Влияние ортодонтической аппаратуры на ткани перидонта. Ткань перидонта и ортодонтическая аппаратура.
Добавил пользователь Владимир З. Обновлено: 30.01.2026
Влияние ортодонтической аппаратуры на ткани перидонта. Ткань перидонта и ортодонтическая аппаратура.
Ортодонтическая аппаратура, перемещая аномалийно расположенный зуб, вызывает, как сказано выше, изменения не только в альвеоле, но и в периодонте, цементе зуба и десне. Перестройка тканей пародонта зависит от конструкции применяемого аппарата, интенсивности развиваемой аппаратом силы, продолжительности его действия и характера проявления силы (прерывистая или непрерывная).
Весьма актуален также вопрос о влиянии повышающих прикус аппаратов на вертикальное перемещение молочных зубов, подвергающихся ортодонтическому вмешательству, а также реакция ткани небного сагиттального шва при расширении верхней челюсти.
Ответ на все эти вопросы дают диссертационные работы советских авторов, опубликованные в последние годы. Так, А. И. Позднякова изучала вопрос о влиянии ортодонтического лечения на ткани пародонта. Автор поставил перед собой две задачи: 1) изучение влияния степени интенсивности применения силы аппарата; 2) изучение влияния различной конструкции аппаратуры.
Указанные вопросы автор изучал комплексно: клинически, экспериментально и рентгенологически.

Для учета клинических данных автором были установлены следующие тесты: болевая чувствительность, подвижность зуба и состояние десны.
На основании клинико-рентгенологических и экспериментальных данных А. И. Позднякова делает следующие выводы.
1. Перемещение зуба при помощи ортодонтическои аппаратуры вызывает реакцию со стороны костной ткани лунки, периодонта и цемента корня, которая выражается в рассасывании или наращивании костной ткани и цемента и в нарушении направления периодонтальных волокон.
2. Рассасывание костной ткани происходит на стороне давления у пришеечной части внутренней стенки лунки. На противоположной стороне, т. е. на стороне тяги, возникает наращивание молодой кости.
На десневых стенках зубных лунок — вестибулярной и оральной — процесс рассасывания и наращивания отмечается в обратном направлении.
3. В периодонте на стороне давления отмечается беспорядочное расположение волокон и расширение периодонтальной щели за счет резорбции стенки лунки.
На стороне тяги волокна периодонта принимают направление, перпендикулярное к оси зуба, а периодонтальная щель суживается за счет наращивания костной ткани.
Изменения в пародонте на рентгенограмме определяются в виде расширения периодонтальной щели и рассасывания верхушек межальвеолярных перегородок, иногда — остеопороза.
4. В костной ткани, в периодонте, а также в цементе корня изменения находятся в прямой зависимости от интенсивности применяемой силы.
Малая сила резиновой тяги более благоприятна, чем большая грубая сила винта. На изменении тканей пародонта, особенно цемента, сказывается продолжительность действия ортодонтической аппаратуры.
Информация на сайте подлежит консультации лечащим врачом и не заменяет очной консультации с ним.
См. подробнее в пользовательском соглашении.
Изменения пародонта при перемещении зубов. Ортодонтические влияния на пародонт
Изменения в пародонте перемещаемых зубов под влиянием механически-действующей аппаратуры, в зависимости от интенсивности и длительности ношения аппарата, Райзман изучал на кроликах. Поставленные им 5 серий опытов позволили, на основе патогистологических исследований зубных, околозубных и челюстных тканей, сделать следующие выводы.
1. Перестройка той или иной ткани происходит с определенной последовательностью. Вначале деструктивный процесс развивается в участках, непосредственно подвергающихся воздействию регулирующего аппарата, затем, в определенный отрезок времени, объективно трудно улавливаемый, наряду с процессами резорбции в околозубных тканях, происходят процессы регенерации. В это же время, на участках, более отдаленных от зуба, процессы дистрофии только намечаются.
2. Процессы восстановления разрушенных тканей, стабилизация формы челюсти и положения зубов происходят в период отдыха животного тогда, когда аппарат не действует.
3. Патологическая нагрузка на резцы верхней челюсти отраженно влияет и на нижнюю челюсть, но процессы резорбции на нижней челюсти наступают значительно позже, протекают менее интенсивно и на меньшей площади.
4. Слабые раздражители, длительно действующие в одном направлении, способны изменить положение зубов, а поэтому регулирующие аппараты должны служить лишь средством возбуждения естественных сил. Таким образом, автор делает вывод, что в практическом отношении целесообразно увеличить продолжительность лечения за счет удлинения промежутка между отдельными манипуляциями, с применением слабых, но надежных сил, приближающихся по своему действию к биологическим раздражителям.

Бауме и Деришвайлер (Baume L. J. u Derichweiler H.) провели эксперименты на трех обезьянах, из которых двум были наложены ортодонтические аппараты: одной — на 2,5 мес, другой — на 472 мес. Рентгенологически и гистологически изучали изменения в височно-челюстных суставах. Результаты показали, что суставной хрящ с его эндохондральным ростковым аппаратом наиболее активно реагирует на функциональную терапию.
На основании этих опытов авторы пришли к выводу, что ортодонтическое лечение может вызвать тканевую перестройку в челюстном суставе. В результате этой перестройки происходит перестройка формы челюстного бугорка. Эти изменения бугорка влияют на положение нижней челюсти в целом. Благодаря перестройке в суставе, можно повлиять на устранение дистального, мезиального, косого и глубокого прикусов.
Перестройка сустава осуществляется таким путем, что аппаратура изменяет деятельность мускулатуры, в особенности целесообразны функциональные активаторы.
Иметнер (R. J. Imettner), Вонг (R. W. Voting) провели эксперимент на обезьяне Macacus rhesus, в опыте продемонстрировали, что зубы с живой пульпой и депульпированные одинаково реагируют на передвижение с помощью ортодонтических аппаратоз. Условием было применение слабых, тщательно регулируемых сил.
Клинические наблюдения подтверждают это положение. При большой силе аппарата может произойти дегенерация пульпы и быстрая резорбция альвеолярного отростка.
Вопросу изменений пародонта при ортодонтическом вмешательстве посвящены также экспериментальные исследования А. И. Поздняковой, проведенные на собаках.
Последний вывод автора подтверждается и данными Сухарева Г. Т., который пишет, что морфологические изменения, возникающие в альвеолярной кости под действием механической и функциональной аппаратуры, протекают без существенных различий и состоят в динамически развивающихся процессах резорбции и аппозиции костной ткани.
Аппаратурный метод лечения аномалий прикуса. Особенности ортодонтической аппаратуры.
Аппаратура, применяемая в ортодонтии, делится нами на шесть групп: 1) механически действующую, функционально направляющую и комбинированную; 2) взаимодействующую и стационарную; 3) одночелюстную и межчелюстную; 4) внутриротовую и внеротовую; 5) съемную и несъемную; 6) исправляющую и удерживающую (ретенционную).
Начнем, с механически действующей и функционально направляющей аппаратуры. Система механически действующих аппаратов, как известно, разработана особенно полно Энглем. Он одновременно научно обосновал механизм действия этой аппаратуры, которую назвал универсальной. Действие аппарата проявляется в применении внешней силы путем использования активной части аппаратуры. Точкой приложения силы аппарата является аномалийно расположенный зуб, и применение силы рассчитано на изолированное действие аппарата на перемещаемый зуб, почти без учета роли естественных сил всего организма вообще и физиологических особенностей челюстного аппарата в частности.
В 1933 г. проф. А. Я. Катц предложил функционально направляющую аппаратуру для лечения деформаций зубочелюстной системы, а в 1936 г. Андреезен и Гойпль описали новый метод функциональной терапии, известный в немецкой литературе под названием FKO, т. е. функциональная челюстная ортопедия (Funktions-Kiefer Ortopadie).
Представители функционального направления рассматривают зубную систему как неотъемлемую органическую часть всего организма. Процессы, протекающие в полости рта, зависимы от состояния всего организма и в то же время они сами оказывают влияние на общее состояние организма. Аномалии зубочелюстной системы, таким образом, увязываются с патологией роста и развития всего организма вообще, а также с аномалией развития окружающих органов в частности. Поэтому основным средством воздействия на аномалийно расположенный участок зубной системы должно быть не только применение внешней силы, но и использование естественных возможностей, заложенных в организме вообще и в жевательном аппарате в частности.
При аппаратурном лечении аномалий прикуса представители функциональной терапии применяют пассивные аппараты, которые сами по себе при покойном состоянии жевательной и мимической мускулатуры не оказывают никакого воздействия на перемещаемые зубы, а проявляют свое действие только при функции мускулатуры.

При сокращении мускулатуры аппаратура производит перемежающееся толчкообразное давление на одну из групп зубов, вызывая в тканях зубочелюстной системы функциональное раздражение, адекватное физиологическому действию мускульной силы. В соответствии с этим происходит и перестройка костной ткани, окружающей аномалийно расположенные зубы, и создание благоприятных условий для их перемещения.
Известно, что функциональные раздражения, связанные с деятельностью органа, носят тканеобразующий характер, вызывают пролиферацию клеточных элементов и рост тканей. В процессе роста этот фактор играет очень важную роль. Функциональное раздражение, однако, имеет лишь тогда тканеобразующее влияние, когда оно достигает определенной силы. Эта сила индивидуальна и зависит от конституциональных особенностей организма и его реактивной способности.
После этой общей оценки перейдем к более подробной характеристике механически действующей и функциональной аппаратуры. Они отличаются не только по источнику силы, но и по дозировке силы, а также по зависимости действия аппарата от функции. Источником силы механически действующей аппаратуры является активная часть аппарата — эластичность резины, пружинящие свойства металлической дуги, винтовая часть аппарата. Активная часть аппарата представляет собой внешний фактор, не зависящий от состояния органов и тканей полости рта.
Источником силы функционально направляющей аппаратуры является сократительная способность жевательной и мимической мускулатуры. В этих случаях в процессе перестройки тканей пародонта при перемещении зуба принимают участие естественные силы всего организма, особенно жевательная мускулатура и весь комплекс органов и тканей, влияющих на сократительную способность мускулатуры.
Что касается дозировки силы, то при применении механической аппаратуры интенсивность действия аппарата устанавливается произвольно врачом, который использует активную часть аппарата. Но он не имеет объективного критерия для суждения об индивидуальных особенностях периодонта и его реактивности и лишен возможности целесообразно дозировать силу при ортодонтическом лечении. Между тем сила давления или тяги, применяемая в ортодонтии, должна быть сугубо индивидуальной и находиться в зависимости от особенностей периодонта и других тканей зубочелюстной системы. В одних случаях периодонт быстро и болезненно реагирует на насильственное передвижение зуба: в этих случаях показано применение малых сил, в других случаях менее чувствительна ответная реакция тканей, окружающих зуб, и поэтому допустимо применение большей силы.
При применении функционально направляющей аппаратуры величина силы дозируется болевыми рецепторами, заложенными в периодонте. Возникновение болевого ощущения рефлекторно вызывает торможение деятельности жевательной мускулатуры, благодаря чему ослабляется сила жевательного давления.
Под влиянием биологической регуляции интенсивности силы, развиваемой аппаратом, у больного быстро вырабатывается новый условный рефлекс безболезненного пользования ортодонтической аппаратурой во время приема пищи. Благодаря вновь выработанному рефлексу больные не жалуются на неудобства, связанные с пользованием аппаратом (Н. И. Агапов).
Наконец, вопрос о функции. Действие механической аппаратуры проявляется независимо от функции полости рта. Новая форма создается действием аппарата насильственно, без увязки и независимо от функциональных раздражений, она поэтому не может быть надолго закреплена, и исправленный участок зубочелюстной системы часто из нового состояния вновь возвращается к относительному равновесию, бывшему при наличии стойкой деформации, т. е. к исходному положению. Возникают часто рецидивы. Другая картина наблюдается при применении функциональной аппаратуры.
Действие функционально направляющей аппаратуры связано всегда с функцией полости рта и проявляется одновременно и параллельно с нею (функцией). Этот фактор оказывает благотворное влияние на эффективность лечения деформации зубочелюстной системы. Вследствие взаимозависимости между формой и функцией морфологические изменения — микро- и макроскопические, происходящие под влиянием действия аппарата в соответствии с функцией в тканях пародонта перемещаемого зуба, становятся более устойчивыми. Кроме того, функционально направляющая аппаратура, действуя только во время функции, развивает, как уже сказано, перемежающееся, так называемое интермиттирующее действие.
Эти паузы между фазой действия аппаратуры и фазой «покоя» тканей от давления и тяги не нарушают кровообращение периодонта и способствуют тому, что аппозиция костной ткани происходит одновременно или вслед за резорбцией. Наконец, функционально направляющая аппаратура действует не только потому, что трансформирует жевательное давление, направляет его силу при помощи наклонной плоскости в желательном направлении, она также разгружает ближайшие участки зубочелюстной системы, разобщая прикус, и этим создает условия для снятия блокады и свободного проявления сил роста и развития молодого организма в целях исправления стойких деформаций.
Таким образом, при пользовании функционально направляющей аппаратурой создается новое физиологическое равновесие в тканях пародонта, способствующее большей устойчивости достигнутых лечебных результатов.
Влияние аппаратуры на ткани пародонта. Теории перестройки костной ткани альвеолы.
Для исправления аномалий прикуса или аномалий положения отдельных зубов врачи-ортодонты применяют преимущественно аппаратурный метод лечения. Аппаратура является источником силы, прилагаемой к перемещаемому зубу, и вызывает определенное напряжение в тканях пародонта.
Возникает соответствующая перестройка во всех элементах пародонта — альвеоле, периодонте, цементе зуба и десне. При этом характер перестройки различный в зависимости от стороны: стороны давления или стороны тяги.
Все эти вопросы уже давно интересуют врачей-ортодонтов и они подверглись экспериментальному изучению. Результаты исследования получались не только разноречивые, но нередко даже противоречивые.
Теории перестройки костной ткани альвеолы под влиянием ортодонтической аппаратуры. По вопросу о влиянии ортодонтической аппаратуры на альвеолу известны три теории: одна (теория Флюренса) заключается в том, что в зависимости от давления или тяги, производимых на зуб, вызываются двоякого рода структурные изменения в альвеоле: аппозиция и резорбция костной ткани. При перемещении зуба, например, из вестибулярного в оральное направление альвеолу можно делить на две части, вестибулярную и оральную.

В вестибулярной части альвеолы на стороне, прилегающей к зубу, ввиду образования щели между зубом и альвеолой благодаря тяге происходит процесс оппозиции, а на противоположной стороне, т. е. на стороне оральной части альвеолы, соприкасающейся с корнем, ввиду производимого зубом давления на костную ткань происходит резорбция костной ткани.
Эта теория не объясняет следующего явления: согласно этой теории происходит, как видно, утолщение вестибулярной части альвеолы и истончение язычной части в местах соприкосновения с зубом, но наружная (десневая) сторона альвеолярного отростка какс оральной, так и с вестибулярной стороны не изменяется. Между тем в ортодонтической практике всегда наблюдается перемещение всего участка альвеолярного отростка кнутри или кнаружи (в зависимости от того, куда перемещается зуб), почти на такое же расстояние, на которое перемещены зубы.
Перемещается не только зуб, а изменяется и положение альвеолярного отростка. Следовательно, теория резорбции и аппозиции в толковании представителей этой точки зрения неудовлетворительна.
Существует еще другая теория — теория Кингслея и Валькгофа, выражающаяся в следующем: компактная часть кости и тем более губчататг— ее часть отличаются эластичностью и даже растяжимостью, особенно в молодом возрасте. Лак известно, губчатая кость состоит из сплетений костных балочек, в петлях которых содержится костный мозг. При применении тяги или давления грубой силы петли изменяют свою конфигурацию и возникают соответствующие изменения во внутримолекулярном напряжении костной ткани.
Возникает разница напряжения в различных участках костной ткани. Этим обусловливается перемещение зубов вместе с альвеолой. Если действие силы, деформирующей костную ткань, долго продолжается, то разность внутримолекулярного напряжения постепенно сглаживается и измененные формы всей кости становятся стабильными. Таким образом, на примере перемещения зуба в оральном направлении можно убедиться, согласно этой теории, что на стороне давления кость вследствие своей эластичности сжимается и отодвигается в оральном направлении, а вестибулярная часть освобождается от напряжения и тягой, передаваемой через альвеолярные перегородки, вся перемещается вслед за зубами орально.
Эта теория в отличие от первой объясняет перемещение аномалийного участка челюстной кости в ту или другую сторону, но она неверна. Она игнорирует всем известный основной фактор генеза костной ткани, который зависит от двух процессов: аппозиции и резорбции.
Наконец, известна еще третья теория — Оппенгейма. Согласно этой теории, при перемещении зуба ортодонтическои аппаратурой происходит не перемещение альвеолярного отростка целиком вместе с зубом вследствие эластичности кости, а перестройка костной ткани его благодаря процессам аппозиции и резорбции. Но резорбция и аппозиция происходят не так, как их толкуют представители первой теории. Если возьмем пример с перемещением зуба в оральном направлении, то, как сказано раньше, альвеола может быть разделена на две части: вестибулярную и оральную.
В каждой из этих частей происходят одновременно и параллельно резорбция и аппозиция. В вестибулярной части на стороне соприкосновения альвеолы с зубом (внутренняя сторона) вследствие отодвигания зуба от альвеолы происходит аппозиция. Резорбция в этой части происходит на наружной (десневой) стороне. Что касается оральной части альвеолы, то в месте соприкосновения с зубом (внутренняя сторона) происходит резорбция, а с наружной (десневой) стороны — аппозиция. Таким образом, наблюдается не утолщение вестибулярной части и не истончение оральной, а почти равномерное изменение структуры тканей обеих частей в процессе перемещения зуба в оральном или вестибулярном направлении.
Вследствие этих процессов перестройки кости перемещается из аномалийного положения в нормальное не только зуб, но и альвеола.
Ортодонтическое лечение у пациентов с тяжелыми формами пародонтитов: клиническое исследование
Сегодня потребность в ортодонтическом лечении возрастает среди всех возрастных и социальных групп. Успех и эффективность такого лечения напрямую зависит от ответной способности пародонтальных тканей. Ортодонтическое перемещение зуба включает реконструкцию альвеолярной кости, в то время как само передвижение ассоциировано с физиологическим процессом клеточной активности в пародонтальной соединительной ткани и активацией остеобласт-остеокласт комплекса в альвеолярной кости. По причине сложности эстетической и функциональной реабилитации, совместное решение пародонтальных и ортодонтических проблем становится необходимостью для достижения терапевтических целей.

Ортодонтическая терапия с применением несъемной и съемной техники может привести к различным побочным эффектам, таким как образование налета или развитие кариеса. Более того, бактериальная обсемененность повышается в местах ретенции, в которых механическое удаление налета становится весьма затруднительным. Данные перемены могут вызвать количественный скачок бактерий, в том числе и пародонтальных патогенов, Actinobacilus actinomycetemcomitans и Porphyromonas gingivalis. Ортодонтическое лечение весьма сказывается на здоровье пародонта, способствуя скапливанию налета, что приводит к увеличению десны, увеличению глубины звуб-десневых карманов, появлению кровоточивости при зондировании. Все перечисленные проблемы решаются строгим подходом в гигиене полости рта в процессе лечения и после него.
По причине постоянной травмы тканей пародонта и снижения поддерживающей функции ортодонтическое перемещение зубов у пациентов с нелеченными пародонтитами противопоказано. Пародонтальное лечение в виде скалинга, сглаживания корней и удаления глубоких карманов должно быть проведено до начала ортодонтической терапии, так как наличие глубоких пародонтальных карманов может переносить микробный налет с наддесневой части в поддесневую, тем самым вызывая утрату прикрепления и развитие ангулярного костного дефекта.
Локализованный агрессивный пародонтит, форма тяжелого заболевания пародонта, ассоциирован с утратой соединительнотканного прикрепления, появлением внутрикостных карманов и вертикальных костных дефектов в некоторых специфичных местах зубной дуги, например первых моляров или резцов в более раннем возрасте.
У 30-50% пациентов, пораженных пародонтитами средней и тяжелой степени, происходит патологическая миграция вместе с утратой прикрепления и тяжелой резорбцией кости, что клинически проявляется в элонгации, диастеме, ротации и лабиальной инклинации центральных зубов.
Для купирования вертикальных костных дефектов весьма успешно применяют регенеративное лечение, однако, при миграции зуба от изначальной локализации, идеальной эстетики и реконструкции межзубного сосочка добиться невозможно, именно поэтому в таких ситуациях возникает необходимость ортодонтического вмешательства.
Комбинация лечения тканей пародонта и интрузия передних элонгированных зубов вместе с контролируемой гигиеной является наилучшим планом лечения для коррекции взаимоотношения зубов при агрессивных формах пародонтитов.
Более того, вертикальное ортодонтическое перемещение может разрешить некоторые костные дефекты у таких пациентов, что устраняет необходимость в последующем хирургическом вмешательстве.
Так как стабильность терапии пародонта находится на первом месте, регулярные визиты и мониторинг являются необходимостью в таких ситуациях. С этой целью проводятся инструктаж по гигиене полости рта, регулярные визиты каждые 3-6 месяцев, измерение глубины десневой борозды, оценка подвижности зубов, рецессии десны и костной структуры.
Настоящее исследование показывает пародонтальные параметры в конце ортодонтического лечения у пациентов с тяжелой формой пародонтитов.
Материалы и методы
Данное неконтролируемое клиническое исследование было одобрено этическим комитетом Tehran University of Medical Sciences Dental School. Осмотры проводились после получения письменного согласия с каждого пациента. Предметом исследования стали восемь пациентов (семь женщин и один мужчина средним возрастом 30 лет), которые были направлены на пародонтологическое лечение агрессивных форм пародонтита с историей экструзии и ортодонтического лечения. У всех пациентов глубина зубо-десневых карманов была >=5 мм, отмечались внутрикостные дефекты, экструзия до 1 мм относительно соседних зубов в зубной дуге, индекс налета менее 15%. В случае наличия системных заболеваний, употребление лекарств последние 3 месяца, курения, отсутствия возможности оплатить ортодонтическое лечение или принимать участие в регулярных осмотрах участники исключались из исследования.
У всех пациентов отмечались клинические и рентгенологические признаки аргессивного пародонтита. Всем был проведен скалинг, сглаживание поверхности корней, а также открытый кюретаж с удалением внутреннего кармана и инфицированного содержимого. Даны инструкции по гигиене полости рта до начала ортодонтического лечения.
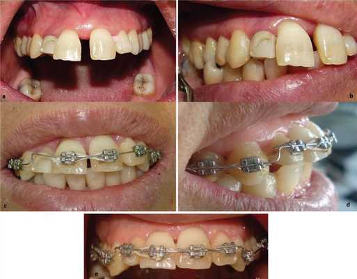
После стабилизации пародонтологического статуса и сокращения пародонтальных карманов до 15% или менее, после установки прочных связей для регулярных визитов проведено фиксирование несъемной ортодонтической техники на всю зубную дугу, проволочная техника интрузии и выравнивания центральных резцов. Нагрузка прилагалась равномерно на каждый зуб 10-15 г (проверено при помощи Correx, HAAG-STREIT Holding, AG) согласно индивидуальному пародонтальному статусу. Для предотвращения якорной убыли мы прибегли к методике полной дуги, корректируя приспособления каждые 4 недели. Инструкции по гигиене полости рта, а также сглаживание поверхностей корней проводилось каждые три месяца. В целом ортодонтическое лечение длилось от 10 месяцев до 2 лет в зависимости от пациента (Фото 1). Затем терапия переведена в фазу ретенции. В конце лечения несъемная аппаратура расфиксирована и зафиксированы ретейнеры (Braided нержавеющая сталь, 0/38 мм, Dentaflex, Germany) на нижнюю и верхнюю челюсть. Снова даны рекомендации по гигиене полости рта.
Фото 1: (а,b) Фронтальный и боковой вид смещенного правого верхнего центрального резца, связанного с утратой кости у пациента с агрессивным локализованным пародонтитом (патологическое перемещение) после лечения тканей пародонта и перед наложение ортодонтической силы (с,d) 6 месяцев ортодонтического лечения техникой полной дуги для интрузии переднего смещенного зуба, (е) конец ортодонтичечского лечения

Определен ПИ с мезиальной, дистальной, щечной и лингвальной поверхностей.
Также определена глубина пародонтального кармана в шести точках: дистолингвальной (DL), лингвальной (L), Мезиолингвальной (ML), Дистобуккальной (DB), Буккальной (B) и Мезиобуккальной (MB) при помощи зонда Уильяма в мм. Кроме того градуированным зондом измерена (в мм) высота от верхушки сосочка до режущего края для сравнения этого показателя у соседних зубов. Затем изготовлены прицельные рентгенограммы. Для достижения правильной позиции пленки изготовлен держатель из силикона для каждого пациента исходя из окклюзионной составляющей. Пленка располагалась параллельно длиной оси и перпендикулярно к источнику с дозировкой 40 Kvp. На рентгенограмме перпендикулярно к корню проведена линия (Tooth Crest point, TC) от самой высокой точки гребня кости (BC). Расстояние между TC и BC показывает ширину костный дефект (DW). Затем проведена линия от BC к точке наибольшего костного дефекта. Расстояние между TC и дефектом кости (BD) показывает глубину дефекта (DD). Для измерения длины корня (RL), проведена линия от нижней границы корня к нижней границе цементо-эмалевого соединения (Фото 2).
Фото 2: Наиболее верхняя граница костного гребня определена как точка BC. Точка, образующаяся при проведении перпендикулярной линии к корню от ВС определена как точка гребень-зуб (TC). Точка, образующаяся при проведении линии из ВС к наиболее глубокой зоне костного дефекта определена точкой BD. Измерение от нижней границы корня до нижней границы цементо-эмалевого соединения признано длиной корня.

Измерения проведены спустя три и шесть месяцев после окончания ортодонтического лечения, в то время как данные статистически проанализированы при помощи повторяющихся измерений ANOVA и Bonferroni на этапе 0, 3 и 6 месяцев после ортодонтической терапии. Статистически значимым принято p
Результаты
Среднее и стандартное отклонение ПИ 27.39+-8,75% в конце ортодонтического лечения (Т0) снизилось до 17.63+-4,57% к третьему месяцу (Т3) и к 6-му месяцу (Т6) стало 11.8 +-2,59%. Изменения в количестве налета признаны статистически значимыми в течение изучаемого периода. Более того, изменения в ПИ выявлены и в промежутке между концом лечения (Т0), третьим месяцем (p=0.032) и шестым месяцем после лечения (p=0.022), что также признано статистически значимым.
Среднее и стандартное отклонение глубины пародонтального кармана определено как 1,93+-0,9 мм, 1,79 +-0,87 мм и 1,7+-0,85 мм на этапе Т0, Т3 и Т6 соответственно. Статистически значимую разницу обнаружили между глубиной кармана на Т0 и Т3 (p=0.042), Т0 и Т6 (р=0.039) и Т3 и Т6 (р=0.047)
Среднее расстояние между режущим краем и вершиной сосочка составило 5.97 +- 0.44 мм на этапе Т0, 5.99 +-0.42 мм на Т3 и 5.97 +-0.33 мм на Т6 без статистической важности (р=0,932)
Кроме того средняя глубина костного дефекта выявлена как 2.5 +-0.46 мм на Т0, 2.34+-0.54 мм на Т3 и 2.09+-0.7 мм на Т6. Сокращение глубины признано статистически значимым на отрезках Т0 и Т3 (р=0.0432), Т0 и Т6 (р=0.039) и Т3 и Т6 (р=0.035).
Также обнаружена значительная разница между Т0 и Т3 (p=0.042), T0 и Т6 (p=0.039), ширина внутрикостного дефекта (2.15+-1.11 мм, 1.9+-1.11 мм и 1.9+-1.11 мм соответственно), на этапе Т3 и Т6 разница признана статистически незначимой (р=0.59).
В случаях агрессивного пародонтита с интракостными дефектами, которые привели к миграции зубов, было применено регенеративное лечение. Так как терапия тканей пародонта неспособна устранить деструкцию, произошедшую по причине патологической окклюзии, особенно приведшей к элиминации десневого сосочка, ортодонтическое лечение решено проводить для интрузии и выравнивании вовлеченных зубов. Стабильность результата также важна по причине обширной костной деструкции, в то время как данных об отдаленных результатов пока не имеется. Кроме того пациенты могут воспринимать удаление аппаратов как конечный этап лечения, опуская фазу ретенции. В приведенном клиническом случае все пародонтальные параметры были получены именно в фазе ретенции с реорганизацией периодонтальной связки после удаления всей аппаратуры.
Некоторые исследования сообщают о побочных эффектах ортодонтического лечения у пациентов агрессивными формами пародонтитов с историей экструзии передних зубов К таким эффектам относится неспособность механического удаления налета после лечения, возможное преобразование наддесневых отложений в поддесневые, деструкция пародонтальных тканей после терапии, повышенная деструкция мягких тканей у таких пациентов. В таких ситуациях для успешного лечения пациентов с вертикальными пародонтальными дефектами мы рекомендуем использование легких ортодонтических сил, а также регулярный контроль налета с контрольными визитами в течение 3-6 месяцев.
В приведенном клиническом случае пациентам были установлены фиксируемые ортодонтические ретейнеры. Данные ретейнеры позволяли совершать физиологические движения, а также приводили к улучшению состоянию тканей пародонта, восстановлению кости и предотвращению ненужных движений. Кроме того данные приспособления не требуют идеальной кооперации врач-пациент и не нарушают эстетику. Если клиническая ситуация требует ортодонтического и пародонтологического лечения, то ретенция и стабильность обоих подходов должна браться во внимание. Хотя многие исследователи настаивают на важности стабильности и ретенции, данных по отдаленным результатам пока имеется недостаточно.
ПИ в течение всего 6 месячного периода постоянно сокращался, что возможно связано с упрощением гигиенического ухода после удаления аппаратов и выравнивания зубной дуги. Такие же данные были получены и Re, до удаления аппаратуры эффективность гигиены полости рта весьма лимитирована, что объясняет большую разницу ПИ между периодами Т0, Т3 и Т6. Кроме того сокращение аккумуляции налета между Т3 и Т6 может быть связано с применением модифицированной басс-технике чистки зубов, которая является наиболее эффективным механическим методом удалении налета. Также очевидным является, что пациент, наблюдая высокие результаты лечения, будет стараться поддерживать их в дальнейшем.
Значительное сокращение глубины патологического кармана на этапах Т0, Т3 и Т4 также ассоциированы с удалением аппаратуры и применением нового модифицированного способа чистки, что приводит у упрощению гигиенических манипуляций, эффективном удалении налета, сокращении патогенной микрофлоры и улучшению состояния десны. Прямая взаимосвязь между ПИ и глубиной пародонтального кармана совпадает с исследованиями, сообщающими о сокращении глубины борозды и восстановлении прикрепления после снижения ПИ и воспалительных явлений.
Значительное улучшение в состоянии тканей пародонта также происходило при совместном использовании хирургических методов и принятии антибиотиков. Эти исследования свидетельствуют о сокращении воспалительного процесса и патогенной популяции как о предвестнике сокращение глубины зубо-десневого кармана. Zhu показал, что у всех пациентов с агрессивными формами пародонтитов младше 40 лет габлюдается сокращение глубины кармана после интрузионной терапии. Хотя стабильность глубины кармана остается после окончания лечения и в течение следующего года, как показал Re, согласно Melsen, сокращение глубины ассоциировано с образованием новой соединительной ткани после активизации клеточной активности периодонтальной связки и закрытию пространство клетками на поверхности зуба. Passanzaei интерпретирует повышенную активность соединительной ткани как результат более активного деления мезенхимальной ткани, по сравнению с эпителиальной. Однако некоторые отчеты отрицают роль новой соединительной ткани в сокращении зондируемой глубины после ортодонтического лечения.
Несмотря на сокращение глубины зубо-десневого кармана, наши исследования не смогли найти разницу между новой соединительной тканью и эпителием соединения, так как для этой процедуры необходимы гистологические образцы, которые в приведенной ситуации получить было невозможно (однако исходя из наблюдений и рентгенологических снимков можно предположить формирование новой соединительной ткани).
Значительной разницы в расстояние между десневым сосочком и режущем краем не выявлено на всех этапах Т0, Т3 и Т6. В этом отношение влияние оказывают стабильные взаимоотношения с соседними зубами, стабильные результаты ортодонтического лечения и отсутствие рецессии. Аналогично с нашими исследованиями Re также не выявил рецессии, внешних изменений, а также улучшение состояние тканей пародонта в течение всего года после лечения у пациентов с агрессивными формами пародонтитов, подвергшихся терапии интрузии и фиксации ретейнеров. Однако Levin считает ретейнеры причиной десневой рецессии из-за ограниченного контроля гигиены, также в результате наблюдений в период 4-40 месяцев после лечения в 50% наблюдалась расфиксация ретейнера.
Длина корней оставалась стабильной в периодах Т0, Т3 и Т6 согласно рентгенографическим снимкам. При проведении интрузии зуба при помощи легких ортодонтических сил резорбция корней не наблюдалась. Силы при проведении интрузии концентрируются у апекса и окружающую кость, при этом в меньшей мере воздействуя на костный дефект, риск ишемического некроза сокращается, клетки пародонтальной связки активируются. С другой стороны имеются данные о признаках корневой рецессии в течение активной фазы ортодонтического лечения как результате натурального механизма сил интрузии, которые связаны с коническими характеристиками передних зубов и концентрации силы на апексе. Ишемический некроз связки, а также малая элиминация перицемента, цементобластов и колонии дентикластов могут быть последствием указанного механизма.
В настоящем исследовании также выявлено значительное сокращение глубины и ширины костного дефекта, особенно явно сокращение ширины произошло между Т3 и Т6. Повышенное образование костной ткани при ортодонтическом перемещении подтверждено разными механизмами, например натяжением периодонтальной связки , которая выступает натуральным барьером для эпителиальных клеток (Guided Bone Regeneration), а также повышенным образованием кости при участии клеток периодонтальных связок, эффект ортодонтических сил является здесь первым толчком в процессе остеогенезе, который начинается также в участках дефектов. После проведенного ортодонтического лечения сокращение внутрикостных дефектов наблюдалось на рентгеновских изображениях. Кроме того устранение феномена раскачивания при помощи ретейнеров позволяет уменьшить воспалительный процесс и снизить активность патогенной микрофлоры, что чрезвычайно важно при образовании и минерализации новой кости. Вдобавок ортодонтическое лечение может приводить к расширению периолонтальной щели с сокращение ремоделирования кости. После прекращения ортодонтической терапии и элиминации силы, периодонтальные связки возвращаются в нормальное состояние. Таким образом сокращение костных дефектов также вызвано переменами в строении периодонтальных структур.
Стабильные размеры дефектов на этапе Т3 и Т6 могут быть интерпретированы как полная костная минерализация на этапе Т3, отсюда можно сделать вывод, что структура периодонтальной щели и связки также возвращается к нормальным размерам в этот период.
Однако авторы утверждают, что для полноценных выводов также необходимы наблюдения отдаленных результатов.
Заключение
Со стороны проведенного лимитированного исследования можно сделать вывод, что добиться стабильных результатов терапии возможно регулярным наблюдением, контролем гигиены полости рта у пациентов с агрессивными формами пародонтитов. Особенность плана лечения такой категории людей состоит в комплексном подходе ведения пародонтальной и ортодонтической патологий.
Авторы:
Afshin Khorsand, Departments of Periodontology
Mojgan Paknejad, Departments of Periodontology
Siamak Yaghobee, Periodontology and Dental Implant Research Center
Amir Alireza Rasouli Ghahroudi, Periodontology and Dental Implant Research Center
Hourieh Bashizadefakhar, Oral and Maxillofacial Radiology, Dental Faculty, Tehran University of Medical Sciences, Tehran
Masoomeh Khatami, Department of Pediatrics Dentistry, Jondishapour University, Ahvaz
Mohsen Shirazi, Department of Orthodontic, Dental Faculty, Tehran University of Medical Sciences, Tehran, Iran
Читайте также:
