Рентгенограмма, МРТ при периостальной хондросаркоме
Добавил пользователь Евгений Кузнецов Обновлено: 27.01.2026
Методы медицинской визуализации костно-мышечной системы: общий канал для пользователей IMAIOS
Хондросаркома на почве остеогенного экзостоза
Анамнез
>>>Опухоль крыла правой подвздошной кости, диагностированная четыре года назад, обнаруженная на рентгеновском снимке, сделанном в рамках медосмотра подвздошной массы. Появление болей при пальпации и увеличение размера опухоли.
Результаты
>>>Рентгенография: Экзостоз на широкой ножке. Тонкие очаги обызвествления вокруг поражения, но не всплошную, подозрительные.
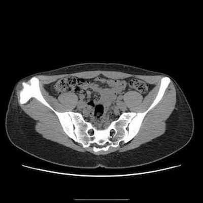
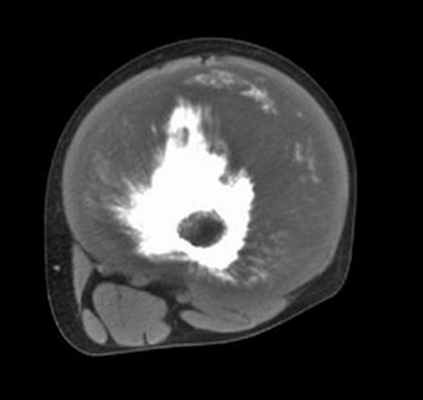
КТ: контур периферического кортикального слоя не прерывается на границе с кортикальным слоем подвздошной кости. Хорошо различимая трабекулярная структура указывает на остеогенный экзостоз.
Свидетельствует о наличии хрящевого обызвествления, захватывающего, по-видимому, соседние мягкие ткани.
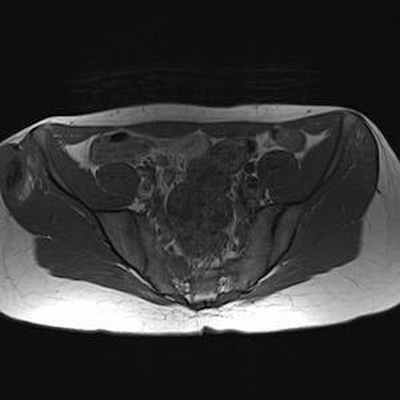
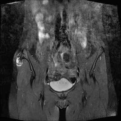
МРТ: чётко видимая хрящевая шапочка, имеющая геперинтенсивный сигнал на T2 (DP)-ВИ и изоинтенсивный сигнал на Т1-ВИ, неправильной формы и очень плотная (23 мм), принимающая дольчатый вид, вызывающая подозрение на саркоматозную дегенерацию. Периферическое повышение сигнала после инъекции.
Диагноз
Хондросаркома на почве остеогенного экзостоза
Анализ
>>>Типичный экзостоз (остеохондрома) = костная опухоль, поверхность которой покрытая хрящом. На ножке. Обычно встречается в метафизах, коленном суставе и проксимальном крае плечевой кости. Сканирование позволяет подозревать поражение мягких тканей хрящевым обызвествлением, но только МРТ позволяет определить толщину хрящевой шапочки, различаемой по гиперинтенсивному сигналу на Т2-ВИ и специфичному гипоинтенсивному сигналу на Т1-ВИ в активной фазе (гидратация++).
Толщина нормальной шапочки не должна превышать 10 мм у взрослого.
От 10 до 20 мм, поражение называется промежуточным.
Образование считается опухолевым, если оно превышает 20 мм.
Поскольку шапочка хорошо различима, чётко гипоэхогенная, можно было бы применить эхографию в случае этой пациентки с худощавым телосложением.
Следует отметить, что у детей шапочка может достигать 2 см в период роста (её толщина пропорциональная толщине росткового хряща), не имея при этом патологический характер.
>>>Экзостоз: Болезнь Тревора (эпифизарная остеохондрома) и другие костные и периостальные поражения (периостальная хондрома, периостальная остеохондрома, остеома, оссифицирующий миозит, энтезопатия), но в этих случаях нарушается непрерывность кортикального слоя и губчатого вещества между костью и данными поражениями.
Боль в месте локализации остеохондромы: искать бурсит, развит при контакте с ней, сжатие сосудисто-нервных и смежных сухожильно-мышечных структур, или перелом.
Ключевые понятия
>>>При увеличении размера экзостоза после окончания роста и при болевых ощущениях, умножить исследования (МРТ+++ с целью измерить толщину шапочки), поскольку есть подозрение на саркоматозную дегенерацию.
Литература
>>>Cotten, A., Ceugnart, X., Leroy, C., Maynou, C. (2005). Tumeurs osseuses primitives et pseudotumeurs. Dans Cotten Anne, Imagerie musculosquelettique: pathologie générales. Paris: Masson.

TDM Pelvis Axial

TDM Abdomen Axial tissus mous

IRM Abdomen Axial Pondération T1

IRM Pelvis Axial Pondération DP

IRM Pelvis Coronal Pondération DP

IRM Pelvis Axial Pondération T1gadolinium fat sat

IRM Pelvis Coronal Pondération T1gado fat sat
Комментарии
Введите действительный адрес электронной почты. Можно также ввести список адресов электронной почты, разделяя их запятыми.
IMAIOS и некоторые третьи лица используют файлы cookie или подобные технологии, в частности для измерения аудитории. Файлы cookie позволяют нам анализировать и сохранять такую информацию, как характеристики вашего устройства и определенные персональные данные (например, IP-адреса, данные о навигации и местонахождении, данные пользователя, уникальные идентификаторы). Эти данные используются в следующих целях: анализ и улучшение опыта пользователя и/или нашего контента, продуктов и сервисов, измерение и анализ аудитории, взаимодействие с социальными сетями, отображение персонализированного контента, измерение производительности и привлекательности контента. Для получения дополнительной информации ознакомьтесь с нашей политикой конфиденциальности.
Вы можете дать согласие на обработку данных, отозвать или отказаться от согласия в любое время, воспользовавшись нашим инструментом для настройки файлов cookie. Если вы не согласны с использованием данных технологий, это расценивается как отказ от хранения, имеющего правомерный интерес, любых файлов cookie. Чтобы дать согласие на использование этих технологий, нажмите кнопку «Принять».
Настройки файлов cookie
При посещении сайта IMAIOS в вашем браузере сохраняются файлы cookie.
Для некоторых из них требуется ваше согласие. Щелкните тип файлов cookie, чтобы включить или отключить их сохранение. Чтобы воспользоваться всеми функциями сайта IMAIOS, рекомендуется включить различные типы файлов cookie.
Обязательные файлы cookie
Эти файлы cookie обеспечивают надлежащее функционирование сайта и позволяют оптимизировать его работу (выявление проблем с навигацией по сайту, вход в аккунт IMAIOS, онлайн-платежи, отладка и безопасность сайта). Веб-сайт не может нормально функционировать без этих файлов cookie, поэтому их использование не зависит от вашего согласия.
Аналитические файлы сookie
Эти файлы cookiе предназначены для измерения аудитории: статистика посещаемости сайта позволяет улучшить качество его работы.
Рентгенограмма, МРТ при периостальной хондросаркоме
а) Терминология:
1. Синонимы:
• Юкстакортикальная хондрома, паростальная хондрома
2. Определение:
• Хрящеобразующая опухоль, развивающаяся из периостального слоя трубчатых костей
б) Визуализация:
1. Общая характеристика:
• Лучший диагностический критерий:
о Поверхностное новообразование, развивающееся из метафиза трубчатой кости, и продуцирующее хрящевой матрикс
• Локализация:
о Метафизарное расположение, развивается на поверхности кости
о Проксимальные отделы плечевой и бедренной костей (70%)
о Фаланги (25%) (кисть > стопа)
о Реже встречаются множественные поражения
• Размер:
о Медиана: наибольший диаметр составляет 2,5 см (в среднем 2,3 см) поданным одного исследования (диапазон 1-6,5 см):
- Как правило, меньше периостальной хондросаркомы: Размер может служить одним из наиболее важных дифференциально- диагностических признаков
• Морфологические особенности:
о Распространяется вдоль длинной оси поверхности кости
2. Радионуклидная диагностика:
• В литературе имеется описание клинического случая, где ПЭТ/КТ оказалась эффективной при дифференциальной диагностике периостальной хондромы и периостальной хондросаркомы на основании порогового значения максимального стандартизированного показателя накопления 2,0 или 2,3
3. Рекомендации по визуализации:
• Лучшее средство визуализации:
о Рентгенография позволяет установить диагноз и провести дифференциальную диагностику
о МРТ необходима доля оценки характера поражения мягких тканей и/или костномозгового канала
(Слева) Рентгенография в ПЗ проекции: в структуре патологического очага на поверхности кости визуализируется достаточно выраженный неспецифический матрикс. Новообразование является причиной умеренно выраженной фестончатости подлежащего кортикального слоя, который, в свою очередь, несколько утолщен. Патологический очаг типичный, но не патогномоничен для периостальной хондромы.
(Справа) Рентгенография лопатки в Y-проекции: случайно выявленный патологический очаг, типичный для периостальной хондромы. Поверхностное новообразование развивается из заднего кортикального слоя метадиафиза плечевой кости и вызывает фестончатость кортикального слоя, что приводит к кортикальному склерозу. (Слева) КТ, аксиальная проекция: у этого же пациента подтверждается наличие кортикальной фестончатости. Имеется частичная отслойка надкостницы, а также кальцинированный матрикс В в структуре патологического очага. Мягкотканный компонент распространяется за пределы матрикса Такими признаками могут быть представлены периостальная хондрома, периостальная хондросаркома, периостальная остеосаркома или паростальная остеосаркома на ранней стадии.
(Справа) МРТ, аксиальная проекция, режим TV. у этого же пациента визуализируется поверхностное новообразование, характеризующееся достаточно однородным низкоинтенсивным сигналом в режиме Т1 без признаков поражения коано-мозгового канала. (Слева) МРТ, сагиттальная проекция, режим Т2, с подавлением сигнала от жира: у этого же пациента визуализируются признаки плотного склерозирования в зоне кортикальной реакции. На периферии очага предположительно визуализируется высокоинтенсивная дольчатость. Это суггестивный, но не диагностический признак хрящеобразующей опухоли.
(Справа) МРТ, сагиттальная проекция, режим Т1, с подавлением сигнала от жира, с контрастным усилением: визуализируются признаки лишь минимального накопления контрастного вещества хрящевой порцией патологического очага. Признаки интрамедуллярного распроаранения или отека не определяются. Сравнительно небольшой размер новообразования и отсутствие агрессивных признаков служит доводом в пользу периостальной хондромы.
4. Рентгенография при периостальной хондроме:
• Блюдцеобразное поражение кортикального слоя
• Склерозированные края
• Массивная периостальная реакция, особенно у проксимального и дистального концов очага
• Утолщение кортикального слоя у проксимального и дистального концов очага
• Кальцификация матрикса (75%)
• Мягкотканный компонент
5. КТ при периостальной хондроме:
• Данные аналогичны данным рентгенографии
• Позволяет более четко визуализировать матрикс и блюдцеобразное поражение кортикального слоя
6. МРТ при периостальной хондроме:
• Дольчатая конфигурация новообразования
• Изоинтенсиввный или низкоинтенсивный сигнал в режиме Т1
• Гиперинтенсивный сигнал в режиме Т2
• Неоднородное накопление контрастного вещества, как правило на периферии очага
• Костномозговой канал поражается в 20% случаев
• Отек костного мозга (20%)
• Неравномерные края мягкотканного компонента (30%)
(Слева) Рентгенография в ПЗ проекции: у пациента с незрелым скелетом визуализируется метадиафизарный патологический очаг с поверхностным или кортикальным расположением. Если данный патологический очаг имеет кортикальное основание он может являться оссифицирующей фибромой или даже кортикальным очагом фиброзной дисплазии или остеохондромой на широком основании. Тем не менее, необходимо также рассматривать вероятность поверхностного расположения новообразования.
(Справа) Сцинтиграфия в ПЗ проекции: патологическое накопление в зоне солитарного очага. Сцинтиграфия не позволяет провести дифференциальную диагностику между указанными новообразованиями. (Слева) МРТ, корональная проекция, режим T1: у этого же пациента визуализируется матрикс, развивающийся из кортикальною слоя неизмененной в остальном кости без признаков мягкотканною компонента.
(Справа) В режиме Т2 патологический очаг характеризуется сигналом большей интенсивности. Подлежащая кость неизменена. Данные признаки позволяют исключить возможность кортикальною происхождения патологическою очага и определить его поверхностный характер. Учитывая поверхностность очага и отсутствие мягкотканного компонента, наиболее вероятным предположением здесь является периостальная хондрома, что было подтверждено результатами биопсии. (Слева) Рентгенография в боковой проекции: фестончатость и утолщение кортикального слоя у проксимального и дистальною концов очага. В структуре данного поверхностного новообразования видимого матрикса не определяется.
(Справа) КТ, аксиальная проекция: подтверждается утолщение и фестончатосгь кортикального слоя. Поверхностный очаг распространяется, на самом деле, в передние мягкие ткани и содержит матрикс. Такие признаки могут встречаться при периостальной остеосаркоме, периостальной хондросаркоме или периостальной хондроме. Данные признаки чаще встерчаются при последнем состоянии, что нашло свое подтверждение.
в) Дифференциальная диагностика периостальной хондромы:
1. Периостальная хондросаркома:
• Редкая поверхностная хондросаркома
• Имеет ту же локализацию, что и периостальная хондрома
• Характеризуется, обычно, низкой степенью злокачественности, поэтому выраженно агрессивные признаки могут отсутствоввать
• Визуальные характеристики почти идентичны таковым при периостальной хондроме:
о Поверхностный очаг о Фестончатость кортикального слоя
о Кальцификация матрикса о Идентичные данные МРТ:
- Дольчатость хрящеобразующего новообразования низкой степени злокачественности; высокоинтенсивный сигнал в последовательностях, чувствительных к жидкости
- Периферическое накопление контрастного вещества; небольшой мягкотканный компонент
• Надежные дифференциально-диагностические признаки, позволяющие отличить периостальную хондросаркому от перисотальной хондромы отсутствуют, но:
о Возможен больший размер, чем у большинства периостальных хондром
о Развивается у пациентов более старшей возрастной группы, чем периостальная хондрома
2. Периостальная остеосаркома:
• Поверхностная остеосаркома средней степени злокачественности
• Имеет ту же локализацию, что и периостальная хондрома
• Рентгенографические признаки почти идентичны таковым при периостальной хондроме:
о Аналогичная склонность к фестончатости подлежащего кортикального слоя
о Как правило, визуализируются признаки кальцификации матрикса:
- Признаки остеоида сложно отличить от признаков хондроида
о Мягкотканный компонент распространяется от кости к поверхности:
- При МРТ дольчатость хряща не определяется
- Низкоинтенсивный остеоид располагается в очаге центрально, а мягкотканный компонент-на периферии
3. Поверхностная остеосаркома высокой степени злокачественности:
• Редкая остеосаркома высокой степени злокачественности
• Имеет ту же локализацию, что и периостальная хондрома
• Характеризуется более быстрым ростом, чем периостальная хондрома
• Остеоидный матрикс занимает центральное положение в мягкотканном компоненте
• Имеется фестончатость кортикального слоя, однако также возможно инвазивное поражение
4. Паростальная остеосаркома:
• Зрелую паростальную остеосаркому не следует путать с периостальной хондромой:
о Зрелая кость в виде «наклейки» по отношению к подлежащему кортикальному слою
о Характерно поражение костномозгового канала
о Иная локализация часто встречающихся патологических очагов: дистальный отдел бедренной кости, проксимальный отдел большеберцовой кости
• Незрелую паростальную остеосаркому может быть сложнее отличить от периостальной хондромы:
о Аморфный остеоид может имитировать хондроидный матрикс на поверхности кости
о На ранней стадии процесса поражение костномозгового канала может отсутствовать
(Слева) КТ, аксиальная проекция: метафизарное образование на поверхности кости. В струтуре мягкотканного компонента визуализируется матрикс. Патологический очаг вызывает небольшую фестончатость кортикального слоя. Данные признаки не являются специфичными ни для одного из поверхностных новообразований кости. По результатам биопсии была подтверждена периостальная хондрома, которая чаще всего представлена подобными признаками.
(Справа) Рентгенография в боковой проекции: мягкотканное образование по тыльной поверхности дистальной фаланги, а также достаточно зрелый матрикс на поверхности кости. Подлежащая кость неизменена. (Слева) МРТ, сагиттальная проекция, режим Т2, последовательность быстрого спин-эха: у того же пациента визуализируется низкоинтенсивный матрикс и окружающее его образование, характеризующееся сигналом высокой интенсивности.
(Справа) МРТ, сагиттальная проекция, режим Т1, с подавлением сигнала от жира, с контрастным усилением: у этого же пациента определяются признаки накопления контрастного вещества образованием, окружающим матрикс. Из всех поверхностных новообразований кости, периостальная хондрома является одной из наиболее часто поражающих фаланги опухолей. Результаты биопсии подтвердили периостальную хондрому. (Слева) Рентгенография в ПЗ проекции: поверхностный очаг подтвержденной периостальной хондромы. Опухоль фестончато изрезала подлежащую кость. Новообразование имеет метафизарное расположение без видимых признаков матрикса или мягкотканного компонента. Дифференциальная диагностика проводится между периостальной хондромой, периостальной остеосаркомой и кортикальными очагами с очень тонким краем, соответствующими таким состояниям, как фиброзная дисплазия или аневризмальная костная киста. Периостальная хондрома была подтверждена результатами биопсии.
(Справа) Рентгенография в ПЗ проекции: через пять лет визуализируются признаки спонтанной регрессии патологического очага.
г) Патология:
1. Общая характеристика:
• Сопутствующие изменения:
о В литературе имеются сведения о редких случаях ассоциированной энхондромы:
- Некоторые изображения могут дезориентировать исследователя при признаках развития хондросаркомы из энхондромы
2. Макроскопические и хирургические особенности:
• Хорошо отграниченное новообразование; утолщение кортикального слоя, мощное утолщение надкостницы
3. Микроскопия:
• Гистологическая картина аналогична энхондроме
• Дифференциальная диагностика с периостальной хондросаркомой может быть затруднена:
о Как при саркоме, так и при хондроме имеется атипия клеток
д) Клинические особенности:
1. Проявления:
• Типичные признаки/симптомы:
о Боль, отек:
- Поражение фаланг: болезненный подкожный узел
о Может развиваться безсимптомно
2. Демография:
• Возраст:
о Обычно выявляются в возрасте от 10 до 40 лет; может встречаться у детей
о Возрастная группа пациентов несколько моложе, чем при периостальных остеосаркомах
• Пол:
о М=Ж
• Эпидемиология:
о Редкое новообразование: о Периостальная хондрома + периостальная хондросаркома составляют 1 % костных опухолей:
- Периостальная хондрома >> периостальная хондросаркома (3-4:1)
3. Течение и прогноз:
• Медленное местное прогрессирование
4. Лечение:
• По возможности широкая резекция:
о Местное иссечение допустимо, если имеется подтверждение, что очаг является периостальной хондромой
о При подтверждении более высокой степени злокачественности части очага, указывающей на возможное наличие периостальной хондросаркомы, местное иссечение (краевая резекция) способствует высокому уровню рецидивов
• Местное иссечение (краевая резекция) из соображений сохранения функции
е) Диагностическая памятка. Следует учесть:
• Поверхностные опухоли сложно отличать одну от другой:
о Ранние хондроидный и остеоидный матриксы могут при рентгенографии не отличаться
о Зрелость матрикса является, обычно, дифференциально диагностическим признаком паростальной остеосаркомы. Дифференциальная диагностика может быть затруднена при незрелости патологического очага
о Для поверхностной остеосаркомы высокой степени злокачественности дифференциально-диагностическим признаком, обычно, служит скорость роста опухоли
о При рентгенографии особенную сложность может представлять дифференциальная диагностика между периостальной остеосаркомой и периостальной хондромой:
- Дольчатый сигнал высокой интенсивности в режиме Т2 в большей степени указывает на периостальную хондрому
• Лучевые критерии, позволяющие проводить дифференциальную диагностику между периостальными хондросаркомой и хондромой немногочисленны:
о По результатам одного исследования была выявлена лишь умеренно выраженная взаимосвязь между лучевыми признаками и природой патологических изменений
о Считается, что больший диаметр патологического очага, превышающий 3 см, в большей степени указывает на хондросаркому
о Широкая резекция может рассматриваться для любого из патологических очагов
ж) Список использованной литературы:
1. Kosaka Н et al: Imaging features of periosteal chondroma manifesting as a subcutaneous mass in the index finger. Case RepOrthop. 2014:763480, 2014
2. Morimoto S et al: Usefulness of PET/CT for diagnosis of periosteal chondrosarcoma of the femur: A case report. Oncol Lett. 7(6): 1826-1828, 2014
3. Rabarin F et al: Focal periosteal chondroma of the hand: a review of 24 cases. Orthop Traumatol Surg Res. 100(6):617-20, 2014
4. Douis H et al: The imaging of cartilaginous bone tumours. I. Benign lesions. Skeletal Radiol. 41 (10):1195-212, 2012
5. Yamamoto Y et al: Concurrent periosteal chondroma and enchondroma of the fibula mimicking chondrosarcoma. Skeletal Radiol. 35(5):302-5, 2006
6. Karabakhtsian R et al: Periosteal chondroma of the rib - reportofacase and literature review. J Pediatr Surg. 40(9): 1505-7, 2005
7. Hagiwara Y et al: Periosteal chondroma of the fifth toe - a case report. Ups J Med Sci. 109(1):65-70, 2004
8. Kahn S et al: Kissing periosteal chondroma and osteochondroma. Skeletal Radiol. 31(4):235-9, 2002
9. Lucas DR et al: Chondromas: enchondroma, periosteal chondroma, and enchondromatosis. In Fletcher CDM et al: World Health Organization Classification of Tumours: Tumours of Soft Tissue and Bone. Lyon: IARC Press. 237-40, 2002
10. Robinson P et al: Periosteal chondroid tumors: radiologic evaluation with pathologic correlation. AJR Am J Roentgenol. 177(5): 1183-8, 2001
11. Woertler К et al: Periosteal chondroma: MR characteristics. J Comput Assist To-mogr. 25(3):425-30, 2001
12. Ishida T et al: Concurrent enchondroma and periosteal chondroma of the humerus mimicking chondrosarcoma. Skeletal Radiol. 27(6):337-40, 1998
Общие данные, стадирование и классификация
Первичные опухоли костей редкая и разнородная группа новообразований человека. В структуре заболеваемости злокачественными новообразованиями они составляют менее 1 % у взрослых и до 10% — у детей. В последние два десятилетия достигнут большой прогресс в лечении этих заболеваний. Благодаря современной химиотерапии, совершенствованию методов визуализации опухолей костей и успехам онкологической ортопедии в настоящее время большинство пациентов могут быть излечены, при этом конечность удается сохранить более чем в 80% случаев.
Биология первичных злокачественных опухолей костей
Биологическая активность сарком костей (остеосарком) и вероятность их метастазирования во многом зависит от морфологических особенностей, в частности степени полиморфизма, атипии, количества митозов и зон спонтанного некроза. Учет этих критериев позволяет выделить остеосаркомы высокой, промежуточной и низкой степени злокачественности.
Саркомы костей формируют в рамках того или иного анатомического отдела опухолевые массы, которые по периферии отличаются наименьшей степенью дифференцировки. Они отделены от внескелетных тканей псевдокапсулой или реактивной зоной, состоящей из клеток опухоли, элементов фиброзной ткани и воспалительного компонента, коррелирующего со степенью злокачественности. В результате прогрессирующего роста остеосаркома выходит за рамки одного отдела и вовлекает анатомические структуры соседнего отдела.
У большинства пациентов в момент установления диагноза остеосаркома поражены два анатомических отдела. Близлежащие суставные поверхности вовлекаются в опухолевый процесс редко, чаще это наступает при патологических переломах.
Саркомы костей высокой степени злокачественности метастазируют преимущественно гематогенно. Чаще всего метастазами поражаются легкие (более 80%), причем уже на ранних стадиях развития заболевания, т.е. до начала лечения. Костные метастазы наблюдаются редко (до 10%), особенно при запущенных опухолях. Метастатические поражения регионарных лимфатических узлов встречается в 7—10% случаев.
Стадирование
Процесс стадирования, влияющего на выбор тактики лечения, вида операции и оценку прогноза, включает определение степени злокачественности остеосаркомы, степени местной распространенности и наличия отдаленных метастазов.
Стандартная рентгенография — наиболее распространенный и доступный метод визуализации сарком костей (рис. 1). В специализированных клиниках точность установления диагноза и стадии процесса превышает 80%.
Рис. 1. Стандартная рентгенограмма больного с остеосаркомой большеберцовой кости
Компьютерная томография позволяет более точно оценить степень деструкции кости и структурные особенности внутрикостного и внекостного компонентов опухоли (рис. 2). КТ органов грудной клетки дает представление о наличии метастазов в легких и лимфатических узлах средостения.

Рис. 2. КТ бедренной кости у больного с остеосаркомой
С помощью МРТ удается лучше оценить распространение опухоли внутри кости а также степень вовлечения внескелетных тканей (рис. 3).

Рис. 3. МРТ в диагностике и стадировании сарком костей.
При местно-распространенных опухолях, когда есть подозрения в отношении вовлечения магистральных сосудов, выполняется ангиография (рис. 4).
Рис. 4. Роль ангиографии в диагностике и стадировании сарком костей
Планарная сцинтиграфия дает возможность определить распространенность опухоли по длине кости, а также выявляет отдаленные метастазы остеосаркомы в скелете (рис. 5).

Рис. 5. Радиоизотопное исследование скелета при саркомах костей
При саркоме Юинга более точно наличие костных метастазов можно установить с помощью ПЭТили ПЭТ/КТ (рис. 6).

Рис. 6. ПЭТ/КТ в стадировании сарком скелета
Широкое распространение среди специалистов получила классификация, разработанная в начале 80-х годов прошлого века американским исследователем W. Enneking. Впоследствии она была одобрена американским и европейским обществами по изучению костно-мышечных опухолей в качестве рабочей классификации. При стадировании опухолей костей по Enneking учитываются следующие критерии: G — степень злокачественности (G1-2 — низкая степень; G3-4 — высокая). Т — местная распространенность (Т1 — в пределах кости; Т2 — выход за пределы кортикального слоя) М — отдаленные метастазы (М0 — без метастазов; М1 — отдаленные метастазы). В таблице 1. представлена система стадирования опухолей костей по W. Enneking.
| Таблица 1. Стадирование опухолей костей по Enneking | |||
|---|---|---|---|
| Стадия IА | G1, 2 | T1 | М0 |
| Стадия IВ | G1, 2 | T2 | М0 |
| Стадия IIА | G3, 4 | T1 | М0 |
| Стадия IIB | G3, 4 | T2 | М0 |
| Стадия IIIА | G3, 4 | T1 | М1 |
| Стадия IIIВ | G3, 4 | T2 | М1 |
Классическая остеосаркома, опухоли семейства саркомы Юинга, а также ЗФГ относятся по определению к G3-4, т. е. ко II-ой стадии.
Для стадирования и определения тактики лечения остеосаркомы используется также классификация по системе TNM (табл. 2).
T — Первичная опухоль
ТX — Недостаточно данных для оценки первичной опухоли
Т0 — Первичная опухоль не определяется
Т1 — Опухоль ограничена кортикальным слоем
Т2 — Опухоль распространяется за кортикальный слой
Как в классификации Enneking, так и в системе стадирования ВОЗ выделение критериев T3 и T4 признано нецелесообразным.
N — Регионарные лимфатические узлы
NX — Недостаточно данных для определения регионарных лимфатических узлов
N0 — Нет признаков метастатического поражения регионарных лимфатических узлов
N1 — Регионарные лимфатические узлы поражены метастазами
M — Отдаленные метастазы
МX — Недостаточно данных для определения отдаленных метастазов
М0 — Нет признаков отдаленных метастазов
М1 — Имеются отдаленные метастазы
Также учитывается степень дифференцировки опухоли (критерий G)
GX — Степень дифференцировки не может быть установлена
G1 — Высокая степень дифференцировки
G2 — Средняя степень дифференцировки
G3 — Низкая степень дифференцировки
G4 — Недифференцированные опухоли
| Таблица 2. Группировка опухолей костей по стадиям | ||||
|---|---|---|---|---|
| Стадия IА | G1, 2 | T1 | N0 | M0 |
| Стадия IВ | G1, 2 | T2 | N0 | M0 |
| Стадия IIА | G3, 4 | T1 | N0 | M0 |
| Стадия IIB | G3, 4 | T2 | N0 | M0 |
| Стадия III | Не определяется | |||
| Стадия IVА | любое G | любое Т | N1 | M0 |
| Стадия IVВ | любое G | любое Т | любое N | М1 |
Гистологическая классификация первичных злокачественных опухолей костей
Практически все злокачественные новообразования скелета в связи с их относительной редкостью создают в клинической практике значительные трудности, как в диагностическом, так и лечебном отношении. Врачи первичной лечебной сети в массе своей вообще плохо знакомы с этой областью онкопатологии, что нередко ведет на первых этапах обращения больных с нечеткими клиническими симптомами к постановке ошибочных диагнозов и назначению неадекватных лечебных мероприятий. Одной из главных проблем в этой области патологии является морфологическая верификация диагноза, которая абсолютно необходима для выбора режима ведения больных с саркомой костей, назначения лечебных мероприятий, осуществления контроля их эффективности и оценки прогноза заболевания.
В клинической онкологии особое значение приобрели вопросы классификации или уточненной нозологической систематики отдельных форм опухолевого поражения. В диагностическом и лечебном отношении эти классификационные схемы совершенно необходимы. Основным принципом классификаций опухолей является их гистологическое строение, которое в значительной мере отражает их гистогенез или тканевую принадлежность и в части случаев позволяет судить о степени их злокачественности. Классификации унифицируют признаки опухолей, что позволяет различным специалистам оценивать их с общих позиций и избегать разногласий в диагностической и лечебной трактовке.
Наиболее распространенной классификацией сарком костей в настоящее время считается классификация ВОЗ пересмотра 2002 года.
Следует особо подчеркнуть, что каждый патологоанатом, приступая к диагностике поражений скелета и, в первую очередь, костных опухолей, непременно должен лично ознакомиться с радиологическими данными (рентгенограммы, КТ и МРТ). До начала гистологического исследования патолог должен иметь представление о локализации поражения в пределах кости, его размерах, форме, степени разрушения костной структуры, наличии или отсутствии реактивных изменений в надкостнице и прилежащих мягких тканях. Полученная таким образом информация может в большинстве случаев оказаться весьма важной при диагностическом исследовании тканевого материала из очага поражения под микроскопом.
Саркомы костей: лечение и диагностика
Саркомы костей лечение 1, 2, 3 стадии. Симптомы, признаки, метастазы, прогноз.
Общие сведения о происхождении сарком костей
К раку костей относят группу различных по особенностям клинического течения новообразований (от крайне медленно развивающихся до быстро растущих и рано метастазирующих опухолей).
Саркомы костей могут локализоваться в любых костях скелета. Однако наиболее часто поражаются длинные трубчатые кости, преимущественно бедренная, большеберцовая и плечевая. Реже поражаются кости таза, лопатка и ребра.
Вторичные (метастатические) опухоли костей встречаются в клинической практике значительно чаще первичных. При этом метастазами преимущественно поражаются позвонки, ребра, кости таза и др.
Наиболее часто метастазирует в кости рак молочной железы, легкого, предстательной железы, почки и щитовидной железы.
Какие бывают формы рака костей
Остеосаркома

Одна из наиболее распространенных форм злокачественных новообразований костной ткани. Опухоль обычно возникает у детей, подростков, лиц молодого возраста, у мужчин несколько чаще, чем у женщин. Остеосаркома может развиться в любой кости скелета, однако излюбленной ее локализацией являются длинные трубчатые кости и особенно нижних конечностей, в основном образующих коленный сустав.
Клинически различают две формы остеосаркомы: быстро развивающиеся опухоли с острым началом заболевания, резкими болями и более медленно развивающиеся опухоли с менее яркими клиническими проявлениями. При быстро растущих формах опухоли обнаружение легочных метастазов возможно во время первичного обследования.
Остеосаркома отличается от других сарком костей агрессивностью. Об этом свидетельствует ее склонность к быстрому росту, раннему гематогенному метастазированию. Метастазы обычно клинически проявляются спустя 6 – 12 месяцев от появления первых признаков заболевания. Наиболее часто метастазами поражаются легкие.
Саркома Юинга (костно-мозговая опухоль)
Занимает второе место по заболеваемости среди злокачественных новообразований костей, возникающих в подростковой и детской возрастных группах.
Опухоль чаще развивается на втором десятилетии жизни и достаточно редко у детей младше 5 лет. Мальчики болеют чаще. В противоположность остеосаркоме, саркома Юинга более склонна к поражению диафизов кости, а также плоских костей, включая кости таза, лопатку, ребра и тела позвонков.
Наиболее излюбленной локализацией саркомы Юинга являются длинные трубчатые кости конечностей и кости таза. Для клинической картины саркомы Юинга, наряду с появлением болей в пораженной кости, часто характерно наличие лихорадки, лейкоцитоза и ускоренной СОЭ. Отмечается местная гиперемия кожи.
Саркома Юинга приводит к быстрому разрушению кости, распространяется по костно-мозговому каналу, прорастает в окружающие ткани и рано метастазирует в кости, легкие, печень и др. органы. Метастазы в лимфатические узлы наблюдаются до 20 % случаев.
Хонросаркома — первичная злокачественная опухоль кости хрящевой природы.

У взрослых хондросаркома является вторым по частоте после остеосаркомы видом рака костей. В структуре первичных опухолей костей хондросаркомы занимают 10-20 %. Они могут возникать и как вторичные опухоли в результате малигнизации доброкачественных остеохондром или энхондром. Опухоль возникает обычно у лиц старше 40 лет, несколько чаще развивается у мужчин.
Хондросаркомы могут поражать любую кость скелета, однако преобладающей локализацией опухоли являются кости таза и бедренная кость. Нередко хондросаркома развивается в плоских костях, таких как лопатка, ребра, кости таза и черепа. Клиническое течение ходндросарком относительно медленное, но встречаются и быстрорастущие варианты заболевания.
Метастазы хондросаркомы развиваются в относительно поздние сроки. Для клинической картины характерно возникновение болей в пораженной области. При поражении костей таза симптомокомплекс включает в себя картину вовлечения нервных корешков, заключающийся в болевом синдроме и нарушении функции тазовых органов.
Cтатистика
Злокачественные опухоли костей в структуре онкологической заболеваемости составляют примерно 1 % от всех злокачественных новообразований. Первичные злокачественные опухоли костей наблюдаются в любом возрасте, но чаще всего в 15–40 лет.
По данным некоторых авторов, наиболее часто заболевают дети, подростки, лица молодого возраста, причем в подростковом и юношеском возрасте (до 20 лет).
Среди злокачественных опухолей костей наиболее часто встречается остеосаркома (50-60 %), на втором месте – саркома Юинга, далее следуют хондросаркома, фибросаркома и др.
У части больных злокачественные опухоли развиваются в результате малигнизации доброкачественных и опухолевидных образований.
Последние десять лет в Беларуси ежегодно регистрировалось от 90 до 140 случаев злокачественных опухолей костей.
Группы риска и факторы, предрасполагающие к развитию сарком костей
Причины развития опухолей костей изучены недостаточно. Нередко опухоли развиваются после травмы. Однако в настоящее время склонны считать, что травма просто привлекает внимание к уже существующей опухоли и не играет значительной роли в этиологии болезни, но способствует ее быстрому росту.
Саркомы могут развиваться в кости ранее подверженной облучению ионизирующей радиацией с целью лечения других злокачественных новообразований. Радиоиндуцированные саркомы костей обычно развиваются спустя не менее 3 лет после облучения.
Симптомы
Для злокачественных опухолей костей характерны следующие симптомы:
- деформация кости;
- появление хромоты, ограничение подвижности в суставе, прилежащем к опухоли;
- наличие болей, усиливающихся ночью (необязательный признак);
- общая и местная температурная реакция (более характерна для саркомы Юинга);
- наличие глубоко расположенной не смещаемой опухоли в мягких тканях вблизи кости.
Профилактика и раннее выявление сарком костей

Специфической профилактики опухолей костей нет. К процессам склонным к трансформации в злокачественные опухоли костей относят фиброзную дистрофию, хондромы, костно-хрящевые экзостозы и болезнь Педжета (деформирующий остеоз). По данным различных авторов частота их малигнизации может достигать 15 %.
Лечение предопухолевых заболеваний костей хирургическое. При множественном поражении костей необходимо проходить ежегодные контрольные осмотры у ортопеда-травматолога для раннего выявления малигнизации.
Диагностика рака костей
Ведущим методом диагностики рака костей является рентгенологическое исследование.
Наиболее значимыми рентгенологическими признаками злокачественной опухоли являются:
- наличие очага разрушения (деструкции) кости;
- наличие периостальной реакции в виде характерного козырька, длинных нитеобразных спикул, расположенных перпендикулярно по отношению к кости, появление рядом с пораженной костью, а также мягкотканного компонента с участками обызвествления.
Методы обследования перед назначением лечения
Диагноз сарком костей устанавливаются на основании данных морфологического исследования фрагмента опухоли, полученного путем биопсии и рентгенологического исследования.
Биопсия опухоли может быть выполнена путем трепанобиопсии (взятие материала опухоли с использованием толстой иглы, в том числе под рентгенологическим контролем) или открытой биопсии.
Обязательным является выполнение рентгенографии всей пораженной кости, а также КТ или МРТ. Эти исследования могут повторяться в процессе химиотерапии для оценки ее эффективности.
Для уточнения распространенности опухоли и выработки оптимальной тактики лечения проводится инструментальное обследование:
- КТ органов грудной клетки;
- ультразвуковое исследование органов брюшной полости;
- остеосцинтиграфия;
- биопсия костного мозга (при саркоме Юинга).
Стадии сарком костей
Классификация используется для наиболее часто встречающихся опухолей костей (остеосаркома, саркома Юинга, хондросаркома и др.). Стадия устанавливается на основании гистологического исследования и данных инструментального обследования (рентгенография, остеосцинтиграфия и др.).
- I стадия Все низкозлокачественные опухоли без метастазов;
- II стадия Все высокозлокачественные опухоли без метастазов;
- III стадия Все опухоли без метастазов с наличием нескольких очагов в одной кости;
- IV стадия Все опухоли с наличием метастазов в отдаленных органах и/или регионарных лимфатических узлах.
Методы лечение рака костей

В настоящее время принципы лечения некоторых видов злокачественных опухолей костей претерпели существенные изменения. Радикальные хирургические вмешательства могут являться самостоятельными методами лечения исключительно при высокодифференцированных (низкозлокачественных) опухолях (хондросаркома, фибросаркома, паростальная саркома).
Лечение низкодифференцированных (высокозлокачественных) опухолей (остеосаркома, саркома Юинга и др.), учитывая их высокую склонность к гематогенному метастазированию, предусматривает проведение после операции длительных курсов химиотерапии с целью профилактики развития метастазов или их лечения. При лечении радиочувствительных костных опухолей (саркома Юинга, лимфосаркома кости) используется лучевая, которая в сочетании с химиотерапией может излечить опухоль без операции.
Хирургическое лечение
Хирургическое вмешательство является главным составным элементом почти любого комплекса лечебных мероприятий при опухолях костей. К радикальным операциям при саркомах костей относятся ампутация, экзартикуляция и органосохраняющие операции.
Ампутации и экзартикуляции выполняют при далеко зашедшем опухолевом процессе (распад опухоли с выраженной интоксикацией, кровотечение из эрозированных магистральных сосудов, патологические переломы с выраженным болевым синдромом).
К расширенным радикальным операциям относятся межподвздошно-брюшное вычленение и межлопаточно-грудная ампутация, которые могут применяться при низкозлокачественных опухолях с более благоприятным прогнозом в случаях невозможности органосохраняющего лечения.
При опухолях, поражающих кости конечностей, предпочтение отдается органосохраняющим операциям с применением индивидуального эндопротезирования, а также костной пластики, в том числе микрохирургической аутотрансплантации кости.
Противопоказаниями к органосохраняющим оперативным вмешательствам являются:
вовлечение в опухолевый процесс основного сосудисто-нервного пучка на большом протяжении; патологические переломы с инфицированием и обсеменением тканей опухолевыми клетками;
обширное опухолевое поражение мышц.
Лучевое лечение
Лучевая терапия при злокачественных опухолях костей применяется редко, за исключением лечения саркомы Юинга и лимфомы кости. Иногда лучевое лечение используют при невозможности удалить опухоль или ее метастазы.
Химиотерапия
Химиотерапия широко применяется при лечении высокозлокачественных опухолей костей.
Целью химиотерапии до хирургического вмешательства (неоадъювантная химиотерапия) является воздействие на микрометастазы и уменьшение размеров опухоли.
Еще одним достоинством неоадъювантной химиотерапии является возможность на основании ответа опухоли на предоперационные курсы лечения определить ее чувствительность к используемым препаратам и при необходимости изменить схему лечения после операции.
Целью послеоперационной химиотерапия является подавление роста и уничтожение микроскопических метастазов (адъювантная химиотерапия) или лечение уже развившихся отдаленных метастазов (лечебная химиотерапия).
Обычно проводится от четырех до 10 курсов послеоперационной химиотерапии, в зависимости от вида опухоли.
При лечении остеосаркомы наиболее высокая эффективность установлена для комбинаций, включающих доксорубицин, цисплатин, ифосфамид, метотрексат. При лечении саркомы Юинга хорошо себя зарекомендовали и широко используются комбинации доксорубицина, винкристина, ифосфамида, дактиномицина, этопозида и циклофосфана.
При эффективности химиотерапии и наличии одиночных метастазов в легком, возможно их хирургическое удаление.
Наблюдение и обследование после проведенного лечения
При высокозлокачественных саркомах контрольные осмотры у онколога проводятся:
- в течение первых двух лет после завершения лечения – каждые 3 месяца;
- в течение третьего года – каждые четыре месяца;
- в течение четвертого и пятого года каждые 6 мес. и далее – ежегодно.
При низкозлокачественных саркомах наблюдение проводится каждые 6 мес. в течение 2-х лет и далее ежегодно.
Публикации в СМИ
Заболеваемость: 1,6 на 100 000 населения в 2001 г.
Хондросаркома — злокачественная опухоль из хрящевой ткани.
• Выделяют первичные и вторичные хондросаркомы. Первичные хондросаркомы обычно свойственны лицам старше 30 лет. В детском возрасте хондросаркома возникает редко. Вторичные хондросаркомы возникают в результате озлокачествления хрящевых дисплазий или доброкачественных опухолей хряща. Обнаруживают у людей более старшего возраста (от 30 до 60 лет), растут медленно и поздно метастазируют. По локализации различают центральные и периферические хондросаркомы. Преимущественная локализация — длинные трубчатые кости (эпиметафиз и метафиз).
• Клиническая картина: непостоянные тупые боли, усиливающиеся при росте опухоли, припухлость и увеличение в объёме поражённой конечности.
• Рентгенологическая картина •• При центральном расположении опухоли в кости обнаруживают очаг деструкции с неровными и нечёткими контурами. У взрослых очаг деструкции распространяется в сторону сустава. Кортикальный слой истончается, разрушается. Эта картина преимущественно литического типа хондросаркомы •• При втором типе хондросаркомы с преимущественным обызвествлением, наблюдаемом реже, участок склероза без чётких границ может заполнять костномозговой канал. Внутренний контур кортикального слоя сливается с этой обызвествлённой щелью. В меньшей степени выражены очаги деструкции (множественные, мелкие, без чётких контуров). При прорастании за пределы кости на рентгенограммах в мягких тканях выявляют выход опухоли за пределы кости •• При третьем типе хондросаркомы (смешанном) определяют неоднородный очаг деструкции с нечёткими и неровными контурами, придающий поражённому отделу картину пористости. На этом фоне видна мягкотканная тень с включениями.
• Лечение. Единственный метод лечения хондросарком — операция. Её характер зависит от локализации опухоли, возраста больного, его общего состояния и степени злокачественности опухоли. Применяют резекцию с эндопротезированием, при большой распространённости — ампутацию или экзартикуляцию конечности.
Периостальная фибросаркома — опухоль, развивающаяся из наружного слоя надкостницы. Возникает в любом возрасте, преимущественно в среднем и пожилом. Локализация — бедренная и большеберцовая кости. Характерно несоответствие между клиническими и рентгенологическими данными. Большая и плотная опухоль на рентгенограмме выглядит как округлое, овальное, реже крупнобугристое уплотнение. В ряде случаев в центре или по периферии этого уплотнения выявляют одиночный участок обызвествления. Периостальная фибросаркома растёт сравнительно медленно, может прорастать в подлежащую кость. Часто выявляют периостальную реакцию различной степени выраженности.
Остеогенная саркома — встречается в основном у подростков.
• Остеогенная саркома гематогенным путём метастазирует в лёгкие, мозг и реже в кости.
• Преимущественная локализация— длинные трубчатые кости, чаще бедренная, большеберцовая и плечевая.
• Остеогенные саркомы подразделяют на остеолитические (характеризуются значительным разрушением костного вещества) и остеобластические (проявляются рентгенологически избыточным окостенением) формы. В ряде случаев одновременно происходят процессы разрушения и патологического остеогенеза (смешанные формы).
• Клиническая картина. Ночные боли, припухлость без чётких границ с инфильтративным ростом, ограничение движений в близлежащем суставе. На рентгенограмме выявляют очаг деструкции с нечёткими границами. Кортикальный слой в I стадии не разрушен. В дальнейшем, при разрушении кортикального слоя, появляются периостальные разрастания (периостальный козырёк Кодмена). Прорастание опухоли в костномозговой канал характеризуется разрежением костной структуры, напоминающим язычок пламени. Характерна реакция надкостницы по игольчатому типу (спикулы).
• Длительное динамическое наблюдение недопустимо. В неясных случаях следует прибегать к биопсии кости.
• Лечение — комбинированное. Перед операцией (экономная резекция, ампутация и экзартикуляция) рекомендуют проводить несколько курсов химиотерапии (доксорубицин, тиотепа, цисплатин, высокие дозы метотрексата с кальция фолинатом).
Саркома Юинга (злокачественная мезенхимома кости, 133450, 22q12, ген EWS) чаще возникает у детей и подростков. Дифференциальную диагностику между опухолью Юинга и первичной костной ретикулосаркомой можно провести только с помощью гистохимических методов (выявляют присутствие гранул гликогена в клетках опухоли Юинга и отсутствие их в клетках ретикулосаркомы) • Локализация — кости таза (подвздошные) и длинные трубчатые кости конечностей • Клиническая картина. Первый симптом болезни — боли непостоянного характера. Затем появляются увеличение объёма поражённого сегмента кости, лихорадка. В периферической крови — лейкоцитоз, увеличение СОЭ • Рентгенологическая картина: рассеянный пятнистый остеопороз, деструктивные изменения кортикального слоя в виде эндостальной реакции, очагов деструкции, периостальной реакции в виде гиперостоза (луковичный периостит). Границы опухоли более точно можно определить с помощью КТ и МРТ • Дифференциальная диагностика с остеогенной саркомой. В детском возрасте опухоль Юинга ошибочно может быть принята за остеомиелит • Лечение — комбинированное. Операцию сочетают с лучевой терапией, химиотерапией (винкристин, доксорубицин, циклофосфамид). Больным с нерезектабельной опухолью показана химиолучевая терапия.
МКБ-10 • C40 Злокачественное новообразование костей и суставных хрящей конечностей • C41 Злокачественное новообразование костей и суставных хрящей других и неуточнённых локализаций
Код вставки на сайт
Опухоли костей злокачественные
Заболеваемость: 1,6 на 100 000 населения в 2001 г.
Хондросаркома — злокачественная опухоль из хрящевой ткани.
• Выделяют первичные и вторичные хондросаркомы. Первичные хондросаркомы обычно свойственны лицам старше 30 лет. В детском возрасте хондросаркома возникает редко. Вторичные хондросаркомы возникают в результате озлокачествления хрящевых дисплазий или доброкачественных опухолей хряща. Обнаруживают у людей более старшего возраста (от 30 до 60 лет), растут медленно и поздно метастазируют. По локализации различают центральные и периферические хондросаркомы. Преимущественная локализация — длинные трубчатые кости (эпиметафиз и метафиз).
• Клиническая картина: непостоянные тупые боли, усиливающиеся при росте опухоли, припухлость и увеличение в объёме поражённой конечности.
• Рентгенологическая картина •• При центральном расположении опухоли в кости обнаруживают очаг деструкции с неровными и нечёткими контурами. У взрослых очаг деструкции распространяется в сторону сустава. Кортикальный слой истончается, разрушается. Эта картина преимущественно литического типа хондросаркомы •• При втором типе хондросаркомы с преимущественным обызвествлением, наблюдаемом реже, участок склероза без чётких границ может заполнять костномозговой канал. Внутренний контур кортикального слоя сливается с этой обызвествлённой щелью. В меньшей степени выражены очаги деструкции (множественные, мелкие, без чётких контуров). При прорастании за пределы кости на рентгенограммах в мягких тканях выявляют выход опухоли за пределы кости •• При третьем типе хондросаркомы (смешанном) определяют неоднородный очаг деструкции с нечёткими и неровными контурами, придающий поражённому отделу картину пористости. На этом фоне видна мягкотканная тень с включениями.
• Лечение. Единственный метод лечения хондросарком — операция. Её характер зависит от локализации опухоли, возраста больного, его общего состояния и степени злокачественности опухоли. Применяют резекцию с эндопротезированием, при большой распространённости — ампутацию или экзартикуляцию конечности.
Периостальная фибросаркома — опухоль, развивающаяся из наружного слоя надкостницы. Возникает в любом возрасте, преимущественно в среднем и пожилом. Локализация — бедренная и большеберцовая кости. Характерно несоответствие между клиническими и рентгенологическими данными. Большая и плотная опухоль на рентгенограмме выглядит как округлое, овальное, реже крупнобугристое уплотнение. В ряде случаев в центре или по периферии этого уплотнения выявляют одиночный участок обызвествления. Периостальная фибросаркома растёт сравнительно медленно, может прорастать в подлежащую кость. Часто выявляют периостальную реакцию различной степени выраженности.
Остеогенная саркома — встречается в основном у подростков.
• Остеогенная саркома гематогенным путём метастазирует в лёгкие, мозг и реже в кости.
• Преимущественная локализация— длинные трубчатые кости, чаще бедренная, большеберцовая и плечевая.
• Остеогенные саркомы подразделяют на остеолитические (характеризуются значительным разрушением костного вещества) и остеобластические (проявляются рентгенологически избыточным окостенением) формы. В ряде случаев одновременно происходят процессы разрушения и патологического остеогенеза (смешанные формы).
• Клиническая картина. Ночные боли, припухлость без чётких границ с инфильтративным ростом, ограничение движений в близлежащем суставе. На рентгенограмме выявляют очаг деструкции с нечёткими границами. Кортикальный слой в I стадии не разрушен. В дальнейшем, при разрушении кортикального слоя, появляются периостальные разрастания (периостальный козырёк Кодмена). Прорастание опухоли в костномозговой канал характеризуется разрежением костной структуры, напоминающим язычок пламени. Характерна реакция надкостницы по игольчатому типу (спикулы).
• Длительное динамическое наблюдение недопустимо. В неясных случаях следует прибегать к биопсии кости.
• Лечение — комбинированное. Перед операцией (экономная резекция, ампутация и экзартикуляция) рекомендуют проводить несколько курсов химиотерапии (доксорубицин, тиотепа, цисплатин, высокие дозы метотрексата с кальция фолинатом).
Саркома Юинга (злокачественная мезенхимома кости, 133450, 22q12, ген EWS) чаще возникает у детей и подростков. Дифференциальную диагностику между опухолью Юинга и первичной костной ретикулосаркомой можно провести только с помощью гистохимических методов (выявляют присутствие гранул гликогена в клетках опухоли Юинга и отсутствие их в клетках ретикулосаркомы) • Локализация — кости таза (подвздошные) и длинные трубчатые кости конечностей • Клиническая картина. Первый симптом болезни — боли непостоянного характера. Затем появляются увеличение объёма поражённого сегмента кости, лихорадка. В периферической крови — лейкоцитоз, увеличение СОЭ • Рентгенологическая картина: рассеянный пятнистый остеопороз, деструктивные изменения кортикального слоя в виде эндостальной реакции, очагов деструкции, периостальной реакции в виде гиперостоза (луковичный периостит). Границы опухоли более точно можно определить с помощью КТ и МРТ • Дифференциальная диагностика с остеогенной саркомой. В детском возрасте опухоль Юинга ошибочно может быть принята за остеомиелит • Лечение — комбинированное. Операцию сочетают с лучевой терапией, химиотерапией (винкристин, доксорубицин, циклофосфамид). Больным с нерезектабельной опухолью показана химиолучевая терапия.
МКБ-10 • C40 Злокачественное новообразование костей и суставных хрящей конечностей • C41 Злокачественное новообразование костей и суставных хрящей других и неуточнённых локализаций
Читайте также:
