Треснувшие, шатающиеся и выбитые зубы
Добавил пользователь Валентин П. Обновлено: 03.11.2025
Если зуб не чувствителен к холодному воздуху или воде после травмы, скорее всего, повреждена только твердая наружная поверхность (эмаль). Даже если эмаль слегка отколота, неотложное лечение не требуется. Переломы, затрагивающие промежуточный слой зуба (дентин), как правило, реагируют болью на контакт с воздухом и/или пищей, поэтому люди с такими переломами быстро обращаются к стоматологу. Если перелом затрагивает внутреннюю часть зуба (пульпу), то на месте перелома появляется красное пятно и зачастую кровь. Лечение корневого канала может потребоваться с целью удаления остатков пораженной пульпы до того, как она начнет причинять сильную боль.
Зубные слои
Шатающиеся зубы
Если в результате травмы зуб расшатался в своей лунке или если окружающая десну ткань сильно кровоточит, человек должен немедленно обратиться к стоматологу, поскольку это может быть перелом корня или лунки. Расшатавшийся зуб, который повторно установили на место и быстро закрепили, как правило, сохраняется навсегда. Зачастую, значительно расшатанные детские (молочные ) зубы спереди удаляют, чтобы не допустить повреждения существующих постоянных зубов.
Выбитые зубы
Тех, у кого выбиты молочные или постоянные зубы, следует немедленно отвести в ближайшую стоматологическую клинику. Выбитые молочные зубы не следует повторно вживлять, поскольку в них может попасть инфекция, и реплантация таких зубов может помешать появлению постоянных зубов. Тем не менее, требуется немедленное лечение выбитых постоянных зубов.
По возможности, постоянный зуб следует немедленно поместить обратно в лунку (не касаясь корней). Зуб можно осторожно промыть холодной водой в течение 10 секунд, но не тереть его, чтобы не удалить ткань на корне, которая необходима для реплантации зуба. Если человек не может поместить зуб в лунку, зуб следует завернуть во влажное бумажное полотенце или, лучше, поместить в стакан с молоком для транспортировки к стоматологу. (Молоко — это хорошая среда для питания зуба). Если человек находится в сознании и вряд ли вдохнет или проглотит зуб, во время транспортировки в стоматологический кабинет зуб можно поместить в рот.
Если выбитый зуб найти невозможно, возможно, что он попал со вдохом в легкие (аспирирован) или случайно проглочен. Чтобы найти зуб в легких, можно сделать рентген грудной клетки, но проглоченный зуб не представляет опасности, и чтобы найти зуб в пищеварительном тракте, обычно рентген не делают. Пациенты с выбитыми зубами, которые были реимплантированы, обычно принимают антибиотики в течение нескольких дней. Если зуб соприкасался с грязью, врач обычно оценит наличие у пострадавшего прививки от столбняка Вакцинация Столбняк возникает из-за токсина, который вырабатывается анаэробными бактериями Clostridium tetani. Токсины вызывают непроизвольные сокращения и ригидность мышц. Столбняк обычно развивается. Прочитайте дополнительные сведения .
Если выбитый постоянный зуб реимплантировать от 30 минут до 1 часа, существует достаточная вероятность, что зуб врастет в лунку. Спустя 30 минут, чем дольше зуб находится вне лунки, тем меньше вероятность длительного положительного результата. Как правило, стоматолог накладывает шину на зуб, прикрепляя его к окружающим зубам на 7–10 дней. Если кость вокруг зуба также сломана, наложить шину на зуб, возможно, придется на 6–10 недель. Для реимплантированных зубов, в конечном итоге, потребуется лечение корневых каналов Лечение корневого канала и удаление зуба Полости — это разрушившиеся участки в зубах, результат процесса, при котором постепенно растворяется внешняя твердая оболочка зуба (эмаль) и его внутренняя часть. (См. также Краткие сведения. Прочитайте дополнительные сведенияВывих зуба, зуб шатается: первая помощь, лечение
Качественная травматология зубов – наша специализация. Мы лечим травмы зубов по передовым международным протоколам. Приоритет - сохранение зуба, восстановление после травмы. Улыбка будет снова здоровой и красивой!


 
 
 
 
 
 
 
 
 
 
 
 
 
 
 
 
Все нужные специалисты каждый день в клинике. С помощью коллективного интеллекта решаем любую проблему.
Дизайнерские интерьеры, тихие зоны ожидания, личный координатор, искренняя забота каждого сотрудника клиники.
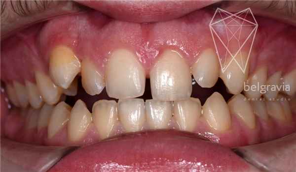
Вывих зуба, зуб шатается: что делать?
Зуб получил удар (ушиб, вывих зуба) либо появилась подвижность? Обязательно покажитесь стоматологу травматологу. Совершенно не важно, что зуб выглядит неповрежденным. Может быть, сломан корень или поврежден нерв. Такой зуб требует лечения. Главная рекомендация: ни в коем случае не оказывайте на зуб давления, даже если зуб мешает закрывать рот.

 
Вывих зуба: чем мы поможем?
Качественная травматология зубов – наша специализация. Стоматологи Belgravia Dental Studio лечат травмы зубов по современным международным протоколам.
Основной целью для нас является сохранение зуба, его восстановление после травмы. Чтобы им можно было нормально пережевывать пищу. Чтобы эстетика улыбки была восстановлена.
Мы лечим, опираясь на данные точнейшего 3D-снимка (КЛКТ). Только в нашей клинике для анализа КЛКТ применяется искусственный интеллект Diagnocat! Программа по 3D-снимкам определяет состояние зубов, помогает доктору поставить точный диагноз и спланировать лечение.
Наши специалисты справляются со сложными случаями вывиха или ушиба зуба.
Мы накладываем шины, укрепляем зубной ряд, наблюдаем в динамике. Шиной соединяются минимум 3 зуба: травмированный и соседние.
Возможно, вам потребуется эндодонтия (лечение каналов зуба).
Любое лечение травмы проводится под микроскопом, это гарантирует скрупулезность лечения и отличный эстетический результат.
Если зуб спасти не удалось, мы предложим вам оптимальный вариант имплантации и протезирования.
На данной странице приведены цены на услуги врача категории "профи". Стоимость услуг врачей категории "первая" и "высшая" - выше.
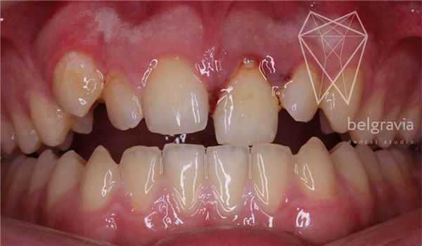
Травма зуба: вывихи, выбитые зубы и переломы
Травма зуба – это нарушение его анатомической целостности или его связи с околозубными тканями в результате воздействия травмирующего фактора. Травмы зубов подразделяются на трещины, ушибы, переломы коронки или корня, вывихи. 
В зависимости от длительности воздействия травмирующего фактора на зуб травмы делят на
- острые (падение, удар и т.д);
 - хронические (неправильный прикус, вредные привычки держать в зубах твердые предметы).
 
Симптомы травмы зуба
Травмы зубов характеризуются болезненностью в зубе, особенно при накусывании, нарушением конфигурации коронки зуба, подвижностью зуба, нарушением его положения в зубном ряду, изменением цвета коронки. Диагноз травма зуба ставится врачом-стоматологом после осмотра и рентгенологического исследования.

Что делать, если у вас травма зуба?
Выбитые зубы можно установить на место!
Если при травме вы выбили передний зуб или потеряли несколько зубов:
– зубы нужно собрать;
– поместить их в баночку с физиологическим раствором (он продается в любой аптеке);
– незамедлительно обратиться к стоматологу.
Тактика лечения при травме зуба определяется разновидностью повреждения и количеством времени, прошедшем с момента травмы. Чем раньше вы обратитесь к врачу после травмы зуба, тем больше шансов его спасти!
Лечение при ушибе зуба
При ушибах зуба есть возможность оставить зуб живым, если во время травмы не был поврежден сосудисто-нервный пучок, питающий зуб. Чтобы в этом удостовериться, необходимо динамическое наблюдение через две недели и через месяц после травмы с измерением электровозбудимости пульпы.
В первое посещение необходимо исключить контакт поврежденного зуба с антагонистами. Для этого стоматолог частично сошлифовывает режущий край или жевательные бугры. Пациенту рекомендуется не употреблять твердую, жесткую пищу и не жевать на пострадавшей стороне.
Если в ходе динамического наблюдения за зубом обнаруживается потемнение коронки, значительное снижение электровозбудимости пульпы, это говорит о том, что пульпа погибла и нужно проводить эндодонтическое лечение – удалять распад пульпы из полости зуба и корневых каналов с последующим пломбированием.
Лечение перелома зуба
Тактика лечения при переломах коронки зуба выбирается исходя из того, вскрылась ли пульпарная камера. Если пульпа после травмы осталась не задета, тогда показано восстановление коронки при помощи пломбы.
Если же полость зуба вскрыта, тогда необходимо эндодонтическое лечение с удалением пульпы и пломбированием корневых каналов, а затем восстановление анатомии зуба пломбой либо коронкой.
При переломе корня зуб удаляется.
Лечение вывиха зуба
Вывих зуба бывает неполный либо полный.
При неполном вывихе происходит частичный разрыв связок, удерживающих зуб в лунке. В данном случае стоматолог проводит репозицию (возвращает зуб на прежнее место в зубном ряду), шинирование (закрепление зуба на месте при помощи специальных конструкций из проволоки ) и эндодонтическое лечение зуба.
При полном вывихе происходит тотальный разрыв связок, что может сопровождаться потерей связи зуба с лункой и его выпадением. Но даже в такой серьезной ситуации зуб еще можно спасти и вернуть на прежнее место, если обратиться к стоматологу в течение часа.
Для этого нужно взять выпавший зуб, не касаясь корня пальцами, поместить его в емкость с физраствором или молоком, и как можно быстрее обратиться к врачу. Стоматолог проведет реплантацию, шинирование и эндодонтическое лечение зуба, назначит антибиотики и противовоспалительные препараты.
Выделяют также вколоченные вывихи зубов, характеризующиеся внедрением корня зуба в альвеолярный отросток челюсти с погружением коронки в лунку. Лечение в таких случаях подобно лечению при остальных видах вывихов зубов.
После подобных травм необходимо динамическое наблюдение, в 50% случаев существует вероятность того, что зуб заново не приживется и его нужно будет удалять.
Если у вас травма зуба в Самаре – запишитесь к нам на экстренный прием, мы знаем что делать!
Как укрепить шатающийся зуб дома
Шатающиеся зубы – проблема для любого человека, так как выпадающие зубные единицы придется заменить. Этот симптом может говорить о проблемах в ротовой полости и о заболеваниях внутренних органов. Если шатается зуб, разрешить вопрос поможет стоматолог. Своевременный курс лечения может полностью устранить проблему. Но при отсутствии такового, заболевание перейдет в более серьёзную стадию и полное излечение будет проблематичным. При небольшой неустойчивости можно использовать домашние настойки или аптечные мази.
Неустойчивость зубов – сигнал о возникающей в организме проблеме, и не всегда она находится в полости рта. Укрепляющая терапия может потребоваться и людям без стоматологических заболеваний.

Шаткость провоцируют несколько факторов.
- , когда зуб подвергается воздействию сильного удара. Если зуб остается в лунке, можно провести укрепляющие процедуры и сохранить его.  
 - Серьезные воспалительное заболевания, диабет, опухолевые процессы, патология щитовидной железы, дерматозы и травмы. — заболевание ослабляет зубные корни, становится причиной кровоточивости, кариеса, отеков и воспалений. Если своевременное лечение не проводится, десны станут рыхлыми, теряя способность удерживать зубы.
 - Жесткая диета, несбалансированное питание, дефицит витаминов – следует применить витаминный комплекс для сохранения здоровья.
 - Низкий иммунитет, так как организм не имеет сил для сопротивления болезнетворным микроорганизмам. В первую очередь страдают наиболее уязвимые части, а ротовая полость – место наибольшего скопления микробов.
 - Наследственный фактор. Людям с плохой наследственностью следует принимать профилактические меры по укреплению зубов, не дожидаясь проблем.
 - Беременность и лактация. Эти периоды характеризуются большой потребностью организма в кальции и гормональной неустойчивостью. Необходимо своевременно реагировать на гормональные скачки.
 - Алкоголь и никотин – эти вещества разрушающе воздействуют на костные ткани.
 - Некорректно проводимая гигиена – ошибочная техника чистки, жесткая зубная щетка, интенсивное использование флосса.
 - Злоупотребление лекарствами. .
 
Установить причину шаткости может только дантист. Например, при травме (удар в челюсть или результат падения) врач выпишет направление на рентген, чтобы оценить целесообразность лечения.
Шатающийся зуб можно удалить или сохранить, используя для фиксации шинирующую нить.
Программа терапии должна воздействовать на причину проблемы.
Чем можно укрепить шатающийся зуб?
Важно начинать лечение с воздействия на причину шаткости. Определить ее может только грамотный стоматолог. Параллельно можно использовать и домашние методы.
- Маслом пихты смочить марлю, сделать примочку к десне и держать полчаса.
 - Натирать десны разрезанной долькой чеснока – противовоспалительные вещества окажут благотворное воздействие.
 - Полоскание отваром крапивы и водочной настойкой корня аира.
 - Массаж толченными ягодами клюквы, морской солью с оливковым маслом.
 - Полезно смазывать десны маслом облепихи.
 - Поможет настойка зверобоя или хмеля с медом.
 - Сухое молоко содержит антиоксиданты и вяжущие компоненты, что особенно полезно при пародонтозе.
 - Раствор морской соли с добавлением йода.
 - Можно просто пожевать лист алоэ.
 
Независимо от того, слегка шатается зуб или вопрос стоит очень остро, например, как укрепить сильно шатающиеся зубы при пародонтозе, важно как можно скорее обратиться к стоматологу и получить правильное лечение.
Главное – осознавать, что все перечисленные выше способы нужно использовать только в качестве дополнения к назначенному врачом курсу терапии.
Как укрепить шатающийся зуб медикаментами?
Для поддержания уверенной фиксации можно использовать аптечные препараты.
- Ополаскиватели – средства с антисептиками, помогающие сделать десны менее рыхлыми и восприимчивыми.
 - Гели и мази – содержат обезболивающие, антисептические и противовоспалительные компоненты. Удобны в использовании вне дома. Снимают отеки, заживляют, укрепляют десны. При регулярном применении результат будет заметен в течение 2-х недель.
 - Специальные зубные пасты – устраняют шаткость, растворяют зубные отложения, восстанавливают эмаль, оказывают лечебное воздействие на зубы, пораженные кариесом.
 
Как укрепить зуб в домашних условиях?
Чтобы укрепить ткани и не допустить воспалительные процессы, нужно:
- Откорректировать рацион питания – исключить слишком твердые продукты и увеличить долю витаминных блюд;
 - Уделять время массажу десен;
 - Проводить тщательную гигиену;
 - Провести профессиональную чистку зубов;
 - Обработать участки кариозного поражения, вылечить другие стоматологические заболевания;
 - Устранить вредные привычки.
 
Можно выполнить ряд эффективных действий по укреплению десен:
- Регулярный массаж по вечерам зубной щеткой с мягкой щетиной или пальцами для активизации кровообращения;
 - Временно исключить твердую пищу;
 - Отказаться от спиртных напитков и курения;
 - Обеспечить организму сбалансированный рацион питания;
 - Включить в меню молочные продукты, рыбу, вареные овощи и цитрусовые.
 
Можно использовать советы народной медицины – приготовить травяные отвары и настойки для компрессов. Рассмотрим способы, как укрепить народными методами, если шатаются зубы:
- Отвар ромашки для полоскания, снимет покраснение и опухоль;
 - Отвар календулы — окажет обеззараживающее и бактерицидное действие;
 - Жевание еловой смолы — щадящий тренажер для десен и зубов;
 - Настой измельченной дубовой коры;
 - Отвар тысячелистника и шалфея;
 - Смазывание поврежденных участков десен медом;
 - Примочки и полоскания отваром прополиса;
 - Полоскания и примочки с аптечной спиртовой настойкой трав;
 - Массаж морской солью с маслом облепихи для активизации кровообращения.
 
При беременности, для сохранения здоровья зубов, необходимо:
- Принимать пищевые добавки и витаминные комплексы;
 - Полоскать рот отваром ромашки;
 - Включить в каждодневный рацион свежие овощи и фрукты.
 

Если шатаются молочные зубы
Шатающиеся молочные зубки нужно удалять. Лучше сделать это в кабинете врача, но можно прибегнуть и к домашним способам:
- Дать ребенку ириску;
 - Шатать зубик, пока малыш занят просмотром мультфильмов;
 - Съесть яблоко;
 - Заинтересовать ребенка получением подарка от зубной феи, и он сам будет стараться расшатать зубик.
 
Шаткость при отсутствии квалифицированного лечения приведет к потере зубов. Если шатаются зубы, даже без дискомфорта и боли, нужно показаться дантисту, чтобы выявить и устранить причину патологии, а также позаботиться о том, чтобы вопрос шаткости больше не возникал.
Трещины на зубах
Трещина на зубе – это нарушение целостности наружного слоя эмали, дентина или корня зуба. Трещина может быть различной формы и глубины. Как правило, неглубокие повреждения не вызывают никаких ощущений у человека, а порой и незаметны невооруженным глазом.

Автор статьи — Семейный врач
Установка виниров со скидкой
-20%*Акция действительна только при установке от 6 виниров до 30 августа 2022г.
Не понравился врач? Заменим
Бесплатно
Если по какой-то причине вас не устраивает ваш лечащий врач, вы всегда можете заменить его без объяснения причини, врач об этом даже не узнает.
Скидки для всей семьи*
до -50%
*Действуют накопительные скидки для всех членов семьи, максимальный размер скидки может составлять до 50%.
Установка виниров со скидкой
-20%*Акция действительна только при установке от 6 виниров до 30 августа 2022г.
Не понравился врач? Заменим
Бесплатно
Если по какой-то причине вас не устраивает ваш лечащий врач, вы всегда можете заменить его без объяснения причини, врач об этом даже не узнает.
Скидки для всей семьи*
до -50%
*Действуют накопительные скидки для всех членов семьи, максимальный размер скидки может составлять до 50%.
Однако чаще появление трещины сопряжено с косметическим дефектом, а в ряде случаев – и с определенным дискомфортом. Способов лечения данной проблемы множество – от простых мероприятий по укреплению эмали до сложных ортопедических процедур: установки виниров или фиксации искусственных коронок.
Стоимость
В стоимость процедуры включены:
- Консультация врача.
 - Санация ротовой полости.
 - Реминерализация зубов по выбранному протоколу.
 - Рекомендации врача по поддержанию гигиены ротовой полости.
 
В стоимость процедуры включены:
В стоимость процедуры включены:
- Консультация.
 - Проведение рентгенографии (при необходимости).
 - Подготовка зуба к реставрации.
 - Проведение художественной реставрации выбранным методом.
 - Рекомендации врача.
 
В стоимость процедуры включены:
- Консультация врача.
 - Подготовка к установке.
 - Обработка зуба.
 - Установка винира.
 - Рекомендации по уходу.
 
В стоимость процедуры включены:
Первичный прием и план лечения*

Бесплатно
Какой врач лечит трещины на зубах?
Как правило, первый врач, который сталкивается с проблемой – стоматолог-терапевт или врач-гигиенист. Именно к этим специалистам приходят пациенты с жалобой на снижение эстетики улыбки (если трещина расположена на фронтальном участке) и просьбой отреставрировать зуб.
В этом случае возможны разнообразные варианты устранения проблемы – полировка или реминерализация эмали, пломбирование или наращивание зуба. Если же врач считает, что наилучшим способом будет закрытие дефекта и укрепление зуба с помощью ортопедических конструкций – виниров и коронок, пациент направляется к стоматологу-ортопеду. И лишь изредка, когда трещина обширна по длине и/или глубине, пациент может быть отправлен к хирургу-стоматологу.
 
Клинические проявления
Большинство трещин на зубах остаются бессимптомными и только изредка могут ощущаться языком, при проведении им по поверхности зуба. Также возможен вариант, когда сама по себе трещина никак себя не проявляет, но при употреблении красящих продуктов или напитков она становится заметной [1, 2].
Если трещина не ограничена самым поверхностным слоем эмали и проникает в более глубокие слои (дентин), вероятно появление дискомфорта при контакте с горячим или холодным, а в более тяжелых случаях – и от воздействия химических факторов (кислое, соленое, сладкое) [2, 4].
Кроме того, глубокая трещина напитывается красителями и становится заметна невооруженным глазом. В таких случаях ее можно выявить и при помощи зонда – достаточно им провести по поверхности зуба – в месте расположения дефекта зонд будет цепляться. Если же трещина не окрасилась, ее можно рассмотреть через увеличительную оптику – бинокуляры или дентальный микроскоп [3].
Если дефект глубокий и расположен по диагонали или горизонтально, возможен скол части зуба, и тогда появляется опасность разрушения, а иногда и потери зуба.
В стоимость процедуры включены:
- Консультация врача.
 - Санация ротовой полости.
 - Реминерализация зубов по выбранному протоколу.
 - Рекомендации врача по поддержанию гигиены ротовой полости.
 
В стоимость процедуры включены:
В стоимость процедуры включены:
- Консультация.
 - Проведение рентгенографии (при необходимости).
 - Подготовка зуба к реставрации.
 - Проведение художественной реставрации выбранным методом.
 - Рекомендации врача.
 
В стоимость процедуры включены:
- Консультация врача.
 - Подготовка к установке.
 - Обработка зуба.
 - Установка винира.
 - Рекомендации по уходу.
 
В стоимость процедуры включены:
Патогенез
Согласно стоматологической статистике, трещины на зубах (фрактуры) есть практически у каждого человека. При преобладании процессов деминерализации (вымывания ионов кальция и фтора), а также при наличии кариеса зубы становятся подвержены растрескиванию. Причем в молодом возрасте фрактуры чаще появляются на кариозно поврежденных зубах, в то время как в старшем возрасте (после 40 лет) они нередко появляются на абсолютно здоровых единицах [2, 5, 8].
Появление фрактуры обычно становится возможным при действии на зуб чрезмерных механических влияний – удара, сильного сжатия челюстей, жевания очень твердой пищи. Негативно сказывается на состоянии эмали и одновременный прием очень холодной и горячей пищи (например, кофе и мороженного). Это ведет к растрескиванию эмали и появлению локальных зон с ослабленными тканями, из которых постепенно вымывается кальций и фтор, в результате чего зуб становится хрупким [4, 6].
Помимо этого, при некоторых заболеваниях в организме нарушается минеральный обмен и тогда зубная эмаль теряет свою прочность. Она становится более мягкой и мгновенно реагирует трещинами даже на незначительные механические воздействия. Появившаяся трещина вначале имеет минимальную глубину и протяженность, но постепенно происходит увеличение фрактуры. В итоге, через время трещина становится не только заметной, но и доставляет разной степени дискомфорт [5, 9].
Во фрактуры проникают не только красящие вещества, но и болезнетворные бактерии. Результатом их жизнедеятельности является выделение органических кислот, разрушающих зуб. Через время в трещине развивается кариес, зубные ткани пигментируются и становятся чувствительными к различным воздействиям.
Если же трещина затронула корень, то через нее могут проникнуть микроорганизмы в корневые каналы, поддерживая в них хроническую инфекцию (хронический пульпит). Со временем такой зуб будет нуждаться в эндодонтическом лечении, либо его удаляют [4, 5].
Читайте также:
