Скуловые ячейки сосцевидного отростка. Ячейки пирамиды по Муре
Добавил пользователь Евгений Кузнецов Обновлено: 23.11.2025
Мастоидит характеризуется общими и местными симптомами. Общие симптомы - ухудшение общего состояния, повышение температуры тела, изменение состава крови - существенно не отличаются от проявлений острого гнойного среднего отита. Анализ динамики этих признаков имеет диагностическое значение при подозрении на возможное вовлечение в воспалительный процесс сосцевидного отростка. Часто проходит 1-2 нед от начала острого среднего отита и на фоне улучшения клинической картины вновь ухудшается общее самочувствие, повышается температура, возобновляются боль и гноетечение из уха. Иногда гноетечение отсутствует из-за нарушения оттока гноя из среднего уха. В некоторых случаях мастоидит может возникнуть не после, а вместе с острым средним отитом.
Подъем температуры может быть незначительным, однако даже субфебрильная температура обращает на себя внимание после ее нормализации, наступившей после прободения барабанной перепонки при остром среднем отите. В периферической крови отмечается умеренный лейкоцитоз, появляется сдвиг в лейкоцитарной формуле влево, постепенное повышение СОЭ. Одновременно ухудшается общее состояние больного, понижается аппетит.
Боль нередко локализуется в ухе и в области сосцевидного отростка, у некоторых пациентов она охватывает половину головы на стороне поражения и усиливается ночью. Важным признаком мастоидита является болезненность при пальпации и перкуссии сосцевидного отростка, чаще в области верхушки или площадки сосцевидного отростка. Появляются также жалобы на шум в ухе или в голове на стороне больного уха и выраженная тугоухость.
При обследовании больного иногда определяется гиперемия и инфильтрация кожи сосцевидного отростка вследствие периостита. Может также наблюдаться сглаженность заушной складки и оттопыренность ушной раковины кпереди . При отоскопии обращают внимание на гноетечение из уха. Нередко оно бывает профузное, пульсирующего характера, сливкообразный гной заполняет наружный слуховой проход сразу после очистки уха. Иногда к обычному гноетечению через перфорацию в барабанной перепонке присоединяется обильное выделение гноя через заднюю стенку наружного слухового прохода. Установить причину такого усиления гноетечения можно только при тщательной очистке уха и обнаружении свища, откуда выделяется гной. Возможен и такой вариант течения мастоидита, когда отореи нет - это является признаком нарушения оттока гноя при закрытии дефекта барабанной перепонки или при блоке входа в пещеру.
Важным отоскопическим признаком мастоидита является нависание задневерхней стенки наружного слухового прохода в костном его отделе.
Нависание это связано с развитием периостита и давлением патологического содержимого в области передней стенки и входа в пещеру. В этом же месте иногда образуется фистула, через которую гной поступает в наружный слуховой проход. Барабанная перепонка при мастоидите часто гиперемирована, инфильтрирована.
В диагностике мастоидита большое значение имеет рентгенография височных костей в проекции по Шюллеру, при этом сравнивают больное и здоровое ухо. При мастоидите на рентгенограмме определяется различной интенсивности снижение пневматизации, завуалированность антрума и ячеек сосцевидного отростка. В поздних стадиях процесса, при деструктивной форме мастоидита, можно видеть разрушение костных перегородок и образование участков просветления за счет формирования полостей, выполненных гноем и грануляциями.
Распространение процесса в сосцевидном отростке и переход его на соседние анатомические образования зависят от развития воздухоносных клеток в различных отделах височной кости - чешуе, скуловом отростке, пирамиде и т.д. Воспаление в этих местах иногда сопровождается прорывом гноя в окружающие мягкие ткани.
Прорыв гноя через кортикальный слой на наружную поверхность сосцевидного отростка приводит к формированию субпериостального абсцесса. Предшествующие ему припухлость и пастозность кожи в заушной области, сглаженность заушной складки и оттопыренность ушной раковины при этом усиливаются.
Распространение гноя из верхушечных клеток сосцевидного отростка в межфасциальные пространства шеи обозначается как верхушечно-шейный мастоидит. Различные формы его, названные по именам авторов, отличаются местом прорыва гноя в области верхушки. Мастоидит Бецольда характеризуется распространением гноя через внутреннюю поверхность верхушки сосцевидного отростка под мышцы шеи. При этом наблюдается плотная припухлость мягких тканей шеи, иногда на протяжении от верхушки сосцевидного отростка до ключицы. Повороты головы болезненны, поэтому пациент держит голову в вынужденном положении, наклоненной в больную сторону. По клетчаточным пространствам шеи гной может достигнуть средостения и вызвать медиастинит.
Прорыв гноя через наружную стенку верхушки обозначается как мастоидит Орлеанского, распространение гноя через incisura digastrica медиальнее двубрюшной мышцы с образованием глубокого абсцесса шеи - мастоидит Муре. Распространение воспалительного процесса на основание скулового отростка называется зигоматицитом, на чешую височной кости - сквамитом. При этом наблюдается воспалительная реакция кожи соответствующей области (гиперемия, инфильтрация, локальная болезненность).
Возможно распространение гноя из сосцевидного отростка по клеточной системе в пирамиду височной кости, тогда развивается петрозит, клиническая картина которого обозначается как триада Градениго: острый средний отит, тригеминит, парез или паралич отводящего нерва.
Наибольшую опасность по частоте развития осложнений представляют атипичные формы мастоидита. Их возникновение и течение связано с рядом биологических факторов (возраст больного, общая и местная реактивность организма), вирулентностью возбудителя, строением височной кости, в частности ее ячеистой структуры. Особая роль в развитии атипичных форм мастоидита принадлежит нерациональной терапевтической тактике. При атипичном течении процесса отсутствует выраженная последовательность стадий развития воспаления, отдельные симптомы не имеют характерной четкости. Так, боль либо не беспокоит совсем, либо бывает слабой. Гноетечение может быть выражено минимально или отсутствовать совсем. В то же время следует учитывать, что атипичные формы почти всегда сопровождаются обширным разрушением кости, при этом возможно развитие внутричерепных осложнений.
Лечение
Различают консервативное и хирургическое лечение мастоидита. В любом случае, с учетом возможности развития тяжелых осложнений, лечение должно проводиться в условиях ЛОР-стационара. Консервативное лечение обычно имеет успех в экссудативной стадии мастоидита, когда еще нет деструкции (альтерации) кости и не нарушен отток экссудата. Основу консервативной терапии, соответствующей активному лечению острого среднего отита, составляет антибиотикотерапия, назначаются препараты широкого спектра действия, предпочтение отдается beta-лактамным антибиотикам. Важным компонентом лечения мастоидита является обеспечение свободного оттока гноя из среднего уха и местное использование антибактериальных препаратов с учетом чувствительности флоры из уха. Также обращают внимание на состояние носа, носоглотки и околоносовых пазух.
Если в течение суток после начала консервативного лечения основные симптомы значительно не уменьшились (температура тела, боль при пальпации заушной области, реактивные явления в области уха и др.), нужно переходить к хирургическому лечению. Частичное улучшение состояния больного позволяет продлить консервативное лечение, с определенной оптимизацией ее. Однако если основные симптомы остаются и после вторых суток лечения, с операцией медлить нельзя.
Обнаружение у больного при первичном осмотре признаков второй стадии (альтеративной) мастоидита является показанием к безотлагательному хирургическому лечению. Абсолютным показанием к неотложному хирургическому лечению являются появление признаков внутричерепных осложнений, возникновение осложнений в пограничных со средним ухом областях (субпериостальный абсцесс, прорыв гноя в области верхушки сосцевидного отростка, развитие зигоматицита, сквамита, петрозита). Операция, безусловно, показана, если у больного с мастоидитом появились признаки отогенного пареза или паралича лицевого нерва, развился лабиринтит.
При мастоидите выполняется операция антромастоидотомия - вскрытие антрума и трепанация сосцевидного отростка. Удаление патологических тканей должно быть полным, поэтому иногда операция заканчивается удалением всего отростка вместе с его верхушкой - мастоидэктомией. У детей до трех лет сосцевидный отросток не развит, поэтому операция носит название антротомии.
Операция преследует цель ликвидации гнойно-деструктивного процесса в сосцевидном отростке с одновременным дренированием барабанной полости. Вмешательство выполняется под эндотрахеальным наркозом, взрослых в ряде случаев оперируют под местной инфильтрационной анестезией.
Скальпелем делают разрез кожи, подкожной клетчатки и надкостницы, отступая на 0,5 см от переходной складки позади ушной раковины, длина разреза 5-6 см. При субпериостальном абсцессе делают сначала небольшой разрез кончиком скальпеля, чтобы дать отток гною, который находится обычно под давлением. Широким распатором отсепаровывают мягкие ткани с надкостницей, обнажая кортикальный слой в области площадки сосцевидного отростка, накладывают ранорасширитель типа «лира». Костная рана должна быть ограничена сверху linea temporalis, спереди задним краем слухового прохода, снизу - верхушкой сосцевидного отростка. Трепанация кости выполняется с помощью долот различных размеров, для этого можно использовать также фрезы или стамески Воячека. После вскрытия кортикального слоя кзади от spina suprameatum на 6-8 мм. и ниже linea temporalis на 4-5 мм. обычно вскрываются ячейки, выполненные гноем и грануляциями. Удаляя пораженную кость, постепенно углубляются по направлению к пещере, которая должна быть обязательно вскрыта для обеспечения дренажа барабанной полости. Пещера располагается на глубине 1,5-2 см. от поверхности сосцевидного отростка и проекционно определяется кзади от места перехода задней стенки наружного слухового прохода в верхнюю. Убедиться, что вскрытая полость в глубине костной раны является именно пещерой сосцевидного отростка, можно с помощью зондирования пуговчатым зондом, который через aditus ad antrum легко попадает в барабанную полость. Кроме того, на дне пещеры видно выпячивание гладкой ампулы горизонтального полукружного канала, кпереди от которого находится костный канал лицевого нерва. Дальнейший ход операции предполагает тщательное удаление кариозно измененной кости, гноя и грануляций. Выскабливание пещеры требует большой осторожности, чтобы при манипуляциях в передних ее отделах не вывихнуть наковальню, короткий отросток которой расположен на дне aditus. Также осторожно следует удалять кариозно измененную кость вблизи канала лицевого нерва, полукружного канала и сигмовидного синуса. При обширном кариозном процессе последовательно вскрываются все клеточные группы, включая верхушечные, перисинуозные, скуловые. По окончании этого этапа операции поверхность костной раны сглаживается костной ложкой или фрезами.
Элиминация гнойного очага в сосцевидном отростке завершается снесением задней стенки наружного слухового прохода до уровня ампулы горизонтального полукружного канала, но с сохранением annulus tympanicus. Выполняется также пластика задней кожной стенки слухового прохода, лоскут подшивается в нижнем углу раны. После промывания раны теплым раствором антисептика, просушивания и тампонады турундами, пропитанными стерильным вазелиновым маслом или левомеколем, операция завершается наложением на рану в заушной области первичных швов. Тампон удаляется через слуховой проход на 2-3 день после операции. При небольших процессах задняя стенка слухового прохода не снимается. После операции заушная рана ведется открытым способом.
Открыто ведется послеоперационная рана после расширенной мастоидотомии у больных с отогенными внутричерепными осложнениями В послеоперационном периоде обычно продолжают антибиотикотерапию, назначают витамины, общеукрепляющее лечение, местно проводят ультрафиолетовое облучение. Рану перевязывают ежедневно. Во время перевязки удаляют из раны турунды, осушают ее, промывают антисептическим раствором, затем вновь вводят турунды и накладывают повязку. По мере появления эпидермизации турунды не вводят, излишние грануляции удаляют кюреткой. При благоприятном течении послеоперационного периода заживление раны и излечение наступает обычно к 20-му дню.
Что провоцирует?
Возбудителями мастоидита являются те же микроорганизмы, которые вызывают развитие острого гнойного среднего отита.
Патогенез
Это наиболее частое осложнение острого среднего отита. Изменения в сосцевидном отростке при мастоидите различны в зависимости от стадии заболевания. При 1-й экссудативной стадии в процесс вовлекаются слизистая оболочка и надкостница ячеек сосцевидного отростка, ячейки выполнены экссудатом, слизистая оболочка воспалена и резко утолщена. 2-я стадия характеризуется преобладанием пролиферативно-альтеративных изменений, распространяющихся и на костные структуры сосцевидного отростка - это альтеративная, или деструктивная, стадия. При этом происходит разрушение кости остеокластами, образование грануляций. Костные перемычки между ячейками некротизируются. Ячейки сливаются, образуя одну общую полость, наполненную гноем, - формируется эмпиема сосцевидного отростка. Процесс разрушения кости может дойти до твердой мозговой оболочки средней или задней черепной ямки и вызвать различные внутричерепные осложнения. При разрушении одной из стенок сосцевидного отростка гной может прорваться на его поверхность с формированием субпериостального абсцесса, в скуловой отросток или в чешую височной кости, в каменистую часть пирамиды височной кости, через верхушку отростка в межфасциальные пространства шеи. Иногда формируются сразу несколько путей оттока гноя.
Мастоидит чаще наблюдается у больных с пневматическим типом строения сосцевидного отростка, его развитию способствует ряд факторов: высокая вирулентность возбудителя инфекции, снижение резистентности организма (в частности, при диабете, нефрите, других хронических заболеваниях), затруднение оттока из антрума и барабанной полости. Одна из причин развития мастоидита - нерациональное лечение острого среднего отита.
Диагностика
Диагностика мастоидита в типичных случаях не представляет трудностей, однако при атипичном течении заболевания диагноз усложняется. Следует учитывать совокупность объективных признаков мастоидита. Важное значение имеет рентгенография, при необходимости выполняется КТ или МРТ височных костей, которые являются наиболее информативным методом диагностики, при этом определяется различной интенсивности" снижение пневматизации, завуалированность ячеек сосцевидного отростка. Дифференциальная диагностика мастоидита проводится с фурункулом наружного слухового прохода при локализации его в области задней стенки. В этом случае, как и при мастоидите, возникает припухлость позади ушной раковины. Давление на planum mastoideum и верхушку сосцевидного отростка болезненно при мастоидите, а при фурункуле вызывает боль надавливание на козелок, жевание, потягивание за ушную раковину. При мастоидите эти симптомы отсутствуют, но имеется выраженное снижение слуха, что не характерно для фурункула. Кроме того, при фурункуле наблюдается сужение в перепончато-хрящевом отделе, при мастоидите - в костном.
К каким докторам следует обращаться?
Мастоидит - гнойное воспаление слизистой оболочки и костной ткани сосцевидного отростка височной кости.
Мастоидит
Мастоидит (mastoiditis; анатомическое (processus) mastoideus сосцевидный отросток + -itis) — воспаление сосцевидного отростка височной кости. Обычно бывает осложнением острого гнойного среднего отита и вызывается теми же микроорганизмами, что и отит, — стрептококком, стафилококком, пневмококком, энтерококком, протеем, кишечной или синегнойной палочкой и др. Иногда причиной мастоидита является травма сосцевидного отростка, крайне редко он развивается в результате гематогенного заноса возбудителя инфекции, например при сепсисе, сифилисе, туберкулезе.
Признаки
Основной симптом мастоидита — спонтанная или возникающая при надавливании боль в сосцевидном отростке. Отмечаются сглаженность заушной складки, пастозность наружных покровов над сосцевидным отростком вследствие периостита, иногда наличие инфильтрата в этой области. При возникновении субпериостального абсцесса ушная раковина значительно смещается кпереди и книзу. Характерным признаком мастоидита является сужение наружного слухового прохода в результате опущения задневерхней стенки его костной части, которая одновременно служит стенкой сосцевидной пещеры, или образования в ней инфильтрата. Барабанная перепонка утолщена, гиперемирована, при ее перфорации определяется обильное гнойное отделяемое, поступающее в наружный слуховой проход пульсовыми толчками. Отмечаются понижение слуха (кондуктивный тип тугоухости), повышение температуры тела до субфебрильных цифр; в гемограмме — нейтрофильный лейкоцитоз и увеличение СОЭ. У лиц с пониженной реактивностью, страдающих алиментарной дистрофией, гиповитаминозом, сахарным диабетом и другими заболеваниями, а также при неправильном лечении антибиотиками среднего отита может наблюдаться атипичное течение процесса, характеризующееся стертостью клинической картины при наличии выраженных морфологических изменений. У детей в возрасте до 1 года в связи с неразвитостью сосцевидного отростка и существованием лишь сосцевидной пещеры заболевание протекает в виде антрита. Гнойный процесс с сосцевидного отростка может перейти на скуловой отросток с развитием зигоматицита, для которого характерны появление болезненной припухлости впереди ушной раковины, распространяющейся иногда на область век, болей в области скулового отростка при жевании. Вовлечение в процесс каменистой части пирамиды височной кости приводит к формированию петрозита. При резко выраженной пневматизации верхушки сосцевидного отростка возможен прорыв гноя через верхушку в клетчаточные пространства мышц шеи (формы Бецольда, Орлеанского, Муре). У пациентов наблюдаются вынужденное положение головы (наклонена в сторону больного уха), боли в шее, иррадиирующие в плечо, отечность преимущественно в области верхушки сосцевидного отростка, распространяющаяся вниз. При мастоидите возможно развитие внутричерепных осложнений (экстрадурального или субдурального абсцесса, менингита, абсцесса головного мозга, энцефалита), а также лабиринтита, отогенного сепсиса.
Описание
Развитию мастоидита способствуют снижение общего и местного иммунитета, а также недостаточное дренирование отделяемого ячеек сосцевидного отростка и барабанной полости, что может быть обусловлено поздней спонтанной перфорацией барабанной перепонки или закрытием ее перфоративного отверстия либо отеком слизистой оболочки и развитием грануляций. На распространение воспалительного процесса в сосцевидном отростке оказывает влияние также степень его пневматизации.
В период экссудации отмечаются отек и инфильтрация мукопериостального слоя ячеек сосцевидного отростка и остальных систем среднего уха. Костные перекладины, костномозговые полости и сосудистые каналы ячеек подвергаются деструкции. В дальнейшем костные перекладины между ячейками разрушаются, ячейки сливаются, и весь отросток или его часть превращается в единую полость, заполненную распавшейся тканью, гноем и грануляциями. Если распад кости идет по направлению к наружным слоям сосцевидного отростка, гной прорывается под периост и образуется субпериостальный абсцесс.
Диагностика
Диагноз устанавливают на основании клинической картины; большое значение имеет рентгенологическое исследование. Рентгенографию проводят в боковой и косой проекциях. Рентгенологическая картина начальной экссудативной стадии характеризуется только затемнением сосцевидных ячеек; симптомы нарушения костной структуры отсутствуют. При деструктивных явлениях в костной ткани наблюдается снижение интенсивности теней костных перекладин, местами почти полное их отсутствие. Гнойное расплавление рентгенологически проявляется очагом разрежения костной ткани, которое при образовании абсцесса становится более интенсивным, полностью теряет свою структуру.
Лечение
Лечение в начальной стадии процесса консервативное: назначают антибиотики широкого спектра действия, сульфаниламиды, витамины, биостимуляторы, физиотерапевтические методы (УВЧ-терапия и др.), обеспечивают отток гноя из барабанной полости. При отсутствии эффекта прибегают к оперативному вмешательству. Показаниями к срочной операции являются признаки вовлечения в процесс мозговых оболочек или вещества мозга, симптомы сепсиса, лабиринтита. Производят простую трепанацию сосцевидного отростка с вскрытием его пещеры — антротомией. При необходимости антротомию дополняют широким вскрытием структур и резекцией верхушки сосцевидного отростка, при внутричерепных осложнениях вскрывают черепные ямки.
Прогноз при условии адекватного лечения, в том числе своевременного оперативного вмешательства, благоприятный: прекращается выделение гноя из уха, восстанавливается слух. При развитии внутричерепных осложнений, а также при поражении клетчаточных пространств шеи прогноз серьезный.
Профилактика
Профилактика направлена на своевременное и рациональное лечение острого гнойного воспаления среднего уха.
Скуловые ячейки сосцевидного отростка. Ячейки пирамиды по Муре
Скуловые ячейки сосцевидного отростка. Ячейки пирамиды по Муре
Скуловые ячейки располагаются в пределах верхнезадней стенки наружного слухового прохода, между ней и височной линией, распространяясь часто в корень и даже в дугу скулового отростка и иногда кверху в чешую височной кости. Наличие этих ячеек способствует возникновению так называемых зпгоматицитов (сквамо-зигоматицитов)—скуловых абсцессов, имеющих своим источником возникновения воспаление верхней стенки костного наружного слухового прохода.
При хорошо пневматизированных сосцевидных отростках ячейки часто распространяются в пирамиду височной кости. При этом по всей окружности лабиринта вплоть до верхушки пирамиды, под улиткой, как и вдоль гребня пирамиды и даже в костном массиве между полукружными каналами, встречаются ячейки, называемые пери-, супра-, инфраретролабиринтными, перитубарными и т. д. Сюда относятся также эпи- и гипотимпанальные ячейки, часть самых верхних перисинуозных (угловых) ячеек. Пневматизация переходит нередко за пределы височной кости и распространяется на затылочную кость (окципитальные ячейки).
Все эти ячейки могут быть гнойно инфицированы из барабанной полости и антрума и вести к образованию трудно распознаваемых даже во время операции глубоких экстрадуральных абсцессов, чреватых опасностью прорыва в лабиринт, во внутренний слуховой проход и в полость черепа.
Что касается более детальной топографии групп ячеек пирамиды, то приведем здесь данные Муре.
Суператтикальные ячейки развиваются в крыше аттика и сообщаются внизу с аттиком, снаружи—с ячейками в области чешуи и ячейками верхней стенки наружного слухового прохода, снутри—с суперлабиринтными ячейками, сзади—с периантральными ячейками. Близость этих ячеек к аттику, роль которого в патологии гнойного среднего отита столь велика, придает им серьезное значение.
Суперлабиринтные ячейки находятся между кортикальным слоем верхней поверхности пирамиды и верхней поверхностью капсулы лабиринта. Снаружи они сообщаются с суператтикальными и суперантральными ячейками, а книзу—с каналом лицевого нерва. Суперлабиринтные ячейки переходят в ячейки внутреннего слухового прохода, иногда тянущиеся вплоть до верхушки пирамиды.

Сублабиринтные ячейки располагаются между задним полукружным каналом и кортикальной пластинкой в области заднего рваного отверстия, отделяющей их от луковицы яремной вены. Эти ячейки с одной стороны переходят в ячейки нижней стенки внутреннего слухового прохода, распространяющиеся по направлению к верхушке пирамиды, с другой—в часть яремного отростка затылочной кости, прилежащую к заднему рваному отверстию.
Прелабиринтные ячейки встречаются очень редко. Располагаются вокруг евстахиевой трубы и канала сонной артерии, кпереди от улитки. Они исходят из передней стенки барабанной полости и сообщаются с супер- и сублабиринтными ячейками.
Ретролабиринтные ячейки находятся между задним полукружным каналом и кортикальной пластинкой задней черепной ямки в области пирамиды. Эти ячейки, окружающие водопровод преддверия, переходят кверху в суперлабиринтные, книзу—в сублабиринтные, кзади—в латеральные, глубокие пороговые ячейки.
Следует особо остановиться на пневматизации верхушки пирамиды. Под верхушкой пирамиды принято считать ту часть последней, которая отделяется условной плоскостью, проведенной через отверстие внутреннего слухового прохода и передний край наружного отверстия евстахиевой трубы. Таким образом, верхушка лежит антеро-медиально по отношению к лабиринту (улитке) и содержит больший отрезок горизонтальной части канала внутренней сонной артерии.
Верхушка пирамиды, как и сосцевидный отросток, может быть пневматизированной, диплоетической, смешанного строения и компактной. Пневматизация верхушки, выраженная в той или иной степени, встречается реже других типов строения. Обычно имеется несколько ячеек, окружающих канал внутренней сонной артерии (перикаротидные), но встречаются и перитубарные ячейки, и ячейки под гассеровым узлом; иногда имеется одна огромная ячейка, полностью пневматизирующая верхушку пирамиды.
Следует отметить, что, согласно большинству авторов, сосцевидный отросток пневматизирован чаще, чем верхушка пирамиды.
Информация на сайте подлежит консультации лечащим врачом и не заменяет очной консультации с ним.
См. подробнее в пользовательском соглашении.
Мастоидит
воспаление сосцевидного отростка височной кости. Обычно бывает осложнением острого гнойного среднего отита и вызывается теми же микроорганизмами, что и отит, — стрептококком, стафилококком, пневмококком, энтерококком, протеем, кишечной или синегнойной палочкой и др. Иногда причиной М. является травма сосцевидного отростка, крайне редко он развивается в результате гематогенного заноса возбудителя инфекции, например при сепсисе, сифилисе, туберкулезе.
Развитию М. способствуют снижение общего и местного иммунитета, а также недостаточное дренирование отделяемого ячеек сосцевидного отростка и барабанной полости, что может быть обусловлено поздней спонтанной перфорацией барабанной перепонки или закрытием ее перфоративного отверстия либо отеком слизистой оболочки и развитием грануляций. На распространение воспалительного процесса в сосцевидном отростке оказывает влияние также степень его пневматизации.
В период экссудации отмечаются отек и инфильтрация мукопериостального слоя ячеек сосцевидного отростка и остальных систем среднего уха. Костные перекладины, костномозговые полости и сосудистые каналы ячеек подвергаются деструкции. В дальнейшем костные перекладины между ячейками разрушаются, ячейки сливаются, и весь отросток или его часть превращается в единую полость, заполненную распавшейся тканью, гноем и грануляциями. Если распад кости идет по направлению к наружным слоям сосцевидного отростка, гной прорывается под периост и образуется субпериостальный абсцесс.
Основной симптом М. — спонтанная или возникающая при надавливании боль в сосцевидном отростке. Отмечаются сглаженность заушной складки, пастозность наружных покровов над сосцевидным отростком вследствие периостита, иногда наличие инфильтрата в этой области. При возникновении субпериостального абсцесса ушная раковина значительно смещается кпереди и книзу. Характерным признаком М. является сужение наружного слухового прохода в результате опущения задневерхней стенки его костной части, которая одновременно служит стенкой сосцевидной пещеры, или образования в ней инфильтрата. Барабанная перепонка утолщена, гиперемирована, при ее перфорации определяется обильное гнойное отделяемое, поступающее в наружный слуховой проход пульсовыми толчками. Отмечаются понижение слуха (кондуктивный тип тугоухоста), повышение температуры тела до субфебрильных цифр; в гемограмме — нейтрофильный лейкоцитоз и увеличение СОЭ. У лиц с пониженной реактивностью, страдающих алиментарной дистрофией, гиповитаминозом, сахарным диабетом и другими заболеваниями, а также при неправильном (бессистемном, недостаточными дозами) лечении антибиотиками среднего отита может наблюдаться атипичное течение процесса, характеризующееся стертостью клинической картины при наличии выраженных морфологических изменений. У детей в возрасте до 1 года в связи с неразвитостью сосцевидного отростка и существованием лишь сосцевидной пещеры заболевание протекает в виде Антрита. Гнойный процесс с сосцевидного отростка может перейти на скуловой отросток с развитием зигоматицита, для которого характерны появление болезненной припухлости впереди ушной раковины, распространяющейся иногда на область век, болей в области скулового отростка при жевании. Вовлечение в процесс каменистой части пирамиды височной кости приводит к формированию Петрозита. При резко выраженной пневматизации верхушки сосцевидного отростка возможен прорыв гноя через верхушку в клетчаточные пространства мышц шеи (формы Бецольда, Орлеанского, Муре). У больных наблюдаются вынужденное положение головы (наклонена в сторону больного уха), боли в шее, иррадиирующие в плечо, отечность преимущественно в области верхушки сосцевидного отростка, распространяющаяся вниз. При М. возможно развитие внутричерепных осложнений (экстрадурального или субдурального абсцесса, менингита, абсцесса головного мозга, энцефалита), а также лабиринтита, отогенного сепсиса.
Диагноз устанавливают на основании клинической картины; большое значение имеет рентгенологическое исследование. Рентгенографию проводят в боковой и косой проекциях. Рентгенологическая картина начальной экссудативной стадии характеризуется только затемнением сосцевидных ячеек; симптомы нарушения костной структуры отсутствуют. При деструктивных явлениях в костной ткани наблюдается снижение интенсивности теней костных перекладин, местами почти полное их отсутствие. Гнойное расплавление рентгенологически проявляется очагом разрежения костной ткани (рис.), которое при образовании абсцесса становится более интенсивным, полностью теряет свою структуру.
Дифференциальный диагноз проводят с фурункулом наружного слухового прохода, для которого характерны боль при надавливании на козелок или при потягивании ушной раковины, сужение слухового прохода в хрящевом отделе, отсутствие понижения слуха.
Лечение в начальной стадии процесса консервативное: назначают антибиотики широкого спектра действия, сульфаниламиды, витамины, биостимуляторы, физиотерапевтические методы (УВЧ-терапия и др.), обеспечивают отток гноя из барабанной полости. При отсутствии эффекта прибегают к оперативному вмешательству. Показаниями к срочной операции являются признаки вовлечения в процесс мозговых оболочек (см. Менингит) или вещества мозга (см. Энцефалиты), симптомы Сепсиса, Лабиринтита. Производят простую трепанацию сосцевидного отростка с вскрытием его пещеры — антротомией. При необходимости антротомию дополняют широким вскрытием структур и резекцией верхушки сосцевидного отростка, при внутричерепных осложнениях вскрывают черепные ямки.
Прогноз при условии адекватного лечения, в т.ч. своевременного оперативного вмешательства, благоприятный: прекращается выделение гноя из уха, восстанавливается слух. При развитии внутричерепных осложнений, а также при поражении клетчаточных пространств шеи прогноз серьезный.
Профилактика направлена на своевременное и рациональное лечение острого гнойного воспаления среднего уха.
Библиогр.: Выренков Ю.С. и Кривощапов В.М. Клиническое значение строения сосцевидного отростка у детей, Саратов, 1983; Земцов Г.М. Рентгенодиагностика воспалительных заболеваний среднего уха, М., 1965; Лихачев А.Г. Справочник по оториноларингологии, с. 162, М., 1984; Патология органа слуха у детей, под ред. М.Я. Козлова, с. 57, Л., 1976; Руководство по оториноларингологии, под ред. А.Г. Лихачева, т. 2, с. 137, М., 1960; Темкий Я.С. Острый отит и его осложнения, М., 1955.

Рентгенограмма левой височной кости (боковая проекция) в норме — хорошо определяется ячеистая структура сосцевидного отростка">
Рис. а). Рентгенограмма левой височной кости (боковая проекция) в норме — хорошо определяется ячеистая структура сосцевидного отростка.

очаг разрежения костной ткани (указан стрелками)">
Рис. б). Рентгенограмма левой височной кости (боковая проекция) при гнойном мастоидите — на месте ячеистой структуры сосцевидного отростка виден очаг разрежения костной ткани (указан стрелками).
Мастоиди́т атипи́чный (m. atypica) — М., протекающий без болей в области сосцевидного отростка и видимых внешних изменений.
Мастоиди́т верху́шечно-ше́йный (m. apicocervicalis) — верхушечный М., при котором гной распространяется под мышцами шеи.
Мастоиди́т верху́шечный (m. apicalis) — гнойный М., при котором процесс распространяется на ткани, покрывающие верхушку сосцевидного отростка.
Мастоиди́т гно́йный (m. purulenta) — М., характеризующийся образованием гнойного экссудата и разрушением костных перегородок между ячейками.
Мастоиди́т контузио́нный (m. e contusione) — атипичный М., развивающийся после воздушной контузии уха с нередким возникновением внутричерепных осложнений после длительного периода кажущегося выздоровления.
Мастоиди́т огнестре́льный (m. sclopetaria) — травматический М., развивающийся после огнестрельного ранения височной кости.
Мастоиди́т некроти́ческий (m. necrotica) — атипичный М. с некротическими изменениями в сосцевидном отростке; наблюдается при тяжелых формах скарлатины, при дифтерии, фузоспирпллезе.
Мастоиди́т перви́чный (m. priniaria) — М., возникший без предшествовавшего острого воспаления среднего уха.
Мастоиди́т рецидиви́рующий (m. recidiva) — воспаление рубцовой ткани в области костного дефекта сосцевидного отростка после мастоидотомии.
Мастоиди́т сифилити́ческий (m. syphilitica) — М. при вторичном или третичном сифилисе; проявляется чаще в форме периостита коркового слоя сосцевидного отростка.
Мастоиди́т туберкулёзный (m. tuberculosa) — М. при туберкулезе, характеризующийся казеозным распадом и секвестрацией стенок ячеек сосцевидного отростка.
1. Малая медицинская энциклопедия. — М.: Медицинская энциклопедия. 1991—96 гг. 2. Первая медицинская помощь. — М.: Большая Российская Энциклопедия. 1994 г. 3. Энциклопедический словарь медицинских терминов. — М.: Советская энциклопедия. — 1982—1984 гг .
Полезное
Смотреть что такое "Мастоидит" в других словарях:
Мастоидит — Вид головы сбоку. Область сосцевидного отростка (Mastoid process) расположена за ухом … Википедия
МАСТОИДИТ — (mastoiditis), осложнение гнойного отита, вызванное переходом воспалительного процесса на сосцевидный отросток и заключающееся в скоплении гноя в его ячейках, а часто сопровождаемое и разрушением самой кости. Т. к. клетки сосцевидного отростка… … Большая медицинская энциклопедия
МАСТОИДИТ — (от греч. mastoeides сосцевидный) воспаление сосцевидного отростка височной кости; главным образом осложнение гнойного воспаления среднего уха … Большой Энциклопедический словарь
мастоидит — сущ., кол во синонимов: 1 • болезнь (995) Словарь синонимов ASIS. В.Н. Тришин. 2013 … Словарь синонимов
мастоидит — (гр. mastos грудь, сосок + eidos вид) воспаление слизистой оболочки воздухоносных ячеек сосцевидного отростка височной кости, захватывающее также костную ткань; частое осложнение гнойного воспаления среднего уха. Новый словарь иностранных слов.… … Словарь иностранных слов русского языка
МАСТОИДИТ — мед. Мастоидит гнойное воспаление слизистой оболочки ячеек и костной ткани сосцевидного отростка височной кости. К атипичным формам мастоидита относят зигоматицит (зигоматит), сквамит, петрозит. Для петрозита характерно развитие триады Градениго … Справочник по болезням
мастоидит — (от греч. mastoeidés сосцевидный), воспаление сосцевидного отростка височной кости; главным образом, осложнение гнойного воспаления среднего уха. * * * МАСТОИДИТ МАСТОИДИТ (от греч. mastoeides сосцевидный), воспаление сосцевидного отростка… … Энциклопедический словарь
мастоидит Бецольда — см. Бецольда мастоидит … Большой медицинский словарь
мастоидит Муре — см. Муре мастоидит … Большой медицинский словарь
мастоидит Орлеанского — см. Орлеанского мастоидит … Большой медицинский словарь
Мастоидит
Мастоидит — воспалительное поражение сосцевидного отростка височной кости инфекционного генеза. Чаще всего мастоидит осложняет течение острого среднего отита. Клинические проявления мастоидита включают подъем температуры тела, интоксикацию, боли и пульсацию в области сосцевидного отростка, отечность и гиперемию заушной области, боль в ухе и снижение слуха. Объективное обследование при мастоидите заключается в осмотре и пальпации заушной области, отоскопии, аудиометрии, рентгенографии и КТ черепа, бактериологическом посеве отделяемого из уха. Лечение мастоидита может быть медикаментозным и хирургическим. В его основе лежит антибиотикотерапия и санация гнойных очагов в барабанной полости и сосцевидном отростке.
МКБ-10



Общие сведения
Сосцевидный отросток представляет собой выступ височной кости черепа, расположенный позади ушной раковины. Внутренняя структура отростка сформирована сообщающимися ячейками, которые разделены между собой тонкими костными перегородками. У разных людей сосцевидный отросток может иметь различное строение. В одних случаях он представлен крупными заполненными воздухом ячейками (пневматическое строение), в других случаях ячейки мелкие и заполнены костным мозгом (диплоэтическое строение), в третьих — ячеек практически нет (склеротическое строение). От типа строения сосцевидного отростка зависит течение мастоидита. Наиболее склонны к появлению мастоидита лица с пневматическим строением сосцевидного отростка.
Внутренние стенки сосцевидного отростка отделяют его от задней и средней черепных ямок, а специальное отверстие сообщает его с барабанной полостью. Большинство случаев мастоидита возникает как следствие перехода инфекции из барабанной полости в сосцевидный отросток, что наблюдается при остром среднем отите, в отдельных случаях при хроническом гнойном среднем отите.

Причины мастоидита
В зависимости от причины возникновения в отоларингологии различают отогенный, гематогенный и травматический мастоидит.
- Отогенный. Наиболее часто возникает вторичный мастоидит, обусловленный распространением инфекции в сосцевидный отросток из барабанной полости среднего уха. Его возбудителями могут быть палочка инфлюэнцы, пневмококки, стрептококки, стафилококки и др. Переходу инфекции из полости среднего уха способствует нарушение ее дренирования при позднем прободении барабанной перепонки, несвоевременном проведении парацентеза, слишком малом отверстии в барабанной перепонке или его закрытии грануляционной тканью.
- Гематогенный. В редких случаях наблюдается мастоидит, развившийся в следствие гематогенного проникновения инфекции при сепсисе, вторичном сифилисе, туберкулезе.
- Травматический. Первичный мастоидит возникает при травматических повреждениях ячеек сосцевидного отростка вследствие удара, огнестрельного ранения, черепно-мозговой травмы. Благоприятной средой для развития патогенных микроорганизмов в таких случаях является кровь, излившаяся в ячейки отростка в результате травмы.
Появлению мастоидита способствует:
- повышенная вирулентность патогенных микроорганизмов
- ослабленное состояние общего при хронических заболеваниях (сахарный диабет, туберкулез, бронхит, гепатит, пиелонефрит, ревматоидный артрит и пр.)
- патология носоглотки (хронический ринит, фарингит, ларинготрахеит, синусит)
- наличие изменений в структурах уха в связи с перенесенными ранее заболеваниями (травмы уха, аэроотит, наружный отит, адгезивный средний отит).
Патогенез
Начало мастоидита характеризуется воспалительными изменениями слизистого слоя ячеек сосцевидного отростка с развитием периостита и скоплением жидкости в полостях ячеек. Из-за выраженной экссудации эта стадия мастоидита получила название экссудативной. Воспалительная отечность слизистой приводит к закрытию отверстий, сообщающих ячейки между собой, а также отверстия, соединяющего сосцевидный отросток с барабанной полостью. В результате нарушения вентиляции в ячейках сосцевидного отростка, в них падает давление воздуха. По градиенту давлений в ячейки начинает поступать транссудат из расширенных кровеносных сосудов. Ячейки заполняются серозным, а затем серозно-гнойным экссудатом. Длительность первой стадии мастоидита у взрослых составляет 7-10 дней, у детей чаще 4-6 дней. В конечном итоге экссудативной стадии мастоидита каждая ячейка имеет вид эмпиемы — заполненной гноем полости.
Далее мастоидит переходит во вторую стадию — пролиферативно-альтеративную, в которой гнойное воспаление распространяется на костные стенки и перегородки сосцевидного отростка с развитием остеомиелита — гнойного расплавления кости. Одновременно с этим происходит образование грануляционной ткани. Постепенно перегородки между ячейками разрушаются и формируется одна большая полость, заполненная гноем и грануляциями. Так, в результате мастоидита возникает эмпиема сосцевидного отростка. Прорыв гноя через разрушенные стенки сосцевидного отростка приводит к распространению гнойного воспаления на соседние структуры и развитию осложнений мастоидита.
Классификация
Выделяют две клинические формы мастоидита: типичную и атипичную. Атипичная (латентная) форма отличается медленным и вялым течением без ярко выраженных характерных для мастоидита симптомов. Отдельно выделяют группу верхушечных мастоидитов, к которым относится мастоидит Бецольда, мастоидит Орлеанского и мастоидит Муре. По стадии воспалительного процесса мастоидит классифицируется как экссудативный и истинный (пролиферативно-альтеративный).

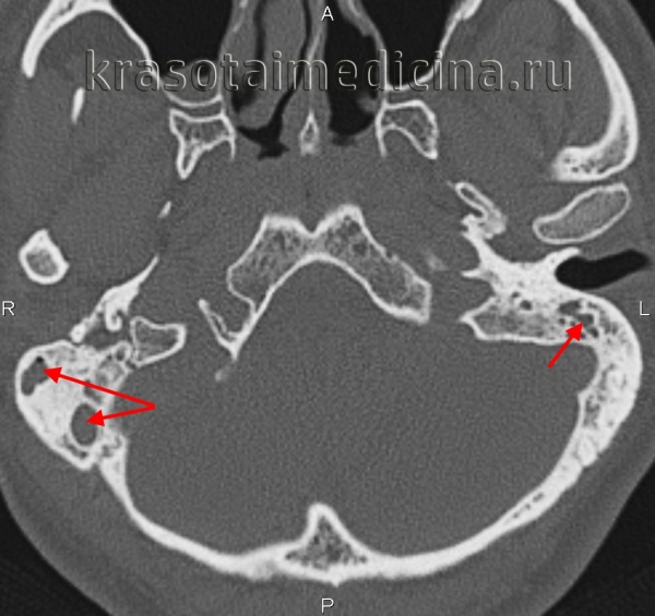
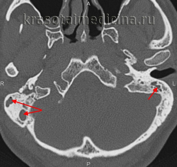
КТ височных костей. Тотальное снижение пневматизации ячеек сосцевидного отростка с обеих сторон. (фото Вишняков В.Н.)
Симптомы мастоидита
Мастоидит может появляться одновременно с возникновением гнойного среднего отита. Но чаще всего он развивается на 7-14 день от начала отита. У детей первого года жизни из-за особенности строения сосцевидного отростка мастоидит проявляется в форме отоантрита. У взрослых мастоидит манифестирует выраженным ухудшением общего состояния с подъемом температуры до фебрильных цифр, интоксикацией, головной болью, нарушением сна. Больные мастоидитом жалуются на шум и боль в ухе, ухудшение слуха, интенсивную боль за ухом, чувство пульсации в области сосцевидного отростка. Боль иррадиирует по ветвям тройничного нерва в височную и теменную область, орбиту, верхнюю челюсть. Реже при мастоидите наблюдается боль во всей половине головы.
Указанные симптомы при мастоидите обычно сопровождаются обильным гноетечением из наружного слухового прохода. Причем количество гноя заметно больше, чем объем барабанной полости, что свидетельствует о распространении гнойного процесса за пределы среднего уха. С другой стороны, гноетечение при мастоидите может не наблюдаться или быть незначительным. Это происходит при сохранении целостности барабанной перепонки, закрытии перфоративного отверстия в ней, нарушении оттока гноя из сосцевидного отростка в среднее ухо.
Объективно при мастоидите отмечается покраснение и отечность заушной области, сглаженность расположенной за ухом кожной складки, оттопыренность ушной раковины. При прорыве гноя в подкожную жировую клетчатку происходит формирование субпериостального абсцесса, сопровождающегося резкой болезненностью при прощупывании заушной области и симптомом флюктуации. Из области сосцевидного отростка гной, расслаивая мягкие ткани головы, может распространиться на затылочную, теменную, височную область. Происходящее в результате воспаления тромбирование сосудов, кровоснабжающих кортикальный слой кости сосцевидного отростка, приводит к некрозу надкостницы с прорывом гноя на поверхность кожи головы и формированием наружного свища.
Осложнения
Распространение гнойного воспаления в самом сосцевидном отростке происходит по наиболее пневматизированным ячейкам, что обуславливает разнообразие возникающих при мастоидите осложнений и их зависимость от строения сосцевидного отростка. Воспаление перисинуозной группы ячеек приводит к поражению сигмовидного синуса с развитием флебита и тромбофлебита. Гнойное разрушение перифациальных ячеек сопровождается невритом лицевого нерва, перилабиринтных — гнойным лабиринтитом. Верхушечные мастоидиты осложняются затеканием гноя в межфасциальные пространства шеи, в результате чего гноеродные микроорганизмы могут проникнуть в средостение и вызвать появление гнойного медиастинита.
Распространение процесса в полость черепа приводит к возникновению внутричерепных осложнений мастоидита (менингита, абсцесса головного мозга, энцефалита). Поражение пирамиды височной кости обуславливает развитие петрозита. Переход гнойного воспаления на скуловой отросток опасен дальнейшим заносом инфекции в глазное яблоко с возникновением эндофтальмита, панофтальмита и флегмоны глазницы. У детей, особенно младшего возраста, мастоидит может осложниться формированием заглоточного абсцесса. Кроме того, при мастоидите возможно гематогенное распространение инфекции с развитием сепсиса.
Диагностика
Как правило, диагностика мастоидита не представляет для отоларинголога никаких сложностей. Затруднения возникают в случае малосимптомной атипичной формы мастоидита. Диагностика мастоидита основывается на характерных жалобах пациента, анамнестических сведениях о перенесенной травме или воспалении среднего уха, данных осмотра и пальпации заушной области, результатах отоскопии, микроотоскопии, аудиометрии, бакпосева выделений из уха, компьютерной томографии и рентгенологического исследования.
- Отоскопия. При мастоидите выявляются типичные для среднего отита воспалительные изменения со стороны барабанной перепонки, при наличие в ней отверстия отмечается обильное гноетечение. Патогномоничным отоскопическим признаком мастоидита является нависание задне-верхней стенки слухового прохода.
- Исследование слуховой функции. Аудиометрия и исследование слуха камертоном позволяют установить степень тугоухости у пациента с мастоидитом.
- Рентгенография височной кости. В экссудативной стадии мастоидита обнаруживает завуалированные в результате воспаления ячейки и нечетко различимые перегородки между ними. Рентгенологическая картина пролиферативно-альтеративной стадии мастоидита характеризуется отсутствием ячеистой структуры сосцевидного отростка, вместо которой определяется одна или несколько больших полостей. Лучшая визуализация достигается при проведении КТ черепа в области височной кости.

Наличие осложнений мастоидита может потребовать дополнительной консультации невролога, нейрохирурга, стоматолога, офтальмолога, торакального хирурга, проведения МРТ и КТ головного мозга, офтальмоскопии и биомикроскопии глаза, рентгенографии органов грудной клетки.
Лечение мастоидита
Лечебная тактика при мастоидите зависит от его этиологии, стадии воспалительного процесса и наличия осложнений. Медикаментозная терапия мастоидита проводится антибиотиками широкого спектра действия (цефаклор, цефтибутен, цефиксим, цефуроксим, цефотаксим, цефтриаксон, амоксициллин, ципрофлоксацин и др.). Дополнительно применяют антигистаминные, противовоспалительные, детоксикационные, иммунокоррегирующие препараты. Проводят лечение осложнений.
При отогенной природе мастоидита показана санирующая операция на среднем ухе, по показаниям — общеполостная операция. Отсутствие в барабанной перепонке обеспечивающего адекватное дренирование отверстия является показанием к проведению парацентеза. Через отверстие барабанной перепонки производят промывания среднего уха лекарственными препаратами. Мастоидит в экссудативной стадии может быть излечен консервативным путем. Мастоидит пролиферативно-альтеративной стадии требует хирургического вскрытия сосцевидного отростка (мастоидотомии) для ликвидации гноя и послеоперационного дренирования.
Профилактика мастоидита
Предупреждение отогенного мастоидита сводится к своевременной диагностике воспалительного поражения среднего уха, адекватному лечению отитов, своевременному проведению парацентеза барабанной перепонки и санирующих операций. Корректная терапия заболеваний носоглотки и быстрая ликвидация инфекционных очагов также способствуют профилактике мастоидита. Кроме того, имеет значение повышение работоспособности иммунных механизмов организма, что достигается ведением здорового образа жизни, правильным питанием, при необходимости — иммунокоррегирующей терапией.
Читайте также:
