Вирусная инфекция как причина саркоидоза. Экзогенный аллергический альвеолит
Добавил пользователь Владимир З. Обновлено: 31.10.2025
Альвеолиты на увлажнители и кондиционеры воздуха. Иммунопатогенез экзогенного аллергического альвеолита
Альвеолит описан у служащих, которые работают в помещениях, снабженных системами для увлажнения горячего воздуха. Описаны типичные клинические и рентгенологические признаки и найдены преципитирующие антитела против М. faeni. Посевы из воздушных фильтров дали этот грибок [Banaszak et al., 1970; Fink et al., 1971; Sweet et al., 1971]. Сходный клинический синдром, но пока без рентгенологических легочных инфильтратов описан у типографских рабочих в условиях увлажнения, необходимого для офсетной печати [Pickering et al., 1976]. При заборе проб из водяных баков, через которые проходит увлажняемый воздух, были высеяны обильные культуры грибков и водорослей.
Ввиду сходства гистопатологии в острых и хронических случаях экзогенного аллергического альвеолита, имеющего самые разнообразные причины, можно полагать, что у них общий механизм иммунопатогенеза. Приведем данные, которыми мы располагаем в настоящее время об отдельных примерах этого заболевания, и рассмотрим имеющуюся информацию об этой группе болезней в целом.
Частое наличие сывороточных преципитинов у больных явно указывает на возможную важную роль образования иммунных комплексов в легких. Давно известно, что комплексы с избытком антигена токсичны для тканей [Ishizaka, 1963]. Это мнение поддерживается динамикой развития кожных и бронхиальных реакций в отдаленные сроки, совпадающей с тканевыми реакциями, наблюдаемыми при экспериментальных реакциях Лртюса, которые опосредованы иммунными комплексами, а также наличием периваскулярных отложений IgG и комплемента в кожных бионсийных препаратах, взятых через 4—6 ч после провоцирующего введения антигена.

Ghose и соавт. (1974) обнаружили IgG и комплемент вокруг сосудов у 2 больных; у одного из этих больных биопсия была произведена через 36 ч после введения антигена.
Однако существуют и некоторые доводы против этого предположения.
1. У большого числа здоровых лиц, контактировавших с антигеном, обнаружены преципитины.
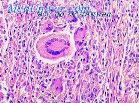
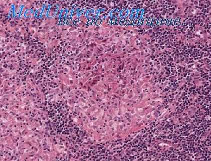
2. В остром периоде выраженным симптомом является образование гранулем, которые отсутствуют при экспериментальных реакциях Артюса.
3. В человеческом биопсийном материале в гранулемах или альвеолярных стенках, которые являются важнейшими участками повреждения тканей с функциональной точки зрения, часто отсутствуют отложения IgG и комплемента.
4. Гистология кожной реакции и большая часть легочного биопсийного материала не типичны для реакции Артюса.
На некоторые из этих доводов можно дать следующие ответы в защиту реакций типа Артюса при экзогенном аллергическом альвеолите:
а) гранулемы наблюдались после инъекции иммунных комплексов при равновесии между антигеном и антителами [Specter, Heesom, 1969];
б) комплексы очень быстро выводятся из легких [Preessman, Eisein, 1950], и если биопсия производится через 2—3 дня после момента последнего контакта, то не приходится удивляться их отсутствию;
в) в отдельных сверхострых случаях можно видеть поражения в легких, весьма сходные с реакцией Артюса;
г) у экспериментальных животных обнаружены поражения легких, сходные с сверхострым процессом у человека.
- Вернуться в оглавление раздела "Пульмонология."
Информация на сайте подлежит консультации лечащим врачом и не заменяет очной консультации с ним.
См. подробнее в пользовательском соглашении.
Вирусная инфекция как причина саркоидоза. Экзогенный аллергический альвеолит
Патогенез саркоидоза. Механизмы развития саркоидоза
Данные о патогенезе саркоидоза несопоставимы из-за многочисленных различий методик, поэтому их трудно трактовать. Среди этих различий можно упомянуть выбор антигенов (включая различные «партии» материала Квейма) и разные интерпретации гистологии, использование туберкулина и других антигенов для тестов ПЧЗТ различной крепости, разные стадии активности изучаемых клинических синдромов и разные реакции, наблюдаемые у представителей различных рас в разных странах мира. Это отсутствие единообразия в методах накопления данных необходимо помнить при попытках сформулировать единые гипотезы. Несмотря на возникающие трудности, некоторые предположения стоит упомянуть, хотя бы даже в качестве ориентировочных.
Как можно согласовать усиленные гуморальные ответы и ослабленную реакцию Т-клеток с гистопатологией гранулем, которые являются характерным признаком саркоидоза? Turk (1971) провел интересную аналогию между лепроматозной и туберкулоидной лепрой, с одной стороны, и саркоидозом по сравнению с ареактивным и типичным туберкулезом — с другой. При лепроматозной лепре эпителиоидных, гигантских клеток мало, количество лимфоцитов скудное, но в тканях можно нередко обнаружить множество микроорганизмов. Кожная проба на лепромин отрицательная. При туберкулоидной лепре образуются четко очерченные гранулемы с эпителиоидными, гигантскими клетками и имеются многочисленные лимфоциты; микроорганизмов мало, проба с лепромином положительная. Таким образом, видимо, один и тот же возбудитель (М. leprae) может вызвать совершенно различные типы реакций в тканях в зависимости от реактивности организма вообще и переработки антигена макрофагами в частности.
При типичном туберкулезе можно видеть гигантоклеточные гранулемы с эпителиоидиой деструкцией (казеозным очагом) и многочисленными лимфоцитами, а также циркулирующие антитела против М. tuberculosis, положительную туберкулиновую реакцию. Количество микроорганизмов различно. При «ареактивпом» туберкулезе гистологические признаки выражены мало, в частности, лимфоцитов мало и имеется очень много микобактерий. Таким образом, возникает аналогия между лепрой и ареактивным туберкулезом.
Саркоидоз, видимо, занимает промежуточное положение с ясно выраженным образованием гранулем, но ареактивностью организма, например, отрицательными реакциями ПЧЗТ при кожных пробах. Иногда саркоидозом заболевают лица, страдавшие ранее активным туберкулезом [Scadding, 1967]. Такое сочетание может быть случайным, но может также объясняться изменением тканевых реакций, т. е. переходом от казеозных к неказеозным гранулемам, соответствующей переменой статуса в отношении ПЧЗТ, видимо, вследствие каких-либо предполагаемых изменений в организме. Таким образом, иммунологические характеристики более похожи на лепроматозную лепру или «ареактивный» туберкулез, по гистология больше напоминает туберкулоидную лепру. Однако в этом равенстве, видимо, отсутствует какое-то звено, и можно лишь удивляться тому, что роль и функциональная активность макрофагов при саркоидозе не привлекают к себе большого внимания. Любая гипотеза о саркоидозе должна учитывать следующие наблюдения:
1. Активность Т-клеток или их субпопуляций снижена в то время, когда проявляются клинические нарушения.
2. Гуморальные ответы на ряд антигенов усилены.
3. Гомогенаты саркоидного материала (обычно из консервированной селезенки), введенные до или после облучения и автоклавирования, вызывают образование местной гранулемы у больных саркоидозом, по редко провоцируют это у здоровых людей.

4. Гомогеиаты свежего (неконсервироваиного) саркоидного материала при введении мышам в ряде случаев вызывают местные и диссеминированные гранулемы саркоидного типа.
Однако облученный и автоклавированный саркоидный материал дает отрицательный результат.
5. У мышей с таким экспериментальным саркоидозом появляются местные гранулемы при введении им материала Квейма спустя несколько месяцев.
6. Гомогенаты гранулем, индуцированных свежим саркоидным материалом у мышей, вызывают аналогичные местные и диссеминированные гранулемы у других животных (эксперименты с пассивным переносом).
7. В настоящее время из гранулем животных были выделены микобактерии,. тогда как их не удалось найти в первоначальном свежем саркоидном материале, взятом для прививок. Эти экспериментальные данные требуют проверки.
На основании этих наблюдений можно полагать, что развитие экспериментального саркоидоза зависит от введения живого саркоидного материала, но реакция Квейма (индукция только местных гранулем) может быть вызвана неживым саркоидным материалом у больного, уже страдающего саркоидозом.
Hanngren и соавт. (1974) предположили, что феномен саркоидоза можно было бы объяснить, если бы угнетение Т-клеток индуцировалось вирусной инфекцией или, быть может, иммунным комплексом, который «ослеплял» бы Т-клетки, что приводило бы к неадекватной активации макрофагов, перерабатывающих микобактерии и, возможно, другие антигены. Недавно было высказано предположение, что протопласты микобактерии (L-формы) могут сохраняться в макрофагах вследствие неполного переваривания, и были опубликованы данные, подтверждающие правильность этого мнения [Mitchell et al., 1976; Mitchell, 1976]. Если эти результаты удастся подтвердить, то они будут поддерживать гипотезу о том, что живые микобактерии в виде протопластов представляют собой один из живых возбудителей саркоидоза, ответственных за возможность передачи его со свежим саркоидным материалом. Далее, возможно, что какая-то фракция микроорганизма вместе с компонентом реципиента или без него (возможно, самих макрофагов) индуцирует скопление макрофагов у индивида, у которого уже нарушена переработка макрофагами материалов данного типа.
Автор чувствует некоторую робость, публикуя эту схему. Он полагает, что ее можно привести для гого, чтобы создать какую-то опору для неспециалиста в этой крайне трудной и увлекательной области. Вероятно, эта схема нe может адекватно объяснить большое количество активированных Т-клеток в легких, которые совсем недавно обнаружили Crystal и сотр.
Экзогенный аллергический альвеолит
Экзогенный аллергический альвеолит, или экзогенный аллергический бронхиолоальвеолит, — это клинический синдром, вызываемый различными вдыхаемыми органическими материалами, в частности продуктами грибков и белками животного происхождения. Он характеризуется наличием специфических преципитирующих антител, образованием гранулем в острой стадии и рестриктивным дефектом вентиляции. Это заболевание описано во всех странах мира [Rankin et al., 1967; Molina, 1976].
Термин «экзогенный аллергический альвеолит» предложил Pepys (1967), по ввиду частого вовлечения малых дыхательных путей, строго говоря, более правилен термин «бронхиолоальвеолит» [Seal., 1975].

Постоянно растет количество вдыхаемых агентов, роль которых была установлена. Многие из них представляют собой растительный материал с примесью сапрофитных грибков, включая термофильные актиномицеты (Micropolyspora faoni, Thermopolysроrа vulgaris, Thermopolispora sacchari), виды Aspergillus, различные пенициллины, виды Graphium и Cryptostroma corticale. Другие агенты связаны с гетерологичным птичьим белком, который часто, но не всегда вдыхается вместе с какими-либо частицами, например в птичьем помете, и другими белками млекопитающих.
Во всех перечисленных примерах были описаны клинические признаки экзогенного аллергического альвеолита в острой или хронической форме, связанные с вдыханием определенного неочищенного материала. Лишь в отдельных случаях найден специфический агент, и даже при этом но всегда удавалось получить полностью данные, указывающие на иммунологические механизмы, т. е. специфические антитела или сенсибилизированные лимфоциты, или воспроизвести симптомы при провокационных бронхиальных тестах у человека. Следовательно, надо помнить о том, что иммунологические данные не совсем полны. Прежде чем признать преципитины за доказательство специфической сенсибилизации, необходимо учесть источники ошибок при интерпретации реакции преципитации. Некоторые из этих трудностей упоминает Pepys (1971). Возможна неиммунная преципитация между полисахаридными компонентами, присутствующими во многих бактериях, грибках, гельминтах и пыли растительного происхождения, и С-реактивным белком в сыворотке, который образуется в качестве неспецифического продукта многих форм воспаления [Longbottom, Pepys, 1964].
У здоровых людей, имеющих контакт с данным антигеном, могут образоваться иммунологические специфические преципитины. Они были обнаружены у здоровых птицеводов с частотой до 50% [Elman et al., 1968]. Следовательно, наличие их не всегда имеет клиническое значение. В некоторых других случаях преципитины могут присутствовать у всех представителей населения данного жилого объекта и, таким образом, они не могут служить показателем специфического контакта или болезни. Например, антитела против тейхоевой кислоты имеются примерно у 70% здоровых взрослых людей вследствие прежнего контакта с золотистым стафилококком.
Этот антиген содержится также в ряде видов органической пыли, например: в птичьем помете, заплесневелом сене, пыли кофейных бобов и в отжатом сахарном тростнике [Faux et al., 1970]. После прекращения контакта преципитины исчезают довольно быстро. Таким образом, при хронической болезни с остаточными необратимыми поражениями легких сыворотка может быть отрицательна. Напротив, если исследовать кровь вскоре после кожных проб с некоторыми антигенами или бронхиальных провокационных тестов, можно получить ложноположительные сывороточные реакции.
Аллергический альвеолит
Аллергический альвеолит – это иммунологически опосредованная воспалительная реакция респираторных бронхиол и альвеол, развивающаяся в ответ на поступление ингаляционных аллергенов. Симптоматика характеризуется преимущественно инспираторной одышкой, кашлем, болью в грудной клетке, при остром течении - гриппоподобным состоянием. Диагностика аллергического альвеолита основывается на результатах спирометрии, рентгенографии и КТ грудной клетки, исследования бронхоальвеолярного лаважа, биоптата легочной ткани, уровня антител в сыворотке крови. Терапия аллергического альвеолита начинается с элиминации аллергена, возможно назначение глюкокортикостероидов.
МКБ-10
Общие сведения
Экзогенный аллергический альвеолит (пневмонит гиперчувствительности) – это интерстициальное заболевание легких с локализацией воспалительного процесса в терминальных отделах дыхательных путей (альвеолах, бронхиолах), возникающее в результате воздействия внешних средовых факторов. В практической пульмонологии рассматриваются различные формы аллергического альвеолита, относящиеся к профпатологии, а также не имеющие связи с профессиональной деятельностью. Первые случаи заболевания были описаны в 1932 г. среди фермеров («легкое фермера»), второй по частоте и значимости формой является «легкое любителей птиц», встречающееся у заводчиков голубей. Общая частота заболеваемости среди населения составляет 42:100000. Своевременная терапия пневмонита гиперчувствительности позволяет предотвратить развитие фиброза легких.
Причины
Во всех случаях причиной аллергического альвеолита выступают ингаляционные аллергены, попадающие в организм вместе с вдыхаемым воздухом. При этом для возникновения заболевания наибольшее значение имеют такие факторы, как размер и концентрация вдыхаемых частиц, особенности антигенов и иммунного ответа пациента. Известно, что при наличии в воздухе высокой концентрации органических или химических веществ экзогенный аллергический альвеолит развивается примерно у 5-15 % лиц. Также установлено, что частицы пыли диаметром до 5 мкм способны беспрепятственно проникать в альвеолы и вызывать сенсибилизацию. В патогенезе аллергического альвеолита большую роль играет повторная ингаляция антигенов.
Чаще всего аллергенами выступают споры грибов, содержащиеся в сене, компосте, древесной коре и др. Также доказана этиологическая роль антигенов растительной и домашней пыли, белковых антигенов, бактериальных спор, медикаментов (нитрофуранов, пенициллина, солей золота). Среди грибковых антигенов наиболее распространены лучистые грибки - термофильные актиномицеты и аспергиллы. Первые из них ассоциированы с такими формами аллергического альвеолита, как «легкое фермера», багассоз, «легкое лиц, пользующихся кондиционерами», «легкое лиц, выращивающих грибы». Различные подвиды Aspergillus способны вызывать «солодовое легкое», «легкое сыровара», субероз и др.
Белковые антигены обычно содержатся в экскрементах птиц (попугаев, голубей, канареек и др.) и связаны с формой пневмонита «легкое любителей птиц». Профессиональные формы аллергического альвеолита могут возникать у лиц, по роду своей деятельности связанных с производством полиуретана, красителей и смол, контактирующих с парами металлов (кобальта), занятых в деревообрабатывающей и шерстеперерабатывающей промышленности.
Патогенез
Аллергический альвеолит - иммунопатологическое заболевание. В развитии аллергического альвеолита основополагающую роль играют реакции гиперчувствительности III и IV типа. В этом случае в ответ на повторный контакт с ингаляционным аллергеном в крови появляются специфические преципитирующие антитела и ЦИК, возникает инфильтрация альвеол лимфоцитами, нейтрофилами, моноцитами с развитием гранулематозного воспаления. Результатом длительного контактирования с причинно значимым аллергеном становится интенсивный синтез коллагена с исходом в легочный фиброз или облитерирующий бронхиолит.
Классификация
С учетом причинных факторов аллергического альвеолита и источника, содержащего антигены, различают следующие синдромы:
- «легкое фермера» - развивается при контакте с заплесневелым сеном, содержащим термофильные актинимицеты
- «легкое любителей птиц» - встречается у птицеводов и лиц, ухаживающих за птицей; источником антигенов служит птичий помет, пух, секреты кожных желез и др.
- багассоз - развивается при контакте с микроволокнами сахарного тростника
- субероз – источником антигена (плесневого гриба) выступает кора пробкового дерева
- «солодовое легкое» - развивается у лиц, контактирующих с ячменной пылью
- «легкое лиц, использующих кондиционеры» - возникает при частом использовании кондиционеров, обогревателей и увлажнителей воздуха
- «легкое сыровара» - источником антигена выступает сырная плесень
- «легкое грибников» - развивается у лиц, выращивающих грибы; возбудители – споры грибков, содержащиеся в компосте
- прочие профессиональные аллергические альвеолиты: «легкое производящих детергенты», «легкое лабораторных работников», «легкое занятых в производстве пластмасс» и др.
Течение аллергического альвеолита может быть острым, подострым или хроническим, что находит соответствующее отражение в клинической картине. Острая форма развивается уже через 4-12 часов после контакта с массивной дозой антигенов; хроническая – при длительном ингалировании невысокой дозы антигенов; подострая – при меньшей экспозиции антигенов.
Симптомы аллергического альвеолита
Клиника острой формы болезни сопровождается гриппоподобными симптомами: лихорадкой, миалгией и артралгией, головной болью. Спустя несколько часов после подъема температуры присоединяются тяжесть и боль в грудной клетке, кашель со скудной слизистой мокротой, одышка. При исключении контакта с причинно значимым аллергеном все симптомы исчезают в течение 1-3-х суток, однако могут возвращаться снова после повторного ингалирования антигена. Общая слабость и одышка, связанная с физическими нагрузками, сохраняются еще на протяжении нескольких недель.
Подострая форма аллергического альвеолита, как правило, обусловлена не профессиональными вредностями, а воздействием антигенов в домашних условиях. В дебюте заболевания может отмечаться лихорадка, однако чаще симптоматика ограничивается одышкой при физическом напряжении, продуктивным кашлем, повышенной утомляемостью. Хронический аллергический альвеолит может развиваться, как в исходе повторных эпизодов острого или подострого процесса, так и сразу самостоятельно. Течение данной формы характеризуется прогрессирующей инспираторной одышкой, постоянным кашлем, недомоганием, снижением массы тела.
Осложнения
Появление симптома «барабанных палочек» - утолщения фаланг пальцев рук указывает на дыхательную недостаточность и служит неблагоприятным прогностическим признаком. Закономерным исходом хронической формы аллергического альвеолита служит развитие интерстициального фиброза, легочной гипертензии, легочного сердца, правожелудочковой сердечной недостаточности. У большей части больных через 10 и более лет формируется хронический бронхит, а у четверти диагностируется эмфизема легких.
Диагностика
На первичной консультации врача-пульмонолога изучается анамнез, в т. ч. профессиональный, связь проявлений заболевания с условиями окружающей среды. Объективно при аллергическом альвеолите выявляется тахипноэ, цианоз, аускультативно - крепитация, особенно в базальных отделах легких, иногда свистящие хрипы. Пациент с аллергическим альвеолитом также должен быть проконсультирован аллергологом-иммунологом.
При остром пневмоните рентгенография легких позволяет обнаружить мелкоузловую или диффузную инфильтрацию; по данным спирометрии выявляется снижение ЖЕЛ и нарушение газообмена. При хронической форме рентгенологическая картина указывает на развитие пневмосклероза или «сотового легкого», а исследование функции внешнего дыхания – на наличие обструктивных и рестриктивных нарушений. КТ легких является более чувствительным методом в плане раннего выявления изменений в легочной ткани.
Лабораторные данные при аллергическом альвеолите характеризуются повышением уровней IgG и IgM, иногда IgA, ревматоидного фактора. Наибольшее диагностическое значение имеет обнаружение преципитирующих антител к предполагаемому антигену. В бронхоальвеолярных смывах, полученных с помощью бронхоскопии, преобладают лимфоциты (Т-клетки), повышено содержание тучных клеток. Могут использоваться провокационные ингаляционные тесты, в ответ на которые у больных аллергическим альвеолитом через несколько часов развивается специфический ответ (слабость, диспноэ, повышение температуры, бронхоспастическая реакция и др.).
Из-за быстрого разрешения симптоматики острый аллергический альвеолит диагностируется редко или расценивается как ОРВИ. При более длительном или рецидивирующем течении часто ошибочно может диагностироваться бронхиальная астма, атипичная пневмония (вирусная, микоплазменная), пневмокониозы, милиарный туберкулез, аспергиллез, саркоидоз, идиопатический фиброзирующий альвеолит, другие интерстициальные болезни легких. С целью дифференциальной диагностики возможно проведение биопсии легочной ткани с гистологическим исследованием.
Лечение аллергического альвеолита
Ключевым моментом терапии патологии является устранение контакта с причинно значимым антигеном. При легких формах заболевания этого бывает достаточно для стихания всех признаков альвеолита, поэтому в медикаментозном лечении нет необходимости. При тяжелом течении острого пневмонита или прогрессировании хронической формы показано назначение глюкокортикостероидов (преднизолона). У больных с резистентными к кортикостероидам формами заболевания получены положительные отклики на назначение Д-пеницилламина и колхицина. Симптоматическая терапия аллергического альвеолита проводится с помощью ингаляционных бронходилататоров, бронхолитиков, кислородотерапии.
Прогноз и профилактика
Благоприятный исход может быть достигнут только при условии своевременной элиминации аллергена, при необходимости – активного лечения аллергического альвеолита. В случае рецидива пневмонита гиперчувствительности, развития сердечно-легочной недостаточности прогноз относительно неблагоприятный. Первичная профилактика заключается в устранении вредных профессиональных и бытовых факторов (соблюдение гигиены труда, использование защитной одежды, проветривание производственных помещений, уход за кондиционерами и пр.), проведении периодических медицинских осмотров лиц, имеющих повышенный риск развития аллергического альвеолита. К мерам вторичной профилактики относится прекращение контакта с аллергеном, при необходимости – смена профессиональной деятельности.
2. Экзогенные аллергические альвеолиты: современные подходы к диагностике и терапии/ Терехова Е.П.//Эффективная фармакотерапия. - 2013 - 39.
3. Экзогенный аллергический альвеолит/ Авдеева О.Е., Авдеев С.Н., Чучалин А.Г // Русский медицинский журнал. - 1997 - Т. 5. - N 17.
4. Экзогенные аллергические альвеолиты/ Шмелев Е.И.// Атмосфера. Пульмонология и аллергология. - 2003 - N 4.
Фиброзирующий альвеолит ( Идиопатический легочный фиброз , Синдром Хаммена-Рича )
Фиброзирующий альвеолит – это патологический процесс, в основе которого лежит обширное поражение интерстициальной ткани легких, приводящее к развитию фиброзных изменений и дыхательной недостаточности. Прогрессирование фиброзирующего альвеолита сопровождается неуклонным нарастанием слабости, похудания, одышки, малопродуктивного кашля, болей в грудной клетке, цианоза. Диагностика основывается на данных рентгенографии и компьютерной томографии легких, спирометрии, биопсии легких. Лечение фиброзирующего альвеолита включает противовоспалительную и иммуносупрессивную терапию, оксигенотерапию; по показаниям – трансплантацию легких.
Альвеолит фиброзирующий идиопатический (синонимы: фиброз легочный идиопатический, синдром Хаммена-Рича) – прогрессирующее диффузное двухстороннее поражение альвеол и интерстициальной легочной ткани, сопровождающееся развитием диффузного фиброза и нарастающей дыхательной недостаточности. Фиброзирующий альвеолит имеет исключительно легочную локализацию, плохо поддается терапии, часто оканчивается летальным исходом.
Фиброзирующий альвеолит – относительно редкое заболевание неясной этиологии, однако имеет тенденцию к возрастанию. Фиброзирующий альвеолит чаще поражает мужчин старше 50 лет (20 случаев из 100 тыс.), чем женщин (13 случаев из 100 тыс.). Летальность при фиброзирующем альвеолите достигает 3,3 случая на 100 тыс. населения.
Причины возникновения фиброзирующего альвеолита неясны. Существуют предположения об аутоиммунном характере заболевания, вирусной природе (герпесвирус, вирус гепатита С, аденовирусы, цитомегаловирус), наследственной предрасположенности.
В распространённости фиброзирующего альвеолита имеют значение профессиональные, экологические, бытовые и географические факторы. Так, замечено, что развитию идиопатического фиброзирующего альвеолита в наибольшей степени подвержены фермеры, разводящие птиц, рабочие, контактирующие с древесной, асбестовой, металлической и силикатной пылью, курящие пациенты.
Воспалительные явления в альвеолах вызывают необратимое утолщение их стенок и снижение проницаемости для газообмена. Развитие идиопатического фиброзирующего альвеолита характеризуется тремя взаимосвязанными процессами: интерстициальным отеком, интерстициальным воспалением (альвеолитом) и интерстициальным фиброзом.
В острой стадии интерстициального отека происходит поражение альвеолярных капилляров и эпителия, их отек и формирование гиалиново-мембранных комплексов, препятствующих расширению альвеолярной ткани при дыхании. На этой стадии возможен регресс процесса либо развитие интерстициальной пневмонии. Хроническая стадия интерстициального воспаления характеризуется дальнейшим прогрессированием процесса, отложением в альвеолах коллагена и развитием распространенного фиброза с обширным повреждение легочной ткани.
В терминальной стадии интерстициального фиброза происходит полное замещение капиллярной сети и альвеолярной ткани фиброзной с формированием полостных расширений. Ткань легкого напоминает по внешнему виду пчелиные соты. Необратимые изменения в альвеолярно-капилярной системе легких при фиброзирующем альвеолите приводят к рестриктивным изменениям, расстройству газообмена, прогрессированию дыхательной недостаточности и к гибели пациента.
В клинической пульмонологии выделяют 3 формы фиброзирующих альвеолитов:
- Альвеолиты фиброзирующие идиопатические. Включают следующие морфологические формы: обычную интерстициальную пневмонию, десквамативную интерстициальную пневмонию, острую интерстициальную пневмонию и неспецифическую интерстициальную пневмонию.
- Альвеолиты экзогенные аллергические.К альвеолитам экзогенным аллергическим относятся заболевания, вызываемые продолжительным и интенсивным вдыханием пыли, содержащей животные и растительные белки или неорганические поллютанты, и сопровождающиеся диффузным аллергическим поражением интерстициальных и альвеолярных легочных структур (синдромы «легкое фермера», «легкое птицевода», «легкое сыровара», «легкое рабочего» и т. д.).
- Альвеолиты фиброзирующие токсические. Альвеолиты фиброзирующие токсические включают заболевания легких, возникающие в результате токсического воздействия производственных, химических веществ и лекарственных химиопрепаратов. По течению различаю острые, подострые и хронические фиброзирующие альвеолиты.
Симптомы фиброзирующего альвеолита
Развитие заболевания постепенное с развитием необратимых изменений в альвеолах и неуклонным нарастанием одышки. Длительное время пациенты не придают этому значения и не обращаются к врачу, объясняя изменения в своем самочувствии усталостью на работе, прекращением спортивных занятий, набором веса и т. д. Обычно от начала первых симптомов фиброзирующего альвеолита до обращения в медицинское учреждение проходит от 3 месяцев до 1-3 лет.
Ведущими жалобами при фиброзирующем альвеолите служат выраженная одышка при минимальных физических нагрузках и малопродуктивный кашель. Пациентов беспокоят боли в грудной клетке (под лопатками), препятствующие глубокому вдоху, похудание, слабость, мышечные и суставные боли, повышенная температура тела. У половины пациентов с фиброзирующим альвеолитом ногтевые фаланги приобретают характерный вид «барабанных палочек» с «часовыми стеклами». Цианоз и одышка резистентны к проводимой терапии. В дальнейшем происходит нарастание гипоксемии, легочной гипертензии и правожелудочковой недостаточности.
В терминальной стадии фиброзирующего альвеолита усиливаются признаки дыхательной недостаточности и развития легочного сердца: серо-пепельный диффузный цианоз, набухание вен шеи, отеки, развитие кахексии. Течение фиброзирующего альвеолита вызывает прогрессирующую дыхательную недостаточность, развитие легочного сердца, может осложниться отеком легких.
При фиброзирующем альвеолите в легких выслушивается жесткое дыхание, крепитация (симптом "треска целлофана") и сухие хрипы; перкуторный звук укорочен. Изменения со стороны сердца характеризуются тахикардией и приглушенностью тонов. Этапы диагностики:
- Рентгенография. При рентгенографии легких картине идеопатического фиброзирующего альвеолита соответствуют мелкоочаговые диффузные двусторонние изменения в легких, более выраженные в нижних отделах, эмфизема легких. Поздней стадии фиброзирующего альвеолита соответствуют вторично-кистозные изменения в легких («сотовое лёгкое»). Динамическая рентгенография позволяет получить информацию о необратимости изменений, характерных для фиброзирующего альвеолита.
- Компьютерная томография. Позволяет выявить изменения в легких на ранних стадиях. Характерным признаком фиброзирующего альвеолита является определение симптома «матового стекла» - нежного гомогенного затемнения легочных полей. По данным КТ легких возможно определить участок видоизмененной ткани для взятия биопсии легких.
- Функциональная диагностика. Показатели функции внешнего дыхания (спирометрия, пикфлоуметрия) при фиброзирующем альвеолите свидетельствуют о вентиляционных нарушениях и снижении диффузной способности легких. На ЭКГ – признаки гипертрофии и перегрузки правых отделов сердца.
- Анализы крови. Лабораторные показатели крови характеризуются лейкоцитозом и ускорением СОЭ, повышением гемоглобина и гематокрита; повышением уровня фибрина, сиаловых кислот, иммуноглобулинов, определением ревматоидного фактора.
- Бронхоскопия. При фиброзирующем альвеолите проводится с целью дифференциальной диагностики с инфекционными или опухолевыми процессами в лёгких. В полученной при бронхоскопии лаважной жидкости определяется увеличение общего белка, иммуноглобулинов, макрофагов с цитоплазматическими включениями, нейтрофилов.
Проведение открытой биопсии легких при фиброзирующем альвеолите позволяет определить стадию болезни, выбор соответствующего лечения, развитие заболевания. При гистологическом исследовании выделяют пять степеней изменений:
- 1 степень – инфильтрация и утолщение альвеолярных перегородок;
- 2 степень – заполнение просветов альвеол экссудатом и клеточным составом;
- 3 степень – деструкция альвеол;
- 4 степень – полное изменение структуры легочной ткани;
- 5 степень - образование кистозно-измененных полостей.
Дифференциальная диагностика
Фиброзирующий альвеолит следует дифференцировать с пневмонией, гранулематозом, саркоидозом, диссеминированным туберкулезом, бронхиолоальвеолярным раком, пневмокониозом, диффузным амилоидозом и др.
Выработаны большие и малые критерии диагностики фиброзирующего альвеолита. С наибольшей вероятностью фиброзирующий альвеолит может быть диагностирован при определении 4-х больших и 3-х малых критериев. Большими критериями верификации идеопатического фиброзирующего альвеолита служат:
- исключение другой интерстициальной патологии легких, в т. ч. токсических и аллергических фиброзирующих альвеолитов, системных заболеваний соединительной ткани;
- характерные нарушения функции внешнего дыхания
- наличие двусторонних изменений в нижних отделах легких (симптомы «матового стекла» и «сотового легкого»);
- гистологическое исключение другой легочной патологии.
К малым критериям идеопатического фиброзирующего альвеолита относятся:
- возраст пациента старше 50 лет;
- постепенное незаметное нарастание одышки при физических нагрузках;
- продолжительность заболевания свыше 3 месяцев;
- крепитация (потрескивание) при дыхании в нижних отделах легких.
Лечение фиброзирующего альвеолита
Немедикаментозная терапия
Целью проводимого врачом-пульмонологом лечения является облегчение течения заболевания, замедление прогрессирования фиброза легочной ткани, качественное улучшение жизни пациента. К немедикаментозному лечению фиброзирующего альвеолита относятся специальные реабилитационные программы, включающие физические тренировки, психологическую поддержку пациентов. Выраженным терапевтическим эффектом обладает кислородная терапия, уменьшающая одышку и повышающая выносливость физических нагрузок у пациентов с фиброзирующим альвеолитом.
Фармакотерапия
Для достижения состояния ремиссии в медикаментозную терапию фиброзирующего альвеолита включают противовоспалительные (глюкокортикостероиды) и антифиброзные (пеницилламин, колхицин) препараты, иммунодепрессанты (азатиоприн), а также их комбинацию. Одновременно назначаются верошпирон, препараты калия, пиридоксин, бронхолитики. Медикаментозная терапия дает эффект лишь в случаях отсутствия выраженного пневмофиброза. С целью предупреждения вирусных инфекций всем пациентам с фиброзирующим альвеолитом показана противогриппозная и антипневмококковая вакцинация.
Радикальное лечение фиброзирующего альвеолита предусматривает трансплантацию легких, дающую высокий процент 5-летней выживаемости – до 50-60%. Показаниями к пересадке легких служат выраженные гипоксемия, диспноэ, снижение ЖЕЛ ниже 70%, снижение диффузной способности легких.
В течении идиопатического фиброзирующего альвеолита после проведения лекарственной терапии наблюдаются периоды ремиссии, однако заболевание все равно постепенно прогрессирует. Средний процент выживаемости при диагностике нелеченных фиброзирующих альвеолитов составляет 3-4 года. Более благоприятным течением отличаются аллергические и токсические альвеолиты, которые при устранении провоцирующего фактора на ранних стадиях могут регрессировать.
Меры профилактики идиопатического фиброзирующего альвеолита включают предупреждение инфекций, исключении вредных профессиональных, экологических и бытовых факторов. Пациенты с фиброзирующим альвеолитом должны находиться на диспансерном учете у пульмонолога, аллерголога и врача-профпатолога.
Читайте также:
