Токсичность железа
Добавил пользователь Евгений Кузнецов Обновлено: 23.11.2025
Свинец является природным токсичным металлом, который встречается в земной коре. Его широкое применение привело к масштабному загрязнению окружающей среды, негативному воздействию на людей и существенным проблемам общественного здравоохранения во многих частях мира.
Важными источниками загрязнения окружающей среды являются, в частности, добыча, выплавка свинца, его использование в промышленном производстве, переработка вторсырья, а в некоторых странах – продолжающееся использование свинецсодержащих красок и этилированного авиационного бензина. Более трех четвертей глобального потребления свинца приходится на производство свинцово-кислых батарей для моторного транспорта. Однако свинец применяется также и во многих других продуктах, например в пигментах, красках, припое, витражах, посуде из свинцового хрусталя, боеприпасах, керамической глазури, ювелирных изделиях, игрушках, а также в некоторых косметических средствах и в народной медицине. Свинец может содержаться в питьевой воде, поступающей по свинцовым трубам или трубам, соединенным свинцовым припоем. В настоящее время большая часть свинца для нужд мирового хозяйства получается в результате переработки вторсырья.
Дети младшего возраста особенно уязвимы к токсичному воздействию свинца, и их здоровье может подвергаться глубоким и постоянным негативным изменениям, в первую очередь влияющим на развитие мозга и нервной системы. Свинец также вызывает долгосрочные последствия у взрослых, включая повышенный риск высокого кровяного давления и повреждения почек. Воздействие высоких концентраций свинца на беременных женщин может вызывать выкидыши, мертворождения, преждевременные роды и низкий вес при рождении.
Источники и пути воздействия
Люди могут подвергаться воздействию свинца в процессе трудовой деятельности или из источников окружающей среды. Воздействие главным образом обусловлено:
- вдыханием частиц свинца, образующихся при сжигании материалов с содержанием свинца, например в ходе выплавки руды, переработки вторсырья, снятия свинецсодержащей краски и использования этилированного авиационного бензина; и
- попадания в желудочно-кишечный тракт загрязненной свинцом пыли, воды (из труб со свинцом) и пищи (из контейнеров, изготовленных с использованием свинцовой глазури или свинцового припоя).
Дополнительным источником воздействия является использование некоторых средств народной медицины и традиционных косметических средств. Так, высокие уровни свинца обнаруживаются в некоторых типах краски для век, а также в некоторых народных лекарственных средствах, используемых в таких странах, как Индия, Мексика и Вьетнам. В связи с этим потребителям следует покупать и использовать только продукцию, находящуюся в регулируемом обороте.
Особенно уязвимы к отравлению свинцом дети младшего возраста, поскольку по сравнению со взрослыми их организм абсорбирует в 4–5 раз больше свинца, попадающего в желудочно-кишечный тракт из того или иного источника. Из-за присущей детям любознательности и свойственного такому возрасту желанию тянуть руки в рот, дети кладут в рот и проглатывают свинецсодержащие или покрытые свинцом предметы, например загрязненную почву или пыль и отслаивающуюся свинцовую краску. Этот путь воздействия усиливается у детей с признаками психологического расстройства под названием пикацизм (постоянная и навязчивая тяга есть несъедобные вещи), которые могут отковыривать и съедать свинцовую краску со стен, дверных косяков и мебели. Воздействие загрязненной свинцом почвы и пыли в процессе переработки аккумуляторов и добычи полезных ископаемых явилось причиной массового отравления свинцом и многих случаев смерти среди детей младшего возраста в Нигерии, Сенегале и других странах.
При попадании свинца в организм он распределяется между такими органами, как мозг, почки, печень и кости. Свинец откладывается в зубах и костях, где он со временем накапливается. Отложенный в костной ткани свинец может возвращаться в кровь во время беременности, в результате чего его воздействию подвергается плод. Недоедающие дети больше подвержены влиянию свинца, поскольку их организм абсорбирует больше свинца в случае нехватки других питательных веществ, например кальция или железа. Наибольшему риску подвергаются дети самого раннего возраста (включая плод в период внутриутробного развития) и дети, живущие в неимущих семьях.
Последствия для здоровья детей
Воздействие свинца может иметь серьезные последствия для здоровья детей. При высоких уровнях воздействия свинец нарушает функционирование головного мозга и центральной нервной системы, вызывая кому, судороги и даже смерть. Дети, выжившие после тяжелого отравления свинцом, могут страдать от задержки психического развития и поведенческих расстройств. При более низких уровнях воздействия, которые не вызывают каких-либо явных симптомов, свинец вызывает целый ряд поражений различных систем организма. В частности, свинец может влиять на развитие мозга детей и приводить к снижению коэффициента умственного развития (IQ), поведенческим изменениям, например сокращению продолжительности концентрации внимания и усилению антиобщественного поведения, а также к ухудшению усвоения знаний. Воздействие свинца вызывает также анемию, гипертензию, почечную недостаточность, иммунный токсикоз и токсическое поражение репродуктивных органов. Неврологические и поведенческие последствия воздействия свинца считаются необратимыми.
«Безопасной» концентрации свинца в крови не существует; даже такое низкое содержание свинца в крови, как 5 мкг/дл, может вызывать у детей снижение интеллекта, поведенческие расстройства и трудности в обучении. По мере повышения концентрации свинца в крови возрастают спектр и тяжесть симптомов и последствий.
К счастью, прекращение производства и использования этилированного бензина в большинстве стран, равно как и другие ограничительные меры в отношении применения этого металла, привели к значительному снижению показателей концентрации свинца в крови на уровне популяции. По состоянию на июль 2021 г. этилированное топливо для легкового и грузового транспорта не продается ни в одной стране (1). Тем не менее, необходимы дополнительные усилия для отказа от применения свинцовых красок: на сегодняшний день законодательные ограничения по использованию свинцовых красок введены лишь в 41% стран (2).
Бремя болезней, вызванных воздействием свинца
По оценкам Института измерения показателей и оценки здоровья (ИИПОЗ), в 2019 г. во всем мире с долгосрочным пагубным воздействием свинца на организм было связано 900 000 случаев смерти и 21,7 миллиона утраченных лет жизни, скорректированных на инвалидность (DALY). Наибольшее бремя приходилось на долю стран с низким и средним уровнем дохода. Кроме того, по оценкам ИИПОЗ, в 2019 г. воздействием свинца было обусловлено 62,5% глобального бремени идиопатических форм задержки умственного развития, 8,2% глобального бремени патологий сердца, вызванных гипертонией, 7,2% глобального бремени ишемической болезни сердца и 5,65% глобального бремени инсульта (3).
Деятельность ВОЗ
ВОЗ назвала свинец одним из 10 химических веществ, вызывающих основную обеспокоенность с точки зрения здоровья населения и требующих от государств-членов действий по защите трудящихся, детей и женщин детородного возраста. На своем веб-сайте ВОЗ опубликовала широкий ряд информационных материалов о свинце, включая информацию для директивных органов, технические руководства и материалы для проведения кампаний.
В настоящее время ВОЗ разработала руководящие принципы оказания помощи при воздействии свинца и готовит руководящие принципы профилактики воздействия свинца, которые обеспечат сотрудников директивных органов, органы здравоохранения и медицинских работников научно обоснованными рекомендациями о мерах, которые они могут принять для защиты здоровья детей и взрослых от воздействия свинца.
Поскольку свинцовые краски по-прежнему являются источником воздействия во многих странах, ВОЗ вместе с Программой Организации Объединенных Наций по окружающей среде создала Глобальный альянс по отказу от применения свинца в красках. Кроме того, ВОЗ является партнером проекта, который финансируется Глобальным экологическим фондом и призван помочь как минимум 40 странам ввести в действие законодательные меры по ограничению использования содержащих свинец красок (4). Постепенный отказ от свинцовых красок к 2020 г. является одним из приоритетных действий правительств, включенных в Дорожную карту ВОЗ для повышения роли сектора здравоохранения в Стратегическом подходе к международному регулированию химических веществ нам пути достижения цели 2020 г. и на последующий период.
К чему может привести чрезмерное потребление железа

Железо является одним из самых важных микроэлементов, необходимых для нормализации работы жизненно важных систем организма. Однако так же, как и в случае с рядом других минералов, употребление этого вещества в больших количествах может негативно отразиться на состоянии здоровья. Более того, железо является настолько токсичным минералом, что уровень его усвоения строго контролируется ЖКТ, что позволяет свести к минимуму негативное влияние этого минерала на организм.
В некоторых случаях подобные системы, обеспечивающие защиту организма от переизбытка витаминов и минералов, могут давать сбой, приводящий к накоплению излишнего количества этих веществ и ухудшению состояния здоровья.
В этой статье мы рассмотрим, к каким негативным последствиям может привести переизбыток железа в организме.
Что нужно знать о железе
Железо относится к числу минералов, попадающих в человеческий организм при потреблении определенных продуктов питания. Данный минерал используется человеческим телом для генерации гемоглобина, являющегося неотъемлемой частью эритроцитов, отвечающих за транспортировку кислорода к тканям и органам.
Специалисты разделяют данный микроэлемент на два типа:
гемовое железо, имеющее боле высокий уровень усвоения (содержится исключительно в продуктах животного происхождения);
негемовое железо, имеющее более низкий уровень усвоения, который можно увеличить, добавив в рацион органические кислоты, такие как витамин C или растительные соединения, подобные фитату (содержится в продуктах растительного и животного происхождения).
Важно обратить внимание на то, что лица, не употребляющие гемовое железо, имеют более высокий риск развития дефицита данного минерала.
По состоянию на сегодняшний день, дефицит железа является одним из самых распространенных явлений дефицита минералов в организме. Чаще всего острую нехватку гемового железа испытывают женщины в период беременности.
Особенности регулирования уровня железа
Ученые выделяют несколько аспектов, на которые следует обратить внимание при употреблении добавок железа.
Первым и наиболее важным является то, что данный минерал используется для нормализации работы большинства жизненно важных систем организма, поэтому человек нуждается в постоянном потреблении данного вещества.
Второй аспект заключается в том, что добавки данного минерала имеют высокий уровень токсичности, из-за чего чрезмерное употребление данного вещества может быть вредным для организма.
Человеческий организм способен самостоятельно регулировать уровень железа в крови за счет контроля над уровнем усвоения этого вещества, при его попадании в пищеварительный тракт. Специально для этой задачи организм генерирует гормон под названием гепсидин, функция которого заключается в понижении уровня железа в организме.
Принцип работы гепсидина выглядит следующим образом:
при высоком уровне железа в крови организм начинает вырабатывать большое количество гепсидина, снижающего усвоение данного минерала;
при низком уровне железа, организм самостоятельно понижает уровень гепсидина, тем самым повышая уровень усвоения данного вещества.
Стоит отметить, что подобная система снижения усвоения уровня железа работает довольно хорошо. Однако нарушения, способные негативно повлиять на выработку гепсидина, могут стать причиной повышения уровня железа в крови. При этом стимуляция выработки данного гормона также не является полезной, так как она может привести к возникновению дефицита минерала.
На уровень железа в крови также может оказывать влияние рацион. Так, недостаток данного минерала в употребляемых ежедневно продуктах питания может стать причиной развития дефицита железа, а длительный прием добавок этого вещества может вызвать тяжелое отравление железом.
Токсичность железа
Переизбыток железа в человеческом организме может быть вызван длительным употреблением добавок с высоким содержанием этого элемента или случайной передозировкой.
В большинстве случаев в человеческой крови находится сравнительно небольшое количество «свободного» железа, которое связано с белком под названием трансферин, обеспечивающим безопасность этого минерала. Однако употребление чрезмерного количества минерала может стать причиной увеличения объема «свободного» железа в крови.
Согласно заявлению ученых, «свободное» железо является проксидантом – веществом, действие которого полностью противоположно действию антиоксидантов. Иначе говоря, «свободное» железо способно оказывать разрушительное влияние на клетки организма.
К числу главных причин повышения уровня «свободного» железа в крови относится:
отравление железом в результате превышения рекомендуемой дозы потребления пищевых добавок с высоким содержанием данного минерала;
наследственный гемохроматоз – заболевание, сопровождающееся повышенным уровнем усвоения железа;
африканская передозировка железом, связанная с высоким содержанием минерала в еде, которое может быть обусловлено использованием металлической посуды для приготовления пищи.
В большинстве случаев отравление железом вызвано употреблением чрезмерного объема минерала в виде пищевых добавок. Симптомы отравления могут быть вызваны употреблением минерала в объеме от 10-ти до 20-ти мг на один килограмм собственной массы. При этом дозировка свыше 40 мг на один килограмм массы тела может вызвать серьезные осложнения, требующие неотложной медицинской помощи. Причиной отравления также может быть повторное употребление больших объемов железа. В связи с этим при употреблении пищевых добавок с высоким содержанием этого минерала следует обязательно придерживаться инструкции.
Отравление железом сопровождается такими симптомами как боли в животе, тошнота и рвота.
Железо также может постепенно накапливаться во внутренних органах, что может стать причиной нарушения их работы и повреждения их клеток, которые могут привести к летальному исходу.
Употребление больших объемов этого минерала на протяжении длительного периода времени может вызвать перегрузку железом, которую мы рассмотрим далее.
Перегрузка железом
Такое состояние как перегрузка железом зачастую вызвано постепенным накоплением чрезмерного количества этого минерала в органах. В большинстве случаев причиной данного состояния является неспособность организма регулировать уровень усвоения этого элемента.
Подобное состояние встречается у людей крайне редко. Однако оно представляет серьезную угрозу для лиц, имеющих предрасположенность к повышенному уровню усвоения железа. В большинстве случаев к числу таких лиц относятся люди, страдающие от ненаследственного гемохроматоза.
Согласно заявлению ученых, данное заболевание, сопровождающееся накоплением железа во внутренних органах и тканях, может стать причиной развития диабета, артрита, онкологических заболеваний, а также причиной нарушения работы сердца и печени.
Организм человека ограничен в количестве способов выведения лишнего железа. Единственным эффективным способом понижения уровня данного минерала в организме является кровопотеря. Именно поэтому доноры, регулярно сдающие кровь, и женщины имеют более низкий уровень риска перегрузки железом.
Риск перегрузки железом также можно снизить, придерживаясь следующих рекомендаций:
снизить объем потребления продуктов с высоким содержанием этого минерала;
регулярно сдавать кровь;
избегать сочетания железосодержащих продуктов с витамином C;
исключить использование железной посуды и столовых приборов.
Но при этом стоит обратить внимание на то, что при отсутствии перегрузки железом не рекомендуется соблюдать все вышеуказанные советы и понижать уровень потребления этого элемента.
Влияние железа на онкологические заболевания
Учеными было установлено, что накопление чрезмерного объема железа в человеческих органах и тканях может стать причиной развития онкологических заболеваний. Однако регулярная потеря крови во время менструального цикла или при сдаче крови на донорство может существенно снизить риск развития рака.
Согласно исследовательским данным, регулярное потребление гемового железа существенно повышает риск развития рака толстой кишки. Также во время проведения одного из исследований было установлено, что гемовое железо, получаемое путем употребления говядины, позволяет увеличить количество канцерогенных N-нитрозосоединений в ЖКТ.
Многие ученые ассоциируют употребление говядины с развитием онкологических заболеваний, однако лишь некоторые исследования подтверждают данную связь.
Связь железа с риском заражения
Исследователи сообщают, что переизбыток железа в организме, также как и его дефицит, является причиной повышенной уязвимости к инфекциям.
По мнению ученых, объяснением этого являются несколько причин:
иммунная система использует железо для борьбы с инфекциями и уничтожения некоторых бактерий;
высокий уровень «свободного» железа в крови способствует развитию вредоносных бактерий и вирусов.
Проведенные в недавнем времени исследования продемонстрировали, что регулярное употребление добавок железа абсолютно здоровыми людьми учащает случаи инфекционных заболеваний и увеличивает их тяжесть.
Кроме того, было обнаружено, что лица с наследственным гемохроматозом имеют более высокий риск развития инфекционных заболеваний.
В связи с тем, что причин повышенного риска инфицирования может быть несколько, перед включением в рацион добавок железа рекомендуется проконсультироваться с лечащим врачом.
Вывод
Употребление добавок железа в больших количествах может быть вредным для здоровья. Однако в случае отсутствия перегрузки железом употребление натуральных источников данного минерала является абсолютно безопасным.
При этом добавки железа рекомендуется принимать лишь тем лицам, которые страдают от дефицита данного минерала.
Кроме того, не стоит включать в рацион добавки с высоким содержанием этого элемента, если они не рекомендованы врачом.
Ссылки на исследования
1. Is iron and zinc nutrition a concern for vegetarian infants and young children in industrialized countries?
2. Bioavailability of iron, zinc, and other trace minerals from vegetarian diets.
3. Worldwide prevalence of anaemia, WHO Vitamin and Mineral Nutrition Information System, 1993-2005.
Роль железа в организме: дефицит, избыток, источники

Организм не вырабатывает железо самостоятельно, человек получает 1-2 мг этого элемента вместе с пищей. Примерно столько же каждый из нас теряет с ороговевшими клетками кожи и кишечника.
Функции железа
Железо помогает поддерживать многие важные функции организма, влияя на уровень жизненной энергии, концентрацию внимания, желудочно-кишечные процессы, иммунную систему и регуляцию температуры тела. Его недостаток или избыток моментально сказывается на самочувствии.
Обменные процессы
Железо — важный компонент гемоглобина, состоящего из красных кровяных телец (эритроцитов). Гемоглобин содержит около двух третей железа в организме. Он соединяется с кислородом, а эритроциты разносят его из легких по всему телу. Этот минерал также входит во многие элементы, отвечающие за холестериновый обмен, переработку калорий в энергию, борьбу с токсинами. Благодаря железу со своими функциями лучше справляется иммунная система, а эритроциты с его помощью отправляют углекислый газ в легкие для переработки. Оно также необходимо для поддержания здоровья клеток, кожи, волос и ногтей.

Беременность
В период беременности в женском организме увеличивается количество жидкости. За счет этого резко растет объем крови и производство эритроцитов, которые нужны для обеспечения плода кислородом и необходимыми веществами. Кровь становится жиже, падает уровень гемоглобина. Организм потребляет железо максимально. Дефицит минерала может привести к ранним родам, низкому весу младенца после рождения, а также к нарушению его когнитивного развития. Беременные женщины с железодефицитом больше склонны к инфекционным заболеваниям, поскольку он негативно влияет на иммунную систему [1].
Энергия
Недостаточное количество железа в рационе может повлиять на эффективность, с которой организм использует энергию. Благодаря роли переносчика кислорода к мышцам и мозгу, железо играет важную роль в умственной и физической активности. Низкий уровень этого элемента может привести к проблемам с концентрацией внимания, раздражительности и снижению выносливости.
Норма железа
Рекомендуемая суточная норма потребления железа зависит от возраста, пола, образа жизни и состояния здоровья [2].
Дети нуждаются в большем количестве железа, чем взрослые: в период роста и формирования организма любые полезные вещества расходуются гораздо быстрее. Дневная норма зависит от возраста ребенка: 4 –8 лет — 10 мг, 9–13 лет — 8 мг. Начиная с подросткового возраста, когда у девочек начинается менструация, их суточная потребность в железе увеличивается.
В возрасте 19 –50 лет женщины должны получать 18 мг железа каждый день, в то время как мужчинам того же возраста достаточно 8 мг [3]. После наступления менопаузы ежедневная норма железа для женщин приравнивается к мужской — 8 мг каждый день.
Иногда человеку требуется больше железа, чем обычно. Следить за уровнем железа в крови необходимо при беременности и кормлении, почечной недостаточности, язве или желудочно-кишечных расстройствах, которые препятствуют нормальному усвоению минерала. В случае дефицита следует проконсультироваться с врачом.

К уровню железа необходимо относиться с особенным вниманием спортсменам, поскольку интенсивные тренировки могут разрушать эритроциты. Также следить за этим параметром нужно вегетарианцам и веганам, поскольку железо, получаемое из растительной пищи, усваивается недостаточно.
Дефицит железа
Если наступает железодефицит, то ткани и мышцы перестают получать необходимый объем кислорода, который способствует их эффективному функционированию. Это может привести к анемии.
Причины, по которым может наступить анемия [4]:
- недостаточное поступление железа с пищей;
- снижение всасываемости железа из-за нарушения работы ЖКТ;
- повышенная потребность в железе во время беременности;
- чрезмерные кровопотери (например, во время месячных).
Снижение уровня железа может также происходить во время внешних и внутренних кровотечений, операций с кровопотерями, частого донорства. Влияют на уровень этого минерала перенесенная анорексия и хронические заболевания, связанные с нарушением всасывания железа. Также риск дефицита повышается во время активного роста ребенка, при приеме антикоагулянтов и антиагрегантов. Анемия может быть вызвана нерегулярным питанием, скудным и однообразным рационом, а также питанием, основанным на схемах вегетарианства и веганства.

Дефицит железа приводит к симптомам, которые могут значительно повлиять на качество жизни. Признаки его нехватки в организме бывают разными в зависимости от тяжести анемии, скорости ее развития, возраста, состояния здоровья. В некоторых случаях люди долгое время не испытывают никаких симптомов.
Симптомы дефицита железа
Самыми распространенными признаками дефицита считаются:
- Повышенная утомляемость, чувство сильной усталости [5]. Когда организму не хватает железа для производства гемоглобина, который распространяет кислород по телу, многие ткани и органы недополучают энергию.
- Головокружение, шум в ушах, головные боли, обмороки, мелькание «мушек» перед глазами, снижение памяти.
- Тахикардия, учащенное сердцебиение при нагрузке и без. Из-за недостатка кислорода в тканях сердцу приходится работать усерднее, чтобы нивелировать дефицит и разогнать больше насыщенной кислородом крови. Поскольку такое состояние может быть симптомом разных заболеваний, диагностировать дефицит железа только по этому признаку достаточно сложно, необходимо комплексное обследование.
- Бледность. Восковой цвет лица или бледная окраска внутренней поверхности нижних век — частый признак дефицита железа [6]. Он может проявляться как по всему телу, так и только на лице, деснах или других частях тела. Чаще всего бледность появляется в случаях средней и тяжелой анемии [7].
- Изменения ногтей, ломкость волос. На ногтях, которые становятся хрупкими, появляются плоские или вогнутые участки.
- Одышка. Из-за низкого уровня гемоглобина падает уровень кислорода в крови, поэтому увеличивается частота дыхания — так тело пытается восполнить этот дефицит [8]. Если обычные физические нагрузки, которые раньше выполнялись без усилий, вдруг начали вызывать трудности с дыханием, стоит обратиться к врачу.
- Изменения вкуса и обоняния. Поражение слизистой полости рта, языка и губ. Опухший язык, неприятные ощущения в полости рта (сухость, жжение), язвы на слизистой, трещины в уголках губ могут быть признаком анемии [9].
- Синдром беспокойных ног. Сильное желание двигать ногами в состоянии покоя, неприятные и странные ощущения зуда в ступнях, от которых сложно заснуть, могут быть симптомом дефицита железа [10]. Причины такого состояния до конца не изучены, но около 25% людей с железодефицитной анемией имеют синдром беспокойных ног [11].
Также при дефиците железа встречаются следующие симптомы:
- головные боли, головокружение;
- учащенное сердцебиение;
- сухие, поврежденные волосы, кожа, ногти;
- тяга к употреблению несъедобных продуктов (лед, глина, грязь, мел, бумага);
- постоянно холодные руки и ноги;
- чувство подавленности, депрессия;
- частые инфекционные заболевания.
Длительная железодефицитная анемия приводит к тяжелым последствиям. Нарушается работа сердечно-сосудистой системы, пищеварительного тракта, развивается постепенная атрофия мышц. У женщин происходят сбои менструального цикла, а при беременности возникает угроза выкидыша и преждевременных родов.
Избыток железа
Как и любое вещество, в больших количествах железо может быть токсично для организма. За процесс регуляции и поддержания его запасов в равновесии отвечает гормон гепсидин. Некоторые нарушения, которые подавляют выработку гепсидина, могут привести к отравлению минералом.
В обычном состоянии в крови циркулирует очень мало свободного железа, поскольку оно плотно связано с белками. При накоплении в клетках, оно катализирует вредные процессы. Ускоряется окисление жиров, из-за этого образуются свободные радикалы. Они представляют собой атомы кислорода, имеющие высокую окислительную способность, повреждающую органеллы (постоянные элементы клеток, необходимые для ее существования) клеток и их стенки.
Избыток этого элемента встречается гораздо реже, чем дефицит. Передозировка может наступить внезапно или проявляться медленно в течение долгого времени.
Такое состояние может быть вызвано:
- Отравлением железом. Оно наступает при передозировке добавками железа, их бесконтрольном приеме без учета рекомендаций врача и результатов анализов крови. Разовые дозы до 10-20 мг/кг могут вызывать побочные симптомы, а выше 40 мг/кг требуют медицинской помощи [12].
- Наследственным гемохроматозом. Это генетическое заболевание, характеризующееся нарушением обмена железа и накоплением его в клетках различных органов [13].
- Так называемой африканской перегрузкой железом. Такой синдром вызван высоким уровнем железа в пище или напитках. Впервые он был замечен в Африке, где домашнее пиво варили в железных горшках [14].
Ранние симптомы отравления железом могут включать боль в животе, тошноту и рвоту. Постепенно избыток минерала накапливается во внутренних органах, вызывая серьезные повреждения мозга и печени.
Продукты с железом
Существует два основных типа железа, содержащиеся в продуктах питания: гемовое и негемовое.

Гемовое железо поступает в организм из животного белка — мяса или рыбы. Негемовое можно получить из зелени, орехов, бобовых, но его биодоступность составляет 5-12%, в то время как гемового железа — 14-18% [15]. Железо из продуктов животного происхождения усваивается организмом лучше, чем из растительных источников.
Наиболее богаты гемовым железом моллюски, мясные субпродукты, красное мясо, птица и яйца. Также большую порцию железа содержит шоколад — 19% от суточной нормы в 28 г [16].
Для веганов и вегетарианцев богатым источником железа могут стать гречка, нут, гранат, киноа, бобы, шпинат.
Важно правильно употреблять пищу, содержащую железо. Продукты, насыщенные этим минералом, хорошо сочетаются с фруктами и овощами с высоким уровнем витамина С. Такое соседство увеличивает усвоение железа [17]. П родукты, насыщенные кальцием, наоборот, подавляют всасывание железа, поэтому их лучше употреблять в разное время [18].
Препараты железа и витамины
Питаться сбалансировано следует всем и всегда, независимо от уровня железа в крови. Но в случае анемии, выраженного снижения уровней ферритина или железа одной диеты недостаточно.
При низком уровне железа или железодефицитной анемии врач назначает специальные препараты, которые помогут улучшить ситуацию. Адекватное медикаментозное лечение дополняет диетические рекомендации и позволяет быстро достичь нормальных параметров обмена железа в крови. Контролировать следует не только уровень гемоглобина, но и железа, ферритина, железосвязывающей способности крови.

Необходимо не просто добиться нормального уровня всех показателей обмена железа, но и постоянно поддерживать его. В этом могут помочь препараты железа или БАДы с его содержанием. Они различаются дозировкой, переносимостью и влиянием на ЖКТ. Выбор сейчас достаточно велик — не ошибиться поможет терапевт.
Для улучшения усвоения железа необходимо употреблять железосодержащие продукты совместно с продуктами, богатыми аскорбиновой кислотой (черная смородина, красный болгарский перец, шиповник, зеленый лук, грейпфрут) и медью (вишня, инжир, гречка, овсянка, шпинат, салат).
Нужно учитывать, что если запивать железосодержащие блюда чаем или молоком, то усвоение минерала снижается более чем в два раза. Лучше всего запивать их фруктовыми и овощными соками, в которых много меди, аскорбиновой кислоты и органических кислот, улучшающих усвоение железа.
Комментарий эксперта

Наталья Поленова, кандидат медицинских наук, кардиолог, терапевт GMS Clinic
К сожалению, очень часто пациентки с дефицитом железа длительное время пребывают в этом состоянии, страдают от неспецифических симптомов, таких как тахикардия, головокружение, общая слабость, выпадение волос. Они посещают врачей самых разных специальностей: кардиологов, неврологов, дерматологов, проходят множество дополнительных видов обследования, но так и не получают необходимого им простого и эффективного лечения. Если женщина детородного возраста обращается к врачу любой специальности с указанными выше неспецифическими симптомами, начинать диагностический поиск следует именно с железодефицитного состояния.
Корректировать дефицит железа можно довольно быстро, у врачей внушительный арсенал таблетированных, жидких, парентеральных лекарственных форм, а также БАДов. После коррекции железодефицитного состоянии многие пациентки сожалеют, что столько лет их качество жизни страдало, они находились в сниженном ресурсном состоянии, в то время как помочь им можно было довольно быстро и просто.
Среди пациентов мужского пола железодефицитная анемия встречается в десятки раз реже, чем у девушек. Зоной особого внимания здесь считаются доноры, регулярно участвующие в сдаче крови. Этой категории лиц тоже время от времени требуется назначение препаратов железа в адекватной дозировке. У всех остальных представителей сильного пола (без известных хронических заболеваний) риск избытка железа, конечно, выше, чем его дефицит. Поэтому самостоятельное и необоснованное применение препаратов железа молодыми здоровыми мужчинами не просто бесполезно, но и опасно.
Когда целевые показатели обмена железа на фоне приема препаратов будут достигнуты (цель лечения ЖДА — введение железа в количестве, необходимом для нормализации уровня гемоглобина: у женщин 120-140 г/л, у мужчин 130-160 г/л) и произошло восполнение тканевых запасов железа (ферритин сыворотки> 40-60 мкг/л), возникает задача в закреплении результата. Для этого необходимо профилактическое (курсовое) назначение препаратов железа группам риска: женщинам при обильных мено/метроррагиях, донорам крови, веганам, пациентам с хроническими заболеваниями ЖКТ.
Очень важно при выявлении анемии не просто назначить железосодержащие препараты, но и выявить причину дефицита, чтобы не пропустить дебют опасного, в том числе, онкологического заболевания. Исключив угрожающую здоровью патологию, можно спокойно и методично корректировать обмен железа до достижения нормальных показателей.
К вопросу о гастроинтестинальной токсичности перорального сульфата железа (II) в акушерско-гинекологической практике

Несмотря на попытки устранить или хотя бы уменьшить распространенность железодефицитной анемии (ЖДА), она остается одним из наиболее значимых заболеваний у женщин детородного возраста. ЖДА очень часто встречается у беременных и ассоциируется с такими осложнениями, как преждевременные роды, низкий вес при рождении, послеродовое кровотечение, снижение запасов железа у новорожденных. Поэтому профилактика и лечение ЖДА является неотъемлемой составляющей пренатального наблюдения.
По мнению британских исследователей (Pereira et al., 2014), одной из причин неэффективной борьбы с ЖДА являются используемые препараты железа, прежде всего соли двухвалентного железа (65 мг элементарного железа 2-3 раза в день), которые значительно повышают риск гастроинтестинальных осложнений и системных инфекций. В контексте профилактики и лечения ЖДА у беременных следует отметить, что сульфат железа (II), так же, как и глюконат и фумарат железа, по классификации FDA не имеет формальной категории безопасности при применении в период беременности.
Как правило, гастроинтестинальные побочные эффекты перорального сульфата железа (II) – тошнота, рвота, диарея, запор, боли в животе, изжога и др. – манифестируют уже на раннем этапе лечения. Причины их появления хорошо изучены: даже у пациентов с ЖДА всасывается только 20-30% принятого железа, оставшиеся 70-80% проходят транзитом через кишечник, в котором индуцируют продукцию свободных радикалов, повреждающих слизистую кишечника, и вызывают нежелательные изменения комменсальной кишечной микрофлоры. Гастроинтестинальные симптомы ухудшают общее самочувствие пациентов, оказывают негативное влияние на комплайенс и, следовательно, снижают эффективность лечения. В исследовании Hamidizade и соавт. (2008) было установлено, что в период беременности и грудного вскармливания 56,8% женщин, которым были назначены пероральные препараты железа, не принимают их регулярно, а 10,2% полностью отказываются от их приема.
В литературе описано множество случаев, указывающих на причинно-следственную связь между приемом препаратов сульфата железа (II) и развитием тяжелых гастроинтестинальных осложнений. Так, норвежские ученые (Serck-Hanssen et al., 1994) наблюдали 12 пациентов с язвенным повреждением пищевода, ассоциированным с отложением солей железа. В 10 случаях имел место прием препаратов сульфата железа (II) с пролонгированным высвобождением. Вследствие перфорации пищевода один пациент умер. Liabeuf и соавт. (2014) описали случай появления язв на слизистой оболочке ротовой полости у женщины, принимающей препарат сульфата железа (II). Оказалось, что из-за нарушения функции глотания пациентка разжевывала таблетки. Отмена лечения привела к быстрому разрешению симптомов. Авторы также обнаружили серию подобных случаев в базе данных Французского национального фармаконадзора (1986-2013 гг.). У пациентов, большинство из которых составляли женщины, сообщалось о «серьезных и/или неожиданных» побочных реакциях. Во всех случаях подозреваемым препаратом был сульфат железа (II), и у всех пациентов ульцерации быстро разрешались после лечения. Связи других солей железа, в частности фумарата и аскорбата, с появлением язв в ротовой полости во французской базе данных выявлено не было, в то же время она содержала описание развития язв пищевода и желудка при приеме сульфата железа (II).
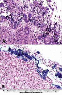
На рисунке 1 показана микроскопическая картина материала, полученного путем эндоскопической биопсии антрального отдела желудка пациентки с ЖДА, получавшей сульфат железа (II). В поверхностном слое слизистой оболочки выявляются кислотопродуцирующие клетки и переходный эпителий, содержащие кристаллический окрашенный в коричневый цвет материал (рис. 1А). О повреждении слизистой свидетельствуют пикнотические ядра, деформированные эпителиоциты с наслоениями солей железа, эрозии с острым воспалительным экссудатом. Окраска по методу Гомори подтвердила, что коричневый пигментный материал представляет собой кристаллическое железо (рис. 1Б); кроме того, с помощью этого метода было выявлено накопление гемосидерина в глубоких железах дна желудка. При этом бактерии Helicobacter pylori и кишечная метаплазия отсутствовали (окраска по Гимзе и ШИК-реакция соответственно).

Eckstein и Symons (1996) описали гистопатологию повреждений слизистой оболочки пищевода и желудка, ассоциированных с приемом таблеток сульфата железа (II). Патологические изменения преобладали в поверхностном слое слизистой и варьировали в зависимости от биопсийного материала. При микроскопии препаратов в слизистой выявлялись коричневые гранулярные включения (фрагменты препарата железа); язвенный экссудат и острая воспалительная грануляционная ткань, диффузно окрашенная в коричневый цвет. Кроме того, наблюдалось коричневое окрашивание плоского эпителия и собственной пластинки с акцентуацией кровеносных сосудов. В материале, полученном при аутопсии, были выявлены окрашивание сосудов и тромбоз, при этом была положительной проба на сульфат железа (II). В большинстве биопсий также наблюдался некроз слизистой, и клетки воспаления сосредотачивались вокруг очагов изъязвления.
Недавно были опубликованы результаты систематического обзора и метаанализа, цель которого заключалась в оценке безопасности препаратов сульфата железа (II) (Tolkien et al., 2015). В международных базах данных (PubMed, EMBASE, ClinicalTrials.gov и др.) авторы провели поиск рандомизированных контролированных исследований (РКИ), в которых сообщались гастроинтестинальные побочные эффекты сульфата железа (II) и препарата сравнения (плацебо или внутривенного железа).
В итоге в метаанализ включили 43 РКИ, в которых приняли участие почти 7 тыс. взрослых пациентов. В 20 исследованиях (n=3168) в контрольной группе применяли плацебо, в 23 РКИ (n=3663) – препарат железа для внутривенного введения. Пероральный прием сульфата железа (II) значительно повышал риск гастроинтестинальных побочных эффектов – в 2,32 раза по сравнению с плацебо (p<0,0001) и в 3,05 раза по сравнению с внутривенным железом (р<0,0001). Отдельный анализ 7 РКИ с участием беременных (n=1028) также показал статистически значимое повышение риска гастроинтестинальных побочных эффектов при приеме сульфата железа (II) (в 3,33 раза; р=0,02).
Считается, что при лечении сульфатом железа (II) дозы ≤50-60 мг элементарного железа в день реже вызывают побочные эффекты по сравнению с более высокими дозами и что препараты с контролируемым высвобождением лучше переносятся. Однако метарегрессионный анализ не выявил ни статистически значимого дозозависимого эффекта, ни пороговой суточной или разовой дозы, которая была бы более безопасной. Если такая доза и существует, то она является очень низкой (≤20 мг на 1 прием или в сутки). В свою очередь, подгрупповой анализ 6 РКИ, в которых использовались препараты сульфата железа (II) с модифицированным высвобождением, показал, что такие препараты повышают риск гастроинтестинальных побочных эффектов даже в большей степени, чем традиционные препараты сульфата железа (II) для перорального приема.
Таким образом, метаанализ Tolkien и соавт. позволил сделать следующие важные выводы:
- у взрослых пациентов всех изученных групп (включая беременных) пероральные препараты сульфата железа (II) вызывают значимые гастроинтестинальные побочные эффекты;
- гастроинтестинальные побочные эффекты перорального сульфата железа (II) не зависят от дозы (при использовании стандартного диапазона доз);
- нет доказательств, что препараты сульфата железа (II) с модифицированным высвобождением более безопасны по сравнению с традиционными препаратами.
Несмотря на огромный массив доказательств гастроинтестинальной токсичности, пероральные препараты сульфата железа (II) все еще применяются для коррекции железодефицитных состояний. Учитывая значимость проблемы, британские исследователи разработали и успешно валидировали опросник, позволяющий оценить гастроинтестинальные симптомы после перорального приема сульфата железа (II).
В валидационном исследовании участвовали здоровые добровольцы – мужчины и женщины в возрасте от 22 до 50 лет (в среднем 32 года), которых рандомизировали на две группы для приема сульфата железа (II) или плацебо и просили ежедневно в течение 14 дней заполнять анкету (рис. 2). С последней задачей справились все участники (комплайенс 100%), заполнение анкеты в среднем занимало не более 5 минут в день.
На протяжении 1-й недели (терапия) по крайней мере 1 симптом из перечисленных в блоке С наблюдался у 12 из 20 пациентов, из которых 9 (75%) принимали сульфат железа (II). На 2-й неделе (период «вымывания») о наличии ≥1 симптома сообщили 9 участников, из них 6 (67%) были из группы сульфата железа (II). В течение 1-й недели среднее количество симптомов в группе сульфата железа (II) было значительно выше, чем в группе плацебо (6,7±1,7 vs 1,2±0,5; р=0,01). На протяжении периода «вымывания» этот показатель составил 4,6±2,0 vs 1,7 соответственно (р=0,12).
Симптомами, которые лучше всего разграничивали группы сульфата железа (II) и плацебо, были изжога, боль в животе и темный стул (для всех р≤0,03). Клинически значимые различия между группами также наблюдались в отношении тошноты, запора и частоты стула.
Таким образом, предложенная анкета позволяет быстро оценить наличие и тяжесть гастроинтестинальных симптомов, ассоциированных с приемом перорального сульфата железа (II), и при необходимости назначить другой, более безопасный препарат железа. Авторы также указывают на возможность использования упрощенной версии анкеты, состоящей только из блоков C, H и I.
Среди различных пероральных форм железа сульфат железа (II) отличается максимальной токсичностью. Несмотря на это, препараты, содержащие FeS04 и предназначенные для перорального приема, остаются на фармрынке. Более того, некоторые препараты сульфата железа (II) позиционируются специально для профилактики и лечения ЖДА у женщин в период беременности. В свете накопленных за многие десятилетия данных, а также с учетом результатов недавно проведенного метаанализа (Tolkien et al., 2015), очевидно, следует пересмотреть целесообразность применения пероральных препаратов сульфата железа (II), по крайней мере, в наиболее уязвимых популяциях, к которым относятся беременные и кормящие грудью женщины.
Список литературы находится в редакции.
Тематичний номер «Гінекологія, Акушерство, Репродуктологія» № 1 (21) березень 2016 р.
СТАТТІ ЗА ТЕМОЮ Акушерство/гінекологія
Представляємо вашій увазі рекомендації Німецького, Австрійського й Швейцарського товариств акушерства та гінекології щодо діагностики та лікування вульвовагінального кандидозу. У публікації проаналізовано й роз’яснено всі суперечливі твердження та надано рекомендації щодо ведення пацієнтів із гострим та хронічним рецидивуючим вульвовагінальним кандидозом. Ключові слова: вульвовагінальний кандидоз, Candida albicans, гострий вульвовагініт.
Запальні захворювання органів малого таза є однією з основних медичних проблем у гінекології, вирішення якої потребує вдало підібраної антибіотикотерапії. Тетрацикліни є одними з ранніх класів антибіотиків, які мають широку антимікробну активність та повну перехресну стійкість. Вони активні щодо практично всієї грампозитивної флори, грамнегативних коків (у т.ч. гонококів), кишкової палички, бактерій роду Enterobacter, клебсієли, а також дуже поширених останнім часом хламідій та мікоплазми. У статті представлені сучасні дані щодо використання цих препаратів у практиці лікаря-гінеколога. Ключові слова: тетрацикліни, доксициклін, гліцилцикліни, тайгециклін, запальні захворювання органів малого таза.
Незважаючи на наявність надійного тестового контролю, сучасні методи лікування та профілактики, рак шийки матки займає лідируючі позиції у структурі онкологічної патології. Ця тема не лишилася поза увагою під час Всеукраїнської науково-практичної конференції з міжнародною участю «Актуальні питання сучасного акушерства та гінекології», що відбулася минулого року. У рамках заходу асистент кафедри терапії та сімейної медицини Навчально-наукового інституту післядипломної освіти Тернопільського національного медичного університету ім. І. Я. Горбачевського, кандидат медичних наук Юлія Богданівна Якимчук спільно зі співавторами О. М. Якимчук та Т. В. Рудик висвітлили сучасні лікувальні стратегії при виявленні патологічного цитологічного мазка шийки матки. Ключові слова: рак шийки матки, кольпоскопія, вірус папіломи людини, цервікальна інтраепітеліальна неоплазія.
Вірус папіломи людини (ВПЛ) є основною причиною раку шийки матки вже понад 25 років. Повідомляється, що приблизно 5,5-11% усіх видів раку шийки матки є ВПЛ-негативними, що можна пояснити як відсутністю асоціації із ВПЛ-інфекцією, так і хибнонегативними результатами тестування. ВПЛ-негативний рак шийки матки часто діагностується на занедбаній стадії й має поганий прогноз, тому ведення цих випадків потребує більшої уваги. Ключові слова: вірус папіломи людини, рак шийки матки, ВПЛ-негативний рак шийки матки, аденокарцинома шийки матки.
Латентная (ненасыщенная) железосвязывающая способность сыворотки крови (ЛЖСС, НЖСС, Unsaturated Iron Binding Capacity, UIBC)
Краткое описание исследования «Латентной железосвязывающей способности сыворотки крови»
Латентная (ненасыщенная) железосвязывающая способность (ЛЖСС) – показатель, использующийся для оценки метаболизма железа в организме.
Железо - необходимый элемент многих белков и ферментов, участвующих в ключевых процессах метаболизма, роста, пролиферации и регенерации клеток, транспорте кислорода к тканям, тканевом дыхании. В сыворотке крови железо находится в комплексе с транспортным белком – трансферрином. Трансферрин, связываясь с железом, предупреждает потенциальную токсичность свободного двухвалентного железа (перекисное окисление липидов, образование высоко реактивных кислородных радикалов, способных повреждать мембраны клеток, белки, нуклеиновые кислоты) и обеспечивает транспорт железа ко всем клеткам организма. У здоровых людей только около одной трети железосвязывающих участков трансферрина занято ионами железа, поэтому он обладает большой резервной железосвязывающей способностью (латентной железосвязывающей способностью).
Измерение этой способности сыворотки используют вместе со значениями концентрации железа (см тест № 48) для определения общей железосвязывающей способности, то есть максимальной концентрации железа, которую могут связать сывороточные белки.
При одновременном назначении тестов № 48 и № 49 расчет и выдача результата общей железосвязывающей способности (ОЖСС) производится автоматически, без дополнительной оплаты (если результат железа и/или ЛЖСС выходит за пределы измерительного диапазона – расчет ОЖСС невозможен).
С какой целью проводят исследование Латентной железосвязывающей способности сыворотки крови
Определение латентной способности белков сыворотки связывать дополнительное количество железа используют в диагностике железодефицитной анемии и связанных с ними расстройств.
При каких состояниях изменяется Латентная железосвязывающая способность сыворотки крови
Железосвязывающая способность сыворотки крови изменяется при нарушениях метаболизма железа. При железодефицитной анемии значения латентной железосвязывающей способности (как и ОЖСС, и трансферрина) увеличиваются.
Низкие значения сывороточного железа, сочетающиеся с низкими значениями латентной железосвязывающей способностью сыворотки крови, могут наблюдаться при анемии, связанной с хроническими заболеваниями, злокачественными опухолями, инфекциями (для дифференциальной диагностики характера анемии в этих случаях важно определение ферритина, см. тест № 51).
Определение латентной железосвязывающей способности сыворотки крови применяют в тех же диагностических ситуациях, что и исследование содержания сывороточного трансферрина и процента его насыщения железом (см. тест № 50).
Правила подготовки к исследованию крови на Латентную железосвязывающую способность
В каких случаях проводят анализ сыворотки крови на Латентную железосвязывающую способность:
- контроль диеты с дефицитом железа (молочно-растительной);
- дифференциальная диагностика анемий;
- патология желудочно-кишечного тракта, угрожающая развитием анемии;
- потери железа (кровопотери);
- системные заболевания соединительной ткани, тяжелые хронические заболевания.
Интерпретация результатов исследований содержит информацию для лечащего врача и не является диагнозом. Информацию из этого раздела нельзя использовать для самодиагностики и самолечения. Точный диагноз ставит врач, используя как результаты данного обследования, так и нужную информацию из других источников: анамнеза, результатов других обследований и т.д.
Читайте также:
