Советы при мочекаменной болезни (нефролитиазе)
Добавил пользователь Владимир З. Обновлено: 08.11.2025
Советы при мочекаменной болезни (нефролитиазе)
1. Какие камни (по составу) органов мочевой системы наиболее часто встречаются у населения Северной Америки?
а) В 70% случаев у больных выявляются кальциевые камни (состоящие из оксалата кальция, фосфата кальция или различных солей кальция, т.е. смешанные).
б) У 20% больных имеются струвиты — камни, состоящие из фосфата магния и аммония, которым часто сопутствует инфекция мочевых путей.
в) Уратные (рентгенонегативные) камни встречаются у 5% больных.
г) На долю цистиновых камней приходится 5% от всех конкрементов; у таких больных часто имеются генетические нарушения.
2. Какие симптомы характерны для обструкции мочевых путей камнем?
Для обструкции мочевых путей камнем характерна боль в поясничной области, обычно коликообразная, иногда иррадиирующая в паховую область.
Больной обычно возбужден и не может найти удобного положения. Боль может сопровождаться микро- или макрогематурией, тошнотой и рвотой. Последние обусловлены повышением давления выше препятствия и растяжением капсулы почки.
3. Какие методы эффективной диагностики нефролитиаза существуют в настоящее время?
а) До последнего времени "золотым стандартом" диагностики нефролитиаза оставалась экскреторная урография. 90% больных имеются рентгенопозитивные конкременты, которые видны на рентгенограммах в проекции почки, мочеточника или мочевого пузыря. Экскреторная урография позволяет выявить степень и уровень обструкции мочевых путей, а также определить наличие и состояние противоположной почки.
б) Спиральная компьютерная томография (КТ) без контрастирования позволяет эффективно диагностировать камни почек и мочеточников. К ее преимуществам относятся: отсутствие необходимости в применении контрастного вещества, быстрота выполнения и возможность выявления не только кальциевых, но также и уратных, и цистиновых камней.
в) Ультразвуковое исследование (УЗИ) органов мочевой системы — основной метод диагностики нефролитиаза у беременных.
4. Каковы показания для госпитализации больных с конкрементами, вызывающими обструкцию мочевых путей?
Показания для госпитализации больных с нефролитиазом включают:
а) Появление любых признаков присоединения инфекции (лихорадки, лейкоцитоза, бактериурии), так как развитие острого пиелонефрита на фоне обструкции мочевых путей может привести к уросепсису и смерти.
б) Неукротимую рвоту, требующую проведения инфузионной терапии.
в) Боль, которая купируется только парентеральным введением анальгетиков.
г) Двустороннюю обструкцию мочеточников камнями или обструкцию единственной ночки.

КТ и рентгенография при мочекаменной болезни (МКБ)
5. Какие методы лечения применяются при наличии камня в мочеточнике?
При наличии камня в мочеточнике допустимы следующие подходы:
а) Выжидательная тактика заключается в обезболивании, поддержании водного баланса и применении препаратов, уменьшающих тошноту. Всю выделенную мочу следует процеживать через марлю с целью выявления отошедших конкрементов.
Как правило, самостоятельно отходят 90% камней, имеющих при прохождении нижней трети мочеточника диаметр не более 3 мм; около 50% конкрементов диаметром 5 мм и около 20% камней более 6 мм.
б) При конкрементах нижней и иногда средней трети мочеточника возможно выполнение уретероскопии и извлечение камня с помощью специальной корзинки, а также выполнение контактной уретеролитотрипсии с помощью лазерных (гольмиевого импульсного лазера) или электрогидравлических устройств.
в) Дистанционная ударно-волновая литотрипсия заключается в дезинтеграции конкремента направленными ударными волнами на мелкие осколки, с последующим самостоятельным их отхождением.
г) Обычная (открытая) уретеролитотомия в настоящее время выполняется редко. Это обусловлено эффективностью менее инвазивных методов лечения, описанных выше.
6. Какие методы лечения применяются при наличии камня в почке?
а) При отсутствии клинических проявлений и пиелонефрита допустима выжидательная тактика.
б) Дистанционная ударно-волновая лиготрипсия.
в) Чрескожная нефролитотомия (в особенности при камнях более 2 см в диаметре).
г) Дистанционная ударно-волновая литотрипсия в сочетании с чрескожной нефролитотомией.
д) Обычная (открытая) нефролитотомия выполняется редко, что обусловлено достаточной эффективностью менее инвазивных методов лечения.
7. Что такое "каменная дорожка"?
Под "каменной дорожкой" понимают скопление мелких конкрементов в мочеточнике, что может сопровождаться его обструкцией и развитием почечной колики. "Каменная дорожка" — характерное осложнение дистанционной ударно-волновой литотрипсии.
8. Что представляет собой катетер-стент?
Стент представляет собой небольшой катетер из синтетического материала, имеющий 2 завитка. Проксимальный завиток устанавливается в почечную лоханку, дистальный — в мочевой пузырь. Стент позволяет временно устранить обструкцию мочевых путей и, возможно, облегчает отхождение конкремента (после своего удаления).
Это обусловлено тем, что в течение некоторого времени после удаления катетера-стента может наблюдаться расширение просвета мочеточника.
9. Что такое оценка метаболизма и кому ее следует проводить?
Оценка метаболизма включает определение концентрации веществ, способствующих камнеобразованию, в сыворотке и суточной пробе мочи. С целью профилактики развития и прогрессирования нефролитиаза, выявленные патологические изменения подлежат медикаментозному лечению.
Оценка метаболизма показана при рецидивирующем нефролитиазе, множественных или двусторонних камнях, при выявлении конкрементов у детей, а также при наличии камней, не содержащих кальций.
10. Возможно ли растворение конкрементов?
• Уратные камни растворяются с помощью повышения pH (подщелачивания) мочи на фоне избыточного приема жидкости
• Иногда возможно растворение цистиновых камней, а также струвитов и апатитов
• Кальциевые камни растворить нельзя
11. У кого из млекопитающих, подобно людям, возможно образование уратных камней?
У далматинского дога мочевая кислота экскретируется с мочой, вследствие чего возможно формирование уратных камней.
12. Какое токсическое вещество может образоваться при воздействии гольмиевым лазером на уратные камни?
Из мочевой кислоты могут образовываться цианиды. Существенных клинических последствий при этом не отмечено.

Учебное видео - общий анализ мочи в норме и при болезни
Редактор: Искандер Милевски. Дата обновления публикации: 18.3.2021
Информация на сайте подлежит консультации лечащим врачом и не заменяет очной консультации с ним.
См. подробнее в пользовательском соглашении.
Мочекаменная болезнь
Мочекаменная болезнь развивается вследствие нарушения обмена веществ и проявляется образованием камней в органах мочевыводящей системы.
Состояние, когда камни образуются в почках, называется нефролитиазом; в мочеточниках – уретеролитиаз; в мочевом пузыре – цистолитиаз.
Все причины, приводящие к образованию камней в мочевыводящей системе, делят на экзогенные (внешние) и эндогенные (внутренние).
К экзогенным можно отнести следующие:
- длительное питье жесткой воды;
- проживание в климатических зонах, где недостаток ультрафиолетовых лучей;
- большое употребление кислой, соленой, острой пищи;
- недостаточное употребление воды в течение дня;
- малоподвижный образ жизни.
К эндогенным можно отнести следующие:
- нарушения функции почек в результате хронических заболеваний;
- генетическая предрасположенность к камнеобразованию;
- инфекционные заболевания, сопровождающиеся обезвоживанием организма;
- тяжелые заболевания, при которых больному необходима длительная иммобилизация;
- патология желудочно-кишечного тракта (вследствие нарушения процессов пищеварения и всасывания);
- нарушения обмена веществ (гиперпаратиреоз, подагра);
- врожденные аномалии строения почек и мочевыводящих путей.
Наиболее часто при мочекаменной болезни присутствуют воспалительные заболевания почек (пиелонефрит, гломерулонефрит), подагра, гиперпаратиреоз, желчнокаменная болезнь, цистит, простатит, панкреатит, колит.
Различают 5 типов камней:
- уратные, появляются при нарушениях обмена мочевой кислоты (при подагре);
- оксалатные, появляются при повышенном содержании оксалатных солей;
- фосфатные, появляются при нарушениях фосфорного обмена;
- цистиновые, они появляются при наследственной патологии;
- смешанные, сочетание нескольких видов обменных нарушений.
У мужчин данная патология выявляется в три раза чаще, чем у женщин. Клинические проявления мочекаменной болезни у мужчин и женщин одинаковы.
Выраженность симптомов зависит от размера камней и от того, где они находятся.
При наличии мелких камней болезнь протекает бессимптомно, либо после тяжелой физической нагрузки может появиться дискомфорт в поясничной области. На этой стадии чаще всего конкременты диагностируют случайно при проведении обследований.
Локализация болей при мочекаменной болезни
Самым неотъемлемым симптомом является – болевой синдром.
Боль может быть постоянного или приступообразного характера; ноющего или острого характера; выраженность боли зависит от размеров камня и его местоположения.
Боль при камнях в почках
При нахождении камней в почках или верхних отделах мочеточника, боль возникает в области поясницы и носит ноющий характер.
Однако если камень вызывает обтурацию (закупорку) мочеточника, нарушается отток мочи и боли значительно усиливаются. У больного развивается почечная колика. Она характеризуется выраженными болями, не проходят при перемене положения тела. Боли могут длиться от нескольких минут до нескольких дней. Больные мечутся, возникают частые позывы к мочеиспусканию.
Боли чаще всего односторонние, редко могут быть двусторонними.
По мере продвижения камня по мочевыводящим путям боли опускаются.
Боли в нижних отделах живота у мужчин могут распространятся в наружные половые органы, мошонку. Боли напоминают простатит, перекрут яичка.
У женщин боли в нижних отделах живота отдают в половые губы, вульву.
Затрудняется мочеотделение, оно становится учащенным и болезненным.
Боль при камнях в мочевом пузыре
При нахождении камней в мочевом пузыре боли локализуются в надлобковой области, при камнях небольшого размера боли ноющие. Иррадиация болей также в область наружных половых органов.
Кровь в моче и песок
Вторым наиболее частым симптомом является гематурия (появление крови в моче).
Гематурия наблюдается при движении камня по мочевыводящим путям, вследствие повреждения слизистых оболочек. При прохождении мелких камней кровь можно обнаружить только при исследовании мочи. А при прохождении больших камней больной сам может отметить розовое окрашивание мочи.
Также больной может увидеть в осадке мочи мелкие камни (песок).
При обнаружении признаков мочекаменной болезни необходимо обратиться к врачу-урологу или нефрологу, пройти необходимое обследование.
Общий анализ мочи:
- Позволяет обнаружить гематурию – появление в моче эритроцитов. При наличии воспаления в мочевыводящей системе обнаруживается повышенное количество лейкоцитов, увеличение плотности мочи. В осадке мочи обнаруживаются соли (оксалаты, фосфаты, ураты).
- При наличии в осадке мочи камней проводится их исследование. Устанавливается характер камня.
Биохимическое исследование крови:
- Направлено на выявление нарушений в обмене веществ. Оценивается уровень мочевой кислоты, фосфатов, оксалатов, оценка функции почек (креатинин, мочевина, скорость клубочковой фильтрации).
Общий анализ крови.
- Можно обнаружить анемию (снижение гемоглобина) при длительной кровопотере; повышение количества лейкоцитов и скорости оседания эритроцитов СОЭ при воспалительном процессе.
Ультразвуковое исследование почек, мочевого пузыря.
- Позволяет выявить наличие камней, признаков воспаления.
Для обнаружения камней в мочеточнике, уточнения их местонахождения и степени обструкции мочевыводящих путей – проводят экскреторную урографию. Исследование проводится с помощью введения рентгеноконтрастного вещества и затем оценивается его скорость выведения.
При закупорке в нижних отделах мочевыводящих путей проводится ретроградная уретеропиелография. Контраст вводится не в почки, а снизу-вверх – по мочеточникам.
Также для уточнения диагноза может быть назначена компьютерная томография. Она позволяет уточнить размеры камня, его положение.
Одни и те же симптомы могут быть признаками разных заболеваний, а болезнь может протекать не по учебнику. Не пытайтесь лечиться сами — посоветуйтесь с врачом.
При наличии камней небольшого размера, лечение проводится амбулаторно. Назначается терапия врачом-нефрологом или урологом.
Если камни большие или у больного развивается почечная колика, то лечение стационарное. Длительность госпитализации зависит от проводимого лечения, в среднем 10-14 дней.
Лечение мочекаменной болезни направлено на удаление камней и коррекцию обменных процессов для предупреждения повторного их образования.
Способы удаления камней зависят от того каких размеров камень и его нахождение.
Мелкие конкременты могут самостоятельно выходить по мочевыводящим путям.
Для облегчения состояния, уменьшения болей больному (при возникновении почечной колики) назначаются спазмолитики и обезболивающие препараты.
Растворение камней при помощи лекарственных препаратов
При наличии уратов применяются:
При наличии фосфатных камней назначаются:
При оксалатных камнях применяют:
При цистиновых камнях применяют:
- Пеницилламин;
- Калия цитрат;
- Уралит.
Дробление камней с последующим их удалением
- С помощью ударной волны камень дробится и затем выводится по мочевыводящим путям. Метод не подходит при наличии больших конкрементов.
Также камни разрушают и при помощи ультразвуковых волн, лазера.
- Эндоскопическое вмешательство с использованием инструментов, разрушающих камень, с последующим удалением частей камня из почки.
- Это эндоскопическое удаление камней из мочевого пузыря.
Также при мочекаменной болезни применяется физиотерапевтическое лечение:
- диадинамическая амплипульс-терапия – применяется для снятия болевого синдрома;
- индуктотермия - применяется в качестве спазмолитической терапии и снятия болей;
- воздействие синусоидальными токами – применяется для снятия отека слизистых мочеточника и спазмов. Используется в период ремиссии.
- магнитотерапия – применяется для снятия болевого синдрома.
Подробнее о диете при камнях в почках написано в нашей отдельной статье.
Для больных с мочекаменной болезнью рекомендуется соблюдать следующие диетические рекомендации:
Обязательно выпивать в течение дня около двух литров жидкости;
При уратных камнях необходимо ограничить:
При оксалатных камнях:
- шоколад, какао;
- свекла, салат, шпинат;
- продукты богатые щавелевой кислотой;
При фосфатных камнях:
- соль;
- газированные напитки;
- алкоголь;
- смородина, клюква;
- молочные продукты.
Основным направлением в профилактике мочекаменной болезни является нормализация обмена веществ.
Если не нормализовать обменные процессы, то рецидив заболевания неизбежен.
Рекомендуются следующие профилактические мероприятия:
- ежедневная физическая нагрузка;
- отказ от алкоголя;
- поддерживать нормальный вес;
- выпивать около 2 литров жидкости в сутки;
- снизить потребление соли;
- при установлении типа камней соблюдать диетические рекомендации.
- своевременно лечить воспалительные заболевания мочевыводящих органов.
- регулярно обследоваться у уролога или нефролога.
При некорректном лечении мочекаменной болезни самыми распространенными являются следующие осложнения:
Развитие воспалительного процесса в почках, мочеточнике или мочевом пузыре. Это наиболее частое осложнение. Обусловлено застоем мочи и повреждением слизистых оболочек.
Воспалительный процесс может распространиться на околопочечную клетчатку (паранефрит). Он развивается при отсутствии лечения пиелонефрита или неграмотном лечении нефрита.
Вследствие длительного воспалительного процесса (хронического пиелонефрита) развивается хроническая почечная недостаточность.
При полной закупорке мочевыводящих путей с обеих сторон, что бывает крайне редко, может развиться острая почечная недостаточность.
При своевременной диагностике, проведении грамотного лечения и соблюдения в дальнейшем рекомендаций по профилактике заболевания, прогноз благоприятный. Соблюдение мер профилактики позволит избежать рецидивов камнеобразования.
Камни в почках - растворить или удалить? Симптомы мочекаменной болезни
Камни в почках - патология, которую чаще всего врачи называют мочекаменной болезнью или нефролитиаз. О наличии камней в почках человек может даже и не подозревать до первых симптомов, например, до появления болей в области поясницы или приступов почечной колики. Что приводит к образованию камней в почках и как их удалить?
Основной причиной развития мочекаменной болезни является нарушение обмена веществ, способствующее к образованию солей, которые не растворяются и формируют камни. Для того чтобы предотвратить образование камней в почках, нужно знать причины, способствующие их возникновению. Это:
- инфекция органов мочевыделительной системы;
- недостаточное употребление жидкостей;
- малоподвижный образ жизни;
- употребление большого количества мяса;
- употребление более 2-х чашек кофе в день, а также много шоколада;
- чрезмерное употребление в пищу солений, кислых, острых и пряных продуктов;
- избыточный вес;
- употребление жесткой, насыщенной солями воды;
- наследственная предрасположенность.

Место расположения камней в почках и их количество может быть самым разным. В зависимости от состава и причин формирования камни разделяются на несколько типов:
- Уратные. Этот тип камней встречается чаще всего, образуются они из солей мочевой кислоты;
- Фосфатные. Причиной образования этих камней являются инфекции мочевыводящих путей, образуются они из солей фосфорной кислоты;
- Оксалатные. Это соли щавельной кислоты, образуются они, если моча слишком кислая или щелочная;
- Холестериновые. Этот тип камней в почках встречается редко, образуются они при высоком содержании холестерина в крови.
- Цистиновые. Образуются из аминокислот цистина.
Проявление симптомов мочекаменной болезни зависит от месторасположения и размеров камня, но в основном для этой болезни характерны приступообразные боли. Острая или тупая боль в области поясницы сзади или сбоку указывает на нахождении камней в верхней части мочеточника. Интенсивность боли периодически меняется.
Те, кто перенес приступ почечной колики, еще долго помнят свои ощущения. Врачи считают это состояние одним из самых сильных болевых симптомов, превосходящим даже боли во время схваток при родах. Сначала боль возникает в пояснице, с одной стороны, затем переходит на живот, бедро и половые органы.
Приступ может сопровождаться тошнотой, рвотой и повышением температуры. Эти проявления дополняются болезненностью во время мочеиспускания и частыми позывами к нему. Мутная моча с осадком, ее зловонный запах и примесь крови в ней чаще всего свидетельствуют об отхождении камней и являются характерными признаками почечной колики.

Некоторые люди, знакомые с почечной коликой не понаслышке, часто переносят ее в домашних условиях, не вызывая врача. Этого нельзя делать ни в коем случае. Ведь определить, какого размера камень попал в мочеточник, без прохождения УЗИ невозможно. Приступ почечной колики, если она сопровождается болью в пояснице с двух сторон, длительным отсутствием мочеиспускания и многократной рвотой, требует обязательной срочной госпитализации.
Кроме того, симптомы почечной колики во многом схожи с признаками других опасных заболеваний, которые требуют незамедлительного хирургического вмешательства. Например, аппендицита, острого панкреатита и холецистита, кишечной непроходимости, внематочной беременности и ущемленной грыжи.
Для подтверждения диагноза мочекаменная болезнь врач дает направление на анализ крови и мочи, а также на прохождение УЗИ органов мочевыделительной системы. Дополнительно могут рекомендовать пройти мультиспиральную компьютерную томографию, чтобы увидеть камень и определить его объем и плотность, оценить состояние окружающих тканей. После получения результатов обследования врач-уролог назначает конкретное лечение.
Сегодня отношение к лечению камней в почках в корне изменилось. Еще недавно всем, кто попал в больницу с почечной коликой, делали операцию, теперь же хирургическое удаление камней проводится лишь по строгим показаниям.
Сейчас для лечения пациентов с уратными камнями наиболее эффективной считается литолитическая терапия - растворение камней в почках и мочеточнике с помощью лекарств. Уратные камни имеют невысокую плотность и чтобы растворить их достаточно, чтобы моча из кислой стала слабокислой или щелочной. Достигается это приемом цитратных препаратов течение 2-6 месяцев.
Если же диаметр камней более 2 см, то для ускорения их растворения, сначала проводят их дробление дистанционной ударно-волновой литотрипсией, а потом проводят медикаментозное лечение, направленное на выведение оставшихся мелких фрагментов вместе с мочой. Такое лечение важно сочетать с обильным питьем и правильно подобранной диетой.
В случаях, когда больного привозят на машине скорой помощи с почечной коликой и уже налицо осложнение обструктивным пиелонефритом, времени на растворение камней уже нет. Приходится принимать экстренные меры и удалять камни хирургическим путем.
В 1999 году заболеваемость почечно-клеточным раком в США составила около 30 000 случаев. Это примерно 3% всех случаев заболевания раком среди взрослого населения.
2. Каким образом можно диагностировать рак почки?
Клинические проявления рака почки могут включать гематурию, боль в поясничной области и наличие пальпируемого объемного образования в брюшной полости. Однако эта классическая триада встречается лишь в 10% случаев. Солидные опухоли почки часто обнаруживают случайно при КТ органов брюшной полости и забрюшиннного пространства, выполняемой по другой причине.
3. Всегда ли солидная опухоль почки является почечно-клеточным раком?
Нет. К солидным опухолям почки относятся также ангиомиолипома, онкоцитома, саркома или метастатические поражения органа. Однако все солидные опухоли следует расценивать как почечно-клеточный рак до тех пор, пока не будет доказано обратное.
4. В чем состоит уникальность взаимодействия почечно-клеточного рака и его сосудистой системы?
Для почечно-клеточного рака характерна инвазия в вены, по которым кровь оттекает от опухоли. Опухолевый тромб может распространяться по почечной вене в нижнюю полую вену, вплоть до правого предсердия.

5. Какие методы исследования позволяют оценить состояние нижней полой вены при подозрении на ее опухолевую инвазию?
Выраженность опухолевой инвазии в нижнюю полую вену можно определить с помощью магнитно-резонансной томографии (МРТ) или каваграфии.
6. Каковы методы лечения почечно-клеточного рака?
При отсутствии множественных отдаленных метастазов больным с почечно-клеточным раком показано оперативное лечение — как правило, пефрэктомия. При этом почку удаляют вместе с паранефральной клетчаткой и фасциями (фасцией Герота).
7. Всем ли больным с почечно-клеточным раком показана нефрэктомия?
Нет. При двусторонних опухолях или опухоли единственной почки показано выполнение органосохраняющей операции. Учитывая риск рецидивировапия опухоли, не существует единого мнения о целесообразности выполнения органосохраняющей операции при отсутствии патологических изменений в другой почке.
8. Каково лечение почечно-клеточного рака при наличии отдаленных метастазов?
Химиотерапия малоэффективна. В настоящее время наилучшие результаты получены при назначении иптерлейкипа-2. В некоторых случаях эффект лечения оказывался достаточно выраженным и стойким. Продолжаются исследования, оценивающие эффективность применения интерлейкина-2 в сочетании с другими иммуномодулирующими методиками.
9. Что такое синдром Стауффера (Stauffer)?
Синдром Стауффера — это повышение значений биохимических показателей функции печени у больного с почечно-клеточным раком, которые нормализуются после нефрэктомии. Он считается разновидностью паранеопластического синдрома.

Результаты поперечного ультразвукового сканирования; видна большая опухоль почки, расположенная ниже печени.
Камни в почках ( Нефролитиаз , Почечнокаменная болезнь )
Камни в почках – это проявление мочекаменной болезни, характеризующееся образованием в почках солевых конкрементов (камней). Сопровождаются ноющей болью в пояснице, приступами почечной колики, гематурией, пиурией. Диагностика требует проведения КТ и УЗИ почек, экскреторной урографии, радиоизотопной нефросцинтиграфии, исследования биохимических параметров мочи и крови. Лечение почечнокаменной болезни может включать консервативную терапию, направленную на растворение конкрементов, или их хирургическое удаление (нефролитотрипсию, пиелолитотомию, нефролитотомию, ).
МКБ-10



Общие сведения
Камни в почках (почечнокаменная болезнь, нефролитиаз) - распространенная патология. Специалисты в сфере практической урологии довольно часто сталкиваются с почечнокаменной болезнью, причем камни могут образовываться и у детей, и у взрослых. Среди пациентов преобладают мужчины; камни чаще выявляются в правой почке, в 15 % случаев встречается двусторонняя локализация конкрементов.
При мочекаменной болезни, кроме почек, камни могут выявляться в мочевой пузыре (цистолитиаз), мочеточниках (уретеролитиаз) или мочеиспускательном канале (уретролитиаз). Практически всегда первоначально конкременты образуются в почках и оттуда спускаются в нижние отделы мочевого тракта. Встречаются одиночные конкременты и множественные; мелкие камни почек (до 3 мм) и крупные (до 15 см).

Причины
В основе камнеобразования лежат процессы кристаллизации мочи, насыщенной различной солями и осаждение кристаллов на белковую матрицу-ядро. Почечнокаменная болезнь может развиваться при наличии целого ряда сопутствующих факторов. Нарушение минерального обмена может быть генетически обусловленным. Поэтому людям с семейной историей нефролитиаза рекомендуется уделять внимание профилактике камнеобразования, раннему выявлению конкрементов с помощью контроля общего анализа мочи, прохождения УЗИ, наблюдения у врача-уролога.
Приобретенные нарушения солевого обмена могут быть обусловлены внешними (экзогенными) и внутренними (эндогенными) причинами. В числе внешних факторов наибольшее значение отводится климатическим условиям и питьевому режиму и пищевому рациону. Известно, что в жарком климате при усиленном потоотделении и определенной степени обезвоженности организма, концентрация солей в моче повышается, что приводит к образованию камней в почках. Обезвоживание организма может быть вызвано отравлением или инфекционным заболеванием, протекающим с рвотой и поносом.
В северных регионах факторами камнеобразования могут выступать дефицит витаминов А и D, недостаток ультрафиолета, преобладание рыбы и мяса в рационе. Употребление питьевой воды с повышенным содержанием известковых солей, пищевое пристрастие к острому, кислому, соленому также приводит к ощелачиванию или закислению мочи и выпадению осадка из солей.
Среди внутренних факторов выделяют гиперфункцию околощитовидных желез – гиперпаратиреоз. Усиленная работа паращитовидных желез увеличивает содержание фосфатов в моче и вымывание кальция из костной ткани. Аналогичные нарушения минерального обмена могут возникать при остеопорозе, остеомиелите, переломах костей, повреждениях позвоночника, травмах спинного мозга. К эндогенным факторам также относятся заболевания ЖКТ – гастриты, язвенная болезнь, колиты, приводящие к нарушению кислотно-щелочного равновесия, повышенному выведению солей кальция, ослаблению барьерных функций печени и изменению состава мочи.
Патогенез
Образование камней в почках происходит в результате сложного физико-химического процесса при нарушениях коллоидного баланса и изменениях почечной паренхимы. Известная роль принадлежит неблагоприятным местным условиям в мочевых путях – инфекциям (пиелонефриту, нефротуберкулезу, циститу, уретриту), простатиту, аномалиям почки, гидронефрозу, аденоме предстательной железы, дивертикулиту и другим патологическим процессам, нарушающим пассаж мочи.
Замедление оттока мочи из почки вызывает застой в чашечно-лоханочной системе, перенасыщение мочи различными солями и их выпадение в осадок, задержку отхождения с мочой песка и микролитов. В свою очередь, развивающийся на фоне уростаза инфекционный процесс приводит к попаданию в мочу воспалительных субстратов - бактерий, слизи, гноя, белка. Эти вещества участвуют в образовании первичного ядра будущего конкремента, вокруг которого кристаллизуются соли, в избытке присутствующие в моче.
Из группы молекул образуется так называемая элементарная клетка – мицелла, служащая первоначальным ядром камня. «Строительным» материалом для ядра могут выступать аморфные осадки, фибриновые нити, бактерии, клеточный детрит, инородные тела, присутствующие в моче. Дальнейшее развитие процесса камнеобразования зависит от концентрации и соотношения солей в моче, рН мочи, качественного и количественного состава мочевых коллоидов.
Чаще всего камнеобразование начинается в почечных сосочках. Первоначально внутри собирательных канальцев формируются микролиты, большая часть которых не задерживается в почках и свободно вымывается мочой. При изменении химических свойств мочи (высокой концентрации, смещении рН и пр.) происходят процессы кристаллизации, приводящие к задержке микролитов в канальцах и инкрустации сосочков. В дальнейшем камень может продолжать «расти» в почке или спускаться в мочевыводящие пути.
Классификация
По химическому составу выделяют несколько видов камней, встречающихся в почках:
- Оксалаты. Состоят из солей кальция щавелевой кислоты. Имеют плотную структуру, черно-серый цвет, шиповатую неровную поверхность. Могут образовываться как при кислой, так и при щелочной реакции мочи.
- Фосфаты. Конкременты, состоящие из кальциевых солей фосфорной кислоты. По консистенции они мягкие, крошащиеся, с гладкой или слегка шероховатой поверхностью, беловато-сероватого цвета. Образуются при щелочной моче, достаточно быстро растут, особенно при наличии инфекции (пиелонефрита).
- Ураты. Представлены кристаллами солей мочевой кислоты. Их структура плотная, цвет – от светло-желтого до кирпично-красного, поверхность - гладкая или мелкоточечная. Встречаются при кислой реакции мочи.
- Карбонаты. Конкременты формируются при осаждении кальциевых солей угольной (карбонатной) кислоты. Они мягкие, светлые, гладкие, могут иметь различную форму.
- Цистиновые камни. В составе присутствуют сернистые соединения аминокислоты цистина. Конкременты имеют мягковатую консистенцию, гладкую поверхность, округлую форму, желтовато-белый цвет.
- Белковые камни. Образованы преимущественно фибрином с примесью бактерий и солей. По структуре мягкие, плоские, небольшого размера, белого цвета.
- Холестериновые камни. Ввстречаются редко; образуются из холестерина, имеют мягкую крошащуюся консистенцию, черный цвет.
Иногда в почках образуются камни не однородного, а смешанного состава. Одним из наиболее сложных вариантов являются коралловидные камни, которые составляют 3-5% от всех конкрементов. Коралловидные конкременты растут в лоханке и по виду представляют ее слепок, практически полностью повторяющий размеры и форму органа.

Симптомы нефролитиаза
В зависимости от своего размера, количества и состава камни в почках могут давать симптоматику различной выраженности. Типичная клиника включает боли в пояснице, развитие почечной колики, гематурию, пиурию, иногда – самостоятельное отхождение камня из почки с мочой. Боли в пояснице развиваются вследствие нарушения оттока мочи, могут быть ноющими, тупыми, а при резко возникшем уростазе, при закупорке камнем лоханки почки или мочеточника, прогрессировать до почечной колики. Коралловидные камни обычно сопровождаются нерезкой тупой болью, а мелкие и плотные дают резкую приступообразную боль.
Типичный приступ почечной колики сопровождается внезапными острыми болями в поясничной области, распространяющимися по ходу мочеточника в промежность и половые органы. Рефлекторно на фоне почечной колики возникают учащенные болезненные мочеиспускания, тошнота и рвота, метеоризм. Пациент возбужден, беспокоен, не может найти себе позы, облегчающей состояние. Болевой приступ при почечной колике настолько выражен, что зачастую купируется только введением наркотических препаратов. При обструкции камнями обоих мочеточников развивается постренальная анурия, лихорадка.
По окончании приступа камни из почек нередко отходят с мочой, возможна постболевая гематурия. Интенсивность гематурии может быть различной – от незначительной эритроцитурии до выраженной макрогематурии. Выделение гноя с мочой (пиурия) развивается при воспалении в почках и мочевых путях. Наличие камней в почках симптоматически не проявляет себя у 13-15% пациентов.
Диагностика
Распознавание камней в почках производится на основе анамнеза, типичной картины почечных колик, лабораторных и инструментальных визуализирующих исследований. На высоте почечной колики определяется резкая боль на стороне пораженной почки, положительный симптом Пастернацкого, болезненность пальпации соответствующей почки и мочеточника. Для подтверждения нефролитиаза выполняется:
- Лабораторная диагностика. Исследование мочи после приступа выявляет наличие свежих эритроцитов, лейкоцитов, белка, солей, бактерий. Биохимическое исследование мочи и крови в определенной степени позволяет судить о составе и причинах образования камней.
- УЗИ. С помощью УЗИ почек оцениваются анатомические изменения органа, наличие, локализация и движение камней. Правостороннюю почечную колику необходимо дифференцировать с аппендицитом, острым холециститом, в связи с чем может потребоваться выполнение УЗИ брюшной полости.
- Рентгеновская диагностика. Большая часть конкрементов определяется уже при обзорной урографии. Однако белковые и мочекислые (уратные) камни не отражают рентгеновские лучи и не дают теней на обзорных урограммах. Они подлежат выявлению с помощью экскреторной урографии и пиелографии. Кроме того, экскреторная урография дает информацию о морфо-функциональных изменениях в почках и мочевых путях, локализации конкрементов (лоханка, чашечка, мочеточник), форме и размерах камней.
- КТ почек. Компьютерная томография является "золотым стандартом" диагностики, поскольку позволяет увидеть конкременты любых размеров и плотности. При необходимости урологическое обследование дополняется радиоизотопной нефросцинтиграфией.

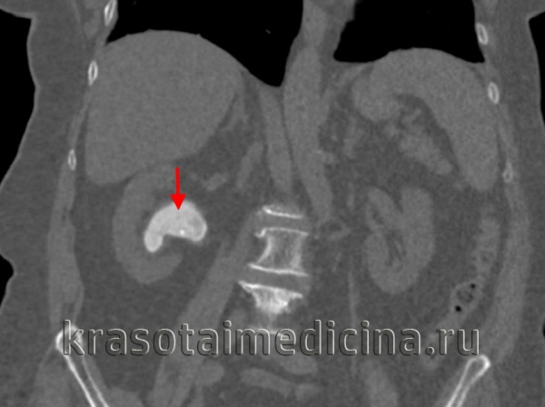
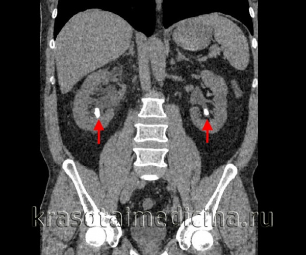
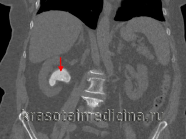
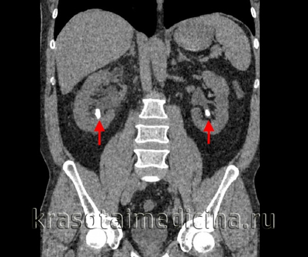
КТ ОБП и забрюшинного пространства. Плотные конкременты в нижних чашечках с обеих сторон. (фото Вишняков В.Н.)
Лечение камней в почках
Консервативное лечение
Лечение нефролитиаза может быть консервативным или оперативным и во всех случаях направлено на удаление камней из почек, устранение инфекции и предупреждение повторного образования конкрементов. При мелких почечных камнях (до 3 мм), которые могут быть выведены самостоятельно, назначается обильная водная нагрузка и диета, исключающая мясо и субпродукты.
При уратных камнях рекомендуется молочно-растительная диета, ощелачивающая мочу, щелочные минеральные воды (боржоми, ессентуки); при фосфатных конкрементах – прием кислых минеральных вод (Кисловодск, Железноводск, Трускавец) и т. д. Дополнительно под контролем уролога могут применяться лекарственные препараты, растворяющие камни в почках (например, цитратная терапия при уратных конкрементах).
Первая помощь при почечной колике
При развитии почечной колики лечебные мероприятия направлены на снятие обструкции и болевого приступа. С этой целью применяются инъекции платифиллина, метамизола натрия, морфина или комбинированных анальгетиков в сочетании раствором атропина; проводится теплая сидячая ванна, прикладывается грелка к поясничной области. При некупирующейся почечной колике требуется проведение новокаиновой блокады семенного канатика (у мужчин) или круглой связки матки (у женщин), проведение катетеризации мочеточника.
Хирургическое лечение
Оперативное удаление камней показано при частых почечных коликах, вторичном пиелонефрите, крупных конкрементах, стриктурах мочеточника, гидронефрозе, блокаде почки, угрожающей гематурии, камнях единственной почки, коралловидных камнях. При нефролитиазе применяется дистанционная литотрипсия, позволяющая избежать какого-либо вмешательства в организм и вывести фрагменты конкрементов через мочевые пути. При камнях диаметром до 2 см можно использовать метод «гибкой ретроградной нефролитотрипсии», а также перкутанную нефролитолапаксию, которая позволяет удалить камень через прокол в почке.
К открытым или лапароскопическим вмешательствам по извлечению камней – пиелолитотомии (рассечению лоханки) и нефролитотомии (рассечению паренхимы) прибегают редко, главным образом, при неэффективности малоинвазивной хирургии. При осложненном течении почечнокаменной болезни и потере функции почки показана нефрэктомия. После удаления конкрементов пациентам рекомендуется курортное лечение, пожизненное соблюдение диеты, устранение сопутствующих факторов риска.
Прогноз и профилактика
В большинстве случаев течение нефролитиаза прогностически благоприятно. После удаления камней при условии соблюдения предписаний врача-уролога, заболевание может не рецидивировать. В неблагоприятных случаях может развиваться калькулезный пиелонефрит, симптоматическая гипертония, хроническая почечная недостаточность, гидропионефроз.
При любых видах камней в почках рекомендуется увеличение объема питья до 2 л в сутки; употребление специальных травяных сборов; исключение острой, копченой и жирной пищи, алкоголя; исключение переохлаждений; улучшение уродинамики посредством умеренной физической активности и физкультуры. Профилактика осложнений нефролитиаза сводится к раннему удалению камней из почек, обязательному пролечиванию сопутствующих инфекций.
Читайте также:
