Спленомегалия. Увеличенная селезенка.
Добавил пользователь Евгений Кузнецов Обновлено: 07.01.2026
Очень часто задают вопрос, с чем связано увеличение селезенки, чем опасно такое нарушение. В организме человека нет ненужных органов. У каждого из них — свои важные функции. Селезенка нужна для того, чтобы правильно происходили обменные процессы, она регулирует кроветворение, очищает кровь от бактерий, отвечает за уровень ее свертываемости. Работает этот орган в тесной связи с другими, поэтому увеличивается селезенка, когда они функционируют неправильно. Особенно явно страдает селезенка от нарушений в работе печени, ее увеличение --- один из симптомов такого серьезного заболевания, как цирроз. Самые частые причины цирроза – вирусные гепатиты В и С, жировой гепатоз печени и алкогольная болезнь печени. При этих заболеваниях происходит замещение гепатоцитов жировыми клетками или соединительной тканью. Постепенно печень перестает выполнять свои функции, что приводит к очень тяжелым последствиям. Поэтому при обнаружении отклонений в размерах селезенки необходима не только консультация у врача-гепатолога, но и комплексное обследование, обязательно с применением элатостометрии печени.
Нормальный размер селезенки у взрослых:
- длина — от 8 до 15 сантиметров;
- ширина — от 6 до 9 сантиметров;
- толщина — от 4 до 6 сантиметров;
- вес — 140–200 граммов.
Симптомы
Увеличившись, этот орган может достигать даже 500 граммов, сдавливая соседние органы и являясь причиной проявления болей. Так как селезенка расположена рядом с желудком, то одним из симптомов ее аномально большого размера служит чувство тяжести в желудке после еды, появляющееся даже в том случае, если съедено очень мало. Иногда фиксируются боли в животе или сзади с левой стороны, это, скорее всего, означает, что какие-то части селезенки разрушаются из-за недостаточного поступления в них крови.
Последствия
Если говорить о том, чем опасно увеличение селезенки для организма человека в целом, в первую очередь важно отметить, что нарушаются процессы кроветворения в организме. Увеличенный орган получает возможность «захватывать» большее, чем обычно, количество кровяных клеток. Казалось бы, это хорошо, селезенка лучше очистит кровь от больных клеток. Но, к сожалению, это не совсем так. Патологические клетки крови, когда их извлечено слишком много, засоряют саму селезенку, от чего она увеличивается еще больше, а вот кровь фильтрует все хуже и хуже. В итоге орган начинает уничтожать не только патологические, но и здоровые клетки крови, разрушать их. Опасность угрожает эритроцитам, тромбоцитам и лейкоцитам.
В случае резкого уменьшения количества эритроцитов человек заболевает анемией. Уничтожение лейкоцитов разрушает иммунную систему организма, человек начинает очень часто болеть инфекционными заболеваниями. Недостаток тромбоцитов ведет к ухудшению свертываемости крови, что тоже очень опасно.
Лечение селезенки сводится к устранению причины ее увеличения, то есть необходимо вылечить болезнь, которая привела к сбоям. В крайних случаях орган удаляют, но это делать крайне нежелательно, так как значительно ухудшается иммунитет, потому что кровь остается без своего фильтра, а, следовательно, повышается опасность инфекционных заболеваний.
Увеличение селезенки или спленомегалия
Селезенка — это небольшой орган, который находится в брюшной полости, прямо грудной клеткой слева. Она исполняет очень важную роль в организме человека. Это орган иммунного ответа организма на попадание инфекции.
Селезенка — это место, где образовываются иммуноглобулины, которые борются с болезнями. Также она очищает кровь от эритроцитов и тромбоцитов, которые уже устарели или имеют аномалии. Дополнительно, она отвечает за кроветворение. И, конечно же, это один из главных органов в теле человека, который отвечает за депонирование крови.

Спленомегалия — это увеличение размера больше 300 грамм и размера по длине больше 20 сантиметров. В свою очередь, увеличение органа больше чем 20 см и 1000 грамм, говорит об массивную спленомегалии
Причины увеличение размера
Самыми частыми причинами спленомегалии являются:
— Онкогематологические заболевания. Раковые клетки крови вызывают инфильтрацию селезенки и как результат ее увеличение;
— Острые и хронические инфекционные болезни ( сифилис, мононуклеоз, туберкулез, цитомегаловирус, малярия) в организме приводят к увеличению активности иммунной функции селезенки и при длительном процессе, ее размер растет.
— Аутоиммунные процессы в организме(ревматоидный артрит, амилоидоз, волчанка)
— Заболевания печени повышают давления в сосудах, что приводит к увеличению селезенки;
— Застой крови в селезенке(венозный тромбоз, сердечная недостаточность, портальная гипертензия)
— Секвестрация селезенки. Это состояния, при котором в селезенке происходит повышенное разрушение тромбоцитов.
— Локальный процесс. (Кисты, онкологические опухоли, абсцессы);
Точную причину увеличение селезенки установить сложно. Этот процесс требует полноценного врачебного обследования.
В большинстве случаев пациент не чувствует конкретных симптомов. Чаще всего это сопровождается большим симптомокомплексом определенного заболевания, что вызвало увеличение селезенки. О нарушении работы селезенки может говорить:
* Постоянная усталость, недомогание, сонливость, бледность кожи, что вызвано анемией;
* Частые инфекционный заболевания, как результат нарушения иммунной функции селезенки;
* Боль в левом подреберье;
* Чувство переедания, даже после приема незначительного количества еды.
И последний, самый явный симптом, это заметное увеличение селезенки визуально. Он случается довольно редко, и означает о критическом увеличение органа.
Довольно часто бессимптомную спленомегалию диагностируют на профилактических осмотрах. В таком случае существует большая вероятность обнаружить первичную болезнь, которая спровоцировала рост селезенки на ранних стадиях и провести эффективное лечение.
Диагностика спленомегалии
Когда вы приходите к доктору с определенными симптомами, в первую очередь он начинает собирать ваши жалобы, анамнез заболевание и др. Далее он начинает объективный осмотр, во время которого проводит пальпацию и перкуссию живота в проекции селезенки. Врач оценивает пальпаторно размер селезенки, ее чувствительность и напряжение мышц живот над селезенкой.
Пальпация и перкуссия живота достаточно чувствительные методы. Вероятность успешного определения спленомегалии составляет около 60-80% (что подтверждается данными УЗИ).
После этого, он направляет пациента на сдачу анализов:
— Общий анализ крови;
— Биохимический анализ крови;
Также врач назначает лабораторные обследования конкретного заболевания, что могло вызвать спленомегалию:
— Анализ крови на иммуноглобулины к конкретной инфекции;
Дополнительно пациент проходит инструментальное методы диагностики;
* УЗИ брюшной полости;
Они позволяют визуализировать селезенку, вычислить ее точный размер и толщину стенок. Диагностировать новообразование или кисту как причину большого размера органа.

Чем опасна спленомегалия?
Спленомегалия достаточно опасное состояние. Так как из-за увеличения размера органа вызывает анатомические дефекты и физиологические сбои в функционировании селезенки.
Это приводит к определенным осложнениям:
* Инфекционные заболевания. Нарушается синтез лимфоцитов, что снижает эффективность иммунной системы;
* Кровоточивость и анемия. Из-за большого размера селезенка начинает активно захватывать и утилизировать тромбоциты и эритроциты, что, в конечном результате, приводит к кровоточивости;
И один из самых опасных осложнений — это разрыв селезенки. Когда селезенка увеличивается, стенка ее капсулы истончается и даже незначительный удар в ее область, может привести к разрыву. Это очень опасное состояние, так как кровотечения из селезенки достаточно тяжело остановить. Поэтому ее приходится полностью удалять.
Спленомегалия у детей
Так как размеры селезенки широко варьируются в зависимости от возраста и генетики. Поэтому современная концепция спленомегалии неприменима для детей.
Одной из главных причин увеличение детской селезенки остаются инфекционные и онкогематологические заболевания.
Лечение спленомегалии
Основная цель в лечении спленомегалии — это убрать причину развития такого состояния и провести профилактику осложнений.
Так, при инфекционных заболеваниях применяют антибиотики или противовирусные препараты.
В случае развития онкогематологического процесса назначается химио- и радиотерапия, которая поможет побороть опухоль.
Если размер селезенки достиг критического уровня, это может привести к серьезным нарушением ее функции и работы целого организма, что будет угрожать жизни. Таким пациента проводится спленэктомия — удаления селезенки. Иногда это единственный метод спасти пациента.
Заполните всего три поля
и наш специалист Вам перезвонит!
Ваши данные успешно отправлены! Ожидайте нашего звонка.
РАДИОХИРУРГИЯ КИБЕРНОЖ
Инновационный метод лечения,
радиохирургия на системе
"КиберНож" , применяется в
Клинике Спиженко для
дистанционного лечения
опухолей
ЛУЧЕВАЯ ТЕРАПИЯ IMRT
Лучевая терапия опухолей
в Клинике Спиженко
проводится на линейном
ускорителе последнего
поколения Elekta с
функцией IMRT
(максимальной защиты
здоровых тканей)
МАЛОТРАВМАТИЧНАЯ ХИРУРГИЯ - ЛАПАРОСКОПИЯ
Современные методы хирургического лечения онкологических пациентов применяются в Центре
хирургии Клиники Спиженко на постоянной основе, в том числе, малотравматичая лапароскопия
Возможные причины спленомегалии у детей и взрослых. Симптомы, лечение
Спленомегалия. Причины, признаки, лечение увеличенной селезенки
Спленомегалия – что это такое, как лечится, опасно ли это?. Эти вопросы задают пациенты, которым врачи озвучили такой диагноз. Спленомегалией называют любое увеличение селезенки, которое может возникнуть вследствие самых разнообразных заболеваний со стороны многих органов и тканей. Реже такое состояние провоцируют изменения в самом органе.
Причины возникновения спленомегалии
Почему может быть увеличена селезенка у взрослого? К возникновению спленомегалии способны привести такие состояния и заболевания:
- бактериальный процесс. Чаще всего это тиф, паратиф, септическое поражение организма, туберкулез и сифилис;
- вирусное поражение. Спленомегалия может возникать при таких заболеваниях, как краснуха, корь, вирусный гепатит, и других;
- протозойная инфекция – при внедрении в организм возбудителей малярии, лейшманиоза и токсоплазмоза;
- микозы – поражение патогенными грибами;
- гельминтозы – наличие в организме червей;
- различные вариации анемий (малокровия);
- системные хронические болезни органов кроветворения – в первую очередь это лейкозы;
- системные аутоиммунные патологии;
- эндокринологические нарушения – врожденные и приобретенные.
Возможные причины спленомегалии у детей и провокаторы увеличения селезенки у взрослых могут несколько отличаться. Так, спленомегалия у маленьких пациентов:
- может быть вариантом нормы (при незначительном увеличении);
- возникает из-за нарушений во время внутриутробного развития этого органа;
- возникает при увеличенной печени.
Прежде чем задаваться вопросом, как лечить увеличенную селезенку, необходимо верифицировать точные причины спленомегалии – зачастую после их ликвидации в случае отсутствия осложнений селезенка возвращается к своим нормальным размерам.
Признаки спленомегалии
Для диагностики спленомегалии выясняют жалобы пациента и проводят объективное исследование (с помощью физикальных, инструментальных и лабораторных методов диагностики)
Симптомы увеличения селезенки у взрослых зависят от того, какая причина спровоцировала увеличение селезенки. При инфекционных и воспалительных формах поражения в основном проявляются следующие признаки:
- боли в животе слева под реберной дугой;
- тошнота, сопровождающаяся рвотой;
- гипертермия (повышение температуры тела).
Если селезенка увеличена незначительно, ее можно прощупать только при глубокой пальпации живота. При больших размерах селезенка может выпирать из-под левой реберной дуги, и ее можно увидеть невооруженным глазом. Пальпаторно наблюдается болезненность в левом подреберье разной степени выраженности.
Невоспалительные поражения характеризуются той же, но менее выраженной симптоматикой. Так как она в целом неспецифична (может проявляться и при других болезнях), для уточнения диагноза прибегают к дополнительным методам обследования.
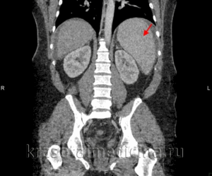
Один из наиболее информативных методов диагностики спленомегалии – УЗИ. Признаками спленомегалии на УЗИ является:
- увеличение размеров селезенки;
- при значительной спленомегалии – смещение соседних органов;
- при заболеваниях самой селезенки, спровоцировавших ее увеличение, наблюдаются ее неоднородная структура, изменения сосудов и так далее.
Также информативными являются:
- стернальная пункция (прокол грудины с извлечением порции костного мозга и последующим его анализом под микроскопом);
- компьютерная томография (Т);
- мультисрезовая компьютерная томография (МСКТ);
- магниторезонансная томография (МРТ).
Нередко обычная обзорная рентгеноскопия и рентгенография органов брюшной полости помогут выявить увеличение селезенки.
Так как причинами увеличенной селезенки у ребенка до года могут быть нарушения во время утробного развития, прибегают к генетическому анализу.
Из лабораторных методов информативными являются:
- общий анализ крови;
- биохимический анализ крови (для дифференциальной диагностики различных заболеваний, способных стать причиной спленомегалии);
- анализ кала для выявления гельминтов;
- всевозможные бактериологические посевы с последующим изучением колоний и определением возбудителя;
- исследование крови на наличие специфических маркеров – биохимических и аутоиммунных.
Как лечить увеличенную селезенку
Терапия при увеличенной селезенке зависит от того, какое заболевание спровоцировало спленомегалию. Часто необходим консилиум разных специалистов – гастроэнтеролога, инфекциониста, иммунолога.
Что делать при умеренной спленомегалии? Не заниматься самолечением и обратиться в авторитетную клинику за помощью к высококвалифицированному специалисту, так как даже незначительное увеличение селезенки может сигнализировать о серьезных заболеваниях. В основном при спленомегалии могут быть использованы:
- антибактериальные, антивирусные, антипротозойные средства (в зависимости от возбудителя);
- гормональные медицинские препараты;
- витаминотерапия.
Если селезенка увеличилась до огромных размеров или ее поразила опухоль – прибегают к оперативному удалению органа.
Если ребенку месяц, увеличена селезенка, но других признаков болезней нет, все равно необходима незамедлительная консультация врача. Своевременно назначенное лечение избавит малыша и его родителей от многих проблем.
Спленомегалия
Спленомегалия почти всегда является следствием других заболеваний. Причины спленомегалии многочисленны, как и возможные способы их классификации (см. таблицу Основные причины спленомегалии [Common Causes of Splenomegaly] Распространенные причины спленомегалии ). В странах умеренного климата наиболее распространенными причинами являются
заболевания соединительной ткани
В тропических странах наиболее распространенными причинами являются
Инфекционные заболевания (например, малярия Малярия Малярия – инфекция, вызываемая различными видами Plasmodium. Симптомы и признаки включают лихорадку (которая может быть периодической), зябкость, озноб, потливость, диарею, боль в животе. Прочитайте дополнительные сведения , висцеральный лейшманиоз Лейшманиоз Лейшманиоз вызывается разновидностями Leishmania. Симптоматика включает кожный, слизистый и висцеральный синдром. Кожный лейшманиоз вызывает безболезненные хронические поражения кожи. Прочитайте дополнительные сведенияПри выраженной спленомегалии (селезенка пальпируется на 8 см ниже края реберной дуги) обычно является
Обследование при спленомегалии
Анамнез
Большинство существующих симптомов являются результатом основного заболевания. Тем не менее спленомегалия сама по себе может вызывать раннее чувство насыщения пищей, что обусловлено давлением увеличенной селезенки на желудок. Также возможно чувство переполнения и боли в левом верхнем квадранте живота. Внезапные сильные боли могут быть признаком инфаркта селезенки. Рецидивирующие инфекции, симптомы анемии или кровотечения свидетельствуют о развитии цитопении и возможного гиперспленизма. У пациентов с тупой травмой живота в течение последних нескольких недель увеличение селезенки может быть результатом субкапсулярной гематомы селезенки, и внезапная сильная боль и/или шок могут указывать на разрыв селезенки.
Объективное обследование
Чувствительность пальпации и перкуссии при выявлении увеличения размеров селезенки (в соответствии с данными УЗИ) составляет 60–70% и 60–80% соответственно. У худых людей селезенка может пальпироваться в 3% случаев. Кроме того, образование, пальпируемое в левом верхнем квадранте живота, может быть обусловлено другой причиной, не связанной с увеличением селезенки, такой как гипернефрома.
Могут наблюдаться дополнительные симптомы: шум трения селезенки о париетальную брюшину и боль в плече, которые свидетельствует о наличии инфаркта селезенки, также как и эпигастральные или селезеночные шумы, которые могут возникнуть вследствие усиленного кровотока. При аденопатии можно предполагать наличие лимфопролиферативных, инфекционных или аутоиммунных заболеваний.
Обследование
В случае, если подтверждение спленомегалии необходимо, поскольку получены неоднозначные результаты исследования, методом выбора является ультразвуковое исследование в связи с его точностью и низкой стоимостью. КТ и МРТ позволяют более детально визуализировать селезенку. МРТ особенно эффективно при диагностике тромбоза портальной или селезеночной вены. Ядерное сканирование является точным методом и может идентифицировать дополнительную ткань селезенки, которую часто находят после спленэктомии из-за "рабочей гипертрофии" пропущенной ткани или фрагментов селезенки, высвобождающихся при ее разрыве во время операции. Иногда в брюшной полости могут быть обнаружены множественные остатки селезенки, часто эктопированные в соседнюю поджелудочную железу; такое состояние называется спленозом.
Специфические причины, предполагаемые на этапе клинического обследования, должны быть подтверждены соответствующими диагностическими методами. Если предполагаемая причина отсутствует, в первую очередь необходимо исключить скрыто протекающие инфекции, поскольку раннее начало лечения влияет на исход инфекционного заболевания в большей степени, чем на исход других заболеваний, ассоциированных со спленомегалией. В зонах широкого географического распространения инфекции или при наличии у пациента признаков заболевания обследование должно проводиться особенно тщательно. Необходимо выполнить общий анализ крови, посев крови на стерильность, исследование костного мозга. Если клинические признаки заболевания (кроме симптомов, напрямую связанных со спленомегалией) и факторы риска инфекции отсутствуют, рекомендации в отношении спектра проводимых исследований являются спорными; вероятно, они должны включать общий анализ крови, мазок периферической крови, печеночные пробы, КТ брюшной полости. Проточная цитометрия и иммунохимические анализы, такие как измерение легких цепей в периферической крови и/или срезах костного мозга, показаны при подозрении на лимфому. Лимфома маргинальной зоны селезенки, которая встречается редко, часто ассоциирована с гепатитом С Хронический гепатит С Гепатит С является распространенной причиной хронического гепатита. Часто протекает бессимптомно до появления хронического заболевания печени. Диагноз подтверждается при обнаружении положительного. Прочитайте дополнительные сведения (ее важно обнаружить, поскольку она может быть успешно вылечена путем эрадикации вируса).
Специфические изменения в анализах периферической крови могут указывать на основное заболевание (например, мелкие лимфоциты при хроническом лимфолейкозе Хронический лимфолейкоз (ХЛЛ) Хронический лимфоцитарный лейкоз (ХЛЛ) характеризуется прогрессирующим накоплением фенотипически зрелых злокачественных В-лимфоцитов. Первичные места заболевания включают периферическую кровь. Прочитайте дополнительные сведения , крупные гранулярные лимфоциты при Т-клеточной гранулярной лимфоцитарной гиперплазии (ТГЛ) или Т-клеточном лейкозе, атипичные лимфоциты при волосатоклеточном лейкозе и лейкоцитоз с преобладанием незрелых форм при других лейкозах). Повышенное количество базофилов и эозинфилов, эритроциты, содержащие ядра или имеющие форму «падающей капли», свидетельствуют о миелопролиферативном новообразовании Миелопролиферативные нарушения, обзор [Overview of Myeloproliferative Disorders] Миелопролиферативные новообразования – это клональные пролиферации стволовых клеток костного мозга, которые могут манифестировать повышением количества тромбоцитов, эритроцитов или лейкоцитов. Прочитайте дополнительные сведения . Цитопенический синдром является признаком гиперспленизма Гиперспленизм Гиперспленизм – это цитопенический синдром, обусловленный спленомегалией. (См. также Обзор селезенки (Overview of the Spleen)). Гиперспленизм является вторичным процессом, который может возникнуть. Прочитайте дополнительные сведения . Сфероцитоз наблюдается при гиперспленизме или наследственном сфероцитозе Наследственный сфероцитоз и наследственный эллиптоцитоз Наследственный сфероцитоз и наследственный эллиптоцитоз относятся к врожденной патологии мембран эритроцитов, которые могут вызвать умеренную гемолитическую анемию. При наследственном эллиптоцитозе. Прочитайте дополнительные сведения . В пользу гемоглобинопатии может свидетельствовать наличие клеток-мишеней, серповидных клеток или сфероцитов.
Результаты исследования печени радикально отклоняются от нормы при застойной спленомегалии с циррозом печени. Изолированное повышение сывороточной щелочной фосфатазы предполагает печеночную инфильтрацию, как и при миелопролиферативных и лимфопролиферативных заболеваниях, милиарномо туберкулезе Милиарный туберкулез Внелегочный туберкулез обычно является следствием гематогенного распространения возбудителя. Иногда инфекция передается непосредственно от смежного органа. Симптоматика меняется в зависимости. Прочитайте дополнительные сведения Candida (чаще всего C. albicans), проявляющаяся поражениями кожно-слизистой ткани, фунгемией и иногда очаговой инфекцией с вовлечением в процесс. Прочитайте дополнительные сведения Histoplasma capsulatum; оно часто протекает как хроническое и обычно следует за бессимптомной первичной. Прочитайте дополнительные сведенияНекоторые другие исследования могут быть полезны даже у больных с отсутствием симптоматики. Электрофорез сывороточных белков, выявляющий моноклональную гаммапатию или снижение уровня иммуноглобулинов, свидетельствует о лимфопролиферативных нарушениях или амилоидозе Амилоидоз Амилоидозом называют группу различных состояний, характеризующихся отложением во внеклеточном пространстве нерастворимых фибрилл, состоящих из неагрегированных белков. Эти белки могут накапливаться. Прочитайте дополнительные сведения Plasmodium. Симптомы и признаки включают лихорадку (которая может быть периодической), зябкость, озноб, потливость, диарею, боль в животе. Прочитайте дополнительные сведения , висцеральный лейшманиоз Лейшманиоз Лейшманиоз вызывается разновидностями Leishmania. Симптоматика включает кожный, слизистый и висцеральный синдром. Кожный лейшманиоз вызывает безболезненные хронические поражения кожи. Прочитайте дополнительные сведения Brucella, грамотрицательной бактерией. Симптомы начинаются с острого фебрильного заболевания с несколькими локальными признаками или без них и могут прогрессировать. Прочитайте дополнительные сведения , туберкулез Туберкулез (ТБ) Туберкулез (ТБ) является хронической прогрессирующей микобактериальной инфекцией, часто имеющей латентный период после начального инфицирования. Чаще всего ТБ поражает легкие. Симптомы включают. Прочитайте дополнительные сведения или соединительно-тканные нарушения (например, системная красная волчанка, синдром Фелти у пациентов с ревматоидным артритом). Проточная цитометрия может выявить небольшую популяцию моноклональных лимфоцитов, указывающую на лимфому. Подъем сывороточного уровня мочевой кислоты характерен для лимфопролиферативного или миелопролиферативного заболевания. Подъем уровня лейкоцитарной щелочной фосфатазы (ЛЩФ) наблюдается при миелопролиферативных новообразовании, в то время как его снижение – при хроническом миелолейкозе.
В том случае, если в ходе обследования не было выявлено других отклонений, кроме спленомегалии, повторное обследование проводится в интервале от 6 до 12 месяцев или при появлении новых симптомов.
Лечение спленомегалии
Лечение основного заболевания
Лечение ориентировано на устранение первичного заболевания. Сама по себе увеличенная селезенка у бессимптомных пациентов не требует лечения, кроме случаев тяжелого гиперспленизма Гиперспленизм Гиперспленизм – это цитопенический синдром, обусловленный спленомегалией. (См. также Обзор селезенки (Overview of the Spleen)). Гиперспленизм является вторичным процессом, который может возникнуть. Прочитайте дополнительные сведения . По-видимому, пациентам с пальпируемой селезенкой или со значительной спленомегалией необходимо избегать контактных видов спорта для уменьшения риска разрыва селезенки.
Основные положения
Спленомегалия почти всегда является следствием других заболеваний.
При обследовании на этиологию спленомегалии и при отсутствии очевидной причины важно исключить инфекционные причины.
Бессимптомные пациенты с увеличенной селезенкой не нуждаются в лечении, однако должны избегать контактных видов спорта и поднятия тяжестей, чтобы снизить риск разрыва селезенки.
Авторское право © 2022 Merck & Co., Inc., Rahway, NJ, США и ее аффилированные лица. Все права сохранены.
Спленомегалия, симптомы и лечение спленомегалии
Спленомегалия - увеличение селезенки в результате вовлечения ее в патологический процесс. Механизмы увеличения селезенки различны. Так, в основе патогенеза спленомегалии могут быть миелоидная метаплазия, застойные явления, накопление продуктов обмена веществ (например, гемосидерина), гранулематозные, воспалительные или опухолевые процессы и др. У здорового человека селезенка располагается между IX—XI ребрами слева и не пальпируется. Увеличение селезенки определяют с помощью перкуссии и пальпации; при этом размеры органа ориентировочно устанавливают относительно реберной дуги: при небольшом увеличении ее нижний край определяется приблизительно на 5 см ниже реберной дуги, при значительном — на 20 см ниже реберного края; в ряде случаев селезенка может достигать малого таза и даже занимать 2/3 брюшной полости. Увеличенная селезенка обычно подвижна и смещается в косом (снаружи кнутри) направлении. Это позволяет отличить ее от увеличенной левой доли печени, смещающейся вертикально, или опухоли этой области, которая бывает, как правило, неподвижна. Подтверждением того, что пальпируемое образование является селезенкой, может служить обнаружение выемки. При определении размеров селезенки следует иметь в виду, что увеличение органа может проявляться смещением его верхнего полюса, которое с помощью пальпации выявить невозможно. Поэтому даже небольшое увеличение селезенки необходимо подтвердить с помощью рентгенологического, ультразвукового или других методов исследования. Кроме того, пальпируемое в левом подреберье образование может оказаться конгломератом лимфатических узлов, опухолью левой почки толстой кишки, кистой или опухолью поджелудочной железы или забрюшинного пространства, что также делает необходимым проведение дополнительного исследования. Лечение спленомегалии Поскольку спленомегалия – лишь проявление какого-либо другого заболевания, лечение должно быть направлено на первичную причину. Удаление селезенки показано в редких случаях; иногда оно производится при заболеваниях, связанных с повышенным разрушением в ней эритроцитов или тромбоцитов, в частности при гемолитической желтухе, тромбоцитопенической пурпуре, синдроме Банти, но и тогда улучшения показателей крови можно ожидать лишь в 30–60% случаев.
Вопрос - ответ
Добрый вечер! Подскажите хотела сдать анализы на инфекции передающие половым путём, какая цена?
Сколько стоит УЗИ брюшной полости?
Задать вопрос
Программы центра
Лицензии центра
Терминал оплаты
В нашем медицинском центре Вы можете оплатить услуги с помощью пластиковой кредитной карты через терминал не используя наличность.
На заметку!
В медицинском центре «Семейный Доктор» ведет консультативные приемы новый специалист - Землянухин Святослав Павлович-сосудистый хирург, флеболог.
| УЗИ сердца с доплером |
УЗИ сердца при помощи доплера является одной из разновидностей ультразвукового исследования, в основе которого лежит э |
| [ Читать полностью >> ] |
