Вирусный энцефалит на МРТ
Добавил пользователь Евгений Кузнецов Обновлено: 13.12.2025
Заболевание, с одной стороны, не массовое. Но всё же случается, особенно, в определённых регионах. А, как известно, вооружён тот, кто предупреждён.
На вопросы об энцефалите отвечает врач-невролог «Клиника Эксперт» Смоленск Ирина Сергеевна Игнатьева.
– Ирина Сергеевна, давайте начнём с определения: что такое энцефалит?
– Если коротко, энцефалит – это воспаление вещества головного мозга. Когда, к примеру, мы говорим о менингите, то имеется в виду воспаление оболочек мозга. А при энцефалите воспаляется именно его вещество. В Международной квалификации болезней (МКБ-10) энцефалит, как основное заболевание, значится под кодом G04. Его подвиды имеют другие обозначения.
– Каковы причины развития энцефалита?
– Первичные энцефалиты возникают в результате проникновения вируса через гематоэнцефалический барьер. Они могут быть вызваны, например, вирусом герпеса или арбовирусом, переносчиками которого являются иксодовые клещи. В отдельных случаях болезнь развивается в результате осложнения после вакцинации. Вторичные энцефалиты возникают после перенесённого гриппа, кори, ветряной оспы.
Подробнее о ветряной оспе у детей читайте в нашей статье
– Энцефалит – это сезонное или региональное заболевание?
– Энцефалит может быть и сезонным, и региональным заболеванием одновременно. К примеру, клещевой энцефалит. Пик заболеваемости приходится на весенне-летний период – клещи в это время наиболее активны. Теперь о региональности. В основном иксодовые клещи (клещи-переносчики вируса клещевого энцефалита) встречаются в Сибири, на Дальнем Востоке, на Урале, но, случается, и в Центральном федеральном округе. А, скажем, для герпетического энцефалита не важны ни сезонность, ни региональность – это заболевание может развиться у человека в любом районе и в любое время.
Ещё отметим такой факт: клещевым энцефалитом можно заболеть и в результате употребления в пищу сырого, содержащего вирус, коровьего или козьего молока.
– Каковы симптомы энцефалита?
– Это головная боль , тошнота, рвота, лихорадка (повышение температуры тела более 37 градусов Цельсия), могут присутствовать спутанность сознания и дезориентация в пространстве, судороги, двигательные и чувствительные нарушения. В отдельных случаях наблюдаются психические расстройства.
– Ирина Сергеевна, доводилось встречать такую формулировку: для выявления вирусного энцефалита исследуется ликвор. О чем идёт речь?
– Речь идёт о диагностике заболевания. При подозрении на энцефалит проводится люмбальная пункция для исследования спинномозговой жидкости, которая и называется ликвором.
Необходимо сдать общий анализ крови, провести ЭЭГ, МРТ и КТ головного мозга – для исключения других болезней (опухоль, абсцесс головного мозга).
Если МРТ головного мозга показало… На некоторые наиболее часто задаваемые вопросы об МРТ головного мозга и его сосудов отвечают врачи ГК Эксперт
– Если энцефалит может вызываться вирусами, то, наверное, существуют и соответствующие прививки?
– Прививка разработана только против клещевого вирусного энцефалита. Вакцинация против него включена в специальный календарь профилактических прививок по эпидемическим показаниям. То есть в национальный календарь такая прививка не входит, она актуальна только для определённых, эндемичных регионов – выше мы говорили о них. В общей сложности, делается три прививки: вторая – через две недели после первой, и третья – через год после второй. Причём планировать вакцинацию нужно таким образом, чтобы с момента второй прививки до возможной встречи с клещом прошло не менее двух недель.
– Насколько эффективна прививка против энцефалита?
– Повторю: если речь идёт именно о клещевом энцефалите – практически на сто процентов.
– Как проводится лечение энцефалита?
– В каждом лечебном учреждении – особенно в эндемичных районах – должен быть в наличии определённый запас так называемого противоэнцефалитного иммуноглобулина. Это иммунологически активная фракция белка, которую выделяют из донорской сыворотки или плазмы вакцинированного человека. Заболевшему её вводят внутримышечно, и антитела начинают бороться с вирусом. Подчеркну: здесь вновь идёт речь именно о клещевом энцефалите.
Кроме того, применяется симптоматическая терапия: жаропонижающие, обезболивающие препараты, при необходимости лекарства, восполняющие объём жидкости в организме.
– Передаётся ли вирус энцефалита от человека человеку?
– Что поможет избежать заболевания?
– Против клещевого энцефалита – прививки. Кроме того, в эндемичных районах проводится обработка местности специальными противоклещевыми препаратами. После того, как вы побывали на природе, следует внимательно осмотреть себя и тех, с кем выезжали, чтобы своевременно обнаружить и снять с тела клеща. Если он всё-таки успел присосаться, не стоит пытаться избавиться от него самостоятельно, лучше добраться до ближайшего травмпункта или любого медучреждения, где этим займутся специалисты – чтобы в теле не осталось никаких фрагментов членистоногого.
Чтобы максимально снизить риск заболевания вторичным энцефалитом, необходимо проходить вакцинацию от кори, паротита, гриппа, ветряной оспы, герпеса. Избегать мест большого скопления людей во время эпидемий ОРВИ. Не помешает в такое время ношение ватно-марлевых повязок. При наличии герпеса или какого-то иного недомогания инфекционной природы необходимо своевременно обращаться за медицинской помощью.
Также желательно исключать факторы, приводящие к ослаблению защитных сил организма: это недосыпание, стрессы, переохлаждение, чрезмерные физические нагрузки.
Беседовал Игорь Чичинов
Редакция рекомендует:
Для справки:
Игнатьева Ирина Сергеевна
Выпускница лечебного факультета Смоленской государственной медицинской академии 2004 года.
В 2005 году окончила интернатуру, а в 2007 - клиническую ординатуру по неврологии.
В настоящее время - врач-невролог первой категории. Ведёт приём в «Клиника Эксперт» Смоленск по адресу: ул. 8 Марта, д. 20.
Другие статьи по теме
От него не скроешься. Рано или поздно с ним встречается каждый человек. Паниковать не стоит, но лечиться надо. Что мы знаем о вирусе Эпштейна-Барр?
Коронавирус. Тема сегодня более чем актуальная. Что за напасть появилась в Китае. «Коронованный» вирус. Что такое коронавирус?
Такое заболевание как дифтерия известно с древних времён. О ней упоминают ещё. Коварная «плёнка». Что такое дифтерия?
МРТ при энцефалите
Магнитно-резонансная томография – один из наиболее эффективных методов, которые позволяют получить максимально информативные сведения о состоянии организма человека.
При быстром проведении такого обследования, вы получите гарантию того, что у врачей будет достаточно сведений для постановки диагностики и последующего начала лечения.
Использование метода магнитно-резонансной томографии направлено на то, чтобы сформировать трехмерную модель органа. Таким образом, удается получить максимум сведений о том, в каком состоянии он находится на данный момент, не были ли изменены размеры, структура.
Благодаря отсутствию лучевой нагрузки на организм человека, полностью исключается опасность. Таким образом, можно проводить обследование даже для детей и беременных женщин.
Существенно упрощается и процесс периодического обследования. У врачей появляется возможность контролировать изменение состояния пациента, отмечать, насколько эффективен выбранный метод лечения.
Часто метод магнитно-резонансной томографии используется при диагностике энцефалита. Рассмотрим, как МРТ способно помочь при таком заболевании, в чем преимущество использования подобного подхода.
Особенности энцефалита
Под общим названием «энцефалит» скрывается сразу несколько патологических состояний. Их объединяет одно – при протекании происходит воспаление вещества головного мозга.
Энцефалит встречается в разных возрастных группах. При этом больше всего ему подвержены дети и пожилые люди. Болезнь часто начинает формироваться на фоне ослабленного иммунитета.
Сразу ответим на главный вопрос материала – видно ли на МРТ энцефалит головного мозга. Врачи отмечают, что его можно определить с использованием магнитно-резонансной томографии в 90% ситуаций.
При этом заболевание отслеживается на ранней стадии, пока не успевает нанести организму серьезные повреждения, а лечение проходит намного эффективнее.
Существует множество причин, по которым может начать развиваться энцефалит. К ним относятся такие, как попадание в организм человека грибков, вирусов, бактерий. Некоторые паразиты также способны провоцировать развитие в мозге воспалительного процесса.
Болезнь может стать следствием перенесенных аутоиммунных поражений, сильных аллергических реакций, выраженной интоксикации. Так как мозг также участвует в процессе кровообращения, он часто оказывается подверженным воздействию инфекций, которые циркулируют внутри организма.
Также проникновение инфекции возможно на фоне контакта с зараженными нервными волокнами, тканями, которые затронуты выраженным воспалительным процессом.
Болезнь протекает по-разному. В патологический процесс могут вовлекаться различные части мозга, в том числе, мозжечок, белое вещество, кортикальные и стволовые структуры.
Многое зависит от изначальной причины развития такого заболевания, а также особенностей его протекания, первоначального возбудителя и многих других факторов, которые стоит учитывать медикам.
Именно МРТ в таком случае становится наиболее эффективным средством для выполнения диагностики. Оно предоставляет врачам максимум информации, которую затем можно будет использовать как для постановки диагноза, так и для профессионального лечения.
Основные симптомы энцефалита
Первоначально на наличие в организме заболевания указывает сразу несколько признаков. К ним относятся такие, как:
- Сильная лихорадка. Обычно возникает без каких-либо внешних причин.
- Частые и выраженные головные боли. Могут быть разной локализации в зависимости от того, где именно располагается очаг воспаления.
- Рвота и тошнота. Наблюдаются без выраженных на то причин.
- Затуманенное сознание. Человек может упасть в обморок, перестать ориентироваться в пространстве, не узнавать окружающих или не отдавать отчет в своих действиях.
- Речевые нарушения. Характерна заторможенность, бессвязность, неспособность построить длинное предложение.
- Повышенная чувствительность к свету. При взгляде на источник света, человек начинает жаловаться на сильную резь в глазах, не может сфокусировать их на предмете.
- Повышение температуры кожи. Наблюдается не так часто, но становится причиной того, что болезнь путают с другими, менее опасными заболеваниями.
- Расстройство сна. Распространена как бессонница, так и длительный сон, от которого сложно пробудиться.
- Расстройства поведения. Человек может становиться подавленным или раздражительным без видимых причин.
- Сбои в работе органов дыхания. Может возникать одышка, неровное, сбивчивое дыхание.
- Неврологические симптомы. Обычно имеют очаговый характер. У многих пациентов наблюдаются выраженные параличи и парезы.
И это лишь часть богатого списка симптомов, которые медики диагностируют у больных энцефалитом пациентов. При этом важно как можно скорее провести МРТ, чтобы понять, в каком состоянии находится человек на данный момент, какое лечение оказывается для него наиболее предпочтительным.
В некоторых случаях, на фоне протекания болезни могут начаться даже эпилептические припадки.
Важно понимать, что симптомы могут значительно отличаться в зависимости от того, насколько сильно был поражен мозг. Этот фактор также влияет и на потенциальную успешность лечения.
В худшем случае, вероятно развитие отека мозга и летального исхода. Если не обеспечить правильную диагностику и лечение энцефалита, есть реальный риск столкнуться с потерей памяти, утратой когнитивных функций, сильными нарушениями речи, потерей чувствительности, ухудшением двигательной способности.
Главные разновидности энцефалита
Выбор определенного метода лечения будет зависеть от того, насколько сильно успело распространиться поражение, какие области мозга оно затронуло в процессе. Обычно медики выделяют воспалительные процессы двух типов:
- Лейкоэнцефалит. Поражает белое вещество головного мозга.
- Полиоэнцефалит. Затрагивает серое вещество головного мозга.
Также может распространяться и еще более опасное проявление – панэнцефалит. Для него характерен диффузный характер поражения. При этом все случаи могут протекать по-разному, но представлять большую угрозу для здоровья и жизни человека.
Большое значение имеет зона поражения, которая была затронута в процессе. В частности, энцефалит может быть как очаговым, так и диффузным.
Отличается и характер протекания заболевания. Медики наблюдают геморрагический, гнойный, серозный тип заболевания.
Есть также классификация в зависимости от стадии заболевания. Обычно первичный вариант становится следствием поражения организма человека вирусами или микробами. Он развивается на фоне укусов насекомых.
Принято больше всего опасаться клещей, но потенциально проблемы также могут создавать и комары, защите от которых человек на природе уделяет меньше внимания.
Также есть вторичный энцефалит. У него намного больше исходных причин. Он развивается как осложнение заболеваний или сопровождает некоторые типы поражения организма. Существует несколько основных типов вторичного энцефалита, среди которых:
- Вирусный. Обычно появляется из-за различных вирусов, таких, как корь или грипп. Начинается в результате осложнения заболевания, если человек не лечится или пытается перенести все на ногах. При этом есть вероятность выраженных поражений мозга, быстрого развития отека.
- Паразитарный или грибковый. В группе риска оказываются все категории людей. Обычно попавшие в организм споры грибка или паразиты могут провоцировать воспалительные процессы, если иммунитет человека по каким-либо причинам оказывается ослабленным.
- Бактериальный. Есть множество видов бактерий, которые провоцируют развитие поражения. К ним относятся такие, как стафилококки, менингококки, гемофильные палочки и многое другое.
Достаточно редко, но все-таки наблюдается проявление поствакцинального энцефалита. Он становится побочной реакций на различные прививки.
Стоит также упомянуть и энцефалит Расмуссена. Он имеет хроническое течение и аутоиммунную природу. Приводит к выраженным атрофическим изменениям, которые обычно затрагивают только одно полушарие мозга.
Диагностика энцефалита на МРТ

Магнитно-резонансная томография (МРТ) головного мозга является мощным диагностическим методом, который помогает визуализировать многочисленные заболевания головного мозга, включая энцефалиты различного происхождения. Термин энцефалит объединяет в себе группу заболеваний, которая характеризуется воспалением головного мозга. Вызывать воспалительный процесс могут вирусы, бактерии, грибы и паразиты.
- кровь;
- по нервным отросткам;
- непосредственный контакт с очагом инфекции при отитах, синуситах и мастоидитах.
БЕСПЛАТНАЯ
КОНСУЛЬТАЦИЯ О ДИАГНОСТИКЕ
Если сомневаетесь, запишитесь на бесплатную консультацию.
Или проконсультируйтесь по телефону
Диагностика энцефалита
- лихорадка
- головная боль
- рвота и понос
- проблемы с дыханием
- эпилептические припадки
- нарушение речи
- снижение уровня сознания
- светобоязнь
- нарушение в поведении
- наличие очагов поражения ЦНС (парезы конечностей, афазии).
Типы энцефалита
- некроз тканей;
- кровоизлияния;
- накопление контрастного препарата гадолиния.
- наличие отека;
- гной будет ярко светиться на диффузионно-взвешенном изображении.
- атрофия вещества головного мозга
- компенсаторное расширение боковых желудочков.
Процедура МРТ при энцефалите головного мозга
Первым делом человек должен записаться на прием в МРТ кабинет. МРТ при энцефалите в медицинских центрах СПб проводят с контрастным усилением. Она не подразумевает какой-либо особой подготовки пациента, нужно только прекратить прием пищи за 4-2 часа до начала сканирования. Перед исследованием пациента попросят снять с себя все металлическое и оставить в комнате подготовки все электронные устройства. Затем обследуемого уложат на томографический стол, оденут на зону головы особую МРТ катушку и передвинут внутрь томографа. МРТ аппарат начнет процесс сканирования, в ходе которого пациенту нужно не двигать головой и не разговаривать.
Сама диагностическая процедура длится около 40 минут и включает этап внутривенного введения контрастного вещества. Результаты в большинстве МРТ центров СПб пациент получает сразу после сканирования, немного подождав. В ходе скрининга головного мозга специалист по диагностике получает серию изображений структур головы в нескольких проекциях. На основе получившихся снимков делается тщательный анализ и последующее заключение.
Результаты МР обследования - это медицинский документ, правильно прочитать и понять который могут только специалисты. Поэтому, по итогам МР - сканирования всегда необходимо прийти на консультацию к своему лечащему врачу. Именно он поставит окончательный диагноз, определит, каким образом следует лечить болезнь, и есть ли необходимость в дополнительных обследованиях. Побочных эффектов от магнитно-резонансного исследования почти никогда не бывает. Контрастный препарат, который вводят в вену, нетоксичен, его состав базируется на солях гадолиния. Наиболее часто в медицинских центрах СПб применяется медицинский компонент Гадовист или Магневист. Противопоказания к МР-обследованию с контрастом малочисленны. Это наличие в теле кардиостимулятора, ферромагнетиков (металлических элементов). Все остальное ограничения: клаустрофобию, почечную и печеночную недостаточность, бронхиальную астму, беременность нужно обсуждать индивидуально с врачом-рентгенологом. Если Вас интересует вопрос, где можно быстро и недорого сделать МРТ головного мозга при энцефалите в Санкт-Петербурга и Лен. области, смело звоните в Городской центр записи, мы обязательно сможем Вам помочь.
Энцефалит
Энцефалит — это воспаление паренхимы головного мозга, возникающее в результате прямой вирусной инвазии или как постинфекционное иммунологическое осложнение, вызванное реакцией гиперчувствительности на вирус или другой чужеродный белок. К симптомам относятся лихорадка, головная боль и психические нарушения, как правило, в сочетании с судорожными приступами или очаговой неврологической симптоматикой. Для диагностики необходимо проведение анализа спинномозговой жидкости и нейровизуализации. Лечение включает назначение по показаниям противовирусных препаратов (например, при энцефалите, ассоциированном с вирусом простого герпеса), а в остальных случаях поддерживающее.
Этиология энцефалита
Первичная вирусная инфекция
Вирусы, вызывающие первичные энцефалиты, поражают непосредственно вещество головного мозга. Эти инфекции подразделяются на:
Спорадические (например, из-за цитомегаловируса Цитомегаловирусная инфекция (ЦМВ) Цитомегаловирус (ЦМВ, вирус герпеса человека 5 типа) может вызывать инфекции широкого диапазона тяжести. Синдром, инфекционного мононуклеоза без тяжелого фарингита, – распространенное явление. Прочитайте дополнительные сведения или простого герпеса Инфицирование вирусом простого герпеса (ВПГ) Вирусы простого герпеса (герпесвирусы человека типы 1 и 2) обычно вызывают рецидивирующую инфекцию, поражающую кожу, рот, губы, глаза и гениталии. Распространенные тяжелые инфекции включают. Прочитайте дополнительные сведения , лимфоцитарного хореоменингита Лимфоцитарный хориоменингит Лимфоцитарный хориоменингит вызывается аренавирусом. Он обычно вызывает заболевание, похожее на грипп или асептический менингит, иногда с сыпью, артритом, орхитом, паротитом или энцефалитом. Прочитайте дополнительные сведения , бешенства Бешенство Бешенство – это заболевание вирусной этиологии, сопровождающееся развитием энцефалита и возникающее при передаче вируса со слюной при укусе зараженными летучими мышами и некоторыми другими млекопитающими. Прочитайте дополнительные сведения или вируса эпидемического паротита Эпидемический паротит (свинка) Свинка – острое системное вирусное заболевание, которое обычно вызывает болезненное увеличение слюнных желез, как правило, околоушных. Осложнения могут включать орхит, менингоэнцефалит и панкреатит. Прочитайте дополнительные сведенияПередаваемые комарами арбовирусные энцефалиты поражают людей весной, летом и ранней осенью при теплой погоде (см. Некоторые виды арбовирусных энцефалитов [Some Arboviral Encephalitides] Некоторые виды арбовирусных энцефалитов ). Заболеваемость в США варьирует от 150 до > 4000 случаев в год, преимущественно у детей. Большинство случаев заболевания регистрируется во время эпидемий.
В США наиболее распространен спорадический энцефалит, обусловленный вирусом простого герпеса Инфицирование вирусом простого герпеса (ВПГ) Вирусы простого герпеса (герпесвирусы человека типы 1 и 2) обычно вызывают рецидивирующую инфекцию, поражающую кожу, рот, губы, глаза и гениталии. Распространенные тяжелые инфекции включают. Прочитайте дополнительные сведения 40 лет, а при отсутствии лечения, как правило, приводят к смертельному исходу.
Энцефалиты могут также развиваться и как запоздалая реактивация латентной или субклинической вирусной инфекции. Самыми известными типами являются
Прогрессирующая мультифокальная лейкоэнцефалопатия Прогрессирующая многоочаговая лейкоэнцефалопатия (ПМЛ) Прогрессирующая мультифокальная лейкоэнцефалопатия (ПМЛ) развивается вследствие реактивации JC-вируса. Как правило, это заболевание развивается на фоне ослабленного клеточного иммунитета, в. Прочитайте дополнительные сведенияГерпес простого типа 1 и опоясывающий герпес энцефалит
Иммунологические реакции
Энцефалит может развиваться как вторичное иммунологическое осложнение определенных вирусных инфекций или вакцинаций. Воспалительная демиелинизация в головном и спинном мозге может развиваться спустя 1–3 недель (в качестве острого диссеминированного энцефаломиелита); иммунная система поражает один или более антигенов в центральной нервной системе (ЦНС), похожих по своей структуре на белки инфекционного агента. Наиболее частой причиной этого осложнения являются корь, краснуха, ветряная оспа и эпидемический паротит (все они в настоящее время встречаются не так уж часто в связи с широким распространением вакцинации детей), вакцинации против натуральной оспы и живыми вакцинами (например, при применении антирабической вакцины старого образца, которая изготавливалась из головного мозга овец или коз). В настоящее время в США большинство случаев такого энцефалита развивается вследствие инфекций, вызванных вирусами гриппа грипп Грипп – вирусная инфекция, вызывающая лихорадку, острый ринит, кашель, головную боль и недомогание. Летальные исходы возможны во время сезонных эпидемий, особенно среди пациентов группы риска. Прочитайте дополнительные сведения типа А или В, энтеровирусами Обзор инфекций, вызванных энтеровирусами (Overview of Enterovirus Infections) Энтеровирусы наряду с риновирусами (см. Простуда) и парэкховирусами человека являются вирусами из рода пикорнавирусов (pico- или маленькие РНК-вирусы). Все энтеровирусы генетически гетерогенны. Прочитайте дополнительные сведения , вирусом Эпштейна–Барр Инфекционный мононуклеоз Инфекционный мононуклеоз вызывается вирусом Эпштейна – Барр (ЭБВ, герпесвирус человека тип 4), проявлениями заболевания является общая слабость, лихорадка, фарингит и увеличение лимфатических. Прочитайте дополнительные сведения . Иммунологически опосредованный энцефалит также встречается у пациентов с раком и другими аутоиммунными нарушениями.
Энцефалопатии, вызванные образованием аутоантител к нейронным мембранным белкам (например, к рецепторам Nметил d -аспартата [NMDAR]), могут имитировать вирусный энцефалит. Исследования показывают, что анти-NMDA-рецепторный энцефалит встречается чаще, чем вирусные энцефалиты. Он был впервые описан у молодых женщин с тератомой яичников, но может встречаться у обоих полов и в любом возрасте. Анти-NMDA-рецепторный энцефалит также возникает как постинфекционное осложнение энцефалита, вызванного ВПГ, приводя к клиническому ухудшению в течение нескольких недель после инфекции ВПГ.
Патофизиология энцефалита
В пораженных инфекцией участках в веществе обоих полушарий большого мозга, а также в стволе головного мозга, мозжечке и иногда в спинном мозге развивается острый энцефалит (миелит) с воспалительной реакцией и отеком. При тяжелом течение инфекции могут наблюдаться петехиальные кровоизлияния. Прямое патогенное действие вируса обусловливает повреждение нейронов, иногда сопровождающееся образованием внутриклеточных включений, видимых в микроскоп. Тяжелый инфекционный процесс, в частности (ВПГ)-энцефалит без соответствующего лечения может приводить к геморрагическому некрозу вещества головного мозга.
Острый диссеминированный энцефаломиелит характеризуется множественными очагами перивенозной демиелинизации и отсутствием вируса в веществе головного мозга.
Симптомы и признаки энцефалита
Симптомы энцефалитов включают лихорадку, головную боль и психические изменения, часто сопровождающиеся судорожными приступами и очаговой неврологической симптоматикой. Этому может предшествовать продромальный период с клиническими проявлениями со стороны желудочно-кишечной и дыхательной систем. Менингеальный синдром, как правило, выражен незначительно на фоне других клинических проявлений.
Приступы нарушения обоняния, проявляющиеся как аура неприятных запахов (тухлых яиц, горелого мяса), указывают на вовлечение височной доли и предполагают герпетический энцефалит.
Диагностика энцефалита
Исследование спинномозговой жидкости (СМЖ)
Энцефалит следует подозревать у пациентов с необъяснимыми психическими изменениями. Особенности клинической манифестации и дифференциально-диагностический процесс могут обусловливать проведение целого ряда определенных исследований, однако в любом случае необходимо выполнение МРТ головного мозга и люмбальной пункции (включая исследование методом полимеразной цепной реакции (ПЦР) спинномозговой жидкости на ВПГ и другие вирусы). Как правило, данные процедуры для определения вируса, являющегося возбудителем заболевания выполняются совместно с другими тестами (например, серологические тесты). Несмотря на детальное обследование, во многих случаях причина энцефалита остается невыясненной.
Цитомегаловирусный энцефалит должен рассматриваться у пациентов с ВИЧ/СПИДом или другими иммунодефицитными состояниями и может быть диагностирован с помощью ПЦР.
Контрастная МРТ является чувствительным методом для выявления энцефалита, вызываемого ВПГ, на ранней стадии; при исследовании выявляется отек в орбитофронтальной и височной областях, которые наиболее часто поражаются ВПГ. При прогрессирующей мультифокальной лейкоэнцефалопатии МРТ-исследование позволяет выявить признаки демиелинизации, а при энцефалите Западного Нила и восточном лошадином энцефалите – изменения со стороны базальных ядер и таламуса. МРТ позволяет также исключить поражения, схожие с вирусным энцефалитом (например, абсцесс головного мозга Абсцесс головного мозга Абсцесс головного мозга представляет собой локальное скопление гноя в веществе мозга. Клиническая картина может включать в себя головную боль, вялость, лихорадку и очаговую неврологическую симптоматику. Прочитайте дополнительные сведенияДля диагностики ВПГ-энцефалита КТ является менее чувствительным методом по сравнению с МРТ, но также может оказаться полезным ввиду своей большей доступности и возможности исключить состояния, которые могут сделать проведение люмбальной пункции рискованным (например, объемные образования, гидроцефалия, отек головного мозга).
Исследование СМЖ
Выполняется люмбальная пункция Люмбальная пункция (поясничный прокол) Люмбальную пункцию используют для следующих целей: Оценка внутричерепного давления и состава цереброспинальной жидкости (ЦСЖ) (см. таблицу Аномалии состава спинномозговой жидкости при различных. Прочитайте дополнительные сведения (поясничный прокол). ЦСЖ при энцефалите характеризуется лимфоцитарным плеоцитозом, неизмененным уровнем глюкозы, несколько повышенным содержанием белка и отсутствием микроорганизмов, обнаруживаемых окрашиванием по Граму и культивировании (аналогичные результаты наблюдаются для ЦСЖ при асептическом менингите). При тяжелых инфекциях плеоцитоз может быть полиморфонуклеарным. В первые 8–24 часов после появления симптоматики в ликворе могут отсутствовать какие-либо изменения. При геморрагическом некрозе в ликворе будут наблюдаться эритроциты и повышенный уровень белка. В случае если энцефалит вызван вирусом опоясывающего герпеса, эпидемического паротита или лимфоцитарного хориоменингита, содержание глюкозы в ликворе может быть понижено.
Проведение культурального исследования возможно для энтеровирусов, но не для большинства других вирусов. По этой причине этот вид исследования ЦСЖ был заменен на ПЦР и с диагностической целью проводится редко.
Определение в ЦСЖ титра антител класса IgM к вирусу полезно для диагностики острого периода инфекции, особенно при энцефалите Западного Нила, при котором результаты этого исследования даже более надежные, чем ПЦР. Определение титров IgG и IgM в СМЖ может быть более чувствительным методом, чем ПЦР при энцефалите, вызванном реактивацией инфекции вируса ветряной оспы. Серологическое исследование ЦСЖ и крови в остром периоде и в динамике при выздоровлении должно разделяться несколькими неделями; при этом может определяться повышение титра специфических антител против вирусного агента.
Магнитно-резонансная томография как инструмент прогнозирования при энцефалитах у детей

Ключевые слова
Полный текст
Нейроинфекции у детей являются одной из важнейших проблем современной медицины. Своевременная диагностика и научно обоснованное прогнозирование характера течения заболевания и его исходов играют решающее значение в их ведении [1]. В качестве дополнения к клиническому обследованию пациентов широко применяются методы инструментальной диагностики, в частности нейровизуализации [2]. Среди этих методов особое место занимает магнитно-резонансная томография (МРТ), позволяющая осуществлять максимально подробную визуализацию исследуемых органов и тканей [3]. По характеру задействуемых протоколов МРТ можно разделить на структурную и мультипараметрическую [3]. Структурная МРТ позволяет оценить анатомические особенности, распространенность общих и/или очаговых нарушений и их характер. Мультипараметрическая МРТ состоит из следующих методик: диффузионно-взвешенные изображения (diffusion-weighted images, DWI), диффузионно-тензорные изображения (diffusion-tensor images, DTI), МР-спектроскопии (МРС). При исследовании с контрастированием осуществляется оценка характера васкуляризации зоны интереса, интенсивности экстравазации контраста, характеризующей, в частности, целостность гематоэнцефалического барьера.
В клинической практике как метод визуализации чаще всего используется структурная МРТ [3]. Отдельным вопросом для изучения является то, каким именно образом МРТ головного и спинного мозга отражает воспалительные изменения, их взаимосвязь с невральной атрофией, уровнями цитокинов и смертностью [4]. В педиатрической практике при воспалении вещества головного мозга МРТ привлекается в качестве инструмента прогнозирования качества жизни, смертности и риска развития симптоматической эпилепсии [5]. Согласно данным ряда авторов, в том числе по результатам проведенного метаанализа, структурная МРТ не имеет прогностической ценности при таких нозологиях, как аутоиммунный энцефалит [6–11], энцефалит, вызванный вирусом Эпштейна–Барр, и неаутоиммунный лимбический энцефалит [12, 13]. В то же время при обусловленной приемом натализумаба прогрессирующей мультифокальной лейкоэнцефалопатии сообщается о прогностической значимости площади очагов, выявляемых с помощью структурной МРТ [14]. В целях прогнозирования при нейроинфекциях МРТ также применяется с привлечением мультипараметрических и контрастных методик [15–17].
При оценке прогностической ценности структурной МРТ и данных DTI и МРС у пациентов с энцефалитом типа LGI1 (leucin-rich glioma-inactivated 1 protein) было установлено, что в остром периоде на структурной МРТ изменений где-либо, кроме височных долей, не выявлено; по данным DTI регистрировались широко распространенные изменения белого вещества полушарий и мозжечка со снижением по данным МРС уровня глутамина и глутамата [18]. Прогностически значимыми, с точки зрения исходов, оцениваемых по шкале Рэнкина и по шкале когнитивного дефицита Адденбрука, оказались объем сохранного серого вещества и степень дезинтеграции трактов в белом веществе. При рабическом энцефалите, ВИЧ-ассоциированной лейкоэнцефалопатии, японском энцефалите и энцефалите, вызванном вирусом Эпштейна–Барр, также сообщается о значительно более широком спектре поражения головного мозга, выявляемого с помощью DTI, по сравнению с таковым по данным структурной МРТ [19–22]. Пример изменений, выявляемых с помощью структурной МРТ при энцефалитах у детей, представлен на рис. 1.

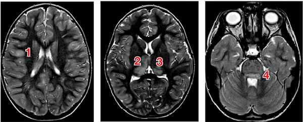
Рис. 1. МРТ головного мозга пациентки Х., 4 года: энцефалит цитомегаловирусной этиологии, острый период заболевания
Примечание. На МРТ в последовательностях Т2 и FLAIR выявляются очаги воспаления в коре (1), таламусах (2, 3) и стволе мозга (4) (собственные данные).
При стволовом энцефалите, обусловленном энтеровирусом EV71, регистрация билатеральных симметричных или унилатеральных гиперинтенсивных Т1 и Т2 очагов, расположенных в задней части ствола, сочетавшихся с очагами в шейном отделе спинного мозга, коррелировала с неблагоприятным прогнозом — смертность у детей с подобным паттерном была достоверно выше, чем у пациентов, у которых регистрировались неинтенсивные одиночные очаги в задней части ствола, не сочетавшиеся с поражением спинного мозга [23].
При проведении структурной МРТ у детей с клещевым энцефалитом описывается широкий спектр изменений с частым поражением таламуса [24–27], хотя прогностического значения при данной этиологии заболевания процедура не имела. В таких случаях рекомендуется проведение МР-спектроскопии [28]. С другой стороны, в исследованиях с участием 111 и 656 пациентов сообщается о достоверной корреляции неблагоприятных исходов клещевого энцефалита с данными структурной МРТ (площадью и расположением очагов) [29, 30].
В работах, анализирующих прогностическую ценность ряда методов исследований, в том числе структурной МРТ, на выборке из 258 пациентов с герпесвирусным и японским энцефалитом, энцефалитом, обусловленным вирусами денге, краснухи, кори, ветряной оспы, а также лептоспирозной, тифозной инфекцией и малярией, указанная методика прогностической значимости также не показала [7, 16].
Пример изменений на МРТ у детей с вирусными энцефалитами, выявляемых с помощью фракционной анизотропии, представлен на рис. 2.

Рис. 2. МРТ головного мозга пациентки Х., 4 года: энцефалит цитомегаловирусной этиологии, острый период заболевания
Примечание. Снижение значений фракционной анизотропии при выполнении диффузионно-тензорной методики (DTI) в очагах косвенно свидетельствует о наличии в них цитотоксического отека; отмечается также сохранение целостности трактов (собственные данные).
При герпетическом энцефалите с помощью мультивариантного анализа было установлено, что ограничение диффузии на МРТ достоверно коррелирует с неблагоприятным исходом заболевания, в то время как расположение или распространенность очагов при FLAIR-/T2-исследовании не выявили достоверной связи [31, 32]. У новорожденных применение DWI при герпетическом энцефалите позволяет выявлять поражение головного мозга на ранних этапах развития заболевания: наличие билатеральных очагов в белом веществе мозга достоверно коррелирует с неблагоприятным прогнозом исхода [33]. Также при вирусном энцефалите у детей показано, что параметры артериальной спин-меченой перфузии (arterial spin-labeling perfusion) коррелируют с неблагоприятным исходом по смертности и развитию судорожного статуса [34]. Методика МР-спектроскопии может быть эффективной в выявлении маркеров разрушения клеточной стенки и часто применяется для этих целей (рис. 3).

Рис. 3. МРТ головного мозга пациентки Х., 4 года: энцефалит цитомегаловирусной этиологии, острый период заболевания
Примечание. При МР-спектроскопии по водороду отмечается повышение пика холина — маркера разрушения клеточной стенки (1) (собственные данные).
Методики с введением контраста также эффективны в прогнозировании развития поражения нервной системы, связанного с воспалением: так, при прогрессирующей мультифокальной лейкоэнцефалопатии у пациентов с ВИЧ накопление гадолиния было достоверно выше при развитии синдрома иммунного восстановления [35].
Пример изменений, не выявленных методом структурной МРТ, но обнаруженных с помощью мультипараметрической МРТ у ребенка с вирусным энцефалитом, представлен на рис. 4.

Рис. 4. МРТ головного мозга пациента М., 10 лет: энцефалит цитомегаловирусной этиологии
Примечание. А, Б — убедительные изменения на Т2-, FLAIR- и DWI-режимах отсутствуют. В, Г — снижение фракционной анизотропии в правой ножке (1) и полушарии мозжечка (2, 3) в сравнении с контралатеральной стороной (косвенные признаки снижения нейрональной плотности), сохранение целостности трактов (собственные данные).
В клинической практике, особенно в педиатрической, целесообразно также сочетание нейровизуализационных методов исследования с нейрофизиологическими, учитывая неинвазивность последних и возможность их применения в режиме мониторинга. При вирусных энцефалитах у детей сочетание МРТ головного мозга с исследованием соматосенсорных вызванных потенциалов позволяет достоверно прогнозировать исход заболевания [36]. Также показана целесообразность подобного сочетания методов дополнительного обследования при дифференциальной диагностике между рассеянным склерозом, диссеминированным энцефаломиелитом и вирусными энцефалитами [37].
Другой нейрофизиологической методикой, используемой в сочетании с МРТ в прогностических целях при герпесвирусном энцефалите, является длительный ЭЭГ-мониторинг [38]. В современных условиях, когда МРТ повсеместно привлекается для оценки не только органических, но и функциональных нарушений, в том числе оценки хода процессов нейропластичности и межполушарных взаимодействий, сочетанное и адекватное применение мультипараметрической МРТ предпочтительно [38–40].
ЗАКЛЮЧЕНИЕ
Применение МРТ в качестве инструмента прогнозирования при энцефалитах возможно и целесообразно. Сведения о прогностической ценности данных структурной МРТ различаются у разных авторов. В последние годы в практику широко внедряются методики мультипараметрической МРТ, использование которых в качестве инструмента прогнозирования в педиатрической практике более перспективно, чем структурной МРТ.
ИСТОЧНИК ФИНАНСИРОВАНИЯ
Исследование проведено без спонсорской поддержки.
КОНФЛИКТ ИНТЕРЕСОВ
Авторы подтвердили отсутствие конфликта интересов, о котором необходимо сообщить.
УЧАСТИЕ АВТОРОВ
Н.В. Марченко, В.Б. Войтенков, О.О. Курзанцева — написание текста; Н.В. Скрипченко — написание текста, общее руководство.
Читайте также:
