Светлоклеточная хондросаркома - лучевая диагностика
Добавил пользователь Владимир З. Обновлено: 23.11.2025
Злокачественные опухоли костей считаются одними из самых агрессивных видов рака: растут быстро, метастазы появляются рано. Почему развивается опухоль, как заподозрить опасную патологию и какая есть профилактика? Разбираемся с экспертом.
Если говорить про остеосаркому или, как называют в народе, рак костей, то это заболевание не входит в пятерку самых распространенных онкопатологий. Однако в этом, отчасти, ее коварство: болезнь развивается бурно, редко когда обходится без метастазов. Человека начинают мучить боли, которые он ошибочно принимает за артрит.
Врач-онколог, доктор медицинских наук, доцент, главный врач медицинской клиники НАКФФ
Про костные опухоли
«Для начала необходимо отметить, что глобально солидные („твердые“) опухоли делятся на 2 типа: рак, то есть опухоли, развивающиеся из эпителиальных тканей, и саркомы — опухоли, развивающиеся из неэпителиальных тканей. С формальной точки зрения, следуя этой классификации, рака кости не существует. Существуют саркомы костей — злокачественные новообразования», — поясняет онколог.
Среди костных сарком наиболее часто встречаются:
остеосаркома — злокачественная опухоль, происходящая из костной ткани;
саркома Юинга — злокачественная опухоль костного скелета.
Бывают еще и другие, более редкие виды, например злокачественная хондробластома, светлоклеточная хондросаркома и другие. Они отличаются типом клеток и подходами к лечению.
Чаще всего костные саркомы локализованы в длинных трубчатых костях, которые находятся в руках, ногах и бедрах человека . С точки зрения резектабельности — наличии технической возможности радикального или паллиативного удаления — и доступности для хирургического вмешательства хуже всего, если такие опухоли развиваются в плоских костях, например, в костях таза или лопатке. Особенно сложным будет лечение, если опухоль появилась в позвонках или позвоночном столбе.
Как выглядят первые симптомы
Чаще всего заболевание начинается с появления болей, говорит онколог. Их интенсивность со временем будет только нарастать, особенно сильно человек страдает по ночам. Также у некоторых отмечается повышение температуры до субфебрильных цифр — 37-37,5 градусов.
В запущенных случаях, а у детей этот период короче, чем у взрослых, что объясняется высокой биологической активностью клеток и более интенсивным развитием опухоли, к разрушению костной ткани присоединяется развитие мягкотканного компонента. Если перевести с медицинского на русский, то у человека начинают страдать мышцы, сухожилия, кожа.
Например, если очаг локализован в трубчатых костях — бедренной, большеберцовой, плечевой, локтевой, — то симптомы будут следующими:
появляется синюшность, под кожей будет прослеживаться венозный рисунок;
заболевшему может быть больно прикасаться к пораженному участку.
Но страх идти к врачу у некоторых заходит до абсурда. Если не обращать внимание и на эти симптомы, то может развиться патологический перелом — перелом кости без внешнего воздействия. В некоторых случаях кость может сломаться очень неожиданно, когда у человека не было видимых поражений мягкий тканей. И только после такого ЧП диагностируется костная саркома.
Почему костную опухоль легко упустить
«К сожалению, далеко не всегда опасный перелом трактуется педиатрами, терапевтами и травматологами как патологический. Иногда его начинают лечить как стандартный, не понимая, что причина — это поражение костной ткани опухолью. В этом случае это приводит к еще большему распространению процесса», — говорит Максим Рыков.
Важно отметить, что для костных сарком характерно раннее метастазирование — прежде всего именно в легкие. Поэтому примерно у половины или даже у 60-70% пациентов уже на этапе диагностики выявляется 4-я стадия заболевания. В легких онкологи находят метастазы.
Прогноз у таких пациентов крайне неблагоприятный, лечение довольно сложное и продолжительное, занимает не менее года. Оно включает в себя:
неоадъювантную или предоперационную химиотерапию,
последующее хирургическое лечение, если опухоль локализована там, где его возможно выполнить,
лучевую терапию, если это саркома Юинга,
Важная деталь: саркома Юинга чувствительна к лучевой терапии, остеосаркома — нет.
Лечение детей и взрослых сильно различается
«Если у взрослого опухоль локализована в позвонках, то выполняется резекция, а затем — замещение эндопротезами. В случае, когда опухоль локализована в костях таза, то проводится химиолучевая терапия и хирургическое лечение с резекцией части тазового кольца и замещением дефектов протезами, в том числе отпечатанными на 3D-принтерах. Однако пациент тяжело восстанавливается после операции. У него могут плохо заживать раны. Прогноз у таких пациентов не всегда благоприятный», — поясняет врач.
Если у ребенка метастазы находят в позвонках, то удалять пораженную часть нельзя, пока не закрыта зона роста. В таком случае остается только химиолучевая терапия, и то в том случае, если опухоль к ней чувствительна.
Про установку протезов
Вопрос о хирургическом лечении сарком конечностей за последние несколько десятилетий получил существенное развитие — появились эндопротезы. Поэтому, когда удаляется пораженный участков кости с суставом или двумя суставами, то пациенту устанавливают эндопротез. У детей — это вариант с раздвижной конструкцией, в том числе и с неинвазивной раздвижной конструкцией с использованием магнитного поля. Если зоны роста не закрыты, то необходимо увеличивать руку или ногу пропорционально изменению роста.
«Установка эндопротеза — это операция не очень сложная, но требующая длительного реабилитационного периода и определенных пожизненных ограничений в плане функциональной активности, поскольку возникает риск протезного перелома. Поэтому некоторые пациенты предпочитают калечащую операцию, то есть ампутацию конечности, понимая, что с экзопротезом (внешним протезом) они будут вести более активную жизнь и длительного периода реабилитации не потребуется», — рассказывает врач.
С какими патологиями можно спутать костные опухоли
Злокачественные образования костей можно спутать с:
остеомиелитом — воспалением костного мозга, при котором обычно поражаются все элементы кости (надкостница, губчатое и компактное вещество);
туберкулезом костей — специфической инфекцией, вызываемой палочками Коха. Протекает с поражением позвоночника или костей рук и ног.
«В некоторых случаях бывает и правда довольно сложно различить патологии, особенно для врача первичного звена. Также опухоли путают с переломами, хотя рентгенологическая картина при костных саркомах достаточно характерна. Но если врач лучевой диагностики ранее не сталкивался с такими пациентами, то у него могут возникнуть сложности в интерпретации диагноза», — поясняет Максим Рыков.
Чтобы подтвердить опасный диагноз, нужно сделать трепанобиопсию кости. Это когда с помощью специальной иглы выполняется забор костной ткани, который отправляется на гистологическое исследование. По его результатам определяется тип саркомы.
Кто в зоне риска
От опасной патологии чаще всего страдают дети. Причем мальчики чаще, чем девочки. В структуре заболеваемости детей костные саркомы составляют порядка 7-8%, у взрослых этот процент ниже. Пик заболеваемости приходится на возрастную группу от 12 до 17 лет. С возрастом риск снижается.
Важная деталь: у 50% пациентов с саркомой в анамнезе отмечались какая-либо травма, ушиб, удар. Например, дети часто получают различные травмы во время занятий спортом, игры в футбол или других физических активностей. А потом это становится провоцирующим фактором развития костных сарком.
Как живут с таким диагнозом
Патологию не так просто заподозрить, она бурно развивается и часто дает метастазы. Поэтому тут четко работает правило: чем раньше вы обнаружили рак, тем больше шансов, что врачам удастся добиться рецидива. Не забывайте про ежегодные осмотры и не игнорируйте тревожные звоночки. В случае с саркомой это внезапная костная боль.
«Продолжительность жизни пациента зависит от того, на какой стадии выявлено заболевание. К сожалению, многие случаи диагностируются, когда есть отдаленные метастазы в легкие. Но даже при таком раскладе есть и хирургические методы лечения на органах, когда резецируются очаги. Помогает и лучевая терапия, если опухоль к ней чувствительна, и агрессивная химиотерапия, а в некоторых случаях и трансплантация костного мозга с последующей высокодозной химиотерапией, которая еще больше увеличивает шансы на достижение ремиссии. При четвертой стадии достижение ремиссии у детей более вероятно, чем у взрослых», — говорит врач.
Светлоклеточная хондросаркома - лучевая диагностика
Светлоклеточная хондросаркома - лучевая диагностика
а) Терминология:
• Редкий вариант хондросаркомы низкой степени злокачественности, имеющей, как правило, эпифизарное происхождение
б) Визуализация:
• Может содержать точечный хрящевой матрикс
• Хорошо отграниченный литический очаг
• Нерегулярный склерозированный край
• 2/3 новообразований развиваются в головке плечевой или бедренной кости:
о В литературе имеются сведения о возможности поражении большинства других костей
(Слева) КТ, аксиальная проекция, без контрастного усиления: светлоклеточная хондросаркома. Хорошо отграниченный эпифизарный очаг имеет склерозированный край и содержит сла-бовыраженный хрящевой матрикс. Данные признаки не позволяют проводить дифференциальную диагностику с хондробластомой, наличие которой статистически более вероятно.
(Справа) МРТ, аксиальная проекция, режим Т1, с подавлением сигнала от жира, с контрастным усилением: у этого же пациента визуализируется толстый неравномерный ободок контрастного вещества. Учитывая данные признаки здесь также необходимо проводить дифференциальную диагностику между хондробластомой и светлоклеточной хондросаркомой (которая получила гистологческое подтверждение). (Слева) Рентгенография в ПЗ проекции: светлоклеточная хондросаркома, представленная смешанным литически-склеротическим очагом, распространяющимся от головки плечевой кости в метадиафизарную зону. В проксимальной части виден слабовыраженный хрящевой матрикс.
(Справа) МРТ, сагиттальная проекция, режим Т2 с подавлением сигнала от жира: крупный интрамедуллярный очаг, поражающий головку и проксимальный отдел диафиза плечевой кости, характеризуется гиперинтенсивным сигналом по отношению к скелетной мышце. Наличие низкоинтенсивного хрящевого матрикса является признаком хондросаркомы. Эпифизарное происхождение опухоли предполагает ее светлоклеточный вариант.
в) Дифференциальная диагностика:
• Хондробластома (ХБ):
о Развивается, как правило, в более молодом возрасте
о Очень схожие лучевые признаки
г) Клинические особенности:
• Клинические признаки:
о Боль в суставе, ограничение движений в нем
о Выпот
• 2% от всех хондросарком
• М > Ж, в соотношении 3:1
• Наиболее часто встречается в возрасте 25-50 лет
• Течение заболевания:
о Краевая резекция или кюретаж → 86% рецидивов
о Смертность достигает 15%, метастазирует в легкие и кости
о В литературе имеются сведения о редких случаях дедифференцировки в саркому высокой степени злокачественности
• Лечение:
о Широкая резекция является оптимальным методом лечения
д) Диагностическая памятка:
• Отличительным признаком данного новообразования является его эпифизарное расположение
• Дифференциальная диагностика проводится в основном с доброкачественными новообразованиями (хондробластома, дегенеративная киста, гигантоклеточная опухоль), поэтому неправильная диагностика влечет за собой неверный подход в лечении злокачественной опухоли
• Обращайте внимание на любые нехарактерные признаки эпифизарных очагов, которые могут указывать на этот необычный тип саркомы
Хондросаркома

«Это распространенное новообразование чаще всего имеет низкий степень злокачественности и появляется более, чем у 15% людей, страдающих хроническими заболеваниями костей. Позитивный прогноз может ожидать тех пациентов, кто своевременно прошел диагностику и получил полный объем лечения. Лучевая терапия нередко используется именно при этом диагнозе и дает хорошие результаты в TomoClinic».
Что такое хондросаркома?
Хондросаркома — злокачественная опухоль скелета, формирующаяся из хрящевой ткани. Чаще всего развивается в плоской плечевой кости и тазобедренном суставе, но допустимы случаи образования хондросаркомы в области трубчатых костей.
Злокачественное новообразование представляет собой плотную опухоль, прилегающую к кортикальному слою кости, иногда наблюдается прорастание хондросаркомы в кость. Может иметь очаги оссификации и петрификаты. При диагностических исследованиях не всегда удается определить четкие границы новообразования.

Опухоль является одной из наиболее распространенных онкологических патологий в костях и суставах. Чаще всего саркома развивается у людей 45-80 лет, т.е. в преклонном возрасте. В одинаковом процентном соотношении поражает женщин и мужчин.
Более чем у 15% пациентов перед появлением хондросаркомы были хронические заболевания костей.
На ранних стадиях заболевание протекает бессимптомно, а от момента образования опухоли до появления первых метастаз может пройти более пяти лет. Первичными очагами развития метастаз являются печень, легкие и желудок. На поздних стадиях хондросаркома склонна полностью разрушить хрящевую ткань.
Степень злокачественности опухоли при заболевании относительно низкий, что позволяет при своевременной диагностике и лечении рассчитывать на благоприятный прогноз.
Типы хондросаркомы:
Первичная хондросаркома является распространенным видом заболевания, диагностируется в 85% случаев от общего числа пациентов.
Отличительной чертой вторичной хондросаркомы является возраст пациентов: как правило болезнь развивается преимущественно у пациентов пенсионного возраста. Эта особенность связана с заболеваниями, которые провоцируют развитие хондросаркомы — хондрома, дисхондроплазия. Также часто рак возникает вследствие хондроматоза, болезни Олье-Маффучи и хондробластомы.
Заболевание вторичного типа не является распространенным и встречается несколько реже, нежели первичная хондросаркома.
С учетом особенности строения различают виды хондросаркомы:
- Типичная.
- Анапластическая.
- Светлоклеточная.
- Недифференцированная.
Помимо видов онкологического заболевания классификация хондросарком предусматривает разделение на степени злокачественности. Зависит от строения опухоли и срока ее жизни. Определяется при гистологическом исследовании образцов.
Хондросаркома бывает:
- 1 степени злокачественности. При первой степени характеризуется наличием межклеточного вещества, состоящего из хондроидной ткани, признаки миоза отсутствуют.
- 2 степени. Наблюдается межклеточное вещество миксоидного типа, увеличенные ядра и одиночные фигуры миотоза, присутствуют одиночные участки некроза.
- 3 степени. При третьей степени злокачественности отмечается миксоидное межклеточное вещество, много клеток с увеличенными ядрами, присутствуют обширные некротические участки.
Причины
Точные причины возникновения хондросаркомы пока не известны. Но есть ряд факторов, которые могут влиять на развитие болезни, среди них:
- генетическая предрасположенность (особенно если в семейном анамнезе присутствуют множественные экзостозы, синдром Маффучи);
- неправильное, некорректное или неполноценное лечение хондромы кости;
- хронические воспалительные процессы костно-хрящевой системы;
- аномалии роста костей скелета, которые происходят при болезни Педжета;
- болезнь Вильямса.
Неприятная особенность хондросаркомы заключается в том, что в большинстве случаев болезнь протекает бессимптомно. Отсутствие симптомов негативно сказывается на своевременной диагностике и эффективном лечении.
Симптомы хондросаркомы
Основные признаки заболевания:
- дискомфорт в месте локализации опухоли, который со временем перерождается в сильную боль (болевые ощущения преимущественно возникают в ночной период);
- иррадиация боли в плечо, ягодицы, поясницу;
- истощение кости, что делает ее более подверженной к переломам;
- болезненное мочеиспускание, наличие сгустков крови в моче;
- постоянное чувство слабости, быстрая утомляемость;
- повышенная температура тела.
Из-за сдавления растущей опухолью нервных окончаний и сосудов в соседнем суставе развивается отечность. Это провоцирует ограниченность движения.
Хондросаркома позвоночника
Хондросаркома – злокачественное новообразование, которое образуется из хрящевой ткани. Хондросаркома является одним из подвидов саркомы. Второе по распространенности злокачественное новообразование скелета. Опухоль локализуется в длинных костях нижних конечностей, реже — в области таза, ключицы, ребер, позвоночника.
Гендерное деление: мужчины болеют в разы чаще чем женщины. Болеют как правило люди старшей возрастной категории – 50-75 лет, но в последние годы были зафиксированы заболевания и среди молодых людей, и даже среди детей.
Хондросаркомы делятся на два типа по способу образования: первичные и вторичные. Первичными хондросаркомами являются опухоли, которые образуются в здоровых костях. Вторичные опухоли развиваются из изначально доброкачественных опухолей костей и хрящевой ткани – хондром, остеохондром, наростов костно-хрящевой структуры внутри или снаружи кости, экзостозов.
Лечение
При диагнозе хондросаркома позвоночника, как правило, используется хирургический метод лечения, который подразумевает полное иссечение опухоли вместе с пораженной хрящевой тканью.
Однако выбор метода лечения по большей степени зависит от стадии заболевания и степени его злокачественности. Для более продвинутых стадий хондросаркомы характерно наличие метастазов в других органах, распространенных гематогенным путем. Комплексный подход, который применяется сегодня при лечении большинства онкологических заболеваний, позволяет достичь максимально положительного результата лечения хондросаркомы для пациента. Поэтому помимо хирургического вмешательства, лечение хондросаркомы позвоночника также может включать высокоточную лучевую терапию IMRT, химиотерапию, таргетную терапию. При наличии метастазов, и в случае, если заболевание удалось диагностировать на самой ранней стадии, когда опухоль не имеет внушительных размеров, возможно применение радиохирургии на КиберНоже.
В отличие от традиционного хирургического вмешательства, операция на КиберНоже проводится без единого разреза и не требует применения наркоза. Лечение проводится высокими дозами ионизирующего излучения, которые с разных позиций доставляются роботизированной системой КиберНож точно в пределы опухолевого очага, что приводит к гибели раковых клеток. При этом здоровые ткани вокруг опухоли во время радиохирургической операции на КиберНоже остаются полностью не поврежденными.
Диагностика
Хондросаркома достаточно проста в диагностировании. Чтобы установить, что у пациента развивается данное злокачественное новообразование достаточно рентгенологического исследования пораженного участка тела.
Для того, чтобы быть уверенным, что на других участках организма не идут патологические процессы и рак не распространился в другие ткани, мы рекомендуем пройти полный онкоскрининг всего организма.
Классификация
Хондросаркомы имеют простую классификацию. Этот тип злокачественных новообразований делят на первичные и вторичные.
Первичные хондросаркомы также делятся на центральные и периостальные. Для центральных характерен рост внутри кости.
Периостальные, или периферические, как их еще называют, развиваются на наружной поверхности кости.
Для вторичных опухолей характерно возникновение в результате озлокачествления изначально доброкачественных опухолей, таких как хондромиксоидные фибромы, хондробластомы, хондромы, костно-хрящевые экзостозы, хондроматоз костей.
Согласно статистике первичные хондросаркомы выявляют в 90% случаев, вторичные – в 10-15% случаев.
Также хондросаркомы различают согласно особенностям строения как типичные, светлоклеточные, анапластические и недифференцированные.
Причины и факторы риска
Точные причины возникновения хондросаркомы пока не известны. Существует ряд факторов, которые влияют на развитие болезни:
- генетическая предрасположенность
- неправильное, некорректное или неполноценное лечение хондромы кости
- хронические воспалительные процессы костно-хрящевой системы
- аномалии роста костей скелета, которые происходят при болезни Педжета
- болезнь Вильямса
Симптомы
Сложность выявления этого типа злокачественных опухолей состоит в том, что несколько лет она может себя никак не проявлять вообще. Но такое течение заболевания характерно для пациентов молодых, в возрасте от 25 до 30 лет.
Одним из факторов, которые должны насторожить, является боль в местах поражения.
Есть симптомы характерные для заболевания:
- прогрессирующие боли, которые не снимают обезболивающие препараты
- боли не исчезают во время сна или после отдыха
- опухоль прощупывается при пальпации
- поднимается температура в месте над опухолью до 37-39 градусов
- истощение кости, что делает ее более подверженной к переломам
- болезненное мочеиспускание, наличие сгустков крови в моче
- постоянное чувство слабости, быстрая утомляемость
Важно помнить о том, что при обнаружении хотя бы одного из вышеперечисленных симптомов, является показанием для того, чтобы обратится к врачу и пройти диагностику. Не откладывайте на завтра вопросы, которые касаются здоровья вашего и ваших близких.
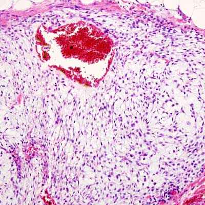
Онкология. Саркома. Хондросаркома светлоклеточная. +
Светлоклеточная хондросаркома — редкая опухоль, составляет 2 % от общего числа хондросарком. Как и при обыкновенной хондросаркоме, мужчины поражаются в два раза чаще женщин. Типичны жалобы на боль и припухлость в области пораженной кости, продолжающиеся в течение ряда лет. Локализация: наиболее уязвимыми являются эпифизы длинных трубчатых костей (проксимальный эпифиз бедренной и плечевой костей, дистальный эпифиз бедренной кости и проксимальный эпифиз большеберцовой кости). Однако в случае длительно растущей опухоли с эпифиза процесс может распространяться на метафиз и диафиз. При этом в него вовлекается и соседний сустав, например коленный. Изредка у больных наблюдается одновременное поражение двух костей.
При рентгенологическом исследовании обнаруживается опухоль остеолитического типа с очаговыми обызвествлениями. Ее граница с окружающей костью — то расплывчатая, то четкая, однако остеогенез на границе со здоровой костью определяется лишь в порядке исключения. Кортикальный слой над опухолью обычно сохраняет целостность, но становится более тонким. В редких случаях имеет место деструкция кортикальной пластинки. Прорастание в мягкие ткани характерно для светлоклеточной хондросаркомы ребер, позвонков и костей крыши черепа. Патологические переломы костей для светлоклеточной хондросаркомы не типичны. Если же они возникают, то на рентгенограммах отмечается периостальное новообразование кости. Макроскопически на поверхности разреза светлоклеточной хондросаркомы видна красная мелкозернистая ткань, часто с многочисленными кистами. В этой ткани определяются мелкие вкрапления хряща. Как и прочие хондросаркомы, светлоклеточная хондросаркома способна метастазировать.
Под микроскопом границы между дольками опухолевой ткани в светлоклеточной хондросаркоме выражены не резко, поскольку междольковая соединительная ткань образует очень тонкие прослойки. Основным элементом опухоли является хондроцит со светлой цитоплазмой и очень четкими контурами. Во многих хондроцитах матрикс цитоплазмы как бы сдвинут от ядра к клеточной мембране или же, наоборот, сосредоточен возле ядра. Наряду со светлыми хондроцитами, повсеместно определяются их аналоги с эозинофильной цитоплазмой. В довольно крупных ядрах светлых и эозинофильных хондроцитов фигуры митоза встречаются крайне редко. Встречаются двуялерные клетки. Светлый характер цитоплазмы преобладающего типа хондроцитов не связан с наличием гликогена. Кроме того, имеются гигантские многоядерные клетки, сходные с остеокластами и расположенные то поодиночке, то небольшими группами. Объем межклеточного вещества в опухоли относительно мал. Лишь местами между светлыми и эозинофильными клетками определяется хондроид с очаговыми обызвествлениями. Он обнаруживается преимущественно в тех участках опухоли, которые имеют строение обыкновенной хондросаркомы 1-й степени и сливаются с участками светлоклеточной хондросаркомы. Наряду с хондроидом, в светлоклеточной хондросаркоме встречается и остеоид, в том числе обызвествленный или напоминающий атипичный остеоид, который обнаруживается в остеосаркоме.
При дифференциальной диагностике следует иметь в виду в первую очередь хондробластому, затем метастаз светлоклеточного рака, например почки.
Диагностика и дифференциальная диагностика.
Джеймс О. Джонсон, доктор медицинских наук

Светлоклеточная хондросаркома кости (clear-cell-chondrosarcoma of bone) была выделена и описана как один из вариантов хондросаркомы в 1976 г. K.K.Unni, D.C.Dalhin, J.W.Beobout, F.H.Sim, которые наблюдали 16 больных с подобной опухолью. Нужно помнить, что в 1965 г. F.M.Enzinger описал светлоклеточную саркому сухожилий и апоневрозов, гистогенез которой неясен, а в 1972 г. — хондросаркому, происходящую из мягких тканей и внескелетного хряща. Светлоклеточная саркома в отличие от простой хондросаркомы имеет более медленное и, следовательно, длительное благоприятное течение, начало процесса бывает всегда в эпифизарной зоне, опухоль имеет своеобразное гистологическое строение.
Вскоре появились описания, сделанные С.И.Липкиным (1983), М.Poster с соавт. (1978), Y.Le Charpantier с соавт. (1979), L.B.Angerval, L.G.Kindblom (1980), F.Schajowicz с соавт. (1981), M.Salzer-Kuntschik (1981), Т.Farragiana с соавт. (1981), G.Povysil, Z.Matejovsky (1982), V.Bjornsson с соавт. (1984) и др.
В литературе описано более 80 наблюдений светлоклеточнои хондросаркомы. Это, однако, не говорит о большой редкости опухоли, а скорее о том, что не все хирурги и морфологи тщательно анализировали свой старый (архивный) и новый материал, тем более, что ее не так легко выделить из группы таких опухолей, как трудно классифицируемые хондросаркомы, группы атипичных хондробластом и других костных опухолей.
В настоящее время появилось мнение, что светлоклеточная хондросаркома является злокачественной формой хондробластомы или одним из морфологических вариантов озлокачествления хондробластомы. Это мнение основывается на анализе морфологических и клиникорентгенологических данных, полученных у больных, которые находились под наблюдением в течение многих лет.
Мы наблюдали 15 больных со светлоклеточной хондросаркомой: 9 женщин и 6 мужчин, возраст которых колебался от 17 до 51 года. Локализация: проксимальный конец бедренной кости — у 7 больных, проксимальный конец плечевой кости — у 4, болынеберцовая кость — у 1, поясничный отдел позвоночника — у 1, ребро — у 1 и подвздошная кость — у 1 больного.
Клиника. Появление опухоли не сопровождается выраженными болевыми симптомами, как и появление припухлости в области очага; это приводит к тому, что от первых симптомов до обращения к врачу проходит от 4 мес до 11 лет, а в среднем наши больные обращались за помощью через 3 года, что является одним из важных клинических признаков. Атрофия мышц и ограничение движений в суставе возникают поздно, хотя опухоль, расположенная внутри кости, постепенно растет и разрушает кость, конечность не выключается из функции, поэтому часто встречаются патологические переломы (у 8 наших больных), иногда повторные — от 2 до 4 раз (как при солитарных кистах костей). Отломки срастаются в нормальные сроки, и у некоторых больных патологический характер перелома был не диагностирован и лишь при повторном был обнаружен очаг деструкции кости. Общее состояние больных не страдает, в обычных клинических анализах мочи и крови изменений не обнаруживается. Отмечена способность опухоли по связочному аппарату переходить на другую кость (например, через коленный или плечевой сустав с болыпеберцовой на бедренную кость или с плечевой кости на лопатку) — это необходимо учитывать при обследовании больных — ультразвуковом или при ангиографии.
Рентгенологическая картина довольно характерна, хотя некоторые авторы [Unni К.К., 1976; Le Charpentier Y., 1979, и др.] писали, что она не имеет патогномоничных признаков. Однако, изучая рентгенограммы, мы обнаружили, что граница очага деструкции с окружающей костью обычно четкая, ровная или слегка фестончатая, изредка отмечается наличие зоны склероза.
Кортикальный слой истончен, вздут, иногда разрушен. Рентгенологическая картина светлоклеточной хондросаркомы на ранних стадиях развития несколько напоминает доброкачественную хрящевую опухоль, в частности хондробластому. В ходе выполнения работы были ретроспективно изучены рентгенограммы и пересмотрены рентгенологические заключения у всех 15 больных со светлоклеточными хондросаркомами. Это дает нам основания полагать, что опухоль имеет характерную рентгенологическую картину, в которой можно схематически выделить три стадии развития.
I. Начальная стадия. Опухоль — деструкция кости небольших размеров, располагается эксцентрично в метаэпифизе. Кортикальный слой истончен, возможно его «вздутие», изредка имеется периостальная реакция. Структура очага деструкции преимущественно смешанного характера с участками уплотнения и разрежения костной структуры, иногда с преобладанием ячеистого рисунка. Уже в этой стадии возможны патологические переломы.
II. Стадия дальнейшего развития опухоли. Характерно увеличение опухоли, которая захватывает весь метаэпифиз и распространяется на диафиз. Суставной конец кости значительно увеличен в объеме, кортикальный слой неравномерно истончен, частично разрушен. Очаг деструкции сохраняет черты, характерные для I стадии, однако отмечается преобладание участков литического характера. Опухоль распространяется на диафиз вначале только по костномозговому каналу, почти не разрушая кортикального слоя, и напоминает по форме «клин» или «пробку». В этой стадии наиболее часто происходят патологические переломы, которые сравнительно быстро срастаются.
III. Стадия далеко зашедшего процесса. Характерны булавовидное утолщение эпиметафизарного отдела кости, значительная выраженность и распространенность деструктивных изменений большей части кости. Очаг деструкции приобретает выраженный литический характер, на значительном протяжении разрушен кортикальный слой. Своеобразная рентгенологическая картина дает основания полагать, что по мере накопления опыта диагностика светлоклеточной хондросаркомы станет возможной по клинико-рентгенологическим данным. Представляет интерес сопоставление рентгенологических заключений с предоперационным клинико-рентгенологическим диагнозом, относящимся ко времени, когда светлоклеточная хондросаркома еще не была описана. Рентгенологически у 6 больных была диагностирована остеобласте кластома (у 2 — злокачественная), у 4 — хондросаркома, у 1 — хондробластома. Клиническое течение заболевания в нескольких наблюдениях позволило дополнить или изменить рентгенологические заключения. Клинико-рентгенологические диагнозы у тех же больных перед операцией были следующими: в 5 наблюдениях — хондросаркома, в 2 — злокачественная остеобластокластома, в 2 — хондробластома, в 1 — «саркома» и в 1 случае диагноз колебался между злокачественной остеобластокластомой и хондросаркомой.
Все больные были оперированы: 7 из них произведена резекция суставного конца пораженной кости (4 больным — с замещением дефекта аллогенным трансплантатом, 3 — эндопротезом), 1 пациенту выполнена плечелопаточная резекция, 1 — межподвздошно-брюшная резекция, 1 — удаление плечевой кости с лопаткой и замещением дефекта эндопротезом, 1 — краевая резекция шейки бедренной кости с замещением дефекта аллогенным трансплантатом и 1 больному — резекция ребра. В одном случае выполнена первичная межподвздошно-брюшная ампутация. Двое больных оперированы по поводу рецидивов опухоли после операций, произведенных в других лечебных учреждениях.
Морфология. Опухоль деформировала пораженный участок кости, постепенно распространялась по костномозговому каналу. При разрушении кортикального слоя кости вокруг опухоли возникала костная реактивная ткань. Некоторые опухоли достигали очень больших размеров. Цвет опухоли — серо-красный или серо-желтый, по внешнему виду она не была похожа на типично хрящевую ткань. Наблюдались парабластомные узлы — метастазы опухоли в окружающих мышцах.
Гистологическая картина: среди межуточного вещества или остеоидного типа располагались пузырчатые светлые клетки, многоядерные гигантские клетки, участки обызвествлений и примитивных костных структур, сосуды. Местами опухолевая ткань напоминала ткань хондробластом или хондросарком, поэтому нужно хорошо знать гистологическую картину, чтобы провести дифференциальную диагностику с хондробластомой и хондросаркомой.
С.Т.Зацепин
Костная патология взрослых
Добрый вечер, Валентин Львович! Только сегодня описала подобную картину в области левой бедренной кости. Если получится позже внесу фото снимка .
Читайте также:
