Твердое небо и альвеолярные отростки при двадцатилетнем ношении протезов
Добавил пользователь Владимир З. Обновлено: 11.12.2025
Известно, что восстановление дефектов зубного ряда, особенно в эстетически значимых зонах, требует от стоматолога-ортопеда индивидуального решения в конкретной клинической ситуации. Независимо от расположения нижнего края верхней губы во время разговора и улыбки (резцовый, цервикальный или десневой эффекты) пациенты зачастую бывают особенно взыскательны при реконструктивных мероприятиях во фронтальной области верхнего зубного ряда. Определенные сложности у врача стоматолога-ортопеда возникают при явных или выраженных дефектах вестибулярной стенки альвеол утраченных фронтальных зубов (клинический случай № 1). Дефекты вестибулярной стенки альвеол осложняют составление плана лечения не только во фронтальной области, но и в боковых отделах зубного ряда (клинический случай № 2).
Клинический случай № 1
В клинику кафедры ортопедической стоматологии ГОУ ВПО « ЧГМА » обратилась пациентка Л., 32 лет, с жалобами на эстетический дефект фронтального отдела верхнего зубного ряда. Из анамнеза выяснено, что во время автомобильной аварии пациентка ударилась лицом о переднюю панель. В результате произошел полный вывих зубов 2.1 и 2.2.
На следующий день она обратилась в стоматологическую клинику ЧГМА, где была осмотрена челюстно-лицевым хирургом. При обследовании выявлен отек верхней губы, больше выраженный справа, определялась болезненность при пальпации в верхнем ее отделе. Рот больная открывала с некоторым ограничением ввиду болезненности. Слизистая оболочка альвеолярного отростка в области отсутствующих зубов 2.1 и 2.2 с вестибулярной и небной сторон была отечная, гиперемированная. Отмечалось снижение высоты альвеолярного отростка, отчетливо определяющееся на уровне зуба 2.2. Лунки имели щелевидную форму, были выполнены сгустками и с краев незначительно кровоточили (рис. 1).
Рис. 1. Схема лунки зуба после травмы.
При пальпации определялись дефект передних стенок альвеол зубов 2.1 и 2.2 на 2/3 высоты и резкая болезненность. На прицельной рентгенограмме зубов 2.1 и 2.2 лунки имели характерные для них очертания. Отломки корней зубов отсутствовали. Высота стенок альвеол была снижена на 0,3 см.
При составлении плана лечения пациентка отказалась от реконструктивных хирургических вмешательств в области альвеолярного отростка с последующей установкой дентальных имплантатов и настаивала на немедленном изготовлении мостовидного протеза. Учитывая ее пожелания, принято решение заполнить лунки остеопластическим материалом для повышения контура альвеолярного гребня. При ревизии лунок, проведенной под инфильтрационной анестезией, были удалены мелкие фрагменты стенок альвеолы, сгустки крови, лунки были выполнены предварительно смоченной в физиологическом растворе крошкой «Остеоматрикса». Остеопластическим материалом заполнен дефект до уровня небной стенки лунок (рис. 2). Слизисто-надкостничные лоскуты мобилизированы, смещены в сторону вершины альвеолярного отростка для адекватного закрытия имплантированного материала и фиксированы швами (рис. 3). Швы сняты на 7-й день после операции.
Рис. 2. Схема лунки зуба после заполнения остеопластическим материалом. Рис. 3. Схема лунки зуба после закрытия имплантированного материала.
При выборе ортопедической конструкции принято решение изготовить металлокерамический мостовидный протез с опорой на зубы 1.1 и 2.3, искусственными зубами в области утраченных зубов 2.1 и 2.2, расположенных на искусственной десне (рис. 4). Для этого изготовлен цельнолитой металлический каркас, объединяющий элементы опорных коронок, искусственных зубов и искусственной десны (рис. 5).
Рис. 4. Клиническая ситуация перед ортопедическим лечением. Рис. 5. Цельнолитой металлический каркас ортопедической конструкции.
Для отливки каркаса использовали сплав на основе никеля Metaplus VK. После обработки каркаса алмазными борами выполняли пескоструйную обработку изделия чистым оксидом алюминия с размером частиц порошка от 80 до 150 микрон при относительно высоком давлении. Затем очищали каркас ультразвуком в дистиллированной воде или с помощью пароструйки. С этого момента сплав должен оставаться абсолютно чистым, с соответствующей структурой поверхности, готовой к нанесению первого слоя опака.
После припасовки металлического каркаса в полости рта (рис. 6) приступили к определению цвета коронок и цвета искусственной десны с помощью десневой расцветки (рис. 7). Порошок опака смешивали с жидкостью для моделирования OL и наносили первый «обмывочный» слой. После обжига происходило механическое соединение металла и опака. Второй опак наносили покрывающим слоем. Дальнейшую работу проводили с дентиновыми и опаловыми массами, максимально точно воссоздающими естественные зубы, а также полную анатомическую форму зубов и искусственной десны. Для эффектов мамелона использовали массы Power Chroma, которые при необходимости можно делать менее насыщенными, используя многофункциональную массу Stend by.
С помощью опаловых масс усиливали основные оттенки, придавая зубам естественный эффект глубины и прозрачности. Далее с учетом индивидуальных особенностей зубов наносили второй слой дентина и опаловой массы. С помощью массы с опаловым эффектом Sky создавали характеристики яркости и опалесценции в синеватой и сероватой области режущего края. При моделировании формы коронок и имитации естественного цветового рисунка восстанавливали тремы и пятнистую форму флюороза (рис. 8, 9).
После второго обжига работа была аккуратно припасована на рабочей модели. Коррекция формы алмазными инструментами была незначительной благодаря хорошим моделировочным свойствам керамики Duceram Kiss. Для окончательной цветовой коррекции и передачи характерной особенности использовали красители Duceram LFC и глазурь. Коррективы вносили одновременно с глазурью. После припасовки ортопедической конструкции и оценки ее эстетических параметров самой пациенткой мостовидный протез фиксирован на опорных зубах (рис. 10, 11).
Рис. 10. Внешний вид конструкции после постоянной фиксации. Рис. 11. Естественный внешний вид конструкции.
Во время плановых осмотров пациентка жалоб не предъявляла и оставалась удовлетворенной эстетическими параметрами ортопедической конструкции.
Клинический случай № 2
В клинику кафедры ортопедической стоматологии ГОУ ВПО « ЧГМА » обратилась пациентка И., 40 лет, с жалобами на затрудненный прием пищи вследствие отсутствия боковых зубов на верхней челюсти. Из анамнеза выяснено, что боковые зубы утрачены в течение нескольких лет по поводу осложненного кариеса. Ранее не протезировалась. В ходе обследования выявлено отсутствие зубов 1.4, 1.5, 1.6, 1.7 и 1,8 справа, а также 2.5 и 2.6 слева. Альвеолярный отросток в боковом отделе справа резко атрофирован с глубоким западением вестибулярной поверхности. Альвеолярный отросток в области включенного дефекта слева также имел резкую атрофию и западение вестибулярной стенки. От хирургической реконструкции альвеолярных отростков на верхней челюсти пациентка отказалась. На компьютерных томограммах челюстных костей произведены необходимые расчеты, и принято решение о дентальной имплантации в области зубов 1.4, 1.5, 1.6 и 2.5, 2.6 со смещением имплантатов орально (рис. 12—15).
Рис. 12. Дентальные имплантаты в боковом отделе справа. Рис. 13. Дентальные имплантаты в боковом отделе слева. Рис. 14. Дентальные имплантаты на модели.
Рис. 15. Дентальные имплантаты в полости рта в положении центральной окклюзии.
При составлении плана ортопедических мероприятий принято решение изготовить металлокерамическую ортопедическую конструкцию на искусственной десне. После определения цвета искусственных коронок и искусственной десны проведены окончательное изготовление конструкции и фиксация ее на имплантаты (рис. 16—19). Во время плановых осмотров пациентка отмечает полное восстановление функции жевания и удовлетворенность эстетическими параметрами зубных протезов.
Рис. 16. Внешний вид ортопедической конструкции. Рис. 17. Внешний вид конструкции справа. Рис. 18. Внешний вид конструкции справа.
Рис. 19. Внешний вид конструкции в положении центральной окклюзии.
Таким образом, при явных или выраженных дефектах вестибулярной стенки альвеол утраченных зубов, когда в силу объективных причин исключается хирургическая альвеолярная реконструкция, методом выбора является изготовление ортопедической конструкции на искусственной десне. Конструкция может быть выполнена с опорой как на естественные зубы, так и на имплантаты.
Твердое небо и альвеолярные отростки при двадцатилетнем ношении протезов
В слизистой оболочке средней трети твердого неба эпителиальный пласт толще, чем в одноименной зоне у людей, пользовавшихся протезами в течение 10—15 лет. Однако он тоньше, чем в первой зоне данной группы. Второй особенностью является полное отсутствие рогового и зернистого слоев. Поверхностные клетки эпителия находятся в состоянии паракератоза. В слое шиповатых клеток также выделяются две зоны и в отдельных случаях в нем встречаются эпителиальные жемчужины. Имеется разница и в расположении эпителиальных выростов. Здесь они расположены на одном уровне. Во всех случаях эпителий и соединительная ткань в значительной степени инфильтрированы нейтрофильными лейкоцитами. Следует подчеркнуть преобладание очаговой инфильтрации. В подслизистой основе встречаются участки жировой ткани и отдельные пакеты слизистых желез.
В области задней трети твердого неба слизистая оболочка имеет сходное в общих чертах строение с таковой в предыдущей группе наблюдений. Эпителиальный пласт здесь тоньше, чем в первых двух зонах. Роговой и зернистый слои отсутствуют, эпителиальные выросты и соединительнотканные сосочки низкие.
Имеется определенная закономерность в истончении собственного слоя и увеличении подслизистой основы. Эти изменения выражены в слизистой оболочке по направлению к мягкому небу. В данной зоне сильно истончается собственная пластинка слизистой оболочки и становится толще подслизистая основа. Степень инфильтрации слизистой оболочки круглоклеточными элементами выражена слабее, чем в первой и во второй зонах. Подобное явление было отмечено и в предыдущей группе. Изменения эластических волокон сосудистых стенок аналогичны предыдущим наблюдениям.

Слизистая оболочка зон срединного шва по своему строению соответствует этой области у пользовавшихся протезами в течение 10—15 лет. Эпителиальный пласт в передней и средней трети шва толще, чем в задней его части. Отмечается полное отсутствие ороговения и наличие акантоза. В отдельных случаях в слое шиповатых клеток первой и второй зон срединного шва наблюдаются мелкие эпителиальные жемчужины. Эпителий и соединительная ткань передней и средней трети шва инфильтрированы круглоклеточными элементами. Что касается задней его трети, то здесь встречаются лишь единичные рассеянные лимфоциты, а количество фиброцитов увеличивается. Эластические волокна подвергаются деструктивным изменениям. Они распадаются на отдельные фрагменты различной толщины.
Морфологическая характеристика слизистой оболочки альвеолярных отростков и верхнечелюстных бугров заключается в следующем. Эпителиальный пласт в различных участках имеет неодинаковую толщину, установить какую-либо закономерность в изменении его высоты не представляется возможным. В одних случаях он толще в области альвеолярных отростков и тоньше в зоне верхнечелюстных бугров, в других наблюдаются обратные соотношения. Роговой и зернистый слои в большинстве случаев отсутствуют и лишь в 3 наблюдениях отмечено истинное ороговение с наличием тонкого зернистого слоя. Ростковая часть эпителия хорошо выражена. В некоторых случаях в слое шиповатых клеток обнаруживаются различной величины эпителиальные жемчужины. Вид эпителиальных выростов несколько отличается от подобных у людей с меньшими сроками пользования протезами. Здесь они ветвятся мало и заканчиваются на одном уровне.
В условиях паракератоза в ростковой части эпителия обнаруживается большое число круглоклеточных элементов, располагающихся диффузно. Создается впечатление, что в соединительной ткани собственной пластинки эластических фибрилл меньше, чем в предыдущей группе. Они здесь представлены тонкими, прерывистыми волоконцами, которые вблизи сосудов несколько утолщаются.
Следовательно, слизистая оболочка протезного ложа у пользовавшихся съемными пластинчатыми протезами от 19 до 27 лет имеет общие и отличительные признаки со слизистой оболочкой больных, пользовавшихся протезами в течение 10—15 лет. Так, эпителиальный пласт в целом становится толще. На большем протяжении протезного поля отмечается отсутствие истинного ороговения и зернистого слоя. В области же альвеолярных отростков и верхнечелюстных бугров в некоторых случаях (в 3 из 9) обнаружено истинное ороговение с наличием тонкого рогового и зернистого слоев. Эпителиальные выросты проникают в подлежащую соединительную ткань на большую глубину.
В некоторых случаях в слое шиповатых клеток различных зон встречаются эпителиальные жемчужины. С увеличением срока пользования протезами отмечается нарастание круглоклеточной инфильтрации как в эпителии, так и в соединительной ткани, что указывает на признаки хронического воспаления. Кроме того, выявляется определенная закономерность в уменьшении толщины собственной пластинки слизистой оболочки и увеличении подслизистой основы.
В этой группе исследования эластические элементы слизистой протезного ложа подвергаются в большей степени деструкции, чем в предыдущих.
Информация на сайте подлежит консультации лечащим врачом и не заменяет очной консультации с ним.
См. подробнее в пользовательском соглашении.
Технологии протезирования последствий расщелин твердого и мягкого неба: предложение актуализированной клинической классификации
Специалисты по челюстно-лицевому протезированию занимаются нехирургической реконструкцией тканевых структур лица, к которым относится большинство врожденной патологии. Протезы твердого и мягкого неба у взрослых являются практикой, которая имеет тенденцию к уменьшению, учитывая постоянный прогресс хирургических техник. Однако их применение показано для тех пациентов с расщелинами неба, которые никогда не были прооперированы или хирургия не дала желаемого результата.
Данные протезы состоят из обтуратора, расположенного и удерживаемого в правильном положении между носо- и ротоглоткой, связанного с небной пластинкой посредством промежуточного устройства, называемого проводником. Авторы статьи предложили новую клиническую классификацию, учитывающую различные конформации неба, встречающиеся в повседневной практике. В настоящее время врожденные расщелины твердого и мягкого неба находятся под медицинским контролем с первых дней жизни. Комплексное лечение, с одной стороны, следует четкому терапевтическому календарю, с другой, является мультидисциплинарным, включая хирургию, ортофонию, ортодонтию, но также и челюстно-лицевое протезирование с изготовлением, в частности, перинатальных небных пластинок [1, 2].
Однако встречаются случаи, когда стоматолог сталкивается со взрослыми пациентами — носителями остаточных расщелин твердого и мягкого неба, среди которых выделяют неоперированные и неудачно оперированные. Конечно, это происходит все реже, учитывая прогресс реконструктивной хирургии. Подобная ситуация является особо инвалидизирующей, так как заведомо затрагивает анатомические, функциональные и психологические аспекты пациента.
Терминология
1. Расщелина вторичного неба
Расщелина вторичного неба — это врожденная аномалия развития анатомических структур твердого и мягкого неба из-за отсутствия слияния небных отростков верхней челюсти во время эмбриогенеза.
Отличные друг от друга (по месту и времени появления при эмбриогенезе лица) расщелины неба часто сочетаются с расщелинами губ и другими врожденными аномалиями, такими как синдром ЕЕС (более известный как «клешня омара»), где одновременно присутствуют эктодермальная дисплазия, эктродактилия и расщелины в области лица [3, 4].
В зоне вторичного неба более специфично выделяют следующие клинические формы несращений мягкого неба изолированно или твердого и мягкого неба вместе:
- полная расщелина мягкого неба,
- частичная расщелина мягкого неба,
- расщепление язычка мягкого неба,
- отсутствие язычка мягкого неба,
- расщелина мягкого и твердого неба,
- расщелина твердого и мягкого неба, альвеолярного отростка верхней челюсти и верхней губы (сочетанное несращение первичного и вторичного неба) [5].
2. Остаточные расщелины
Остаточные расщелины — это отсутствие физиологического слияния тканевых структур, присутствующее во взрослом состоянии. Когда в процесс вовлечено лишь мягкое небо, среди них в основном выделяют 3 категории:
- расщелины верхней губы, альвеолярного отростка верхней челюсти, твердого и мягкого неба с предшествующей частичной хирургической коррекцией (включающей в ряде случаев лишь простую эстетическую хейлопластику или глобальную реконструкцию первичного неба);
- неоперированные расщелины мягкого неба изолированно или твердого и мягкого неба вместе, чаще всего по причинам, не зависящим от аномалии, таким как противопоказания к хирургии и/или обезболиванию или отсутствие доступа в лечебное учреждение;
- остаточные расщелины, среди которых осознанно выделяют хирургические неудачи без возможности коррекции и недостаточность хирургического вмешательства.
Клиническое обследование
При обследовании мягкого неба сразу выделяется особый тип его корформации.
Несращения неба очень полиморфны. В частности, можно выделить:
- неоперированные несращения мягкого неба;
- вторичные расхождения после стафилорафий;
- остаточные перфорации;
- укорочение мягкого неба в результате ушивания (рис. 1) ;
- склерозированное мягкое небо (паралич или инертность);
- случаи фарингопластики.
Рис. 1. Ушитое мягкое небо, укороченное, но способное к сокращениям (фото Ж. Дишана).
В случае расщепления мягкого неба происходит атрофия мышц, натягивающих его, и небно-глоточных. Мышцы — подниматели неба разделены по срединной линии; их сокращение приподнимает и раздвигает оба фрагмента в зоне расщепления. Небно-глоточные мышцы, однако, сохраняют активную роль и имеют тенденцию к гипертрофии, маскируя фунциональный дефицит других мышц этой области. Верхний констриктор глотки гипертрофируется, скрывая сужение просвета глотки и формируя валик Пассавана (рис. 2) .
Рис. 2. «Валик Пассавана». Компенсаторная гипертрофия верхнего констриктора глотки (фото Ф. Дестрюо).
В случае укороченного мягкого неба его задняя граница отступает более чем на 1 см от задней стенки глотки. При этом передне-задний размер ротоглотки увеличен, и задний край мягкого неба не может контактировать с ее стенками. Верхний констриктор глотки также часто гипертрофируется, как и в случае расщепления.
Наконец, при инертном мягком небе мышечные и апоневротические элементы дезорганизованы. Само небо неспособно к сокращениям. Его инертность может быть вызвана повреждением нервных пучков во время хирургических вмешательств.
Во время клинического обследования можно наблюдать:
1) Нарушения глотания. При физиологическом акте глотания надгортанник опускается, слуховые (евстахиевы) трубы открываются, мягкое небо энергично сокращается и смещается языком к задней стенке глотки. Следовательно, для обеспечения окклюзии достаточно лишь адекватной длины мягкого неба. Вот почему среди пациентов с расщелинами мягкого и твердого неба около 10 % могут иметь нормальное глотание, но при этом они неспособны к закрытию гортани во время разговора. Это объясняется тем, что сила мышечного сокращения намного больше при акте глотания, чем при произношении звуков.
Для большинства пациентов нет эффективного закрытия между полостью рта и ротоглоткой, при этом расщепленное и укороченное мягкое небо никак не препятствует попаданию пищи и жидкостей в носоглотку и полость носа [6].
2) Нарушения произношения звуков. У данной группы пациентов они практически всегда встречаются, хотя и не являются специфическими: носовой оттенок речи, орализация носовых звуков, гортанные звуки или хриплое дыхание.
Классификации, ставшие устаревшими.
Ансамбль расщелин неба более или менее полно описан во многих классификациях. Виктор Во в своей классификации 1931 года, в частности, выделяет простые расщепления неба, ограниченные лишь мягкотканными структурами; расщепления вторичного неба частичные или полные, не заходящие за передний небный канал [8].
В классификации Кернахана и Старка, основанной на эмбриогенезе анатомических структур лица и шеи, выделяется несколько типов расщелин неба: полные и неполные в области вторичного неба и сочетанные первичного и вторичного неба [9].
Среди обеих классификаций ни одна не несет истинного клинического интереса и не предлагает терапевтического подхода, адаптированного к каждому конкретному случаю. Более интересной с точки зрения клиники является классификация Шаншоля, так как в ней выделены уровни сложности и возможный хирургический прогноз [10].
Но существует ли классификация остаточных расщелин твердого и мягкого неба, имеющая ценность для внутриротовой протетической реабилитации пациентов в челюстно-лицевой области?
Таблица № 1. Классификация Бенуа
КЛАССЫ
Расщепленное мягкое небо с сохранением тонуса
Ушитое слишком короткое мягкое небо, способное к сокращению
Инертное мягкое небо (склерозированное или парализованное)
или его отсутствие
ПОДКЛАССЫ
Нарушение положения резцов
Частичное отсутствие зубов
Полное отсутствие зубов
Актуализированная классификация с точки зрения анализа протетического подхода
Опираясь на ключевые позиции классификации Бенуа, авторы предлагают к рассмотрению новую классификацию, которая направляет специалиста к выбору различных элементов, составляющих протез твердого и мягкого неба, исходя из углубленного клинического обследования [12]. Данное обследование не отличается от классического обследования полости рта во время консультации, включая мысленное моделирование протетической конструкции. Точная методология обследования позволяет объединить максимум нужной информации для построения плана эффективного и адаптированного лечения с учетом изготовления протеза твердого и мягкого неба.
Протезы твердого и мягкого неба включают 3 элемента: небную пластинку, промежуточную деталь, или «проводник», и обтуратор [13], чьей целью является улучшение небно-глоточных функций, а следовательно, произношения звуков и глотания.
Небная пластинка играет много ролей и пункт за пунктом отвечает подклассам из классификации Бенуа (естественно, кроме подкласса В):
Рис. 3. Гипсовая модель (подкласс А) (фото К. Риньона-Брэта). Рис. 4. Анализ модели и концепция опоры будущего протеза (подкласс А) (фото К. Риньона-Брэта). Рис. 5. Реализация металлической опоры для литого частичного съемного протеза (подкласс А) (фото К. Риньона-Брэта).
- В зависимости от ситуации такой протез может сочетаться с несъемным протезом. Тогда говорят о смешанных, или комбинированных протезах. Несъемные протезы могут помочь интеграции небной пластинки, создавая контуры, зоны соединений или выступы преддверия, предварительно определенные в параллелометре, чтобы четко позиционировать положение кламмеров съемного протеза.
- Подкласс Г (полное отсутствие зубов): небная пластинка изготавливается из пластмассы, и концепция протезирования следует общепринятым правилам для полного съемного протеза.
Промежуточная часть и обтуратор (табл. № 2) .
Таблица № 2. Новая терапевтическая классификация: критерии выбора промежуточной части «проводника» и обтуратора
Класс 1
небо с сохранением
Класс 2
мягкое небо, способное
Класс 3
Отсутствие мягкого неба
Обтуратор ― аналог обтуратора Сюерсена
Класс 4
Инертное мягкое небо
с небольшой компрессией
Класс 5
Атипичное мягкое небо
Роль обтуратора — обеспечение герметичности просвета глотки для улучшения рото-лицевых функций (фонация, глотание). Следуя классификации Бенуа и учитывая существующие в клинике обтураторы, авторы предлагают их систематизацию в соответствии с классами расщелин:
- Класс 1 (расщепление мягкого неба с сохранением его тонуса): используют обтуратор Сюерсена (рис. 6) . Он состоит из клапана, помещенного в просвет глотки. Промежуточная его часть имеет форму петли. В вертикальном плане последняя должна находиться на уровне валика Пассавана; трансверзально она должна быть на расстоянии 3 мм от слизистой мягкого неба (при сокращенном сфинктере глотки). Классически петлю изготавливают из нержавеющей стали 18/10 мм (круглое сечение).
- Класс 2 (ушитое короткое мягкое небо, способное к сокращению): классикой будет использование обтуратора Шильтского (рис. 7—9) . В этом случае обтуратор располагается между задне-верхней поверхностью мягкого неба (то есть позади мягкого неба) и задней стенкой глотки. Промежуточная часть (желательно полукольцевидного сечения) спускается по срединной линии вдоль передне-нижней поверхности мягкого неба (в покое), от которого она отступает на 0,5 мм. Затем она огибает нижний его край и идет к носоглотке. Ее край должен быть на середине расстояния между мягким небом и задней стенкой глотки.
Рис. 6. Протез неба в полости рта и обтуратор Сюерсена (фото Ф. Помара). Рис. 7. Изготовление небного обтуратора Шильтского (подкласс А) (фото К. Риньона-Брэта).
Рис. 8. Протез твердого и мягкого неба (подкласс А) (фото К. Риньона-Брэта). Рис. 9. Примерка в полости рта протетической конструкции (подкласс А)
Важно отметить, что данные обтураторы для двух первых классов обеспечивают динамическую герметичность сфинктера глотки. Снятие слепка в динамике для 1-го и 2-го классов является сложным, требующим точности и опыта этапом.
Для изготовления обтураторов Сюерсена или Шильтского нужно снять функциональный слепок в 2 этапа с металлической опорой из стальной проволоки. Особое внимание уделяется положению обтурационной части. Например, для класса 2 слишком высокое положение имеет риск закрытия евстахиевых труб, а слишком низкое может мешать сокращениям мягкого неба.
Для реализации слепка можно воспользоваться термопластичной массой (типа массы Керра), которая будет моделироваться мышцами неба. Весь ансамбль: пластинка / проводник / слепочная масса — помещается в полость рта; затем пациента просят осуществить ряд упражнений, моделируя таким образом массу Керра (первый этап функционального небно-глоточного слепка). В хронологическом порядке просят произнести следующие фонемы: [Ta] [Пa] [Ka] [Сa]. Потом следует упражнение «глотание» (усилие, развиваемое мышцами во время глотания, намного выше, чем при произношении звуков) и сгибание/разгибание шейного отдела позвоночника для регистрации выступа первого шейного позвонка (С1, Атлас) на задней стенке глотки.
Эти упражнения заново повторяют во время второй фазы динамического слепка. Функциональная отметка мягкого неба улучшается во вторую фазу путем использования слепочной массы на базе окиси цинка, в которую добавляют немного талька для уменьшения гидрофильности (вторая фаза снятия функционального слепка) (рис. 10) .
Рис. 10. Динамический слепок и моделирование обтурационной части (для изготовления обтуратора Шильтского) при помощи фонетических упражнений и глотания (фото Ж. Дишана).
В первые дни ношения аппарата пациент находится под тщательным наблюдением, и иногда требуется перебазировка из медленно затвердевающего акрилата для улучшения герметизма.
При истинном классе 3 по Бенуа (инертное или отсутствующее мягкое небо) классически показан обтуратор Фрошеля и Шалита — статический обтуратор, не применяющийся сегодня из-за проблемы габаритов. Закрытие им хоан вызывало закрытую ринолалию (изменение голоса в связи с отсутствием носовой проходимости), необходимо было перфорировать вертикальную часть обтуратора для обеспечения адекватной вентиляции носа.
В настоящее время классикой стало разделять анатомическое отсутствие мягкого неба (как врожденную аномалию или результат хирургической коррекции расщелин) и инертное, неспособное к сокращению мягкое небо, так как терапевтический подход в каждом случае различный. В классификации Бенуа эти две ситауции объединены в один класс. Таким образом, авторы предлагают выделить:
- Класс 3 (отсутствие мягкого неба): обтуратор Фрошеля и Шалита заменяется на небную пластинку по типу Сюерсена, чье изготовление сравнимо с таковой для класса 1 (отличие лишь в снятии фукционального слепка, так как мягкое небо отсутствует).
- Класс 4 (инертное, склерозированное или парализованное мягкое небо): в данном случае прибегают к использованию обтуратора Мазаэри — устройства в форме «галеты», фиксированной на стальном стержне, который смещает мягкое небо кверху и кзади [14]. Это не обтурационный протез в полном смысле этого слова, а протетическая конструкция для статичного поднятия мягкого неба.
- Класс 5 (атипичное мягкое небо, состояние после фарингопластики): мы считаем нужным выделить последний, не описанный Бенуа, класс, куда можно отнести под термином «атипичный» те ситуации, когда после неудач фарингопластики остается небно-глоточная недостаточность. В данном случае можно изготовить «атипичный» обтуратор (рис. 11) , который несет двойной проводник, и двойной обтуратор, расположенный по обоим краям сшитого с задней стенкой глотки мягкого неба.
Рис. 11. Атипичный протез твердого и мягкого неба в случае фарингопластики (фото Ж. Дишана).
Заключение
Врожденные аномалии лица требуют тесного сотрудничества различных медицинских специальностей; симбиоз хирургии и протезирования практически постоянный в случае расщелин твердого и мягкого неба. Однако в случае остаточных несращений специалист по челюстно-лицевому протезированию один сталкивается с трудностями, присущими подобным клиническим ситуациям. Протезирование твердого и мягкого неба участвует в функциональной реабилитации, значительно улучшая произношение звуков и глотание.
Нужно всегда иметь в виду, что каждый случай индивидуален, и специалист должен адаптироваться к заданной клинической ситуации, подбирая самое эффективное и самое простое протетическое решение.
Несмотря на разработку новой классификации и выделение концептуальных принципов протезирования твердого и мягкого неба, установить неизменные правила сложно, настолько разнообразны клинические ситуации.
Влияние протезов на слизистую оболочку твердого неба при носке до 8 лет
Отмечена зависимость изменений зернистого и рогового слоев от времени пользования протезами. В первые 2—4 года наблюдается истончение зернистого слоя. При пользовании протезами в течение 5—8 лет зернистый слой в большинстве случаев не выявляется. Роговой слой имеет вначале вид интенсивно окрашенной в розовый цвет гомогенной полоски, затем отмечается постепенное его истончение, а иногда отторжение. В отдельных случаях поверхностные клетки эпителия находятся в состоянии паракератоза. Одной из ответных реакций эпителия на действие протеза, наблюдающейся при всех сроках пользования протезом, является образование многочисленных различной величины и формы выростов, проникающих на большую или меньшую глубину в подлежащую соединительную ткань, где эти выросты раздваиваются и ветвятся (явления акантоза).
В собственной пластинке слизистой оболочки отмечается некоторое увеличение клеточных элементов, преимущественно фибробластического ряда. По-видимому, это также является ответной реакцией слизистой оболочки на действие протеза. Соединительнотканные волокна всех видов становятся толще. Эластические волокна на всем протяжении собственного слоя имеют различное направление. Некоторые из них по ходу имеют неровные контуры, местами как бы прерываются. В области верхушек соединительнотканных сосочков эпителиальный пласт резко истончается, в сосочках наблюдается густая сеть капилляров и прекапилляров. Подслизистая основа хорошо выражена.
Состояние слизистой оболочки средней трети твердого неба несколько отличается от первой зоны. Эпителиальный пласт здесь становится тоньше, содержит от 25 до 30 рядов клеток. В большинстве случаев зернистый и роговой слои хорошо выражены. Однако последний значительно тоньше, некоторые его участки отторгаются. Иногда при пользовании съемными пластинчатыми протезами в течение 5—8 лет отмечается чередование участков паракератоза с ороговением. Форма и величина эпителиальных выростов также изменяются. Они становятся шире и короче. Истончается и собственная пластинка слизистой оболочки. В перивас-кулярной соединительной ткани отмечается увеличение количества эластических волокон. Число соединительнотканных сосочков уменьшается. Кроме того, они приобретают несколько иную форму и размеры и становятся низкими и узкими. По ходу кровеносных сосудов встречаются небольшие инфильтраты, состоящие из лимфоидных, плазматических клеток, макрофагов. Что касается подслизистой основы, то она здесь представлена более толстой прослойкой, где имеются большое количество жировой ткани и отдельные пакеты слизистых желез. Эластическая строма сосудистой стенки в некоторых местах изменяется: внутренняя эластическая мембрана разволокняется, а в адвентиции эластические волокна собираются в пучки различного направления.

В задней трети твердого неба наблюдается дальнейшее истончение слизистой оболочки и некоторое утолщение подслизистой основы. В эпителиальном пласте имеется только 19—20 рядов клеток. В большинстве случаев зернистый и роговой слои не выявляются. Однако в препаратах слизистой оболочки лиц с большим сроком (5—8 лет) пользования протезами иногда встречается ороговение и наличие зернистого слоя. Поверхностные шиповатые клетки значительно изменяются; в них отмечаются признаки паракератоза. Эпителиальные выросты выражены слабее. Они становятся шире, часто раздваиваются или как бы соединяются по 2—3 вместе. В целом эти выросты короткие и располагаются- на одном уровне. Следует отметить, что иногда встречается инфильтрация лимфоцитами эпителиального пласта и подлежащей соединительной ткани. Собственная пластинка слизистой оболочки имеет примерно такое строение, как и в предыдущих зонах. Сосочки очень низкие и имеют одинаковую форму. Подслизистая основа такая же, как и в передних 2/3 слизистой оболочки твердого неба.
Изучение состояния слизистой оболочки срединного шва указывает на некоторые морфологические ее особенности. Прежде всего следует отметить утолщение эпителиального пласта и некоторое уменьшение толщины собственного слоя. В отдельных зонах шва слизистая оболочка также имеет неодинаковое строение, в сторону мягкого неба происходит постепенное истончение эпителиального пласта.
При пользовании протезами в течение 2—3 лет в передней и средней трети шва в эпителии выявляются зернистый и роговой слои в виде тонких полосок. В задней же трети они отсутствуют, а поверхностные клетки пласта находятся в состоянии паракератоза. При более длительном пользовании протезами (5—8 лет) у большинства больных ороговения не наблюдалось и только у 2 имело место чередование участков паракератоза и ороговения. В шиповатых клетках часто встречаются митозы, что в известной степени является ответной реакцией на действие протеза. Иногда отмечается инфильтрация эпителия лимфоцитами. Здесь обращает на себя внимание выраженная картина акантоза с разнообразием эпителиальных выростов как по форме, так и по величине. Одни из них имеют округлую форму, другие — колбообразную со вздутиями на концах или форму широких цилиндров. Многие выступы раздваиваются и ветвятся, заканчиваясь на различных уровнях. Так же как и в области твердого неба, наблюдается снижение высоты эпителиальных выступов по направлению к линии А.
Как отмечено выше, собственная пластинка слизистой оболочки по сравнению с предыдущей группой истончается. Сосочки ее снижаются в направлении мягкого неба. В соединительной ткани также отмечается преобладание межуточного вещества и волокон над клетками. Пучков коллагеновых фибрилл много, эластических волокон меньше, т. е. в задней трети твердого неба коллагеновые волокна преобладают над эластическими. Они утолщены, сильно извиты и ветвятся. В глубоких слоях соединительной ткани эластические волокна имеют неровные очертания, изредка прерываются. Подслизистая основа в области шва на большем протяжении отсутствует. Иногда по ходу кровеносных сосудов в области средней трети шва определяется прослойка жировой ткани. В задней же трети хорошо выявляется подслизистый слой, богатый жировой тканью и железами.
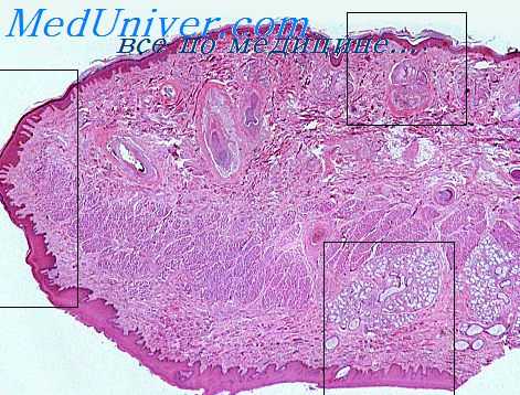
Протезное ложе при ношении протеза в течении двадцати лет
В данной группе исследовались слизистые оболочки от 9 больных в возрасте от 61 года до 84 лет, пользовавшихся съемными пластинчатыми протезами. Кроме того, была изучена слизистая оболочка 80-летней женщины, пользовавшейся протезами 50 лет.
Исследуя строение слизистой оболочки протезного ложа по зонам, можно отметить, что в передней трети твердого неба она имеет более толстый эпителиальный пласт и истонченную собственную пластинку. Роговой и зернистый слои на всем протяжении отсутствуют. Поверхностные клетки эпителия образуют узкую интенсивно окрашенную полоску и находятся в состоянии паракератоза.
В отдельных случаях имеет место полное отсутствие признаков ороговения.
В слое шиповатых клеток резко выделяются две зоны: внутренняя и наружная. В состав последней входит до восьми рядов резко измененных, уплощенных клеток. В цитоплазме их выявляются различной величины и формы вакуоли, а серповидные ядра оттеснены к периферии. Внутренняя зона представлена большим числом рядов клеток. Они несколько уплощены в вертикальном направлении, а ядра округлой формы занимают центральное положение.
Межклеточные промежутки не просматриваются. При длительном пользовании протезами (50 лет) заметно нарастает число митотически делящихся клеток в ростковой части эпителия.

Весьма характерным для данной группы больных являются резко выраженные явления акантоза. Эпителиальные тяжи, проникающие в подлежащую соединительную ткань, разнообразны по форме и величине. Одни из них колбо- или цилиндрообразные, другие — имеют вид заостренных клиньев, гребней, иногда с утолщениями на концах. Большинство из этих выростов раздваиваются и ветвятся.
Следует заметить, что при пользовании протезами в течение 50 лет в ростковой части эпителиальных выростов обнаружены значительного размера жемчужины, состоящие из вытянутых и концентрически расположенных элементов. Внутренние клетки жемчужин находятся в процессе разрушения. Эпителиальный пласт инфильтрирован нейтрофильными лейкоцитами. Последние в большем количестве обнаруживаются в ростковой части и в меньшем — в поверхностных слоях.
Как отмечено выше, в собственной пластинке слизистой оболочки по сравнению с нормой увеличивается количество клеток фибробластического ряда. Отчетливо выступают некоторые изменения эластических волокон. В области сосочков, примыкающих к эпителиальным выростам, они почти не выявляются. В других местах эти волокна толстые, сильно извитые и иногда прерывистые.
Соединительнотканные сосочки здесь также многообразны, как и эпителиальные выросты. Они ветвятся, образуя вторичные сосочки. Отмечено, что при пользовании протезами в течение 50 лет эпителиальный пласт, покрывающий вершину сосочков, несколько утолщается. Собственная пластинка слизистой оболочки обильно инфильтрирована лимфоидными клетками.
В сосочках инфильтраты диффузные, в глубже лежащих слоях — очаговые. При длительном пользовании протезами (50 лет) стенки мелких артерий гипертрофируются.
Подслизистая основа хорошо выражена и несколько отличается от таковой у лиц, пользовавшихся протезами меньшее время. Она утолщается, в ней наблюдаются очаги круглоклеточной инфильтрации.
- Вернуться в оглавление раздела "Стоматология."
Читайте также:
- Рентгенограмма, КТ, сцинтиграмма при болезни Педжета позвоночника
- Мышечно-фасциальная дисфункция. Боль при мышечно-фасциальной дисфункции. МФБД.
- Поведение при шизофрении. Элементы невербального поведения при шизофрении
- Ранняя диагностика эндофтальмита
- Показания, подготовка к артроскопическому релизу и удлинению латерального удерживателя надколенника
