УЗ-признаки липомы
Добавил пользователь Владимир З. Обновлено: 29.01.2026
Липомой называется опухолевое образование с доброкачественным течением. Источником возникновения уплотнения является жировая ткань. Может локализоваться на любом участке тела, за исключение ладоней и стоп. Характеризуется медленным ростом и безболезненным течением.
Акции
Полное обследование на онкологические заболевания для мужчин и женщин.
Онкоконсилиум может потребоваться как при лечении в «СМ-Клиника», так и пациентам других медицинских учреждений с целью получения альтернативного мнения.
«СМ-Клиника» предоставляет своим пациентам предоперационное обследование со скидкой до 72%!
Консультация врача-хирурга по поводу операции бесплатно!
Содержание статьи:
Типы липом
Существует несколько основных классификаций липом, которые активно используются в лечебной практике. В зависимости от типа тканей, которые вовлекаются в патологический процесс, выделяют такие виды новообразований:
- периневральные – локализуются вокруг нервных стволов;
- межмышечные – располагаются между мышцами тела;
- люмбосакральные – разрастаются возле позвонков или в спинномозговом канале;
- мягких тканей – располагаются на поверхности кожи, реже бывают подкожными;
- суставов – находятся в синовиальной оболочке или влагалище суставов.
Образование может появиться практически в любом участке тела и внутренних органов. В зависимости от точки локализации уплотнения, наиболее часто диагностируются такие типы липом:
- молочной железы – образовывается в железистой ткани и деформирует форму груди по ходу увеличения;
- груди – мягкое и подвижное формирование, которое появляется в подкожных жировых тканях;
- головы – часто возникающая патология, которая преимущественно формируется в результате недостаточной гигиены;
- спины – одно из наиболее распространенных новообразований, характеризующееся крайне медленным развитием;
- шеи – наследственное заболевание, которое в ходе развития может ущемлять дыхательные пути, вызывать слабость и стенокардию.
Существуют также иные, менее распространенные места формирования патологии, к которым относятся мозг, конечности, кожа, брюшина, глаза, губы и лицо.
Также данные уплотнения распределяются на две крупных группы: одиночные и множественные. Первые представляют собой единичное формирование в каком-либо участке тела. Вторые, соответственно, характеризуются множественными проявлениями в разных областях организма и встречаются гораздо реже.
Причины появления липом
Специалисты выделяют комплекс предпосылок, которые могут спровоцировать образование липом. Среди наиболее распространенных:
- генетические факторы, наследственная предрасположенность;
- нарушение обменных процессов в организме и жировых тканях;
- недостаточный уровень личной гигиены;
- сбои в работе щитовидной и поджелудочной железы;
- хронические патологии, которые существенно влияют на иммунные силы организма (диабет, гепатит, ВИЧ и др.);
- зависимость от алкоголя, табака, наркотических веществ;
- неправильное питание;
- ожирение, избыток жировой клетчатки;
- травмы, повреждения;
- сидячий образ жизни, отсутствие физических нагрузок.
Несмотря на то, что липома – доброкачественное образование, всегда существует риск развития ее злокачественной формы. Такая вероятность особо высока для людей, которые входят в соответствующие группы риска: имеют предраковые заболевания (полипы, дисплазии), уже болели онкологическими патологиями, имеют наследственную предрасположенность к формированию опухолей, находятся под постоянным влиянием канцерогенов, радиации и других вредных факторов окружающей среды.
Симптомы липом
Клиническая картина патологии является достаточно скудной и характеризуется:
- наличием прощупываемого образования, которое отличается мягкой консистенцией, подвижностью, эластичностью;
- появлением болезненности при сдавлении нервных стволов или разрастании во внутренних органах;
- стабильностью размеров уплотнения либо его увеличением при потере веса;
- отечностью конечностей и нарушением их функции (если образование сдавливает нервы, кровеносные сосуды).
В случае развития злокачественного процесса появляется общее недомогание и головные боли, повышается артериальное давления и проявляются другие характерные симптомы интоксикации организма.
При этом в зависимости от точного места локализации уплотнения могут возникать и другие, более выраженные симптомы и признаки:
- новообразования в области пищевода вызывают тошноту, кашель;
- уплотнения на трахее, бронхах становятся причиной мучительного сухого кашля, который не утихает после приема противокашлевых препаратов;
- жировая опухоль на хрящах, сухожилиях вызывает боли в суставах, сковывает движения;
- формирование в молочной железе провоцирует болевые ощущения в этой области;
- уплотнение в области почек вызывает повышение артериального давления, колики и боли в пояснице;
- образование в голове вызывает неврологическую симптоматику – головные боли, головокружения;
- липома шеи сопровождается осиплостью, охриплостью голоса, трудностями при глотании;
- новообразование в области сердца вызывает развитие кардиологических патологий: аритмии, сердечной недостаточности и проч.
Диагностика липом
Так как развитие новообразования в организме практически не вызывает симптомов, долгое время пациент может не подозревать о ее наличии. Поэтому в большинстве случаев она диагностируется случайно во время профилактического обследования или лечения других патологий.
Если локализация образования позволяет врачу сделать пальпацию, специалист может провести определение липомы даже при стандартном физикальном осмотре. Однако не всегда размещение узла позволяет обнаружить его при поверхностном ощупывании. При этом достаточно многие опасные заболевания имеют схожие с липомой симптомы. Поэтому диагностика проводится не только для выявления новообразования, но и с целью исключения иных болезней и уточнения доброкачественности процесса.
Комплексное обследование включает ряд лабораторных и инструментальных обследований, необходимость которых лечащий врач определяет индивидуально в каждом медицинском случае:
- Анализы крови. Самый доступный метод первичной оценки состояния организма. Результаты исследования позволяют выявить наличие патологических изменений, воспалений, вирусов или бактерий.
- Рентгенологическое обследование. В зависимости от локализации уплотнения, назначается снимок грудной клетки, брюшной полости, конечностей. Позволяет диагностировать образование, выявить его точное месторасположение, а также провести анализ состояния костных тканей и структур.
- Ультразвуковое исследование. Сканирование мягких тканей и органов позволяет определить размеры узла, выявить четкость его контуров, проанализировать содержимое. Не самый информативный метод обследования при подозрении на липому, так как даже при наличии капсулы уплотнение часто с трудом визуализируется с помощью ультразвуковых волн.
- Компьютерная томография. Позволяет установить точный диагноз и отличить липому от злокачественных новообразований при наличии подозрений.
- Магнитно-резонансная томография. Назначается при необходимости оценить признаки уплотнения и отличить его от злокачественной липосаркомы. С помощью этого метода диагноз устанавливается с максимальной точностью.
- Биопсия. Забор тканей из уплотнения и их дальнейший цитологический и гистологический анализ. Позволяет исключить возможный онкологический характер патологии.
В ходе обследования также выявляются причины, которые вызвали формирование уплотнения в организме. Если предпосылкой к развитию патологии стали другие хронические заболевания, проводится также их дополнительная диагностика для точной постановки диагноза и дальнейшего эффективного лечения.
Лечение липомы
В медицинском центре «СМ-Клиника» липома лечится единственным способом – хирургическим удалением. Специалисты клиники назначают оперативное вмешательство, если опухоль:
- быстро растет, вовлекая в патологический процесс окружающие ткани и органы;
- влияет на внешний вид, вызывает эстетические дефекты;
- вызывает болевые ощущения;
- нарушает работу внутренних органов.
Только оперативное вмешательство позволяет избежать в будущем осложнений и предотвратить трансформацию патологии в злокачественную.
В зависимости от особенностей опухоли и с учетом индивидуальных характеристик организма, врачи «СМ-Клиника» выбирают один из наиболее действенных методов удаления уплотнения:
- эндоскопический метод – преимущество заключается в небольшом разрезе, однако возможно возникновение рецидивов;
- иссечение липомы – вероятность рецидивов практически полностью отсутствует;
- липосакция – щадящий метод с хорошим косметическим эффектом и очень частым рецидивированием.
Специалисты «СМ-Клиника» изначально проводят комплексное обследование, после которого устанавливают точный диагноз и проводят консультацию касательно оперативного иссечения опухоли. Перед тем как удалить липому, специалисты обязательно предоставляют подробную информацию о возможных рисках операции, а также о последствиях невмешательства. Вмешательства проводят исключительно опытные хирурги с многолетним стажем.
Врачи предупреждают что, несмотря на кажущуюся безобидность патологии и доброкачественное течение, затягивать с ее лечением не стоит. Важно помнить, что вместе с увеличением новообразования существенно повышается риск развития злокачественных процессов и возникновения сопутствующих патологий внутренних органов.
Источники:
- Врождённые липомы головного и спинного мозга: клиническая и МРТ диагностика. Бейн Б.Н., Сырчин Э.Ф., Якушев К.Б. Медицинский альманах, 2013
- Случайное выявление липомы сердца. Алексеева И.В., Гордова В.С. Вестник Балтийского федерального университета им. И. Канта. Серия: Естественные и медицинские науки, 2018.
- Редкая врожденная аномалия: липома головного мозга, соединяющаяся с подкожной липомой через дефект лобной кости. Милосердов М.А., Корнева Ю.С., Гельт Т.Д., Руденко Я.А. Трудный пациент, 2020.
Михайлов Алексей Геннадьевич оперирующий онколог, врач высшей квалификационной категории, к.м.н. стаж: 21 год
Информация в статье предоставлена в справочных целях и не заменяет консультации квалифицированного специалиста. Не занимайтесь самолечением! При первых признаках заболевания необходимо обратиться к врачу.
Липома

Липома – доброкачественное новообразование, состоящее из жировых клеток разной степени зрелости. Как правило, оно медленно увеличивается в размере, не болит, не сопровождается зудом и не представляет угрозы жизни человека. Однако липома, расположенная на лице, шее, верхних конечностях являет собой значительный косметический дефект, а растущая на ножке – влечет риск развития осложнений в виде перекрута. Очень редко, но все же возможно перерождение опухоли в злокачественную, которая опасна для пациента, значительно ухудшает качество его жизни и сокращает продолжительность.
Чтобы избежать неблагоприятного исхода, при появлении образования, похожего на липому, следует обратиться на консультацию к хирургу или дерматоонкологу. Специалисты сети медицинских центров «СМ-Клиника» в короткий срок выставят верный диагноз и порекомендуют наиболее эффективный в вашем случае метод лечения липомы.
О заболевании
Согласно данным статистики, липомы распространены достаточно широко – ими страдает каждый сотый человек. Мужчины и женщины болеют с одинаковой частотой, для детей же данная патология не характерна.
Чаще опухоль представляет собой одиночное образование с четкими контурами, иногда - прорастает между мышцами вглубь, вплоть до надкостницы. Она формируется преимущественно в зонах, содержащих мало жировой клетчатки (область темени, верхняя часть спины, плечи). Отдельной формой патологии является разлитая липома, которая характеризуется отсутствием четких границ новообразования и сопровождается образованием большого количества гроздевидных отложений жира.
Сегодня клиницисты выделяют 9 видов липом:
- аденолипома (помимо адипоцитов содержит компоненты потовых желез);
- периневральная (развивается на верхних конечностях по ходу срединного нерва, сопровождается увеличением пальцев, иннервируемых им, в размере);
- ангиолипома (включает в себя жировые клетки и кровеносные сосуды, чаще обнаруживается в почках, а у пожилых мужчин – в области конечностей);
- пояснично-крестцовая (как правило, развивается не изолированно, а в сочетании с врожденными пороками позвоночника и внутриутробным нарушением формирования спинного мозга);
- миолипома (состоит из адипоцитов и волокон мышц);
- внутримышечная и межмышечная (локализуются в пространствах между мышцами или отдельными мышечными волокнами, склонны к рецидивированию);
- опухоль сухожильного влагалища (возникает в области оболочек суставов и во влагалищах сухожилий);
- разлитая (скопление жира имеет вид грозди, от окружающих тканей четко не отграничено, значительно деформирует область, в которой располагается, внешне, увеличивает ее объем).
Симптомы липомы
Липома у женщин и мужчин может быть единичной либо множественной, развиться в любой анатомической области тела за исключением подошв и ладоней, локализоваться в подкожной жировой клетчатке или клетчатке внутренних органов (головного мозга, сердца, почек и прочих). Она имеет вид округлого подвижного образования плотно-эластичной консистенции, размером от нескольких миллиметров до 20 сантиметров, четко отграниченного от окружающих тканей (кроме разлитой формы). Опухоль медленно увеличивается в размере и в 9 из 10 случаев безболезненна. Ощущением дискомфорта и боли может сопровождаться периневральная липома, растущая вокруг нерва, сдавливающая нервные окончания.
Кожа над опухолью неизмененная, обычного цвета, безболезненна.
Поскольку зачастую липома не доставляет человеку неприятных ощущений, основной причиной обращения к врачу в данной ситуации является визуальный дискомфорт.
Если кожа над липомой повреждается, возможно инфицирование новообразования с развитием локального воспаления. Это сопровождается соответствующими симптомами:
- болью;
- покраснением;
- локальной припухлостью;
- повышением местной температуры;
- нарушением функции пораженного участка.
При формировании липомы в области внутренних органов она сдавливает пораженный орган, что проявляется соответствующей симптоматикой – головной болью, нарушением работы сердца, артериальной гипертензией или прочими проявлениями.
Причины липомы
Липома может развиться как самостоятельная патология или являться одним из проявлений болезней иных органов. Основные причины ее:
- наследственная предрасположенность (удвоение длинного плеча 12-й хромосомы, в котором расположен ген, ответственный за образование особого фермента ТАГ-липазы; это вещество играет ключевую роль в регуляции процесса уничтожения избыточного жира);
- нарушения внутриутробного развития (развитие жировых клеток в нетипичных местах);
- нейроэндокринные заболевания (болезнь Деркума);
- болезнь Маделунга.
Вероятность формирования липом повышена у людей, страдающих недостаточностью эндокринных органов (гипофиза, щитовидной железы), онкопатологией верхних дыхательных путей, употребляющих алкоголь и наркотические средства.
Получить консультацию
Если у Вас наблюдаются подобные симптомы, советуем записаться на прием к врачу. Своевременная консультация предупредит негативные последствия для вашего здоровья.
Узнать подробности о заболевании, цены на лечение и записаться на консультацию к специалисту Вы можете по телефону:
Ультразвуковая диагностика липом шеи

Профессиональные диагностические инструменты. Оценка эластичности тканей, расширенные возможности 3D/4D/5D сканирования, классификатор BI-RADS, опции для экспертных кардиологических исследований.
В настоящее время УЗИ является ведущим методом дифференциальной диагностики опухолей щитовидной железы и прилежащих мягких тканей шеи [6-8,10]. По данным Московского онкологического центра опухоли жировой ткани составляют около 13% всех неорганных новообразований и 45% - опухолей, производных мезенхимы [3]. Среди них различают липомы, диффузный липоматоз, липосаркомы [4]. Чаще всего наблюдаются солитарные липомы. Они отличаются медленным ростом и встречаются с одинаковой частотой у мужчин и женщин [5]. Липомы имеют тонкую, хорошо выраженную капсулу. Микроскопически, зрелые липомы состоят из жировой ткани и представляют собой скопления жировых клеток, расположенных в соединительнотканной строме, соотношение между которыми различно. Злокачественные опухоли из жировой ткани встречаются редко [9].
Солитарные липомы имеют различную форму и локализуются на задней, реже на боковой или передней поверхностях шеи. В зависимости от глубины расположения выделяют несколько видов липом: I - поверхностные, локализующиеся в подкожной клетчатке, II - фасциально-мышечные, расположенные в собственной фасции шеи или мышц и заключенные между фасциальными листками, III - парависцеральные, расположенные у трахеи, щитовидной железы, глотки и шейного отдела пищевода, между мышечными и позвоночными фасциями [1]. При солитарных поверхностных липомах обычно наблюдается асимметрия шеи. Диагностика их при пальпации не представляет трудностей. Они имеют тестоватую консистенцию, подвижны, при локализации на передней поверхности могут симулировать зоб. Диагностика глубоких липом шеи является более трудной задачей. Обычно они распознаются либо после появления компрессионного синдрома близлежащих органов или сосудов, либо как случайные находки при УЗИ шеи. Приводим четыре случая поверхностных и глубоких липом шеи, выявленных во время массовых профилактических осмотров лиц, проживающих на территориях, загрязненных радионуклидами после аварии на Чернобыльской АЭС.
Материалы и методы
УЗИ шеи и щитовидной железы проводили по стандартной методике с использованием датчиков с частотой 7,5 МГц [11]. Обследовано 4 больных (2 мужчин и 2 женщины) в возрасте 9,12, 45 и 53 лет. Приводим соответствующее наблюдение.
Случай 1
Больной А., 12 лет. При профилактическом осмотре выявлено неравномерное утолщение левой половины шеи. При клиническом осмотре в области левой доли щитовидной железы выявлено опухолевое образование тестоватой консистенции величиной 7x4 см. При сканировании отмечено снижение накопления радиоизотопного препарата в левой доле щитовидной железы. Ультразвуковое исследование: левая доля щитовидной железы смещена вверх, размеры ее уменьшены. Кзади от нее определяется образование овальной формы с четкими наружными контурами величиной 3,2x2,2x7,8 см. Образование имеет неоднородную структуру за счет участков пониженной плотности (по периферии) и участков повышенной плотности линейной формы, занимающих практически всю площадь образования (рис. 1а, б).
Проведена пункционная биопсия под ультразвуковым контролем. Цитологическое исследование: жировая ткань. Операция: за левой долей щитовидной железы определяется образование, величиной 7x4x3 см, желтого цвета, в капсуле, однородной тестоватой консистенции. Левая доля железы обычной консистенции, уменьшена в размерах. Гистологическое исследование удаленного образования: липома. При динамической эхографии, спустя 6 мес после операции, левая доля щитовидной железы расположена обычно, уменьшена в размерах, в области послеоперационного ложа признаков рецидива липомы не выявлено (рис. 1в).
Липома

Липома (жировик) – доброкачественное образование в виде небольших узелков, появление которых связано с накоплением и уплотнением избытка жировой ткани. Размеры липомы могут увеличиваться или оставаться стабильными. При воздействии неблагоприятных факторов внутри жировика могут образовываться очаги патогенной микрофлоры, что делает его источником других серьезных заболеваний внутренних органов. Также значение имеет неэстетичный вид образований, выступающих на поверхности кожи. Поэтому в большинстве случаев принимается решение по удалению опухоли и ее последующему гистологическому исследованию для уточнения характера жировика – добро- или злокачественного.
Область локализации липомы – спина, грудь, лицо, конечности, молочные железы, структура внутренних органов. Обнаружить образование можно случайно в ходе диагностических процедур или при пальпации. Края липомы плотные и четкие, образование подвижно, а его прощупывание безболезненно. Обнаружить липому в тканях внутренних органов сложнее. Однако именно такие случаи признаны наиболее опасными, угрожая нарушениями в функционировании пораженного участка тканей.
Классификация
В зависимости от внутренней структуры различают:
- Миолипомы – образования из мышечных клеток.
- Ангиолипомы – жировики с включением кровеносных сосудов.
- Миксолипомы – опухоли с включением слизи.
- Фибролипомы – образования с содержанием соединительных тканей.
Точно установить характер образования можно только после тщательной диагностики. Ее не стоит откладывать на обозримое будущее, особенно если липома быстро увеличивается в размерах и доставляет дискомфорт.
Причины липомы
Общая схема появления жировиков – скопление жировых клеток вследствие нарушения жирового обмена в организме. Если меры по лечению проблемы не будут приняты своевременно, образование быстро разрастается, пережимая находящиеся рядом мышцы и кровеносные сосуды. В числе причин липомы, влияющих на неблагоприятное течение патологии, стоит отметить:

- Гормональные нарушения, период гормональных изменений в организме.
- Сбои обмена веществ.
- Нарушения в рационе с преобладанием пищи животного происхождения.
- Заболевания почек и печени, поджелудочной и щитовидной железы.
- Вредные привычки.
- Сахарный диабет.
- Генетическая предрасположенность.
Также на образование избытков жировой ткани влияют гиподинамия, сидячий образ жизни и отказ от полноценных физических нагрузок.
Симптомы
Основная локализация жировиков – места отложения жировой ткани. Вначале это мягкое уплотнение, которое постепенно увеличивается в размерах. Единственный симптом липомы – образование заметного бугорка с подвижной структурой, который прощупывается при надавливании. Болевые ощущения при пальпации липомы на спине или руках отсутствуют.
Если жировик локализован в структуре или на поверхности внутренних органов, о патологии могут свидетельствовать нарушения в их работе. Также заболевание сопровождается характерными признаками:
- липома в области пищевода вызывает кашель, тошноту и рвоту;
- образования на бронхах и трахее становится причиной постоянного сухого кашля приступообразного характера;
- липома на сухожилиях и хрящах ограничивает их подвижность и становится причиной болевых ощущений;
- жировик в молочной железе дает болезненные ощущения;
- жировые отложения в почках провоцируют колики, боли в пояснице, повышение уровня артериального давления;
- липома в голове становится причиной головокружений и головной боли;
- образование на шее мешает глотать пищу, а также вызывает осиплость голоса;
- липома в области сердца становится причиной аритмии и сердечной недостаточности.
Способы диагностики липом

Длительный период скрытого течения немало осложняет диагностику липомы мягких тканей на ранних стадиях развития. Чаще патология обнаруживается, когда жировик достигает размеров 1,5-2 см и легко прощупывается под кожей. Провести дифференцированную диагностику и подтвердить доброкачественный характер образования позволяют:
Анализы крови, исключающие инфекции вирусной или бактериальной природы, а также отсутствие воспалительного процесса.
Рентгенография грудной клетки, конечностей или брюшной полости. Позволяет обнаружить образование, уточнить его расположение, рассчитать размер и оценить состояние окружающих тканей.
Ультразвуковое исследование. Применяется в качестве дополнительного метода диагностики, когда факт наличия липомы подтверждают другие способы обследования.
Компьютерная и магнитно-резонансная томография. Эффективные методы, позволяющие установить расположение и размеры липомы, а также подтвердить ее доброкачественный характер.
Биопсия тканей жировика для их анализа на предмет риска перерождения клеток в злокачественную структуру.
Если у пациента имеются другие заболевания внутренних органов, диагностика липомы проводится с учетом их особенностей, а расшифровка результатов предполагает взаимное влияние патологий, позволяя точнее установить причину появления жировика.
Лечение
В случае обнаружения у пациента липом небольших размеров выбирается выжидательная тактика, подразумевающая УЗИ-контроль несколько раз в год. Однако нередки случаи, когда врач принимает решение в пользу оперативного вмешательства. Операция необходима, если:

- Опухоль быстро растет, захватывая соседние ткани и сосуды.
- Липома возвышается над поверхностью кожи, давая неэстетичный косметический эффект.
- Развитие жировика дает стойкие болевые ощущения.
- Из-за разрастания жировой ткани нарушается работа внутренних органов и системы кровообращения.
Извлечение или разрушение липомы на шее или спине возможно следующими способами:
- Эндоскопический метод. Предусматривает извлечение опухоли вместе с капсулой через небольшой разрез на коже.
- Липосакция – извлечение жировой ткани за счет ее размягчения и вытягивания через тонкую иглу. Не оставляет рубцов и не травмирует кожу.
- Иссечение липомы – удаление жировика в ходе классического оперативного вмешательства.
Оптимальный способ подбирается с учетом общего состояния пациента и размеров липомы.
Диагностика и лечение липомы в клинике АО «Медицина» в Москве
Клиника АО «Медицина» в ЦАО Москвы готова предложить профессиональную помощь пациентам с подозрением на единичные или множественные случаи развития липомы. В арсенале специалистов центра — высококлассное оборудование и огромный практический опыт по использованию различных методов удаления опухолевого очага. Каждому пациенту гарантировано внимательное отношение, направление на полный курс обследований и индивидуальный подход к разработке тактики лечения липомы. Запись на прием доступна на сайте клиники и по указанным телефонам.
Вопросы и ответы
Как выглядит липома?
Классическая липома — скопление избытков жира в плотной капсуле из соединительной ткани. Образование подвижно, имеет четкие контуры, гладкую поверхность и размеры от нескольких мм до 7-8 см. Обнаруживается при пальпации или в процессе исследования внутренних органов для диагностики других заболеваний. Болевой синдром при симптомах липомы наблюдается только в случаях нарушения кровообращения и сдавленности мышц из-за активного разрастания опухоли.
Как избавиться от липомы?
Свои решения предлагает не только официальная медицина, но и народные методы. Однако не стоит следовать последним, чтобы не причинить организму вреда и не затягивать время. Тем более что риск рассасывания липомы крайне мал. Современные методы лечения предусматривают удаление опухоли хирургическим путем или ее разрушение методом лазерного или радиоволнового воздействия. В некоторых случаях оптимальная липосакция – размягчение и «отсасывание» жировой ткани через тонкую иглу. Преимущества метода – минимальная травматичность, отсутствие следов на коже и непродолжительный восстановительный период.
Может ли липома рассосаться сама?
Такие случаи имеются в медицинской практике, однако они носят единичный характер. Поэтому рассчитывать на самопроизвольное исчезновение жировика не стоит, особенно когда образования появляются в разных частях тела и быстро разрастаются. Оптимальным решением будет обращение за помощью. Врач сумеет точно установить причину заболевания и примет решение по качеству лечения – в пользу выжидательной тактики с постоянным наблюдением или немедленного оперативного вмешательства.
Липома - диагностика, методы лечения

Доброкачественные новообразования, развивающиеся в жировой ткани, прежде всего, кожи, но бывают липомы молочной железы, головного и спинного мозга. Опухоли растут медленно и редко малигнизируются.
Липомы возникают у многих людей, по статистике они есть у каждого сотого человека. Мужчины и женщины одинаково подвержены заболеванию.
Что такое липома?
Липома – это мягкое на ощупь, округлое, заполненное жиром образование, которое чаще всего вырастает под кожей. В быту липомы нередко называют жировиками. В подавляющем большинстве случаев липомы безобидны, их относят к доброкачественным опухолям. На коже липом не бывает, они формируются в жировой ткани кожи или в подкожной клетчатке. Таким образом, липома может возникнуть на любой части тела, где есть жировая ткань. Обычно у человека возникает 1-2 образования. Очень редко встречаются липомы множественные, это состояние называют множественным семейным липоматозом, он чаще возникает у мужчин.
Как липома выглядит?

Медленно растущие мягкие образования под кожей — жировики — обычно являются липомами.
Выглядит липома как “шарик” или “комок” под кожей. Величина образования варьирует, оно может быть размером от горошины и до нескольких сантиметров в поперечнике. Липома при пальпации (ощупывании) мягкая, по плотности напоминает резину, не спаяна с нижележащими тканями.
Причины возникновения липомы
Обычно липомы возникают в среднем возрасте – между 40 и 60 годами, у детей это патология встречается редко.
Точные причины появления липом неизвестны. Но они чаще возникают
- у пациентов с редким наследственным заболеванием – синдромом Коудена
- при синдроме Гарднера
- при болезни Маделунга.
Нередко липомы находят у членов одной семьи, т.е. генетическая предрасположенность к ним передается по наследству. Ожирение не приводит к повышенному риску образования липом.
Классификация
По анатомическому признаку липомы подразделяют на:
- липомы головы, лица и шеи, которые, соответственно, располагаются на голове, на лице, на шее
- липомы туловища – на спине, животе
- липомы конечностей – на ногах и руках
- липомы грудной клетки – образованием затронуты легкие
- липомы внутри брюшных органов – новообразования могут затрагивать почки
- липомы семенного канатика
- липомы других локализаций.
Классификация липомы по МКБ-10
По международной классификации болезней липомы относят к разделу D17, т.е. к доброкачественным образованиям жировой ткани.
Механизм образования
Иногда триггером, запускающим образование липомы, считают повреждение кожи. Липома представляет собой новообразование из жировых клеток. Ее рост начинается из одной клетки, которая растет и делится быстрее, чем окружающие ее ткани. Под микроскопом липома представляет собой скопление узелков из зрелых жировых клеток (адипоцитов), разделенных фибромускулярными перегородками. Доброкачественность образования устанавливают при отсутствии атипии ядер или самих клеток.
Симптомы и признаки липом
Липомы растут очень медленно и обычно не вызывают никаких симптомов, кроме уплотнения в виде “шишки” или “шарика” под кожей. Внутренние липомы также обычно ничем себя не проявляют, т.е. бессимптомны.
Липома молочной железы
Липома в молочной железе обычно возникает у женщин после наступления менопаузы. Как правило, это образование размером до 1 см, весом до нескольких граммов. Липому молочной железы размером более 5 см и весом более 500 г называют гигантской.
Основные признаки липомы молочной железы:
- безболезненность
- мягкость на ощупь
- возможность смещения под кожей. Т.е. она не спаяна плотно с окружающими тканями и не изменяет внешний вид кожи над ней.
Так как липомы часто располагаются в толще железы и не имеют никаких симптомов, то их нередко обнаруживают случайно, во время плановой маммографии или УЗИ.
Липома молочной железы не повышает риск рака молочной железы и очень редко трансформируется в злокачественную опухоль.

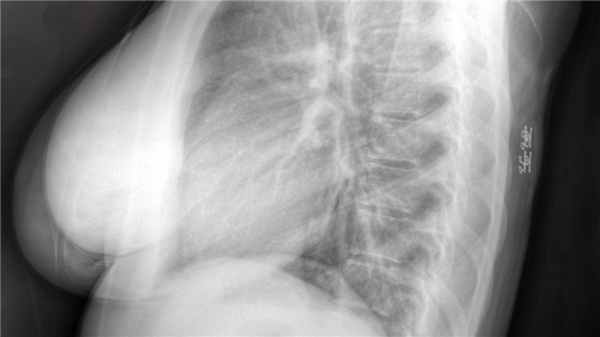
Липома молочной железы. Фото: © Nevit Dilmen / Wikipedia (Creative Commons Attribution-Share Alike 3.0 Unported license)
Липома головного и спинного мозга
Липомы головного мозга также выявляют случайно, когда у пациентов старшей возрастной группы проводят МРТ или КТ мозга по каким-то другим причинам, например, при нарушении когнитивных функций, эпилепсии. Липомы могут быть обнаружены в любом отделе мозга, тем не менее 50% – это перикалозальные липомы, в свою очередь 45% которых ассоциированы с агенезией мозолистого тела. 25% составляют липомы квадригименальной цистерны и 15% – липомы супраселлярной цистерны. Так как липомы мозга не имеют симптомов, хоть и часто сочетаются с какими-то пороками, например, агенезией мозолистого тела, то и лечения они не требуют. Хирургическое лечение сопряжено с большим риском осложнений и не имеет никаких преимуществ. Если возникают гидроцефалия или судорожный синдром, то лечение проводят по общим правилам.

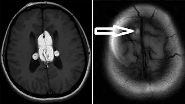
Липома мозолистого тела головного мозга. Фото: Journal of neurosciences in rural practice / Open-i (Attribution-NonCommercial-ShareAlike 3.0 Unported)
Липома у детей
Липомы позвоночника составляют 35% всех новообразований спинного мозга, чаще встречаются у девочек.
Липома спинного мозга подразделяется на несколько клинических вариантов:
- липомиеломенингоцеле. Это врожденная патология, при которой жировые образования расположены вдоль позвоночника и проникают внутрь спинномозгового канала, соединяясь со спинным мозгом. Эта липома внешне выглядит как объемное образование внизу позвоночника. У ⅓ пациентов образование проявляет себя нарушениями мочеиспускания. Реже пациентов беспокоит искривление стоп, боль в спине. Лечение хирургическое.
- липома терминальной нити, при которой жировая ткань расположена в конечной нити спинного мозга. Иногда это состояние рассматривают как синдром натяжения концевой нити. Это редкое заболевание, которое эффективно лечат хирургической операцией, менее опасной, чем в предыдущем случае.
- липома спинного мозга (интрадуральная) встречается редко и составляет 4% от всех липом. Чаще ее выявляют в грудном отделе позвоночника у детей, патологии костей или кожи при ней не бывает. Если вырастает до больших размеров, то проявляет себя симптомами сдавления спинного мозга. Это одно из самых малоизученных новообразований.
Липома у взрослых
Кроме обычных подкожных липом, в зрелом возрасте могут быть:
- Эпидуральный липоматоз, который возникает при избыточном синтезе жира в эпидуральном пространстве, то есть между позвонками и твердой оболочкой спинного мозга. Это нередкое осложнение при синдроме Кушинга, тяжелом ожирении, приеме глюкокортикостероидов. Дебютирует патология синдромом “конского хвоста”, лечат его отменой стероидов или снижением веса.
- Ангиомиолипома, состоящая из аномально разросшихся сосудов и жировой ткани. Чаще всего ее обнаруживают в поясничном или грудном отделах позвоночника. Как правило, возникает в теле одного позвонка и может проявляться болью в спине, так как уменьшает высоту позвонка и приводит к сдавливанию нервных корешков. Образование обычно выявляют случайно у людей в возрасте 30-40 лет. При сильной компрессии, т.е. при сдавливании нервных структур, проводят лечение – пункционную вертебропластику (“цементирование” позвонка). Иногда ангиомиолипому обнаруживают в почке. При небольших размерах (до 1,0-1,5 см) лечения не требует, за образованием наблюдают, периодически выполняя ультразвуковое исследование.
Диагностика липом
Липому под кожей легко диагностируют при осмотре и прощупывании.
Липомы внутри организма выявляют с помощью:
В неясных случаях проводят биопсию, при которой небольшое количество ткани исследуют под микроскопом.
К какому врачу обратиться?
Так как липома может вырасти в любом месте организма, то её диагностируют и лечат врачи разных специальностей. Это зависит от места расположения образования. Липомами на коже занимаются хирург и дерматолог, липомами в области молочной железы – маммолог, липомами мозга или позвоночника – нейрохирург.
В чем отличие атеромы от липомы?
Липома представляет собой образование из жировой ткани, тогда как атерома – это скопление секрета сальной железы из-за закупорки ее протока. Соответственно, атерома не может возникнуть там, где нет сальных желез, т.е. в легких, мозге, брюшной полости, семенном канатике и т.д. Атерома чаще растет на волосистой части головы, имеет тенденцию к воспалению и нагноению, располагается более поверхностно. При воспалении атеромы она увеличивается в размерах, возникает покраснение, чего не бывает при липоме. Для того, чтобы выяснить, что имеется у пациента – атерома или липома – проводят УЗИ.
Методы лечения
Если липомы безболезненны и небольших размеров, то лечения не нужно. Липому молочной железы обычно наблюдают. Для этого маммографию проводят каждые 6 месяцев, и, если образование не растет, его не удаляют.
Надо ли удалять липому?
Вмешательство необходимо, если она:
- сдавливает нервные окончания
- вызывает дискомфорт
- изменяет свою консистенцию или размер
- рецидивирует после удаления
- растет.
Перед удалением внутрь липомы могут вводить кортикостероиды для того, чтобы уменьшить её размер.
Хирургическое удаление липомы
Используют следующие методы удаления:
- Хирургическим путем, когда измененную ткань иссекают скальпелем под местной анестезией. Затем проводят ушивание раны.
- Липосакцию. В липому вводят иглу и с помощью шприца удаляют содержимое.
- Удаление липомы лазером. Этот щадящий метод используют для удаления образований размером более 3 см. При вмешательстве практически нет риска травмирования здоровой ткани и минимальна вероятность кровотечения или инфицирования. После удаления лазером редко возникают шрамы или рубцы.
Лечение липомы народными средствами
Так как липому обычно не нужно лечить, то не стоит пытаться свести ее народными средствами. Прикладывание льда или прогревание бесполезны, так как эти процедуры не влияют на жировую ткань.
Профилактика
Обычно не имеет смысла, так как четкой причины возникновения патологии не выявлено. При эпидуральном липоматозе, причиной которого может быть ожирение, профилактикой считают поддержание нормального веса.
Читайте также:
