Соматические вестибулярные нарушения. Спонтанный нистагм
Добавил пользователь Дмитрий К. Обновлено: 02.11.2025
По данным различных авторов, до 30% населения предъявляет жалобы на головокружение. Это связано с тем, что головокружение может быть симптомом самых различных заболеваний:
- внутреннего уха (болезнь Меньера, лабиринтит, нарушение кровообращения во внутренней слуховой артерии);
 - посттравматические повреждения;
 - острых и хронических нарушений функций центральных вестибулярных структур ствола мозга и их связей (острые и хронические нарушения в вертебробазилярном бассейне).
 
Жалобы на головокружение могут также быть проявлением конституционально-обусловленных вестибулопатий и невротических расстройств.
В последние годы число обращений пациентов в Центр с головокружением возросло. Значительную роль в этом играет экология, питание, компьютеризация, гиподинамия, а порой и ограниченные возможности современного лечения и профилактики.
В 40% случаев этиология головокружения остается невыясненной, дифференциальный диагноз весьма затруднителен, что ведет к неправильной диагностике, и следовательно, к неадекватной терапии.
По данным литературы, головокружение чаще выявляется у женщин, чем у мужчин, и в основном, беспокоит лиц старшего возраста. Как правило, оно сопровождается такими симптомами, как нарушение равновесия, тошнота, рвота, снижение слуха, шум в ушах. В анамнезе у пациентов с головокружением часто (до 47%) выявляются заболевания ушей, причем у третьей части из них - с двух сторон. При синдроме вегетативной дистонии жалобы на головокружение предъявляют от 58% до 71% обратившихся. У пациентов с вертебрально-базилярной недостаточностью установлена связь головокружения с нарушением церебральной гемодинамики. Более чем у 70% пациентов с головокружением наблюдается различная патология шейного отдела позвоночника и у половины - поражение позвоночных артерий. Головокружение - нередкая жалоба больных с мигренью.
Диагностику головокружений целесообразно начинать с установления уровня поражения вестибулярного анализатора, то есть с решения вопроса о том, какой из вестибулярных синдромов – периферический или центральный – имеет место в каждом конкретном случае. Это важно в практическом отношении, поскольку периферический вестибулярный синдром находится в компетенции врачей - оториноларингологов, а центральный – врачей - неврологов.
Диагностика головокружения не всегда проста. Основой здесь является осмотр врача - отоневролога.
Отоневрология является сложной специальностью, стоящей на грани между такими разделами медицины, как оториноларингология, неврология и нейрохирургия. Это наука, которая включает изучение слуха, вестибулярной функции, вкуса, обоняния, чувствительной и двигательной иннервации мышц глотки, гортани. Отоневрология является диагностической специальностью, она дает возможность уточнить уровень поражения очага в мозге и характер вестибулярных нарушений.
Исследование вестибулярной функции состоит из выявления спонтанных симптомов (спонтанный нистагм, нарушение координации, статики и походки) и постановки ряда экспериментальных проб.
Оборудование для проведения калорической пробы
В клинике наиболее широко применяется калорическая проба с помощью автоматического отокалориметра «Variotherm plus» (Германия), позволяющем поддерживать заданную температуру воды и точно дозировать время раздражения лабиринта.
Калоризация осуществляется путем вливания в ухо воды разной температуры (19°, 25°, 49°С) в количестве 200 мл за 20 секунд.
На основе анализа походки определяют характер нарушения вестибулоспинальных рефлексов. Устанавливают наличие и силу вестибуловегетативных рефлексов при экспериментальных пробах, что имеет существенное значение при профотборе.
Методами объективного исследования слуховой функции устанавливают остроту слуха и при нарушении слуха – уровень поражения. Для определения остроты слуха используют речевые пробы, камертональное обследование, аудиометрию с помощью прибора «GSI-61» («Grason-Stadler Madison», США), который позволяет точно дозировать силу звука, исследовать костную и воздушную проводимость на разные частоты.
Для исследования звукопроводящей части слухового анализатора проводится импедансометрия на приборе «GSI-61», «Middle Ear Analizer» («Grason-Stadler Madison», США), включающей в себя тимпанометрию и акустическую рефлексометрию.
В целях улучшения качества диагностики перед консультацией врача - отоневролога должны быть проведены дополнительные методы исследования: осмотр врача - терапевта, врача - невролога, данные лабораторного (общий анализ крови, мочи, анализ крови на сахар, липидограмма) и диагностического (рентгенография шейного отдела позвоночника, ультразвуковое исследование брахиоцефальных сосудов) исследований.
Показания для врачебной консультации пациентов с неврологической и сурдологической патологией:
- последствия воспалительных заболеваний ЦНС – для определения степени функциональных нарушений;
 - транзиторные ишемические атаки - в сложных диагностических случаях;
 - поражение тройничного, лицевого нервов;
 - наследственная атаксия – при первичной постановке диагноза, атипичном течении заболевания;
 - рассеянный склероз – при первичной постановке диагноза в сложных диагностических случаях;
 - доброкачественное пароксизмальное головокружение;
 - вестибулярный нейронит;
 - другие периферические головокружения;
 - другие нарушения вестибулярной функции.
 - нейросенсорная потеря слуха односторонняя с нормальным слухом на противоположным ухе;
 - нейросенсорная потеря слуха неуточненная;
 - головокружение и нарушение устойчивости (БДУ – без дополнительных уточнений)
 - шумовые эффекты внутреннего уха;
 - патология височной кости с нарушением функции вестибулярного и слухового рецепторов.
 
Противопоказания для направления на врачебную консультацию пациентов с неврологической и сурдологической патологией:
- острые нарушения мозгового кровообращения;
 - острые инфекционные заболевания;
 - хронические соматические заболевания с быстро прогрессирующим течением, в стадии выраженной декомпенсации или обострения;
 - онкологические заболевания с множественными отдаленными метастазами;
 - психические и поведенческие расстройства в состоянии декомпенсации.
 
Отоневрологический осмотр является простым и доступным методом выявления вестибулярного синдрома, по которому можно судить о наличии или отсутствии вторичного воздействия на ствол мозга, выявить самые начальные формы слуховых и вестибулярных нарушений и поставить диагноз заболевания в наиболее ранние сроки. Только после выяснения причины осуществляется выбор стратегии лечения заболевания.
В легких случаях симптомы могут исчезнуть сами собой, когда вестибулярный аппарат или нервная система сами компенсируют заболевание, или исчезнет провоцирующий фактор. Но часто (в большинстве случаев) требуется достаточно серьезное лечение.
По вопросам платных услуг обращайтесь:
Адрес: Республика Беларусь, 220114, г. Минск, ул. Скорины, 24 (административно-лабораторный корпус №2), кабинет №118.
Проезд от станции метро «Московская» автобусами №25, 64, 34, 145 до остановки «РНПЦ неврологии и нейрохирургии». (смотреть на карте)
Начальник отдела: Командышко Юлия Сергеевна
Время работы регистратуры платных услуг: понедельник – пятница с 8.30 до 16.00
Наши контакты как проехать в центр
Адрес: Республика Беларусь, 220114, г. Минск, ул. Ф. Скорины, д. 24
Соматические вестибулярные нарушения. Спонтанный нистагм
Соматические вестибулярные нарушения. Спонтанный нистагм
Спонтанный нистагм независимо от того, является ли он лабиринтным, вестибулярным (т. е. стволовым, корковым) или окулярным, следует рассматривать как патологическое состояние, в основе которого лежит нарушение гармоничного взаимодействия центров и путей, участвующих в образовании рефлекторных дуг нистагма. Поэтому анализ характера нистагма приобретает большое диагностическое значение для заболеваний внутреннего уха и поражений головного мозга.
Экспериментальный вестибулярный и оптокинетический нистагм в норме, как правило, бывает бинокулярным (ассоциированным) и в этом процессе принимают одинаковое участие оба глаза. В патологических случаях наряду с ассоциированным нистагмом наблюдается и диссоциированный. В основе последнего лежат более сложные, чем при содружественном нистагме, нарушения связей между вестибулярными ядрами и проводниками и ядрами и проводниками зрительного аппарата.
Диссоциированный нистагм наблюдается сравнительно редко. Он чаще встречается в случаях параличей глазодвигательных нервов, сочетающихся с поражением центральных отделов (медуллярных, мезэнцефальных) вестибулярной системы. При заболеваниях глазодвигательных нервов, как и при поражениях проводников, осуществляющих бинокулярное сочетанное движение глаз (задний продольный пучок), нередко вместо бинокулярного наблюдается монокулярный нистагм. 
Так, монокулярный нистагм наблюдается при параличе глазодвигательных нервов одного глаза.
 
Вследствие того что механизм бинокулярного нистагма глазного происхождения связан с функцией сетчатки и оптического центра, причиной бинокулярного нистагма могут быть дефекты в сетчатке и в оптическом центре. Подтверждением правильности этого положения может служить то обстоятельство, что после устранения дефекта зрения (например, после иридэктомии) нистагм исчезал.
Однако не совсем понятно, почему случаи оптического бинокулярного нистагма наблюдаются редко, хотя больных с дефектом зрения очень много. Следует иметь в виду, что бинокулярный нистагм представляет патологически измененный фиксационный нистагм. Видимый покой, равновесие нормального глаза являются результатом импульса, идущего из fovea при фиксации того или другого предмета. Этот импульс передается зрительному центру в поле Бродмана и от него по окципито-оптомоторному пути к мышцам глазодвигательного аппарата через ядра вестибулярной системы.
Под влиянием этого импульса в глазных мышцах устанавливается соответствующий тонус, необходимый для равновесия глаза. Если же имеется пониженная острота зрения, то фиксация предметов затруднена, в результате чего не создается условий для достаточного импульса в установлении равновесия глаза. Глаза делают беспрерывные движения, вследствие чего возникает фиксационный нистагм. Однако одного нарушения зрения еще недостаточно для оптического нистагма, а тем более монокулярного. Обязательным условием для его появления следует считать нарушение функции заднего продольного пучка, функции, обеспечивающей сочетанное движение обоих глаз.
Монокулярный нистагм наблюдается при поражениях заднего продольного пучка: при качательном спазме (spasmus nutans) нистагм бывает также монокулярным, причем он вызывается нарушением зрительного аппарата.
Информация на сайте подлежит консультации лечащим врачом и не заменяет очной консультации с ним. 
См. подробнее в пользовательском соглашении.
Вестибулярный нейронит
Вестибулярный нейронит (ВН) – представляет собой острое, чаще всего вирусное поражение вестибулярного ганглия, вестибулярных ядер и других ретролабиринтных структур.

Схематическое изображение поражения вестибулярного нерва при ВН
Заболевание одинаково часто проявляется у лиц мужского и женского пола, чаще всего в возрасте около 40 лет.
Этиология и патогенез
ВН связан с заболеваниями инфекционно-аллергического и токсико-аллергического генеза (вирус простого герпеса 1-го типа, пищевые отравления, нарушения обмена веществ и др.), а также с заболеваниями неустановленной природы. В пользу вирусной этиологии ВН свидетельствуют нередкое развитие заболевания после перенесенной респираторной вирусной инфекции, эпидемический характер болезни с пиком заболеваемости, приходящимся на конец весны и начало лета, а также описанные в литературе случаи одновременного заболевания нескольких членов семьи. Роль вируса герпеса подтверждают случаи развития ВН при герпетическом энцефалите. Продолжительность клинических проявлений составляет в среднем от 1 недели до 3 месяцев, после чего болезнь бесследно исчезает и никогда более не повторяется.
Клиника
На фоне внезапно возникающего сильного головокружения выявляется горизонтально-ротаторный спонтанный нистагм, направленный в сторону пораженного уха, меняющий через несколько часов свое направление на обратное. Головокружение обычно усиливается при движениях головы и уменьшается при фиксации взора. Часто наблюдается осциллопсия –нечёткое зрительное восприятие окружающих предметов при выполнении пассивных или активных движениях головой вследствие нестабильности изображения на сетчатке. Резко нарушаются координация движений и равновесие: больной лежит на боку, соответствующем стороне, в которую направлен спонтанный нистагм. У подавляющего большинства пациентов отмечается тошнота (94%) и рвота (65%). Выраженность симптомов настолько пугают пациентов и их родственников, что практически все больные с ВН доставляются в стационар бригадой скорой медицинской помощи.
Слух не снижается, при неврологическом исследовании не выявляются симптомы, указывающие на поражение ствола или других отделов головного мозга. Приступ может продолжаться несколько часов и дней, затем его выраженность постепенно снижается, и обычно через 10-14 дней спонтанные признаки вестибулярной дисфункции проходят.
Диагностика
Основывается на типичной клинической картине заболевания: острое и относительно длительное (от нескольких часов до нескольких суток) головокружение, сопровождающееся неустойчивостью, горизонтальным или горизонтально-ротаторным спонтанным нистагмом с осциллопсией, тошнотой и рвотой. Диагноз можно подтвердить с помощью калорической пробы, выявляющей вестибулярную гипорефлексию или арефлексию на стороне поражения, теста импульсного движения головой
Техника выполнения теста заключается в следующем: пациента просят фиксировать свой взгляд на кончике носа врача, сидящего напротив него, после чего врач кладет руки на голову пациента и резким, внезапным движением ротирует ее вправо, а затем после некоторой паузы влево на 20°. В норме глаза пациента остаются фиксированными объекте наблюдения (кончике носа врача). При нарушения вестибулярной функции глаза пациента поворачиваются вместе с головой, а затем взор возвращается на объект (в данном случае патология у пациентки слева) и шагающей пробы Фукудо.
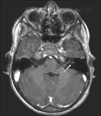
Косвенные признаки ВН можно выявить при использовании высокопольной магнитно–резонансной томографии головного мозга с гадолинием.

Усиленный МР-сигнал от левого вестибулярного нерва у пациента с ВН (МРТ с контрастированием, гадолиний)
Лечение
Основными направлениями терапии пациентов с ВН является уменьшение головокружения, тошноты и рвоты и ускорение вестибулярной компенсации. Симптоматическое лечение включает использование вестибулярных супрессантов: дименгидрината (драмин), метоклопрамида (церукал), бензодиазепиновых транквилизаторов (диазепам) или фенотиазинов (тиэтилперазин). При рвоте используют парентеральный путь введения препаратов. Вестибулярные супрессанты рекомендуют использовать не более 3 дней, поскольку они замедляют вестибулярную компенсацию. Установлено, что у больных с ВН применение в первые трое суток заболевания метилпреднизолона (в начальной дозе 100 мг с последующим снижением дозы на 20 мг каждые трое суток) приводит к более высокой частоте восстановления вестибулярной функции через год с момента заболевания.
Также рекомендуется проведение вестибулярной гимнастики, включающей упражнения, при которых движения глаз, головы и туловища приводят к сенсорному рассогласованию.

Упражнения для вестибулярной реабилитации (Сawthorne-Сooksey, 1940)
Для ускорения вестибулярной компенсации в сочетании с вестибулярной гимнастикой можно использовать бетагистин до 48 мг/сутки в течение 1 месяца и более. Также патогенетически оправдано применение нейромидина по схеме 20 мг 3 раза в день в течение двух месяцев.
Нистагмометрия в оценке эффективности терапии лабиринтных расстройств
Поражение ушного лабиринта часто характеризуется сочетанием слуховых и вестибулярных расстройств. Это объясняется близостью анатомических структур органа слуха и вестибулярного аппарата. Большое значение имеют нарушения кровоснабжения и изменения иннервации, происходящие на уровне сенсорно-эпителиальных элементов как слухового, так и неслухового отделов внутреннего уха. 
- КЛЮЧЕВЫЕ СЛОВА: расстройства, слух, ухо, шум, давление, тяжесть, Бетасерк
 
Поражение ушного лабиринта часто характеризуется сочетанием слуховых и вестибулярных расстройств. Это объясняется близостью анатомических структур органа слуха и вестибулярного аппарата. Большое значение имеют нарушения кровоснабжения и изменения иннервации, происходящие на уровне сенсорно-эпителиальных элементов как слухового, так и неслухового отделов внутреннего уха.
Рис. 5. Компьютерная обработка окулограммы, полученной при калибровке глазных движений в горизонтальной плоскости
Принимая во внимание эти анатомические предпосылки, основными этиопатогенетическими вариантами развития нарушений функционирования ушного лабиринта являются:
- сосудистые расстройства на уровне ветвей внутренней слуховой артерии;
 - метаболические нарушения в рамках эндолимфатической системы;
 - поражения рецепторов слухового и вестибулярного анализаторов при воспалительных процессах;
 - дегенеративные процессы на уровне сенсорно-эпителиальных элементов ушного лабиринта;
 - травматические поражения внутреннего уха, в частности, при воздействии громких звуков и изменении барометрического давления.
 
Вне зависимости от причины лабиринтных расстройств большинство из них сопровождается следующими симптомами:
- различного рода ощущения пространственного дисбаланса или их сочетание;
 - снижение слуха (одностороннее или двухстороннее);
 - чувство давления/распирания/тяжести/полноты в больном ухе;
 - шум в ушах (нередко самое тягостное для пациента из всех перечисленных ощущений).
 
В данной статье мы ограничимся анализом только вестибулосенсорных реакций при некоторых вариантах патологии ушного лабиринта воспалительного и метаболического генеза. Подробно будут рассмотрены возможности аппаратных способов диагностики (с применением очков Frenzel и методики компьютерной электроокулографии) расстройств равновесия при лабиринтном уровне поражения вестибулярного анализатора. Также мы продемонстрируем возможности нистагмометрии в оценке эффективности лечения вестибулярных расстройств при лабиринтной патологии. Из трех возможных вариантов ощущений пространственного дисбаланса (головокружение, неустойчивость и осциллопсия) наиболее часто пациентов при патологии ушного лабиринта беспокоит чувство вращения предметов окружающей обстановки. Следует, однако, подчеркнуть тот факт, что вращательное головокружение не является, как считалось до недавнего времени, специфическим признаком поражения именно периферического звена вестибулярного анализатора. При развитии вестибулярной дисфункции на лабиринтном уровне закономерно сочетание головокружения и различных нарушений статического и динамического равновесия, проявляемого в виде жалоб на ощущения неустойчивости. Головокружение, выраженное сильнее (с тошнотой/рвотой), сопровождается более заметными и дольше беспокоящими пациента «покачиваниями» при стоянии и отклонениями при ходьбе.
Объективным признаком декомпенсации вестибулярной функции по периферическому типу является спонтанный нистагм, сочетающийся с остро возникшим (особенно при ходьбе) головокружением и неустойчивостью. На традиционном отоневрологическом осмотре возникают трудности в обнаружении этой патологической вестибулосоматической реакции. Во-первых, неизбежное при таких процедурных условиях осмотра пациента попадание света на сетчатку подавляет периферический спонтанный нистагм. В связи с этим не следует искусственно подсвечивать глаза пациента при визуальном (без использования аппаратуры) анализе наличия спонтанного нистагма. Во-вторых, и это главное, фиксация взора на неподвижной цели (указательный палец врача, наконечник авторучки, молоточек невролога) закономерно приводит к исчезновению/ослаблению нистагменного процесса периферического происхождения, что обусловлено сохранением функционирования клочковых долек полушарий и узелка червя мозжечка [1]. Такой результат теста на наличие спонтанных нистагменных реакций – важнейший и характерный признак именно периферической, в частности лабиринтной, вестибулярной дисфункции. Главная задача – исключить центральную вестибулярную патологию. В связи с реализацией механизмов вестибулярной адаптации и компенсации [2] головокружение и спонтанный нистагм при фиксации взора, как правило, проходят достаточно быстро. Вместе с тем методическое устранение облегчающего влияния зрения (когда глаза закрыты) позволяет еще в течение некоторого времени выявить патологические вестибулосоматические реакции, в первую очередь спонтанный нистагм.
Возможность появления горизонтального спонтанного нистагма оценивают при различных условиях освещенности: на свету и с устранением зрительной фиксации. Пациента просят фиксировать взгляд на неподвижной цели (например, наконечник ручки) прямо → направо → налево (по 20 секунд при каждой позиции взора). При переводе из стороны в сторону взгляд не должен достигать крайнего положения. Для реализации условия устранения фиксации взора пациенту надевают очки Frenzel (+15 D) и просят его последовательно сохранять одно из трех указанных положений. Горизонтальный спонтанный нистагм характеризуется следующими количественными показателями: степенью, амплитудой и частотой. Когда горизонтальный спонтанный нистагм обнаруживают только при одном из положений латерального взора (либо направо, либо налево), речь идет о спонтанном нистагме I степени (право- или левонаправленном). В этом случае нистагменный процесс выявляют только при взоре в сторону его быстрого компонента. II степень спонтанного нистагма диагностируют в случае обнаружения непроизвольных движений глаз при взоре в сторону быстрого компонента и при взоре прямо. При III степени патологические глазные движения имеют место при всех положениях взора, в том числе при взгляде в сторону медленного компонента спонтанного нистагма.
При визуальной оценке амплитуды нистагменных ударов традиционно разделяют спонтанный нистагм на мелко-, средне- и крупноразмашистый. Предложено считать [3], что движения глазных яблок в пределах 2 мм (толщина спички, которую устанавливают рядом с глазами пациента) можно определить как среднеразмашистый нистагм. Движения глаз с амплитудой меньше 2 мм описывают как мелкоразмашистый, а более 2 мм – крупноразмашистый нистагм. Частоту нистагменных ударов [3, 4] вычисляют как среднее число скачков в течение 10 секунд наблюдения за глазами пациента. Спонтанный нистагм считается редким при выявлении от 1 до 5 быстрых компонентов в течение указанного периода времени обследования. При среднем по частоте нистагме можно уловить от 6 до 10 быстрых скачков глаз. Спонтанный нистагм с частотой 11 и более ударов в течение 10 секунд определяют как частый.
Появление спонтанных нистагменных реакций или усиление их интенсивности (по степени, частоте и амплитуде) характерны для односторонней периферической вестибулярной дисфункции. В качестве примера возможностей диагностики и оценки эффективности терапии остро возникших отогенных расстройств равновесия воспалительной природы приводим следующий клинический случай. Пациентка Ф-ва, 48 лет, жалуется на остро возникшее и сохраняющееся «покачивание» при вставании и особенно «пошатывание» при ходьбе. Эта неустойчивость (с преобладанием отклонений тела влево) возникла 6 дней назад через 2 дня после снижения слуха на правое ухо и появления в нем болей. Отоскопическая картина правого уха соответствует острому катаральному среднему отиту с явлениями раздражения лабиринта. Результаты оценки вестибулярной функции пациентки (в рамках традиционного отоневрологического осмотра) приведены в таблице 1.
Благодаря клиническим исследованиям и накоплению практического опыта [5, 6] признано, что средством первого выбора при лечении болезни Меньера является синтетический аналог гистамина – Бетасерк (Betahistine dihydrochloridi). Непосредственное влияние Бетасерка на вестибулярную функцию пациентов, страдающих болезнью Меньера, реализуется через гистаминергические рецепторы. Они расположены как в области крист ампул полукружных каналов, так и межнейронных синапсов промежуточного мозга (гипоталамус), Варолиева моста и продолговатого мозга (ретикулярная формация ствола). Бетасерк, проникая через гематоэнцефалический барьер, способен влиять на функциональное состояние вестибулярного аппарата больного уха [7]. Результатом этого является подавление патологической активности ампулярных рецепторов, которая имеет место при обострении болезни Меньера, что ускоряет процессы компенсации вестибулярной дисфункции. При лечении Бетасерком отсутствует эффект подавления естественных механизмов вестибулярной адаптации за счет нормализующего влияния на функциональное состояние нейронов вестибулярных ядер ствола головного мозга [8]. Вазоактивный механизм действия Бетасерка обусловлен сосудорасширяющим эффектом этого препарата, причем в гораздо бóльшей степени улучшается кровоток именно в области сосудистой полоски [9]. Сосудорасширяющее действие Бетасерка приводит, безусловно, к предупреждению необратимых для сенсорного эпителия внутреннего уха изменений, которые в первую очередь связаны с периодами гипоксии, возникающей при каждом приступе болезни Меньера.
Рассмотрим далее приемы количественной оценки компьютерных электроокулограмм. Первым этапом любого вестибулометрического исследования является анализ качества произвольных саккад и вычисление калибровочного коэффициента. Это тестирование позволяет оценить способность глаз отклоняться на заданное расстояние (в данном случае на 20°). При анализе саккадических движений глаз в горизонтальной плоскости перевод взгляда вправо выглядит на компьютерной электроокулограмме скачком вверх от оси времени, а влево – скачком вниз. Программным путем выделены начало и конец каждой произвольной саккады: правонаправленной – в виде квадратов; левонаправленной – в виде треугольников (рис. 5). В ходе анализа окулографического материала, полученного в тесте горизонтального саккадического взора, направление скачков (вправо, влево) не учитывается, и обработке подвергаются движения глаз в обе стороны. В дальнейшем величины амплитуд всех (в данном случае их 14) саккад усреднены и соотнесены с величиной стимула (20°). Результатом тестирования становится вычисление калибровочного коэффициента, в данном случае его величина составляет 0,26.
Приведем результаты автоматизированной обработки компьютерной электронистагмограммы пациентки А., 45 лет, страдающей болезнью Меньера и испытывающей почти ежедневные приступы головокружения с усилением ушного шума и заложенности левого уха. Пациентка госпитализирована в ЛОР-отделение. Обследование выполнено на 2-е сутки от начала последнего приступа головокружения. Традиционный отоневрологический осмотр не обнаружил ни спонтанного нистагма при условии зрительной фиксации, ни нарушений позы и походки. На компьютерной электронистагмограмме (рис. 6) видно, что выявлен регулярный (средняя частота 1,3 Гц) левонаправленный спонтанный нистагм. Начало и конец каждого медленного и быстрого компонента нистагменного цикла отмечены квадратами красного цвета. Таким образом, только применение компьютерной электронистагмографии позволило выявить объективный вестибулосоматический симптом, а именно нистагм раздражения левого ушного лабиринта, что свидетельствует о сохранении явлений декомпенсации вестибулярной функции у этой пациентки. Кроме медикаментозного лечения (Дексаметазон, аскорбиновая кислота; Реланиум парентерально; Бетасерк, Диакарб внутрь) больной было предложено соблюдать диету и выполнять 2 раза в день реабилитационные упражнения в щадящем режиме. Такой комплексный подход в лечении активной фазы болезни Меньера позволил существенно улучшить самочувствие больной. Во время наблюдения в стационаре (в течение 14 дней) она отметила прекращение эпизодических головокружений, заметное ослабление интенсивности ушного шума и сохранение слуха на левое ухо. На рисунке 7 представлена компьютерная электроокулограмма, записанная у пациентки на фоне проведения консервативной терапии и демонстрирующая объективную оценку терапии болезни Меньера (левостороннее поражение, активная фаза).
Наиболее оптимальная схема лечения Бетасерком при лабиринтных расстройствах такова: 48 мг в сутки на протяжении 6 недель. Суточную дозу препарата желательно разделить на два приема. Дозировка Бетасерка (одна таблетка, содержащая 24 мг Betahistine dihydrochloridi) эффективна не только в ходе курсового лечения, но и как средство неотложной терапии. Предупреждения очередного приступа головокружения, особенно с предшествующим усилением шума в больном ухе, можно достичь при приеме (нередко под язык) 1–2 таблеток (24–48 мг) Бетасерка.
Нистагм
Нистагм может быть следствием поражения вестибулярного аппарата и ядер глазодвигательного нерва. Наличие нистагма позволяет определить расстройства вестибулярного аппарата, а иногда - произвести дифференциальную диагностику между головкружнием периферического и центрального генеза. В состав нистагма входят медленный (вызванный влияним вестибулярного аппарата) и быстрый (быстрое движение глазного яблока в обратном направлении) компоненты. Нарпавление нистагма определяется по быстрому компоненту, так как его легче визуализировать. Нистагм может быть ротационным, вертикальным или горизонтальным, а также может возникать спонтанно, при фиксации взгляда либо при движении головы.
Исследование нистагма проводится лежа лицом вверх при нефиксированном взгляде (для предотвращения фиксации взгляда используется линза + 30 диоптрий или линзы Френзеля). Затем пациента медленно поворачивают налево и направо. Определяют направление и длительность нистагма. Если нистагм определяется, то выполняется проба Дикса-Халлпайка (или Барани). При проведении этой пробы пациент садится с прямой спиной на кушетку так, чтобы в положении лежа его голова свисала вниз. Пациента укладывают на спину, чтобы голова была запрокинута на 45 ° назад и ротирована на 45 ° налево. Следует обратить внимание на направление и длительность нистагма и появление головокружения. Затем пациента возвращают в исходное положение и повторояют данную пробу с поворотом головы направо. Любое положение или движение, которое вызывает нистагм повторяется несколько раз, чтобы определить есть ли угасание нистагма.
Нисагм периферического генеза, как правило, длится от 3 до 10 секунд и быстро угасает. В то время как нистагм центральной нервной системы не истощается. Во время вызванного нистагма пациента просят сфокусировать взгляд на каком-либо объекте. Нистагм, вызванный поражением периферического отдела угнетается при фиксации взгляда. Поскольку линзы Френзеля препятствуют фиксации взгляда их необходимо снять для проведения этого исследования.
При проведении калорической пробы нистагм может возникать и у здоровых людей. Отсутствие нистагма или разница в длительности нистагма с обеих сторон > 20-25% свидетельствуют о поражении со стороны с более поздним ответом. Определение длительности нистагма лучше всего проводить при помощи простой (компьютерной) электронистагмографии.
Способность вестибулярного аппрата реагировать на периферическое раздражение можно определить у постели больного. Калорическую пробу нельзя проводить у больных с хроническим средним отитом при наличии перорации барабанной перепонки. В положении лежа и поднятой голове на 30 ° в каждое ухо последовательно закапывается ледяную воду. В качестве альтернативы можно использовать теплую воду (40-44 ° С), с осторожностью, чтобы не обжечь пациента действительно горячей водой. Холодная вода вызывает нистагм с противоположной стороны, а горячая на стороне проведения пробы. Мнемонический прием COWS (Cold to theOpposite andWarm to theSame). В случае пациентов с перфорацией барабанной перепонки теплый и холодный воздух может быть заменен водой.
Авторское право © 2022 Merck & Co., Inc., Rahway, NJ, США и ее аффилированные лица. Все права сохранены.
Читайте также:
