Лучевые признаки диффузного панбронхиолита
Добавил пользователь Евгений Кузнецов Обновлено: 18.11.2025
Текущий раздел: Лучевая диагностика
Дополнительный симптом дифференциальной диагностики консолидаций на фоне диффузных интерстициальных заболеваний легких
Стеблецова Т.В. 1 , Юдин А.Л. 2
1 ФГУ «Поликлиника №1» Управления делами Президента РФ, отделение рентгеновской компьютерной томографии, Москва
2 ГОУ ВПО РГМУ, кафедра лучевой диагностики и терапии, Москва
Статья опубликована 30 сентября 2011 года.
Идентификационный номер статьи в ФГУП НТЦ “ИНФОРМРЕГИСТР”:
Сведения об авторах:
Рабочий адрес: 119002, г . Москва, пер. Сивцев Вражек, д.26/28, ФГУ « Поликлиника №1» Управления делами Президента РФ
Рабочий адрес: Москва, ул. Бауманская, д. 17/1, корпус 2, рентгеновское отделение.
Статья представляет данные оригинального исследования диагностической значимости расчета 3 D -коэффициента по результатам компьютерной томографии высокого разрешения для дифференциальной диагностики консолидаций на фоне диффузных интерстициальных заболеваний легких . Обсуждены семиотика консолидаций на фоне диффузных интерстициальных заболеваний легких, значение расчетного 3 D -коэффициента в дифференциации природы таких изменений, подкрепленные данными морфологической верификации. По результатам анализа компьютерных томограмм высокого разрешения определены диагностически значимые параметры 3 D -коэффициента для дифференциальной диагностики доброкачественных и злокачественных консолидаций на фоне диффузных интерстициальных заболеваний легких, позволяющие с высокой долей вероятности дифференцировать их без применения инвазивных методик.
Ключевые слова : компьютерная томография высокого разрешения, диффузные интерстициальные заболевания легких, организующая пневмония, 3 D -коэффициент.
Additional differential diagnostics symptom of consolidations against diffuse interstitial lung diseases
T.V. Stebletsova 1 , A .L. Yudin 2
1 Federal State Establishment «Policlinic №1» under the rule of Department for the President’s Affairs, Moscow
2 The Russian State Medical University (RSMU)
Article submits data original research of the diagnostic importance of calculation of 3D-ratio for differential diagnostics of consolidations against diffuse interstitial lung diseases by results of a high resolution computer tomography. Are discussed semiotics of consolidations against diffuse interstitial lung diseases, value of settlement 3D-ratio in differentiation of the nature of such changes, supported with the data of morphological verification. By results of the analysis of the high resolution computer tomograms probabilities allowing from high shares to differentiate them without application invasive techniques are defined diagnostical significant parameters of 3D-ratio for differential diagnostics of an organizing pneumonia as most often meeting good-quality consolidation against diffuse interstitial lung diseases of easy and consolidations of the malignant nature.
Key words: high resolution computer tomography, diffuse interstitial lung diseases, organizing pneumonia, 3D-ratio.
Лучевая дифференциальная диагностика диффузных интерстициальных заболеваний легких (ДИЗЛ) одна из сложнейших проблем современной рентгенологии. Изменения в легочной ткани проявляются при различных видах интерстициальных пневмоний, облитерирующем бронхиолите , диффузных поражениях, обусловленных приемом лекарств, системными заболеваниями - ревматоидным артритом, красной волчанкой, склеродермией, а также рядом других заболеваний [ 1, 4, 7, 8 ]. При развертывании ответа ткани на альтерацию при различных видах интерстициальных пневмоний первичное поражение интерстиция в виде небольшого продуктивного альвеолита переходит на дыхательные пути, что приводит к разрушению альвеол, формированию бронхоэктазов, развитию фиброза и «сотового легкого», а также достаточно часто к формированию консолидации легочной ткани. В рентгенологическом аспекте при оценке данных компьютерной томографии понятие «консолидация» является синдромальной характеристикой патологического процесса и представляется на КТ таким уплотнением легочной ткани, на фоне которого не дифференцируются элементы легочного рисунка (сосудистые структуры, бронхи, элементы интерстиция). Морфологически понятие «консолидация» характеризуется заполнением воздухоносных путей плотным субстратом. На фоне ДИЗЛ консолидации могут быть как проявлением доброкачественности поражения, так и являться онкопроцессом. При доброкачественных процессах «консолидация» характеризуется разрастанием тканевых элементов, начинающимся с терминальных бронхиол, впоследствии переходящим на респираторные бронхиолы, альвеолярные ходы и мешочки, с дальнейшим заполнением альвеол грануляциями, приводящими к уплотнению легочной ткани [2, 3]. При злокачественных процессах заполнение воздухоносных путей происходит путем разрастания тканей опухоли. Среди доброкачественных консолидаций, развивающихся на фоне ДИЗЛ, можно отметить наиболее часто встречающиеся организующую пневмонию и фиброз. К злокачественным консолидациям относятся рак и лимфома легкого. Дифференциальная диагностика таких изменений необходима и важна, поскольку влияет на план лечения.
Целью настоящего исследования явилось изучение возможностей компьютерной томографии высокого разрешения (КТВР) в дифференциальной диагностике консолидаций на фоне ДИЗЛ. Для достижения поставленной цели по результатам компьютерной томографии высокого разрешения проведен анализ выявленных консолидаций на фоне ДИЗЛ, определены КТВР-симптомы, характерные для доброкачественных и злокачественных консолидаций.
Всего обследовано 360 пациентов с ДИЗЛ в возрасте от 32 до 85 лет. Для описания характера интерстициальных изменений в легких проводилась КТВР. Были выявлены и оценивались основные признаки диффузных интерстициальных заболеваний легких, а также характеристики консолидаций на фоне ДИЗЛ.
У 66 пациентов среди всех обследованных пациентов на фоне ДИЗЛ выявлены различные консолидации, характер которых установлен путем динамического наблюдения или по результатам морфологического исследования. Природа консолидаций у 40 пациентов установлена по клинико-рентгенологическим данным с учетом динамического наблюдения над течением заболевания, анализа прогрессирования процесса под влиянием терапии. Сроки наблюдения составили от 1 до 21 месяца. В 26 случаях природа консолидации подтверждена путем морфологической верификации (проведено 26 пункций под контролем КТ): 25 трансторакальных пункций в случаях одиночной консолидации, а также в 1-ом случае множественных консолидаций на фоне ДИЗЛ. Пункции проводились под контролем КТ-скопии.
При проведении КТВР для оценки природы консолидаций на фоне ДИЗЛ выполнялось построение мультипланарных реконструкций (МПР) с расчетом 3 D -коэффициента. Расчет 3 D -коэффициента проводился для оценки формы и изменения пространственной конфигурации консолидации при МПР. Для вычисления 3 D -коэффициента использовалась формула:
3 D -коэффициент – объемный коэффициент,
D max axial – максимальный диаметр консолидации на аксиальных срезах,
D min coronar – минимальный диаметр консолидации на МПР в коронарной плоскости.
Полученные показатели 3 D -коэффициента обработаны статистически с использованием программы «Медстатистика 5.0»: определены максимальное, минимальное и среднее значения, стандартное отклонение ( SD ).
Пациенты, с установленным характером консолидаций на фоне ДИЗЛ, были разделены на две группы: доброкачественных ( n =35) и злокачественных ( n =31) консолидаций, распределение которых по природе патологического процесса представлено в таблице 1. Консолидации выявлялись на фоне: облитерирующего бронхиолита ( n =10), неспецифической интерстициальной пневмонии ( n =5), обычной интерстициальной пневмонии ( n =31), десквамативной интерстициальной пневмонии ( n =5), ХОБЛ и панбронхиолита ( n =15).
Таб. 1. Распределение обследованных пациентов с установленной природой консолидации.
Верифицированный/установленный характер консолидации
Всего человек, n (доля в %)
Организующая пневмония на фоне облитерирующего бронхиолита
Интерстициальная пневмония с консолидацией
Организующая пневмония на фоне ХОБЛ, панбронхиолита
Метастатическое поражение на фоне ДИЗЛ
Периферическая опухоль легкого на фоне ДИЗЛ
Всего пациентов
Сравнение двух групп обследованных пациентов по характеру интерстициального поражения, на котором диагностированы консолидации, показало отсутствие различий в частоте выявления основных КТВР-симптомов поражения интерстиция. Основными симптомами были снижение пневматизации по типу «матового стекла» в 89.4% (n=59), утолщение междольковых перегородок в 43.9% (n=29) и внутридолькового интерстиция в 66.7% (n=44), утолщение перибронхиального интерстиция у 3 пациентов (4.5%). Среди пациентов с интерстициальными поражениями легких в стадии необратимого фиброза выявлены: симптом «сотового легкого» в 6.1% (n=4), тракционные бронхоэктазы в 13.6% (n=9).
Характеристики консолидаций обеих групп существенно отличались как по локализации, так и по форме. При оценке локализации консолидаций отмечено, что доброкачественные консолидации выявлялись субплеврально с частотой 82.8% ( n =29), что в 1.6 раза выше, чем злокачественные аналогичной локализации (51.6%, n =16). Частота злокачественных очаговых хаотично расположенных консолидаций ( n =13, 37.1%), в 3.25 раза превышала частоту доброкачественных такого расположения ( n =4, 11.4%). Перибронховаскулярные консолидации неправильной формы обнаружены только при доброкачественных процессах с частотой 31.4% ( n =11).
Относительно зон интерстициального поражения (ИП) в подавляющем большинстве случаев доброкачественные консолидации располагались внутри зоны ИП ( n =29, 82.8%), в то время как злокачественные консолидации такой же локализации выявлялись реже - с частотой 58% ( n =18). На границе нормальной и измененной легочной паренхимы доброкачественные консолидации выявлены только в 17% случаев ( n =6), в то время как злокачественные консолидации такой локализации определялись в 38.7% ( n =12). В преобладающем большинстве случаев злокачественные консолидации выявлены вне зон интерстициального поражения (77.4%, n =24). Полученные нами данные о преимущественной локализации различных консолидаций соответствуют результатам ранее проведенных исследований другими авторами [9].
При оценке формы и пространственной конфигурации консолидаций выявлено, что в 82.8% случаев ( n =29) доброкачественные консолидации являлись треугольными с основанием к костальной плевре на аксиальных сканах, при МПР в коронарной проекции такие консолидации пространственной конфигурации не изменяли, оставаясь треугольными, конусовидными. Треугольно-конусовидная форма консолидации с основанием к костальной плевре по результатам нашей работы характеризует организующую пневмонию, как наиболее частую форму доброкачественной консолидации на фоне ДИЗЛ. Такая картина организующей пневмонии выявлялась другими исследователями, являясь типичной для проявления данной патологии при КТВР [3, 5, 6]. В нашей работе консолидации неправильно округлой формы с изменением конфигурации на МПР определялись только при доброкачественных процессах в 28.5% ( n =10), при злокачественных процессах таких консолидаций не выявлено. Однако в 17% случаев ( n =6) неправильно округлые доброкачественные консолидации не изменяли пространственной конфигурации на МПР.
В обеих группах для определения характера консолидаций рассчитан 3 D -коэффициент, среднее значение которого в группе доброкачественных поражений ( n =24) составило 2.82, в группе злокачественных консолидаций ( n =31) - 1.32. Сравнительный анализ характеристик 3 D -коэффициента обеих групп представлен в таблице 2.
Таб. 2. Распределение значений 3 D -коэффициента для консолидаций обеих групп
Характеристика 3 D -коэффициента
2.13 - 4.01, SD 0.64
1.03 - 1.75, SD 0.27
Всегда больше 2.0
Всегда меньше 2.0
Сходные результаты по дифференциации природы одиночных периферических узлов легких путем расчета 3 D -коэффициента получены в исследовании японских ученых [10].
Для установления природы консолидаций проведено 26 пункций под контролем КТ, верифицировано 5 случаев организующей пневмонии, 15 случаев аденокарцином, 5 случаев малодифференцированного рака, 1 случай метастазов рака гортани. Таким образом, в нашей работе интерпретация данных КТВР, в сочетании с МПР и расчетом 3 D -коэффициента, позволила выполнить дифференциальную диагностику консолидаций на фоне ДИЗЛ без применения инвазивных методик с вероятностью 81.3%.
Наиболее часто встречающаяся доброкачественная консолидация на фоне ДИЗЛ – организующая пневмония – представлена на рисунках 1 и 2. Полученные данные по группе злокачественных консолидаций на фоне ДИЗЛ иллюстрирует рисунок 3.



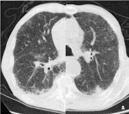
Рис. 1 (А, Б, В). КТВР больного С., 66 лет. Организующая пневмония на фоне обычной интерстициальной пневмонии.
А - Комбинированный фрагмент КТВР легких на уровне нижней доли правого и верхней доли левого легкого. В правом легком - многочисленные мелкие субплевральные полости, расположенные рядами, единичные тракционные бронхоэктазы, в левом легком - в заднем сегменте верхней доли слева на границе нормальной и измененной паренхимы субплевральная треугольная консолидация, с широким основанием к костальной плевре, структура ее однородная. Б – МПР левого легкого в коронарной проекции на уровне консолидации. При МПР субплевральная консолидация представляется треугольной конусовидной, т.е. не меняет пространственной конфигурации. Проведена морфологическая верификация консолидации под КТ-контролем получены клетки воспаления (макрофаги, незрелые фибробласты). Полученные данные соответствуют организующей пневмонии на фоне обычной интерстициальной пневмонии в стадии начального фиброза. В - динамическое наблюдение после лечения спустя 4 недели после исследования, представленного на рисунке 1А. Фрагмент КТВР легких на уровне верхних долей легких. Отмечается полное восстановление пневматизации на месте ранее выявляемой консолидации слева.


Рис. 2(А, Б). КТ грудной клетки больной Д., 80 лет. Организующая пневмония на фоне десквамативной интерстициальной пневмонии.
А - аксиальный срез на уровне нижних долей легких, выявлены участки диффузного снижения пневматизации по типу «матового стекла», в нижней доле справа выявлена субплевральная консолидация неправильной округлой формы. Б - МПР правого легкого в коронарной проекции на уровне консолидации. Рассчитанное значение 3 D – коэффициента составило 3.43 ( D max axial / D min cor = А/В =3.43), свидетельствующее в пользу доброкачественности консолидации. При трансторакальной биопсии консолидации получены клетки воспаления (макрофаги, незрелые фибробласты), внутриальвеолярные конгломераты соединительной ткани с лимфоцитарной инфильтрацией.

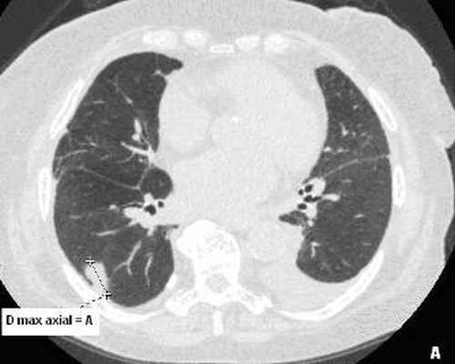
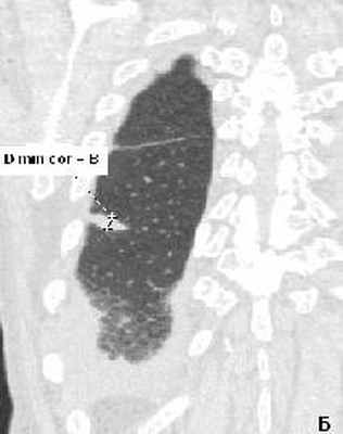
Рис. 3(А, Б). КТ грудной клетки больного Г., 72 лет. Малодифференцированный рак на фоне обычной интерстициальной пневмонии (морфологическая верификация).
А - аксиальный срез на уровне верхних долей легких, выявлены участки диффузного снижения пневматизации по типу «матового стекла», утолщение внутридолькового интерстиция (белая стрелка), в переднем сегменте верхней доли слева на границе интерстициальных изменений и нормальной легочной ткани выявлена субплевральная консолидация неправильной округлой формы (черная стрелка). Б - МПР в коронарной проекции на уровне консолидации. Рассчитанное значение 3 D – коэффициента составило 1.65 ( D max axial / D min cor = А/В = 1.65). Проведена морфологическая верификация консолидации под контролем КТ-скопии – диагностирован малодифференцированный рак.
1. КТВР - симптомы интерстициального поражения легких не указывают на природу консолидации
2. Организующая пневмония, как наиболее типичная форма доброкачественной консолидации на фоне ДИЗЛ, может быть представлена субплевральной консолидацией треугольной конусовидной формы с широким основанием к плевре, расположенной внутри зоны интерстициального поражения или неправильно округлой формы консолидацией, расположенной в зоне интерстициального поражения, изменяющей пространственную конфигурацию при МПР с расчетным 3 D -коэффициентом более 2.0.
3. Злокачественная консолидация на фоне ДИЗЛ представлена неправильно округлой формы консолидацией (одиночной или хаотичными) вне зон интерстициального поражения, без изменения пространственной конфигурации на МПР и расчетным 3 D -коэффициентом менее 2.0.
4. Сочетание определенных КТВР-симптомов консолидаций на фоне ДИЗЛ позволяет правильно установить диагноз с высокой долей вероятности (81.3%) без применения инвазивных вмешательств.
1. Власов П.В. Лучевая диагностика заболеваний органов грудной полости: Научно-практическое руководство для врачей. – Москва: ВИДАР, 2006. 311с.
2. Юдин А.Л., Афанасьева Н.И., Абович Ю.А., Романова Е.А. Лучевая диагностика диффузных инфильтративных заболеваний легких (обзор) // Радиология-практика. 2000, октябрь. С. 10-17.
3. Юматова Е.А. Компьютерная томография в диагностике организующей пневмонии. Дисс . … канд . мед . наук . 14.01.13 – Москва . 2010. 148 с .
4. Camus P., Fanton A., Bonniaud P. et al. Interstitial lung disease induced by drugs and radiation. // Respiration. 2004. V.71. P. 301-326.
7. Fujita J., Dobashi N., Tokida M. et al. Elevation of cytokeratin 19 fragment in patients with interstitial pneumonia associated with polymyositis/dermatomyositis. // J. Rheumatol. 1999. V. 26. P. 2377–2382.
8. Nagai S ., Izumi T . Bronchiolitis obliterans with organizing pneumonia. // Curr. Opin . Pulm . Med. 1996 Sep. 2(5). P. 419-23.
9. Park J ., Kim D.S ., Shim T.S . et al. Lung cancer in patients with idiopathic pulmonary fibrosis. // Eur. Respir. J. 2001. V. 17. P. 1216-1219.
10. Takashima S., Sone S., Li F. et al. Small Solitary Pulmonary Nodules (≤1 cm) Detected at Population-Based CT Screening for Lung Cancer: Reliable High-Resolution CT Features of Benign Lesions// AJR. 2003. V . 180 No 4 . P. 955-964.
Бронхиолиты: возможности рентгенологической диагностики
Бронхиолит - заболевание дистальных отделов бронхиального дерева (терминальных и респираторных бронхиол). Терминальные (синоним - мембранозные) бронхиолы диаметром 1-2 мм переходят в респираторные (0,6 мм в диаметре), которые через поры связаны с альвеолами. Терминальные бронхиолы относятся к воздухопроводящим путям, респираторные - к переходным отделам респираторного тракта: они принимают участие в проведении воздуха и газообмене. Общая площадь сечения терминального отдела респираторного тракта во много раз превышает площадь сечения трахеи и крупных бронхов (53-186 см2 против 7-14 см2), при этом на долю бронхиол приходится только 20% сопротивления потоку воздуха. С клинических позиций любое воспалительное поражение бронхиол трактуется как констриктивный (облитерирующий) бронхиолит, что обусловлено сужением их просвета и нарушением функции воздухопроведения [1].
Петр Михайлович Котляров
София Георгиевна Георгиади
Кафедра рентгенологии и ультразвуковой диагностики Института повышения квалификации ФУ МБ и ЭП, г. Москва
Различают острый и хронический процесс, при распространенном поражении выделяют диффузную форму - панбронхиолит. Констриктивные бронхиолиты разделяют на обусловленные вдыханием вредных веществ, приемом лекарств, постинфекционные, вызванные ревматоидным артритом, другими процессами и, наконец, неизвестного происхождения - идиопатические. С точки зрения гистоморфологических изменений стенок бронхиол выделяют целлюлярный, фолликулярный, пылевой, констриктивный, констриктивный с внутрипросветным полипозом, диффузный панбронхиолит.
Для всех бронхиолитов характерны: сходная клиническая картина с прогрессирующей одышкой, слабый ответ (за отдельными исключениями) на терапию глюкокортикостероидами, плохой прогноз.
Происходит концентрическое сужение терминальных бронхиол, частичная или полная их облитерация рубцовой соединительной тканью, разрастающейся в подслизистом слое и/или в адвентиции. Имеется бронхиолярный, перибронхиолярный хронический воспалительный инфильтрат, слизистые пробки в просвете, стаз секрета, формируются бронхиолоэктазы. В патологический процесс кроме терминальных и респираторных бронхиол могут вовлекаться крупные бронхи, где нередко обнаруживаются цилиндрические бронхоэктазы.
Для всех бронхиолитов характерны: сходная клиническая картина с прогрессирующей одышкой, слабый ответ (за отдельными исключениями) на терапию глюкокортикостероидами, плохой прогноз. Констриктивная форма бронхиолита приводит к выраженным патоморфологическим изменениям терминальных отделов респираторного тракта [2].
Возможности лучевых методов
Лучевые методы – рентгенография и рентгеновская компьютерная томография (КТ) – основные в прижизненной оценке макроструктуры легочной ткани [3–7].
Традиционная двухпроекционная рентгенография и продольная томография регистрируют далеко зашедшие случаи бронхиолитов, выявляя диффузное, диффузно-очаговое усиление легочного рисунка, эмфизематозно вздутые участки легкого, перибронхиальный фиброз крупных бронхов, уплотнение корней, малую подвижность диафрагмы (рис. 1). Изменения на рентгенограммах неспецифичны и наблюдаются не только при бронхиолитах, но и в целом ряде других патологических состояний.
Рис 1. Обзорная рентгенограмма легких
При отсутствии патологических изменений дистальные отделы респираторного тракта и паренхима легких на уровне дольки не находят отображения на компьютерных томограммах высокого разрешения (КТВР). Однако воспалительный процесс в бронхиоле вызывает утолщение стенки, накопление и стаз секрета в просвете, развитие гиповентиляции альвеол или, наоборот, ее вздутие за счет клапанного нарушения вентиляции. По мере развития фиброза нарушается гемодинамика за счет гипоксии, спазма, запустевания артериол, венул. Комплекс вышеописанных процессов в зависимости от локализации, распространенности, фазы течения приводит к появлению изображения патологически измененных бронхиол и альвеолярной ткани на КТВР.
В связи с малым сопротивлением терминальных отделов респираторного тракта на ранних этапах поражение бронхиол может протекать бессимптомно, не сопровождаясь изменениями функциональных тестов, а КТВР позволяет диагностировать болезнь на доклиническом этапе ее развития.
КТ-признаки различных морфологических вариантов бронхиолита
Компьютерная томография в зависимости от гистоморфологического варианта обструктивного бронхиолита выявляет различные изменения макроструктуры респираторного тракта. Целлюлярная, фолликулярная формы, бронхиолиты курильщиков, профессиональные формы бронхиолитов имеют идентичное отображение при КТВР. Воспалительное поражение вовлекает все слои стенки бронхиолы и ее просвет (при фолликулярном бронхиолите происходит гиперплазия лимфоидных элементов), формируется перибронхиолярный компонент. На серии компьютерных томограмм определяются центрилобулярно расположенные, плотные, мелкие (1–2 мм) очажки или расположенная внутри дольки линейная структура такой же толщины с отходящими от основной линии под острым углом дополнительными “веточками”. На некоторых ответвлениях, на основной линии возможна визуализация центрилобулярных очажков вышеописанной структуры. Данный симптом обозначен нами как “ветка вербы” (рис. 2). Данные симптомы обусловлены визуализацией при КТ бронхиол, уплотненных за счет воспаления и скопления слизи в просвете. При попадании их параллельно КТ-срезу они отображаются в виде “ветки вербы”, при перпендикулярном расположении центрилобулярного очажка округлой формы – соответственно анатомическому ходу воздухопроводящих путей. Четкие контуры, однородная внутренняя структура, мягкотканная плотность (40–60 ед.) указывают на далеко зашедший воспалительный процесс, необратимые фиброзные изменения. Увеличение очаговых и линейных структур более 5–6 мм, возникновение нечеткости, размытости контуров свидетельствуют о распространении воспалительного процесса на окружающую альвеолярную ткань.
Рис 2. КТВР. Мелкоочаговые субплевральные структуры, симптом “ветки вербы”
Это является важным прогностическим признаком осложнения облитерирующего бронхиолита – облитерирующего бронхиолита с организующейся пневмонией (ОБОП). Респираторный бронхиолит (бронхиолит курильщика) отличается от предыдущих видов бронхиолитов появлением очагов центрилобулярной эмфиземы, зон “матового стекла”. Это обусловлено возникновением клапанного механизма нарушения вентиляции дольки за счет сужения просвета бронхиолы с последующим переходом в гиповентиляцию дольки. При сканировании на вдохе и выдохе вентиляция зоны поражения практически не меняется (как при эмфизематозных изменениях, так и при поражениях типа “матового стекла”), что указывает на их обструктивный генез (рис. 3).
Рис 3. КТ. Перибронхиальный фиброз, бронхоэктазы, симптом “матового стекла”, центрилобулярная эмфизема
Целлюлярный бронхиолит, если не был своевременно распознан и не подвергался лечению, может перейти в облитерирующий бронхиолит с развитием внутрипросветного полипоза или констриктивную форму бронхиолита. При первом возникают эндобронхиальные полипы из соединительной ткани, которые или флотируют в просвете, или плотно фиксированы на стенке бронхиолы. При КТ определяются центрилобулярно расположенные очажки размером 2–3 мм и более, отображающие грануляционную ткань полипов и перибронхиальное воспаление. Нередко в процессе динамического наблюдения за больным фолликулярным бронхиолитом определяется нарастание размеров выявляемых бронхиол, появление нечеткости их контуров, что указывает на прогресси рование процесса, развитие полипов.
В ряде случаев бронхиолит может начаться с развития полипоза, тогда превалирует визуализация центрилобулярных очажков как проявление полипоза, а симптом “ветки вербы” слабо выражен (рис. 4).
Рис 4. КТВР (крупный план). Центрилобулярные очажки при фолликулярном бронхиолите
Констриктивная форма бронхиолита – итог всех видов заболевания. Развивается необратимый фиброз с концентрическим сужением бронхиолы. Фиброз распространяется вдоль бронхиолы, нарушает коллатеральную вентиляцию, вызывая обструкцию. Сужение просвета бронхиолы приводит к гипоксии, вазоконстрикции, возникновению первоначально воздушных подушек” (клапанный механизм), а затем ателектаза дольки. При КТ регистрируется “пестрая” картина легочной ткани за счет чередования участков повышенной и пониженной плотности, бессистемно чередующихся друг с другом. Это обусловлено нарушением кровотока в области констрикции бронхиолы, олигемией в данной зоне и перераспределением перфузии в зоны с ненарушенной вентиляцией. При КТ эти зоны имеют повышенную прозрачность. Мозаичность изменений плотности легкого лучше видна при сканировании одной и той же области легкого на вдохе и выдохе, так как вентиляция патологически измененной части легкого не меняется в различные фазы дыхания. При значительном распространении изменений, обусловленных обструктивным бронхиолитом, разница в плотности различных участков легочной ткани на вдохе и выдохе нивелируется, оставаясь одинаковой независимо от фазы дыхания.
Один из вариантов констриктивного бронхиолита – синдром Swyee–James, возникающий у детей после перенесенного вирусного бронхиолита. Поражение носит односторонний характер, развиваются бронхоэктазы с тонкой стенкой, участки центрилобулярной эмфиземы, снижение прозрачности легочной ткани.
За счет фиброза развивается центрилобулярная эмфизема [8]. При КТ определяются двусторонние, диффузные мелкоочаговые и линейные уплотнения (как при целлюлярной форме бронхиолита), утолщение стенок мелких бронхиол, дилатация просвета, поля “матового стекла” по периферии легкого, чередующиеся с участками центрилобулярной эмфиземы. Поражается практически все легкое (рис. 5).
Рис 5. КТ – перибронхиальный фиброз, центрилобулярная эмфизема, симптом “матового стекла”, центрилобулярные очажки.
Дифференциальная диагностика
Дифференциальная диагностика бронхиолитов проводится с аллергическими альвеолитами (гиперчувствительными пневмонитами), при которых также возможно выявление мелкоочаговых изменений в легочной ткани. Однако они локализуются в альвеолах, диффузно, гомогенно распределены в легком. Как правило, клиническая картина обусловлена вдыханием сенсибилизирующего антигена.
Как было указано выше, облитерирующий бронхиолит при распространении полипоза на альвеолы приводит к развитию ОБОП. Очаговые инфильтративные изменения легких по ходу бронхов с образованием симптома “воздушной бронхограммы”, реакция плевры в виде ее утолщения позволяют провести разграничение с бронхиолитами.
“Пестрая” картина легочной ткани может возникать не только при констриктивном бронхиолите, но и при других видах нарушения легочной гемодинамики – хронической тромбоэмболии легочных артерий, легочной гипертензии. Дифференциальная диагностика основывается на данных клинической картины, анамнеза.
Таким образом, компьютерная томография, особенно в модификации КТВР, на сегодняшний день ведущий метод диагностики поражения дистальных отделов респираторного тракта, диагностики вида поражения, распространенности, нарушения вентиляции, динамики процесса. Традиционная рентгенография играет вспомогательную роль в ориентировочной оценке макроструктуры легкого, дифференциальной диагностике с другими заболеваниями, мониторинге динамики болезни.
Cписок литературы
1. Авдеева О.Е. и др. // Хронические обструктивные болезни легких / Под ред. Чучалина А.Г. М., 1998. 462 с.
Лучевая диагностика заболеваний бронхов
• заболевание
• преимущественное поражение дистальных отделов
дыхательных путей, паренхимы легкого
• формирование эмфиземы
• развитие необратимой(или не полностью)
бронхиальной обструкции, вызванной
продуктивной неспецифической персистирующей
воспалительной реакцией
• развивается у предрасположенных лиц
• проявляется кашлем, отделением мокроты,
прогрессирующей отдышкой
• с исходом в хр.дыхательную недостаточность и
легочное сердце
3. ПРИЗНАКИ ОБСТРУКТИВНЫХ ИЗМЕНЕНИЙ ПРИ ХОБЛ
• уплощение купола диафрагмы вплоть до прогибания в
сторону брюшной полости
• ограничение подвижности диафрагмы при дыхательных
пробах
• увеличение ретростернального пространства
• увеличение передне-заднего размера грудной клетки
(бочкообразная грудная клетка)
• вертикальное положение сердца, обычно митральная
конфигурация сердечной тени
• «саблевидная» трахея- преобладание передне-заднего
размера на боковом снимке над фронтальном на прямом
4. ИЗМЕНЕНИЯ ЛЕГОЧНОГО РИСУНКА ПРИ ХОБЛ
• усиление и деформация л.рисунка в прикорневых
и наддиафрагмальных отделах
• утолщение стенок крупных бронхов
• нечеткие контуры сосудов, бронхов, корней легких
эти изменения в практической работе обозначают
как «пневмофиброз»
Перибронхиальный, периваскулярный фиброз медленно прогрессирует и является необратимым !
Левожелудочковая недостаточность и ОРВИ - не
менее частые причины изменения л.рисунка - но
изменения рисунка - обратимые !!
5. ПРИЗНАКИ ИНТЕРСТИЦИАЛЬНОГО ОТЕКА И ВЕНОЗНОГО ЗАСТОЯ выявляются при обострении ХОБЛ
ИНТЕРСТИЦИАЛЬНЫЙ ОТЕК
• усиление и деформация легочного рисунка
• перибронхиальные, периваскулярные муфты
• утолщение междолевой плевры
• расширение и потеря четкости контуров корней легких
ЕСЛИ + ЛЕВОЖЕЛУДОЧКОВАЯ НЕДОСТАТОЧНОСТЬ
• линии Керли - перегородочные линии, перпендикулярные
грудной стенке.
• плевральный выпот, чаще правосторонний или
двухсторонний
признаки ВЕНОЗНОГО ЗАСТОЯ похожи на «пневмофиброз»,
поэтому заключение о наличии ПФ только после снимков
в динамике и данных функционального исследования !
6. ПРИЗНАКИ ЭМФИЗЕМЫ ЛЕГКИХ
ПРЯМЫЕ ПРИЗНАКИ - характеризуют БУЛЛЕЗНУЮ
ЭМФИЗЕМУ
• крупные тонкостенные полости
• обширные участки легких, лишенные л. рисунка с
раздвиганием и обрывом сосудов
ПРИЗНАКИ БРОНХИАЛЬНОЙ ОБСТРУКЦИИ ЧАСТО
ПРИНИМАЮТ ЗА ЭМФИЗЕМУ
НА РАННИХ СТАДИЯХ ЭМФИЗЕМА НЕ МОЖЕТ БЫТЬ
ВЫЯВЛЕНА НА РЕНТГЕНОГРАММАХ
ВНУТРИДОЛЬКОВАЯ ЭМФИЗЕМА МОЖЕТ БЫТЬ
ВЫЯВЛЕНА ТОЛЬКО ПРИ КТ
7. Заболевания крупных бронхов
Бронхоэктазы
• Цилиндрические
• Мешочатые
• Веретенообразные(варикозные)
Прямые признаки БЭ
• Расширение просвета бронха (увеличение
диаметра бронха по отношению к прилежащей
артерии)
• Отсутствие уменьшения диаметра бронха к
периферии
• Видимость просветов бронхов в кортикальных
отделах
9. Бронхоэктазы
• Деление на цилиндрические, мешотчатые и т.д.
имеют значения для диагностики, но не для
выбора тактики лечения
• Большее значение – распространенность и
локализация
• На аксиальных срезах локализуется в центре
легочных полей
• Ателектатические бронхоэктазы – у
средостения
Косвенные признаки БЭ
• Утолщение или неровность стенок бронхов
• Заполнение расширенных бронхов (секрет, гной,
мукоцеле)
• Неравномерная воздушность легочной ткани в
зоне БЭ в виде
- участков мозаичной плотности при
инспираторной КТ,
- зон клапанного вздутия (при экспираторной КТ)
Бронхиолит на рентгене
Бронхиолит – заболевание дистальных отделов бронхов, состоящих из терминальных и респираторных бронхиол.
Бронхиолит – заболевание дистальных отделов бронхов, состоящих из терминальных и респираторных бронхиол.
Терминальные (синоним – мембранозные) бронхиолы диаметром 1–2 мм переходят в респираторные (0,6 мм в диаметре), которые через поры связаны с альвеолами. Терминальные бронхиолы являются только воздухоприводящими, респираторные принимают участие в проведении воздуха и газообмене. Общая площадь сечения терминального отдела респираторного тракта во много раз превышает площадь сечения трахеи и крупных бронхов (53–186 см2 против 7–14 см2), однако на долю бронхиол приходится только 20% сопротивления воздухопотоку. В связи с малым сопротивлением терминальных отделов респираторного тракта на ранних этапах поражение бронхиол может протекать бессимптомно, не сопровождаться изменениями функциональных тестов и является случайной находкой при компьютерной томографии легких высокого разрешения (КТВР).
Благодаря находкам КТВР ранее существовавшее мнение о редкости бронхиолитов в настоящее время не находит подтверждения. Накапливается все больше фактов в пользу того, что поражение бронхиол может быть пусковым механизмом многих хронических и острых заболеваний легкого – астмы, хронического обструктивного бронхита, идиопатических интерстициальных пневмоний и других. С клинических позиций любое воспалительное поражение бронхиол трактуется как констриктивный (облитерирующий) бронхиолит, что обусловлено сужением их просвета и нарушением функции воздухопроведения [1].
Клиническая классификация заболеваний бронхиол приведена ниже:
2-Диффузная форма (панбронхиолит)
4-Констриктивная форма (облитерирующий бронхиолит):
Патоморфологические варианты изменений бронхиол приведены ниже:
-Респираторный бронхиолит курильщика
-Облитерирующий бронхиолит с внутрипросветным полипозом
-Респираторный бронхиолит, связанный с заболеванием интерстициальной ткани легкого
-Облитерирующий бронхиолит с организующей пневмонией
Воспалительный процесс приводит к концентрическому сужению просвета бронхиол, частичной или полной облитерации рубцовой соединительной тканью, разрастающейся в подслизистом слое и (или) в адвентиции.
Возникают бронхиолярный, перибронхиолярный хронический воспалительный инфильтрат, слизистые пробки в просвете, застой секрета, формируются бронхиолоэктазы. По мере прогрессирования процесса могут поражаться крупные бронхи, где нередко обнаруживаются цилиндрические бронхоэктазы. Все бронхиолиты протекают с одинаковой клинической картиной прогрессирующей одышки, слабым ответом (за отдельными исключениями) на стероидную терапию, плохим прогнозом.
Констриктивная форма бронхиолита приводит к выраженным патоморфологическим изменениям терминальных отделов респираторного тракта [7].
Морфологические признаки констриктивного облитерирующего бронхиолита приведены ниже:
-Острые воспалительные изменения слизистой
-Острое или хроническое воспаление стенок
-Рубцовые изменения стенок, адвентиции
-Необратимая облитерация, сужение просвета
Лучевые методы – рентгенография и компьютерная томография (КТ) – основные в прижизненной оценке макроструктуры легочной ткани [2–4, 6, 8].
Традиционная двухпроекционная рентгенография и продольная томография регистрируют далеко зашедшие случаи бронхиолитов, выявляя диффузное, диффузноочаговое усиление легочного рисунка, эмфизематозно вздутые участки легкого, перибронхиальный фиброз крупных бронхов, уплотнение корней, малую подвижность диафрагмы (рис. 1).
Изменения на рентгенограммах неспецифичны и наблюдаются не только при бронхиолитах, но и в целом ряде других патологических состояний.
Компьютерная томография имеет ряд особенностей в визуализации дистальных отделов респираторного тракта. При отсутствии в них патологических изменений паренхима легких на уровне дольки не находит отображения при КТВР. При развитии воспалительного процесса в бронхиоле происходит утолщение ее стенки, накопление секрета в просвете, развитие гиповентиляции или, наоборот, вздутия за счет клапанного механизма нарушения воздухопотока в альвеоле.
Комплекс вышеописанных процессов в зависимости от локализации, распространенности, фазы течения воспалительных изменений приводит к различным вариантам отображения бронхиол и альвеолярной ткани на компьютерных томограммах высокого разрешения. Компьютерная томография в зависимости от гистоморфологического варианта развития обструктивного бронхиолита выявляет различные изменения макроструктуры респираторного тракта.
Целлюлярная, фолликулярная, профессиональные формы бронхиолитов имеют идентичное отображение при КТВР. За счет воспаления или гиперплазии лимфоидных элементов (при фолликулярном бронхиолите) поражаются все слои стенки бронхиолы, формируется перибронхиолярный компонент.
На компьютерных томограммах определяются центрилобулярно расположенные, плотные,мелкие очажки или линейные структуры с отходящими под острым углом дополнительными “веточками” с очажками.
Данный симптом обозначен нами как “ветка вербы”. Диаметр очажков, линейных структур соответствует диаметру бронхиол и равен 1–2 мм (рис. 2).
Симптомы обусловлены визуализацией при КТ уплотненных за счет воспаления и внутрипросветного скопления слизи бронхиол.
При параллельном их ходе к КТ-срезу они отображаются в виде “ветки вербы”, при перпендикулярном – округлой формы очажками(рис. 3).
При заполнении воспалительным секретом, инфильтрации, фиброзе стенок респираторной бронхиолы происходит ее визуализация при КТВР в центре дольки.
Однородная внутренняя структура, мягкотканная плотность (40–60 H) указывают на далеко зашедший воспалительный процесс, необратимые фиброзные изменения. Увеличение очаговых и линейных структур более 5–6 мм, возникновение нечет кости, размытости их контуров свидетельствуют о распространении воспалительного процесса на окружающие ткани, в том числе альвеолярную. Это является важным прогностическим признаком осложнения облитерирующего бронхиолита – перехода процесса в облитерирующий бронхиолит с организующей пневмонией (ОБОП).
Респираторный бронхиолит (бронхиолит курильщика) отличается от предыдущих видов бронхиолитов появлением очагов центрилобулярной эмфиземы, зон “матового стекла”. Это обусловлено сужением просвета бронхиолы, возникновением клапанного механизма нарушения вентиляции дольки с последующим переходом в гиповентиляцию. При сканировании на вдохе и выдохе вентиляция практически не меняется, как это бывает при эмфизематозных изменениях, в том числе и в зоне“матового стекла”, что указывает на обструктивный генез изменений (рис. 4).
Целлюлярный бронхиолит, если он не был своевременно распознан и не лечился, может привести к облитерирующему бронхиолиту с развитием внутрипросветного полипоза (констриктивная форма бронхиолита). Возникают эндобронхиальные полипы из соединительной ткани, которые флотируют в просвете или плотно располагаются на стенке бронхиолы.
При КТ определяются центрилобулярно расположенные очажки размером 2–3 мм и более, отображающие грануляционную ткань полипов, перибронхиальное воспаление.
Нередко в процессе динамического наблюдения за больным фолликулярным бронхиолитом обнаруживается нарастание размеров бронхиол, появление нечеткости их контуров,полипов, что свидетельствует о прогрессировании заболевания. В ряде случаев бронхиолит может начаться с развития полипоза, при этом превалирует картина центрилобулярных очажков как проявления полипоза, симптом “ветки вербы” слабо выражен (рис. 5).
Констриктивная форма бронхиолита – итог всех форм заболевания. Развивается необратимый фиброз с концентрическим сужением бронхиолы. Фиброз распространяется вдоль бронхиолы, нарушает коллатеральную вентиляцию, вызывая обструкцию воздухопотока.
Запустевание бронхиолы приводит к гипоксии, вазоконстрикции, возникновению первоначально “воздушных ловушек” (клапанный механизм), а затем к ателектазу дольки. При КТ выявляется “пестрая” картина легочной ткани за счет чередования участков повышенной и пониженной плотности, бессистемно чередующихся друг с другом.
Это обусловлено нарушением кровотока в области облитерированной бронхиолы, олигемией в данной зоне и перераспределением кровотока в зонах с сохранной вентиляцией.
Облитерирующий бронхиолит
Облитерирующий бронхиолит – диффузное поражение бронхиол, приводящее к частичной или полной облитерации их просвета и развитию дыхательной недостаточности. Облитерирующий бронхиолит проявляется слабостью, лихорадкой, сухим навязчивым кашлем и нарастающей одышкой, дистанционными хрипами, в позднем периоде - цианозом и «пыхтящим» дыханием. Диагностика включает проведение рентгенографии и КТ органов грудной клетки, функциональных тестов, гистологического анализа ткани легкого. В терапии облитерирующего бронхиолита применяют кортикостероиды, муколитики, диуретики, антиоксиданты, антибиотики и противовирусные препараты.
МКБ-10
Общие сведения
Облитерирующий бронхиолит – обструктивное заболевание «малых дыхательных путей», протекающее с поражением терминальных бронхиол - разветвлений бронхов диаметром менее 3 мм, лишенных хрящевых пластин и желез. Грануляционные разрастания, развивающиеся в дистальных отделах дыхательных путей, альвеолярных ходах и альвеолах, приводят к прогрессированию дыхательной недостаточности, ранней инвалидности и смертности. Облитерирующий бронхиолит в пульмонологии встречается достаточно редко: его распространенность в детской популяции по различным сведениям варьирует от 0,2 до 4%. Большой разброс статистических данных объясняется сходством облитерирующего бронхиолита с другими болезнями органов дыхания (бронхиальной астмой, бронхоэктазами), а также трудностями диагностики.
Классификация облитерирующего бронхиолита
В соответствии с клинической классификацией, в основе которой лежит этиологический фактор, облитерирующие бронхиолиты разделяют на постинфекционные, посттрансплантационные, постингаляционные, лекарственно-индуцированные, идиопатические. В зависимости от патогистологических изменений бронхиолит может принимать острый (экссудативный) или хронический (продуктивно-склеротический) вариант течения.
Среди хронических облитерирующих бронхиолитов различают пролиферативные (с образованием люминального экссудата, бронхиолярных и альвеолярных телец Массона) и констриктивные (с субэпителиальным разрастанием фиброзной ткани, стенозом просвета и ригидностью стенки бронхиол). Пролиферативные формы заболевания представлены облитерирующим бронхиолитом с организующейся пневмонией и криптогенной организующейся пневмонией; констриктивные - респираторным бронхиолитом, диффузным панбронхиолитом, фолликулярным бронхиолитом.
При облитерирующем бронхиолите воспалительное поражение мелких дыхательных путей с развитием экссудации, гранулематозной реакции и фиброза приводит к необратимым изменениям стенок бронхиол: концентрическому сужению и облитерации просвета, максимально выраженному на терминальных участках. Для облитерирующего бронхиолита характерно наличие бронхиолярного (перибронхиолярного) воспалительного инфильтрата из лимфоцитов, макрофагов и плазматических клеток, развитие цилиндрических бронхоэктазов с застоем секрета и образованием слизистых пробок.
При бронхиолите происходит снижение легочного капиллярного кровотока (на 25 - 75%), что вызывает гипертензию в малом круге кровообращения, увеличение нагрузки на правую половину сердца и гипертрофию правого желудочка («легочное сердце»). Исходом облитерирующего бронхиолита является ограниченный пневмосклероз или дистрофия ткани легкого без выраженного склероза со значительным нарушением функционального легочного кровотока.
Причины облитерирующего бронхиолита
Полиэтиологичность заболевания позволяет рассматривать его как проявление неспецифических тканевых реакций мелких дыхательных путей на действие различных повреждающих факторов.
Постинфекционные бронхиолиты чаще развиваются у детей и связаны с перенесенными инфекциями, вызываемыми аденовирусом, респираторно-синцитиальным вирусом, цитомегаловирусом, вирусом парагриппа, герпеса. Развитие острого облитерирующего бронхиолита также может быть вызвано другими возбудителями: микоплазмой, клебсиеллой, легионеллой, грибами рода аспергилл, ВИЧ.
Ингаляционный облитерирующий бронхиолит может быть обусловлен вдыханием токсических газов (диоксида серы, диоксида азота, хлора, аммиака), паров кислот, органической и неорганической пыли, никотина, кокаина. Лекарственный облитерирующий бронхиолит провоцируется приемом некоторых медикаментозных средств (цефалоспоринов, пенициллинов, сульфаниламидов, амиодарона, препаратов золота, цитостатиков).
К идиопатическим формам бронхиолита относят случаи заболевания, возникающие на фоне диффузных заболеваний соединительной ткани (ревматоидного артрита, системной красной волчанки), синдрома Стивенса – Джонсона, экзогенного аллергического альвеолита, аспирационной пневмонии, воспалительных процессов ЖКТ (язвенный колит, болезнь Крона), злокачественного гистиоцитоза, лимфомы и др.
Посттрансплантационный облитерирующий бронхиолит развивается у 20–50% пациентов, перенесших трансплантацию органов и тканей (комплекса сердце–легкие, обоих или одного легкого, костного мозга).
Симптомы облитерирующего бронхиолита
Начало облитерирующего бронхиолита острое или подострое с развитием симптомов интоксикации - слабости, недомогания, высокой лихорадки или субфебрильной температуры. Характерно наличие сухого навязчивого кашля, нарастающей экспираторной одышки сначала при физической нагрузке, а затем при малейшем напряжении.
На ранних этапах выявляются сухие свистящие, а затем мелкопузырчатые хрипы, часто слышимые на расстоянии (дистанционные). Позднее отмечается ослабление дыхания, вздутие грудной клетки. Кровохарканье при облитерирующем бронхиолите наблюдается редко. Признаки дыхательной недостаточности и легочной гипертензии в дальнейшем могут прогрессировать с формированием хронического «легочного сердца».
Течение патологии может быть скачкообразным с чередованием периодов ухудшения и относительной стабилизации состояния, но улучшения или разрешения заболевания не наступает. На поздних стадиях облитерирующего бронхиолита отмечается цианоз; значительное напряжение вспомогательных респираторных мышц шеи при дыхании (т. н. «пыхтящее» дыхание). Больных облитерирующим бронхиолитом в пульмонологии называют «синими пыхтельщиками».
Диагностика облитерирующего бронхиолита
Постановка диагноза облитерирующего бронхиолита затруднительна и базируется на анамнезе, клинических проявлениях, данных физикального осмотра, рентгенографии и КТ органов грудной клетки высокого разрешения, функциональных тестов (исследования газового состава крови, функции внешнего дыхания, определения окиси азота в выдыхаемом воздухе), результатах ЭКГ и ЭхоКГ, цитограммы бронхоальвеолярного смыва, а также гистологического анализа ткани легкого.
Стандартное рентгенологическое исследование грудной клетки при облитерирующем бронхиолите выявляет гипервентиляцию легких, слабовыраженную диссеминацию по очагово-сетчатому типу, уменьшение легочного объема. КТ легких, являясь более чувствительным методом диагностики, позволяет прижизненно обнаружить характерные признаки облитерирующего бронхиолита: прямые (сужение просвета бронхиол, почковидные разрастания, перибронхиальные утолщения и бронхиолоэктазы) и косвенные (мозаичное снижение прозрачности, сверхпрозрачность пораженных участков бронхиол, признаки «псевдоматового стекла», изменения легочной ткани дистальнее места облитерации).
Данные ЭКГ и ЭхоКГ указывают на наличие симптомов легочной гипертензии, формирование хронического «легочного сердца». Нарушение функции внешнего дыхания обструктивного типа и признаки гипервоздушности легких отмечаются при констриктивном облитерирующем бронхиолите; рестриктивный тип нарушения ФВД и снижение диффузионной способности легких – при пролиферативном облитерирующем бронхиолите. Снижение газообмена выражается в пониженном содержании кислорода и углекислого газа в артериальной крови (гипоксемия и гипокапния).
Самым информативным методом диагностики облитерирующего бронхиолита остается трансбронхиальная и торакоскопическая биопсия с гистологическим исследованием биоптата легкого, позволяющая выявить имеющиеся пролиферативно-склеротические изменения. Следует проводить дифференциальную диагностику облитерирующего бронхиолита с хроническим бронхитом, фиброзирующим альвеолитом, обструктивной эмфиземой легких, бронхиальной астмой.
Лечение облитерирующего бронхиолита
Трудности ранней диагностики облитерирующего бронхиолита, быстрое прогрессирование и необратимость изменений бронхиальной стенки сильно ограничивают возможности проводимого лечения, которое сводится к предупреждению дальнейшего развития воспалительного процесса и фиброзной пролиферации в мелких дыхательных путях и стабилизации состояния больного.
Основными лекарственными препаратами при облитерирующем бронхиолите являются кортикостероиды – чаще всего, преднизолон (дексаметазон), иногда в сочетании с иммунодепрессантами (циклофосфан). Ингаляционная терапия будесонидом, флутиказоном, беклометазоном позволяет уменьшить потребность в системных глюкокортикоидах за счет достижения более высоких концентраций препарата в тканях. При инфекционном генезе облитерирующего бронхиолита в острую фазу заболевания применяют противовирусные и антибактериальные средства.
При усилении бронхообструкции назначают муколитические препараты ( амброксол в ингаляциях или энтерально), бета2-адреномиметики (сальбутамол); при легочной гипертензии – диуретики (фуросемид, спиронолактон), метилксантины (эуфиллин), силденафил, аналоги простациклинов (илопрост), ингибиторы АПФ (каптоприл); при развитии гипоксемии - кислородотерапию. В терапии облитерирующего бронхиолита используются антиоксиданты (коэнзим Q10, мальдоний) в сочетании с витаминами, физиотерапия, массаж грудной клетки, бронхоальвеолярный лаваж.
Прогноз облитерирующего бронхиолита
Облитерирующий бронхиолит – быстропрогрессирующее заболевание, как правило, с неблагоприятным прогнозом. Осложняется развитием эмфиземы легких, гипертензии малого круга кровообращения, нарастающей легочной и сердечной недостаточностью. Даже адекватная фармакотерапия облитерирующего бронхиолита не позволяет восстановить нормальное морфофункциональное состояние дыхательных путей и ткани легких.
2. Облитерирующий бронхиолит/ Авдеев С.Н. , Авдеева О.Е., Чучалин А.Г.// Русский медицинский журнал. – 1998 - №4.
3. Постинфекционный облитерирующий бронхиолит у детей/ Бойцова Е.В., Овсянников Д. Ю.//Детские инфекции. – 2014.
Читайте также:
