Язвенный эзофагит (язва пищевода) - диагностика
Добавил пользователь Евгений Кузнецов Обновлено: 27.01.2026
Эзофагогастродуоденоскопия (ЭГДС, гастроскопия) – это обследование пищевода, желудка и 12-ти перстной кишки к которому легко подготовится.
Эндоскопия достаточно молодая отрасль медицины. В то же время, бурное её развитие за последнее десятилетие дало возможность проводить диагностику заболеваний органов желудочно-кишечного тракта (ЖКТ) на ранних стадиях, когда даже самый грозный диагноз поддается лечению, используя, в том числе, малоинвазивных эндоскопический метод.
Целью процедуры является осмотр слизистой стенок органов ЖКТ и, если, на то есть показания, исследование дополняется выполнением биопсии и других методов.
Каждый врач нашего отделения при выполнении гастроскопии, в первую очередь, руководствуется главным принципом медицины – не навреди. Поэтому используется персональный подход к каждому пациенту.
Вначале проводится беседа:
- Сбор анамнеза (истории) заболевания (если таковое имеется). При этом очень важно предоставить доктору имеющуюся у Вас медицинскую документацию (выписки и протоколы предыдущих эндоскопических исследований возьмите с собой).
- Сбор сведений об аллергических реакциях на медицинские препараты (в частности лидокаин).
Затем, в случае отсутствия аллергии, пациенту орошается горло специальным раствором местного анестетика для подавления рвотного рефлекса, ведь сама по себе процедура безболезненна. После чего пациент укладывается на левый бок и выполняется введение гастроскопа, поочередно, в пищевод, желудок и начальные отделы тонкой кишки. При этом врач оценивает состояние слизистой, что позволяет выявлять такие заболевания, как:
Гастроэзофагеальная рефлюксная болезнь (ГЭРБ) – это хроническое рецидивирующее многосимптомное заболевание, обусловленное спонтанным, регулярно повторяющимся забросом в пищевод желудочного и/или дуоденального содержимого, приводящим к поражению нижнего отдела пищевода.
Различают две формы ГЭРБ: Эндоскопически-негативная рефлюксная болезнь, или неэрозивная рефлюксная болезнь (НЭРБ). На её долю приходится около 70% случаев заболевания. Рефлюкс-эзофагит (РЭ) – около 30% случаев заболевания.
Проявляется ГЭРБ в первую очередь изжогой, кислой отрыжкой, которые чаще возникают после еды, при наклоне туловища вперед или в ночное время. Вторым по частоте проявлением данного заболевания является загрудинная боль, которая иррадиирует в межлопаточную область, шею, нижнюю челюсть, левую половину грудной клетки.
К внепищеводным проявлениям заболевания относят легочные симптомы (кашель, одышка, чаще возникающие в положении лежа), отоларингологические симптомы (охриплость голоса, сухость в горле) и желудочные симптомы (быстрое насыщение, вздутие, тошнота, рвота).
Пищевод Барретта - это состояние пищевода, при котором плоский многослойный эпителий нижней части слизистой оболочки пищевода замещён цилиндрическим эпителием. Врачи называют это метаплазией. Такое замещение вызывается, как правило, хроническим повреждением слизистой оболочки пищевода кислотой, забрасываемой из желудка, т.е. является осложнением эзофагита или гастроэзофагеальной рефлюксной болезни. Пищевод Барретта обнаруживается примерно у 1 % населения. Пищевод Барретта рассматривается, как предраковое состояние и часто приводит к развитию рака пищевода.
Гастрит – термин, используемый для обозначения различных по происхождению и течению воспалительных и дистрофических изменений слизистой оболочки желудка (СОЖ). Различают две основные формы гастрита – острый и хронический.
Клинические проявления гастритов могут значительно отличаться друг от друга. Это связано в первую очередь с различиями в уровне соляной кислоты, пепсина, моторной активности желудка. Решающее значение имеет характер изменений слизистой оболочки желудка - наличие эрозий, атрофии, присутствия инфекционного агента и т.п.
Обычно гастрит проявляется болевым синдромом и диспептическими расстройствами пищеварения.
Болевой синдром. Боль при гастрите обычно локализуется в подложечной области и появляется спустя 1,5 - 2 часа после еды. Нередко бывают "голодные боли" (под утро, натощак). Иногда боли появляются сразу после еды. Боль часто носит спастический характер и может быть острой, интенсивной, схваткообразной. В остальных случаях наблюдаются неинтенсивные тупые давящие боли в эпигастрии.
Диспептические нарушения пищеварения наблюдаются у большенства больных. Характерно появление изжоги и отрыжки кислым, что свидетельствует о появление гастроэзофагеального рефлюкса (забросе кислого содержимого желудка в пищевод). Иногда наблюдается чувство дискомфорта в эпигастрии, ощущение распирания. При обострении могут тошнота и рвота, приносящие облегчение.
Язва желудка — хроническое рецидивирующее заболевание, протекающее с периодами обострения и ремиссии. Основной её признак– образование дефекта (язвы) в стенке желудка. В патологический процесс могут вовлекаться и другие органы системы пищеварения с развитием осложнений, угрожающих жизни больного.
Язва двенадцатиперстной кишки (ДПК) – хроническое рецидивирующее заболевание, протекающее с периодами обострения и ремиссии. Основной признак язвы ДПК – образование дефекта (язвы) в её стенке. Нередко язвами поражается не только ДПК, но и желудок (язва желудка), и другие органы системы пищеварения с развитием опасных осложнений.
Основным симптомом обострения язвы желудка и язвы двенадцатиперстной кишки являются боли в верхней части живота, которые, в зависимости от локализации язвы, могут иррадиировать в левую половину грудной клетки, лопатку, грудной и поясничный отделы позвоночника, левое и правое подреберье, различные отделы живота. Время возникновения болей также зависит от места нахождения язвенного дефекта.
Симптомы язвы желудка. При язве кардиального отдела желудка, т.е. верхней его части, боли возникают сразу после приема пищи, при язвах тела желудка, т.е. в его средней части, — через 1 – 1,5 часа после еды. Симптомы язвы пилорического канала, т.е нижней части желудка, и язвы луковицы двенадцатиперстной кишки характеризуются появлением болей через 2-3 часа после еды, «голодными» болями, которые возникают «натощак» и уменьшаются или полностью исчезают после приема пищи, а также ночными болями.
Помимо болей, при обострении язвенной болезни, отмечаются диспепсические явления — изжога, отрыжка кислым, тошнота, рвота на высоте болей, приносящая облегчение, склонность к запорам. Для язвенной болезни характерно весенне-осеннее обострение.
Среди осложнений заболевания могут быть желудочные кровотечения различной интенсивности, перфорация (прободение) желудка, раковое перерождение, др.
Обнаружить небольшие новообразования (полипы), ранние формы рака и своевременно их удалить возможно только с помощью гастроскопии.
Современные гастроскопы Японской фирмы «Olympus», которыми располагает наше отделение, представляют собой гибкую, эластичную трубку с управляемым торцом, где располагаются видеокамера, световоды, открываются канал вода/воздух и канал для инструментов. Наличие инструментального канала в эндоскопе обеспечивает возможность проведения дополнительных манипуляций таких, как:
- Биопсия – при помощи специальных щипцов берется кусочек слизистой для морфологического исследования, что позволяет с высокой точность поставить диагноз. Данная манипуляция абсолютно безболезненна.
- Экспресс диагностика H. Pylori – так же при помощи биопсии, но фрагмент слизистой помещается в специальную среду, которая изменяет свой цвет в случае наличия микроба.
- рН-метрия производится путем прикосновения к слизистой специальным зондом, реагирующим на кислотность среды.
Таким образом, резюмируя вышесказанное гастроскопия выполняется для:
- установления диагноза
- подтверждения диагноза (визуального и морфологического)
- уточнения локализации процесса
- определения распространенности процесса
- изучение секреторной топографии желудка
- определение Нр
- оценка эффективности консервативного и хирургического лечения
- проведения лечебных манипуляций через эндоскоп.
Поводом для проведения гастроскопии могут стать:
- боль и тяжесть в животе после еды или натощак
- изжога
- отрыжка
- снижение веса или отсутсвие аппетита
- тошнота и рвота
Противопоказаниями к гастроскопии являются:
- инфаркт миокарда в острой стадии
- инсульт в острой стадии
- сердечно-сосудистая и сердечно-легочная недостаточность 3-й ст.
- нарушения свертывающей системы крови
- стриктура верхней трети пищевода
- крайне тяжелое состояние больного
Специальной подготовки к гастроскопии не требуется – достаточно не завтракать и плотно или поздно не ужинать.
Как же было сказано выше гастроскопия, даже с применением дополнительных методик, безболезненная процедура, которая требует от пациента терпения и неукоснительного выполнения инструкций врача-эндоскописта. Однако, у некоторых пациентов она вызывает, который не позволяет решиться на исследование даже с острой болью в животе.
В таком случае мы рекомендуем выполнить гастроскопию в условиях медикаментозной седации или «во сне». Опытные врачи-анестезиологи нашей клиники обеспечивают анестезиологическое пособие на время исследования после чего пациент находится в палате пробуждения под медицинским наблюдением.
Язва пищевода
Язва пищевода – это участок слизистой, поврежденной в результате попадания желудочного сока. Изъязвление может быть острым или хроническим. Дефект слизистой возникает в результате гастроэзофагеального рефлюкса, поэтому лечение направлено на устранение причин заброса желудочного сока в пищевод. Иногда заболевание может быть также связано с патологией сосудов пищевода.
Прогноз для сохранения трудоспособности благоприятный, заболевание не представляет угрозы жизни пациента, но снижает ее качество. Лечением язвы пищевода занимается врач-гастроэнтеролог или терапевт.
Причины болезни
Различают симптоматические и пептические (истинные) язвы.
Причины пептической патологии:
- Гастроэзофагеальная рефлюксная болезнь (ГЭРБ).
- Диафрагмальная грыжа пищевода.
- Операции на желудке.
- Системная склеродермия.
- Недостаточность кардиального отдела желудка.
Заболевания пищеварительного тракта, приводящие к снижению тонуса желудочной стенки.
Симптоматическая язва встречается реже, чем пептическая, и диагностируется в отсутствие ГЭРБ. Возможные причины патологии:
- Вирусная инфекция (туберкулез, ВИЧ, цитомегаловирус, герпес и т. д.).
- Опухоль пищевода, вызывающая механическое сдавливание органа.
- Аутоиммунные процессы (синдром Бехчета, болезнь Шегрена).
- Глубокие ожоги слизистой оболочки, сепсис.
- Длительное использование желудочного зонда.
Причинами острой язвы пищевода чаще всего являются операции и болезни с обильной рвотой. Хроническая патология развивается на фоне других системных проблем со здоровьем.
Симптомы язвы пищевода
Заболевание имеет характерную клиническую картину. Симптомами язвы пищевода являются боли за грудиной, изжога, нарушение глотательной функции, тошнота. В результате недостаточного питания пациент теряет вес. При локализации дефекта вблизи кардиального сфинктера боли в пищеводе часто путают с симптомами стенокардии. Если изъязвление существует длительное время, возможно сужение просвета и частые срыгивания пищи сразу после еды.
Выраженная изжога – один из характерных симптомов язвы пищевода на ранних сроках развития. Заброс кислого желудочного сока высокий. Многие пациенты отмечают облегчение изжоги только после рвоты.
При отсутствии лечения дефект разрастается, возникают осложнения. Наиболее опасное состояние - перфорация стенки пищевода в средостение (медиастинит), в брюшную полость (состояние «острого живота», в плевральную полость (плеврит), в аорту (редко – профузное кровотечение).
Диагностика язвы пищевода
Обращаться к врачу нужно сразу после появления первых симптомов. Диагностика язвы на ранних сроках – это залог успешного лечения.
Пациенту назначают комплексное обследование:
- Рентгенография с контрастом. На снимке видны признаки изъязвления слизистой, определяются сопутствующие патологии: хиатальная грыжа, эзофагит.
- Эндоскопия. Основной метод диагностики язвы пищевода. С помощью видеокамеры врач обследует слизистую пищевода, проводит краевую биопсию для дифференциальной диагностики рака. По результатам эндоскопии определяют тип язвы: очаговая (до 10 мм в диаметре, без изменения перистальтики и моторики), углубленная (до 10 мм, высокие края), плоскоинфильтративная (границы гиперемированы, фибрин на дне дефекта).
- Суточное измерение кислотности. Результаты обследования позволяют говорить о ГЭРБ.
- Общий анализ крови. Данные необходимы для определения сопутствующих заболеваний.
- Копрограмма. Назначают анализ кала на содержание скрытой крови.
Лечение язвы пищевода
Диета
Питание пациента должно быть дробным, небольшими порциями, без переедания. Рекомендуется придерживаться лечебной диеты № 1а или № 1б по Певзнеру, но врач может внести в меню корректировки с учетом особенностей конкретного клинического случая. Вся пища должна быть вареной или приготовленной на пару. Исключают острые, кислые, жареные, продукты, любую еду, способную вызвать раздражение слизистой.
Медикаментозное лечение
Больному назначают комплекс препаратов, направленных на защиту и заживление слизистой:
- Антацидные средства, снижающие активность Н+ ионов.
- Препараты, нормализующие кислотность желудочного сока.
- Прокинетики, которые повышают тонус желудочной стенки, устраняют застойные явления.
- Антибактериальные препараты (если была обнаружена H. Pylori).
- Витамины и общеукрепляющие средства.
Успокаивающие препараты на растительной основе, если язва сопряжена с длительным стрессом.
Диагностика и лечение язвы пищевода в Нижнем Новгороде
Приглашаем пройти полное обследование в современной клинике «Альфа-Центр Здоровья». Мы используем новейшее цифровое оборудование и собственный лабораторный комплекс для точной диагностики язвы пищевода. Записаться на прием к врачу можно по телефону, указанному на сайте.
Лечение эзофагита
Эзофагит – воспалительный процесс, затрагивающий слизистую оболочку пищевода. Это заболевание классифицируется на несколько видов, каждый из которых характеризуется специфическими симптомами. Обычно эзофагит не является самостоятельным заболеванием, воспаление возникает вследствие других патологий пищеварительной системы, а именно желудка и кишечника. Наиболее распространенной причиной является гастроэзофагеальная рефлюксная болезнь (ГЭРБ). При ней кислое содержимое желудка забрасывается в пищевод, что приводит к повреждению и воспалению его слизистой. Поэтому лечение эзофагита всегда включает терапию основной болезни, это необходимо для профилактики рецидива и предупреждения осложнений. К другим частым причинам относят прием алкогольных напитков, химические и температурные ожоги, инфекционные заболевания, избыточный вес, курение, неправильное питание, стрессовый фактор.
Классификация острых и хронических эзофагитов
Обе формы эзофагитов делятся на несколько морфологических видов. Они отличаются причинами возникновения, типами повреждения слизистой оболочки. Острое воспаление возникает в результате бактериального поражения, температурного воздействия или влияния токсических веществ, а также при травмах, например, попадании инородного тела в пищевод. Бактериальная природа воспаления наблюдается как осложнение грибковой инфекции, скарлатины, дифтерии и др.
По морфологическим признакам острый эзофагит делится на следующие разновидности:
- Катаральный. Причиной такого вида заболевания выступает воздействие неблагоприятного фактора: горячей пищи и напитков, острых продуктов, токсических веществ, грубой жесткой пищи и пр. Продукты с высоким содержанием щелочи или йода также могут стать причиной воспаления слизистой пищевода. Также в ряде случаев болезнь возникает при физиологических отклонениях: грыжа пищеводного отверстия диафрагмы, сужение/недостаточность отделов органа, высокое давление в брюшине. В этом случае соляная кислота забрасывается в пищевод и провоцирует раздражение, а как следствие – воспалительную реакцию.
Эрозивный, язвенный. Лечение эрозивного эзофагита представляется более сложным, поскольку при этом виде заболевания на поверхности слизистой появляются эрозии или язвы, иногда и эрозии и язвы, возникает риск кровотечения, разрывов стенки пищевода, гнойных процессов. Причинами заболевания являются инфекции или агрессивные вещества, разъедающие ткани оболочки органа.
Отечный. Такая разновидность воспаления выступает следствием своевременно невылеченного катарального эзофагита. Воспаление сопровождается усилением отека, сужением просвета пищевода, затруднением приема пищи.
Геморрагический. Причиной заболевания являются вирусы и бактериальные инфекции. Это одна из разновидностей эрозивного эзофагита, которая может сопровождаться отслаиванием слизистой оболочки. Проявляется оно сильным кровотечением, рвотой с кровью.
Псевдомембранозный. Провоцируется инфекциями, на внутренней поверхности пищевода появляется фиброзный экссудат.
Эксфолиативный. Возникает в результате воздействия химических веществ – щелочей или кислот. Чревато осложнениями в виде нагноения или разрыва стенки пищевода.
Некротический. Является результатом ответа на инфекции. Крупные участки слизистой оболочки при этом отмирают. Они отделяются, формируя длительно незаживающие язвы.
Флегмонозный. Формируется вследствие травмирования, например, попадания инородного тела, некачественного проведения эндоскопических процедур и присоединения инфекции. Проявляется в виде разлитого гнойного процесса, что очень опасно для здоровья и жизни.
В зависимости от участков поражения слизистой болезнь классифицируют на тотальный, проксимальный и дистальный эзофагит.
Эзофагиты подразделяют также в зависимости от продолжительности/типа неблагоприятного воздействия:
Алиментарный. Возникает при употреблении алкоголя и в результате погрешностей диеты.
Застойный. Связан со стенозом и другими анатомическими/физиологическими особенностями, при которых пища остается в пищеводе долгое время и раздражает слизистые.
Дисметаболический. Является результатом нехватки железа, гипертензии, гипоксии тканей.
Аллергический. Возникает в ответ на пищевую аллергию.
Исследователи выделяют также ряд специфических эзофагитов, например, гранулематоз пищевода (стенозирующий эзофагит), рефлюкс-эзофагит и пр. Стоит отметить, что первичное воспаление встречается крайне редко. В большинстве случаев специалисты клиники, занимающиеся эзофагитами, имеют дело с вторичной формой болезни, связанной с другими патологиями.
Симптомы
Конкретные симптомы болезни зависят от вида, однако есть и общие признаки, указывающие на воспаление пищевода:
боль в пищеводе при глотании;
жжение за грудиной, изжога;
чувство кома в горле;
«кислая» или «горькая» отрыжка;
тошнота, реже рвота.
Реже встречаются невозможность глотания, повышение температуры тела, сильное общее недомогание и упадок сил.
Пациенты предъявляют и другие жалобы: неприятный привкус во рту, охриплость голоса, язвы на слизистой полости рта, боль в грудном отделе, отдающая в лопатку, ключицу, спину, галитоз (неприятный запах изо рта).
Особенности диагностики
При появлении неприятных симптомов эзофагита необходимо обратиться к терапевту или врачу-гастроэнтерологу. Специалист проведет осмотр, задаст ряд вопросов, проанализирует жалобы и соберет анамнез. Важно рассказать о перенесенных заболеваниях, хронических недугах, принимаемых лекарствах, образе жизни и режиме питания. Если у вас есть результаты предыдущих обследований желудочно-кишечного тракта, необходимо взять их с собой, это упростит задачу постановки диагноза.
Даже на этапе первичного приема специалист может определить форму болезни, дать подробные рекомендации для облегчения состояния. Однако важно также выявить степень поражения слизистой, причины недуга. В большинстве случаев показано дополнительное исследование:
эндоскопия: позволяет оценить изменения слизистой оболочки. При этой процедуре эндоскоп (гибкая тонкая трубка) вводится в полость пищевода. Оптическая система позволяет увидеть структуру и состояние тканей в режиме реального времени, картинка будет выведена на монитор;
эзофагоманометрия: дает возможность увидеть нарушения моторных функций пищевода. Эта процедура состоит во введении зонда через носоглотку в пищевод. Зонд снабжен датчиками давления, что позволяет оценить сокращение мышц, сделать выводы о том, насколько они скоординированы с работой сфинктеров, обнаружить спазмы и пр.;
рентгенография верхних отделов желудочно-кишечного тракта: процедура проводится с контрастированием. Она необходима для диагностики язв, результаты необходимы для выбора тактики лечения эрозивного эзофагита, некротических изменений пищевода.
В некоторых случаях требуется гистологическое изучение тканей слизистой. Это целесообразно при подозрении на онкологические заболевания. В этом случае врач осуществляет забор части материала с помощью эндоскопии. Результаты лабораторного исследования будут готовы через несколько дней.
Лечение эзофагита
Лечение неэрозивного эзофагита заключается в выявлении причин, воздействии на них (например, борьба с инфекцией, удаление инородного тела, замена постоянно принимаемого препарата и пр.). При кислотном рефлюксе врач подберет препарат, подавляющий выработку кислоты или нейтрализующий ее. Консервативная терапия может заключаться в следующем:
прием прокинетиков, антисекреторных, обвалакивающих средств;
физиотерапевтические методы (электрофорез, электростимуляция и пр.);
лазерное лечение (эндоскопическая лазерная терапия).
Лечение язвенного эзофагита может включать прием препаратов, ускоряющих заживление, общеукрепляющих и других средств.
Хирургическое лечение требуется реже, лишь по строгим показаниям, таким как пищевод Барретта, частые кровотечения, высокий риск разрывов, объемные образования пищевода.
Эффективная терапия немыслима без соблюдения диеты. Врач подбирает ее индивидуально, учитывая факторы риска, причины, общее состояние здоровья. Под запретом – алкогольные напитки, крепкий чай и кофе, цитрусовые, кислые соки, томаты. Предпочтительнее придерживаться принципов дробного питания, отказаться от жирной пищи, острых, копченых блюд, маринадов, соусов с добавлением уксуса. В периоды обострения лучше питаться мягкой пищей, которая не потревожит слизистую оболочку пищевода.
Существует ряд продуктов, которые способны ускорить заживление слизистой. К ним относят пюре, рисовые каши, овсянку, яичный белок. Рекомендуется употреблять отварную курицу, нежирные бульоны, травяной чай.
Лечение дистального эзофагита
Дистальный эзофагит представляет собой воспаление участка слизистой нижнего отдела пищевода. Такое заболевание зачастую связано с забросом содержимого желудка в пищевод. Подход к лечению дистального эзофагита состоит в применении препаратов, снижающих выработку соляной кислоты и ее нейтрализующих, прием обвалакивающих препаратов, а также диетотерапии. В ряде случаев необходимо убедиться в отсутствии воспаления слизистой оболочки желудка (гастрита).
Лечение ГЭРБ
Лечение гастроэзофагеального рефлюкса с эзофагитом предполагает строгое соблюдение предписаний врача. Курс терапии начинается с рекомендаций по изменению образа жизни пациента. К ним относят следующие:
частое, дробное питание;
прием пищи не позднее, чем за 3 часа до сна;
вертикальное положение тела после принятия пищи (не рекомендовано ложиться, чтобы не допустить заброса содержимого желудка в пищевод);
отказ от шоколада, кофе, прочих продуктов, влияющих на тонус нижнего сфинктера пищевода;
подъем головного края кровати для обеспечения нужного положения тела во сне;
ограничение физической активности, предусматривающей наклоны корпуса;
приведение веса в норму при наличии избыточной массы тела.
Врач назначит антациды на основе алюминия и магния. Эрозивные формы эзофагитов при ГЭРБ требуют назначения высоких доз блокаторов протонного насоса на срок от 8 до 12 недель. При отсутствии язвенного поражения врач порекомендует принимать стандартные дозы в течение 8 недель, после чего при наступлении облегчения достаточно поддерживающего приема.
При осложненном течении ГЭГБ – повторяющихся кровотечениях, развитии стриктур, объемных образований и неэффективности лекарственных методов показано хирургическое вмешательство. Плановая операция может проводиться с помощью лапароскопического доступа.
В клинике «Семейный доктор» вы можете пройти комплексную диагностику в короткие сроки. Врач-терапевт или гастроэнтеролог назначит схему лечения с учетом особенностей протекания заболевания и общего состояния здоровья. Наши специалисты также дадут подробные эффективные рекомендации по образу жизни, разработают индивидуальную диету и проконтролируют эффективность терапии.
Язвенный эзофагит (язва пищевода) - диагностика
Кафедра патологической анатомии Ростовского государственного медицинского университета, Ростов-на-Дону
Кафедра патологической анатомии Ростовского государственного медицинского университета, Ростов-на-Дону
Кафедра патологической анатомии Ростовского государственного медицинского университета, Ростов-на-Дону
Патоморфологическая диагностика эрозивно-язвенного рефлюкс-эзофагита по биопсии слизистой оболочки пищевода
Журнал: Архив патологии. 2012;74(6): 3‑7
Дерижанова И.С., Головицкий В.Ф., Дерибас В.Ю. Патоморфологическая диагностика эрозивно-язвенного рефлюкс-эзофагита по биопсии слизистой оболочки пищевода. Архив патологии. 2012;74(6):3‑7.
Derizhanova IS, Golovitskiĭ VF, Deribas VIu. Pathomorphological diagnosis of erosive or ulcerative reflux esophagitis from esophageal mucosal biopsies. Arkhiv Patologii. 2012;74(6):3‑7. (In Russ.).
Кафедра патологической анатомии Ростовского государственного медицинского университета, Ростов-на-Дону
Изучены гистологические особенности и морфогенез острых пептических поражений слизистой оболочки при гастроэзофагеальной рефлюксной болезни на материале 2220 биопсий, полученных от 669 пациентов. Выделены стадии развития и два варианта заживления их, влияющие на продолжительность и исход заболевания. Показано, что острые эрозии и язвы в зонах многослойного плоского и цилиндрического эпителия представляют собой закономерный этап изменений, предшествующих развитию пищевода Барретта и способствующих его прогрессированию. Все описанные изменения должны найти отражение в гистологических заключениях по биоптатам слизистой оболочки пищевода, и их необходимо учитывать при назначении местного и общего лечения.
Кафедра патологической анатомии Ростовского государственного медицинского университета, Ростов-на-Дону
Кафедра патологической анатомии Ростовского государственного медицинского университета, Ростов-на-Дону
Кафедра патологической анатомии Ростовского государственного медицинского университета, Ростов-на-Дону
Актуальность проблемы гастроэзофагеальной рефлюксной болезни (ГЭРБ) обусловлена ее высокой распространенностью, которая, по данным ряда авторов, среди взрослого населения достигает 20—40% [1]. Особое место среди форм ГЭРБ занимают эрозивно-язвенные поражения, которые могут осложняться перфорацией, рубцовой стриктурой пищевода, приводить к медиастиниту и являться причиной смерти. Для их характеристики обычно используют эндоскопические классификации, учитывающие распространенность поражений к общей площади дистального отдела пищевода. Сведения о гистологической характеристике и морфогенезе острых язв и эрозий слизистой оболочки пищевода (СОП) остаются неполными [2, 3], в то время как аналогичные изменения в желудке и двенадцатиперстной кишке хорошо изучены и подробно описаны [4—6]. В то же время знание особенностей развития и заживления деструктивных поражений СОП под влиянием содержимого желудка и/или двенадцатиперстной кишки должно способствовать разработке особых методов лечения, с использованием, помимо антисекреторных, противовоспалительных препаратов и цитопротекторов слизистой оболочки, синергистов или антагонистов факторов роста.
Цель исследования — изучить морфологическую характеристику и морфогенез эрозивно-язвенных поражений при ГЭРБ.
В работе использовали материал 2220 биоптатов слизистой оболочки дистального отдела пищевода и области сквамозно-цилиндроклеточного соединения (СЦС) у 669 пациентов (у 90 больных проводились повторные исследования в динамике лечения ИПП). Гистологические препараты окрашивали гематоксилином и эозином, по Ван-Гизону, метиленовым синим по Лефлеру, комбинированным методом — алциановым синим и PAS-реакцией.
Пептические эрозии выявлены в 24% наблюдений, язвы — в 17%. Они, как правило, локализовались в области СЦС или зоны, выстланной многослойным плоским эпителием (МПЭ). При эрозиях дефекты ограничивались слизистой оболочкой до мышечной пластинки, для язв характерно было проникновение в подслизистый и мышечный слои. Микроскопически эрозии в биоптатах не всегда легко выявить в связи с тем, что они маскируются регенерирующим, резко утолщенным МПЭ. Нередко создается впечатление, что биоптат представлен только пластами эпителиоцитов. Лишь его тщательное исследование позволяет обнаружить едва заметные очаги некроза или скопления нейтрофилов рядом с МПЭ, свидетельствующие об остром процессе. Иногда при отслаивании МПЭ зоны некроза располагаются не на поверхности слизистой оболочки, а под эпителиальным пластом.

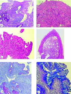
Отличительный признак острых пептических поражений — возникновение своеобразного некроза коллагеновых и мышечных волокон, который в литературе часто обозначают термином «фибриноидный» некроз. На самом деле в тех единичных случаях, когда удается увидеть начальные стадии повреждения СОП желудочным соком, типичной картины «фибриноида» не наблюдается. Покровный МПЭ обычно некротизируется и отслаивается на значительном протяжении пластами или ограниченно, с образованием узких щелевидных дефектов. В подлежащих слоях межуточное вещество соединительной ткани подвергается мукоидному набуханию, ядра клеток лизируются, в то время как контуры пучков коллагеновых и мышечных клеток сохраняются. Наблюдается резкое расширение сосудов, мультицентрический рост, с повышением проницаемости стенок и пропитыванием их фибрином. В дальнейшем некротические ткани приобретают вид гомогенных эозинофильных PAS-положительных, пикринофильных масс, лишенных клеточных элементов (рис. 1, а). Рисунок 1. Пептические эрозии и язвы слизистой оболочки пищевода при гастроэзофагеальной рефлюксной болезни. а — некротические массы на дне и краях острой пептической язвы слизистой оболочки пищевода; б — грануляционная ткань на дне язвы, богатая сосудами и клетками; в — эпителизация грануляционной ткани; г — полиповидная структура на месте зажившей язвы; д — цилиндроклеточная метаплазия кардиального типа на краях эпителизирующейся эрозии; е — очаги интестинальной метаплазии с бокаловидными клетками на фоне железистого эпителия кардиального типа. Окрашивание: а — PAS-реакция; б—г — гематоксилином и эозином; д, е — PAS-реакция и алциановый синий. ×200. Они могут иметь небольшой размер, занимать лишь поверхностные отделы субэпителиальной зоны или распространяться до наружного слоя стенки пищевода. В некротизированных массах видны расширенные сосуды с гомогенными бесструктурными стенками, в просветах их нередко выявляются тромбы. Эти изменения мы обозначили как стадию некроза.
Возможны два варианта заживления таких эрозий и язв.
В 27% наблюдений внутри или вокруг очагов некроза отмечалась выраженная лейкоцитарная инфильтрация с расплавлением некротических масс, их секвестрацией и отторжением (II стадия). В области краев или дна дефекта уже ко 2-м суткам можно увидеть новообразование капилляров и формирование грануляционной ткани. В биоптатах редко визуализируются все стадии процесса. Часто рядом с пластами МПЭ или изолированно обнаруживаются лишь очаговые скопления нейтрофилов, фибрина и/или некротических масс, указывающие на наличие острых пептических поражений.
Степень развития грануляционной ткани варьирует от очень мелких очагов в краях до обширных участков, занимающих всю площадь биоптата (рис. 1, б). Новообразованная молодая соединительная ткань представлена многочисленными сосудами капиллярного типа, иногда хорошо различимыми или невидимыми из-за обильной инфильтрации клеточными элементами. На поверхности грануляционной ткани видны скопления фибрина, лейкоцитов, а также микробов (чаще кокков), нити грибов типа Candida. При специальном окрашивании можно выявить характерный вертикальный ход капилляров к поверхности язвы. В глубоких отделах они располагаются параллельно поверхности дефекта и распространяются в мышечные слои. Эндотелий капилляров часто набухший, с крупными гиперхромными ядрами, на обычных препаратах приобретает сходство с опухолевыми клетками. Только использование специального окрашивания для выявления базальных мембран капилляров, а иногда и иммуногистохимических реакций позволяет выявить истинный характер изменений.
С момента повреждения начинается регенерация эпителиоцитов. В МПЭ происходят пролиферация клеток базального слоя (базально-клеточная гиперплазия), удлинение сосочков, что сопровождается значительным утолщением пласта; железистый эпителий в виде пласта смещается на эрозированную поверхность или грануляционную ткань. Нередко в эпителиоцитах желез, непосредственно граничащих с зоной повреждения, появляется смешанная желудочно-кишечная или кишечная слизь, интенсивно окрашивающаяся алциановым синим. Иногда на поверхности грануляционной ткани находятся группы недифференцированных клеток цилиндрического и многослойного плоского эпителия, лежащие изолированно друг от друга (стадия эпителизации; рис. 1, в). На этом фоне могут появляться островки более зрелого многослойного плоского эпителия с погружным ростом в грануляционную ткань или одиночные железы, выстланные цилиндрическими или бокаловидными клетками, содержащими PAS-положительную или смешанную (PAS-положительную и алцианофильную) слизь. Постепенно происходит полное закрытие дефектов сквамозным или цилиндрическим эпителием, которые иногда сосуществуют в виде изолированных островков или наслаиваются друг на друга. Поверхность эпителизированных дефектов ровная или ворсинчатая, с формированием полиповидных структур (рис. 1, г). Постоянно происходит новообразование слизистых оболочек желез. Заживление эрозий и язв занимает 4—8 нед. Таким образом, при эпителизации дефектов в 19% случаев возникает цилиндроклеточная метаплазия (ЦМ) сквамозного эпителия. В 74% наблюдений выявляется ЦМ кардиального типа: столбчатые клетки сходны с покровно-ямочным эпителием слизистой оболочки желудка, содержат в цитоплазме PAS+-слизь (рис. 1, д). В 26% наблюдений ЦМ расценена как кишечная. Во всех случаях она была неполной, сочеталась с ЦМ кардиального типа, имела разную распространенность (от отдельных бокаловидных клеток (БК) до крупных очагов с плоской или ворсинчатой поверхностью), наиболее обширной была в зоне СЦС, в краях глубоких язв (рис. 1, е). Помимо БК, в биоптатах обнаруживались и другие клеточные элементы кишечного типа: цилиндрические абсорбирующие с синей каймой, секретирующие с синей цитоплазмой, промежуточные клетки («тонко-толстокишечные», «желудочно-кишечные», «муцинозно-плоскоклеточные»). Количество БК возрастало с увеличением степени активности воспалительного процесса и снижалось при его затухании на фоне антисекреторной и противовоспалительной терапии. Таким образом формировался пищевод Барретта — участок ЦМ слизистой оболочки с кишечными бокаловидными и цилиндрическими клетками.
При хронизации язв в глубоких отделах отмечается фиброзная ткань, содержащая коллагеновые волокна, фибробласты, лимфоидные и макрофагальные инфильтраты. На вертикальном срезе можно различить три слоя: фибринозно-лейкоцитарный (внутренний), грануляционной и фиброзной ткани с выраженной воспалительной инфильтрацией.

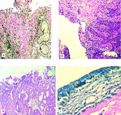
Помимо описанного варианта заживления пептических эрозий и язв возможен второй путь — без развития типичной грануляционной ткани, за счет организации некротических масс, который встречался в 15% наблюдений. Его развитию, на наш взгляд, способствует лейкоцитарно-макрофагальная недостаточность. Плотные гомогенные пикринофильные некротические массы не подвергаются расплавлению и отторжению лейкоцитами, а окружаются фиброзной тканью, инкапсулируются. Со стороны неизмененных тканей в них врастают немногочисленные сосуды и фибробласты, расслаивая на глыбки, которые в дальнейшем подвергаются гиалинозу и окрашиваются фуксином в красный цвет (рис. 2, а). Рисунок 2. Пептические эрозии и язвы слизистой оболочки пищевода при гастроэзофагеальной рефлюксной болезни. а — очаги гиалиноза в собственном слое слизистой оболочки при втором варианте заживления; б — пролиферация клеток многослойного плоского эпителия в краях каллезной язвы; в — острые эрозии слизистой оболочки на фоне цилиндроклеточной метаплазии кардиального типа; г — новообразование бокаловидных клеток при регенерации железистого эпителия. Окрашивание: а — пикрофуксином по Ван-Гизону; б, в — гематоксилином и эозином; г — PAS-реакция и алциановый синий. ×200. Эти гиалинизированные участки выявляются на дне эрозий и язв или сохраняются инкапсулированными в толще слизистой оболочки. Отсутствие характерной грануляционной ткани, богатой сосудами и клеточными элементами, являющимися источниками факторов роста, необходимых для регенерации эпителия, препятствует заживлению дефектов. На гиалинизированную соединительную ткань не наползает ни железистый, ни плоский эпителий. Так формируются своеобразные застывшие «каллезные» эрозии и язвы, с гиалинизированными краями и дном, иногда они частично покрыты резко уплощенным атрофированным эпителием. В их краях (в покровном и железистом эпителии соответственно) отмечается резко выраженная пролиферация клеток с признаками атипии, требующая повторных исследований и динамического наблюдения для исключения диспластических изменений (рис. 2, б). Если гиалинизированные очаги некроза сохраняются в толще слизистой оболочки, то вокруг них всегда резко выражена лимфогистиоцитарная инфильтрация, активно формируются железы разного типа: от простых, трубчатых до альвеолярных, напоминающих дольки поджелудочной железы. В их клетках увеличивается количество слизистого секрета, который становится амфифильным или ярко окрашивается алциановым синим, т.е. приобретает признаки кишечной слизи.
Острые поражения на фоне предсуществующей ЦМ МПЭ СОП поверхностны (рис. 2, в). Это свидетельствует о том, что ЦМ является своеобразной приспособительной реакцией организма в ответ на воздействие кислого желудочного или щелочного дуоденального содержимого. Небольшие очаги некроза слизистой оболочки инфильтрируются нейтрофилами и отторгаются. При регенерации железистого эпителия появляются БК (рис. 2, г), усиливается новообразование желез. Многие из них кистозно расширяются. В их эпителиальной выстилке также появляются элементы с кишечной слизью и типичные БК. При каждом обострении число элементов с кишечной слизью увеличивается. Так расширяется зона пищевода Барретта.
Помимо пептических эрозий и язв, могут возникать деструктивные процессы другого происхождения. Так, при желудочной метаплазии слизистой оболочки часть эрозий связана с повреждением эпителия Helicobacter pylori. Такие изменения характеризуются поверхностным расположением, инфильтрацией нейтрофилами при отсутствии зон некроза. По сравнению с пептическими поражениями слабо выражена реактивная гиперплазия слизистых оболочек желез. Возможно участие и других микроорганизмов. Инфицирование микробами и грибами, как правило, сопровождается выраженным гнойным воспалением, новообразованием лимфоидных фолликулов, HPV и HSV — своеобразными изменениями многослойного плоского эпителия.
Конечной стадией репарации при острых эрозивно-язвенных поражениях является ремоделирование слизистой оболочки и подслизистого слоя в виде формирования на поверхности акантом и папиллом, железистых гиперплазиогенных полипов, репликации мышечной ткани t. muscularis mucosae, склероза, гиалиноза, ангиоматоза.
При развитии рубцовых стенозов в биоптатах выявляется резкое утолщение МПЭ с папилломатозом, гиперкератозом, акантозом, выраженным гиалинозом подлежащей соединительной ткани.
Таким образом, по данным биопсий, эрозивно-язвенные поражения СОП были выявлены в 41% наблюдений, несмотря на то, что эндоскопию и забор материала проводили обычно после курса терапии ИПП. Наиболее тяжелые эрозивно-язвенные формы наблюдаются в области СЦС или в зонах МПЭ. Можно выделить 5 типичных стадий их развития — некроз, лейкоцитарную инфильтрацию и отторжение некротических масс, гранулирование, эпителизацию и ремоделирование тканей после рубцевания. Заживление язв — длительный процесс, занимающий не менее 4—8 нед.
Помимо классического варианта нами описан второй возможный путь репарации — инкапсуляция и организация некротических масс, превращение их в очаги гиалиноза. В этих случаях слабо выражены лейкоцитарная и макрофагальная инфильтрация, резко угнетен ангиогенез, вследствие чего не формируется богато васкуляризированная соединительная (грануляционная) ткань. Нарушается реэпителизация, в краях дефектов отмечается активная пролиферация клеток многослойного плоского и железистого эпителия, в окружающих тканях происходит гиперплазия слизистых оболочек желез. Именно на этом фоне часто регистрируется интестинальная метаплазия и создаются условия для формирования предопухолевых состояний.
При предсуществующей ЦМ острые деструктивные поражения СОП поверхностны. В процессе регенерации эпителия происходит кишечная метаплазия покровного и железистого эпителия. Так постепенно формируется пищевод Барретта.
Следовательно, острые эрозии и язвы, возникающие в зонах многослойного плоского и цилиндрического эпителия, представляют собой закономерный этап в цепи изменений, предшествующих развитию пищевода Барретта и способствующих его прогрессированию.
Учитывая частоту пептических поражений СОП, длительность заживления, возникающие грубые морфологические изменения, в комплекс лечебных мероприятий помимо антисекреторной терапии следует, по-видимому, включать противовоспалительные и цитопротекторные препараты.
Все стадии развития пептических эрозий и язв должны найти отражение в гистологических заключениях по биоптатам СОП, и их необходимо учитывать при назначении местного и общего лечения.
Эзофагит: симптомы и лечение

Острый эзофагит – воспаление стенки пищевода, проявляющееся болями, особенно выраженными при прохождении пищи. В подавляющем большинстве случаев он протекает в сочетании с болезнями желудка и поражает обычно нижнюю часть пищевода.
Причины
- нарушения питания;
- ожоги;
- химические вещества;
- полигиповитаминоз;
- обширная инфекция.
Симптомы
При эзофагите может повышаться температура тела, отмечается общее недомогание, появляются неприятные ощущения по ходу пищевода во время продвижения пищи. Ребенка могут беспокоить жжение, иногда резкая боль в пищеводе. Дети нередко капризничают и отказываются от еды из-за боязни возникновения боли после первых же глотков пищи; они могут жаловаться на боль в области шеи, отрыжку, часто возникают срыгивания, слюнотечение, нарушается глотание.
Хронический эзофагит – хроническое воспаление стенки пищевода. Болезнь может развиться при недостаточно леченном остром эзофагите либо как первично-хронический процесс. Хронический эзофагит сопровождается болями за грудиной и в подложечной области, нередко он сочетается с гастритом или дуоденитом, что дает пеструю клиническую картину.
Дети не всегда могут четко объяснить свои ощущения. Старшие дети жалуются на чувство саднения за грудиной непосредственно после проглатывания пищи; могут появляться и боли, не зависящие от приема пищи, особенно во время бега, при прыжках или форсированном дыхании. Иногда боли возникают при лежании на спине, они могут быть в виде приступов и отдавать в шею, спину или в область сердца. В большинстве случаев у детей имеется и отрыжка воздухом или с примесью желудочного содержимого после еды и физической нагрузки. Старшие дети жалуются на изжогу, особенно вечером и ночью; возможны также тошнота, рвота, срыгивание пищей, икота, слюнотечение, затрудненное дыхание. Икота обычно начинается после отрыжки и продолжается длительное время.
В течении хронического эзофагита бывают периодические обострения и ремиссии. Если лечение начинается поздно и эзофагит неуклонно прогрессирует, могут образовываться рубцовые изменения пищевода.
Диагностика
Диагноз эзофагита ставят на основе анамнеза, характерных жалоб и клинических признаков. Часто главным методом для постановки диагноза является эндоскопическое исследование, но в острый период его не делают, чтобы не травмировать слизистую оболочку пищевода. Рентгенологическое контрастное исследование помогает обнаружить признаки нарушения двигательной функции пищевода и участки эрозивно-язвенного процесса.
Диагноз хронического эзофагита также основан на данных анамнеза, клинической симптоматике, результатах эндоскопического и рентгенологического исследований.
Лечение
Больным рекомендуется более частый прием пищи в небольших количествах, последний раз есть нужно не позже, чем за три часа до сна. Если выражены боли, перед едой можно дать 2–3 столовые ложки 0,5%-го раствора новокаина. Быстрому заживлению язв и эрозий слизистой оболочки и стиханию воспалительного процесса способствуют масло шиповника, облепихи, подсолнечное масло (их принимают по 10-15 мл 3-4 раза в день после еды).
При эзофагите запрещаются все газированные напитки. Во время еды не следует спешить, медленное пережевывание пищи способствует отделению слюны, которая обладает щелочной реакцией. Для нейтрализации кислого содержимого пищевода используют антацидные препараты (окись магния, трисиликат магния, гидроксид алюминия, гидрокарбонат натрия), их дают в сочетании с вяжущими средствами, способствующими затиханию воспаления и восстановлению слизистой оболочки (викалин, викаир, гастрофарм, винилин).
При наличии рвоты назначают церукал. В период обострения хронического эзофагита и при остром эзофагите применяют препараты, подавляющие хеликобактерную инфекцию, – антибиотики, а также метронидазол.
Читайте также:
