Врожденные невомеланоцитарные невусы
Добавил пользователь Евгений Кузнецов Обновлено: 06.01.2026
Аннотация научной статьи по клинической медицине, автор научной работы — Цыплакова Маргарита Сергеевна, Усольцева Анна Сергеевна, Степанова Юлия Владимировна
В данной статье описывается случай редкой врожденной аномалии: гигантский меланоцитарный невус лица. Ошибки в выборе тактики лечения детей с данной патологией и осложнения могут приводить к ухудшению эстетических и функциональных результатов. При выборе способа пластического устранения изъянов, сформировавшихся после удаления невусов, необходимо учитывать анатомические особенности челюстно-лицевой области. В отделении разработана схема комплексного лечения данной группы пациентов. Хирургическое лечение в сочетании с массажем и миогимнастикой, регулярным диспансерным наблюдением обеспечивает хорошие стойкие эстетические результаты. Комплексный подход в лечении детей с гигантскими невусами лица позволяет провести раннюю медико-социальную реабилитацию детей с данной патологией.
Похожие темы научных работ по клинической медицине , автор научной работы — Цыплакова Маргарита Сергеевна, Усольцева Анна Сергеевна, Степанова Юлия Владимировна
Большие и гигантские меланоцитарные невусы челюстно-лицевой области у детей. Особенности морфологического строения и хирургического лечения
Гистологические особенности врожденных больших и гигантских пигментных невусов, хирургическая техника при их устранении
Giant congenital melanocytic nevus of the face. A clinical case report
This article describes a rare case of congenital anomalies: giant melanocytic nevus of the face. Errors in the choice of treatment strategy of children with this disease and their complications can lead to poor aesthetic and functional results. When choosing a method of plastic eliminate defects formed after removal of nevi, it is necessary to take into account anatomical features of the maxillofacial region. The department developed the scheme of complex treatment of these patients. Surgical treatment in combination with massage and myogymnastics, regular medical observation, provides a good aesthetic results. Integrated approach in the treatment of children with giant nevi of the face allows for an early medico-social rehabilitation of children with this pathology.
Текст научной работы на тему «Гигантский врожденный меланоцитарный невус лица»
УДК 616.5-006.31-053.1-089 DOI: 10.17816/PTORS3256-60
ГИГАНТСКИЙ ВРОЖДЕННЫЙ МЕЛАНОЦИТАРНЫЙ НЕВУС ЛИЦА. КЛИНИЧЕСКИЙ СЛУЧАЙ
© Цыплакова М. С., Усольцева А. С., Степанова Ю. В.
ФГБУ «НИДОИ им. Г. И. Турнера» Минздрава России, Санкт-Петербург
В данной статье описывается случай редкой врожденной аномалии: гигантский меланоцитарный невус лица. Ошибки в выборе тактики лечения детей с данной патологией и осложнения могут приводить к ухудшению эстетических и функциональных результатов. При выборе способа пластического устранения изъянов, сформировавшихся после удаления невусов, необходимо учитывать анатомические особенности челюстно-лицевой области. В отделении разработана схема комплексного лечения данной группы пациентов. Хирургическое лечение в сочетании с массажем и миогимнастикой, регулярным диспансерным наблюдением обеспечивает хорошие стойкие эстетические результаты. Комплексный подход в лечении детей с гигантскими невусами лица позволяет провести раннюю медико-социальную реабилитацию детей с данной патологией.
Ключевые слова: врожденные гигантские меланоцитарные невусы, хирургическое лечение, комплексное лечение.
отличаются от приобретенных большим размером и повышенной клеточностью [5]. Кроме того, в зависимости от размеров выделяют мелкие, большие и гигантские невусы.
Проблемы, которые возникают у врачей при лечении гигантских невусов лица, остаются нерешенными. Нет единой классификации и схемы лечения. Ошибки в выборе тактики лечения и осложнения могут приводить к ухудшению эстетических и функциональных результатов.
Материалы и методы
В апреле 2011 г. в отделение челюстно-лицевой хирургии ФГБУ «НИДОИ им. Г. И. Турнера» обратились родители пациентки Н., 2010 г. р. Ребенок родился с гигантским невусом лица.
Невус увеличивался в размерах соответственно росту челюстно-лицевой области. Образование занимало щечную, окологлазничную, височную, лобную область слева, спинку и скаты носа, переносицу, верхнее и нижнее веко слева; имело равномерную темно-коричневую окраску (рис. 1, а, б). Невус покрывал густой волосяной покров. Других меланоцитарных образований у ребенка на теле не было.
После проведенного обследования и консультации онколога проведен первый этап хирургического лечения — реконструктивно-пластическая операция при врожденной аномалии челюстно-
Врожденные меланоцитарные невусы — доброкачественные меланоцитарные опухоли, которые обнаруживаются сразу после рождения или появляются в течение первых недель жизни ребенка [1]. Частота рождения детей с гигантскими невусами составляет примерно 1 случай на 20 000 новорожденных [2].
В своей классификации Allen и Spitz выделили следующие виды невусов: пограничный, сложный, интрадермальный, голубой и юношеская меланома [3]. В зависимости от строения невуса меланоциты располагаются в эпидермальном слое кожи и/или в дерме [4]. А. Г. Баиндурашвили и др. (2011 г.) отмечают, что врожденные невусы
Рис. 1. Диагноз: гигантский невус лица: а — фас; б — профиль
Рис. 2. а — через 10 дней после проведения первого этапа оперативного лечения; б, в — через полгода после операции
Рис. 3. а — произведена тканевая дермотензия экспандером (120 мл); б, в — через 10 дней после проведения второго этапа оперативного лечения; г — через год после операции
лицевой области — иссечение участка невуса щечной области слева и закрытие изъяна местными тканями (использован ротационный лоскут) (рис. 2).
В 2012 г. ребенку было проведено двухэтап-ное хирургическое лечение — реконструктив-но-пластическая операция: установлен тканевой экспандер в области лба; проведена тканевая дермотензия в объеме 120 мл (рис. 3, а); иссечение участка невуса в области лба слева, закрытие изъяна полученным лоскутом и иссечение участка невуса нижнего века слева, комбинированная кожная пластика (использован полнослойный кожный аутотрансплантат из заушной области) (рис. 3, а, б, в, г).
В 2013 г. ребенку был проведен третий этап хирургического лечения — реконструктивно-пла-стическая операция: установлен тканевой экспандер в височной области слева; проведена дермотензия в объеме 50 мл; иссечение участка невуса лобно-височной области, закрытие изъяна полученным лоскутом, иссечение невуса в области носа, комбинированная кожная пластика (использован полнослойный кожный аутотрансплан-тат из заушной области).
В 2014 г. ребенку был проведен четвертый этап хирургического лечения — реконструктивно-пластическая операция: иссечение участка невуса верхнего века, комбинированная кожная пластика (использован полнослойный кожный аутотранс-плантат из заушной области) (рис. 4).
Для предупреждения грубого рубцевания после каждого этапа хирургического лечения проводился массаж послеоперационных рубцов, миогимнастика, использовались противорубцовые гели.
Рис. 4. Результат через год после третьего этапа лечения
Рис. 5. а, б — результат через 10 дней после четвертого этапа лечения; в, г — через год
Пациентка наблюдалась нами после последнего оперативного лечения в течение года. Результаты лечения остались стабильными (рис. 5).
При морфологическом исследовании операционного материала установлен диагноз — «внутри-дермальный невус»: обилие некрупных и средних размеров невусных клеток (меланоцитов), с относительно небольшим количеством слабо окси-фильной цитоплазмы, умеренно базофильными ядрами преимущественно неправильной овоид-ной формы.
В верхних слоях дермы (область сосочкового слоя) невусные клетки формировали четко отграниченные, неправильно-округлые гнездные скопления разных размеров (рис. 6, а). В сетчатом слое клетки располагались обширными «полями» (рис. 6, б).
В глубоких слоях дермы невусные клетки распространялись вплоть до границы с гиподермой и проникали в нее по фиброзным септам, разделяющим ячейки подкожно-жировой клетчатки (рис. 7).
Результаты и обсуждение
Несомненным является факт, что при лечении гигантских невусов лица методом выбора является хирургическое удаление новообразования, что подтверждается гистологическим исследованием (проникновение меланоцитов в глубжележащие ткани). При невозможности одномоментного удаления применяется поэтапное иссечение невусной ткани.
Мы применяем следующие методы пластического устранения изъянов, сформировавшихся после удаления невусов челюстно-лицевой области: местными тканями, свободными аутотранс-
Рис. 6. Гистологическая картина интрадермального невуса (окраска ГЭ; Рис. 7. Граница дермы
а — ув. х 260; б — ув. х 130) и гиподермы (окраска ГЭ)
плантатами и с помощью кожи, полученной в результате дермотензии. При лечении гигантских невусов лица комбинируются все эти методы.
Выбор метода пластической операции индивидуален и зависит от размера и локализации дефекта. Одной из особенностей невусов челюстно-лицевой области является локализация в непосредственной близости от жизненно важных органов. При неправильно выбранной тактике лечения могут формироваться грубые рубцы, приводящие к вывороту век и губ, атрезии носовых ходов, микростоме, ограничению открывания рта. Другой особенностью невусов челюстно-ли-цевой области является дефицит прилежащих к образованию тканей, что ограничивает использование метода закрытия изъянов местными тканями. Также весьма ограничено использование необходимых для получения удовлетворительного эстетического результата близких по цвету и толщине свободных кожных трансплантатов из близлежащих областей (заушной, подчелюстной, области шеи). Использование же при устранении дефектов области лица свободных кожных трансплантатов из отдаленных участков тела, которые резко отличаются от кожи лица по своей текстуре, толщине и цвету, приводит зачастую к репиг-ментации и необходимости проведения повторных корригирующих операций. Выбирая способ закрытия дефектов кожи лица, следует учитывать анатомические особенности лица. Сложный анатомический рельеф диктует свои условия: необходимо разделять лицо на зоны и последовательно восстанавливать их, не объединяя неподвижные части лица с подвижными.
В нашем отделении разработана схема лечения детей с данной патологией с учетом особенностей челюстно-лицевой области. При иссечении неву-са в щечной области образовавшийся изъян закрывали местными тканями. Использовали большие ротационные лоскуты, полученные с нижней зоны лица и шеи. Кожа этой области оптимально подходит по эстетическим показателям. Тканевая дермотензия является методом выбора при локализации невуса в области лба и волосистой части головы. При лечении гигантских невусов лица она дает хорошие эстетические и функциональные результаты, что особенно важно на открытых участках кожи. Этот метод позволяет удалять гигантские невусы большими объемами, используя избыток кожи, полученный на пограничном с не-вусом участке. Свободные кожные аутотрансплан-таты используем в тех областях, где невозможно применить закрытие дефектов местными тканями или тканевую дермотензию. Это область носа и орбиты. Донорским участком является заушная
область. Кожа в этой области подходит к коже лица по цвету и текстуре. Репигментации не наблюдали.
Важную роль в получении хороших эстетических результатов и их закреплении играют массаж и миогимнастика. Постоянный долговременный контоль в рамках диспансерного наблюдения и активное участие родителей необходимы до окончания формирования челюстно-лицевой области. Четкое соблюдение принципов комплексного лечения не только предупреждает развитие рубцовых деформаций, но и значительно улучшает качество жизни детей с этой патологией.
Выраженный дефицит кожи при гигантских невусах лица приводит к необходимости проведения большого количества оперативных вмешательств. При лечении детей с гигантскими невуса-ми лица оптимально использовать комплексный подход. Необходимо комбинировать разные методы пластического устранения изъянов с учетом особенностей челюстно-лицевой области. Большое значение для получения хорошего результата и закрепления результатов хирургического лечения имеют массаж и миогимнастика. Необходим постоянный долговременный контроль и активное участие родителей. Соблюдение всех принципов комплексного лечения позволяет обеспечить раннюю медико-социальную реабилитацию детей с данной патологией.
1. Soyer HH, Argenziano G, Hoffmann-Wellenhof R, Johr RH (Eds.). Color Atlas of Melanocytic Lesions of the Skin. Chap. III; Springer, 2007;106-118.
2. Zaal LH. Giant congenital melanocytic naevi. Amsterdam. 2009;9-37.
3. Топало В.М. Пигментные невусы лица. - Кишенев: Штиинца, 1985. - С. 15. [Topalo VM. Pigmentnyie nevusyi litsa. Kishenev: Shtiintsa, 1985. P. 15. (In Russ).]
4. Пальцев М.А. Неинфекционные заболевания кожи. -М., 2005. - С. 266. [Paltsev MA. Neinfektsionnyie zabolevaniya kozhi. Moscow, 2005. P. 266. (In Russ).]
5. Баиндурашвили А.Г., Филиппова О.В., Красногорский И.Н., Цыплакова М.С. Устранение врожденных больших и гигантских пигментных невусов. // Клиническая дерматология и венерология. - 2011. -№ 4. - С. 29-35. [Baindurashvili AG, Filippova OV, Krasnogorsky IN, Afonichev KA, Tsyplakova MS. Elimination of large and giant congenital pigmented nevi: peculiarities of the treatment strategy. Klin Dermatol Venerol. 2011;4:29. (In Russ).]
GIANT CONGENITAL MELANOCYTIC NEVUS OF THE FACE. A CLINICAL CASE REPORT
Tsyplakova M.S., Usoltseva A.S., Stepanova Yu.V.
The Turner Institute for Children's Orthopedics, Saint-Petersburg, Russian Federation
This article describes a rare case of congenital anomalies: giant melanocytic nevus of the face. Errors in the choice of treatment strategy of children with this disease and their complications can lead to poor aesthetic and functional results. When choosing a method of plastic eliminate defects formed after removal of nevi, it is necessary to take into account anatomical features of the maxillofacial region. The department developed the scheme of complex treatment of
these patients. Surgical treatment in combination with massage and myogymnastics, regular medical observation, provides a good aesthetic results. Integrated approach in the treatment of children with giant nevi of the face allows for an early medico-social rehabilitation of children with this pathology.
Keywords: giant congenital melanocytic nevi, surgical tactics, complex treatment.
Сведения об авторах:
Цыплакова Маргарита Сергеевна — к. м. н., доцент, старший научный сотрудник отделения челюстно-ли-цевой хирургии ФГБУ «НИДОИ им. Г. И. Турнера» Минздрава России.
Степанова Юлия Владимировна — к. м. н., заведующая отделением челюстно-лицевой хирургии ФГБУ «НИДОИ им. Г. И. Турнера» Минздрава России.
Tsyplakova Margarita Sergeevna — MD, PhD, associate professor, senior research associate of the department of maxillofacial surgery. The Turner Scientific and Research Institute for Children's Orthopedics.
Stepanova Yulia Vladimirovna — MD, PhD, chief of the department of maxillofacial surgery. The Turner Scientific and Research Institute for Children's Orthopedics.
Врожденные невомеланоцитарные невусы
Дагестанская государственная медицинская академия, Махачкала
Дагестанская государственная медицинская академия, Махачкала
Дагестанская государственная медицинская академия, Махачкала
Случай врожденного гигантского меланоцитарного волосяного невуса
Журнал: Клиническая дерматология и венерология. 2012;10(5): 42‑45
Эфендиева Г.А., Алиева П.М., Джумалиева М.Д. Случай врожденного гигантского меланоцитарного волосяного невуса. Клиническая дерматология и венерология. 2012;10(5):42‑45.
Éfendieva GA, Alieva PM, Dzhumalieva MD. A case of congenital giant melanocytic hairy nevus. Klinicheskaya Dermatologiya i Venerologiya. 2012;10(5):42‑45. (In Russ.).
Дагестанская государственная медицинская академия, Махачкала
Представлен случай редко встречающегося врожденного гигантского меланоцитарного волосяного невуса. Данное клиническое наблюдение демонстрирует необходимость оценки степени вероятности паранеопластического характера дерматоза.
Дагестанская государственная медицинская академия, Махачкала
Дагестанская государственная медицинская академия, Махачкала
Дагестанская государственная медицинская академия, Махачкала
В последние десятилетия в связи с активной инсоляцией, разного рода иммунными и эндокринными расстройствами в практике врачей-дерматовенерологов стали чаще встречаться различные новообразования кожи (меланоцитарные невусы, базально-клеточный рак кожи, папилломы, меланома и другие опухоли). Актуальность проблемы обусловливается возможной злокачественной трансформацией некоторых новообразований.
В последние годы важную роль отводят изучению патогенетических механизмов развития новообразований кожи, принципов лечения с применением современных методов лечения. В соответствии с классификацией J. Bhawan [1] выделяют 4 основные группы меланоцитарных невусов: эпидермального меланоцитарного происхождения, смешанного дермального и эпидермального происхождения, предшественников меланомы (врожденный и диспластический). Пигментные невусы образуются в результате скопления в разных отделах кожи невоидных клеток, которые отличаются от нормальных меланоцитов отсутствием отростков, редко содержат меланин и не передают его кератиноцитам. Невусы делятся на врожденные и приобретенные.
В зависимости от локализации невоидных клеток различают пограничный невоклеточный (невусные клетки располагаются в нижнем слое эпидермиса), внутридермальный невоклеточный (невусные клетки обнаруживаются в средних и нижних частях дермы), а также сложный невус (сочетает гистологические признаки пограничного и внутридермального невусов). Механизмы озлокачествления не выяснены. Большинство ученых считают наиболее меланомоопасными невусами пограничный, голубой, смешанные невусы-предшественники меланомы, (невус Ота, гигантский пигментный невус), а также ограниченный предраковый меланоз Дюбрея [1].
Локализация гигантских невусов может быть разной (купальник, воротник, жилетка и др.), отдельные очаги могут располагаться строго с одной стороны, достигая срединной линии. Считается, что верхняя часть большинства невусов находится на средней линии спины. В области верхнего плечевого пояса обычно встречаются подобные пигментные невусы с обильным волосяным покровом, расположенные на коже плеч или верхних конечностей. Невусы нижних областей туловища, как правило, переходят на кожу нижних конечностей. При поражении лептоменингеальных оболочек возникает церебральный меланоз, сопровождающийся невусами огромных размеров или множественными невусами волосистой части головы и шеи. В литературе описано 30 случаев злокачественной меланомы, появившейся в гигантском невусе. Из них в 8 случаях меланома была выявлена сразу после рождения, в 12 — после 20 лет. Из 13 вскрытий в 9 обнаружены метастазы. Согласно мнению ряда авторов [2], очаг с локализацией по типу купальника является пренеопластическим гамартомным новообразованием.
Гигантский меланоцитарный невус может сочетаться с другими врожденными пороками развития — гидроцефалией, эпилепсией и др.
Меланоцитарные невусы являются потенциальными предшественниками меланомы. Их развитие связано, возможно, как с наследственными, так и с ненаследственными факторами. Вне зависимости от пола они возникают почти у 1% новорожденных и могут быть представлены пятнистыми, папулезными и узловыми элементами, формируются в период от 40 дней и до 6 мес внутриутробной жизни.
В зависимости от диаметра врожденные меланоцитарные невусы делят на маленькие (менее 1,5 см), средние (1,5—20 см) и гигантские (более 20 см в диаметре). Излюбленная локализация — нижняя часть туловища, верхняя часть спины, предплечья, грудь, проксимальные отделы верхних и нижних конечностей. У новорожденных невусы чаще бывают мелкие и средние, в юношеском возрасте могут быть средними и гигантскими. По мере роста ребенка участки склонны к потемнению и утолщению, рост волос отмечается в 95% случаев. Гигантские невусы трансформируются в меланому в 6—10% случаев.
В отличие от приобретенных меланоцитарных невусов, гистологически врожденные характеризуются повышенным количеством меланоцитов в базальном слое эпидермиса, отсутствием их в сосочковом слое дермы. Невусные клетки расположены вокруг придатков кожи, при гигантских врожденных невусах может происходить рост округлых и вытянутых невусных клеток вглубь, вплоть до подкожной жировой клетчатки. Злокачественное перерождение, как правило, начинается в дермо-эпидермальной зоне, реже — в более глубоких участках невуса.
Дифференциальную диагностику проводят с себорейным кератозом, ихтиозом, базалиомой, меланомой, а также с другими врожденными пигментными поражениями кожи, такими как монгольские пятна, пятна типа «кофе с молоком», лентиго, невус сальных желез, врожденный невус Беккара. При наличии очень темного цвета и неравномерной окраски можно думать о возможности диспластического меланоцитарного невуса или меланомы. Об этом свидетельствуют и изъязвления на поверхности. Врожденные меланоцитарные невусы растут в соответствии с ростом данного участка кожи, особенно в пубертатный период.
При рождении невусы возвышаются над уровнем кожи, со временем они могут приподниматься сильнее. Нередко вокруг невуса появляется ободок депигментации или наступает спонтанная ремиссия.
Редкий случай описан у годовалой девочки при сочетании невуса с диффузной астроцитомой, увеличившейся в диаметре на 3 см в течение 1 года. Такое описание дано в литературе впервые [3]. Также описаны случаи сочетанной патологии, например, с редким заболеванием, таким как туберозный склероз. Девушка 16 лет была госпитализирована с патологическим процессом, локализованным на границе с волосистой частью головы и распространенным до уровня чуть выше левой брови, что вызывало механический птоз. Пациентка родилась с пятном треугольной формы, покрывающим обширный участок волосистой части головы. Размер очага увеличивался в течение 8 лет. На рентгенограмме черепа и при ультразвуковом исследовании головного мозга выявлен отек мягких тканей височно-теменной области. Результаты магнитно-резонансной томографии головного мозга подтвердили наличие патологического очага размером 8,99×2,26 см. Гигантский невус был подтвержден результатами гистологического исследования [4].
Приведено описание гигантского невуса на туловище с крестцово-копчиковой неоплазмой у 2-летней девочки, которой проведено хирургическое вмешательство. Данные гистологии подтвердили доброкачественный характер процесса. При небольших образованиях целесообразна выжидательная тактика и здесь не требуется немедленное оперативное вмешательство [5]. Возможно сочетание меланоцитарного невуса с поражением гениталий [6]. В литературе описан единичный случай комбинации гигантского невуса (область шеи и головы) с плексиформной невриномой и злокачественной опухолью периферической нервной системы. По мнению авторов [7], не исключено взаимное происхождение всех трех указанных заболеваний. Имеется информация о распространении патологического процесса у 6-летнего мальчика вглубь до фасций и мышечной ткани в сакральной области [8].
По данным разных авторов [9], врожденный невус присутствует у 2–3% новорожденных. Риск развития меланомы пропорционален размеру, особенно если речь идет о поражении более 5% поверхности тела или более 20 см у подростков. Риск озлокачествления варьирует от 5 до 40%. Приводится описание невуса у 6-летней девочки (локализациея в области верхнего века), подвергшейся хирургической операции.
По данным индийских ученых, гигантскими волосяными невусами считаются очаги более 10 см, вероятность малигнизации составляет 4—6%. Есть информация о сочетании невусов с витилиго, диффузным липоматозом, болезнью Реклингхаузена [10].
На протяжении 10 лет в детском ожоговом центре проводились наблюдения за пациентами с целью клинической характеристики и оценки результатов лечения. Из них 64 и 36% составляли девочки и мальчики соответственно, представители европейской расы — 47%, латино — 19%. Возраст большинства пациентов соответствовал 1—10 годам (средний возраст 7 лет). В 89% случаев был представлен только 1 очаг поражения, наиболее распространенная локализация — лицо (64% случаев) и голова (17%). Результаты патогистологических исследований подтвердили доброкачественную природу патологического процесса у больных [11].
Лечение невусов зависит от степени риска перехода в меланому. При гигантских формах производят обширное иссечение с последующей пластикой. Обычно проводят детям в возрасте от 6 мес до 1 года. Если операция проводится в более поздние сроки, необходима биопсия пораженных участков.
Невусы маленьких и средних размеров иссекают до наступления пубертатного периода. Рекомендовано (по данным A. Rhodes) фотографическое наблюдение за больным. Атипично выглядящие врожденные меланоцитарные невусы с целью профилактики меланомы следует удалять немедленно, а доброкачественно выглядящие не рекомендуется удалять в младенческом и раннем детском возрасте, поскольку применение общей анестезии у детей до 10 лет связано с риском развития осложнений. Удаление в экстренном порядке показано при быстром росте невуса. За доброкачественными невусами следует наблюдать до достижения ребенком 10—12 лет.
На основании всего изложенного нам представляется интересным следующий клинический случай.
Больная Р., 35 лет, находилась на стационарном лечении и обследовании в женском кожном отделении Республиканского кожно-венерологического диспансера с диагнозом «гигантский меланоцитарный невус». Субъективные жалобы на умеренную болезненность в области высыпаний, легкий зуд. По данным анамнеза росла и развивалась соответственно возрасту, наличие туберкулеза и венерических болезней отрицает, другие соматические заболевания, наличие аллергических реакций не отмечает. Больна данным заболеванием с рождения. Беременность и роды у матери протекали без патологии. Размеры высыпаний увеличивались по мере роста ребенка. По месту жительства к врачам не обращалась. Обследование проходила в Москве. В связи с появившимися жалобами, нарастанием выраженности клинических проявлений направлена на госпитализацию в ГУ РКВД.
При осмотре общее состояние удовлетворительное. Больная нормостенического телосложения.
В легких везикулярное дыхание, хрипов нет. Тоны сердца ясные, ритмичные. Артериальное давление — 120/80 мм рт.ст., пульс — 76 ударов в минуту. Живот мягкий, безболезненный при пальпации. Печень у края реберной дуги. Симптом Пастернацкого отрицательный с обеих сторон. Физиологические отправления в норме. Периферические лимфатические узлы не пальпируются. Патологический процесс занимает обширные участки на коже туловища, конечностей, представлен высыпаниями темно-коричневого цвета с бугристой, бородавчатой поверхностью, участками выраженного гипертрихоза, местами определяются трещины кожи. При осмотре выявляются невусы средних размеров, диаметром 1,5 см, в виде разбросанных папул на коже живота (рис. 1—4). Рисунок 1. Высыпания гигантского невуса на коже живота. Рисунок 2. Высыпания гигантского невуса на коже туловища и правого бедра. Рисунок 3. Высыпания гигантского невуса на коже спины. Рисунок 4. Очаги меланоцитарного невуса на коже боковой поверхности туловища и передней поверхности правого бедра. Слившиеся крупные очаги занимают всю поясничную область, боковую правую поверхность туловища и переходят на область правого бедра, где гипертрихоз выражен в большой степени (рис. 5—6). Рисунок 5. Очаги меланоцитарного невуса на коже поясничной области и задней поверхности правого бедра. Рисунок 6. Высыпания гигантского волосяного невуса на коже спины и правого бедра.
При обследовании материала, взятого из очага поражения (цитологическое исследование), специфических изменений не выявлено. Рутинные клинико-лабораторные методы обследования без патологии. В стационаре больной выставлен клинический диагноз «врожденный гигантский волосяной меланоцитарный невус».
При повторной консультации признаков малигнизации и негативной динамики кожного процесса не наблюдалось. Во время курса лечения в стационаре ГУ РКВД наблюдалось уменьшение субъективной симптоматики в виде улучшения самочувствия, стихания болей в области высыпаний, уменьшения зуда.
Больная была взята под активное динамичное наблюдение в поликлиническое отделение РКВД.
Врожденные невомеланоцитарные невусы
ФГБУ "Уральский научно-исследовательский институт охраны материнства и младенчества", Екатеринбург
ФГБУ «Уральский научно-исследовательский институт охраны материнства и младенчества» Минздрава России Екатеринбург, Россия
ФГБУ «Уральский научно-исследовательский институт охраны материнства и младенчества» Минздрава России Екатеринбург, Россия
ФГБУ «Уральский научно-исследовательский институт охраны материнства и младенчества» Минздрава России, Екатеринбург, Россия
ФГБУ "Уральский научно-исследовательский институт охраны материнства и младенчества", Екатеринбург
ФГБУ «Уральский научно-исследовательский институт охраны материнства и младенчества» Минздрава России, Екатеринбург, Россия
ФГБУ «Уральский научно-исследовательский институт охраны материнства и младенчества» Минздрава России, Екатеринбург, Россия
Врожденный гигантский меланоцитарный невус
Журнал: Архив патологии. 2019;81(5): 89‑91
ФГБУ "Уральский научно-исследовательский институт охраны материнства и младенчества", Екатеринбург
Представлен случай редкого опухолевого заболевания с массивным поражением кожи преимущественно затылочной области головы, тканей головного мозга и печени у новорожденного ребенка. Рассмотрены морфологическая и иммуногистохимическая характеристики гигантского опухолевого очага в коже затылочной области.
ФГБУ "Уральский научно-исследовательский институт охраны материнства и младенчества", Екатеринбург
ФГБУ «Уральский научно-исследовательский институт охраны материнства и младенчества» Минздрава России Екатеринбург, Россия
ФГБУ «Уральский научно-исследовательский институт охраны материнства и младенчества» Минздрава России Екатеринбург, Россия
ФГБУ «Уральский научно-исследовательский институт охраны материнства и младенчества» Минздрава России, Екатеринбург, Россия
ФГБУ "Уральский научно-исследовательский институт охраны материнства и младенчества", Екатеринбург
ФГБУ «Уральский научно-исследовательский институт охраны материнства и младенчества» Минздрава России, Екатеринбург, Россия
ФГБУ «Уральский научно-исследовательский институт охраны материнства и младенчества» Минздрава России, Екатеринбург, Россия
Врожденный меланоцитарный невус (congenital melanocytic nevi — CMN) является результатом аномальной пролиферации меланоцитов в коже и центральной нервной системе, представляет собой большие коричневые участки кожи, которые появляются при рождении [1].
В 1979 г. А. Kopf и соавт. [2] опубликовали классификационную систему, основанную на клиническом диаметре CMN у взрослых, позволяющую выделить небольшие (менее 1,5 см), средние (1,5—19,9 см) и большие (20 см и более) врожденные невусы. Последние можно дополнительно разделить на G1 (20—30 см), G2 (30—40 см) и G3 (более 40 см) невусы [3]. Тем не менее недостатком этой системы является отсутствие ее адаптации для детей. Гигантские врожденные меланоцитарные невусы диаметром более 20 см встречаются примерно у 1 из каждых 20 000—50 000 детей и могут поражать до 2% общей поверхности тела, увеличиваясь с ростом ребенка, средние и небольшие невусы встречаются несколько чаще [4, 5]. Риск трансформации гигантского невуса в злокачественную меланому варьирует от 0 до 3,8% [6].
Проанализирован случай сложной морфологической верификации результатов гистологического и иммуногистохимического исследований гигантского очага в коже затылочной области головы, шеи, крупного очага в правой доле печени и многочисленных мелких очагов в головном мозге, на коже туловища и конечностей у доношенного новорожденного ребенка.
До 30-й недели аномалий внутриутробного развития у плода не выявлено. По результатам УЗИ и МРТ, проведенных по месту жительства в сроке 30 нед, диагностирован врожденный порок развития: гигрома шеи. В сроке 31—32 нед на основании данных повторного исследования сформулирован диагноз «быстрорастущее образование затылочной области головы и шеи, расцененное как кистозная гигрома или лимфангиома гигантских размеров».
В сроке 38—39 нед беременная госпитализирована в НИИ ОММ Екатеринбурга для оперативного родоразрешения согласно ранее намеченному плану. Во время корпорального кесарева сечения при извлечении головы ребенка произошел разрыв тонкой стенки мешотчатого образования с опорожнением его содержимого в количестве 50—70 мл в брюшную полость матери. При осмотре головы ребенка в родовом зале в затылочной области определялось полостное образование размером 10×10 см. Из зоны дефекта ткани выделялось небольшое количество крови, отделялись сгустки, образование было заполнено желеобразным геморрагическим содержимым. Через 2 ч 15 мин констатирована биологическая смерть ребенка. На патолого-анатомическое исследование труп направлен с диагнозом «врожденный порок развития: черепно-мозговая грыжа. Энцефалоцеле. Разрыв грыжевого мешка. Осложнения: гиповолемический и геморрагический шок. Синдром полиорганной недостаточности. Анемия тяжелой степени».
При морфологическом исследовании обращала на себя внимание неправильная форма головы. Под кожей в затылочной области определялось гигантских размеров полусферическое образование бледно-коричневого цвета размером 13×10×2,5 см с двумя участками перфорации длиной 2,5 и 10 см. Ткань опухоли мягкой консистенции буро-коричневого цвета, на разрезе губчатого вида, мелкокистозная, формирует несколько камер. Образование плотно врастает в кожу и значительно истонченную чешую затылочной кости. На всей поверхности кожи отмечались многочисленные мелкие пятна размером до 0,3 см кофейно-серого цвета типа невусов. На разрезе в правой доле печени определялись очаг темно-коричневого цвета округлой формы размером 1,5×1,0 см, мелкие очаги коричневатого цвета с четкими контурами до 0,2 см в белом веществе головного мозга.
При гистологическом исследовании образование затылочной области представлено субэпидермально располагающейся опухолью, прорастающей надкостницу, но не затрагивающей придатки кожи. В ткани опухоли определялись немногочисленные фиброзные прослойки и сосудистые щели. Опухолевые клетки малых размеров с округлыми ядрами со слабым полиморфизмом содержали железонегативный пигмент. Очаг в ткани печени имел подобное гистологическое строение, очаги в ткани головного мозга были представлены нагруженными пигментом эндотелиальными клетками. Остальные органы без патологических изменений. При иммуногистохимическом (ИГХ) исследовании опухоли головы маркер пролиферативной активности Ki-67 экспрессировал 10—25% опухолевых клеток. Экспрессия антигенов эндотелиальных клеток, отражающая процессы неоангиогенеза в опухоли CD31, CD34, негативна. В связи с необходимостью верификации гистологических препаратов опухоли проведено совместное консультирование специалистов детского онкологического центра в формате телеконференции с D. Harms, проф. клиники Университета им. Кристиана Альбрехта, г. Киль, Германия. Согласно заключению специалистов-онкологов, патоморфологически опухоль воспроизводит структурные элементы артериовенозных анастомозов, представляя собой беспорядочно переплетающиеся сосуды, окруженные эпителиодными (гломусными) клетами. Вследствие неоднозначности гистологической картины, которая не позволяла дифференцировать сосудистую и меланоцитарную опухоль, рекомендовано проведение расширенной ИГХ-панели для определения гистогенеза опухоли. После дополнительных исследований получены следующие данные: клетки опухоли интенсивно экспрессируют Vimentin, HMB45, S100. В то же время экспрессия PCK (Рan Cytokeratin), α-актина, синаптофизина, NSE, Glut1 негативна. На основании всех полученных данных сделано заключение: опухоль доброкачественная, состоит из клеток меланоцитарного ряда и не имеет эпителиального, мышечного, нейрального компонентов [7, 8].
Таким образом, учитывая вышеизложенное, можно заключить, что на пренатальном этапе диагностика была затруднена из-за ограничения методов визуализации после рождения и краткосрочного пребывания ребенка в стационаре. При патолого-анатомическом исследовании было невозможно сделать окончательный вывод о природе опухоли в связи с большим количеством мелких сосудов и наличием клеток, расцененных как гломусные. Потребовалось определение тканеспецифических маркеров и белков HMB45, S100, характерных для клеток меланоцитарного ряда. По совокупности клинических данных, результатов морфологического исследования, включавшего постановку ИГХ-реакций, верифицировано основное заболевание — врожденный меланоцитарный невус.
Врождённый меланоцитарный невус - симптомы и лечение
Что такое врождённый меланоцитарный невус? Причины возникновения, диагностику и методы лечения разберем в статье доктора Вавилова Артема Сергеевича, детского хирурга со стажем в 7 лет.
Над статьей доктора Вавилова Артема Сергеевича работали литературный редактор Вера Васина , научный редактор Владимир Горский и шеф-редактор Маргарита Тихонова

Определение болезни. Причины заболевания
Врождённый меланоцитарный невус (Congenital melanocytic naevus) — это доброкачественное разрастание невусных клеток на коже. Развивается внутриутробно или в первые месяцы жизни [51] .
Если невус появился позже, но до двухлетнего возраста, его называют поздним врождённым невусом [32] .

Невусные клетки — это разновидность меланоцитов, которые отличаются от обычных пигментных клеток кожи двумя свойствами:
- клетки невуса группируются, а меланоциты распределяются в коже равномерно;
- у невусных клеток (за исключением синих невусов) нет дендритных отростков, по которым в обычных меланоцитах перемещается меланин — так он распределяется в коже и окрашивает её [36] .
Распространённость
Врождённые меланоцитарные невусы встречаются у 1–3 % детей, крупные или гигантские — примерно у одного из 20–50 тыс. новорождённых [1] [2] [51] .
Причины появления невусов
Причины появления врождённых меланоцитарных невусов до конца не изучены. Предполагается, что они образуются из-за морфологических нарушений в нейроэктодерме — эмбриональном зачатке, из которого развивается нервная трубка. Эти нарушения приводят к бесконтрольному росту меланобластов, которые в дальнейшем преобразуются в невусные клетки [39] .
При обнаружении схожих симптомов проконсультируйтесь у врача. Не занимайтесь самолечением - это опасно для вашего здоровья!
Симптомы врождённого меланоцитарного невуса
Невусы обычно маленького или среднего размера, но могут достигать и 60 см в диаметре. Их цвет варьирует от жёлто-коричневого до чёрного, границы неоднородные. Для невусов характерен «географический» контур, т. е. их форма напоминает материки на карте.

Чаще они единичные, могут возникать на любых участках кожи. На многих врождённых невусах растут густые тёмные и жёсткие волосы.

Большие и гигантские образования часто окружены более мелкими — сателлитными невусами, или невусами-спутниками.
Обычно невусы какими-либо симптомами, кроме внешнего дефекта, не проявляются, но иногда может возникать зуд. Предполагается, что он связан с раздражением нервных волокон, по которым импульсы от кожи передаются в центральную нервную систему.
К особенностям меланоцитарных невусов относится пигментная сеть, очаги ослабления окраски и сгущения рисунка, глобулы и/или диффузная коричневая пигментация. Глобулами называют округлые включения с чёткими границами коричневого, серо-коричневого, чёрного и других цветов, за исключением красного.

В отличие от приобретённых, врождённые невусы глубже проникают в дерму и подкожные ткани, что может приводить к серьёзным осложнениям [5] .
Патогенез врождённого меланоцитарного невуса
Врождённые меланоцитарные невусы развиваются между 5-й и 24-й неделями беременности. Считается, что они образуются из-за ускоренного роста меланоцитарных клеток. Чем раньше начинается этот процесс, тем больше и глубже будет невус [40] .
Врождённые невусы растут пропорционально развитию ребёнка, поэтому можно спрогнозировать, какого размера они достигнут к взрослому возрасту.
Рост невусов зависит от их расположения:
- на голове — увеличиваются в 1,7 раза;
- на туловище и руках — в 2,8 раза;
- на ногах — в 3,3 раза [7] .

Быстрее всего невусы растут в первый год жизни ребёнка [8] . Помимо размера, у них меняется цвет и форма: изначально невусы плоские и равномерно окрашенные, но со временем приподнимаются над кожей, их поверхность становится похожа на гальку или приобретает бородавчатую структуру; они могут стать темнее или светлее, пятнистыми или в крапинку [9] .
Невусы часто травмируются, что снижает защитные свойства кожи. Кроме того, при развитии осложнений, например нейрокожного меланоза, может нарушаться работа других органов.
Классификация и стадии развития врождённого меланоцитарного невуса
Врождённые меланоцитарные невусы классифицируют в зависимости от диаметра, которого они могут достигнуть к зрелому возрасту пациента.
Выделяют четыре группы невусов:

Для новорождённых большими считаются невусы от 9 см на голове и больше 6 см на теле.
Также невусы классифицируют по количеству окружающих их мелких образований (satellite — спутник, сателлитных невусов):
Осложнения врождённого меланоцитарного невуса
Врождённые невусы могут осложняться меланомой, нейрокожным меланозом и другими более редкими болезнями.
Меланома
Меланома — это раковая опухоль кожи, которая возникает из меланоцитов. На злокачественное перерождение невуса указывают его быстрый рост, изменение окраски, изъязвление, растрескивание, шелушение, зуд, боль, кровотечение, появление узелков, бляшек и неподвижность тканей, которая возникает из-за прорастания невуса в более глубокие слои кожи.
Меланома чаще возникает у пациентов с гигантскими невусами на спине и многочисленными невусами-спутниками. Реже она развивается при невусах, расположенных на голове, руках и ногах.
К факторам риска развития меланомы относятся:
- наличие множественных атипичных невусов и меланома у членов семьи;
- пигментная ксеродерма (повышенная чувствительность кожи к ультрафиолету);
- большие и гигантские невусы;
- множественные приобретённые пигментные и атипичные невусы;
- сниженный иммунитет [28][29] .
Риск развития рака при малых и средних врождённых невусах составляет менее 1 % в течение всей жизни, при больших и гигантских — 2–5 % [3] [10] [11] .
Американские исследователи изучили, как часто развивается меланома при гигантских врождённых невусах: из 289 пациентов она возникла у 67.
- в 50,7 % — на невусах;
- в 3 % — на нормальных участках кожи;
- в 31,3 % — в центральной нервной системе.
В 15 % меланома была метастазами опухоли из неустановленного первичного очага. Около половины меланом выявили у детей младше 5 лет [41] .
При больших и гигантских невусах меланома может развиваться под эпидермисом (из-за чего её трудно обнаружить на ранних сроках), поэтому важно прощупывать (пальпировать) всю поверхность невуса.
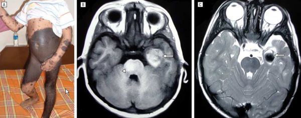
Нейрокожный меланоз
В редких случаях развивается нейрокожный меланоз — заболевание, при котором меланоциты разрастаются в центральной нервной системе. К таким нарушениям может приводить мутация гена BRAF [50] .

Факторы риска развития нейрокожного меланоза:
- гигантский невус на спине (более 40 см);
- множественные невусы-спутники — чем их больше, тем выше риск;
- более двух средних невусов, особенно если помимо них много других невусов.
Болезнь тяжелее переносят дети младше 10 лет.
В исследовании американских учёных меланоз диагностировали у 26 из 379 пациентов с большими врождёнными невусами [12] . Заболевание может протекать без симптомов и случайно выявляться при МРТ, но в некоторых случаях оно сопровождается неврологическими нарушениями:
- головной болью, вялостью и рвотой;
- отёком диска зрительного нерва;
- параличом черепно-мозговых нервов и судорогами;
- увеличением окружности головы;
- нарушением координации;
- задержкой или недержанием мочи и кала.
Неврологические симптомы могут развиться из-за кровоизлияния в желудочки головного мозга, нарушения циркуляции спинномозговой жидкости, сдавления спинного мозга или злокачественного перерождения меланоцитов [3] [14] .
Симптомы появляются примерно в двухлетнем возрасте. Прогноз чаще неблагоприятный, даже если нет злокачественных новообразований [15] . В одном обзоре были изучены 39 случаев симптоматического нейрокожного меланоза: более половины пациентов погибли в течение трёх лет после появления неврологических нарушений [34] .
Другие осложнения
В очень редких случаях при больших невусах могут развиться рабдомиосаркома, липосаркома и злокачественные опухоли оболочек периферических нервов [20] .
Диагностика врождённого меланоцитарного невуса
Пациентам с малыми и средними невусами нужно раз в год посещать врача. Регулярное наблюдение поможет оценить, насколько изменился размер невуса и его структура. Для этого сравнивают фотографии или данные дерматоскопии.

Невусы чаще перерождаются в злокачественную опухоль после полового созревания, поэтому следует более тщательно наблюдать за кожей в этот период. Пациентам и их родителям нужно обращать внимание на изменение цвета невуса, его границ и структуры, следить за появлением новых образований.
Диагностика среднего, большого или гигантского невуса обычно не вызывает трудностей и основывается на клинических проявлениях и истории болезни. Если анамнез неизвестен, небольшие врождённые невусы легко спутать с приобретёнными.
Отличия можно выявить при биопсии: клетки невуса расположены глубоко в дерме, подкожном жире и сосудисто-нервных структурах, например в стенках кровеносных сосудов, могут проникать между пучками коллагена и встречаться под эпидермисом. Биопсия проводится при подозрении на злокачественное перерождение невуса [5] [37] [38] .
Исследовательский комитет Nevus Outreach разработал диагностическую модель для детей с врождёнными невусами (от 3 см) или невусами-спутниками (от 20 невусов). Методика создана ведущими экспертами в этой области, но она не заменит рекомендаций лечащего врача, так как не учитывает индивидуальные особенности пациента и течение болезни.
План обследования:
- МРТ головного и спинного мозга с контрастированием гадолинием и дальнейшая оценка результатов в экспертном центре.
- Консультации детских врачей:
- офтальмолога — поскольку меланоцитарные поражения могут развиваться на сетчатке;
- невролога — чтобы выявить или исключить симптомы нейрокожного меланоза;
- дерматолога — оценить состояние кожи и её изменения;
- пластического хирурга — определить, нужна ли операция.
- аудиологический скрининг при подозрении на нейрокожный меланоз, так как при болезни нарушается слух;
- консультация детского психолога (даже при бессимптомном течении) [48] .

МРТ головного и спинного мозга с контрастированием гадолинием обязательна для детей с высоким риском меланоза и неврологическими симптомами. В некоторых исследованиях при высоком риске меланоза рекомендовано делать МРТ в первые полгода жизни, даже если нет неврологических симптомов [15] .
Если большой невус расположен вдоль позвоночника или его окружают многочисленные невусы-спутники, МРТ проводят до четырёхмесячного возраста [35] .
Дифференциальная диагностика
Средние и большие врождённые невусы следует отличать от плексиформной нейрофибромы, а малые — от гамартомы гладких мышц и мастоцитомы.
Лечение врождённого меланоцитарного невуса
При врождённых невусах применяется хирургическое и медикаментозное лечение, лазерная терапия и другие методы.
Хирургическое лечение
Большие невусы рекомендуется удалять в раннем детстве — это поможет избежать эмоциональных и поведенческих нарушений у ребёнка. Такие дети из-за внешних отличий могут считать себя хуже других и избегать сверстников. Кроме того, они могут столкнуться с травлей со стороны других детей.
Однако не все невусы можно полностью удалить. Если они занимают большую площадь и дефект нельзя закрыть здоровыми тканями, то операция не проводится, либо участки невуса иссекаются частично.
Объём операции зависит от расположения невуса и глубины поражения. Её необходимость при больших и гигантских невусах считается спорной. Многие специалисты предлагают удалять наиболее неоднородные, толстые или грубые участки невуса, которые затрудняют клиническое наблюдение [45] [46] . Зачастую оптимальный выбор — это тщательно наблюдать за невусом, не проводя операцию.
Единственное абсолютное показание для хирургического лечения — это развитие злокачественной опухоли в очаге поражения. Но даже при полном иссечении больших и гигантских невусов риск онкологии сохраняется, так как меланоциты могут проникать в глубоколежащие ткани: мышцы, кости и нервную систему.
После операции могут возникать следующие осложнения: контрактуры, серомы, гематомы, инфекции мягких тканей, ишемия кожных лоскутов, расхождение швов и образование келоидных рубцов. Гематомы, серомы и ишемия лоскутов появляются сразу после операции, келоидные рубцы формируются позже, в среднем в течение первого года.
Другие методы лечения
Внешний дефект можно уменьшить с помощью кюретажа, дермабразии и лазерной терапии. Методы более эффективны в раннем детстве, поскольку невусные клетки у ребёнка расположены в верхних слоях кожи [21] [22] . После процедур эти клетки остаются в дерме и со временем пигментация частично возвращается. В некоторых случаях на таких участках развивается меланома, но связь с проведённым лечением не доказана [23] [24] [25] [26] [27] .
Противопоказания для данных процедур индивидуальны. Как правило к ним относятся местные нарушения: изъязвление, растрескивание, шелушение, узелки, неподвижность тканей и кровотечение.
Медицинские осмотры после операции
Независимо от проведённого лечения, пациентам с большими врождёнными невусами нужно раз в год проходить медицинский и дерматологический осмотр. Также необходимо проводить пальпацию невуса и рубцов, возникших после его удаления. Если обнаружены узелки или другие подозрительные уплотнения, показано гистологическое исследование, т. е. изучение образцов ткани.
Прогноз. Профилактика
При врождённных невусах может возникать сильная боль и зуд, сухость кожи и недостаточное потоотделение. Косметический дефект может привести к социальной дезадаптации.
Прогноз наиболее благоприятен, если нет факторов риска меланоза: гигантских невусов на спине, многочисленных невусов-спутников, более двух средних невусов.
Если в гигантском врождённом меланоцитарном невусе возникла меланома, то прогноз неблагоприятный [42] . Меланома растёт в дерме, поэтому её трудно обнаружить. Кроме того, клетки опухоли могут распространяться через крупные кровеносные и лимфатические сосуды, из-за чего достаточно быстро появляются метастазы [42] .
Прогноз при нейрокожном меланозе с неврологическими нарушениями тоже неблагоприятный: более половины детей погибают в течение трёх лет после появления симптомов и 70 % — до 10-летнего возраста [18] [34] [43] .
Профилактика врождённого меланоцитарного невуса
Специфической профилактики врождённых невусов не существует. Будущим родителям рекомендуется соблюдать общие правила здорового образа жизни: не курить и не пить алкоголь, полноценно питаться, по возможности не находиться в неблагоприятных экологических зонах.
При планировании и во время беременности женщинам нужно придерживаться рекомендаций Всемирной организации здравоохранения:
- предупреждать возникновение инфекционных заболеваний;
- устранять очаги хронической и острой инфекции до наступления беременности;
- во время беременности не допускать воздействия опасных веществ — солей тяжёлых металлов, пестицидов и др. [47]
Чтобы своевременно выявить злокачественное перерождение невуса, нужно регулярно посещать дерматолога или онколога и проходить дерматоскопическое обследование. Особенно пристально следует наблюдать за большими и гигантскими образованиями. Посещать доктора нужно, даже если невус уже удалён.
Детям с высоким риском развития нейрокожного меланоза необходимо находиться под постоянным наблюдением: им регулярно измеряют окружность головы, проводят неврологическое обследование и оценивают уровень развития [3] [12] [13] .
Читайте также:
