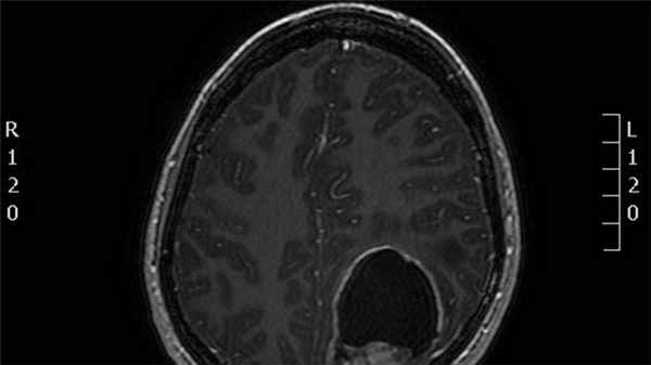
Супратенториальная эпендимома на МРТ
Добавил пользователь Евгений Кузнецов Обновлено: 13.12.2025
Эпендимома – опухоль головного мозга, развивающаяся из эпиндемальных клеток, которые выстилают изнутри все желудочки мозга. Также эпендимома может возникать из клеток, расположенных в заполненном жидкостью пространстве головного и спинного мозга. В зависимости от агрессивности опухоли они могут быть классифицированы как злокачественные (раковые) или доброкачественные. Эпендимома может возникать в любом месте мозга или позвоночника и метастазировать в спинной мозг через спинномозговую жидкость.
Эпендимома может развиваться у людей в любом возрасте, хотя у детей она проявляется чаще. Примерно у 60% всех детей с диагнозом этого типа опухоли возраст составляет менее 5 лет. Эпендимомы в два раза чаще появляются в области задней ямки мозга (задней черепной ямке), которая находится в нижней задней части головы.
Эпендимомы принято делить на субэпендимомы — доброкачественные опухоли, которые характеризуются медленным ростом, э пендимомы — II степень злокачественности и злокачественные эпендимомы — III степени злокачественности.
Лечение
Радиохирургическая система КиберНож
Любое новообразование головного мозга, будь то злокачественная или доброкачественная опухоль, требует незамедлительного лечения. Даже самое маленькое новообразование в пределах этого жизненно важного органа может повлечь серьезные нарушения в его функционировании.
Для лечения эпендимомы применяются:
- радиохирургия на системе КиберНож
- лучевая терапия IMRT
- противоопухолевая химиотерапия (таргетная терапия, гормоно- и иммунотерапия опухолей)
- нейрохирургическая операция.
При лечении большинства онкологических заболеваний головного мозга наибольшей эффективности удается достичь с применением радиохирургического метода. Радиохирургия позволяет удалить очаги новообразования в труднодоступных для хирургической операции местах. Поэтому при лечении эпендимомы головного мозга в преимущественно применяется радиохирургия на системе КиберНож.
Лечение на системе КиберНож
В случае раннего диагностирования новообразования, а также небольшого размера опухоли эпендимомы, возможно проведение дистанционного лечения — радиохирургической операции на системе КиберНож.
Для этого в процессе планирования лечения определяется требуемая форма и расположение объема, в котором будет сформирована зона равномерно высокой дозы ионизирующего облучения — она будет полностью совпадать с указанными лечащим врачом контурами опухолевого поражения. Составленная на основе данных КТ- и МРТ-исследований пространственная 3D-модель с указанием зон с минимальной и максимальной лучевой нагрузкой, передается в программный комплекс КиберНожа для расчета множества последовательно подаваемых с различных положений тонких лучей ионизирующего излучения. После этого пациент может начинать лечение эпендимомы на КиберНоже.

Лечение эпендимомы головного мозга на КиберНоже
При радиохирургии на КиберНоже не требуется специальной подготовки пациента, наркоз не проводится — пациент во время фракции (сеанса) лечения эпендимомы на КиберНоже находится в сознании. Роботизированная “рука”-манипулятор комплекса последовательно занимает указанные в плане лечения положения, в каждом из которых производится подача отдельного тонкого пучка ионизирующего излучения. После завершения фракции (15-30 минут) пациент сразу может вернуться к обычному распорядку своего дня. Количество фракций зависит от множества индивидуальных факторов.
Лучевая терапия IMRT

Линейный ускоритель Elekta
Если объем новообразования достаточно большой, и не позволяет применить радиохирургический метод, лечение эпендимомы предусматривает удаление злокачественного очага хирургическим путем с последующим облучением на высокоточном линейным ускорителе с функцией IMRT.
Лучевое лечение эпендимомы головного мозга на линейном ускорителе с принципом IMRT во многом соответствует принципу радиохирургического лечения опухолей на КиберНоже. Точность лучевой терапии, также как и при радиохирургии, обеспечивает контролируемая доставка высокой дозы ионизирующего излучения точно в объем опухоли, пространственные контуры которой составлены компьютерной системой планирования.
Перед тем как приступить к лечению, пациент проходит комплексную КТ- и МРТ-диагностику, на основании результатов которой лучевым терапевтом совместно с медицинским физиком составляется цифровая компьютерная трехмерная модель расположения опухоли и здоровых тканей вокруг нее, которые не должны быть подвергнуты облучению.

Эпендимома головного мозга — план лечения на линейном ускорителе, с распределением доз облучения для различных типов биологических тканей
Принцип действия IMRT-лучевой терапии состоит в том, что для каждой зоны, в соответствии с виртуальной компьютерной моделью, задаются максимальные и минимальные дозы ионизирующего облучения. Это позволяет доставлять в границы опухоли и пути ее метастазирования максимально высокие дозы излучения, необходимые для разрушения раковых клеток, а в зону расположения критических структур головного мозга — нулевые.
После того, как план лечения утвержден, пациенту назначается первый сеанс (фракция) лучевой терапии. Лечение проходит амбулаторно и не требует анестезии. Во время сеанса лучевой терапии пациент удобно располагается на специальном столе, а подвижная часть линейного ускорителя последовательно занимает различные положения, подавая необходимую дозу ионизирующего излучения в опухолевый очаг. Конфигурация каждого пучка излучения, точно повторяющего форму опухоли, формируется многолепестковым коллиматором, который управляется системой согласно заданному плану и контролируется ответственным врачом.
Лучевая терапия IMRT проводится таким образом, что наиболее высокие дозы облучения, необходимые для гибели раковых клеток, доставляются только в границы опухоли, а здоровые ткани вокруг нее поддаются наименьшему влиянию облучения. При этом наиболее важные структуры организма (ствол мозга, аорта, слюнные железы и др.) во время лучевой терапии абсолютно защищены — для них еще на стадии планирования лечения задается зона нулевого воздействия, так называемая «холодная зона».
Лечение на линейном ускорителе, как правило, не требует никакой специальной подготовки пациента – во время фракций лучевой терапии пациент находится в сознании, а подвижная часть линейного ускорителя последовательно занимает указанные в плане лечения положения, в каждом из которых проводится излучение требуемого поля. Количество фракций зависит от множества индивидуальных факторов, поэтому длительность, состав терапии и стоимость лечения определяются для каждого пациента его лечащим врачом. После завершения каждого сеанса лучевого лечения, каждый из которых длится в среднем 30-40 минут, пациент может вернуться к обычному распорядку своего дня
Диагностика
Диагностика эпендимомы, как правило, начинается с осмотра у врача-невропатолога, который направляет пациента на обследования. При подозрении на опухоль головного мозга проводятся инструментальные методы диагностики – компьютерная томография (КТ), магнитно-резонансная томография (МРТ), для уточнения окончательного диагноза и определения объема новообразования, его локализации, наличия метастазов и других аспектов протекания болезни, важных при подборе методов лечения.
Также эпендимома диагностируется с помощью поясничной пункции. Это малоинвазивная процедура, в ходе которой через прокол в области поясницы берутся на обследование образцы спинномозгвой жидкости.
Симптомы
Проявления этого вида опухоли зависят от того, где располагается опухоль, а также от наличия или отсутствия повышенного внутричерепного давления. Общие симптомы могут включать:
- неуклюжесть, неустойчивая походка;
- головные боли;
- тошнота и рвота; затрудненное глотание;
- изменённая походка;
- вялость и раздражительность;
- изменения в личности и поведении;
- трудности с такими задачами, как написание и почерк;
- у детей – постепенное снижение успеваемости в школе.
Причины возникновения новообразования
До сих пор не известен механизм возникновения эпендимомы. По мнению специалистов, риск возникновения злокачественного новообразования повышается после облучения головного мозга, если ребенку уже проводили лечение лейкоза или ретинобластомы.
Эпендимома
Эпендимома - опухоль головного мозга входящая в широкую группу глиальных опухолей, чаще возникающих из оболочки выстилающей желудочки головного мозга или центральный канал спинного мозга. Эпендимомы встречаются в ~5% случаев нейроэпителиальных опухолей, ~10% опухолей головного мозга у детей и до 33% опухолей головного мозга у детей младше 3х лет.
Эпендимомы могут возникнуть в любом месте, но чаще локализуются [11]:
- задняя черепная ямка: 60%
- супратенториальная эпендимома: 30%
- спинной мозг: 10%
Данная публикация посвящена эпендимомам головного мозга, эпендимомы спинного мозга будут рассматриваться отдельно (статья нуждается в переводе).
Эпидемиология
Гендерная предрасположенность отсутствует [3].
Клиническая картина
Клиническая картина может варьировать в зависимости от локализации. Начальными симптомами и признаками, как и при других опухолях IV желудочка, чаще всего являются проявления связанные с повышением внутричерепного давления. Другие симптомы включают атаксию [7], судороги или фокальный неврологический дефицит [2,5].
Сочетанная патология
нейрофиброматоз 2 типа
Классификация
Эпендимомы являются опухолями II степени по ВОЗ, причем более гистологически агрессивные опухоли относят к IIIй степени (анапластическая эпендимома), однако достоверность гистологических признаков и прогностическое значение противоречивы, и в последнее время в подразделении эпендимом используют молекулярные маркеры [11].
- WHO grade I
- субэпендимома
- миксопапиллярная. эпендимома
- эпендимома - 9391/3
- папиллярная эпендиомома
- светлоклеточная эпендиома
- удлиннённоклеточные эпендиома
- RELA fusion-positive
- анапластическая эпендимома
Диагностика
Большинство эпендимом головного мозга (60%) локализуются в задней черепной ямке (инфратенториально), возникая в области дна 4го желудочка, особенно у детей 6. В остальных случаях (40%) локализуясь супратенториально составляют вплоть до половины интрапаренхиматозных случаев [7].
Эпендимомы задней черепной ямки обладая пластичностью распространяются через отверстия Лушка и Мажанди. Данный признак может быть визуализировать при КТ и МРТ.
Эпендимома обычно представлена гетерогенным образованием с зонами некроза, кальцинатами, кистозной трансформацией и зачастую кровоизлияниями.
Интрапаренхиматозные поражения (как правило супратенториальные) обычно имеют более крупные размеры и вариабельность в проявлениях [7].- грубые кальцификаты (50%)
- кистозные зоны (50%)
- солидный компонент изо- и гиподенсивной плотности
- гетерогенное контрастное усиление
- кровоизлияния вариабельные
- T1
- солидный компонент эпендимомы обычно имеет изо- или гипоинтенсивный сигнал по отношению к белому веществу [7]
- гиперинтенсивный сигнал по отношению к белому веществу
- является более надежной последовательностью в дифференциально диагностике опухолевого поражения, чем бесконтрастные Т1 ВИ (но менее надежные чем Т1 с парамагнетиками)
- фокусы цветения за счет кровоизлияния или кальцификатов
- гетерогенное усиление
- полезно в разграничении опухоли от вазогенного отека и неизмененной паренхимы
- ограничение диффузии в солидном компоненте, особенно при анапластичпеском варианте
- интерпретация требует осторожности, поскольку может изменяться за счет кровоизлияний или кальцинатов
- повышение пика холина в соответствии с клеточностью опухоли
- снижение пика N-ацетиласпартата
- повышенное отношение холин/креатинин
- липиды и лактат повышаются при наличии дегенеративных изменений
Дифференциальный диагноз
- схожая эпидемиология, особенно в области 4го желудочка
- возникает в области червя
- контрастное усиление более гомогенное
- кальцинаты встречаются реже
- менее пластичные (не распространяются в отверстия)
- встречается в более старшем возрасте
- обычно не усиливается после введения контрастного вещества
- у детей чаще локализуется в области треугольников (задних рогов) боковых желудочков
- у взрослых локализуется в четвертом желудочке
- более яркое и гомогенное контрастное усиление
- слабо выраженный отек прилежащей паренхимы
- NB может быть гетерогенной и инвазировать головной мозг
- может иметь схожие проявления
- встречается в более старшем возрасте
- затруднено дифференцирование с интрапаренхиматозной супратенториально эпендимомой
- встречается в более старшем возрасте
- локализуется парааксиально в белом веществе
- возникает в/прилегая к прозрачной перегородке
- менее яркое контрастное усиление
- 1 степень (Grade I): миксопапиллярная эпендимома, субэпендимома (в основном, встречается у взрослых);
- 2 степень (Grade II): эпендимома;
- 3 степень (Grade III): анапластическая эпендимома.
- супратенториальной области (в больших полушариях) головного мозга;
- задней черепной ямке;
- спинном мозге (как мы уже писали, у детей этот тип встречается редко).
- регулярные головные боли, головокружения;
- агрессия и раздражительность;
- тошнота и рвота;
- задержка в росте ребенка;
- увеличение окружности головы (особенно у детей младшего возраста);
- нарушение зрения;
- атаксия (пошатывание при ходьбе).
- МРТ спинного мозга с контрастированием
- общий (клинический) анализ крови;
- развернутый биохимический анализ крови;
- анализ свертывающей системы крови (коагулограмма);
- анализ крови на опухолевые маркеры;
- молекулярно-генетическое исследование мутаций в генах в опухолевом материале.
- Головной мозг
- Мозжечок
- Ствол головного мозга
- Спинной мозг
- Головная боль
- Тошнота и рвота, часто усиливающиеся по утрам
- Боль в спине или шее
- Проблемы со зрением
- Потеря равновесия или проблемы при ходьбе
- Слабость в ногах
- Судороги
- Раздражительность или спутанность сознания
- Проблемы с мочеиспусканием или изменения работы ЖКТ
- Увеличение размера головы у младенцев
- Расположение опухоли
- Тип и степень злокачественности
- Локализована ли злокачественная опухоль или распространилась на другие области (метастазировала)
- Можно ли полностью удалить опухоль путем хирургической операции
- Возраст на момент постановки диагноза
- Повторное возникновение заболевания (рецидив)
- Молекулярные особенности опухоли
- супратенториальные опухоли со слиянием RELA (слияние C11orf95-RELA)
- супратенториальные опухоли со слиянием YAP
- Вероятность неполного хирургического удаления опухоли
- Наличие метастазирования
- Результаты гистологического исследования опухоли
- Генетические особенности опухоли
- 0–3 года: МРТ головного мозга каждые 3-4 месяца
- 3–5 лет: МРТ головного мозга каждые 6 месяцев
- Через 5 лет: МРТ головного мозга каждые 12 месяцев в течение еще 2–5 лет
Текущая версия (на октябрь 2017 года) является адаптированным переводом публикации Maxime St-Amant, Frank Gaillard et al. Ependymoma [13].
Эпендимома
Под ред.: Киргизова К.И., Заместителя директора (НИИ ДОиГ ФГБУ "НМИЦ онкологии им. Н.Н. Блохина" Минздрава России) по научной и образовательной работе, врач-детский онколог, ведущий научный сотрудник, к.м.н.
Эпендимома головного и спинного мозга – что это такое? Какие признаки и симптомы свойственны этому заболеванию, как проходит его диагностика? В чем заключаются особенности лечения эпендимомы у детей и какой прогноз дают врачи? Сегодня мы расскажем об этом.
Что такое эпендимома
Эпендимома – это злокачественная опухоль головного или спинного мозга, которая печально известна своей устойчивостью к традиционной химиотерапии (хотя роль этого метода лечения при эпендимомах продолжает исследоваться) и высокой вероятностью развития рецидивов. Эпендимомы занимают третье место среди всех опухолей центральной нервной системы у детей и второе – среди злокачественных опухолей головного мозга у детей (5-10% всех случаев).
90% всех эпендимом у детей – это новообразования головного мозга, эпендимома спинного мозга встречается в детском возрасте крайне редко. Более половины всех случаев эпендимомы у детей диагностируется в возрасте до 5 лет.
Классификация эпендимом
Эпендимомы различаются по гистологическому типу, по локализации и по молекулярным подгруппам. Сейчас мы разберем их чуть подробнее.
Классификация ВОЗ
Согласно актуальной классификации Всемирной организации здравоохранения (ВОЗ) 2016 года эпендимомы подразделяются на три гистологических подтипа:
Анапластическая эпендимома, как правило, является наиболее агрессивным типом заболевания и демонстрирует склонность к повышенной митотической активности (скорости деления опухолевых клеток), микрососудистой пролиферации (разрастанию) и некрозу опухоли.
Классификация по локализации опухоли
В зависимости от анатомической локализации можно выделить следующие типы эпендимом, расположенные в:
В целом, около 60% эпендимом чаще всего возникают в четвертом желудочке, расположенном в задней черепной ямке, около 30% – в боковом или третьем желудочках, расположенных в супратенториальной области, а остальные 10% – в центральном канале спинного мозга.
Молекулярная классификация
Эпендимомы также делятся на отдельные молекулярные подгруппы – последние исследования насчитывают до 9 подгрупп. Мы не будем описывать все подгруппы – обратим внимание только на две из них.
Это эпендимомы задней черепной ямки группы А – наиболее распространенная подгруппа, которая чаще всего встречается у детей младшего возраста, имеет агрессивное течение и неблагоприятный прогноз. И эпендимомы задней черепной ямки группы B, которые встречаются у детей старшего возраста и обычно имеют благоприятный исход.
Симптомы эпендимомы
Клинические признаки эпендимомы у детей зачастую неспецифичны, во многом зависят от локализации, размера и подтипа опухоли. Например, анапластические эпендимомы головного мозга (в частности, 4 желудочка) могут быстрее вызвать у ребенка проявление симптомов заболевания, чем остальные формы.
Давайте перечислим признаки, которые могут дать повод заподозрить эпендимому:
При появлении подобных симптомов желательно сразу обратиться за консультацией к врачу.
Диагностика эпендимом
«Золотой стандарт» диагностики эпендимом головного и спинного мозга у детей включает магнитно-резонансную томографию (МРТ) и компьютерную томографию (КТ). Однако, разумеется, помимо этого таким пациентам выполняют значительное число других анализов и обследований.
Осмотр и анализы
При первом обращении с подозрением на эпендимому у ребенка его должен осмотреть врач-онколог, который выясняет жалобы, узнает семейный анамнез, оценивает параметры роста и веса, оценивает функциональные возможности и неврологический статус пациента.
Для оценки стадии заболевания и его распространенности могут быть назначены следующие анализы:
Также после биопсии, либо удаления опухоли проводится гистологическое исследование полученного материала – микропрепаратов опухолевой ткани. Именно гистология дает возможность окончательно установить подтип эпендимомы и принять решение о дальнейших схемах терапии.
МРТ и КТ
Первичным методом визуализации, используемым для диагностики эпендимомы, как правило, является МРТ, дающая возможность получить многоплоскостное и высококонтрастное изображение мягких тканей. Однако в некоторых случаях у детей сперва проводят КТ, которая дает более точную информацию о наличии кальцификатов в опухоли.
В любом случае, именно по результатам МРТ и КТ определяют точную локализацию, размеры и структуру опухоли, возможные сосудистые сплетения и другие параметры, необходимые для принятия решения о степени хирургического вмешательства и применения других методов лечения.
Лечение эпендимомы
Текущие схемы лечения эпендимомы направлены, как правило, на полную хирургическую резекцию опухоли с последующей лучевой терапией. Химиотерапия в настоящее время не имеет широкого применения у детей в связи с высокой химиорезистентностью эпендимом и малым влиянием химиотерапии на выживаемость пациентов. ХТ может быть применена до ЛТ при неоперабельных остаточных компонентах опухоли после резекции, а так же у детей младше 1 года в связи с ограничениями использования у них ЛТ. Однако роль этого метода лечения при эпендимомах продолжает исследоваться международными группами, занимающимися детской нейроонкологией. Возможности таргетной терапии при эпендимомах так же активно исследуются, но пока не выявлено четких показаний для ее применения у таких пациентов.
Хирургические методы лечения
В настоящее время стандартом лечения эпендимомы у пациентов младше 18 лет является максимально безопасная и по возможности полная хирургическая резекция опухоли. Именно успешность резекции является одним из прогностических маркеров – позволяет предположить вероятность прогрессирования и/или риска развития рецидивов заболевания.
Однако следует понимать, что даже при полной резекции около 30-50% детей все еще могут столкнуться с рецидивом опухоли, несмотря на агрессивную терапию и облучение. При неполной резекции (в связи со сложной локализацией эпендимомы) этот показатель еще ниже.
Лучевая терапия
Лучевая терапия (ЛТ) также является одним из основных методов лечения эпендимомы у детей, дополняя работу нейрохирургов. Раньше необходимость в назначении ЛТ рассматривалась в каждом конкретном случае и зависела от типа и степени злокачественности опухоли, а также от результатов хирургического вмешательства. Так, например, при анапластических эпиндемомах (Grade III) всегда назначалась ЛТ. А вот после полного удаления эпендимомы 1 или 2 степени обходились без ЛТ. В последние годы лучевой терапии подвергаются все эпендимомы головного мозга не зависимо от степени злокачественности и объема резекции опухоли, но с четом возраста ребенка. В отношении эпендимом спинного мозга однозначно подвергаются лучевой терапии анапластические эпендимомы. Миксопапиллярные эпендимомы, которые в основном встречаются в спинном мозге могут быть облучены только при рецидиве и/или прогрессии заболевания. Наличие MYC-амплификации в эпендимоме спинного мозга определяет неблагоприятный прогноз заболевания и необходимость в использовании ЛТ после удаления опухоли.
Прогноз при эпендимоме
К сожалению, прогноз при эпендимомах головного и спинного мозга у детей не является благоприятным. 5-летняя общая выживаемость (даже после полной резекции опухоли) составляет 50-85%, с тенденцией к снижению у детей в возрасте младше 5 лет.
Конечно, эти показатели во многом зависят не только от возраста пациента, но и от вида и локализации эпендимомы. Наиболее благоприятный исход отмечается у пациентов, перенесших полную резекцию опухоли и прошедших курс лучевой терапии. Однако даже в этом случае нельзя исключить риски долгосрочных эффектов от лечения, которые могут влиять на качество жизни и состояние здоровья пациента.
Поэтому в данный момент перед специалистами стоит задача разработать новые методы лечения – в том числе, таргетную и иммунную терапию, а так же в дальнейшем совершенствовать безопасность оперативных вмешательств, методов ЛТ, подбор схем и режимов ХТ. Возможно, именно эти разработки помогут существенно улучшить картину выживаемости при эпендимоме.
ИСТОЧНИКИ
2 – Andreiuolo F., Le Teuff G., Bayar M. A., Kilday J.-P., Pietsch T. and others. Integrating Tenascin-C protein expression and 1q25 copy number status in pediatric intracranial ependymoma prognostication: A new model for risk stratification. PLoS One. 2017; 12(6): e0178351. PMID: 28617804
3 – Zhang C., Ostrom Q. T., Hansen H. M., Gonzalez-Maya J., Hu D., Ziv E. and others. European genetic ancestry associated with risk of childhood ependymoma. Neuro Oncol. 2020 Nov; 22(11): 1637–1646. PMID: 32607579
4 – Lewis R., Li Y. D., Hoffman L., Hashizume R., Gravohac G., Rice G. and others. Global Reduction of H3K4me3 Improves Chemotherapeutic Efficacy for Pediatric Ependymomas. Neoplasia. 2019 Jun; 21(6): 505–515. PMID: 31005631
5 – Zhang C., Ostrom Q. T., Semmes E. C., Ramaswamy V., Hansen H. M. and others. Genetic predisposition to longer telomere length and risk of childhood, adolescent and adult-onset ependymoma. Acta Neuropathol Commun. 2020; 8: 173. PMID: 33115534
6 – Upadhyaya S. A., Robinson G. W., Onar-Thomas A., Orr B. A., Billups C. A. and others. Molecular grouping and outcomes of young children with newly diagnosed ependymoma treated on the multi-institutional SJYC07 trial. Neuro Oncol. 2019 Oct; 21(10): 1319–1330. PMID: 30976811
7 – Seo S.-H., Paul S. K. , Shikder M., Khanam M., Ghosh P., Al Hasib T., Ahmed K. A., Sikdar S., Uddin J. and Kwon Y. An Insight into Pathophysiological Features and Therapeutic Advances on Ependymoma Cancers (Basel). 2021 Jul; 13(13): 3221. PMID: 34203272
8 – Pajtler K. W., Mack S. C., Ramaswamy V., Smith C. A., Witt H., Smith A. and others. The current consensus on the clinical management of intracranial ependymoma and its distinct molecular variants. Acta Neuropathol. 2017; 133(1): 5–12. PMID: 27858204
9 – Mack S. C., Pajtler K. W., Chavez L., Okonechnikov K., Bertrand K. C. and others. Therapeutic Targeting of Ependymoma as Informed by Oncogenic Enhancer Profiling. Nature. 2018 Jan 4; 553(7686): 101–105. PMID: 29258295
10 – Mack S. C. and Taylor M. D.. Put away your microscopes: The ependymoma molecular era has begun. Curr Opin Oncol. 2017 Nov; 29(6): 443–447. PMID: 28885433
11 – Benesch M., Mynarek M., Witt H., Warmuth‐Metz M., Pietsch T., Bison B. and others. Newly Diagnosed Metastatic Intracranial Ependymoma in Children: Frequency, Molecular Characteristics, Treatment, and Outcome in the Prospective HIT Series. Oncologist. 2019 Sep; 24(9): e921–e929. PMID: 30850560
12 – Cavalli F. M.G., Hübner J.-M. , Sharma T., Luu B., Sill M., Zapotocky M. and others. Heterogeneity within the PF-EPN-B Ependymoma Subgroup. Acta Neuropathol. 2018 Aug; 136(2): 227–237. PMID: 30019219
13 – Общероссийский национальный союз «Ассоциация онкологов России», Общероссийская общественная организация «Ассоциация нейрохирургов России», Общероссийская общественная организация «Российское общество клинической онкологии», Клинические рекомендации «Первичные опухоли центральной нервной системы», 2020 г.
14 – Witt D. A., Donson A. M., Amani V., Moreira D. C., Sanford B., Hoffman L. M. and others. Specific Expression of PD-L1 in RELA-Fusion Supratentorial Ependymoma: Implications for PD-1 Targeted Therapy. Pediatr Blood Cancer. 2018 May; 65(5): e26960. PMID: 29350470
15 – Achey R. L., Vo S., Cioffi G., Gittleman H., Schroer J., Khanna V., Buerki R., Kruchko C. and Barnholtz-Sloan J. S. Ependymoma, NOS and anaplastic ependymoma incidence and survival in the United States varies widely by patient and clinical characteristics, 2000-2016. Neurooncol Pract. 2020 Oct; 7(5): 549–558. PMID: 33014396
Программа La Fondation La Roche-Posay (Ля Фондейшн Ля Рош Позэ) и CCI (Международная Ассоциация по борьбе с детским раком) прилагают все усилия, чтобы гарантировать, что предоставленная информация является точной и актуальной на момент публикации. Мы не несем ответственность за информацию, предоставленную третьими лицами, в т.ч. теми, на которых ссылаемся или выделили в данной публикации. Информацию в данной публикации следует использовать как дополнение к соответствующим профессиональным консультациям в ваших конкретных обстоятельствах.
Эпендимома
Эпендимома — это опухоль головного и спинного мозга. Она является третьей по распространенности злокачественной опухолью головного мозга у детей. В США ежегодно регистрируется 200 новых случаев эпендимомы у детей.
Чаще всего эпендимомы возникают у детей младше 5 лет, однако они могут развиваться в любом возрасте.
Эпендимомы развиваются из клеток, выстилающих заполненные жидкостью желудочки головного мозга и центрального канала спинного мозга.
Эти опухоли могут иногда распространяться через спинномозговую жидкость .
Многие эпендимомы образуются в четвертом желудочке в области задней черепной ямки. Опухоли с таким расположением с большей вероятностью оказывают влияние на ствол головного мозга и мозжечок.
Около 75% эпендимом у детей возникает в области задней черепной ямки головного мозга, однако они могут развиваться и в других областях центральной нервной системы (ЦНС). В зависимости от расположения, опухоли могут поражать различные части ЦНС:
Многие эпендимомы образуются в четвертом желудочке в области задней черепной ямки. Такие опухоли с большей вероятностью оказывают влияние на ствол головного мозга и мозжечок.
Лечение эпендимомы предполагает проведение хирургической операции для удаления максимального количества опухолевых клеток. Вместе с хирургической операцией часто применяют лучевую терапию, чтобы уничтожить оставшиеся раковые клетки. Кроме того, до или после хирургической операции может применяться химиотерапия.
Коэффициент выживаемости детей с эпендимомой составляет 50–70%. Прогноз зависит от расположения опухоли, размера той части опухоли, которая может быть удалена хирургическим путем, и особенностей опухолевых клеток. Врачи узнают все больше о биологии и молекулярных особенностях эпендимомы. Эта информация может быть полезной для предсказания возможной реакции опухоли на лечение.
Эпендимома может рецидивировать после лечения, и часто для контроля рецидивов детям требуется длительное наблюдение.
Факторы риска и причины возникновения эпендимомы
Большинство эпендимом возникает у грудных детей и детей младше 5 лет.
С развитием эпендимомы связаны определенные изменения в генах и хромосомах опухолевой клетки. Чаще всего причина этих генетических изменений неизвестна.
Для некоторых детей может существовать повышенный риск развития опухолей головного мозга, в том числе эпендимомы, из-за наличия нейрофиброматоза 2 типа (NF2), редкого врожденного патологического состояния.
Симптомы эпендимомы
Признаки и симптомы эпендимомы у детей зависят от нескольких факторов, включая размер опухоли, ее расположение, возраст и стадию развития ребенка.
Возможные симптомы эпендимомы:
Рост опухоли часто нарушает нормальную циркуляцию спинномозговой жидкости . Это приводит к накоплению жидкости в мозге — гидроцефалии . Жидкость вызывает повышение давления в головном мозге ( внутричерепного давления ). Именно гидроцефалия вызывает многие симптомы эпендимомы.
Диагностика эпендимомы
Медицинский осмотр и изучение истории болезни
Медицинский осмотр и изучение истории болезни помогают врачам получить сведения о симптомах, общем состоянии здоровья, перенесенных заболеваниях и факторах риска.
Неврологическое обследование
В ходе неврологического обследования оцениваются различные аспекты работы мозга: память, зрение, слух, мышечная сила, равновесие, координация и рефлексы.
Диагностическая визуализация
Обнаружить опухоль помогают методы диагностической визуализации. Основным методом визуализации, который обычно используется для оценки эпендимомы, является магнитно-резонансная томография (МРТ) головного и спинного мозга. Кроме того, МРТ проводится после хирургической операции, чтобы удостовериться, что опухоль удалена полностью.
Люмбальная пункция
Чтобы посмотреть, есть ли опухолевые клетки в спинномозговой жидкости, врачи могут назначить люмбальную пункцию.
Биопсия
Для диагностики эпендимомы выполняют биопсию. При биопсии хирургическим путем извлекают небольшой образец опухоли. Морфолог изучает образец ткани под микроскопом, чтобы определить конкретный тип и степень злокачественности эпендимомы.
Определение степени злокачественности и стадии развития эпендимомы
Эпендимомы идентифицируются по их внешнему виду под микроскопом. Обычно их классифицируют как опухоли I, II или III степени. Чем сильнее изменения внешнего вида клеток, тем выше степень злокачественности. У детей обычно диагностируют эпендимомы II (классическая эпендимома) или III (анапластическая эпендимома) степени.
Для определенных типов опухоли, как правило, характерен более благоприятный исход, чем для других. Тем не менее, другие факторы также оказывают влияние на лечение и прогноз.
Подтипы опухоли на основе результатов гистологического исследования I степень Субэпендимома
Миксопапиллярная эпендимомаII степень Классическая эпендимома (включает папиллярную, светлоклеточную и таницитарную эпендимому) III степень Анапластическая эпендимома Прогноз при лечении эпендимомы
Общая 10-летняя выживаемость для детей с эпендимомой составляет около 50–70%. Прогноз зависит от многих факторов. При некоторых типах эпендимомы вероятность долгосрочного выживания выше. Однако могут возникнуть поздние рецидивы или повторное проявление заболевания (более чем через 5 лет).
На вероятность излечения влияет:
Ученые узнают все больше о молекулярных типах эпендимомы. Новые данные помогают врачам понять, почему опухоли в определенных частях головного мозга или опухоли, развивающиеся в определенном возрасте, лучше поддаются лечению. Для прогнозирования риска и планирования лечения врачи применяют молекулярную классификацию опухоли.
Конкретные изменения молекулярных или генетических характеристик опухолевых клеток могут рассматриваться как факторы высокого риска. Эпендимомы высокого риска включают в себя опухоли задней черепной ямки с дополнительными копиями хромосомы 1q (добавка 1q).
Врачи могут также проверять наличие других молекулярных изменений, в том числе:
Определенные особенности опухоли затрудняют лечение заболевания. При планировании лечения врачи учитывают молекулярные профили опухолей.
Эпендимому трудно вылечить без удаления опухоли хирургическим путем. Если опухоль нельзя удалить полностью или она рецидивирует, долгосрочный прогноз обычно неблагоприятный.
Лечение эпендимомы
Лечение эпендимомы обычно включает в себя хирургическую операцию с последующей фокусной лучевой терапией. Некоторым пациентам могут назначать химиотерапию. Метод лечения зависит от типа и расположения опухоли, возраста ребенка, а также от того, диагностирована ли опухоль впервые или рецидивирует.
Хирургическая операция
Хирургическая операция для удаления максимального количества клеток опухоли — основной метод лечения эпендимомы. Ее цель — тотальная резекция (полное удаление) опухоли. Однако полное удаление опухоли не всегда возможно из-за риска повреждения структур мозга.
Риски хирургического вмешательства зависят от размеров опухоли и конкретной области головного мозга. Возможные осложнения включают в себя повреждение структур головного мозга, контролирующих движение мышц, речь, глотание или слух.
У некоторых детей, перенесших хирургическую операцию на эпендимоме, возникает синдром задней черепной ямки . Симптомы обычно развиваются в течение нескольких дней после хирургической операции и проявляются в изменении речи, глотания, двигательной функции и эмоций. Симптомы могут быть как слабо выраженными, так и тяжелыми. У большинства детей со временем наблюдается улучшение. Узнайте больше о синдроме задней черепной ямки .
Для пациентов с определенными опухолями I степени хирургическое вмешательство само по себе может быть достаточно эффективным методом лечения (в зависимости от типа опухоли, ее расположения и объема резекции). Некоторым пациентам могут назначить курс химиотерапии и вторую операцию для большего удаления опухоли.
Лучевая терапия
После хирургической операции на эпендимоме обычно проводится лучевая терапия, за исключением грудных детей. Предпочтительным методом является фокусная лучевая терапия опухоли и небольшого участка здоровой ткани. Доза и объем лучевой терапии зависят от типа опухоли, ее расположения и распространения заболевания на другие области. Поскольку эпендимома не так хорошо отвечает на химиотерапию, для детей старше 1 года применяется лучевая терапия.
Химиотерапия
Химиотерапию часто применяют наряду с фокусной лучевой терапией и хирургической операцией. Для того чтобы сделать удаление опухоли более безопасным и полным, перед хирургическим вмешательством может использоваться химиотерапия. У очень маленьких детей, особенно у младенцев до 1 года, химиотерапия может проводиться для отсрочки лучевой терапии до момента, когда ребенок подрастет. План химиотерапии будет зависеть от таких факторов, как распространение заболевания и молекулярные особенности опухоли. Для лечения эпендимомы применяют комбинацию химиотерапевтических препаратов. При этом обычно используются такие препараты:
Также могут использоваться другие химиопрепараты.
Клинические исследования
Детям с рецидивом заболевания после первичной хирургической операции и лучевой терапии может быть предложено лечение в рамках клинического исследования. На данный момент нет успешных стандартных методов лечения рецидивирующей эпендимомы. Клинические исследования включают в себя использование препаратов иммунотерапии, направленных на активацию иммунной системы для борьбы с раком, и таргетной терапии, воздействующей на конкретные белки в опухолевых клетках.
У некоторых детей с гидроцефалией, вызванной эпендимомой, в головной мозг может устанавливаться шунт для предотвращения накопления спинномозговой жидкости. Шунт — это небольшая трубка, отводящая спинномозговую жидкость из области головного мозга.
Шунт — это небольшая трубка, отводящая спинномозговую жидкость, чтобы предотвратить ее накопление.
В современных подходах к лечению эпендимомы, основанных на оценке риска, пациенты классифицируются с учетом специфических особенностей опухоли и прогнозируемого исхода. Врачи принимают во внимание следующие факторы:
Цель подхода, основанного на оценке риска, заключается в обеспечении излечения при одновременном снижении риска побочных эффектов лечения. Для пациентов с низким риском терапия меньшей интенсивности может снизить выраженность долгосрочных проблем, вызванных облучением и химиотерапией. Для пациентов с высоким риском более интенсивная терапия может повысить вероятность излечения.
Оказание паллиативной помощи и поддержка реабилитологовпсихологов и социальных работников может помочь пациентам и их семьям ослабить симптомы, повысить качество жизни и принимать решения по уходу за пациентом.
Жизнь после эпендимомы
Бывшим пациентам необходимо проходить регулярное наблюдение и процедуры диагностической визуализации, а также сдавать анализы, чтобы отслеживать возможные рецидивы или прогрессирование заболевания. В зависимости от вида опухоли, ответа на лечение и индивидуальных потребностей пациента, врач составит график обследований.
Поздний рецидив эпендимомы более распространен по сравнению с некоторыми другими типами рака. У большинства пациентов рецидив происходит в течение 5 лет после постановки диагноза. Однако эти опухоли могут рецидивировать и по прошествии пяти лет.
Обычный график последующего наблюдения:
Пациенты, перенесшие опухоли ЦНС, подвержены риску возникновения таких проблем, как нарушение когнитивных функций, потеря слуха, нарушения сна, гормональные нарушения, инсульт и вторичный рак. Они могут быть вызваны самой опухолью или развиваться как долгосрочные или отдаленные последствия лечения. Регулярные медицинские осмотры и обследования необходимы, чтобы выявить возможные проблемы со здоровьем, которые могут развиться спустя годы после терапии.
Эпендимомы
![Эпендимомы]()
Эпендимомы – редкие опухоли, исходящие из эпендимы – оболочки выстилающей изнутри желудочки головного мозга и центральный канал спинного мозга. Из этого следует, что в подавляющем большинстве случаев эпендимомы расположены в желудочковой системе и в спинном мозге интрадурально. Значительно реже эпендимомы встречаются вне желудочковой системы, непосредственно в веществе головного мозга. Отличительной чертой этих образований является то, что они лучше отграничены от мозгового вещества в сравнении с большинством других внутримозговых опухолей. Из этого следует, что задачей нейрохирурга является максимально радикальное удаление опухоли, как в случае интракраниальной локализации, так и при локализации эпендимомы в спинном мозге. В случае невозможности радикального удаления, возможно проведение последующей лучевой терапии.
Эпендимомы возникают из эпендимальных клеток, выстилающих желудочки мозга и центральный канал спинного мозга. Они могут располагаться по всей длине нервной трубки.
Частота:
Интракраниальная локализация: составляют ≈5-6% внутричерепных глиом, в 69% бывают у детей, составляя 9% педиатрических мозговых опухолей.
Спинальная локализация: ≈60% глиом спинного мозга, в 96% случаев встречаются у взрослых, особенно в области конечной нити.
Средний возраст пациентов в момент диагностирования опухоли:
Интракраниальная локализация: взрослые - 17 лет, дети - 5 лет.
Инфратенториальная локализация: взрослые - 14 лет, дети - 4 года.
Супратенториальная локализация: взрослые - 22 года, дети - 6 лет.
Спинальная локализация: 40 лет.
Интрамедуллярная локализация: 47 лет.
Каудальная часть: 32 года.
Эпендимомы обладают способностью распространяться по нервной трубке по ликворным путям, этот процесс называется обсеменением, что приводит к возникновению «потерянных» метастазов в 11% случаев. Частота метастазирования возрастает по мере повышения степени злокачественности опухоли. В редких случаях имеет место системное распространение.
Патология
1. Неанапластическая (низкая степень злокачественности)
2. Папиллярная: «классическое поражение» ГМ и СМ. Метастазирование возможно вплоть до 30%.
3. Миксопапиллярная эпендимома: отдельная форма, встречается только в области конечной нити. Папиллярная эпендимома с микрокистозными вакуолями и слизистым содержимым.
5. Анапластическая: плеоморфизм, многоядерность, гигантские клетки, митозы, сосудистые изменения, участки некроза (иногда при большей выраженности анапластических изменений используют термин эпендимобластома, но этот термин должен быть оставлен для отдельного вида опухолей, редких примитивных нейроэктодермальных опухолей у детей). Влияет ли степень анаплазии на исходы пока неясно.
Внутричерепные эпендимомы
1. Часто возникают в дне IV желудочка
2. Существует потенциальная угроза распространения по нервной трубке
3. Молодые пациенты имеют худший прогноз
4. Лечение: максимальная резекция с последующей лучевой терапией.
Обычно это хорошо отграниченные и доброкачественные опухо- ли (хотя встречаются и злокачественные эпендимомы). Они часто возникают в дне IV желудочка (в 60-70% случаев располагаются инфратенториально, всегда вблизи IV желудочка, на их долю приходится 25% от всех опухолей области IV желудочка). Эпендимомы задней черепной ямки у детей часто являются анапластическими, при этом имеется больший риск распространения по нервной трубке. Хотя гистологически они не выглядят такими злокачественными, как медуллобластомы, они имеют худший прогноз из-за того, что они имеют тенденцию врастать в obex(задвижку), что препятствует их полному удалению. Субэпендимомы: для них типично расположение в передних отделах боковых желудочков или в задней части IV желудочка, выраженная роль субэпендимарных глиальных клеток. Нередко обнаруживаются на аутопсиях, подлежат хирургическому лечению в редких случаях.
Клинические данные
Симптомы
Большинство из них связаны с наличием объемного образования в задней черепной ямке, сопровождающимся повышением внутричерепного давления:
3. Атаксия или вертиго: 60%
4. Припадки: при супратенториальной локализации только в ≈30% случаев; это составляет только 1% больных с внутричерепными опухолями, которые проявили себя припадками.
Диагностика
КТ/МРТ:
Обычно обнаруживают объемное образование в дне IV желудочка, часто с окклюзионной гидроцефалией.
Рентгенологически может быть трудно отличить от медуллобластомы, могут помочь следующие признаки:
1. Калицификаты часто встречаются в эпендимомах, но редко (<10%) в медуллобластомах
2. Медуллобластомы обычно возникают из крыши IV желудочка (из его вершины, фастигиума), который покрывает опухоль («симптом банана»), эпендимомы имеют тенденцию врастать в IV желудочек со дна
3. Эпендимомы имеют негомогенную структуру на МРТ в Т1 режиме
4. Экзофитный компонент в эпендимомах имеет тенденцию давать высокий сигнал на МРТ в Т2 режиме (у медуллобластом он только немного гиперинтенсивный)
Миелография
Миелография с водорастворимым контрастным веществом обладает такой же чувствительностью для определения метастаз, как и МРТ с гадолиниумом. Также при этом можно сделать цитологическое исследование цереброспинальной жидкости для определения стадии опухоли.
Лечение
Хирургическая резекция
Цель операции: максимальное удаление интракраниальной части опухоли без неврологического дефицита. Если имеется значительная инвазия опухоли в дно IV желудочка, то удалить ее тотально невозможно. После операции производят лучевую терапию и миелографию для исключения возможного метастазирования. 10 мл цереброспинальной жикдкости направляют на цитологическое исследование, чтобы определить количество злокачественных клеток (если они в ней есть), ее можно также использовать в качестве способа контроля эффективности лечения.
Лучевая терапия
Эпендимомы являются вторыми по радиочувствительности после медуллобластом. Лучевую терапию назначают после хирургического удаления опухоли (выживание улучшается после проведения лучевой терапии в послеоперационном периоде: выживание 50% пациентов было на 2 года больше при проведении лучевой терапии, чем без нее, при этом количество пациентов, имевших 5-летний срок выживания увеличивается с 20-40% до 40- 80%)
Исходы
Оперативная летальность: 5-8%. При тотальной резекции первичной интракраниальной опухоли и проведении последующей краниоспинальной лучевой терапии срок 5-летнего выживания составляет 41%. У молодых пациентов выживание хуже (в педиатрической группе срок 5-летнего выживания составляет 20-30%, по сравнению с почти 80% у взрослых). За исключением эпендимобластом, наличие злокачественных признаков в эпендимомах не обязательно является признаком худшего прогноза.
Читайте также:

