Синдром Сусака на МРТ
Добавил пользователь Евгений Кузнецов Обновлено: 07.01.2026
Синдром Сусака на МРТ
а) Терминология:
• Микроангиопатия головного мозга, сетчатки и улитки
б) Визуализация синдрома Сусака:
• Гиперинтенсивные на Т2-ВИ очаги поражения в структуре мозолистого тела (МТ) у пациента с триадой клинических проявления:
о Энцефалопатия, двусторонняя тугоухость и окклюзия ветвей артерии сетчатки
• Мультифокальные гиперинтенсивные на Т2-ВИ очаги, схожие с PC:
о Чаще округлые, средне-каллозальной, а не каллозосептальной локализации
• Могут поражаться ствол головного мозга, базальные ганглии, таламус, субкортикальное белое вещество, семиовальный центр
• Возможно острое ограничение диффузии очагами поражения
• Контрастное усиление очагов и лептоменинкс вариабельно
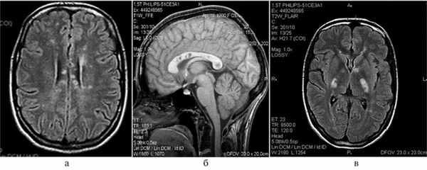
(а) MPT, FLAIR, аксиальный срез: у женщины 27 лет с синдромом Сусака, поступившей в лечебное учреждение с жалобами на головную боль и спутанность сознания, в структуре мозолистого тела определяются множественные гиперинтенсивные очаги. Классическая триада клинических проявлений включает энцефалопатию, двустороннюю тугоухость и окклюзию ветвей артерии сетчатки.
(б) МРТ, постконтрастное изображение в режиме FLAIR, сагиттальный срез: у этой же пациентки определяется классическая локализация поражения - гиперинтенсивные очаги в стволе мозолистого тела. Обратите внимание на контрастирование лептоменингиальнкс, которое может наблюдаться у 50% пациентов. (а) MPT, DWI модульное изображение, аксиальный срез: множественные гиперинтенсивные очаги, многие из которых характеризуются низкими значениями ИКД, что отражает истинное ограничение диффузии в данных участках. Острые очаги повреждения могут имитировать таковые при васкулите.
(б) Офтальмоскопия: множественные окклюзии и участки неравномерности просвета ветвей артерии сетчатки, что является классическим проявлением при синдроме Сусака. При лучевых исследованиях синдром Сусака часто принимается за рассеянный склероз. Этиология данного состояния до конца не выяснена, однако в основе развивающихся повреждений, наиболее вероятно, лежит аутоиммунная микроангиопатия, а не демиелинизирующее заболевание.
в) Дифференциальный диагноз:
• Рассеянный склероз
• ОДЕМ
• Системная красная волчанка
• Васкулит
г) Патология:
• Микроинфаркты коры головного мозга, которые, как правило, не обнаруживаются методами визуализации
• При морфологическом исследовании демиелинизация не наблюдается
д) Клиническая картина синдрома Сусака:
• 20-40 лет
• Обычно наблюдается саморазрешение (2-4 года), но возможно развитие постоянной глухоты или слепоты
е) Диагностическая памятка:
• У большинства пациентов вся триада клинических проявлений не наблюдается (до 97% на момент поступления в лечебное учреждение)
• Полная триада проявлений наблюдается через 2 недели или после 2-х лет
• Рассматривайте возможность наличия синдрома Сусака у пациентов с очагами поражения мозолистого тела и наличием триады клинических проявлений
Сусака синдром
Синдром Сусака, также известный как SICRET синдром (от англ. small infarctions of cochlear, retinal and encephalic tissue), это редкий синдром поражающий женщин молодого и среднего возраста, и клинически характеризующийся триадой включающей острую или подострую энцефалопатию, билатеральную нейросенсорную тугоухость и окклюзию ветвей артерии сетчатки.
Диагностические критерии
Диагностические критении были предложены в 2016 году
- поражение головного мозга
- i симптомы и находки
- когнитивные нарушения
- изменения поведения
- локальная неврологическая симптоматика
- головные боли (в течении 6 мес до постановки диагноза; мигенозный тип)
- ii данные визуализации
- округлые гиперинтенсивные очаги на Т2ВИ
- как минимум один фокус поражения в мозолистом теле
- четкоотграниченное усиление серого вещества на Т1 ВИ после введения препаратов гадолиния
- i симптомы и находки
- поражение сетчатки
- i не требуется наличия клинических данных или симптоматики
- ii данные офтальмологического исследования
- окклюзия ветвей артерии сетчатки
- гиперфлюорисценчия артериальных стенок
- секторально повреждение при оптической когерентной томографии
- поражение преддверно-улиткого аппарата
- i симптомы и данные обследования
- звон в ушах
- потеря слуза
- периферическое вертиго (головокружение)
- ii исследование функции внутреннего уха
- потеря слуха на аудиограмме
- вертиго (головокружение) при калорическом тесте и в ответ на миогенную стимуляцию улитки
- i симптомы и данные обследования
Для постановки достоверного диагноза синдрома Сусака требуется наличие всех трех критерие и их подкритериве, иными словами 1-i, 1-ii, 2-ii, 3-i и 3-ii.
Диагноз вероятного синдрома Сусака может быть заподозрен при наличии 2х из 3х критериев.
Диагностика синдрома Сусака
Магнитно резонансная томография
Характерные данные визуализации присутствуют даже если не все проявления клинической триады проявили себя. Как правило имеются множественные небольшие изменения в белом веществе с предрасположенностью локализации в мозолистом теле.
Очаги в мозолистом теле считаются почти патогномоничными и имеют много важных особенностей:
- как правило поражаются центральные волокна мозолистого тела и валика с относительным щажением периферических отделов и без выхода на нижнюю поверхность
- очаги имеют малые размеры (3-7 мм) и сгруппированы
- по типу "снежков" в виде округлых гиперинтенсиный на Т2 и FLAIR в острой стадии
- по типу "черных дыр" на Т1 в хронической стадии
Кроме мозолистого тела очаги могут локализоваться в перивентрикулярном белом веществе, семиовальных центрах, мозжечке, стволе моза и средих ножках мозжечка. Поражения по типу "нитки бус" за счет микроинфарктов во внутренней капсуле также были описаны при синдроме Сусака.
Сигнальные характеристики очагов:
- T1: очаги как правило имеют низкую интенсивность МР сигнала в хронической стадии (см признак черной дыры)
- T1 C+ (Gd): очаги усиливаются в острой фазе
- T2/FLAIR: очаги имеют высокую интенсивность МР сигнала
- DWI/ADC: норма, хотя может присутствовать Т2-просвечивание
Дифференциальный диагноз
На основании только данных МРТ дифференциально диагностический ряд включает слеюущие сущности:
Синдром Сусака на МРТ
ГБУЗ НСО «Новосибирская областная клиническая больница», Новосибирск, Россия
Новосибирский окружной центр рассеянного склероза
Областной центр рассеянного склероза, Государственная новосибирская областная клиническая больница
Синдром Сусака, обзор и описание клинического случая
Журнал: Журнал неврологии и психиатрии им. С.С. Корсакова. Спецвыпуски. 2019;119(2‑2): 52‑57
ГБУЗ НСО «Новосибирская областная клиническая больница», Новосибирск, Россия
Синдром Сусака (СС) — крайне редкое неврологическое расстройство, характеризующееся симптомами клинической триады: энцефалопатия, ретинопатия и снижение слуха. Эти нарушения возникают из-за микроангиопатии сосудов, кровоснабжающих головной мозг, сетчатку и улитку. СС чаще наблюдается у молодых женщин. В статье представлен обзор литературы, посвященной вопросам диагностики и лечения СС, и клиническое наблюдение пациенток с классическими признаками триады заболевания.
ГБУЗ НСО «Новосибирская областная клиническая больница», Новосибирск, Россия
Новосибирский окружной центр рассеянного склероза
Областной центр рассеянного склероза, Государственная новосибирская областная клиническая больница
Синдром Сусака (СС) — крайне редкое неврологическое расстройство неуточненной этиологии, поражающее артериолы улитки, сетчатки и головного мозга, которым болеют преимущественно молодые женщины. Васкулит (микроангиопатия), вероятно, имеет аутоиммунную природу [1], что подтверждается воспалительными изменениями мозга, сетчатки, улитки, наличием неспецифических антител (АТ) к эндотелиальным клеткам у 1/3 больных [2], ответом на иммуномодулирующую терапию. Заболевание характеризуется триадой симптомов, включающей в себя окклюзию ветвей артерий сетчатки, энцефалопатию и глухоту. Однако на ранних стадиях могут присутствовать не все признаки триады, что значительно осложняет диагностику.
Клиническая картина
R. Rennebohm и соавт. [1] предложили выделить три основных варианта течения болезни: монофазное, мультифазное и хроническое прогрессирующее.
Монофазное течение с активным периодом до 2 лет — наиболее частый вариант СС. В большинстве случаев процесс самопроизвольно купируется в течение 1—2 лет и больше не возобновляется. Выраженность симптомов на протяжении болезни может широко варьировать, у пациентов могут развиваться множественные эпизоды энцефалопатии, окклюзии сосудов сетчатки или снижения слуха.
При мультифазном течении обострения могут наступать через 10 лет и более от дебюта СС. В небольшом числе случаев у пациентов отмечаются обострения заболевания в период более 2 лет с ремиссиями между обострениями. У части пациентов заболевание остается постоянно активным (с колебаниями симптомов) на протяжении 2 лет и более.
Тот факт, что только у 13% пациентов с СС в дебюте заболевания наблюдалась характерная клиническая триада [3], имеет большое значение, поскольку опровергает теорию о том, что начало заболевания всегда включает в себя появление нарушений ЦНС, вовлечение внутреннего уха и окклюзии сосудов сетчатки. Предположение о том, что наличие полной триады необходимо для окончательного диагноза СС, вероятно, является основной причиной ошибочной диагностики.
Головная боль — наиболее распространенный (80% случаев) начальный симптом СС — может появиться за несколько месяцев до развития других симптомов. Энцефалопатия в большинстве (75%) случаев проявляется психическими нарушениями [7]. Наиболее частыми являются изменения поведения, паранойя, когнитивные нарушения, снижение памяти, рассеянность и быстрое развитие деменции. Эти симптомы сопровождаются различной очаговой неврологической патологией, которая, как правило, помогает отличить энцефалопатию от истинного психического заболевания.
Характерными для пациентов с СС являются окклюзии ветвей артерии сетчатки (Branch retinal artery occlusion — BRAO), проявляющиеся в виде внезапной потери зрения, затуманенного зрения, ограничения полей зрения. Пациенты с BRAO могут отмечать фотопсии, скотомы, иногда — мерцающие скотомы. Если BRAO отсутствуют в дебюте заболевания, больному должны проводиться частые осмотры сетчатки глаза. BRAO могут возникнуть в любое время: до, во время или после развития энцефалопатии.
Потеря слуха может быть одно- или двусторонней и, как правило, асимметричной, с нарушением преимущественно в низко- и среднечастотных диапазонах, что влияет на ухудшение распознавания речи [8]. Патологические изменения, локализованные в перепончатом лабиринте, характеризуются выраженным головокружением, размашистым нистагмом.
Описан ряд случаев, когда кроме классической триады СС, у больных развивались поражения мышц, суставов, возникали кожные проявления. Ливедо следует рассматривать в качестве потенциального первого возможного признака болезни [9]. Однако ливедо из-за бессимптомного проявления может быть не диагностировано у пациентов с энцефалопатией при СС.
Диагностика
Учитывая отсутствие надежных биомаркеров, диагноз СС устанавливается главным образом на основании клинических симптомов, радиологических критериев и характерных особенностей при флюоресцентной ангиографии сетчатки глаза (ФАСГ). Триада энцефалопатии, нейросенсорной тугоухости и BRAO считается патогномоничной для СС.
Характерными МРТ-признаками является поражение центральных участков мозолистого тела и зоны инфарктов в головном мозге. Также могут вовлекаться мозжечок, его ножки, ствол мозга и таламус. Глубокое серое вещество бывает изменено в 70% случаев, мягкая и паутинная оболочки мозга — в 33% [10]. При энцефалопатии при СС всегда поражается мозолистое тело и по данным МРТ выявляются характерные, от небольших до довольно крупных, круглые очаги (похожие на снежки) на сагиттальной T2-FLAIR-проекции и линейные дефекты (так называемые «спицы», «сосульки») в центральных отделах мозолистого тела. Когда острые очаги регрессируют, на их месте происходит кистозная трансформация, образуются «дыры» в центральной части мозолистого тела, хорошо различимые гипоинтенсивные очаги на сагиттальных Т1-взвешенных изображениях. В мягкой и паутинной оболочках головного мозга может выявляться накопление контрастного вещества, хорошо различимое на аксиальных T1-изображениях. Эти характеристики считаются типичными для СС и не встречаются при рассеянном склерозе (РС) или остром рассеянном энцефаломиелите.
В отличие от демиелинизирующих заболеваний, при СС поражаются, как правило, центральные отделы мозолистого тела, а также глубинное серое вещество, что практически никогда не встречается при Р.С. Очаги часто могут быть выявлены на диффузионно-взвешенном изображении (DWI) при МРТ в виде гиперинтенсивных участков (так называемые «нити жемчуга») во внутренней капсуле и множественных поражений в колене и валике мозолистого тела. «Нити жемчуга» можно увидеть на DWI МРТ до того, как они начнут хорошо визуализироваться на аксиальных снимках в режиме FLAIR. Сочетание типичных поражений центральной части мозолистого тела и «нитей жемчуга» во внутренней капсуле патогномоничны для С.С. Черепные нервы не поражаются при СС, также для заболевания не характерно поражение спинного мозга [10]. Был описан [11] только один случай поражения спинного мозга при СС.
Тот факт, что BRAO были обнаружены у 99% пациентов с СС, подчеркивает роль ФАСГ при подозрении на С.С. При выполнении ФАСГ наиболее характерными признаками СС являются окклюзии ветвей артерии сетчатки, гиперфлюоресценция стенок артериол, наличие «затекания» флуоресцеина, отсутствие воспалительных изменений, связанных с окклюзией артериол сетчатки, и нормальная циркуляция хориоидеи [12].
Аудиометрия помогает выявить сенсоневральную тугоухость. У пациента с энцефалопатией довольно сложно адекватно оценить данные аудиометрии, в таком случае необходимо провести исследование акустических стволовых вызванных потенциалов, которые позволяют выявить потерю пика I (ответ слухового нерва).
Лечение
![]()
В январе 2018 г. R. Rennebohm и соавт. [13], основываясь на накопленном клиническом опыте лечения относительно крупной когорты пациентов, опубликовали рекомендации по лечению СС в зависимости от степени тяжести вовлечения ЦНС (см. таблицу). Рекомендации по лечению СС в зависимости от тяжести вовлечения ЦНС Примечание. ГКС — глюкокортикостероиды; ВВМП — внутривенный метилпреднизолон; ПРЕД — преднизолон; ВВИГ — внутривенный иммуноглобулин; ЦФ — циклофосфан; ММФ — микофенолата мофетил; ТАК — такролимус; РТМ — ритуксимаб.
Собственное наблюдение
За последние 5 лет в Новосибирском центре рассеянного склероза и других аутоиммунных заболеваний нервной системы (НЦРС и АУЗНС) было диагностировано 4 случая СС с различными симптомами дебюта, типом течения и степенью тяжести, а также различной тактикой ведения и ответом на проводимую терапию. Приводим описание одного из них, характеризующееся рядом клинических особенностей.
Пациентка Е., русская, 23 лет. Обратилась в апреле 2014 г. с жалобами на головную боль, нарушение ориентации в пространстве, шаткость при ходьбе, частые падения, слабость в правой кисти, слабость в ногах, плохую память на текущие события (часто путает дни, события).
Из анамнеза жизни: значимых перенесенных и сопутствующих заболеваний, включая туберкулез и гепатиты, не было. Образование высшее юридическое. Наследственных заболеваний в семье не отмечено.
Из анамнеза заболевания известно, что с ноября 2013 г. пациентку беспокоила головная боль диффузного характера, появились плаксивость, снижение эмоционального фона. 23 марта 2014 г. возникли резкая головная боль, шаткость при ходьбе, головокружение, тошнота, рвота. Через сутки присоединилась выраженная общая слабость, слабость в правой ноге, руке, не смогла встать с кровати. 25 марта госпитализирована в стационар по месту жительства, установлен диагноз Р.С. Проведена терапия дексаметазоном внутривенно с положительной динамикой в виде нарастания силы в ногах, но сохранялись эмоционально-волевые нарушения. Пациентка 14 апреля 2014 г. была консультирована в НЦРС и АУЗНС, где было принято решение о госпитализации. При поступлении: со стороны внутренних органов без особенностей. В неврологическом статусе: центральный тетрапарез (больше в ногах — 3 б), мозжечковая атаксия, нарушение функций тазовых органов по центральному типу, псевдобульбарный синдром, насильственные плач и смех.
При консультировании психиатром у больной выявлено аментивное расстройство. При осмотре глазного дна: диски зрительного нерва бледно-розовые, четкие границы. Исследование общего анализа крови, мочи — без патологии.
Исследование цереброспинальной жидкости — общий анализ, биохимический анализ — норма, полимеразная цепная реакция, иммуноферментный анализ — отрицательные. Исследование крови на маркеры ревматических заболеваний, болезни соединительной ткани, гепатиты В, С, ВИЧ — без патологических изменений.
![]()
По данным МРТ головного мозга: многочисленные супра- и инфратенториальные очаги измененного МР-сигнала в центральных отделах мозолистого тела, не накапливающие контрастное вещество (рис. 1). Рис. 1. МРТ головного мозга больной Е. а — на сагиттальном срезе в режиме Т1 во всех отделах мозолистого тела наблюдаются гипоинтенсивные очаги; б — на аксиальном срезе в режиме FLAIR множественные очаги в мозолистом теле с гипоинтенсивным сигналом из центра («кистозная трансформация»); в — на аксиальном срезе выявляются гиперинтенсивные очаги в режиме FLAIR в области внутренней капсулы («жемчужное ожерелье»). При МРТ шейного отдела спинного мозга патологии не выявлено.
При госпитализации исключены нейроинфекции, системные васкулиты, рассеянный склероз. Был установлен диагноз: изолированный церебральный васкулит. Проведено 3 курса внутривенной терапии — циклофосфан 1200 мг с интервалами 1 мес. Состояние больной после первого курса начало улучшаться. В течение 1 года состояние оставалось стабильным. В марте 2015 г. пациентка стала отмечать выраженную головную боль, нарастание шаткости при ходьбе, слабость в ногах, больше в правой. По данным контрольной МРТ: появление новых очагов, не накапливающих контрастное вещество. Также впервые отметила снижение слуха. Сурдологом диагностирована правосторонняя сенсоневральная тугоухость 2-й степени. Пациентке проведен 4-й курс лечения циклофосфаном с положительной динамикой.
![]()
В марте 2016 г. — обострение: слабость в ногах, шаткость при ходьбе. Проведен 5-й курс циклофосфана. Назначена терапия метипредом per os по 40 мг через сутки. В апреле 2016 г. выполнена ФАСГ: на периферии в наружном секторе на правом глазу — единичные микроаневризмы. На левом — единичные сосуды неравномерного калибра, ход их прерывистый, единичные микроаневризмы (рис. 2). Рис. 2. ФАСГ больной Е. — микроаневризмы, прерывистый ход сосудов, пропотевание красителя через стенку сосудов. а — правый глаз; б — левый глаз. Пропотевание красителя через стенку.
Учитывая наличие у пациентки энцефалопатии, нейросенсорной тугоухости, изменений на глазном дне, выявленных при ФАСГ, был установлен диагноз: ретино-кохлео-церебральная микроангиопатия.
На фоне терапии до сентября 2016 г. состояние было стабильным. Затем — ухудшение в виде возобновления головной боли, слабости в ногах, затруднений при ходьбе. В сентябре проведен 6-й курс терапии циклофосфаном. Доза метилпреднизолона постепенно снижена до 24 мг/сут. В апреле 2017 г.— ухудшение (усиление головных болей, слабости в ногах, атаксии). Проведен курс внутривенного введения метилпреднизолона по 1000 мг (5 введений).
В настоящее время: умеренно выраженный тетрапарез, умеренная атаксия при выполнении координаторных проб. МРТ головного мозга от февраля 2018 г.: без отрицательной динамики. Пациентка продолжает прием метилпреднизолона 12 мг/сут через сутки. Для решения вопроса о дальнейшей терапии у пациентки требуются динамическое наблюдение, контроль МРТ головного мозга и ФАСГ.
Особенностью приведенного клинического случая является отсутствие в дебюте заболевания полной клинической триады С.С. Изначально выявлялась энцефалопатия, а снижение слуха присоединилось через год. Поражение сосудов сетчатки было определено по результатам ФАСГ. Заболевание начиналось с тяжелого обострения, в дальнейшем течение было хроническим прогрессирующим. Диагноз CC у пациентки был подтвержден характером клинической картины, характерными очагами на МРТ-изображении головного мозга, результатами аудиометрии и ФАСГ.
Заключение
СС — редкое аутоиммунное заболевание, характеризующееся микроангиопатией, которая поражает прекапиллярные артериолы головного мозга, сетчатки глаза и внутреннего уха. СС является потенциально инвалидизирующим заболеванием, которое может иметь рецидивирующее течение даже спустя десятилетия после первоначального появления. Большинство пациентов, у которых в итоге был поставлен диагноз СС, первоначально не имели полной триады заболевания, а средняя задержка между первым симптомом и полной триадой составляла примерно 5 мес. СС довольно часто диагностируется как рассеянный склероз или различные формы энцефалита. Поскольку симптомы полной триады заболевания могут проявляться в течение нескольких лет, диагностика и своевременное лечение откладываются. Тем не менее при каждом случае очагового поражения мозолистого тела в его центральной части следует предположить С.С. Необходимо определение биомаркеров для диагностики и мониторинга активности процесса. Важно получить более полное представление о патофизиологии СС для разработки безопасных и эффективных методов терапии.
Сложности дифференциальной диагностики рассеянного склероза и синдрома Сусака
Ретино-кохлео-церебральная ангиопатия, или синдром Сусака, является достаточно редким аутоиммунным заболеванием, которое избирательно поражает сосуды сетчатки глаза, органов внутреннего уха и центральной нервной системы. Дифференциация синдрома Сусака и рассеянного склероза представляет сложности ввиду схожести МРТ семиотики этих двух заболеваний. В настоящей статье представлены два клинических случая пациентов с синдромом Сусака, котором в дебюте заболевания ошибочно был выставлен диагноза рассеянного склероза. На основании анализа собственных клинических наблюдений и данных литературы освещены вопросы дифференциальной диагностики синдрома Сусака и рассеянного склероза, а также впервые представлен вариант трансформации МРТ-картины в динамике при синдроме Сусака.
Ключевые слова
Об авторах
Савинцева Жанна Игоревна — кандидат медицинских наук.
197376, Санкт-Петербург, ул. Академика Павлова, д. 9.
Ильвес Александр Геннадьевич — кандидат медицинских наук.
197376, Санкт-Петербург, ул. Академика Павлова, д. 9.
Лебедев Валерий Михайлович — научный сотрудник.
197376, Санкт-Петербург, ул. Академика Павлова, д. 9; 197022, Санкт-Петербург.
Новоселова Ольга Михайловна — научный сотрудник.
197376, Санкт-Петербург, ул. Академика Павлова, д. 9.
Прахова Лидия Николаевна — доктор медицинских наук.
197376, Санкт-Петербург, ул. Академика Павлова, д. 9.
Список литературы
1. Susac J.O. Susac's syndrome: the triad of microangiopathy of the brain and retina with hearing loss in young women // Neurology. 1994. Vol. 44 (4). P. 591-593. doi: 10.1212/wnl.44.4.591.
2. Schwitter J., Agosti R., Ott P., Kalman A., Waespe W. Small infarctions of cochlear, retinal, and encephalic tissue in young women // Stroke. 1992. Vol. 23 (6). Р. 903-907. doi: 10.1161/01.str.23.6.903.
3. Mala L., Bazard M.C., Berrod J.P. et al. Small retinal, cochlear, and cerebral infarctions in the young patient, «SICRET» syndrome of Susac syndrome [French] // J. Fr. Ophtalmol. 1998. Vol. 21. P. 375-380
4. Nicolle M.W., McLachlan R.S. Microangiopathy with retinopathy, encephalopathy, and deafness (RED-M) and systemic features // Semin. Arthritis Rheum. 1991. Vol. 21 (3). P. 123-128. doi: 10.1016/0049-0172(91)90001-g
5. Susac J.O., Hardman J.M., Selhorst J.B. Microangiopathy of the brain and retina // Neurology. 1979. Vol. 29 (3). Р. 313-316. doi: 10.1212/wnl.29.3.313.
6. Kleffner I., Duning T., Lohmann H. et al. A brief review of Susac syndrome // Neurol Sci. 2012. Nov. 15. Vol. 22 (1-2). Р. 35-40. doi: 10.1016/j.jns.2012.05.021.
7. Petty G.W., Engel A.G., Younge B.R. et al. Retinocochleocerebral vasculopathy // Medicine (Baltimore). 1998. Vol. 77 (1). Р. 12-40. doi: 10.1097/00005792-199801000-00003.
8. Garcia-Carrasco M., Jimenez-Hernandez C., Jimenez-Hernandez M. et al. Susac's syndrome: an update // Autoimmun Rev. 2011. Vol. 10 (9). Р. 548. doi: 10.1016/j.autrev.2011.04.006.
9. S. Jarius, B. Neumayer, Wandinger K.P. Anti-endothelial serum antibodies in a patient with Susac's syndrome // J. Neurol. Sci. 2009. Vol. 285. Р. 259-261. doi: 10.1016/j.jns.2009.07.002.
10. Bucciarelli S., Cervera R., Martinez M., Latorre X., Font J. Susac's syndrome or catastrophic antiphospholipid syndrome // Lupus. 2004. Vol. 13. Р. 607608. doi: 10.1191/0961203304lu1046cr.
11. Dorr J., Krautwald S., Wildemann B. et al. Characteristics of Susac syndrome: a review of all reported cases // Nat. Rev. Neurol. 2013. Vol. 9 (6). Р. 307-316. doi: 10.1038/nrneurol.2013.82.
12. Aubart-Cohen F., Klein I., Alexandra J.F. et al. Long-term outcome in Susac syndrome // Medicine (Baltimore). 2007. Vol. 86 (2). Р. 93-102. doi: 10.1097/MD.0b013e3180404c99.
14. Dorr J., Krautwald S., Wildemann B. et al. Characteristics of Susac syndrome: a review of all reported cases // Nat Rev Neurol. 2013. Vol. 9. Р. 307316. doi: 10.1038/nrneurol.2013.82.
15. Vishnevskia-Dai V., Chapman J., Sheinfeld R. et al. Susac syndrome: clinical characteristics, clinical classification, and long-term prognosis // Published correction appears in Medicine (Baltimore). 2017. Feb 17; Vol. 96 (7). e6207 // Medicine (Baltimore). 2016. Vol. 95 (43). e5223. doi: 10.1097/MD.0000000000005223.
16. Papo T., Biousse V., Letoang P. et al. Susac syndrome // Medicine. 1998. Vol. 77. Р. 3-11. doi: 10.1097/00005792-199801000-00002.
17. Susac J.O., Egan R.A., Rennebohm R.M. et al. Susac's syndrome: 19752005 microangiopathy/autoimmune endotheliopathy // J. Neurol. Sci. 2007. Vol. 257 (1-2). doi: 10.1016/j.jns.2007.01.036.
18. Raets I., Gelin G. Susac's syndrome: a clinical and radiological challenge // JBR-BTR. 2012. Vol. 95 (6). Р. 355-356. doi: 10.5334/jbr-btr.721.
19. Bot J.C.J., Mazzai L., Hagenbeek R.E. et al. Brain miliary enhancement // Neuroradiology. 2020. Vol. 62 (3). Р. 283-300. doi: 10.1007/s00234-019-02335-5.
20. Susac-Like Syndrome in a Chronic Cocaine Abuser: Could Levamisole Play a Role? // Journal of medical toxicology: official journal of the American College of Medical Toxicology. 2014. Vol. 11 (1). Р. 124-128. doi: 10.1007/s13181-014-0422-3.
Современные представления о патогенезе, диагностике и лечении синдрома Сусака
Авторы: Чухловина М.Л. 1 , Вознюк И.А. 2 , Полушин А.Ю. 3
1 ФГБУ «НМИЦ им. В.А. Алмазова» Минздрава России, Санкт-Петербург
2 Военно-медицинская академия им. С.М. Кирова, Санкт-Петербург
3 ФГБОУ ВО ПСПбГМУ им. акад. И.П. Павлова Минздрава России, Санкт-Петербург;НИИ ДОГиТ им. Р.М. Горбачевой, Санкт-ПетербургСиндром Сусака относится к иммуноопосредованным заболеваниям нервной системы. В клинической картине он представлен триадой основных симптомов: подострой энцефалопатией, окклюзией ветвей артерии сетчатки и нейросенсорной тугоухостью. Одним из основных симптомов, помимо нарушения зрения, может быть выраженная головная боль. В основе данных симптомов лежит микроангиопатия. В результате иммунообусловленной эндотелиопатии в микроваскулярном русле происходит гипертрофия эндотелиальных клеток с последующей окклюзией артериол. Вследствие этого возникает периваскулярное воспаление с последующей ишемией тканей головного мозга, сетчатки. Дифференциальная диагностика синдрома должна проводиться с демиелинизирующими заболеваниями, васкулитами, токсической лейкоэнцефалопатией. Анализы крови и спинномозговой жидкости в большинстве случаев оказываются неинформативными. Основная роль в диагностике синдрома Сусака принадлежит магнитно-резонансной томографии, по данным которой выявляются изменения по типу «снежных шаров», преимущественно в центральной части мозолистого тела. Применение пульс-терапии метилпреднизолоном, как правило, не приводит к должному эффекту. Это предполагает, наряду с введением кортикостероидов, применение цитостатиков и внутривенных иммуноглобулинов. Схема эскалации терапии при обсуждаемом заболевании представлена в данной статье.
Ключевые слова: синдром Сусака, RED-M, SICRET, аутоиммунные заболевания, микроангиопатия, васкулит, подострая энцефалопатия, окклюзия ветвей артерии сетчатки, нейросенсорная тугоухость.
Для цитирования: Чухловина М.Л., Вознюк И.А., Полушин А.Ю. Современные представления о патогенезе, диагностике и лечении синдрома Сусака. РМЖ. 2018;7:10-14.
Contemporary view of the pathogenesis, diagnosis and treatment of Susac syndrome
Chukhlovina M.L. 1 , Voznyuk I.A. 2 , Polushin A.Yu. 3,41 Almazov National Medical Research Centre, Saint-Petersburg
2 Medical Military Academy named after S.M. Kirov, Saint-Petersburg
3 Pavlov First Saint Petersburg State Medical University
4 Raisa Gorbacheva Memorial Research Institute for Pediatric Oncology, Hematology and Transplantation, Saint-PetersburgSusaс syndrome is an immune-mediated disease of the nervous system. In the clinical picture, it is represented by a triad of the main symptoms: subacute encephalopathy, occlusion of the retinal artery branches and neurosensory hearing loss. One of the main symptoms, in addition to visual impairment, may be a severe headache. These symptoms are based on microangiopathy. The immune-associated endotheliopathy in the microvascular channel leads to hypertrophy of endothelial cells with the subsequent occlusion of arterioles. As a result, there is perivascular inflammation followed by ischemia of the brain and retina. Differential diagnosis of the syndrome should be carried out with demyelinating diseases, vasculitis, toxic leukoencephalopathy. Blood and cerebrospinal fluid tests in most cases are not informative. The main role in diagnosing Susaс syndrome belongs to magnetic resonance imaging, according to which changes in the type of «snow balls» mainly in the central part of the corpus callosum are detected. The use of pulse therapy with methylprednisolone usually does not lead to the proper effect. This involves, along with the introduction of corticosteroids, the use of cytostatics and intravenous immunoglobulins. The scheme of therapy escalation of Susaс syndrome is presented in this article.
Key words: Susac syndrome, RED-M, SICRET, autoimmune diseases, microangiopathy, vasculitis, subacute encephalopathy, occlusion of the retinal artery branches, neurosensory hearing loss.
For citation: Chukhlovina M.L., Voznyuk I.A., Polushin A.Yu. Contemporary view of the pathogenesis, diagnosis and treatment of Susac syndrome // RMJ. 2018. № 7. P. 10–14.В статье представлены современные представления о патогенезе, диагностике и лечении синдрома Сусака - иммуноопосредованного заболеваниям нервной системы.
В последние годы отмечается рост распространенности иммуноопосредованных заболеваний нервной системы. Одним из таких синдромов, заслуживающих внимания врачей, является синдром Сусака.
Ретинокохлеоцеребральная васкулопатия была описана в 1979 г. группой авторов под руководством Джона Сусака [1] у лиц молодого возраста с классической клинической триадой: подострой энцефалопатией, окклюзией ветвей артерии сетчатки и нейросенсорной тугоухостью. Как следствие четко очерченной клинической составляющей, в зарубежных статьях можно встретить соответствующие ей аббревиатуры: SICRET (Small Infarcts of Cochlear, Retina and Encephalic Tissue — мелкие инфаркты слухового нерва, сетчатки и ткани мозга) и RED-M (Retinopathy, Encephalopathy, Deafness microangiopathy — ретинопатия, энцефалопатия, глухота, обусловленные микроангиопатией) [2, 3].
Первое популяционное исследование по распространенности синдрома Сусака было проведено в Австрии. Дебют заболевания описан с 9 до 72 лет, чаще у женщин в возрасте 20–40 лет [4]. При этом с учетом выявленной распространенности синдрома в соотношении 0,15 на 100 тыс. населения на сегодняшний день описано чуть более 300 случаев.Этиология синдрома Сусака
Клиническая картина синдрома Сусака
Установлено, что для синдрома Сусака характерно полиорганное поражение с развитием ретикулокохлеоцеребральных расстройств. Такие пациенты, как правило, госпитализируются в офтальмологические, отоларингологические и неврологические отделения стационаров. Однако в дебюте заболевания классическая триада возникает в полном объеме довольно редко (не более 20% случаев). Почти всегда синдром дебютирует с нарушения зрительной функции. Так, пациенты вне церебрального синдрома могут предъявлять жалобы на преходящее или стойкое нарушение зрения в виде появления пелены перед глазами, диплопии, фотопсий или парацентральных скотом. В половине случаев отмечается одно- или двустороннее снижение слуха, зачастую сопровождающееся шумом в ушах и головокружением. Иногда наблюдается нарастающая головная боль с тошнотой. При этом некоторые авторы особо подчеркивают, что при развитии головной боли у иммуноскомпрометированных лиц молодого возраста уже необходимо задуматься о синдроме Сусака. Также отмечаются сонливость, нарушение сознания, расстройства речи, концентрации внимания, памяти или ходьбы. Клинические проявления синдрома могут включать амнезию, агрессию, депрессию, в редких случаях — судороги [6–13].
Диагностика синдрома Сусака
![Рис. 1. a. «Снежные шары» в центральной части мозолистого тела по данным Т2-режима МРТ (стрелки); б. Перивентрикулярные очаги на аксиальном срезе головного мозга (стрелки) (по Vishnevskia-Dai V. et. al., 2016 [17])]()
Для синдрома Сусака нехарактерно изменение параметров крови. Имеются данные об умеренном повышении уровня белка в ликворе и незначительном лимфоцитарном плеоцитозе. Ультразвуковая диагностика с допплеровским картированием при данном синдроме не выявляет специфических маркеров.
Офтальмологическое исследование (электроокулография, электроретинография, офтальмоскопия, зрительные вызванные потенциалы) выявляет картину ретинального васкулита: расширение артериол сетчатки, телеангиэктазии, микроаневризмы. По данным ангиографии с флуоресцеином определяются множественные периферические инфаркты сетчатки с обеих сторон [5, 14, 15]. Оптическая когерентная томография сетчатки выявляет выраженное пятнистое истончение слоя нервных волокон, тогда как при рассеянном склерозе это истончение имеет диффузный характер.
В диагностике нарушений слуха эффективно применение слуховых вызванных потенциалов, отоакустической эмиссии.
В дифференциальной диагностике синдрома Сусака важное значение придается нейрорадиологическим исследованиям [16]. Патогномоничным считается выявление с помощью магнитно-резонансной томографии (МРТ) головного мозга множественных гиперинтенсивных сигналов в центральной части мозолистого тела. При введении парамагнетика происходит обогащение патологических очагов, выявляемых на Т2-взвешенных изображениях. Помимо типичных изменений в виде маленьких или больших «снежных шаров» или линейных дефектов в центральной части мозолистого тела (рис. 1а, б) [17] у 70% больных имеется поражение серого вещества, а у 33% — оболочек мозга [18]. По данным МРТ (диффузионно-взвешенный режим) в этой области выявляются очаги высокой интенсивности. Режим 3D-FLAIR также выявляет вовлечение в патологический процесс мягкой мозговой оболочки [19]. Необходимо помнить, что, в отличие от рассеянного склероза, для синдрома Сусака образование патологических очагов в спинном мозге нехарактерно. МРТ головного мозга позволяет проводить раннюю диагностику синдрома Сусака и, соответственно, своевременную патогенетическую терапию [5, 11, 20].
Дифференциальная диагностика синдрома Сусака
Дифференциальную диагностику синдрома Сусака проводят с аутоиммунными демиелинизирующими заболеваниями (рассеянным склерозом и острым рассеянным энцефаломиелитом), инфекционными энцефалитами, первичными и вторичными васкулитами центральной нервной системы (ЦНС), болезнью Меньера, токсической лейкоэнцефалопатией, редким осложнением злоупотребления кокаином [21]. Также синдром следует дифференцировать с паранеопластическими синдромами, характерными для группы пациентов, находящихся на терапии иммуносупрессорами и таргетными противоопухолевыми препаратами.
Сложность выявления синдрома Сусака состоит в том, что клиническая триада, характерная для данного заболевания, может развиваться в течение нескольких лет. Показано, что из 10 пациентов с установленным позднее диагнозом синдрома Сусака только у 2 в дебюте выявлялись подострая энцефалопатия, окклюзия ветвей артерии сетчатки и нейросенсорная тугоухость [17]. У остальных больных триада патогномоничных для синдрома Сусака проявлений развивалась в течение последующих 3 лет. В этой связи было предложено различать варианты: случаи, подозрительные на синдром Сусака, полный и неполный синдромы Сусака. Согласно диагностическим критериям, разработанным группой европейских экспертов, следует выделять возможный и определенный синдромы Сусака [11]. Исследователи рассмотрели, как они отмечают, 32 несомненных случая синдрома и на основании этого выделили критерии его диагностики. Думается, что создание классификации, необходимой для клинической практики, требует дальнейшего накопления материала.Клинические наблюдения
Лечение и прогноз при синдроме Сусака
![Таблица 1. Лечение васкулопатии сетчатки и нейросенсорной тугоухости при синдроме Сусака (соответствует принятой схеме лечения в зависимости от степени поражения ЦНС)]()
Относительно прогноза синдрома Сусака мнения исследователей расходятся. Существует возможность спонтанного разрешения симптоматики без активных лечебных мероприятий. В литературе описано монофазное и полициклическое течение с рецидивом спустя 23 года [26]. При наблюдении за 9 больными с синдромом Сусака под влиянием кортикостероидной терапии в течение 6,4 года было отмечено улучшение неврологического статуса, однако корреляции между клиническими проявлениями и уменьшением числа патологических очагов, обнаруживаемых по данным МРТ головного мозга, выявлено не было [24]. При этом гормональная терапия не снижала выраженность расстройств слуха и зрения. У больного, в свое время описанного М.Л. Чухловиной [27], была выявлена выделенная Сусаком триада симптомов: подострая энцефалопатия, окклюзия артерий сетчатки и нейросенсорная тугоухость в сочетании с наличием линейных дефектов в мозолистом теле и лакунарных кист в стволе мозга и таламуса по данным МРТ. Пульс-терапия преднизолоном привела к улучшению состояния: несколько снизился мышечный тонус, увеличилась сила в нижних конечностях, уменьшились проявления атаксии в руках. От лечения цитостатиками пациент отказался.
Изолированное применение пульс-терапии метил-преднизолоном, как правило, оказывается неэффективным. В 2008 г. группой специалистов во главе с R.M. Rennebohm [18] высказано предположение о необходимости назначения таким пациентам агрессивной иммуносупрессивной терапии, включающей, наряду с введением кортикостероидов, применение цитостатиков и внутривенных иммуноглобулинов, как это проводится при дерматомиозите. С учетом этиопатогенеза существует мнение о необходимости подключения к основной схеме лечения непрямых антикоагулянтов и блокатора кальциевых каналов (нимодипин).
В настоящее время на базе клинического опыта зарубежных специалистов может использоваться схема терапии в зависимости от степени вовлеченности ЦНС в патологический процесс (табл. 1) [адаптировано из 28].
Заключение
Несмотря на то, что с момента описания синдрома Сусака прошло более 30 лет, патогенез заболевания остается недостаточно изученным, необходимы дальнейшие исследования в этом направлении. В то же время четко очерченная клиническая картина в сочетании с данными офтальмологического исследования и МРТ головного мозга позволяет проводить раннюю диагностику и своевременно назначать рациональную терапию. Успехи в совершенствовании дифференциальной диагностики и лечения аутоиммунных заболеваний, паранеопластических синдромов, осложнений современной терапии возможны только при совместных усилиях неврологов, офтальмологов, оториноларингологов, гематологов, онкологов, ревматологов и нейрорадиологов.
1. Susac J.O., Hardimann J.M., Selhorst J.B. Microangiopathy of the brain and retina // Neurology. 1979. Vol. 29. P. 313–316.
2. Kalisa P., Constantinides G., Bodson-Halleux M., De Laey J.J. Small infarctions of cochlear, retinal and encephalic tissue (SICRET syndrome) // Bull Soc Belge Ophthalmol. 2001. Vol. 282. P. 5–12.
3. Niccolle M.W., McLachlan R.S. Microangiopathy with retinopathy, encephalopathy, and deafness (RED-M) and systemic features // Semin Arthritis Rheum. 1991. Vol. 21(3). P. 123–128.
4. Seifert-Held T., Langner-Wegscheider B.J., Komposch M. et al. Susac’s syndrome: clinical course and epidemiology in a Central European population // Int J Neurosci. 2017. Vol. 127(9). P. 776–780. doi: 10.1080/00207454.2016.1254631.
5. Magro C.M., Poe J.C., Lubow M., Susac J.O. Susac syndrome: an organ-specific autoimmune endotheliopathy syndrome associated with anti-endothelial cell antibodies // Am J Clin Pathol. 2011. Vol. 136(6). P. 903–912. doi: 10.1309/AJCPERI7LC4VNFYK.
6. Mateen F.J., Zubkov A.Y., Muralidharan R. et al. Susac syndrome: clinical characteristics and treatment in 29 new cases // Eur J Neurol. 2012. Vol. 19. P. 800–811.
7. Dorr J., Krautwald S., Wildemann B. et al. Characteristics of Susac syndrome: a review of all reported cases // NatRev Neurol 2013. Vol. 9. P. 307–316.
8. Jarius S., Kleffner I., Dorr J.M. et al. Clinical, paraclinical and serological findings in Susac syndrome: an international multicenter study // J Neuroinflammation. 2014. Vol. 11. P. 46.
9. Grygiel-Górniak B., Puszczewicz M., Czaplicka E. Neurological, otolaryngological and ophthalmological implications of Susac syndrome — a case report // Eur Rev Med Pharmacol Sci. 2016. Vol. 20(14). P. 3073–3077.
10. Kowacs F., Ferreira Gomes M., Pigozzo T. et al. Migraine-Like Headache as Presentation Symptom in Susac Syndrome // Headache. 2016. Vol. 56(10). P. 1667–1669. doi: 10.1111/head.12991.
11. Kleffner I., Dörr J., Ringelstein M. et al. Diagnostic criteria for Susac syndrome // Neurol Neurosurg Psychiatry. 2016. Vol. 87(12). Р. 1287–1295. doi: 10.1136/jnnp-2016-314295.
12. Ben David C., Sharif K., Watad A. et al. Susac Syndrome: A Rare Cause of a Confusional State // Isr Med Assoc J. 2017. Vol. 19(10). P. 651–653.
13. Kefi A., Said F., Ben Salem T. et al. Headache in a young woman: do not forget Susac’s syndrome // Reumatismo. 2017. Vol. 69(3). P. 122–125. doi: 10.4081/reumatismo.2017.995.
14. Гузева В.И., Чухловина М.Л. Рассеянный склероз. Диагностика и лечение (возрастные аспекты). СПб.: Фолиант, 2003. 174 с. [Guzeva V.I., Chukhlovina M.L. Rasseyannyi scleroz. Diagnostika i lechenie (vozrastnyie aspekty). SPb.: Foliant, 2003. 174 s. (in Russian)].
15. Saliba M., Pelosse B., Momtchilova M., Laroche L. Susac syndrome and ocular manifestation in a 14-year-old girl // J Fr. Ophtalmol. 2007. Vol. 30(10). P. 1017–1022.
16. Marrodan M., Correale J., Alessandro L. et al. Susac Syndrome: A differential diagnosis of white matter lesions // Mult Scler Relat Disord. 2017. Vol. 15. P. 42–46. doi: 10.1016/j.msard.2017.04.007.
17. Vishnevskia-Dai V., Chapman J., Sheinfeld R. et al. Susac syndrome: clinical characteristics, clinical classification, and long-term prognosis // Medicine (Baltimore). 2016. Vol. 95(43). e5223. doi: 10.1097/MD.0000000000005223e5223.
18. Rennebohm R.M., Egan R.A., Susac J.O. Treatment of Susac’s syndrome // Curr. Treat. Options Neurol. 2008. Vol. 10(1). P. 67–74.
19. Engisch R., Titelbaum D.S., Chilver-Stainer L., Kellner-Weldon F. Susac’s syndrome: Leptomeningeal enhancement on 3D FLAIR MRI // Mult Scler. 2016. Vol. 22(7). P. 972–974. doi: 10.1177/1352458516636836.
20. Hardy T.A., O’Brien B., Gerbis N. et al. Brain histopathology in three cases of Susac’s syndrome: implications for lesion pathogenesis and treatment // J Neurol Neurosurg Psychiatry. 2015. Vol. 86. Р. 582–584.
21. Hantson P., Di Fazio V., Del Mar Ramirez Fernandez M. et al. Susac-Like Syndrome in a Chronic Cocaine Abuser: Could Levamisole Play a Role? // J Med Toxicol. 2015. Vol. 11(1). P. 124–128. doi: 10.1007/s13181-014-0422-3.
22. Olszanecha-Glinianowicz M., Hrycek A. Susac syndrome as an example of a rare vasculopathy // Pol Arch Med Wewn. 2009. Vol. 119(1-2). P. 80–82.
23. Enders F.B., Bader-Meunier B., Baildam E. et al. Consensus-based recommendations for the management of juvenile dermatomyositis // Ann Rheum Dis. 2017. Vol. 76. P. 329–340.
24. Aubart-Cohen F., Klein I., Alexandra J.F. et al. Long-term outcome in Susac syndrome // Medicine(Baltimore). 2007. Vol. 86(2). P. 93–102.
25. Roeser M.M., Driscoll C.L., Shalopp J.K. et al. Susac syndrome-a report of cochlear implantation and review of otologic manifestations in twenty-three patients // Otol Neurol. 2009. Vol. 30(1). P. 34–40.
26. Feresiadou A., Eriksson U., Larsen H.C. et al. Recurrence of Susac Syndrome following 23 Years of Remission // Case Rep Neurol. 2014. Vol. 6(2). P. 171–175. doi: 10.1159/000362868.
27. Чухловина М.Л. Рассеянный склероз и синдром Сусака (дифференциальная диагностика, лечение, описание случая) // Труды Мариинской больницы. 2010. VIII. С. 200–203 [Chukhlovina M.L. Rasseyannyi scleroz i sindrom Susaka (differencialnaya diagnostika, lechenie, opisanie sluchaia) // Trudy Mariinskoy bolnicy. 2010. VIII. S. 200–203 (in Russian)].
28. Rennebohm R.M., Asdaghi N., Srivastava S., Gertner E. Guidelines for treatment of Susac syndrome — An update // Int J Stroke. 2018. doi: 10.1177/1747493017751737.
Контент доступен под лицензией Creative Commons «Attribution» («Атрибуция») 4.0 Всемирная.Читайте также:




![Рис. 1. a. «Снежные шары» в центральной части мозолистого тела по данным Т2-режима МРТ (стрелки); б. Перивентрикулярные очаги на аксиальном срезе головного мозга (стрелки) (по Vishnevskia-Dai V. et. al., 2016 [17])](/pimg1/sindrom-susaka-mrt-73871.png)
