Синдром блокады нистагма - клиника, диагностика
Добавил пользователь Владимир З. Обновлено: 28.11.2025
Причины неудач лечения сходящегося косоглазия (инфантильной эзотропии)
а) Влияет ли стабильность выравнивания до операции на ее результат? Ing показал, что у большинства пациентов с инфантильной эзотропией, наблюдавшихся перед операцией, отмечалось усиление девиации минимум на 10 пр. дптр, а у 50% из них — минимум на 20 пр. дптр. Если оперативное вмешательство планировалось на основании измерений, сделанных за день операции, разница в выравнивании между группами пациентов с увеличивавшимся углом девиации и со стабильными результатами измерений отсутствовала.
В исследовании младенцев с инфантильной эзотропией, разделенных на «стабильных» (разница в результатах измерений между осмотрами < 10 пр. дптр) и «нестабильных» (разница результатов измерений >10 пр. дптр), Birch et al. продемонстрировали, что различия, касающиеся послеоперационного выравнивания глаз, частоты повторных операций и назначений гиперметропических или бифокальных очков и развития стереопсиса, отсутствуют. В более позднем исследовании окончательные двигательные функции (выравнивание) были одинаковыми, независимо от стабильности полученных до операции результатов измерений. Результаты измерений стабилизируются в возрасте старше шести месяцев.
б) Погрешность измерений. Schutte et al. выявили источники ошибок при оперативном лечении косоглазия, связанных с человеческим фактором. Половина повторных операций выполняется из-за ошибок измерений угла косоглазия, несоблюдения хирургических методик или интраоперационных ошибок. В пилотном исследовании в рамках Early vs. Late Infantile Strabismus Surgery study (ELISS — Сравнение ранних и поздних хирургических вмешательств при инфантильном косоглазии) три независимых исследователя продемонстрировали между собой высокое совпадение результатов теста Hirschberg, но в 10% случаев расхождение превышало 10° (20 пр. дптр).
В другом исследовании опытные специалисты по косоглазию рассматривали фотографии пациентов с косоглазием и оценивали угол отклонения с помощью тестов Krimsky и Hirschberg, полученные ими результаты сравнивались с контрольными значениями, полученными исследователем-экспертом с помощью cover-теста с призмами, который принимался в качестве «золотого стандарта». Большая часть исследователей при проведении теста Krimsky переоценивала объем девиации на 10 пр. дптр хотя бы у одного пациента. Выявить разницу в 5 пр. дптр было затруднительно.
При проведении теста Hirschberg объем девиации каждого пациента недооценивался на 10 пр. дптр хотя бы одним исследователем, наименьшая точность измерений отмечалась при больших углах отклонения. Авторы пришли к заключению, что тест Krimsky более точен, чем тест Hirschberg, но оба они менее точны, чем cover-тест. Thompson и Guyton сообщили, что с помощью призм невозможно точно измерить очень большой угол девиации. Pediatric Eye Disease Investigators Group (PEDIG, Группа по исследованию заболеваний глаз у детей) изучала совпадение результатов cover-теста с призмами и альтернирующего cover-теста. Они пришли к выводу, что у детей с эзотропией с углом отклонения более 20 пр. дптр, изменения девиации в 12 пр. дптр или более, вероятно, отражают реальные изменения, тогда как более низкие значения могут быть обусловлены ошибками измерений. К точности наших измерений следует относиться скептически.
Cover-тест с призмами является «золотым стандартом» при измерении угла косоглазия, но его применение ограничено необходимостью взаимодействия с ребенком. Тест Krimsky прост в применении, при углах косоглазия более 40 пр. дптр сила призмы распределяется между двумя глазами. Если ребенок не способен взаимодействовать с врачом, мы применяем комбинацию теста Krimsky и теста Bruckner.
Для выполнения cover-теста с призмами мы используем отдельные пластиковые призмы. Пластиковые прямоугольные призмы следует удерживать во фронтальной плоскости, а пластиковые равнобедренные призмы — в положении минимальной девиации. Это означает, что основание призмы любого типа должно удерживаться в сагиттальной плоскости. Мы понимаем, что сила преломления двух призм перед двумя глазами не равна арифметической сумме силы этих призм, но в большинстве случаев эзотропии эта разница не превышает погрешности измерения.
Измерение девиаций при взгляде вдаль в раннем младенческом возрасте затруднено, но всегда можно определить угол девиации при взгляде вблизи. Обычно мы планируем операцию на основании угла девиации при взгляде вблизи.
Инфантильная эзотропия с большим углом отклонения.
Редактор: Искандер Милевски. Дата обновления публикации: 18.3.2021
Синдром блокады нистагма - клиника, диагностика
Клинические варианты сходящегося косоглазия (инфантильной эзотропии)
а) Диссоциированная вертикальная девиация (альтернирующее отклонение глаза вверх, окклюзионная гиперфория). При диссоциированной вертикальной девиации наблюдается элевация и эксторзия глаза, при возобновлении фиксации не сопровождающаяся содружественным движением парного глаза вниз. Движения глаз при диссоциированной вертикальной девиации не подчиняются закону Hering.
Девиация может возникать спонтанно или только при окклюзии парного глаза. Диссоциированная вертикальная девиация может варьировать по амплитуде и частоте эпизодов. Изредка у пациента формируется адаптационный наклон головы в сторону поражения. С терапевтическими целями диссоциированная вертикальная девиация может оцениваться по силе призм основанием вниз. При диссоциированной вертикальной девиации призмы подбираются до тех пор, пока при альтернирующем cover-тесте не исчезнет движение вниз.
б) Гиперфункция нижней косой мышцы. Гиперфункция нижней косой мышцы становится заметной только при аддукции и связана с эксциклодисторсией глазного дна и V-паттерном. Диссоциированная вертикальная девиация и гиперфункция нижней косой мышцы обычно односторонние, но могут быть и асимметричными. Если глаз при аддукции поднимается и имеется содружественная гиподевиация парного глаза, эти отклонения связаны с гиперфункцией нижней косой мышцы.
Если содружественная гиподевиация отсутствует, имеется диссоциированная вертикальная девиация. Если подъем при веденного глаза превышает гиподевиацию парного глаза, присутствует диссоциированная вертикальная девиация комбинированная с гиперфункцией нижней косой мышцы.
в) Диссоциированная горизонтальная девиация. Диссоциированная горизонтальная девиация встречается гораздо реже, чем диссоциированная вертикальная девиация. Это нарушение часто асимметрично и может возникать одновременно с диссоциированной вертикальной девиацией. Диссоциированная горизонтальная девиация может являться всего лишь диссоциированной вертикальной девиацией с выраженным горизонтальным компонентом.
Это состояние можно ошибочно принять за вторичную экзотропию, также эти два нарушения могут сопутствовать друг другу. Их можно дифференцировать по разнице в амплитуде горизонтального отклонения при подстановке призм перед каждым глазом. Лечение заключается в супрамаксимальной рецессии наружной прямой мышцы пораженного глаза.
г) Латентный нистагм. Латентный нистагм часто наблюдается при инфантильной эзотропии и проявляется при монокулярной окклюзии. Быстрая фаза направлена в сторону неприкрытого глаза. Нистагм уменьшается при приведении и усиливается при отведении. Латентный нистагм может вызывать снижение остроты зрения на неприкрытом глазу. Его можно выявить, не прикрывая парный глаз окклюдором, а «затуманив» его линзой +3,0 дптр. Манифестный латентный нистагм — это «латентный» нистагм, присутствующий при взгляде двумя глазами.
д) Оптокинетическая асимметрия. У младенцев младше двух лет выявляется более высокая чувствительность к объектам, движущимся с височной стороны к носовой, чем к движущимся от носа к виску. У здоровых младенцев эта асимметрия исчезает в возрасте примерно 4-6 месяцев. При развитии инфантильной эзотропии это носовое отклонение сохраняется и становится постоянным.
Диссоциированная вертикальная девиация справа. Гиперфункция нижней косой мышцы справа (А), гиперфункция нижней косой мышцы слева (Б),
эксциклоторзия глазного дна (В) у того же пациента.
Обратите внимание, что fovea располагается ниже линии, проходящей через нижний край диска зрительного нерва.
Нистагм
Нистагм – это патология, характеризующаяся непроизвольными колебательными движениями глаз. Клиническая симптоматика включает быстрые колебания глазных яблок в вертикальном, горизонтальном, реже – косом или круговом направлении. Нарушается аккомодационная способность, что проявляется зрительной дисфункцией. Для диагностики применяется объективное обследование, микропериметрия, электронистагмография, визометрия, рефрактометрия, компьютерная томография головного мозга. Консервативная терапия основывается на применении противосудорожных и противоэпилептических средств. Реже показана хирургическая коррекция положения глазного яблока.
Общие сведения
Нистагм – широко распространенная нозология в практической офтальмологии. Согласно статистическим данным, среди слабовидящих детей врожденную форму патологии диагностируют у 20-40% пациентов. Зачастую удается установить этиологию непроизвольных колебательных движений глаза. Идиопатический тип встречается с частотой 1:3000. Наиболее распространен горизонтальный нистагм, в то время как косой и вращательный варианты встречаются крайне редко. В общей структуре поражения органа зрения горизонтальный тип занимает 18%. Географические особенности эпидемиологии отсутствуют.
Причины нистагма
Врожденный нистагм возникает на фоне неврологических расстройств. О наследственной природе заболевания свидетельствует появление клинической симптоматики на фоне врожденного амавроза Лебера или альбинизма. Основные причины развития приобретенной формы:
- Патология головного мозга. Нистагм в зрелом возрасте может выступать одним из симптомов рассеянного склероза или злокачественного новообразования. Внезапное появление симптоматики может говорить об инсульте.
- Черепно-мозговая травма. Непроизвольные колебания глаз связаны с повреждением зрительных нервов или затылочной доли коры головного мозга.
- Интоксикация. Заболевание возникает из-за токсического воздействия спиртных напитков, передозировки противосудорожных и снотворных препаратов.
- Поражение вестибулярного аппарата. Клиническим проявлениям предшествует повреждение центральных либо периферических отделов вестибулярного анализатора. Зачастую развитие приобретенной формы провоцирует поражение полукружных каналов внутреннего уха.
- Снижение остроты зрения. Нистагм может развиваться из-за выраженного снижения остроты зрения у пациентов со зрелой катарактой, травматическими повреждениями органа зрения в анамнезе или с полной слепотой (амаврозом).
Патогенез
В основе самопроизвольных движений глазных яблок лежит декомпенсация тонуса перепончатой части лабиринта внутреннего уха. В норме нервные импульсы генерируется одновременно с двух сторон и передаются с одинаковой скоростью, что позволяет глазам находиться в состоянии покоя или осуществлять содружественные движения. Повышение тонуса в лабиринте с определенной стороны ведет к развитию нистагма.
При поражении периферического и центрального отдела вестибулярного анализатора отмечается возникновение или изменение выраженности клинических проявлений при смене положения. Это связано с вторичным вовлечением в патологический процесс полукружных канальцев. Молекулярный механизм развития врожденного идиопатического нистагма до конца не изучен. Ученые полагают, что в его основе лежит мутация гена FRMD7, которая наследуется по Х-сцепленному типу. Однако в клинической практике также наблюдались случаи аутосомно-доминантного и аутосомно-рецессивного наследования.
Классификация
В зависимости от времени появления первых симптомов выделяют врожденный и приобретенный нистагм. К врожденной форме относится латентный и манифестно-латентный типы. Приобретенный вариант по этиологии классифицируют на нейрогенный и вестибулярный. С клинической точки зрения выделяют:
- Маятникообразный (ундулирующий). Характеризуется одинаковыми по величине и скорости фазами колебаний глазных яблок.
- Толчкообразный. Отличается ритмичными движениями глаз, при котором в одну сторону глазное яблоко направляются медленно, в другую – быстро. Если в быстрой фазе глаза направляются влево, то речь идет о левосторонней форме, движения вправо свидетельствуют о правостороннем варианте.
- Смешанный. Этот вариант заболевания сочетает в себе толчкообразную и ундулирующую формы.
- Ассоциированный. Глазные яблоки движутся содружественно с одинаковой амплитудой по маятникообразному или толчкообразному типу.
- Диссоциированный. Характер движений одного глаза не совпадает по направлению и амплитуде с другим глазным яблоком.
Симптомы нистагма
В большинстве случаев первые проявления заболевания возникают в раннем детском возрасте или с момента рождения. Симптомы приобретенной формы развиваются непосредственно после действия этиологического фактора. Пациенты предъявляют жалобы на повторяющиеся колебательные движения глаз. Направление колебаний может быть горизонтальным, вертикальным, реже – косым или циркулярным. Больному не удается сфокусироваться на рассматриваемом предмете. Нарушается способность адаптации к изменению внешних условий. Снижение зрительных функций вызвано не патологией клинической рефракции, а пониженным резервом аккомодации.
Пациент не может полностью остановить проявления нистагма, но величина колебаний несколько уменьшается при изменении направления взгляда, положения головы или максимальной фокусировке внимания на определенном объекте. Чтобы снизить выраженность клинической симптоматики, больной принимает вынужденное положение с наименьшей частотой движений. Распространены повороты головы в сторону или тортиколлис (наклон). Выбор положения определяется зоной относительного покоя, в которой снижается амплитуда движений и улучшается аккомодационная способность.
Симптомы наиболее заметны в стрессовых условиях, при волнении или усталости. На длительность проявлений влияет характер движений. При маятниковом типе продолжительность нистагма дольше, чем при толчкообразном варианте заболевания. Свойства колебательных движений могут меняться. Смену проявлений провоцирует появление объекта в поле зрения, изменение его размера или яркости. Определенную роль отводят фактору зрительного сосредоточения и даже настроению. Форму заболевания устанавливают по движениям глаз, которые доминируют в клинической картине.
Осложнения
Распространенное осложнение нистагма – вторичный альтернирующий сходящийся страбизм, который зачастую развивается у пациентов с диссоциированной формой. Характеристики косоглазия определяются течением основного заболевания. Патология сопровождается обратимой зрительной дисфункцией – амблиопией и смешанным астигматизмом. Приобретенный вариант осложняется рядом вестибулярных расстройств (головокружение, нарушение координации, головная боль). Из-за необходимости часто держать голову в вынужденном положении возможно развитие компенсаторной кривошеи. Лица с вестибулярным нистагмом в анамнезе склонны к рецидивирующему лабиринтиту.
Диагностика
Для постановки диагноза достаточно объективного обследования пациента. При наружном осмотре удается визуализировать непроизвольные движения глаз. Для определения направления нистагма больного просят сфокусировать взгляд на ручке или специальной указке. Офтальмолог проводит инструментом вверх, вниз, вправо и влево. По направлению быстрого компонента устанавливают форму поражения. Для изучения этиологии заболевания и выбора дальнейшей тактики ведения применяется:
- Микропериметрия. Методика позволяет определить точку фиксации на внутренней оболочке глазного яблока, регистрировать параметры оптического нистагма и изучить чувствительность сетчатки. Способ дает возможность проводить мониторинг состояния больных для оценки эффективности лечебных мероприятий.
- Электронистагмография (ЭНГ). Исследование базируется на регистрации биопотенциалов, которые возникают между роговой и сетчатой оболочкой. У лиц с непроизвольными движениями глаз электрическая ось смещается, что сопровождается увеличением разницы корнеоретинального биопотенциала до 100-300 мкВ.
- Визометрия. У пациентов наблюдается понижение остроты зрения, обусловленное функциональными расстройствами зрительного анализатора.
- Рефрактометрия. Диагностика проводится с целью установления типа клинической рефракции. У больных нистагмом часто возникает нарушение способности к аккомодации, миопия. Редко диагностируют гиперметропию.
- КТ головного мозга. Компьютерная томография применяется для выявления патологических новообразований или признаков дислокации структур головного мозга, что может лежать в основе возникновения патологии.
Лечение нистагма
Лечебная тактика зависит от выраженности симптоматики и формы нистагма. Этиотропная терапия определяется основным заболеванием. Для устранения нистагма применяется:
- Консервативная терапия. Используется, если клинические проявления развиваются на фоне центральной вестибулопатии. Рекомендовано применение нейротропных препаратов из группы противосудорожных, противоэпилептических лекарственных средств.
- Оперативное вмешательство. Цель хирургического лечения – формирование позиции относительного покоя глаз путем восстановления физиологического положения. Для этого осуществляется изменение структурных особенностей глазодвигательных мышц.
Симптоматическое лечение основывается на очковой или контактной коррекции остроты зрения. Рекомендовано применение контактных линз, поскольку при движении глаза центр линзы смещается вместе с ним, зрительная дисфункция не развивается. В отдельных случаях проводят инъекции ботокса в орбитальную полость для ограничения мелкоразмашистых движений глаз.
Прогноз и профилактика
Прогноз для жизни и в отношении зрительных функций при нистагме благоприятный. Корректная терапия основного заболевания позволяет полностью устранить клинические проявления патологии. Специфическая профилактика не разработана. Неспецифические превентивные меры сводятся к своевременной диагностике и лечению поражений головного мозга, вестибулярного аппарата и органа зрения. При выявлении непроизвольных движений глазными яблоками у больных, принимающих противосудорожные или снотворные препараты, необходимо корректировать дозировку лекарственных средств.
Рассеянный склероз - симптомы и лечение
Что такое рассеянный склероз? Причины возникновения, диагностику и методы лечения разберем в статье доктора Новикова Юрия Олеговича, мануального терапевта со стажем в 41 год.
Над статьей доктора Новикова Юрия Олеговича работали литературный редактор Маргарита Тихонова , научный редактор Сергей Федосов
Определение болезни. Причины заболевания
Рассеянный склероз (РС) является одним из частых хронических аутоиммунных заболеваний центральной нервной системы (ЦНС).

Распространенность РС высока и делится на зоны с высокой, умеренной и низкой встречаемости заболевания. Высокая распространённость отмечена в Северной Америке и Северо-Западной Европе.
В мире выявлено около 2 млн больных РС. В нашей стране в различных областях количество заболвших РС колеблется от 2 до 70 больных на 100 000 человек, причём значительно реже болезнь встречается в Средней Азии и Закавказье. В крупных промышленных районах и городах заболеваемость выше, чем в сельской местности, у лиц мужского и женского пола она одинакова.
- начало болезни в молодом возрасте, обычно между 20 и 35 годами (в отдельных случаях заболевают люди и более молодого, и более старшего возраста);
- многосимтомность;
- полиморфизм (многообразность) проявлений;
- прогрессирующее течение с весьма типичной наклонностью к ремиссиям и новым обострениям. [1][2]
Причина возникновения РС точно не установлена. Высказывалось мнение об инфекционной природе этого заболевания. Такое предположение основывается на случае острого развития заболевания с повышением температуры и свойственными инфекционным заболеваниям изменениям ликвора и крови, а также патоморфологических данных.
В настоящее время известно, что возбудителем РС может являться нейтропный фильтрующийся вирус, идентичный вирусу рассеянного энцефаломиелита. Исследователи из Гарвардской медицинской школы обнаружили, что риск рассеянного склероза увеличивается в 32 раза после заражения вирусом Эпштейна – Барр . Также учёные установили, что вероятность развития РАС не повышалась при инфицировании цитомегаловирусом и вирусом герпеса [17] .

В основе демиелинизации (избирательного поражения головного мозга) лежит аутоиммунный процесс. Пути передачи инфекции не выяснены. Заражения непосредственно от больного не происходит. Возможность контактного пути распространения болезни следует считать маловероятным. [3] [4]
При обнаружении схожих симптомов проконсультируйтесь у врача. Не занимайтесь самолечением - это опасно для вашего здоровья!
Симптомы рассеянного склероза
При всём многообразии и изменчивости расстройств, свойственных РС, можно выделить основную, наиболее частую, типичную его форму—цереброспинальную.
Обычно заболевание цереброспинальной формой РС начинается в молодом возрасте. Эта форма характеризуется:
- сочетанием пирамидных и мозжечковых расстройств;
- нередким поражением зрительных нервов;
- иногда преходящей диплопией (раздвоение видимых объектов);
- ремиттирующим течением (повторные ремиссии).
Развитие пирамидных и мозжечковых расстройств обусловлено частым образованием очагов воспаления в боковых столбах спинного мозга, мозговом стволе и ножках мозжечка.

Наиболее ранними симптомами являются:
- утрата брюшных рефлексов;
- утомляемость и слабость ног;
- лёгкое интенционное дрожание в руках;
- нистагм (неконтролируемое ритмичное движение глаз).
Офтальмологические проявления
Нередко начальным изолированным расстройством является поражение зрения, развивающееся по типу так называемого ретробульбарного неврита (острое воспаление зрительного нерва). При этом возникает слепота или скотома (слепой участок в поле зрения) того или иного глаза.

Поскольку процесс локализуется не в соске зрительного нерва, а в его стволе (ретробульбарно), то на глазном дне в течение иногда довольно длительного срока изменений не обнаруживается.
При значительном поражении поперечника зрительного нерва утрачивается прямая реакция зрачка слепого глаза на свет при сохранённой реакции сужения его в случае освещения другого глаза (содружественная реакция зрачка).
Для ретробульбарного неврита при РС характерно выпадение центральных полей зрения (центральная скотома), так как бляшки развиваются обычно внутри ствола зрительного нерва. В отличие от этого при ретробульбарном неврите сифилитической этиологии или при воспалении придаточных полостей носа чаще наблюдается концентрическое сужение полей зрения, так как воспалительный процесс развивается с наружной поверхности зрительного нерва — с его оболочек.

Через известный срок при РС обнаруживаются изменения глазного дна — побледнение соска зрительного нерва (атрофия). Типичным для РС является преимущественное побледнение височных половин сосков зрительных нервов. Утрата зрения может быть полной или частичной, одно- или двусторонней. Через некоторое время обычно наступает улучшение, но процесс может и нарастать. Двусторонняя слепота отмечается редко.
Мозжечковые и пирамидные расстройства
Наиболее ранними мозжечковыми расстройствами является:
- интенционное дрожание в руках, обнаруживаемое при пальце-носовой пробе;
- расстройство почерка;
- нистагм глазных яблок при отведении в стороны.
Резко выраженный нистагм (иногда не только горизонтальный, но и вертикальный или ротаторный), зависящий от пораженпя мозжечка, расстройства речи (скандированная речь) и дрожание головы или туловища являются уже признаком далеко зашедшего процесса.

Развиваются и другие мозжечковые симптомы — адиадохокинез (невозможность быстрой смены противоположных движений — сгибания или вращения), шаткая походка и др.
Иногда, наряду с выраженными симптомами пирамидного поражения, отмечаются и симптомы поражения периферического двигательного неврона: утрата сухожильных рефлексов конечностей, атрофии мышц.

Нарушения чувствительности не столь выражены, как двигательные расстройства. Своеобразной парестезией (ощущение жжения, мурашек, покалывания) при РС является возникающее при резком сгибании головы к груди ощущение электрического тока, как бы пробегающего по позвоночнику вниз, с иррадиацией в ноги, иногда в руки. В некоторых случаях наблюдаются нарушения суставно-мышечного и вибрационного чувства в нижних конечностях. Значительно реже расстраивается поверхностная чувствительность.
Из черепномозговых нервов, кроме зрительных, чаще поражаются отводящий и глазодвигательный нервы. Паралич глазных мышц обычно имеет преходящий характер и выражается лишь диплопией, которая может быть начальным симптомом заболевания.

Нередки поражения тройничного, лицевого и подъязычного нервов. Развитие склеротических бляшек в надъядерных отделах кортико-нуклеарного пути может стать причиной возникновения псевдобульбарного синдрома, а в мозговом стволе — развития бульбарных симптомов (симптомы поражения черепных нервов).
Нарушения функций тазовых органов являются нередкими симптомами РС. Встречаются следующие нарушения:
- императивные (внезапные и неподавляемые) позывы, учащения, задержки мочи и стула;
- недержание, неполное опорожнение мочевого пузыря, приводящее к уросепсису — характерны для боле поздних стадий.
Нередки нарушения функции половой системы. Эти проблемы могут одновременно являться функциональными нарушениями тазовых органов, а также могут быть самостоятельными симптомами.
Психические нарушения редки. Деменция и выраженные формы психического расстройства свойственны лишь поздним периодам заболевания и обусловлены множественными и распространенными очагами в коре и подкорковых образованиях больших полушарий.
Патогенез рассеянного склероза
Для того, чтобы понять механизм развития РС, необходимо ознакомиться с патологической анатомией данного заболевания.
При микроскопическом исследовании обнаруживаются заметные и достаточно характерные изменения, выявляемые с наибольшим постоянством в спинном мозгу, мозговом стволе и полушариях головного мозга. Видны множественные бляшки различной величины (от точечных до весьма массивных, которые, к примеру, занимают весь поперечник спинного мозга), рассеянные преимущественно в белом веществе. Такая множественность и разбросанность очаговых изменений и определяет название болезни.

Отдельные бляшки имеют округлую форму, они нередко сливаются и создают изменения сложных очертаний. Цвет бляшек на разрезе розовато-серый (недавно образовавшиеся очаги) или серый, желтоватый (старые очаги).

При разрезе бляшки определяется их большая плотность по сравлению с нормальной мозговой тканью. Эти уплотнения, склерозирование бляшек дало возможность охарактеризовать заболевание как склероз.
При микроскопии на первый план выступают изменения миелиновых волокон. В области очага, бляшки, в белом веществе наблюдаются в той или иной степени распад миелиновой оболочки, покрывающей нервные волокна центральных проводников, причём осевой цилиндр нередко остаётся неповреждённым.

В остром периоде, при наличии отёка и инфильтрации, в очаге поражения нарушается проводимость по нервным волокнам. В дальнейшем, при условии гибели осевых цилиндров, возникают необратимые, стойкие выпадения.
После периода острого воспаления оказывается, что осевые цилиндры частично сохраняют свою целостность и проводимость, иногда даже наблюдается ремиелинизация нервных волокон. В результате наблюдается не только ремиссия, но даже и вполне удовлетворительное восстановление отдельных утраченных ранее функций, что очень характерно для РС.

Образование новых воспалительных очагов определяет ухудшение и возникновение новых симптомов. [2] [5]
Классификация и стадии развития рассеянного склероза
Строгой и общепринятой классификации РС нет. Некоторые авторы предлагают подразделять РС по клиническому течению, другие по локализации процесса. [9]
По характеру течения выделяют:
- ремитирующую форму — характеризуется редкими обострениями, чередующимися с ремиссиями, иногда длящимися годами, причём поражённые участки мозга восстанавливаются как частично, так и полностью;
- первично прогрессирующую — незаметное начало и медленное, но необратимое нарастание симптоматики;
- вторично-прогрессирующую — сначала напоминает ремитирующую, но на поздних стадиях характерен переход в прогрессирующую форму;
- прогрессирующе-ремитирующую — редкая форма, когда заболевание, начинаясь с ремитирующего течения, переходит в первично-прогрессирующее.

По локализации поражения мозга:
- церебральная — страдает пирамидная система;
- стволовая — наиболее тяжёлая форма РС, быстро приводящая больного к инвалидности;
- мозжечковая — церебеллярные нарушения, часто сочетается с поражением ствола мозга;
- оптическая — страдает зрительная система;
- спинальная — поражается спинной мозг, возникают тазовые расстройства и спастический нижний парапарез;
- цереброспинальная форма — наиболее распространённая, характеризуется большим количеством склеротических бляшек в головном и спинном мозге, клинически выявляются мозжечковые и церебральные нарушения, патология зрительной, вестибулярной и глазодвигательной систем.
По стадиям РС делят на:
- острую стадию, которая длиться первые две недели обострения;
- подострую, длящуюся два месяца от начала обострения и является переходной стадией к хроническому прогрессированию заболевания;
- стадию стабилизации, при которой в течение трёх месяцев не наблюдается обострений.
Осложнения рассеянного склероза
Серьёзными осложнениями, особенно при спинальных формах, являются пролежни и глубокие нарушения тазовых органов.

Неблагоприятно могут протекать также острые и подострые случаи с поражением жизненно важных отделов мозгового ствола.
Неврологический статус пациента напрямую зависит от его иммунитета. Зачастую появляется повышенная утомляемость, развивается мышечная слабость, головокружение. В стадии прогрессирования отмечается атаксия (нарушение координации и произвольных движений), значительное уменьшение физических и особенно двигательных возможностей конечностей с развитием спастики (двигательные нарушения в связи с повышенным тонусом мышц).
Весьма часто резко снижается острота зрения, теряется чёткость изображения, уменьшаются поля зрения, происходит искажение цветов, диплопия, развивается амблиопия и стабизм (косоглазие).
У пациентов зачастую возникает раздражительность, неустойчивость настроения, в некоторых случаях эйфория, неадекватное отношение к своему состоянию.
При РС нередки когнитивные нарушения — снижение памяти, концентрации внимания, нарушение пространственной ориентации.
Также при РС появляются тазовые нарушения — задержка мочеиспускания и длительные запоры, впоследствии больной теряет возможность контролировать процессы опорожнения кишечника и мочевого пузыря. В результате неполного опорожнения мочевого пузыря возникают урологические заболевания, вплоть до уросепсиса.
Вышеперечисленные осложнения требуют особого внимания, так как именно они могут стать причиной смертельного исхода для больного. [15] [16]
Диагностика рассеянного склероза
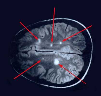
При вероятном РС, наряду с полным неврологическим осмотром, необходимо проводить исследование головного и спинного мозга при помощи МРТ. Этот способ исследования является наиболее информативным дополнительным методом диагностики. С его помощью можно обнаружить участки изменённой плотности в белом веществе головного мозга (очаги демиелинизации и глиоз). [10]

Исследование зрительных вызванных потенциалов, применяемое для определения степени сохранности некоторых проводящих путей, может также являться одним ранних диагностических критериев.
При изучении ликвора информативным считается метод изоэлектрического фокусирования спинномозговой жидкости, позволяющий выделить олигоклональные группы IgG.
Для диагностики РС широко используются критерии, предложенные Международной экспертной группой. [11]
Синоаурикулярная блокада
Синоаурикулярная блокада – форма нарушения внутрисердечной проводимости, характеризующаяся замедлением или полным прекращением передачи импульса от синусового узла к предсердиям. Синоаурикулярная блокада проявляется ощущениями перебоев и замирания сердца, кратковременными головокружениями, общей слабостью, развитием синдрома Морганьи-Адамса-Стокса. Решающими методами диагностики синоаурикулярной блокады служат электрокардиография, суточное мониторирование ЭКГ, атропиновая проба. Лечение синоаурикулярной блокады предполагает устранение причин нарушения проводимости, назначение атропина и адреномиметиков; при тяжелых формах блокады показана временная или постоянная электростимуляция предсердий.
Синоаурикулярная (синоатриальная) блокада – разновидность синдрома слабости синусового узла, при которой блокируется проведение электрического импульса между синоатриальным узлом и предсердиями. При синоаурикулярной блокаде имеет место временная асистолия предсердий и выпадение одного или нескольких желудочковых комплексов. Синоаурикулярная блокада в кардиологии встречается сравнительно редко. По статистике, данное нарушение проводимости у мужчин развивается чаще (65%), чем у женщин (35%). Синоаурикулярная блокада может выявляться в любом возрасте.
Причины синоаурикулярной блокады
Развитие синоаурикулярной блокады может быть обусловлено поражением самого синусового узла, органическим повреждением миокарда, повышенным тонусом блуждающего нерва. Синоаурикулярная блокада встречается у пациентов с пороками сердца, миокардитами, ИБС (атеросклеротическим кардиосклерозом, острым инфарктом миокарда, чаще заднедиафрагмальным), кардиомиопатиями. Синоаурикулярная блокада может развиваться вследствие интоксикации сердечными гликозидами, препаратами калия, хинидином, адреноблокаторами, отравления фосфорорганическими соединениями.
Иногда нарушение синоатриальной проводимости возникает после проведения дефибрилляции. У практически здоровых лиц синоаурикулярная блокада встречается при рефлекторном повышении тонуса блуждающего нерва, иннервирующего атриовентрикулярный узел и предсердия. Механизм развития синоаурикулярной блокады может быть непосредственно связан с отсутствием зарождения импульса в синусовом узле; слабостью импульса, не способного вызвать деполяризяцию предсердий; блокировкой передачи импульса на участке между синусным узлом и правым предсердием.
Классификация синоаурикулярной блокады
Различают синоаурикулярную блокаду I, II и III степени. Синоаурикулярная блокада I степени на обычной электрокардиограмме не выявляется. В этом случае все импульсы, генерируемые синусовым узлом, достигают предсердий, однако зарождаются они реже, чем в норме. На синоаурикулярную блокаду I степени косвенным образом может указывать стойкая синусовая брадикардия.
При синоаурикулярной блокаде II степени часть импульсов не достигает предсердий и желудочков, что сопровождается появлением на ЭКГ периодов Самойлова–Венкебаха – выпадением зубца P и ассоциированного с ним комплекса QRST. В случае выпадения одного сердечного цикла, увеличенный интервал R-R равен двум основным интервалам R-R; при выпадении большего количества сердечных циклов пауза может равняться 3 R-R, 4 R-R. Иногда блокируется проведение каждого второго импульса, следующего после одного нормального сокращения (синоаурикулярная блокада 2:1) – в этом случае говорят об аллоритмии.
В отличие от атриовентрикулярной блокады II ст., при которой выпадает только QRS-комплекс, при синоаурикулярной блокаде имеет место выпадение предсердного и желудочкового комплексов. При синоаурикулярной блокаде III степени отмечается полная блокада передачи импульсов из синусного узла, что может вызвать асистолию и смерть пациента. В некоторых случаях роль водителя ритма берет на себя атриовентрикулярный узел, проводящая система предсердий или желудочков.
Симптомы синоаурикулярной блокады
Клинические проявления синоаурикулярной блокады I степени отсутствуют. Аускультативно можно определить отсутствие очередного сокращения сердца через 2-3 нормальных цикла. Симптоматика синоаурикулярной блокады II степени зависит от частоты выпадения синусового импульса. При редких выпадениях сердечных сокращений отмечаются ощущения дискомфорта за грудиной, головокружение, одышка, общая слабость.
Отсутствие подряд нескольких циклов сердечных сокращений, а также синоаурикулярная блокада III степени, сопровождается чувством замирания сердца, шумом в ушах, резкой брадикардией. В случае синоаурикулярной блокады, обусловленной органическим поражением миокарда, развивается застойная сердечная недостаточность. На фоне приступов асистолии у больных с синоаурикулярной блокадой развивается синдром Морганьи-Эдемса-Стокса, характеризующийся внезапным головокружением, бледностью кожи, мельканием «мушек» перед глазами, звоном в ушах, потерей сознания, судорогами.
Диагностика синоаурикулярной блокады
Основная роль в диагностике синоаурикулярной блокады принадлежит электрокардиографии и суточному мониторированию ЭКГ. При анализе электрокардиографических данных необходимо дифференцировать синоаурикулярную блокаду от синусовой аритмии, синусовой брадикардии, предсердной экстрасистолии, атриовентрикулярной блокады II степени.
При регистрации устойчивой синусовой брадикардии проводится проба с введением атропина: у пациентов с синоаурикулярной блокадой после введения препарата сердечный ритм удваивается, а затем резко уменьшается в 2 раза - наступает блокада. Если синусовый узел функционирует нормально, отмечается постепенное учащение ритма.
Лечение синоаурикулярной блокады
При синоаурикулярной блокаде I степени специальная терапия не проводится. Иногда восстановлению проводимости способствует лечение основного заболевания или отмена препаратов, способствующих нарушению. При функциональной синоаурикулярной блокаде, обусловленной ваготонией, хорошие результаты дает применение атропина внутрь или подкожно. Стимуляции автоматизма синусового узла способствует назначение симпатомиметиков (эфедрина, адреналина гидрохлорида, изопреналина). Для улучшения метаболизма миокарда показаны кокарбоксилаза, инозин, АТФ.
При синоаурикулярной блокаде противопоказан прием сердечных гликозидов, бета-адреноблокаторов, противоаритмических препаратов хинидинового ряда, солей калия, амиодарона, препаратов раувольфии. В том случае, если синоаурикулярная блокада существенно ухудшает самочувствие пациента или сопровождается приступами асистолии, прибегают к временной или постоянной электрической стимуляции предсердий (имплантации электрокардиостимулятора).
Прогноз и профилактика синоаурикулярной блокады
Развитие событий при синоаурикулярной блокаде во многом определяется течением основного заболевания, степенью нарушения проводимости, наличием других нарушений ритма. Бессимптомная синоаурикулярная блокада не вызывает резких нарушений гемодинамики; развитие синдрома Морганьи-Адамса-Стокса расценивается как прогностически неблагоприятное.
Ввиду недостаточной изученности патогенеза синоаурикулярной блокады, ее профилактика не разработана. Первоочередными задачами в этом направлении являются устранение причин нарушения проводимости и наблюдение кардиолога-аритмолога.
Читайте также:
