Свищи пищевода. Клиника и диагностика свищей пищевода
Добавил пользователь Владимир З. Обновлено: 07.01.2026
Приобретенные свищи пищевода являются тяжелым заболеванием, приводящим к летальному исходу. Наиболее частой причиной развития приобретенных свищей являются гнойно-воспалительные осложнения после операций на пищеводе, легких и средостении (до 30%). Другими причинами могут служить прорастание злокачественной опухоли, перфорация дивертикула пищевода и пептической язвы пищевода, туберкулез, абсцесс легкого, актиномикоз, перфорация при эзофагоскопии и бужировании пищевода, а так же открытые и закрытые повреждения шеи, груди и живота. При неэффективности консервативного лечения показана радикальная oперация-ликвидация свища. Она заключается в отсечении свища от пищевода и трахеи и ушивании пищевода и трахеи. Швы пищевода обязательно следует дополнительно укрыть плеврой или диафрагмой на ножке. Радикальные операции при свищах чрезвычайно сложны, но в случае выздоровления больного дают хорошие отдаленные результаты. Целью данной работы является ознакомление эффективности лечения приобретенных свищей пищевода.
Актуальность. Приобретенные свищи пищевода являются тяжелым заболеванием, причины которого плохо знакомы широкому кругу врачей, что приводит к поздней диагностике, неправильной тактике, несвоевременной специализированной лечебной помощи и нередко — к летальному исходу. Приобретенные свищи как осложнение различных повреждений и заболеваний пищевода могут располагаться в любом его отделе. Различают наружные свищи и внутренние, сообщающиеся с органами дыхания, средостением, плевральной и брюшной полостями. Наружные свищи шейного отдела пищевода сообщаются непосредственно с окружающей средой, грудного отдела — через плевральную полость (пищеводноплевроторакальный свищ). Пищеводно-трахеальные, пищеводно-бронхиальные и пищеводно-легочные свищи объединяют в группу пищеводно-респираторных свищей. Известны свищи опухолевого происхождения, травматические, а также свищи, возникающие при специфическом и неспецифическом воспалении. Наиболее часто образуются свищи при злокачественных опухолях. Как правило, они возникают при распаде раковой опухоли пищевода, прорастающей в трахею и бронхи. В других случаях вследствие распада и прободения опухоли пищевода развивается медиастинит, а трахея и бронхи уже вторично вовлекаются в воспалительный процесс. При опухолях легкого, трахеи, средостения, а также метастазах рака в средостении идет процесс прорастания в пищевод с образованием свища. Травматические свищи чаще всего образуются вследствие попадания инородных тел в пищевод и трахею. При несвоевременном их удалении могут возникнуть пролежень и некроз стенки, фистула. Наиболее частой причиной развития приобретенных свищей являются гнойно-воспалительные осложнения после операций на пищеводе, легких и средостении (до 30%). Технические трудности оперативных вмешательств на пищеводе и трахее одновременно, отсутствие единого подхода к лечению данной категории больных обусловливают значимость проблемы выбора методов лечения.
Целью данной работы является ознакомление эффективности лечения приобретенных свищей пищевода. Лечение. При пищеводных свищах опухолевого происхождения радикальная операция, как правило, невозможна из-за запущенности процесса. В таких случаях ограничиваются гастростомией (для исключения питания через рот) и симптоматическим лечением. При послеоперационных свищах под контролем эндоскопа через пищевод в желудок или кишку проводят тонкий пластмассовый зонд для питания, применяют интенсивную антибактериальную, дезинтоксикационную, общеукрепляющую терапию. С интервалом в 4—5 дней выполняют контрольные рентгеновские исследования с водорастворимым контрастом. Обычно такое лечение приводит к быстрому заживлению послеоперационного свища в течение 1—2 нед. Если свищ после паллиативной операции и интенсивного консервативного лечения самостоятельно не закрывается, необходима радикальная операция, которая возможна только после улучшения общего состояния больного. При тяжелых органических изменениях в легком, возникших в связи с длительным существованием пищеводно-респираторных свищей, может понадобиться сочетанная операция — сегментэктомия, лобэктомия и даже пневмонэктомия. Такие операции, как правило, очень трудны и сопряжены с возможностью присоединения большого количества осложнений. Отдаленные результаты радикальных операций закрытия пищеводных свищей, как правило, хорошие. В зависимости от локализации свища при операции применяют различные доступы—шейный, трансторакальный или трансабдоминальный (через пищеводное отверстие диафрагмы). При пищеводноплевроторакальных свищах необходима радикальная операция. Обязательно укрепляют линию швов пищевода и трахеи (бронха), используя местные ткани область операции адекватно дренируют, вводят зонд в желудок для декомпрессии (рисунок 1).



При сформированных пищеводных свищах паллиативные операции в виде эзофагостомии, гастростомии и фундопликации в ряде случаев также могут дать положительный результат. Радикальные операции разобщения и закрытия пищеводных свищей отличаются особой сложностью. Часто приходится делать резекцию и экстирпацию пищевода, резекцию и декортикацию легкого и пр. Главными принципами всех подобных операций являются укрытие дефекта пищевода и изоляция его от окружающих органов с помощью пластики местными тканями. При пищеводно-трахеальных и пищеводно-бронхиальных свищах после выделения из окружающих тканей свищ пересекают, дефект в трахее ушивают однорядными узловыми атравматическими швами. Дефект в пищеводе укрывают двумя рядами узловых швов. Стенку пишевода укрепляют и изолируют от стенки трахеи, например, с помощью выкраивания лоскута париетальной плевры на ножке или прядью большого сальника.
По такому же принципу операция возможна и при свищах среднегрудного отдела пищевода, но в качестве пластического материала здесь лучше использовать прядь большого сальника на сосудистой ножке (рисунок 7, а, б, 8, а, б).

Отдаленные результаты радикальных операций закрытия Таким образом, радикальные операции закрытия пищеводных свищей хорошие по данным международной пищеводных свищей при неэффективности консервативной хирургии США и Европы. терапии дают хорошие отдаленные результаты.
СПИСОК ЛИТЕРАТУРЫ
- Авилова О.М., Багиров М.М., Сокур П.П. Хирургическое лечение пище-водно-трахеальных свищей // Клинич. Хирургия. - 1981. - №10. - С. 27-30.
- Авилова О.М., Сокур П.П. Реконструктивно-восстановительная хирургия приобретенных пищеводно-респираторных свищей неопухолевой этиологии // Вести, хир. - 1985. - Т.135. - №7. - С. 10-14.
- Авилова О.М., Сокур П.П. Этиология и хирургическое лечение приобретенных пищеводно-бронхиальных свищей // Хирургия. - 1984. - №10. - С. 80-84.
- Багиров Д.М., Ванцян Э.Н., Перельман М.И. Приобретенные свищи между пищеводом и дыхательными путями. -Баку: "Азернешр", 1972. - 212 с.
- Ванцян Э.Н. Наружные и внутренние свищи в хирургической клинике. - М.: "Медицина", 1990.- 222 с.
- Bowers D., Pedersen W. Fistula repair following antethoracic esophageal reconstruction using a radial forarm free flap // Ann. Plast. Surg. - 1998. - V. 41., №3. - P. 317- 320.
Фамилия автора: Н.Х. Мусабаев, Г.M. Имантаева, Ф.Т. Камбаров, З.К. Камзина, Ж.Б. Абдулхамитова, Ш.Г. Абдиев, А.К. Абишева, А.Р. Ибрагимов, С.А. Кайыржанова
Свищи пищевода. Клиника и диагностика свищей пищевода

Свищ пищевода – это появление соединения между пищеводом и окружающими его органами и тканями. Наиболее часто свищи формируются между пищеводом и трахеей, бронхами (пищеводно-трахеальные и пищеводно-бронхиальные), либо с плеврой и средостением (пищеводно-плевральные и пищеводно-медиастинальные).
Приобретенные свищи пищевода являются тяжелым заболеванием и требуют в своем лечении комплексного и персонифицированного подхода.
Причины появления свищей
Частой причиной развития приобретенных свищей являются гнойно-воспалительные осложнения после операций на пищеводе, легких и средостении.
Другими причинами могут служить:
- прорастание злокачественной опухоли,
- перфорация дивертикула пищевода и пептической язвы пищевода,
- туберкулез,
- абсцесс легкого,
- актиномикоз,
- перфорация при эзофагоскопии и бужировании пищевода,
- открытые и закрытые повреждения шеи, груди и живота.
Известны свищи опухолевого происхождения, травматические, а также свищи, возникающие при специфическом и неспецифическом воспалении.
Наиболее часто образуются свищи при злокачественных опухолях. Как правило, они возникают при распаде раковой опухоли пищевода, прорастающей в трахею и бронхи.
Чем опасны свищи
При формирования свищей пищевода возникает контакт внутренней среды организма с внешней. Бактерии извне проникают внутрь, запуская инфекционный процесс в грудной клетке. Это может приводить к развитию пневмонии, эмпиемы плевры, медиастинита.
Свищи пищевода являются относительно редким заболеванием, и настороженность врачей в плане их выявления снижена, что приводит к поздней диагностике, неправильной тактике лечения, несвоевременной специализированной помощи и нередко – к летальному исходу.
Виды свищей
Свищ пищевода может возникать в любом его отделе. Различают наружные и внутренние свищи пищевода в зависимости от того, куда именно происходит «открытие» свища.
- Наружные свищи открываются непосредственно в окружающую среду, на кожу (например, наружный свищ в шейном отделе).
- Внутренние свищи сообщаются, соответственно, с внутренними органами.
В результате появления «соединения» или канала между пищеводом и внешней или внутренней средой происходит поступление содержимого пищевода (съеденной пищи и слюны) в соответствующий орган или полость.
Наиболее тяжело протекающими являются пищеводно-респираторные свищи, при которых происходит попадание содержимого пищевода в легкие через трахеобронхиальное дерево. Это приводит к развитию хронического аспирационного синдрома и, зачастую, к рецидивирующей аспирационной пневмонии.
Симптомы
Симптоматика свищей пищевода зависит от его локализации, длительности заболевания, характера свища, размера, степени вовлечения окружающих структур.
Клинические проявления свищей пищевода значительно варьируют и во многом зависят от основного заболевания/состояния, которое привело к формированию свища у данного пациента.
К пищеводным симптомам при свищах относятся:
- затруднение при проглатывании пищи (дисфагия),
- боли при проглатывании,
- срыгивание съеденной пищей.
При наружном свище на коже отмечается появление свищевого хода (отверстия), из которого поступает содержимое, обычно, гноевидного характера с развитием воспалительных изменений в области свища.
Более сложным является диагностика внутренних свищей.
У большинства пациентов развиваются гнойно-вопалительные осложнения со стороны респираторной системы:
- гнойный бронхит,
- пневмония,
- бронхообструктивный синдром,
- абсцесс и гангрена легких,
- сепсис.
При отсутствии связи с трахеобронхиальным деревом такой яркой клинической картины может не быть. Заподозрить развитие пищеводного свища возможно по неспецифическим симптомам. К ним относятся:
- повышение температуры тела (от субфебрильных цифр до лихорадки),
- немотивированная слабость,
- одышка,
- снижение массы тела,
- серый или цианотичный оттенок кожных покровов.
Диагностика
Диагностика свищей пищевода должна носить комплексный характер.
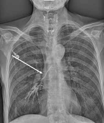
- Обязательным является проведение рентгенографии и рентгеноскопии пищевода с водорастворимым контрастным веществом (барий использовать не рекомендуется, рисунок 1, 2).

Рисунок 1. Пищеводно-респираторный свищ при рентгенографии/рентгеноскопии пищевода

Рисунок 2. Остатки бария сульфата в бронхах у пациентки с пищеводно-бронхиальными свищами
- Эзофагогастродуоденоскопия для оценки состояния пищевода и верхних отделов желудочно-кишечного-тракта.
- Фибробронхоскопия для оценки состояния трахеобронхиального дерева и возможной верификации зоны свища.
- Сочетанная фибробронхоскопия и эзофагоскопия в том числе с применением красителей (метиленового синего).
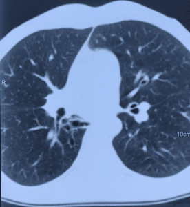
- Мультиспиральная компьютерная томография шеи, органов грудной клетки и/или брюшной полости для обнаружения зоны свища, скоплений жидкости, оценки степени поражения легочной паренхимы, плевральной полости и средостения (рисунок 3).

Рисунок 3. Вторичные бронхоэктазы и пневмофиброз нижней доли правого легкого у пациента с пищеводно-бронхиальным свищом и тотальной ожоговой стриктурой пищевода.
Лечение свища пищевода
Лечение может быть консервативным и хирургическим.
Первой задачей является исключение поступления пищи и жидкости в пищевод, что достигается за счет отказа от перорального питания (через рот). Для обеспечения питания пациента в этом случае может быть применено:
- парентеральное питание,
- назоинтестинальный зонд с установкой последнего за связку Трейтца,
- формирование гастростомы или энтеростомы.
С целью предотвращения рефлюкса содержимого желудка в пищевод в отдельных случаях может быть рекомендовано проведение фундопликации.
Обязательным является проведение нутритивной поддержки и антибактериальной терапии. В зависимости от тяжести состояния больного и вовлечения органов грудной клетки и брюшной полости в инфекционный процесс может быть проведено дренирование скоплений жидкости в области свища.
При бесперспективности консервативного лечения, прогрессировании признаков инфекционного процесса показано проведение радикального хирургического лечения.
Хирургический доступ зависит от локализации свища (на шее, в грудной клетке, в брюшной полости).
В зависимости от состояния болезни, операция может проводиться с сохранением или удалением пищевода.
При возможности выполнения органосохраняющей операции:
- Свищевой ход выделяют и иссекают.
- Дефекты стенки пищевода и другого органа поочередно ушивают.
- Линию швов дополнительно укрепляют местными тканями (плеврой, перикардом, мышцей, диафрагмой, сальником и т.п.).
В большинстве случаев при запущенных состояниях: хирургическое лечение может закончиться удалением пищевода с формированием эзофагостомы (для дренирования слюны) и гастро-энтеростомы для обеспечения энтерального питания.
После стабилизации состояния пациента, купирования инфекционного процесса, стабилизации массы тела пациенту будет предложено проведение реконструктивного вмешательства на пищеводе, которое включает проведение загрудинной пластики пищевода (рисунок 4).

Рисунок 4. Пациент с этапным лечение пищеводно-бронхиального свища на фоне тотальной ожоговой стриктуры пищевода и ожоговым стенозом желудка. 1-м этапом пациенту была выполнена эзофагогастрэктмоия с формиованием эзофагостомы м энтеростомы для питания, лобэктомия нижней доли правого легкого. Через 3 месяца пациент поступил для проведения реконструктивного вмешательства на пищеводе. Стрелкой указана эзофагостома на шее (согласие пациента на публикацию фото получено).
Лечение в отделении торакоабдоминальной хирургии и онкологии
Приобретенные свищи пищевода являются грозным потенциально жизне-угрожающим заболеванием!
При подозрении на возникновение свища необходимо консультация в специализированном хирургическом отделении, имеющем опыт лечения пациентов со свищами пищевода и реконструктивных вмешательств.
Целесообразным представляется проведение этапного лечения данного заболевания. Положительный результат лечения можно получить при своевременной диагностике этой патологии, правильном планировании лечения и выполнения хирургического вмешательства в высокоспециализированном хирургическом стационаре.
Наше отделение имеет большой опыт лечения пациентов с приобретенными свищами различной локализации, как с проведение консервативного лечения, так и различных вариантов хирургических вмешательств (органосохраняющих, эзофагэктомии с последующим реконструктивным вмешательством и т.д.).
Лечение в отделении проводится по программам ОМС, ДМС, ВМП, а также на коммерческой основе.
Читайте, как попасть на лечение в отделение торакоабдоминальной хирургии и онкологии РНЦХ.
Для записи на консультацию позвоните по телефонам:
Отправьте заявку на консультацию, заполнив форму на нашем сайте и прикрепив необходимые документы.
Свищи пищевода. Клиника и диагностика свищей пищевода

По происхождению пищеводно-респираторные свищи разделяют на врождённые и приобретенные. Врождённые свищи наблюдаются в 1-4% всех заболеваний пищевода у детей и более чем в 2-3% случаев сочетаются с атрезией пищевода (рис. 2).

Приобретенные пищеводно-респираторные свищи возникают вследствие травматического повреждения пищевода, трахеи и бронхов при закрытой травме и ранении груди, операциях и инструментальных исследованиях, после длительной искусственной вентиляции лёгких или трахеостомии (рис. 3), воспалительных процессов (прорыв воспаленного дивертикула пищевода в трахею или бронх, деструкции лимфоузлов, расположенных в области бифуркации трахеи), опухолевых процессов в пищеводе, трахее и бронхах.

По анатомическим характеристикам свищи делят на одиночные и множественные; широкие (диаметр более 1 мм) и узкие (диаметр менее 1 мм); короткие (длиной до 10 мм) и длинные (длиной более 10 мм); клапанные (устье или свищевой канал закрыты грануляционной тканью, реже – распадающейся опухолью, что делает свищ проходимым в направлении от пищевода к трахеобронхиальным путям).
У большинства больных с пищеводно-респираторными свищами развиваются различные гнойно-воспалительные осложнения: трахеобронхит, пневмония, абсцессы и гангрена лёгкого, плеврит, медиастинит. Эти осложнения протекают тяжело и нередко представляют большую опасность для жизни больных.
Единственным радикальным методом лечения пищеводного свища является хирургический. Свищевой ход выделяют и иссекают. Дефекты стенки пищевода и другого органа поочередно ушивают. Линию швов дополнительно укрепляют местными тканями (плеврой, перикардом, мышцей, диафрагмой, сальником и т.п.) (рис. 4).

В отдельных случаях пищеводные свищи могут закрыться самостоятельно при исключении питания через рот и проведении антибактериальной терапии, для чего используется назогастральный зонд или накладывается гастростома (рис. 5). В некоторых случаях применяется пломбировка свищевого хода жидкими легко затвердевающими пластическими массами, прижигание свищевого хода через эндоскоп.

Консервативная терапия показана только больным с тяжёлыми сопутствующими заболеваниями и при тяжёлом состоянии больных, когда операция представляет серьёзную опасность или невозможна из-за распространённости опухолевого процесса.
В зависимости от локализации свища выбирают хирургический доступ – со стороны шеи или чрез грудную клетку, используя классические открытые доступы (рис. 6, 7). Однако в некоторых ситуациях возможно использование миниинвазивных вмешательств – торакоскопии (рис. 8).
Свищи пищевода. Клиника и диагностика свищей пищевода
Свищи пищевода. Клиника и диагностика свищей пищевода
Свищи пищевода представляют собой тяжелое заболевание, которое нередко приводит к летальному исходу. Следует различать свищи с органами дыхания (эзофаготрахеальные, эзофагобронхиальные, эзофагопульмональные), средостением, плеврой и наружные свищи. Наружные свищи в шейном отделе сообщаются непосредственно с пищеводом, в грудном отделе — через плевральную полость, почему и называются эзофагоплевроторакальными.
По этиологии свищи можно разделить на четыре большие группы: свищи ракового происхождения, травматические, инфекционные и послеоперационные. Свищи ракового происхождения встречаются наиболее часто. Как правило, это следствие прорастания рака пищевола в трахею или бронхи. Реже подобные свищи могут сформироваться в результате прорастания пищевода злокачественной опухолью трахеи или опухолью средостения, а также метастазами рака пищевода или трахеи. Наиболее часто причиной инфекционных свищей являются дивертикулы пищевода. Изъязвление дивертикула и развитие инфекции приводят к перфорации. Реже встречаются свищи, возникшие вследствие специфической инфекции — туберкулеза, сифилиса.
Мы наблюдали у больных с эзофаготрахеальными и эзофагобронхиальными свищами характерное стойкое вздутие живота вследствие попадания воздуха из дыхательных путей в пищевод. Иногда можно выявить обратный симптом: после питья жидкости в легких начинают прослушиваться влажные хрипы. Постоянное попадание в дыхательные пути пищевых масс приводит к развитию воспалительного процесса — трахеитов, бронхитов, пневмонии, абсцессов легкого, присоединяется клиника гнойной интоксикации. Если свищ оканчивается а легком, то, как правило, образуется абсцесс и на первый план выступает клиника этого заболевания.

В связи с этим больным с абсцессами легких всегда следует проводить рентгенологическое исследованием пищевода. При эзофагомедиастинальных свищах больные жалуются на тупые боли за грудиной, периодический подъем температуры, дисфагию, слабость. Понятно, что при широком свище и наличии гнойной полости в средостении клиника более выражена, а при узком, слепо оканчивающемся свище — более скудна.
При наружных свищах и у некоторых больных с эзофаготрахеальными и эзофагобронхиальными свищами можно применить простой способ диагностики — дать выпить воды, подкрашенной мстил еновым синим. В случае появления окрашенной жидкости из свища или выделения ее при кашле диагноз не будет вызывать сомнений. Задача рентгенологического исследования — не только выявление свища, но н определение причины, его вызвавшей. Рентгенологическое исследование при свищах лучше проводить с водорастворимым контрастным веществом. Следует тщательно изучить все стенки пищевода.
При широких свищах установить диагноз несложно, ибо уже при первом глотке контрастное вешество выполняет свищ. Необходимо четко проследить ход свища, определить, с каким органом он сообщается; эти вопросы важны для уточнения хирургической тактики. При наружных свиных, если они не заполняются или плохо заполняются через пищевод, целесообразно выполнить фистулографию.
Если при наличии отчетливой клинической картины эзофаготрахеальный или эзофагобронхиальный свищ при обычном рентгенологическом исследовании пищевода не выявляется, целесообразно провести эндоскопическое, исследование пищевода и трахеоброихиалыюго дерева. Начинают исследование с эндоскопии пищевода. Находят устье свища, к нему подводят пластмассовый катетер и по катетеру вводят контрастное вещество. Исследование проводят в рентгеновском кабинете. Если и это не позволяет выявить свищ, то тут же делают бронхоскопию, находят свищ и также стараются ввести в него контрастное вещество.
Обычно путем такого сочетанного исследования удается получить изображение свища на рентгенограммах.
Атрезия пищевода и пищеводно-трахеальный свищ
Атрезия пищевода — это врожденный порок Общие сведения о врожденных пороках Врожденные пороки, которые также называются врожденными аномалиями — это физические аномалии, которые возникают до рождения ребенка. Обычно их выявляют в течение первого года жизни. Причина. Прочитайте дополнительные сведения при котором пищевод сужается или заканчивается слепо. Большинство новорожденных с атрезией пищевода также имеют аномальное соединение между пищеводом и дыхательным горлом (трахеей), так называемый пищеводно-трахеальный свищ.
Пищевод Глотка и пищевод Горло (глотка — Горло) расположено позади и ниже ротовой полости. Когда пища и жидкости перемещаются из ротовой полости, они проходят через горло. Акт глотания пищи и жидкостей начинается произвольно. Прочитайте дополнительные сведения представляет собой длинный трубкообразный орган, который соединяет рот с желудком. При атрезии пищевода пищевод сужается или развивается как две отдельные секции, которые не соединяются (атрезия). Из-за дефекта пища и жидкость задерживаются или не могут попасть из пищевода в желудок.
Дыхательное горло Общие сведения о дыхательной системе Для поддержания жизни организм должен вырабатывать достаточное количество энергии. Энергия вырабатывается посредством сжигания содержащихся в пище молекул, которое происходит путем окисления. Прочитайте дополнительные сведения (трахея) — это основной дыхательный путь в легкие. В нормальных условиях пищевод и трахея разделены. Однако при пищеводно-трахеальном свище между пищеводом и дыхательным горлом формируется патологическое соединение (свищ). Из-за дефекта пища и жидкость попадают в дыхательное горло и легкие.
Атрезия пищевода и пищеводно-трахеальный свищ часто возникают вместе.
Врачи не знают, что является причиной атрезии пищевода и пищеводно-трахеального свища, но у многих детей с этими врожденными пороками имеются другие нарушения, такие как дефекты позвоночника Общие сведения о врожденных пороках головного и спинного мозга Врожденные дефекты головного и спинного мозга могут возникать в начале или в конце внутриутробного развития. Типичные симптомы включают умственную отсталость, паралич, недержание мочи или потерю. Прочитайте дополнительные сведения , пороки сердца Общие сведения о пороках сердца Примерно один из 100 младенцев рождается с пороком сердца. Некоторые пороки тяжелые, но многие — нет. Пороки могут быть связаны с аномальным формированием стенок или клапанов сердца или кровеносных. Прочитайте дополнительные сведения , почек Пороки развития почек Существует несколько разных врожденных пороков, затрагивающих почки (парный орган, который выводит продуты жизнедеятельности из крови с образованием мочи). Эти пороки развития обычно не выявляются. Прочитайте дополнительные сведения , половых органов Врожденные пороки половых органов Пороки развития половых органов могут затрагивать пенис, мошонку или яички у мальчиков, влагалище и половые губы у девочек. Иногда половые органы не являются четко мужскими или женскими (двойные). Прочитайте дополнительные сведения и конечностей Отсутствующие или не полностью сформированные конечности Конечности при рождении могут отсутствовать, быть деформированными или развитыми не полностью. Конечности могут формироваться неправильно. Например, кости кисти и предплечья могут отсутствовать. Прочитайте дополнительные сведенияАтрезия и свищ: Дефекты пищевода
При атрезии пищевода пищевод сужается или заканчивается слепо. Он не соединяется с желудком, как это обычно должно происходить. Пищеводно-трахеальный свищ — это аномальное соединение между пищеводом и трахеей (которое ведет к легким).
Симптомы
Новорожденный с атрезией пищевода кашляет, задыхается и у него течет слюна после попытки сглотнуть во время кормления.
Диагностика
До рождения — пренатальное ультразвуковое исследование
После рождения — введение трубки вниз по пищеводу и рентгенологические исследования
Если врачи заподозрили наличие этих дефектов после рождения, они пытаются провести трубку по пищеводу младенца. Если прохождение трубки заблокировано, они делают рентгенографию, чтобы подтвердить диагноз и определить, где находится проблема.
Лечение
Перед хирургическим вмешательством по устранению дефектов проводят подготовку для предотвращения осложнений, таких как аспирационная пневмония. Во-первых, прекращают кормление через рот и размещают трубку в верхней части пищевода для беспрерывного отсасывания слюны, прежде чем она достигнет легких. Затем питание вводится младенцу в вену (внутривенно).
Чтобы создать нормальное соединение между пищеводом и желудком и закрыть свищ, хирургическое вмешательство необходимо провести вскоре после рождения.
После хирургического вмешательства могут развиться некоторые осложнения. Наиболее распространенными проблемами являются протечки и рубцовая ткань в месте повторного соединения пищевода. Многие дети испытывают трудности с кормлением. Примерно у половины детей, испытывающих трудности с кормлением, развивается гастроэзофагеальный рефлюкс Гастроэзофагеальный рефлюкс у детей Гастроэзофагеальный рефлюкс — это обратное движение пищи и желудочного сока из желудка в пищевод, а иногда и в рот. Рефлюкс может быть вызван положением младенца во время кормления, перекармливанием. Прочитайте дополнительные сведения (обратное движение пищи и желудочного сока из желудка в пищевод), поэтому новорожденным, страдающим атрезией пищевода, врачи могут назначать препараты, подавляющие выработку желудочного сока. Если препараты не контролируют рефлюкс, выполняется процедура под названием «фундопликация». При фундопликации хирург оборачивает верхнюю часть желудка вокруг нижней части пищевода, чтобы сделать желудочно-пищеводное соединение более тугим и тем самым уменьшить рефлюкс.
ПРИМЕЧАНИЕ: Это — пользовательская версия ВРАЧИ: Нажмите здесь, чтобы перейти к профессиональной версии
Авторское право © 2022 Merck & Co., Inc., Rahway, NJ, США и ее аффилированные лица. Все права сохранены.
Читайте также:
