Ишемия тонкой кишки - диагностика
Добавил пользователь Евгений Кузнецов Обновлено: 31.10.2025
Советы при ишемии кишечника (нарушении кровоснабжения, мезентериальном тромбозе)
1. Откуда к кишечнику поступает артериальная кровь?
Передняя кишка (proenteron) (желудок и двенадцатиперстная кишка) получает кровь от чревного ствола; средняя кишка (mesenteron) (от тощей до проксимальной части нисходящей ободочной кишки) — от верхней брыжеечной артерии (ВБА), а задняя кишка (metenteron) (оставшаяся часть кишки, расположенная интраперитонеально) — от нижней брыжеечной артерии (НБА).
2. Какие основные коллатерали могут развиться в ответ на постепенную окклюзию одного или более из этих сосудов?
Краевая артерия Драммонда (Drummond) также состоит из ветвей ВБА и НБА, однако расположена ближе к периферии и обычно обнаруживается в брыжейке рядом с селезеночным изгибом (точка Гриффита (Griffith)).
3. Назовите "артериальные причины" острой ишемии кишечника.
Нарушение кровотока по одному или нескольким основным кишечным сосудам может наступить вследствие тромботической окклюзии на фоне атеросклероза; эмболии, наиболее часто из сердца; сдавления извне, например, при грыже со странгуляцией или синдроме сдавления чревного ствола.
Мезентериальную ишемию без окклюзии наблюдают в 20-30% случаев острой ишемии; наиболее частой причиной является спазм артерии. Артериальный спазм обычно является парадоксальным следствием системной гипоперфузии. Этот механизм (снижение кровотока во внутренних органах при шоке) направлен на сохранение сердечного и мозгового кровотока.
4. Назовите возможные "неартериальные причины" острой ишемии кишечника.
При растяжении кишечной стенки в определенный момент вследствие вторичных механических или идиопатических (синдром Огилви (Ogilvie)) причин давление в просвете кишки превышает давление наполнения капилляров, что ведет к ишемическому колиту. Мезентериальный венозный тромбоз, нарушая адекватный отток венозной крови, может ограничивать поступление артериальной крови и способствовать застою крови. Вероятность мезентериального венозного тромбоза выше всего при состояниях, сопровождающихся гиперкоагуляцией, таких как истинная полицитемия.

5. Ведет ли острая окклюзия основного ствола артерии к инфаркту кишки? Вероятность эмболии какого сосуда является наибольшей?
Да. Внезапная окклюзия ВБА эмболом — наиболее частая причина острой ишемии кишечника и может привести к инфаркту средней кишки из-за отсутствия хорошо развитых коллатералей. Эмболы наиболее часто поражают ВБА, в основном потому, что она отходит от аорты под более острым углом, чем чревный ствол, НБА и почечные артерии.
6. Какая триада признаков характерна для острой ишемии кишечника, вызванной эмболией?
Внезапное начало с (1) острой болью в животе; (2) опорожнением кишечника (рвота или диарея); (3) заболевание сердца в анамнезе (артериальная эмболия). Дополнительным признаком является несоответствие интенсивности боли объективным данным, поскольку в начале болезни симптомы перитонита (например, напряжение мышц) отсутствуют. Если больного не лечить, то, в конце концов, развивается и перитонит.
7. Какие лабораторные данные помогают в диагностике острой ишемии кишечника? Может, наличие ацидоза?
Никакие. Ацидоз обнаруживают па поздней стадии менее чем у 25% больных, однако его наличие является плохим прогностическим признаком. Хотя у большинства больных имеется лейкоцитоз, лабораторных изменений, специфических для острой ишемии кишечника, пет. Диагностика основывается только на клинической настороженности.
8. Какое исследование позволяет установить диагноз при подозрении на острую ишемию кишечника?
Экстренная артериография. Важно получить как переднезадние, так и боковые снимки аорты, чтобы увидеть висцеральные сосуды.
9. Как диагностировать и лечить мезентериальную ишемию без окклюзии?
Ангиография позволяет установить наличие спазма сосуда при отсутствии органической окклюзии. Наиболее часто поражается правая половина ободочной кишки, где обычно хуже коллатеральный кровоток. У больных с системной гипоперфузией спазм связан и может усиливаться приемом дигиталиса. В тяжелых случаях с полиорганной недостаточностью смертность достигает 70%. Лечение состоит в введении сосудорасширяющих средств (папаверин) по ангиографическому катетеру, однако оно часто не эффективно.
Интересно, что происходит снижение заболеваемости, как принято считать, вследствие широкого использования блокаторов кальциевых каналов и нитратов.

10. Что является основной причиной хронической мезентериальной ишемии?
Атеросклероз. Обычно при атеросклерозе страдает кровоток в двух и более основных артериях. Инфаркт кишки может быть предотвращен благодаря развитию коллатералей.
11. Как клинически проявляется хроническая мезентериальная ишемия?
Наиболее постоянным признаком является потеря веса. Больные постепенно и иногда бессознательно начинают бояться есть (страх пищи) из-за боли, возникающей после еды ("брюшная жаба"). Если потери веса нет, то хроническая ишемия кишечника маловероятна. И наоборот, если больной с выраженным атеросклерозом по неизвестной причине теряет в весе, то высока вероятность, что у него мезентериальная ишемия.
12. Как обследуют больных с хронической мезентериальной ишемией?
Неинвазивное дуплексное ультразвуковое сканирование дает важную информацию о физиологии чревного ствола и ВБА. Если планируется операция или результат дуплексного сканирования сомнителен (см. обсуждение), выполняют ангиографию. Наиболее информативным является боковой снимок.
13. Какое исследование лучше выполнить при подозрении на тромбоз брыжеечной вены?
Симптомы тромбоза брыжеечной вены напоминают симптомы острой ишемии кишечника, однако они часто имеют меньшую интенсивность. По-видимому, эго сказывается па высокой смертности (13-50%), причиной которой считают задержку в установке диагноза. Золотым стандартом считается КТ с контрастированием, однако последние данные показали, что чувствительность МРТ приближается к 100%.
14. Как различается картина во время операции при атеросклеротической окклюзии и эмболии ВБА?
Поскольку эмболия ВБА обычно не затрагивает устьев проксимальных тощекишечных и средней ободочной артерий, то соответствующие сегменты кишечника обычно не повреждаются. Тромбоз же происходит в устье, где наиболее сильно выражено атеросклеротическое сужение, и он ведет к ишемии всей средней кишки.
15. Как вы будете осуществлять хирургическое лечение при эмболии ВБА?
Эмболэктомия. Оценка жизнеспособности кишки через 30 минут после реперфузии и резекция погибшего участка кишки. Предотвратить повторную эмболию помогает послеоперационная терапия антикоагулянтами.
16. Как лечат висцеральную ишемию тромботического происхождения?
Мезентериальная ишемия вследствие тромботической окклюзии является последней стадией прогрессирующего атеросклеротического сужения. Одной тромбэктомии недостаточно; необходимо еще формирование шунта или эндартерэктомия в проксимальной части пораженного сосуда(ов). После восстановления кровотока оценивают жизнеспособность кишки.
17. Какую цель несет формирование артериального шунта?
Исчезновение симптомов, улучшение питания и предотвращение инфаркта внутренних органов — основные цели, которые преследует формирование артериального шунта при хронической мезентериальной ишемии. Иногда шунт можно сформировать профилактически, если во время другой операции (резекции ободочной кишки) нарушается коллатеральный кровоток и существует риск поражения кишки.
18. Какие интраоперационные исследования помогают хирургу оценить жизнеспособность кишки?
С успехом применяют как внутривенное введение флюоресцентного красителя с последующим облучением лампой Вуда, так и интраоперационное допплеровское исследование кишки, однако окончательное решение обязательно должно основываться на клинической оценке.
19. Что делать, если сложно установить протяженность жизнеспособной кишки?
Если предполагается массивная резекция всего сомнительного участка кишки, то хирургу следует выполнить ревизию спустя 12-24 часа. За это время некоторые исходно сомнительные сегменты могут стать явно жизнеспособными; неудаленный участок кишки может иметь решающее значение, чтобы избежать полного парентерального питания.
Учебное видео анатомии верхней, нижней брыжеечных артерий и их ветвей кровоснабжаюших кишечник
20. Сколько тонкой кишки требуется для адекватного пищеварения?
Для адекватного пищеварения необходимо около 50-100 см топкой кишки. Наиболее важными сегментами, позволяющими сохранить жизненно важные функции кишки и всасывание, являются дистальная часть подвздошной кишки и область илеоцекального клапана.
21. Можно ли отменить запланированную ревизию, если состояние больного улучшилось?
Ни в коем случае. Решение принимается в операционной па основании интраоперационной обстановки. Никакие клинические признаки в течение 12-24 часов наблюдения не дают точного представления о состоянии спорного участка кишки.
22. Какова смертность при острой мезентериальной ишемии?
Хотя прогноз при эмболической окклюзии несколько лучше из-за очевидного начала, диагноз острой мезентериальной ишемии часто устанавливают уже после инфаркта участка кишки. Следствием чего является высокая смертность (60-90%) независимо от причины заболевания.
23. Что такое ишемический колит?
Ишемический колит развивается из-за недостаточности кровоснабжения ободочной кишки, наступающей вследствие окклюзии, неокклюзивных или фармакологических (кокаин и НПВП) причин. Семь процентов всех больных, перенесших плановую операцию по поводу аневризмы брюшной аорты, и почти 60% больных из числа выживших после разрыва аневризмы брюшной аорты, страдают ишемическим колитом.
В большинстве случаев поражается только слизистая, и болезнь проявляется умеренно выраженными симптомами: болью в животе, диареей с примесью крови и вздутием живота. Тяжелая степень (10-20% случаев) характеризуется трансмуральным гангренозным инфарктом и проявляется четкой картиной перитонита и диареей с примесыо крови.
24. Как диагностируют и лечат ишемический колит? Что влияет на прогноз?
Диагноз устанавливают при эндоскопическом исследовании, показанием к которому является диарея с примесыо крови. В идиопатических случаях на ангиограммах видны свободные крупные сосуды; эмболами/тромбами поражаются периферические, конечные артерии.
Заболевание умеренной интенсивности обычно лечат консервативно, обеспечивая покой кишечнику, регидратацию и назначая антибиотики. В тяжелых случаях необходима резекция. Общая смертность составляет около 50%, однако у больных, которым требуется выполнить резекцию толстой кишки, смертность превышает 85%. Причинами большей смертности в последней группе считаются эндотоксемический шок и полиорганная недостаточность.

а,б - Пневматоз толстой кишки и газ в портальных венах у больного с ишемическим колитом. Пневматоз т кишки (а) проявляется изогнутым контуром газа (показано стрелками) по контуру заполненного жидкостью просве ходящей ободочной кишки.
На периферии левой доли печени (б) видно множество заполненных газом трубочек (пс стрелками). Компьютерная томография.
в - Симметричное утолщение (показано стрелкой) нижней части нисходящей ободочной кишки (едва заметное утолщение стенки) соответствует области, показанной белой стрелкой на рентгенограмме.
Компьютерная томография через верхнюю апертуру таза.
г - Ишемический колит у пациента с болевым синдромом в левом нижнем квадранте живота.
Обнаружено утолщение стенки нисходящей ободочной кишки (показано стрелкой) с расслоением в области стенки. Компьютерная томография.
25. Что такое синдром компрессии чревного ствола (синдром Данбэра [Dunbar])?
Компрессия чревного ствола представляет собой редкое и неоднозначное расстройство, чаще встречающееся у женщин (соотношение женщины:мужчины = 4:1) между 20 и 50 годами. У больных отмечается клиника хронической мезентериальной ишемии при отсутствии ангиографических признаков атеросклероза. Считается, что происходит механическое сдавление ВБА левой ножкой диафрагмы (краевая дугообразная связка); иногда временную чревную компрессию можно увидеть на выдохе и подтвердить диагноз.
Сопутствующая боль является результатом патологического перераспределения кровотока в обход ВБА (обкрадывание передней кишки) и до сих пор являющегося предметом жарких споров. Для эффективного лечения требуется не только устранить компрессию, но и сформировать обходной шунт, чтобы повысить вероятность исчезновения боли.
26. Когда лучше для диагностики хронической мезентериальной ишемии выполнять дуплексное УЗИ — натощак или после еды?
Если пик скорости кровотока в систолу натощак превышает 275 см/сек, то соответствующая артерия стенозирована на 70% или более. В таких случаях чувствительность составляет 89%, а специфичность — 92%. До сих пор врачи не пришли к однозначному заключению, следует ли определять скорость кровотока после приема пищи у больных, если у них во время исследования натощак уже получены данные, говорящие об окклюзии (> 275 см/сек).
Результат исследования после еды считают положительным, если после пищевой нагрузки наибольшая систолическая скорость увеличилась менее чем на 20%. Диагностическая ценность исследования после еды представляется минимальной.
27. Какой шунт предпочтительней — антеградный или ретроградный?
Термины "антеградный" и "ретроградный" в отношении шунтирования кишечных артерий основаны па том, откуда берут трансплантат из аорты — проксимальнее чревного ствола или соответственно дистальнее ВБА. Преимуществами антеградного шунтирования считают меньший перегиб трансплантата и, возможно, лучшие характеристики кровотока.
Недостатками — то, что выделение надчревного участка технически более сложно, а пережатие аорты может привести к ишемии почек или спинного мозга. При ретроградном шунтировании трансплантат сложнее наложить так, чтобы он не перегибался. Результаты в обоих случаях отличные.
28. Какую роль играет чрескожная чреспросветная ангиопластика?
Эндоваскулярное лечение хронической мезентериальной ишемии — сравнительно новый метод. Появилась возможность избежать операции, однако редкие осложнения — расслоение и эмболия — могут нанести значительный вред, если нет адекватных коллатералей. Вероятность успеха колеблется от 33% до 80%; рестеноз и рецидив симптомов отмечены у 30-50% больных. Проспективных исследований, где чрескожная чреспросветная ангиопластика сравнивалась бы с традиционной методикой реваскуляризации (артериальный шунт), не проводилось.
Редактор: Искандер Милевски. Дата обновления публикации: 18.3.2021
Информация на сайте подлежит консультации лечащим врачом и не заменяет очной консультации с ним.
См. подробнее в пользовательском соглашении.
Ишемия тонкой кишки - диагностика
Ишемия тонкой кишки - диагностика, анатомия
Полагают, что ишемические боли в тонкой кишке при отсутствии механического ущемления бывают редко. При поражении брыжеечных артерий возникает «брюшная жаба» (стенокардия). Ишемия тонкой кишки свидетельствует о патологии верхней брыжеечной артерии, ее ветвей или отводящих вен. Она поражает курильщиков и лиц с сосудистыми заболеваниями (ишемическая болезнь сердца, заболевания периферических сосудов, бактериальный эндокардит) или предшествующими состояниями, такими, как сахарный диабет.
При приеме пищи возникает боль, поэтому пациенты стараются меньше есть и теряют в весе. У больных в подострой стадии с помощью специальных исследований возможно определить место сосудистой окклюзии еще до возникновения истинного инфаркта и решить вопрос о необходимости реконструктивной операции на сосудах или частичной резекции. При окклюзии верхней брыжеечной артерии большое значение приобретает так называемая блуждающая артерия Драммонда, обеспечивающая коллатеральное кровоснабжение.
К несчастью, большая часть пациентов обращается за медицинской помощью, когда катастрофа уже произошла, а коллатеральное кровоснабжение недостаточно. Для спасения жизни в такой ситуации нужно выполнить резекцию большей части кишечника.
Как минимум у половины пациентов с ишемией кишечника наблюдается артериальная эмболия, и раньше считали, что большинство оставшихся случаев связано с острым венозным тромбозом. Однако в настоящее время стало ясно, что чаще всего развивается именно неокклюзивная ишемия с последующим артериальным тромбозом, а истинный венозный тромбоз встречается относительно редко.
Васкулит, диагностируемый рентгенологически по характерным ишемическим признакам, и поражение тонкой кишки после облучения также имеют преимущественно ишемическую природу.
а - изменения указывают на ишемию и замкнутую кишечную непроходимость. Середина тонкой кишки (показано стрелками) расширена, с гладкими увеличенными круговыми складками.
Расширенные петли тонкой кишки расположены радиально. Во время хирургического вмешательства обнаружены спайки — причина замкнутой кишечной непроходимости с ишемией тонкой кишки. Обзорная рентгенограмма брюшной полости.
б - картина острой и хронической ишемии. Длинный сегмент подвздошной кишки диффузно сужен, складки отсутствуют. Высокая бариевая клизма
в - изображение верхнего отдела тонкой кишки с ишемической язвой и стриктурой. В проксимальной части тощей кишки — конусообразное сужение (короткие стрелки).
В центре — небольшая язва (длинная стрелка). Тощая кишка проксимальнее сужения расширена, частично непроходима. Энтероклизма. Проведенное исследование верхней брыжеечной артерии и ее ветвей сперва признали удовлетворительным, пока не стало ясно, что заполнение идет через блуждающую артерию Драммонда а - пассаж бария в тонкой кишке у пациента с васкулитом, кровотечением и ишемией тонкой кишки.
Гладкие, толстые складки (тонкие стрелки) лежат перпендикулярно контуру полости («монетные столбики»). «Отпечатки больших пальцев» — рентгенологические признаки тяжелого отека или кровотечения.
б - хроническая ишемия при лучевой болезни. Тонкая кишка в малом тазу диффузно сужена, круговые складки отсутствуют. Пассаж бария в тонкой кишке
Рентгенограмма, КТ, ангиограмма при ишемическом энтерите
а) Терминология:
1. Синонимы:
• Острая ишемия брыжейки
2. Определение:
• Сужение просвета или окклюзия артериальных либо венозных сосудов брыжейки, приводящая к неадекватному снабжению тонкой кишки питательными веществами и кислородом
б) Визуализация:
1. Общая характеристика:
• Лучший диагностический критерий:
о Тромбоз либо сужение просвета верхней брыжеечной артерии (ВБА) или верхней брыжеечной вены (ВБВ) в сочетании с утолщением стенки кишечника
2. Рентгеноскопия при ишемическом энтерите:
• Исследования с бариевой взвесью:
о Утолщение складок Керкринга
о Внешний вид «отпечатка пальца»: накопление в стенке кишечника крови с растяжением подслизистой оболочки, приводящее к появлению скругления складок брыжейки на ограниченном участке, особенно вдоль брыжеечного края
о Внешний вид «стопки монет»: увеличенные, гладкие, ровные параллельные складки, расположенные перпендикулярно длинной оси тонкой кишки (подслизистый отек)
о При дилатации проксимальных отделов кишечника часто обнаруживаются стриктуры
о «Крапчатые» или линейные скопления газа, а также включения газа в виде «пены» или «пузырьков» в стенке кишки (пневматоз кишечника)
3. КТ при ишемическом энтерите:
• КТ с контрастным усилением:
о Тромбоз либо сужение просвета ВБА, ВБВ, или других сосудов брыжейки
о Сегментарное утолщение стенки кишечника (более 3 мм)
о Эмболы обычно обнаруживаются в месте отхождения ВБА либо на 3-10 см дистальнее ВБА в средней ободочной артерии
о Отсутствие контрастного усиления слизистой оболочки кишечника из-за нарушения артериального кровотока
о Помутнение брыжейки: инфильтрация брыжеечного жира вследствие отека, чаще наблюдается при венозном тромбозе
о Повышение плотности стенки кишечника вследствие подслизистого отека или гиперемии:
- Чаще возникает при венозном, а не артериальном тромбозе
о Пневматоз кишечника (чаще при венозном тромбозе по сравнению с артериальным):
- Включения газа в виде тяжей или пузырьков в стенке кишечника
- Линейные, криволинейные или кистозные полости, заполненные газом
- Возможно наличие газа в брыжеечных венах или воротной вене
- Петли кишечника растянуты с наличием жидкости

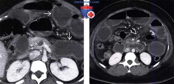
(Слева) На аксиальной КТ с контрастным усилением у мужчины 24 лет с жалобами на боль определяется тромб в просвете верхней брыжеечной и воротной вены. Тонкая кишка в значительной степени расширена и заполнена жидкостью. Стенка кишки утолщена, также определяется асцит: эти изменения позволяют заподозрить ишемию всех слоев стенки (трансмуральную).
(Справа) Обратите внимание на переполненные кровью брыжеечные вены и отек брыжейки у этого же пациента, что типично для венозного тромбоза и обусловленной им ишемии кишечника. Было обнаружено, что пациент находится в состоянии гиперкоагуляции, он дал ответ на анти коагуляционную терапию.
4. Ангиография при ишемическом энтерите:
• Острая ишемия, обусловленная артериальной недостаточностью: тромбоз/стеноз ВБА или ее ветвей
• Острая ишемия, обусловленная нарушением венозного оттока: окклюзия ВБВ с развитием коллатералей
• Ишемия, не обусловленная окклюзией: замедление тока крови в ВБА
• Хроническая ишемия: сужение просвета/окклюзия чревного ствола и/или ВБА:
о Развитие артериальных коллатералей
5. Рекомендации по визуализации:
• Лучший метод диагностики:
о МСКТ (КТ-ангиография):
- Позволяет лучше визуализировать и количественно оценить степень венозной окклюзии
- Для обнаружения пневматоза кишечника используется легочное окно
о Катетерная ангиография:
- С целью диагностики и лечения
(Слева) На аксиальной КТ с контрастным усилением определяется утолщение стенки тощей кишки в правой половине живота вследствие врожденного нарушения поворота. Обратите внимание на измененное положение верхних брыжеечных сосудов и ограниченный асцит . При операции были обнаружены ишемические изменения кишечника в сочетании со спайками.
(Справа) На аксиальной КТ с контрастированием определяется асцит, а также инфильтрация брыжейки около сегментов тонкой кишки с утолщенной стенкой и расширением просвета, что позволяет сделать вывод об обструкции по типу закрытой петли и ишемии. Проксимальные отделы тонкой кишки и ободочная кишка имеют нормальный поперечный размер. (Слева) На рентгенограмме в косой проекции, полученной во время рентгеноскопического исследования пассажа бариевой взвеси по тонкой кишке, определяется сужение просвета и отсутствие нормальной складчатости, характерной для тонкой кишки, в подвздошной кишке, наряду с дилатацией более проксимальных отделов.
(Справа) На ангиограмме верхней брыжеечной артерии у этого же пациента определяется обрыв некоторых ветвей верхней брыжеечной артерии (ВБА) с отсутствием кровотока в направлении подвздошной кишки. Эти измене ния позволяют предположить эмболию ВБА, поскольку при тромбозе обычно изменения возникают в месте ее отхождения.
в) Дифференциальная диагностика ишемического энтерита:
1. Ангионевротический отек кишечника:
• Врожденный или спровоцированный приемом лекарственных препаратов (например, ингибиторов АПФ)
• Обусловливает массивный отек стенки кишечника, асцит; методы лучевой диагностики не позволяют отличить ангионевротический отек от изменений, обусловленных ишемией
2. Васкулит тонкой кишки:
• Сегментарное утолщение стенки тонкой кишки
• Посдлизистый отек, симптом «мишени»
• Только на основании лучевых методов диагностики дифференциальную диагностику произвести невозможно
3. Шоковая кишка:
• Ишемия, возможно, реперфузия тонкой кишки, обычно после травмы или других состояний, приводящих к снижению системного давления
• Интенсивное контрастное усиление слизистой оболочки, отек подслизистой основы и брыжейки
• Изменения сходят на нет после реанимационных мероприятий
4. Болезнь Крона:
• Обычно поражаются дистальные отделы тонкой кишки
• Асимметричное, прерывистое утолщение стенки кишечника, пролиферация брыжеечной жировой клетчатки
• Изъязвление слизистой на ограниченном участке воспалительного характера в сочетании с «пятнистым» подслизистым фиброзом, приводящее к искажению и прерывистости складок
5. Фиброзирующий мезентерит:
• Утолщение стенки кишечника является нетипичным признаком; оно возникает вследствие сдавливания брыжеечных вен и лимфатических сосудов, обусловленного фиброзом
• Помутнение брыжейки, «жировое гало» вокруг брыжеечных сосудов, не приводящее к их смещению
• Брыжеечные лимфоузлы, возможно, образования (в запущенных стадиях)

(Слева) На аксиальной КТ с контрастным усилением определяется выраженная дилатация длинного сегмента тонкой кишки в ее средних отделах наряду с инфильтрацией брыжейки и асцитом возле расширенных петель кишечника. Отделы кишечника, расположенные выше и ниже данного сегмента, имеют типичный размер. Эти изменения являются классическими для обструкции по типу закрытой петли, обусловливающей ишемию.
(Справа) На более каудальном КТ срезе у этого же пациента определяются признаки ишемии кишечника в сочетании с асцитом.
г) Патология:
1. Общая характеристика:
• Этиология:
о Окклюзия сосудистого русла: эмболия в результате фибрилляции предсердий, эндокардита, тромбоз в результате атеросклероза, механическая обструкция (странгуляция или опухоль)
о Особенно опасна обструкция по типу закрытой петли
о Состояния, проявляющиеся повышенной свертываемостью крови: прием оральных контрацептивов, дефицит протеина С, дефицит фактора V (Лейдена):
о Воспалительные причины: панкреатит, перитонит, васкулит
- Васкулит: часто обусловливает ишемические изменения у детей
- Системная красная волчанка, узелковый полиартериит, другие коллагеновые болезни сосудов
- Васкулиты могут обусловливать поражение почек и иных органов
о Ятрогенные причины: лучевая терапия и химиотерапия, прием лекарственных средств (препараты наперстянки, допамин, вазопрессин), наркотиков (героин, кокаин, амфетамины)
о Гипоперфузия (чаще обусловливает ишемический колит): состояния, проявляющиеся снижением кровообращения, давления; сепсис, сердечная недостаточность
2. Стадирование, градация и классификация ишемического энтерита:
• Классификация:
о Острая ишемия (в результате окклюзии артериального или венозного сосуда)
о Острая ишемия в результате причин неокклюзионного характера (например, шока)
о Хроническая ишемия: «васкулопатия» у пожилых людей, атеросклероз
3. Макроскопические и хирургические особенности:
• Некроз тонкой кишки, изменение ее цвета (на фиолетовый)
4. Микроскопия:
• Некроз, воспаление, ишемические изменения стенки тонкой кишки
д) Клинические особенности:
1. Проявления ишемического энтерита:
• Наиболее частые признаки/симптомы:
о Острая ишемия:
- Триада клинических симптомов: боль в животе (острое начало), диарея, рвота
- Упорная боль в животе, не соотносящаяся с изменениями при физикальном исследовании
- Вздутие живота, тенезмы, примесь крови в кале
- Защитное напряжение мышц брюшной стенки и симптомы раздражения брюшины (инфаркт/перфорация)
- При ишемии, обусловленной недостаточностью венозного оттока, изменения развиваются более медленно
о Хроническая ишемия:
- Болевой синдром, обусловленный изменениями со стороны кишечника: возникает после еды и постепенно затухает спустя 1-2 часа
- Тошнота, рвота, диарея, снижение веса
- Из-за интенсивной боли возникает ситофобия (страх перед приемом пищи)
о Лабораторные данные:
- Лейкоцитоз в 75% случаев, ацидоз в 50% случаев, повышение уровня амилазы в 25% случаев
о Диагностика:
- Основным моментом ранней постановки диагноза является высокий уровень клинического подозрения
2. Демография:
• Возраст:
о В большинстве случаев больше 50 лет
• Пол:
о М = Ж
• Эпидемиология:
о Ишемический энтерит обусловливает 1 % случаев «острого живота»
о Факторы риска хронической ишемии включают в себя гипертонию, заболевания коронарных артерий, цереброваскулярные болезни
о Окклюзия артериального сосуда является преобладающей причиной развития ишемии по сравнению с окклюзией вен (соотношение составляет 9:1)
о 60-70% случаев острой ишемии обусловлены окклюзией артериального русла, 5—10% возникают в результате окклюзии вены
о 20-30% случаев острой ишемии не обусловлены окклюзией
3. Течение и прогноз:
• Осложнения: стриктуры, инфаркт, некроз, перфорация
• Ишемические изменения на поздних стадиях могут привести к диффузному или ограниченному пневматозу кишечника
• Лучевые данные могут варьировать в зависимости оттого, являются ли ишемические изменения острыми или хроническими, возникают ли в результате артериального или венозного тромбоза
• Прогноз:
о При острой ишемии:
- Зависит от своевременности лечения, объема тонкой кишки, жизнеспособность который может быть восстановлена
- Смертность составляет 50-90%
- В случаях ишемии, обусловленной нарушением оттока венозной крови, исход в целом более благоприятный
о При хронической ишемии:
- Выживаемость зависит от степени выраженности коллатерального кровотока
- Диагноз хронической ишемии требует обнаружения окклюзии двух или большего количества крупных брыжеечных артерий и сужения просвета еще одной артерии
о Смертность при инфаркте достигает 69%
4. Лечение ишемического энтерита:
• Хирургическое:
о Эксплоративная лапаротомия, резекция кишки, обходное шунтирование брыжеечного сосуда с целью перераспределения кровотока
о Основной метод лечения при острой и хронической ишемии и осложнениях
• Эндоваскулярные вмешательства:
о Внутриартериальный тромболизис, чрескожная транслюминальная ангиопластика ± стентирование
о Тромболитики (стрептокиназа, урокиназа)
о Сосудорасширяющие средства (папаверин) с целью устранения спазма
• Системная антикоагуляционная терапия (варфарин, гепарин) при окклюзии венозных сосудов
е) Диагностическая памятка:
1. Следует учесть:
• Ишемия тонкой кишки является клинико-рентгенологическим диагнозом
• Необходима консультация соответствующего врача-клинициста относительно истории заболевания, симптоматики, ключевых лабораторных данных (ацидоз, лейкоцитоз)
2. Советы по интерпретации изображений:
• Лучевые изменения зависят от множества факторов (например, является ли ишемия острой или хронической; возникла ли она в результате окклюзии артериального или венозного сосуда)
• При окклюзии брыжеечных вен возникает более выраженное утолщение стенки, более значимая инфильтрация брыжейки и асцит, чем при окклюзии артерии
Колит - симптомы и лечение
Что такое колит? Причины возникновения, диагностику и методы лечения разберем в статье доктора Куракина Александра Анатольевича, проктолога со стажем в 11 лет.
Над статьей доктора Куракина Александра Анатольевича работали литературный редактор Елена Бережная , научный редактор Сергей Федосов
Определение болезни. Причины заболевания
Колит (лат. colitis, от греч. kolon (толстый кишечник) и itis (воспаление) — собирательное понятие, включающее большую группу заболеваний с одним общим признаком: воспалением толстого кишечника.
Основные признаки колита: частый жидкий стул с кровью, боль в животе и высокая температура.
Колиты встречаются в практике гастроэнтерологов, инфекционистов, терапевтов, колопроктологов, хирургов и других специалистов.

Этиология колита
Основные формы колитов можно описать только по отдельности, в зависимости от этиологического фактора. Размеры статьи не позволяют коснуться всех видов колита. Рассмотрим только основные из них.
Инфекционный колит — это заболевание кишечника, возникающее из-за активизации условно-патогенных микроорганизмов в кишечнике или попадания новых болезнетворных микробов из внешней среды. [1]
Инфекционный колит имеет очень широкое распространение: нет человека, ни разу не переносившего данное заболевание. Количество заболевших увеличивается в жаркий период, когда создаются благоприятные условия для распространения инфекции. Поэтому чаще болеют люди в регионах с жарким климатом (Африка, Юго-Восточная и Средняя Азия). Заболевание чаще встречается в детском возрасте, особенно у детей, посещающих учебные заведения (детские сады, школы и т. д.). Гастроэнтерологи и проктологи могут встречать в практике больных с данной патологией, но она не является профильной. Лечат заболевание обычно инфекционисты.
Причины инфекционного колита:
- бактерии (шигеллы, эшерихии, сальмонеллы, клостридии, иерсинии, брюшнотифозная палочка, кампилобактерии, протей, стафилококки);
- вирусы (аденовирус, энтеровирус, ротавирус);
- простейшие (амебы, лямблии и др.);
- возбудители туберкулеза и сифилиса;
- грибки (кандида, актиномицеты). Возникновение грибкового колита свидетельствует о снижении иммунитета и часто проявляется у лиц, страдающих СПИДом, получающих химиотерапию, стероидные гормоны;
- дисбактериоз.
Формы инфекционного колита:
- катаральная;
- фиброзная;
- катарально-геморрагическая;
- флегмонозная;
- флегмонозно-гангренозная;
- некротическая.
Воспалительные явления могут иметь стадийный характер, а могут сразу иметь картину запущенного воспаления. Его выраженность напрямую зависит от характера инфекции. Некротическое и флегмонозно-гангренозное воспаление встречается при клостридиальной инфекции. Катарально-геморрагическое — при дизентерии. Катаральное воспаление встречается чаще при вирусных заболеваниях. [2]
Ишемический колит — воспаление стенки толстого кишечника, возникающее из-за нарушения процессов кровобращения. Существует хроническое и острое нарушение кровообращения. [3]
Причиной нарушения кровообращения является полное прекращение или критическое снижение притока крови к толстой кишке, вследствие чего возникает воспаление. При тяжёлом течении может приводить к некрозу стенки кишечника. Причиной закупорки сосудов могут быть тромбы, но чаще всего к сужению просвета сосуда приводят атеросклеротические бляшки. Поэтому болезнь чаще проявляется у лиц пожилого возраста. Около 79% больных ишемическим колитом старше 48 лет. [4] Частота встречаемости не имеет связи с половой принадлежностью и регионом. Впервые открыт в 1966 году. Ишемический колит является профильным заболеванием для колопроктологов, но им также занимаются общие хирурги и гастроэнтерологи. [5]
Причины ишемического колита:
- сосудов;
- закупорка брыжеечных сосудов вследствие эмболии или тромбоэмболии (в результате аллергических реакций, травм, осложнений операций, системного васкулита, ДВС-синдрома);
- снижение давления крови может приводить к нарушению питания стенки кишки.
Закупорка просвета сосуда приводит к ишемии стенки кишки, а как следствие — к некрозу и далее перфорации. [6]
Объём поражения зависит от размера питающей артерии, длительности закупорки. Если закупорка сосуда происходит постепенно (при образовании атеросклеротических бляшек в сосудах), то говорят о хроническом нарушении кровообращения, что в свою очередь приводит к стриктурам.
При критических состояниях и снижении давления крови (например, анафилактический шок, ДВС-синдром и т.д.), происходит централизация кровообращения, при этом резко снижается приток крови к кишечнику, что приводит к ишемии и некрозу.
При атеросклерозе чаще страдает сигмовидная и поперечная ободочная кишка. Воспаление начинается со слизистой оболочки, затем переходит на все слои. [7]
По характеру поражения выделяют:
- транзиторную форму (когда ишемические процессы обратимы);
- стенозирующую (когда формируются стриктуры);
- гангренозную (когда образуются язвы с дальнейшим развитием некроза, поражение носит необратимый характер). [8]
Лучевой колит — образуется в результате ионизирующего воздействия на стенку толстого кишечника.
При обнаружении схожих симптомов проконсультируйтесь у врача. Не занимайтесь самолечением - это опасно для вашего здоровья!
Симптомы колита
Симптомы острого и хронического колита: боль в животе, кровь в кале, диарея, высокая температура, слабость, слизь и кровь в стуле, спазмы.
Симптомы язвенного колита: к перечисленным выше признакам добавляются боли в анусе и анемия.
Боли при колите кишечника:

Инфекционный колит
Клиника инфекционного колита напрямую зависит от возбудителя.
Для любого инфекционного колита независимо от этиологии характерно:
- начало заболевания, как правило, имеет острый характер;
- жидкий частый стул с примесью слизи в кале;
- боли локализуются чаще в левом подреберье, но могут также распространяться по всем отделам живота;
- боль имеет периодический, спазматический характер;
- высокая температура;
- чувство слабости, недомогания;
- сухость кожных покровов и слизистых;
- белый налет на корне языка;
- рвота как первый симптом колита кишечника (если в воспалительный процесс вовлечен желудок).
Для первичной оценки этиологии инфекционного колита оценивают характер дефекации, объём и особенности каловых масс.
- при дезентерии стул очень частый, малыми порциями (до 20 раз за день) со слизью и прожилками алой крови (ректальный «плевок»);
- при амебиазе кал имеет вид малинового желе;
- при сальмонеллезе кал напоминает болотную тину, имеет неприятный запах;
- при псевдомембранозном колите (вызыванном клостридиями) частый жидкий стул с запахом гнили.
Ишемический колит
Симптоматика очень вариабельна, характерно быстрое прогрессирование.
- болезненные ощущения в животе;
- кровь и слизь в стуле;
- неустойчивый, частый стул;
- выраженные боли в околопупочной и левой подвздошной области;
- при ректальном осмотре можно заметить кал с кровью, слизью или гноем;
- при хронической форме боли имеют низкую интенсивность, обычно возникают после еды;
- при длительной хронической ишемии появляются стриктуры в толстой кишке, которые в дальнейшем могут быть следствием непроходимости или малигнизации (раковому перерождению).

Лучевой колит
Обычно колит формируется у лиц, перенёсших курс лучевой терапии по поводу новообразований, локализующихся в области малого таза или брюшной полости. [12]
- большую чувствительность к излучению имеет тонкий кишечник, формируется лучевой энтерит, который клинически проявляется нарушением абсорбции в тонком кишечнике;
- повреждению кишечника свойствен избирательный характер, обычно воспаление локализуется в прямой и сигмовидной кишке, при этом клиника сопоставима с клиникой язвенного и ишемического колита. При воздействии больших доз радиации клиника развивается не сразу, проявляется обильным, жидким стулом, при этом нарушается всасывание в толстом кишечнике. [13]
Патогенез колита
Толстый кишечник очень восприимчив к ионизирующему излучению. [10] Лучевой колит возникает при воздействии малых доз облучения: происходит атрофия слизистой оболочки (сразу после облучения).
- Усиливаются процессы деления клеток, уменьшается длина ворсинок.
- Активизируются воспалительные процессы с нейтрофильной реакцией. Чаще всего эти процессы локализуются в прямой и сигмовидной кишке.
- При воздействии больших доз (более 40 Гр.) воспалительные процессы могут возникать спустя длительное время после облучения (до нескольких лет), в данной ситуации происходит воспаление мелких сосудов кишечника, что приводит к ишемизации кишечника. Развиваются язвы и стриктуры. Могут поражаться все отделы толстого и тонкого кишечника. [11]

Классификация и стадии развития колита
По течению:
По этиологии:
- язвенный колит кишечника и болезнь Крона (воспалительные заболевания кишечника с неизвестной этиологией);
- инфекционный (этиологический фактор бактериальный, вирусный, грибковый, паразитарный);
- ишемический (развивается вследствие снижения притока крови к толстой кишке);
- спастический (из-за неправильного питания нарушается моторика толстого кишечника и возникают спазмы);
- токсический (при применении нестероидных противовоспалительных препаратов);
- лучевой (при поражении радиацией).

По локализации:
| Вид колита | Локализация |
|---|---|
| проктит | воспаление прямой кишки |
| панколит | тотальное поражение кишечника |
| тифлит | воспаление слепой кишки |
| трансверзит | воспаление поперечной ободочной кишки |
| сигмоидит | воспаление сигмовидной кишки |
| диффузный колит кишечника | охватывает два и более отдела кишечника |
Поражение кишечной стенки подразделяют на три вида:
- катаральный колит кишечника — слабое воспаление, слизистая краснеет, и возникает отёк;
- эрозивный колит кишечника — появляются эрозии;
- атрофический колит кишечника — слизистая атрофируется.
Осложнения колита
- сильное кровотечение;
- перфорация толстой кишки;
- сильное обезвоживание; ;
- воспаление кожи, суставов и глаз;
- повышенный риск рака толстой кишки;
- токсичный мегаколон;
- повышенный риск образования тромбов в венах и артериях [15] .
Диагностика колита
Инфекционный колит:
- Лабораторные методы:
- анализ кала на вирусы, бактерии, паразиты (позволяет точно поставить диагноз);
- серологическое исследование (определяют антитела к вирусам, паразитам);
- анализ крови на стерильность (при подозрении на сепсис);
- общеклинический анализ крови (высокое СОЭ, увеличение количества лимфоцитов при вирусной этиологии).
- Инструментальные методы:
- ректороманоскопия используется как дополнительный метод для дифференциальной диагностики;
- ультразвуковое исследование используется для исключения осложнений.
Ишемический колит:
- Ректороманоскопия дает возможность оценить состояние слизистой оболочки. При осмотре можно отметить наличие точечных кровоизлияний, сглаженность сосудистого рисунка, бледность слизистой. При обнаружении данных признаков показано взятие биопсии.
- Ирригоскопия — самое необходимое исследование. Обнаруживается симптом пальцевых вдавливаний. Признаки дефектов слизистой свидетельствуют о наличии язв, сужения просвета при стриктурах.
- Колоноскопия показана для уточнения распространенности воспаления, также показана биопсия в области измененного участка.
- Ангиография позволяет определить степень сужения сосуда и его локализацию. [9]
- Злокачественные новообразования. Опухоли развиваются достаточно длительное время, в течении многих лет.
- Инфекционный колит. Преобладают симптомы общей интоксикации (слабость, лихорадка и т.д.). Кроме того, имеет место эпидемический анамнез.
- Язвенный колит и болезнь Крона. Для них характерно достаточно медленное прогрессирование. Проявляются обычно в раннем возрасте.
Лучевой колит:
- При сборе анамнеза учитывают наличие факта облучения ионизирующей радиацией.
- Ректороманоскопия и колоноскопия с биопсией позволяют выявить воспаление слизистой оболочки толстого кишечника. При лучевом энтерите воспаление сочетается с атрофией слизистой. Крипты становятся менее глубокими, уменьшается длина ворсинок. При лучевом колите на слизистой обнаруживают язвы, стриктуры. [14]
- Энтерит лучевого генеза следует дифференцировать с болезнями тонкой кишки, при которых страдает функция всасывания (целиакия), при данных заболеваниях происходит атрофия по гиперрегенераторному типу, а при лучевом поражении преобладают гипорегенераторные процессы слизистой.
- Радиационные поражения толстого кишечника дифференцируют с язвенным колитом, болезнью Крона, новообразованиями толстого кишечника. [15]
Лечение колита
- антибактериальные, противогрибковые средства с учетом чувствительности микроорганизмов. Предпочтение отдают таблетированным формам препаратов;
- восполнение потерянной жидкости и минералов: растворами для приема внутрь (Регидрон и др.), внутривенное введение (раствор Рингера, Трисоль и др.);
- прием сорбентов;
- пробиотики и пребиотики;
- ферменты (креон, фестал);
- симптоматическая терапия (противовоспалительные средства, спазмолитики и др.)
- консервативное лечение колита (щадящая диета, препараты, смягчающие стул, лекарства для улучшения кровотока, дезагреганты, витаминные препараты, дезинтоксикационное лечение, восполнение баланса электролитов и жидкости, гемотрансфузии (при показаниях), антибактериальные препараты);
- оперативное лечение колита.
Показаниями для срочного хирургического лечения служат:
- перфорация, толстокишечная непроходимость. В таком случае удаляется участок кишки, с последующей санацией и дренированием брюшной полости.
- плановое оперативное лечение колита кишечника показано больным в случае сужения (стриктуры) толстого кишечника без явлений острой кишечной непроходимости.
Терапия лучевого колита схожа с терапией язвенного колита и болезни Крона:
- лекарства, содержащие 5-аминосалициловую кислоту (месалазин, салофальк);
- антибактериальная терапия.
Может быть полезно вести дневник питания, чтобы отслеживать, что вы едите, а также свои чувства. Если вы обнаружите, что некоторые продукты вызывают обострение ваших симптомов, вы можете попробовать их устранить.
Диетотерапия
Убедительных доказательств того, что неправильное питание приводит к воспалению кишечника, нет. Но оно может усугубить симптомы болезни, особенно при обострении. Поэтому полезно вести дневник питания и отслеживать свои реакции на определённые продукты.
- есть меньше молочных продуктов — у пациента может быть непереносимость лактозы, т. е. организм не переваривает молочный сахар;
- есть небольшими порциями по 5–6 раз в день;
- пить больше жидкости — предпочтительнее вода; алкоголь и напитки, содержащие кофеин, стимулируют кишечник и могут усилить симптомы болезни [15] .
Прогноз. Профилактика
На сегодняшний день хорошо известны причины возникновения инфекционного колита, разработаны современные методики лечения. Поэтому при неосложненном течении и вовремя начатой терапии удается достигнуть полного выздоровления. Менее благоприятный прогноз у лиц с явлениями иммунодефицита и ослабленной иммунной системой (например, у людей пожилого возраста). Прогноз благоприятный.
Основными методами профилактики являются:
- гигиенические мероприятия (тщательное мытье рук);
- использование только свежих продуктов, чистой воды;
- уделение особого внимания термической обработке пищи.
При транзиторной форме ишемического колита прогноз благоприятный. При гангренозной форме — зависит от вовремя поставленного диагноза и проведенного лечения.
Так как ишемический колит является осложнением других болезней, то для его профилактики необходимо:
- своевременное лечение сопутствующих заболеваний;
- сбалансированное питание.
Лучевой колит приводит к постоянным, необратимым изменениям кишечной стенки, поэтому прогноз неблагоприятный.
При радиационном колите могут появляться язвы и стриктуры на слизистой оболочке толстого кишечника, что может привести к кишечной непроходимости. В таком случае необходимо хирургическое лечение, от своевременности которого зависит прогноз. При правильном и вовремя проведенном лечении прогноз благоприятный. Специальных методов профилактики лучевого колита не существует.
Ишемический колит
Ишемический колит – это острое или хроническое воспалительное заболевание толстого кишечника, которое возникает вследствие нарушения кровоснабжения его стенок. Проявляется болями в животе разной интенсивности, неустойчивым стулом, кровотечениями, метеоризмом, тошнотой, рвотой и снижением массы тела (при хроническом течении). В тяжелых случаях повышается температура тела, появляются симптомы общей интоксикации. С целью диагностики проводят ректороманоскопию, ирригоскопию, колоноскопию и ангиографию нижней брыжеечной артерии. Лечение на начальных этапах консервативное, при неэффективности – хирургическое.
МКБ-10
Общие сведения
Ишемический колит – это сегментарное нарушение кровообращения в стенках толстого кишечника вследствие окклюзии или сужения кровеносных сосудов, которое ведет к воспалению, стриктуре и некрозу участка кишки. Впервые термин «ишемический колит» был введен в 1966 году. Заболевание регистрируется в основном у людей старшего возраста. На долю пациентов, которым больше 50-ти лет, выпадает 80% случаев ишемического колита. Встречается с одинаковой частотой у мужчин и женщин, распространен равномерно во всех странах и на всех континентах. По разным данным, около трети всех заболеваний толстого кишечника у пациентов старшей возрастной группы вызвано именно нарушением кровообращения в его стенках. Лечением и диагностикой занимаются врачи-проктологи, хотя первоначально пациенты с симптомами ишемического колита могут госпитализироваться в отделение гастроэнтерологии или общей хирургии.
Причины
Существует большое количество причин ишемического колита, связанных со спазмом сосудов, кровоснабжающих толстый кишечник, их окклюзией, снижением общего артериального давления. Окклюзия сосудов может возникнуть вследствие атеросклероза, эмболии либо тромбоэмболии сосудов брыжейки, аллергических реакций, травм, послеоперационных осложнений, системного васкулита, ДВС-синдрома. Ишемический колит, как следствие сниженного артериального давления, вызывают шоковые состояния, острые аллергические реакции, расслоение аневризмы аорты, тяжелые анемии, существенное обезвоживание организма (кровопотеря, кишечная инфекция с профузным поносом).
При окклюзии сосудов чаще всего развивается некроз или гангрена стенки кишечника. Площадь поражения зависит от диаметра сосуда, полного или неполного перекрытия его просвета, длительности окклюзии, возможности развития коллатерального кровотока. Если просвет сосуда перекрывается постепенно, например, при атеросклерозе, ишемический колит может приобретать хроническое течение с формированием стриктур.
Толстый кишечник - один из наиболее слабо снабжаемых кровью органов, особенно в тех участках, где есть сосудистые анастомозы. Его функциональная активность сопровождается еще большим снижением кровотока. Поэтому шоковые состояния, сердечная недостаточность (острая или хроническая), потеря крови при травмах, операциях или потеря жидкости при кишечных инфекциях очень быстро ведут к развитию ишемии и, как следствие, ишемического колита.
Патогенез
Наиболее часто ишемический колит развивается в сигмовидной и поперечной ободочной кишке, особенно в тех случаях, когда его причиной выступает атеросклероз. Но это не исключает того, что могут быть задействованы и другие отделы. В первую очередь страдает слизистая оболочка, но со временем может вовлекаться подслизистая основа и мышечный слой. Если наступает окклюзия больших артерий, процесс развивается стремительно с участием всех слоев кишечной стенки. Ишемические изменения могут быть обратимыми и необратимыми. Если не наступил некроз, и нет гангрены, слизистая после возобновления кровотока довольно быстро приходит в норму. При хроническом ишемическом колите изменения нарастают постепенно, это может привести к появлению воспаления, язв и в конечном итоге – к развитию стриктур.
Классификация
Ишемический колит по течению может быть острым или хроническим. Острый колит развивается с инфарктом слизистой, подслизистого слоя и всей стенки кишечника. Хронический колит может со временем осложняться стриктурами толстого кишечника. В клинической проктологии также выделяют транзиторную форму ишемического колита (с обратным развитием симптомов и морфологических изменений), стенозирующую (с формированием стриктур), гангренозную (с образованием язв, некроза всех слоев кишечной стенки, частыми осложнениями и прогрессирующими морфологическими изменениями без обратного развития).
Симптомы ишемического колита
Патология развивается остро или подостро. Специфических симптомов это заболевание не имеет, поэтому диагностировать его бывает довольно затруднительно. В основном больные жалуются на боли в животе, периодически повторяющиеся кишечные кровотечения, неустойчивый стул. Поносы чередуются с запорами; преобладает склонность к учащенному жидкому стулу с большим количеством слизи и примесями крови. При пальпации живота выявляется болезненность в левой подвздошной области, возле пупка. При пальцевом ректальном исследовании можно выявить кровь, слизистые и гнойные выделения в прямой кишке. Интенсивность той или иной симптоматики зависит от формы ишемического колита и размеров пораженного участка.
Обратимая форма ишемического колита развивается тогда, когда период нарушения кровообращения был коротким или быстро стали развиваться коллатерали. Характеризуется периодическими болями в животе слева или возле пупка. Иногда их интенсивность и продолжительность настолько малы, что пациенты не обращают на них внимания. Боли появляются через полчаса после еды или после физической нагрузки и могут самостоятельно исчезать на протяжении нескольких часов. По своему характеру ощущения похожи на боль при стенокардии или при перемежающей хромоте. Через некоторое время могут присоединиться тенезмы, у больного появляется жидкий стул с кровью и слизью. Кровь в кале иногда выявляется через несколько дней или недель после начала заболевания.
При дальнейшем развитии патологического состояния симптомы могут самостоятельно проходить или нарастать, если ишемический колит переходит в необратимую форму. В последнем случае у пациента усиливаются боли, стул становится обильным, жидким, с выделениями крови, слизи, гнилостным запахом. Общее состояние ухудшается, может появиться гипертермия, тошнота, рвота, симптомы общей интоксикации.
Осложнения
Профузные кровотечения, даже при тяжелом течении ишемического колита, возникают крайне редко. Массивный некроз стенок кишечника может стать причиной перфорации толстой кишки и спровоцировать развитие перитонита. Хронический ишемический колит часто приводит к формированию стриктур, кишечной непроходимости, образованию раковых опухолей в месте сужения толстой кишки.
Диагностика
Наиболее информативны при диагностике ишемического колита инструментальные методы исследования. Ректороманоскопия помогает предположить диагноз, но не дает полной картины. При обратимой форме ишемического колита в прямой и сигмовидной кишке видны небольшие кровоизлияния в слизистую оболочку. При некротической форме можно увидеть язвы с четкими краями и фибриновыми пленками на фоне бледной слизистой. Получить больше диагностических данных можно при выполнении биопсии.
Ирригоскопия – одно из самых информативных диагностических исследований при ишемическом колите. При обратимых изменениях в местах ишемии можно увидеть дефекты в виде пальцевых вдавливаний. Через короткое время они могут исчезнуть, поэтому исследование нужно проводить сразу же при первых подозрениях на ишемический колит. Некротические изменения видны в виде стойких язвенных дефектов. При выполнении ирригоскопии можно диагностировать и стриктуры. Колоноскопия позволяет более четко увидеть морфологические изменения в стенках всего толстого кишечника, взять биопсию из участков с ишемией или со стриктурами толстой кишки, особенно если возникает подозрение на их злокачественное перерождение.
Для выяснения причины и уровня обструкции сосудов проводят ангиографию нижней брыжеечной артерии. При осложнениях ишемического колита для оценки состояния пациента выполняют общие и биохимические анализы крови. Для коррекции антибиотикотерапии проводят бакпосев кала и крови с определением чувствительности к препаратам.
Дифференциальный диагноз при ишемическом колите проводят с инфекционными заболеваниями (дизентерия, амебиаз, гельминтозы), неспецифическим язвенным колитом, болезнью Крона, злокачественными новообразованиями. При инфекционных заболеваниях на первый план выходят симптомы общей интоксикации, есть соответствующий эпидемиологический анамнез. Язвенный колит и болезнь Крона развиваются постепенно, в более молодом возрасте. Развитие раковых опухолей толстого кишечника происходит на протяжении длительного времени, часто на протяжении нескольких лет.
Лечение ишемического колита
На первом этапе заболевания проводят консервативную терапию. Назначают щадящую диету, легкие слабительные, препараты, улучшающие кровоток (сосудорасширяющие) и реологию крови (антиагреганты). Улучшают результаты комплексного лечения ишемического колита такие препараты, как дипиридамол, пентоксифиллин, комплексы витаминов. При тяжелом состоянии больного проводят дезинтоксикационную терапию, коррекцию водно-электролитного баланса, иногда выполняют переливание крови. Большое значение для разгрузки кишечника имеет парентеральное питание. При бактериальных осложнениях ишемического колита назначают антибиотики и сульфаниламидные препараты.
Хирургическое лечение ишемического колита показано при обширном некрозе, гангрене толстого кишечника, перфорации и перитоните. Пораженный участок кишечника удаляют в пределах здоровых тканей, затем проводят ревизию и оставляют послеоперационный дренаж. Поскольку возраст пациентов с ишемическим колитом в основном пожилой, осложнения после таких операций довольно часты. При стриктурах, которые перекрывают или сужают просвет кишечника, проводят плановые операции.
Прогноз и профилактика
Прогноз ишемического колита зависит от формы заболевания, течения и наличия осложнений. Если кровоток возобновился, и некроз не развился, прогноз достаточно благоприятный. При некрозе все зависит от обширности процесса, своевременной диагностики и правильно проведенного оперативного вмешательства. Также течение патологии зависит от возраста, общего состояния больного и сопутствующих заболеваний.
Поскольку ишемический колит возникает в большинстве случаев как осложнение атеросклероза, сердечной недостаточности, послеоперационного периода при вмешательствах на кишечнике, желудке, органах малого таза, то основа профилактики – адекватное лечение первичных заболеваний. Большое значение имеет также правильное питание, регулярные профилактические медицинские осмотры.
Читайте также:
