Томография средостения. Бронхография при патологии органов средостения
Добавил пользователь Владимир З. Обновлено: 07.01.2026
Компьютерная томография – это вид рентгенологического обследования, который позволяет получить трехмерное изображение исследуемого органа. В процессе используется ионизирующее излучение заданной частоты.
Специальное оборудование – томограф – делает послойные снимки, которые затем превращаются в 3D-изображение. Он состоит из движущегося стола, кольца и датчиков. Чаще всего используются томографы закрытого типа.
КТ – это безболезненный метод исследования, который не требует механического воздействия (не делаются разрезы, не вводятся эндоскопические аппараты).
Что такое бронхоскопия
Бронхоскопия – это альтернатива КТ при исследовании бронхов и легких. Такой тип обследования предполагает введение в дыхательные пути эндоскопа. Он оснащен камерой, устройством для впрыскивания лекарства и забора биопсического материала. При данной процедуре может использоваться наркоз.
Получаемое в процессе обследования изображение сразу же передается на монитор, при помощи которого врач наблюдает за ходом процедуры. Благодаря этому можно увидеть цветовую гамму стенок бронхов, что бывает важно при постановке диагноза некоторых заболеваний.
Как проходят бронхоскопия и КТ
Во время проведения компьютерной томографии совершаются следующие действия:
- Пациента укладывают на специальный стол и фиксируют его ремнями (конечности) и подушками (голову), чтобы избежать движения во время процедуры.
- Затем его задвигают внутрь аппарата
- При помощи подвижных датчиков происходит сканирование необходимых органов в разных плоскостях
- Спустя 30-60 минут аппарат отключают, а пациент может встать и получить результаты анализа в виде 3D-снимков
Механизм бронхоскопии отличается. При этом исследовании проводятся такие манипуляции:
- Пациента размещают на кушетке и, при необходимости, могут ввести местный наркоз, чтобы избежать болезненности
- Бронхоскоп (вид эндоскопа) вводят в дыхательные пути
- Камера передает изображение на монитор
- Если необходимо, врач проводит впрыскивание лекарства в очаги заболевания или забор тканей на анализ
- Через час или два прибор вынимают, и пациент получает запись операции
Показания и противопоказания КТ и бронхоскопии
Оба исследования позволяют определить наличие следующих проблем:
- Нарушения дыхания
- Кровоотделение из легких или дыхательных путей
- Пневмония
- Скопление жидкости или гноя в легких
- Определение причин возникновения астмы
- Вероятность наличия новообразования или полипов
- Наличие инородного тела
Также они используются для контроля состояния органов дыхания перед или после операции.
При схожести исследуемых областей из-за различного характера данных типов анализа противопоказания к ним различаются. Но именно благодаря этому бронхоскопия становится альтернативой КТ.
Противопоказаниями к проведению компьютерной томографии являются:
- Беременность – ввиду влияния рентгеновского излучения на развитие плода и вероятность возникновения патологий
- Чрезмерный вес – у томографов есть ограничения на массу и размеры тела пациента
- Клаустрофобия – такие пациенты не смогут выдержать процедуру в трубе томографа, но в данном случае можно использовать аппарат открытого типа
Противопоказания к процедуре в случае необходимости использования контраста:
- Аллергия на йод и его соединения – так как контрастное вещество содержит его большое количество
- Ряд болезней почек и печени, сахарный диабет – из-за того, что контраст будет выводиться из организма слишком медленно, может наступить отравление
С осторожностью и по строгим показаниям применяют КТ для обследования кормящих матерей и детей до 14 лет.
Бронхоскопию же нельзя проводить в следующих случаях:
- Если у пациента астма или ряд иных дыхательных заболеваний
- Сердечно-сосудистые недуги
- Наличие дыхательной недостаточности
- Гортань или трахея чрезмерно сужены
- Возраст до 14 лет
- У больного зафиксированы нарушения психики
- Аллергия на препараты для наркоза, без которых процедуру нельзя проводить
- Если пациент ослаблен серьезным заболеванием
Данный вид обследования может проводиться с местным наркозом, так как пациент должен быть неподвижен. В противном случае может произойти спазм гортани, могут повредиться ткани органов, и сама процедура болезненна и дискомфортна для больного.
Бронхоскопия или КТ – что лучше?
В каждом конкретном случае решать, применение какого метода наиболее оптимально, должен врач.
Когда назначают компьютерную томографию:
- Если организм пациента ослаблен, или он страдает сложными проблемами с дыханием
- В случае противопоказаний к бронхоскопии, когда нельзя применять наркоз, поскольку он оказывает серьезное влияние на организм
- Когда необходимо детальное изображение исследуемого органа в 3D, а также нужна не инвазивность и безболезненность
Если нужно диагностировать наличие рака дыхательных органов, чаще всего используется виртуальная бронхоскопия или МРТ бронхов. От стандартного КТ оно отличается типом используемого излучения (электромагнитные волны) и другим представлением итогового изображения.
Томография средостения. Бронхография при патологии органов средостения
Томография средостения. Бронхография при патологии органов средостения
В ряде случаев томография позволяет установить наличие в средостении лимфатических узлов, пораженных метастатическим процессом. Мы не можем согласиться с Е. Л. Кевешем, который считает, что на томограммах распознаются самые незначительные увеличения лимфатических узлов средостения. Опыт Института рентгенологии и радиологии и, в частности, наблюдения В. А. Анкудинова показывают, что нередко на томограммах не выявляются и довольно крупные лимфатические узлы, которые затем обнаруживаются во время операции. Это обусловлено уже отмеченными выше неблагоприятными условиями естественной контрастности между органами средостения в их рентгенологическом отображении. С помощью томографии нам удалось дополнительно выявить наличие увеличенных лимфатических узлов только у одного больного из 29 исследованных этим методом. Следует подчеркнуть, что увеличенные лимфатические узлы в средостении лучше определяются на томограммах в боковой проекции.
В дифференциальной диагностике опухолей и кист средостения, как известно, большое значение имеет выявление изменений в соседних органах, вызванных патологическим процессом. Почти все дополнительные рентгенологические методы исследования — жесткие снимки с передержкой, томография, исследование пищевода, бронхография, кимография, снимки скелета и т. д.— применяются для этих целей.
Как показывают наши наблюдения, для определения состояния трахеи, бифуркации и главных бронхов в большинстве случаев бывает достаточным применение жестких снимков с передержкой. На таких рентгенограммах достаточно ясно выявляется трахеобронхиальное дерево в пределах средостения и его отношение к патологическому образованию. В то же время более сложное томографическое исследование лишь в отдельных случаях позволяет установить больше данных, чем жесткие снимки с передержкой, хотя, несомненно, что трахея и главные бронхи более четко отображаются на томограммах.

Другим методом исследования трахеобронхиального дерева при медиастинальных процессах является бронхография. Сопоставление бронхографии с методикой жестких снимков с передержкой и послойным исследованием при опухолях и кистах средостения показывает, что бронхография, как правило, имеет малое значение для диагностики указанных заболеваний. Это находит свое подтверждение и в литературе (В. М. Бенцианова, Б. И. Брюм и др.).
Бронхографию мы применяем лишь в отдельных случаях, когда необходимо выявить состояние долевых и сегментарных бронхов (обычно при подозрении на бронхогенный рак), которые на снимках с передержкой и томограммах обычно не выявляются. В этих случаях значение бронхографии бесспорно. В подавляющем же большинстве случаев жесткие снимки с передержкой и послойное исследование вполне обеспечивают хорошую видимость трахеи и главных бронхов. К тому же бронхография более тягостна для больного.
- Вернуться в оглавление раздела "Лучевая медицина"
Информация на сайте подлежит консультации лечащим врачом и не заменяет очной консультации с ним.
См. подробнее в пользовательском соглашении.
Лучевая диагностика заболеваний воздухопроводящих путей
- Я с удовольствием предоставляю слово Ирине Александровне Соколиной для продолжения нашего разговора о патологии бронхов. Пожалуйста, Ирина Александровна, вам слово.
Ирина Александровна Соколина, кандидат медицинских наук:
Методом лучевой диагностики бронхиального дерева традиционно считается обычная рентгенография, линейная, при которой мы можем выявить такие изменения как изменение легочного рисунка, наличие признаков, указывающих на бронхоэктазы.
Для уточнения тех или иных изменений, которые выявляются при обычном бронхиологическом исследовании, возможно использование линейной томографии, которая позволяет детализировать характер патологических изменений. Длительное время для оценки бронхоэктазов использовалось бронхография.
В настоящее время, как вы уже видели, акцент в изменении легких все больше и больше смещается на применение компьютерной томографии (КТ), в выявлении дифференциальной диагностики патологических изменений в легких и в бронхиальном дереве.
Показаниями к компьютерно-томографическому изучению бронхиального дерева являются:
- кровохарканье неясной этиологии;
- больные с метастазами в головной мозг и надпочечники. Часто бронхиальные аденокарциномы, которые локализуются в бронхах, могут метастазировать в головной мозг.
- ателектазы, выявляемые при рентгенографии органов грудной полости:
- пациенты с затяжной пневмонией;
- пациенты с патологическими образованиями корня легкого;
- воспалительные заболевания бронхов (бронхоэктазы, бронхиолиты).
При КТ бронхи очень хорошо визуализируются. Во-первых, можно оценить анатомическое строение, нет ли каких-то аномалий, пороков развития. Во-вторых, очень хорошо можно оценить состояние стенки, состояние просвета, окружающей паренхимы, выявить воспалительные, склеротические изменения и так далее.
В норме соотношение диаметра бронха к диаметру рядом расположенной артерии около 0,7. У высоких пациентов соотношение может быть равно 1. Когда больше 1, то такие изменения, расширение бронха расценивается как бронхоэктазы.
Здесь представлены компьютерно-томографические срезы на разных уровнях. Мы имеем возможность видеть просветы всех бронхов, оценить состояние их стенок и окружающей легочной паренхимы. Для того чтобы лучше оценить характер патологических изменений, возможно использование КТ высокого разрешения.
Очень хорошо дифференцируются утолщенные стенки, наличие содержимого в просвете бронхов (бронхиолоэктазы), состояние бронхиальной обструкции.
Об экспираторной КТ Игорь Евгеньевич уже говорил. Она заключается в выявлении «воздушных ловушек». С помощью исследований КТ на выдохе возможно выявить «воздушные ловушки», которые представляют собой локальное отсутствие изменений отсутствия плотности легочной ткани.
С помощью построения реконструкции во фронтальной, сегетальной плоскости можно выявить распространенность этих изменений в легочной ткани и в каждой из долей отдельно.
При обычном исследовании мы видим аксиальные срезы. Построение мультипланарных реформаций позволяет нам оценить в пространстве те или иные изменения.
Приведем пример мальчика 7-ми лет, который в течение 4-х лет наблюдался с рецидивирующим бронхообструктивным синдромом. При проведении КТ у него было выявлено инородное тело в просвете промежуточного бронха. Мы это хорошо видим в строении реконструкции во фронтальной плоскости. На мультисрезовых томографах за счет того, что возможно выполнить исследование тонкими срезами возможно выполнение виртуальной бронхоскопии.
Виртуальная эндоскопия. Пациент, который был на предыдущем слайде с инородным телом. Сейчас мы видим бифуркацию. Правый главный бронх отходит в верхний долевой бронх. В промежуточном бронхе структура представляет собой инородное тело.
Ко всему виртуальному надо и относиться соответствующим образом. Но применение виртуальной эндоскопии позволяет изучать поперечное сечение трахеи достаточно крупных бронхов диаметром более 2-х мм. Используется при стенозах, при каких-то органических поражениях. Позволяет предварительно в сложных случаях (как, например, у данного пациента) с эндоскопистом решить возможность лечебных мероприятий.
Объемные преобразования поверхностей позволяют получать истинно трехмерные изображения изучаемого объекта в любой плоскости. Это применяется в отношении патологии бронхов. Здесь приведем пример трахеобронхомегалии и многочисленных дивертикул трахеи.
Программа «проекции минимальной интенсивности» позволяет исследовать патологические процессы в бронхах и трахее. Мы видим воспалительные изменения в прикорневой области в верхней доле левого легкого. Оценить вовлеченность бронхов в этот патологический процесс.
Если говорить об основных рентгенологических признаках, которые включают и компьютерно-томографические патологии воздухопроводящих путей, то их можно разделить на три составляющих.
1. Патологические изменения бронхов (бронхит):
- сужение или расширение просвета;
- деформация просвета бронхов;
- изменение воздушности просветов.
2. Нарушение воздушности вентилируемых отделов легких:
- гиперинфляция, обусловленная бронхиальной обструкцией;
Это основные рентгенологические признаки.
Рентгенологическими признаками хронического бронхита являются изменения легочного рисунка. Его усиление и деформация. Утолщение стенок бронхов, что проявляется симптомами «трамвайных рельсов». В половине случаев при хроническом бронхите рентгенологическая картина может быть нормальной.
При КТ признаками хронического бронхита является утолщение стенок бронхов за счет воспаления фиброза. В норме стенки бронхов достаточно тонкие. Деформация наружных контуров бронхов, которая может быть обусловлена как отеком перебронхиального интерстиция, так и воспалительными изменениями.
Перебронхиальный фиброз приводит к различной степени деформации наружных контуров. Утолщение стенок приводит к сужению просветов бронхов. За счет нарушения бронхиальной проходимости все это может вызывать неравномерную воздушность легочной ткани в зоне патологических изменений.
Приведены примеры. Мы видим, как утолщена стенка бронхов на правом слайде. Завуалирован просвет бронхов в средней доле правого легкого, утолщены стенки, имеется содержимое в просвете бронхов.
Бронхоэктазы представляют собой локальное необратимое расширение стенки бронха. Рентгенологически проявляются выраженной сетчатой ячеистой деформацией легочного рисунка.
КТ является золотым стандартом выявления бронхоэктазов. Это неинвазивный метод. Она обладает очень высокой чувствительностью выявления и специфичностью. Практически около 100%.
Основными признаками бронхоэктазов являются расширения просвета бронха больше 1 относительно диаметра рядом находящейся артерии. Это отсутствие нормального уменьшения диаметра бронхов по направлению к периферии. Видимость просвета бронхов в кортикальных отделах легких.
Приведена бронхоэктатическая деформация одного из сегментарных бронхов.
КТ позволяет не только выявить бронхоэктазы, но и различить их по видам. Различают цилиндрические бронхоэктазы, которые представляют собой цилиндрическое расширение просвета бронха. Чаще всего это поствоспалительные бронхоэктазы в исходе воспалительных процессов.
Они имеют очень характерный симптом при компьютерно-томографическом исследовании – симптом кольца перстня с камнем или кольца с камнем. Кольцо (мы видим в нижней доле левого легкого) представляет собой расширенный просвет бронхов с достаточно толстыми стенками. Камешек – это рядом располагающаяся артерия.
Цилиндрические бронхоэктазы в основном формируются в исходе воспалительных процессов. Варикозные (веретенообразные) бронхоэктазы представляют собой неравномерные варикозно-расширенные просветы бронхов, которые часто могут заканчиваться кистовидными расширениями.
Чаще всего такие бронхоэктазы мы наблюдаем при аномалиях бронхиального дерева и при кистозном фиброзе. При патологических процессах, которые сопровождаются нарушением дренажной функции бронхов. Там формируются веретенообразные бронхоэктазы.
Мы можем хорошо оценить по КТ состояния, есть ли воспаления, то есть активность процесса. Либо это уже явления фиброза.
Мешотчатые бронхоэктазы характерны для бронхоэктатической болезни. Чаще это врожденные мешотчатые бронхокистовидные бронхоэктазы. При КТ мы видим мешотчатообразные структуры, которые могут содержать в себе горизонтальный уровень, различная степень заполнения содержимым может быть. Это свидетельствует о воспалении.
Таким образом, КТ позволяет не только лучше выявить бронхоэктазы, различить их по видам, но и оценить степень активности.
О бронхиальной обструкции очень подробно сегодня было рассказано. Она представляет собой неравномерную воздушность легочной паренхимы за счет вздутия вторичных долек и олигемии, без явных признаков деструкции.
Приведена плотность легочной паренхимы в различных отделах. Мы видим, что она не совсем равномерная.
Если говорить о клиническом значении и о применении КТ в диагностике изменений воздухопроводящих путей, то следует начать с аномалий и пороков развития бронхов. Это состояние, которое закладывается еще внутриутробно. Как правило, врожденное состояние. Но выявляется уже где-то на второй-третьей декаде жизни, если мы говорим о бронхах.
Агенезия (аплазия) легкого – это достаточно редко встречающийся порок. Агенезия представляет собой отсутствие легкого вместе с главным бронхом. Аплазия – отсутствие легкого при наличии рудиментарного главного бронха.
Клиническая картина заключается в повторных пневмониях, бронхитах, продуктивном кашле, одышке, отставании в физическом развитии. При осмотре мы можем выявить деформацию грудной клетки в виде западания или уплощения на стороне порока, поскольку отсутствует легкое.
При бронхоскопии выявляется отсутствие или рудимент главного бронха.
Характерная рентгенологическая картина при агенезии бронхов. Признаком является уменьшение объема грудной клетки на стороне поражения за счет отсутствия легкого. Сужение межреберных промежутков. Интенсивное однородное затенение на стороне порока. Он проявляется синдромом тотального затенения легкого на стороне порока.
Мы видим смещение средостения в эту сторону. Контуры диафрагмы и сердца не дифференцируются на этом фоне. Возможно пролабирование увеличенного единственного легкого через средостение – «легочная грыжа».
Приведен пример аплазии левого легкого в сочетании с сепарацией правого верхушечного бронха. Одно только правое легкое, которое значительно увеличено в размерах, пролабирует через переднее и заднее средостение, охватывая его. Мы видим только присутствие левого главного бронха и культю левого главного бронха. Полное отсутствие его долевых и сегментарных ветвей.
Сепарация правого верхушечного бронха. Правый главный бронх делится на передний и задний сегменты. Верхушечный отходит от трахеи.
Агенезия доли легкого не имеет клинического значения, так как гемиторакс заполняется увеличенной в размерах и нормально развитой долей (долями), которая функционально мало отличается от нормального легкого.
Но рентгенологически каким образом можно заподозрить этот порок. Вообще отсутствие чего-то можно заподозрить по смещению корня легкого, диафрагмы средостения.
Пациентка с агенезией верхней доли правого легкого. Смещение к верху корня. Правое легкое находится практически на одном уровне с левым, а должен находиться ниже, на межреберье. Незначительное смещение средостения. Трахея смещена вправо. Повышение воздушности верхних отделов правого легкого.
Аплазия доли легкого – это еще более редко встречающаяся аномалия. Развивается слепо заканчивающийся долевой бронх, который имеет продолжение в виде двух разветвлений. В культе недоразвитого бронха очень часто развивается хронический воспалительный процесс. Формируются кистовидные бронхоэктазы с наличием горизонтальных уровней.
Клиническая картина этого порока имеет сходство с бронхоэктатической болезнью.
Гипоплазия легкого представляет собой равномерное недоразвитие органа с редукцией бронхиального дерева. Клинически проявляется кашлем с мокротой, умеренной одышкой при физической нагрузке. Возможно, кровохарканьем.
При бронхоскопии возможно выявление нормальной или воспаленной слизистой оболочки бронхов. Наличие секрета в бронхах, смещение трахеи в сторону поражения.
При обычном рентгенологическом исследовании выявляется уменьшение объемов грудной клетки на стороне порока, сужение межреберей. Высокое стояние диафрагмы. Смещение органов средостения в сторону порока и ячеистая деформация легочного рисунка либо его обеднение на стороне недоразвитого легкого.
Показана гипоплазия левого легкого у ребенка. Здесь мы не видим культи главного бронха, как в случае аплазии. Здесь все-таки имеется деление главного бронха на долевые, сегментарные. Но имеется недоразвитие легочной ткани и формирование мешотчатых бронхоэктазов.
В то же время компенсаторное повышение воздушности правого легкого с формированием передней диастинальной грыжи.
Трахеобронхомегалия – порок развития, который характеризуется расширением трахеи и крупных бронхов вследствие врожденного недоразвития эластических и мышечных волокон, их стенок. Этот порок был описан в 1932-м году. Еще известен под названием синдрома P. Mounier-Khun.
Патогенетически, учитывая, что такие широкие бронхи, широкая трахея, происходит нарушение дренажно-очистительной функции и развитие постоянного рецидивирующего бронхиального дерева, развития бронхоэктазов.
Клинически проявляется характерным грубым «вибрирующим» кашлем, длительным отхаркиванием, рецидивирующей бронхолегочной инфекцией. Постепенно происходит развитие дыхательной недостаточности.
При бронхоскопии выявляют расширенный просвет трахеи и бронхов и слабость стенок бронхов. В плане диагностики возможно применение рентгенографии, КТ, бронхоскопии.
Пример. Пациент 43-х лет. С раннего детства – рецидивирующие гнойные бронхиты. В 25 лет ему был поставлен диагноз: Бронхоэктатическая болезнь. Бронхография ни разу не проводилась.
Что обращает на себя внимание уже при обычном рентгенологическом исследовании. Это резкое расширение трахеи. В норме поперечник должен составлять где-то 18 мм. Но у крупных людей он не превышает 22-х. Здесь мы видим значительное расширение трахеи и выраженную деформацию легочного рисунка в средних и нижних отделах с формированием кистовидных структур с горизонтальным уровнем.
Проведение КТ. Значительное расширение просвета трахеи, главных и долевых бронхов и формирование бронхоэктазов.
Синдром Вильямса Кемпбелла – это порок развития, который характеризуется полным отсутствием и недостаточным развитием хрящей бронхов от второго до 6-8 порядков, который проявляется генерализованными бронхоэктазами.
Этот порок был описан в 1860-м году. В основе лежит гипоплазия и полное отсутствие хрящей бронхов, которое приводит к экспираторному коллапсу бронхов среднего калибра. Вследствие этого нарушается дренажно-очистительная функция легких. Это все приводит к развитию гнойного эндобронхита и формированию бронхоэктазов.
Клиническая картина проявляется вентиляционными нарушениями и постоянными рецидивирующими бронхо-легочными инфекциями. При бронхоскопии выявляют катаральный и гнойный эндобронхит, дискенезию бронхиальных стенок.
Пример пациентки, которая около 3-х лет наблюдалась в туберкулезном диспансере с диагнозом: Очаговый туберкулез (то в стадии ремиссии, то обострение). В верхних отделах легких с обеих сторон на уровне второго заднего сегмента очагово-подобные уплотнения легочной ткани.
Хотя при линейной томографии очень хорошо видно (особенно слева), что они имеют вид линейных и ветвящихся структур.
При КТ мы очень хорошо видим, что причиной этих состояний являются двусторонние расширенные бронхи с наличием внутри бронхов содержимого, уплотнения, утолщения стенок бронхов. Двусторонний процесс, который при бронхологическом исследовании и при биопсии был верифицирован как синдром Вильямса Кемпбелла.
При мультипланарной реконструкции мы очень хорошо видим распространенность этих изменений.
При обострении бронхи заполнялись, имели вид очагово-подобных уплотнений при рентгенологическом исследовании. В фазе ремиссии вроде все проходило.
Солитарная киста представляет собой порок развития одного из мелких бронхов. Рентгенологическая картина зависит от состояния. До прорыва бронх это может быть округлая тень с четкими контурами. После прорыва бронх – круглая тонкостенная полость с горизонтальным уровнем жидкости.
Синдром Зиверта Картагенера представляет собой триаду симптомов. Это бронхоэктазия с хроническим бронхитом, рецидивирующей пневмонией и бронхореей. Хронические синуситы с назальным полипозом и ринореей. Situs viscerum inversus totalis/partialis.
Клинический пример. Пациентка 43-х лет. В 1979-м году, когда ей было 10 лет, у нее определили декстра позицию сердца. Затем постепенно в течение жизни, начиная с 10-ти лет, постоянно беспокоил кашель. Нарастала гнойная мокрота в течение жизни, одышка на 4-м десятке и постоянно рецидивирующая пневмония.
В 1993-м году у нее были заподозрены бронхоэктазы. Бронхография не проводилась. К нам в клинику она поступила в 2002-м году. Она замужем, но детей нет. У нее никогда не было беременности. Было поставлено бесплодие.
При рентгенологическом исследовании органов грудной клетки мы видим обратное расположение сердца (декстракардию).
При УЗИ потом было выявлено и обратное расположение всех органов. Изменение нижней доли правого легкого в виде ячеистой деформации легочного рисунка.
При КТ очень хорошо определялось, что правое легкое двухдолевое по расположению между левых щелей. Левое легкое трехдолевое, потому что мы видим и добавочную и главную междолевую щель. При КТ мы видим объемные уменьшения нижней доли с наличием многочисленных бронхоэктазов и в нижней доле, и в средней доле, и в левом легком – мешотчатых варикозных бронхоэктазов.
Были выявлены признаки полипозного синусита околоносовых пазух. Таким образом, у нас имеется триада. На основании этого пациентке был поставлен диагноз: Синдром Зиверта Картагенера. После лечения бронхоскопия, санационная бронхоскопия – достаточно хорошая, положительная динамика.
Имеются пороки развития бронхов, которые хорошо выявляются при КТ исследовании. Но могут быть еще различные варианты ветвления бронхиального дерева, что представляет собой трахеальный бронх, прежде всего. Он чаще встречается по правой стенке и располагается на 2 см выше карины.
В большинстве случаев никаких патологических изменений не выявляется. Выявляется, как правило, случайно при проведении КТ и бронхографии.
Трахеальный бронх – это собирательное понятие, потому что существует несколько вариантов его отхождения, когда верхушечный бронх отходит от трахеи (сепарация). Собственный трахеальный бронх, когда верхние долевые бронхи имеют нормальное количество.
Наиболее клинически значимая – это транспозиция верхнего долевого бронха. Когда весь верхний долевой бронх с сегментарными ветвями отходит от трахеи, это может иметь определенное значение при оказании анестезиологического пособия. Инкубационная трубка будет располагаться ниже.
Сепарация трахеального бронха.
У нас очень много осталось материала. Я думаю, что мы в следующий раз продолжим. Сейчас мы остановились в основном на аномалиях бронхиального дерева. С помощью КТ это хорошо выявляется. Очень длительно пациенты наблюдаются с другими диагнозами.
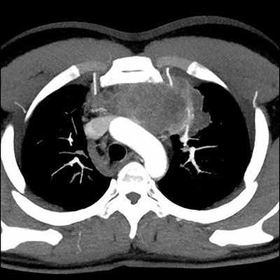
КТ средостения
Компьютерная томография средостения — это рентгенологическое исследование мягких тканей в области грудной клетки при помощи томографа. Процедура позволяет сделать четкие снимки исследуемой зоны и создавать трехмерную модель органов.
Что показывает КТ средостения
Компьютерная томография дает подробную информацию о состоянии всех тканей, костей и органов в грудной области. Чувствительная методика позволяет определить наличие заболеваний на любом этапе их развития, в том числе и на запущенных стадиях. Особенно полезна процедура в случаях, когда есть подозрение на наличие опухолейлегких, рака костей или туберкулеза, а также других опасных болезней органов грудной клетки.
Показания к КТ средостения

В основном томография средостения назначается для выявления патологии или уточнения поставленного диагноза.
- саркоидоз, лимфогранулематоз и другие системные заболевания;
- патологии бронх;
- туберкулез и другие подобные инфекции;
- злокачественные новообразования;
- исследование на наличие метастазов;
- патологии диафрагмы;
- безосновательное увеличение лимфоузлов;
- киста или абсцесс легких;
- заболевания молочной железы;
- проверка диагноза тромбоэмболии;
- болезни сосудов.
Противопоказания
На любом сроке беременности проводить исследование не рекомендуется. Также проведение КТ не допускается, если пациент весит более 130 кг — именно такую нагрузку выдерживает томограф Brilliance CT 16, который используется в нашей клинике. Кроме того, при процедуре, проводимой с контрастом, противопоказаниями может быть:
- индивидуальная непереносимость компонентов контраста, за которой может последовать непредсказуемая аллергическая реакция;
- кормление грудью по причине того, что контраст может попасть в молоко:
- почечная недостаточность, из-за которой выведение вредных веществ из организма замедляется.
Подготовка к КТ
Процедура не требует специальной подготовки, но должна выполняться на голодный желудок. Пациенту желательно подготовить перед обследованием для врача все документы, связанные с диагнозом: результаты предыдущих исследований (например, заключение о проведенной рентгенографии легких) и лабораторных анализов, а также направление на проведение компьютерной томографии.
Где сделать КТ средостения
Томография средостения выполняется специалистами нашей клиники. Используется высокоточный сканер Brilliance CT 16 разработки Philips Medical System.
На этот вид диагностики у нас самая доступная цена в Москве! За эту сумму вы получаете качественное обследование на аппарате высочайшего международного класса, с описанием от врача имеющего опыт от 7 лет. Услужливый персонал окружит Вас заботой и вниманием. Мы находимся в самом центре Москвы, в 1 минуте ходьбы от метро!
Как до нас добраться:
Зеленым цветом обозначен проезд на автотранспорте к месту парковки у нашего Диагностического центра.
Красными пунктирными точками - обозначен пешеходный путь от ст. метро Китай-Город, выход № 6. Идти до Клиники Здоровья 1 минуту, главное не пропустите вход в арку дома, она через 20 метров от выхода из метро. Во дворе этого дома вход в наш Диагностический центр Клиника Здоровья.

Методика проведения
Исследование занимает от 10 до 30 минут. Результаты специалист подготовит в течение часа. Во время ожидания пациент может выпить чай или кофе, посмотреть телевизор. Можно заказать отправку снимка на электронную почту и не ждать результатов в клинике.
Что необходимо иметь с собой на диагностике
С собой необходимо взять паспорт и направление на процедуру, если оно есть.
Как часто можно делать КТ
Точная допустимая периодичность проведения исследования устанавливается лечащим врачом в индивидуальном порядке. Оптимальный промежуток между процедурами обычно составляет от 6 до 12 месяцев. Иногда превышение допустимой нормы рентгеновского излучения может быть оправданным и при необходимости КТ может проводиться в срочном порядке, но не ранее, чем через 2 недели после предыдущего исследования.
Отличие КТ от рентгена

Главная отличительная особенность компьютерной томографии от стандартной рентгенографии — повышенная информативность снимка. Разница между разрешающей способностью КТ и стандартного рентгена ощутима: КТ позволяет специалисту узнать в 9-10 раз больше информации. Кроме того, компьютерная томографии предполагает значительное снижение радиологической нагрузки на организм пациента.
Цена КТ средостения
Мы стремимся сделать медицину доступнее и оказываем профессиональную врачебную помощь недорого. Стоимость компьютерной томографии средостения в нашей клинике ниже среднерыночной в столице: согласно нашей политике ценообразования, поддерживается самая низкая актуальная цена по всем учреждениям в Москве.
Специальные цены действуют для пациентов, обратившихся в клинику самостоятельно - не через порталы по поиску врачей и диагностики.
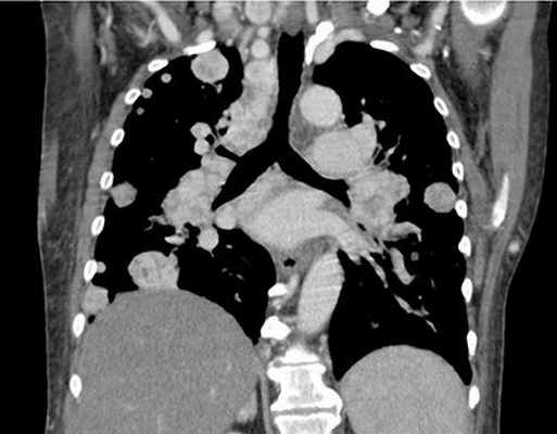
КТ органов грудной клетки (воспалительные заболевания, опухоли верхних и нижних дыхательных путей на самой ранней стадии заболевания, травмы: повреждения бронхов, травмы грудной клетки)
КТ органов грудной клетки — информативный вид диагностики заболевания сердца, легких, органов средостения, пищевода, лимфатических узлов, мягких тканей. В 40 % случаев КТ позволяет получить информацию, которая обычным рентгенологическим методам не доступна.
Сделать КТ органов грудной клетки необходимо:
- при острых и хронических воспалительных заболеваниях легких
- при длительно или атипично протекающих воспалительных процессах в легких
- для дифференциальной диагностики очаговых образований, выявленных на рентгенограмме/ флюрограмме
- для диагностики интерстициальных поражений легких (при саркоидозе, силикозе, других хронических обстуктивных болезнях легких (ХОБЛ))
- для диагностики аневризм грудного отдела аорты
- для диагностики тромбоэмболии легочных сосудов, при легочной гипертензии
- при опухолевых заболеваниях органов грудной клетки (средостения, легких, плевры, пищевода) для оценки распространенности патологического процесса и с целью контроля после проведенного лечения
- при подозрении на рецидив опухоли после перенесенной пульмонэктомии (удаления легкого)
- с целью оценки состояния легких и средостения у больных с массивным плевральным выпотом
- для выявления скрытого метастазирования в легкие и плевру при наличии у больного злокачественной опухоли другой локализации (гипернефроидный рак, рак яичка, рак молочной железы, остеосаркома, рак щитовидной железы, рак прямой кишки и др.)
- с целью оценки распространенности опухолей молочной железы на соседние структуры (грудина, ребра) и лимфатические узлы
- для оценки поражения внутригрудных лимфатических узлов при лимфопролиферативных заболеваниях
- при травматических повреждениях органов грудной полости
КТ органов грудной клетки сначала выполняется без введения контрастного вещества. Для лучшего результата, с целью уточнения выявленных патологических изменений исследование далее может выполняться с внутривенным болюсным контрастированием. Контрастирование помогает лучше исследовать сосудистую систему и детально изучить все выявленные патологические изменения.
Для безопасного проведения исследования с контрастированием необходимо иметь на руках результаты биохимического анализа крови с указанием значений креатинина сыворотки. Нормальные значения данного показателя говорят об удовлетворительной функции почек, что особенно важно для полного и своевременного выведения контрастного вещества из организма человека.
Противопоказания к КТ органов грудной клетки:
- беременность на любом сроке
- аллергическая реакция у пациентов на контрастный йодсодержащий препарат, гипертиреоз
- сахарный диабет в стадии декомпенсации, почечная недостаточность
Подготовки к выполнению КТ органов грудной клетки не требуется. КТ органов грудной клетки абсолютно безболезненно, проводится быстро. Использование процессов постобработки изображений, имеющихся в арсенале томографа, позволяет значительно снизить лучевую нагрузку при исследовании.
Читайте также:
