Смертельная бессонница
Добавил пользователь Евгений Кузнецов Обновлено: 07.01.2026
Фатальная бессонница — это наследственное заболевание, которое может проявиться в любом возрасте. За несколько месяцев человек просто разучивается спать. О болезни, от которой пока нет лекарства, рассказал невролог Анатолий Соболев.
С обычной бессонницей наверняка сталкивались многие. Состояние, когда ты по несколько часов ворочаешься с боку на бок, маешься, считаешь овец — безрезультатно, вместо сна — в лучшем случае полудрема. Утром — полная разбитость, головные боли и абсолютное нежелание чем-либо заниматься. У бессонницы могут быть разные сроки — от нескольких дней до нескольких месяцев. Иногда без помощи специалиста не обойтись, нужна консультация невролога.
А теперь представьте, что ваша бессонница неизлечима. Вы спите все меньше и меньше, а потом и вовсе не можете заснуть. Это по-настоящему страшно, ведь без сна человек может прожить гораздо меньше, чем без еды, например. О редкой и опасной фатальной бессоннице рассказал петербургский невролог Анатолий Соболев.
Врач-невролог. Специалист клиники «ID-Clinic».
Что такое фатальная бессонница
«Фатальная семейная бессонница — это крайне редкое нейродегенеративное прионное заболевание. Передается по наследству. Эта болезнь приводит к прогрессирующей бессоннице, вегетативным и когнитивным расстройствам и, как итог, — летальному исходу», — говорит эксперт.
Первый случай, похожий на фатальную семейную бессонницу, был описан в Венеции в 1765 году. В то время о таком диагнозе и не догадывались. Но конкретно само заболевание выделили и внесли в медицинские справочники только в 1986 году.
Фатальная бессонница наследуется по аутосомно-доминантному типу, то есть, проявляется в каждом поколении. Однако мутация в гене может произойти, что называется, «de novo» — с нуля, без предыдущей истории заболевания в семье.
Когда и как проявляется
Нет какого-то конкретного возраста, заболевание может проявиться как у молодых, так и у пожилых. Разбег большой — от 20 до 60 лет, средний возраст «дебюта» — 40-50 лет.
«Сначала у человека просто сокращается общее время сна, а также ему часто снятся яркие сновидения. Но вскоре бессонница продолжает прогрессировать. На фоне нее развиваются аффективные расстройства (депрессия, апатия), а также когнитивные — отмечается замедление мышления, проблемы с кратковременной памятью», — рассказывает врач.
По мере развития болезни пациент оказывается в состоянии, балансируя между явью и сном. Такое состояние называют гипнагогией. У человека появляются галлюцинации, он перестает контролировать движения рук и ног. Помимо этого, развивается дисфункция вегетативной нервной системы: повышается артериальное давление, появляется тахипноэ (учащенное дыхание).
Есть и другие симптомы:
сексуальная дисфункция (у мужчин, например, начинаются проблемы с потенцией),
двоение в глазах,
неустойчивость (на ранней стадии болезни),
нарушения речи и глотания (на более поздних этапах заболевания).
Смерть наступает в промежутке от 6 до 36 месяцев от начала болезни. Средний срок — 18 месяцев.
Что провоцирует болезнь
«Заболевание обусловлено мутацией гена PRNP. Он расположен в коротком плече 20-й хромосомы. Данная мутация приводит к синтезу патологического белка PrP — приону. Прион способен „заражать“ другие белки, изменяя их пространственную конфигурацию. Затем эти патологические белки накапливаются в тканях, что приводит к их дисфункции и разрушению. Известны и другие прионные болезни, например, коровье бешенство, куру, болезнь Крейтцфельдта-Якоба», — объясняет врач.
Вероятность наследования патологического гена в следующем поколении равна 50%. Однако даже при наличии гена с мутацией заболевание может не проявиться . Таким образом, если в семье есть случаи прогрессирующей бессонницы на протяжении нескольких поколений, закончившейся летальным исходом, можно заподозрить фатальную семейную бессонницу.
Как лечат фатальную бессонницу
В настоящее время не существует стандартизированных протоколов и руководств по этой патологии. Ученым только предстоит найти лекарство от этой болезни.
«Лечение паллиативное и симптоматическое, пациентом занимаются как врачи, так и соцработники. Помимо медикаментозной терапии, важна психосоциальная поддержка заболевшего и его семьи. Больным рекомендуется прекратить прием любых лекарств, влияющих на сознание, когнитивные функции и усиливающих проявления бессонницы», — говорит Анатолий Соболев.
Таким пациентам бесполезно давать снотворное — эффекта ноль, а в некоторых случаях оно только усугубляет состояние больного.
Надо переспать Как смертельное заболевание лишает человека сна и жизни

В геноме каждого человека, по оценкам ученых, присутствует в среднем около 54 мутаций, которые могут привести к тяжелому заболеванию и даже гибели. Однако в подавляющем большинстве случаев этого не происходит. Биологи Соня Валлаб и ее муж Эрик Миникель решили выяснить, что именно спасает людей. Для Валлаб ответ на этот вопрос очень важен, потому что у нее самой обнаружили мутировавший ген, приводящий к смертоносной бессоннице.
В 2010 году мать Валлаб умерла от наследственного заболевания, называемого фатальной семейной бессонницей. Свое название оно получило потому, что им часто страдают родственники, а смертность является стопроцентной. Болезнь коварна еще и потому, что она проявляется примерно в 50 лет, когда носитель мутантного гена успевает обзавестись детьми. Вероятность наследования мутации составляет 50 процентов. Заболевший страдает от тяжелой бессонницы, от которой не спасают снотворные, и от панических атак, а через несколько месяцев умирает.

В следующем году после смерти матери Валлаб прошла генетический анализ, результаты которого оказались неутешительными: в ее гене PRNP обнаружился тот самый роковой дефект. Однако девушке, которой на тот момент было 26, не понравилась перспектива умереть от неизлечимой бессонницы. Они с мужем бросили работу в области права и транспортного консалтинга, чтобы стать биологами, узнать все о смертельном наследственном заболевании и попытаться остановить его. Прежде всего надо было выяснить, действительно ли мутация PRNP в каждом случае вызывает болезнь.
Недавно было показано, что десятки потенциально опасных мутаций иногда оказываются совершенно безвредными. Таких «овец в волчьей шкуре» разоблачили с помощью крупнейшего из когда-либо проводившихся генетических исследований — Exome Aggregation Consortium (ExAC). В основе этой масштабной работы лежит простая идея. Ученые создали базу белок-кодирующих областей генома (экзомов) 60 тысяч человек. Ресурс помогает определить частоту мутаций в различных популяциях и выяснить, какие белки они кодируют и каковы их функции.

Фактически ExAC позволяет исследователю не выяснять источник наследственных заболеваний, а определить, какие болезни вызывает та или иная мутация, интересная для генетиков. База данных также предоставляет качественную информацию для носителей дефектной ДНК. Мутация D178N, например, является главным подозреваемым в развитии прионных расстройств, поскольку ее часто находят у пациентов с фатальной семейной бессонницей или коровьим бешенством и редко — у здоровых людей. Однако если мутация встречается у людей чаще, чем регистрируются случаи болезни, это может означать, что шансы Валлаб остаться здоровой значительно увеличиваются.
В 2013 году Валлаб начала работать со стволовыми клетками, а Миникель изучал биоинформатику. Оба проходили обучение в Массачусетской больнице широкого профиля в Бостоне. В том же году они познакомились с генетиком Даниэлем Макартуром (Daniel MacArthur), который работал над созданием ExAC. Макартур столкнулся с серьезными проблемами: у него не было программного обеспечения, которое помогло бы помочь с огромным количеством данных. Миникель присоединился к команде генетика, чтобы помочь ему выяснить, действительно ли мутация D178N настолько фатальна.

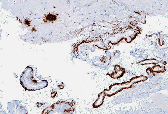
Амилоидные бляшки в коре головного мозга
ExAC была полностью готова в 2014 году. Генетики и врачи признали, что база данных может значительно изменить понимание генетических рисков. Дело в том, что в исследованиях, раскрывающих связь генов с заболеваниями, не учитывалось наличие возможных зловредных мутаций в других этнических группах — образцы геномов здоровых людей принадлежат, как правило, европейцам, что может сильно искажать результаты.
В августе 2016 года научная группа Макартура опубликовала статью в Nature, где утверждалось, что многие мутации, считающиеся вредными, на самом деле безопасны. 192 варианта генов, считающиеся патогенными, распространены среди здоровых людей. Что касается дефектного PRNP, то Валлаб и Миникель собрали генетические данные более 16 тысяч людей, которые страдали от прионных заболеваний, и сравнили их с геномами 600 тысяч человек, включая участников ExAC. Ученые нашли 52 человека с мутацией в прионном гене, что значительно превышает частоту встречаемости соответствующих заболеваний.

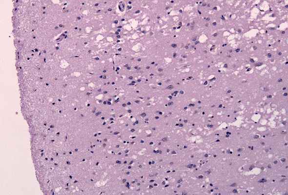
Ткани головного мозга пациента с болезнью Крейтцфельдта-Якоба
Однако мутация D178N не обнаружилась у людей из сравниваемой группы. Это значит, что у Валлаб нет шансов избежать смерти от неизлечимой бессонницы, если не найти способ ее лечения.
ExAC подарило небольшой шанс: Миникелю удалось установить трех человек с мутациями, которые подавляли активность одного из двух прионных генов. Если при этом функции организма не нарушаются, то можно найти способ не допустить агрегацию дефектных белков и остановить развитие болезни. Сейчас пара работает в лаборатории биохимика Стюарта Шрайбера, чтобы создать препараты для лечения фатальной семейной бессонницы. На данный момент Валлаб 32 года — на 20 лет меньше, чем было ее матери, когда она скончалась.
Бессонница
Бессонница (инсомния) – это патологическое состояние, проявляющееся расстройством ночного сна и сопутствующей дневной сонливостью. По данным статистики, с этой проблемой сталкивается примерно 30% взрослых мужчин и 37% женщин, а также 3 из 4 беременных. Хронический недостаток сна нередко становится пусковым механизмом для самых разных заболеваний и состояний, начиная от ожирения и заканчивая депрессией. При регулярно повторяющихся проблемах необходима помощь квалифицированных специалистов, которые выявят причину патологии и найдут способ ее быстрого устранения.

Общая информация
Сон необходим для нормальной жизнедеятельности организма. В это время центральная нервная система обрабатывает поступившую в течение дня информацию, а большинство органов и систем отдыхают после нагрузки. В среднем, человеку необходимо от 6 до 10 часов сна каждые сутки, причем именно в ночные часы. Сбой механизма засыпания, частые пробуждения и сокращение общего времени отдыха приводит к развитию усталости, снижению внимания и концентрации.
Считается, что нарушения сна возникают из-за сбоя гормональной регуляции этого процесса. В частности, их связывают с повышением уровня кортизола и адренокортикотропного гормонов в ночное время.
Причины
Бессонница возникает по различным причинам. К наиболее частым относят:
- сильный стресс и хроническая перегрузка нервной системы;
- хронические боли любой локализации;
- нарушения сердечного ритма;
- гипертиреоз (повышенное количество гормонов щитовидной железы в крови);
- изжога;
- значительное физическое переутомление;
- синдром беспокойных ног;
- гормональные перестройки организма (период полового созревания, беременность, менопауза);
- психические нарушения и заболевания: депрессия, шизофрения, СДВГ и т.п.;
- прием некоторых лекарственных средств (психостимуляторы);
- наркомания, алкоголизм;
- злоупотребление кофе;
- ночное апноэ (нарушения дыхания в лежачем положении на фоне избыточной массы тела, искривленной носовой перегородки и других причин);
- периодическая работа в ночную смену;
- резкая смена часовых поясов.
Наиболее предрасположены к бессоннице беременные женщины, пожилые, а также люди, страдающие от чрезмерной нервной возбудимости. Кроме того, развитие инсомнии могут спровоцировать следующие заболевания:
- бронхиальная астма;
- сердечная недостаточность;
- гипертрофия предстательной железы;
- печеночная или почечная недостаточность
- атеросклероз;
- болезнь Паркинсона и другие патологии.
Виды патологии
В зависимости от течения заболевания выделяют следующие виды бессонницы:
- транзиторная: длится не более недели, чаще возникает на фоне сильного, но кратковременного стресса, смены часовых поясов и т.п.;
- острая: нарушения сна длятся от 7 дней до 1 месяца, также чаще возникает на фоне стресса или сильного переутомления;
- хроническая: длится более месяца, может быть связана с различными соматическими заболеваниями, постоянным стрессом, хроническим переутомлением и т.п.
Другая классификация инсомнии связана с причиной проблемы. Выделяют следующие формы:
- адаптационная: возникает на фоне стресса;
- психофизиологическая: связана со страхом человека перед бессонницей и сопровождается нарастанием тревожности перед отправкой ко сну;
- идиопатическая: появляется без видимой причины;
- поведенческая: встречается у детей, связана с формированием неправильных установок, например, привычки засыпать только с бутылочкой, во время езды в коляске или при постоянном укачивании;
- связанная с нарушением гигиены сна;
- связанная с соматической патологией;
- возникшая на фоне психических заболеваний;
- медикаментозная: появляется из-за приема некоторых лекарственных средств;
- псевдоинсомния: состояние, при котором человек нормально засыпает и спит достаточное количество времени, но субъективно считает, что не высыпается.
Симптомы
Симптомы бессонницы разнообразны, но все они связаны с сокращением продолжительности сна. Заболевание может проявлять себя:
- затрудненным засыпанием: человек долго ворочается, ищет удобную позу и т.п.;
- однократным или многократным пробуждением в течение ночи с последующим отсутствием сна;
- раннее пробуждение, из-за которого общая длительность сна не превышает 6,5 часов.
Недостаток сна неизбежно сказывается на состоянии человека в дневное время. Он ощущает слабость, раздражительность, усталость уже в утренние часы. Избыточная сонливость приводит к снижению концентрации внимания, замедлению мыслительных процессов. Работоспособность человека значительно снижается, увеличивается количество ошибок.

Диагностика
Диагностикой бессонницы занимается врач-сомнолог. Сначала он тщательно опрашивает пациента, чтобы выявить основные жалобы. Врачу особенно важна информация о преобладающих симптомах, их длительности и частоте возникновения. Назначается скрининговое обследование для выявления возможных причин нарушений сна:
- общие анализы крови и мочи;
- консультация ЛОР-врача;
- неврологический осмотр;
- суточное мониторирование ЭКГ (Холтер) и т.п. в зависимости от показаний и симптомов.
В обязательном порядке составляется дневник сна, в котором по итогу каждого дня указывается:
- употребленные лекарства;
- время последнего приема пищи;
- прием алкоголя, кофе, чая, курение;
- особенности среды сна (шум, жара, духота и т.п.);
- время отхода ко сну;
- качество засыпания;
- количество ночных пробуждений и их длительность;
- время пробуждения;
- самочувствие после пробуждения.
Каждая деталь имеет значение для подробного анализа сна. Технические моменты (время засыпания, количество пробуждений и т.п.) могут быть зафиксированы с помощью амбулаторной актиграфии. Диагностический метод предполагает использование специального устройства, фиксирующего движения. Дневник ведется не менее недели и позволяет оценить все особенности сна пациента.
Лечение бессонницы
Способ лечения бессонницы зависит от ее причины. Если проблемы со сном возникли на фоне какого-либо соматического заболевания, требуется устранить его или максимально снизить выраженность симптоматики.
Для устранения непосредственно инсомнии используются медикаментозные и немедикаментозные средства. В распоряжении врачей имеется большое количество препаратов, влияющих на тот или иной аспект сна. Чаще всего используются:
- снотворные: облегчают засыпание и снижают риск ночных пробуждений;
- транквилизаторы: назначаются при сопутствующей тревожности;
- мелатонин: гормон, вырабатывающийся организмом в темное время суток; способствует наступлению сна; препарат особенно актуален при смене часовых поясов или необходимости восстановления нормального ритма сна и бодрствования после нескольких ночных смен.

Экспертное мнение врача
Врач-невролог, остеопат, мануальный терапевт
Препараты этих групп должны использоваться исключительно по назначению врача, поскольку бесконтрольный прием может привести к привыканию, а резкая отмена – к серьезной бессоннице. Исключение составляют препараты на растительной основе (пустырник, валериана и т.п.), но и ими не стоит злоупотреблять.
Хороший эффект при бессоннице оказывает психотерапия, особенно если проблема вызвана острым или хроническим стрессом. Как правило, используются когнитивно-поведенческие методики. Они помогают пациенту:
- успешно справляться с наплывом тревожных мыслей;
- настроиться на позитивное восприятие действительности;
- самостоятельно устранять факторы, способствующие чрезмерной тревожности;
- своевременно обращаться за помощью к близким и к врачам, а также принимать их помощь.
В некоторых случаях нарушения сна удается эффективно устранить с помощью гипноза.
Возможные осложнения
Большинство людей не воспринимает бессонницу как серьезную проблему. Между тем, хроническая нехватка сна способна запустить комплекс патологических изменений, которые могут спровоцировать:
- заметное снижение иммунитета: во время сна организм восстанавливает силы и вырабатывает цитокины, являющиеся одним из важных компонентов работы иммунной системы; их нехватка приводит к снижению сопротивляемости простудным и другим инфекционным заболеваниям;
- обострение хронических заболеваний;
- развитие патологии сердечно-сосудистой системы: хроническая нехватка сна приводит к нестабильности артериального давления, изменению частоты пульса, повышению риска опасных состояний;
- увеличение веса: в стремлении восстановить силы иным способом человек начинает подсознательно тянуться к высококалорийной углеводной пище, что приводит к набору массы тела; кроме того, нехватка сна провоцирует снижение выработки гормонов, отвечающих за чувство сытости;
- истощение нервной системы: недостаточный ночной отдых снижает способность к сосредоточению на каком-либо занятии, страдает скорость и качество мышления;
- депрессия, тревожное расстройство: эти состояния нередко формируют замкнутый круг, еще больше усугубляя выраженность инсомнии;
- снижение полового влечения: при нехватке сил организм «отключает» наименее важные аспекты деятельности, что выражается в отсутствии либидо, аноргазмии у женщин, импотенции у мужчин.
Кроме того, невыспавшийся человек может попасть в опасную ситуацию, причинить вред себе и другим во время управления автомобилем или работы с механизмами, требующими постоянной концентрации внимания.
Профилактика
Профилактика бессонницы включает в себя комплекс мероприятий, направленных на облегчение засыпания. Чтобы они были эффективными, необходимо соблюдать гигиену сна:
- стараться отправляться в постель в одно и то же время;
- исключить просмотр телевизора и использование гаджетов за 30-60 минут до сна;
- хорошо проветривать спальню, обеспечить доступ свежего воздуха;
- при необходимости затемнять помещение;
- за час до сна прогуливаться на свежем воздухе; полноценные занятия спортом лучше перенести на первую половину дня, поскольку они обладают возбуждающим эффектом;
- исключить тяжелую пищу в вечернее время суток, а также минимизировать употребление кофе и крепкого чая во второй половине дня;
- перед сном принимать душ или теплую ванну, слушать расслабляющую музыку;
- минимизировать (а лучше исключить) курение и употребление спиртных напитков.
Дополнительно расслабить организм помогут:
- ароматерапия: эфирные масла мелиссы, ромашки, лаванды, иланг-иланга обладают успокаивающим действием; можно использовать аромалампу или добавить несколько капель масла в воду для ванны;
- массаж: легкий массаж стоп, разминание головы и шеи при отсутствии противопоказаний помогут снять нервное напряжение, накопившееся в течение дня;
- травяные чаи и отвары: сборы с добавлением мяты, мелисы, ромашки, хмеля, валерианы и других седативных трав принимаются в виде настоя или отвара за полчаса до сна;
- медитация, йога, дыхательная гимнастика: способствуют расслаблению и избавлению от излишней тревожности.
Кроме того, врачи рекомендуют избегать переутомлений и ежедневно обеспечивать себе полноценный отдых. Необходимо регулярно давать организму небольшую физическую нагрузку: прогулки, плавание и другие спокойные виды спорта. Это будет отличной профилактикой не только бессонницы, но и многих других заболеваний.
Лечение бессонницы в клинике «Энергия здоровья»
Если Вы страдаете от бессонницы, врачи центра неврологии «Энергия здоровья» придут на помощь. Мы предлагаем:
- скрининговое и прицельное обследование для максимально точного определения причины нарушения;
- консультации опытных специалистов: невролога, психотерапевта, эндокринолога;
- подбор безопасной и эффективной лекарственной терапии, контроль лечения на всех этапах;
- обучение методам самопомощи при бессоннице;
- общеукрепляющий массаж и иглорефлексотерапия для расслабления и стабилизации работы нервной системы;
- организация санаторно-курортного лечения при необходимости.
Преимущества клиники
Многопрофильный медицинский центр «Энергия здоровья» предлагает каждому клиенту полный комплекс медицинских услуг, включающий:
- комплексные диагностические программы чек-ап для выявления различных патологий;
- современные методы выявления различных заболеваний;
- консультации профильных специалистов;
- подбор лечения в индивидуальном порядке;
- современные комплексные методики терапии, включающие медикаментозное воздействие, физиотерапию, массаж, ЛФК и другие процедуры по показаниям;
- мелкие хирургические операции в режиме одного дня;
- собственный дневной стационар;
- выдачу справок и заключений;
- работу в рамках программы ДМС.
Мы делаем все, чтобы каждому посетителю было комфортно и удобно. К Вашим услугам прием по предварительной записи, без очередей и длительного ожидания. Автомобилисты могут воспользоваться бесплатной парковкой возле клиники.
Бессонница – это проблема, которая может значительно ухудшить качество жизни. Забудьте о долгих минутах и часах, проведенных в темноте без сна, избавьтесь от вялости и сонливости днем. Запишитесь на обследование и лечение в клинику «Энергия здоровья».
Смертельная бессонница
Прионная болезнь, характеризующаяся подострым началом бессонницы, проявляющейся в сокращении общего времени сна, вегетативной дисфункции и двигательных расстройствах
| Смертельная бессонница | |
|---|---|
![]() | |
| Изображение черепа пациента с FFI. На МРТ наблюдаются аномальные сигналы в двусторонней лобно-теменной подкорковой области. МРА показала меньшие дистальные ветви церебральных артерий. | |
| Специальность | Психиатрия, Медицина сна, Невропатология |
| Симптомы | Прогрессирующая бессонница, ведущая к деменции и смерть. |
| Осложнения | Постоянное состояние гипнагогии позже болезнь |
| Обычное начало | Средний возраст |
| Типы | Смертельная семейная бессонница, спорадическая летальная бессонница |
| Причины | Генетическая мутация, спорадическая форма очень редко |
| Факторы риска | Семейный анамнез |
| Метод диагностики | Предполагается на основании симптомов, подтверждено исследованием сна, ПЭТ и генетическое тестирование (при подозрении на семейную форму) |
| Дифференциальный диагноз | болезнь Альцгеймера, лобно-височная деменция, другое трансмиссивная губчатая энцефалопатия |
| Лечение | Поддерживающая терапия |
| Прогноз | Ожидаемая продолжительность жизни от 7 месяцев до 6 лет |
| Частота | Менее 40 семей во всем мире имеют ген, связанный с дис легкость |
Смертельная бессонница - редкое заболевание, которое приводит к проблемам со сном. Проблемы со сном обычно начинаются постепенно и со временем усугубляются. Другие симптомы могут включать проблемы с речью, проблемы с координацией и слабоумие. Это приводит к смерти от нескольких месяцев до нескольких лет.
Это прионная болезнь головного мозга. Обычно это вызвано мутацией гена, кодирующего белок PrP. Он имеет две формы: фатальная семейная бессонница (FFI), которая является аутосомно-доминантной, и спорадическая фатальная бессонница (sFI), вызванная ненаследуемой мутацией. Подозрение на диагноз основывается на симптомах и может быть подтверждено с помощью исследования сна, ПЭТ и генетического тестирования, если в семье пациента имеется история болезни.. Подобно другим прионным заболеваниям, диагноз может быть подтвержден только при вскрытии головного мозга при вскрытии.
Содержание
- 1 Признаки и симптомы
- 2 Причина
- 3 Патофизиология
- 4 Диагноз
- 4.1 Дифференциальный диагноз
- 7.1 Сильвано, 1983, Болонья, Италия
- 7.2 Неназванный пациент Шенкейн и Монтанья, 2001
- 7.3 Египтянин, 2011, Нидерланды
Признаки и симптомы
Болезнь имеет четыре стадии:
- У человека усиливается бессонница, что приводит к паническим атакам, паранойе и фобиям. Эта стадия длится около четырех месяцев. и приступы паники становятся заметными, продолжаясь около пяти месяцев.
- Полная неспособность спать сопровождается быстрой потерей вес. Это длится около трех месяцев. , во время которой человек перестает реагировать или немеет в течение шести месяцев, является последней стадией болезни, после которой следует смерть.
Другие симптомы включают обильное состояние. потливость, точное определение зрачков, внезапное начало менопаузы для женщин и импотенция для мужчин, ригидность шеи и повышение артериального давления и частота сердцебиения. Запор также является обычным явлением. По мере прогрессирования болезни человек застревает в состоянии предсонной неопределенности или гипнагогии, которое у здоровых людей является состоянием непосредственно перед сном. На этих стадиях люди часто и многократно двигают конечностями, как будто во сне.
Возраст начала варьирует от 18 до 60 лет, в среднем 50 лет. Заболевание можно обнаружить до начала генетическое тестирование. Смерть обычно наступает через 7–36 месяцев от начала заболевания. Проявления болезни значительно различаются от человека к человеку, даже у людей в одной семье.
Причина
Ген PRNP, который обеспечивает инструкции для создания прионного белка PrP, расположен на коротком отрезке (p) плечо хромосомы 20 в позиции p13. И люди с FFI, и люди с семейной болезнью Крейтцфельдта-Якоба (fCJD) несут мутацию в кодоне 178 гена прионного белка. FFI также неизменно связан с присутствием кодона метионина в положении 129 мутантного аллеля, тогда как fCJD связан с присутствием кодона валина в этом положении. «Заболевание возникает при изменении аминокислоты в положении 178, когда аспарагин (N) обнаруживается вместо нормальной аспарагиновой кислоты (D). Это должно сопровождаться метионином в положении 129».
Патофизиология
Само по себе присутствие прионов вызывает снижение использования глюкозы таламусом и умеренный гипометаболизм поясной коры головного мозга. Степень этого симптома варьируется между двумя вариациями заболевания, это те, которые представляют собой гомозиготы по метионину по кодону 129, а гетерозиготы по метионину / валину являются наиболее тяжелыми в более позднем варианте. Учитывая взаимосвязь между участием таламуса в регулировании сна и бдительности, можно установить причинную связь, которая часто упоминается как причина.
Диагноз
Подозрение на диагноз основано на симптомах. Дальнейшие исследования часто включают исследование сна и ПЭТ. Подтверждением наличия семейной формы является генетическое тестирование.
Дифференциальный диагноз
Известны другие заболевания, связанные с прионным белком млекопитающих. Некоторые из них передаются (TSE, включая FFI), такие как куру, губчатая энцефалопатия крупного рогатого скота (BSE, также известная как «коровье бешенство») у крупного рогатого скота, и хроническая болезнь истощения у американского оленя и американского лося в некоторых районах США и Канады, а также болезнь Крейтцфельдта – Якоба (CJD). До недавнего времени считалось, что прионные заболевания передаются только при прямом контакте с инфицированной тканью, например, при поедании инфицированной ткани, при переливании крови или трансплантации; исследования показывают, что прионы могут передаваться через аэрозоли, но что широкие слои населения не подвержены риску заражения воздушно-капельным путем.
Лечение
Лечение включает поддерживающую терапию. Снотворные, включая барбитураты, не помогли; напротив, предполагается, что они ухудшают симптомы.
Прогноз
Подобно другим прионным заболеваниям, болезнь неизменно приводит к летальному исходу. Ожидаемая продолжительность жизни колеблется от семи месяцев до шести лет, в среднем 18 месяцев.
Эпидемиология
В 1998 году было известно, что 40 семей несут ген FFI во всем мире: восемь немецких, пять итальянских, четыре американских, две французских, две австралийских, две британских, одна японская и одна австрийская. В Стране Басков, Испания, в период с 1993 по 2005 год было замечено 16 семейных случаев мутации 178N, связанных с двумя семьями с общим предком в 18 веке. В 2011 году к списку была добавлена еще одна семья, когда исследователи нашли первого человека в Нидерландах с FFI. Хотя он прожил в Нидерландах 19 лет, он имел египетское происхождение. Другие прионные заболевания похожи на FFI и могут быть связаны, но в них отсутствует мутация гена D178N.
По состоянию на 2016 год было диагностировано 24 случая спорадической фатальной бессонницы. В отличие от FFI, пациенты с sFI не имеют мутации D178N в гене PRNP-приона; все они имеют разные мутации в одном и том же гене, вызывающие метионин гомозиготность по кодону 129. В 2015 году у мужчины из Филадельфии развился sFI после того, как ему дали ципрофлоксацин в результате периферической невропатии.
Silvano, 1983, Болонья, Италия
В конце 1983 года итальянский невролог / эксперт по сну доктор Игнацио Ройтер принял пациента в институте сна больницы Болонского университета. Этот человек, известный только как Сильвано, решил в редкий момент осознания записаться для будущих исследований и пожертвовать свой мозг для исследований в надежде найти лекарство для будущих жертв.
Безымянный пациент Шенкейна и Монтанья., 2001
Один человек смог превысить среднее время выживания почти на год с помощью различных стратегий, включая витаминотерапию и, используя различные стимуляторы и снотворные, и даже полностью сенсорную депривация в попытке вызвать сон ночью и повысить бдительность в течение дня. Ему удалось написать книгу и проехать сотни миль за это время, но, тем не менее, в ходе испытаний этот человек уступил классическому четырехступенчатому прогрессированию болезни.
Египтянин, 2011 г., Нидерланды
Исследования
Все еще с неясной пользой для людей, ряд методов лечения имел предварительный успех в замедлении прогрессирования заболевания на животных моделях, включая полисульфат пентозана, мепакрин и амфотерицин B. По состоянию на 2016 год проводится исследование по доксициклину.
В 2009 году была создана модель мыши для FFI. Эти мыши экспрессировали гуманизированную версию белка PrP, который также содержит мутацию D178N FFI. Эти мыши, по-видимому, имеют все меньше и короче периодов непрерывного сна, повреждение таламуса и раннюю смерть, как и у людей с FFI.
Прионский альянс был основан дуэтом мужа и жены Эриком Миникел и Соней Валлабх после того, как Валлабху был поставлен диагноз смертельной болезни. Они проводят исследования в Институте Броуда с целью разработки лекарств от прионных заболеваний человека. Другие научные интересы включают выявление биомаркеров для отслеживания прогрессирования прионной болезни у живых людей.
Фатальная семейная бессонница
Редчайший диагноз «фатальная семейная бессонница» до недавних пор был в деталях известен лишь очень немногим узким специалистам. Однако в последние десятилетия он стал объектом научного интереса, обсуждения и изучения, причем в совершенно определенном контексте, – о чем будет сказано ниже. На эту закономерную актуализацию чутко откликнулся псевдонаучно-популярный сегмент интернета, сразу же запестревший заголовками вроде «Только что открыта новая ужасная болезнь» или «Смерть без сна – миф или реальность?».
Оставим подобные формулировки на совести копирайтеров (ни один человек, хотя бы заглянувший в учебник медицинской этики и деонтологии, до такого не додумался бы) и попробуем внести необходимую ясность в вопрос об этом тяжелом нейродегенеративном заболевании, по возможности лишив его ореола сенсационности, загадочности и чуть ли не «популярности». Последнее уже дает свои плоды, порой весьма своеобразные: буквально два дня назад автор данного материала консультировал пациентку с сенесто-ипохондрическим синдромом, которая, вычитав на каком-то форуме оживленное обсуждение фатальной бессонницы, тут же поставила себе еще и этот диагноз (все остальные к тому времени уже были поставлены) и в подтверждение отправилась делать дорогостоящий генетический анализ; отрицательному результату, разумеется, не поверила.
Фатальная семейная бессонница – не «новая» и, тем более, не «только что открытая» болезнь. В русскоязычную страничку Википедии вкралась либо ошибка, либо (хочется верить) опечатка: там указывается, что первый известный случай описан итальянским врачом в 1979 году. Это действительно произошло в Италии, в Венеции, но впервые смерть именно от инсомнии (лат. «полное отсутствие сна») была документирована двумя столетиями раньше, в 1765 году. По другим источникам, эта дата соответствует, – да и то предположительно, – году рождения пациента по имени Джакомо, страдавшего фатальной инсомнией и скончавшегося в 1836 году. Так или иначе, сам факт существования фатальной инсомнии признан медициной более двухсот лет назад. Другое дело, что официально учитываемая нозологическая единица, формулируемая как «Фатальная семейная инсомния», введена лишь в 1986 году.
В Международной классификации болезней 10 пересмотра (МКБ-10, вступила в силу в 1995-1999 годах) этот диагноз был отнесен к рубрике атипичных вирусных инфекций и подразумевался пунктом «неуточненные». В новой МКБ-11, которая вот-вот будет принята членами ВОЗ как главный нозологический классификатор мира, фатальная семейная бессонница обозначена уже в явной форме и отнесена к той рубрике, где она и должна быть по своей этиопатогенетической сути – к группе генетических прионных болезней нервной системы.
Это не вирусная инфекция. Фатальная семейная бессонница представляет собой разновидность спонгиоформной (губчатой) энцефалопатии, вызываемой прионом.
Об истории открытия и патогенных свойствах белков-прионов более подробно говорится в информационно-справочных материалах на сайте Лахта Клиники: «Прионные болезни» и «Болезнь Крейцфельдта-Якоба» . Вкратце, прион – это протеин PrP, для организма млекопитающих нормальный и присутствующий, в частности, в клеточных мембранах (функции его изучены недостаточно полно). В силу наследуемого генетического сбоя или спонтанной мутации гена, кодирующего этот белок, искажается конформация, т.е. способ компактной пространственной свертки, «упаковки» атомов в белковой молекуле. Вместо обычного PrP C синтезируется гомологичный протеин PrP Sc , – прион, – который вместе с аномальной структурой приобретает чрезвычайную стойкость к химическим и физическим воздействиям (дезинфицирующим, стерилизующим и т.д.), а также уникальную способность к самовоспроизведению, присущую, как считалось ранее, исключительно живой материи. Помимо этой способности, обязательными и необходимыми свойствами белковой жизни микробиология полагает клеточное строение (вирусы не являются клеткой), наличие протеиновой оболочки (у вироидов, в отличие от вирусов, нет белкового капсида) и, главное, использование нуклеиновых кислот в качестве носителя генетической информации, т.е. алгоритма, по которому будет осуществляться точная репликация клеток или макроорганизма в целом. Даже мельчайший из известных инфекционных агентов, – субвирусная частица, вироид, – представляет собой саморазмножающуюся молекулу рибонуклеиновой кислоты (РНК), паразитирующую в клетке организма-хозяина. Молекула же прионного белка не обладает ни клеточным строением, ни оболочкой, ни нуклеиновым радикалом в составе. И тем не менее, в случае контакта с прионом нормальный белок превращается в точную копию аномального, обладающую той же конформационной структурой и теми же агрессивными свойствами, что и прион. Пораженный участок с экспоненциальной скоростью утрачивает природное строение и функциональную состоятельность, процесс по типу цепной реакции распространяется на смежные объемы, поглощая содержащийся в них PrP С и трансформируя его во все новые и новые молекулы PrP Sc . На цитологическом уровне это приводит к массовой гибели клеток, на гистологическом – к злокачественному, т.е. быстрому и необратимому, перерождению высокоорганизованной нервной ткани в пористую губкообразную субстанцию с лакунами на месте погибших клеток, волокнистыми отложениями прионного белка (амилоидными фибриллами) и глиозом, т.е. разрастанием нейроглии (каркасной, вспомогательной ткани органов нервной системы); на уровне клиническом – развиваются тяжелые, неотвратимо прогрессирующие психоневрологические синдромы, в конечном счете несовместимые с жизнью и результирующие летальным исходом.
Фатальная инсомния, таким образом, представляет собой разновидность прионной спонгиоформной энцефалопатии (впрочем, как раз губчатость пораженных мозговых тканей наблюдается здесь гораздо реже, чем при прочих прионных болезнях). Специфика обусловлена преимущественной локализацией нейродегенеративного процесса в таламусе. Этот отдел центральной нервной системы, один из самых древних в эволюционном аспекте, выполняет ряд важнейших функций; кроме прочего, таламус отвечает за регуляцию циркадных ритмов (сон-бодрствование) и обеспечивает возможность сна как таковую, периодически приглушая сознание для отдыха, переработки накопившейся информации и восстановления мозговых нервно-психических ресурсов. Поскольку эта возможность относится к жизненно необходимым, ее выпадение неизбежно ведет к истощению и смерти.
Причины
Как явствует из названия, фатальная семейная бессонница является наследственной болезнью, это генетическая прионопатия. Следует, однако, отметить, что данная характеристика оказалась не абсолютной: по состоянию на 2016 год было документально диагностировано уже 24 случая спорадической прионной инсомнии, развившейся в силу случайной или, возможно, спровоцированной какими-либо внешними факторами мутации гена PRNP, расположенного на коротком плече 20 хромосомы и кодирующего прионный белок.
Симптоматика
Клиническая картина развивается в несколько этапов. Поначалу больные жалуются на стойкую бессонницу, безуспешно пытаясь компенсировать ее дневной дремотой или устранить с помощью доступных седативных средств. По мере истощения нарастает эмоциональная неустойчивость, все заметней снижается умственная и физическая работоспособность, прогрессируют нарушения памяти, внимания, речи, вегетативной регуляции, мышечного тонуса (появляются миоклонические судороги), координации движений, пространственной ориентации. На поздних стадиях обнаруживаются признаки глубокого нейроэндокринного дисбаланса; истощенная ЦНС начинает продуцировать галлюцинаторные, иллюзорные, тревожно-панические и иные психотические симптомы, больной теряет в весе, становится дементным, беспомощным, апатичным. Сон отсутствует полностью, и через несколько месяцев наступает смерть.
Продолжительность жизни после манифестации первых симптомов (почти всегда это собственно бессонница) в среднем составляет 18 месяцев, а интервал разброса данного показателя простирается от полугода до шести лет. Средний возраст заболевающих – около 40 лет.
Диагностика
Несмотря на чрезвычайную редкость фатальной семейной инсомнии, заподозрить именно это заболевание практикующему врачу позволили бы клиническая специфичность, абсолютная терапевтическая резистентность и быстрое прогрессирование психоневрологической симптоматики по сценарию «снежного кома». Следует, однако, дифференцировать данную прионопатию от симптоматически сходных агрипнических и инсомнических синдромов. Наибольшей информативностью в этом плане обладает медико-генетическое исследование (изучение семейного анамнеза), нейрофизиологическая диагностика процессов сна и бодрствования, а также ПЭТ, МРТ и другие визуализирующие технологии, позволяющие выявить характерные органические изменения в структурах головного мозга.
Лечение
В настоящее время прионные болезни, в том числе фатальная инсомния, остаются необратимыми и неизлечимыми. Этиотропная, т.е. нацеленная на устранение первопричин заболевания, терапия пока не разработана, доступны лишь паллиативные средства. Наиболее перспективным направлением считается развитие методов генной терапии.
Читайте также:

