Сонный гломус. Сонный клубочек. Внутренняя сонная артерия. Наружная сонная артерия. Топография наружной сонной артерии. Ветви наружной сонной артерии.
Добавил пользователь Дмитрий К. Обновлено: 28.01.2026
Прежде всего, перед проведением УЗИ сосудов шеи, врач должен хорошо знать анатомию сосудов этой зоны. Дуга аорты начинается в верхней части левого желудочка и состоит из восходящей аорты, дуги и нисходящей аорты. Есть три основных ветви дуги аорты. Первая ветвь - безымянная или брахиоцефальная артерия, которая делится на правую общую сонную и правую подключичную артерию. Вторая ветвь дуги аорты — это левая общая сонная артерия, за которой следует левая подключичная артерия.
Артерии верхних конечностей
Подключичные артерии расположены кзади от подключичной и лестничной мышцы. Правая подключичная артерия ответвляется от безымянной артерии, а левая подключичная артерия отходит непосредственно от дуги аорты. Подключичная артерия образует подмышечную артерию у первого ребра. Подмышечная артерия доходит до нижней границы подмышечной впадины и ограничена спереди грудными мышцами, передним грудным нервом, акромиогрудными и латеральной подкожной веной руки (vena cephalica).
Плечевая артерия опускается от нижней подмышечной впадины до уровня локтя. Затем она разветвляется на лучевую и локтевую артерии. Лучевая артерия проходит вдоль латеральной стороны предплечья (когда пациент находится в анатомическом положении) или лучевой стороны предплечья вниз до запястья. Локтевая артерия проходит по медиальной стороне предплечья по локтевому краю. Это большая из двух конечных ветвей плечевой артерии.
Ладонная дуга образована локтевой артерией кисти и завершается анастомозированием с ветвью radialis indicis. Ладонная дуга проходит над ладонью по кривой к пространству между указательным и большим пальцами. Есть четыре пальцевых ветви, которые лежат поверхностно по отношению к сухожилиям сгибателей и проходят между пальцами, периферические ветви которых обеспечивают кровоснабжение пальцев.
Сонные и позвоночные артерии в области шеи
Поверхностная височная артерия - меньшая из двух конечных ветвей НСА. Возникает между шеей и нижней челюстью и наружным слуховым проходом. Он разделяется на переднюю височную и заднюю височные артерии, обеспечивающие кровоснабжение мышц и надглазничного края. Внутренняя верхнечелюстная артерия является большей из двух конечных ветвей НСА. Возникает на уровне околоушной железы напротив шейки мыщелка нижней челюсти. Он разделен на три сегмента: верхнечелюстной, крыловидный и клиновидно-верхнечелюстной.
Позвоночные артерии возникают от первого сегмента подключичной артерии. Они входят в отверстия поперечных отростков шейных позвонков поднимаясь вверх по задней поверхности шеи. Затем артерии проходят через атлант, делают изгиб и проходят под задней затылочно-атлантной связкой. Позвоночные артерии пронизывают твердую мозговую оболочку и паутинную оболочку, проникая в череп через большое затылочное отверстие. Обе позвоночные артерии соединяются по средней линии на нижней границе Варолиевого моста, образуя базилярную артерию. Позвоночные артерии обеспечивают кровоснабжение задней части мозга. Ветви позвоночных артерий снабжают головной мозг и внутреннюю поверхность мозжечка.
Сонный гломус. Сонный клубочек. Внутренняя сонная артерия. Наружная сонная артерия. Топография наружной сонной артерии. Ветви наружной сонной артерии.
Слои сонного треугольника. Сонный сосудисто-нервный пучок сонного треугольника. Топография сонного сосудисто-нервного пучка в области сонного треугольника на кожу.
Кожа в области сонного треугольника тонкая, подвижная.
Подкожная клетчатка в области сонного треугольника развита индивидуально. В ней расположены поверхностная фасция (1-я фасция) и platysma. Эта мышца полностью прикрывает сонный треугольник. В клетчатке между 1-й и 2-й фасциями шеи проходят r. colli n. facialis, иннервирую-щая платизму, и чувствительная верхняя ветвь п. transversus colli из шейного сплетения. Иногда здесь же располагается передняя яремная вена, v. jugularis anterior, которая образует анастомозы с наружной яремной и занижнечелюстной венами.

Поверхностная пластинка фасции шеи в области сонного треугольника (2-я фасция) от переднего края грудино-ключично-сосцевидной мышцы идет к срединной линии шеи и закрывает весь треугольник. Под фасцией наиболее поверхностно располагается v. facialis с многочисленными притоками, в том числе v. lingualis, v. thyroidea superior и v. retromandibu-laris, вместе с которыми она образует довольно густую венозную сеть. Одним или несколькими стволами лицевая вена прободает vagina carotica и впадает во внутреннюю яремную вену.
Под венами, на передней поверхности сосудистого влагалища, сверху вниз от подъязычного нерва спускается верхний корешок шейной петли, radix superior ansae cervicalis, образующий с нижним корешком, radix inferior, из шейного сплетения шейную петлю, ansa cervicalis. Ветвями этой петли иннервируются предтра-хеальные мышцы, покрытые 3-й фасцией: m. sternohyoideus, т. sternothyroideus, m. thyrohyoideus, m. omohyoideus. Поднявшись по нисходящей ветви кверху, можно обнаружить ствол подъязычного нерва, лежащий в виде дуги на ветвях наружной сонной артерии у верхней границы сонного треугольника (у промежуточного сухожилия двубрюшной мышцы).
Сонный сосудисто-нервный пучок сонного треугольника. Топография сонного сосудисто-нервного пучка в области сонного треугольника на кожу.
Сонный сосудисто-нервный пучок, который также называют медиальным сосудисто-нервный пучок, в отличие от подключичного (латерального) пучка располагается кнаружи от боковой доли щитовидной железы, а выше — от глотки. Он окружен фасциальным влагалищем, vagina carotica, образованным париетальным листком 4-й фасции.
Учебное видео топографии и анатомии треугольников шеи
Информация на сайте подлежит консультации лечащим врачом и не заменяет очной консультации с ним.
См. подробнее в пользовательском соглашении.
На задней поверхности бифуркации общей сонной артерии расположен сонный гломус, glomus caroticum. Это небольшое желтовато-красное образование распознается по многочисленным подходящим к нему нервным ветвям, которыми этот клубочек связан с симпатическим стволом, блуждаюшим нервом, языкоглоточным и верхним гортанным нервами. В сонном гломусе сконцентрированы хеморецепторы, чувствительные к содержанию в крови углекислоты и кислорода. Благодаря сосудистым баро- и хеморецеп-торам осуществляются сложная регуляция давления крови и его быстрое рефлекторное выравнивание.
Внутренняя сонная артерия, a carotis interna, ветвей на шее до вступления в полость черепа обычно не отдает. Это один из главных отличительных признаков внутренней сонной артерии от наружной.
Наружная сонная артерия. Топография наружной сонной артерии.
Наружная сонная артерия, a. carotis externa, в пределах сонного треугольника сразу после бифуркации отдает несколько ветвей.

Ветви наружной сонной артерии.
Верхняя щитовидная артерия, a. thyroidea superior, является первой ветвью. Она может отходить от бифуркации или даже от ствола общей сонной артерии. Отойдя от сонной артерии на ее переднемедиальной стороне, артерия поднимается вверх, образуя дугу, затем спускается к верхнему полюсу боковой доли щитовидной железы и делится на переднюю, заднюю и латеральную железистые ветви. На пути к щитовидной железе эта артерия прилежит к боковой поверхности гортани и отдает верхнюю гортанную артерию, a. laryngea superior. Все сосудистые ветви располагаются латерально от наружной ветви верхнего гортанного нерва.
Восходящая глоточная артерия, a. pharyngea ascendens, отходит от задней полуокружности наружной сонной артерии также вблизи бифуркации общей сонной артерии. Она поднимается по боковой стенке глотки кнутри от шилоглоточной мышцы, снабжая кровью стенку глотки и твердую мозговую оболочку (a. meningea posterior).
Язычная артерия, a. lingualis, отходит на уровне подъязычной кости. Довольно часто она отходит общим стволом с лицевой артерией, который называется в этом случае truncus linguofacialis. Язычная и лицевая артерии идут медиально и кверху и входят в ложе поднижнечелюстной железы под задним брюшком двубрюшной мышцы. Далее язычная артерия идет к языку по глубокой поверхности m. hyoglossus, будучи отделена этой мышцей от язычной вены и подъязычного нерва.
Лицевая артерия, a facialis, отходит от переднемедиальной стенки наружной сонной артерии рядом с язычной на уровне большого рога подъязычной кости или угла нижней челюсти. Она идет под заднее брюшко двубрюшной мышцы, а еще до него, то есть в сонном треугольнике, отдает восходящую небную артерию, a. palatina ascendens, поднимающуюся к небной миндалине.
Затылочная артерия, a. occipitalis, отходит на одном уровне с лицевой, но от задней полуокружности наружной сонной артерии. Она идет вдоль заднего брюшка двубрюшной мышцы в направлении сосцевидного отростка. Около отростка она отдает ветви к нему и к начальному отделу грудино-ключично-сосцевидной мышцы. Примерно на середине расстояния между сосцевидным отростком и затылочным бугром затылочная артерия прободает трапециевидную мышцу у места ее прикрепления и разветвляется в слоях затылочной области.
Задняя ушная артерия, a auricularis posterior, отходит от наружной сонной у верхней границы области и идет в затылочную область между ушной раковиной и сосцевидным отростком.
Конечными ветвями наружной сонной артерии являются, как сказано выше, a. temporalis superficialis и a. maxillaris, но они отходят от наружной сонной уже не в сонном треугольнике шеи, а в около-ушно-жевательной области лица, в толще околоушной железы.
Артерии
, truncus brachiocephalicus. Первая ветвь дуги аорты. Разделяется на правые подключичную и общую сонную артерии. Рис. А.
Низшая щитовидная артерия
, a. thyroidea ima). Непарный сосуд, который отходит от плечеголовного ствола или непосредственно от аорты в направлении щитовидной железы. Наблюдается в 10%. Рис. А.
Общая сонная артерия
, a carotis communis. Расположена сбоку от трахеи и гортани под грудино-ключично-сосцевидной мышцей. На шее ветвей не дает. Рис. А.
Сонный гломус
, glomus caroticum. Расположен в области бифуркации общей сонной артерии и функционирует как 'хеморецептор'. Содержит хромафинные клетки, расположенные вокруг капиллярных клубочков, а также большое количество нервных окончаний. Реагирует, в первую очередь, на уровень кислорода в крови и менее чувствителен к изменению концентрации СО2. Рис. А.
Сонный синус
, sinus caroticus. Небольшое расширение общей сонной артерии в области ее бифуркации. Место расположения барорецепторов. Рис. А.
Бифуркация сонной артерии
Наружная сонная артерия
, a.carotis externa. Начинается от бифуркации сонной артерии и заканчивается разветвлением у шейки нижней челюсти на поверхностную височную и верхнечелюстную артерии. Рис. А.
Верхняя щитовидная артерия
, a.thyroidea superior. Первая ветвь наружной сонной артерии. Участвует в кровоснабжении гортани и щитовидной железы. Рис. А.
Подподъязычная ветвь
, ramus infrahyoideus. Направляется к подъязычной кости и анастомозирует с одноименной артерией противоположной стороны. Рис. А.
Грудино-ключично-сосцевидная ветвь
Верхняя гортанная артерия
, a. laryngea superior. Прободает щитоподъязычную мембрану и проходит под слизистой оболочкой грушевидного кармана. Рис. А.
Перстнещитовидная ветвь
, ramus cricothyroideus. Кровоснабжает одноименную мышцу и нижнюю часть гортани. Анастомозирует с ветвью противоположной стороны. Рис. А.
Передняя железистая ветвь
, ramus glandularis anterior. Кровоснабжает, преимущественно, переднюю часть щитовидной железы. Рис. А.
Задняя железистая ветвь
, ramus glandularis posterior. Кровоснабжает верхнюю и, в меньшей степени, заднюю части щитовидной железы. Рис. А.
Латеральная железистая ветвь
Восходящая глоточная артерия
, a. pharyngea ascendens. Отходит от начального отдела наружной сонной артерии. Поднимается вверх до основания черепа, располагаясь между глоткой и мышцами, которые начинаются от шиловидного отростка. Рис. А.
Задняя менингеальная артерия
, a. meningea posterior. На шее проходит латерально от внутренней сонной артерии, проникает в череп через яремное отверстие и кровоснабжает твердую оболочку головного мозга задней черепной ямки. Рис. А.
Идентификация сонных и позвоночных артерий на УЗИ
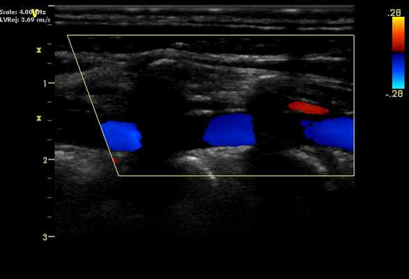
Общая сонная артерия на УЗИ. Общая сонная артерия (ОСА) на УЗИ сначала визуализируется в сагиттальной плоскости сканирования с использованием латерального доступа. Датчик помещают на верхнюю часть грудино-ключично-сосцевидной мышцы, при этом ультразвуковой луч слегка наклонен медиально. Проксимальный отдел ОСА может быть слегка извилистым и сохранять тот же диаметр до дистальной части, где сосуд расширяется на уровне бифуркации. Проксимальная, средняя и дистальная ОСА сканируется до бифуркации для документирования анатомии и любой патологии.
Бифуркация сонной артерии на УЗИ. Бифуркация/луковица общей сонной артерии во время ультразвукового сканирования находиться на уровне верхней части щитовидной железы. На этом уровне сосуд покажет некоторую степень расширения. Это обычное место для образования атеросклеротических бляшек.

Наружная сонная артерия на УЗИ. Наружная сонная артерия обычно расположена перед внутренней сонной артерией. Обычно она меньше в диаметре по сравнению с ВСА и имеет несколько ответвлений в шейной области. НСА визуализируется путем направления звукового луча к лицу на уровне бифуркации.
Внутренняя сонная артерия на УЗИ. Внутренняя сонная артерия обычно расположена заднебоковой по отношению к наружной сонной артерии, но существует множество анатомических вариаций. Проксимальный сегмент ВСА (луковица) обычно больше в диаметре по сравнению с дистальными сегментами. Диаметр ВCA будет сужаться дистальном сегменте сосуда. В шейном отделе ВСА нет отходящих ветвей. Первая большая ветвь внутренней сонной артерии - глазная артерия. На УЗИ должны быть сделаны исследование проксимального, среднего и дистального сегмента внутренней сонной артерии.
Позвоночная артерия на УЗИ. Позвоночную артерию визуализируют, помещая датчик в промежуток между трахеей и грудинно-ключично-сосцевидной мышцей, при этом голова пациента находится в боковом положении. Ультразвуковой луч направляется перпендикулярно ОCA. Общая сонная артерия располагается прямо по экрану, а ультразвуковой луч наклоняют в боковом направлении до тех пор, пока не будут визуализированы поперечные отростки шейного отдела позвоночника. Здесь будет видна позвоночная артерия, проходящая через поперечные отверстия шейного отдела позвоночника, на ультразвуковом изображении в виде прерывистых теней. Позвоночная вена при ультразвуковом сканировании проходит впереди артерии.

Подключичная артерия на УЗИ. Подключичная артерия визуализируется датчиком, размещенным в плоскости поперечного сканирования шеи, чуть выше ключицы. Продольный вид подключичной артерии достигается за счет небольшого наклона ультразвукового луча вниз.
Нормальные характеристики формы допплеровской волны
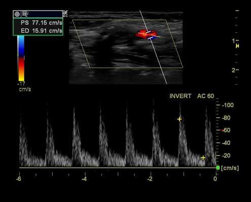
Допплеровское исследование сонных артерий обычно выполняется после того, как сосуды были оценены в поперечной и продольной плоскостях визуализации с помощью В-режима.
Импульсный допплер (PW). В большинстве дуплексных/цветных системах используются методы импульсного допплера. Курсор импульсно-волнового допплера отображается в виде сплошной линии с подвижным контрольным объемом. Контрольный объем, также называемый объемом отсчета или стробом диапазона, обычно представляет собой округлую, ромбовидную или квадратную область, расположенную вдоль курсора допплера. Контрольный объем может быть размещен в любом месте вдоль линии курсора с учетом диапазона глубины и может быть увеличен или уменьшен в размере, что позволяет проводить анализ потока в очень специфической области сосуда.
Основным преимуществом импульсного допплера является разрешение по расстоянию на глубину. Основным недостатком является его ограничение при обнаружении высокоскоростного потока на больших глубинах. Когда сдвиг отраженной частоты превышает системный предел Найквиста (1/2 PRF), возникает артефакт, называемый наложением. Наложение видно, когда вершина или пик формы волны срезаются и охватывают нижнюю часть обратной стороны нулевой базовой линии. Наложение помех можно устранить, отрегулировав нулевую базовую линию, увеличив частоту повторения импульсов (PRF, Scale или Velocity Range) или используя непрерывный волновой допплер.
Непрерывно-волновой допплер. В методах непрерывного волнового допплера (CW) используются два датчика. Один преобразователь постоянно передает сигнал, а другой преобразователь непрерывно принимает отраженные сигналы. Преимущество этого метода в том, что сигналы потока могут быть обнаружены на любой глубине без искажений. Недостатком является отсутствие разрешения по глубине, поскольку сигналы обнаруживаются на всем пути луча. Следовательно, будет обнаружен поток внутри всего сосуда, а также любых соседних сосудах.
Импульсный и непрерывный волновой допплер
Сигналы оцениваются на слух и визуально, глядя на характеристики формы волны. Самый современный метод отображения информации о форме сигнала — это быстрые методы Фурье (БПФ). Этот компьютерный метод очень быстро анализирует полный диапазон частотных сдвигов и отображает их на мониторе в оттенках серого цвета. Горизонтальная ось представляет время, вертикальная ось представляет частоту и / или скорость, а ось Z представляет распределение оттенков серого. Поток к датчику отображается выше нулевой базовой линии, а поток от датчика отображается ниже нулевой базовой линии. Спектр можно инвертировать, чтобы отобразить ретроградный поток выше базовой линии. Область на мониторе укажет, что спектральное отображение было перевернуто.
Характеристики формы волны на допплерографии
Общая сонная артерия (ОСА). Общая сонная артерия обеспечивает поток как в ВСА, так и в НСА. Спектральный допплеровский дисплей покажет конкретные характеристики каждого из этих сосудов. ОСА покажет резкое систолическое движение вверх и довольно быстрое замедление до диастолы с заметной дикротической выемкой. Составляющая диастолического потока должна оставаться выше нулевой базовой линии. Расчет формы волны и скорости ОСА следует сравнить с контрлатеральной ОСА для обеспечения симметрии. Значительные изменения пульсации и сопротивления по сравнению с контралатеральной стороной указывают на значительное проксимальное или дистальное поражение.
Наружная сонная артерия (НСА). НCA обеспечивает кровоснабжение сосудистого русла с высоким сопротивлением - лицо и кожу головы. Спектральные допплеровские характеристики будут демонстрировать резкий систолический подъем вверх, быстрое замедление с заметной дикротической выемкой. Компонент диастолического потока в нормальном сосуде будет уменьшаться, отсутствовать или полностью изменяться. Звуковой сигнал будет коротким и резким, с высоким тоном в систоле и слабым сигналом потока или без него в диастоле.
Внутренняя сонная артерия (ВСА). ВCA обеспечивает кровоснабжение мозга и глаз, то есть оба сосудистых ложа с низким сопротивлением. Спектральный допплеровский дисплей покажет резкий подъем систолы с постепенным замедлением до диастолы. Дикротической выемки не видно. Кроме того, диастолический поток должен оставаться выше нулевого исходного уровня. Звуковые сигналы от ВCA будут указывать на более высокий систолический поток и более низкий сигнал на диастолу.
Позвоночная артерия. Позвоночная артерия обеспечивает кровоснабжение задней части мозга, а также сосудистого русла с низким сопротивлением. Спектральные характеристики доплеровской волны должны быть аналогичны внутренней сонной артерии с резким подъемом до систолы и диастолическим потоком выше нулевой базовой линии.
Подключичная артерия. Подключичная артерия обеспечивает кровоснабжение верхней конечности, сосудистое русло с высоким сопротивлением. Все нормальные периферические артерии имеют трехфазную или многофазную кривую. Это проявляется как резкий подъем до систолы, быстрое замедление с обратным компонентом потока, за которым следует второй компонент прямого потока.
Читайте также:

