Концевая ангиопульмонография. Методика общей ангиопульмонографии
Добавил пользователь Владимир З. Обновлено: 08.11.2025
Премедикация перед общей ангиопульмонографией. Оценка общей и селективной ангиопульмонографии
Премедикация перед общей ангиопульмонографией такая же, как и перед зондированием. Введение контрастного вещества может быть произведено в любую поверхностную вену, но наиболее удобной является основная вена плеча, обнажаемая в нижней трети его под местной анестезией так же, как и при зондировании.
Канюля вводится в вену и фиксируется кетгутовой лигатурой. Через нее медленно вводится 10 мл 0,5% раствора новокаина и 30 мл 40% раствора глюкозы. Введение контрастного вещества в количестве 50—60 мл 70% раствора кардиотраста, диодона и т. п. должно быть произведено максимально быстро — в продолжение 1—2 сек. Вслед за этим в вену вводится 20 мл 40% раствора глюкозы, канюля удаляется, вену перевязывают кетгутом, кожную рану зашивают наглухо.
Первый снимок делается в момент инъекции последней порции контрастного вещества, последующие — с интервалами в 1,5—2 сек. При правильном соблюдении интервалов, для чего требуется четкая и согласованная работа всей бригады, производящей исследование, на первом снимке получается изображение безымянной и верхней полой вен, на втором — легочная артерия и ее ветви, на третьем — легочные вены, полости левого сердца, иногда — аорта. Сравнивая время введения контрастного вещества и интервалы между контрастированием различных сосудов, можно определить скорость кровотока в малом, круге кровообращения.
Сравнительная оценка общей и селективной ангиопульмонографии. При выборе методики ангиопульмонографии приходится руководствоваться следующими соображениями (здесь мы не касаемся показаний к применению метода контрастного исследования легочных сосудов, которые будут изложены ниже).

Общая ангиография легких технически проще и связана с меньшей дозой облучения больного и персонала. При ней получается изображение сосудов не только пораженного отдела, но и всей системы малого круга кровообращения, а также верхней полой вены, что имеет существенное значение в хирургии легких. Имеется возможность определения скорости кровотока в малом круге кровообращения.
К недостаткам общей ангиопульмонографии относится невозможность получения боковой ангиограммы из-за суммации сосудистых теней в обоих легких; худшее, чем при селективной ангиографии, изображение мелких ветвей легочной артерии, что обусловлено размыванием контрастного вещества; быстрое введение большого количества контрастного вещества повышает риск исследования.
Селективная ангиография легких позволяет получить изображение мелких и мельчайших ветвей легочной артерии как в прямой, так и в боковой проекциях. Выполнение концевой (терминальной) ангиопульмонографии позволяет использовать эту методику в целях функциональной диагностики.
Применение селективной ангиографии несомненно целесообразно в случае, когда имеются показания к зондированию сердца и легочной артерии. Сочетание этих методов позволяет получить данные, важные для уточнения диагностики и определения функциональной операбельности.
Слабыми сторонами методики селективной ангиопульмонографии являются сложность техники, возможность осложнений, связанных с зондированием (образование узла, травма эндокарда и т. п.), большая доза облучения. Напротив, опасность осложнений, связанных с применением контрастного вещества, снижается ввиду уменьшения его количества по сравнению с общей ангиографией.
Информация на сайте подлежит консультации лечащим врачом и не заменяет очной консультации с ним.
См. подробнее в пользовательском соглашении.
АНГИОГРАФИЯ

АНГИОГРАФИЯ (греческий angeion — сосуд и graphō — пишу, изображаю; синоним вазография) — рентгенологическое исследование артерий и вен после введения в них контрастного вещества. Ангиографию применяют для диагностики аномалий развития и заболеваний сосудистой системы, а также опухолевых, паразитарных и других поражений отдельных органов. Ангиография позволяет изучать топографо-анатомические особенности сосудов, их функциональное состояние, скорость кровотока, пути окольного кровообращения, локализацию и протяженность патологического процесса (рис. 1—3).
С помощью ангиографии дифференцируют воспалительные и опухолевые заболевания и этим способствуют выбору наиболее рационального метода лечения.
Противопоказания к ангиографии — тяжелое состояние больного, психические расстройства, острые заболевания печени, почек и повышенная чувствительность к йодистым препаратам.
Для ангиографии применяют водорастворимые трийодированные контрастные вещества. При введении в сосудистое русло они относительно безопасны и в короткий срок выводятся из организма.

Рис. 4. Зондирование и селективная ангиография чревного ствола. Контрастированы внутрипеченочные артерии, артерии, огибающие кисту, внутриселезеночная и желудочно-двенадцатиперстно-кишечная артерии (справа вдоль позвоночника виден катетер)
Ангиографию выполняют путем обнажения сосуда, чрескожной пункцией или введением в сосуд специального рентгеноконтрастного катетера по Сельдингеру (рис. 4). Эти катетеры эластичны и сохраняют в просвете сосуда приданную заранее форму изгиба, что дает возможность вводить их в исследуемую область.
Ангиографию можно производить на обычном рентгеновском аппарате, выполняя одиночный снимок с удлиненной выдержкой (от 4 до 6 секунд) или серийные снимки (серийная ангиография) с короткой выдержкой и быстрой сменой кассет с помощью специального приспособления — сериографа. В настоящее время для ангиографии пользуются электронно-оптическим преобразователем с телевизионным устройством, что позволяет на снимках получать четкое изображение сосудов; при этом значительно снижается лучевая нагрузка на исследуемого.
Радиоизотопная ангиография
Радиоизотопная ангиография — исследование сосудов путем введения в них радиофармацевтических препаратов с последующей регистрацией их излучения специальными приборами и счетными устройствами. При радиоизотопной ангиографии применяют две основные методики: а) непосредственное введение радиоактивного препарата в полости крупных сосудов и сердца для получения их изображения на сканограммах или сцинтифотограммах; б) введение радиоактивного препарата в кровь в виде макроагрегата (см. Радиоактивные коллоиды) для временной эмболизации капиллярной сети органа.
Радиоизотопная визуализация крупных сосудов и полостей сердца на сканограммах и сцинтифотограммах позволяет распознавать аномалии развития сердца и крупных сосудов, стенозы крупных вен (например, полых вен, подключичных вен после радикальной мастэктомии и прочее), сосудистые аневризмы (см. Аневризма аорты, радиоизотопная диагностика).
На явлении эмболизации капилляров основана возможность сканирования (см.) и сцинтиграфии (см.) ряда органов (головного мозга, легких, поджелудочной железы, кишечника и так далее). При этом не получается изображения отдельных сосудов, но создается возможность судить о площади и характере распределения капиллярной сети в органе. Частицы макроагрегата задерживаются в капиллярах в течение часа, после чего постепенно распадаются и выводятся в ток крови. Для исследования достаточно эмболизации лишь одного из 100 капилляров, поэтому процедура безопасна для больного. В целях сканирования легких радиоактивный препарат вводят внутривенно, для визуализации других органов — в соответствующую артерию.
Посмертная ангиография
Посмертная ангиография при судебно-медицинском исследовании, являясь вспомогательным методом, позволяет объективно зафиксировать пространственные соотношения сосудов при сохранении целостности области тела или органа, создать представление о диаметре магистральных и мелких артерий, о степени их сужения, аномалиях, уровне и характере поражения сосудистой стенки, а также о степени развития анастомозов и вариантах коллатерального кровообращения.
Посмертная ангиография дает возможность целенаправленно вести секционное исследование, особенно в случаях скоропостижной смерти, закрытой черепно-мозговой травмы, при повреждениях и болезненных изменениях внутренностей вследствие поражения питающих их магистральных сосудов. Она может оказаться полезной даже при гнилостных изменениях трупа, когда еще не разрушена артериальная система и окружающие ее мягкие ткани.
Для посмертной ангиографии магистральных сосудов применяют застывающие контрастные массы, содержащие висмут, углекислый свинец, свинцовые белила и так далее. Наиболее целесообразно использовать контрастную массу, состоящую из взвеси свинцового сурика в растворе желатины (состав ингредиентов на 100 мл массы: 4 г пищевой желатины, 10 мл воды, 50 мл глицерина и 150 г свинцового сурика). Введению контрастного вещества предшествует промывание сосудистого русла изотоническим раствором хлорида натрия. Нагнетание контрастной массы в магистральные артерии осуществляется через канюлю под давлением 120 мм рт. ст.
Посмертная ангиография магистральных артериальных бассейнов в случаях скоропостижной смерти позволяет еще до внутреннего исследования трупа решить вопрос о характере, стадии и степени атеросклеротического процесса, об уровне стенозов и окклюзии.
Рис. 5.1. Посмертная ангиограмма магистральных артерий головы и шеи. Видна извитость сосудов: 1 — задняя проекция
Рис. 5.2. Посмертная ангиограмма магистральных артерий головы и шеи. Видна извитость сосудов: 2 — правая косая проекция
Многообразие структурных проявлений атеросклеротического процесса на ангиограммах может обнаруживаться в виде дефектов наполнения, неровностей контуров, неравномерности интенсивности тени, фестончатости или зазубренности краев, сегментарных расширений и чередующихся сужений, патологической извитости сосудистой тени (рис. 5), а также в виде обрыва контрастирования в случаях тромбозов.
Большое диагностическое значение на ангиограмме при посмертном судебно-медицинском исследовании в случаях механической травмы имеет выхождение контрастного вещества за пределы стенок сосудов. Оно может быть в виде мелких одиночных и множественных вкраплений или массивных ограниченных периартериальных скоплений.
Разновидностью посмертной ангиографии, используемой при судебно-медицинских исследованиях, является микроангиография, позволяющая изучать мелкие сосуды и капилляры, заполненные специальной застывающей контрастной массой (раствор хлористого свинца с желатиной). Этим методом можно выявить характер изменений сосудисто-капиллярной сети при закрытой черепно-мозговой травме и скрыто протекающей гипертонической болезни.
Библиография: Виноградов В. В., Мазаев П. Н. и Шаповальянц Г. Г. Селективная ангиография органов брюшной полости и забрюшинного пространства, М., 1971; Краковский Н. И. и Мазаев П. Н. Ангиография в хирургии сосудов конечностей и шеи, М., 1964, библиогр.; Кулиева Х. Д. Магистральные сосуды брюшной аорты, Баку, 1970; Петровский Б. В. и Милонов О. Б. Хирургия аневризм периферических сосудов, М., 1970; Тихонов К. Б. Ангиография, Л., 1962, библиогр.; Angiography, ed. by H. L. Abrams, v. 1—2, Boston, 1961, bibliogr.
АНГИОПУЛЬМОНОГРАФИЯ
АНГИОПУЛЬМОНОГРАФИЯ (греческий angeion — сосуд, латинский pulmo — легкое и греческий grapho — пишу, изображаю; синоним: ангиопневмография, ангиография легких) — рентгенологическое исследование ветвей легочной артерии после их контрастирования.
Ангиопульмонография показана при подозрении на наличие пороков развития легких, поражений сосудов легких, тромбоэмболии легочных артерий, а также в целях уточнения операбельности больных и определения функциональной полноценности легочной ткани. Ангиопульмонография противопоказана при непереносимости йодных препаратов, резко выраженной недостаточности почек и печени, недостаточности проводящей системы сердца, флебитах, резко выраженной гипертонической болезни.
Применяют две методики ангиопульмонографии: общую и селективную; разновидностью селективной ангиопульмонографии является концевая ангиопульмонография.

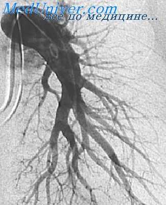
Рис. 1. Общая ангиопульмонография. Контрастное вещество введено катетером. Видны контрастированные сосуды легких. Справа в области ключицы и вдоль позвоночника виден введенный в сердце катетер

Рис. 2. Селективная ангиопульмонография. Катетер (виден под ключицей, вдоль позвоночника и в области сердца) введен в верхнезональную артерию правого легкого. Видны контрастированные сосуды верхней зоны
Для осуществления общей ангиопульмонографии контрастное вещество в количестве 50—70 мл вводят внутривенно (обычно через локтевую вену) или в полость правого сердца (см. Ангиокардиография) при помощи введенного через вену катетера (рис. 1). При селективной ангиопульмонографии (рис. 2) контрастное вещество вводят в одну из ветвей легочного ствола; для этой цели катетер проводят через правое сердце в легочный ствол и далее в легочную артерию. Для контрастирования одного легкого применяют 20—30 мл контрастного вещества, для исследования одной зоны — 10—15 мл.

Рис. 3. Концевая ангиопульмонография. Катетер (виден под ключицей, вдоль позвоночника и в области сердца) введен в верхнесегментарную артерию верхней зоны правого легкого. Видны концевые артериальные разветвления. Контрастированы пути венозного оттока данного сегмента
Селективная ангиопульмонография позволяет одновременно измерять давление в полостях сердца и легочного ствола и определять степень насыщения крови кислородом. При концевой пнгиопульмонографии катетер вводят в одну из сегментарных ветвей легочной артерии (рис. 3),после чего инъецируют 5—8 мл контрастного вещества. Кроме описанных методик, ангиопульмонография может быть выполнена путем чрескожной пункции бедренной или подключичной вены по способу Сельдингера (с последующим введением зонда).
Различают три фазы контрастирования сосудов легких: артериальную, продолжающуюся 3—5 секунд, капиллярную, или паренхиматозную, продолжительностью в 1-3 секунды, и венозную, длящуюся 4—7 секунд. Для изучения легочного кровообращения проводят серию снимков на сериографе по следующей примерной программе: 2 снимка в 1 секунду в течение 3 секунд, затем 1 снимок в 1 секунду в течение 10 секунд.
Для ангиопульмонографии применяются те же контрастные вещества, что и при других видах ангиографии. Предпочтительнее применение трийодированных препаратов, которые обладают более высокой контрастностью и менее токсичны (триомбрин, шпак, урокон, урографин, верографин и другие).
Осложнения при ангиопульмонографии могут быть обусловлены травмой сосуда при введении зонда, частичной или полной перфорацией стенки сердца, а также реакцией организма на контрастное вещество.
Библиография: Мазаев П. Н., Воропаев М. М. и Копейко И. П. Ангиопульмонография в клинике хирургических заболеваний легких, М., 1965, библиогр.; Рабкин И. X. Рентгенологическое изучение сосудов малого круга кровообращения при митральных пороках сердца, М., 1963; Рентгенодиагностика заболеваний сердца и сосудов, под ред. М. А. Иваницкой, М., 1970; Тихонов К. Б. Ангиография, Л., 1962; Bolt W. u. Rink H. Die terminale Lungenstrombahn im normalen und im pathologischen Angiogramm, Fortschr. Röntgenstr., Bd 93, S. 21, 1960; Löffler L. u. Roth H. Die Arteriographie der Lunge und die Kontrastdarstellung der Herzhöhlen am lebenden Merischen, Lpz., 1955, Bibliogr.; Semisch R. u. a. Atlas der selektiven Lungenangiographie, Jena, 1958, Bibliogr.; Viallet P. e. a. Angiocardiopneumographie élargie, P., 1959, bibliogr.
Что такое ангиопульмонография
Ангиопульмонография, или легочная артериография, представляет собой рентгенологическое исследование легочного кровообращения после введения йодсодержащего рентгеноконтрастного вещества в легочную артерию или одну из ее ветвей. При ее выполнении могут возникнуть такие осложнения, как тромбоз артерии, перфорация или разрыв сердечной мышцы, желудочковые аритмии, обусловленные раздражением миокарда, и острая почечная недостаточность из-за повышенной чувствительности к контрастному веществу.
- Подтвердить или исключить тромбоэмболию легочной артерии в сомнительных случаях.
- Оценить патологические изменения легочного кровообращения.
- Оценить состояние кровообращения по малому кругу перед оперативными вмешательствами по поводу врожденных пороков сердца.
- Определить локализацию крупного эмбола перед его удалением.
Подготовка
- Следует объяснить пациенту, что исследование позволяет оценить состояние кровеносных сосудов легких и определить причину его недуга.
- Пациент должен воздержаться от приема пищи в течение 8 ч до исследования (если врач не отдал других распоряжений). Следует сообщить ему, кто и где будет проводить исследование, и предупредить, что перед этим могут потребоваться лабораторные анализы, которые позволяют оценить функцию почек и свертываемость крови.
- Необходимо предупредить пациента, что на правой руке ему пунктируют вену для взятия крови на анализ, для проведения тонкого катетера пунктируют правую бедренную вену в паховой области под местным обезболиванием. Следует объяснить ему, что катетер будет проведен через пунктированный сосуд в правую половину сердца и затем в легочную артерию.
- Пациента следует проинформировать о том, что в легочную артерию введут контрастное вещество, и предупредить о возможном чувстве прилива крови к лицу, появлении острого желания кашлять и соленого привкуса в течение 3-5 мин после инъекции вещества.
- Пациент должен знать, что в течение всего исследования ведется наблюдение за его сердечной деятельностью и что при необходимости он может обратиться к врачу или медицинской сестре.
- Необходимо проследить за тем, чтобы пациент или его родные дали письменное согласие на проведение исследования. Необходимо выяснить, нет ли у пациента аллергии к анестетикам, йоду, морепродуктам или рентгеноконтрастным препаратам.
- Важно знать такие показатели, как ПВ, АЧТВ, количество тромбоцитов в крови, уровень азота мочевины и креатинина в крови, и проинформировать рентгенолога о любых отклонениях. В зависимости от функции почек и сердца пациента решают вопрос о необходимости внутривенной инфузии. Рентгенолог может потребовать прекращения инфузии гепарина за 3-4 ч до проведения исследования.
Оборудование
Инструментальный стол для ангиографии, 50 мл контрастного вещества, рентгеновский аппарат, катетеры для ангиографии с проводниками, Оборудование для мониторинга жизненно важных показателей (ЭКГ, насыщение артериальной крови кислородом, АД, давление в легочной артерии), набор для проведения реанимационных мероприятий.
Процедура и последующий уход
- Пациента укладывают на спину, налаживают кардиомонитор, обезболивают место пункции. В соответствии с протоколом лечебного учреждения измеряют АД и насыщение артериальной крови кислородом.
- После пункции локтевой или бедренной вены вводят сосудистый катетер. По мере продвижения катетера в правое предсердие, правый желудочек и легочную артерию измеряют давление и делают заборы крови из разных участков системы легочного кровообращения.
- Вводят контрастное вещество, по мере его распространения по легочным сосудам и капиллярам выполняют серию снимков.
- Место пункции сосуда прижимают на 15-20 мин (до остановки кровотечения).
- Пациент должен соблюдать постельный режим в течение 6 ч.
- Необходимо периодически осматривать место пункции для своевременного выявления кровотечения или гематомы. При кровотечении место пункции следует прижать на 10 мин и уведомить врача.
- Измерение АД, подсчет пульса и осмотр повязки следует проводить каждые 15 мин в течение первого часа, каждый час в течение последующих 4 ч, затем каждые 4 ч (в течение 16 ч).
- Осуществляя мониторинг жизненно важных показателей, следует обращать внимание на появление симптомов перфорации или разрыва стенки сердца.
- Следует помнить о возможности развития острой почечной недостаточности (внезапное появление олигурии, тошноты и рвоты) и регулярно определять уровень азота мочевины и креатинина в крови.
- Осматривая место пункции, следует убедиться в отсутствии воспаления или гематомы. При появлении признаков отсроченной реакции на контрастное вещество или местный анестетик (одышка, зуд, тахикардия, сердцебиение, артериальная гипо- или гипертония, возбуждение или эйфория) следует сообщить врачу.
- Следует предупредить пациента о необходимости ограничения двигательной активности. После исследования пациент может вернуться к обычным для него диете и режиму питания, ему рекомендуют обильное питье. Для ускорения выведения контрастного вещества можно прибегнуть к внутривенным инфузиям.
Меры предосторожности
Предостережение. Ангиопульмонография противопоказана во время беременности.
- На кардиомониторе необходимо отслеживать появление желудочковых аритмий в результате раздражения миокарда при прохождении катетера через камеры сердца.
- Следует помнить о возможности повышенной чувствительности к контрастному веществу (одышка, тошнота, рвота, обильное потение, увеличение ЧСС, онемение конечностей).
- На случай развития аллергической реакции под рукой должен быть необходимый набор для реанимационных мероприятий.
- Следует измерять давление в правых отделах сердца и в легочной артерии. Конечное диастолическое давление в правом желудочке обычно не превышает 20 мм рт. ст., систолическое давление в легочной артерии обычно меньше или равно 70 мм рт. ст. Повышение значений этих показателей увеличивает риск летального исхода, связанного с исследованием.
Нормальная картина
В норме имеет место симметричный и свободный ток контрастного вещества по малому кругу кровообращения.
Отклонение от нормы
Препятствием для кровотока могут служить эмболы, другие патологические изменения легочных сосудов и опухоли.
Концевая ангиопульмонография. Методика общей ангиопульмонографии
В хирургии легких, особенно у больных раком, кроме избирательного контрастирования сосудов пораженного отдела легкого, желательно получение изображения всей сосудистой системы легкого, а также верхней полой вены. С этой целью А. Н. Новиков, А. X. Трахтенберг и С. Я. Марморштейн (1964) предлагают дополнять селективную ангиографию (сегментарную или. долевую) повторным контрастированием соответствующей основной ветви легочной артерии и после дальнейшего выведения зонда до уровня слияния безымянных вен — еще одним введением контрастного вещества для получения изображения верхней полой вены. При этом практически имеет место дополнение селективной ангиографии отдельными фрагментами общей, что повышает ценность исследования для определения операбельности.
Предложены различные модификации селективной ангиопульмонографии. Nordenstrom (1954) производит контрастирование ветви легочной артерии через двухпросветный зонд с надувной манжеткой. Последняя, обтурируя сосуд, предотвращает размывание контрастного вещества и обеспечивает получение четких ангиограмм.
Для оценки функции легкого, его отдельных долей и сегментов предложена методика концевой, или терминальной ангиопульмонографии (Semisch, 1959; М. З. Упитер, 1962; Э. С. Шафер, 1964, и др.). Она заключается в медленном, плавном введении через зонд, заклиненный в субсегментарной артерии, 5—10 мл контрастного раствора. На 2—3-й секунде от начала введения при ощущении сопротивления производится одиночный снимок, на котором регистрируются артериальная венозная и капиллярная фазы легочного кровотока.
При данной методике следует вводить контрастный раствор весьма осторожно, чтобы не вызвать разрыва капилляров с выходом контрастного вещества в альвеолы.
Концевая ангиопульмонография позволяет определить состояние периферического сосудистого русла. По степени изменения мелких сосудов и капилляров можно судить о характере и глубине нарушения функции легочной ткани (М. 3. Упитер, 1962).

Методика общей ангиопульмонографии
Техника этого исследования проще селективной ангиографии. Для проведения ее требуется металлическая или пластмассовая канюля диаметром 3—5 мм и длиной 5—8 мм, вводимая в вену; соединительная эластическая трубка из резины или пластмассы; шприц типа Жане емкостью не менее 100 мл.
А. Н. Новиков, А. X. Трахтенберг и С. Я. Марморштейн (1964) для подведения контрастного вещества возможно ближе к легочным сосудам пользуются длинной нейлоновой трубкой, вводимой до верхней полон вены. Это уменьшает разбавление контрастного вещества кровью и улучшает качество ангиограмм, но в то же время усложняет технику исследования. Те же авторы усовершенствовали шприц Жане, расширив просвет канюли, что позволяет ускорить введение контрастного вещества, и придали днищу поршня полусферическую форму, благодаря чему в шприце задерживается 2—3 мл раствора вместе с пузырьком воздуха и предупреждается опасность воздушной эмболии.
Не вызывает сомнения, что качество получаемых ангиограмм повышается при использовании пневматических и автоматизированных шприцев, а также специальных рентгеновских аппаратов, имеющих устройство для выполнения серийных снимков.
Для осуществления общей ангиопульмонографии с помощью обычного рентгеновского аппарата может быть использовано простое устройство для быстрой смены кассет вручную. Оно представляет собой плоскую деревянную коробку, которая подкладывается под грудную клетку больного. Задняя стенка коробки имеет длину около 1 м, передняя — соответствует ширине кассеты с пленкой. Две запасные кассеты укладываются на заднюю удлиненную стенку коробки, защищенную просвинцованной резиной, и в момент исследования проталкиваются вручную одна за другой.
Читайте также:
- МРТ менисков коленного сустава во фронтальной проекции в норме
- Сонный гломус. Сонный клубочек. Внутренняя сонная артерия. Наружная сонная артерия. Топография наружной сонной артерии. Ветви наружной сонной артерии.
- Симптомы повреждения барабанной перепонки и его лечение
- КТ при травматическом переломе крестца
- Пути инфицирования позвоночника. Классификация инфекций позвоночника
