Тромбоз мезентеральных вен. Боли в животе при интоксикациях.
Добавил пользователь Евгений Кузнецов Обновлено: 22.11.2025
Тромбоз – симптомы, причины, профилактика, диагностика и лечение в клинике "Парацельс", Сергиев Посад
ВНИМАНИЕ: Вы можете самостоятельно КРУГЛОСУТОЧНО записаться к врачу в Мобильном приложении "Клиника ПАРАЦЕЛЬС"
Доступны онлайн-консультации врачей (более 18 специальностей).
Процесс тромбообразования полезен для остановки кровотечений, но кровяные сгустки могут формироваться прямо в сосудах и закупоривать их. Тромбозом называется частичное или полное перекрытие просвета артерии или вены сгустком из белков плазмы крови и форменных элементов. Частичный блок приводит к кислородному и энергетическому голоданию тканей, а полный ー к их отмиранию.
Общие сведения о тромбозе
Тромбоз ー процесс прижизненного свертывания крови в полости сосудов и сердца. Этот процесс опасен еще и тем, что часть тромба может оторваться и занестись током крови в другие органы. Например, при тромбозе глубоких вен нижних конечностей часто развивается тромбоэмболия легочной артерии или сосудов головного мозга.

Классификация тромбозов
В зависимости от локализации патологического процесса:
Артериальный:
- артерий головного мозга;
- сердца;
- кишечника (мезентериальный тромбоз);
- печени;
- бедренной артерии и других.
Венозный (флеботромбоз):
- вен нижней конечности;
- геморроидального сплетения;
- бедренной и подвздошной вен;
- кавернозного синуса (внутричерепного коллектора венозной крови);
- вен сетчатки глаза.
По тяжести течения заболевания выделяют острый ー резкая блокада тока крови, и хронический ー тромб растет постепенно, ткани успевают приспособиться к этому и компенсировать патологические изменения.
Механизм развития и причины тромбоза
В процессе образования внутрисосудистого тромба есть три патологических звена:
- Нарушение целостности сосудистой стенки. При повреждении внутренней выстилки сосудов активируются ферментные системы, которые запускают процесс свертывания крови.
- Замедление тока крови. Это происходит при нарушении оттока (сдавливании вен, варикозном расширении), длительном отсутствии движения конечностей, сердечной недостаточности.
- Сгущение крови. Обусловлено обезвоживанием, аутоиммунными заболеваниями, химиотерапией, приемом оральных контрацептивов.
Тромб часто образуется на фоне таких болезней:
- ; ; сосудов и сердца; ; ;
- переломы костей;
- гормональные нарушения;
- онкологические заболевания.
Тромбозы у детей
Возможные причины образования тромба у детей:
- тромбофилия ー врожденный дефицит антикоагулянтных факторов крови;
- лейкозы, другие онкологические заболевания;
- кожная фульминантная пурпура, синдром диссеминированного внутрисосудистого свертывания (развивается при тяжелых интоксикациях, воспалительных заболеваниях: панкреатит, перитонит и др.);
- наличие антифосфолипидных антител, волчаночного антикоагулянта, других аутоантител (антител к собственным клеткам).
Эпизоды появления тромбов у ребенка должны стать поводом к серьезному обследованию для определения причины.
Факторы риска развития тромбоза
Вероятность развития заболевания повышают такие факторы:
- возраст старше 50 лет; ;
- курение, алкоголизм, наркомания;
- неправильное питание;
- малоподвижный образ жизни;
- травмы;
- потребность в частых внутривенных инъекциях и процедурах, связанных с нарушением целостности сосудов (забор крови, гемодиализ, установка венозного катетера) ー повышают риск развития флебита, воспаления венозной стенки.
Симптомы тромбоза
Клинические проявления этой патологии разнятся в зависимости от локализации.
Симптомы венозных тромбозов
Когда перекрывается вена, затрудняется отток крови, поэтому ткани дальше места закупорки отекают, синеют. Скапливаются продукты жизнедеятельности клеток, потому развивается интоксикация тканей, это сопровождается болью, нарушением чувствительности (ощущение “ползания мурашек”). Если вовремя не вмешаться ткани начинают отмирать.
Симптомы тромбоза вен нижних конечностей:
- отечность ноги, резкое увеличение в размерах, синюшность;
- судороги икроножных мышц;
- постоянная боль в ноге, которая усиливается при ходьбе;
- усиление венозного рисунка на бедре.
Тромбоз кавернозного синуса:
В твердой мозговой оболочке есть каналы, в которые стекается венозная кровь от головного мозга. Закупорка одного из этих синусов ー кавернозного несет опасность, поскольку через него проходит несколько черепно-мозговых нервов и внутренняя сонная артерия. Наиболее частые причины образования тромба кавернозного синуса ー воспалительные заболевания носа, приносовых пазух, кожи лица и головы. Признаки:
- головная боль;
- снижение остроты зрения, двоение в глазах;
- спутанность сознания;
- жар, лихорадка;
- отек век и окологлазной области;
- боль в шее при поворотах и наклонах головы;
- нарушение чувствительности кожи лица.
Среди последствия такого тромбоза: инсульт, потеря зрения, кома.
Геморроидальный тромбоз
Развивается на фоне геморроя. Ему способствуют хронические запоры, физическое перенапряжение, беременность и роды, злоупотребление алкоголем. Признаки:
- боль, жжение и зуд в области анального сфинктера;
- выделение крови с калом и независимо от акта дефекации;
- выпадение геморроидальных узлов.
Тромбоз сосудов сетчатки глаза
Патология является типичным осложнением сахарного диабета и гипертонической болезни, но может развиваться и по другим причинам. Симптомы:
- ухудшение зрения, вплоть до полной потери (чаще одностороннее);
- появление пятен, сетки, пелены перед глазами.
Симптомы артериальных тромбозов
Закупорка артерии приводит к кислородному и энергетическому голоданию тканей, что быстро приводит к их отмиранию. Артериальные формы заболевания чаще бывают острыми.
Тромбоз артерий головного мозга
Этот процесс ведет к некрозу участка мозга, который кровоснабжает пораженная артерия ー ишемическому инсульту. Признаки:
- гемипарез ー отсутствие движений в правой или левой половине тела (противоположной зоне поражения);
- асимметрия улыбки ー один угол рта опущен, не принимает участие в разговоре и улыбке;
- неясность речи;
- когда больной высовывает язык, он отклоняется в сторону.
Тромбоз коронарных артерий сердца
Частичная закупорка этих сосудов приводит к приступам стенокардических болей, полная ー к инфаркту миокарда. Симптомы:
- давящая, жгучая боль за грудиной, отдает в левую лопатку, руку, плечо, половину лица и шеи;
- одышка;
- при стенокардии помогает покой и нитроглицерин, при инфаркте улучшения не наступает, необходима срочная медицинская помощь.
Тромбоз легочной артерии
Является осложнением тромбоза вен нижних конечностей, эндокардита, инфаркта миокарда. Развивается стремительно, имеет высокую летальность. Признаки:
- острая колющая боль в груди;
- набухание вен шеи;
- одышка, ощущение нехватки воздуха;
- кровохарканье;
- учащение сердечных сокращений.
Тромбоз печеночной артерии
Отмирание (инфаркт) тканей печени является осложнением эндокардита, инфаркта миокарда или пересадки печени, проявляется так:
- сильная боль под правым ребром;
- тошнота, рвота, горечь во рту;
- желтушность кожных покровов и белков глаз.
Тромбоз бедренной артерии
Эта форма патологии проявляется болью при ходьбе, похолоданием, побледнением конечности. Пульс в подколенной ямке и на стопе прощупывается слабо или не определяется вовсе.
Диагностика тромбозов
Для постановки диагноза врач назначает такие исследования:
- общий анализ крови;
- коагулограмма;
- допплерография (ультразвуковое исследование тока крови в сосудах);
- ангиография ー рентгенологическое исследование с предварительным введением контрастного вещества в сосуды.
Профилактика тромбозов
Основные меры предотвращения образования тромбов:
- регулярная физическая активность;
- контроль массы тела;
- ношение компрессионного белья по показаниям врача;
- отказ от курения, алкоголя, наркотиков;
- контрастный душ;
- своевременная диагностика и лечение заболеваний сердца, эндокринной системы.
Диагностика и лечение тромбозов в Медицинском центре "Парацельс"
Специалисты медицинского центра “Парацельс” помогут в диагностике и устранении этой патологии, обеспечат поддержку в реабилитационном периоде, дадут рекомендации по дальнейшей профилактике.
В нашем центре для диагностики и лечения применяется оборудование экспертного класса ведущих мировых производителей. Приём ведут практикующие хирурги-флебологи.
На базе «Операционной №1» проводятся флебологические операции при заболевании вен. Ключевое преимущество сети Медицинских центров “Парацельс”— это высококвалифицированные профессионалы-хирурги с огромным практическим опытом.
Медикаментозное лечение
Основу лекарственной терапии составляют антикоагулянты (разжижают кровь, препятствуют увеличению тромба), фибринолитики и тромболитики (растворяют уже имеющиеся сгустки), антиатеросклеротические препараты (снижают уровень холестерина). При необходимости как симптоматическая терапия могут понадобиться анальгетики, противовоспалительные, кардиотонические средства, витамины, минералы и прочее.
Хирургическое лечение
Существуют такие способы оперативного лечения заболевания:
- тромбэктомия ー удаление тромба;
- стентирование (расширение при помощи каркаса) и шунтирование (создание обходного пути кровотока) при атеросклеротическом поражении артерий;
- артериовенозное шунтирование.
Прогноз жизни при диагнозе – тромбоз
Наиболее благоприятным вариантом является закупорка мелких сосудов, кровеносная система имеет коллатерали ー обходные пути кровоснабжения и оттока. Поэтому при микротромбозах выживаемость практически 100%.
При образовании тромба в сосудах сердца, головного мозга, легких, кишечника, печени прогноз неблагоприятен, шанс выжить и сохранить достаточное качество жизни зависит от скорости и качества оказания медицинской помощи.
В медицинском центре «Парацельс» работают терапевты, кардиологи, неврологи, хирурги и другие специалисты с большим опытом работы. Команда наши врачей обеспечивает комплексный подход к лечению осложнений тромбоза и реабилитации после основного лечения.
Абдоминальная ишемия - диагностика и лечение

Абдоминальная ишемия (мезентериальный тромбоз, острая ишемия кишечника, недостаточность кровообращения кишки) возникает, когда кровоток через артерии, которые снабжают кровью кишечник, замедляется или останавливается. Такое состояние имеет много потенциальных причин, в том числе закупорка артерии тромбом или сужение артерии из-за развития холестериновых бляшек. Закупорки также могут возникать в венах, но они менее распространены.
Независимо от причины, снижение кровотока в желудочно-кишечный тракт оставляет ткани без достаточного количества кислорода, что вызывает нарушение функции клеток и их гибель. Если повреждения кишечной стенки достаточно серьезные, то развивается гангрена кишечника с последующим его разрывом (перфорация) с исходом в каловый перитонит и смерть.
Спасти человека с мезентериальным тромбозом можно только при своевременной правильной диагностике, с последующим удалением тромба и оценкой жизнеспособности кишки. При обычном симптоматическом лечении летальность достигает 99%, при операции по удалению кишки - 80%, при своевременном удалении тромба и контролем за кишкой - 25%.
Подход к лечению в Инновационном сосудистом центре
Своевременная диагностика мезентериальной ишемии позволяет провести адекватное лечение и сохранить человеку жизнь. В нашей клинике при подозрении на мезентериальную ишемии экстренно выполняется ангиография и удаление тромба из артерий кишечника. Только такое лечение дает пациенту шанс остаться в живых. Если прошло достаточно много времени от начала заболевания, то выполняется восстановление кровообращения и лапароскопия, которая позволяет определить необходимость в удалении омертвевших участков кишки. Без лечения погибают все пациенты. С лечением удается спасти больше половины.
Причины острой ишемии кишечника
- Атеросклероз артерий кишечника может привести к их тромбозу с последующим развитием мезентериальной ишемии. При наличии признаков ишемической болезни сердца, атеросклеротических поражений артерий ног у пациента можно подразумевать системный атеросклероз и соответственно иметь ввиду риск абдоминальной ишемии.
- Высокое или низкое артериальное давление повышает риск развития мезентериального тромбоза и ишемии кишечника
- Сердечная недостаточность и мерцательная аритмия повышают риск эмболии артерий кишечника (перенос тромба из сердца в артерии) и развития острой кишечной ишемии.
- Повышенная свертываемость крови при тромбофилиях, серповидно-клеточной анемии и антифосфолипидном синдроме.
- Употребление кокаина и метамфетамина может вызывать спазм кишечных сосудов и ишемию кишечника.
Клинические формы мезентериального тромбоза
- Тромбоз сосудов толстой кишки (ишемический колит)
Этот наиболее распространенный вариант ишемии кишечника возникает при уменьшении притока крови к толстой кишке. Чаще всего наблюдается у людей старше 60 лет, хотя может развиться в любом возрасте. Признаками и симптомами ишемии толстой кишки являются кровотечения из заднего прохода и внезапно появившиеся спастические боли в животе.
Этот тип ишемии кишечника, как правило связан с блокированием кровотока в верхней брыжеечной артерии. Он отличается резким началом. Беспокоят сильные боли в животе, тошнота, рвота. Состояние прогрессивно ухудшается и в ближайшие дни наступает гибель пациента.
- Хроническая недостаточность кровоснабжения кишечника
Хроническая абдоминальная (мезентериальная) ишемия иногда называется кишечной стенокардией (брюшная жаба). Развивается в результате развития атеросклеротических бляшек в артериях кишечника. Процесс этот развивается медленно, жалобы носят характер расстройств пищеварения, спазмов в кишечнике. Потенциально опасным осложнением хронической мезентериальной ишемии является развитие тромбов в пораженных артериях, которые блокируют кровоток и вызывают острую абдоминальную ишемию.
Развивается при тромбозе брыжеечных вен на фоне различных заболеваний органов брюшной полости. При закупорке кишечных вен кровь застаивается в кишечнике, вызывая отеки кишки и кровоточивость слизистой оболочки. Полный блок венозного оттока приводит к гибели участков кишки с развитием перитонита.
Осложнения мезентериального тромбоза
- Гангрена кишки. Если приток крови в кишечник полностью блокирован, то развивается его гибель.
- Перфорация. Омертвевший участок кишки может разорваться. В результате этого содержимое кишечника изливается в брюшную полость, вызывая инфекционный процесс в брюшине (перитонит).
- Рубцовые изменения в стенке кишки. Иногда эти грозные осложнения не развиваются, но поврежденная стенка кишки замещается рубцом, вызывающим сужение кишечной трубки и развитие кишечной непроходимости.
Прогноз при мезентериальной ишемии
Большинство пациентов погибает в течение 2-5 суток с момента начала заболевания, если кровообращение в кишечнике не было восстановлено в ближайшие 6 часов.
При венозном мезентериальном тромбозе возможно постепенное выздоровление, с частичным рубцеванием кишки и развитием хронических энтериитов и колитов. Однако летальность так же высока.
При сегментарном (частичном) мезентериальном тромбозе пациент может выжить, если кишка припаяется к другим органам и не наступит ее перфорация с перитонитом, однако вероятность такого исхода очень небольшая. В последующем у больного может развиться кишечная непроходимость из-за рубцевания погибшей кишки.
При своевременном восстановлении кишечного кровотока с помощью методов эндоваскулярной хирургии (тромбэктомия, тромболизис, ангиопластика) - вероятность выздоровления повышается до 75%. Однако даже успешное восстановление кровотока требует обязательного наблюдения за состоянием кишечника. Необходимо в течение первых суток выполнить диагностическую лапароскопию, которую можно повторить и в следующие сутки.
При гибели участков кишки необходимо выполнить их удаление во время лапаротомии (открытая операция через живот). Иногда приходится удалять большие по протяженности участки кишки, но это необходимо, так как мертвые и сомнительно-жизнеспособные участки кишки могут распадаться с истечением кишечного содержимого в брюшную полость и развитием гнойного перитонита.
После резекции больших участков кишки может развиться синдром мальабсорбции (нарушения всасывания пищи), что приводит к значительному похуданию пациента, частым поносам и другим кишечным расстройствам. Поэтому наиболее важным в лечении мезентериального тромбоза является восстановление кровообращения в кишечнике, с целью уменьшить размеры его омертвения.
Преимущества лечения в клинике
Диагностика
![УЗИ картина закупорки верхней брыжеечной артерии]()
Жалобы
При возникновении острого нарушения кровотока по кишечнику у пациента развиваются сильнейшие боли в животе. Боли носят схваткообразный характер. и первые 2-3 часа остаются очень интенсивными. Живот в это время не вздут, перистальтика (кишечные шумы) резко ослаблена, при пальпации живот слегка болезненный, но не напряженный.
Затем постепенно боли уменьшаются, но появляется симптоматика общей интоксикации - повышение частоты сердечных сокращений, появление жажды. На этой стадии начинается вздутие живота. Это стадия гибели кишечника, но еще без перфораций.
Терминальная стадия абдоминальной ишемии характеризуется вздутием живота, отсутствием перистальтики, болезненностью во всех отделах живота с выявлением напряжения при пальпации. Отмечается высокая частота пульса, низкое артериальное давление, отсутствие мочеиспускания и одышка. На фоне этих симптомов неминуемо наступает смерть.
УЗИ брюшной аорты
Своевременная диагностика является залогом успеха в лечении абдоминальной ишемии, но она очень сложна. Учитывая, что возможность спасти жизнь при этой патологии имеется только в первые часы заболевания диагностика должна быть срочной и точной. Мезентриальный тромбоз можно спутать с любым острым заболеванием брюшной полости. Диагноз ставится методом исключения. В первую очередь необходимо исключить прободную язву, острый панкреатит, кишечную непроходимость. Наличие у пациента мерцательной аритмии, инфарктов в анамнезе, атеросклероза нижних конечностей позволяют предположить мезентериальный тромбоз. После исключения острых заболеваний брюшной полости проводятся специфические исследования для диагностики непроходимости сосудов брыжейки.
УЗИ брюшной аорты позволяет выявить тромбоз брыжеечной артерии или чревного ствола. Преимуществом метода является его быстрая доступность и отсутствие осложнений. Брюшная аорта осматривается в продольном и в поперечном срезе в режиме цветового картирования. Определяется скорость кровотока по аорте и ее ветвям. Метод обладает достаточно высокой чувствительностью, но его результаты зависят от опыта врача, проводящего исследование и правильной интерпретации полученных данных.
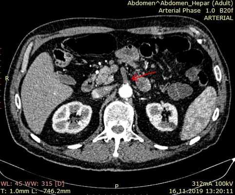
![МСКТ ангиография при остром тромбозе верхней брыжеечной артерии]()
Мультиспиральная компьютерная томография с ангиографией
Мультиспиральная компьютерная томография аорты и ее ветвей позволяет точно оценить состоянии брыжеечных сосудов и помочь правильной постановке диагноза. Признаками острой мезентериальной непроходимости является отсутствие контрастирования брыжеечных артерий со слабым развитием коллатеральных сетей кровообращения. При соответствующих жалобах и клинической картине компьютерная томография позволяет поставить точный диагноз в большинстве случаев мезентериального тромбоза. Требуется внутривенное введение контраста и детальный анализ полученных изображений.
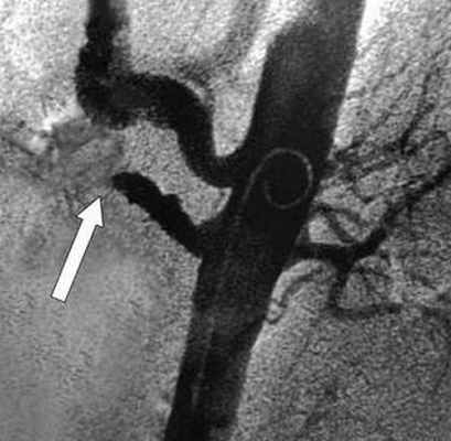
![Ангиография позволяет поставить точный диагноз и выполнить вмешательство по восстановлению кровообращения]()
Рентгеновская ангиография
Метода введения контрастного вещества непосредственно в интересующие артерии. Проводится через доступ к артериям на руке или на ноге. Позволяет прицельно изучить проходимость брыжеечных артерий и одновременно выполнить вмешательство по восстановлению проходимости закупоренной артерии. Ренгтеноангиография выступает диагностическим и лечебным методом одновременно. С помощью специальных катетеров и инструментов возможно проведение рассасывания тромбов (тромболизиса) или его удаления - тромбэктомии.
Острый мезентериальный тромбоз
Мезентериальный тромбоз - это острое нарушение кровообращения в брыжеечных сосудах, возникающее вследствие эмболии или тромбоза брыжеечных артерий и вен. Распространенность мезентериального тромбоза. При мезентериальном тромбозе чаще всего поражается верхняя брыжеечная артерия (85-90%), намного реже поражается нижняя брыжеечная артерия (10-15%).
Данное заболевание встречается у мужчин и женщин примерно с одинаковой частотой. Тромбоз и эмболия мезентериальных сосудов развивается преимущественно в среднем и пожилом возрасте.
Этиология мезентериального тромбоза. Главными причинами развития мезентериального тромбоза являются заболевания сердца, приводящие к образованию тромбов - инфаркт миокарда, ревматические пороки, нарушения ритма, кардиосклероз, эндокардит. Кроме того очень часто к эмболии брыжеечных артерий приводит атеросклероз, при котором на стенках артерий образуются атеросклеротические бляшки. При отрыве этих бляшек возможна эмболия мезенетериальных артерий. Тромбоз мезентериальных вен возникает при портальной гипертензии, наличии гнойных процессов в брюшной полости (пилефлебит), сепсисе, травмах, сдавлении сосудов новообразованиями.
Клинические проявления мезентериального тромбоза.
1. Первым симптомом тромбоза и эмболии мезентериальных сосудов является резкая, интенсивная боль. Локализация болей зависит от уровня поражения брыжеечных сосудов. При поражении основного ствола верхней брыжеечной артерии боли чаще всего определяются в области. При поражении подвздошно-ободочной артерии боли локализуются в правой подвздошной области. В этом случае мезентериальный тромбоз необходимо дифференцировать с острым аппендицитом. При тромбозе и эмболии нижней брыжеечной артерии характерно появление болей в левой подвздошной области. Боли при данной патологии чаще всего постоянные, имеют интенсивный характер. Иногда боли имеют схваткообразный характер. В этом случае мезентериальный тромбоз можно спутать с острой кишечной непроходимостью, или же с кишечной коликой.
2. Вторым по частоте симптомом у больных с мезентериальным тромбозом является тошнота, иногда переходящая в рвоту. Тошнота и рвота встречается более чем у 50% больных с данной патологией.
3. При мезентериальном тромбозе возможен жидкий стул, иногда с примесью крови.
4. Тахикардия.
5. В начале заболевания температура тела будет нормальной. При развитии некроза кишечника температура может повышаться до 38 и более градусов.
6. По мере развития заболевания начинает развиваться клиническая картина паралитической кишечной непроходимости. При этом будет наблюдаться вздутие живота, отсутствие перистальтики, задержка стула, возможна рвота.
Лечение мезентериального тромбоза.
Необходимо помнить, что развитие мезентериального тромбоза угрожает жизни больного. Поэтому, чем раньше будет поставлен правильный диагноз, тем больше шансов спасти жизнь больному.
Наиболее целесообразно применение хирургической тактики лечения. Опреция проводится под эндотрахеальным наркозом. При отсутствии некроза кишечника возможно применение эндартерэктомии, эмболэктомии, протезирования брыжеечных артерий. В случае запущенности процесса развивается некроз кишечника, и в этом случае необходимо выполнить резекцию некротизированного участка кишки.
В качестве консервативной терапии применяется:
1. Парентеральное введение антикоагулянтов (Гепарин). Антикоагулянтную терапию необходимо проводить под контролем МНО, протромбинового индекса.
2. Парентеральное введение дезагрегантов (Реополиглюкин, Трентал, Гемодез)
Прогноз при мезентериальном тромбозе.
Летальность при этом заболевании может достигать 70-90%.
Некроз тонкого кишечника при остром тромбозе верхней брыжеечной артерии. Операция по резекции прожженного участка.
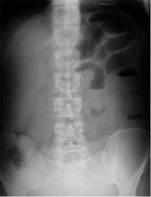
Тромбоз мезентеральных вен. Боли в животе при интоксикациях.
Тромбоз мезентеральных вен. Боли в животе при интоксикациях.
При тромбозе мезентериальных вен боли нарастают более постепенно, чем при артериальной закупорке. Менее выражен и их коликообразный характер, боли постоянного характера, но могут быть очень сильными.
Симптомы некроза кишок выступают на первый план только спустя несколько дней. Диагноз ставится преимущественно путем исключения и нередко только во время операции.
Острый тромбоз воротной вены почти всегда является осложнением предшествующих заболеваний органов брюшной полости (хирургические вмешательства, аппендицит, брюшной тиф, дизентерия и т. д.). Как правило, клиническая картина характеризуется высокой температурой, резкими нетипичными болями в животе, преимущественно в его правой верхней части, незначительной мышечной защитой, кровянистыми испражнениями и прежде всего быстрым развитием асцита и увеличения селезенки.
О тромбозе селезеночных вен см. в статье о спленомегалиях.
Инфаркт миокарда
Боли, иррадиирующие в верхнюю часть живота, отнюдь не являются редкостью при инфаркте миокарда. Диагноз нетруден, если боль при инфаркте миокарда одновременно ощущается и в грудной клетке; напротив, он часто бывает ошибочным при локализации боли исключительно в верхней части живота. Но, если иметь в виду этот диагноз, его обычно нетрудно подтвердить или отбросить с помощью электрокардиографического исследования.

Боли в животе при интоксикациях.
Наиболее известны резкие, коликообразные, распространенные боли в животе при интоксикации свинцом. Живот может быть напряжен, но все же доступен пальпации, хотя и довольно болезнен при надавливании. Признаки раздражения брюшины отсутствуют. О других симптомах свинцовой интоксикации.
Колики в животе при порфирии нередко приводят к ошибочным диагнозам и ложным показаниям к оперативному вмешательству. Для порфириновых колик типичен их перемежающийся характер, т. е. смена периодов спазмов, длящихся несколько дней, продолжительными светлыми промежутками. Более подробное описание порфирии.
Спазматические боли в животе при отравлении таллием сходны с таковыми при свинцовой интоксикации Вследствие одновременного наличия упорных запоров их легко можно спутать с порфирией, если не учитывать других отличительных признаков.
Прекоматозная стадия диабетической комы нередко сопровождается очень сильными коликами, преимущественно в верхней части живота. Так как при этом имеется сильная рвота, то при неправильном истолковании анамнестических данных и ощущаемого в большинстве случаев сильного запаха ацетона обычно ставится диагноз перфоративной язвы, холецистита, жирового некроза поджелудочной железы. Высокий лейкоцитоз является общим для всех этих состояний.
Гипогликемические состояния также иногда протекают с коликами в животе.
При чрезмерном злоупотреблении никотином нередко наблюдаются резкие коликообразные боли, причем живот всегда остается мягким.
Некоторые больные с эндокринными нарушениями дают неясные, часто длительное время неправильно оцениваемые колики в животе; подобные жалобы наблюдаются при болезни Симмондса, опухолях коры надпочечников, тиреотоксикозах и тетании. Эти заболевания всегда следует иметь в виду при дифференциальном диагнозе спазматических болей в животе; они обусловлены, по-видимому, дисфункцией вегетативной нервной системы.
Очень резкие боли в животе могут наблюдаться, кроме того, при эссенциальной типерлипемии (Thannhauser, Movitt и сотрудники). Если при «хирургическом животе» возникает предположение об этом диагнозе, следует искать другие симптомы этого редкого страдания: ксантоматоз, липемический ретинит и гепатоспленомегалию. В сыворотке крови, которая поражает своим молочным видом, значительно увеличено содержание липоидов, как нейтрального жира, так и холестерина.
Боли с преимущественной локализацией в гипогастрии, как правило, обусловлены изменениями в области половых или мочевых органов. С интенсивными болями преимущественно в левой или правой нижней части живота может протекать также слизистая колика. Для диагноза доказательно наличие так называемого «подвздошного шнура» (cordon iliaque) (сокращенный отрезок нисходящей части толстой кишки) и прежде всего отсутствие симптомов раздражения брюшины, а также выделение слизи и слизистых пленок.
Информация на сайте подлежит консультации лечащим врачом и не заменяет очной консультации с ним.
См. подробнее в пользовательском соглашении.
Тромбоз мезентеральных вен. Боли в животе при интоксикациях.
- длительное голодание с последующим обильным переполнением кишечника грубой пищей;
- операции на органах брюшной полости и малого таза;
- грыжи передней брюшной стенки.
Б. Объективный осмотр больного
Тяжесть состояния пациента обусловлена формой, уровнем и временем, прошедшим от дебюта ОКН.
Язык при выраженной клинической картине сухой, покрыт коричневым или желтым налетом.
В терминальных стадиях заболевания появляются трещины слизистой оболочки, афты, что указывает на тяжелую интоксикацию, обезвоживание и наличие перитонита.
2. Объективный осмотр живота [1, 4, 7, 8]. При подозрении на ОКН необходимо обследование всех возможных зон формирования грыж, для исключения их ущемления. Ущемление участка кишки без брыжейки в узких грыжевых воротах, как правило, не сопровождается выраженными болевыми ощущениями [2, 3].
а) Ad oculus. Вздутие живота - один из характерных признаков ОКН. Степень выраженности этого симптома бывает разной и, как правило, увеличивается по мере увеличения сроков заболевания. Равномерное увеличение живота обычно характерно для пареза кишечника и низких форм толстокишечной непроходимости. При высокой непроходимости живот увеличен в верхнем отделе, при завороте обычно заметно срединное выпячивание, при инвагинатах асимметрия чаще бывает в правой подвздошной области. В поздние сроки при возникновении недостаточности илеоцекального клапана (баугиниевой заслонки) живот становится симметрично вздутым. При заворотах сигмовидной кишки отмечается вздутие верхних отделов правой или левой половины живота, и тогда живот принимает характерный «перекошенный» вид.
Иногда во время болевой схватки контурируется раздутая кишечная петля с волнами перистальтики и урчанием. Особенно выраженным симптом «видимой перистальтики» бывает при подострых и хронических формах обтурационной непроходимости, при которой успевает развиться гипертрофия мышечного слоя приводящего отдела кишечника. При этом перистальтическую волну у худых больных с атоничной брюшной стенкой можно проследить до уровня обтурации.
При странгуляционной непроходимости иногда отмечается симптом Чугуева: больной лежит на спине с согнутыми в коленных суставах и подтянутыми к животу нижними конечностями, на животе видна глубокая поперечная полоса.
б) Поверхностная пальпация живота. Брюшная стенка при поверхностной пальпации обычно мягкая, безболезненная.
в) Глубокая пальпация. Иногда можно обнаружить наибольшую болезненность в месте расположения кишечных петель, подвергшихся странгуляции. У ряда больных удается прощупать фиксированную и растянутую в виде баллона петлю кишки (симптом Валя), при перкуссии над которой слышен тимпанический звук с металлическим оттенком (положительный симптом Кивуля). В поздние сроки заболевания при сильном растяжении кишечника определяется характерная ригидность брюшной стенки (положительный симптом Мондора), которая при пальпации напоминает консистенцию надутого мяча.
При инвагинации может наблюдаться симптом Бабука: если в промывных водах крови нет, живот пальпируют в течение 5 мин и после повторной сифонной клизмы вода может иметь цвет мясных помоев.
В случае илеоцекальной инвагинации в связи с перемещением инвагинированного отрезка кишечника правая подвздошная ямка при пальпации бывает пустой (симптом Шимона-Данса).
г) Перкуссия. Над растянутыми кишечными петлями определяют высокий тимпанит. Одновременно с этим над растянутыми кишечными петлями слышен «шум плеска» (симптом Склярова), что свидетельствует о скоплении в приводящей петле жидкости и газа.
д) Аускультация живота. Перистальтические шумы в первые часы заболевания усилены, нередко слышны на расстоянии. При аускультации можно определить усиленную перистальтику (урчание, переливание, бульканье, «шум падающей капли» - симптом Спасокукотского, «шум лопнувшего пузыря» - симптом Вильса). Бурная перистальтика более характерна для обтурации. При странгуляции усиление перистальтических шумов наблюдают в начале заболевания. В дальнейшем вследствие некроза кишки и перитонита перистальтические шумы ослабевают и исчезают (симптом «гробовой тишины»), при аускультации живота хорошо слышны дыхательные и сердечные шумы (положительный симптом Латейссена).
е) Per rectum. Иногда можно определить причину непроходимости (опухоль, каловый камень, инородное тело), а при инвагинации - кровь или кровянистое содержимое. Часто можно пропальпировать раздутую петлю тонкой кишки (симптом Гольда), нависание стенок кишки, служащих признаком скопления жидкости в малом тазу. При завороте и узлообразовании сигмовидной кишки ампула прямой кишки пустая, анус зияет (симптом Грекова, или симптом Обуховской больницы). Для этой патологии характерен также симптом Цеге-Мантейфеля: в прямую кишку удается ввести не более 300-500 мл жидкости.
В. Инструментальные исследования
1. Рентгенологическое обследование является основным специальным методом диагностики ОКН. Обзорная рентгенография брюшной полости должна проводиться при малейшем подозрении на ОКН. При этом выявляется ряд признаков. В норме газ имеется в ободочной кишке. Появление газа в тонкой кишке указывает на непроходимость. Характер скопления газа в просвете кишечника различается при разных вариантах КН (рис. 1). Рисунок 1. Схема скопления газа в просвете кишечника при разных вариантах КН. а - высокая тонкокишечная непроходимость. Возможно наличие единичных горизонтальных уровней жидкости и газа. Наличие газа в толстой кишке не характерно Рисунок 1. Схема скопления газа в просвете кишечника при разных вариантах КН. б - низкая тонкокишечная непроходимость. Обычно видны множественные горизонтальные уровни жидкости и газа (чаши Клойберга). Наличие газа в толстой кишке не характерно Рисунок 1. Схема скопления газа в просвете кишечника при разных вариантах КН. в - странгуляционная кишечная непроходимость. Могут быть как единичные, так и множественные горизонтальные уровни жидкости и газа. Наличие газа в толстой кишке не характерно. Обычно по снимкам удается определить, петли какой кишки - тонкой, толстой или обеих - растянуты газом. При наличии газа в тонкой кишке хорошо видны спиралевидные складки слизистой оболочки (Керкринговы складки), занимающие весь поперечник кишки.
В тощей кишке они имеют вид круговой ребристости, напоминающей «скелет селедки» (симптом Кейcи), в подвздошной кишке - более редкие, прямые и толстые. При скоплении газа в толстой кишке видны гаустры, которые занимают лишь часть поперечника кишки [7, 9-12].
В более ранних стадиях КН рентгенологически может определяться скопление газа (без уровня жидкости) в петле кишки соответственно определяемому клинически симптому Валя (симптом Гинтце). На соответствие растянутой и напряженной петле кишки зоны скопления газа в виде арки указывает симптом Штирлина.
При механической тонкокишечной непроходимости в толстой кишке газа немного или нет. При толстокишечной непроходимости и сохранной функции илеоцекального клапана отмечают значительное вздутие толстой кишки, в тонкой кишке газ может отсутствовать. Недостаточность илеоцекального клапана приводит к растяжению как тонкой, так и толстой кишки.

На рентгенограммах, полученных в положении стоя или лежа на боку, обычно видны горизонтальные уровни жидкости и газа (рис. 2). Рисунок 2. Обзорная рентгенограмма брюшной полости. Видны чаши Клойбера, уровни жидкости. Заполненные газом кишечные петли имеют вид опрокинутых чаш (чаши Клойбера). Они появляются при странгуляции через 1-2 ч после начала заболевания, при обтурации - через 3-5 ч. По размерам чаш Клойбера, их форме и локализации можно судить об уровне непроходимости.
При тонкокишечной непроходимости чаши Клойбера небольших размеров, ширина горизонтального уровня жидкости больше, чем высота столба газа над ним. Обычно наблюдается большое количество горизонтальных уровней с изменением их расположения в течение времени и перемещением жидкости из одной петли в другую. Горизонтальные уровни жидкости ровные. На фоне газа хорошо видны складки слизистой оболочки (складки Керкринга), принимающие форму растянутой спирали.
При непроходимости тощей кишки горизонтальные уровни жидкости локализуются в левом подреберье и эпигастральной области. При непроходимости в терминальном отделе подвздошной кишки уровни жидкости расположены в области мезогастрия.
При тонкокишечной непроходимости, кроме чаш Клойбера, на рентгенограммах видны растянутые газом кишечные петли, принимающие форму «аркад» или «органных труб», похожих на перевернутые буквы J и U.
При толстокишечной непроходимости горизонтальные уровни жидкости расположены по периферии брюшной полости, в боковых отделах живота, и их меньше, чем при тонкокишечной непроходимости. Высота чаш Клойбера преобладает над шириной. На фоне газа видны полулунные складки слизистой оболочки («гаустры»). Уровни жидкости не имеют ровной поверхности («зеркала»), что обусловлено наличием в толстой кишке плотных кусочков кала, плавающих на поверхности жидкого кишечного содержимого.
При динамической паралитической непроходимости, в отличие от механической, горизонтальные уровни жидкости наблюдаются одновременно как в тонкой, так и в ободочной кишке. Перемещения кишечных уровней со временем из одного колена кишки в другое не наблюдается. При динамической спастической непроходимости по ходу тонкой кишки видны мелкие чаши Клойбера, расположенные цепочкой слева сверху вниз и вправо.

Отличить паралитическую непроходимость кишечника от механической тонкокишечной непроходимости с помощью обзорной рентгеноскопии бывает довольно сложно (см. таблицу). Рентгеноконтрастное исследование применяется с целью дифференциальной диагностики КН в сложных случаях [2, 7, 10, 13]. Вариант введения контраста зависит от предполагаемого уровня окклюзии кишечника. Так, бариевую взвесь внутрь дают при признаках высокой обтурационной непроходимости и с помощью клизм вводят при симптомах низкой непроходимости. При необходимости динамического исследования пассажа бария внутрь назначают рентгеноконтрастный препарат, при задержке которого более 6 ч в желудке и 12 ч в тонкой кишке диагностируется нарушение проходимости или двигательной активности кишечника. При механической непроходимости контрастная масса ниже препятствия не поступает.
Таким образом, показаниями к проведению рентгеноконтрастного исследования при ОКН служат:
- подтверждение или исключение КН;
- сомнительные случаи, при подозрении на кишечную непроходимость с целью дифференциальной диагностики и при комплексном лечении;
- спаечная ОКН у больных, неоднократно подвергшихся оперативным вмешательствам, при купировании последней;
- любая форма тонкокишечной непроходимости (за исключением странгуляционной), когда в результате активных консервативных мероприятий на ранних этапах процесса удается добиться видимого улучшения. В данном случае возникает необходимость объективного подтверждения правомерности консервативной тактики. Основанием для прекращения мониторинга рентгенологического исследования является фиксация поступления контраста в толстую кишку;
- диагностика ранней послеоперационной непроходимости у больных, перенесших резекцию желудка. Отсутствие пилорического жома обусловливает беспрепятственное поступление контраста в тонкую кишку. В этом случае выявление феномена стоп-контраста в отводящей петле служит показанием к ранней релапаротомии.
Условия проведения исследований с контрастным веществом при ОКН:
1) рентгеноконтрастное исследование для диагностики ОКН можно использовать лишь при полной убежденности (на основании клинических данных и результатов обзорной рентгенографии брюшной полости) в отсутствии странгуляционной формы непроходимости, составляющей угрозу быстрой утраты жизнеспособности ущемленной петли кишки;
2) динамическое наблюдение за продвижением контрастной массы необходимо сочетать с клиническим наблюдением, в ходе которого фиксируются изменения местных физикальных данных и общего состояния больного. В случае усугубления местных признаков непроходимости или появления признаков эндотоксикоза вопрос о неотложном оперативном вмешательстве должен обсуждаться независимо от рентгенологических данных, характеризующих продвижение контраста по кишечнику;
3) если принимается решение о динамическом наблюдении за больным с контролем за пассажем по кишечнику контрастной массы (проба Шварца), то такое наблюдение следует сочетать с проведением лечебных мероприятий, направленных на устранение динамического компонента непроходимости. Эти мероприятия заключаются, главным образом, в применении антихолинергических, антихолинэстеразных и ганглиоблокирующих средств, а также проводниковой (паранефральной, сакроспинальной) или перидуральной блокады [1-3, 7, 9-12].
2. Колоноскопия (диагностическая и лечебная) является самым информативным методом диагностики заболеваний толстой кишки. В большинстве случаев она позволяет осмотреть толстую кишку на всем протяжении. Во время проведения колоноскопии визуально оценивается состояние слизистой оболочки толстой кишки, что позволяет на ранних стадиях выявить доброкачественные и злокачественные опухоли толстой кишки. Колоноскопия предоставляет возможность не только локализовать патологический процесс, но и выполнить интубацию суженной части кишки, разрешив явления острой непроходимости. Это позволяет выполнить оперативное вмешательство, как правило, по поводу онкологического заболевания в более благоприятных условиях [2, 4, 7, 14].
3. Ирригоскопия проводится при подозрении на непроходимость ободочной кишки. Под рентгенологическим контролем постепенно заполняют рентгеноконтрастной взвесью толстую кишку и производят обзорные и прицельные снимки всех ее отделов в разных положениях больного. На рентгенограммах можно обнаружить сужения и дефекты наполнения, обусловленные наличием опухоли в кишке, сужение дистального отдела сигмовидной кишки в виде «клюва» при ее заворотах, дефекты наполнения в виде «полулуния», «двузубца», «трезубца» при илеоцекальной инвагинации.
На следующем этапе, после удаления из толстой кишки рентгеноконтрастной взвеси, исследуют рельеф слизистой оболочки кишки.
На заключительном этапе ирригоскопии, особенно при подозрении на опухоль толстой кишки, исследование проводят при дозированном заполнении кишки воздухом, используя аппарат Боброва (двойное контрастирование).
4. Ультразвуковое исследование (УЗИ) широко применяется для оценки разных болезней органов брюшной полости, однако исследований, посвященных диагностике КН, не много. Это может быть связано с тем, что наличие большого количества газа в ЖКТ мешает успешному исследованию кишечника, а также с тем, что спайки в кишке (наиболее распространенная причина кишечной непроходимости) не визуализируются с помощью УЗИ.
Предпосылкой возможного использования ультразвукового (УЗ) метода для диагностики ОКН является избыточное скопление жидкого содержимого в просвете кишки, что позволяет при УЗ-сканировании ее визуализировать.
Избыточное скопление жидкости в кишечнике обусловлено как нарушением эвакуации и всасывания кишечного содержимого, так и пропотеванием жидкости в просвет кишки при развитии ее микроциркуляторных нарушений. В связи с этим жидкое содержимое в просвете кишки, определяемое при УЗИ, называют «симптомом секвестрации жидко
Читайте также:



