Советы при врожденной диафрагмальной грыже
Добавил пользователь Евгений Кузнецов Обновлено: 13.12.2025
Диафрагмальная грыжа – это выпячивание органов полости живота, чаще нижней части пищевода и желудка, в грудную полость через естественные отверстия диафрагмы или ее истонченные участки. В 70% случаев встречаются грыжи пищеводного отверстия. Грыжевые выпячивания могут быть врожденными и приобретенными, например, вследствие травмы или возрастных изменений. Другие причины развития патологии – беременность, тяжелые роды, запоры, избыточный вес, хронический кашель и иные состояния, сопровождающиеся увеличением внутрибрюшного давления. Лечение диафрагмальной грыжи, как правило, оперативное, особенно при обширном дефекте грудобрюшной перегородки.
Пищеводно диафрагмальная грыжа
Пищеводно диафрагмальная грыжа особенно часто встречается после 40 лет. Основные симптомы – боль за грудиной, изжога, заброс в пищевод желудочного содержимого, затруднение глотания, ночной кашель из-за попадания в легкие частиц пищи. Из-за постоянного воздействия на слизистую пищевода кислого желудочного сока развиваются такие осложнения как хронический эзофагит, язвы слизистой, рубцовые изменения в стенках органа с развитием стеноза. Кроме этого, у таких больных в несколько раз повышается риск возникновения рака пищевода. Диафрагмальная грыжа желудка и пищевода лечится консервативным или хирургическим путем. Медикаментозная и симптоматическая терапия назначается при небольшой диафрагмальной грыже. Операция показана в том случае, если развиваются осложнения, в частности, стеноз.
Как лечить диафрагмальную грыжу?
Лечение диафрагмальной грыжи начинается с применения консервативных методов. Необходимо избегать повышения давления внутри брюшной полости: исключить тяжелые физические нагрузки, ликвидировать запоры, снизить вес. Медикаментозное лечение заключается в приеме противовоспалительных препаратов, средств, снижающих кислотность желудка, вяжущих средств. Показано диспансерное наблюдение больных с диафрагмальной грыжей. Операция проводится примерно 25% пациентов при неэффективности консервативной терапии. Доступ к месту вмешательства осуществляется через брюшную или грудную полость. Основная цель хирургического лечения – сузить пищеводное отверстие, фиксировать желудок в брюшной полости и восстановить нормальное анатомическое положение органов. Операции по ликвидации диафрагмальной грыжи желудка и пищевода делятся на суживающие грыжевые ворота, восстанавливающие топографическое расположение органных структур и радикальные, сочетающие в себе оба типа вмешательств. Врач определяет, как лечить диафрагмальную грыжу после детального обследования и выявления риска возможных осложнений.
Показания и противопоказания к операции
При диафрагмальной грыже хирургическое лечение необходимо при:
- Хроническом эзофагите, резистентном к медикаментозной терапии;
- Наличии грыж большого размера;
- Угрозе ущемления грыжевого мешка;
- Наличии осложнений (кровотечений с развитием анемии, стриктур пищевода, рубцовых изменений его слизистой, аспирационных пневмоний).
Противопоказанием к операции является тяжелое состояние больного, беременность, острые инфекционные заболевания. В случае возникновения состояний, угрожающих жизни: сильное кровотечение, перфорация и т.д., вмешательство проводится при любом состоянии пациента по неотложным показаниям.
Лечение при недостаточности пищеводного отверстия диафрагмы необходимо начать как можно раньше, тогда можно избежать хирургического вмешательства. При появлении первых симптомов патологии необходимо обратиться к специалисту и пройти обследование для уточнения диагноза и подбора адекватной терапии.
Советы при врожденной диафрагмальной грыже
Советы при врожденной диафрагмальной грыже
1. Какие типы врожденной диафрагмальной грыжи наиболее распространены?
Известны 3 типа диафрагмальной грыжи — заднебоковая (грыжа Бохдалека (Bochdalek)), парастернальная (грыжа Морганьи) и центральная (френо-перикардиальная)). Грыжа Бохдалека — наиболее частый вариант, она встречается в 80% случаев. Вследствие заднебокового дефекта диафрагмы кишечник перемещается в грудную клетку, легкое сдавливается и развивается его гипоплазия.
2. Какова клиническая картина врожденной диафрагмальной грыжи?
Основной симптом врожденной диафрагмальной грыжи — нарушения дыхания. С рождения или в первые часы жизни у новорожденного возникает тяжелая одышка, втяжение межреберий на вдохе, цианоз. При объективном осмотре выявляется резкое ослабление дыхательных шумов на стороне поражения. Топы сердца лучше выслушиваться па противоположной ему стороне. Из-за того, что новорожденный дышит с усилием, воздух проникает в кишечник. Последний расширяется и еще больше нарушает дыхание.
Предоставленная естественному течению диафрагмальная грыжа приводит к смещению средостения, нарушению венозного возврата и сердечного выброса.
3. Что подтверждает диагноз диафрагмальной грыжи?
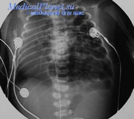
Диагноз диафрагмальной грыжи подтверждается обнаружением на рентгенограмме грудной клетки в прямой проекции множественных петель кишечника, наполненных газом, на стороне грыжи. Однако, если рентгенография делается до того, как воздух проник в кишечник, выявляются только смещение средостения, необычное расположение сердца и затемнение в одной половине грудной клетки.
Для подтверждения диагноза рентгенографию повторяют после введения через пазогастральный зонд воздуха или контрастного вещества.
4. Какие пороки развития сопутствуют врожденной диафрагмальной грыже?
В 50% случаев диафрагмальной грыжи имеются сопутствующие пороки развития. При множественных тяжелых сопутствующих пороках выживает менее 10% больных. В случаях, когда врожденная диафрагмальная грыжа выявляется еще во внутриутробном периоде (до 25 недель беременности), пороки развития часто бывают потенциально смертельными.
Кроме незавершенного поворота кишечника и гипоплазии легких, особенно часто встречаются пороки сердца (63%), далее по частоте следуют пороки мочевых путей и половых органов (23%), желудочно-кишечного тракта (17%), центральной нервной системы (14%) и дополнительные пороки легких (5%).

Врожденная диафрагмальная грыжа слева
5. Какие терапевтические мероприятия должны предшествовать транспортировке ребенка и операции?
Возможно, самой простой и наиболее эффективной паллиативной мерой является декомпрессия желудка путем постановки пазогастрального зонда. Она предотвращает дальнейшее растяжение кишечника и улучшает легочную вентиляцию. Эндотрахеальная интубация позволяет обеспечить адекватную легочную вентиляцию и оксигенацию. Кроме того, она также предотвращает дальнейшее растяжение кишечника.
Так как гипоплазия легких предрасполагает к их баротравме, давление на вдохе не должно превышать 30 мм ртутного столба. Адекватность ИВЛ обеспечивают за счет увеличения частоты дыхания до 40-60 в 1 минуту. Кроме того, необходимо обеспечит венозный доступ, достаточное введение жидкости и коррекцию ацидоза.
6. Что такое период мнимого благополучия?
В то время как 65% детей с врожденной диафрагмальной грыжей рождаются мертвыми или умирают вскоре после рождения, у 25% этот порок развития диагностируется после 28 дней жизни. Дети, у которых симптомы врожденной диафрагмальной грыжи развиваются после первых 24 часов жизни, выживают почти в 100%. Тяжесть нарушений дыхания зависит от степени гипоплазии легких. Отсутствие или слабая выраженность дыхательных нарушений у новорожденного свидетельствует о достаточном, совместимом с жизнью объеме легких.
Период мнимого благополучия — это тот отрезок времени, в течение которого у новорожденного вентиляция легких и оксигенация остаются адекватными без интенсивной терапии. Несмотря па последующую декомпенсацию, наличие этого периода свидетельствует о совместимой с жизнью функции легких.
7. Каковы принципы хирургической коррекции врожденной диафрагмальной грыжи?
До операции необходимо добиться стабилизации состояния ребенка. Оптимальный срок операции не установлен. Врожденная диафрагмальная грыжа вызывает физиологические нарушения в легких, которые сами по себе восстановление целости диафрагмы не устраняют, так что нет необходимости производить ее экстренно. В кооперативном исследовании современного состояния проблемы хирургической коррекции врожденной диафрагмальной грыжи Кларк с соавторами установили, что средний возраст, в котором она производилась, превышал 1 сутки жизни.
В случаях, когда применялась экстракорпоральная мембранная оксигенация, возраст составил 170 часов, в остальных — 73 часа. Применяют как трансабдоминальный, гак и трансторакальный доступ. Трансабдоминальный доступ предпочтителен по следующим соображениям:
(1) он облегчает возвращение внутренних органов в брюшную полость;
(2) позволяет устранить дефект диафрагмы при достаточном обзоре и без натяжения;
(3) облегчает выявление и коррекцию сопутствующих пороки развития, в том числе нарушающих проходимость кишечника и
(4) если первоначальные размеры брюшной полости недостаточны, чтобы вместить внутренние органы, позволяет увеличить их или создать грыжевой мешок брюшной стенки с помощью лоскута-протеза.
Трансторакальный доступ используют в основном при рецидивирующей диафрагмальной грыже и у детей старше 1 года.
8. Каково самое опасное осложнение врожденной диафрагмальной грыжи? Устранимо ли оно, и как?
При врожденной диафрагмальной грыже одно или оба легких гипопластичны. Их кровеносная система развита недостаточно. Артерии имеют утолщенный мышечный слой и обладают повышенной реактивностью. Без коррекции врожденной диафрагмальной грыжи у ребенка быстро возникает персистирующий фетальный тип кровообращения, что представляет собой наиболее опасное осложнение.
Персистирование фетального тина кровообращения обусловлено длительным повышением давления в легочной артерии. Происходит сброс крови, минуя легкие (право-левый шунт). Неоксигенированная кровь возвращается в большой круг кровообращения через открытый артериальный проток и открытое овальное окно. Персистирование фетального типа кровообращения приводит к гипоксемии, глубокому ацидозу и шоку. Пусковым механизмом его формирования является ацидоз, гиперкапния и гипоксия, оказывающие на кровеносные сосуды легких резкое сосудосуживающее действие.
Для предотвращения развития персистирующего фетального типа кровообращения используют следующие мероприятия:
а) Мониторинг оксигенации крови или взятие проб артериальной крови на предуктальном (из артерий правой руки) и постдукталыюм (из артерий ног) уровне, выявляющий сброс неоксигепироваппой крови в большой круг кровообращения.
б) Оптимальный для предотвращения гиперкапнии режим ИВЛ с высокой частотой дыхания и низким давлением на вдохе; достаточное введение седативных препаратов, при необходимости — применение миорелаксантов.
в) Адекватную искусственную вентиляцию легких газовой смесыо с высоким, как правило 100%, содержанием кислорода, позволяющую избежать гипоксемии.
г) Восстановление перфузии тканей путем достаточного введения электролитных растворов или крови, инотропных препаратов и бикарбоната натрия, устраняющее метаболический ацидоз.
Если эти мероприятия не дают эффекта, их дополняют введением препаратов, расширяющих артерии малого круга кровообращения (окись азота путем ингаляции, внутривенно присколин (priscoline) или простогландина E2); высокочастотной искусственной вентиляцией легких и, наконец, прибегают к экстракорпоральной мембранной оксигенации. Кроме того, осложнения включают баротравму легких и пневмоторакс и кровотечение, особенно при использовании экстракорпоральной мембранной оксигенации.
9. Каков уровень выживаемости при врожденной диафрагмальной грыже?
Общий уровень выживаемости — 60%. Уровень выживаемости определяется, в основном, степенью гипоплазии легких и наличием тяжелых сопутствующих пороков развития. У детей, не имевших в первые дни жизни тяжелых нарушений дыхания, уровень выживаемости приближается к 100%. В тех клиниках, где применяются такие методы интенсивной терапии, как экстракорпоральная мембранная оксигенация или ингаляции окиси азота, уровень выживаемости не выше, чем в остальных.
В Мичиганском университете (University of Michigan) после введения в практику экстракорпоральной мембранной оксигенации общий уровень выживаемости снизился с 75% до 59%. При использовании специальных критериев для группы больных, которым она проводилась, установлено, что этот метод повышает на 27% выживаемость больных, ранее считавшихся неизлечимыми.
10. Играют ли какую-либо роль в лечении врожденной диафрагмальной грыжи внутриутробные вмешательства?
Пока внутриутробная хирургическая коррекция врожденной диафрагмальной грыжи не вышла за рамки эксперимента. В 1997 г в проспективном исследовании установлено, что она не улучшает прогноза по сравнению с общепринятой постнатальной хирургической коррекцией. Его авторы считают, что коррекцию пренатально диагностированной врожденной диафрагмальной грыжи надо производить постнатально, так как открытая внутриутробная хирургическая коррекция не улучшает исхода и не повышает выживаемости.
Редактор: Искандер Милевски. Дата обновления публикации: 18.3.2021
Врожденная диафрагмальная грыжа
Врожденная диафрагмальная грыжа – это порок развития диафрагмы, приводящий к нарушению разделения брюшной полости и грудной клетки, а так же к смещению желудка, селезенки, кишечника и печени в грудную полость.
Врожденная диафрагмальная грыжа может быть изолированным пороком, а также сочетаться с пороками развития других органов и систем. Большинство случаев врожденных диафрагмальных грыж спорадические.

Частота встречаемости 1 на 4000 живорожденных, соотношение полов 1:1
Диафрагмальная грыжа может сочетаться с пороками сердца, на которые приходится около 20%. Сочетания с пороками центральной нервной системы и мочевыделительной системы составляют по 10,7%. Около 10-12% врожденных диафрагмальных грыж, диагностированных пренатально, являются составной частью различных наследственных синдромов (пентада Кантрелла, синдромы Фринзе, Ланге, Марфана, Элерса-Данлоса и т.д.) или проявлением хромосомных аномалий и генных нарушений. Частота хромосомных аномалий в среднем составляет 16 %. Еще раз следует подчеркнуть, что хромосомные аномалии чаще выявляются только в тех случаях, когда врожденная диафрагмальная грыжа сочетается с другими пороками развития. Следовательно, пренатальное кариотипирование показано во всех случаях наличия сочетанной патологии, для уточнения генеза порока.
Относительно сторон поражения все врожденные диафрагмальные грыжи делятся на:
- Левосторонние около 80%
- Правосторонние около 20%.
- Двусторонние менее 1%.
Большинство новорожденных с врожденной диафрагмальной грыжей разворачивают картину дыхательной недостаточности непосредственно в родовом зале сразу после рождения. Очень быстро прогрессирует острая дыхательная недостаточность. При осмотре обращает на себя внимание ассиметрия грудной клетки с выбуханием стороны поражения (обычно слева) и отсутствием экскурсии грудной клетки с этой стороны. Очень характерный симптом – запавший ладъевидный живот.
Главным методом дородового выявления врожденной диафрагмальной грыжи является эхография. При ультразвуковом исследовании подозрение на этот порок возникает при аномальном изображении органов грудной клетки. Одним из основных эхографических признаков, является смещение сердца, а также появление в грудной клетке желудка и петель тонкого кишечника. Пренатальное ультразвуковое исследование может выявить наличие содержимого брюшной полости в грудной клетки уже на 12 неделе беременности. Тем не менее, обычно диагноз ставится на 16-неделе беременности.
Ранняя диагностика ВДГ дает возможность провести кариотипирование, для исключения сочетанной хромосомной аномалии. Так же по данным УЗИ в I и II-м триместре беременности есть возможность определиться в необходимости фетальных вмешательств для стабилизации плода с ВДГ.
После рождения диагноз ВДГ подтверждается после проведения комплексного УЗИ и рентгенографии органов грудной и брюшной полости.
При рождении ребенка с диафрагмальной грыжей врачи должны быть готовы к проведению расширенной сердечно-легочной реанимации. Интубация трахеи и ИВЛ показана с первой минуты жизни. Уже в родзале ребенок с ВДГ может потребовать введение лекарственных препаратов, стабилизирующих работу сердца. Только достигнув стабильного состояния, возможна транспортировка ребенка из родзала, она выполняется в условиях транспортного кувеза на ИВЛ с мониторингом жизненных функций.
В условиях реанимационного блока отделения продолжается интенсивная терапия, направленная на стабилизацию состояния и подготовке к операции: подбор методов и параметров ИВЛ, кардиотоническая поддержка, седативная и обезболивающая, антибактериальная терапия.
По мере стабилизации состояния решается вопрос о возможности оперативного лечения.
В случае нестабильности состояния в нашем отделении есть возможность использовать методику экстракорпоральной методики поддержки работы сердца и легких – ЭКМО.
Оперативное лечение детей с ВДГ осуществляется преимущественно малоинвазивным эндоскопическим методом. Через минимальные проколы грудной клетки (3 мм) осуществляется бережное погружение содержимого из грудной полости в брюшную. После чего оценивается дефект диафрагмы: в случае достаточно развитой собственной диафрагмы пластика дефекта осуществляется собственными тканями, а при выраженном дефиците тканей – дефект замещается имплантом (используется синтетический материал Гор-Текс и биологический материал Пермакол).
В послеоперационном периоде продолжается интенсивная терапия, направленная на коррекцию дефицитов, которые сохраняются, пока гипоплазированное легкое не восстановится.
В ФГБУ «Национальный медицинский исследовательский центр акушерства, гинекологии и перинатологии имени академика В.И. Кулакова» Минздрава России Вы получаете уникальную возможность получить БЕСПЛАТНО оперативное стационарное лечение по квотам на высоко-технологическую медицинскую помощь (ВМП по ОМС).
Врожденная диафрагмальная грыжа

Изображение врожденной диафрагмальной грыжи (ВДГ)
Врожденная диафрагмальная грыжа
Врожденная диафрагмальная грыжа (ВДГ) встречается примерно у 1 из 2500 беременностей. Это дефект диафрагмы плода, тонкой мышцы, напоминающей очень большой диск, который полностью отделяет грудную клетку (где находятся легкие) от брюшной полости (где расположены желудок, кишечник и печень). При ВДГ в диафрагме есть отверстие, потому что она не закрылась полностью во время развития плода.
Когда есть диафрагмальная грыжа (ВДГ), органы брюшной полости (желудок, кишечник и печень) могут подниматься в грудную клетку через отверстие диафрагмы и сдавливать легкие. Если это произойдет, легкие плода не смогут нормально расти и развиваться из-за нехватки места (гипоплазия легких), что может вызвать серьезные проблемы с дыханием при рождении и даже привести к смерти ребенка.
Причина ВДГ неизвестна и может проявляться по-разному, например, как генетический синдром или быть связана с другими пороками развития. Но более чем в половине случаев она протекает изолированно без других проблем.
Во время внутриутробной жизни плод не использует легкие для дыхания, но кровь насыщается кислородом через плаценту. Следовательно, во многих случаях диафрагмальную грыжу ребенка можно прооперировать после рождения.
Однако в самых тяжелых случаях легкие могут быть слишком маленькими (тяжелая гипоплазия легких), чтобы можно было дышать после рождения, и, несмотря на лечение, у ребенка разовьется дыхательная недостаточность, и он не сможет выжить. То же самое может произойти с кровеносными сосудами в легких, вызывая проблемы с кровообращением ребенка в легких (легочная гипертензия).
Риск в каждом случае может быть очень разным. У некоторых детей отверстие диафрагмы невелико, им мало нужно помогать дышать, и их шансы на выживание очень высоки. В других случаях дефект может быть очень большим, требующим большой помощи и низким шансом на выживание.
Каждый случай может быть разным, но ВДГ всегда является серьезным заболеванием, требующим тщательного лечения в первые месяцы жизни. По этой причине дети с врожденной диафрагмальной грыжей всегда должны рождаться в госпитале с высокоспециализированным персоналом с большим опытом ведения таких случаев.
Вероятность лучшего или худшего исхода будет зависеть от степени гипоплазии легких, то есть от того, насколько малы легкие плода. В случаях с худшим прогнозом может быть рассмотрена пренатальная терапия (до рождения) посредством проведения хирургии плода, которая может помочь значительно увеличить шансы на выживание.
После постановки диагноза необходима комплексная оценка опытной бригады специалистов фетальной медицины, которая оценит, является ли это изолированная ВДГ или есть дополнительные проблемы. Для этого проводится ряд обследований и анализов:
- Специализированное ультразвуковое исследование для расчета размера легких и определения внутренних органов, пораженных грыжей грудной клетки, особенно важна печень.
- Амниоцентез и генетическое исследование, чтобы выяснить, связана ли ВДГ с другими генетическими аномалиями, и исключить, что это изолированная врожденная диафрагмальная грыжа.
- Магнитно-резонансная томография для получения полного обзора плода, результаты которой, в случае необходимости, будут использоваться при операции.
- Оценка многопрофильной командой, в которой участвуют специалисты по медицине плода, неонатологи и детские хирурги.
После завершения исследования мы можем составить довольно точный прогноз шансов на выживание ребенка. В целом, когда вероятность выживания при рождении составляет менее 60%, предлагается хирургия плода, то есть лечение, которое применяется до рождения, чтобы уменьшить повреждение легких, которое происходит на протяжении всей беременности.
После завершения обследования для определения прогноза ситуация подробно обсуждается с родителями, которые всегда принимают решение о лечении в каждом конкретном случае:
- Стандартное лечение после рождения: оно заключается в оказании респираторной поддержки сразу после рождения с помощью лекарств и помощи с различными типами вспомогательного дыхания до тех пор, пока не будет восстановлено отверстие диафрагмы. Речь идет о перемещении органов брюшной полости на своё место и закрытии дефекта диафрагмы с тем, чтобы легкие могли расширяться и выполнять свою функцию дыхания.
- Лечение фетальной хирургией (фетоскопическая окклюзия трахеи или FETUS): это процедура для временного закрытия трахеи (трубка, через которую мы дышим, идущая от горла к легким), не с целью восстановления грыжи, а для того, чтобы увеличить рост легких и дать ребенку максимум возможностей, когда он появится на свет. В этих случаях также необходимо традиционное лечение и восстановление ВДГ после рождения.
Как и любое другое лечение плода, хирургия сопряжена с некоторыми рисками. Помимо необходимости госпитализации беременной, увеличивается риск преждевременных родов. По этой причине хирургия предлагается только тогда, когда шансы на выживание при традиционном лечении оцениваются менее чем в 60%. Самые последние результаты показывают, что хирургия может увеличить вероятность выживания на 30-40% по сравнению с первоначально рассчитанной.
Лечение проводится примерно на 30 неделе беременности с помощью эндоскопии плода (фетоскопии). Оно заключается в перекрытии трахеи плода с помощью специального воздушного шара или баллона. Это препятствие не выпускает жидкость, вырабатываемую легкими плода, и способствует более быстрому их росту.
Кроме того, окклюзия трахеи заставляет легкое «раздуваться» и может противодействовать давлению, которое испытывает желудок, печень или кишечник, которые поднимаются к груди плода. Этот ускоренный рост легких даст ребенку гораздо больше возможностей, когда он появится на свет.
Фетоскопия - это малоинвазивная терапия, поэтому беременная обычно остается в больнице на 1-2 дня. Операция проводится в операционной, почти всегда под местной анестезией, так как в брюшной полости беременной женщины необходим только небольшой разрез размером около 3 мм. Через это отверстие в матку вводится небольшая трубка (фетоскоп), с помощью которой она проходит через рот плода к трахее, где надувается баллон.
Этот баллон оставляют надутым на период от двух до четырех недель, а затем удаляют при повторной госпитализации с помощью аналогичной операции. После удаления баллона беременная женщина должна проходить периодический контроль, и в большинстве случаев ребенок может родиться естественным путем.
Госпитализация беременной женщины, как правило, продлится 1-2 дня, затем потребуется еженедельный контроль с осмотром и ультразвуком, а также необходимо поддерживать относительный отдых дома до конца беременности с небольшой физической активностью, особенно в первые 3 или 4 недели после вмешательства. Важно, чтобы между первой и второй фетоскопией, установкой и последующим удалением баллона пациент оставался рядом с Госпиталем Сант Жоан де Деу Барселона (менее чем в 1-2 часах езды). Обычно беременность может продолжаться до нормального срока и без необходимости преждевременного вынашивания.
Во время беременности вы получаете поддержку медсестер, специализирующихся в области медицины плода, не только на техническом, но и эмоциональном уровне. Кроме того, мы можем познакомить вас с другими семьями, которые прошли через такой же опыт. Этот опыт очень положительный и помогает очеловечить и понять проблему гораздо более интуитивно и без трудностей, которые иногда могут возникнуть при получении только технической информации от медицинского персонала.
Почему BCNatal - Сант Жоан де Деу?
Хирургия плода по поводу ВДГ предлагается в небольшом количестве медицинских центров по всему миру. Это сложное, деликатное и высокоточное лечение, поскольку хирург вводит небольшой канал диаметром 2–3 мм в трахею плода. Но в опытных руках это очень неагрессивное лечение беременной женщины и плода. Фактически, плоду не производят никаких разрезов, поскольку введение баллона осуществляется через рот.
Несмотря на техническую сложность и необходимость тщательной подготовки и планирования, фактическое время операции (с момента введения эндоскопа в матку до его извлечения), по нашему опыту, обычно не превышает 10 минут. Это делает риски преждевременных родов, разрывов плодных оболочек и инфекции (возможные осложнения операции плода) сегодня очень низкими по сравнению с тем, что было 15 лет назад, когда только появилось данное лечение и было меньше опыта.
Доктор Эдуард Гратакос, директор BCNatal (Госпиталь Сан Жоан де Деу), был частью команды специалистов, которые разработали и впервые применили технику фетальной хирургии, которую мы используем и которая в настоящее время используется в центрах терапии плода. Благодаря этому мы являемся одним из центров в мире с самым большим опытом, превосходящим 300 операций по поводу врожденных диафрагмальных грыж плода. Как новаторский центр разработок, мы постоянно исследуем и внедряем технологии, которые еще больше повышают точность операций.
Образцовая работа дородовой бригады дополняется педиатрическим центром третьего уровня с большим количеством специалистов по неонатальной интенсивной терапии и лучшими и самыми современными технологиями. Это позволяет нам иметь высококвалифицированных специалистов -- врачей и медсестер, доступных для ухода за этими деликатными пациентами каждый день в любое время года. Этот аспект очень важен, потому что послеродовое лечение врожденной диафрагмальной грыжи очень сложное, а заболевание встречается редко, что затрудняет получение опыта. В течение почти 20 лет, благодаря нашей программе хирургии плода, наше отделение неонатологии приняло на лечение намного больше случаев ВДГ чем в среднем другие госпитали, и поэтому мы имеем один из крупнейших в Европе опыт по лечению ВДГ.
После выписки наша команда из отделения педиатрии будет наблюдать за ребенком в течение первых лет и заботиться о нем, чтобы добиться оптимального развития и решить любую проблему на этом важном этапе жизни.
Таким образом, для родителей, которые хотят продолжить беременность и родить ребенка с нами, мы предлагаем команду фетальных и педиатрических хирургов и неонатологов с максимальным опытом и лучшими показателями выживаемости и качества жизни, которые можно получить на сегодняшний день.
Внутриутробная коррекция врожденной диафрагмальной грыжи

Врожденная диафрагмальная грыжа — порок развития, связанный с выходом органов брюшной полости через дефект в диафрагме в грудную клетку. Данная патология влечет за собой развитие легочной гипоплазии из-за сдавления легочной паренхимы, что приводит к развитию дыхательной недостаточности после рождения и высокой неонатальной смертности. Ранняя хирургическая коррекция данного порока позволяет частично устранить последствия данного порока и уменьшить количество летальных исходов среди новорожденных, но существует и иной, более эффективный способ коррекции этой патологии. В данной статье мы рассмотрим способ внутриутробной коррекции дефекта с помощью баллонной окклюзии трахеи.
В норме закрытие плевроперитонеального отверстия, соединяющего грудную и брюшную полость, должно произойти на восьмой неделе гестации. Одновременно происходит развитие кишечника плода, его удлинение и ротация. Если по каким-то причинам закрытие отверстия в диафрагме не состоялось, петли кишечника выходят в грудную клетку.
Охарактеризовать диафрагмальные грыжи можно по нескольким параметрам. Выделяют ложные и истинные диафрагмальные грыжи. Ложные диафрагмальные грыжи формируются в результате нарушения соединения зачатков диафрагмы между собой. Истинные диафрагмальные грыжи связаны с нарушением процесса формирования диафрагмальных мышц. Также в зависимости от локализации дефекта выделяют:
Рисунок 1 | а — диафрагмально-плевральные грыжи (истинная и ложная), б — парастернальная грыжа, в — грыжи пищеводного отверстия (параэзофагеальная, эзофагеальная)
Наиболее часто у детей встречаются диафрагмально-плевральные грыжи и грыжи пищеводного отверстия диафрагмы. Парастернальные грыжи встречаются редко, еще реже — френоперикардиальные. Грыжевое содержимое зависит от локализации дефекта; наиболее часто наблюдается выход петель кишечника, участка печени. Грыжа пищеводного отверстия диафрагмы часто сопровождается смещением желудка вверх и его расположением рядом с пищеводом.
Врожденные диафрагмальные грыжи сопровождаются легочной гипоплазией, степень развития которой влияет на выживаемость детей с данным пороком. Внутриутробная компрессия легких, связанная с выходом в грудную клетку содержимого брюшной полости, замедляет их развитие. Также происходит нарушение дыхательных движений плода из-за механического сдавления, в результате чего уменьшается количество бронхиальных ветвей и альвеол, поражается сосудистая сеть легких.
Внутриутробная коррекция дефекта заключается во введении баллона в трахею плода с помощью фетоскопа. Прежде чем подробно рассмотреть данный метод коррекции, необходимо вспомнить физиологию дыхательной системы плода. В норме легкие плода продуцируют жидкость на протяжении всего периода гестации и выделяют ее через верхние дыхательные пути в амниотическую жидкость. Определенный объем жидкости необходим для стимуляции местных факторов роста. С помощью баллона, установленного в трахее, уменьшается отток продуцируемой жидкости, следовательно, стимуляция факторов роста усиливается.
Методика
Вмешательство предпочтительно проводить между 26–30 неделями гестации, т. к. введение баллона раньше этого срока может повлечь за собой повреждение трахеи. Фетоскоп вводится в амниотическую полость и подводится ко рту плода, избегая плаценты. Далее его вводят в ротовую полость и продвигаются вдоль гортани, трахеи до бифуркации, после чего баллон раздувается с помощью введения 0,8 мл физиологического раствора. После того как врач убедится в правильной позиции баллона посредством фетоскопии или УЗИ, устройство отсоединяется от микрокатетера. После оценки состояния плода и матери фетоскоп извлекается, и процедура считается завершенной. Беременная женщина находится под наблюдением в стационаре первые 24–48 часов с непрерывным мониторингом состояния плода, далее контроль состояния плода и положения баллона производится каждые две недели до родов.

Рисунок 2 | Методика введения баллона с помощью фетоскопа

Рисунок 3 | Техника баллонной окклюзии трахеи на 26 неделе гестации. А — надгортанник плода (е), В — бифуркация трахеи (с), С — баллон (b) c микрокатетером (m), D — баллон (b) после раскрытия.
Удаление баллона производится на 34 неделе с помощью повторной фетоскопии или прокола баллона под контролем УЗИ.
В течение четырех-восьми недель легкое усиленно развивается, значительно увеличивается в размере, вытесняя органы брюшной полости. Таким образом, одновременно достигается уменьшение гипоплазии легкого и вправление грыжевого содержимого.

Рисунок 4 | МРТ до проведения процедуры (слева) и спустя 4 недели после установки баллона (справа).
Преимущество метода баллонной окклюзии трахеи перед постнатальным оперативным вмешательством подтверждено многими исследованиями. Отмечается высокая выживаемость по сравнению с «выжидательной» тактикой; процент легочной гипоплазии среди детей с дородовым вмешательством ниже, а оценка по шкале Апгар на 1 и 5 минуте выше, чем у детей без коррекции порока. Учитывая, что врожденная диафрагмальная грыжа связана с высоким уровнем неонатальной смертности, данный метод коррекции является наиболее перспективным.
Читайте также:
