Тонкокишечная непроходимость при болезни Крона.
Добавил пользователь Евгений Кузнецов Обновлено: 03.11.2025
Болезнь Крона — неспецифическое воспалительное поражение различных отделов ЖКТ неизвестной этиологии, характеризующееся сегментарностью, рецидивирующим течением с образованием воспалительных инфильтратов и глубоких продольных язв, нередко сопровождающихся осложнениями. В зависимости от поражаемого отдела ЖКТ выделяют тонкокишечную, толстокишечную и смешанную формы заболевания. Частота • 25–27 случаев на 100 000 населения • Тонкокишечная форма — 25% случаев, толстокишечная форма — 25%, смешанная форма — 50% • В тонкой кишке наиболее частая локализация (90%) — терминальный отдел подвздошной кишки, что объясняет устаревшее название этого заболевания — терминальный илеит. Преобладающий возраст. Первый пик заболеваемости — 12–30 лет, второй — около 50 лет.
Факторы риска • Генетические факторы. Примерно в 17% случаев болезнь Крона выявляют среди ближайших родственников пациента (первая степень родства). Предрасположенность к развитию воспалительных заболеваний кишечника (болезни Крона и неспецифического язвенного колита) определяют локусы 12p13.2, 12q24.1, 7q22 и 3p21.2 • Хронические воспалительные заболевания кишечника • Недостаточность илеоцекального клапана • Дисбактериоз.
Патоморфология • Значительное утолщение поражённой стенки кишечника с трансмуральным воспалением • Характерна множественность участков поражения (очаговые гранулёмы, глубокие извитые или линейные изъязвления), отстоящие друг от друга на большом расстоянии. В связи с этим распространение заболевания образно сравнивают с прыжками кенгуру • Макроскопически: вид «булыжной мостовой» — участки нормальной слизистой оболочки сменяются изъязвлениями и гранулематозными разрастаниями • Микроскопически •• В зоне поражения отёк и гиперплазия лимфатических фолликулов в подслизистой оболочке •• Пролиферация ретикулоэндотелиальных и лимфоидных элементов •• Гранулёмы, состоящие из гигантских и эпителиоидных клеток • Увеличенные, тусклые на разрезе брыжеечные лимфатические узлы • Вторичные стриктуры при рубцевании, возможно образование свищей.
Клиническая картина
• Общие проявления для всех форм болезни Крона •• Диарея •• Боль в животе, обычно схваткообразная, усиливающаяся перед дефекацией и стихающая после опорожнения кишечника •• Нарушение проходимости кишечника (примерно у 25% больных) •• Общие симптомы (лихорадка, похудание, недомогание, анорексия) •• Свищи прямой кишки и другие поражения аноректальной области (абсцессы, стриктуры) характерны для длительного течения заболевания •• Внекишечные проявления: узловатая эритема и пиодермия, эписклерит, увеит, анкилозирующий спондилит, артриты (5%).
• Тонкокишечная форма •• Боль в животе, похожая на аппендикулярную, не уменьшающаяся после дефекации (стул обычно бывает жидким) и усиливающаяся после еды •• Синдром мальабсорбции (снижение массы тела, анемия, задержка роста у детей, гипопротеинемия, отёки) •• Обтурационная кишечная непроходимость (в трети случаев) •• Кишечное кровотечение (20%), редко бывает массивным.
• Толстокишечная форма •• Примесь крови и гноевидной слизи в стуле •• Боль по всему животу, часто связанная с актом дефекации •• Запоры (16,6%) •• Поражения аноректальной области (40%) •• Для диффузного поражения толстой кишки более характерны кишечные, а для сегментарного — внекишечные проявления заболевания •• Мегаколон (10%) •• При диффузном поражении ободочной кишки возможно развитие острой токсической дилатации •• При поражении аноректальной области появляются свищи.
• Смешанная форма •• Боль в правой половине живота, похожая на аппендикулярную •• Кишечная непроходимость возникает чаще, чем при других формах.
Сопутствующая патология • Вирусный гастроэнтерит • Артриты • Узловая эритема и пиодермия • Эписклерит, увеит • Склерозирующий холангит.
Беременность не противопоказана пациенткам с лёгкой и среднетяжёлой формами болезни Крона.
Клинические стадии (характерны периоды обострений и ремиссий) • Острая •• На первое место выступают диарея, похудание, тупые боли в животе (чаще в его правой половине) • Подострая •• Увеличивается количество язвенных поражений, образуются гранулёмы, возникает сегментарный стеноз кишки •• В связи с этим боли носят схваткообразный характер •• Возможны симптомы непроходимости кишечника • Хроническая •• Характеризуется дальнейшим распространением склеротического процесса в стенке кишки и развитием осложнений.
Лабораторная диагностика (неспецифична) • Анализ крови: анемия, увеличение СОЭ, гипопротеинемия, электролитные нарушения, низкое содержание фолиевой кислоты, витаминов В12 и D • Копрологическое исследование при нарушении переваривания и всасывания позволяет выявить стеаторею, амилорею и креаторею •• Стеаторея по кишечному типу (преобладание жирных кислот и их солей) свойственна болезни Крона при тонкокишечной или смешанной форме.
Специальные исследования
• ФЭГДС •• Позволяет выявить поражение верхних отделов ЖКТ. Локализация процесса в желудке составляет 1–1,5% всех случаев болезни Крона •• Наиболее характерно изолированное поражение антрального отдела желудка или сочетанное поражение желудка и начального отдела двенадцатиперстной кишки •• Часто желудок бывает вовлечён в процесс в терминальной стадии поражения кишечника.
• Ректороманоскопия позволяет обнаружить изменения в вовлечённой в патологический процесс прямой кишке (50% случаев).
• Колоноскопия позволяет осмотреть слизистую оболочку всей толстой и терминального отдела подвздошной кишок, определить локализацию процесса, размеры поражения, диагностировать или исключить стриктуры, своевременно распознать рецидив заболевания у больных, перенёсших операцию; провести прицельную биопсию слизистой оболочки в любом участке толстой и терминального отдела подвздошной кишок •• Из гноя послеоперационных абсцессов чаще всего высевают кишечную флору: Escherichia coli, Bacteroides fragilis, энтерококки •• Начальный период заболевания характеризуется скудными эндоскопическими данными: тусклая слизистая оболочка; на её фоне видны эрозии по типу афт, окружённые белесоватыми грануляциями, в просвете кишки и на стенках — гноевидная слизь •• Рельеф слизистой оболочки по типу «булыжной мостовой» выявляют в период наибольшей активности процесса. Для этой же стадии характерно образование свищей •• С уменьшением активности процесса на месте язв-трещин образуются рубцы, что приводит к образованию стеноза.
• Наиболее полную рентгенологическую картину можно получить только при комплексном обследовании (при тугом или полутугом заполнении кишки бариевой взвесью и при двойном контрастировании) •• При локализации процесса в желудке рентгенологическую картину болезни Крона трудно отличить от злокачественной опухоли антрального отдела желудка •• Основные признаки ••• Сегментарность поражения ••• «Симптом шнура» ••• Волнистый или неровный контур кишки ••• Продольные язвы, образующие рельеф «булыжной мостовой» ••• Псевдодивертикулы, представляющие собой глубокие язвы, проникающие в клетчатку.
• Селективная ангиография брыжеечных сосудов — наряду с изменениями интрамуральной сосудистой сети отмечают изменение брыжеечной части сосудов.
• УЗИ даёт следующие возможности •• Определить распространённость процесса по кишке •• Измерить толщину кишечной стенки в участке поражения •• Проследить динамику процесса •• Изучить состояние других органов системы пищеварения •• Контролировать эффективность лечения.
• КТ позволяет обнаружить абсцессы по ходу свищей и обширные параректальные поражения.
ЛЕЧЕНИЕ
Режим. В период обострений — стационарный, в стадии ремиссии — амбулаторный.
Диета • В период обострения заболевания назначают механически и химически щадящую диету с повышенным содержанием белков, витаминов, исключением молока при его непереносимости и ограниченным количеством грубой растительной клетчатки, особенно при сужении участков кишки (диета №4, затем №4б) • Калорийность пищи можно повысить за счёт жидких питательных растворов, белковых препаратов, содержащих цельный белок и лишённых лактозы и растительной клетчатки, специальных рационов, включающих гидролизованный протеин, также лишённых лактозы и клетчатки • При стриктурах или повторных обструкциях следует избегать приёма грубой и газообразующей пищи • При различных формах диареи необходимо увеличить количество растительной клетчатки, ограничить приём жиров.
Тактика ведения • Воздействие на реактивность организма • Снижение аллергических и воспалительных реакций • Устранение инфекции и интоксикации • Регулирование обменных и ферментативных нарушений • Коррекция синдрома мальабсорбции при тяжёлых поражениях тонкой кишки • Диетотерапия и витаминотерапия.
Хирургическое лечение.
• Показания к плановой операции •• Отсутствие эффекта от длительной консервативной терапии при тяжёлом течении процесса и частых рецидивах болезни •• Стриктуры кишки, сопровождающиеся частичной кишечной непроходимостью, постепенно приближающейся (несмотря на консервативное лечение) к полной непроходимости •• Развитие рака на фоне болезни Крона.
• Показания к срочной операции •• Повторяющиеся и прогрессирующие профузные кровотечения •• Острая токсическая дилатация толстой кишки, не поддающаяся консервативной терапии •• Перфорация кишечных язв, развитие абсцессов, свищей и перитонит.
• Виды оперативных вмешательств •• В остром периоде терминального илеита рекомендуют аппендэктомию •• При значительном вовлечении слепой кишки выполняют илеоцекальную резекцию •• Обычно послеоперационное течение бывает гладким; если возникают свищи, они чаще исходят из поражённой кишки, чем из культи удалённого отростка. Лечение свищей не бывает успешным без санации окружающих абсцессов •• Операции разделяют на паллиативные, радикальные и реконструктивно-восстановительные •• Паллиативные (операции отключения) — наложение двуствольной илео- или колостомы при крайне тяжёлом состоянии больного или внутрибрюшинных инфильтратах, расширение стриктур с помощью катетера Фолея •• Радикальные — резекция сегмента тонкой кишки, сегментарная или субтотальная резекция ободочной кишки, колэктомия, колпроктэктомия, а также пластические операции при рубцовых стриктурах малой протяжённости •• Реконструктивно-восстановительные операции.
• Лечение поражений аноректальной области •• При развитии перианальных абсцессов необходимо выполнять их вскрытие и дренирование. Свищи прямой кишки и трещины анального канала требуют оперативного лечения, если они множественные, или при тяжёлом клиническом течении •• Показания к оперативному лечению патологии перианальной области должны быть максимально ограничены, т.к. раны у таких пациентов заживают очень медленно, высок процент развития рецидивов заболевания.
Лекарственная терапия
• Специфическая терапия отсутствует. Лечение симптоматическое: дифенилтропин по 2,5–5 мг, лоперамид по 2–4 мг или кодеин по 15–30 мг внутрь до 4 р/сут — для ослабления схваткообразных болей и диареи.
• Сульфаниламидные препараты •• Сульфасалазин — начинают с 500 мг 2 р/сут и (при хорошей переносимости) повышают дозу каждые 4 дня до 1 г 4 р/сут. Действие развивается в течение 4–6 нед •• Месалазин (можно применить при непереносимости сульфасалазина) — внутрь 1,5 г/сут в 3 приёма (при тяжёлом течении до 3–4 г/сут не более 8–12 нед); при поражении нисходящего отдела ободочной кишки и прямой кишки — per rectum 1,5 г/сут в 3 приёма.
• ГК — при острых формах болезни, тяжёлых рецидивах и среднетяжёлых формах, резистентных к другим ЛС •• Преднизолон 20–40 мг/сут. При достижении ремиссии дозу постепенно снижают до 10–20 мг/сут к концу 4-й недели лечения. Длительность курса лечения — до 2 мес •• При невозможности перорального приёма сначала вводят гидрокортизон по 50 мг 2 р/сут в/в или 4 р/сут в/м, затем через 5–7 дней назначают преднизолон по 40–60 мг/сут внутрь •• При тотальном поражении толстой кишки применяют клизмы с гидрокортизоном по 125 мг на 200 мл воды 2 р/сут (утром и на ночь), затем по мере достижения эффекта — 1 р/сут, далее через день. При левосторонней локализации поражения суточную дозу гидрокортизона уменьшают до 75–100 мг, а при поражении прямой и сигмовидной кишки — до 50 мг.
• Метронидазол по 250 мг 3 р/сут не более 8 нед — при наличии параректальных абсцессов или свищей прямой кишки.
• Цианокобаламин парентерально — при поражениях подвздошной кишки.
• Для поддерживающей терапии — месалазин, метотрексат, азатиоприн или меркаптопурин (продлевают ремиссию).
Альтернативные препараты • Антибиотики широкого спектра действия, воздействующие на грамотрицательные и анаэробные микроорганизмы, наиболее эффективны при осложнениях (например, абсцессе или свище) • Вместо сульфасалазина — салазодиметоксин.
Наблюдение • Динамическое наблюдение, контрольное обследование каждые 3–6 мес при стабильном состоянии пациента (содержание Hb, СОЭ, масса тела, болевой синдром, диарея, системные проявления) • Контрольная колоноскопия с биопсией подозрительных участков слизистой оболочки • Ежегодно — биохимический анализ крови, печёночные пробы, протеинограмма • Определение содержания витамина В12 при тонкокишечной форме заболевания или после резекции сегмента тонкой кишки.
Осложнения • Прогрессирование заболевания — увеличение имеющихся и появление новых участков поражения кишечника • Рецидив заболевания после оперативного лечения (часто возникает поражение проксимального отдела кишки) • Свищи встречают у 15% больных: прямой кишки и анального канала, кишечно-влагалищные, кишечно-пузырные, межкишечные и наружные, исходящие из различных участков ЖКТ • Внекишечные поражения встречают в 10% случаев (узловатая эритема и пиодермия, эписклерит, увеит, анкилозирующий спондилит) • Нарушение проходимости кишечника возникает примерно в 25% случаев • Распространённое поражение толстой кишки увеличивает риск развития аденокарциномы • Перфорация толстой кишки и профузное кишечное кровотечение • Образование в брюшной полости инфильтратов разной локализации • Острая токсическая дилатация ободочной кишки • Болезнь Крона может привести к мальабсорбции при повреждении слизистой оболочки, множественных стриктурах с чрезмерным ростом бактерий или вследствие множественных резекций кишечника.
Прогноз • В связи с затяжным прогрессирующим течением заболевания прогноз чаще неблагоприятный • Заболевание приводит к инвалидности более молодых больных, причём инвалидизацию отмечают в 2 раза чаще у женщин, чем у мужчин • Отдалённый прогноз болезни Крона благоприятный при локализации процесса в толстой кишке.
Профилактика • Регулярное врачебное наблюдение • При стойкой периодичности рецидивов — профилактический противорецидивный курс лечения.
Синонимы • Гранулематозный колит • Гранулематозный энтерит • Гранулёма кишечника • Проктоколит Крона • Терминальный илеит • Регионарный колит • Регионарный илеит
Непроходимость кишечника — последствие капсульной эндоскопии у пациента с болезнью Крона (клинический случай)
Для цитирования: Данилов М. А., Атрощенко А. О., Чудных С. М., Щербаков П. Л. и др. Непроходимость кишечника — последствие капсульной эндоскопии у пациента с болезнью Крона (клинический случай) // Доктор.Ру. Гастроэнтерология. 2016. № 1 (118). С. 54–58.
Цель статьи: показать возможности и безопасность капсульной эндоскопии даже при развивающейся непроходимости кишечника, проинформировать врачей о возможных осложнениях течения болезни Крона.
Основные положения. Представлено редкое клиническое наблюдение, при котором во время капсульной эндоскопии было выявлено сужение просвета тонкой кишки и определена его точная локализация. Течение болезни не позволило провести плановую операцию, а возникшая непроходимость кишечника вынудила к оказанию экстренной хирургической помощи.
Заключение. Капсульная эндоскопия является высокоинформативным и безопасным методом исследования слизистой оболочки желудочно-кишечного тракта. Но при некоторых состояниях больного или особенностях течения патологического процесса прохождение капсулы может быть затруднено или невозможно. В случае прогрессирования воспалительного процесса капсула, если она не преодолевает место сужения, является диагностическим маркером, позволяющим хирургу сориентироваться при поиске кратчайшего доступа к зоне повреждения.
Щербаков Петр Леонидович — д. м. н., профессор, заведующий отделом эндоскопии ГБУЗ МКНЦ ДЗМ. 111123, г. Москва, ш. Энтузиастов, д. 86. E-mail: p.sherbakov@mknc.r
Болезнь Крона — воспалительное заболевание ЖКТ, поражающее все слои кишечной трубки. Как правило (в 70% случаев), воспалительный процесс затрагивает слизистую оболочку тонкой кишки. Более чем у 30% пациентов с болезнью Крона бывает поражена исключительно тонкая кишка, чаще всего подвздошная [8].
В настоящее время для диагностики болезни Крона применяют традиционную эндоскопию и рентгенологическое исследование с контрастированием кишечника (обычно сульфатом бария). Эндоскопическое исследование обеспечивает непосредственную визуализацию слизистой оболочки, однако оно ограничено осмотром проксимальных отделов тонкой кишки или дистального участка терминального отдела подвздошной кишки (так называемая илеоскопия). Во время процедуры не всегда удается достичь слепой кишки и пройти баугиниеву заслонку. К недостаткам ирригоскопии принадлежит ее низкая информативность на ранних стадиях заболевания, например при верификации афтозных изменений [4]. Для более полной оценки состояния слизистой оболочки кишечника применяют капсульную эндоскопию (КЭ) или КТ-энтерографию. Превосходя традиционные методы, они позволяют обнаружить даже небольшие (до нескольких долей миллиметра) изменения слизистой оболочки и не несут лучевой нагрузки. Все большее число исследований демонстрируют диагностическую ценность КЭ при мелких карциномах и локальном энтерите, а также в выявлении причин хронического запора [10, 13].
КЭ совершила революцию в исследовании кишечника. Доказана безопасность данного метода: осложнений при КЭ практически не бывает. Одно из наиболее серьезных нежелательных явлений при видеокапсульном исследовании — возможная длительная (более 2 недель) задержка капсулы в просвете кишки, однако частота таких состояний не превышает 1,4%. У пациентов с факторами риска (например, с болезнью Крона) этот показатель возрастает до 2,6%. По данным одного исследования (проводившегося в 2005 г., на заре эпохи КЭ), вероятность задержки капсулы при болезни Крона достигала 13% [2]. Бессимптомная задержка капсулы ничем не угрожает пациенту, даже если капсула остается в просвете кишки более 6 месяцев [8]. Покрытие капсулы разработано с таким расчетом, чтобы она не «прилипала» к поверхности слизистой оболочки, что сводит к нулю вероятность развития пролежней; скользкая поверхность капсулы не позволяет ей застревать в суженной части и самостоятельно вызывать непроходимость. Но при значительном и прогрессирующем сужении кишки капсула может стать невольным «свидетелем» развивающейся непроходимости или даже перфорации. В доступных литературных источниках описаны единичные случаи перфорации кишки и развития кишечной непроходимости [6, 11, 17]. В такой ситуации приходится прибегать к хирургическим методам и капсула служит хорошим маркером, указывая хирургам локализацию суженного участка. При задержке капсулы в просвете тонкой кишки возможно проведение баллонно-ассистированной энтероскопии с извлечением капсулы [19]. Однако зачастую колоректальные хирурги сталкиваются с тонкокишечной непроходимостью, когда выполнение специальной операции по извлечению капсулы нецелесообразно: экономически выгоднее и безопаснее для пациента провести оперативное лечение и извлечь капсулу с участком пораженной кишки [3].
Цель статьи: показать возможности и безопасность капсульной эндоскопии даже при развивающейся непроходимости кишечника, проинформировать врачей о возможных осложнениях течения болезни Крона.
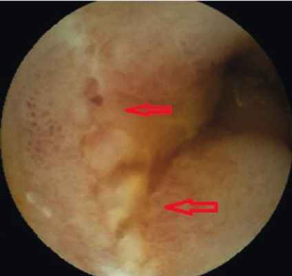
Пациентка В . , 19 лет, с подтвержденным диагнозом «болезнь Крона (язвенно-геморрагический энтерит)» с 2012 г. неоднократно находилась на обследовании и лечении в отделении воспалительных заболеваний кишечника Московского клинического научно-практического центра. Длительное время получала месалазин, азатиоприн, инфликсимаб; неэффективность проведенного лечения послужила поводом для назначения биологической терапии (адалимумаб). Однако стойкой ремиссии добиться не удавалось. При очередном обследовании в марте 2015 г. пациентке была выполнена колоноскопия, во время которой выявили незначительные воспалительные изменения ободочной кишки и терминального отдела подвздошной кишки: афтозный колит, афтозный терминальный илеит. Данные, полученные при традиционной эндоскопии, не соответствовали клиническому состоянию больной. Для оценки распространенности и степени поражения кишечника ей была назначена КЭ. В результате видеокапсульного исследования определено поражение глубоких отделов тонкой кишки на значительном протяжении в виде множественных язв и отека складок, а также обнаружено сужение просвета тонкой кишки ( рис. 1-4 ).
Рис. 1. Язва слизистой оболочки тонкой кишки. Фото авторов

Рис. 2. Отек слизистой оболочки, псевдополипы с эрозиями, сужение просвета тонкой кишки. Фото авторов

Рис. 3. Язвы слизистой оболочки тонкой кишки, формирующийся рубец. Фото авторов

Рис. 4. Формирующаяся стриктура тонкой кишки, рубец, язва, сужение просвета. Фото авторов

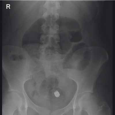
Во время пребывания пациентки в стационаре отхождение капсулы не зафиксировано. Подобные случаи задержки капсулы у пациентов с болезнью Крона и поражением тонкой кишки известны. Как правило, после назначения больным противовоспалительной терапии, когда благодаря спаданию отека слизистой оболочки просвет кишки восстанавливается, наблюдают дальнейшее продвижение капсулы и ее благополучный выход. Однако в данном случае после курса терапии месалазином капсула не отошла. По данным КЭ, на уровне ее ретенции визуализировались участки воспаленной слизистой оболочки подвздошной кишки со стриктурой. Учитывая отсутствие клинических признаков кишечной непроходимости, пациентка в удовлетворительном состоянии была переведена на амбулаторный режим. В октябре 2015 г. больная повторно поступила в отделение воспалительных заболеваний кишечника с ухудшением состояния (нараставшими болями в правых отделах живота, тошнотой, рвотой), была выполнена обзорная рентгенография органов брюшной полости, по результатам которой капсула визуализировалась в подвздошной кишке, определялись горизонтальные уровни жидкости ( рис. 5 ).

В связи с нараставшей выраженностью клинических проявлений кишечной непроходимости пациентка была переведена в отделение колопроктологии. При осмотре: живот вздут, асимметричен, напряжен в правых отделах, является резко болезненным в правых отделах, симптомы раздражения брюшины сомнительные, в течение последних суток газы не отходили и стула не было. Выполнена срединная лапаротомия, при ревизии: петли тонкой кишки раздуты газом ( рис. 6 ), определяется жидкое кишечное содержимое, на расстоянии 70 см от илеоцекального угла присутствует зона стриктуры ( рис. 7 ), в проксимальной части которой пальпируется капсула, супрастенотически кишка растянута до 6 см в диаметре. Выполнена резекция пораженного участка подвздошной кишки, сформирован илео-илеоанастомоз бок в бок. Из удаленного препарата извлечена капсула диаметром около 1,2 см и длиной 2,7 см ( рис. 8 ). Послеоперационный период — без особенностей, выписана на 4-е сутки после операции.
Рис. 6. Интраоперационный снимок тонкого кишечника. Фото авторов

Рис. 7. Удаленный препарат. Фото авторов

Рис. 8. Извлеченная капсула. Фото авторов

Бессимптомное течение задержки капсулы не вызывает необходимости в инвазивных мероприятиях, поэтому при несвоевременной эвакуации тактика должна быть выжидательной. При формировании перфорации, напротив, показано срочное/экстренное хирургическое вмешательство, объем которого может варьировать от ушивания перфоративного отверстия до резекции участка кишки. Однако риск перфорации при КЭ крайне низок (не превышает 0,3%). Чаще всего это происходит при выраженном дивертикулезе с явлениями дивертикулита и злокачественных новообразованиях толстой кишки, поэтому такой вид осложнений принято относить к осложненному течению дивертикулеза и раку толстой кишки соответственно. Длительная задержка (ретенция) капсулы может сопровождаться явлениями обструкции, в частности при изменениях стенки кишки, как правило, представленных стриктурами при болезни Крона [4], а также стриктурами анастомоза.
Среди нехирургических методов эвакуации капсулы следует отметить высокие очистительные клизмы [9], эффективные при локализации капсулы в области стриктуры анастомоза толстой кишки. Однако при задержке капсулы в более проксимальных отделах клизмы назначать нецелесообразно. Одно из лечебных мероприятий при задержке капсулы — баллонно-ассистированная энтероскопия, применимая в качестве первой линии терапии, а в некоторых случаях позволяющая избежать хирургического вмешательства [1, 19]. Обычно у пациентов с болезнью Крона применение глюкокортикоидов и биологических препаратов ускоряет выведение капсулы [15]. Тем не менее при нарастающей выраженности симптомов кишечной обструкции преимущества использования глюкокортикоидов не доказаны [20]. В подобных ситуациях целесообразно начать с антеградной баллонной энтероскопии, однако это не всегда удается сделать по техническим причинам. Как правило, капсула локализуется в участке измененной кишки между двумя стриктурами — при такой локализации наиболее удобна ретроградная энтероскопия [5]. При всех преимуществах данного метода у него есть большой недостаток — высокий риск перфорации зоны стриктуры (в месте выраженных воспалительных изменений) [14].
Хирургическое вмешательство при кишечной непроходимости выполняют как открытым, так и лапароскопическим доступом. Преимущество открытого вмешательства состоит в тактильном ощущении хирурга, при котором можно с легкостью локализовать уровень обструкции и определить местоположение капсулы. При компенсированной (частичной) обструкции достаточно бидигитально продвинуть капсулу в слепую кишку или выполнить энтеротомию. Поскольку обструкция кишечника при болезни Крона происходит в измененной инфильтрированной кишке, объем резекции зависит от протяженности поражения [20].
Признаки частичной обструкции и обнаружение стриктур служат абсолютными противопоказаниями к назначению КЭ, несмотря на что пациентам с болезнью Крона рутинно выполняют это обследование [7, 12]. Кроме того, КЭ следует с осторожностью назначать пациентам, перенесшим множество операций на брюшной полости, ввиду высокого риска спаечной болезни. Поскольку до настоящего времени общепринятой стратегии для предотвращения ретенции капсулы не выработано, то возможны осложнения из-за необоснованного назначения КЭ [7]. Мнения авторов противоречивы: одна группа говорит о необходимости хирургического удаления капсулы [11], другая высказывается в пользу оставления ее в просвете кишечника [18]. В последнем случае капсула до окончания работы аккумулятора может передавать динамическое изображение слизистой оболочки и фиксировать происходящие изменения — начало воспаления, кровотечения и т. д. Кроме того, капсула, интактная по отношению к слизистой оболочке и не вызывающая (или не провоцирующая) воспалительный процесс, является маркером для определения кратчайшего доступа при плановом хирургическом вмешательстве. Если же капсула покидает кишечник на фоне проведения консервативной терапии, то это косвенно свидетельствует о положительной динамике течения патологического процесса.
Необходимо отметить, что при сомнительном диагнозе болезни Крона, в том числе с поражением подвздошной кишки, КЭ является единственным диагностическим мероприятием. Хотя капсула сама по себе не вызывает непроходимости у таких пациентов, в присутствии стриктур она может усугубить состояние больного. Но большинство авторов все же склоняются к использованию данного метода, так как чаще всего с помощью консервативных мероприятий выведение капсулы обеспечивается без хирургического пособия.
В литературе описано немного случаев симптоматической обструкции кишечника, вследствие чего не удается достоверно судить о правильности определения показаний к исследованию и хирургической тактики при развившихся осложнениях [11]. Описаны единичные случаи перфорации кишки капсулой. Но скудные литературные данные не свидетельствуют даже о столь низком риске таких осложнений — напротив, авторы указывают на необходимость включать планирование КЭ в протоколы исследований с формулировкой рекомендательного характера при учете показаний, противопоказаний и рисков [16].
В последние годы интерес к капсульной эндоскопии (КЭ) значительно возрос, и в настоящее время она занимает 3-е место в арсенале диагностических исследований после гастро- и колоноскопии. Вероятность задержки капсулы обычно не превышает 2%, хотя у отдельных групп пациентов (например, при болезни Крона) может быть выше. В большинстве случаев задержка капсулы разрешается самостоятельно, но иногда приходится прибегать к инвазивным вмешательствам (хирургическим или эндоскопическим). В связи с этим очень важно правильно определить показания и противопоказания к КЭ.
Болезнь Крона
Болезнь Крона - хроническое воспалительное заболевание кишечника аутоиммунной природы, характеризующееся стенозом кишечных сегментов с вовлечением в патологический процесс всех слоев кишечной стенки, образованием свищей и внекишечными поражениями.
Общепринятое название данного заболевания - “болезнь Крона”, однако до настоящего времени для ее обозначения используют и другие термины: “гранулематозный колит”, “гранулематозный энтерит”, “регионарный колит”, “трансмуральный колит” и т.п.
Термин “болезнь Крона” представляется наиболее удачным, так как включает в себя все многочисленные формы заболевания.
Этиология
Этиологический фактор заболевания не установлен. Предполагается роль вирусов, бактерий. Более или менее доказана роль генетических факторов в возникновении заболевания.
Патогенез
В патогенезе заболевания определенную роль играют аутоиммунные механизмы. У больных выявляются антитела к ткани толстой кишки, специфически сенсибилизированные к антигенам слизистой толстой кишки лимфоциты. Повреждающее действие оказывают также иммунные комплексы. Определяются признаки нарушения клеточного иммунитета, в частности уменьшение содержания Т-клеток в периферической крови. Все это приводит к выраженным воспалительным изменениям кишечника. Макроскопически воспалительные изменения могут быть единичными или множественными, при этом измененные участки чередуются с неизмененными. Более характерны изменения в подвздошной и слепой кишке, прямая кишка поражается не всегда. Процесс захватывает все слои стенки, выглядит в виде язв щелевидной формы или трещин. Часто развиваются стриктуры кишки и псевдополипоз.
Клиническая картина и возможные осложнения
Клиника болезни Крона во многом обусловлена преимущественной локализацией патологического процесса. При поражении толстой кишки, в основном ее правых отделов, у больного отмечается клиника синдрома поражения толстой кишки — боли в животе, урчание, вздутие, поносы с отхождением полужидкого стула с небольшой примесью крови и слизи, похудание, боли в суставах. Болезнь Крона характеризует длительное хроническое течение. При поражении конечной части тонкой кишки (терминальный илеит) появляются боли в правой подвздошной области, рвота, повышение температуры, что часто приводит к оперативному вмешательству из-за подозрения на острый аппендицит. Сужение просвета тонкой кишки может сопровождаться ее непроходимостью.
Боли схваткообразные и более выражены, чем при язвенном колите, стул менее частый, в кале крови может не быть, нет тенезмов и ложных позывов. Если одновременно поражен дистальный отдел подвздошной кишки, в правой подвздошной области пальпируется опухолевидный конгломерат, обусловленный продуктивным воспалением всех слоев кишечника, лимфоузлов брыжейки. Часто в области илеоцекального угла развиваются стриктуры кишки, они могут быть и в других участках как тонкого, так и толстого кишечника. В этом случае развивается довольно типичная картина синдрома частичной, а иногда и полной кишечной непроходимости. Изолированное поражение тонкой кишки, присоединение его к патологическому процессу в толстой кишке приводит к развитию типичной картины синдрома энтеральной недостаточности. Больной худеет, у него появляются явления полигиповитаминоза, метаболические расстройства различной степени тяжести. Характерно развитие свищей, особенно в перианальной области. При поражении пищевода и двенадцатиперстной кишки клиника может напоминать язвенную болезнь, часто развивается стенозирование выходного отдела желудка и начальных отделов двенадцатиперстной кишки с соответствующей клиникой рубцового стеноза кишки. Помимо местных осложнений — свищей, кишечной непроходимости — для болезни Крона характерны экстраинтестинальные проявления — лихорадка, поражение суставов, высыпания на коже, поражения глаз, печени. Из возможных осложнений следует отметить прободение кишки на месте образования язв с последующим формированием абсцесса в брюшной полости, свищей, реже — с развитием перитонита.
Диагностика
Лабораторные исследования крови выявляют анемию как следствие кровопотери или развития синдрома мальабсорбции; различные проявления интоксикации и воспаления: лейкоцитоз с палочкоядерным сдвигом, увеличение СОЭ, повышение активности острофазных белков крови. Как и анемия, гипоальбуминемия и электролитные нарушения присоединяются при прогрессировании вторичного синдрома мальабсорбции. При ирригоскопии и пассаже бария по тонкой кишке выявляется сегментарность поражения тонкой и толстой кишки, чередование пораженных и непораженных сегментов. Контуры кишки неровные, имеются продольные язвы, утолщение рельефа, что создает картину “булыжной мостовой”. Характерны сегментарные сужения пораженных участков (“симптом шнура”). Как правило, решающее слово в диагностике болезни Крона остается за эндоскопическими методами исследования - фиброколоноскопией, ректороманоскопией с проведением множественных биопсий слизистой. Подчеркивается необходимость взятия при биопсии более глубоких слоев кишки. Эндоскопические данные зависят от продолжительности и фазы заболевания. В начальном периоде определяется тусклая слизистая, на ней видны эрозии, окруженные белесоватыми грануляциями (по типу афт). По мере увеличения длительности болезни в фазу обострения картина меняется. Слизистая неравномерно утолщается, обнаруживаются глубокие продольные язвы-трещины, просвет кишки сужен. Нередко можно выявить образовавшиеся свищи. С уменьшением активности процесса на месте язв образуются рубцы и формируются участки стеноза. При гистологическом исследовании выявляется картина неспецифического воспаления, но с рядом особенностей. Инфильтрирована вся толща слизистой, особенно подслизистый слой. Можно выявить саркоидоподобные гранулемы. К сожалению, этот патогномоничный признак болезни Крона выявляется при исследовании биоптата достаточно редко. Ультразвуковое исследование брюшной полости, компьютерная томография дают ценную информацию при диагностике абсцессов, нередко встречающихся при болезни Крона. При наличии наружных свищей показано проведение фистулографии.
Дифференциальная диагностика
Наиболее часто болезнь Крона приходится дифференцировать от язвенного колита, туберкулезного поражения кишки, ишемического колита, иерсиниоза, острого аппендицита. Язвенный колит, протекающий с сопутствующим парапроктитом или ретроградным илеитом, может послужить причиной диагностической ошибки. К тому же даже с использованием современных эндоскопических и рентгенологических методов исследования, гистологического изучения биоптатов примерно в десятой части случаев не удается разграничить эти два заболевания (“недифференцируемый колит”). Развитие рубцовых изменений, кишечных свищей характерно не только для болезни Крона, но и для туберкулеза кишечника. Абдоминальные боли, кишечные кровотечения - симптомы ишемического колита - также могут быть адекватно оценены лишь после надлежащего клинико-инструментального обследования.
Болезнь Крона: симптомы, рекомендации и лечение

Болезнь Крона – это хроническое воспалительное заболевание, поражающее главным образом желудочно-кишечный тракт (ЖКТ). Хотя вовлекаться в процесс может любой отдел ЖКТ от ротовой полости до анального канала (заднего прохода), чаще всего поражается конечный отдел тонкой кишки (подвздошная кишка) и/или толстая кишка (ободочная и прямая кишка).
Болезнь Крона – это хроническое заболевание и может обостряться много раз в течение жизни. Некоторые больные имеют длительные ремиссии, иногда по несколько лет, не имея никаких симптомов заболевания. Предсказать, когда начнется ремиссия или когда симптомы заболевания возобновятся невозможно.
Каковы симптомы болезни Крона?
Так как болезнь Крона может поражать любой отдел пищеварительного тракта, симптомы заболевания могут резко отличаться у разных пациентов. Наиболее распространенными являются следующие симптомы: спазмы, боли в животе, диарея (понос) с примесью крови и слизи, лихорадка, потеря веса и вздутие живота. Однако, не все пациенты испытывают все эти симптомы, некоторые не испытывают ни одного из них. Другие симптомы могут включать боль в заднем проходе или выделения из него, поражения кожи, абсцесс прямой кишки, анальную трещину и боли в суставах (артрит).
Общие симптомы болезни Крона:
- Боли в животе
- Диарея
- Лихорадка
- Вздутие живота при дефекации
- Поражения перианальной кожи
- Абсцессы прямой кишки
- Боли в суставах
Кого поражает заболевание?
Болезнь поражает все возрастные группы, однако большинство пациентов являются молодыми людьми в возрасте от 16 до 40 лет. Болезнь Крона встречается чаще всего у людей, живущих в северных странах. Заболевание поражает мужчин и женщин в равной степени и, часто, является распространенным в некоторых семьях. Около 20 процентов пациентов с болезнью Крона имеют родственника, чаще всего брата или сестру, а иногда и одного из родителей или ребенка, страдающего той или иной формой воспалительных заболеваний кишечника.
Болезнь Крона и аналогичное заболевание – неспецифический язвенный колит, часто описываются вместе как воспалительные заболевания кишечника. Около двух миллионов человек только в США страдают болезнью Крона или неспецифическим язвенным колитом.
Что вызывает болезнь Крона?
Точная причина возникновения заболевания не известна. На сегодняшний день наиболее распространенны теории возникновения болезни, основанные на иммунологических и/или бактериальных причинах. Болезнь Крона не заразна, у нее есть незначительная генетическая (наследственная) предрасположенность. Для диагностики болезни Крона может быть использовано рентгеновское исследование тонкой кишки.
Как лечить болезнь Крона?
Первоначальное лечение почти всегда консервативное (не хирургическое). В настоящее время не существует универсального средства для лечения болезни Крона, однако терапия с применением одного или нескольких препаратов направлена на раннее лечение заболевания и облегчение его симптомов. Наиболее распространенными лекарственными препаратами являются кортикостероиды, такие как преднизолон и метилпреднизолон, а также различные противовоспалительные средства.
Часто используются другие лекарственные препараты, такие как 6-меркаптопурин и азатиоприн, которые обладают иммуноподавляющим действием. Метронидазол, антибиотик действующий на иммунную систему, часто эффективен у пациентов с перианальными проявлениями болезни Крона.
При более распространенных и сложных случаях болезни Крона может быть показана операция. Иногда при развитии грозных осложнений заболевания, таких как кровотечение, острая кишечная непроходимость или перфорация кишки приходится выполнять экстренные оперативные вмешательства.
Не все пациенты с осложненным течением болезни Крона требуют хирургического вмешательства. Такое решение лучше всего принимать после консультации гастроэнтеролога и хирурга-колопроктолога.
Надо ли стараться избежать хирургического лечения БК любой ценой?
Несмотря на то, что медикаментозное (консервативное) лечение является предпочтительным в качестве начального этапа, важно понимать, что около 3\4 всех пациентов в итоге нуждаются в хирургическом лечении. Многие пациенты ошибочно полагают, что операция при болезни Крона является опасной или неизбежно приводит к осложнениям.
Хирургия не является "панацеей", однако после одной операции многим пациентам не потребуется проведение дополнительных хирургических операций. Наиболее распространенной процедурой лечения является консервативная терапия с ограниченной резекцией кишки (удаление только пораженного участка кишки).
Хирургическое лечение часто приводит к длительному облегчению симптомов болезни Крона, снижает или устраняет необходимость в постоянном использовании лекарств. Оперативное лечение лучше всего проводить у хирурга-колопроктолога, работающего в клинике, которая располагает опытом комплексного лечения больных с болезнью Крона.
Записаться на прием
Ошибки ведения больных с болезнью Крона.
Владимир Трофимович Ивашкин, академик РАМН, доктор медицинских наук:
– Ну, что ж, мы съели довольно много времени у Игоря Львовича. Поэтому он должен сейчас продемонстрировать высочайшее мастерство, и вместо 25 минут изложить свой материал в течение 12 минут. Но тогда это будет класс, тогда мы действительно признаем ваше невероятное совершенство как лектора.
Игорь Львович Халиф, профессор:
– Спасибо, Владимир Трофимович. Давайте сразу же начнем. Самое главное, это определение. Я всегда об этом говорю. Когда хорошее определение, сразу понятно, о чем идет речь.
Болезнь Крона – это хроническое рецидивирующее, то есть неизлечимое, заболевание всего желудочно-кишечного тракта. Этиология неизвестна, характеризуется трансмуральным (поражение всей стенки кишки) сегментарным (чередование пораженных и непораженных сегментов) распространением воспалительного процесса, самое главное, с развитием местных и системных осложнений.
Вот фотография самого Баррила Крона, который умер в возрасте 99 лет. В 1932 году он вместе с Оппенгеймером и Гинзбургом впервые описал терминальный илеит.
Что же важно знать? Уже сегодня это звучало. Это в первую очередь внекишечные проявления, которые иной раз проходят мимо врача и лечатся у дерматологов, у хирургов. Посмотрите на гангренозную пиодермию. Если бы кто-то подумал о возможности, что это проявление болезни Крона, то никогда хирург не стал бы иссекать эти очаги. Потому что практически все внекишечные симптомы, проявляемые у больных воспалительными заболеваниями кишечника, связаны с активностью процессов в кишке. То же самое: артропатия, эписклерит, увеит, иридоциклит – длительное лечение у других специалистов, и нет никакой мысли о том, что нужно подумать и, самое главное, расспросить больного о возможном проявлении кишечной симптоматики. Афтозный стоматит, лечение у стоматологов и прочее – затрудняют начало точной диагностики заболевания.
А вот то, что иной раз бывает, к сожалению, и у колопроктологов, у хирургов, которые сталкиваются с трещинами, со свищами прямой кишки. Не обследуя больных, они делают свое дело – как говорится, иссекают хирургическим путем. Что возможно и к чему это может привести, посмотрите.
Юрий Анатольевич Шелыгин, профессор:
– Я тут не могу согласиться. Хочу защитить хирургов. Проявление самой болезни, это же не результаты сечения.
Халиф И.Л.:
– Но проявление болезни, которое не диагностировано было хирургами.
Шелыгин Ю.А.:
– Это да. И не назначено лечение.
Халиф И.Л.:
– Не просто не назначено, а ненужное хирургическое лечение привело к таким вот последствиям. То есть вопрос ставится именно о том, что всегда при наличии каких-либо проявлений нужно помнить, что эти проявления могут быть не основным заболеванием, а проявлением другого заболевания, более серьезного.
Второй момент, сегодня тоже об этом звучало, это гормональная зависимость и гормональная резистентность. Самый важный момент в том, что мы все должны полностью уйти от стероидов. Когда разговор вновь ведется о так называемой пульс-терапии (я этого не понимаю), о добавлении к этой пульс-терапии Циклофосфана, даются огромнейшие дозы, это абсолютно неверный подход. Это же относится и к поддерживающей терапии на гормонах. Сегодня об этом говорил Олег Самуилович.
Шелыгин Ю.А.:
– Разве мы рекомендуем пульс-терапию?
Халиф И.Л.:
Ивашкин В.Т.:
– Вы знаете, эта пресловутая пульс-терапия, это какое-то поветрие в нашей терапевтической практике.
Халиф И.Л.:
Ивашкин В.Т.:
– Сколько я с этим борюсь, я не видел ни одного случая, когда бы пульс-терапия приносила реальные результаты. Плохо делает, это абсолютно.
Халиф И.Л.:
Ивашкин В.Т.:
– Вместо терпеливого, спокойного назначения адекватной дозы стероидов и наблюдения за пациентом…
Халиф И.Л.:
Ивашкин В.Т.:
– Вообще, это непонимание того, мне кажется, что это хронический процесс, неизлечимый процесс.
Халиф И.Л.:
Ивашкин В.Т.:
– Я понимаю, когда острейший гломерулонефрит аутоиммунной природы, где быстро нарастает острая почечная недостаточность и где большие дозы глюкокортикоидов (00:05:00) могут в довольно значительной степени улучшить. Но при хроническом заболевании…
Халиф И.Л.:
– Так вот поэтому, конечно, об этом нужно помнить и всегда говорить, что отмена стероидов – это основа любого консервативного терапевтического мероприятия у данных больных.
Давайте посмотрим клинический случай. Пациентка 25 лет. Дебют заболевания был в 2008 году. Боли появляются в правой подвздошной области, жидкий стул до 6 раз в сутки, субфебрилитет. Тогда же по месту жительства доктора очень своевременно подошли к этому вопросу. Делается колоноскопия, оценивается, что в терминальном отделе подвздошной кишки появляется типичная картина для болезни Крона – проявление «булыжной мостовой», оценивается, что сзади находится неполный экстрасфинктерный свищ прямой кишки. Выставляется диагноз «болезнь Крона» и (все очень правильно) назначается терапия Будесонидом. Потому что именно Будесонид работает в этой области – в терминальном отделе подвздошной кишки, – больше нигде. Получают хороший эффект. А дальше смотрите. Считается, что больной вылечен, и никакой противорецидивной терапии не назначается.
Больные с болезнью Крона после любого лечения обязаны находится на противорецидивной терапии!
Шелыгин Ю.А.:
– В течение всей жизни, получается.
Халиф И.Л.:
– Практически да. Смотрим дальше. 2009 год, естественно, атака. Опять назначается Будесонид. Хороший эффект. Опять не назначается противорецидивная терапия. Опять получает снижение дозы Будесонида, оставляя его якобы на противорецидивную терапию. Хотя это не системный, а местный стероид, но получаем осложнения. И вот дальше начинается постоянный прием стероидного препарата в течение двух лет, хотя это Будесонид. Что же происходит? Естественно, на фоне этой терапии опять появляются обострения.
В апреле 2010 года больная обследуется: терминальный илеит, при илеоколоноскопии – фаза язв. То есть нет эффекта от проводимой терапии. И тогда больной назначается уже системная стероидная терапия из расчета 1 мг на 1 кг массы тела. В последующем добавляется Пентаса. Все верно, докторами проводится правильная оценка, снижается доза гормонов. И на фоне 15 мг – обострение. Больная попадает к нам в центр. Мы констатируем у нее гормональную зависимость и начинаем лечение Инфликсимабом. Это 2 года биологической терапии для того, чтобы преодолеть гормональную зависимость. Подсоединяем иммуносупрессоры – Азатиоприн. Получаем клиническую ремиссию. На протяжении двух лет (до января 2012 года) она принимает Инфликсимаб.
И вот тут начинаются игры. Инфликсимаб отсутствует в этом регионе, она его перестает получать. Приходится перейти на другую антицитокиновую терапию – Адалимумабом (Хумирой). Продолжается терапия иммуносупрессором Азатиоприном. Остается клиническая ремиссия. В 2013 году врачи по месту жительства (не знаю, на что рассчитывая) вдруг говорят: «Раз у вас такая длительная ремиссия, мы отменяем биологическую терапию». И почему-то (это мне совсем непонятно) переходят с Азатиоприна на Метотрексат, причем в дозировке 25 мг в неделю внутрь.
Смотрим дальше. Естественно, начинаются обострения, ноющие боли в правой подвздошной области, лихорадка до 39 градусов в вечернее время суток. При обследовании в декабре 2013 года у нас мы уже констатируем наличие глубоких язвенных дефектов, наличие инфильтрата, стриктуры в области илеоцекального отдела. А при исследовании тонкой кишки находим осложнение межкишечным илеоцекальным свищом, который уже, конечно же, никакими консервативными методами вылечить невозможно с наличием инфильтративного процесса. Поэтому больная подвергается хирургическому лечению. И восстанавливается вновь противорецидивная терапия уже Хумирой с назначением иммуносупрессии. Больная выписывается на длительную противорецидивную терапию.
Шелыгин Ю.А.:
– Игорь Львович, вот вы говорите «длительную».
Халиф И.Л.:
– Не менее двух лет.
Шелыгин Ю.А.:
Халиф И.Л.:
– А дальше, Юрий Анатольевич, рассматривается следующий вопрос. Мы все прекрасно понимаем, что биологическая терапия, это затратная терапия. И если мы получаем на фоне двухлетней терапии, как сейчас принято говорить, deep remission – глубокую ремиссию, то есть эндоскопическую и клиническую ремиссию, то мы можем рассмотреть вопрос о прекращении биологической терапии и оставлении этого больного на иммуносупрессивную терапию Азатиоприном в последующем, но с обязательным контролем. Потому что мы знаем, что ускользание эффекта от иммуносупрессивной терапии возможно, и тогда надо снова рассматривать вопрос о присоединении биологической терапии в этом случае.
Ивашкин В.Т.:
– Критерий 2 года сейчас стал общим для аутоиммунных заболеваний.
Халиф И.Л.:
Ивашкин В.Т.:
– То же самое при аутоиммунном гепатите. Мы обязаны лечить 2 года. То же самое при ревматоидном артрите. То же самое здесь.
Шелыгин Ю.А.:
Халиф И.Л.:
– Итак, второй случай. Пациент в возрасте 41 года. В 2005 году дебют болезни Крона. Появляется диарея, боли в правой подвздошной области, выявляется невыраженная легкая железодефицитная анемия. Колоноскопия не проводится, хотя, в общем-то, уже можно было бы подумать об этом. Проводится так называемая курсовая терапия пробиотиками, спазмолитиками с очень непостоянным эффектом. И до 2010 года больной переходит от одного врача к другому, плюс самостоятельное лечение. В 2010 году экстренная госпитализация с резкими болями в животе с повышением температуры до 40 градусов. Оперируется по месту жительства. Обнаруживаются изменения в тонкой кишке, характерные, как говорят хирурги, для болезни Крона. И больному ничего не производится, он выписывается на терапии Сульфасалазином без какого-либо дополнительного обследования.
2011 год – вновь экстренная госпитализация с выраженными болями в животе, многократной рвотой. Вновь операция. На основании тех макроскопических изменений вновь выставляется диагноз «болезнь Крона». И тогда врачи начинают задумываться. Назначают больному Будесонид и Месалазин.
Сентябрь 2011 года – больной, наконец, обследуется в стационаре. Посмотрите, это с 2008 года. При илеоколоноскопии выявляется картина перенесенного очагового воспаления.
Ивашкин В.Т.:
– Вы знаете, мне не хочется, чтобы у нашей аудитории создалось впечатление, что это только в России такое.
Халиф И.Л.:
Шелыгин Ю.А.:
– Нет, это везде, конечно.
Ивашкин В.Т.:
– Такое же в США, во Франции, в Англии.
Шелыгин Ю.А.:
– Это мировая ситуация.
Халиф И.Л.:
– Владимир Трофимович, естественно, это везде. Но сейчас я представляю именно такую концентрацию, чтобы врачи иногда просто подумали: «А, может быть, вот это?».
Итак, выявляется картина перенесенного ранее очагового воспаления. Дальше проводится исследование уже рентгенологическое, то есть, как мы сейчас говорим, лучевое исследование. Мы выявляем неравномерное расширение петель тонкой кишки с формированием уровня «газ-жидкость» и говорим о частичной механической тонкокишечной непроходимости. Однако клинических проявлений никаких нет, вроде больной не жалуется. Больного переводят на Азатиоприн (вроде все правильно). Но не задумываются о том, что у больного есть признаки частичной кишечной непроходимости, которые могут быть связаны в первую очередь с развитием стриктуры, на которую консервативные методы лечения уже не действуют. Об этом тоже надо всегда думать.
И пожалуйста, январь 2012 года – больной вновь экстренно оперируется. Интраоперационно выявлен диффузный перитонит, воспалительные изменения в области тощей уже кишки. И производится формирование еюно-еюноанастомоза с выключением пораженного участка тощей кишки из пищеварения. Больной продолжает принимать Азатиоприн. Буквально через несколько дней, так как появляются выделения кишечного содержимого по дренажу из малого таза, вновь повторно оперируется. При ревизии выявляется острая язва в отключенной тощей кишке. Выполняется резекция участка тощей кишки (ни много, ни мало, все-таки 30 см) и дальше больной опять продолжает лечение Азатиоприном, которое в принципе неэффективно.
В июле 2013 года у больного проводится контрольное обследование. Выявляется терминальный илеит, опять же наличие изъязвлений. И больному назначается Будесонид с наличием антибиотиков. Причем базисная терапия практически не корректируется.
Лето 2013 года – вновь обострение. Опять появляются боли. При этом обследуется фекальный кальпротектин. Сегодня Олег Самуилович говорил об этом. Посмотрите, какое его повышение. То есть это неспецифический фактор, говорящий о воспалительной реакции. При колоноскопии выявляются язвенные дефекты. И плюс ко всему появляются уже признаки распространения процесса, потому что выявляются язвенные дефекты в толстой кишке. Летом 2013 года мы констатируем неэффективность терапии иммуносупрессорами, назначаем больному биологическую терапию. И после первой инфузии получаем клиническую ремиссию. Сейчас больной находится на продолжающейся биологической терапии. В принципе, об этом можно было задуматься несколько лет назад.
Поэтому мне бы хотелось закончить свое выступление некоторыми международными литературными данными. Сегодня говорилось об ECCO. Так вот, положение ECCO говорит о том, что пациенты, имеющие неблагоприятные прогностические факторы, являются наиболее подходящими кандидатами именно для раннего назначения иммуносупрессии и…
Шелыгин Ю.А.:
– Игорь Львович, но почему-то вы ссылаетесь на ECCO, а не на наши национальные клинические рекомендации, написанные многими из здесь сидящих за столом.
Халиф И.Л.:
– Юрий Анатольевич, я специально это сейчас привожу почему? Потому что как раз в конце и хочу сказать, что (00:16:52) «изданные»…
Но я продолжу. Посмотрите, что получается. Более высокая частота ремиссии доказана при более раннем назначении биологической терапии. Многочисленные исследования по проведению биологической терапии показывают, что чем раньше она начинается, тем выше процент оказания эффективности.
Каждый доктор, занимающийся проблемами воспалительных заболеваний кишечника, и врач, который сталкивается с этим, должен всегда помнить факторы прогрессирования болезни Крона. Это очень и очень важный момент, потому что у нашего больного, пример которого я приводил сейчас, они были изначально, и возможность о лечении этого больного встала бы гораздо раньше.
А сейчас я хочу завершить свое выступление тем, что действительно благодаря соединению и плодотворной работе Ассоциации гастроэнтерологов, Ассоциации колопроктологов России и обществу при Ассоциации колопроктологов России по изучению воспалительных заболеваний кишечника нами созданы рекомендации, которые опубликованы на сайтах Гастроэнтерологической ассоциации России и на нашем сайте Центра колопроктологии.
Ивашкин В.Т.:
– Вы так стыдливо упоминаете.
Халиф И.Л.:
– Нет, наоборот. Это не стыдливо. На самом деле мы приводим именно свои рекомендации, которые идут в ключе и европейских, и мировых рекомендаций (американских, канадских). Но обобщен наш российский опыт. И я думаю, что если врачи на местах будут следовать этим рекомендациям, то, во-первых, не будет ошибок, а во-вторых, будет понимание в этом направлении.
Благодарю за внимание.
Ивашкин В.Т.:
Халиф И.Л.:
– Мне, по-моему, удалось уложиться.
Ивашкин В.Т.:
– Нет, не удалось. Вы перебрали 10 минут.
Халиф И.Л.:
– Но у нас же была дискуссия.
Ивашкин В.Т.:
– Вы часто пользуетесь термином «частичная кишечная непроходимость». Это что такое? То ли она есть, то ли ее нет?
Шелыгин Ю.А.:
– Я понимаю так, что это нарушение кишечной проходимости.
Ивашкин В.Т.:
– Понимаете, в чем дело? Кишечная непроходимость либо есть, либо ее нет.
Шелыгин Ю.А.:
– Она либо есть, либо нет. Конечно.
Ивашкин В.Т.:
– Если она есть, она может быть рецидивирующей, персистирующей и т.д. Далее, при определении персистирующей или рецидивирующей кишечной непроходимости все-таки нам очень важно, особенно для терапевтов, понимать, это обструктивная кишечная непроходимость или это паралич кишки.
Шелыгин Ю.А.:
– При болезни Крона, однозначно, только стриктура.
Ивашкин В.Т.:
– Мне кажется, надо очень точно в этом отношении выражаться. Потому что терапевты (я не знаю, как хирурги) очень плохо диагностируют кишечную непроходимость. В терапевтической клинике обструктивной кишечной непроходимости намного меньше, чем случаев паралитической кишечной непроходимости. И во многом это обусловлено тем, что терапевты никогда не слушают живот. Не слушают живот, не перкутируют живот. И это очень часто приводит к большим ошибкам. Длительное время при тяжелых пневмониях, при циррозе печени, у пациентов с паралитической кишкой и у пациентов с тяжелым инфарктом миокарда она встречается.
Мне кажется, что нам, хирургам и терапевтам, нужно собраться и обсудить этот вопрос по кишечной непроходимости, потому что она во многом определяет исход, что делать. Очень часто терапевтическая кишечная непроходимость является результатом избыточного бактериального роста, сочетающегося с диареей и с дефицитом калия. Калий никто не смотрит, никто не связывает дефицит калия с развитием паралича кишки. И это проблема. Мне много приходится консультировать в разных местах, и я знаю, что определение и отношение к кишечной непроходимости в ряде случаев является решающим.
Читайте также:
