Тромбоз мезентериальных сосудов. Клиника тромбоза мезентериальных сосудов
Добавил пользователь Евгений Кузнецов Обновлено: 27.01.2026
Тромбоз мезентериальных сосудов. Клиника тромбоза мезентериальных сосудов
Острые нарушения мезентериального кровообращения наблюдаются преимущественно у лиц среднего и пожилого возраста. Основные виды нарушений — эмболия, тромбоз артерий, тромбоз вен, неокклюзионный. Различают три да течения болезни: 1) с последующей компенсацией кровотока; 2) с последующей субкомпенсацией кровотока; 3) с декомпенсацией кровотока. При нарушениях с декомпенсацией мезентериального кровообращения формируется инфаркт кишечника.
Неокклюзионные нарушения мезентериального кровообращения происходят на уровне микроциркуляторного русла кишечной стенки и могут возникать на Лоне острых кишечных инфекций, шока, инфаркта миокарда и др. В части случаев наблюдается сочетание окклюзионных и неокклюзионных механизмов нарушений мезентериального кровообращения. Локализация и протяженность инфаркта кишечника обусловлены видом нарушенного кровотока, калибром брыжеечного сосуда, уровнем окклюзии, развитием коллатеральных путей компенсации кровотока.
При локализации окклюзии в верхнем сегменте верхней брыжеечной артерии развивается тромбоз всей тонкой и толстой кишки справа. Если закупорка расположена в среднем или нижнем сегменте артерии, то тромбоз охватывает подвздошную и слепую кишку. Тромбоз нижней брыжеечной артерии приводит чаще к поражению ободочной и сигмовидной кишки. Тромбоз воротной и верхней брыжеечной вены сопровождается некрозом только тонкой кишки.
Клиническая картина болезни обусловлена стадией заболевания: I стадия (ишемия) — обратимая и характеризуется рефлекторными и гемодинамическими нарушениями; во II стадии (инфаркт) присоединяются интоксикация и локальные изменения брюшной полости; в III стадии (перитонит) отмечаются выраженная интоксикация, гемодинамические расстройства и перитонеальные явления.

Ангиография при мезентриальном тромбозе
По мнению Г.Ф. Ланга (1957) и Е.И.Чазова (1966), у некоторых больных до начала заболевания появляются предвестники, напоминающие предынфарктное состояние. Характерны приступы острой боли в области живота, возникающей время от времени наподобие кризов. Последние развиваются вследствие выраженного спазма сосудов брюшной полости и образования в них мелких тромбов. Такая "абдоминальная ангина", или "брюшная жаба", - предвестник обширной окклюзии брыжеечных сосудов.
Клиническая картина тромбоза мезентериальных сосудов заивисит от калибра и локализации закупоренного сосуда. Заболевание часто начинается остро и протекает бурно, однако возможно и постепенное его развитие Характерна интенсивная боль в области живота, часто невыносимая. Боль иногда бывает схваткообразной, He чаще носит постоянный характер. Локализация боли часто неопределенная. Развитие артериального тромбоза мезентериальных сосудов происходит в течение 1 сут венозный тромбоз формируется более медленно — в течение 2—5 дней.
Довольно рано возникает рвота. В 1-е сутки в рвотных массах видна примесь желчи. Позднее рвота приобретает каловый запах. При тромбозе верхней брыжеечной артерии в рвотных массах имеется примесь крови. Однако рвота при тромбозе мезентериальных сосудов не бывает столь частой и обильной, как при пищевой токсикоинфекции; стул нередко становится жидким, что обусловлено бурной перистальтикой кишечника в начальном периоде болезни.
Во 2-м периоде болезни понос сменяется запором в результате глубоких деструктивных изменений в стенке кишечника. Нередко при тромбозе нижней брыжеечной артерии в кале имеется примесь крови, однако массивные кишечные кровотечения для тромбоза мезентериальных сосудов не характерны. Иногда могут наблюдаться тенезмы, что нередко симулирует острую дизентерию. Скопление крови в петлях кишечника может привести к появлению тестообразной припухлости между пупком и лобком (симптом Мондора).
Иногда болевой синдром сопровождается развитием шока. Этому способствует перемещение значительной части крови в сосуды брюшной полости. Очень показательно поведение больных: они кричат от боли, просят оказать им помощь, не находят себе места. При осмотре отмечаются резкая бледность кожного покрова, цианоз. При высоких окклюзиях верхней брыжеечной артерии АД повышается на 60—80 мм рт.ст. (симптом Блинова), иногда определяется брадикардия. В стадии инфаркта отмечается уменьшение боли в области живота, поведение больных становится более спокойным. Рвота продолжается, стул жидкий лишь У половины больных, у остальных — запор.
Живот при пальпации умеренно вздут, мягкий, болезненность выражена неярко, мышечная защита отсутствует, симптом Щеткина отрицательный, однако на этом фоне происходит быстрое нарастание лейкоцитоза периферической крови (20,0—40,0*10 9 /л). Спустя несколько часов в соответствии с зонами инфаркта кишечника появляется локальная болезненность при пальпации живота. Развивается перитонит, имеющий ряд особенностей:
- более позднее возникновение мышечной защиты;
- более позднее появление симптома Щеткина;
- воспалительный процесс, как правило, начинается внизу;
- понос сменяется задержкой стула и газов из-за пареза кишечника.
Информация на сайте подлежит консультации лечащим врачом и не заменяет очной консультации с ним.
См. подробнее в пользовательском соглашении.
Тромбоз мезентериальных сосудов. Клиника тромбоза мезентериальных сосудов
Российский национальный исследовательский медицинский университет им. Н.И. Пирогова, Москва, Россия
Отделение хирургии печени, желчных путей и поджелудочной железы Российского научного центра хирургии им. акад. Б.В. Петровского РАМН, Москва
Мезентериальный венозный тромбоз
Журнал: Хирургия. Журнал им. Н.И. Пирогова. 2017;(7): 65‑68
Российский национальный исследовательский медицинский университет им. Н.И. Пирогова, Москва, Россия
Российский национальный исследовательский медицинский университет им. Н.И. Пирогова, Москва, Россия
Отделение хирургии печени, желчных путей и поджелудочной железы Российского научного центра хирургии им. акад. Б.В. Петровского РАМН, Москва
Острое нарушение мезентериального кровообращения является угрожающим жизни больного патологическим состоянием и редко встречается в клинической практике общего хирурга. Его ежегодная частота, по данным литературы, составляет 0,09—0,2% [1, 2]. Следует, однако, сказать, что эти цифры являются относительными, в реальности острая мезентериальная ишемия может встречаться чаще. Существующее мнение объясняется отсутствием на сегодняшний день эпидемиологических исследований этой нозологии по результатам аутопсий.
Мезентериальный венозный тромбоз как отдельную нозологию впервые описали Warren и Eberhard. Его доля составляет 6—9% всех случаев острой мезентериальной ишемии с общей летальностью до 25% [3—6]. Широкое распространение в клинической практике инструментальных методов визуализации брюшной полости (КТ, МРТ) способствовало росту частоты выявлений этого коварного состояния. Так, к примеру, в Швеции до 2000 г. этот показатель составлял 2,0 на 100 000 населения в год, позднее — 2,7 на 100 000 населения [6].
Протромботические состояния, воспалительные процессы и злокачественные образования органов брюшной полости, а также хирургические вмешательства рассматриваются в качестве факторов риска и причин развития венозного мезентериального тромбоза.
Причины венозного мезентериального тромбоза
1. Тромбофилические состояния
А. Врожденного характера — дефицит протеина С или S, дефицит V-фактора Leidena, дефицит антитромбина, изменение нуклеотидной последовательности гена протромбина (G20210A), изменение нуклеотидной последовательности гена метилентетрагидрофолатредуктазы.
Б. Приобретенного характера — гематологические состояния — истинная полицитемия (болезнь Ослера), миелофиброз, тромбоцитопения, изменение нуклеотидной последовательности гена JAK2, антифосфолипидные антитела, пароксизмальная ночная гемоглобинурия. Негематологические — злокачественные опухоли органов брюшной полости, прием оральных контрацептивов, беременность, нефротический синдром, гипергомоцистемия.
2. Местные факторы, вызывающие повреждение сосудистой стенки
А. Воспалительные процессы в брюшной полости — острые хирургические заболевания органов брюшной полости (панкреатит, аппендицит, дивертикулит, перитонит), воспалительные заболевания кишечника.
Б. Оперативные вмешательства на органах брюшной полости — наиболее часто после спленэктомии, лапароскопическая и бариатрическая хирургия.
В. Абдоминальная травма.
Г. Тромбоз кава-фильтра, тромбоз нижней полой вены.
3. Заболевания и состояния, вызывающие замедление тока крови в мезентериальной венозной системе брюшной полости: цирроз печени, застойная спленомегалия (болезнь Банти) и застойная сердечная недостаточность.
4. Идиопатические причины.
Следует отметить, что нередко выявляется несколько этиологических факторов развития венозного мезентерального тромбоза. Протромботические состояния преобладают и чаще способствуют развитию изолированного тромбоза, в то время как заболевания и состояния, вызывающие повреждение сосудистой стенки, приводят к сочетанному мезентериальному и портальному венозному тромбозу [7].
Гипергомоцистемия в сочетании с мутацией гена метилентетрагидрофолатредуктазы C677Т обусловливает общее предрасположение как к артериальному, так и к венозному мезентериальному тромбозу [8].
В случае, если причина тромбоза не может быть установлена, говорят о первичной, или идиопатической, венозной мезентериальной ишемии. Ее частота варьирует от 0 до 49% с постепенным уменьшением при более широком диагностическом поиске [9, 10].
Тромбоз брыжеечных вен приводит в первую очередь к нарушению оттока венозной крови и развитию венозной гипертензии в мезентериальной системе, вследствие чего развивается выраженный отек кишечной стенки. Нередко при массивном поражении присоединяется и артериальный спазм, который значительно ускоряет и усугубляет процессы ишемического повреждения кишечной стенки. Некроз слизистой способствует транслокации бактерий в кровь с развитием ацидоза, сепсиса, полиорганной недостаточности, приводящих к смерти [11]. Распространенность и длительность венозного тромбоза оказывают разностороннее влияние как на клиническую картину, так и на результаты лечения этой категории пациентов.
Клиническая картина скудна, неспецифична и чаще неясна. Начало может быть острым при остром тромбозе и подострым или хроническим в случае хронического мезентериального венозного тромбоза. Средний возраст больных составляет 50—60 лет с незначительным преобладанием мужской группы населения [11, 12]. Наиболее частым симптомом является абдоминальная боль, встречающаяся в 91—100% наблюдений [7]. Обычно болевой синдром имеет интенсивный характер и локализуется в центральных отделах живота. Характерно, что выраженность и интенсивность боли не соизмеримы с общим состоянием больного [11]. При подострой и хронической венозной мезентериальной ишемии болевой синдром менее интенсивен, что приводит к более позднему обращению больных за медицинской помощью. Около 75% пациентов госпитализируют после 48 ч с момента заболевания. По данным литературы, симптомы болезни до момента госпитализации больных могут отмечаться на протяжении от 6 до 14 дней [10, 13].
Также нередко наблюдаются тошнота, рвота, диарея и мелена. Несмотря на то что мелена отмечается лишь в 15% наблюдений, результат теста на определение скрытой крови бывает положительным у 50% больных [14, 15].
С прогрессированием ишемии появляются асцит и перитонеальные признаки — мышечное напряжение и положительный симптом Щеткина—Блюмберга [16]. 6—29% пациентов госпитализируют в крайне тяжелом состоянии с признаками нестабильной гемодинамики. Перитонит, нестабильность гемодинамики и лихорадка говорят о поздней стадии заболевания и позволяют прогнозировать плохой результат лечения [3, 13, 17].
Отсутствие специфичной клинической картины, а также патогномоничных симптомов нередко затрудняет дифференциальную диагностику мезентериального венозного тромбоза с другими хирургическими заболеваниями на догоспитальном этапе.
Данные рутинных клинических анализов крови на госпитальном этапе неспецифичны и малоинформативны, в связи с чем их роль в диагностике венозной мезентериальной ишемии невелика.
Методом выбора в диагностике нарушения мезентериального венозного кровообращения считается компьютерная томография с контрастированием. Общая диагностическая точность составляет 95—100% [18]. Этот метод не только позволяет определить степень окклюзии, уровень тромбоза и его распространенность, но и предоставляет важную информацию, касающуюся жизнеспособности кишечника, что имеет огромное значение в плане выбора лечебной стратегии. Выявление таких признаков, как наличие расширенных петель кишечника, утолщение их стенок, содержание пузырьков газа в стенке кишки или в венозной системе, говорит об ишемическом повреждении кишки и диктует необходимость выполнения экстренной операции. Высокая чувствительность и специфичность метода (90 и 92% соответственно) в выявлении ишемии кишки определяют его использование в качестве метода выбора и как можно раньше у больных с подозрением на наличие этого коварного состояния [19, 20].
Другие методы исследования, такие как мезентериальная ангиография, ядерная сцинтиангиография, из-за инвазивности, а также необходимости специального оснащения в диагностике тромбоза венозной мезентериальной системы используются редко [5, 17].
На сегодняшний день не существует общепринятых установленных рекомендаций лечения этой группы больных. Основным методом лечения считается антикоагулянтная терапия. После установления диагноза и при отсутствии показаний к экстренной операции применение нефракционированного и низкомолекулярного гепарина нужно начинать как можно раньше. Как было показано во многих работах, оно значительно улучшает результаты лечения этой категории пациентов [15, 21, 22]. Основная цель терапии заключается в том, чтобы добиться в раннем периоде заболевания реканализации венозного русла, предотвратить прогрессирование тромбоза и развитие некроза кишечника, а в отдаленном периоде предупредить развитие рецидива тромбоза. Согласно данным литературы, использование антикоагулянтов способствует реканализации тромбированных вен в 50—95% наблюдений [6, 15, 23].
В случае выявления обратимых причин тромбоза, таких как травма, инфекция либо острый панкреатит, продолжать прием антикоагулянтов рекомендуется в течение 3—6 мес. Когда в качестве этиологии тромбоза выявляются гиперкоагуляционные состояния или идиопатические причины, антикоагулянтная терапия должна проводиться длительно с учетом ее риска и эффективности [24].
Согласно данным недавних исследований, добавление к антикоагулянтной терапии тромболизиса способствовало реканализации вен в 88—100% наблюдений. Кроме того, в этой группе больных было отмечено значительное снижение количества выполненных резекций кишечника [27—29]. Несмотря на хорошие результаты исследований, сообщается, что они получены в малом числе наблюдений. Таким образом, тромболитическая терапия на сегодняшний день может быть рассмотрена только как многообещающий дополнительный метод лечения. Основными условиями ее применения являются строгая селекция больных, отсутствие признаков некроза кишечника и общих противопоказаний [12].
Трансъюгулярное внутрипеченочное портосистемное шунтирование (TIPS) также может быть с успехом использовано в лечении больных с острой венозной мезентерильной ишемией. Применение этого метода благодаря снижению давления в портомезентериальной венозной системе способствует быстрому купированию симптомов заболевания и улучшению состояния больных, а также венозной реканализации в 83% наблюдений [30].
Хирургическая операция показана при выявлении инфаркта кишки или развитии перитонита. Резекция кишки с формированием первичного или отсроченного анастомоза и программированной лапаротомией является стандартной процедурой у таких больных. С целью уменьшения зоны резекции кишки, определения четких границ ее жизнеспособности, а также предупреждения развития синдрома короткой кишки в отдаленном послеоперационном периоде во время операции могут быть использованы ультразвуковое ангиосканирование сосудов брыжейки и флюоресцентная ангиография [31].
В целом результаты лечения больных с тромбозом в портомезентериальной венозной системе лучше, чем пациентов с артериальным тромбозом — 44% против 66—89% [32]. Благодаря совершенствованию методов визуализации инструментальной диагностики, а также сочетанному применению различных методов лечения в последние годы отмечено снижение показателя летальности при венозном тромбозе в мезентериальной системе до 25% [3, 6, 33].
Главными неблагоприятными факторами, влияющими на отдаленные результаты лечения этой категории пациентов, являются рецидив тромбоза и развитие портальной гипертензии — 25 и 7,3—25% соответственно [33, 34]. Нужно подчеркнуть, однако, что применение антикоагулянтной терапии в течение длительного периода способствует снижению рецидивов тромбоза с 25 до 3% [9, 33].
Таким образом, тромбоз мезентериальной системы является редким и потенциально опасным для жизни заболеванием. Методом выбора в диагностике этого грозного и коварного состояния является компьютерная томография с контрастированием. Основным методом лечения остается ранняя антикоагулянтная терапия. При выявлении инфаркта кишки или признаков перитонита показана хирургическая операция, объем которой зависит от интраоперационной находки. С целью уменьшения зоны резекции кишки, а также профилактики развития синдрома короткой кишки в отдаленном послеоперационном периоде следует интраоперационно использовать ультразвуковое ангиосканирование или флюоресцентную ангиографию. Результаты лечения зависят, главным образом, от ранней диагностики заболевания и своевременно начатой антикоагулянтной терапии. Отдаленные результаты определяются, главным образом, причиной тромботического состояния, рецидивом тромбоза и развитием осложнений.
Острый мезентериальный тромбоз
Мезентериальный тромбоз - это острое нарушение кровообращения в брыжеечных сосудах, возникающее вследствие эмболии или тромбоза брыжеечных артерий и вен. Распространенность мезентериального тромбоза. При мезентериальном тромбозе чаще всего поражается верхняя брыжеечная артерия (85-90%), намного реже поражается нижняя брыжеечная артерия (10-15%).
Данное заболевание встречается у мужчин и женщин примерно с одинаковой частотой. Тромбоз и эмболия мезентериальных сосудов развивается преимущественно в среднем и пожилом возрасте.
Этиология мезентериального тромбоза. Главными причинами развития мезентериального тромбоза являются заболевания сердца, приводящие к образованию тромбов - инфаркт миокарда, ревматические пороки, нарушения ритма, кардиосклероз, эндокардит. Кроме того очень часто к эмболии брыжеечных артерий приводит атеросклероз, при котором на стенках артерий образуются атеросклеротические бляшки. При отрыве этих бляшек возможна эмболия мезенетериальных артерий. Тромбоз мезентериальных вен возникает при портальной гипертензии, наличии гнойных процессов в брюшной полости (пилефлебит), сепсисе, травмах, сдавлении сосудов новообразованиями.
Клинические проявления мезентериального тромбоза.
1. Первым симптомом тромбоза и эмболии мезентериальных сосудов является резкая, интенсивная боль. Локализация болей зависит от уровня поражения брыжеечных сосудов. При поражении основного ствола верхней брыжеечной артерии боли чаще всего определяются в области. При поражении подвздошно-ободочной артерии боли локализуются в правой подвздошной области. В этом случае мезентериальный тромбоз необходимо дифференцировать с острым аппендицитом. При тромбозе и эмболии нижней брыжеечной артерии характерно появление болей в левой подвздошной области. Боли при данной патологии чаще всего постоянные, имеют интенсивный характер. Иногда боли имеют схваткообразный характер. В этом случае мезентериальный тромбоз можно спутать с острой кишечной непроходимостью, или же с кишечной коликой.
2. Вторым по частоте симптомом у больных с мезентериальным тромбозом является тошнота, иногда переходящая в рвоту. Тошнота и рвота встречается более чем у 50% больных с данной патологией.
3. При мезентериальном тромбозе возможен жидкий стул, иногда с примесью крови.
4. Тахикардия.
5. В начале заболевания температура тела будет нормальной. При развитии некроза кишечника температура может повышаться до 38 и более градусов.
6. По мере развития заболевания начинает развиваться клиническая картина паралитической кишечной непроходимости. При этом будет наблюдаться вздутие живота, отсутствие перистальтики, задержка стула, возможна рвота.
Лечение мезентериального тромбоза.
Необходимо помнить, что развитие мезентериального тромбоза угрожает жизни больного. Поэтому, чем раньше будет поставлен правильный диагноз, тем больше шансов спасти жизнь больному.
Наиболее целесообразно применение хирургической тактики лечения. Опреция проводится под эндотрахеальным наркозом. При отсутствии некроза кишечника возможно применение эндартерэктомии, эмболэктомии, протезирования брыжеечных артерий. В случае запущенности процесса развивается некроз кишечника, и в этом случае необходимо выполнить резекцию некротизированного участка кишки.
В качестве консервативной терапии применяется:
1. Парентеральное введение антикоагулянтов (Гепарин). Антикоагулянтную терапию необходимо проводить под контролем МНО, протромбинового индекса.
2. Парентеральное введение дезагрегантов (Реополиглюкин, Трентал, Гемодез)
Прогноз при мезентериальном тромбозе.
Летальность при этом заболевании может достигать 70-90%.
Некроз тонкого кишечника при остром тромбозе верхней брыжеечной артерии. Операция по резекции прожженного участка.
Тромбоз мезентериальных сосудов

Мезотромбоз, или тромбоз мезентериальных сосудов, - это процесс закупорки сосудов брыжейки (мезентерия). В результате образования тромба ухудшается кровообращение в сосудах мезентериальной плёнки, покрывающей органы брюшной полости. Из-за нарушения кровоснабжения в поражённых участках происходят необратимые изменения и некроз этих отделов брыжейки. При тромбозе мезентериальных сосудов требуется немедленное удаление сгустка крови.
Наиболее часто мезентериальный тромбоз локализуется в верхней брыжеечной артерии, реже – в мезентеральных венах и в нижней брыжеечной артерии. Поражение артерий брыжейки происходит чаще, чем поражение вен. Смешанная форма тромбоза мезентерия встречается в запущенных случаях.
Код МКБ-10: K55.0, включенный в интервал «острые сосудистые заболевания кишечника». Чаще всего оно возникает у пациентов пожилого возраста, у женщин немного чаще, чем у мужчин. В редких случаях мезентериальный тромбоз диагностируется у новорождённых с врождёнными патологиями кишечника и у лиц моложе 40 лет.
Брыжейка фиксирует петли кишечника в «подвешенном» состоянии. Между её листками проходят вены, нижняя и верхняя брыжеечная артерия.
Распределение кровоснабжения между сосудами брыжейки:
Верхняя брыжеечная артерия (на 90% обеспечивает кровоснабжение ЖКТ) – питает тонкий кишечник, слепую, восходящую, 70% поперечно-ободочной кишки;
Нижняя мезентериальная артерия – питает 30% поперечно-ободочной кишки, прямую, сигмовидную, нисходящую кишку;
Коллатеральные сосуды (анастомозы) – перекачивают кровь из верхней брыжеечной в нижнюю мезентериальную артерию, при тромбозе верхней артерии кишечные коллатерали не в состоянии обеспечить кровоснабжение мезентерия.
Венозный отток крови из кишечника происходит через воротную вену. В результате закупорки сосуда тромбом развивается острое нарушение кровоснабжения кишечника, ишемия его стенок. Дальнейшее развитие процесса приводит к необратимой деструкции тканей, геморрагическому некрозу стенок кишечника. Патологию отличает тяжёлое течение, высокая вероятность летального исхода.
Пути поступления тромбов в брыжейку

Движение сгустка крови по артериальной системе:
Из сердца – при отрыве от стенки аневризмы аорты, возникшей в результате инфаркта;
Из грудного или брюшного отдела аорты – при расслоении сосуда;
Отрыв атеросклеротической бляшки;
Непосредственно из мезентериальной артерии – как следствие её поражения в результате травмы (например, при ударе в живот).
Образование сгустка крови в венозной системе:
Воспалительные патологии кишечника, затрагивающие вены (тромбофлебит);
Снижение ад на фоне ухудшения деятельности сердечной мышцы;
Портальная гипертония, как осложнение гепатитов;
Застой крови при тромбозе воротной вены;
Заболевания и состояния, повышающие вязкость крови – последствия спленэктомии, длительный приём гормональных оральных контрацептивов, патологии органов кроветворения.
Классификация мезентериального тромбоза
В зависимости от локализации и распространённости поражения различают следующие формы тромбоза брыжейки:
Компенсация – функциональность кишечника полностью восстанавливается;
Субкомпенсация – в результате не до конца восстановленного кровотока развиваются такие патологии кишечника, как колит, энтерит, брюшная жаба;
Декомпенсация - приводит к развитию гнойного перитонита и абдоминального сепсиса.
Симптомы тромбоза мезентериальных сосудов

Перед началом проявления острых симптомов тромбоза могут проявляться такие предвестники, как брюшная жаба, или хроническая окклюзия брыжеечных сосудов. Её симптомы – поносы, боль в животе после еды, заметное снижение веса.
Самые первые симптомы (до 12 часов)
Симптомы острого тромбоза в первые 6-12 часов:
Внезапный дебют, острые схваткообразные боли в животе;
Общее беспокойство больного, он находится в вынужденной позе с прижатыми к животу ногами;
Тошнота, рвота с кровью, с желчью, с запахом кала;
Частый жидкий стул с кровью;
Симптом блинова – повышение ад на 60-80 мм рт. Ст;
В начале патологии симптомы раздражения брюшины отсутствуют, живот остаётся мягким и почти безболезненным.
Симптомы в стадии инфаркт (после 12 часов)
Симптомы тромбоза в стадии инфаркта (спустя 6-12 часов):
Ухудшение общего состояния;
Снижение интенсивности болевого синдрома;
Увеличение боли при пальпации зоны поражения;
Симптом мондора – появление припухлости тестовидной консистенции между лобком и пупком;
Сохранение выделительной функции кишечника.
Выраженное ухудшение состояния;
Сильная боль при движении;
Паралич кишечника, непроходимость.
Важно отличать мезентериальный тромбоз от острого панкреатита, прободной язвы 12-перстной кишки, непроходимости кишечника, острого аппендицита. Основное отличие тромбоза – нет боли при пальпации живота в проекции поджелудочной железы, имеется жидкий стул, у рвоты присутствует оттенок кофейной гущи.
Диагностика

Диагностируя патологию, врач изучает анамнез больного, наличие у него заболеваний сердца и сосудов, анализирует клинические симптомы, наличие острого болевого симптома.
Лабораторные и инструментальные диагностические методы:
Анализ крови на коагулограмму;
Анализ крови на холестерин;
Определение количества тромбоцитов;
Рентген брюшной полости;
Селективная мезентрикография, определяющая наличие или отсутствие кровотока в артериях брыжейки;
Магнитно-резонансная томография сосудов брыжейки;
Диагностическая лапароскопия для обнаружения признаков инфаркта кишечника, изменений в брюшной полости.
Лечение тромбоза мезентериальных сосудов

Единственно возможный метод устранения мезентериального тромбоза – экстренная операция.
Цель хирургического вмешательства:
Оценка жизнеспособности кишечника;
Удаление участков некроза кишечника;
Ревизия мезентеральных сосудов;
Профилактика сепсиса и перитонита.
Существует несколько методов оперативного устранения мезентериального тромбоза. Хирург реконструирует магистральные сосуды, восстанавливая их кровоснабжение. В области стеноза кишечника создаются условия для шунтирования. При некрозе выполняется резекция гангренозного участка, далее восстанавливается кровоснабжение, проводятся мероприятия по предупреждению пареза кишечника. Спустя 1-2 суток выполняется повторная лапаротомия для повторной ревизии брюшной полости.
Послеоперационные мероприятия:
Введение антитромботических препаратов для предупреждения повторного образования тромба;
Восстановление общей циркуляции крови;
Лечение последствий интоксикации;
Стабилизация функционирования сердечной мышцы;
Стимуляция метаболизма тканей;
Санация брюшной полости;
Антибактериальная терапия для профилактики сепсиса и перитонита.
Прогноз развития
Если больному оказать помощь в первые 4-6 часов после нарушения кровотока в сосудах брыжейки, можно полностью восстановить функционирование кишечника и предотвратить его инфаркт. При оказании помощи на более поздних стадиях нарастает количество необратимых изменений, летальность возрастает до 90%. Наличие в анамнезе основного заболевания, пожилой возраст больного ухудшает прогноз.
Чтобы предупредить развитие тромбоза сосудов брыжейки, нужно своевременно лечить основное заболевание, становящееся источником образования тромбов – аневризм, ревматический порок сердца, атеросклероз.
Автор статьи: Волков Дмитрий Сергеевич | к. м. н. врач-хирург, флеболог
Образование: Московский государственный медико-стоматологический университет (1996 г.). В 2003 году получил диплом учебно-научного медицинского центра управления делами президента Российской Федерации.
Наши авторы
Абдоминальная ишемия - диагностика и лечение

Абдоминальная ишемия (мезентериальный тромбоз, острая ишемия кишечника, недостаточность кровообращения кишки) возникает, когда кровоток через артерии, которые снабжают кровью кишечник, замедляется или останавливается. Такое состояние имеет много потенциальных причин, в том числе закупорка артерии тромбом или сужение артерии из-за развития холестериновых бляшек. Закупорки также могут возникать в венах, но они менее распространены.
Независимо от причины, снижение кровотока в желудочно-кишечный тракт оставляет ткани без достаточного количества кислорода, что вызывает нарушение функции клеток и их гибель. Если повреждения кишечной стенки достаточно серьезные, то развивается гангрена кишечника с последующим его разрывом (перфорация) с исходом в каловый перитонит и смерть.
Спасти человека с мезентериальным тромбозом можно только при своевременной правильной диагностике, с последующим удалением тромба и оценкой жизнеспособности кишки. При обычном симптоматическом лечении летальность достигает 99%, при операции по удалению кишки - 80%, при своевременном удалении тромба и контролем за кишкой - 25%.
Подход к лечению в Инновационном сосудистом центре
Своевременная диагностика мезентериальной ишемии позволяет провести адекватное лечение и сохранить человеку жизнь. В нашей клинике при подозрении на мезентериальную ишемии экстренно выполняется ангиография и удаление тромба из артерий кишечника. Только такое лечение дает пациенту шанс остаться в живых. Если прошло достаточно много времени от начала заболевания, то выполняется восстановление кровообращения и лапароскопия, которая позволяет определить необходимость в удалении омертвевших участков кишки. Без лечения погибают все пациенты. С лечением удается спасти больше половины.
Причины острой ишемии кишечника
- Атеросклероз артерий кишечника может привести к их тромбозу с последующим развитием мезентериальной ишемии. При наличии признаков ишемической болезни сердца, атеросклеротических поражений артерий ног у пациента можно подразумевать системный атеросклероз и соответственно иметь ввиду риск абдоминальной ишемии.
- Высокое или низкое артериальное давление повышает риск развития мезентериального тромбоза и ишемии кишечника
- Сердечная недостаточность и мерцательная аритмия повышают риск эмболии артерий кишечника (перенос тромба из сердца в артерии) и развития острой кишечной ишемии.
- Повышенная свертываемость крови при тромбофилиях, серповидно-клеточной анемии и антифосфолипидном синдроме.
- Употребление кокаина и метамфетамина может вызывать спазм кишечных сосудов и ишемию кишечника.
Клинические формы мезентериального тромбоза
- Тромбоз сосудов толстой кишки (ишемический колит)
Этот наиболее распространенный вариант ишемии кишечника возникает при уменьшении притока крови к толстой кишке. Чаще всего наблюдается у людей старше 60 лет, хотя может развиться в любом возрасте. Признаками и симптомами ишемии толстой кишки являются кровотечения из заднего прохода и внезапно появившиеся спастические боли в животе.
Этот тип ишемии кишечника, как правило связан с блокированием кровотока в верхней брыжеечной артерии. Он отличается резким началом. Беспокоят сильные боли в животе, тошнота, рвота. Состояние прогрессивно ухудшается и в ближайшие дни наступает гибель пациента.
- Хроническая недостаточность кровоснабжения кишечника
Хроническая абдоминальная (мезентериальная) ишемия иногда называется кишечной стенокардией (брюшная жаба). Развивается в результате развития атеросклеротических бляшек в артериях кишечника. Процесс этот развивается медленно, жалобы носят характер расстройств пищеварения, спазмов в кишечнике. Потенциально опасным осложнением хронической мезентериальной ишемии является развитие тромбов в пораженных артериях, которые блокируют кровоток и вызывают острую абдоминальную ишемию.
Развивается при тромбозе брыжеечных вен на фоне различных заболеваний органов брюшной полости. При закупорке кишечных вен кровь застаивается в кишечнике, вызывая отеки кишки и кровоточивость слизистой оболочки. Полный блок венозного оттока приводит к гибели участков кишки с развитием перитонита.
Осложнения мезентериального тромбоза
- Гангрена кишки. Если приток крови в кишечник полностью блокирован, то развивается его гибель.
- Перфорация. Омертвевший участок кишки может разорваться. В результате этого содержимое кишечника изливается в брюшную полость, вызывая инфекционный процесс в брюшине (перитонит).
- Рубцовые изменения в стенке кишки. Иногда эти грозные осложнения не развиваются, но поврежденная стенка кишки замещается рубцом, вызывающим сужение кишечной трубки и развитие кишечной непроходимости.
Прогноз при мезентериальной ишемии
Большинство пациентов погибает в течение 2-5 суток с момента начала заболевания, если кровообращение в кишечнике не было восстановлено в ближайшие 6 часов.
При венозном мезентериальном тромбозе возможно постепенное выздоровление, с частичным рубцеванием кишки и развитием хронических энтериитов и колитов. Однако летальность так же высока.
При сегментарном (частичном) мезентериальном тромбозе пациент может выжить, если кишка припаяется к другим органам и не наступит ее перфорация с перитонитом, однако вероятность такого исхода очень небольшая. В последующем у больного может развиться кишечная непроходимость из-за рубцевания погибшей кишки.
При своевременном восстановлении кишечного кровотока с помощью методов эндоваскулярной хирургии (тромбэктомия, тромболизис, ангиопластика) - вероятность выздоровления повышается до 75%. Однако даже успешное восстановление кровотока требует обязательного наблюдения за состоянием кишечника. Необходимо в течение первых суток выполнить диагностическую лапароскопию, которую можно повторить и в следующие сутки.
При гибели участков кишки необходимо выполнить их удаление во время лапаротомии (открытая операция через живот). Иногда приходится удалять большие по протяженности участки кишки, но это необходимо, так как мертвые и сомнительно-жизнеспособные участки кишки могут распадаться с истечением кишечного содержимого в брюшную полость и развитием гнойного перитонита.
После резекции больших участков кишки может развиться синдром мальабсорбции (нарушения всасывания пищи), что приводит к значительному похуданию пациента, частым поносам и другим кишечным расстройствам. Поэтому наиболее важным в лечении мезентериального тромбоза является восстановление кровообращения в кишечнике, с целью уменьшить размеры его омертвения.
Преимущества лечения в клинике
Диагностика
![УЗИ картина закупорки верхней брыжеечной артерии]()
Жалобы
При возникновении острого нарушения кровотока по кишечнику у пациента развиваются сильнейшие боли в животе. Боли носят схваткообразный характер. и первые 2-3 часа остаются очень интенсивными. Живот в это время не вздут, перистальтика (кишечные шумы) резко ослаблена, при пальпации живот слегка болезненный, но не напряженный.
Затем постепенно боли уменьшаются, но появляется симптоматика общей интоксикации - повышение частоты сердечных сокращений, появление жажды. На этой стадии начинается вздутие живота. Это стадия гибели кишечника, но еще без перфораций.
Терминальная стадия абдоминальной ишемии характеризуется вздутием живота, отсутствием перистальтики, болезненностью во всех отделах живота с выявлением напряжения при пальпации. Отмечается высокая частота пульса, низкое артериальное давление, отсутствие мочеиспускания и одышка. На фоне этих симптомов неминуемо наступает смерть.
УЗИ брюшной аорты
Своевременная диагностика является залогом успеха в лечении абдоминальной ишемии, но она очень сложна. Учитывая, что возможность спасти жизнь при этой патологии имеется только в первые часы заболевания диагностика должна быть срочной и точной. Мезентриальный тромбоз можно спутать с любым острым заболеванием брюшной полости. Диагноз ставится методом исключения. В первую очередь необходимо исключить прободную язву, острый панкреатит, кишечную непроходимость. Наличие у пациента мерцательной аритмии, инфарктов в анамнезе, атеросклероза нижних конечностей позволяют предположить мезентериальный тромбоз. После исключения острых заболеваний брюшной полости проводятся специфические исследования для диагностики непроходимости сосудов брыжейки.
УЗИ брюшной аорты позволяет выявить тромбоз брыжеечной артерии или чревного ствола. Преимуществом метода является его быстрая доступность и отсутствие осложнений. Брюшная аорта осматривается в продольном и в поперечном срезе в режиме цветового картирования. Определяется скорость кровотока по аорте и ее ветвям. Метод обладает достаточно высокой чувствительностью, но его результаты зависят от опыта врача, проводящего исследование и правильной интерпретации полученных данных.
![МСКТ ангиография при остром тромбозе верхней брыжеечной артерии]()
Мультиспиральная компьютерная томография с ангиографией
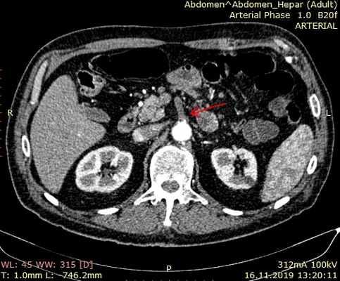
Мультиспиральная компьютерная томография аорты и ее ветвей позволяет точно оценить состоянии брыжеечных сосудов и помочь правильной постановке диагноза. Признаками острой мезентериальной непроходимости является отсутствие контрастирования брыжеечных артерий со слабым развитием коллатеральных сетей кровообращения. При соответствующих жалобах и клинической картине компьютерная томография позволяет поставить точный диагноз в большинстве случаев мезентериального тромбоза. Требуется внутривенное введение контраста и детальный анализ полученных изображений.
![Ангиография позволяет поставить точный диагноз и выполнить вмешательство по восстановлению кровообращения]()
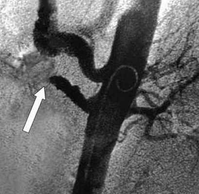
Рентгеновская ангиография
Метода введения контрастного вещества непосредственно в интересующие артерии. Проводится через доступ к артериям на руке или на ноге. Позволяет прицельно изучить проходимость брыжеечных артерий и одновременно выполнить вмешательство по восстановлению проходимости закупоренной артерии. Ренгтеноангиография выступает диагностическим и лечебным методом одновременно. С помощью специальных катетеров и инструментов возможно проведение рассасывания тромбов (тромболизиса) или его удаления - тромбэктомии.
Читайте также:



