Светлоклеточная карцинома матки. Лейомиома матки.
Добавил пользователь Евгений Кузнецов Обновлено: 02.11.2025
ФГБУ "Московский научно-исследовательский онкологический институт им. П.А. Герцена" Минздрава России
Московский научно-исследовательский онкологический институт им. П.А. Герцена
ФГБУ "Московский научно-исследовательский онкологический институт им. П.А. Герцена" Минздрава России
Радикальные лапароскопические операции в хирургическом лечении рака тела матки
Журнал: Российский вестник акушера-гинеколога. 2014;14(5): 60‑65
Шевчук А.С., Новикова Е.Г., Анпилогов С.В. Радикальные лапароскопические операции в хирургическом лечении рака тела матки. Российский вестник акушера-гинеколога. 2014;14(5):60‑65.
Shevchuk AS, Novikova EG, Anpilogov SV. Radical laparoscopic operations in surgical treatment for cancer of the corpus uteri. Russian Bulletin of Obstetrician-Gynecologist. 2014;14(5):60‑65. (In Russ.).
ФГБУ "Московский научно-исследовательский онкологический институт им. П.А. Герцена" Минздрава России
Цель исследования - сравнительный анализ ближайших результатов хирургического лечения больных раком эндометрия I стадии с помощью лапароскопического и лапаротомного доступов. Материал и методы. В отделении гинекологии Московского научно-исследовательского онкологического института им. П.А. Герцена с июля 2010 г. по декабрь 2013 г. лапароскопическая гистерэктомия с тазовой лимфаденэктомией по поводу рака эндометрия выполнена у 87 женщин. Группу сравнения составила 41 пациентка с аналогичной распространенностью опухолевого процесса, которым выполнялась операция из классического лапаротомного доступа идентичного объема с июня 2008 г. по июль 2010 г. В исследование включались больные с клиническим диагнозом рак эндометрия IА-С стадии. Результаты. Сравнительный анализ двух групп больных показал, что видеоэндоскопическая экстирпация матки с тазовой лимфаденэктомией может рассматриваться в качестве адекватной альтернативы классическим "открытым" операциям у больных со злокачественными опухолями матки I стадии, так как имеет такие преимущества, как минимальная кровопотеря, низкое число осложнений, более быстрая реабилитация больных. Заключение. Период наблюдения после видеоскопической операции в настоящее время недостаточен (медиана наблюдений - 15 мес), чтобы делать окончательные выводы.
ФГБУ "Московский научно-исследовательский онкологический институт им. П.А. Герцена" Минздрава России
Московский научно-исследовательский онкологический институт им. П.А. Герцена
ФГБУ "Московский научно-исследовательский онкологический институт им. П.А. Герцена" Минздрава России
Впервые лапароскопическая экстирпация матки выполнена в январе 1988 г. гинекологом H. Reich в США. В 1992 г. по поводу начального рака эндометрия выполнена первая видеоассистированная вагинальная гистерэктомия. Спустя 1 год гистерэктомия была дополнена тазовой лимфаденэктомией и появились первые работы по выполнению полностью видеоэндоскопической экстирпации матки, без вагинального этапа (J. Childers и соавт., 1992, 1993; H. Reich, L. Sckel, 1993).
В России первую лапароскопическую экстирпацию матки выполнили В.К. Карнаух и соавт. в 1993 г. [3]. Проблема лапароскопического доступа в лечении многих гинекологических заболеваний (миома матки, эндометриоз, доброкачественные кистозные образования яичников) в нашей стране разрабатывалась и широко освещалась в работах Л.В. Адамян и соавт. [1]. В настоящее время в нашей стране, как и в мире, он применяется также и в лечении злокачественных опухолей [2, 4].
Вопрос о применении видеоэндоскопичских методик в онкологии остается предметом дискуссий. Лапароскопические операции не позволяют провести адекватную пальпаторную ревизию, могут способствовать интраоперационному распространению злокачественных клеток на фоне карбоксиперитонеума и использования инструментов, травмирующих опухоль, таким образом могут привести к увеличению частоты рецидивов и ухудшению прогноза заболевания по сравнению с лапаротомными вмешательствами [13].
В этом аспекте предметом активных дискуссий является вопрос о возможности применения маточного манипулятора в ходе лапароскопических операций у больных раком эндометрия [6]. В частности, утверждается, что длительная механическая травматизация неоплазированного эндометрия наконечником маточного манипулятора может способствовать попаданию опухолевых клеток в сосудистое русло либо в брюшную полость по маточным трубам [9, 10]. Было показано, что существенных гистологических различий в удаленных препаратах между открытыми и лапароскопическими операциями не выявляется, и применение маточного манипулятора не влияет на правильность морфологической оценки истинной распространенности опухолевого процесса [7, 12]. Однако отмечается наличие большей частоты сосудистой инвазии опухоли, или «псевдоинвазии», обусловленной давлением внутриматочного наконечника [8, 11], что потенциально может приводить к увеличению рецидивов заболевания [5]. Помимо этого, некоторые исследователи отмечают большую частоту обнаружения опухолевых клеток в перитонеальных смывах (4,3%) после введения наконечника манипулятора у больных со злокачественными опухолями тела матки [10].
Экстирпация матки с придатками и с тазовой лимфаденэктомией в настоящее время является стандартом хирургического лечения больных раком эндометрия. Выполнение тазовой лимфаденэктомии требуется при наличии неблагоприятных факторов прогноза заболевания (низкая степень дифференцировки, серозная или светлоклеточная морфологические формы опухоли, инвазия опухоли в миометрий на глубину более половины его толщины, тотальное поражение всей полости матки), при которых риск субклинического поражения регионарных лимфатических узлов крайне высок.
Цель исследования - сравнительный анализ ближайших результатов хирургического лечения больных раком эндометрия I стадии с помощью лапароскопического и лапаротомного доступов.
Материал и методы
В отделении гинекологии института им. П.А. Герцена с июля 2010 г. по декабрь 2013 г. лапароскопическая гистерэктомия с тазовой лимфаденэктомией по поводу рака эндометрия была выполнена у 87 женщин (основная группа). Группу сравнения составила 41 пациентка с аналогичной распространенностью опухолевого процесса, которым была выполнена лапаротомная операция идентичного объема с июня 2008 г. по июль 2010 г.
Показанием к хирургическому лечению в указанном объеме явилась совокупность признаков:
1. Клиническая стадия заболевания (по классификации FIGO 2002 г, TNM 6-е издание):
- IA (T1aNoMo) в сочетании с умеренной или низкой степенью дифференцировки опухоли и тотальным поражением всей полости матки;
- IA (T1aNoMo) - рецидив либо продолженный рост опухоли после самостоятельной гормонотерапии у пациенток репродуктивного возраста;
- IB, IC (T1b,cNoMo) стадии.
2. Гистологические варианты: эндометриоидная аденокарцинома, эндометриоидная аденокарцинома с плоскоклеточной дифференцировкой, светлоклеточная аденокарцинома, аденоплоскоклеточный рак.
3. Отсутствие распространения опухоли на шейку матки и признаков метастатического поражения регионарных лимфатических узлов по данным магнитно-резонансной томографии (МРТ) и УЗИ.
Техника лапароскопической экстирпации матки у больных с опухолью эндометрия имела ряд особенностей по сравнению с аналогичной операцией, выполняемой при доброкачественной патологии (миома матки, аденомиоз). На 1-м этапе для предотвращения попадания опухолевых клеток в брюшную полость и общий кровоток коагулировались маточные трубы, собственные связки яичников, круглые и воронкотазовые связки матки с пересечением двух последних. Затем перевязывались либо клипировались маточные артерии и вены на расстоянии 1 см от места отхождения от передней ветви внутренних подвздошных сосудов. После лигирования основных сосудистых пучков матки операция продолжалась уже на фоне введения в полость матки наконечника маточного манипулятора.
Следующий этап операции - тазовая лимфаденэктомия. Условной проксимальной ее границей был уровень на 2 см выше бифуркации общей подвздошной артерии. В дистальном направлении клетчатку удаляли до вены, огибающей подвздошную кость. Наружной и внутренней границами лимфаденэктомии являлись подвздошно-поясничная мышца и пупочная артерия (ветвь внутренней подвздошной). Обтураторный нерв являлся задней границей лимфодиссекции. Удаленную клетчатку отдельно с каждой стороны извлекали из брюшной полости в контейнерах через троакарные раны.
В исследование были включены больные с клиническим диагнозом рака эндометрия стадии IА-С (FIGO, 2002). Средний возраст всех пациенток составил 55±10,5 года, при этом половина из них находились в пери- и постменопаузе.
У 63% пациенток в основной группе и у 66% в группе сравнения имелась избыточная масса тела либо ожирение, играющие определенную роль в патогенезе рака эндометрия.
Результаты
Были проанализированы основные хирургические показатели лапароскопических операций в сравнении с аналогичными лапаротомными.
Продолжительность видеоэндоскопических хирургических вмешательств варьировала от 115 до 300 мин, в среднем составила 202,3±43,1 мин, медиана 195 мин. В исследование были включены пациентки, которым впервые выполнялась лапароскопическая экстирпация матки с придатками и тазовой лимфаденэктомией. По мере освоения методики продолжительность операции закономерно снижалась («кривая обучения»). Была проанализирована продолжительность последних 41 лапароскопических операций, при этом средние значения составили 176,3±33,8 мин, медиана 180 мин. В группе сравнения продолжительность хирургического вмешательства была равна 153,9±37 мин, медиана 150 мин.
Лапароскопический доступ, несмотря на расширенный характер операции, затрагивающей области магистральных сосудов, характеризовался в большинстве случаев минимальной кровопотерей. В среднем она составила 130 мл (медиана 70 мл), при этом у 50% больных находилась в интервале от 70 до 100 мл. У одной (1,2%) пациентки в связи с ранением внутренней подвздошной вены этот показатель увеличился до 2000 мл. Отсутствие других тяжелых интраоперационных осложнений позволило рассматривать лапароскопическую методику как относительно безопасную. Кровопотеря в группе сравнения в среднем составила 400±199 мл, медиана 400 мл, что значительно выше, чем в основной группе.
Дренаж устанавливали всем пациенткам. Сроки его удаления определяли индивидуально. В течение первых 3 сут отмечался рост количества отделяемого (соответственно в среднем 96, 146 и 206 мл). Затем наступало «плато», и в ближайшие 2 сут его количество оставалось на одном уровне. С 4-го дня после операции определялась тенденция к возрастанию лимфореи. У 64% пациенток дренаж вынимался к 3-м суткам. Количество лимфокист в подвздошных областях оказалось меньше (10,3% случаев по сравнению с 41,5% в группе сравнения).

Послеоперационный период в основной группе (лапароскопия) характеризовался в целом гладким течением и минимальным числом осложнений (табл. 1).
Среди общехирургических осложнений в группе сравнения следует отметить нагноение послеоперационного шва, тромбоэмболию легочной артерии (ТЭЛА) с летальным исходом (при одинаковом проценте случаев тромбоза вен нижних конечностей), а также повторное хирургическое вмешательство по поводу кишечной непроходимости, которые не встречались после лапароскопических операций.
Послеоперационный период пребывания больных в стационаре в основной группе в среднем в 1,5 раза был меньше, чем в группе сравнения (8,9±2,6 и 13±2,5 дня соответственно).

При плановом гистологическом исследовании морфологическая форма опухоли в большинстве случаев была представлена эндометриоидной аденокарциномой. При этом высокая (G1) и умеренная (G2) степени дифференцировки опухоли встречались приблизительно в равном количестве у большинства пациенток (табл. 2).

Среднее количество удаленных лимфатических узлов после лапароскопической операции на 1 больную составило 16,2±5,8, медиана 15. В 2 (2,3%) случаях подтверждено метастатическое поражение тазовых лимфатических узлов. В группе сравнения в среднем было удалено 18,8±6,6 подвздошно-обтураторных лимфоузлов, медиана 18. У одной (2,4%) пациентки были выявлены метастазы в тазовых лимфоузлах (рис. 1). Рисунок 1. Распределение пациенток обследованных групп по количеству удаленных лимфатических узлов.

Основную долю в исследовании составили пациентки с IB стадией заболевания - 63%. Ограничения разрешающей способности инструментальных методов обследования (УЗИ, МРТ) не исключают получение ложноположительных и ложноотрицательных результатов. Сопутствующие фоновые процессы в матке (миома, аденомиоз) создают объективные трудности для правильной оценки распространенности опухоли. В связи с этим в обеих группах отмечены случаи изменения диагноза рака тела матки как в сторону увеличения, так и уменьшения стадии. У 32 (36,8%) пациенток в основной группе и у 9 (22%) в группе сравнения первичный диагноз был изменен на основании результатов планового гистологического исследования (табл. 3).
При наличии инвазивной опухоли всегда существует риск субклинического метастатического поражения регионарных лимфатических узлов. У 3 пациенток: 2 (2,4%) в основной и 1 (2,5%) в группе сравнения, в связи с этим проведено повторное определение стадии рака эндометрия на основании обнаружения микрометастазов в регионарных лимфатических узлах, что соответствовало IIIC стадии.

У 30 (34,4%) пациенток основной группы выполнено адъювантное дополнительное лечение (рис. 2). Рисунок 2. Адъювантное лечение у пациенток основной группы.

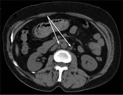
Медиана наблюдения больных основной группы в рамках проспективного исследования составила 15 мес. У одной пациентки 61 года с диагнозом рак эндометрия IIIC стадии рT1cN1Mo через 7 мес после завершения первичного комбинированного лечения диагностирован рецидив заболевания в области забрюшинных лимфатических узлов на уровне отхождения почечных сосудов до 2 см в диаметре (рис. 3). Рисунок 3. Локализация рецидива (стрелки) в забрюшинном пространстве на уровне почечных сосудов у больных основной группы.
На консилиуме принято решение выполнить циторедуктивное хирургическое вмешательство - парааортальную лимфаденэктомию. Морфологически структура опухоли была аналогична первичной неоплазии в матке, представлена низкодифференцированной эндометриоидной аденокарциномой с субтотальным замещением лимфоидной ткани. В послеоперационном периоде проведена дистанционная лучевая терапия с последующей полихимиотерапией. Пациентка жива, находится под наблюдением 2 мес.
Специфических для лапароскопических операций «port-site» метастазов либо местных рецидивов в области культи влагалища за данный период наблюдения не выявлено.

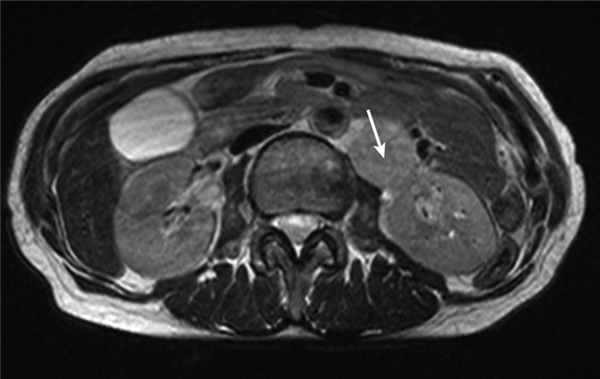
Медиана наблюдения пациенток группы сравнения составила 45,5 мес. За это время одна пациентка 64 лет была исключена из исследования в связи с летальным исходом в раннем послеоперационном периоде, возникшем на фоне ТЭЛА. В одном случае у больной 60 лет с диагнозом рак эндометрия IIA стадии (T2aNoMo) через 15 мес после окончания первичного лечения (операция с адъювантной сочетанной лучевой терапией) диагностирован рецидив заболевания: при контрольном обследовании в парааортальной зоне в области ворот левой почки выявлен конгломерат опухолевых узлов до 4 см (рис. 4). Рисунок 4. Рецидив опухоли в виде конгломерата лимфатических узлов в области ворот левой почки (стрелка) у больных группы сравнения.
Пациентке была выполнена повторная операция - парааортальная лимфаденэктомия. В качестве адъювантного противорецидивного лечения была проведена дистанционная лучевая терапия на эту зону с последующими курсами полихимиотерапии. В настоящее время пациентка жива, находится под наблюдением 6 мес без признаков прогрессирования заболевания.
Сравнительный анализ полученных результатов лечения пациенток двух выбранных групп свидетельствует о том, что лапароскопический доступ может быть представлен как альтернатива классической хирургии в радикальном лечении начального рака эндометрия. С учетом основных параметров операции, таких как продолжительность, кровопотеря, осложнения, очевидно, что видеоэндоскопические хирургические вмешательства не уступают лапаротомным, но при этом имеют свои преимущества. Среди особенностей послеоперационного периода следует отметить меньшее число осложнений, в том числе лимфокист. Легкое течение послеоперационного периода после лапароскопической операции объясняется меньшей травматичностью доступа. На основании данных планового гистологического исследования в обеих группах преобладала эндометриоидная аденокарцинома высокой и умеренной степени дифференцировки. Количество удаленных лимфатических узлов после лапароскопической и лапаротомной операции было в среднем 16,2±5,8 и 18,8±6,6 соответственно, что сопоставимо и достаточно для оценки состояния регионарных лимфатических узлов. Приблизительно в 2% случаев в каждой группе выявлены метастазы в последних. Преобладающей стадией заболевания (FIGO 2002) являлась IB (около 60% пациенток в обеих группах); ⅓ пациенток обеих групп получили дополнительное лечение (34,4% - после лапароскопический операции, 31,8% - после лапаротомной).
Таким образом, выбранные группы в целом сопоставимы по основным хирургическим позициям, результатам планового гистологического исследования и проведенному дополнительному лечению (лучевая терапия, повторная операция, химиотерапия) и могут быть использованы для оценки отдаленных онкологических результатов. Однако период наблюдения после видеоэндоскопической операции в настоящее время недостаточен (медиана составляет 15 мес), чтобы сделать окончательные выводы, которые представляются весьма перспективными. Тем не менее уже сейчас очевидно, что такие преимущества оперативной лапароскопии при раке эндометрия, как минимальная кровопотеря, низкая частота осложнений, быстрая реабилитация, являются актуальными для пациенток с точки зрения отсутствия задержек в проведении дополнительного лечения.
Выводы
1. Проведенное исследование выявило такие преимущества оперативной лапароскопии при раке эндометрия I стадии, как минимальная кровопотеря, низкое число осложнений, более быстрая реабилитация больных и поэтому обеспечение отсутствия задержек в проведении дополнительного лечения.
2. Группы пациенток, оперированных лапароскопическим и лапаротомным доступами, в целом сопоставимы по принципам хирургического лечения, результатам планового гистологического исследования и показаниям к проведению дополнительного лечения и могут быть использованы для оценки отдаленных результатов.
3. Однако период наблюдения после видеоэндоскопической операции в настоящее время недостаточен (медиана наблюдения - 15 мес), чтобы сделать окончательные выводы.
Рак матки
Рак матки – онкологическое заболевание, поражающее важный орган репродуктивной системы женщины. Матка – это женский половой орган, отвечающий за детородную функцию, располагающийся в нижней части живота, и его основная часть прикрыта брюшной оболочкой. Матка может менять свое положение отличительно от оси таза, его подвижность зависит от наполненности рядом прилегающих органов, таких, как прямая кишка и мочевой пузырь.
Внутри структура органа состоит из периметрия, миометрия и эндометрия. В зависимости от наступления беременности или менструации меняется толщина эндометрия, которая отторгает поверхностный слой, а базальный слой отвечает за восстановление. Размножение раковых клеток может происходить именно в структуре матки и образовывать опухоли.
Опухоль – это новообразование, поражающее церебральные ткани и клетки.
Рак матки – это злокачественное образование, представляющее угрозу жизни женщины. Опасность таких опухолей в скрытых течениях заболевания и его распространение по лимфатическим сосудам к другим важным жизненоважным органам.
Рак тела матки – распространенное злокачественное заболевание, поражающее тело матки. Имеет 2 типа патогенеза.
Первый тип характерен для опухолей, возникающих у женщин молодого возраста. Такой тип развития заболевания происходит на фоне гормонального сбоя или увеличения эндометрия.
Второй тип более сложен, так как возникает у пациенток старшего возраста, когда происходят атрофические процессы с тканями органа и выделения гормона эстрогена активно снижается.
Также выделяется саркома матки – это рак матки, образующийся в мышечной и соединительной ткани.
Рак матки - симптомы и признаки
Признаками заболевания является необъяснимые влагалищные кровотечения. Во время постменопаузы при нормальном течении жизни кровянистых выделений быть не должно и их появление является первым признаком тяжелого заболевания. В репродуктивном возрасте нарушение цикла менструации может являться важным симптомом.
Также обильные белые выделения, или бели, которые могут сопровождаться сильными болезненными ощущениями тоже могут являться симптомами, особенно если проявляется гнойный или кровянистый характер, своевременное обращение к врачу помоет диагностировать рак матки.
Также к симптомам относится:
- болезненные и тянущие ощущения внизу живота,
- дискомфорт и сдавленность при мочеиспускании,
- боль во время полового акта.
Такие симптомы могут являться признаками различных заболеваний, но ранняя диагностика поможет найти проблему и лечение без серьезных поражений организма.

Рак матки - стадии
Эффективность лечения онкологии матки зависит от выявленной стадии заболевания. Различают четыре стадии развития опухоли:
- опухоль находится в пределах тела матки;
- рак распространяется на шейку матки;
- опухоль поражает лимфоузлы и соседние органы;
- рак метостазируется в другие жизненоважные органы.
Изначально опухоль находится в матке и не выходит за её пределы. Далее, рак может выходить за область матки, но находиться в области малого таза. На последней стадии новообразование распространяется на прилегающие органы, а также за пределы брюшной полости через лимфатические сосуды и узлы. Рак тела матки может распространяться по лимфатическим и кровеносным сосудам к другим органам и тканям, поражая их.
Рак матки – диагностика
Первичное определение рака матки является консультация и осмотр врача гинеколога. Далее могут назначаться последующие анализы и исследования для определения стадии злокачественного заболевания и методов лечения.
Обследование врача онколога-гинеколога может включать:
- Взятие биопсии;
- УЗИ органов малого таза и брюшной полости;
- Гиистероскопия;
- Колькоскопия;
- МРТ,КТ;
- ПЭТ КТ.
Данные обследования помогают выявить заболевание на ранних стадиях заболевания и оценить возможность его метастазирования в другие органы. Взятие биоматериала для цитологического обследования раскрывает картину заболевания, и помогает подобрать правильное лечение.
В серьезных случаях с дополнением сопутствующих заболеваний или недоступности локализации для составления клинических рекомендаций требуется консультация врачей-генетиков.
Определение стадии раковой опухоли является важным фактором в лечении.
Рак матки – лечение
Если рак матки, возможно, обнаружить на начальных стадиях, то это определенно повысит шанс на положительный исход лечения путем хирургического вмешательства, лучевой терапии, гормонотерапии. Положительный исход возможен при назначении правильного лечения и соблюдения клинических рекомендаций.
Хирургическое вмешательство
Оперативное вмешательство подразумевает отсечение маточных труб, яичников, то есть органа в целом. Рак тела матки лечится только хирургическим вмешательством с использованием лапароскопической хирургии. Такая возможность позволяет избежать проблем с внешним видом разрезов и сохранить эстетический вид с эффективностью лечения.
Лучевая терапия
Лучевая терапия позволяет избежать возникновение метастазов и снизить риск возникновения рецидивов рака тела матки путем облучения раковых клеток. Лучевая терапия применяется врачами онкологами, как основной вид лечения или дополнено для эффективности устранения раковых опухолей после оперативного вмешательства и гармонотерапии.
Химиотерапия
Химиотерапия назначается, как один из этапов комбинированного лечения рака тела матки. При определении степени заболевания назначается терапевтическая программа, в которой назначается химиотерапия и другие этапы воздействия на раковую опухоль. Воздействие противоопухолевых препаратов на делящиеся клетки происходит под контролем состояния крови. В клинике назначается лечение и лабораторные исследования.
Реабилитация после лечения рака матки
Организм, подвергающийся лечению, требует восстановления. Кроме физической составляющей страдает и эмоциональный фон. Страх и отчаяние, как первичный ответ организма на диагноз, может сильно повлиять на состояние женщины. Рак матки лечится в клинике под наблюдением врачей с использованием всевозможных методов лечения и дальнейшем соблюдении клинических рекомендаций. К реабилитации относится лечебная физкультура, физиотерапия, определенные правила питания и создание благоприятной эмоциональной среды.
Светлоклеточная карцинома матки. Лейомиома матки.
Светлоклеточная карцинома матки. Лейомиома матки.
Светлоклеточная (мезонефроидная) карцинома редкая высокозлокачественная опухоль, встречается преимущественно в постменопаузе. Выделяют тубулярный, папиллярный, солидный и смешанный варианты. Прогноз хуже, чем при аденокарциноме и аденоакантоме аналогичной распространенности. Гистологически опухоль мало отличается от светлоклеточного рака влагалища, шейки матки и яичника.
Исключительно редко встречается первичный плоскоклеточный рак эндометрия; чаще он бывает вторичным, распространяясь на тело матки из канала шейки.
Железисто-плоскоклеточная (аденосквамозная) карцинома редкая смешанная высокозлокачественная опухоль, в которой оба компонент а (железистый и плоскоклеточный) злокачественные. Железистый компонент опухоли в большинстве наблюдений преобладает. Опухолевые клетки часто содержат слизь (мукоэпидермоидная карцинома). Несмотря на отчетливую тенденцию к самостоятельному росту, плоскоклеточные и железистые структуры тесно связаны, а местами обнаруживаются и переходные участки.
В отличие от аденоакантомы, рост которой, как правило, почти ограничивается эндометрием или поверхностной инвазией в миометрий, аденосквамозная карцинома в большинстве случаев характеризуется глубоким инфильтрирующим ростом в миометрий, в котором опухолевые структуры могут приобретать выраженное сходство с плоскоклеточным раком. Опухоль встречается у пожилых женщин, прогноз — крайне неблагоприятный.
Недифференцированный рак — группа злокачественных опухолей, эпителиальная природа которых может быть определена только предположительно.

Лейомиома (фибромиома) относится к числу наиболее частых новообразований. Встречается преимущественно в возрасте старше 35 лет. В ностменопаузе наблюдается реже. Микроскопически опухоль аналогична лейомиоме других органов.
Клеточная лейомиома—мягковатая опухоль с четкими границами, часто располагается интрамурально. Микроскопически богата клетками, состав их полиморфен; преобладают клетки с вытянутыми, несколько укрупненными ядрами. Митотическая активность низкая. В период беременности эта опухоль может быстро расти.
«Причудливая» лейомиома содержит крупные причудливой формы гиперхромные ядра, включая многоядерные гигантские клетки. Эти клетки могут быть лишь единичными, либо множественными, занимая значительные участки среди обычных мышечных клеток опухоли. Чаще, однако, эти клетки располагаются в виде гнезда в участках с дистрофическими изменениями типа гиалиноза и миксоматозных изменений. В отдельных случаях в опухоли обнаруживают одновременно картины клеточной и «причудливой» лейо-миомы. Такие опухоли трудно отличимы от лейомиосаркомы.
Полезным дифференциально-диагностическим критерием в таких случаях является митотическая активность, которая обычно низкая.
Лейомиобластома (эпителиоидная лейомиома) — опухоль, в которой преобладают мышечные клетки округлой или полигональной формы с ацидофильной цитоплазмой и иеринуклеарной зоной просветления, частично или полностью окружающей ядро. Митозы редки или отсутствуют. Иногда можно видеть переходы этих клеток в вытянутые мышечные клетки.
Среди других исключительно редких вариантов следует указать «метастазирующую лейомиому» опухоль доброкачественную, но метастазы которой находят в легких. Предполагают, что в таких наблюдениях речь идет о первично-множественных опухолях, а не о их метастазировании. Гистологически опухоли в матке и легких имеют аналогичное строение лейомиомы с признаками морфологической доброкачественности. Распространение лейомиомы но венам матки и малого таза редкая малоизученная патология. Обозначаемая как «интравенозный лейомиоматоз».
Дифференциальный диагноз следует проводить с «эндолимфатическим стромальным миозом», лейомиосаркомой и метастазирующей лейомиомой.
Информация на сайте подлежит консультации лечащим врачом и не заменяет очной консультации с ним.
См. подробнее в пользовательском соглашении.
Опухоль матки: причины, симптомы, виды

Опухоль матки - это новообразование, имеющее доброкачественный или злокачественный характер. Опухоль представляет собой разросшуюся ткань и локализованную в одном или нескольких местах. Неконтролируемое деление клеток в опухоль происходить под влиянием ряда факторов.
Причины
Опухоль матки может возникать по таким причинам, как гормональный дисбаланс, инфекции и воспалительные заболевания органов малого таза, различные травмы, перенесённые хирургические вмешательства. На развитие некоторых видов новообразований имеет влияние наследственная предрасположенность.
Причиной опухоли матки и придатков часто служит и совокупность неблагоприятных факторов воздействия на организм: негативную роль играют частые стрессы, общая усталость и слабость, хронические воспалительные процессы расположенных рядом органов (например, кишечника).
Причинами образования опухоли шейки матки являются воспалительные заболевания влагалища, дисбактериоз, дисбиоз. Во многих случаях нарушения могут возникать при изменении синтеза половых гормонов. Онкогенным риском обладают опухоли шейки матки, спровоцированные такой причиной, как присутствие в организме определённых типов вируса папилломы человека.
Для предупреждения появления опухолей рекомендуется регулярное посещение гинеколога. При отсутствии проблем наблюдаться у врача необходимо с периодичностью один раз в полгода.
Симптомы
У женщин в периоде образования менопаузы первыми симптомами, которые могут указывать на опухоль матки могут быть:
- Сбившейся менструальный цикл. Непосредственно до менопаузы выделения с кровью становятся реже и уменьшаются в объеме. Но при опухоли выделения могут снова участится и стать обильными.
У женщин после менопаузы, когда менструации не было уже более 2 месяцев, симптомами могут быть:
У женщин всех возрастов на наличие опухоли матки могут указывать следующие симптомы:
- нерегулярные кровянистые выделения;
- запоры;
- быстрая утомляемость.
Могут тревожить следующие виды болей:
- в области поясницы;
- внизу живота;
- в промежности;
- при мочеиспускании;
- после полового акта.

Виды опухоли матки
Опухоли бывают доброкачественными и злокачественными. Доброкачественные опухоли могут развиваться годами, не причинять дискомфорт и опасность для жизни. Они легко поддаются лечению. Злокачественные образования (рак) быстро разрастаются и могут представлять серьезную угрозу для жизни. Лечение таких опухолей тем успешнее, чем раньше они были диагностированы.
Злокачественные опухоли
Классификация рака зависит от локализации опухоли в матке и типа раковых клеток:
- Плоскоклеточный рак - это опухоль, развивающаяся из эпителия цервикального канала и влагалищной части шейки матки. Самый часто встречающийся рак матки. Чаще всего им заболевают в возрасте 30-34 лет. Причиной возникновения опухоли этого вида является вирус. Его появлению способствуют: курение, раннее начало половой жизни, частая смена половых партнеров, иммунодефицитные состояния. Плоскоклеточному раку могут предшествовать следующие предраковые состояния:
- CIN I или дисплазия умеренной степени;
- CIN II или тяжелая дисплазия;
- CIN III или карцинома.
- высокодифференцированная;
- умереннодифференцированная;
- низкодифференцированная.
![Опухоль матки]()
Доброкачественные опухоли
Наиболее распространенные доброкачественные новообразования матки:
- Киста - это пузырь, наполненный жидким содержимым. Сам по себе пузырь не опасен и редко бывает большого размера, но может вызвать осложнения в виде псевдоэрозии на слизистой стенке матки или нагноение при разрыве. Во избежании осложнений кисту лучше удалить.
- Миома - клубок переплетающихся гладкомышечных волокон округлой формы, диаметром от нескольких миллиметров до нескольких сантиметров. Чаще встречается при позднем репродуктивном периоде и перед климаксом. Является самой распространенной опухолью у женщин. Представляет собой гормонально-зависимую опухоль. Возникает из-за неправильного деления одной гладкомышечной клетки. Лечится с помощью медицинских препаратов таких как транексамовая кислота и антагонисты гонадотропин релизинг-гормона. Наиболее действенным является хирургическое удаление методами лапароскопии, гистероскопии и гистерэктомии.
- Полип - опухоль, представляющая собой выросты из базального слоя эндометриоидных клеток. Представляет собой тело опухоли на ножке, с помощью которой оно крепится к внутренней стенке матки. Возникает на фоне слабого иммунитета и нарушении обмена веществ. Чаще образуется в возрасте после 30 лет.
Полипы эндометрия удаляются при гистероскопии, а их основание соскабливается кюреткой. Процедура проходит быстро под местной анестезией, после операции в течение 10 дней могут быть кровянистые выделения из полости матки.
Аденоматозных полипы являются предраковым состоянием, поэтому их лечение отличается от лечения обычных полипов. Женщинам старше 45 лет аденоматозных полипах назначают полное удаление матки. - Фиброма - опухоль, которая растет из мышечного слоя матки, в составе которой преобладают соединительные элементы. Является гормонозависимой опухолью. Разрастается из одной мутировавшей клетки. Бывает узловой и диффузной. Узловая фибромиома четко выражена и отличима от других образований, а границы диффузной фибромы размыты и она может сливаться с другими образованиями.
Стадии рака матки
- 0 стадия – злокачественное изменение эпителия матки без проникновения за базальную мембрану.
- 1 стадия – опухоль находится в пределах тела матки.
- 2 стадия – опухоль распространяется на шейку матки.
- 3 стадия – опухоль метастазирует в яичник, влагалище, тазовые или парааортальные лимфоузлы.
- 4 стадия – опухоль распространяется на слизистую толстого кишечника, мочевого пузыря, в отдаленные органы и лимфоузлы.
![Рак матки]()
Лечение
Лечение рака матки заключается в точной диагностике этого заболевания, правильном определении типа опухоли и исходя из диагностических данный выбора метода лечения - терапии и операции.
Диагностика
Для выявления заболевания и определения типа опухоли могут быть выбраны следующие методы:
- Клиническая диагностика - опрос пациентки, гинекологический осмотр и сбор анамнеза.
- Ультразвуковое обследование органов малого таза (УЗИ) - метод исследования с помощью ультразвукового аппарата, который позволяет определить опухоль, изучить ее размеры и структуру, проверить состояние наружного, слизистого и мышечного слоя матки, оценить состояние кровотока и обнаружить очаги в других органах.
- Гистероскопия - визуальный осмотр матки и забор биологического материала из внутреннего слоя в тех местах, где есть подозрение на опухоль.
- Цитологический метод - изучения клеточного состава материала полученного, в результате мазков во время гинекологического исследования. По клеточному составу можно определить наличие воспалительного процесса, атипичных и раковых клеток в матке.
- Биопсия и иммуногистохимия - исследование материала матки, взятого с помощью кольпоскопа, под микроскопом и с помощью иммуногистохимического исследования для определения типа клеток опухоли.
- Гистологическое исследование - исследование материала, взятого из матки, под микроскопом. Изучается структура ткани, наличие клеток опухоли и их дифференцировка.
- Онкомаркер СА-125 - анализ крови, на наличие маркеров, косвенно указывающих на распространение опухолевого процесса в организме.
- Флуоресцентная диагностика - метод при котором в организм вводится фотосенсибилизирующие вещества, способные избирательно накапливаться в злокачественных клетках. После чего с помощью эндоскопического исследования матки выявляются места расположения опухолей. Метод позволяет опухоль менее 1 миллиметра.
После получения данных, собранных различными методами врач расшифровывает результаты, оценивает все в комплексе, ставит диагноз и назначает лечение.
Терапия
При определенных типах опухолей для лечения могут быть эффективны:
- Гормональная терапия - использование гормонов, например, прогестерона и других для подавления некоторых видов опухолей на ранних стадиях. Чаще используется для лечения женщин, которые в планируют беременеть в будущем. После гормональной терапии может наблюдаться увеличение веса и другие последствия.
- Химиотерапия - использование химических препаратов, разрушающих некоторых типов опухолей. Как правило, применяется после операции для разрушения оставшихся в теле раковых клеток. Терапия проводится внутривенно циклами. В качестве побочных эффектов может вызвать выпадение волос, нарушения в работе желудочно-кишечного тракта, снижение иммунитета.
- Лучевая терапия - используется для разрушения раковых клеток как отдельно так и совместно с другими видами терапии и хирургической операцией. Облучение опухоли может быть внешним или внутренним. Внешнее облучение делается на большом аппарате, который извне направляет лучи в место опухоли в матке. Внутреннее облучение осуществляется путем введения цилиндра с радиоактивным материалом во влагалище на небольшое время. Лучевая терапия может на некоторое время привести к нарушению менструации, сужения влагалища, жжению, сухости и раздражению.
Использование методов терапии зависит от типа опухоли, стадии развития, общего состояния здоровья пациента, его возраста и многих других факторов.
Операция
Основной метод лечения заболевания, посредством удаления опухоли:
- Обычной полостной операцией (лапаротомия). Для доступа к опухоли и ее удаления делается большой разрез на животе.
- Эндоскопической операцией. Опухоль удаляется с помощью эндоскопического аппарата, который вводится через несколько маленьких разрезов в передней брюшной стенке.
Способ операции выбирает хирург в зависимости от состояния пациентки.
Дальнейшее развитие ситуации и прогноз
Прогноз по выздоровлению зависит от многих факторов, таких как возраста пациентки, типа опухоли, стадии рака, наличия метастазирования и других. У пациенток до 50 лет более благоприятный прогноз при гормонозависимом варианте рака и отсутствии метастазов. Хуже прогноз у женщин старше 70 лет с типом рака низкочувствительным к гормонам. Выявление и лечение рака на более ранней стадии дает лучший прогноз. Лечение рака эндометрия дает лучшее результаты, чем саркома. Удаление локализованной опухоли небольших размеров дает более благоприятный прогноз, чем большой опухоли, распространившейся на другие органы.
Все пациентки, у которых был обнаружен рак тела матки и которые проходили лечение, находятся под контролем онкогинеколога. Женщины, которые получили лечение рака тела матки с сохранением органа, возможно наступление беременности, после гормональной реабилитации и восстановления овуляторных циклов. У этих лиц ведение беременности требует особого внимания. У пациенток, перенесших операцию по полной ампутации матки может развиваться постгистерэктомический синдром.
Рак тела матки (эндометрия)
Рак тела матки в последнее десятилетие стали лечить агрессивнее, при любом распространении считая целесообразным оперативное лечение. Раньше при сомнительно операбельной и даже удаляемой опухоли предпочтение отдавалось гормональной терапии, как менее опасной, что мало соответствовало действительности.
![Алимардонов Мурад Бекмуротович]()
![Алимардонов Мурад Бекмуротович]()
Стадии рака тела матки (эндометрия)
Рак тела матки стадируют, как все злокачественные опухоли, по критериям TNM, но лечебную тактику определяют по критериям Международной федерации акушеров-гинекологов. В практической деятельности российские специалисты используют классификацию 1998 года — предпоследнюю.
- 1 стадия — злокачественная опухоль если и вышла за пределы слизистой оболочки — эндометрия, но не смогла полностью вовлечь в раковый процесс мышцу тела матки;
- 2 стадия — новообразование захватило всю толщину органа, но не вышло наружу;
- 3 стадия — злокачественный процесс вовлек влагалище, придатки и клетчатку, а в теле матки пророс через серозную оболочку;
- 4 стадия — рак распространился на мочевой пузырь или прямую кишку, обнаружены метастазы в лимфатических узлах, но метастазы в половых органах относят к 3 стадии
![]()
Чем определяется течение рака матки у женщины?
На продолжительности жизни, равно как и на агрессивности лечения рака эндометрия, отражается распространение опухоли вглубь маточной стенки и на другие анатомические структуры на момент диагностики, а также гистологический тип и степень дифференцировки или агрессивности.
Отмечено, что у женщин моложе 60 лет процесс течет менее благоприятно, почти у четверти с малыми размерами опухоли возникает рецидив заболевания и чаще формируются более агрессивные клеточные типы.
Естественно, что ничего хорошего нет в распространении рака на шейку матки, яичники и лимфоузлы. Несмотря на ограниченное использование гормональной терапии, прогноз лучше при высоком содержании рецепторов гормонов в опухолевых клетках.
Симптомы рака тела матки немногочисленны, в большинстве случаев после менопаузы заболевание проявляется кровотечением, когда эндометрий атрофирован по возрасту и в принципе невозможна менструация.
Особенности рака тела матки
Рак тела матки — болезнь пожилых женщин, средний возраст больных чуть больше 60 лет. Молодые женщины болеют очень редко, составляя 5% от всех заболевших. Самая высокая заболеваемость регистрируется у белых американок и датчанок, тем не менее, чаще болеют еврейки, но объяснения этому факту нет.
Смертность невысокая, потому что и агрессивность эндометриального рака невыраженная, разработано разнообразное и результативное лечение. Восемь из десяти пациенток страдают эндометриоидным вариантом аденокарциномы, остальные два приходятся на агрессивно текущие серозно-папиллярный и светлоклеточный типы. Чрезвычайно редко встречается карциносаркома — сочетание рака с саркомой.
Симптомы рака тела матки
Симптомы раннего заболевания
Симптомов почти нет, матка не болит и выделений тоже никаких. У зрелых женщин, таких большинство, настораживает такой симптом как кровотечение на фоне возрастного отсутствия месячных. Кровотечение называется «ацикличным маточным», под цикличными кровотечениями подразумеваются обычные менструации. Когда у пожилой женщины возникает кровотечение любой интенсивности, в первую очередь предполагают рак эндометрия. По интенсивности кровотечения невозможно определить размер новообразования эндометрия.
Заподозрить раковый процесс у регулярно менструирующей молодой женщины сложно, но этот симптом тоже характерен для репродуктивного возраста. Молодые чаще посещают гинеколога, при ультразвуковом обследовании сопоставляется визуальная картинка и несвоевременно прошедшая и странная менструация.
Второй симптом — небольшое увеличение размера матки отмечается далеко не всегда.
Получить заочную консультацию врача онколога
Симптомы распространенного рака эндометрия
Увеличение тела матки за счет опухоли приводит к сдавлению и вовлечению в опухолевый конгломерат органов малого таза, в первую очередь, мочевого пузыря, что проявляется симптомами цистита с дизурией: учащенное и болезненное мочеиспускание, недостаточное наполнение.
Рак может распространяться на шейку и верхнюю часть влагалища, что отзывается болями при половом контакте и выделениями. Метастазирование в лимфатические узлы и опухолевая инфильтрация тазовой клетчатки нарушает отток лимфы и венозной крови от нижних конечностей, они отекают, начиная со стоп. Отек практически не уменьшается на мочегонных препаратах и при отдыхе, потому что обусловлен чисто механической блокадой путей оттока.
Могут определяться каменистой плотности паховые лимфатические узлы, метастазы в забрюшинные узлы проявляются тянущими болями в пояснице, не связанными с движениями. Рак эндометрия может давать опухолевые отсевы в надключичные лимфоузлы, поражение лимфатической системы отмечается у каждой третьей пациентки.
Симптомы рецидива и метастазов
После лучевого лечения матка запаивается в грубых рубцовых тканях и чем больше времени прошло после облучения, тем более выражен постлучевой склероз. Возобновление роста опухоли на этом фоне вызывает боли и отечность нижних конечностей.
Характерны метастазы в легкие, проявляющиеся симптомами легочной недостаточности, и кости с болевым синдромом и переломами, но эти симптомы возникают при агрессивных вариантах болезни, что бывает достаточно нечасто.
![]()
Лечение рака тела матки
Лечение рака эндометрия в начальной стадии
Самое эффективное — хирургическое удаление матки с придатками, неважно, каким доступом: через брюшную стенку или лапароскопически и даже через влагалище. Только при непереносимости больной оперативного лечения показана лучевая терапия с большой суммарной дозой и не без неприятных последствий, которые с каждым годом будут усугубляться — рубцовые изменения будут только нарастать.
При неблагоприятно текущих серозно-папиллярном и светлоклеточном типах рака эндометрия операция дополняется дистанционным и внутриполостным облучением и курсами профилактической химиотерапии.
Принципиально женщине, желающей родить ребенка, в этой стадии при высокой гормональной чувствительности можно отказаться от операции, минимально полгода лечиться гормонами, при хорошем результате родить и сразу же согласиться на удаление матки с придатками.
Лечение 2 стадии рака матки
Почти такой же план лечения, но операцию дополняют удалением лимфатических узлов, дополнительно проводится 3 курса профилактической химиотерапии.
Профилактическое облучение показано только при агрессивных вариантах рака эндометрия, его начинают через 2–3 недели после операции.
Гормональные препараты в качестве профилактики рецидива и метастазов себя не оправдывают.
Лечебная тактика при распространенном процессе
Стандарты предполагают только индивидуальный подход при 3 и 4 стадиях рака матки, в первую очередь, оценивается возможность операции, даже нерадикальной, но уменьшающей объем остаточной опухолевой ткани — циторедуктивное вмешательство. Результаты только лучевой и химиотерапии уступают эффективности сочетания всех этих методов с операцией.
При невозможности операции проводится несколько курсов химиотерапии, которую дополняют облучением и продолжением лекарственного лечения.
![Операция при раке матки]()
Тактика при прогрессировании после первичного лечения рака тела матки
Во всех случаях в первую очередь обсуждается вопрос хирургического удаления рецидивной опухоли матки или метастаза. Если после первой операции не было лучевой терапии, то при невозможности удаления назначают облучение и химиотерапию. Гормональное лечение правомочно при высоком уровне рецепторов эстрогенов и прогестинов.
Тактика зависит от многих факторов, а не только от методики первичного лечения, существует и альтернативный инновационный способ удаления злокачественного новообразования с помощью высокочастотного электрического тока, которым владеют единичные российские специалисты, но давно и эффективно используется у пациентов международной клиники Медика24.
Причины рака тела матки лежат в неадекватной гормональной продукции, поэтому часто женщина страдает и сопряженными с дисбалансом возрастными болезными — избыточным весом, диабетом и гипертонией.
Кто болеет раком тела матки
Болеющие раком тела матки женщины имеют характерный внешний вид, как и большинство пациенток с гормональными проблемами. Всех больных раком эндометрия разделили на две группы по схожим критериям.
Самую распространенную группу причислили к «1 типу». Это зрелые, но ещё не старые женщины, с избыточным весом и высоким давлением, повышенным сахаров крови и часто с измененными яичниками, возможно, врожденного характера. Причина патологии — в яичниках, продуцирующих не столько избыток эстрогенов, сколько недостаток прогестагенов. Злокачественное новообразование, как правило, невысокой агрессивности и чувствительно к гормональному воздействию.
Опухоли не такого благоприятного варианта причислили к «2 типу», они агрессивнее по течению, хоть и развиваются у женщин в старости, когда слизистая матки не испытывает сильного влияние угасающей гормональной продукции, а причиной злокачественного перерождения становится атрофия внутренней оболочки тела матки.
![]()
Причины рака тела матки
Процессы эндометрия, как причина заболевания
Слизистая тела матки подвержена цикличным изменениям, регулируемым колебаниями двух гормонов — эстрогенов и прогестагенов, синтезируемых яичниками. При патологии яичников, к примеру, при сочетании кист со склеротическими изменениями, недостаток выработки прогестерона сочетается с избытком эстрогенов. Эстрогены бомбардируют слизистую матки, вызывая её избыточный рост. Многократное и плохо контролируемое деление клеток может сбиться с пути и привести к образованию неправильного формата клетки, атипичной, а весь процесс носит название атипической гиперплазии.
Так же случается при неправильном подборе и нерегулярном приеме гормональных контрацептивов.
После менопаузы баланс гормонов тоже нарушен по естественной причине угасания, но происходит аналогичное событие при делении клетки — гиперплазия, которую от рака эндометрия отделяет ещё большая структурная деформация клетки. Атипическая гиперплазия эндометрия отнесена к предраковому процессу.Причины рака тела матки лежат в неадекватной гормональной продукции, поэтому часто женщина страдает и сопряженными с дисбалансом возрастными болезными — избыточным весом, диабетом и гипертонией.
Получить заочную консультацию врача онкогинеколога
Причина рака в ожирении
Концентрацию эстрогенов способны повысить не только яичники, но и разбалансированная деятельность других желез внутренней секреции. Замечено, что ожирение увеличивает вероятность злокачественной опухоли эндометрия: небольшой избыток веса двукратно, а значительный — десятикратно. В жировой ткани происходит трансформация андрогенов в эстрогены, чем больше прослойка жира, тем интенсивнее, кроме того, при ожирении нарушаются многие метаболические процессы.
Другие факторы риска рака тела матки
Снижение продукции половых гормонов с возрастом компенсируется усилением деятельности надпочечников, которые вырабатывают андрогены, в жировой ткани под действием ароматазы превращающиеся в эстрогены, меняющие жизнедеятельность слизистой. Андрогены способны и сами контактировать с эстрогенными рецепторами клеток оболочки, вызывая их избыточное развитие.
Гормоны щитовидной железы участвуют в процессе взаимодействия эстрогенов с клеткой, поэтому заболевания железы способны привести к гиперпластическому процессу.
Хронические заболевания печени и желчных путей тоже нарушают гормональную утилизацию, формируя гиперэстрогенный фон.
И только у каждой двадцатой больной злокачественное заболевание развивается на фоне наследственного синдрома Линча, приводящего к раку толстой кишки.
Диагностика рака матки (эндометрия)
Диагностика рака матки всегда сопряжена с внедрением внутрь органа, что глубоко против природы, расположившей плодовместилище в практической недоступности. Никакие «мягкие» методики обследования — УЗИ или прощупывание не способны решить диагностическую проблему.
Диагностика рака тела матки завершается под микроскопом, а ткань для исследования берется из опухоли, где бы та не находилась. Полость матки, в которой началось злокачественное перерождение слизистой оболочки, хорошо видима при ультразвуковом исследовании, можно даже наметить зону, где растет опухолевая ткань, взять её оттуда на микроскопию можно только с применением хирургической диагностики.
Современные аппараты УЗИ обнаруживают полипы эндометрия меньше полсантиметра, а вся уточняющее клеточное строение диагностика практически не изменилась за последние несколько десятилетий.
Первый этап диагностики — аспирационная биопсия
Аспирация — натягивание клеточного материала из полости матки в шприц, несложная манипуляция. Тем не менее, она сопряжена с проникновением в стерильное внутреннее пространство. При достаточно обширном поражении клетки насасываются уже в канале шейки матки, но при минимальном новообразовании может потребоваться предварительное орошение полости матки раствором, со сбором этого смыва для микроскопического исследования. Манипуляция называется аспирационной биопсией, но по факту это не биопсия — взятие кусочка ткани, а сбор разрозненных клеток, то есть цитологическая диагностика.
Если при микроскопии полученного при аспирации материла найдется достаточное количество клеток рака, что позволит цитологу высказать однозначное мнение, то на этом инвазивная диагностика может завершиться и дальше останется искать метастазы и определяться с лечебной тактикой. Если определенности не будет, следующий этап — диагностическое выскабливание полости матки.
Второй этап диагностики рака — раздельное выскабливание
Диагностическое выскабливание матки дает большую определенность, поскольку под микроскопом исследуются целые пласты клеток, полученные при «чистке». По клеточным пластам уже можно определить степень агрессивности опухоли и её тип.
Выскабливание производится раздельно: сначала удаляется слизистая оболочка цервикального канала, затем — соскабливается весь эндометрий. Формально тот же аборт, но с другими — благородными целями диагностики. Это обследование выполняется в малой операционной и под наркозом.
![Диагностика рака матки]()
Дополнительное обследование при раке эндометрия
В большинстве случаев при выскабливании удается получить клеточный материал, но если всё-таки возникли сложности, то третьим этапом инвазивной диагностики станет гистероскопия — осмотр полости матки эндоскопическим оборудованием с одновременным взятием биопсии с подозрительных и ранее намеченных при УЗИ мест.
Распространение поражения за пределы тела матки определяется при КТ или МРТ малого таза, МРТ чуть точнее выявит переход рака на шейку и глубину внедрения раковых клеток в маточную стенку.
Может потребоваться цистоскопия, если опухоль дошла до стенки мочевого пузыря. Осмотр полости мочевого пузыря позволит определить степень его вовлечения в раковый конгломерат.
В части случаев в крови повышается уровень маркера CA-125, если маркер определяется, то в дальнейшем по колебанию его концентрации будет отслеживаться эффективность лечения, рецидив и метастазы.
Диагностика метастазов
Дальше идет поиск метастазов, их обнаружение радикально меняет лечебную тактику. Рак тела матки метастазирует в лимфатические узлы брюшной полости и забрюшинного пространства, не всегда по всей цепочке, иногда «стреляет» через группы узлов, поражая весьма отдаленные. Распространение рака через кровь не типично для эндометрия, поэтому метастатические образования в легких и костях появляются при большой длительности заболевания.
Стандарты диагностики включают рентгенографию или КТ грудной клетки, УЗИ или КТ/МРТ брюшной полости.
Читайте также:








