Усиление, деформация и ослабление легочного рисунка
Добавил пользователь Евгений Кузнецов Обновлено: 29.01.2026
Согласно неутешительной статистике, в нашей стране каждый час от туберкулеза умирает один человек. Эти тревожные данные в очередной раз доказывают необходимость проведения плановой флюорографии. ФЛГ способно определить это заболевание еще на стадии бессимптомного протекания болезни, а значит предотвратить осложнения и сделать лечение наиболее эффективным.
Флюорографический метод исследования обнаруживает не только такие грозные заболевания, как туберкулез и рак, но и наличие самых разных отклонений, что позволяет быстро поставить диагноз и назначить лечение.
Возможные отклонения от нормы на флюорографическом снимке
Фиброз. По сути, это реакция организма на некоторые воспалительные процессы. Заболевание характеризуется тем, что соединительные ткани начинают разрастаться, «стремясь» отделить здоровые ткани от очага воспаления. Процесс приводит к уплотнению тканей и их рубцеванию. Чаще всего встречается фиброз легких, печени и молочной железы. Основными симптомами являются одышка, боль в сердце, потеря веса, поверхностное дыхание и другие.
Уплотнение или расширение корней легких. Корни легких — это комплекс, соединяющий легкие с другими органами. Сюда относятся легочная вена, главный бронх, легочная и бронхиальные артерии. Недуг свидетельствует о таких серьезных хронических отклонениях в легких, как пневмония, хроническая стадия бронхита и др.
Усиление легочного рисунка. Сосуды в легких образуют определенный «рисунок». Если происходит его усиление, это свидетельствует о возможном заболевании сердца, сердечной недостаточности. Чаще проявляется после перенесенных осложнений гриппа и простуды и свидетельствует о бронхите или пневмонии.
Кальциноз аорты. На стенках аорты накапливаются нерастворимые соли, образуя плотные бляшки. В первую очередь, это опасно закупоркой сосудов. Более того, бляшки приводят к «ломкости» сосудов. Причиной отклонения становится избыток кальция.
Кроме этого, флюорография может определить наличие кист, костные изменения, спайки и еще ряд заболеваний или отклонений органов грудной клетки.
Важность флюорографии трудно переоценить. Это быстрый, точный и безопасный метод исследования. Рекомендованный период между ФЛГ составляет один год, однако людям, состоящим в зоне риска или находящимся на лечение ФЛГ может назначаться значительно чаще.
Где можно сделать флюорографию в Выборгском районе?
Быстро, без длительного ожидания результатов, вы можете сделать флюорографию в Выборгском в районе, обратившись в филиал сети «Медкомиссия №1». ФЛГ по нашему направлению проводится в шаговой доступности, без очередей и занимает буквально несколько минут. Для проведения исследования достаточно только паспорта.
Важно: ФЛГ-диагностика по направлению из центра «Медкомиссия №1» доступна также и жителям других районов города.
Выборгский филиал открыт по адресу:
Санкт-Петербург, пр. Просвещения, д. 50.
Часы работы: ПН-ПТ: с 9 до 19 СБ-ВС: с 10 до 18, перерыв с 14 до 14:30.
Усиление, деформация и ослабление легочного рисунка
Усиление, деформация и ослабление легочного рисунка
Усиление легочного рисунка — означает численное увеличение элементов легочного рисунка на единицу площади легочного пространства (т. е. в реберных ромбоидах). В основе этого симптомокомплекса находится преимущественное увеличение кровенаполнения в артериальном и венозном русле малого круга кровообращения. Рентгенологическими признаками усиления легочного рисунка являются:
а) увеличение ширины сосудистых теней в прикорневых зонах (во внутренних ромбоидах),
б) появление в средних ромбоидах тени сосудов, которые бывают обычно только во внутренних ромбоидах,
в) четкое вычерчивание сосудистых окончаний в наружных ромбоидах, т. е. выявление легочного рисунка по всей ширине легочных полей,
г) появление мелкопетлистой ячеистой структуры в наружном и средних ромбоидах, свидетельствующей об избыточном кровенаполнении мелких сосудов, проходящих в межуточной ткани,
д) снижение прозрачности легочного поля в районе усиленного легочного рисунка.
Деформация легочного рисунка. В основе этого симптомокомплекса лежит изменение чаще всего соединительнотканной стромы легочной ткани. Разрастание, уплотнение интерстициальной основы создает с одной стороны картину как бы усиленного, с отчетливым увеличением количества элементов, легочного рисунка, а с другой стороны, их неправильное расположение, изменение формы с образованием атипических ячеек, сот, петель легочного рисунка. Разрастание перибронхиальной и периваскулярной уплотненной ткани, чередование легочной паренхимы с участками эмфиземы ведет к деформации бронхиального дерева и сосудистых пучков данной области.
В результате сосуды и бронхи оказываются сближенными, «сморщенными», видимые тени бронхов представляются выпрямленными или искривленными. Контуры сосудистых теней становятся неровными с атипическим расположением их хода и с участками перерыва сосудистых линий за счет изменения оси расположения артериальных и венозных разветвлений сосудов малого круга кровообращения.

Изменение соединительнотканной структуры легочной паренхимы ведет к нарушению лимфообращения, которое обусловливает картину лимфангита, выявляющегося чаще всего в виде линейных, иногда радиально расположенных полосковидных затенений.
Ослабление легочного рисунка. Оно может называться также обеднением (разрежением) или уменьшением легочного рисунка. Сущность этого симптомокомплекса сводится к тому, что в единице легочной поверхности, каким является межреберный ромбоид, определяется меньшее количество элементов легочного рисунка при сохраненной пневматизации легочной ткани; это процесс, обратный усилению легочного рисунка.
Рентгенологическая симптоматика ослабления легочного рисунка выражается в следующем: 1) тени легочной артерии, отходящие от корня, уже в прикорневых зонах тоньше и число их меньше, чем в норме; 2) в средней зоне разветвления легочной артерии напоминают терминальные сосуды и в большинстве случаев дальше, кнаружи — их проследить не удается; 3) на значительной поверхности легочных полей преобладают бессосудистые участки легочной ткани; 4) повышена прозрачность легочных полей.
Ослабление легочного рисунка чаще всего наблюдается при недостаточности кровенаполнения в системе легочной артерии, при повышенной пневматизации легочной ткани как диффузного, так и ограниченного (полостного) происхождения.
Усиление, деформация, а также и ослабление легочного рисунка по протяженности подразделяются на ограниченные, распространенные и диффузные.
Ограниченными изменениями легочного рисунка называются изменения, выявляемые в пределах двух межреберий; распространенными — если изменения занимают пространство в пределах двух полей и диффузными — если они занимают все светлое легочное поле. Диффузные изменения легочного рисунка как правило бывают двухсторонними.
Усиление прикорневого легочного рисунка – что это, при каких заболеваниях появляется

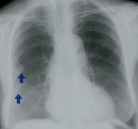
Усиление прикорневого легочного рисунка на рентгене – это симптомокомплекс специфических рентгеновских синдромов в легких, которые свидетельствуют о дыхательной недостаточности, пневмосклерозе легочных полей Рентгенограмма при усилении легочного рисунка с обеих сторон, фиброзные наложение на плевре (обозначены стрелками)
Усиление прикорневого легочного рисунка на рентгене – что это
Легочной рисунок – это скопление мелких ветвей легочной артерии, по которым циркулирует кровь по венам и артериям. На рентгенограмме тени не образуют бронхи, лимфатические сосуды. Диаметр легочных сосудов физиологически снижаются в направлении к периферии от корня. Легочной рисунок на рентгеновском снимке интенсивнее прослеживается в периферических отделах легочных полей, где ткани меньше. Калибр кровеносных сосудов небольшой, но рельеф более прослеживается снизу за счет обильного скопления артерий. Усиление прикорневого легочного рисунка в средней зоне наблюдается при хроническом бронхите, бронхиальной астме, туберкулезе, саркоидозе, ряде других патологических форм.
Усиление прикорневого легочного рисунка на рентгенограмме

Усиление легочного рисунка в прикорневой зоне прослеживается при хроническом поражении бронхиального дерева, при котором снижена проходимость воздуха по бронхам. На фоне патологии развивается ослабление, усиление, обогащение кровоснабжения легких вдоль бронхов, но для развития данных изменений требуется время. В нижних легочных полях легкие имеют максимальную толщину, поэтому на рентгенограмме внизу наблюдается максимальное скопление легочных сосудов. Сложная картина обусловлена множеством переплетающихся, ветвящихся ветвей, которые наслаиваются и перекрещиваются. На определенный объем легочной ткани приходится определенное количество легочных сосудов. Если взять легочной квадрат, ограниченный ребрами, то на площадь приходится 2-4 ветви артерии. При увеличении количества этих элементов на квадратный объем говорят об усилении или обогащении легочного рисунка. Местами ветви легочных артерий перекрещиваются или наслаиваются друг на друга. Осевой или косой ход артерий прослеживается на рентгеновских снимках. При нарушении направления артерий говорят о деформации, которая может быть петлистой или ячеистой. При разных типах патологии наблюдается различные патологические изменения. Ячеистая деформация характерна для бронхоэктазов (полости выпячивания бронха), которые огибают ветви легочной артерии. Подобные полости хорошо прослеживаются при контрастировании, но на простой рентгенограмме не визуализируются. Бронхиальные разветвления наполнены воздухом, через которые рентгеновские лучи проходят без задержки. Перекрещивание сосудов формирует небольшие очаговые образования, которые сформированы тяжами сосудов. От инфильтративных или органических образований данные мелкие тени отличаются четкими контурами, небольшими размерами. Очаги изменяют интенсивность, форму, величину. Отдельные бронхиальные разветвления могут накладываться на легочной рисунок в норме. В прикорневых отделах на тень ветвей легочной артерии накладываются просветления, обусловленные бронхиальным деревом.
Длительное воспаление стенки бронха сопровождается разрастанием
соединительной ткани. Соединительнотканные волокна накладываются на артерии, что создает интенсивные линейные тени на снимках. Располагаются по всей площади легочных полей – от прикорневых отделов до плащевидной зоны. Подобные изменения наблюдаются при нарушении гемодинамики. При увеличении давления в малом круге наблюдается усиление кровенаполнения легочных артерий. У больных с пороками сердца (митральный стеноз) наблюдается усиление кровоснабжения. Силикотуберкулезный пневмосклероз, силикотические изменения приводят к деформации легочного рисунка.
Усиление легочного рисунка при туберкулезе на рентгене – что это такое
Для детей характерен туберкулез внутригрудных лимфатических узлов. Картина на снимке не прослеживается, так как увеличенные лимфоузлы скрываются за тенью грудины, сердца. В прикорневых отделах при патологии прослеживается деформация рисунка за счет нарушения кровоснабжения в лимфатической системе. При патологии вначале прослеживается бронхиолит – воспалительные изменения мелких бронхиол. Состояние сочетается с лимфангитом – воспалительным изменением лимфатических сосудов.
Первичный туберкулезный фокус – это очаг первичного
экссудативно-десквамационного воспаления, затрагивающего несколько ацинусов. Туберкулезная пневмония на ранней стадии характеризуется небольшим очагом с перифокальным неспецифическим воспалением. Затемнение сопровождается расширением корня легкого за счет усиленных бронхолегочных лимфоузлов. Первичный инфильтративный очаг характеризуется биполярными изменениями, при которых инфильтрации затрагивает железистый и легочной компоненты. При неосложненном течении выделяют 4 фазы туберкулеза легких: 1. Пневмоническая – расширение корня с деформацией рисунка, потерей структуры; 2. Рассасывание; 3. Уплотнение – через 2 года; 4. Окостенение и обызвествление первичных очагов (через 5 лет). Усиление прикорневого легочного рисунка при инфильтративном туберкулезном процессе сопровождается выходом артерии за границы плащевидной зоны. В норме мелкие легочные сосуды заканчиваются не менее, чем за 1 см до наружной границы тени легочных полей на рентгенограмме.
Усиление легочного рисунка в легких при саркоидозе
Саркоидоз – это системная болезнь неизвестных причин, при которой возникает гранулематозное воспаление. Во всем мире количество пациентов с заболеванием постоянно повышается. Показатель распространенности патологии в России превышает 20 человек на 100 тысяч населения. Множество нерешенных вопросов возникает перед исследователями при изучении данной патологии. Современные методы диагностики не позволяет установить латентное инфицирование. Хотя этиологический фактор нозологии становится неизвестным, гистологически прослеживается сходство между туберкулезной и саркоидозной гранулемами. Выявление у пациентов ультрамелких микобактерий позволяет предположить связь между отдельными видами микобактерий и заболеванием. Проводятся клинические исследования относительно роли вирусов, грибов, бактерий в отношении болезни, но причинный фактор не доказан. Принято считать заболевание полиэтиологичным, чтобы правильно подбирать лечение. Продуктивный воспалительный процесс с гранулематозной реакцией при саркоидозе сопровождается усилением прикорневого рисунка. Реакцию можно считать защитной на внедрение микобактерий. Активизация кровообращения по системе легочных артерий приводит к проникновению в очаг макрофагов, моноцитов, гранулоцитов. Данные клетки уничтожают патогенные микобактерии, но на практике эффективность защитной системы при патологии достаточно низка, поэтому полностью остановить патологический процесс сложно. Гранулемы при саркоидозе имеют сходство с туберкулезом. Гранулематозный процесс прослеживается при аллергических альвеолитах, микозах, влиянии экзогенных факторов. Отличительной особенностью является отсутствие казеозного некроза при саркоидозе при сравнении с туберкулезной инфекцией. Гранулематозный процесс постепенно рассасывается. Образование исчезает бесследно или фибротизируется. Процесс сопровождается пневмосклерозом, при котором на рентгенограмме визуализируется «сотовое легкое». Подобная картина наблюдается только в 5-10% случаев.
Усиление легочного рисунка в прикорневых зонах при эмфиземе
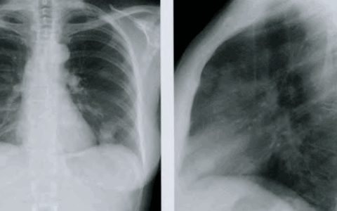
Эмфизема легких сопровождается повышенной воздушностью легочной ткани. Усиление прозрачности легких в верхних отделах при патологии на рентгеновском снимке сочетается с деформацией легочного рисунка в нижних легочных полях. Обогащение легочной ткани сосудами прослеживается при курении. Признаки эмфиземы и бронхита прослеживаются у 30% работников промышленных предприятий. Картина сопровождается деформацией, сгущением, усилением легочного рисунка. Клинические исследования показывают, что патологические изменения наблюдаются у мужчин после 40 лет. Основная сложность ранней диагностики эмфиземы – это усиление прозрачности легочных полей на рентгеновских снимках. Пневмосклероз в нижних отделах является компенсаторным состоянием. Формируется на фоне повышенной воздушности верхних легочных полей, нарушения проходимости воздуха по бронхиальному тракту. Рентгенограмма: пневмосклероз и фиброз у пациента с туберкулезом Когда эмфизема сочетается с признаками хронической дыхательной недостаточности, при расшифровке рентгенограмм врач-рентгенолог нередко описывает усиление бронхососудистого рисунка в прикорневых отделах с обеих сторон. Самостоятельно пациент не ощущает эмфизематозной болезни, при формировании дыхательной недостаточности возникает одышка. Дополнительным признаком хронической дыхательной недостаточности на рентгене считается «капельное сердце». При анализе снимка нужно обращать внимание на уплощение куполов диафрагмы. Функциональные пробы позволяют определить повышенную экскурсию диафрагмальных куполов с обеих сторон. Функциональные пробы позволяют выявить недостаточное поступление воздуха, увеличение размеров ретростернального пространства – признак Соколова. Данная клиническая картина характеризуется «капельным сердцем». Патология на рентгенограмме прослеживается обеднением легочных полей. Корни становятся нитевидными. Тени сосудов постепенно уменьшаются от центра к периферии за счет увеличенной воздушности легких. Обеднение рисунка прослеживается при эмфизематозных буллах, повышенной перфузии. Патологические изменения изучаются с помощью сцинтиграфии. При расшифровке рентгеновского снимка следует анализировать плотность легочной паренхимы на каждый квадратный сантиметр ткани. Дыхательную недостаточность нужно дифференцировать от признаков воспаления на рентгеновском снимке: • Плотные бронхиальные стенки; • Инфильтративные изменения бронхов; • Линейный ход сосудов; • Воспаление бронхиального дерева. При бронхите на рентгенограмме наблюдаются диффузные изменения рисунка – деформация, прикорневое усиление, потеря структурности корней, тяжистость рисунка. При хроническом бронхите формируются эндобронхиальные изменения катарально-гнойного или катарального характера. В заключение добавим, что анализировать легочной рисунок на рентгенограмме может рентгенолог с длительным практическим опытом, способный изучать самые мелкие детали рентгеновского снимка. Усиление и сгущение легочного рисунка с обеих сторон при хроническом брохите Усиление легочного рисунка в легочных полях при запущенном туберкулезе
Другие статьи из раздела «Рентген органов дыхания»
Онлайн-консультация, Расшифровка снимков, Второе мнение - информационные, а не медицинские услуги.
Для постановки диагноза и назначения плана лечения следует записаться на очный прием к специалисту
Неспецифические воспалительные заболевания дыхательных путей
Диагноз «неспецифическое воспалительное заболевание» встречается довольно часто, можно сказать: «на слуху». Что же кроется под этим обозначением? Какие заболевания входят в группу НПВЗ?
Бронхит
наиболее часто встречаемый воспалительный процесс в бронхах с острым или хроническим течением.
Причинами развития бронхита могут вирусная или бактериальная инфекция, хронический воспалительный процесс верхних дыхательных путей (носоглотка, гортань, трахея, ППН), загрязненный воздух (пыль, сажа, химические вещества).

В основе заболевания лежит нарушение дренажной функции бронхов, изменение количеств секрета в них, нарушение эвакуации и перистальтики, заполнения бронхов слизью.
Клинически проявляется кашлем с большим количеством мокроты разного, в зависимости от этиологии, характера, повышением температуры тела, отдышкой, интоксикацией.
Диагностика: на рентгенограммах высокого качества можно определить расширение бронхов, утолщение их стенок, Y-образные расширенные разветвления, на СКТ-сканах можно выявить наполненные и обтурированные слизью бронхи, и, как следствие, ателектаз долек. Только при помощи спиральной компьютерной томографии можно выявить ограниченные участки повышенной прозрачности и вздутия, буллезную эмфизему, расширение корней легких за счет увеличения калибра легочных артерий, в которых повышается давление. При хроническом бронхите отмечается уменьшение средних и мелких разветвлений лёгочной артерии. В острые периоды может наблюдаться увеличение лимфоузлов средостения, которые можно выявить и дифференцировать только при помощи СКТ.
Бронхиальная астма
это хроническое рецидивирующее аллергическое заболевание, которое характеризуется периодическими возникновениями отдышки, вызванной спазмом бронхов, гиперсекрецией и отеком слизистой оболочки.
По этиологии принято считать «виноватыми» бактериальные аллергены окружающей среды, пыль, холод, запахи, инфекционно-аллергические агенты (микроорганизмы и продукты их жизнедеятельности).
Клинически бронхиальная астма проявляется приступами отдышки, которые могут продолжаться до 3-7 суток: вздох короткий, сильный и глубокий, выдох – медленный судорожный, сопровождается свистящими хрипами. Лицо у больного одутловатое, бледное. Во время приступа отходит большое количество вязкой мокроты.
Диагностика: на рентген-снимках можно диагностировать эмфизему, зазубренность контура диафрагмы, низкое стояние куполов диафрагмы. При хроническом течении формируются устойчивые изменения в виде бочковидной деформации грудной клетки, фиброзной деформация легочного рисунка, распространенной эмфиземы легких, расширения артериальных сосудов в области корней легких. При помощи спиральной компьютерной томографии (СКТ) можно отчетливо дифференцировать утолщенные стенки бронхов, расширенные просветы бронхиального дерева, различные виды эмфиземы легких, изменение сосудистого рисунка, с преобладанием и усилением в прикорневых отделах, ослаблением в кортикальных.
Фиброзирующие альвеолиты
К этой группе относятся различные нозологические формы, которые возникают вследствие проникновения в организм повреждающих агентов, вызывающих идиопатические, аллергические или токсические альвеолиты. Данная группа заболеваний распространена среди работников сельского хозяйства, в текстильной, швейной, химической и фармацевтической промышленности.
Заболевания характеризуются тремя взаимосвязанными процессами: отек, воспаление, фиброз.
Клинически у больных отмечается развитие отдышки кашель, повышение температуры тела, боль в грудной клетке, постепенная потеря веса. Течение может быть острым (6мес-2 года) и хроническим (6-8 лет) с периодическими рецидивами.
Диагностика: на рентген снимках отмечается усиление и сетчатая деформация легочного рисунка, нечеткая очерченность сосудов и бронхов, местами определяются участки вздутия и коллапса легких, далее присоединяются грубые фиброзные изменения легких и плевры, которая визуализируется в виде перибронхиальной, периваскулярной фиброзной тяжистости, множественные пузыревидные вздутия в кортикальных отделах легких (сотовое легкое). На ранних стадиях при помощи спиральной компьютерной томографии (СКТ) можно определить степень и протяженность фиброзно-кистозных дегенеративных изменений легочной паренхимы и мелкие очаги в периферических отделах легких.
Пневмония

принадлежит к наиболее распространенным заболеваниям легких. Патологический процесс локализуется в бронхах, бронхиолах, альвеолярной паренхиме, соединительной ткани. Различают первичную и вторичную пневмонию. Чаще всего причиной развития первичной пневмонии является бактериальная инфекция. Патологическими агентами может быть пневмококк, стафилококк, палочка Фридлендера, синегнойная и кишечная палочки, прочее. На ряду с бактериальной пневмонией также существует и опасность возникновения вирусной пневмонии (гриппозная, аденовирусная, орнитозная), рикетсиозной пневмонии, паразитарной, грибковой и других видов. Вторичная пневмония развивается в следствие имеющихся инфекционных заболеваний (коклюш, корь, тиф, сифилис) или при наличие гнойных очагов (фурункул, абсцесс, остеомиелит).
Клинически пневмония чаще всего возникает неожиданно, на фоне повышения температуры тела до 39 градусов, сопровождается головной болью, болью в груди, которая усиливается во время дыхания, кашля.
Диагностика: на рентген-снимке определяется частичная локализованная или разлитая (зависит от формы пневмонии) тень, возможны варианты с наличием множественных диссеминированных очагов. При помощи спиральной компьютерной томографии (СКТ) можно точно выявить и локализовать даже мелкие, «невидимые» при рентген-исследовании очаги, определить состояние плевры, наличие жидкости в плевральной полости, СКТ позволяет детально оценить прилегающие отделы неизмененной легочной паренхимы, состояние бронхов, лимфоузлов средостения и прочее.
Если резюмировать
Как мы видим, различных заболеваний, этиологических факторов и нюансов внешних проявлений масса, относительно общее одно – диагностика. Чаще всего пациенты с жалобами на патологию органов дыхания направляются на рентген диагностику или СКТ, так как при помощи совокупности этих методов можно действительно наиболее детально и точно распознать болезнь даже на ранних стадиях, провести дифференциальную диагностику и назначить необходимое лечение.
UNIONRAD SCHOOL ИНТЕРАКТИВНЫЙ ОБРАЗОВАТЕЛЬНЫЙ ПОРТАЛ ПО ЛУЧЕВОЙ ДИАГНОСТИКИ
Легочный рисунок понятие рентгенологическое, на рентгенограммах представлен в виде совокупности линейных теней или полосок, реже в виде очаговых (округлых или овальных) теней, радиарно расходящихся от корней легких на периферию.
Анатомическим субстратом легочного рисунка являются сосуды малого круга кровообращения (легочные артерии и вены), наполненные кровью. Теневые полоски – продольное отображение сосудов, округлые – поперечного хода сосудов.
Легочный рисунок складывается не только из теней и полосок, но и из округлых теней, которые являются осевым изображением сосудов 8.
От истинных туберкулезных очагов осевое сечение сосудов отличаются:
1. Локализацией (осевые в корнях, а туберкулезные очаги в паренхиме);
2. Изменчивостью изображения (в другой проекции осевая тень меняет форму на линейную);
3. Наличием «хвостика» (продолжение хода сосуда в другой проекции);
4. Более правильной округлой формы и четкими очертаниями, однородной и плотной структурой в отличие от туберкулезных очагов.
При патологии в легочном рисуноке становятся видимыми бронхи, лимфатические сосуды, интерстициальная ткань.
Усиление легочного рисунка
Обогощения легочного рисунка
Сгущение легочного рисунка
Деформация легочного рисунка
Ослабление легочного рисунка
Обеднение легочного рисунка
Отсутствие легочноего рисунка
Усиление легочного рисунка
характеризуется увеличением протяженности его видимости в периферических отделах легочных полей, за счет расширения мелких сосудов или уплотнения междольковых и межальвеолярных перегородок.
Обогощение легочного рисунка
характеризуется увеличением ширины и количества элементов легочного рисунка в единице площади, приводящая к прозрачности легочного поля. Обогощение легочного рисунка может быть с потерей и с сохранением черт сосудистого.
Сгущение легочного рисунка
характеризуется сближением между собой элементов легочного рисунка, что обусловлено уменьшением объема легкого, при сморщивании легочной ткани. Возникает при нарушении бронхиальной проходимости, приводящая к гиповентиляции.
Деформация легочного рисунка
характеризуется нарушением дихотомичности ветвления сосудистых теней, появлением извитости, прерывания, смещения, неровности их очертания и отсутствия сужения к периферии. Сосуды образуют сеть с различными по величене ячейками. Отсутствует системность в расположении сосудистых теней в легочном поле.
Тяжистость, сетчатость, ячеистость элементов сосудистого рисунка связана с бронхиальной проходимостью. Отмечается утолщение внутридолькового, междолькового и центрального интерстиция.
Ослабления легочного рисунка
характеризется отсутствием теней сосудов мелкого калибра и увеличением расстояния от концевых разветвлений теней сосудов до края легочного поля.
Обеднения легочного рисунка
характеризуется уменьшением количества элементов легочного рисунка в единице площади, что способствует увеличению общей прозрачности легочного поля.
Отсутствие легочного рисунка
характеризуется отсутствием элементов легочного рисунка на рентгенограмме всего или участка легкого .
Читайте также:
