Текома - диагностика, лечение
Добавил пользователь Валентин П. Обновлено: 22.11.2025
II.Опухоли полового тяжа и стромы яичника: А.гранулезостромально-клеточные опух: 1)гранулезоклеточная опух; 2)текома; 3)фиброма.
Феминизирующие опухоли встречаются в любом возрасте: гранулезоклеточная чаще у детей и в молодом возрасте, текома в пре- и постменопаузе и крайне редко у детей. Гранулезоклеточная опухоль развивается из гранулезной ткани, сходной по строению с зернис-
тым эпителием зреющего фолликула, и чаще встречается в подростковом и репродуктивном периодах. Текома состоит из клеток, похожих на тека-клетки атретических фолликулов и, как правило, наблюдается в период пери- и менопаузы. Гранулезоклеточные опухоли составляют 1-2% всех новообразований яичника. Текомы встречаются в 3 раза реже.
Клинические проявления связаны с гормональной активностью феминизирующих опухолей. Гранулезоклеточная опухоль «ювенильного типа» обусловливает преждевременное половое созревание, которое правильнее считать ложным в связи с отсутствием овуляции. У девочек появляются нерегулярные кровянистые выделения из половых путей при незначительном развитии вторичных половых признаков; определяются черты эстрогенного влияния - симптом «зрачка», цианотичность вульвы, складчатость влагалища, увеличение тела матки. Соматическое развитие не ускорено. Костный возраст соответствует календарному. В репродуктивном возрасте возможны дисфункциональные маточные кровотечения. Феминизирующие опухоли в пожилом возрасте проявляются, как правило, метроррагией, что служит особенно значимым симптомом новообразования. В постменопаузальном периоде повышен уровень эстрогенных гормонов с «омоложением» пациентки. В эндометрии могут выявляться пролиферативные процессы: железисто-кистозная гиперплазия, нередко с атипией различной степени, полипы эндометрия, возможно развитие аденокарциномы эндометрия.
Диагноз устанавливают на основании выраженной клинической картины, данных общего осмотра и гинекологического исследования, тестов функциональной диагностики, уровня гормонов, УЗИ с ЦДК, лапароскопии.
Феминизирующие опухоли яичника при двуручном влагалищноабдоминальном исследовании определяются как односторонние образования диаметром от 4 до 20 см (в среднем 10-12 см), плотной или тугоэластической консистенции (в зависимости от доли фиброзной или текаматозной стромы), подвижные, гладкостенные, безболезненные.
Гранулезоклеточная опухоль имеет четкую капсулу, на разрезе выраженную дольчатость и желтый цвет, очаговые кровоизлияния и поля некроза. У текомы капсула обычно отсутствует: на разрезе обычно видно солидное строение, ткань с желтоватым оттенком вплоть до интенсивного желтого цвета. Очаги кровоизлияния, кисты не типичны. В большинстве случаев текомы - односторонние и редко малигнизируются. Диаметр колеблется от 5 до 10 см.
На эхограммах феминизирующие опухоли визуализируются в виде одностороннего образования округлой формы с преимущественно эхопозитивным внутренним строением и эхонегативными включениями, нередко множественными. Диаметр опухоли 10-12 см.
Опухоль может иметь кистозные варианты и в таких случаях напоминает цистаденому яичников. Звукопроводимость опухолей обычная. Сопоставление анамнестических данных, эхографической картины с визуализируемой патологией эндометрия (особенно в постменопаузальном возрасте) помогает установить правильный диагноз.
При ЦДК визуализируются множественные зоны васкуляризации как в самой опухоли, так и по ее периферии. Внутренние структуры образования имеют вид пестрой мозаики с преобладанием венозного кровотока. В режиме спектрального допплера кровоток в опухолях яичника имеет невысокую систолическую скорость и низкую резистентность (ИР ниже 0,4).
Точность диагностики при УЗИ с ЦДК составляет 91,3%.
Феминизирующие опухоли могут быть доброкачественными (80%) и злокачественными. Злокачественность определяется метастазами и рецидивами. Метастазы возникают преимущественно в серозном покрове органов брюшной полости, на париетальной брюшине и в сальнике. Злокачественной чаще бывает гранулезоклеточная опухоль, крайне редко текома.
Лечение феминизирующих опухолей только оперативное. Объем и доступ (лапаротомия-лапароскопия) зависят от возраста больной, величины образования, состояния другого яичника и сопутствующей генитальной и экстрагенитальной патологии.
Во время операции делают срочное гистологическое исследование, ревизию брюшной полости, тщательно осматривают коллатеральный яичник. При его увеличении показана биопсия, пытаются определить состояние парааортальных лимфатических узлов.
У девочек при доброкачественной гранулезоклеточной опухоли удаляют только пораженный яичник, у пациенток репродуктивного периода показано удаление придатков матки пораженной стороны. В пери- и постменопаузальном возрасте выполняют надвлагалищную ампутацию матки с придатками или экстирпацию матки с придатками (в зависимости от изменений в эндометрии). Небольшие опухоли можно удалить путем хирургической лапароскопии.
При злокачественной опухоли (по результатам срочного гистологического заключения) показана экстирпация матки с придатками с обеих сторон и удаление сальника.
Фиброма яичника занимает особое место среди фибром-теком и развивается из соединительной ткани. По существу это гормонально-неактивная текома. Структура опухоли представлена переплетающимися пучками веретенообразных клеток, продуцирующих коллаген.
Фиброма яичника - относительно редкая доброкачественная опухоль. Фибромы составляют от 2,5 до 4% всех опухолей, встречаются в любом возрасте, чаще в возрасте 40-60 лет, размеры опухоли от 3 до 15 см. До периода полового созревания фиброма яичника не встречается. Больные имеют неблагоприятный преморбидный фон с частыми нарушениями менструальной и генеративной функций. Возможно, эти нарушения обусловлены тем же этиологическим фактором, который вызвал опухоль.
Фиброма яичника нередко сочетается с миомой матки. Не исключаются и фиброма, и киста в одном и том же яичнике. При сочетании с другими заболеваниями клиническая картина определяется совокупностью их симптомов.
Фиброма яичника часто обнаруживается случайно во время операции. Рост фибромы медленный, но при дистрофических изменениях опухоль может быстро увеличиваться.
Фиброма яичника не выделяет стероидные гормоны, но в 10% наблюдений может сопровождаться синдромом Мейгса (асцит в сочетании с гидротораксом и анемией). Развитие этих процессов связывают с выделением отечной жидкости из ткани опухоли и ее попаданием из брюшной в плевральные полости через люки диафрагмы. На разрезе ткань фибром обычно плотная, белая, волокнистая, иногда с зонами отека и кистозной дегенерации, возможно обызвествление, иногда диффузное. Опухоль локализуется в одном яичнике в виде четко очерченного узла.
При увеличении митотической активности опухоль относят к пограничным с низким злокачественным потенциалом.
Фиброму яичника диагностируют на основании клинического течения заболевания и данных двуручного влагалищно-абдоминального исследования. Опухоль приходится дифференцировать с субсерозным миоматозным узлом на ножке, а также с опухолями другого строения. При гинекологическом исследовании сбоку или позади матки определяется объемное образование диаметром 5- 15 см, округлой или овоидной формы, плотной, почти каменистой консистенции, с ровной поверхностью, подвижное, безболезненное. Фиброма яичника нередко сопровождается асцитом, поэтому ее иногда принимают за злокачественное новообразование.
Диагностике помогает УЗИ с ЦДК. На эхограммах видно округлое или овальное образование с четкими ровными контурами. Внутреннее строение преимущественно однородное эхопозитивное, средней или пониженной эхогенности. Иногда выявляются эхонегативные включения, указывающие на дегенеративные изменения. Непосредственно за опухолью определяется выраженное звукопоглощение. При ЦДК сосуды в фибромах не визуализируются, опухоль аваскулярна.
Чувствительность и специфичность МРТ и РКТ в диагностике фибромы яичника равноценны таковым УЗИ.
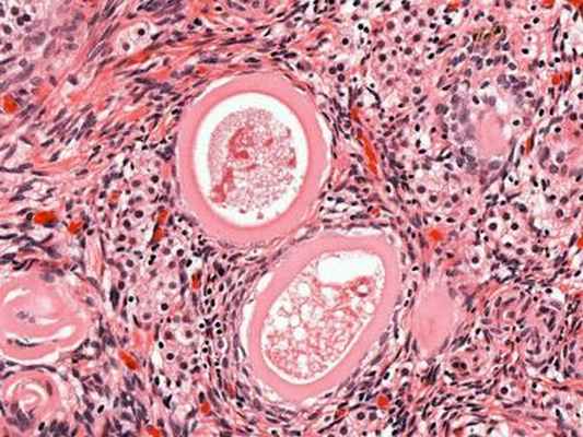
При лапароскопии фиброма яичника округлая или овоидная, со сглаженным рельефом поверхности и скудной васкуляризацией. Капсула обычно белесоватая, сосуды определяются только в области маточной трубы. Возможен и белесовато-розовый оттенок окраски капсулы. Консистенция опухоли плотная (рис. 16.13).
Лечение фибромы оперативное. Объем и доступ оперативного вмешательства зависят от величины опухоли, возраста пациентки и сопутствующих гинекологических и экстрагенитальных заболеваний. Как правило, удаляют придатки матки пораженной стороны при отсутствии показаний для удаления матки у пациенток репродуктивного возраста. При небольшой опухоли используют лапароскопический доступ.
Текома яичника: симптомы и лечение
Текомой яичника называется новообразование овариальной ткани, состоящее из клеток, схожих с тека-клетками атретических фолликулов. Данная опухоль относится к доброкачественным феминизирующим образованиям стромы полового тяжа, составляющих 8% всех овариальных новообразований. В группу феминизирующих опухолей кроме теком входит гранулезоклеточная опухоль, которая составляет 2% от всех овариальных образований. Текома яичника наблюдается в три раза реже.
Наиболее часто заболевание выявляется в перименопаузальном и постменопаузальном периодах, у девочек до начала полового созревания диагностируется крайне редко.
Отличительной чертой патологии является секреция образованием женских половых гормонов, провоцирующих «омоложение» женщины в перименопаузе. Реже развиваются текомы, продуцирующие в большом количестве андрогены.
Причины
В этиологии теком выделяют следующие факторы:
- Непрерывная овуляция. Считается, что более 100 лет назад при следующих практически одной за другой беременностях и последующих родах овуляция у женщин происходили реже, что и объясняет низкий процент встречаемости данных образований в то время.
- Гормональные расстройства. Объясняется избыточной продукцией эстрогенов и формированием феминизирующих опухолей, особенно у девочек с преждевременным половым развитием и женщин с поздней менопаузой.
- Действие неблагоприятных факторов. Облучение, прием ряда лекарств, гиповитаминозы, ослабление иммунитета, курение, обменные расстройства.
- Наследственная предрасположенность.
Классификация
Как правило, опухоль формируется в одном из яичников (лево- или правосторонняя текома), но возможно двухстороннее поражение половых желез.
По гистологическому строению текомы выделяют:
- типичную текому – наиболее распространенный вид;
- текому с лютеинизацией – характеризуется повышением содержания андрогенов (типична для женщин репродуктивного периода);
- фибротекому – строением схожа с овариальной фибромой (может иметь гигантские размеры до 40 см в диаметре).
Симптомы текомы яичника
Симптоматика заболевания определяется формой патологии (феминизирующая или вирилизирующая текома). В первом случае клиническая картина развивается медленно, на протяжении нескольких лет. У женщин после длительного отсутствия менструаций (4 – 5 лет) вновь восстанавливаются менструальноподобные кровотечения, начинают расти волосы в подмышечных впадинах и в области лобка, исчезает сухость во влагалище, усиливается половое влечение. В буквальном смысле слова пациентка отмечает признаки «омоложения», что проявляется разглаживанием кожи и исчезновением морщин (повышение тургора и влажности кожи), увеличением молочных желез, улучшением состояния волос и ногтей.
У пациенток репродуктивного возраста овариальное новообразование провоцирует расстройства менструального цикла, появление ациклических мажущих выделений. Реже увеличивается объем и продолжительность менструальных выделений. У девочек текома феминизирующего типа приводит к преждевременному (до 8 лет) или раннему (до 11 лет) половому созреванию. Клинически проявляется ростом наружных и внутренних органов половой сферы и молочных желез, появлением оволосения в районе лобка и в подмышках, возникновении беспорядочных кровянистых выделений из половых желез.
Чем дольше женщина игнорирует появление «странных» симптомов, особенно в постменопаузе, тем выше риск перерождения текомы яичника в злокачественное новообразование.
Патология по вирилизирующему варианту характеризуется омужествлением женщины. Клинически текома, продуцирующая андрогены, проявляется сбоями менструального цикла (сначала менструации становятся скудными и редкими, затем полностью исчезают), избыточным оволосением лица и тела по мужскому варианту, огрубением голоса, бесплодием.
Особенности текомы
Несмотря на то, что опухоль является доброкачественной (согласно гистологическому исследованию), текома яичника в ряде случаев может вызывать асцит (накопление жидкости в брюшной полости) и гидроторакс (скопление транссудата в плевральных мешках). Асцит и гидроторакс типичны для злокачественных новообразований. Второй отличительной чертой патологии является способность опухоли к рецидивированию спустя длительное время (через 5 – 20 лет после проведения органосохраняющей операции).
Диагностика
Диагностируют текому яичника на основании сбора жалоб и анамнеза пациентки, гинекологического осмотра, проведения дополнительных методов исследования. При гинекологическом осмотре у взрослых пациенток определяется эластичная матка нормальных размеров, справа или слева в придатках пальпируется гладкое, тугоэластичное округлое образование около 10 – 12 см, безболезненное на ощупь и подвижное. Влагалищные своды свободные. Из методов дополнительной диагностики применяют:
- УЗИ органов малого таза. Выявляются одно-, реже двухсторонние округлые образования солидного или кистозно-солидного строения с толстой либо тонкой гладкой капсулой. Внутренне строение опухоли эхопозитивное, включения (часто множественные) эхонегативные. Размеры образования в пределах 5 – 12 см. Зачастую овариальная опухоль сочетается с гиперплазией эндометрия, фибромиомой матки или аденомиозом. В постменопаузе отсутствуют признаки инволюции плодовместилища.
- Допплерография. Выявляются множественные участки усиленной васкуляризации в центральной зоне образования и по периферии, тип кровотока мозаичный. Эффективность диагностики УЗИ с допплерографическим исследованием достигает 93%.
- Исследование половых гормонов. Уровень ФСГ, эстрадиола повышен. При вирилизирующей текоме имеет место рост тестостерона. . Позволяет уточнить локализацию и размеры образования, определить признаки озлокачествления, провести дифференциальную диагностику с другими овариальными образованиями. . Уровень СА-125 в пределах нормы, многократное превышение нормальных показателей свидетельствует о злокачественном процессе.
Текому яичника дифференцируют с цистаденомой, фибромой, раком яичника и андробластомой (вирилизирующий тип).
Лечение текомы яичника
Все овариальные новообразования подлежат хирургическому удалению. Объем и оперативный доступ (лапароскопический или лапаротомический) зависят от возраста пациентки, размеров опухоли, сопутствующих гинекологических и общих заболеваний. Пациенткам репродуктивного и подросткового возраста выполняют органосохраняющую операцию – резекцию яичника (иссечение опухоли в пределах здоровых тканей). Параллельно производят биопсию интактного яичника для исключения его поражения. Женщинам в пери- и постменопаузе проводится овариоэктомия (удаление яичника). При наличии сопутствующей генитальной патологии производится ампутация матки с придатками. Лапаротомию выполняют при больших размерах образования и подозрении на его малигнизацию.
В ходе операции проводится срочное гистологическое исследование образования. Выявления признаков озлокачествления опухоли или атипичной гиперплазии эндометрия требует расширения объема оперативного вмешательства до экстирпации матки с придатками, резекцией сальника и тазовых лимфоузлов.
Осложнения
Текома яичника в силу повышенного производства эстрогенов может спровоцировать рост миометрия и возникновение миомы матки, гиперплазию слизистой матки и аденомиоз (прорастание эндометриоидных очагов в толщу маточной стенки). Вирилизирующий тип образования приводит к бесплодию.
Прогноз и профилактика
Прогноз после хирургического иссечения образования благоприятный. У пациенток детородного возраста нормализуется менструальный цикл, восстанавливается овуляция. У женщин перименопаузального периода исчезают признаки «омоложения», прекращаются кровяные маточные выделения. Возможен рецидив заболевания через 5 и более лет. Риск малигнизации новообразования составляет 2%. Своевременное удаление текомы с признаками озлокачествления также гарантирует благоприятный прогноз.
Специфических мер профилактики в отношении данной патологии не разработано. Для предупреждения развития овариальной опухоли рекомендуется:
Симптомы, диагностика и лечение текомы яичника
Каждая женщина должна тщательно заботиться о своем здоровье. В особенности это касается репродуктивных органов. Если их функциональность нарушается, ухудшается общее состояние организма. Например, повлиять на женское здоровье может текома яичника.

Что представляет собой заболевание
Эта опухоль состоит из стромальных клеток, которые продуцируют эстроген. Новообразование считается доброкачественным. Чаще всего диагностируется патология у женщин 60 лет (является естественным процессом угасания функциональности репродуктивной системы), хотя молодые пациентки от нее тоже не застрахованы.
Форма текомы в основном округлая. Она имеет туго-эластическую консистенцию. В разрезе опухоль желтая. Чаще всего она поражает только один яичник. Иногда внутри образования можно обнаружить жидкую или желеобразную массу. В злокачественную форму опухоль переходит крайне редко.
Встречается текома реже, чем другие опухоли, продуцирующие гормоны. Однако среди вирилизирующих новообразований она стоит на 2 месте после андробластомы. Для микроскопического строения опухоли характерно разнообразие. По типу клеточных элементов можно выделить эпителиоидные и веретенообразные новообразования.
В первом случае опухоль построена из клеток, схожих с фрагментами внутренней оболочки фолликула. Второй тип опухоли больше походит на фиброму яичника. То есть она образована пучками веретенообразных клеток, не имеющих четких границ. Чаще всего текома производит феминизирующий эффект, хотя иногда все происходит наоборот, и у женщины появляются мускулинные признаки.
Нажмите для увеличения
Симптомы и диагностика
Текоматоз яичников развивается очень медленно, постепенно. Обычно первые признаки могут появляться спустя несколько лет после прекращения менструального цикла. Симптомы являются ощутимыми, если опухоль доброкачественная. Если новообразование злокачественное, то обнаружить его можно уже на последних стадиях развития, так как практически никак не дает о себе знать.
У пациентки могут появляться такие признаки патологии:
- нарушение менструального цикла у молодых женщин, так как новообразование продуцирует половой гормон;
- неестественная мягкость органа, которая выявляется при пальпации;
- вторичное бесплодие;
- сглаживание кожи;
- набухание молочных желез, как при менструации;
- появление маточного кровотечения после наступления менопаузы.
Опасность патологии заключается в том, что опухоль продуцирует большое количество эстрогена. Если такая ситуация сохраняется длительное время, то у женщины возникают другие, более серьезные патологические процессы: фибромиома или рак полости матки.

Что касается диагностики патологии, то она включает в себя такие процедуры:
- Внешний осмотр гинеколога с пальпацией.
- Фиксация жалоб пациентки.
- УЗИ репродуктивной системы.
- Лапарогистероскопия. Малоинвазивный метод диагностики, который дает максимально точные данные. Однако стоимость такого исследования имеет большую стоимость.
- Иммунологический анализ.
Кроме того, фрагмент новообразования поддается биопсии, чтобы определить его доброкачественность.
Лечение и прогноз патологии
Само новообразование не поддается медикаментозному лечению. Но так как опухоли сопутствуют другие патологии, то лекарственные препараты принимать придется. Чаще всего больной назначаются средства с содержанием витаминов В1 и В6. Быстрому выздоровлению способствует физиотерапия. Максимально эффективной процедурой считается электрофорез.
Для избавления от текомы яичника используется оперативное вмешательство. Его объем зависит от многих факторов: степени развития патологии, возраста пациентки, возможных осложнений, сопутствующих заболеваний. Например, для молодой женщины важно сохранить не только здоровье, но и репродуктивную функцию. В этом случае операция должна быть максимально щадящей. Удаление опухоли проводится при помощи лапароскопии.
Пациенткам старшего возраста осуществляется полное удаление матки вместе с придатками. Дело в том, что чем старше женщина, тем выше риск перерождения опухоли в злокачественную.
Эта клеточная опухоль практически не бывает большой. Но ее главной опасностью является чрезмерная выработка половых гормонов. Кроме того, даже спустя длительное время, 5-30 лет, злокачественная форма способна давать метастазы, рецидивировать.

Предупреждение болезни
Каких-либо особых мер профилактики, помогающих защитить себя от развития опухоли нет. Однако важно соблюдать общие рекомендации специалистов:
- Вести здоровый способ жизни. Правильное питание, укрепление иммунитета, отказ от вредных привычек, умеренная физическая активность — это те критерии, которые помогут защититься от многих заболеваний.
- Своевременно лечить все воспалительные патологии репродуктивных органов. На яичниках не должны присутствовать рубцы или спайки. Это приводит к развитию не только текомы, но и злокачественных новообразований.
- Так как симптоматика ярко не выражается, нужно обязательно проходить профилактические осмотры дважды в год.
- Раз в 12 месяцев лучше проверять внутренние органы на УЗИ.
- Если диагноз уже поставлен, то нужно начинать лечение как можно быстрее. Самолечением в этом случае не заниматься, как и при других опухолях.
Текома не считается смертельной болезнью, и при правильно выбранной терапии от нее можно быстро избавиться. Но все необходимо делать своевременно.
Симптомы, диагностика и лечение текомы яичника
Забота о женском здоровье — одно из главных правил в жизни каждой женщины. Особое внимание нужно уделять женской репродуктивной системе. И сейчас речь пойдёт о такой болезни, как текома яичника.
Так называется доброкачественная опухоль, состоящая из стромальных клеток, которые выделяют гормон эстроген. В большинстве случаев эта опухоль обнаруживается у женщин до 30 лет или в перименопаузальный период, характеризующийся естественным возрастным угасанием функций половой системы или. Остальные группы женщин также не застрахованы от опухоли яичника, но попадают в группу меньшего риска.
Анатомия текомы
Как и любая другая опухоль, текома яичника бывает разных форм. Обычно можно различить одностороннюю или двустороннюю текомы. По форме образование напоминает сам яичник. Опухоль гладкая с плотной консистенцией. Если её разрезать, то можно увидеть, что внутри она жёлтого цвета, иногда заполненная жидкостью, а иногда желеобразной субстанцией. Если во время болезни происходило кровоизлияние, то может присутствовать также красный цвет.
Если рассмотреть это образование под микроскопом, то можно заметить, что оно состоит из отдельных плотно прилегающих веретенообразных волокон. Из-за накопления при обычных физических условиях липидов текома может превратиться в злокачественную.

Симптомы
Текома дает знать о себе очень медленно, особенно у женщин в перименопаузальный период. Обычно симптомы выявляются только через несколько лет после наступления менопаузы. При этом ощутимые симптомы в основном появляются только при доброкачественной текоме. Злокачественная же опухоль практически не ощущается в организме.
Поскольку эта опухоль выделяет гормоны, то у женщины может нарушиться менструальный цикл, возникнуть маточные кровотечения. А при диагностике ощущается неестественная мягкость и подвижность матки.
Врачи зафиксировали, что перерождение доброкачественной опухоли яичника в злокачественную происходит всего в 14 случаях из 300.
Диагностика
Обычно для диагностирования текомы используют личные показания больного, а также результаты гинекологического исследования. Для дополнительной и более точной диагностики проводят специальное ультразвуковое исследование внутренних органов репродуктивной системы с помощью неинвазивного метода контактной проверки. Эффективным способом диагностики текомы яичника является также лапарогистероскопия, но стоимость этой процедуры довольно высока.

Лечение
Ни доброкачественная, ни злокачественная текома не лечатся. Избавиться от неё можно только с помощью хирургического вмешательства. В этом случае опытный хирург удаляет опухоль полностью вместе с придатками. Это связано с тем, что текома яичника — болезнь преимущественно женщин в возрасте 50+ с завершенной детородной функцией и может перерождаться.
Профилактика
На сегодняшний день специальных профилактических средств от опухолей яичников не существует. Поэтому для полной уверенности в женском здоровье необходимо каждые полгода проходить комплексное обследование женской репродуктивной системы у своего гинеколога. Также минимум раз в год рекомендуется проводить ультразвуковое исследование внутренних систем организма. Женщине нужно тщательно следить за своим менструальным циклом и обращать внимание на любые изменения, которые происходят в организме. Только так можно своевременно выявить такое заболевание, как текома яичника, и успешно избавиться от него.
При любых обнаруженных симптомах следует немедленно обратиться к врачу для обследования и чтобы получить консультацию по всем обеспокоившим вас вопросам.
Опухоли яичников

Опухоли яичников – это доброкачественные, пограничные или злокачественные овариальные образования, которые возникают в результате нарушений деления и дифференцировки клеток. Опухоли могут возникать в любом возрасте, однако чаще выявляются у женщин старше 40 лет.
Новообразования яичников зачастую развиваются на фоне снижения выработки эстрогенов и длительного повышения уровня гонадотропинов гипофиза. В таких условиях развивается сначала диффузная, а затем очаговая гиперплазия клеток и их избыточная пролиферация (деление). Некоторые доброкачественные образования склонны к малигнизации (способны перерождаться в рак яичников).
Овариальные опухоли считаются серьезной проблемой в гинекологии. Их возникновение у женщин детородного возраста снижает репродуктивный потенциал. Особенно важна дифференцировка доброкачественных и злокачественных образований, ведь рак яичников является одной из частых причин женской смертности.
Опухоли яичников независимо от природы возникновения длительное время могут оставаться не диагностированными, что обусловлено стертой клинической картиной. Нередко женщины попадают к врачу с выраженными симптомами, обусловленными давлением образования на соседние органы или распространением метастазов. Основной мерой, направленной на раннюю диагностику и своевременное лечение опухолей, являются регулярные профилактические обследования женщин у гинеколога.
Овариальные опухоли считаются серьезной проблемой в гинекологии. Их возникновение у женщин детородного возраста снижает репродуктивный потенциал. Особенно важна дифференцировка доброкачественных и злокачественных образований. Рак яичников встречается несколько реже, чем рак тела или шейки матки, но является одной из частых причин женской смертности.
Опухоли яичников независимо от природы возникновения длительное время существования остаются не диагностированными, что обусловлено стертой клинической картиной. Нередко женщины попадают к врачу с выраженными симптомами, обусловленными давлением образования на соседние органы или распространением метастазов. Основной мерой, направленной на раннюю диагностику и своевременное лечение опухолей, являются регулярные профилактические обследования женщин у гинеколога.
Виды опухолей яичников
Овариальные опухоли доброкачественной природы подразделяются на следующие виды:
- эпителиальные (аденома, цистаденома);
- опухоли стромы полового тяжа (текома, фиброма);
- герминогенные (дермоидные кисты, струма яичников);
- опухолевидные процессы (кисты).
Рак яичников подразделяют на 3 вида, в зависимости от места возникновения основного очага:
- первичный – опухоль возникает сразу в яичнике, обычно с двух сторон;
- вторичный – злокачественный процесс развивается из кистом;
- метастатический – злокачественные клетки переносятся из опухоли другой локализации.
Злокачественные опухоли классифицируют по стадиям развития:
- первая – опухоль сосредоточена только в яичниках;
- вторая – процесс распространяется на другие органы малого таза;
- третья – наблюдается метастазирование в регионарные лимфатические узлы;
- четвертая – метастазы обнаруживаются в других внутренних органах.
Симптомы опухолей яичников
Мелкие образования на яичниках могут долгое время никак не проявляться.
Основным признаком доброкачественных овариальных опухолей считаются боли внизу живота, имеющие следующие характеристики:
- характер – тянущие, ноющие;
- временной интервал – периодические;
- локализация – чаще односторонние;
- сопутствующие признаки – не связаны с менструацией, купируются с помощью нестероидных анальгетиков.
Большинство образований соединяются с придатками матки посредством ножки, через которую проходят нервы и сосуды. При перекруте ножки возникает ишемия с последующим некрозом тканей, что может проявляться резкими жгучими или режущими болями (вплоть до потери сознания), выделениями из влагалища, повышением температуры тела, перепадами артериального давления.
Крупные опухоли способны давить на мочевой пузырь и определенные участки кишечника. В таком случае возникают дизурические расстройства, метеоризм, нарушения дефекации. Развитие новообразования провоцирует нарушения функции яичников, гормональные сбои, нестабильность менструального цикла.
Злокачественные опухоли яичников долгое время развиваются бессимптомно. Клинические проявления чаще возникают при перекруте ножки или разрыве капсулы, а также при распространении метастазов по брюшине и внутренним органам, что в свою очередь становится причиной слабости, быстрой утомляемости, отсутствия аппетита и снижения веса. Однако нередки случаи, когда овариальный рак протекает без повышения температуры тела, а субфебрилитет возникает только на поздних стадиях.
Причины опухолей яичников
Причина развития рака яичников, как и большинства злокачественных новообразований других локализаций остается неизвестной. В тоже время, провокатором развития овариальных образований признаны состояния, сопровождающиеся гиперэстерогенией, поскольку такие условия являются благоприятными для слишком активного деления клеток. Большое значение в развитии рака яичников в последнее время отводится наследственным факторам.
Предрасположенность к формированию опухолей имеется у женщин со следующими факторами риска:
- раннее наступление месячных;
- поздняя менопауза;
- перенесенные аборты;
- короткий период лактации;
- отягощенный семейный анамнез;
- нереализованная репродуктивная функция;
- эндокринные патологии;
- хронические воспалительные заболевания половых органов;
- системные вирусные заболевания (герпес, ВПЧ).
Способствовать развитию новообразования может воздействие неблагоприятных факторов, таких как плохая экологическая обстановка, курение, употребление алкоголя и частые стрессы.
Получить консультацию
Если у Вас наблюдаются подобные симптомы, советуем записаться на прием к врачу. Своевременная консультация предупредит негативные последствия для вашего здоровья.
Узнать подробности о заболевании, цены на лечение и записаться на консультацию к специалисту Вы можете по телефону:
Читайте также:
