Специфическое воспаление лимфатических узлов. Вирусный лимфаденит.
Добавил пользователь Евгений Кузнецов Обновлено: 24.10.2025
Лимфаденитом называют воспаление лимфоузлов, иногда гнойное, специфического и неспецифического характера.
Виды и причины лимфаденита
Неспецифический лимфаденит обычно вызван стафилококками или стрептококками, другими возбудителями гнойной инфекции,а также продуктами их распада попавшими в лимфоузлы. Он может протекать как в острой форме, так и в хронической. При наличии у больного гнойных ран, фурункулов, трофической язвы, кариеса зубов и других местных воспалений наблюдается регионарный лимфаденит. При обширных и общих инфекциях эта болезнь может быть тотальной. У детей чаще всего лимфаденит спровоцирован ангиной, гриппом, отитом, а также кожными заболеваниями – инфицированной экземой, экссудативным диатезом и т. д. Специфического характера данное заболевание может быть вызвано возбудителями сифилиса, чумы, туберкулеза.
В организме человека воспаление лимфоузлов чаще всего локализуются в подмышечной или паховой области. При заболеваниях ЛОР-органов обычно воспаляются шейные, подбородочные, подчелюстные лимфоузлы. В этом случае причиной инфекции могут стать, например, нёбные миндалины или аденоиды, грипп, ангина острый фарингит, или вирусное поражение вызванное вирусами Эпштейн-Барра или цитомегаловирусом и т. д.
От инфицированных органов лимфогенным путем, а также с кровью от других органов инфекция попадает в лимфотическиеузлы являющиеся первым барьером на пути инфекции.
Признаки лимфаденита
К основным признакам, которые характеризуют это заболевание, можно отнести местное болезненное увеличение лимфоузлов, которое внешне заметно, недомогание, повышение температуры тела, головную боль, слабость. Далее вокруг лимфоузлов возникает краснота, отек, их контуры уже размыты, а любые движения в той области тела приносят боль. По мере скопления гноя отмечается его флюктуация в лимфоузле. Без оперативного вмешательства абсцесс может не только прорываться наружу, но и уходить вглубь тканей.
При шейном лимфадените
Шейные лимфоузлы уплотняются, при нажатии причиняют боль. Повышается температура тела, головная боль, в области лимфоузлов флюктуация. У детей этот вид заболевания протекает быстрее и неприятнее – к общим симптомам добавляются нарушение сна, аппетита, отек шеи, общее недомогание.Если запустить этот процесс, то может возникнуть сепсис. Хронический шейный лимфаденит не такой болезненный, но стоит сказать, что наличие этой болезни может свидетельствовать о туберкулезе.
Подчелюстной лимфаденит
Начинается незаметно – при надавливании за ухом и под челюстью бывает слабовыраженная боль, это совершенно не мешает жевать и улыбаться. На третьи сутки обычно под челюстью появляется болезненная припухлость, покраснение слизистой во рту. При отсутствии лечения тянуще-стреляющая боль станет сильнее, кожа лица начнет синеть.
В хронической форме симптомы не очень явные – лимфоузлы увеличиваются, но практически безболезненно.
Диагностика лимфаденита
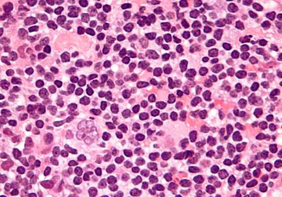
Обычно распознать острый неспецифический лимфаденит незатруднительно. Врач учитывает анамнез и клинические проявления. При хроническом течении заболевания необходима биопсия лимфоузла с последующим гистологическим анализом. Специфический лимфаденит, вызванный сифилисом, туберкулезом, чумой и т. д. требует целого комплекса клинико-лабораторных исследований. При диагностике такого вида лимфаденита привлекают венерологов, инфекционистов, фтизиатров.
Выявить наличие лимфаденита не так сложно, гораздо труднее узнать его причины. Обычно при диагностировании этого заболевания необходимы общий анализ крови, который поможет выявить и оценить наличие воспалительных процессов в организме, УЗИ – чтобы абсолютно безопасным медом оценить состояние лимфоузлов. При подозрении на опухолевую природу увеличения лимфоузлов, а также хронический или специфический лимфаденит, при отсутствии положительного эффекта от консервативного лечения проводится биопсия. Если поражены лимфоузлы, находящиеся глубоко в организме, то необходимо рентгенологическое исследование.
Лечение лимфаденита
При лечении, возможно, понадобится консультация врачей различной специализации – в зависимости от локализации воспаления лимфоузлов. Например, при проблемах в подчелюстных и шейных – нужно обратиться к отоларингологу, стоматологу.
При лечении лимфаденита существует несколько направлений. Медикаментозное лечение предполагает устранение первопричины заболевания, а также симптоматическую терапию. Из физиотерапевтических методов при лечении лимфаденита применяются УВЧ, лазер и гальванизация. При развитии осложнений гнойного характера необходимо хирургическое вмешательство. Суть его в том, что при местном или общем наркозе проводится вскрытие гнойного очага, удаление гноя и пораженных тканей.
В случае лечения подчелюстного лимфаденита
следует учитывать, что очагом инфекции является ротовая полость. Так, сначала проводится ее санация. Далее назначается полоскание или компрессы специальными растворами. Можно дополнить лечение физиопроцедурами.
Подчелюстной лимфаденит в запущенной форме лечится с применением антибиотиков. В стадии нагноения возможно хирургическое вмешательство.
Важно знать, что подчелюстной лимфаденит не лечится народными средствами! Больной, упустивший время эффективного профессионального лечения, понадеявшийся на народные методы, может запустить болезнь, которая потом примет уже хроническую форму.
Лечение шейного лимфаденита
в легкой форме может включать в себя тепло, покой, избегание сквозняков, обильное питье. В случае обнаружения туберкулезной палочки необходимы специальныеантибиотики и больничный режим. Немаловажна при лечении лимфаденита и диета. Запрещена к употреблению жирная, богатая углеводами пища, молочные и мучные продукты.
Профилактика лимфаденита
Во избежание этой болезни следует своевременно лечить даже самые невинные, на первый взгляд, болезни. Не допускайте лишних царапин, травм, и ран. Регулярно ходите к стоматологу, чтобы следить за здоровьем своих зубов и десен.
Доверяйте свое здоровье врачам профессионалам «Профилактической медицины»!
© 2001-2022 Профилактическая медицина
Лимфолейкоз и лимфаденит: диагностика и лечение
Лимфаденит и лимфолейкоз - опасные заболевания лимфатической системы различной этиологии. Важно помнить о своевременной диагностике и лечении.
3.22 (Проголосовало: 9)
- Что такое лимфаденит?
- Симптомы лимфаденита
- Классификация лимфаденита
- Чем опасен лимфаденит
- Диагностика лимфаденита
- Лечение лимфаденита
- Что такое лимфолейкоз?
- Симптомы лимфолейкоза
- Классификация лимфолейкозов
- Чем опасен лимфолейкоз
- Диагностика лимфолейкоза
- Лечение лимфолейкоза
Вы знаете, что наша лимфатическая система по своей значимости и функциональности не уступает кровеносной, являясь, образно говоря, ее «сестрой-близнецом»? И ее главная задача – обеспечение нашего организма полноценной иммунной защитой, благодаря которой мы меньше болеем и быстрее справляемся с уже полученными недугами.
Любые изменения в лимфатических узлах напрямую связаны со способностью лимфатической системы выдержать первый «удар» заболевания и выработать достойный ответ на него. Поэтому своевременно проведенное обследование, обязательно включающее в себя УЗИ лимфатических узлов, не только покажет, в каком состоянии находятся блокпосты нашей защиты, но поможет вовремя начать необходимое и правильное лечение в случае необходимости (например, при лимфадените или лимфолейкозе).
Что такое лимфаденит?
Под лимфаденитом подразумевают воспаление (в подавляющем большинстве – гнойного характера) лимфатических узлов, в которых лимфатической системой концентрируются патологические элементы для последующего уничтожения, либо вывода из организма. Возбудителями данного воспалительного процесса являются гноеродные микроорганизмы (например, стафилококки и стрептококки), либо более специфические инфекционные агенты, обычно попадающие в лимфоузлы из первичного очага инфекции (например, при нагноившихся ранах, трофических язвах, ангинах, фарингитах и т.д.) с током лимфы, либо крови. Чаще всего лимфаденит локализуется в шее, подмышечных впадинах и в паху.

Симптомы лимфаденита
К симптомам лимфаденита относятся:
- увеличение воспаленных лимфоузлов (не всегда болезненных);
- отечность (с возможным покраснением) окружающей лимфоузел кожи;
- повышение температуры тела;
- общая слабость и вялость;
- кожный зуд и высыпания.
У детей также может наблюдаться:
- общее недомогание;
- отсутствие аппетита;
- нарушение сна.
Классификация лимфаденита
Классификацию лимфаденита проводят, ориентируясь на сочетание самых различных факторов, определяющих характер, форму и течение заболевания. Так, лимфаденит может быть:
(в зависимости от вида возбудителя)
- специфическим (вызывается возбудителями туберкулеза, сифилиса, чумы, а также грибами- актиномицетами и кандидами);
- неспецифическим (вызывается стафилококками, стрептококками и другими гноеродными микробами);
(в зависимости от длительности течения)
(в зависимости от характера течения)
(в зависимости от количества воспаленных лимфоузлов)
Чем опасен лимфаденит
Прежде всего, главная опасность запущенного гнойного лимфаденита заключается в развитии аденофлегмоны – неограниченного воспалительного процесса, распространяющегося на ткани и органы, окружающие пораженный лимфоузел. Также возможно осложнение в виде тромбофлебита, воспаления средостения, брюшины, перитонита, с дальнейшим гнойно-инфекционным распространением по организму и образованием лимфатических свищей.
Диагностика лимфаденита
Ранняя диагностика лимфаденита подразумевает срочное обращение к хирургу не только при появлении указанных выше симптомов, но и при любом подозрительном состоянии лимфоузлов. При этом необходимо правильно установить причину (и источник) болезни, а также дифференцировать острый или хронический лимфаденит от заболеваний со схожей симптоматикой.

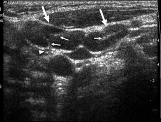
Поскольку визуальный осмотр позволяет произвести пальпацию лишь поверхностных лимфатических узлов, то для точного диагностирования, определения размеров, характера кровотока, а также вовлечение окружающих тканей, доктор предложит больному сдать лабораторные анализы, сделать УЗИ лимфатических узлов, МРТ (либо КТ) брюшной полости, либо грудной клетки. При необходимости назначают дополнительные исследования (например, биопсию лимфоузла).

Лечение лимфаденита
Лечение лимфаденита зависит от формы и стадии воспалительного процесса. Поэтому при раннем диагностировании негнойного лимфаденита эффективно консервативное лечение с использованием антибиотиков и УВЧ-аппарата. При гнойных формах заболевания назначают иссечение (с промывкой антисептиками и дренированием) и последующее наложение противовоспалительных и антимикробных мазей, а также курс антибиотиков.
Что такое лимфолейкоз?
Лимфолейкоз – это онкологическое поражение лимфатической ткани, заключающееся в значительном увеличении количества опухолевых лимфоцитов не только в лимфоузлах, но и в таких тканях и органах, как периферическая кровь и костный мозг, печень и селезенка. По общепринятой сегодня вирусно-генетической теории, возникновение лимфолейкоза происходит вследствие проникновения в человеческий организм определенных видов вирусов, вызывающих (на фоне дестабилизирующих факторов) сбой иммунной системы и неконтролируемое деление незрелых лимфоцитов.
В числе дестабилизирующих организм факторов при диагностировании лимфолейкоза принято различать:
- биологические (воздействие инфекций, вирусов, стрессов и хирургических вмешательств, а также наследственности);
- физические (воздействие ионизирующей радиации и рентгеновского облучения);
- химические (воздействие компонентов производственной химии, например, красок и лаков, а также лекарственных средств).
Данная патология более характерна для мужчин от 60 до 70 лет, лишь каждый 10-й из числа больных младше 40 лет (количество заболевших женщин, по статистике, вообще диагностируется вдвое реже).
Симптомы лимфолейкоза
Симптоматика лимфолейкоза обычно соответствует всем признакам общей интоксикации организма, причем симптомы острой формы заболевания выражены более ярко, чем хронической. Так, лимфолейкозу свойственны:
- астения (вялость, общая слабость и недомогание);
- анемия вследствие снижения красных кровяных телец в крови;
- потеря аппетита на фоне резкого снижения массы тела;
- увеличение в размерах лимфоузлов, печени и селезенки;
- необъяснимое повышение температуры тела;
- одышка при физических нагрузках (может сопровождаться кашлем) и потливость;
- боли и чувство тяжести в животе (чаще в левом подреберье), тошнота и головная боль;
- восприимчивость к инфекциям;
- возникновение и учащение аллергических реакций;
- снижение в кровяной формуле концентрации тромбоцитов (тромбоцитопения) и нейтрофильных гранулоцитов (нейтропения).
Отдельно хронический лимфолейкоз симптоматически различают по синдромам:
- гиперпластическому – из-за роста опухоли связанному с увеличением лимфоузлов, селезенки и появлением отеков;
- интоксикационному – связанному с воздействием продуктов распада опухоли на общее состояние организма;
- анемическому;
- геморрагическому – связанному с появлением кровоизлияний;
- иммунодефицитному – связанному с дефицитом нормальных лейкоцитов.
Классификация лимфолейкозов
По течению и интенсивности проявления заболевания лимфолейкозы разделяют на:
Хронический лимфолейкоз различают по следующим клиническим формам:
- доброкачественной – медленнотекущей, характеризующейся постепенным (чаще – многолетним) развитием заболевания, с прогнозом продолжительности жизни больных до 40 лет;
- прогрессирующей – характеризующейся быстрым развитием заболевания и осложнений, с прогнозом продолжительности жизни до 8 лет;
- опухолевой – характеризующейся стремительным увеличением лимфоузлов;
- спленомегалической – характеризующейся значительным увеличением селезенки;
- костномозговой – характеризующейся распространением в костном мозге;
- осложненной цитолизом – характеризующейся интоксикацией организма вследствие гибели значительного количества опухолевых клеток;
- осложненной парапротеинемией – характеризующейся аномальным выделением белков опухолевыми клетками;
- волосатоклеточного лейкоза – характеризующейся наличием выростов на опухолевых клетках;
- T-форме – характеризующейся поражением кожи.
Также хронический лимфолейкоз разделяют по фазам:
- A – начальная – с незначительными изменениями, снижением уровня гемоглобина, с увеличением до 2 групп лимфоузлов;
- B – развернутая – с основными симптомами, увеличением более 3 групп лимфоузлов;
- C – терминальная – с развитием анемии или тромбоцитопении, осложнений и второй опухоли.
Чем опасен лимфолейкоз
Главная опасность хронического лимфолейкоза – в инфекционных осложнениях, которые могут закончиться для больного летально. Также заболевание может привести к развитию:
- неконтролируемой аллергической реакции на укусы насекомых;
- вторичных злокачественных опухолей (прогноз зависит от вида опухоли);
- нейролейкемии (опухолевой инфильтрации головного мозга);
- почечной недостаточности.
Диагностика лимфолейкоза
Лимфолейкоз диагностируется на основании:
- сбора анамнеза (общего и симптоматического);
- визуального осмотра (с пальпацией лимфоузлов и простукиванием печени с селезенкой);
- лабораторных и клинических исследований (мочи, крови, клеток костного мозга, содержимого лимфоузлов и др.); и внутренних органов;
- результатов МРТ, СКТ и ЭКГ.

Лечение лимфолейкоза
Лечение обычно показано лишь при нарастающей симптоматике хронического лимфолейкоза и при подозрении на опухолевую интоксикацию. В лечебной практике используют следующие методы:
- химиотерапию (с последующей трансплантацией стволовых клеток для нормализации кроветворения);
- лучевую терапию (при невозможности использования химиотерапии);
- терапию с применением интерферона, а также антител к клеткам опухоли;
- иногда – удаление пораженных лимфоузлов или селезенки (в особых случаях, при критическом увеличении, строго индивидуально);
- переливание эритроцитарной или тромбоцитарной массы (по показаниям).
В качестве профилактических мер стоит укреплять иммунитет, выполнять технику безопасности (при контактах с вредными лакокрасочными веществами и радиоактивными источниками), а также обязательно регулярно проводить УЗИ-диагностику (УЗИ лимфатических узлов и внутренних органов).
Регулярная УЗИ-диагностика лимфатических узлов и внутренних органов - важный метод профилактики сложных заболеваний.
Лимфаденит у взрослых: симптомы, причины, лечение

Лимфаденитом называют заболевание лимфоузлов со специфическим или неспецифическим заражением. Пациент обычно ощущает недомогание, слабость, болезненность и заметное увеличение лимфатических узлов. Реакция в виде воспаления и гипертермии обусловлена защитной функцией лимфосистемы. Она обеспечивает защиту организма от распространения инфекции.
Сама болезнь в большинстве историй протекает не самостоятельно, а как осложнение первопричины. Мельчайшие бактерии попадают в лимфу через слизистые оболочки или нарушенный кожный покров.
При лимфадените поражаются следующие типы лимфоузлов:
- шейные;
- локтевые;
- подчелюстные;
- подколенные;
- паховые;
- подмышечные.
Симптомы и признаки лимфаденита
Основными признаками или симптомами лимфаденита у взрослых являются:
- нагноения;
- фурункулы;
- флегмоны;
- гиперемия кожи возле лимфоузлов;
- боль в области лимфоузлов;
- мигрени;
- отсутствие аппетита или его заметное снижение;
- общее недомогание;
- отечность.
Далее может случиться скопление гноя и абсцесс. Если своевременно не вскрыть его, то содержимое имеет риск прорваться, вызвать лихорадку, тахикардию и поражение организма токсинами.
Заболевание «лимфаденит» в уже стойкой хронической форме не сопровождается острыми неприятными ощущениями. Сохраняется небольшая припухлость, боль слабо выражена.
Причины возникновения
Чтобы разобраться с болезнью, нужно понять главные причины лимфаденита, который может возникнуть у мужчин, женщин и детей. Лимфаденит у взрослых образуется за счет воздействия и активного размножения стафилококков, стрептококков. Причиной заболевания также становятся продукты их распада и выделяемые токсины. Они проникают в лимфу контактным, лимфогенным и гематогенным путем.
В результате заражения инфекция быстро адаптируется к новым условиям, начинает свое активное размножение и распространение по организму.
Пути заражения
Первопричиной вторичного заболевания могут быть:
- трофические язвы;
- остеомиелит;
- кариес;
- отит;
- грипп;
- тонзиллит;
- ангина;
- туберкулез;
- гонорея;
- чума;
- сибирская язва;
- сифилис;
- туляремия.
Поэтому, если у вас появились перечисленные выше болезни, то постарайтесь поскорее их устранить. Это поможет избежать вторичной инфекции, бороться с которой довольно сложно.
Виды заболевания
Сам лимфаденит подразделяют на разные виды в зависимости от выбранной классификации:
- по интенсивности и длительности воспаления – острый, хронический, рецидивирующий;
- по этиологии – специфический, неспецифический;
- по характеру протекающего воспаления – гнойный, серозный;
- по месту локализации – подчелюстной, подмышечный, паховый, шейный, околоушной.
Возможные осложнения
Диагноз «лимфаденит» – это веский повод, чтобы обратиться к врачу и незамедлительно приступить к лечению. В противном случае не исключены серьезные последствия, которые могут проявить себя через:
- свищ;
- тромбофлебит;
- септикопиемию.
Если произойдет прорыв свища в пищевод или в бронхи, то есть высокая вероятность развития медиастинита, формирования бронхопульмональных или пищеводных свищей.
На фоне хронического лимфаденита часто происходят гнойные процессы в виде сепсиса или аденофлегмоны. Лимфоток нарушается, образуются рубцы, а здоровые ткани замещаются соединительными.
Когда следует обратиться к врачу
Лечит лимфаденит врач – сосудистый хирург. Записаться на первичный прием необходимо сразу же, после выявления первых симптомов лимфаденита. Болезнь активно развивается, принося боль, дискомфорт и угрозу для всего организма. Поэтому не стоит затягивать с посещением специалиста.
Получить помощь сосудистого хирурга или помощь других специалистов вы можете в АО «Медицина» (клиника академика Ройтберга). У нас работают профессионалы своего дела, которые смогут быстро устранить лимфаденит лимфоузлов. Они подберут комплексное индивидуальное лечение с учетом имеющихся заболеваний, возраста и состояния пациентов.
Как происходит диагностика лимфаденита
Диагностика лимфаденита лица, шеи, подмышечных впадин проводится путем сбора анамнеза и совокупности клинических проявлений. Труднее разобраться с тяжелыми формами заболевания, на фоне которого уже возникли осложнения.
Врачу необходимо определить первопричину, источник появления лимфаденита, подобрать соответствующее лечение.
Также для диагностики используют:
- пункцию;
- сдачу проб Манту и Пирке на туберкулезную палочку;
- рентген грудной клетки;
- пальпацию увеличенных лимфоузлов;
- КТ и МРТ пораженных сегментов.
Обычно к исследованию заболевания подключаются также инфекционисты, венерологи, фтизиатры. Специалисты могут назначить:
- общий анализ крови;
- анализ на ВИЧ;
- осмотр ЛОРа;
- УЗИ лимфоузлов и органов брюшной полости.
Лечение
Лечение лимфаденита у взрослого при его катаральной или гиперпластической форме проводится консервативными методами. Для этого подключают:
- соблюдение покоя пациента;
- терапию антибиотиками;
- УВЧ;
- электрофорез;
- гальванизацию;
- покой пораженного участка тела;
- прием витаминов.
Дополнительно применяют препараты и мази с хорошим противовоспалительным эффектом, работающие на местном уровне.
Особое внимание уделяется лечению лимфаденита антибиотиками. Перед этим необходимо провести тест на чувствительность микроорганизмов к разным видам антибиотиков. Выбирают те препараты, к которым особо чувствительны возбудители.
Если речь идет о гнойном лимфадените, то потребуется вскрыть гнойники, удалить их содержимое и провести санацию пораженных участков.
При выявлении туберкулезной палочки пациента отправляют на лечение в условиях стационара. Это поможет постоянно наблюдать больного, контролировать его лечение и защитить других людей от потенциального заражения.
Для лечения хронической формы болезни нужно найти и вылечить основную причину, по которой страдают лимфоузлы. Только это поможет полностью избавиться от недуга, и больше никогда не вспоминать о нем.
Профилактика
Чтобы предупредить острый лимфаденит у взрослых, необходимо соблюдать некоторые рекомендации. В качестве профилактических мер рекомендуется не допускать:
- микротравм;
- трещин;
- потертостей;
- ссадин.
В случае появления очагов инфекции (ангина, кариес, фурункулы), нужно оперативно с ними бороться. Это поможет избежать образования подмышечного, подчелюстного, шейного, пахового лимфаденита.
Как записаться к специалисту
Клиника находится в ЦАО Москвы недалеко от станций метро «Маяковская», «Белорусская», «Новослободская», «Тверская», «Чеховская». Адрес: 2-й Тверской-Ямской пер., 10.
Лімфаденіт

Лімфаденіт — це запалення лімфатичних вузлів у результаті інфікування патогенними мікроорганізмами. Найчастіше виникає як реакція на якийсь запальний процес в організмі. Супроводжується збільшенням лімфатичних вузлів, їхньою болючістю, підвищенням температури й загальним нездужанням.
Причини лімфаденіту
Функція лімфатичних вузлів полягає в запобіганні поширення в організмі інфекційних процесів. Будь-який інфекційний агент, що потрапив у них, руйнується лімфоцитами. Коли надходить занадто багато чужорідних мікроорганізмів, лімфоцити не можуть упоратися з такою кількістю бактерій, останні починають активно розмножуватися. Це створює умови для проникнення у вогнище запалення інших видів лейкоцитів, що й викликає збільшення лімфовузлів. Запалитися може один або кілька з них.
Запалення буває неспецифічним і специфічним. У першому випадку причинами захворювання стають бактерії та їхні токсини, віруси, гриби. Лімфаденіт лімфовузлів викликають стафілококи і стрептококи, вони являють собою гноєтворну флору. Первинним вогнищем інфекції за неспецифічної форми захворювання стають фурункули, рани, що нагноїлися, трофічні виразки, карієс, бешихове запалення, тромбофлебіт. У дітей запалення лімфовузлів часто є ускладненням запальних процесів лор-органів (ангіна, тонзиліт, отит, грип), дитячих інфекцій (скарлатина, паротит, дифтерія) і шкірних захворювань (діатез, піодермія).
Специфічний вид захворювання запускається певними видами мікроорганізмів:
- туберкульозною мікобактерією;
- чумною паличкою;
- бруцелами (збудниками бруцельозу);
- блідою трепонемою (збудником сифілісу);
- туляремійними бактеріями (що викликають туляремію);
- актиноміцетом (збудником актиномікозу).
У разі зараження цими видами мікроорганізмів розвивається особлива симптоматика, характерна для конкретного захворювання. Лімфовузли зазнають специфічних змін, оскільки з лімфою в них потрапляють збудники інфекції.
Симптоми лімфаденіту
За характером перебігу запального процесу виділяють такі форми захворювання:
- Гострий лімфаденіт. Тривалість перебігу — до двох тижнів. Характерні симптоми: болючість і збільшення розмірів регіонарних лімфовузлів, лихоманка, головний біль, загальна слабість, втрата апетиту, набряк і почервоніння шкіри в ділянці ураженого вузла.
- Хронічний лімфаденіт. Тривалість захворювання — від 1 місяця і більше. Розвивається в разі повільної інфекції чи після недолікованого гострого лімфаденіту. У разі такого перебігу больовий синдром стертий, але самі лімфовузли залишаються збільшеними й щільними. Спостерігається затримка лімфатичної рідини й набряки.
Лімфаденіт класифікується за локалізацією запалених лімфовузлів на підщелепний, шийний, пахвовий і паховий. Для всіх них характерна схожа симптоматика: збільшення розмірів лімфовузлів, біль, почервоніння шкірних покривів, інтоксикаційний синдром. Відмінності обумовлені розташуванням вогнища запалення.
Так, у разі шийного лімфаденіту спостерігається обмеження руху головою, під час повороту чи нахилу пацієнт відчуває гострий сильний біль. Якщо шишка велика, то вона може здавлювати органі шиї та викликати утруднення подиху, зміну голосу, порушення ковтання їжі.
Підщелепний лімфаденіт супроводжується болем у щелепі під час розмови чи їжі, але у стані спокою турбує рідко. У разі пахвового типу захворювання відбувається порушення руху рукою, наростає набряк верхньої кінцівки на ураженому боці й порушення її чутливості.
Паховий лімфаденіт вирізняється набряком ніг на ураженому боці. Такий прояв обумовлений порушенням відтоку лімфи та здавлюванням великих судин у паховій ділянці. Якщо відбулося нагноєння, то температура тіла може підвищуватися до 40 градусів, пацієнт відчуває слабість і біль унизу живота.
Діагностика лімфаденіту
Розпізнати гострий лімфаденіт нескладно. Для встановлення діагнозу вивчають анамнез і сукупність симптомів. Труднощі можуть виникати, коли інфікування лімфатичних вузлів ускладнене іншими супутніми захворюваннями. У всіх випадках спочатку необхідно визначити локалізацію первинного гнійного вогнища. У разі хронічної хвороби пацієнтові призначають проведення пункційної біопсії лімфатичного вузла й гістологію.
Для діагностики лімфаденіту необхідний загальний аналіз крові. За його результатами судять не тільки про наявність запального процесу, а й про його масштаби. Лабораторними ознаками захворювання лімфаденіт будуть підвищення загальної кількості лейкоцитів і збільшення швидкості осідання еритроцитів. У разі активного гнійного процесу спостерігається зниження рівня моноцитів і еозинофілів.
Діагностичне обстеження передбачає використання інструментальних методів — УЗД. За його допомогою можна визначити форму й розміри лімфатичних вузлів, їхній зв’язок із навколишніми тканинами, наявність абсцесу. У разі потреби застосовують комп’ютерну чи магнітно-резонансну томографію, рентгеноконтрастну лімфографію.
Неспецифічний лімфаденіт слід диференціювати з іншими захворюваннями, такими як лімфогранулематоз, лейкоз, ювенальний ревматоїдний артрит, хронічна гранулематозна хвороба, системний червоний вовчак, а також із метастазами від злоякісних пухлин.
Лікування лімфаденіту
Лікування запалених лімфовузлів здійснюється за двома напрямами:
- визначення джерела запального процесу і його усунення;
- припинення хронічного й гострого запального процесу в лімфатичному вузлі.
У першу чергу необхідно вжити заходів для усунення основного захворювання, яке призвело до інфікування лімфовузлів.
У разі розвитку гнійного запалення пацієнта госпіталізують до стаціонару, де абсцес розрізають хірургічним шляхом.
Медикаментозне лікування: препарати, які найчастіше призначають
Лікування комплексне, включає застосування різних груп лікарських засобів. Прийнято використовувати такі препарати при лімфаденіті:
- Антибіотики. Для усунення джерела інфекції (Амоксицилін, Цефазолін, Цефуроксим, Ванкоміцин, Лінкоміцин).
- Анальгетики. Для усунення больового синдрому (Трамадол, Тримеперидін).
- Нестероїдні протизапальні препарати. Мають жарознижувальну та протизапальну дію (Кетопрофен, Ібупрофен, Парацетамол).
- Антигістаміни. Сприяють припиненню запального процесу («Цетиризин»).
- Антисептики для місцевого застосування (мазь Вишневського).
Крім медикаментозного лікування, застосовують методи фізіотерапії — УВЧ. Ультрависокочастотна терапія прискорює усунення запального процесу, підсилює місцевий імунітет тканин. Такий метод лікування протипоказаний, коли у хворого спостерігається стійке підвищення температури тіла, є пухлинний процес, тахікардія, біль у м’язах.
Профілактика
Для запобігання запаленню лімфатичних вузлів необхідно уникати інфікування ран і саден, утворення потертостей шкіри й мікротравм. Важливо вчасно лікувати вогнища інфекції та розкривати гнійні утворення. Особливо це стосується каріозних зубів, фурункулів, ангіни. У більшості випадків прогноз для здоров’я на початкових формах захворювання і за умови вчасно початого лікування сприятливий.
Ускладнення лімфаденіту
За відсутності лікування можливий розвиток абсцесу, лімфатичних свищів і сепсису, поява метастатичних вогнищ. У разі тривалого хронічного запалення відбувається зморщування лімфовузлів, що негативно впливає на їхні функції.
Список використаної літератури
- Клінічні рекомендації щодо діагностики лімфаденопатій. Москва, 2015 р.
- Лімфаденіт щелепно-лицьової області. Клінічні протоколи.
- Лімфаденіти, лімфангоїти, лімфоаденопатії щелепно-лицевої області: навч.-метод. посібник/Н.Н. Черченко. - 2007.
- Шаргородський А.Г. - Запальні захворювання тканин щелепно-лицьової області та шиї. – ГОУ ВУНМЦ МОЗ РФ, 2001. – 273 с.
Поширені запитання про лімфаденіт
Що таке підщелепний лімфаденіт?
Це запалення лімфатичних вузлів під нижньою щелепою. Така форма захворювання розвивається за наявності інфекційного вогнища в порожнині рота. Це може бути карієс, періодонтит, хвороби ясен, тонзиліт. Супроводжується такими симптомами, як біль у місці розташування вузла й почервоніння шкіри над ним, підвищення температури тіла, больові відчуття у процесі приймання їжі та під час розмови, загальне нездужання, головний біль.
Скільки часу лікується лімфаденіт?
Тривалість лікування захворювання залежить від низки факторів: форми перебігу захворювання; наявності гнійного процесу; збудника запалення лимфоузла. Для повного усунення запального процесу й ліквідації хвороботворних мікробів у разі неускладненого лімфаденіту курс лікування становить близько 2 тижнів. У разі хронічної форми захворювання терапія тривала.
Чи можна зігрівати лімфовузол?
Допускається тепловий вплив на запалений лімфовузол, коли запальний процес ще не ускладнився утворенням гною. Вважається, що зігрівальні компреси камфорною олією чи настоєм лікарських трав сприяють зняттю болю і запалення. Проте, перш ніж приступати до зігрівальних процедур, необхідно проконсультуватися з лікарем, оскільки такі дії можуть погіршити перебіг інфекції. Якщо шкіра над запаленим лімфовузлом почервоніла, то зігрівати його протипоказано, тому що це ознака нагноєння.
Де міститься лімфовузол у паху в жінок?
Пахові лімфовузли вирізняються більшим розміром і поверхневим розташуванням. У жінок вони локалізуються у верхніх відділах тазостегнового суглоба біля пахової складки, ближче до нижньої частини живота. Вони легко прощупуються за відсутності зайвої ваги. При цьому поверхневі вузли містяться в підшкірній клітковині, а глибокі — уздовж великої підшкірної вени стегна. Кількість пахових лімфовузлів — по 3–20 праворуч і ліворуч.
Увага! Карта симптомов предназначена исключительно для образовательных целей. Не занимайтесь самолечением; по всем вопросам, касающимся определения заболевания и способов его лечения, обращайтесь к врачу. Наш сайт не несет ответственности за последствия, вызванные использованием размещенной на нем информации.
УВАГА! Увага! Ціни актуальні лише при оформленні замовлення в електронній медичній інформаційній системі Аптека 9-1-1. Ціни на товари при купівлі безпосередньо в аптечних закладах-партнерах можуть відрізнятися від тих, що зазначені на сайті!
Лимфаденит (воспаление лимфоузлов)
Увеличение лимфоузлов, их болезненность — явные признаки лимфаденита. Лимфаденит — это воспалительный процесс в лимфатических узлах, вызванный инфекционным заражением на фоне осложнений первичного воспаления. Это состояние сопровождается головной болью, недомоганием, лихорадкой. Чтобы избавиться от этого заболевания, следует обратиться за медицинской помощью к специалистам. Клиника МЕДИКОМ предлагает широкий спектр услуг по диагностике, проведению исследований и консультированию пациентов с лимфаденитом. Вовремя назначенное лечение поможет избежать более тяжелых последствий и вернуться к привычному образу жизни в кратчайшие сроки.
Классификация лимфаденита
Исходя из локализации, различают такие виды лимфаденита:
- паховый;
- подчелюстной;
- подмышечный;
- шейный;
- околоушный.
В зависимости от причины возникновения патология бывает:
- специфической — вызвана особым видом возбудителей;
- неспецифической — появляется при попадании в лимфатические узлы микробов из ран, повреждений и т. д.
По интенсивности воспаления:
- острый лимфаденит — длится около двух недель, возникает при гонорее, ангине и др.;
- хронический — длится больше месяца.
Острая форма протекает в трех стадиях:
- катаральной — лимфоузлы пропитываются иммунными клетками, усиливается кровообращение;
- гиперпластической — лимфоидная ткань разрастается;
- гнойной — при длительном воспалении лимфоузлов происходит некроз тканей.
Этиология и патогенез
Причины лимфаденита делят на инфекционные и неинфекционные.
У взрослых заболевание вызывают стрептококки, стафилококки, выделяемые ими токсины, которые проникают в лимфоузел.
У детей воспаление чаще связано с болезнями лор-органов (ангина, отит), детскими инфекциями (паротит, скарлатина) и кожными патологиями.
Специфическую форму вызывают возбудители сифилиса, чумы, туберкулеза, сибирской язвы и т. д.
Обычно лимфаденит возникает при таких заболеваниях:
- Кариес
- ОРВИ
- Туберкулез
- Мононуклеоз
- Мочеполовые инфекции
- Болезнь кошачьих царапин
- ВИЧ
- Лейкоз
- Онкология и пр.
Неинфекционная форма заболевания возникает вследствие воспалительного процесса, реакции на опухоль или инородные тела.
Воспаление лимфоузлов обусловлено попаданием патогенной микрофлоры в организм, которая распространяется лимфой и кровью. Поражается один или несколько лимфатических узлов. Процесс сопровождается их увеличением, повышением температуры, слабостью. Кожа в области воспаления меняет цвет, консистенция узла эластичная.
Симптомы лимфаденита
Основными симптомами лимфаденита являются:
- головная боль;
- лихорадка;
- ночная потливость;
- снижение аппетита;
- отек, покраснение, боль в области воспалённых лимфоузлов;
- вялость.
При развитии серьезных нарушений возникают дополнительные признаки:
- учащенное сердцебиение и дыхание;
- температура выше 39 °С;
- одышка;
- сильный отек, покраснение и боль в области воспалённых лимфоузлов.
Отметив подобные симптомы, необходимо срочно обратиться к врачу.
Особенности течения лимфаденита у беременных
Развитие специфического воспаления лимфоузлов чаще возникает в первом и втором триместре беременности. В группе риска будущие мамы, которые прошли гормональное лечение и имеют инфекции мочеполовой системы.
Общие симптомы воспаления:
- увеличение лимфоузлов;
- слабость;
- признаки интоксикации;
- мелкая сыпь;
- боль при касании к узлу.
Паховый лимфаденит часто вызван воспалением придатков, болезнями, передающимися половым путем. Подмышечная локализация возникает при мастите, мастопатии, от кошачьих царапин. Подчелюстное воспаление провоцируют гнойные процессы во рту и инфекции.
Особенности лимфаденита у детей
У ребенка воспаляются околоушные, подчелюстные и шейные лимфоузлы. Лимфаденит возникает как следствие:
- гайморита;
- отита;
- периодонтита;
- пульпита;
- кори;
- скарлатины;
- дифтерии;
- паротита и др.
Воспаление лимфоузлов протекает легко, выздоровление при лечении первопричины, происходит быстро.
Симптоматика практически не отличается от проявлений заболевания у взрослых.
Осложнения и последствия лимфаденита
При отсутствии терапии заболевание может вызвать такие осложнения как:
- остеомиелит;
- кожный абсцесс;
- тромбофлебит;
- сепсис;
- обширное распространение инфекции;
- энцефалит;
- слоновость конечностей.
Некоторые перечисленные патологии приводят к инвалидности или даже летальному исходу.
Диагностика лимфаденита
Врач диагностирует заболевание, опираясь на жалобы и симптомы пациента. Также назначается анализ крови для определения типа инфекции.
Диагностика может включать такие исследования как:
После тщательной диагностики лимфаденита и установления первопричины врач назначает терапию.
Лечение лимфаденита
Острая форма без нагноения лечится консервативно. Больной должен соблюдать постельный режим, правильно питаться, принимать витамины.
Медикаментозное лечение лимфаденита:
- прием антибиотиков, противовоспалительных и болеутоляющих препаратов;
- местное применение противовоспалительных мазей.
- гальванизацию;
- УВЧ;
- электрофорез;
- лазеротерапию.
При обнаружении злокачественного или доброкачественного неопластического процесса необходима консультация онколога.
Хроническая форма лечится посредством устранения патологии, которая вызывает воспаление.
Операции при лимфадените
При гнойной форме показано вскрытие лимфаденита, удаление гноя, санация, дренирование пораженной области. После операции назначаются антибиотики, обезболивающие, противовоспалительные, антигистаминные препараты. В некоторых ситуациях - проводится удаление пораженных лимфоузлов.
Контроль излеченности
Врач постоянно контролирует эффективность лечения. Учитывается степень и скорость восстановления. Пациент считается здоровым, если:
- отсутствует интоксикация и воспаление;
- уменьшается размер лимфатических узлов;
- показатели крови и мочи в норме;
- сохраняется нормальная температура тела больше 3 дней;
- устранена первопричина.
В среднем лечение занимает 1–2 недели.
Профилактика лимфаденита
Воспалительный процесс возникает при запущенных заболеваниях или атаке вредоносных микроорганизмов. Поэтому, профилактические меры включают своевременное лечение инфекционных патологий, исключение травм, ссадин и повреждений. Для повышения иммунитета рекомендуется сбалансировать питание, заниматься спортом, отказаться от вредных привычек. Также, необходимо 1 раз в год проходить полное медицинское обследование.
Советы и рекомендации
Чтобы предотвратить лимфаденит, придерживайтесь следующих правил:
- не переохлаждайтесь;
- зимой носите головной убор и шарф;
- своевременно лечите гайморит, кариес и другие заболевания инфекционно-воспалительного характера;
- принимайте в пищу мед и продукты, богатые витамином С.
Статья носит информационно-ознакомительный характер. Пожалуйста, помните: самолечение может вредить вашему здоровью.

Зав. терапевтическим отделением на Печерске, врач-кардиолог высшей категории

Заведующая консультативно-диагностическим и терапевтическим отделением стационара, врач-терапевт высшей категории
Какой врач лечит лимфаденит?
При первых признаках воспаления необходимо посетить семейного врача или терапевта. Дополнительно может понадобиться консультация хирурга, ЛОРа, инфекциониста, венеролога и физиотерапевта. Пройти комплексное лечение лимфаденита в Киеве можно в подразделениях клиники МЕДИКОМ на Оболони и Печерске. Высококвалифицированные врачи нашей клиники помогут быстро и эффективно восстановить ваше здоровье.
Читайте также:
