Синтопия щитовидной железы. Кровоснабжение щитовидной железы. Сосуды щитовидной железы. Иннервация щитовидной железы. Нервы щитовидной железы.
Добавил пользователь Валентин П. Обновлено: 28.11.2025
Развитие щитовидной железы
Железа развивается из 1-го жаберного кармана, позади непарного зачатка языка, так что эмбриологически она представляет часть пищеварительного канала. Foramen caecum указывает место выроста железы.
Вырастающий отсюда эпителиальный тяж в своей верхней части до деления его на две доли преобразуется в просвет (ductus thyroglossus). В конце 4-й недели он обычно атрофируется и исчезает, от него остается только foramen caecum на языке. Упомянутая выше пирамидальная доля представляет остаток ductus thyroglossus. Могут возникнуть и добавочные щитовидные железы.
Учебное видео эмбриогенеза (развития) щитовидной и паращитовидных желез
Сосуды (кровоснабжение) щитовидной железы
Щитовидная железа получает две верхние щитовидные артерии (от a. carotis externa), две нижние (от truncus thyrocervicalis из a. subclavia) и пятую непарную (непостоянно) — a. thyroidea ima, которая может отходить от truncus brachiocephalicus, a. subclavia или от дуги аорты.
Вены образуют сплетения, располагающиеся под наружной капсулой; сплетения эти изливаются в три вены на каждой стороне: vv. thyroideae superior, mediae et inferior (две первые изливаются в v. jugularis interna, нижняя впадает в v. brachiocephalica sinistra).



Лимфатические сосуды многочисленны и образуют богатое сплетение; по ним отводится коллоид; отводящие лимфатические сосуды идут по ходу артерий и оканчиваются в nodi lymphatici paratracheales, cervicales profundi et mediastinales.
Нервы (иннервация) щитовидной железы
Нервы идут от tr. sympathicus (главным образом от среднего шейного узла, отчасти от верхнего или нижнего), от n. vagus (через nn. laryngei superior et inferior) и, возможно, от n. glossopharyngeus.



Редактор: Искандер Милевски. Дата последнего обновления публикации: 31.8.2020
Информация на сайте подлежит консультации лечащим врачом и не заменяет очной консультации с ним.
См. подробнее в пользовательском соглашении.
Синтопия щитовидной железы. Кровоснабжение щитовидной железы. Сосуды щитовидной железы. Иннервация щитовидной железы. Нервы щитовидной железы.
Боковые доли щитовидной железы через фасциальную капсулу латеральными поверхностями соприкасаются с фасциальными влагалищами общих сонных артерий.
Задневнутренние поверхности боковых долей щитовидной железы прилежат к гортани, трахее, трахеопищеводной борозде, а также к пищеводу, в связи с чем при увеличении боковых долей щитовидной железы возможно его сдавление. В промежутке между трахеей и пищеводом справа и по передней стенке пищевода слева поднимаются к перстнещитовидной связке возвратные гортанные нервы. Эти нервы в отличие от около щитовидных желез лежат вне фасциалыюй капсулы щитовидной железы.
Таким образом, участок на задней поверхности боковой доли щитовидной железы составляет «опасную зону» щитовидной железы, к которой подходят ветви нижней щитовидной артерии, перекрещивающиеся здесь с возвратным гортанным нервом, а рядом расположены околощитовидные железы.
При сдавлении n. laryngeus recurrens или при переходе воспалительного процесса с железы на этот нерв голос становится сиплым (дисфония).

Кровоснабжение щитовидной железы. Сосуды щитовидной железы.
Кровоснабжение щитовидной железы осуществляется двумя верхними щитовидными (из наружных сонных артерий) и двумя нижними щитовидными (из щитошейных стволов подключичных артерий) артериями. В 6—8% случаев в кровоснабжении железы принимает участие непарная самая нижняя щитовидная артерия, a. thyroidea ima, отходящая от плечеголовного ствола. Артерия поднимается к нижнему краю перешейка щитовидной железы в клетчатке предвисцерального пространства, о чем следует помнить при проведении нижней трахеотомии.
Верхняя щитовидная артерия, a. thyroidea superior кровоснабжает верхние полюсы боковых долей и верхний край перешейка щитовидной железы.
Нижняя щитовидная артерия, a. thyroidea inferior отходит от truncus thyrocervicalis в лестнично-позвоночном промежутке и поднимается под 5-й фасцией шеи по передней лестничной мышце вверх до уровня VI шейного позвонка, образуя здесь петлю или дугу. Затем она спускается книзу и кнутри, прободая 4-ю фасцию, к нижней трети задней поверхности боковой доли железы. Восходящая часть нижней щитовидной артерии идет кнутри от диафрагмального нерва. У задней поверхности боковой доли щитовидной железы ветви нижней щитовидной артерии пересекают возвратный гортанный нерв, находясь кпереди или кзади от него, а иногда охватывают нерв в виде сосудистой петли.
Щитовидная железа окружена хорошо развитым венозным сплетением, расположенным между фиброзной и фасциальной капсулами (рис. 6.16).
От него по верхним щитовидным венам, сопровождающим артерии, кровь оттекает в лицевую вену или непосредственно во внутреннюю яремную вену. Нижние щитовидные вены образуются из венозного сплетения на передней поверхности железы, а также из непарного венозного сплетения, plexus thyroideus impar, расположенного у нижнего края перешейка щитовидной железы и впереди трахеи, и впадают соответственно в правую и левую пле-чеголовные вены.
Иннервация щитовидной железы. Нервы щитовидной железы.
Иннервация щитовидной железы осуществляется ветвями симпатического ствола, верхнего и возвратного гортанных нервов.
Лимфоотток от щитовидной железы происходит в предтрахеальные и паратрахеальные лимфатические узлы, а затем в глубокие лимфатические узлы шеи.
Щитовидная железа. Топография щитовидной железы. Границы щитовидной железы. Строение щитовидной железы. Капсула щитовидной железы. Доли щитовидной железы.
Щитовидная железа расположена ниже подъязычной кости и тесно связана с щитовидным и перстневидным хрящами. Она состоит из двух долей и перешейка, лежащего на первых кольцах трахеи.
Спереди щитовидную железу прикрывают следующие слои: кожа, подкожная жировая клетчатка, поверхностная фасция и platysma, поверхностная пластинка (2-я фасция) и предтрахеальная пластинка (3-я фасция) фасции шеи с подподъязычными мышцами. Из них поверхностнее лежит m. sternohyoideus, под ней располагается m. sternothyroideus. Верхние полюса боковых долей прикрыты верхними брюшками m. omohyoideus. Утолщение предтрахеальной пластинки фасции шеи (3-й фасции), фиксирующее железу к щитовидному, перстневидному хрящам и трахее, называется связкой, поддерживающей щитовидную железу, lig. suspensorium glandulae thyroideae [Berry].
Вслед за мышцами и 3-й фасцией располагается сращенная с ней париетальная пластинка 4-й фасции. По срединной линии шеи с этими фасциями срастается и 2-я, в результате чего образуется белая линия шеи, через которую можно подойти к щитовидной железе, не рассекая подподъязычных мышц.

За париетальным листком 4-й фасции лежит spatium previscerale, ограниченное сзади висцеральным листком 4-й фасции.
Висцеральный листок образует фасциальную, или наружную, капсулу щитовидной железы, окружая ее со всех сторон.
Под фасциальной капсулой щитовидной железы находится слой рыхлой клетчатки, окружающей железу, через которую к ней подходят сосуды и нервы. Фасциальная капсула не имеет тесной связи с железой, поэтому после ее рассечения можно перемещать (вывихивать) доли щитовидной железы.
Щитовидная железа имеет еще одну капсулу — фиброзную, capsula fibrosa, или внутреннюю. Эта капсула тесно связана с паренхимой железы, отдавая внутрь перегородки. Между фасциальной и фиброзной капсулами на задней поверхности щитовидной железы располагаются околощитовидные железы.
Верхние полюса боковых долей щитовидной железы доходят до середины высоты пластинок щитовидного хряща. Нижние полюса боковых долей щитовидной железы спускаются ниже перешейка и достигают уровня пятого-шестого кольца, не доходя на 2—2,5 см до вырезки грудины.
В 1/3 случаев имеется пирамидальная доля щитовидной железы, lobus pyramidalis [Lallouette], а иногда и добавочные доли щитовидной железы. Пирамидальная доля поднимается кверху от перешейка или от одной из боковых долей.
Перешеек щитовидной железы лежит спереди от трахеи (на уровне от первого до третьего или от второго до четвертого ее хряща). По отношению к перешейку определяется название трахеотомии (рассечения трахеи): если она производится выше перешейка, то называется верхней, если ниже — нижней. Иногда перешеек щитовидной железы отсутствует.
Узлы в щитовидной железе
В данной статье мы рассмотрим такую распространенную проблему, как узелки на щитовидной железе, поговорим о том, что это, о причинах возникновениях, симптомах, могут ли они рассосаться, как лечатся и другое. Также ответим на наиболее часто задаваемые вопросы по данной теме.
Щитовидная железа является одним из органов эндокринной системы, она расположена в области шеи, имеет две доли и перешеек. В данном органе вырабатываются важные гормоны, которые позволяют организму правильно функционировать, отвечают за обмен веществ.
Главным питающим веществом щитовидки является йод – его недостаток приводит к отклонениям и развитию патологий, которые лучше вовремя обнаружить, чтобы не допустить серьезных последствий.
Код по МКБ 10 у заболеваний щитовидной железы: Е00-Е07. В зависимости от классификации предусматривается определенный тип лечения.

Узелок в щитовидной железе имеет округлую форму и образуется вследствие избыточного процесса деления клеток самой железы.
На практике у человека может встречаться как один узел, так и несколько в любой доле или обеих. Большее количество таких образований являются доброкачественными, однако, встречаются и злокачественные, требующие серьезного вмешательства.
Для определения злокачественности, узлы на щитовидке подвергаются процедуре биопсии. Согласно статистике по биопсиям, 80-90% выявляют доброкачественную природу материала. На фото ниже видно, как выглядит шея у человека при обычном размере левой и правой доли щитовидки, а как она же может выглядеть при значительном увеличении размеров долей.

Чем опасны узлы в щитовидной железе
При увеличении ткани щитовидки, она может начать вырабатывать дополнительное количество гормонов, что создает дисбаланс в организме, нарушаются метаболические процессы, на фоне этого развиваются другие нарушения и заболевания. Также сильное разрастание тканей в какой-то момент может ухудшить качество жизни человека, могут проявиться такие симптомы, как резкое похудение, что связано с дисфункцией метаболических процессов, излишней потливостью, угнетением нервной системы и др.
Причины возникновения узлов на щитовидной железе
Что делать, если появился узел в щитовидке, решает врач на основании его природы и причин возникновения.
К сожалению, сегодня нет подтвержденных данных о том, почему происходит данный процесс. Но все склоняются к тому, что это связано с нехваткой йода в организме и наследственной предрасположенностью. Кроме того, что человек может получать мало йода с пищей, он может подвергаться большому потоку радиоактивного излучения. Известно, что радиация также способствует образованию узлов и даже рака.
Симптомы
Узлы щитовидной железы у женщин и мужчин обычно не сопровождаются симптомами, а выявляются на плановом УЗИ. Иногда, правда, при больших размерах, человек может заметить в области шеи нехарактерные для него припухлости или может обратить внимание на дискомфорт в области шеи при повороте головы и глотании.
Большой узел (более 1 см) врач может пальпировать и тогда на УЗИ уже уточняются его размеры и природа. Узлы небольшого размера могут не чувствоваться, поэтому важно самостоятельно раз в год делать ультразвуковую диагностику, чтобы контролировать состояние щитовидки.
Иногда пациенты путают дискомфорт, ощущение комка в горле, некоторые приступы удушья и т.п. с образование узелков в щитовидке, однако, чаще всего это сопряжено с неправильной работой других органов, например ЖКТ.
Диагностика
Если появились подозрения на узелки в щитовидке, то необходимо обратиться к врачу-эндокринологу, так как это полностью его сфера деятельности. Врач соберет анамнез, задаст необходимые вопросы по самочувствию, питанию, заболеваниях и наследственности, а также проведет пальпацию обеих долей щитовидки в области шеи.

Основными диагностическими процедурами при выявлении узлов и описания их характера выступают:
- ультразвуковая диагностика, при которой можно оценить структуру тканей, обнаружить образования;
- тонкоигольная аспирационная биопсия – взятие на анализ материала самих узлов, чтобы выяснить злокачественные они или доброкачественные;
- анализ на гормоны – сдается анализ на основные виды гормонов ТТГ, Т4 и Т3, также врач может назначить дополнительные исследования крови.
Перечисленные исследования направлены на выявление патологии и выяснение ее характера для того, чтобы назначить надлежащее лечение.
Лечение узлов щитовидной железы
Лечение назначается исходя из результатов диагностики. Сегодня доказано, что узлы могут быть при нормальных анализах гормонов, однако их значение очень важно. Если они в норме, а биопсия показала доброкачественность, то при нормальных размерах, узлы щитовидной железы не требуют хирургического вмешательства или серьезного медикаментозного лечения. Необходимо следить за их состоянием, то есть делать УЗИ и сдавать анализы на гормоны минимум раз в год.
Для поддержания функции эндокринной системы и для нормализации состояния, специалист может назначить дополнительный прием витаминно-минеральных комплексов, прием йода и селена. Также для нормализации состояния необходимо придерживаться правильного сбалансированного питания.

Как вылечить узлы на щитовидке без операции
При определенных показаниях необходимо хирургическое удаление узла или всего органа. Однако такое встречается редко. Чаще всего, пациенту назначается не хирургическое лечение, лечение гормональными препаратами и малоинвазивные процедуры, направленные на устранение избыточного объема узла и щитовидной железы.
Назначается прием синтетических гормонов, которые помогают нормализовать работу щитовидной железы, если она уже нарушена засчет нарушения выработки гормонов. Также назначаются йодсодержащие препараты, если дисфункция вызвана его нехваткой.
Для уменьшения размеров узлов в щитовидной железе могут использоваться такие методы как:
- склеротерапия – вводится небольшое количество этилового спирта в узел, вследствие чего он уменьшается или рассасываетя на некоторый промежуток времени;
- лазерная деструкция – с помощью светодиодной технологии лазер подавляет лишнюю ткань;
- радиочастотная абляция – деструкция узла происходит под воздействием излучения.
Но перечисленные методы пока еще не доступны для широкого применения и проходят клиническую апробацию.
К какому врачу обратиться
Для того чтобы лечение было успешным, необходимо изначально обратиться к квалифицированному специалисту, который проведет консультацию, поможет с расшифровкой проведенной диагностики. Таким высококвалифицированным специалистом в области эндокринного здоровья являюсь я, Романов Георгий Никитич. Я кандидат медицинских наук, почти четверть века веду врачебную практику, как в государственных, так и в частных мед. учреждениях, имею большой опыт лечения пациентов с узлами в щитовидной железе.
Кроме очных приемов в клинике, провожу платные онлайн консультации, на которые может попасть каждый и задать волнующие вопросы. Чтобы связаться со мной и записаться на прием, можно написать на почту в одной из социальных сетей или мессенджере: Viber, Telegram, Instagram, WhatsApp, Skype, ВКонтакте.

Наиболее популярные вопросы пациентов с ответами Романова Георгия Никитича
Галина: У меня уже 7 лет определяются узлы на щитовидке. Одни говорят оперироваться, другие – подождать. Что делать, не знаю.
Романов Г.Н: Действительно, это спорный вопрос, даже среди врачей. Предыдущее поколение врачей застало период, когда ВСЕ узлы в щитовидной железе подлежали удалению. Очень боялись перерождения в рак. Времена меняются, наука не стоит на месте. Сегодня активно внедрена практика пункции узлов. Если узел доброкачественный, то тактика выжидательная (просто наблюдение). Если есть малейшее подозрение на онкологический процесс - готовьтесь к операции. Кроме онкологии сегодня есть еще два показания к удалению узлов - косметический дефект и сдавление окружающих тканей и органов (трахеи и пищевода). Кроме этого необходимо еще и Ваше согласие.
Галина: А правда, что пункция провоцирует рост узлов в щитовидной железе и нельзя часто ее делать?
Романов Г.Н: Таких данных в мире не существует. Нигде и никогда не было доказано, что пункция узлов стимулирует их рост, и тем более перерождение. Повторные пункции врач Вам предложит только в двух случаях: когда появился новый узел или старый узел при повторном УЗИ исследовании изменился (быстро вырос, изменил контуры или свои характеристики).
Елена: Здравствуйте, доктор! Наблюдаюсь по поводу узлов щитовидной железы 20 лет. В 2003 г. была у Вас на консультации. В правой доле было всегда 2 узла, которые не имели тенденции к увеличению, росли немного только вместе со мной. 2 раза пунктировали - все хорошо. Гормоны в норме - золотая середина, последнее УЗИ показало, что один узел (13*11*13мм) стал нечетким, неоднородным, с неровными краями. Сдала кровь на гормоны - опять золотая середина, сама щитовидка не увеличена. Записалась на пункцию, ждать неделю. Очень волнуюсь. У меня вопрос - может ли 20-летний спокойный узел вдруг переродиться в злокачественный? И почему возникают такие перерождения??
Романов Г.Н: Это бывает крайне редко. Если и будет, то фолликулярная опухоль, которая очень редко ведет себя агрессивно. Я, думаю, все будет хорошо!
Татьяна23: Возраст 40 лет узи щитовидки размер 9,7 мм-правая, почти 5 мм -левая, анализы на гормоны tsn-1.2 ft4-16.2 anti-tpo 15.8 пункция железы (сказали хороший), врач никакого совета не дал: смотрите сами. Но сказал через полтора месяца делать опять пункцию, эта надо?? Посоветуйте, когда делать мне повторную пункцию и надо ли операция. Надо ли принимать какие либо медикаменты, витамины.
Романов Г.Н: Принимать ничего не надо! Контроль узи ЩЖ через 6 мес и все!
Оксана(Одесса): Здравствуйте! У меня обнаружен узел в щитовидной железе, 3 см. Есть анализы УЗИ, анализ на гормоны щитовидки, анализ биопсии.
1.Результаты УЗИ : щитовидная железа расположена типично, доли асимметричны, с четкими контурами. Размеры по Brunn(возрастная норма 12 куб.см): правая доля-22х26х50мм (объем-13.7 куб.см); левая доля-15х17х44мм (объем-5.4куб.см.), суммарный объем 19.1 куб.см. Перешеек толщиной 4мм. Структура железистой ткани однородная, ткань изоэхогенная. Занимая нижний и средний сегменты правой доли, определяется узел овальной формы умеренно повышенной эхогенности с четкими контурами размерами 31х21мм, сожержит анэхогенный очаг овальной формы размерами 6.5х4мм. Увеличение лимфоузлов не определяется.
2.Исследование содержания гормонов щитовидной железы и антител тиреоидной пероксидазе в сыворотке крови человека методом РИА:
Определение свободного тироксина(СТ4) - 19.0 нмоль/л
Определение тотального трийодтиронина(ТТЗ) - 2.1 нмоль/л
Определение тиреотропного гормона(ТТГ) - 3.2мМЕ/л
Определение антител к тиреоидной пероксидазе - не обнаружено.
3.ТАПБ щитовидной железы под контролем УЗИ
Диагноз: узловой зоб 2 стадии
Материал: Пунктат узла щитовидной железы.
Цитограмма фолликулярной опухоли (гиперклеточный коллоидный зоб?аденома?)
Скажите, пожалуйста, Ваше мнение, может быть какие-то признаки Вам непонятны?
Романов Г.Н: Удалить правую долю с узлом и забыть. К сожалению, других вариантов здесь нет.
Юлия: Здравствуйте.После лазерной деструкции узла на 4 день стало болеть горло внутри на уровне самого узла. Это нормально? Я очень переживаю.
Романов Г.Н: Это ожог и он должен болеть. Пока не заживет рана внутри.
Оксана: Добрый вечер, результаты УЗИ: в нижней трети справа изоэхогенный узел с четкими контурами,неоднородной структуры,размер 5×6 мм, с признаками кровотока. Это при нормальных гормонах и ткани в норме. Есть ли показания для пункции?
Романов Г.Н: Надо еще другие факторы риска онкозаболевания рассматривать для решения (Чернобыль, облучение головы и шеи, родственники и др.).
Надежда: Здравствуйте! Расшифруйте пожалуйста результаты тапб, что значит - признаки малигнизации не обнаружены? у меня узел почти 2 см, в правой доле.
Романов Г.Н: Это значит, что все хорошо.
Марина: Здравствуйте, доктор. У меня в 2013 году был обнаружен узел щитовидной железы. Сама железа увеличена. Правая доля была 23х22х50, левая доля 18х16х42, общий объем 19.5. И узел был 16.1 на 16.8 на 22 мм. Я будучи трусихой (возраст 42 года на данный момент), не сделала биопсию. И вот в этом году сделала повтор УЗИ. Размер правой доли длина 56, ширина 29,толщина 31. Левая доля длина 50, ширина 18, толщина 16. Общий объем 31.6. Узел в правой доле 36 на 23.5 на 29, с интра и перинодулярным кровотоком. И в левой доле маленький появился 4.7 мм. ТТГ сейчас 0.5. Ходила к хирургу,и он меня отругал,сказал,что надо оперировать было еще три года назад.Что у меня низкий ТТГ(хотя я думала,что это в пределах нормы).Вот пойду теперь только на биопсию,и хирург сказал,что независимо от ее результатов у меня нет других вариантов,кроме операции. Скажите пожалуйста свое мнение. Действительно ли все так плохо,как сказал хирург? Какие нормальные рекомендации Вы можете дать?
Романов Г.Н: Рост действительно значимый. Имеет значение и Ваша история (Чернобыль, наследственность?). Биопсия расставит все точки над i. Выполнить ее следует обязательно в Вашем случае.
Наталья: Добрый день! Моё УЗИ ЩЖ: Общий объём 7 см куб. Контуры ровные, структура однородная. Узел: 6мм*7мм*5мм, объём 0,13 см куб. форма округлая, контуры ровные, эхогенность - гипоэхогенный, структура неоднородная. Региональных лимфатических узлов нет. Скажите пожалуйста, стоит ли сейчас делать биопсию или можно понаблюдать.
Романов Г.Н: Через 6 мес контроль УЗИ и затем решение о ТАБ.
Башаренкова Ольга: Добрый день, Георгий Никитич! Мне 36 лет. Давно обследовала щж, результат - объем общий 18,3,анализы на гормоны все в норме ,но в правой доле гипоэхогенный узел 3*2*2 со смешанным кровотоком. Посоветовали делать каждый год узи и сдавать анализы на гормоны. В 2017 г. сделала узи - в сегменте правой доли - гипоэхогенный неоднородный узел 4,5*2,4*3,5мм со смешанным кровотоком ,в в/сегменте -киста 1,4*2,7мм. В с/сегменте левой доли-изоэхогенный узел с гипоэхогенным \"хало\"6,7*12,2*8,4мм с перинодулярным кровотоком. Анализы тпо-7,98; TSH-1.370,FT3-4.37, FT4-14.1. Волнуюсь из-за нового узла, а к врачу иду на следующей неделе. Может что-то порекомендуете, как уменьшить? Огромное спасибо.
Романов Г.Н: Вы 1980 года рождения, а значит в группе риска по Чернобылю. Придется все узлы более 1 см пунктировать.
Анна: Доброго времени суток! Предыстория такая - осенью делала общий анализ крови - повышен ттг до 6,при норме до 4,все остальные гормоны в норме,месяц назад начались головокружения,сбился цикл(вернее,его нет уже пару месяцев). Эндокринолог поставила диагноз гипотериоз,прописала L-тироксин по 25 мг,рентген турецкого седла и узи щитовидки. На рентгене была,результаты будут на следующей неделе, на узи нашли узел 8х11мм, гипоэхогенный, ровные нечеткие контуры, кровоток перинодулярный, все остальное в норме, советует делать биопсию, я сомневаюсь, думаю еще раз посетить эндокринолога. Мне 28 лет, у мамы тоже узлы(нормальные), у мужчин в семье таких проблем нет,наследственных заболеваний нет. Что посоветуете? Спасибо заранее)
Романов Г.Н: Тироксином восстанавливайте ТТГ и наблюдайтесь.
Светлана: Добрый день! Ответьте пожалуйста. На Узи нашли два узла в левой доле. Один размером 15мм пониженной плотности,другой 10мм кальцинированный.Сделали биопсию какого узла не знаю. Заключение - коллоидный зоб. Нужно ли делать биопсию другого узла. Можно ли сказать что второй узел тоже хороший. Спасибо.
Романов Г.Н: Они разные по структуре, поэтому надо делать пункцию двух узлов.
Ольга К: Здравствуйте! Лет 5 назад обнаружили первичный гипотиреоз на фоне АиТ. Прописан эутирокс дозировка 50. Последние анализы : Антитела к ТПО =5.68, Тиреотропный гормон=5.46, тироксин 14.3. Узи:17.12.14 ЩЗ правая доля 7.5, левая 6.0. эхоструктура -неоднородная. смешанная гиперэхогенность.В правой доле гиперэхогенность, структура 4.4*3.8 мм. Форма округлая,контуры четкие, хало. Структура однородная.
Узи 7.09.12:ЩЗ- правая доля 6.0, левая доля 4.2. Эхоструктура неоднородная. Дилатация сосудов нет. Гиперэхогенная тяжистость- нет. Эхогенность- изоэхогенная,неравномерная. Аномалии-нет. Узловое образование в правой доле 12.7*8.1мм.Форма-округлая.Контуры нечеткие. Эхогенность- гипоэхогенная. Структура однородная. Какие могут быть прогнозы? (пункцию делать не предлагали, повторное УЗИ через 3 мес.)
Романов Г.Н: Про УЗИ забудьте - займитесь нормализацией ТТГ.
Романов Г.Н: Очень похоже на простой кистозно-узловой зоб. Можно еще понаблюдать.
Выводы
Из данной статьи ясно, что ответ на вопрос «как избавиться от узлов на щитовидке?» не имеет единого ответа для всех пациентов.
Вопросы, ответы на которые были приведены, были взяты из моего форума, где я, Романов Георгий Никитич, постарался максимально четко ответить на поставленные вопросы, но стоит помнить, что у каждого человека есть индивидуальные факторы, которые также влияют на работу нашего организма.
Допплерография ― допплеровское ультразвуковое исследование щитовидной железы

В основе допплеровского исследования при УЗИ применяется эффект Допплера. Что это такое? Открытие этого явления Кристианом Допплером относится к 1842 году. В его основе ― возможность определения направления и скорости движущихся волновых сред в зависимости от длины волны и частоты.
Теоретический вывод К.Допплера был подтвержден в 1850 году на природе света. Как всегда, новое достижение в науке подверглось критике. В 1952 году Йозеф Пецваль представил в Академию наук свою работу, которой он пытался опровергнуть выявленный К.Допплером эффект странными суждениями о том, что теория Допплера опубликована всего на 8 страницах и не содержит сложных математических доказательств.
В 21 веке эффект Допплера был успешно применен в ультразвуковой диагностике с целью определения кровотока в органах. В частности ― в щитовидной железе.
Значение допплеровского УЗИ щитовидной железы
Допплерография щитовидной железы является важным способом изучения её ФУНКЦИОНАЛЬНОГО состояния, а именно ― величины напряжения частей щитовидной железы (долей, перешейка, их крупных и средних сегментов, а также узлов). Допплеровское УЗИ ЩЖ проводится в двух режимах ― ЦДК (цветовое допплеровское картирование/кодирование) и ЭДК (энергетическое допплеровское картирование/кодирование), а также двумя взаимно дополняющими способами: 1) определением интенсивности внутреннего кровотока и 2) оценки скорости кровотока (пиковой систолической скорости в системах верхней и нижней щитовидных артерий).
Изучение состояния и изменений только в серой шкале (В-режим) выявляет структурные особенности (т.е. анатомическое и гистологическое устройство) состояния щитовидной железы. Но допплеровское исследование значительно дополняет диагностику, сообщая о функциональном состоянии измененных участков в железе и всего органа в целом.

Рисунок 1. Серая шкала (В-режим) ультразвуковой диагностики.
Общие сведения о допплеровском УЗИ ЩЖ
• Все современные ультразвуковые аппараты оснащены технической возможностью допплеровского УЗИ.
• Любое УЗИ щитовидной железы обязательно должно проводиться с допплеровской диагностикой кровотока железы. Отсутствие этой части исследования при УЗИ указывает на неполноценность диагностики.
• При УЗИ щитовидной железы врач должен выявить интенсивность кровотока и наибольшую пиковую скорость в щитовидных артериях.
Если Вам сообщают, что допплеровское исследование щитовидной железы проводится отдельно от исследования «УЗИ щитовидной железы» и его цена дополнительная, то это ― признак административной хитрости.
Не существует каких-то особых показаний к допплерографии щитовидной железы. Все состояния щитовидной железы подлежат ультразвуковой допплеровской диагностике.
При каждом УЗИ щитовидной железы показана и обязательна Допплерография. ПРЕИМУЩЕСТВА же допплерографии заключаются в:
• Оценке функционального напряжения всей железы и ее частей (в т.ч. узлов),
• Выявлении признака рака узлов щитовидной железы.
Что должно быть в Протоколе УЗИ
Врач-УЗИ (сонолог) должен сообщить в документе «Протокол УЗИ ЩЖ» следующее:
• Интенсивность кровотока отдельно для каждой доли и перешейка ЩЖ,
• Определять интенсивность кровотока тремя признаками: малое, умеренное (среднее) и значительное усиление кровотока,
• Для каждой доли ЩЖ ― максимальную пиковую систолическую скорость кровотока (максПССК) в конкретном числовом значении, применяя величины в см\с,
• Для узла (-ов) щитовидной железы указывать ― интенсивность кровотока (малая, умеренная, значительная), характер распределения сосудов (упорядоченное или неупорядоченное).
Васкуляризация ― что это такое?
В «Протоколах УЗИ ЩЖ» врачи часто применяют слово «васкуляризация». Эта васкуляризация, по их выражению, может быть «не измененной», «увеличенной», «уменьшенной» и пр. Что такое васкуляризация щитовидной железы?
По-латински сосуд (кровеносный) ― vas (вас). Следовательно, «васкуляризация» ― это «сосудистость». Вот врачи и пишут о сосудистости щитовидной железы. Это выражение воспринимается странно. Как-то не по-русски. Но это никто не замечает, поскольку по-латыни не так заметно и, к тому же, «васкуляризацию» используют все врачи УЗИ. Васкуляризация стала привычной… врачам.
Эта «васкуляризация» пришла в профессиональный обиход из англоязычных научных статей. В таком заимствовании не было и нет потребности, но стремление «наших» к загранице так велико, и так хочется ПИСАТЬ НАУЧНО УМНО, что вместо русских слов специалисты в данном случае стали применять эту «васкуляризацию».
Заметьте, что англичане склонны сокращать. Вместо словосочетания «щитовидная железа» (у них ― Thyroid Gland) говорящие и пишущие на английском языке врачи применяют лишь одно слово ― Thyroid. Почти также у них произошло с «васкуляризацией».
В действительности, при УЗИ врачи видят наполнение сосудов кровью, а количество сосудов существенно не меняется. Поэтому правильно писать не о васкуляризации (сосудистости), а о кровотоке.
В научных и научно-популярных изданиях от Клиники щитовидной железы доктора А.В. Ушакова вы, читатель, никогда не увидите слово «васкуляризация» применительно к описанию реальной ультразвуковой картины. Лишь в качестве подобного пояснения значения терминов для пациентов и специалистов. Грамотно писать и говорить о «кровотоке», то есть об интенсивности и скорости «кровотока» железы.
Интенсивность кровотока щитовидной железы
Кровоток в ЩЖ определяется в режиме ЦДК или ЭДК. Многие врачи применяют ЦДК, а не ЭДК, несмотря на меньшее количество искажений при ЭДК. Наша Клиника предлагает всем коллегам выполнять оценку интенсивности кровотока в ЩЖ с помощью ЭДК, а скорость крови в режиме ЦДК, так как ЦДК позволяет цветом различать артерии от вен.

Рисунок 2. Два варианта ультразвукового допплеровского режима ― ЦДК (цветовое допплеровское картирование) и ЭДК (энергетическое допплеровское картирование). Программа УЗ-аппарата показывает сосуды цветом. Красным и синим при ЦДК и алым ― при ЭДК. При ЦДК видны сосуды (артерии и вены), несущие кровь в разных направлениях). При ЭДК не видно направления течения крови, но меньше погрешностей.
Допустим, врач правильно настроил допплеровские параметры своего УЗ-аппарата (в зависимости от настроек интенсивность кровотока может оказаться разной). Врач должен раздвинуть на своем видимом поле допплеровскую карту максимально широко, охватывая всю видимую часть ЩЖ. Попытка определить интенсивность кровотока в маленьком допплеровском окошке усложнит процесс и может способствовать ошибке.

Рисунок 3. Разные настройки режима ЭДК ультразвукового допплеровского исследования. Представлена одна и та же проекция правой доли щитовидной железы. Период между снимками ― 1 минута. Слева ― с нормальными базовыми настройками (смотрите справа значения PRF), справа ― с настройками более высокой чувствительности. Видно, что при изменении настроек определяется не нормальный, а усиленный кровоток.
Специалист должен просмотреть датчиком каждую долю и перешеек ЩЖ, продвигая датчик вдоль и поперек, определяя, таким образом, количество сосудистых элементов, которые программа окрашивает в цвета. При ЭДК ― обычно в алый цвет, при ЦДК ― в два цвета ― красный и синий.
Существуют 6 вариантов интенсивности кровотока в ткани щитовидной железы:
• Ослабленный,
• Нормальный (в составе нормального – оптимальный),
• Малого усиления,
• Умеренного усиленный,
• Значительно усиленный,
• Очень значительно усиленный.
Ослабленная интенсивность кровотока ― сосудистые элементы не видны или имеется 1-2 малого диаметра.
Нормальная интенсивность кровотока ― сосудистые элементы в доле ЩЖ от 3-4 до 10, без расширения магистральных сосудов.
Оптимальная интенсивность кровотока ― сосудистые элементы в доле ЩЖ около 5-7, без расширения магистральных сосудов.
Малое усиление интенсивности кровотока ― сосудистые элементы в доле ЩЖ от 10-12 до 20-25, с расширением некоторых сосудов.
Умеренное усиление интенсивности кровотока ― сосудистые элементы в доле ЩЖ от 20-25 до 35-40, с расширением магистральных сосудов внутри и по периметру доли.
Значительное усиление интенсивности кровотока ― сосудистые элементы в доле ЩЖ более 40, с расширением многих сосудов.
Очень значительное усиление интенсивности кровотока ― почти полное заполнение щитовидной железы сосудистыми элементами.

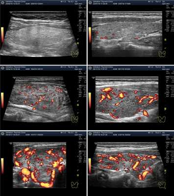
Рисунок 4. УЗИ ― допплеровское исследование интенсивности кровотока щитовидной железы. Показаны несколько вариантов: Ослабленный кровоток, нормальный кровоток, Малое усиление кровотока, Умеренное усиление кровотока и Значительное усиление кровотока.
О чём сообщает интенсивность кровотока в ЩЖ? Это очень важный вопрос! Наши коллеги думают о том, что на кровоток влияют какие-то активные химические вещества организма и связывают это с аутоиммунным тиреоидитом (АИТ). Нигде и ни в каких изданиях по УЗИ (статьях и руководствах) специалистов разных стран, кроме нашей Клиники, вы не встретите чёткого и конкретного пояснения механизма изменения кровотока в сосудистой сети щитовидной железы. Из текста этих «научных» работ видно, как авторы осторожны в своих выводах (Некоторые из них пишут, что якобы усиление кровотока может быть признаком воспаления). Просто удивительно, как им в голову не приходит, что мышечный тонус сосудов прямо управляется периферической вегетативной НЕРВНОЙ СИСТЕМОЙ (пВНС)! Ведь научной медицине известно, что именно пВНС регулирует тонус сосудов (Причина также проста ― многие десятилетия во всём мире врачей не обучают знаниям о пВНС и влиянии нервной системы на деятельность органов).
Итак, величина интенсивности кровотока в щитовидной железе прямо сообщает о том, с какой интенсивностью нервная система перенапрягает части железы. Ведь часто видно, что количество сосудистых элементов (т.е. интенсивность кровотока) не одинаково в правой и левой долях и может быть разным внутри одной доли (в её крупных частях (сегментах). Эта особенность не может быть контролируема только химически, так как химические вещества одинаково распределены в крови, но именно нервные стимулы могут по-разному влиять на разные части ЩЖ. Всё это было подробно пояснено доктором А.В. Ушаковым в его справочном руководстве для врачей «Клиническая ультразвуковая диагностика доброкачественной патологии щитовидной железы» (2018).
Какой вывод следует, если при допплеровском исследовании выявлено усиление кровотока? О чём думать? Усиление кровотока (или васкуляризации) прямо сообщает об увеличении нервной стимуляции щитовидной железы. То есть свидетельствует об избыточном перенапряжении ткани железы. Такое состояние способствует истощению и затем разрушению (деструкции) клеток щитовидной железы. В ответ на гибель клеток, с током крови в ткань ЩЖ проникают иммунные клетки (лимфоциты), очищают от разрушенных элементов ткани и способствуют регенерации. Это реальность, заметная при УЗИ, известная МЕДИЦИНЕ, как науке, но исключенная и неизвестная врачам, которые, как они думают, занимаются «наукой».
Скорость кровотока
Специальный допплеровский режим позволяет измерить скорость кровотока в верхней и нижней артериях долей щитовидной железы.
Определяется пиковая скорость крови, то есть наибольшая скорость среди разных потоков внутри артерии. Дело в том, что стенки сосудов тормозят движение крови, а центральная область сосуда движется с большей скоростью. Поэтому современные аппараты УЗИ способны определить скорость разных зон в сосуде и показать наибольшую, т.е. ПИКОВУЮ скорость кровотока. При этом определяется пиковая скорость в момент прохождения пульсовой волны, создаваемой сокращением сердца ― Пиковая Систолическая Скорость Кровотока (ПССК).
Но в зависимости от места расположения метки в щитовидной артерии, имеющей изгибы, сужения (с расширениями) и ответвления, пиковая скорость может быть разной. Поэтому важно, чтобы врач не только формально выявил ПССК, но выявил максимальную ПССК. Для этого врачу требуются знания, навык и, конечно, ― время.
Наиболее удобной для измерения ПССК является верхняя щитовидная артерия в связи с более поверхностным её нахождением, а также постоянством расположения самой артерии и её передне-медиальной ветви. Даже если условия предоставляют возможность и требуют оценки ПССК в нижней щитовидной артерии, всегда требуется измерение вместе с тем ПССК верхней артерии. Такая практика сохранит преемственность в диагностике. То есть можно будет сравнить значения с предыдущими, настоящими и последующими данными.
Варианты оценки Пиковой Систолической Скорости Кровотока
(По данным Клиники щитовидной железы доктора А.В. Ушакова, 2018)
• Ослабленная ПССК ― менее 20 см/с.
• Нормальная ПССК ― 20-30 см/с.
• Оптимальная ПССК ― 23-28 см/с.
• Малое усиление ПССК ― 30-50 см/с.
• Умеренное усиление ПССК ― 50-80 см/с.
• Значительное усиление ПССК ― более 80 см/с,
• Очень значительное усиление ПССК ― более 120 см/с.

Рисунок 5. Варианты Пиковой Систолической Скорости Кровотока (ПССК). Спектральная допплеровская диагностика кровотока щитовидной железы. Представлены основные случаи ПССК: Ослабленная, Нормальная, Малого усиления, Умеренного усиления, Значительного и Очень значительного усиления.
Если имеется усиление ПССК, то приходится судить об усиленном влиянии на ткань щитовидной железы и её сосуды со стороны периферической вегетативной нервной системы (пВНС). Увеличение ПССК может определяться при разных состояниях гормонального обмена ― эутиреозе, гипотиреозе и гипертиреозе. Это связано с ведущей ролью пВНС в деятельности щитовидной железы.
Эти значения справедливы для кровотока в сосудах узлов ЩЖ. По ПССК сосудов узлов можно судить о том, насколько активен процесс в ткани узлов щитовидной железы. Такой процесс может быть связан не только с интенсивностью образования гормонов, но и с явлениями размножения клеток (пролиферации) или их разрушения (деструкции). Всё это должен оценивать компетентный специалист и пояснять пациенту.
В Клинике щитовидной железы доктора А.В. Ушакова каждому пациенту определяется интенсивность кровотока и ПССК для долей щитовидной железы. Результаты сообщаются в «Протоколе УЗИ ЩЖ», в т.ч. распечатываются снимки долей в режиме ЭДК и со значениями ПССК.
Интенсивность кровотока узлов щитовидной железы
При описании узлов в Протоколе УЗИ врач должен сообщить об интенсивности узлового кровотока и его особенностях расположения в узле. В режиме ЦДК или ЭДК.
Кровоток узла может быть ослабленным, малым, умеренным и значительным. Эта характеристика важна для оценки скорости и течения процессов в узлах. Определение величины интенсивности кровотока узлов поможет в прогнозе изменений узлов в соответствии с их стадиями.

Рисунок. 6. Интенсивность кровотока узлов щитовидной железы. Показаны несколько вариантов интенсивности кровотока: Малой интенсивности, Умеренной интенсивности, Значительной интенсивности.
Сосуды узла могут определяться по периметру и внутри узла. Информация о том, что кровоток узла «смешанный» (то есть внутри и вокруг узла) не имеет особой клинической ценности, так как может также часто встречаться как в доброкачественных, так и в злокачественных узлах.

Рисунок. 7. Неупорядоченный кровоток узлов щитовидной железы.
Клиника щитовидной железы доктора А.В. Ушакова ввела такой признак оценки кровотока как его «упорядоченность». Под упорядоченностью кровотока узла понимается расположение сосудов в соответствии с естественным сегментарным устройством ткани узла. Упорядоченность кровотока узлов может быть в разной степени выражена. Беспорядочный кровоток (т.е. независимо от сегментов) относится к важному признаку злокачественности ткани узла. Такое беспорядочное расположение сосудов возникает при неравномерном и несегментированном прорастании сосудов вместе с образованием раковой ткани.
В завершении…
Вы ознакомились с обзором допплерографии щитовидной железы для пациентов. Врачебные особенности такой диагностики гораздо шире, имеют свои особенности и правила, которые доктор А.В. Ушаков передаёт врачам УЗИ (сонологам) во время непосредственного обучения и в своих монографиях.

Рисунок 8. Главный врач Клиники щитовидной железы, к.м.н. А.В. Ушаков проводит обучение специалистов УЗИ.
Читайте также:
