Суставы, кости при гемофилии - лучевая диагностика
Добавил пользователь Евгений Кузнецов Обновлено: 24.01.2026
Тяжелее эти процессы протекают в суставах нижних конечностей, в первую очередь, в коленных. Затем поражаются голеностопные суставы, тогда как тазобедренный сустав вовлекается в процесс реже и с менее выраженными изменениями, отличаясь по своему характеру [4].
По литературным данным, своевременная диагностика изменений в суставах при гемофилии на ранних стадиях их формирования, способствует назначению адекватной терапии, которая может существенно повлиять на прогноз эволюции заболевания [5, 6].
ном аппарате и мягких тканях у больных гемофилией с помощью цифровых рентгеновских аппаратов, компьютерной томографии, магнитно-резонансной томографии, ультразвукового исследования, сцинтиграфии [5, 7]. Магнитно-резонансная томография позволяет наиболее рано и достаточно точно идентифицировать изменения в суставах и периартикулярных тканях при
гемофилических артропатиях [7, 8]. A.B. Брюханов (1996) впервые в России внедрил МР-диагностику гемофилических артропатий, дополнил характеристику симптомов, стадий поражений суставов у больных гемофилией, впервые описал феномен реконверсии
костного мозга длинных трубчатых костей у больных гемофилией, оценил эффективность лечения гемофилических артропатий и предложил оптимальные сроки проведения контрольных МР-исследований [7].
Роль стандартной рентгенографии, несмотря на внедрение этих методов, не снижена, наоборот, этот метод является одним из первых методов в алгоритме диагностики при гемофилических артропатиях суставов при различных стадиях [4, 8]. Это неинвазивный, доступный и экономически выгодный метод, позволяющий в большинстве случаев определить поражение коленного при вовлечении в патологический процесс костных элементов, и, зачастую, эти изменения уже необратимы и трудны для лечения.
Тем более необходимо учитывать, что первичное лечебное звено мало оснащено МР-томографами, поэтому необходимо более детально изучать возможности имеющихся методов исследования.
Метод компьютерной томографии (КТ) является на сегодняшний день одним из наиболее информативных методов исследования для оценки костных изменений при патологии суставов [6, 7]. В последние годы его широко применяют для выявления даже незначительных изменений костной структуры при кровоизлияниях в суставы, причем на самых ранних стадиях развития заболевания [6, 8, 9]. Однако в литературе мало данных о применении КТ для уточнения стадии прогрессирования при гемартрозах, нет четкого описания КТ-семиотики различных стадий при гемофилических артрозах [9]. В имеющейся отечественной и зарубежной литературе основной акцент ставится на МРТ суставов [7, 10, 11], а при проведении КТ идет только констатация КТ-изменений в пораженных суставах, без четкого деления на стадии при прогрессировании гемартрозов. Возможности спиральной КТ при гемофилии пока малоизучены [10], и стадии заболевания в основном определяются по данным стандартной рентгенографии [9, 11].
Несмотря на то, что рентгенография является одним из первых традиционных методов диагностики при обследовании пациентов первичного звена и важным этапом в алгоритме лучевого исследования при гемартрозах, поиск новых путей комплексного обсле
дования позволит детализировать лучевую семиотику различных стадий гемофилических артропатий, что очень важно в условиях оптимизации обследования и современного лечения больных гемофилией рекомбинантными и другими препаратами [12, 13] и определении показаний к эндопротезированию суставов у пациентов с гемофилическими артрозами.
МАТЕРИАЛЫ И МЕТОДЫ
Работа основана на анализе результатов обследования и лечения 87 больных гемофилическими артропатиями крупных суставов, получавших лечение в специализированном отделе восстановительной ортохирургии и политравмы АО «РНЦНМП».
В соответствии с патогенетическими особенностями данного заболевания, все больные были мужского пола. Практически все больные были трудоспособного возраста со средним возрастом 42,5±10,3 года: 26-35 лет – 45,8 %, 36-55 лет – 34,5 %, 15-25 лет – 16,3 %, 46-55 лет – 3,4 % больных. При лабораторном обследовании у всех 87 больных выявлена гемофилия А.
Во всех случаях показанием для госпитализации в стационар явилось нарушение функции коленных суставов, из-за длительности заболевания все больные с детства были признаны инвалидами II–III группы по основному заболеванию.
Рентгенографию коленных и тазобедренных суставов до и после операции эндопротезирования проводили на цифровом рентгеновском аппарате «Siеmens».
Компьютерная томография проводилась на мультиспиральном компьютерном томографе аппарате «Somatom Sensation» 40sl, фирмы «Siеmens», с использованием мультипланарной реконструкции (МПР) и объемной (3D)-реконструкцией полученных аксиальных изображений. Также для оценки локального остеопороза в участках разряжения костной ткани проводилась количественная КТ-денситометрия, измерения производились в единицах Хаунсфильда (HU).
У 87 пациентов выявлено поражение 113 суставов –почти у всех пациентов артрозы были локализованы в коленном суставе
(артроз правого коленного сустава у 56 больных, левого коленного сустава – у 48 больных, в 9 случаях – поражение тазобедренного сустава). Причем из-за постоянных гемартрозов у 25 пациентов выявлены двухсторонние поражения коленных суставов.
После обследования и гематологической коррекции в виде заместительной терапии фактором VIII 65-ти пациентам с гемофилическими артрозами коленных суставов проведено эндопротезирование коленного сустава, эндопротезирование тазобедренного сустава – 5 пациентам из 9.
РЕЗУЛЬТАТЫ И ОБСУЖДЕНИЕ
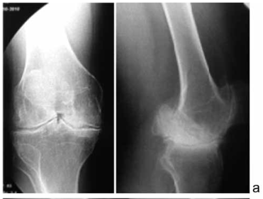
Всем пациентам при поступлении в стационар в первую очередь проведено рентгенологическое исследование коленного сустава с использованием цифровой системы, исследование проводилось до и после операции эндопротезирования (рис. 1).


Направляя луч параллельно суставной поверхности большеберцовой кости независимо от степени выраженности контрактуры коленного сустава, можно получить полное представление о состоянии суставной щели.
После оценки формы, размеров, контуров смежных эпиметадиафизов костей, образующих сустав, структуры их губчатого и кортикального веществ, делалось предварительное заключение о степени выраженности и распространенности изменений (кистоз костей сустава, остеопороз, предполагаемая остеопения, местный, регионарный, распространенный, предположительно системный процесс). При этом учитывались архитектоника костной структуры губчатого и компактного вещества, соотношение толщины кортикальных пластинок диафизов к ширине костномозгового канала.
Для оценки тяжести поражений суставов у больных гемофилией мы придерживались клинико-рентгенологической классификации Э.З. Новиковой [4], в которой различают четыре стадии гемофилического остеоартроза.
В I стадии увеличен объём сустава за счёт кровоизлияния. В «холодном» периоде функция сустава не нарушена, но рентгенологически может обнаруживаться утолщение и уплотнение суставной капсулы, а также умеренный остеопороз суставных концов.
Во II стадии определяются характерные изменения в субхондральном слое эпифизов - краевые узуры, образование субхондральных кист. Визуализируются не большие краевые дефекты на боковых поверхностях суставных концов от локального воздействия гематом. Остеопороз прогрессирует. Объём движений в суставе уменьшен.
В III стадии сустав значительно увеличен, дефигурирован, имеется гипотрофия мышц. Амплитуда движений резко ограничена.
Рентгенологически определяется деформация суставных концов, разрушение субхондрального слоя, сужение суставной щели. Имеются краевые костные разрастания, выражен остеопороз.
В IV стадии функция сустава полностью утрачивается, суставная щель резко сужена или отсутствует. Отмечается выраженный склероз субхондрального слоя кости и кистовидная перестройка эпифизов.
Согласно данной классификации, по данным рентгенографии из 104 обследованных коленных суставов в 27 (26 %) патологии не выявили (хотя пациенты жаловались на боли в суставах), I рентгенологическая стадия диагностирована в 6 (5,8 %) коленных суставах, II стадия – в 7 (6,7 %), рентгенпризнаки артроза III стадии выявлены в 39 (37,5 %), IV стадии – в 25 (24 %) суставах. У всех 9 больных с жалобами на боли в тазобедренном суставе рентгенологическая картина соответствовала III-IV стадии артроза, с грубым нарушением функции суставов.
Также на рентгенограммах нами выявлены тени обызвествленных гематом в мягких тканях вокруг сустава, чаще в подколенной области, как в ранних стадиях, так и в запущенных стадиях гемофилического остеоартроза.
Как было отмечено выше, данная классификация не имеет достаточно четких критериев каждой стадии и является, на наш взгляд, ориентировочной в оценке тяжести суставного поражения. В настоящее время, как правило, не ограничиваются лишь рентгенологическим исследованием и в окончательном заключении учитывают результаты дополнительных методов исследований, позволяющих с большей точностью судить о патологических изменениях в суставе. Кроме признаков, приведенных в классификации, ряд авторов отмечал характерное изменение надколенника в виде увеличения его передне-заднего размера, приобретении квадратной или прямоугольной формы и небольшого смещения в латеральную сторону [10].
Типичным симптомом является кратеро- или туннеле подобное разрушение в области межмыщелковой ямки бедренной кости [3, 4, 13].
Традиционно для определения рентгенологической стадии остеоартроза коленных суставов используется классификация I. Kellgren и I. Lawrence (1957) [14], усовершенствованная М. Lequesne в 1982 г. [15], основанная на оценке степени выраженности сужения рентгеносуставной щели, субхондрального остеосклероза и величины краевых костных разрастаний, в ней выделяются 4 стадии.
Суставы, кости при гемофилии - лучевая диагностика
а) Терминология:
• Х-сцепленное рецессивное заболевание свертывания крови, обусловленное недостаточностью факторов свертывания
• Гемофилическая псевдоопухоль: неопухолевое объемное образование, возникающее при повторных внутрикостных, поднадкостничных или мягкотканных кровотечениях
б) Визуализация:
• Локализация артропатии: коленный > локтевой > голеностопный > тазобедренный суставы
• Локализация псевдоопухоли: мягкие ткани > кость:
о Внутрикостная псевдоопухоль: бедренная кость > таз > большеберцовая кость > мелкие кости кисти > пяточная кость
• Рентгенография: гемофилическая артропатия:
о Воспалительный синовит, обусловленный разрушением хряща, эрозиями и субхондральными кистами
о Обычно наблюдается избыточный рост (раздувание) эпифизов и метафизов, обусловленный гиперемией: диафизы тонкие
о Крупный выпот, ↑ плотности, если хронические кровотечения приводят к отложению гемосидерина в синовиальной оболочке
(Слева) Рисунок: типичная локализация гемофилической артропатии. Наиболее часто поражается коленный сустав, затем по частоте поражения идут локтевой и голеностопный суставы. Гемофилическая псевдоопухоль распространяется иначе и чаще всего наблюдается в области бедренной кости/бедра и таза.
(Справа) Рентгенография коленного сустава в боковой проекции: у ребенка определяется крупный плотный выпот, эрозия и сужение хряща. Эпифизы значительно увеличены в размерах, диафиз тонкий. Это типичная картина коленного сустава при гемофилии при прогрессировании заболевания. (Слева) Рентгенография коленного сустава в боковой проекции: у подростка определяется крупный выпот. Также обратите внимание на увеличение мыщелков (раздувание) относительно диафиза бедренной кости.
(Справа) Рентгенография в ПЗ проекции: у этого же пациента определяется гипертрофия мыщелков бедренной кости и расширение мыжмыщелковой борозды. Процесс находится на относительно ранней стадии, поскольку еще не начались сужение хряща и эрозия. Эти признаки характерны как для гемофилической артропатии, так и для юношеского идиопатического артрита; по данным анамнеза пациент страдает гемофилией.
• Рентгенография: псевдоопухоль:
о При локализации в кости наблюдается значительно распространенное литическое поражение; изъязвление эндоста и истончение кортикального слоя
о При локализации в поднадкостничной области или мягких тканях наблюдается изъязвление наружного края кости с заострением края, необычная периостальная реакция
• МРТ: гемофилическая артропатия:
о Неоднородный выпот как на Т1 ВИ, так и на Т2 ВИ: обусловлен продуктами разных стадий распада крови
о Отложения гемосидерина по ходу синовиальной выстилки
о Возможно наличие уровня жидкость-жидкость (продукты распада крови)
в) Дифференциальная диагностика:
• Юношеский идиопатический артрит
• Туберкулезный артрит
• Пигментный виллонодулярный синовит
г) Клинические особенности:
• Лечение: агрессивное использование синтетических факторов свертывания:
о Хронический: синовэктомия; в конечной стадии - артропластика
Кости при серповидноклеточной анемии - лучевая диагностика
а) Терминология:
• Наследственная гемоглобинопатия у лиц, гомозиготных по гену HbSS (аутосомно-рецессивный тип наследования)
• Визуализации опорно-двигательной системы:
о Хроническая гемолитическая анемия
о Нарушение микроциркуляции, обусловленное серповидными эритроцитами в условиях низкого кислородного давления
• Может наблюдаться инфаркт любой кости:
о Длинные кости: бедренная в 96%, плечевая в 48% случаев
о Мелкие трубчатые кости верхних и нижних конечностей
о Позвоночник: 43-70%; череп: 25%
• Остеонекроз (ОН): головка бедренной кости > головка плечевой кости > тела позвонков > другая локализация:
о У 50% пациентов ОН развивается к 35 году жизни
(Слева) Рисунок, корональный срез: большеберцовая кость при серповидноклеточной (СК) анемии. Зона некроза изображена мутно-желтой. Здоровая кость расположена более проксимально; между двумя этими областями изображена область остеомиелита.
(Справа) Рентгенография в ПЗ проекции: определяются неоднородные области повышенной и сниженной плотности. Хронический инфаркт кости, нередко с присоединением фиброза, часто приводит к формированию такой пятнистой картины склероза. Рентгенографическая картина неспецифична, но следует предполагать СК анемию. (Слева) MPT, STIR, корональный срез: определяется высокая интенсивность сигнала, обусловленная змеевидными инфарктами кости. Такая картина говорит о хроническом течении процесса. Кроме того, наблюдается более диффузная область гиперинтенсивного сигнала в заднем отделе вертлужной впадины и седалищной кости. В этой области возникает острая боль, и у пациента с СК анемией она может соответствовать либо острому инфаркту, либо остеомиелиту.
(Справа) МРТ, постконтрастное Т1ВИ, корональный срез (у этого же пациента): определяется контрастирование ободка подострого инфаркта и более диффузное контрастирование в другой области (при биопсии подтвержден острый инфаркт, а не инфекция).
• Рентгенологическая картина инфаркта кости:
о Острая стадия: нормальная, редко наблюдается лизис или периостальная реакция
о Очаговая стадия (подострая/хроническая): змеевидная кальцификация
о Диффузная стадия (хроническая): неоднородный диффузный склероз
• На МР-томограммах может наблюдаться сложный сигнал, обусловленный сочетанием факторов:
о Репопуляция костного мозга
о Инфаркт костного мозга
о Фиброз костного мозга
о Присоединение инфекции
• Инфекция (у 18% пациентов развивается остеомиелит, у 7% - септический артрит)
в) Диагностическая памятка:
• Следует обращать внимание на сигнал от костного мозга:
о Отек костного мозга может быть первым признаком развивающегося остеонекроза:
- Неспецифический признак, на который необходимо обращать внимание у пациентов с таким высоким риском остеонекроза
• При визуализации острая стадия инфаркта и остеомиелит могут быть неотличимы:
о Для дифференциального диагноза используйте МРТ в режиме Т1 ВИ с подавлением сигнала от жира
а) Терминология:
1. Аббревиатура:
• Серповидноклеточная (СК) анемия
2. Определения:
• Наследственная гемоглобинопатия у лиц, гомозиготных по гену HbSS (аутосомно-рецессивный тип наследования):
о Картина при визуализации опорно-двигательного аппарата отражает один или оба из следующих процессов: хроническая гемолитическая анемия и нарушение микроциркуляции, обусловленное серповидными эритроцитами в условиях низкого кислородного давления
• Гетерозиготы: HbSA (признак серповидных клеток), HbSC (↓ тяжесть)
1. Общая характеристика:
• Лучший диагностический критерий:
о Генерализованное пятнистое уплотнение костной ткани на рентгенограммах, отражающее хронические диффузные инфаркты кости
о Остеонекроз (ОН), особенно головки бедренной кости, головки плечевой кости или тел позвонков
о Грудная клетка: кардиомегалия, инфаркт легкого; брюшная полость: камни в желчном пузыре, отсутствующая или кальцифицированная селезенка (инфаркт селезенки с последующей аутоспленэктомией)
• Локализация:
о Инфаркт может наблюдаться в любой кости:
- Длинные кости: бедренная в 96%, плечевая в 48%
- Мелкие трубчатые кости кистей и стоп: 20-50%
- Позвоночник: 43-70%, череп: 25%
о ОН: головка бедренной кости > головка плечевой кости > тела позвонков > другая локализация
(Слева) Рентгенография в ПЗ проекции: у ребенка определяется периостальная реакция с вовлечением нескольких пястных костей. Она является проявлением инфарктов при синдроме кистей-стоп, часто первым проявлением серповидноклеточной анемии.
(Справа) КТ, костное окно, аксиальный срез: в телах позвонков определяются пятнистые инфаркты кости. Кроме того, определяется кальцифицированная гипоплазированная селезенка, что обусловлено инфарктом; в области, в норме занятой селезенкой, расположена петля кишечника. Аутоинфаркт селезенки - часто встречающийся признак серповидноклеточной анемии. (Слева) Рентгенография в ПЗ проекции: определяются диффузные инфаркты бедренной кости и вертлужной впадины. Кроме того, в головке бедренной кости наблюдается признаки ранней стадии остеонекроза в виде уплотнения в центральной части нагружаемой области. Разрушение правой головки бедренной кости еще не произошло.
(Справа) Рентгенография в ПЗ проекции: у этого же пациента молодого возраста с серповидноклеточной анемией в противоположной бедренной кости определяется намного более тяжелая стадия остеонекроза в виде субхондрального перелома и разрушения нагружаемой части головки бедренной кости. (Слева) МРТ Т2ВИ, корональный срез: у пациента с серповидноклеточной анемией определяется диффузная область низкоинтенсивного сигнала, обусловленная репопуляцией красного костного мозга. В болезненной области левого бедра определяется отек и выпот. Такая картина может соответствовать сепсису тазобедренного сустава, при пункции обнаружен стерильный выпот.
(Справа) МРТ Т2ВИ, корональный срез: на изображении, полученном через семь месяцев, определяется уплощение головки бедренной костив Это случай остеонекроза с субхондральным переломом. Это часто встречающееся осложнение серповидноклеточной анемии. Отек, наблюдавшийся ранее, был ранним, но неспецифичным признаком остеонекроза.
2. Рентгенография костей при серповидноклеточной анемии:
• Инфаркт кости:
о Длинные кости:
- Острая стадия: нормальная картина; редко наблюдается лизис или периостальная реакция; подострая/хроническая стадия, очаговое поражение: ползучая кальцификация; хроническая стадия, диффузное поражение: пятнистый диффузный склероз; в некоторых случаях ассоциирован с периостальной реакцией
о Трубчатые кости кистей и стоп (дактилит):
- Изначально наблюдается периостальная реакция, позже возникает пятнистый склероз
• ОН (у 50% пациентов к 35 годам):
о Головки бедренной и плечевой костей: изначально ↑ плотности в центральной части; область концентрации нагрузки: передневерхний отдел головки; субхондральная линия перелома в виде просветления, параллельная кортикальному слою в областях концентрации нагрузки; уплощение со смешанной литической и склеротической плотностью
о Тело позвонка: изначально склероз ниже замыкательной пластинки:
- Разрушение центральной части замыкательных пластинок с формированием либо двояковогнутой формы позвонка, либо более заостренной Н-образной формы
• Репопуляция костного мозга:
о Нечасто встречающийся рентгенологический признак или часто настолько невыраженный, что не отмечается за исключением случаев тяжелой анемии
о В костях черепа может наблюдаться легкое расширение диплоического вещества с истончением свода черепа:
- Картина по типу «волосы дыбом» наблюдается нечасто или не выражена при СК анемии, в отличие от талассемии
- В нижней челюсти могут обнаруживаться грубые трабекулы
• Инфекция: у 18% развивается остеомиелит, у 7% -септический артрит:
о Периостальная реакция
о Нечеткость границы/облитерация жировой прослойки
о Со временем возникает размытость костной границы
• Аномалии роста: преждевременное сращение эпифизов (→ диспропорциональный рост), конические эпифизы
• Аутоинфаркт селезенки:
о Тень селезенки в левом заднем верхнем квадранте заменена кишечными газами; мелкая селезенка может быть кальцифицирована
(Слева) МРТ Т1ВИ, корональный срез: у пациента с серповидноклеточной анемией, обследованного для оценки остеонекроза, определяется низкая интенсивность сигнала во всех костях, что говорит о диффузной репопуляции костного мозга. В каждой головке бедренной кости наблюдается небольшая область высокой интенсивности сигнала. Сигнал такой высокой интенсивности на Т1ВИ при инфаркте не ожидается.
(Справа) МРТ Т2ВИ, сагиттальный срез (тот же случай): зона высокоинтенсивного сигнала В расположена сзади, а не в ожидаемой локализации некроза. Она соответствует небольшой области сохранного нормального желтого костного мозга. Прогрессии остеонекроза не наблюдается. (Слева) МРТ, корональный срез, Т1ВИ: определяется репопуляция красного костного мозга в области таза и проксимального отдела бедренной кости. Фиброз и отложение гемосидерина также обусловливают низкую ИС. Змеевидные низкоинтенсивные инфаркты кости накладываются на этот аномальный костный мозг.
(Справа) MPT, STIR, аксиальный срез: подтверждаются змеевидные инфаркты кости в головках и метафизах бедренных костей. Инфаркты являются частыми осложнениями СК анемии и могут наблюдаться либо как обособленные змеевидные очаги, как и в этом случае, либо как диффузные неоднородные изменения плотности кости. (Слева) Рентгенография в ПЗ проекции: у ребенка с серповидноклеточной анемией, лихорадкой и лейкоцитозом в дисталь -ных отделах лучевой и локтевой костей определяются литические поражения с периостальной реакцией и деструкцией кортикальной пластинки. Эта картина оказалась проявлением остеомиелита, обусловленного сальмонеллой.
(Справа) МРТ Т2ВИ, режим подавления сигнала от жира, корональный срез: у пациента с серповидноклеточной анемией определяется повышение интенсивности сигнала от всего крестца, диагностирован остеомиелит. При острой стадии инфаркта кости может наблюдаться такая же картина. Низкая интенсивность сигнала от подвздошных костей В обусловлена сочетанием репопуляции костного мозга и отложения железа.
3. МРТ костей при серповидноклеточной анемии:
• Инфаркт кости:
о Острая стадия: очаговые области низкой интенсивности сигнала на Т1 ВИ и высокой интенсивности сигнала на Т2 ВИ при МРТ (отек); могут быть незначительными:
- При Т1 ВИ с подавлением сигнала от жира часто определяется очаг высокой ИС в области острого сигнала:
Обусловлен измененными эритроцитами; может помочь дифференцировать острый инфаркт от инфекции
- Постконтрастное Т1 ВИ: тонкое линейное ободковое контрастирование
о Хроническая стадия: пятнистая или очаговая картина, классическая змеевидная картина:
- МРТ Т1ВИ: змеевидные области очень низкой интенсивности сигнала, очерчивающие красный костный мозг
- МРТ Т2ВИ: змеевидная граница с высокой интенсивностью сигнала; часто наблюдается конфигурация в виде двойной линии низкой и высокой интенсивности сигнала
• Остеонекроз:
о Изначально может визуализироваться в виде отека костного мозга
о Более поздняя картина: МРТ Т1 ВИ: низкая интенсивность сигнала в нагружаемой области; МРТ Т2 ВИ: змеевидный ободок двойной плотности (высокая и низкая интенсивность сигнала) вокруг области некроза в нагружаемой части кости; со временем - субхондральный перелом и уплощение
• Репопуляция костного мозга:
о МРТ Т1ВИ: красный костный мозге низкой интенсивностью сигнала (↓ или изоинтенсивный по отношению к мышцам или диску) замещает жировые отложения в костном мозге; могут наблюдаться очаг или участки сохранного желтого костного мозга
о МРТ Т2ВИ: в костном мозге сохраняется низкая интенсивность сигнала от красного костного мозга, чуть гиперинтенсивная по отношению к мышцам
о Градиент-эхо: в областях репопуляции могут наблюдаться области «выцветания» изображения, обусловленные отложением гемосидерина при хронических переливаниях крови
о Визуализация в противофазу: области репопуляции со ↓ ИС> 20%, т.к. в костном мозге сохраняется жировая ткань
о Репопулированный костный мозг контрастируется только в 10% случаев
о Характер репопуляции тот же, что и при всех причинах репопуляции, обратного преобразования или стимуляции роста костного мозга:
- Осевой скелет, затем дистальные отделы конечностей
- Крупные трубчатые кости: метафизы, затем диафиз, эпифизы
• Остеомиелит:
о Т1 ВИ: сливные области низкой интенсивности сигнала; могут не отличаться от областей низкой интенсивности сигнала при гиперплазии красного костного мозга
о Последовательности, чувствительные к жидкости: высокая интенсивность сигнала; отек прилегающих мягких тканей, целлюлит или абсцесс
о Постконтрастные Т1 ВИ: рельефный, толстый, неровный ободок контрастирования вокруг красного костного мозга, реактивные изменения прилегающих мягких тканей или абсцесс
• Внекостномозговой гемопоэз (при СК анемии встречается реже, чем другие варианты серповидных клеток)
о Гепатомегалия, отложения в грудной клетке и коже
• Мионекроз: встречается редко; гиперинтенсивный сигнал на последовательностях, чувствительных к жидкости и контрастирование мышечной ткани и фасций
4. Рекомендации по визуализации:
• Лучший метод визуализации:
о Диагноз обычно устанавливает по данным рентгенографии
о МРТ может быть необходима для диагностики инфаркта в ранней стадии/ОН
о МРТ может дифференцировать острый инфаркт/остеомиелит
(Слева) Рисунок, сагиттальный срез: вдавливание замыкательных пластинок тел позвонков в виде ступеньки, что обуславливает их Н-образную форму. Инфаркт возникает в центральной области замыкательной пластинки и кость в этой области разрушается. При остеонекрозе тел позвонков также может сформироваться их двояковогнутая форма.
(Справа) КТ, костное окно, корональный срез: определяется склероз тел позвонков, обусловленный множественными инфарктами кости. Наблюдается разрушение замыкательных пластинок как по двояковогнутому, так и по Н-образному типу. Оба типа наблюдаются при остеонекрозе замыкательных пластинок. (Слева) МРТ Т1ВИ, корональный срез: в костном мозге, печени и селезенке определяются типичные признаки трансфузионного гемосидероза в виде ↓ ИС в этих областях. Отложение гемосидерина обусловлено постоянными переливаниями крови. При визуализации в режиме градиент-эхо будет определяться «выцветание».
(Справа) МРТ Т2ВИ, сагиттальный срез: определяется множество Н-образных позвонков в позвоночнике. Обратите внимание на диффузную область сниженной интенсивности сигнала в телах позвонков; она ниже по отношению к сигналу, наблюдаемому обычно при репопуляции костного мозга, и характерна для отложения гемосидерина, обусловленного переливаниями крови этому пациенту с серповидноклеточной анемией. (Слева) МРТ Т1ВИ, корональный срез: в позвонках определяются области ↓ ИС, обусловленные отложением железа и репопуляцией. Также наблюдаются распространенные области застарелого инфаркта костного мозга, сейчас замещенные фиброзной тканью с серой ИС. Сигнал от костного мозга при СК анемии может изменяться за счет комбинации инфаркта костного мозга, репопуляции и фиброза.
(Справа) Рентгенография в боковой проекции: у пациента 16 лет с серповидноклеточной анемией определяется слегка расширенное диплоическое пространство. Расширение выражено слабее, чем при талассемии.
в) Дифференциальная диагностика серповидноклеточной анемии:
1. Талассемия:
• Гиперплазия костного мозга в длинных костях
• Череп: гиперплазия костного мозга с щажением затылка
• Внекостномозговое кроветворение (околопозвоночный очаг)
• Остеонекроз и диафизарные инфаркты при талассемии встречаются намного реже, чем при серповидноклеточной анемии
2. Серповидноклеточная аномалия эритроцитов (гетерозиготная форма по гену HbSA):
• Небольшое число изменений опорно-двигательного аппарата
• Инфаркты кости встречаются относительно редко
3. Серповидное заболевание гемоглобина С (HbSC):
• Гиперплазия костного мозга костей черепа
• Остеонекроз, немногочисленные инфаркты кости
• Спленомегалия встречается чаще, чем инфаркт селезенки
г) Патология. Общая характеристика:
• Этиология:
о Структурный дефект HbS гемоглобина: глутаминовая кислота в 6 позиции заменяется валином
о Порядок событий, ведущих к инфаркту:
- Низкое кислородное давление → изменение формы и пластичности эритроцитов → повышение вязкости крови, стаз — окклюзия мелкокалиберных сосудов серповидными клетками:
Риску особенно подвержены мелкие терминальные сосуды головок бедренной и плечевой костей
В телах позвонков терминальные сосуды формируют петлю под замыкательными пластинками; при очаговом остеонекрозе замыкательных пластинок разрушается 75% их центральной части с формированием Н-образного позвонка
о Дактилит:
- Пониженная окружающая температура → сужение сосудов кроветворного костного мозга пальцев → инфаркт кости; часто 1-е проявление СК (в промежутке 6 месяцев-2 года); периостальная реакция может обусловить невозможность дифференцировки инфаркта и остеомиелита
о Высокий риск остеомиелита:
- Большинство случаев обусловлено Staphylococcus
- Остеомиелит, обусловленный Salmonella, встречается чаще, чем в здоровой популяции
о Первые шесть месяцев у детей не возникает признаков заболевания, что обусловлено повышенным уровнем плодного гемоглобина (HbF)
• Генетика:
о Гемоглобин S (HbS) всех форм:
- Дефектная форма гемоглобина (HbS) обусловлена заменой одной аминокислоты в гене β-глобина в XI хромосоме
о Серповидноклеточная анемия (HbSS): гомозиготная форма; мутация HbS обоих генов β глобина
о Серповидный гемоглобин С (HbSC): гетерозиготная форма; 1 ген HbS, 1 ген гемоглобина С
о Серповидноклеточная аномалия эритроцитов (HbSA): гетерозиготная форма; 1 ген HbS; 1 нормальный ген
• Ассоциированные аномалии:
о Тромбоз/инфаркт:
- Папиллярный некроз почки, холелитиаз, аутоинфаркт селезенки, кардиомегалия, инфаркт легкого, инсульт
о Может сочетаться с талассемией
д) Клинические особенности:
1. Проявления:
• Типичные признаки/симптомы:
о Серповидноклеточный криз:
- Внезапное возникновение сильных болей в костях, брюшной и грудной полости
- Часто является следствием инфекции, низкой температуры или гипоксии, связанной с высотой/полетом на самолете
- ± лихорадка, лейкоцитоз
- Время протекания: от нескольких часов до дней
о Синдром кистей/стоп:
- Часто начальное проявление у детей в возрасте 0,5-2 лет
- Отек, снижение объема движений пальцев
- Происходит при контакте с низкими температурами и последующем сужении сосудов
- Исчезает самостоятельно, в срок от нескольких дней до недель
2. Демография:
• Возраст:
о Начальные проявления в первые два года жизни; симптомы сохраняются на протяжении всей жизни
3. Течение и прогноз:
• Повторяющиеся эпизоды приводят к прогрессированию инфаркта кости
• ОН обусловливает артрит и необходимость хирургического вмешательства
• Повторные госпитализации обусловлены кризами или инфекцией
• Факторы неблагоприятного прогноза: дактилит в возрасте до одного года, уровни гемоглобина • Преждевременная смерть (в среднем до 48 года жизни):
о Основные причины: пневмония, менингит, инсульт
е) Диагностическая памятка. Советы по интерпретации изображений:
• Обращайте внимание на сигнал от костного мозга:
о Отек костного мозга может быть первым признаком начинающегося остеонекроза
о Сигнал от костного мозга может быть осложнен
- Сочетание репопуляции, инфаркта и фиброза
• Острый инфаркт и остеомиелит могут быть неотличимы при визуализации:
о Т1 ВИ с подавлением сигнала от жира может помочь при дифференциальной диагностике (при остром инфаркте наблюдается ↑ ИС)
ж) Список использованной литературы:
1. Walters МС: Update of hematopoietic cell transplantation for sickle cell disease. Curr Opin Hematol. 22(3):227-33, 2015
2. Wood JC: Estimating tissue iron burden: current status and future prospects. Br J Haematol. ePub, 2015
1. Синонимы:
• Гемофилия типа А (недостаточность фактора VIII), гемофилия типа В (недостаточность фактора IX, болезнь Кристмаса)
2. Определения:
• Сцепленное с X хромосомой нарушение свертывания крови, обусловленное недостаточностью факторов свертывания
• Гемофилическая псевдоопухоль: неопухолевое объемное образование, развивающееся при повторяющихся очаговых внутрикостных, поднадкостничных или мягкотканных кровотечениях
1. Общая характеристика:
• Лучший диагностический критерий:
о Напряженный гемартроз, артропатия, деформация роста
о МРТ: узелки «выцветания» изображения, обусловленные отложениями гемосидерина
• Локализация:
о Артропатия: коленный > локтевой > голеностопный > тазобедренный > плечевой сустав:
- Возможно поражение нескольких суставов, но обычно несимметричное
о Псевдоопухоль: мягкие ткани > кость > поднадкостничная область:
- Внутрикостные псевдоопухоли: бедренная кость > таз > большеберцовая кость > мелкие кости кисти > пяточная кость
- Мягкотканная псевдоопухоль: бедро > ягодичная область > подвздошно-поясничная мышца
• Морфология:
о Хронический гемартроз и гиперемия → деформации роста:
- Избыточный рост эпифизов/метафизов (раздувание)
- Раннее зарастание зон роста обусловливает различную длину конечностей
(Слева) Рентгенография в боковой проекции, мужчина 31 года: определяется истончение хряща в области надколенно-бедренного сустава с неровностью сустава и эрозией задней поверхности большеберцовой кости. Наблюдается избыточный рост (раздувание) эпифизов относительно тонких диафизов.
(Справа) МРТ Т1ВИ, корональный срез: у этого же пациента определяется распространенное эрозивное поражение. Учитывая морфологию и пол пациента, следует предположить гемофилическую артропатию. (Слева) MPT Т2 ВИ, режим подавления сигнала от жира, сагиттальный срез: у этого же пациента определяется объем разрушения хряща, полная толщина всех поверхностей, отек костного мозга. Тяжелая артропатия характерная для гемофилической артропатии.
(Справа) MPT, GRE, сагиттальный срез: у этого же пациента определяется «выцветание» изображения в синовиальной оболочке. Это характерная картина при отложении гемосидерина, подтверждающая диагноз гемофилической артропатии. (Слева) МРТ Т1ВИ, сагиттальный срез: на артрограмме определяются отложения гемосидерина с низкой интенсивностью сигнала, утолщение синовиальной оболочки, неровность хряща и отек костного мозга, окружающего крупную субхондральную кисту.
(Справа) МРТ Т2ВИ, сагиттальный срез: на артрограмме также определяются отложения гемосидерина с низкой интенсивностью сигнала и утолщение синовиальной оболочки. Еще более заметен отек костною мозга. Хрящ отсутствует как в большеберцово-таранном, так и в подтаранном суставах. Все эти признаки характерны для гемофилической артропатии.
2. Рентгенография при гемофилии:
• Гемофилическая артропатия:
о Крупный выпот:
- Увеличение плотности, если хронические кровотечения обусловливают отложения гемосидерина в синовиальной оболочке
о Характер избыточного роста:
- Обычно наблюдается избыточный рост (раздувание) эпифизов и метафизов, обусловленный гиперемией; диафизы тонкие
- В области локтевого сустава особенно увеличивается головка локтевой кости
о Преждевременное зарастание зон роста приводит к укорочению конечностей
о Остеопороз
о Паннус вызывает эрозию и расширение межмыщелковой борозды коленного сустава, вертельной вырезки локтевого сустава
о Воспалительный синовит приводит к разрушению хряща, эрозии и субхондральных кистам
о Со временем развивается вторичный остеоартрит
• Гемофилическая псевдоопухоль:
о Если расположена в кости, то наблюдается крайне распространенное литическое поражение:
- Из-за размеров картина выглядит необычной, но является рельефной
- Может возникать одно литическое поражение или множество очагов
- Часто наблюдаются дочерние кисты
- Может содержать перегородки
- Редко наблюдаются дистрофические кальцификаты
- Изъязвление эндоста, истончение кортикального слоя
- Склерозированный ободок с четким контуром
- Реактивное костеобразование в прилегающей области
о Если сформировалось под надкостницей или в мягких тканях:
- Мягкотканная плотность ± внутренние кальцификаты
- Изъязвление наружной поверхности кости с острым краем
- Периостальная реакция может обусловливать необычную картину в виде острых костных выростов, перпендикулярных кости
3. КТ при гемофилии:
• Важная для оценки перегородок и тонкого кортикального ободка псевдоопухоли
• При КТ с контрастированием можно определить границы и толщину стенки периферической капсулы
• Вариабельная КТ-плотность в центральной части, соответствует различными стадиям кровоизлияния
4. МРТ при гемофилии:
• Гемофилическая артропатия:
о Отложения гемосидерина по ходу синовиальной оболочки сустава:
- Могут быть узелковыми
- Низкая интенсивность сигнала при всех последовательностях, «выцветание» при градиентном эхо
о Неоднородный выпот на Т1 ВИ и Т2 ВИ: продукты различных стадий распада крови:
- Острая: изоинтенсивный сигнал на Т1 ВИ, гипоинтенсивный на Т2ВИ
- >одной недели: ИС постепенно ↑ и на Т1 ВИ, и на Т2 ВИ
- Возможно наличие уровней жидкость-жидкость
о Разрушение хряща, субхондральные эрозии и кисты
• Гемофилическая псевдоопухоль:
о Внутрикостномозговое кистозное образование:
- Тонкий ободок сигнала низкой интенсивности
- Может наблюдаться периостальная реакция с низкой интенсивностью сигнала и реактивное костеобразование в прилегающей области
- Отложения гемосидерина с низкой интенсивностью сигнала в стенках
- Содержат жидкостный компонент, лучше всего визуализирующийся на Т2 ВИ и постконтрастных Т1 ВИ; могут присутствовать уровни жидкость-жидкость
- Сложный внутренний сигнал (застарелые и рецидивирующие кровоизлияния, формирование сгустка): смешанные области высокой и низкой интенсивности сигнала при всех последовательностях
о Мягкотканная/поднадкостничная псевдоопухоль:
- Узелковые отложения гемосидерина по ходу капсулы образования (низкая интенсивность сигнала при всех последовательностях, «выцветание»)
- Эрозии, обусловленные давлением (изъязвление) прилегающей кости
- Костные выросты с низкой интенсивностью сигнала, выдающиеся на несколько сантиметров перпендикулярно длинной оси кости
- Давление может обусловливать боль, некроз кожи и, со временем, инфекцию
- Мягкотканное объемное образование характеризуется неоднородностью на Т1 ВИ и Т2 ВИ, обусловленной продуктами различных стадий распада крови
- Могут наблюдаться уровни жидкость-жидкость
5. УЗИ при гемофилии:
• УЗИ используется для отслеживания прогрессирования/разре-шения псевдоопухоли
6. Рекомендации по визуализации:
• Лучший метод визуализации:
о Первоначальная диагностика по данным рентгенографии
о МРТ используется для подтверждения наличия гемосидерина и оценки любого объемного образования и прилегающих периферических нервов
• Советы по протоколу исследования:
о При последовательностях с использованием градиентного эхо определяется «выцветание» изображения, обусловленное отложением гемосидерина в синовиальной оболочке
(Слева) Рентгенография в ПЗ проекции: определяются огромные субхондральные кисты по обе стороны от сустава, но особенно в таранной кости. На этих урезанных изображениях степень избыточности роста не очевидна, но сужение хряща и эрозивное поражение значительны. У этого молодого мужчины имеется выраженная артропатия в сочетании с гемофилией в анамнезе.
(Справа) Рентгенография в косой проекции: определяется избыточный рост головки лучевой кости и небольшое субхондральное кистозное образование в локтевой и плечевой костях - признаки, наблюдаемые на ранней стадии гемофилической артропатии. (Слева) Рентгенография в ПЗ проекции: определяется типичная картина поздней стадии артропатии локтевого сустава. Наблюдается крупное субхондральное кистозное образование, расширение вертельной вырезки и значительный избыточный рост головки лучевой кости.
(Справа) МРТ Т1ВИ, корональный срез: определяются эрозивные изменения головки плечевой кости. Хрящ плечевою сустава полностью отсутствует. Несмотря на то что это изображение было получено в режиме Т1ВИ, можно увидеть разрыв вращательной манжеты плеча. Кроме того, наблюдается объемное образование с низкой интенсивностью сигнала, выстилающее поддельтовидную сумку. (Слева) МРТ, режим протонной плотности, аксиальный срез: на уровне нижней части плечевого сустава определяется плотное объемное образование с низкой интенсивностью сигнала, выстилающее поддельтовидную сумку, что согласуется с картиной на предыдущем изображении. Вещество с низкой интенсивностью сигнала также наблюдается внутри сустава.
(Справа) МРТ, градиентное эхо, аксиальный срез: на этом же уровне определяется «выцветание» объемного образования в поддельтовидной сумке и объемных образований в полости сустава. Это позволяет с большой вероятностью говорить о гемофилической артропатии с отложением гемосидерина.
в) Дифференциальная диагностика:
1. Гемофилическая артропатия:
• Юношеский идиопатический артрит (ЮИА):
о ЮИА развивается у пациентов с незрелым скелетом, поэтому гиперемия вызывает избыточный рост и раннее сращение
о Паннус и синовит обусловливают схожий характер эрозий и разрушения кости/хряща
о Гемофилию можно дифференцировать с ЮИА, если возможно определить отложения гемосидерина либо по рентгенографической плотности, либо по «выцветанию» изображения на МР-томограмме
• Туберкулезный артрит (ТВ):
о Такие же нарушения роста могут возникать при ТБ артрите у пациентов с незрелым скелетом
о Разрушение хряща и эрозии при ТБ имеют тенденцию прогрессировать медленнее, чем при гнойном септическом артрите
о Эрозии могут иметь более склерозированный ободок с более четкими границами
• Пигментный виллонодулярный синовит (ПВНС):
о В обоих случаях наблюдается низкая интенсивность сигнала от внутрисуставной синовиальной оболочки, «выцветающей» при градиентном эхо, при всех последовательностях
о ПВНС часто имеет более очаговый узелковый характер
о Если ПВНС развивается у пациента с незрелым скелетом, то это может привести к избыточному росту, хотя обычно не достигающему той же степени, что при гемофилии о Характер эрозий при ПВНС более очаговый, связаны только с узелковыми образованиями
2. Псевдоопухоли кости:
• Могут имитировать множественные опухоли 1-й и 2-й стадии:
о Гигантоклеточная опухоль; десмопластическая фиброма; плазмоцитома; метастаз; простая или аневризматическая костная киста
(Слева) Рентгенография в ПЗ проекции: определяется значительно расширенное литическое образование в крыле правой подвздошной кости. Тем не менее, края этого образования достаточно рельефны. Такая картина характерна для гемофилической псевдоопухоли, несмотря на распространенные деструктивные изменения. Образование оставалось стабильным до недавно перенесенного патологического перелома.
(Справа) КТ, аксиальный срез: определяются гладкие края области разрушения кости во внутрикостной псевдоопухоли. Объемное образование достигает мягких тканей в виде множества дольчатых скоплений жидкости с ободками контрастирования. (Слева) Рентгенография в боковой проекции: определяется поднадкостничная псевдоопухоль. Мягкотканное объемное образование «изъело» прилегающую кость; область разрушения кости имеет рельефную границу и поперечные костные выросты. Это характерная картина, обусловленная повторяющимися кровотечениями, эрозиями вызванными давлением и подъемом надкостницы.
(Справа) КТ, сагиттальный срез: у этого же пациента несколько лет спустя определяется новая область разрушения кости и мягкотканное объемное образование. Это могло быть связано с повторяющимися кровотечениями, но при биопсии была выявлена трансформация в злокачественную гемангиоэндотелиому. (Слева) МРТ Т1ВИ, корональный срез: у пациента 21 года с гемофилией определяется объемное образование таза с неоднородностью в виде очагов гиперинтенсивного сигнала, что наблюдается при наличии крови. На Т2ВИ и постконтрастных изображениях определяется неспецифическая гиперинтенсивность сигнала и накопление контраста, соответственно (томограммы не представлены).
(Справа) МРТ, градиентное эхо, аксиальный срез, этот же пациент: определяется «выцветание» изображения в объемном образовании. Признаки наличия гемосидерина подтверждают диагноз гемофилической псевдоопухоли.
г) Патология:
1. Общая характеристика:
• Этиология:
о Гемофилическая артропатия:
- В наибольшей зоне риска находятся суставы, стабильность которых зависит от мягкотканного компонента
- Изначальное кровотечение обусловливает предрасположенность к рецидивирующим кровотечениям
- Рецидивирующие кровотечения; гиперемия -»избыточный рост кости и раннее сращение зон роста
- Гипертрофия и воспаление синовиальной оболочки -» повреждение хряща и кости
о Гемофилическая псевдоопухоль:
- Рецидивирующее кровотечение во внесуставной части скелетно-мышечной системы →
- Хроническое, медленно расширяющееся инкапсулированное объемное образование →
- Реакция костной ткани на объемное образование
2. Макроскопические и хирургические особенности:
• Изменение синовиальной оболочки: воспаленные ткани, паннус, коричневатый цвет
• Обесцвечивание хряща, очаги фибрилляции, эрозии и некроза
1. Проявления:
• Типичные признаки/симптомы:
о Острый гемартроз: напряжение, отек, покраснение, болезненность; могут наблюдаться лейкоцитоз и лихорадка
о Подострый или хронический гемартроз: контрактуры, значительное снижение объема движений
о Псевдоопухоль проявляется в виде объемного образования и, в некоторых случаях, нейропатии, патологических переломов,компартмент-синдрома
2. Демография:
• Возраст:
о Первый эпизод внутрисуставного кровоизлияния происходит в возрасте 2-3 лет; повторное возникновение гемартроза в подростковом и детском возрасте
о Частота возникновения гемартроза снижается у более взрослых пациентов
• Пол:
о Только у мужчин (сцепленное с Х-хромосомой рецессивное заболевание)
о Невероятно редкое заболевание у женщин, наблюдается при различных хромосомных аномалиях
• Эпидемиология:
о Гемофилия типа А: 1:10000 мужчин в США (>80% случаев)
о Гемофилия типа В: 1:100000 мужчин в США
о Гемартроз наблюдается у 70-90% пациентов с гемофилией:
- У 50% пациентов развивается стойкая артропатия
о Псевдоопухоль возникает у 1-2% пациентов с тяжелой формой гемофилии (уровень фактора свертывания
3. Течение и прогноз:
• Тяжесть заболевания варьирует:
о Наименее тяжелая: интенсивное кровотечение при хирургическом вмешательстве/травме
о Наиболее тяжелая: кровотечения спонтанные или обусловлены незначительной травмой
• Повторяющиеся внутрисуставные кровотечения приводят к контрактурам и разрушению суставов
• Псевдоопухоль может разрешаться спонтанно, но обычно продолжает увеличиваться; редко происходит злокачественная трансформация
4. Лечение:
• Гемофилическая артропатия:
о Острая: введение необходимого фактора свертывания
о Хроническая: синовэктомия, артропластика в конечной стадии
о Обратите внимание: пациенты должны регулярно получать агрессивное лечение синтетическими факторами свертывания
• Гемофилическая псевдоопухоль: целью является сохранение функции:
о Консервативное: иммобилизация
о Радикальное: резекция или лучевая терапия
е) Диагностическая памятка. Следует учесть:
• Необходима МРТ при артропатии в ранней стадии; ранняя оценка позволяет провести интенсивную профилактику и отсрочить развитие суставных осложнений
ж) Список использованной литературы:
1. de Almeida AM et al: Arthroscopic partial anterior synovectomy of the knee on patients with haemophilia. Knee Surg Sports Traumatol Arthrosc. 23(3):785-91,2015
Читайте также:
- Роль гетерогенности экосистем в экотоксикологии. Гетерогенность популяции и токсическая нагрузка
- МРТ при передней поясничной радикулопатии
- Нейрохирургия невриномы слухового нерва - диагностика, лечение
- Ишемический некроз головки бедра. Диагностика и лечение
- Показания, методика введения лекарств, контраста в крестцово-подвздошный сустав и лобковый симфиз
