Содержание дермоидных кист. Признаки дермоидных кист и тератом средостения
Добавил пользователь Евгений Кузнецов Обновлено: 11.12.2025
Содержание дермоидных кист. Признаки дермоидных кист и тератом средостения
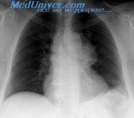
На рентгенограммах плотные включения (чаще всего это бесформенные известковые или костные образования) имеют вид неправильной формы и различной величины интенсивных патологических теней на фоне тени кисты. Реже выявляются тени, обусловленные наличием в дермоиде сформировавшихся костных тел (зубы, челюсти, трубчатая кость). Обнаружение этих элементов, особенно зубов и челюсти, считается патогномоничным рентгенологическим признаком дермоидных кист и тератом. По мнению С. М. Демкова, костные включения чаще указывают на тератому.
Мы наблюдали два случая дермоидных образований, содержащих бесформенные плотные включения. В обоих этих наблюдениях обнаружение плотных включений при наличии других характерных клинических и рентгенологических симптомов является достоверным признаком дермоидных образований — тератом.
Увеличиваясь в размерах, дермоидные кисты и тератомы могут вызывать смещение соседних органов. Но в отличие от опухолей средостения это наблюдается редко, даже при большой величине дермоидов, что можно объяснить преимущественным расположением их в ретро-стернальном пространстве ближе к грудине, занятом главным образом соединительнотканной клетчаткой. Из 12 наших больных только у одного с наличием большой дермоидной кисты отмечалось смещение нижнего отдела трахеи кзади, а пищевода вправо.
В литературе имеются указания на смещения дермоидной кистой сердца, трахеи, бронхов, пищевода и даже искривление позвоночника.
Дермоиды, прилежащие к сердцу и аорте и часто с ними спаянные, пассивно пульсируют, что нередко чрезвычайно затрудняет их дифференциальную диагностику с аневризмами аорты. Передаточная пульсация дермоидных кист отмечалась у 9 наших больных.

Таким образом, на основании собственных наблюдений и литературных данных наиболее характерными для дермоидных кист и тератом средостения следует считать следующие рентгенологические признаки:
1) локализация в переднем средостении, а именно в ретро-стернальном пространстве, чаще в средней его трети по высоте;
2) овальная форма затемнения с четкими правильно выпуклыми, но нередко волнистыми или бугристыми контурами;
3) наличие в ряде случаев плотных включений или обызвествления капсулы, что можно считать почти патогномоничными симптомами дермоидных кист и тератом.
При дифференциальной диагностике следует помнить о нередко наблюдаемой передаточной пульсации дермоидных образований, а иногда и изменении их формы при глубоком дыхании. Обобщая все изложенное выше, можно сказать, что в подавляющем большинстве случаев на основании характерных рентгенологических признаков в сочетании с данными клиники диагноз дермоидного образования может быть правильно поставлен до оперативного вмешательства.
Информация на сайте подлежит консультации лечащим врачом и не заменяет очной консультации с ним.
См. подробнее в пользовательском соглашении.
Рентгенологические признаки дермоида и тератом. Локализация дермоидных кист и тератом
Нельзя не согласиться с Ю. Ю. Джанелидзе, что: «. для распознавания кист и тератом средостения, клинические признаки которых часто бывают неясными и путающими врача, данные рентгенологического исследования приобретают исключительно важное значение». Ведущая роль рентгенологического метода исследования в диагностике дермоидных образований подчеркивается большинством авторов.
Дермоидные кисты и тератомы имеют довольно специфическую рентгенологическую картину. К числу наиболее характерных рентгенологических признаков относится локализация дермоидных кист и тератом. Известно, что последние, как правило, располагаются в переднем средостении.
Но в отличие от многих других локализующихся здесь опухолей дермоидные кисты и тератомы обычно располагаются непосредственно за грудиной в ретро-стернальном пространстве и чаще всего в средней трети длинника средостения (у 15 из 21 больного G. И. Волкова, у 8 из 12 наших больных). Редко отмечается локализация в нижнем отделе средостения или на всем его протяжении при больших размерах дермоида.
По отношению к средней линии патологическая тень в 80—90% случаев (Дезев и Дюмон) имеет одностороннее расположение: по одним авторам — чаще справа (Б. Г. Стучинский, Дезев и Дюмон), по другим — чаще слева (наблюдения С. И. Волкова и наши). Редко дермоиды располагаются срединно (в 4,2% случаев, по Б. Г. Стучинскому). При этом они могут выходить за оба контура срединной тени.

В литературе описаны единичные случаи очень редкой локализации дермоидных кист и тератом в заднем средостении. В отечественной литературе нам встретилось 9 подобных наблюдений.
Блейдс на 233 собранных им из литературы случая дермоидных образований нашел только три (1,2%) с локализацией кисты в заднем средостении.
Б. Г. Стучинский, не отрицая возможности расположения дермоидов в заднем средостении, полагает, что последние остаются все же связанными ножкой с передним средостением. Такая же связь ножкой имеется и в тех случаях, когда дермоидная киста располагается в междолевых щелях, т. е. вне средостения. У больных А. Е. Прозорова и О. М. Руденко ножки дермоидных кист, локализовавшихся в междолевых щелях, исходили из заднего средостения. Иногда при рентгенологическом исследовании тень таких дермоидных кист может совершенно отделяться от тени средостения, симулируя легочное образование.
Подобная локализация, как правило, ведет к ошибочному диагнозу. У одного нашего больного, у которого киста была расположена в междолевой щели, также была допущена ошибка в диагнозе.
Дермоидные кисты и тератомы — солитарные образования. В литературе нам встретилось описание только одного случая одновременного наличия двух тератом средостения (Дезев и Дюмон).
В большинстве случаев тень дермоидов имеет овальную форму с косо расположенным длинником по отношению к длиннику срединной тени, реже неправильно округлую форму. При росте дермоидной кисты в междолевую щель длинник ее овала принимает горизонтальное положение (А. Е. Прозоров). Размеры патологической тени могут колебаться в широких пределах — от небольших до громадных. В последнем случае бывает затемнена почти вся половина грудной клетки.
Тератома
Тератома – эмбрионально-клеточная опухоль, развивающаяся из пластов эндо- экзо- и мезодермы. Может быть доброкачественной либо злокачественной. Располагается в яичках, яичниках либо экстрагонадно. Небольшие доброкачественные опухоли протекают бессимптомно. Крупные тератомы вызывают сдавление близлежащих органов с возникновением соответствующей симптоматики. Злокачественные новообразования могут давать метастазы. Диагноз выставляется на основании жалоб, осмотра, рентгенографии, УЗИ, КТ, МРТ, биопсии и других исследований. Лечение – операция, радиотерапия, химиотерапия.

Общие сведения
Тератома – герминогенная опухоль, содержащая участки ткани или органы, нетипичные для расположения новообразования. Может включать в себя волосы, костную, мышечную, хрящевую, жировую, железистую и нервную ткань, реже – части человеческого тела (конечность, туловище, глаз). Обычно диагностируется в детском и юношеском возрасте. Иногда выявляется внутриутробно. Крупные тератомы, возникшие во внутриутробном периоде, могут препятствовать развитию плода и осложнять течение родов.
Тератомы составляют 24-36% от общего количества опухолей у детей и 2,7-7% - у взрослых. Постепенно увеличиваются в размере по мере роста организма. Часто манифестируют в периоды гормональной перестройки. В большинстве случаев тератомы считаются прогностически благоприятным заболеванием. Лечение осуществляют специалисты в области онкологии, гинекологии, урологии, андрологии, неврологии, отоларингологии, пульмонологии и других специальностей (в зависимости от локализации новообразования).
Причины
Этиофакторы развития тератомы точно не установлены. Предполагается, что опухоль возникает в результате нарушений эмбриогенеза. Тератомы происходят из первичных половых клеток, которые в процессе развития должны трансформироваться в яйцеклетки либо в сперматозоиды. Иногда этот процесс нарушается, в организме остаются недифференцированные гоноциты, которые под влиянием определенных факторов начинают трансформироваться и дают начало различным тканям человеческого тела.
Тератомы часто выявляются в тканях яичек либо яичников, однако могут возникать и экстрагонадно. Причиной нетипичной локализации тератом становится задержка продвижения эмбрионального эпителия к местам закладки гонад. 25-30% опухолей располагаются в области яичников, 25-30% - в зоне крестца и копчика, 10-15% - в ретроперитонеальном пространстве, 5-7% - в яичках, 5-7% в пресакральной области, 5% - в зоне средостения. Кроме того, тератомы могут локализоваться в области головного мозга (чаще – в желудочках мозга либо в зоне шишковидного тела), челюстей, полости носа или легких.
Существует также теория, согласно которой часть тератом возникает в результате феномена «эмбрион в эмбрионе» - ситуации, когда один из двух монозиготных близнецов на ранних стадиях развития «заворачивается» вокруг другого, и внутренний близнец превращается в своеобразное включение-паразита, грубо недоразвитого и неспособного к самостоятельному существованию. Доказательством этой теории являются гистологические исследования тканей некоторых нежизнеспособных эмбрионов.
Классификация
С учетом особенностей гистологического строения различают:
- Зрелые тератомы – новообразования, при исследовании которых обнаруживается несколько дифференцированных тканей, являющихся производными одного и более зародышевых листков.
- Незрелые тератомы – опухоли, при изучении которых выявляются ткани эмбрионального строения, являющиеся производными трех зародышевых листков.
- Злокачественные тератомы – незрелые либо (реже) зрелые тератомы, сочетающиеся с хорионкарциномой, семиномой либо эмбриональным раком.
Выделяют зрелые тератомы кистозного и солидного строения. Солидная опухоль представляет собой плотный, гладкий либо бугристый узел. Ткань узла на разрезе неоднородная, светло-серая, с небольшими кистами и плотными включениями (очагами костной и хрящевой ткани). Зрелая кистозная тератома выглядит как крупный гладкий узел. На разрезе видны крупные кисты, содержащие слизь, мутную жидкость либо кашицеобразную массу. В полостях могут обнаруживаться костные и хрящевые включения, зубы или волосы.
При микроскопическом исследовании зрелых солидных и кистозных тератом выявляется аналогичная картина. Основа новообразований представлена фиброзной тканью, в которой видны беспорядочные включения других тканей: многослойного плоского эпителия, эпителия слизистых оболочек, костной, хрящевой, жировой и гладкомышечной ткани, ткани периферических нервов и головного мозга. Иногда в тератоме обнаруживаются фрагменты ткани легких и почек, а также участки железистой структуры, напоминающей ткань молочной железы, поджелудочной железы и слюнных желез. Кистозные зрелые тератомы представляют собой дермоидные кисты, стенки которых покрыты эпителием, содержащим волосяные фолликулы, сальные и потовые железы.
Незрелые тератомы на разрезе светло-серые, с небольшими кистами, содержат включения незрелого покровного эпителия, нейрогенного эпителия, поперечнополосатых мышц и хрящевой ткани. Зрелые тератомы считаются доброкачественными опухолями, незрелые рассматриваются как потенциально злокачественные. Озлокачествление наблюдается редко. При малигнизации новообразования дают лимфогенные и гематогенные метастазы. По своему строению метастатические опухоли напоминают незрелую тератому либо какой-то из ее компонентов.
Отдельные виды тератом
Тератомы яичка составляют примерно 40% от общего количества герминогенных новообразований у мужчин. Небольшие опухоли могут протекать бессимптомно, крупные узлы легко обнаруживаются, поскольку вызывают внешнюю деформацию яичка. Обычно начинают расти в пубертатном периоде. У взрослых мужчин выявляются крайне редко. Могут быть зрелыми, незрелыми и злокачественными. Особую опасность представляют редко встречающиеся незрелые малигнизировавшиеся тератомы в области неопустившегося яичка – подобные новообразования достаточно долго протекают бессимптомно, не выявляются при обычном осмотре и диагностируются на поздних стадиях.
Тератомы яичника диагностируются чаще опухолей яичка. Составляют 20% от общего количества новообразований яичников. В большинстве случаев представляют собой зрелые узлы кистозного строения. Иногда встречаются незрелые тератомы. Часто протекают бессимптомно, становятся случайной находкой при проведении исследований в связи с подозрением на другие заболевания. Могут активизироваться в периоды гормональной перестройки (в подростковом возрасте, в период гестации, реже – в период климакса).
Крестцово-копчиковая тератома – самая распространенная врожденная опухоль. Крестцово-копчиковая тератома представляет собой округлое опухолевидное образование диаметром от 1-2 до 30 см. Девочки страдают чаще мальчиков. Крупные тератомы провоцируют смещение внутренних органов и могут вызывать нарушения развития плода. Возможны аномалии развития таза, смещение прямой кишки, атрезия уретры или гидронефроз. Большие опухоли с интенсивным кровоснабжением могут провоцировать развитие сердечной недостаточности. С учетом особенностей расположения выделяют 4 вида тератом: преимущественно наружные, наружно-внутренние, внутренние и пресакральные. Крупные тератомы могут осложнять течение родов. Новообразования удаляют хирургическим путем в первые полгода жизни ребенка.
Тератома шеи – редко встречающееся новообразование. Обычно диагностируется сразу после рождения. Мелкие опухоли иногда остаются нераспознанными и выявляются после активизации роста. Размер тератомы может колебаться от 3 до 10-15 см. В зависимости от состояния близлежащих анатомических образований (наличия или отсутствия сдавления) протекают бессимптомно или проявляются затрудненным дыханием, синюшностью кожи, удушьем и затруднениями при приеме пищи.
Тератомы средостения обычно располагаются в переднем средостении, рядом с крупными сосудами и перикардом. Долгое время никак не проявляются. Обычно начинают расти в подростковом возрасте или в период гестации. Могут увеличиваться до 20-25 см. Сдавливают легкие, сердце, плевру и кровеносные сосуды. Сдавление внутренних органов сопровождается учащением сердцебиения, болями в сердце, одышкой и кашлем. При прорыве тератомы средостения в бронх или плевральную полость возникает синюшность кожи, удушье, повышение температуры тела, асимметрия грудной клетки, икота, иррадиирующие боли в области надплечья на стороне поражения. Возможно легочное кровотечение и развитие аспирационной пневмонии.
Тератома головного мозга выявляется редко. Обычно диагностируется у мальчиков 10-12 лет. Склонна к малигнизации, злокачественное перерождение наблюдается более чем в половине случаев. Долгое время протекает бессимптомно. При увеличении вызывает головную боль, тошноту и головокружение.
Диагностика
Для выявления крестцово-копчиковых тератом ведущую роль играет адекватное обследование плода в период внутриутробного развития. Диагноз обычно выставляют по результатам акушерского УЗИ. В остальных случаях диагностику осуществляют на основании жалоб, данных объективного осмотра, лабораторных и инструментальных исследований. При тератомах средостения и крестцово-копчиковых новообразованиях назначают обзорную рентгенографию, при необходимости проводят рентгенконтрастные исследования и ангиографию.
Высокоинформативным способом диагностики тератом является КТ пораженной области. Методика позволяет определить форму, размер и строение опухоли, а также оценить ее взаимосвязь с другими анатомическими структурами. При подозрении на наличие метастазов назначают КТ, МРТ, рентгенографию грудной клетки, сцинтиграфию и другие исследования. В качестве уточняющего метода применяют анализ крови на хорионический гонадотропин и альфа-фетопротеин. Окончательный диагноз выставляют с учетом результатов пункционной биопсии и последующего микроскопического исследования материала.
Лечение тератомы
Лечение хирургическое. Доброкачественные опухоли обычно иссекают в пределах здоровых тканей. Исключением являются тератомы яичника. Девочкам и женщинам репродуктивного возраста при данном заболевании проводят частичную резекцию яичников, в преклимактерическом и климактерическом периоде осуществляют аднексэктомию, надвлагалищную ампутацию матки с придатками. Объем хирургического вмешательства при злокачественных тератомах определяется локализаций и распространенностью новообразования. В послеоперационном периоде назначают радиотерапию и химиотерапию.
Прогноз
Прогноз зависит от локализации и особенностей гистологического строения тератомы. При зрелых и незрелых доброкачественных опухолях исход обычно благоприятный за исключением крупных крестцово-копчиковых тератом. Выживаемость при новообразованиях данной локализации составляет около 50%. Причиной гибели становятся пороки развития, сдавление внутренних органов или разрыв тератомы в родах. При злокачественных опухолях прогноз определяется распространенностью процесса. Тератомы с семиномой протекают более благоприятно сравнению с тератомами в сочетании с хорионэпителиомой или эмбриональным раком.
Дермоидная киста яичника
Дермоидная киста яичника – дополнительное образование овариальной ткани, состоящее из толстостенной капсулы, внутри которой содержится слизеобразная масса с различными включениями (кожей, жировой тканью, сальными железами, волосами, костями, зубами, нервной тканью). Клинически дермоидная киста яичника проявляет себя при достижении больших размеров: в этом случае могут отмечаться боли в животе и пояснице, дизурические нарушения, расстройства дефекации. Дермоидные кисты склонны к воспалению, нередко наблюдается перекрут ножки кисты. Диагностика включает гинекологический осмотр, УЗИ, МРТ, лапароскопию. Лечение дермоидных кист яичника оперативное – кистэктомия, клиновидная резекция яичника или овариоэктомия.
Дермоидная киста (дермоид, зрелая тератома) – доброкачественная опухоль яичника, которая встречается у 15-20% женщин с овариальными кистами. Дермоидная киста яичника обычно имеет круглую или овальную форму, гладкие наружные стенки, может вырастать диаметром до 15 сантиметров. Внутри полость тератомы выстлана многослойным эпителием и заполнена желеобразным содержимым со зрелыми фрагментами производных эктодермы, эндодермы и мезодермы (сальных и потовых желез, волос, жировой, нервной, костной и др. тканей).
Дермоидная киста развивается из зародышевых эмбриональных листков, которые при нарушении внутриутробной дифференцировки тканей сохраняются в яичниках. Дермоидная киста яичника может возникать в любом возрасте (детском, подростковом, репродуктивном, климактерическом). Причины формирования зрелых тератом неизвестны; в их развитии предполагается провоцирующая роль гормональных изменений в период полового созревания и климакса, травм живота. Дермоидные кисты яичника растут медленно, обычно имеют одностороннюю локализацию (чаще правостороннюю). В 1-3% случаев отмечается перерождение дермоидной кисты яичника в плоскоклеточный рак.
Симптомы дермоидной кисты яичника
В начальных стадиях дермоидная киста яичника не проявляется симптоматически и может стать случайной находкой при гинекологическом исследовании или УЗИ. Клинические проявления дермоидной кисты яичника связаны с достижением ею больших размеров (15 и более см). В этот период у пациентки появляются ощущения распирания и тяжести, болезненность внизу живота, иногда – увеличение живота в размерах. Увеличение кисты может сопровождаться давлением на мочевой пузырь или прямую кишку, что проявляется учащением мочеиспускания, нарушениями функции кишечника (запорами или диареей).
Дермоидная киста яичника не вызывает гормональных изменений и нарушения менструальной функции, но имеет склонность к осложненному течению. При воспалении зрелых тератом температура тела повышается до 39°С, появляется выраженная слабость и боль в животе. В случае перекрута ножки дермоидной кисты яичника развивается клиника острого пельвиоперитонита с симптомами раздражения брюшины, подъемом температуры, резкой непрекращающейся болью с иррадиацией в ногу и прямую кишку.
Иногда дермоидная киста яичника может впервые выявляться в процессе ведения беременности. Если тератома имеет небольшие размеры, не вызывает нарушения работы соседних органов и не осложняется, во время беременности ее не трогают. В этом случае лечение зрелой тератомы рекомендуется после родов. Беременные с выявленной дермоидной кистой яичника должны находиться на особом учете у гинеколога.
При двуручном (влагалищно-абдоминальном или ректо-абдоминальном) гинекологическом исследовании дермоидная киста яичника пальпируется в виде эластичного, округлого, подвижного и безболезненного образования, расположенного кпереди и сбоку от матки.
В гинекологии наибольшей информативностью в обнаружении и диагностике дермоидной кисты яичника обладает УЗИ малого таза трансвагинальным и трансабдоминальным датчиком. При ультразвуковом сканировании определяются размеры кисты, толщина капсулы и интенсивность кровоснабжения, ЭХО-плотность ее содержимого, наличие включений в ее полости, нередко – кальцификаты. В сомнительных ситуациях диагноз зрелой тератомы подтверждается в ходе компьютерной диагностики и МРТ.
При осложненном течении дермоидной кисты яичника показано проведение пункции заднего свода влагалища, лапароскопии; для исключения внематочной беременности - теста на беременность. При дермоидной кисте яичника обязательно исследуются опухолевые маркеры-антигены (CA-125), позволяющие исключить малигнизацию образования. В процессе диагностики зрелую тератому дифференцируют от других видов кист и кистомы яичника.
Лечение дермоидной кисты яичника
Единственным способом устранения дермоидных кист яичника является их хирургическое удаление. Объем операции определяется в зависимости от возраста пациентки, размера и доброкачественности образования.При дермоидных кистах яичника, осложненных воспалением или перекрутом ножки, операция осуществляется в экстренном режиме и в объемах, диктуемых ситуацией.
У девочек и молодых женщин производится кистэктомия, клиновидная резекция яичника; у женщин в пременопаузе – оофорэктомия, иногда аднексэктомия со стороны поражения. Удаление дермоидной кисты яичника производится в процессе лапароскопии или лапаротомии. Если при гистологическом исследовании подтверждается диагноз дермоидной кисты яичника, лечение на этом заканчивается. Планировать беременность после удаления зрелой тератомы рекомендуется через 6 мес. – 1 год после операции.
При своевременном удалении дермоидной кисты яичника прогноз в отношении специфических функций (менструальной, половой, детородной) благоприятный. Повторное возникновении зрелых тератом встречается исключительно редко, в тех случаях, если на момент операции в яичнике имелись микроскопические зачатки дермоидных кист. После операции профилактические осмотры гинекологом и УЗИ-контроль проводятся дважды в год.
При неудаленной дермоидной кисте яичника любая физическая активность (прыжки, наклоны, повороты) могут способствовать перекруту ножки кисты. Также наличие кисты несет потенциальную опасность нагноения ее содержимого и злокачественного перерождения.
Кисты средостения
Кисты средостения – многочисленная группа полостных образований медиастинального пространства врожденного и приобретенного характера. Кисты средостения могут иметь бессимптомное течение или сопровождаться признаками компрессии окружающих органов (бронхов, пищевода, предсердий, артерий), нарушая их функцию. Диагностика кист средостения подразумевает проведение полипозиционной рентгеноскопии и рентгенографии грудной клетки, пищевода, сердца; томографии; бронхоскопии, пневмомедиастинографии, медиастиноскопии, тонкоигольной аспирационной биопсии, УЗИ средостения, парастернальной медиастинотомии. Лечение кист средостения может включать их открытое или торакоскопическое удаление, трансторакальную пункцию кисты с дренированием и склерозированием и др.
МКБ-10

Кисты средостения составляют от 14 до 18,5% всей медиастинальной патологии. К кистами средостения относят полостные образования различного генеза, происходящие из разнородных тканей и объединенные анатомо-топографическими особенностями расположения. Преимущественно обнаруживаются у пациентов в возрасте 20-50 лет, при этом с одинаковой частотой у женщин и мужчин.
Кроме кист, в средостении могут развиваться истинные доброкачественные и злокачественные опухоли: тимомы, тератомы, липомы, нейрогенные опухоли, лимфомы, саркомы, лимфогенные метастазы злокачественных опухолей различных органов и др. Проблема диагностики и лечения кист средостения относится к числу наиболее сложных и актуальных разделов пульмонологии и торакальной хирургии.
Анатомия средостения
Под средостением (mediastinum) понимают сложное в анатомическом отношении пространство, расположенное в грудной полости. Спереди границами средостения служат грудина, позадигрудинная фасция и реберные хрящи; сзади - предпозвоночная фасция, передняя поверхность грудного отдела позвоночника и шейки ребер; по бокам - листки медиастинальной плевры; снизу – диафрагма; сверху - условная горизонтальная плоскость, проходящая по верхнему краю рукоятки грудины. Т.о., в медиастинальном пространстве выделяют 3 отдела (переднее, среднее и заднее средостение) и 3 этажа (верхнее, среднее и нижнее средостение).
В средостении сосредоточены жизненно важные органы и анатомические образования (крупные сосуды, нервные стволы и сплетения, лимфатические протоки, бифуркация трахеи и главные бронхи, пищевод, перикард и др.). Поэтому компрессия или инвазия этих структур может сопровождаться различными по проявлениям и нередко угрожающими жизни симптомокомплексами. Кисты средостения могут выявляться в любых отделах и этажах медиастинального пространства.
Классификация кист средостения
Кисты средостения классифицируются по происхождению и локализации. Среди множества кист средостения различают истинные (врожденные, первичные), вторичные (приобретенные).
Врожденные кисты средостения развиваются из мезодермальных образований - целома или передней кишки. К ним относятся целомические, энтерогенные, бронхогенные, дермоидные кисты, кисты тимуса и др. Приобретенные кисты средостения происходят из лимфатических сосудов, различных органов средостения и пограничных областей. В число приобретенных кист средостения входят лимфатические, тимусные, паразитарные (эхинококковые), менингеальные.
Целомические кисты и дивертикулы перикарда
Являются своеобразным врожденным пороком развития и составляют 3,3-14,2% всех медиастинальных новообразований. Наиболее часто кисты перикарда (60%) развиваются в правом кардиодиафрагмальном углу, реже (30%) – в левом кардиодиафрагмальном углу и других отделах средостения (10%). Такие кисты средостения являются полыми тонкостенными образованиями, сходными по строению с тканями перикарда, имеют гладкую поверхность серо-желтого или серого цвета.
Кисты перикарда содержат прозрачную серозную или серозно-геморрагическую жидкость. Целомические кисты перикарда могут достигать диаметра от 3 до 20 и более см. Целомические кисты средостения могут быть однокамерными или многокамерными, сообщаться с полостью перикарда, быть связанными с перикардом посредством ножки или плоскостного сращения. Приобретенные кисты перикарда встречаются редко; обычно имеют воспалительное и травматическое происхождение. Также описаны паразитарные (эхинококковые) кисты перикарда.
Бронхогенные кисты средостения
Встречаются в 30-35% наблюдений. Они также являются пороками эмбрионального развития и формируются из участков дистопированного бронхиального эпителия. Макроскопически представляют тонкостенные образования, заполненные прозрачной, реже бурой жидкостью. При гистологическом исследовании в них обнаруживается хрящевая ткань, соединительнотканные и гладкомышечные волокна слизистые железы.
Полость бронхогенной кисты средостения изнутри выстлана эпителием цилиндрического или реснитчатого типа. Внутри кисты содержится прозрачная или мутноватая желатинообразная, вязкая масса, которая, при наличии связи кисты с бронхиальным деревом, может нагнаиваться. Бронхогенные кисты средостения обычно располагаются позади бифуркации трахеи и тесно соприкасаются с трахеей или главными бронхами, иногда - пищеводом. Обычно они имеют однокамерное строение и достигают размеров 7-10 см в диаметре.
Гастроэнтерогенные кисты средостения
Энтерокистомы являются эмбриональными производными из первичной кишки. С учетом микроскопического сходства их структуры с отделами ЖКТ, выделяют пищеводные, желудочные и кишечные кисты. Гастроэнтерогенные кисты средостения встречаются в 0,7-5% случаев. Они представляют собой однокамерные округлые или овоидные образования, с толстыми стенками и ножкой; локализуются преимущественно в заднем средостении. Гастроэнтерогенные кисты средостения содержат мутноватую слизевидную массу. Желудочные кисты могут продуцировать соляную кислоту, что приводит к изъязвлению стенок, кровотечению, язвам и перфорации стенок кисты средостения. В редких случаях в стенке кисты может развиваться рак.
Дермоидные кисты средостения
Кистозные тератомы содержат в своей структуре элементы эктодермы и возникают в процессе нарушения эмбриогенеза. В медицине встречаются дермоидные кисты яичников, брюшной стенки, кожи, забрюшинной клетчатки, печени, почек и др. органов и тканей. Дермоидные кисты обычно расположены в передневерхнем отделе средостения. Величина дермоидных кист средостения может достигать 15-25 см. Форма кистозных тератом обычно неправильная овальная; консистенция эластическая или мягкая. Стенки кисты могут содержать хрящевые и известковые включения. Внутри кисты заключена густая кашицеобразная жирная масса с множеством различных включений (волос, чешуек эпидермиса, кристаллов холестерина, аморфных жиров, зубов).
Кисты вилочковой железы
Могут иметь врожденное и приобретенное (воспалительное, опухолевое) происхождение. Они преимущественно выявляются у детей и людей молодого возраста.
Симптомы кист средостения
Особенности клинических проявлений кисты средостения обусловлены типом и расположением образования, его величиной и скоростью роста. В большинстве случаев симптоматика развивается на том этапе, когда увеличение кисты средостения вызывает компрессию других органов и неизбежное нарушение их функций.
Течение кист перикарда в большинстве случае бессимптомное, гладкое. Нередко они являются находкой при прохождении профилактической флюорографии. Иногда наблюдаются сердцебиение, одышка, сухой кашель, возникающие при перемене положения туловища и физической нагрузке. При осложненном течении целомических кист средостения может иметь место провыв содержимого кисты перикарда в бронх, нагноение и разрывы кисты.
Развитие бронхогенных кист средостения нередко сопровождается надсадным кашлем, одышкой, дисфагией, тупой болью в грудной клетке. При сдавлении кистой дыхательных путей развивается стридорозное дыхание. В случае прорыва бронхогенной кисты средостения в бронх может появиться кровохарканье. При одновременном прорыве кисты в плевральную полость и в бронх, развивается гидропневмоторакс и бронхоплевральный свищ.
Гастроэнтерогенные кисты средостения проявляют себя кашлем, одышкой, тахикардией, дисфагией, болью в груди. Энтерокистомы могут прорываться в трахею, бронхи, плевральную полость, средостение, вызывая развитие кровохарканья, эмпиемы плевры, частых пневмоний, лихорадки неясного генеза, бронхоэктазов, медиастинита.
Более чем в половине случаев дермоидная киста средостения сопровождается различными сердечно-сосудистыми нарушениями: приступами стенокардии, болью в области сердца, тахикардией. У 30% больных признаком дермоидной кисты средостения служит появление продуктивного кашля с выделением кашицеобразной массы, содержащей примесь волос и жира, что наблюдается при прорыве кисты в бронх. У части пациентов отмечается выпячивание грудной стенки в проекции расположения опухоли.
Симптоматика кист вилочковой железы может быть разнообразной – от бессимптомного течения до осложненного. Достигнув известных размеров, кисты могут вызывать медиастинальный «компрессионный» синдром. В некоторых случаях на первый план выходит миастенический синдром. Опасность кист вилочковой железы заключается в риске нагноения, прорыва в плевру, кровотечения.
Осложнения
Наиболее грозным осложнением кист средостения служит так называемый синдром медиастинальной компрессии, частота которого колеблется от 27 до 39%. Сюда может входить компрессия дыхательных путей, синдром верхней полой вены (СВПВ), сдавление пищевода, сердца, возвратного нерва.
При компрессии дыхательных путей развивается стридорозное дыхание, одышка, дыхательная недостаточность. Синдром ВПВ проявляется цианозом кожи лица, видимых слизистых оболочек, шеи, верхних конечностей и грудной клетки; отечностью мягких тканей этой зоны; расширением и напряжением вен шеи; повышением давления в системе ВПВ. Сдавление кистами различных структур средостения может сопровождаться дисфагией, дисфункцией надгортанника, дисфонией, компрессией и дислокацией сердца.
К прочим осложнениям кист средостения относятся их прорывы в полости плевры, бронхи и легкое, кровотечения в средостение и плевральную полость (гемоторакс). Осложненное течение кист средостения несет в себе потенциальную угрозу жизни пациента.
Методы выявления кист средостения включают рентгенологическую, ультразвуковую, томографическую, эндоскопическую, морфологическую диагностику.
- Рентгенологические исследования. Полипозиционная рентгеноскопия и рентгенография грудной клетки, рентгенография пищевода и сердца, пневмомедиастинография позволяют определить локализацию, форму и размеры кисты, ее связь с соседними органами, изменение положения при дыхательных движениях.
- Томографическая диагностика. Для более детальной оценки структуры, толщины стенок кисты, характера содержимого и взаимоотношения с соседними анатомическими образованиями, производится КТ и МРТ средостения.
- Эхография. При медиастинальных новообразованиях в диагностической практике широко используется УЗИ средостения. В диагностике кист перикарда существенно помогает ЭхоКГ, позволяющая дифференцировать кисту средостения от кист легкого, дермоидных кист средостения, аневризмы аорты.
- Бронхологическое обследование. При кистах средостения, демонстрирующих интимную связь с трахеей или бронхами, прибегают к выполнению бронхоскопии и бронхографии.

Если названные методы диагностики не позволяют определиться с нозологией образования, целесообразен переход к инвазивным диагностическим исследованиям:
- Биопсия. Проведение аспирационной тонкоигольной биопсии кисты средостения позволяет осуществить цитологическое исследование полученного пунктата и верифицировать морфологию образования в 80-90% случаев. Тонкоигольная биопсия может выполняться чрескожным, чрестрахеальным, чрезбронхиальным, чреспищеводным доступом.
- Диагностические операции. С целью визуализации и открытой эксцизионной биопсии опухоли средостения может быть предпринята медиастиноскопия, диагностическая торакоскопия, парастернальная медиастинотомия.
Лечение кист средостения
Лечебная тактика в отношении кист средостения сводится к их хирургическому удалению в возможно ранние сроки. Такой подход является профилактикой развития компрессионного синдрома, разрыва и малигнизации кист средостения.
- Открытое удаление кисты средостения может проводиться путем продольной стернотомии (при расположении кисты в переднем средостении), с помощью переднебоковой торакотомии на стороне поражения (при боковом расположении образования), боковой торакотомии (при локализации опухоли в среднем средостении), заднебоковой торакотомии (при расположении кисты в заднем средостении). Открытые операции обеспечивают возможность наибольшей свободы действий и полноценной интраоперационной ревизии раны. При развитии осложнений может потребоваться проведение медиастинотомии.
- Торакоскопическое удаление кист средостения также широко и успешно применяется не только для диагностики, но и для удаления медиастинальных образований. В некоторых случаях используется миниторакотомия с видеоподдержкой.
- Пункционная аспирация. У соматически отягощенных пациентов с низкими функциональными резервами методом выбора служит трансторакальная пункция с дренированием и склерозированием кисты средостения. В качестве склерозантов обычно используется раствор спирта с йодом, глюкозы.
1. Опухоли и кисты средостения (включая патологию вилочковой железы)/ Овнатанян К.Т. Кравец В.М. – 1971.
2. Новообразования средостения: принципы дифференциальной диагностики и хирургического лечения: Автореферат диссертации/ Пищак В.Г. – 2008.
3. Клинические рекомендации по диагностике и лечению больных опухолями средостения и вилочковой желез/ Борисова Т.Н., Бредер В.В., Горбунова В.А., Иванов С.М., Лактионов К.К., Михина З.П., Реутова Е.В., Полоцкий Б.Е., Тюляндин С.А. – 2014.
Читайте также:
