный стоматит - симптомы и лечение
Что такое язвенный стоматит? Причины возникновения, диагностику и методы лечения разберем в статье доктора Грачевой Юлии Александровны, стоматолога со стажем в 17 лет.
Над статьей доктора Грачевой Юлии Александровны работали литературный редактор Вера Васина , научный редактор Елена Страндстрем и шеф-редактор Лада Родчанина
Язвенный стоматит — воспаление и нарушение поверхностного слоя слизистой оболочки полости рта с появлением язв. Болезненные язвы также могут образовываться и на языке. Немного реже возникают беловатые поражения слизистой, и совсем редко ротовая полость выглядит нормальной, но присутствует синдром жжения во рту .

Язвенный стоматит — это самая сложная форма стоматита. Его проявления в полости рта мешают приёму пищи, могут приводить к обезвоживанию и развитию вторичной инфекции, особенно это выражено у пациентов с иммунодефицитом.
Предрасполагающие факторы для развития язвенного стоматита:
- ослабление иммунной системы;
- курение, алкоголь;
- травмы ротовой полости;
- передача инфекции через грязную еду, игрушки, бытовые вещи, от животных;
- пища и вода плохого качества.
Часто причиной стоматитов становится аллергия или токсическая реакция на некоторые вещества, используемые в стоматологии — препараты для анестезии, пломбировочный материал, брекеты, протезы, ортодонтические пластинки.
Провоцирующими факторами также являются:
- воспалительные заболевания кишечника (язвенный колит, синдром Рейтера);
- болезни системы кровообращения (циклическая нейтропения, хроническая анемия);
- гормональные дисфункции;
- хронический иммунодефицит;
- травмы рта, возникающие, например, из-за плохо подобранных зубных протезов;
- аллергия;
- хронический стресс.
Стоматитам наиболее подвержены дети, распространённость в зависимости от возраста:
- дети 1—3 лет (31 % от общего числа детей, заболевших стоматитом);
- дети грудного возраста (26 %);
- дошкольного возраста (20 %);
- младшего школьного возраста (13 %);
- старшего школьного возраста (10 %).
Чаще всего стоматиты возникают в весенний период, на который приходится 38 % заболевших детей, что связано с ослаблениеи защитных сил организма в это время года. Затем следует зима — 26 %, осень — 25 % и лето — 11 % [17] .
Симптомы язвенного стоматита
Виды язвенного стоматита:
- травматический;
- инфекционный;
- аллергический;
- хронический рецидивирующий афтозный стоматит.
Все эти формы обладают схожими симптомами: отёком, покраснением слизистой оболочки, наличием язвенных элементов. Расположение воспаления зависит от причины возникновения, например, язвы на боковой поверхности языка могут появляться при травмировании острым краем разрушенного зуба или съёмным зубным протезом.

Ещё одним симптомом язвенного стоматита являются везикулы (пузырьки). Они появляются в основном при инфекционном стоматите. Везикулы возникают на слизистой оболочке рта и коже лица (крыльях носа, щеках, верхней губе) и сохраняются 10-12 дней. Мелкие пузырьки быстро превращаются в эрозии с налётом. Воспаление может сопровождаться болями в суставах, мышцах, невралгией, головной болью и увеличением лимфатических узлов.

Другие симптомы язвенного стоматита — зуд, жжение и сухость во рту, а также боль при приёме пищи. На слизистой оболочке возникают отёк и покраснение, может наступить омертвение сосочков языка. Подобные симптомы чаще наблюдаются при аллергическом стоматите.
Патогенез язвенного стоматита
Механизмы развития стоматита до конца не изучены, но, вероятнее всего, заболевание вызвано реакцией иммунной системы на раздражители. Одна из самых распространённых теорий возникновения заболевания — инфекционно-аллергическая [18] . Согласно ей, стоматит возникает в результате повышенной чувствительности организма к различным аллергенам и микроорганизмам . Важное значение в развитии заболевания имеют аутоиммунные процессы — на слизистой оболочке полости рта обитают различные микроорганизмы, в ответ на их присутствие организм вырабатывает антитела, которые могут атаковать собственные клетки эпителия.
При первых симптомах стоматита под влиянием медиаторов воспаления происходит раздражение чувствительных нервных окончаний . При этом возникает аллергическая реакция немедленного типа с выделением биологически активных веществ, таких как гистамин, брадикинин, ацетилхолин и др. Это приводит к повреждению эпителия слизистой оболочки , расширению стенок сосудов, увеличению их проницаемости, что становится причиной отёка.
К развитию стоматита также могут приводить хронические инфекции желудочно-кишечного тракта и ЛОР-органов. Они способствуют повышению чувствительности к аллергенам и снижению сопротивляемости к микробам.
Хроническое течение и рецидивы могут быть связаны с обострением болезней внутренних органов. Рецидивы обусловлены развитием иммунопатологических реакций на фоне ослабления защитных сил организма.
Классификация и стадии развития язвенного стоматита
Выделяют:
- Травматический стоматит.
- Инфекционный стоматит:
- герпетический;
- везикулярный;
- язвенно-некротический стоматит Венсана.
- Аллергический стоматит.
- Хронический рецидивирующий афтозный стоматит.
- Стоматиты, вызванные интоксикацией солями тяжёлых металлов (свинца, ртути, висмута).
Травматические стоматиты возникают при повреждении слизистой оболочки зубным камнем, краем разрушенной коронки зуба, съёмным зубным протезом, неправильно расположенными зубами. При этом происходит воспаление дёсен, а в дальнейшем — образование язв.
Инфекционные стоматиты. К развитию герпетического стоматита приводит вирус простого герпеса первого типа. При поражении слизистой оболочки сперва появляется воспаление в виде пятна, которое затем превращается в пузырёк с прозрачным либо с мутным содержимым. После этого возникает язва — болезненный покрасневший участок слизистой. В дальнейшем язва превращается в афту — белесоватое внутри образование с покраснением по краям. Затем афта вновь переходит в пятно, и происходит заживление.

Везикулярный стоматит — острая форма инфекционного заболевания, вызванная везиловирусом. Инкубационный период составляет 2-6 дней, после чего пациент ощущает головную боль, дискомфорт при движениях глаз, общую мышечную слабость, озноб, появляется насморк, боль в горле, повышается температура тела. Больные часто жалуются на увеличение шейных лимфоузлов. При везикулярном стоматите на слизистой оболочке рта появляются пузырьки с красным контуром, наполненные жидкостью. Везикулы расположены на дёснах, губах, языке и внутренней поверхности щёк. Они чувствительны, поэтому приём пищи вызывает боль [10] [13] .

При язвенно-некротическом стоматите Венсана на десневых сосочках появляются поверхностные язвочки, покрытые беловатым налётом. В начале заболевания пациенты испытывают головную боль, общую слабость, у них повышается температура, возникает ломота в суставах. У больных кровоточат дёсны, во рту возникает ощущение жжения и сухости. Боль усиливается при малейшем прикосновении, из-за этого язык при разговоре малоподвижен. Приём пищи и чистка зубов практически невозможны. Усиливается выделение слюны, увеличиваются и становятся болезненными регионарные лимфатические узлы, появляется сильный гнилостный запах изо рта.

Для аллергического стоматита характерны покраснение и отёк дёсен. При пузырно-эрозивной форме появляется эрозия с беловатым налётом и крупный пузырь на слизистой оболочке твёрдого нёба, который впоследствии разрывается. Аллергический стоматит часто возникает при аллергии на лекарственные препараты. Самая тяжёлая его форма — язвенно-некротическая, при которой сперва появляются язвы, а в дальнейшем происходит отмирание тканей и образование рубцов на поверхности слизистой.
Хронический рецидивирующий афтозный стоматит. Выделяют три формы:
- Фибринозная форма (афта Микулича) — чаще заболевают девочки и женщины в возрасте от 10 до 30 лет. В полости рта появляются резко болезненные одиночные или множественные изъязвления (афты). Количество афт составляет от 1 до 100, в большинстве случаев — 1-6. Заживление происходит за 7-14 дней с образованием нежного рубца или без видимого рубцевания.
- Некротический периаденит (афта Сеттона) — стоматит начинается как глубокая язва, протекает длительно и волнообразно. Количество язв, как правило, от 2 до 10. При заболевании встречается "ползущая" язва, для которой характерны заживление на одном полюсе и рост на другом. Размер язв — от 1 см до значительного поражения участков слизистой оболочки. При заживлении образуется деформирующий рубец.
- Герпетиформный афтозный стоматит — множественные мелкие неглубокие афты, резко болезненные с частыми рецидивами и кратковременными ремиссиями в течение 1-3 лет. Заболевание начинается с небольших эрозий размером 1-2 мм, которые затем увеличиваются и сливаются в обширные эрозивные поверхности. Изъязвления могут поражать любые участки полости рта.

Осложнения язвенного стоматита
Длительное воздействие слабого раздражителя, например зубного протеза, приводит к разрастанию участков слизистой оболочки щёк, губ, нёба. Вследствие этого может развиться лейкоплакия — заболевание, поражающее слизистую оболочку и приводящее к её визуальным и структурным изменениям. На начальных стадиях болезнь проявляется ороговением и покрытием белесым налетом слизистой нёба, дёсен, языка, внутренней стороны щёк. В дальнейшем возможно образование злокачественной опухоли.

При язвенном стоматите нередко кровоточат дёсны, в отдельных случаях могут выпадать зубы. Также при заболевании снижается иммунитет, из-за чего организм более подвержен инфекциям. Речь больного становится осипшей или хриплой, что чревато возникновением ларингита — болезни горла и связок.
Диагностика язвенного стоматита
На приёме врач расспросит пациента , как давно проявились первые симптомы заболевания, какова их интенсивность, возникали ли подобные случаи ранее. Также доктору необходимо знать о сопутствующих и перенесённых заболеваниях и аллергологическом статусе.
При осмотре ротовой полости стоматолог обратит внимание на зубные отложения, наличие острых краёв коронок зубов, на состояние ортопедических конструкций, патологическую стираемость зубов.
В ряде случаев потребуется лабораторная диагностика. Для этого из полости рта берётся мазок, который поможет выявить возбудителя и подобрать лекарственные препараты.

При аллергическом стоматите дополнительная диагностика может включать биохимический анализ слюны с выявлением активности ферментов. Также может потребоваться определение болевой чувствительности слизистой оболочки и гигиеническая оценка протезов.
Дифференциальную диагностику проводят с трофической язвой, с изъязвлённой опухолью, туберкулёзной и сифилитической язвами, стоматитом Венсана.
Инфекционный стоматит дифференцируют с другими вирусными заболеваниями (везикулярным стоматитом, ящуром и др.), а также с аллергическим стоматитом. Пузырно-эрозивные поражения при аллергическом стоматите слизистой оболочки рта следует отличить от пузырчатки, многоформной экссудативной эритемы, герпетического стоматита.
Лечение язвенного стоматита
Основная цель терапии состоит в том, чтобы уменьшить боль и ускорить заживление. Прежде всего необходимо устранить раздражители, которые причиняют дискомфорт пациенту. Далее следует уменьшить симптомы настолько, насколько это возможно.
Для лечения стоматита назначают полоскания растворами фурацилина, мирамистина, хлоргексидина, перекисью водорода. Полоскания уменьшат боль и зуд, очистят ротовую полость от остатков пищи, которые травмируют повреждённые участки.
При сильной боли назначают аппликации с обезболивающими средствами — "Камистадом", "Лидокаин асептом". Лечение различных форм стоматитов будет отличаться.
Инфекционный стоматит. При лечении в первую очередь необходимо понять, вследствие какой проблемы с иммунитетом возникло это состояние, и укрепить защитные силы организма. Для этого внутримышечно вводят "Продигиозан", полость рта обрабатывают антисептиками, протеолитическими ферментами, назначают УФ-терапию [11] .
Везикулярный стоматит. Для уменьшения симптомов будут полезны полноценный отдых, обильное питьё, приём жаропонижающих препаратов. Также слизистую оболочку рта обрабатывают антисептиками ("Супрастин", "Гексэтидин", "Пипольфен") и применяют противовирусные мази — риодоксоловую и теброфеновую. Часто назначают антигерпетические препараты — "Фамцикловир", "Ацикловир", "Валацикловир". Если придерживаться рекомендаций врача, то симптомы заболевания быстро уходят, и больной выздоравливает.
Язвенно-некротический стоматит Венсана. При лечении тщательно удаляют зубные отложения, обрабатывают слизистую оболочку полости рта антисептиками и назначают приём поливитаминов (например, "Компливита").
Аллергический стоматит. Лечение заключается в устранении причины аллергии и приёме внутрь антигистаминных препаратов. В тяжёлых случаях аллергического стоматита вводят внутривенно раствор тиосульфата натрия. При лечении в стационаре назначают капельное вливание гемодеза, изотонического раствора хлорида натрия, полиглюкина, а также приём кортикостероидов.
Хронический рецидивирующий афтозный стоматит. При местном лечении устраняют травматические факторы, полоскают рот тетрациклином (250 мг на 5 мл воды 4 раза в день в течение 5-7 дней), делают аппликации с кортикостероидами и антибиотиками, назначают обезболивающие. При глубоких язвах применяют протеолитические ферменты.
Общее лечение включает приём препаратов:
- , рифампицин (две капсулы дважды в сутки); (по одной таблетке дважды в сутки в течение 20 дней); (10 мл 30 % раствора внутривенно один раз в сутки или 1,5-3 г внутрь);
- "Продигиозан" (начинают с 15 мкг один раз в пять дней и увеличивают дозу до 100 мкг); (50 мг три раза в сутки два дня подряд в неделю или 150 мг однократно);
- "Делагил" (по одной таблетке один раз в день);
- "Колхицин" (по одной таблетке дважды в день в течение двух месяцев);
- "Аевит" (1 мл один раз в день внутримышечно в течение 20 дней);
- "Гистаглобулин" (2 мл подкожно один раз в три дня) [11] .
Стоматиты при интоксикациях солями тяжёлых металлов и химическими растворами. Если на слизистую попало химическое вещество, необходимо сразу смыть его нейтрализующим раствором. Дальнейшее лечение пациентов с химическими ожогами проводится обезболивающими и антисептическими средствами и препаратами, ускоряющими восстановление эпителия. Также важна высококалорийная диета. При обширных рубцах показано оперативное вмешательство [15] .
При своевременном обращении к врачу и адекватном лечении прогноз благоприятный [12] . Тяжелее всего поддаётся терапии хронический рецидивирующий афтозный стоматит. Для профилактики рецидивов следует:
- исключить контакты с провоцирующими факторами;
- придерживаться диеты;
- соблюдать гигиену полости рта;
- своевременно лечить инфекции;
- отказаться от вредных привычек [7][12] .
Для предпреждения стоматита важно следить за состоянием зубов: регулярно посещать стоматолога, вовремя лечить кариес, снимать зубные отложения.
Читайте также:
