Тонкокишечная непроходимость - диагностика
Добавил пользователь Евгений Кузнецов Обновлено: 07.01.2026
Информацию из данного раздела нельзя использовать для самодиагностики и самолечения. В случае боли или иного обострения заболевания диагностические исследования должен назначать только лечащий врач. Для постановки диагноза и правильного назначения лечения следует обращаться к Вашему лечащему врачу.
Кишечная непроходимость: причины появления, при каких заболеваниях возникает, диагностика и способы лечения.
Определение
Кишечная непроходимость – клинический симптомокомплекс, характеризующийся прекращением или нарушением прохождения содержимого по кишечнику. Кишечную непроходимость описывали еще Гиппократ и Гален. Причиной ее, по мнению древних ученых, «служила обильная, неумеренная еда и питье, охлаждение живота, толчки живота».
Согласно Международной классификации болезней 10-го пересмотра, кишечная непроходимость чаще становится осложнением других самостоятельных нозологических единиц. Клинические проявления кишечной непроходимости включают схваткообразную боль, рвоту, вздутие живота, жажду, сухость во рту, задержку стула и отхождения газов.

Непроходимость кишечника может привести к обезвоживанию, дисбалансу электролитов, отмиранию тканей кишечника (некрозу), абсцессу в брюшной полости, почечной недостаточности, перфорации кишечника, легочной аспирации, сепсису – потенциально смертельной инфекции крови.
Разновидности кишечной непроходимости
По механизму развития выделяют три вида кишечной непроходимости:
1. Функциональная (динамическая) непроходимость – нарушение моторной функции кишечника без механических препятствий и органических поражений кишечной стенки:
- спастическая форма обусловлена стойким спазмом кишечной стенки:
- при функциональных и органических поражениях центральной нервной системы (неврастении, истерии, спинной сухотке);
- при заболеваниях кишечника (дизентерии, тифе);
- при раздражении кишечника в результате травм, гематом, нагноительных процессов и др.;
- при отравлениях тяжелыми металлами (свинцом), эндогенных и экзогенных интоксикациях;
- при наличии в кишечнике инородных тел (мелких каловых камней, глистной инвазии);
- при почечной и печеночной колике;
- при переедании;
- при воспалительных внутрибрюшных осложнениях (при перитоните, неспецифическом язвенном колите и т.д.);
- при опухолевых процессах в забрюшинном пространстве;
- при тяжелых внебрюшных заболеваниях (при инфаркте миокарда, пневмонии, сахарном диабете, почечной колике, повреждении спинного мозга, тяжелых нарушениях мозгового кровообращения, тяжелых черепно-мозговых травмах);
- при электролитных нарушениях (нарушениях обмена K, Na, Cl и Mg);
- при передозировке лекарственных средств (опиоидов, холинолитиков, психотропных, антигистаминных препаратов) либо при нарушениях кровоснабжения кишечника.
- обтурационная непроходимость кишки, как правило, развивается на фоне симптомов основного заболевания, но может быть и первым манифестирующим признаком:
- интраорганная – инородные тела, паразиты, безоары (конкременты из непереваренных частичек волос, растительных волокон и др.), желчные камни, синдром Бувере);
- интрамуральная (опухоли, воспалительные и рубцовые изменения стенки кишки — болезнь Крона, туберкулез, гематомы);
- экстраорганная – сдавление объемными образованиями брюшной полости, артериальные компрессии, ангуляции (перегибы кишки);
Лечебно-диагностическая тактика во многом связана с локализацией препятствия в кишечнике, поэтому кишечную непроходимость по уровню обструкции подразделяют на высокую (тонкокишечную, включая уровень двенадцатиперстной кишки) и низкую (толстокишечную). Обструкция может быть частичной и полной.
![Обструкция кишечника.jpg]()
По происхождению выделяют врожденную (пороки развития — атрезии, неполный поворот кишечной трубки) и приобретенную непроходимость.
По клиническому течению непроходимость может быть острой, подострой и хронической (проявляется замедлением пассажа по кишечнику).
Кроме того, в динамике развития болезни различают три фазы (стадии):
- 1-я стадия — нервно-рефлекторная (болевая, острое нарушение пассажа);
- 2-я стадия — компенсации или органических изменений (интоксикация, расстройство внутристеночной гемоциркуляции);
- 3-я стадия — терминальная (стадия перитонита).
В развитии кишечной непроходимости играют роль многие факторы. Их обычно разделяют на предрасполагающие и производящие.
Предрасполагающие факторы:
- врожденные аномалии развития — дефекты и слабые места диафрагмы, передней и задней брюшной стенки; долихосигма (увеличение длины сигмовидной кишки), неполный поворот кишечника, дополнительные складки брюшины, «карманы» брюшной полости, сосудистые мальформации;
- приобретенные факторы — спайки, рубцовые деформации, инородное тело, последствия воспалительных заболеваний в брюшной полости, например, аппендицита или дивертикулита.
Частой причиной непроходимости является хирургическое вмешательство на брюшной полости и лекарственные препараты, воздействующие на перистальтику кишечника.
К каким врачам обращаться при кишечной непроходимости
Консервативной терапией занимается врач-гастроэнтеролог .
При подозрении на острую кишечную непроходимость осмотр поводит хирург в условиях стационара, но не позднее одного часа от момента поступления. Могут потребоваться консультации смежных специалистов ( терапевта , гинеколога , уролога ).
Диагностика и обследования при кишечной непроходимости
Диагностические мероприятия начинаются с клинического обследования пациента: сбора анамнеза; осмотра, включающего пальпацию, перкуссию, аускультацию живота, ректальное обследование; определения частоты пульса, измерения артериального давления.
Как правило, назначают лабораторные исследования:
Синонимы: Общий анализ крови, ОАК. Full blood count, FBC, Complete blood count (CBC) with differential white blood cell count (CBC with diff), Hemogram. Краткое описание исследования Клинический анализ крови: общий.
Метод определения Определение физико-химических параметров выполняется на автоматическом анализаторе методом «сухой химии». Аппаратная микроскоп.
Материал для исследования Сыворотка или плазма крови. Если нет возможности центрифугировать пробу через 30 минут после взятия для отделения сыворотки/плазм.
Синонимы: Диамид угольной кислоты; Карбамид; Мочевина в крови; Азот мочевины. Urea nitrogen; Urea; Blood Urea Nitrogen (BUN); Urea; Plasma Urea. Краткая характеристика аналита Мочевина Моче�.
Синонимы: Анализ крови на креатинин; Сывороточный креатинин; Креатинин сыворотки, оценка СКФ. Сreat; Сre; Blood Creatinine; Serum Creatinine; Serum Creat. Краткая характеристика определя�.
Синонимы: Общий белок сыворотки крови; Общий сывороточный белок. Total Protein; Serum Тotal Protein; Total Serum Protein; TProt; ТР. Краткая характеристика определяемого вещества Общий бе�.
Синонимы: Диастаза; Сывороточная амилаза; Амилаза сыворотки. α-Amylase; AMY; AML; Diastase; 1;4-?-D-glucanohydralase; Serum amylase; Blood amylase. Краткая характеристика определяемого в�.
Синонимы: Эстераза; Стеапсин; Гидролаза эфиров глицерина. Lipase; LPS; Serum Lipase; Steapsin. Краткая характеристика определяемого вещества Липаза Фермент, катализирующ.
Синонимы: Анализ крови на электролиты; Электролиты в сыворотке крови. Electrolyte Panel; Serum electrolyte test; Sodium, Potassium, Chloride; Na/K/Cl. Краткая характеристика определяемых �.
Синонимы: Анализ крови на магний; Общий магний; Ионы магния. Serum Magnesium Test; Magnesium test; Magnesium, blood; Serum magnesium. Краткая характеристика определяемого аналита Магний .
- рентгенография или компьютерная томография органов брюшной полости с контрастом;
Рентгенологическое исследование, позволяющее обнаружить патологические изменения в брюшной полости, в том числе инородные тела и новообразования.
Исследование, позволяющее получить данные о состоянии органов брюшной полости (печень, желчный пузырь, селезенка, почки, поджелудочная железа), сосуды брюшной пол�.
Введение контрастного вещества осуществляется внутривенно.
Эндоскопическое исследование толстого кишечника для поиска участков патологии, проведения биопсии и удаления небольших полипов и опухолей.
- ультразвуковое исследование органов брюшной полости;
Сканирование внутренних органов брюшной полости для оценки его функционального состояния и наличия патологии.
Основная задача дифференциальной диагностики — отличить странгуляционную непроходимость, которая составляет до 40% всех случаев острой непроходимости, от других видов непроходимости.
Что делать при кишечной непроходимости
Если появляется сильная боль в животе и любой из симптомов кишечной непроходимости, человек должен немедленно обратиться к врачу или вызвать скорую помощь, поскольку непроходимость может иметь серьезные последствия.При подозрении на кишечную непроходимость необходима срочная госпитализация пациента в хирургическое отделение. До прибытия врача категорически запрещается принимать обезболивающие или слабительные препараты, делать промывание желудка и т.п.
Лечение кишечной непроходимости
Медикаментозное лечение. По возможности, прекращают или снижают дозы сильных опиоидных анальгетиков, которые могут вызвать запор и спазм кишечника. Назначают слабительные и размягчители стула, а также антидоты. Могут применяться лекарства от тошноты для предотвращения рвоты; антибиотики – для борьбы с бактериальной инфекцией.
Наблюдение. Скопление стула или нарушение проходимости тонкой кишки могут нуждаться в наблюдении в течение нескольких дней, поскольку имеют тенденцию проходить самостоятельно. В течение этого времени пациенты должны ограничить количество потребляемой пищи и выпиваемой жидкости, чтобы предотвратить дальнейшее накопление фекалий. Может быть назначено внутривенное введение физраствора и электролитов, чтобы поддерживать водный баланс организма, обеспечить коррекцию реологических свойств крови.
Назогастральный зонд – узкая трубка, которая вводится через нос и попадает в желудок. Через нее удаляют скопившуюся в желудке и кишечнике жидкость и газ, снижая давление на стенки. Это уменьшает выраженность боли и позывы к рвоте.
Лечебная сифонная клизма. Этот способ может быть применен, если врач уверен в том, что причина непроходимости – сухие каловые массы.
Хирургическая операция. Экстренные операции (в течение 2 часов с момента поступления пациента в стационар) проводят при острой кишечной непроходимости, если присутствуют признаки перитонита или подозревается странгуляционная форма непроходимости.
Основные рекомендации в послеоперационном периоде следующие: ограничение физической нагрузки на 2-3 месяца, нельзя поднимать тяжести, необходимо носить специальный бандаж, исключить из рациона продукты, вызывающие повышенное газообразование (сырые фрукты, овощи, богатые клетчаткой продукты, молочные продукты).
- Клинические рекомендации «Острая неопухолевая кишечная непроходимость». Общероссийская общественная организация «Российское общество хирургов» (утв. Минздравом России). – 2020.
- Кишечная непроходимость: учебно-методическое пособие / П.С. Неверов и др. – Минск: БГМУ, 2017. – 42 с.
- Маев И.В., Войновский Е.А., Луцевич О.Э., Вьючнова Е.С., Урбанович А.С. Острая кишечная непроходимость (методические рекомендации) // Доказательная гастроэнтерология. – 2013. – № 1. – С. 36-51.
Информацию из данного раздела нельзя использовать для самодиагностики и самолечения. В случае боли или иного обострения заболевания диагностические исследования должен назначать только лечащий врач. Для постановки диагноза и правильного назначения лечения следует обращаться к Вашему лечащему врачу.
Острая кишечная непроходимость
Острая кишечная непроходимость - это опасное для жизни патологическое состояние, которое характеризуется нарушением прохождения содержимого желудочно-кишечного тракта по направлению от желудка к заднему проходу. Она не является самостоятельным заболеванием и бывает осложнением самых различных заболеваний. Однако возникнув, кишечная непроходимость развивается по единому сценарию и сопровождается типичными клиническими проявлениями. При отсутствии своевременного лечения прогноз при кишечной непроходимости крайне неблагоприятный.
Каковы причины?
Принято выделять динамическую кишечную непроходимость, когда нарушается двигательная функция кишечной стенки (т.е. нарушается перистальтика и продвижение содержимого по кишечнику останавливается) и механическую кишечную непроходимость (в этом случае происходит механическая закупорка кишечника на каком-либо уровне).
Механическая непроходимость встречается значительно чаще и может развиваться вследствие закупорки кишечника инородным телом, опухолью, каловыми массами, а также вследствие сдавления или ущемления кишечника извне при спаечном процессе в брюшной полости, завороте или образовании узлов. Динамическая кишечная непроходимость может развиться при разлитом перитоните любой этиологии, при длительно не купирующихся желчной или почечной колике, после оперативного вмешательства на органах брюшной полости, при отравлениях солями тяжелых металлов, а также травмах и опухолях головного и спинного мозга (когда нарушается иннервация кишечной стенки).
Большое значение имеет уровень, на котором произошла кишечная непроходимость. Чем выше возникает препятствие, тем тяжелее она протекает, тем более энергичных лечебных мероприятий она требует.
Симптомы
- сильные, схваткообразные или постоянные боли в животе, возникающие внезапно, вне зависимости от приема пищи, не имеющие конкретной локализации;
- вздутие живота;
- неукротимая рвота (чем выше уровень непроходимости, тем сильнее выражена рвота);
- задержка стула и газов (при высокой непроходимости сначала может быть стул за счет опорожнения кишечника ниже уровня препятствия).
Диагностика
Острую кишечную непроходимость врач скорой помощи может заподозрить уже при осмотре больного (осмотр включает расспрос, пальпацию, перкуссию и аускультацию живота, измерение артериального давления, аускультацию сердца и легких). Подозрение на непроходимость является абсолютным показанием для госпитализации пациента.
В приемном отделении больницы в первую очередь проводят обзорную рентгенограмму и УЗИ брюшной полости.
При обнаружении признаков кишечной непроходимости для уточнения локализации процесса выполняют рентгенографию с пероральным введением рентгеноконтрастного вещества. Также может быть проведена колоноскопия (эндоскопический метод исследования толстого кишечника) и другие дополнительные исследования.
Что можете сделать вы?
При малейшем подозрении на возникновение этого грозного состояния следует вызывать «скорую помощь».
Клиническая картина непроходимости кишечника разворачивается в течение нескольких часов. Сроки поступления таких пациентов в лечебные учреждения во многом определяют прогноз и исход заболевания.
Лечение
Терапевтическая тактика при кишечной непроходимости зависит от причины, ее вызвавшей, и варианта непроходимости.
В большинстве случаев бывает необходимосрочное хирургическое вмешательство.
Однако все виды динамической непроходимости подлежат консервативному лечению, которое включает обеспечение проходимости желудочно-кишечного тракта с помощью клизм, удаление содержимого кишечника назогастральным или назоинтестинальным зондом, коррекцию водно-электролитных нарушений, контроль гемодинамики, нормализацию перистальтики, детоксикационную и антибактериальную терапию.
Тонкокишечная непроходимость - диагностика
- длительное голодание с последующим обильным переполнением кишечника грубой пищей;
- операции на органах брюшной полости и малого таза;
- грыжи передней брюшной стенки.
Б. Объективный осмотр больного
Тяжесть состояния пациента обусловлена формой, уровнем и временем, прошедшим от дебюта ОКН.
Язык при выраженной клинической картине сухой, покрыт коричневым или желтым налетом.
В терминальных стадиях заболевания появляются трещины слизистой оболочки, афты, что указывает на тяжелую интоксикацию, обезвоживание и наличие перитонита.
2. Объективный осмотр живота [1, 4, 7, 8]. При подозрении на ОКН необходимо обследование всех возможных зон формирования грыж, для исключения их ущемления. Ущемление участка кишки без брыжейки в узких грыжевых воротах, как правило, не сопровождается выраженными болевыми ощущениями [2, 3].
а) Ad oculus. Вздутие живота - один из характерных признаков ОКН. Степень выраженности этого симптома бывает разной и, как правило, увеличивается по мере увеличения сроков заболевания. Равномерное увеличение живота обычно характерно для пареза кишечника и низких форм толстокишечной непроходимости. При высокой непроходимости живот увеличен в верхнем отделе, при завороте обычно заметно срединное выпячивание, при инвагинатах асимметрия чаще бывает в правой подвздошной области. В поздние сроки при возникновении недостаточности илеоцекального клапана (баугиниевой заслонки) живот становится симметрично вздутым. При заворотах сигмовидной кишки отмечается вздутие верхних отделов правой или левой половины живота, и тогда живот принимает характерный «перекошенный» вид.
Иногда во время болевой схватки контурируется раздутая кишечная петля с волнами перистальтики и урчанием. Особенно выраженным симптом «видимой перистальтики» бывает при подострых и хронических формах обтурационной непроходимости, при которой успевает развиться гипертрофия мышечного слоя приводящего отдела кишечника. При этом перистальтическую волну у худых больных с атоничной брюшной стенкой можно проследить до уровня обтурации.
При странгуляционной непроходимости иногда отмечается симптом Чугуева: больной лежит на спине с согнутыми в коленных суставах и подтянутыми к животу нижними конечностями, на животе видна глубокая поперечная полоса.
б) Поверхностная пальпация живота. Брюшная стенка при поверхностной пальпации обычно мягкая, безболезненная.
в) Глубокая пальпация. Иногда можно обнаружить наибольшую болезненность в месте расположения кишечных петель, подвергшихся странгуляции. У ряда больных удается прощупать фиксированную и растянутую в виде баллона петлю кишки (симптом Валя), при перкуссии над которой слышен тимпанический звук с металлическим оттенком (положительный симптом Кивуля). В поздние сроки заболевания при сильном растяжении кишечника определяется характерная ригидность брюшной стенки (положительный симптом Мондора), которая при пальпации напоминает консистенцию надутого мяча.
При инвагинации может наблюдаться симптом Бабука: если в промывных водах крови нет, живот пальпируют в течение 5 мин и после повторной сифонной клизмы вода может иметь цвет мясных помоев.
В случае илеоцекальной инвагинации в связи с перемещением инвагинированного отрезка кишечника правая подвздошная ямка при пальпации бывает пустой (симптом Шимона-Данса).
г) Перкуссия. Над растянутыми кишечными петлями определяют высокий тимпанит. Одновременно с этим над растянутыми кишечными петлями слышен «шум плеска» (симптом Склярова), что свидетельствует о скоплении в приводящей петле жидкости и газа.
д) Аускультация живота. Перистальтические шумы в первые часы заболевания усилены, нередко слышны на расстоянии. При аускультации можно определить усиленную перистальтику (урчание, переливание, бульканье, «шум падающей капли» - симптом Спасокукотского, «шум лопнувшего пузыря» - симптом Вильса). Бурная перистальтика более характерна для обтурации. При странгуляции усиление перистальтических шумов наблюдают в начале заболевания. В дальнейшем вследствие некроза кишки и перитонита перистальтические шумы ослабевают и исчезают (симптом «гробовой тишины»), при аускультации живота хорошо слышны дыхательные и сердечные шумы (положительный симптом Латейссена).
е) Per rectum. Иногда можно определить причину непроходимости (опухоль, каловый камень, инородное тело), а при инвагинации - кровь или кровянистое содержимое. Часто можно пропальпировать раздутую петлю тонкой кишки (симптом Гольда), нависание стенок кишки, служащих признаком скопления жидкости в малом тазу. При завороте и узлообразовании сигмовидной кишки ампула прямой кишки пустая, анус зияет (симптом Грекова, или симптом Обуховской больницы). Для этой патологии характерен также симптом Цеге-Мантейфеля: в прямую кишку удается ввести не более 300-500 мл жидкости.
В. Инструментальные исследования
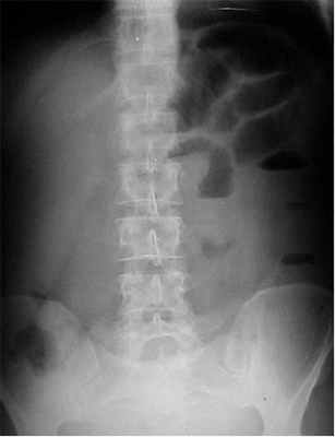
1. Рентгенологическое обследование является основным специальным методом диагностики ОКН. Обзорная рентгенография брюшной полости должна проводиться при малейшем подозрении на ОКН. При этом выявляется ряд признаков. В норме газ имеется в ободочной кишке. Появление газа в тонкой кишке указывает на непроходимость. Характер скопления газа в просвете кишечника различается при разных вариантах КН (рис. 1). Рисунок 1. Схема скопления газа в просвете кишечника при разных вариантах КН. а - высокая тонкокишечная непроходимость. Возможно наличие единичных горизонтальных уровней жидкости и газа. Наличие газа в толстой кишке не характерно Рисунок 1. Схема скопления газа в просвете кишечника при разных вариантах КН. б - низкая тонкокишечная непроходимость. Обычно видны множественные горизонтальные уровни жидкости и газа (чаши Клойберга). Наличие газа в толстой кишке не характерно Рисунок 1. Схема скопления газа в просвете кишечника при разных вариантах КН. в - странгуляционная кишечная непроходимость. Могут быть как единичные, так и множественные горизонтальные уровни жидкости и газа. Наличие газа в толстой кишке не характерно. Обычно по снимкам удается определить, петли какой кишки - тонкой, толстой или обеих - растянуты газом. При наличии газа в тонкой кишке хорошо видны спиралевидные складки слизистой оболочки (Керкринговы складки), занимающие весь поперечник кишки.
В тощей кишке они имеют вид круговой ребристости, напоминающей «скелет селедки» (симптом Кейcи), в подвздошной кишке - более редкие, прямые и толстые. При скоплении газа в толстой кишке видны гаустры, которые занимают лишь часть поперечника кишки [7, 9-12].
В более ранних стадиях КН рентгенологически может определяться скопление газа (без уровня жидкости) в петле кишки соответственно определяемому клинически симптому Валя (симптом Гинтце). На соответствие растянутой и напряженной петле кишки зоны скопления газа в виде арки указывает симптом Штирлина.
При механической тонкокишечной непроходимости в толстой кишке газа немного или нет. При толстокишечной непроходимости и сохранной функции илеоцекального клапана отмечают значительное вздутие толстой кишки, в тонкой кишке газ может отсутствовать. Недостаточность илеоцекального клапана приводит к растяжению как тонкой, так и толстой кишки.
![]()
На рентгенограммах, полученных в положении стоя или лежа на боку, обычно видны горизонтальные уровни жидкости и газа (рис. 2). Рисунок 2. Обзорная рентгенограмма брюшной полости. Видны чаши Клойбера, уровни жидкости. Заполненные газом кишечные петли имеют вид опрокинутых чаш (чаши Клойбера). Они появляются при странгуляции через 1-2 ч после начала заболевания, при обтурации - через 3-5 ч. По размерам чаш Клойбера, их форме и локализации можно судить об уровне непроходимости.
При тонкокишечной непроходимости чаши Клойбера небольших размеров, ширина горизонтального уровня жидкости больше, чем высота столба газа над ним. Обычно наблюдается большое количество горизонтальных уровней с изменением их расположения в течение времени и перемещением жидкости из одной петли в другую. Горизонтальные уровни жидкости ровные. На фоне газа хорошо видны складки слизистой оболочки (складки Керкринга), принимающие форму растянутой спирали.
При непроходимости тощей кишки горизонтальные уровни жидкости локализуются в левом подреберье и эпигастральной области. При непроходимости в терминальном отделе подвздошной кишки уровни жидкости расположены в области мезогастрия.
При тонкокишечной непроходимости, кроме чаш Клойбера, на рентгенограммах видны растянутые газом кишечные петли, принимающие форму «аркад» или «органных труб», похожих на перевернутые буквы J и U.
При толстокишечной непроходимости горизонтальные уровни жидкости расположены по периферии брюшной полости, в боковых отделах живота, и их меньше, чем при тонкокишечной непроходимости. Высота чаш Клойбера преобладает над шириной. На фоне газа видны полулунные складки слизистой оболочки («гаустры»). Уровни жидкости не имеют ровной поверхности («зеркала»), что обусловлено наличием в толстой кишке плотных кусочков кала, плавающих на поверхности жидкого кишечного содержимого.
При динамической паралитической непроходимости, в отличие от механической, горизонтальные уровни жидкости наблюдаются одновременно как в тонкой, так и в ободочной кишке. Перемещения кишечных уровней со временем из одного колена кишки в другое не наблюдается. При динамической спастической непроходимости по ходу тонкой кишки видны мелкие чаши Клойбера, расположенные цепочкой слева сверху вниз и вправо.
![]()
Отличить паралитическую непроходимость кишечника от механической тонкокишечной непроходимости с помощью обзорной рентгеноскопии бывает довольно сложно (см. таблицу). Рентгеноконтрастное исследование применяется с целью дифференциальной диагностики КН в сложных случаях [2, 7, 10, 13]. Вариант введения контраста зависит от предполагаемого уровня окклюзии кишечника. Так, бариевую взвесь внутрь дают при признаках высокой обтурационной непроходимости и с помощью клизм вводят при симптомах низкой непроходимости. При необходимости динамического исследования пассажа бария внутрь назначают рентгеноконтрастный препарат, при задержке которого более 6 ч в желудке и 12 ч в тонкой кишке диагностируется нарушение проходимости или двигательной активности кишечника. При механической непроходимости контрастная масса ниже препятствия не поступает.
Таким образом, показаниями к проведению рентгеноконтрастного исследования при ОКН служат:
- подтверждение или исключение КН;
- сомнительные случаи, при подозрении на кишечную непроходимость с целью дифференциальной диагностики и при комплексном лечении;
- спаечная ОКН у больных, неоднократно подвергшихся оперативным вмешательствам, при купировании последней;
- любая форма тонкокишечной непроходимости (за исключением странгуляционной), когда в результате активных консервативных мероприятий на ранних этапах процесса удается добиться видимого улучшения. В данном случае возникает необходимость объективного подтверждения правомерности консервативной тактики. Основанием для прекращения мониторинга рентгенологического исследования является фиксация поступления контраста в толстую кишку;
- диагностика ранней послеоперационной непроходимости у больных, перенесших резекцию желудка. Отсутствие пилорического жома обусловливает беспрепятственное поступление контраста в тонкую кишку. В этом случае выявление феномена стоп-контраста в отводящей петле служит показанием к ранней релапаротомии.
Условия проведения исследований с контрастным веществом при ОКН:
1) рентгеноконтрастное исследование для диагностики ОКН можно использовать лишь при полной убежденности (на основании клинических данных и результатов обзорной рентгенографии брюшной полости) в отсутствии странгуляционной формы непроходимости, составляющей угрозу быстрой утраты жизнеспособности ущемленной петли кишки;
2) динамическое наблюдение за продвижением контрастной массы необходимо сочетать с клиническим наблюдением, в ходе которого фиксируются изменения местных физикальных данных и общего состояния больного. В случае усугубления местных признаков непроходимости или появления признаков эндотоксикоза вопрос о неотложном оперативном вмешательстве должен обсуждаться независимо от рентгенологических данных, характеризующих продвижение контраста по кишечнику;
3) если принимается решение о динамическом наблюдении за больным с контролем за пассажем по кишечнику контрастной массы (проба Шварца), то такое наблюдение следует сочетать с проведением лечебных мероприятий, направленных на устранение динамического компонента непроходимости. Эти мероприятия заключаются, главным образом, в применении антихолинергических, антихолинэстеразных и ганглиоблокирующих средств, а также проводниковой (паранефральной, сакроспинальной) или перидуральной блокады [1-3, 7, 9-12].
2. Колоноскопия (диагностическая и лечебная) является самым информативным методом диагностики заболеваний толстой кишки. В большинстве случаев она позволяет осмотреть толстую кишку на всем протяжении. Во время проведения колоноскопии визуально оценивается состояние слизистой оболочки толстой кишки, что позволяет на ранних стадиях выявить доброкачественные и злокачественные опухоли толстой кишки. Колоноскопия предоставляет возможность не только локализовать патологический процесс, но и выполнить интубацию суженной части кишки, разрешив явления острой непроходимости. Это позволяет выполнить оперативное вмешательство, как правило, по поводу онкологического заболевания в более благоприятных условиях [2, 4, 7, 14].
3. Ирригоскопия проводится при подозрении на непроходимость ободочной кишки. Под рентгенологическим контролем постепенно заполняют рентгеноконтрастной взвесью толстую кишку и производят обзорные и прицельные снимки всех ее отделов в разных положениях больного. На рентгенограммах можно обнаружить сужения и дефекты наполнения, обусловленные наличием опухоли в кишке, сужение дистального отдела сигмовидной кишки в виде «клюва» при ее заворотах, дефекты наполнения в виде «полулуния», «двузубца», «трезубца» при илеоцекальной инвагинации.
На следующем этапе, после удаления из толстой кишки рентгеноконтрастной взвеси, исследуют рельеф слизистой оболочки кишки.
На заключительном этапе ирригоскопии, особенно при подозрении на опухоль толстой кишки, исследование проводят при дозированном заполнении кишки воздухом, используя аппарат Боброва (двойное контрастирование).
4. Ультразвуковое исследование (УЗИ) широко применяется для оценки разных болезней органов брюшной полости, однако исследований, посвященных диагностике КН, не много. Это может быть связано с тем, что наличие большого количества газа в ЖКТ мешает успешному исследованию кишечника, а также с тем, что спайки в кишке (наиболее распространенная причина кишечной непроходимости) не визуализируются с помощью УЗИ.
Предпосылкой возможного использования ультразвукового (УЗ) метода для диагностики ОКН является избыточное скопление жидкого содержимого в просвете кишки, что позволяет при УЗ-сканировании ее визуализировать.
Избыточное скопление жидкости в кишечнике обусловлено как нарушением эвакуации и всасывания кишечного содержимого, так и пропотеванием жидкости в просвет кишки при развитии ее микроциркуляторных нарушений. В связи с этим жидкое содержимое в просвете кишки, определяемое при УЗИ, называют «симптомом секвестрации жидко
Острая кишечная непроходимость
Острая кишечная непроходимость - это опасное для жизни патологическое состояние, которое характеризуется нарушением прохождения содержимого желудочно-кишечного тракта по направлению от желудка к заднему проходу. Она не является самостоятельным заболеванием и бывает осложнением самых различных заболеваний. Однако возникнув, кишечная непроходимость развивается по единому сценарию и сопровождается типичными клиническими проявлениями. При отсутствии своевременного лечения прогноз при кишечной непроходимости крайне неблагоприятный.
Большое значение имеет уровень, на котором произошла кишечная непроходимость. Чем выше возникает препятствие, тем тяжелее она протекает, тем более энергичных лечебных мероприятий она требует.
![Острая кишечная непроходимость]()
Виды кишечной непроводимости
Принято выделять динамическую кишечную непроходимость, когда нарушается двигательная функция кишечной стенки (т.е. нарушается перистальтика и продвижение содержимого по кишечнику останавливается) и механическую кишечную непроходимость (в этом случае происходит механическая закупорка кишечника на каком-либо уровне).
Механическая непроходимость встречается значительно чаще и может развиваться вследствие закупорки кишечника инородным телом, опухолью, каловыми массами, а также вследствие сдавления или ущемления кишечника извне при спаечном процессе в брюшной полости, завороте или образовании узлов. Динамическая кишечная непроходимость может развиться при разлитом перитоните любой этиологии, при длительно не купирующихся желчной или почечной колике, после оперативного вмешательства на органах брюшной полости, при отравлениях солями тяжелых металлов, а также травмах и опухолях головного и спинного мозга (когда нарушается иннервация кишечной стенки).
Записаться на консультацию Первая консультация бесплатно!
Симптомы
- Сильные, схваткообразные или постоянные боли в животе, возникающие внезапно, вне зависимости от приема пищи, не имеющие конкретной локализации.
- Вздутие живота.
- Неукротимая рвота (чем выше уровень непроходимости, тем сильнее выражена рвота).
- Задержка стула и газов (при высокой непроходимости сначала может быть стул за счет опорожнения кишечника ниже уровня препятствия).
Диагностика
Для подтверждении диагноза могут быть проведены обзорную рентгенография, УЗИ органов брюшной полости, МСКТ.
При обнаружении признаков кишечной непроходимости для уточнения локализации процесса выполняют рентгенографию с пероральным введением рентгеноконтрастного вещества. Также может быть проведена колоноскопия (эндоскопический метод исследования толстого кишечника) и другие дополнительные исследования.
Лечение
В большинстве случаев бывает необходимо срочное хирургическое вмешательство.
Однако все виды динамической непроходимости подлежат консервативному лечению, которое включает обеспечение проходимости желудочно-кишечного тракта с помощью клизм, удаление содержимого кишечника назогастральным или назоинтестинальным зондом, коррекцию водно-электролитных нарушений, контроль гемодинамики, нормализацию перистальтики, детоксикационную и антибактериальную терапию.
Кишечная непроходимость
Кишечная непроходимость - это заболевание, при котором продвижение пищи по кишечнику прекращается частично или полностью. Чаще всего кишечная непроходимость встречается у людей пожилого возраста, а также у тех, кому была сделана операция на кишечнике или желудке.
Причины кишечной непроходимости:
![кишечная непроходимость схема]()
Для возникновения кишечной непроходимости причины могут быть различными:
- Наличие опухоли или инородного тела в кишечнике
- Перегибы или сдавление кишки
- Резкое ослабление сокращений кишечной стенки из-за использования некоторых медицинских препаратов
На сегодняшний день кишечная непроходимость считается одним из наиболее опасных заболеваний брюшной полости. По клинической картине выделяют следующие виды заболевания: острая кишечная непроходимость, хроническая и рецидивирующая непроходимость. Также кишечная непроходимость может быть врожденной или приобретенной. Врожденная непроходимость возникает из-за пороков развития кишечника. А все остальные виды относятся к приобретенным. По механизму возникновения классифицируют динамическую кишечную непроходимость и механическую непроходимость. В свою очередь динамическая кишечная непроходимость делится на спастическую и паралитическую форму. А механическая непроходимость может быть обтурационной или странгуляционной. Одним из наиболее распространенных видов данного заболевания является спаечная кишечная непроходимость, причиной развития которой являются кровоизлияния или травмы живота, а также перенесенные ранее перитониты.
Симптомы кишечной непроходимости
От формы непроходимости зависит и симптоматика заболевания. При спастической форме динамической непроходимости происходит спастическое сокращение небольшого участка кишечника, а при паралитической форме паралич мускулатуры кишечника происходит на обширном участке. Симптомы при данных формах непроходимости разнообразны: вздутие живота, снижение артериального давления, тахикардия, отсутствие перистальтики, раздражение брюшины. Во многих случаях возникает рвота и вследствие потери большого количества жидкости организм больного обезвоживается.
![болит живот фото]()
При механической форме кишечной непроходимости симптомы схожи с симптомами при динамической непроходимости, но выражены более сильно. Главный симптом это интенсивные боли в животе, в месте закупорки кишечника, имеющие схваткообразный характер. Если происходит заворот кишечника, то боль может быть настолько сильной, что у больного может возникнуть шоковое состояние. Также симптомом механической непроходимости является постоянная рвота. Достаточно часто у больных при кишечной непроходимости возникает задержка газов и стула. При низкой непроходимости все позывы на дефекацию безуспешны, а прием слабительных препаратов еще больше ухудшает состояние. При высокой же непроходимости использование клизм позволяет очистить нижележащие отделы кишечника, и при этом отходят в больших количествах газы и каловые массы. Но общее состояние больного не улучшается. Для того чтобы подтвердить диагноз больному выполняют рентгенологическое исследование брюшной полости. При кишечной непроходимости у детей проводится исследование методом магнитно-резонансной томографии.
Лечение кишечной непроходимости
Кишечная непроходимость лечится только оперативным путем. Если у больного отсутствуют симптомы разлитого перитонита, то лечение кишечной непроходимости в первую очередь заключается в проведении очистительных клизм. Когда газы и кал отходят, исчезает вздутие кишечника и боль стихает, больному может проводиться операция. Также во время операции больному внутривенно вводится раствор глюкозы и осуществляется переливание крови.
Операцию при кишечной непроходимости выполняют под общим наркозом. В послеоперационном периоде в течение первых суток больному проводят аспирацию кишечного и желудочного содержимого. В дальнейшем проводят мероприятия, способствующие восстановлению моторики кишечника.
При подозрении наличия данного заболевания вы можете проконсультироваться у проктолога нашей клиники.
Читайте также:






