Травма предплечья. Переломы костей предплечья - лучевой и локтевой костей
Добавил пользователь Владимир З. Обновлено: 27.01.2026
Предплечье (лат. – ossa Antebrachii) — сегмент свободной верхней конечности, состоящий из двух парных костей — лучевой и локтевой. Предплечье является продолжением плеча, и соединено с ним посредством локтевого сустава. Продолжением предплечья является кисть, которая соединяется с предплечьем с помощью кистевого сустава.
Предплечье выполняет важную роль в осуществлении функции верхней конечности, имеет сложное строение. Кости предплечья образуют 6 суставов, благодаря чему человек может выполнять сложнейшие движения рукой в своей жизнедеятельности.
Кости предплечья служат местом прикрепления многих мышц сгибателей и разгибателей пальцев и кисти и др. Сложное строение и функция предплечья имеет большое значение при лечении повреждений костей образующих данный сегмент.
Переломы предплечья
Переломы костей предплечья довольно распространены среди всех переломов костей скелета. Повреждение костей предплечья, как правило, происходит в результате прямого воздействия сил высокой энергии. Данное повреждение распространено как среди молодых, так и пожилых пациентов, однако наиболее часто встречается у спортсменов, у людей попавших в дорожно-транспортные аварии, при боевых действиях и катастрофах.
Переломы костей предплечья могут быть изолированными, а могут и сочетаться с другими повреждениями. Переломы костей предплечья чаще встречаются со смещением отломков, реже без смещения. В зависимости от уровня перелома различают — повреждение проксимального отдела, повреждение диафиза, повреждение дистального отдела предплечья. Переломы костей предплечья могут быт закрытыми — встречаются чаще, и открытыми — более реже.
Довольно распространены также повреждения костей предплечья при которых происходит перелом одной из костей и вывих головки другой — это так называемые переломо-вывихи костей предплечья. Наиболее часто встречаются перелом Монтеджи (Monteggia 1814 г.) — перелом локтевой кости в сочетании с вывихом головки лучевой кости, и перелом Галеацци (Galeazzi) — перелом лучевой кости и вывих головки локтевой кости.
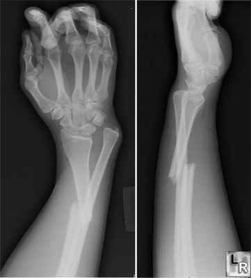
Наиболее частый вид перелома среди костей предплечья — это перелом лучевой кости в «типичном месте», который распространен среди пожилых женщин.
Диагностика переломов предплечья
Диагностика переломов костей предплечья, а так же переломо-вывихов в большинстве случаев не представляет сложности, при условии правильного ее выполнения. Часто бывает достаточно проведения врачом-травматологом клинического (осмотр, сравнительная оценка, измерение, пальпация и т.д.) и рентгенологического обследования больного.
Вид больного часто характерен — он поддерживает приведенную и согнутую в локтевом суставе руку. Визуально в зависимости от уровня повреждения, переломам костей предплечья присущи практически все симптомы характерные для переломов костей — это деформация в проекции перелома, отек мягких тканей, подкожное кровоизлияние, нарушение функции и др. Более детальная характеристика перелома возможна после проведения рентгенологического обследования.
Осложнения при переломах костей предплечья
Осложнения при переломах костей предплечья — встречаются в 12-22% случаев, и довольно разнообразны. Большое значение имеет вид перелома, локализация, метод лечения, а так же время, прошедшее с момента травмы и последующего лечения. При лечении переломов костей предплечья осложнения встречаются как при консервативном, так и при оперативном методах лечения.
Лечение переломов костей предплечья
В травматолого-ортопедическом отделении нашей клиники проводится лечение переломов костей предплечья, переломов бедра, переломов голени, лечение травм мениска, с учетом наиболее современных и общепринятых во всем мире взглядов на данный вид повреждения.
Приоритетными целями при лечении являются: наиболее возможно высокий функциональный результат поврежденного сегмента, скорейшая реабилитация, косметический результат, разумно допустимый комфорт при лечении, пожелания пациента и др.
Переломы костей предплечья.
Причины
Причины перелома костей предплечья в зависимости от локализации:
• лучевой кости в типичном месте возникает вследствие падения на прямую руку с упором на ладонь. Немного реже такого рода перелом возникает при падении на тыльную часть ладони. Более распространены такие переломы среди людей, страдающих заболеваниями костей, снижающими их плотность. В большинстве случаев кость ломается на пару сантиметров выше лучезапястного сустава;
• средней части, или диафиза обеих костей предплечья, довольно частое повреждение. Возникает как следствие падения на руку или сильного удара по предплечью;
• диафиза локтевой кости возникает как следствие удара по предплечью;
• диафиза лучевой кости возникает как следствие удара по предплечью;
• головки либо шейки лучевой кости возникает вследствие падения на прямую руку;
• Монтеджа возникает вследствие отражения удара согнутым и поднятым предплечьем, либо падения на прямую руку;
• Галеацци возникает при ударе по предплечью либо при падении на прямую руку;
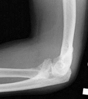
• локтевого отростка возникает вследствие резкого сокращения мышцы, разгибающей предплечье, падения или удара в область локтя;
• венечного отростка возникает как следствие падения на согнутый локоть.
Лечение
Первая помощь при переломах костей предплечья заключается в обезболивании, фиксации поврежденной конечности. В течение нескольких часов рекомендуют наложение холода для предотвращения развития отека. Больной доставляется к врачу.
При переломе локтевого и венечного отростка без смещения накладывают гипсовую повязку сроком на 3-4 недели. При смещении фрагментов больше чем на 5мм при переломе локтевого отростка проводят оперативное вмешательство методом остеосинтеза (соединение костных отломков при помощи фиксирующих конструкций, которые обеспечивают неподвижность костных фрагментов). При вклинивании осколка в локтевой сустав при переломе венечного отростка оперативно удаляют этот фрагмент.
При несмещенном переломе головки и шейки лучевой кости на согнутый локтевой сустав накладывают лонгет с фиксацией лучезапястного и локтевого сустава и до середины плеча сроком на три недели. При смещении показан остеосинтез.
При диафизарном переломе локтевой и лучевой кости, не осложненной смещением, предплечье фиксируют в положении сгиба с захватом лучезапястного и локтевого суставов сроком на пять недель. При переломе со смещением выполняют репозицию (восстановление правильного положения смещенных отломков кости) и накладывают гипсовую повязку сроком до шести недель.
При диафизарном переломе обеих костей предплечья без смещения на руку, согнутую в локте, накладывают лонгет, захватывая лучезапястный и локтевой сустав сроком до восьми недель. При смещении отломков проводят репозицию или остеосинтез в зависимости от тяжести повреждения. После оперативного вмешательства накладывают гипсовую повязку сроком до трех месяцев.
Хирургическое лечение в нашей клинике:
В ходе этой операции устраняют смещение отломков и скрепляют кость металлической конструкцией, выбор которой определяется характером перелома.
Операционный доступ: 1. Доступ Томсона; 2. Доступ Генри; 3. Доступ к локтевой кости.
Положение пациента на спине. Обезболивание: проводниковая анестезия или эндотрахеальный наркоз. Операция выполняется в кратчайшие сроки с использованием современных методик и имплантов. Импланты производства Швейцария и Германия. Материал имплантов: титан или медицинская сталь.
Переломы костей предплечья
Перелом костей предплечья — нарушение анатомической целостности лучевой и (или) локтевой кости, возникающее в результате прямого удара или при падении.
Переломы костей предплечья проявляются резкой болью в месте травмы, отеком, болезненностью при пальпации, крепитацией отломков. При переломе проксимального отдела костей предплечья возникает ограничение движений в локтевом суставе, при переломе дистального отдела костей предплечья — в лучезапястном суставе. При переломе обеих костей предплечья в средней трети возникает видимая деформация и укорочение предплечья. Переломы дистального метаэпифиза лучевой кости часто называют переломами «в типичном месте». Такие переломы чаще встречаются у женщин пожилого и старческого возраста на фоне остеопороза и возникают при падении на вытянутую руку.
Классификация переломов предплечья
1. Переломы проксимального отдела лучевой и локтевой костей
А = Внесуставные переломы
- А1 Внесуставные переломы локтевой кости при интактной лучевой
- А2 Внесуставной перелом лучевой кости при целой локтевой
- A3 Внесуставной перелом обеих костей
В = Внутрисуставные переломы одной кости
- В1 Внутрисуставной перелом локтевой кости при интактной лучевой
- В2 Внутрисуставной перелом лучевой кости при интактной локтевой
- ВЗ Внутрисуставной перелом одной из костей и внесуставной перелом другой
С = Внутрисуставные переломы обеих костей
- С1 Внутрисуставные переломы обеих костей простые
- С2 Внутрисуставной перелом обеих костей: одной простой, другой многооскольчатый.
- СЗ Внутрисуставные переломы обеих костей многооскольчатые.
Переломы проксимального отдела костей предплечья
2. Переломы диафизарного отдела лучевой и локтевой костей
А = Простые переломы
- А1 Простой перелом локтевой кости при интактной лучевой
- А2 Простой перелом лучевой кости при интактной локтевой)
- A3 Простой перелом обеих костей
В = Переломы с клиновидным фрагментом
- В1 Клиновидный перелом локтевой кости при интактной лучевой
- В2 Клиновидный перелом лучевой при интактной локтевой
- ВЗ Клиновидный перелом одной кости, и простой или клиновидный перелом другой кости
С = Сложные переломы
- С1 Сложный перелом локтевой
- С2 Сложный перелом лучевой
- СЗ Сложные переломы обеих костей
Переломы диафизарного отдела костей предплечья
3. Переломы дистального отдела лучевой локтевой костей
А = Внесуставные переломы
- А1 Внесуставной перелом локтевой при интактной лучевой
- А2 Простой или вколоченный перелом лучевой кости внесуставной
- A3 Внесуставной многооскольчатый перелом лучевой кости
В = Частично внутрисуставные переломы
- В1 Частично внутрисуставной сагитальный перелом лучевой кости
- В2 Частично внутрисуставной перелом тыльного края лучевой кости(
- ВЗ Частично внутрисуставной перелом ладонного края лучевой кости
С = Полные внутрисуставные переломы
- С1 Полный внутрисуставной перелом лучевой кости: простой внутрисуставной, простой метафизарный
- С2 Полный внутрисуставной перелом .тучевой кости: простой внутрисуставной, многооскольчатый метафизарный
- СЗ Полный внутрисуставной многооскольчатый перелом лучевой кости

106. Переломы дистального отдела костей предплечья
При переломах лучевой кости «в типичном месте» обычно проводится консервативное лечение. При наличии смещения отломков под местной анестезией выполняется закрытая репозиция с последующей иммобилизацией. Срок иммобилизации 4–6 недель с последующим назначением восстановительного лечения (физиотерапевтических процедур, лечебной гимнастики). В ряде случаев показано назначение препаратов кальция и сосудистых препаратов. Переломы костей проксимального отдела предплечья без смещения также обычно не требуют выполнения хирургического вмешательства. Для сохранения функции локтевого сустава важно раннее начало лечебной гимнастики.
Хирургическое лечение переломов предплечья
Остеосинтез стержнями часто не обеспечивает стабильной фиксации, а введение прямого стержня в лучевую кость приводит к выравниванию физиологической кривизны лучевой кости, что ведет к нарушению ротационных движений.
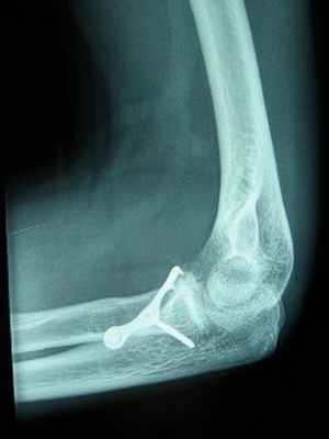
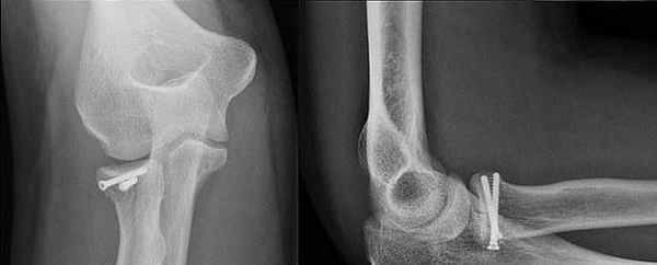
При переломе венечного отростка остеосинтез выполняют 3,5 мм винтом. Для остеосинтеза перелома головки лучевой кости применяют фиксацию малым спонгиозным винтом.

Остеосинтез головки лучевой кости и венечного отростка локтевой винтами.
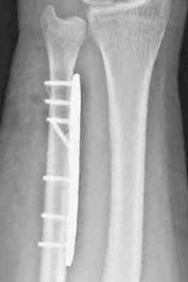
При переломах диафиза и метафиза обеих костей или изолированных переломах лучевой и локтевой костей остеосинтез производят прямыми узкими, желобоватыми пластинами.
Принципы экстракортикального остеосинтеза костей предплечья.
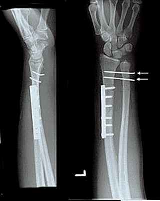
Остеосинтез при переломах дистального отдела лучевой кости производят редко, как правило, при неудаче консервативного лечения. Для остеосинтеза применяют малую Т-образную пластину (Рис. 140).
Первый винт вводят через продолговатое отверстие в проксимальный отломок, тем самым создавая опору для дистального фрагмента. Сам отломок фиксируют компрессионным спонгиозным винтом через отверстие пластины. Рану ушивают с тщательным восстановлением квадратного пронатора. Движения в лучезапястном суставе разрешают через 3–5 дней.
В некоторых случаях остеосинтез производят спицами или спонгиозным винтом.
Остеосинтез лучевой кости в дистальном отделе
Аппарат внешней фиксации применяют при открытых переломах костей предплечья, а также при переломах дистального отдела предплечья.
При диафизарных переломах предплечья внешний фиксатор применяют как временное устройство до заживления раны мягких тканей, после чего производят внутренний остеосинтез. При закрытом остеосинтезе в исключительных случаях для анатомической репозиции можно выполнить малый разрез над линией перелома.
Вешняя фиксация при переломе лучевой кости в типичном месте.
После стабильно-функционального остеосинтеза костей предплечья обычно иммобилизация в гипсовой повязке не требуется. С первых дней после остеосинтеза назначается лечебная гимнастика направленная на восстановление функции травмированной конечности.
Переломы костей предплечья
Переломы костей предплечья составляют до 30% общего числа закрытых повреждений и относятся к тяжелым и сложным переломам.
Сочленения локтевой и лучевой костей, образующих предплечье, входят в состав двух суставов – локтевого и лучезапястного. На протяжении эти кости соединены межкостной мембраной, натяжением которой обусловлено сближающее смещение костей при переломе диафиза, что не наблюдается при переломах диафизов других сегментов.
Сложности устранения этой деформации – причина необходимости оперативного лечения переломов костей предплечья.


Переломы костей предплечья подразделяются на:
1) переломы проксимального отдела костей предплечья
— переломы локтевого отростка локтевой кости


















Государственная клиническая больница №29 им. Н.Э.Баумана – это современная многопрофильная высокотехнологичная больница с уникальной полуторавековой историей и традицией, оказывающая высококачественную медицинскую помощь в круглосуточном режиме.
м. «Семеновская» — трамваи 43 и 46 (ост. «Солдатская улица»), трамвай 32 (ост. «Госпитальная площадь»);
- Роддом №29
- Корпус 10
- Корпус 3
- Корпус 4
- Корпус 2
- Корпус 15
- Корпус 39
- Корпус 37
- Корпус 38
- Корпус 29
- Корпус 27
1 этаж - Консультативно-диагностический центр; Приемное отделение хирургии верхней конечности (предплечья и кисти)
2-3 этаж - Оториноларингологическое отделение (ЛОР)
4-5 этаж - Отделение хирургии верхней конечности (предплечья и кисти)
1 этаж - Приемное отделение; Физиотерапевтическое отделение; Кабинет лечебной физкультуры.
2 этаж - Отделение эндоваскулярной хирургии
2 - 3 этаж - Урологическое отделение
4 этаж - Отделение реанимации и интенсивной терапии для кардиологических больных; Кардиологическое отделение для больных с острым инфарктом миокарда
5 этаж - 2-ое кардиологическое отделение
6 этаж - Неврологическое отделение
7 этаж - Отделение гнойной хирургии
Патологоанатомическое отделение; Морг
1 этаж - Отдел кадров; Бухгалтерия
2 этаж - Главный врач; Заместитель главного врача по лечебной работе; Экономический отдел.
1 этаж - Отделение клинической и экспериментальной иммунологии
2 этаж - Бактериологическая лаборатория
2 этаж - Оперативный отдел; Главная медицинская сестра.
1 этаж - Рентгенологическое отделение; Компьютерная томография; Эндоскопическое отделение; Кабинет интервенционной ультрасонографии
2 этаж - 1-е хирургическое отделение
3 этаж - Травматологическое отделение
4 этаж - Гинекологическое отделение
5 этаж - 2-е хирургическое отделение
6 этаж - Отделение реанимации и интенсивной терапии; Отделение реанимации и интенсивной терапии для больных с острыми нарушениями мозгового кровообращения
7 этаж - Отделение анестезиологии; Операционный блок
1 этаж - Аптека
2 этаж - 4-ое терапевтическое отделение
3 этаж - 3-е терапевтическое отделение
1 этаж - Стоматологический кабинет; Кабинет лечебного массажа.
2 этаж - Отделение ультразвуковой и функциональной диагностики
3 этаж - Дневной стационар
1 этаж - Перинатальный центр; Отделение катамнеза; Дневной стационар; Приемное отделение; Кабинет иммунологии; Отделение ультразвуковой диагностики
2 этаж - Родильный блок; Операционный блок; Отделение интенсивной терапии и реанимации; Палата интенсивной терапии.
3 этаж - 3-е акушерское отделение; Отделение реанимации и интенсивной терапии новорожденных.
4 этаж - Послеродовое отделение (1-е акушерское) отделение; 2-е отделение новорожденных.
5 этаж - Послеродовое отделение (2-е акушерское) отделение; 1-е отделение новорожденных.
6 этаж - Отделение патологии (4-е акушерское); Отделение патологии (5-е акушерское).
Перелом предплечья
Перелом костей предплечья – одна из самых распространенных травм среди детей и взрослых. Чаще всего она возникает при падении на вытянутую руку и сопровождается сильной болью и нарушением функции конечности. Травматологи клиники «СМ-Доктор» в Москве занимаются диагностикой и консервативным лечением детей с переломами костей предплечья. Мы бережно осмотрим малыша, проведем рентгенологическую диагностику, при необходимости поставим отломки на место и наложим гипс. Оперативное лечение проводится в специализированных клиниках.
Предплечье образовано двумя длинными костями: лучевой и локтевой. С одной стороны эта область отграничена локтевым, а с другой – лучезапястным суставом. Перелом может возникнуть в любом отделе, но наиболее часто травматологи сталкиваются с повреждением лучевой кости в ее нижней трети. Также распространен перелом локтевого отростка локтевой кости, который происходит при падении на локоть.

Классификация: виды переломов предплечья у детей
Существуют различные способы классификации повреждений костей предплечья:
- закрытые (без повреждения кожи) и открытые (сопровождаются разрывом мягких тканей и кожи);
- без смещения и со смещением отломков;
- по направлению разлома: прямые, косые, винтообразные, оскольчатые;
- по наличию осложнений: неосложненные и осложненные (например, сопровождающиеся повреждением крупных сосудов или нервных пучков);
- по локализации: в верхней, средней или нижней трети предплечья, а также внесуставные.
Причины
Чаще всего причиной перелома одной или обеих костей предплечья у детей является падение на вытянутую вперед руку или локоть. Также нередки травмы, возникшие во время игр или драк вследствие прямого удара по руке чем-либо твердым. Если причиной является ДТП, падение с высоты или другой тяжелый инцидент, перелом предплечья может сопровождаться повреждениями других костей и/или внутренних органов.
Симптомы перелома предплечья у ребенка
Признаки перелома предплечья у детей во многом зависят от локализации повреждений.
Общими для всех видов травм являются следующие симптомы:
- сильная боль в момент получения повреждения, сохраняющаяся длительное время;
- усиление боли при ощупывании пострадавшей зоны и попытках двигать рукой;
- быстро нарастающий отек и подкожная гематома;
- визуальная деформация при наличии смещения;
- патологическая подвижность поврежденной кости, сопровождающаяся характерным хрустом (крепитацией) костных отломков;
- нарушение функции руки.
Маленький ребенок, который еще не может говорить, будет плакать и щадить поврежденную конечность.
При наличии сопутствующих повреждений суставов будут наблюдаться соответствующие симптомы: характерная деформация сочленения, вынужденное, неестественное положение кисти или предплечья, невозможность движений.
Диагностика
При подозрении на повреждение предплечья необходимо срочно обратиться к детскому травматологу. Врач уточнит обстоятельства получения травмы, соберет жалобы и осмотрит пострадавшую зону. Для уточнения диагноза назначается рентгенография, а при необходимости КТ или МРТ. При подозрении на повреждение нервных пучков назначается консультация невролога или нейрохирурга.


Лечение переломов предплечья у детей
Если у ребенка диагностирован перелом одной или обеих костей предплечья без смещения, лечение проводится консервативным путем. На руку накладывается гипсовая повязка, которая не дает отломкам менять свое положение и значительно уменьшает боль. При необходимости в первые дни разрешается прием анальгетиков или противовоспалительных препаратов в соответствии с возрастом.
При небольшом смещении костных отломков проводится ручная закрытая репозиция, после чего также накладывается гипс, и пациент отпускается домой.
При сложных двойных и/или оскольчатых переломах предплечья, сильном смещении отломков, сопутствующем повреждении суставов ребенка госпитализируют. Восстановление правильного положения тканей проводится хирургическим путем, после чего проводится иммобилизация конечности гипсовой повязкой. В некоторых случаях накладывается аппарат Илизарова.
По мере заживления тканей необходимо начинать выполнять несложные упражнения направленные на профилактику атрофии мышц. После снятия гипса объем движений увеличивается, гимнастика дополняется физиопроцедурами и массажем.
Вне зависимости от сложности повреждение костей предплечья требует внимательного отношения и тщательного соблюдения рекомендаций врача. При любых подозрениях на травму обратитесь к опытным специалистам клиники «СМ-Доктор». Мы окажем необходимую помощь Вашему ребенку.
Экспертное мнение врача
Симптомы переломов предплечья отличаются разнообразием. Если в одних случаях диагноз очевиден ввиду характерных деформаций, отеков и нарушения работы руки, то в других признаки могут быть смазанными и неспецифическими. Между тем отсутствие своевременной медицинской помощи может привести к осложнениям: воспалению, формированию ложного сустава или неправильному срастанию костных отломков. Лучше прийти в клинику и убедиться, что кости целы, чем не лечить травму.
Читайте также:
