Узловая эритема
Добавил пользователь Евгений Кузнецов Обновлено: 27.01.2026
ГКБ №14 им. В.Г. Короленко Департамента здравоохранения Москвы
ГКБ №14 им. В.Г. Короленко Департамента здравоохранения Москвы
ГКБ №14 им. В.Г. Короленко Департамента здравоохранения Москвы
ГНЦ дерматовенерологии, Москва
Острая узловатая эритема
ГКБ №14 им. В.Г. Короленко Департамента здравоохранения Москвы
Представлено клиническое наблюдение пациентки с острой узловатой эритемой. Узловатая эритема - синдром, в основе которого лежит токсико-аллергическое либо гранулематозное воспаление подкожной клетчатки. Узловатая эритема представляет собой наиболее часто встречающуюся форму панникулита.
ГКБ №14 им. В.Г. Короленко Департамента здравоохранения Москвы
ГКБ №14 им. В.Г. Короленко Департамента здравоохранения Москвы
ГКБ №14 им. В.Г. Короленко Департамента здравоохранения Москвы
ГНЦ дерматовенерологии, Москва
Острая узловатая эритема (ОУЭ) — полиэтиологическое заболевание, обусловленное токсико-аллергической реакцией сосудов кожи на различные инфекционные агенты и/или интоксикации [1—6]. Термин «узловатая эритема» предложил R.Willan (1798), а клиническую картину этого дерматоза подробно описал F. Hebra (1876) [7].
Различают острую и хроническую клинические формы заболевания. ОУЭ чаще возникает у девочек, девушек и молодых женщин [3] на фоне либо после перенесенных инфекций (ангина, грипп, хламидиоз, иерсиниоз, корь, скарлатина, туберкулез [8, 5]). Примерно в 50% случаев причину заболевания установить не удается, при этом симптоматическая разновидность расценивается как идиопатический клинический вариант.
ОУЭ обычно возникает в сырое и прохладное время года: ранней весной и поздней осенью [9], проявляется быстро развивающимися плотными воспалительными болезненными полусферическими узлами диаметром в несколько сантиметров, незначительно возвышающимися над кожей [7, 10, 11]. Излюбленная локализация высыпаний — голени, их передненаружная поверхность. Количество узлов на каждой ноге достигает 10, редко больше. Эритема над узлами вначале имеет яркий розово-красный цвет, который в дальнейшем становится синюшным, буроватым и, наконец, желто-зеленым [11]. Одновременно с изменением окраски пораженной кожи в сроки от 3 до 6 нед уплощаются и разрешаются без изъязвления узлы, не оставляя рубцов и атрофии [3, 9].
Высыпаниям на коже обычно в течение нескольких дней предшествует продромальный период — недомогание, общая слабость, субфебрильная температура, артралгия, миалгия. У детей могут быть желудочно-кишечные расстройства. Явления интоксикации в дальнейшем нарастают и сопровождают патологический процесс на коже повышением температуры тела до 38—39 °С.
На рентгенограмме легких у отдельных больных обнаруживается билатеральная хилюсная аденопатия, характерная для медиастинального легочного саркоидоза (синдрома Лефгрена) [5, 11], который считают вариантом ОУЭ. Синдром сохраняется до нескольких месяцев и в 90% случаев имеет тенденцию к спонтанному разрешению [7].
Обязательное лечение в стационаре предполагает постельный режим, применение антибиотиков широкого спектра действия, препаратов кальция, антигистаминных препаратов, салицилатов, витаминов А, Е, С, РР, рутина, вазоактивных средств, в тяжелых случаях — глюкокортикостероидов (ГКС) парентерально; проведение физиотерапии — УФО, УВЧ, ультразвук, индуктотермия, лазер, фонофорез с ГКС-мазями, наружно — димексид, компрессионные повязки с 10% ихтиоловой мазью, парафиновые аппликации, сухое тепло.
Прогноз благоприятный, за редким исключением, рецидивы не развиваются. С целью их предупреждения рекомендуют избегать переохлаждений, рационально лечить основное и сопутствующие заболевания, соблюдать осторожность при назначении лекарственных препаратов, вакцин.
Значительный клинический интерес представляет наблюдавшийся нами случай ОУЭ у пациентки В., 27 лет. Считала себя больной с 10.02.09, когда в области правого коленного сустава появились болезненность, а через 10 дней латерально — узел и гиперемия кожи. Высыпания возникли после переохлаждения и перенесенной ангины на фоне недомогания, субфебрильной температуры тела, а также болезненности в голеностопных суставах. В дальнейшем сыпь распространилась на голени. Более 1 мес лечилась амбулаторно (цефабол, нестероидные противовоспалительные препараты, ципрофлоксацин 1 г/сут, пимафуцин, тавегил, тридерм под окклюзионную повязку) без положительной динамики. Более того, появлялись новые болезненные узлы, в том числе на бедрах, температура тела повысилась до 38,9 °С.
Больная была срочно госпитализирована в ГКБ №14 им. В.Г. Короленко (23.03.09). Последние 2 дня до поступления в больницу получала лечение: дипроспан 1 мл (№1), клафоран по 1млн ЕД 2 раза в сутки внутримышечно, аскорбиновую кислоту по 1,5 г/сут, 10% глюконат кальция 10,0 внутримышечно, делагил по 1 таблетке в сутки, супрастин, наружно — 10% ихтиоловую мазь в виде компрессионной повязки на очаги, аппликации 50% димексида на пораженную кожу.

Локальный статус: преимущественно на передненаружных поверхностях голеней, а также на бедрах располагались эритематозно-узловатые поражения кожи диаметром от 2 до 6—8 см (рис. 1, а—в). Рисунок 1. Клинические проявления острой узловатой эритемы (а—в) у больной В., 27 лет. Эритема яркая, розово-красная; определялась значительная болезненность при пальпации узлов, последние имели различные размеры, преимущественно крупные, а также отмечалась склонность к слиянию. Границы высыпаний нечеткие из-за отечности окружающих тканей. При пальпации кожа над узлами горячая.
При обследовании в первые дни заболевания (04.03.09) в клиническом анализе крови СОЭ 27 мм/ч, при выписке 16 мм/ч, в белковых фракциях крови отклонений от нормы не было; при биохимическом исследовании крови С-реактивный белок 80 мг/л, при выписке отсутствовал. Общий анализ крови в пределах нормы.
В клиническом анализе мочи (24.03.09 и 28.04.09) патологических изменений не выявлено. Эпителий плоский 0—3 и 2—6 в поле зрения, переходный 0—2 в п/зр., лейкоциты 0—1 в поле зрения, соли: ураты — много, оксалаты —умеренно, слизи умеренно и много.
Биохимические показатели крови в пределах нормы. Свертываемость крови по Сухареву 6 мин 20 с (норма 5—10 мин), время кровотечения 1 мин 19 с (норма не более 4 мин) от 17.04.09.
ЭКГ (25.03.09): ритм синусовый, правильный. Вертикальное положение электрической оси сердца.
При УЗИ сердечно-сосудистой системы (04.03.09) выявлены признаки пролапса митрального клапана I степени без регургитации. Сократительная способность миокарда удовлетворительная. Признаки легочной гипертензии отсутствуют. УЗИ щитовидной железы (14.04.09): показатели без отклонений от нормы. Диагностическая эзофагогастродуоденоскопия (ЭГДС) (07.04.09): хронический гастрит.
На рентгенограмме легких в прямой проекции в легких определяются очаговые и инфильтрированные изменения. Легочный рисунок умеренно диффузно обогащен. Выявлено расширение корней легких, больше правого. Их наружные контуры имеют четкие, полициклические очертания. Тень сердца, диафрагма — без особенностей. Синусы свободные.
Компьютерная томография органов грудной клетки (14.04.09): свежих очаговых и инфильтративных изменений в легочной паренхиме не выявлено. Признаки диффузного пневмосклероза и эмфиземы, внутригрудной лимфаденопатии (саркоидоз?).
Результаты других лабораторных исследований: РМП, РПГА (24.03.09) отрицательные.
Исследование с помощьью полимеразной цепной реакции на микобактерии туберкулеза: не обнаружены (21.04.09). Гликемическая кривая в пределах нормы. Бронхоскопия органической патологии не выявила.
При УЗИ правого коленного сустава (26.02.09) выявлены признаки истончения гиалинового хряща справа, локальные отеки подкожно-жировой клетчатки с обеих сторон. При УЗИ печени, поджелудочной железы, селезенки, почек, надпочечников — признаки умеренных диффузных изменений паренхимы поджелудочной железы, деформации желчного пузыря.

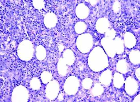
При гистологическом исследовании (рис. 2) Рисунок 2. Густая полиморфно-клеточная инфильтрация по ходу септальных перегородок в подкожно-жировом слое, стенки сосудов утолщены за счет пролиферации эндотелия, сосудистые просветы сужены. Окраска гематоксилином и эозином. Ув. 200. в дерме изменения выражены слабо, отмечены незначительный акантоз эпидермиса со слабым ортокератозом, гистиолимфоцитарная периваскулярная инфильтрация. В подкожно-жировой клетчатке обнаруживалась густая полиморфно-клеточная инфильтрация преимущественно по ходу септальных перегородок из гистиоцитов, лимфоцитов, нейтрофильных и эозинофильных гранулоцитов. Местами клеточные элементы инфильтрировали стенки сосудов, утолщенных вследствие отека и пролиферации эндотелиоцитов. Отмечалось выраженное сужение сосудистых просветов.
Больная получила комплексную терапию: стол №15, внутривенные инфузии: тиосульфат натрия 30% 10,0 внутривенно струйно, на курс 10 инфузий, реополиглюкин 400,0 + трентал 10,0 + но-шпа 8,0 + рибоксин 8,0 внутривенно капельно (1 капельница). Инъекционные препараты: цефабол 1 г 2 раза в сутки внутримышечно 5 дней, глюконат кальция 10% 10 мл внутримышечно (на курс 8 инъекций), пенициллин 1 млн 4 раза в сутки 10 дней, тиосульфат натрия 30% 10 мл внутривенно струйно (на курс 10 вливаний), гентамицин 0,8 г 2 раза в сутки внутримышечно (на курс 3 инъекции).
Таблетированные препараты: детралекс 500 мг 2 раза в сутки, аевит 0,4 г вечером, найз 100 мг 2 раза в сутки 10 дней, нистатин 1 млн 4 раза в сутки 11дней, таривид 200 мг 2 раза в сутки 6 дней, индометацин 25 мг 2 раза в сутки, дифлюкан 150 мг 1 раз в сутки 4 дня, гастрозол 20 мг утром, алмагель 1 мл 3 раза в сутки, линекс 1 таблетка 3 раза в сутки, дексаметазон 2 мг/сут (4 таблетки), аспаркам 1 таблетка 3 раза в сутки, зитролид 500 мг — 1-й день, 250 мг — 2—5-й дни, нистатин 500 000 4 раза в сутки, делагил 0,25 г 2 раза в сутки.
Наружно: влажно-высыхающие повязки с 10% ихтиолом, троксевазиновая мазь, бутадионовая мазь, согревающие повязки с 10% ихтиолом. В результате лечения патологический процесс на коже полностью разрешился.
Рекомендовано амбулаторное наблюдение дерматолога по месту жительства; консультация в институте ревматологии; продолжить прием дексаметазона 2 мг (4 таблетки) в сутки, снижая дозу под контролем врача по 0,25 мг ( 1 /2 таблетки) 1 раз в 3 нед; оротат калия 1 таблетка 3 раза в сутки; препараты кальция; клинический анализ крови 1 раз в месяц.
Клинический интерес представленного наблюдения заключается прежде всего в тяжести поражения — множественные крупные сливающиеся узлы на голенях и бедрах, вовлечение в патологический процесс лимфатических узлов корневой зоны легких в виде внутригрудной лимфаденопатии. Второй аспект сложности случая — упорное течение и медленное обратное развитие эффлоресценций при адекватной рациональной терапии, необходимость после выписки из стационара обязательного диспансерного наблюдения у дерматолога и ревматолога, а также проведения поддерживающего амбулаторного лечения.
Узловатая эритема
Узловатая эритема - это заболевание, характеризующиеся воспалением сосудов кожи и подкожно-жировой клетчатки. Чаще всего встречается у женщин (в три раза чаще мужчин), в возрасте от 15 до 30 лет. Причины данной патологии очень разнообразные и не сочетающиеся между собой.
Причины
Это различные инфекционные причины: стрептококковые инфекции (ангина, скарлатина), туберкулез, иерсиниоз, венерическая лимфогранулема, лепра, гистоплазмоз, кокцидиодоз. Одним словом все то, что мы называем "хроническими очагами инфекций".
Неинфекционные: саркоидоз (довольно частая причина эритемы), неспецефический язвенный колит.
Так же нужно отметить и аллергический характер эритемы, который чаще всего возникает на прием сульфаниламидных препаратов (сульфален, сульфодиметоксин), контрацептивов.
Симптомы
Типичным проявлением узловатой эритемы являются плотные узлы, расположенные в нижних отделах дермы или в подкожной клетчатке. Диаметр узлов варьирует от 5 мм до 5 см. Кожа над ними гладкая и окрашена в красный цвет. Элементы узловатой эритемы несколько возвышаются над общим уровнем кожи, их границы размыты из-за отечности окружающих тканей. Быстро вырастая до определенного размера, узлы перестают увеличиваться. Болевой синдром у пациентов с узловатой эритемой может иметь различную выраженность и отмечается не только при пальпации узлов, но и спонтанно. Зуд отсутствует. Уже через 3-5 дней начинается разрешение узлов, которое проявляется их уплотнением и не сопровождается распадом. Характерным для узловатой эритемы является изменение окраски кожи над узлами, что напоминает процесс разрешения синяка. Первоначально красная она становиться бурой, а затем синюшной, зеленоватой и желтой.
Наиболее типичная локализация узлов при узловатой эритеме — это передняя поверхность голеней. Чаще наблюдается симметричность поражения, но возможен односторонний или единичный характер высыпаний. Элементы узловатой эритемы могут встречаться везде, где есть подкожная жировая клетчатка: на бедрах, икрах, ягодицах, предплечьях, лице и даже эписклере глазного яблока.
В большинстве случаев узловая эритема имеет острое начало и сопровождается лихорадкой, анорексией, общим недомоганием, ознобами. Примерно у 2/3 пациентов отмечаются артропатии: боли в суставах (артралгии), болезненность при прощупывании, скованность по утрам. У 1/3 больных узловатой эритемой субъективные симптомы сопровождаются объективными признаками воспаления в суставе (артрита): отечность и покраснение кожи в области сустава, повышение местной температуры, наличие внутрисуставного выпота. Суставной синдром при узловатой эритеме характеризуется симметричным поражением крупных суставов. Возможна отечность мелких суставов стоп и кистей. Общая симптоматика и артропатии могут на несколько дней опережать появление кожных элементов.
Как правило, в течение 2-3 недель происходит полное разрешение узлов узловатой эритемы. На их месте может наблюдаться временная гиперпигментация и шелушение. Одновременно с кожной симптоматикой проходит и суставной синдром. В общей сложности острая форма узловатой эритемы длится около 1 месяца.
Значительно реже узловатая эритема имеет упорно рецидивирующее хроническое течение. Обострения заболевания проявляются появлением небольшого количества единичных синюшно-розовых узлов плотной консистенции, которые сохраняются в течение нескольких месяцев. Кожные проявления могут сопровождаться хронической артропатией, протекающей без деформации суставов.
Диагностика
Диагностика включает в себя лабораторные и инструментальные методики обследования: - анализ крови; анализ крови на ревмопробы;
- УЗИ вен нижних конечностей;
- бакпосев из носоглотки;
- туберкулинодиагностика;
- биопсия узелков;
- рентген органов грудной клетки;
- КТ;
- бакпосев кала.
Лечение
Лечение узловатой эритемы должно начинаться с выявления ее причины, и заключается оно по большему счету именно в устранении этой причины. Однако удается это не всегда. В случаях, когда узловатая эритема связана с инфекционными факторами, показаны антибиотики.
Эффект значительно усиливается при комбинации антибиотиков с небольшими дозами кортикостероидов.
Применяют также противовоспалительные препараты - ацетилсалициловая кислота, индометацин (метиндол), бутадион, ибупрофен и другие. Достаточно эффективен калия йодид в суточных дозах 300-900 мг 2-4 недели. В случаях четкой связи обострений узловатой эритемы с менструацией показаны оральные контрацептивы в течение 3-6 циклов. Использование таких препаратов в лечебных целях допустимо после консультации гинеколога.
Из физиотерапевтических методов хорошим эффектом при узловатой эритеме обладают: УФО в эритемных дозах, магнитотерапия, лазеротерапия, фонофорез с гидрокортизоном на область воспалительных узлов или пораженных суставов.
Узловатая эритема
Информацию из данного раздела нельзя использовать для самодиагностики и самолечения. В случае боли или иного обострения заболевания диагностические исследования должен назначать только лечащий врач. Для постановки диагноза и правильного назначения лечения следует обращаться к Вашему лечащему врачу.
Узловатая эритема: причины появления, симптомы, диагностика и способы лечения.
Определение
Кожа человека состоит из эпидермиса и дермы. Эпидермис служит защитой подлежащих тканей от механических, химических, термических повреждений, а также от проникновения инфекционных агентов. Дерма представляет собой слой кожи, который включает сеть сосудов, подкожную жировую клетчатку (ПЖК), соединительно-тканные волокна, волосяные фолликулы, потовые и сальные железы.

Узловатая эритема - это воспалительное поражение мелких сосудов кожи и подкожной жировой клетчатки, являющееся разновидностью панникулита (воспаления жировой клетчатки, которое развивается на фоне других заболеваний или носит идиопатический характер).
Причины появления узловатой эритемы
К сожалению, не всегда удается доподлинно установить, что же привело к появлению узловатой эритемы. Это сопряжено с трудностями в определении тактики лечения подобного состояния. Чаще всего узловатая эритема обнаруживается у взрослых людей репродуктивного возраста. У детей и подростков она может развиться на фоне предшествующей стрептококковой инфекции.
Причиной воспалительного процесса, следствием которого становится узловатая эритема, могут быть инфекционные агенты, аутоиммунные заболевания, аллергические реакции, прием лекарственных препаратов (сульфаниламидов, антибиотиков пенициллинового ряда, оральных контрацептивов, бромидов и др.). Провоцировать появление узловатой эритемы также может беременность.
Под действием этих факторов происходит активация лимфоцитов, иммунная система начинает вырабатывать специфические антитела и развивается воспаление. Однако такой ответ организма выявляется далеко не у каждого человека, что позволяет говорить об особой предрасположенности к подобному иммунному ответу, причем предрасположенность может носить как наследственный характер, так и приобретенный.
Узловатая эритема, как правило, развивается при наличии двух условий: особой аномальной активности иммунной системы и провоцирующего фактора (триггера).
Среди инфекционных заболеваний такими триггерами часто становятся стрептококковая инфекция, туберкулез, хламидиоз, гепатиты В и С и др.
Высока встречаемость узловатой эритемы при аутоиммунных заболеваниях. Это группа заболеваний, в основе которых лежит нарушение распознавания иммунной системой «своих» и «чужих» клеток. В результате иммунные клетки начинают проявлять агрессию против клеток собственного организма подобно тому, как они активировались бы при встрече с инфекционными агентами или раковыми клетками.
Узловатая эритема часто встречается при саркоидозе. Одна из форм саркоидоза (синдром Лефгрена) представляет собой сочетание двустороннего поражения лимфатических узлов, расположенных в корнях легких, суставов, лихорадки и узловатой эритемы.

К другим аутоиммунным заболеваниям, ассоциированным с развитием узловатой эритемы, относятся:
- cистемная красная волчанка;
- ревматоидный артрит;
- болезнь Бехчета (заболевание, в основе которого лежит воспаление сосудов);
- болезнь Шегрена (заболевание, протекающее с преимущественным поражением слюнных и слезных желез);
- неспецифический язвенный колит (тяжелое воспалительное поражение толстой кишки) и др.
Классификация узловатой эритемы
Узловатая эритема может быть как самостоятельным заболеванием неизвестной этиологии (первичная, или идиопатическая узловатая эритема), так и развиться в рамках других заболеваний (вторичная узловатая эритема). Эта классификация крайне важна для определения тактики лечения пациента, ведь в основе терапии вторичной узловатой эритемы лежит воздействие на основное заболевание.
Узловатая эритема может иметь острое, мигрирующее или хроническое течение.
Симптомы узловатой эритемы
Клинические особенности узловатой эритемы зависят от этиологических факторов и характера течения процесса.
Первичная (идиопатическая) узловатая эритема проявляется остро - на голенях формируются ярко-красные болезненные узлы сливного характера на фоне отека голеней и стоп.
Мигрирующей узловатой эритеме присуще острое течение с асимметричным воспалительным компонентом. Основной узел плотный, синюшно-красного цвета, отграниченный от окружающих тканей. В результате периферического роста за счет миграции воспалительного инфильтрата образуется кольцевидная бляшка с запавшим бледным центром и широкой более насыщенной периферической зоной. Возможно появление единичных мелких узелков, в том числе и на противоположной голени. Продолжительность заболевания составляет до нескольких месяцев. Во время формирования узлов могут наблюдаться сопутствующие общие нарушения в виде озноба, слабости, артралгий, субфебрилитета.
Хроническая узловатая эритема обычно встречается у женщин среднего и пожилого возраста, нередко на фоне сосудистых, аллергических, воспалительных, инфекционных или опухолевых заболеваний. Обострение возникает чаще весной и осенью. Узлы с умеренной болезненностью и величиной с грецкий орех локализуются на голенях (на переднебоковой поверхности), наблюдаются отеки голеней и стоп. Рецидивы могут длиться месяцами.
Диагностика узловатой эритемы
Диагноз узловатой эритемы ставится по клинической картине. Это говорит о том, что данных, полученных во время беседы с пациентом и осмотра, достаточно. Однако для выбора лечения необходимо установить причинно-значимые и сопутствующие заболевания. С этой целью пациенту могут быть назначены следующие исследования:
- Клинический анализ крови с подсчетом лейкоцитарной формулы, который позволит оценить интенсивность воспалительных процессов в организме, заподозрить причину, выявить изменения, характерные для лейкозов и лимфом.
Синонимы: Общий анализ крови (ОАК); Гемограмма; КАК; Развернутый анализ крови. Full blood count; FBC; Complete Blood Count (CBC); Hemogram; CBC with White Blood Cell Differential Count; Peripheral Blood Smear; Blood Film Examination; Comp.
Узловая эритема

Одной из форм васкулита, развивающегося вследствие аллергической реакции организма, является узловая эритема. Так называют воспаление кровеносных сосудов, пронизывающих эпидермис, вследствие чего в дерме и подкожной жировой клетчатке образуются болезненные узлы розовой или синюшной окраски. Поражение сосудов носит локальный характер и ограничивается, в основном, нижними конечностями.
Почему развивается воспаление кожных сосудов
Существует несколько факторов, провоцирующих начало воспалительного процесса в сосудах эпидермиса:
- бактериальные инфекционные заболевания, вызванные стрептококками, – скарлатина, ангина, фарингит, отит и др., после которых развивается узловая эритема нижних конечностей как осложнение перенесенного заболевания;
- длительное системное заболевание – туберкулез, лимфогранулематоз, трихофития, иерсиниоз;
- долговременный курс лечения антибиотиками, бромидами, салицилатами, йодидами либо сульфаниламидами;
- вакцинация;
- язвенный колит;
- онкозаболевание;
- болезнь Бехчета;
- беременность и связанная с ней гормональная перестройка женского организма, причем риск развития узелковой эритемы существенно возрастает при наличии в анамнезе беременной женщины хронических инфекционных очагов;
- наследственная предрасположенность к заболеванию: часто оно диагностируется у нескольких поколений одной семьи или у близких родственников;
- аллергия, которая способствует развитию хронической формы патологии.
Узловая эритема наиболее часто поражает молодых людей 20-30-летнего возраста. До начала полового созревания заболеваемость одинакова у мальчиков и девочек, однако начиная с юношеского возраста болезнь встречается преимущественно у женщин, среди которых заболеваемость превышает мужскую в 3-6 раз. Отмечается определенная сезонность: зимой и весной число обращений к врачу по этому поводу существенно возрастает из-за снижения иммунитета и увеличения числа инфекционных заболеваний, в том числе стрептококковых инфекций.
Клинические проявления патологии
Характерные симптомы узловой эритемы позволяют специалистам безошибочно распознавать заболевание.

- Острое начало с резким ухудшением состояния, ознобом, признаками лихорадки, слабостью, ухудшением аппетита.
- Появление на коже узловатых высыпаний, причем узлы образуются в нижних, наиболее плотных слоях дермы либо в подкожном слое жировой клетчатки и возвышаются над уровнем кожи. Размеры узлов варьируют от 0,5 до 5 см, вокруг них образуется отек, из-за которого границы узла размываются, отмечаясь лишь изменением цвета гладкой кожи на ярко-розовый или синюшный.
- Быстрое увеличение в размерах узлов, образовавшихся под кожей. Через некоторое время рост прекращается.
- Болезненность узлов – один из характерных симптомов. Она может проявляться спонтанно либо только при нажатии на воспаленный участок кожи.
- Боли и воспаления в суставах – еще один характерный признак. Крупные суставы воспаляются примерно у трети пациентов: появляется отек тканей, локально повышается температура. Артропатия и ощущение скованности характерно для большинства случаев болезни.
- Спустя две-три недели узлы начинают уменьшаться, затем полностью исчезают. На их месте некоторое время остаются пятна с измененным цветом кожи, возможно шелушение кожи. Одновременно разрешается воспаление суставов.
Острая узловатая эритема продолжается около месяца. При отсутствии надлежащего лечения заболевание переходит в хроническую форму с периодическими ремиссиями и обострениями. Рецидивы характеризуются образованием единичных воспаленных узлов, которые сохраняются в течение нескольких месяцев при слабо выраженных либо полностью отсутствующих признаках инфекционной интоксикации.
Диагностические методы
Показатели лабораторных исследований не дают оснований однозначно диагностировать узловую эритему у ребенка или молодого человека. Они направлены, прежде всего, на выявление причин заболевания и сопутствующих ему патологий. Пациенту могут назначить:
- ;
- бакпосев микрофлоры носоглоточной слизи для выявления стрептококков;
- бакпосев кала при подозрении на иерсиниоз;
- туберкулинодиагностику;
- кожные аллергические пробы;
- анализ крови на ревматоидный фактор и консультацию у ревматолога; ткани узлового образования и гистологическое изучение образца для выявления воспалительного процесса в стенках капилляров.
После уточнения этиологического фактора, сопутствующих патологий сосудов либо очагов хронической инфекции пациенту может понадобиться консультация профильного специалиста – инфекциониста, пульмонолога, отоларинголога, флеболога и т. д., а также дополнительные инструментальные исследования.
Терапия воспалительного процесса

Лечение узловой эритемы направлено, в первую очередь, на избавление от очагов хронической инфекции или другой причинной патологии. Оно включает:
- антибиотикотерапию, если воспалительный процесс носит инфекционный характер;
- десенсибилизирующую терапию, если причиной болезни является аллергическая реакция организма;
- прием противовоспалительных препаратов для купирования воспалительного процесса и избавления от болей;
- плазмаферез, криоферез или гемосорбцию для быстрого устранения интоксикации;
- кортикостероидные и противовоспалительные мази на воспаленные суставы и узлы эритемы;
- физиотерапевтическое лечение – УФО, лазеротерапию, фоноворез, магнитотерапию и т. д.
Для пациенток с беременностью клинические рекомендации при узловатой эритеме существенно ограничены, так как многие препараты использовать нежелательно. Ранее это заболевание служило обоснованием для искусственного прерывания беременности, однако в настоящее время доказано, что оно не влияет на развитие плода.
Часто возникающие вопросы
К какому врачу обратиться при узловой эритеме?
Для диагностики и лечения узловой эритемы следует обращаться к дерматологу либо ревматологу. Для прояснения картины заболевания в дальнейшем могут понадобиться консультации других специалистов – пульмонолога, флеболога, инфекциониста, гастроэнтеролога, ЛОР-врача и т. д.
Можно ли лечить узловую эритему народными средствами?
При острой узловой эритеме применение отваров, самодельных мазей и других рецептов народной медицины нежелательно, так как они могут исказить симптоматику и затруднить медикам постановку диагноза. Необходимо как можно скорее посетить врача и начать рекомендованное лечение, чтобы болезнь не перешла в хроническую форму.
Как предупредить развитие узловой эритемы?
К сожалению, не существует четких рекомендаций по профилактике узловой эритемы, которые позволили бы полностью исключить возникновение этого заболевания. Однако уменьшить риск ее развития поможет укрепление иммунитета и своевременное избавление от очагов хронической инфекции в организме.
Узловатая эритема - симптомы и лечение
Что такое узловатая эритема? Причины возникновения, диагностику и методы лечения разберем в статье доктора Загидулины Марии Валерьевны, дерматолога со стажем в 13 лет.
Над статьей доктора Загидулины Марии Валерьевны работали литературный редактор Юлия Липовская , научный редактор Сергей Федосов и шеф-редактор Лада Родчанина
Определение болезни. Причины заболевания
Узловатая эритема — это воспаление подкожно-жировой клетчатки, которое сопровождается появлением болезненных пальпируемых подкожных узелков красного или фиолетового цвета. Чаще всего они появляются на голенях, иногда в других областях.

Это заболевание обусловлено повышенной иммунной реакцией организма на возбудителя [1] [3] . Несмотря на многочисленные исследования данной патологии, причины возникновения узловатой эритемы и механизм её развития изучены недостаточно. Однако существует теория о том, что основной причиной узловатой эритемы могут быть различные инфекционные заболевания.
Таблица 1. Причины узловатой эритемы.
К факторам риска появления узловатой эритемы относятся грибковые заболевания, воспалительные заболевания желудочно-кишечного тракта, нарушения гормонального фона, туберкулёз, приём различных лекарственных средств [2]
Важную роль играют провоцирующие факторы, такие как смена климата, переходное время года, стрессы, перепады температуры (переохлаждение), варикоз нижних конечностей и др. Заболевание имеет сезонность, обычно появляется ранней весной и поздней осенью, что обусловлено частыми простудными заболеваниями, ангинами, снижением иммунитета.
Заболеваемость узловатой эритемой в разных странах может варьировать от 1 до 5 случаев на 100 000 населения в год [12] . Это зависит от распространённости болезней, которые могут вызвать узловатую эритему, в конкретной местности. В основном узловатая эритема выявляется у людей 20-30 лет [2] [12] . Именно в этом возрасте человек впервые встречается со многими инфекциями.
Женщины, которые имеют ген HLA В8, более подвержены возникновению узловатой эритемы, что может подтверждать факт наследственной предрасположенности к данному заболеванию [4] . HLA (Human Leukocyte Antigen — человеческий антиген лейкоцитов) отвечает за распознавание чужеродных клеток и активацию иммунного ответа на них. При запуске этого механизма мы видим клиническую картину воспаления, причиной которого является реакция иммунной системы.
Известно, что HLA В8 располагает к нескольким группам заболеваний, в том числе к узловатой эритеме. И так запрограммировано, что чаще он встречается у женщин [11] . Именно поэтому женщины болеют гораздо чаще, чем мужчины (примерно в 3-6 раз) [12] . Если не брать в расчёт изменение генома, то узловатая эритема встречается пропорционально одинаково у мужчин и женщин, так как стрептококковой инфекции и другим заболеваниям они подвержены одинаково.
Узловатая эритема чаще выявляется у населения Европы, в частности в Скандинавии, при этом у азиатов её диагностируют редко, так как ген HLA B8 у них почти не встречается [11] [13] .
При обнаружении схожих симптомов проконсультируйтесь у врача. Не занимайтесь самолечением - это опасно для вашего здоровья!
Симптомы узловатой эритемы

Узелки могут сливаться между собой, образуя красные уплотнения. В редких случаях они распространяются на кожу бёдер, задней поверхности рук, шеи и даже лица [6] . Узлы прощупываются нечётко, так как вокруг них имеется отёк [7] . По центру узлы имеют возвышение. Как правило, на 3-10 день узлы становятся плотными и болезненными, поэтому их часто принимают за абсцессы. Но уже на 10-14 день они постепенно размягчаются и спадают.
На 10-14 день узлы из красных превращаются в синие или сине-багровые, что визуально напоминает обычный синяк. Вся клиническая картина держится примерно 14-20 дней, после этого кожа на месте узлов и вокруг них начинает шелушиться [9] . Такой симптом довольно характерен для узловатой эритемы, что позволяет диагностировать её и на поздних стадиях. Язв не возникает, что также является диагностически важным признаком при постановке диагноза. Параллельно могут беспокоить боли в суставах и мышцах.
На месте узлов, как правило, ничего не остаётся, они исчезают бесследно. Повторное возникновение узловатой эритемы наблюдается нечасто [6] .
Для детей характерно более лёгкое течение болезни, узлов обычно немного. Боли в суставах бывают редко [7] .
Патогенез узловатой эритемы
Кожа — это показатель здоровья всего организма, поэтому любые изменения должны направлять врача и пациента на поиск их причины.
Узловатая эритема начинается с того, что бактерии, вирусы или другие агенты попадают в организм. Они могут проникнуть извне или из очага инфекции, который находится в организме, например в кишечнике, миндалинах и т. д. В ответ на их внедрение срабатывает иммунная система, начинают вырабатываться антитела — белки, которые связываются с антигенами (возбудителями), маркируют их или нейтрализуют самостоятельно. Комплексы, состоящие из антител и антигенов, называются циркулирующими иммунными комплексами (ЦИК). С током крови ЦИК разносятся по организму и задерживаются в различных органах и тканях. В том числе иммунные комплексы оседают в подкожно-жировой клетчатке, стенках сосудов и вокруг венул, находящихся в соединительнотканных перегородках подкожной клетчатки .

В результате возникает избыточная иммунная реакция местного характера, которая характеризуется воспалением и повреждением тканей. Это приводит к образованию узлов на коже.
Сочетание воспалительного процесса с расширением сосудов обусловливает красное окрашивание узлов в первые дни заболевания, а изменения в подкожно-жировой клетчатке приводит к образованию узлов, которые прощупываются под кожей [4] . По некоторым источникам инфекционные агенты параллельно могут вызывать развитие васкулита (воспаления стенок сосудов), что усугубляет течение узловатой эритемы [5] .
Можно сделать вывод, что большую роль в процессе развития узловатой эритемы играет чрезмерный иммунный ответ организма на внедрение инфекции, вируса или другого возбудителя. Как это происходит, до сих пор до конца не изучено. И почему организм реагирует так бурно, тоже точно неизвестно.
Классификация и стадии развития узловатой эритемы
По возникновению узловатая эритема бывает двух видов::
- Первичная (идиопатическая) — узловатая эритема протекает самостоятельно, без наличия других заболеваний.
- Вторичная — есть основное заболевание, на фоне которого возникла узловатая эритема.
Таблица 2. Узловатая эритема по течению и клиническим проявлениям.
Заболевание проходит три стадии:
Осложнения узловатой эритемы
Осложнения узловатой эритемы напрямую связаны с основным заболеванием. Нужно отметить, что и сама узловатая эритема является следствием запущенного процесса в организме.
Опасность острой узловатой эритемы заключается в её переходе в хроническую форму, так как при рецидивирующем характере заболевания возможно тяжёлое течение.
В единичных случаях осложнением патологии у детей может быть поражения глаз. В основном речь идёт о патологии переднего отрезка глаза: эписклерит (воспаление соединительного слоя между склерой и конъюнктивой), пигментная эпителиопатия (снижение остроты зрения вследствие появления множественных очагов сероватого или беловатого цвета) [9] .

Диагностика узловатой эритемы
Диагностика узловатой эритемы начинается со сбора анамнеза. При этом необходимо учитывать:
- чем болел пациент в последнее время, не было ли заболевания, которое могло спровоцировать узловатую эритему.
- приём лекарственных препаратов;
- наследственность;
- заболевания печени, поджелудочной железы;
- поездки в другие страны, смена климата и т. д.
Минимальный перечень лабораторных исследований:
- Общий анализ крови. Как правило, показывает повышение скорости оседания эритроцитов (СОЭ), что отображает картину воспаления. Лейкоциты чаще остаются в пределах нормы.
- Биохимический анализ крови: печёночные ферменты (АЛТ, АСТ), амилаза, липаза, трипсин, ферритин. Печень является индикатором очищения организма, изменения показателей печени показывают нарушение процессов в организме.
- Иммунологическое обследование:
- С-реактивный белок (СРБ) — белок острой фазы воспаления, повышается при развитии узловатой эритемы и при некоторых других заболеваниях. Одним из первых повышается в крови, говорит об общем процессе воспаления, не является специфичным, а лишь направляет врача в диагностике заболевания.
- Антистрептолизин О (АСЛ-О). Повышение этого показателя говорит о наличии стрептококковой инфекции в организме, в частности гемолитического стрептококка, который вызывает ангины, тонзиллит, фарингит и другие инфекции, которые могут спровоцировать развитие узловатой эритемы. Увеличение АСЛ-О в крови можно увидеть через неделю от начала заболевания (например ангины). Для достоверности анализ сдают двукратно, с интервалом 2-4 недели. Если уровень значительно повышен, это подтверждает причину возникновения узловатой эритемы
Для исключения воспалительного процесса в организме выполняют следующие исследования:
- Внутрикожный туберкулиновый тест. Реакция манту выполняется всем для исключения туберкулёза [7] .

- Рентгенограмма или компьютерная томография органов грудной клетки. Данное обследование зависит от жалоб, от клиники, оснащения больницы др. В некоторых случаях могут провести рентгенограмму, а затем при необходимости компьютерную томографию. В других случаях сразу выполняют КТ внутренних органов для исключения и\или выявления саркоидоза [8] .
- Биопсия узла (редко). Гистологический анализ показывает наличие или отсутствие характерных клеток для узловатой эритемы в материале [7] .
Дифференциальная диагностика проводится со следующими заболеваниями:
- кольцевидная эритема;
- клещевая мигрирующая эритема;
- эритема Базена;
- гранулематозный саркоидоз;
- ревматологические заболевания;
- рожа;
- узелковый полиартериит;
- спонтанный панникулит;
- синдром Свита [7] .
Лечение узловатой эритемы
Как будет проходить лечение, амбулаторно или стационарно, зависит от жалоб пациента, клинической картины и тяжести заболевания.
Показания к госпитализации:
- Неэффективное амбулаторное лечение.
- Ухудшение клинической картины, распространённость кожного процесса, его усиление.
- Наличие основного заболевания, которое обострилось и ухудшает самочувствие пациента [7] .
В остальных случаях лечение и необходимое дообследование проводят в амбулаторных условиях.
Лечение включает в себя:
- Постельный режим. Он необходим, так как долгое хождение или сидение вызывает у пациента выраженную отёчность ног, которая усиливается, при этом нарастает боль в ногах. В связи с этим рекомендуется по возможности держать ноги в приподнятом положении, а при значительном дискомфорте бинтовать их обычными или эластическими бинтами или носить эластические чулки [8] .
- Лекарственная терапия. Обычно проводится симптоматическое лечение, либо лечение, зависящее от основного заболевания, при его выявлении. Может включать:
- Для обезболивания — НПВС (нестероидные противовоспалительные средства).
- Одновременно назначаются сосудистые препараты ( пентоксифиллин ) для улучшения микроциркуляции, что способствует более быстрому разрешению процесса.
- В случаях с выраженным отёчным синдромом к лечению добавляют мочегонные препараты.
- При необходимости назначают антибактериальные, противовирусные препараты [7] .
- В условиях стационара включают инфузионную терапию.
- Назначаются витамины, препараты кальция для поддержания иммунитета и снижения реактивности организма.
- Местно на узлы применяют:
- раствор диметилсульфоксида 33 % (аппликации);
- НПВС мази и гели;
- клобетазола дипропионат 0,05 % (мазь);
- ангиопротекторы для улучшения микроциркуляции ( "Троксевазин") .
- Физиотерапевтические методы : электрофорез, фонофорез с гидрокортизоном 1 % (мазь) на узлы [7] .
При хроническом течении терапия направлена большей частью на лечение основного заболевания. Оно проводится по клиническим общепринятым рекомендациям. Следует разобраться в причине возникновения узловатой эритемы, выявить возбудителя, тогда врач сможет назначить лечение, которое будет направлено на профилактику рецидивов. В следующие 2-3 месяца после окончания терапии пациентам нужно беречь своё здоровье, так как процесс снова может активироваться.
Учитывая инфекционную природу заболевания, важным направлением в исследованиях, посвящённых узловатой эритеме, является разработка различных схем и методов антиинфекционной терапии в комплексном лечении рассматриваемой патологии [10] .
Прогноз. Профилактика
Прогноз для жизни при узловатой эритеме в большинстве случаев благоприятный. Как правило, при остром течении заболевание резко возникает и так же резко исчезает без последствий для организма. Рецидивы заболевания возникают редко. Иногда они наблюдаются при узловатой эритеме, связанной со стрептококковыми или нестрептококковыми инфекциями верхнего респираторного тракта. В некоторых случаях хроническое течение возможно у пациентов с заболеваниями сердечно-сосудистой системы [8] . В этом случае прогноз полностью зависит от особенностей заболевания, сил организма и эффективности лечения.
С целью профилактики узловатой эритемы при возникновении ангин, гайморитов и герпетических инфекций нужно обязательно обращаться к врачу, делать анализы для выявления возбудителя, проходить терапию, специфичную для данного возбудителя. Так можно обезопасить себя от возникновения узловатой эритемы и многих других процессов.
Профилактика рецидивов в первую очередь направлена на полноценное лечение основного заболевания, также важно избегать провоцирующих факторов. После основного лечения следует наблюдаться у дерматолога и необходимых специалистов, продолжать лечение с профилактической целью и проходить полное клиническое обследование до нормализации показателей анализов.
Рекомендуется защищаться от простудных заболеваний, повышать иммунитет, для этого сбалансированно питаться, заниматься физической активностью, особенно в течение года после болезни. При плохом самочувствии или ОРВИ обращаться к своему лечащему врачу для предотвращения рецидива. Врачам следует аккуратно назначать вакцинации и новые лекарственные средства [3] .
Читайте также:
